Саркоидоз: причины, симптомы и лечение
Добавил пользователь Евгений Кузнецов Обновлено: 13.12.2025
Саркоидоз относительно редкое заболевание. Чаще всего оно выявляется случайно. Но в то же время при данной патологии возможно поражение всех систем организма человека.
В 1999 году появился исторический документ, «стейтмент» по саркоидозу, в котором был обобщён мировой опыт лечения этой болезни, и был констатирован тот факт, что не менее половины больных саркоидозом могут излечиваться спонтанно.
Саркоидоз это хроническое аутоиммунное заболевание, этиология которого до сих пор неизвестна, хотя впервые заболевание было описано в Англии дерматологом Джонатаном Хатчинсоном (Jonathan Hutchinson) ещё в 1869 году. Данное заболевание характеризуется образованием во многих органах эпителиоидноклеточных гранулём, нарушением нормальной архитектуры пораженного органа или органов. Главный признак саркоидоза - гранулёмы, которые могут спонтанно возникать и исчезать.
Хроническое означает, что оно может продолжаться длительный период времени.
Для саркоидоза характерно мультисистемное поражение. Это означает, что саркоидоз одновременно может поражать несколько органов или систем организма. В 90% случаев для данного заболевания типично поражение легких. Одновременно в патологический процесс могут быть вовлечены лимфатические узлы, селезёнка, слюнные железы, кожа, кости, суставы, мышцы и глаза. Реже встречается саркоидоз печени, почек, сердца и нервной системы половых органов.
Термин гранулёматозное относится к образованию мелких воспалительных узелков или гранулём в пораженной ткани. Гранулёма происходит от латинского слова, означающего небольшое зерно или гранулу. Гранулёма представляет собой скопление иммунных клеток, которые в норме участвуют в защитных реакциях организма.
Аутоиммунное означает, что болезнь характеризуется специфическим иммунным ответом не только на чужеродные агенты, но и на компоненты собственных тканей организма.
Известно три типа причин образования эпителиоидноклеточных гранулём:
-Инфекции Бактерии и грибы.
- факторы растительного и животного происхождения (пыльца, споры).
Многие ''саркоидологи'' полагают, что причина саркоидоза кроется в сочетании генетической предрасположенности с воздействием окружающей среды. Проявления генетической предрасположенности связаны с расовыми и географическими различиями.
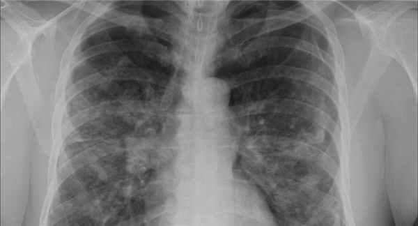
В нашей стране саркоидоз чаще всего выявляют при плановых флюорографических осмотрах. Рентгенологи обнаруживают двухстороннее увеличение лимфатических узлов корней лёгких (иногда в сочетании с изменениями лёгочного рисунка). Реже пациенты сами обращаются за медицинской помощью с синдромом Лёфгрена (лихорадка, боль и опухание суставов, узловатая эритема и двусторонняя лимфаденопатия корней лёгких). Клинические проявления заболевания при поражении лёгких и лимфатических узлов корней лёгких в девяносто процентах случаев проявляются: кашлем, одышкой, иногда болью в груди, недомоганием, лихорадкой и потерей %веса.
При поражении кожи наблюдается в 10-35%: гранулемы, узловатая эритема, редко – васкулиты.
В тридцати процентах случаев поражения глаз имеет место: доброкачественная инфильтрация конъюнктивы и слезных желез, увеит.
Поражение ЦНС и сердца являются наиболее частыми причинами смерти при саркоидозе. Тогда как среди всех больных данной патологией сам саркоидоз становится непосредственной причиной смерти менее чем в пяти процентах случаев.
Поскольку, этиология саркоидоза остается неизвестной, то и болезнь остается диагнозом исключения. В настоящее время акценты сместились в сторону более интенсивного обследования больных с подозрением на саркоидоз: проведения компьютерной томографии органов грудной клетки высокого разрешения, трансбронхиальной и видеоторакоскопической (ВТС) биопсии.
После выявления двусторонней лимфаденопатией с или без изменений в лёгких следует начать с лабораторного обследования.
1. общий анализ крови с лейкоцитарной формулой, обязательной оценкой красной крови, тромбоцитов и СОЭ.
2. общий анализ мочи.
3. рентгенографией органов грудной клетки в двух проекциях, можно сразу провести рентгеновскую компьютерную томографию (РКТ) органов грудной клетки с включением в зону обследования печени и селезёнки.
4. ФБС с проведением трансбронхиальной биопсии, цитологическим и микробиологическим исследованием лаважной жидкости.
5. торакоскопия с биопсией, которая проводится под наркозом.
6. методом выбора может быть открытая биопсия лёгких.
7. исследование функции внешнего дыхания должна исследоваться на этапе первичной диагностике и в ходе динамического наблюдения.
8. ЭКГ, при необходимости холтеровское мониторирование ЭКГ.
9. консультация офтальмолога.
Выявление эпителиоидноклеточных гранулём, отсутствие микобактерий туберкулёза, грибов или других патогенных возбудителей, атипичных и опухолевых клеток свидетельствуют в пользу саркоидоза.
Поскольку неизвестна этиология заболевания, то нет специфической терапии данной патологии. Важно обратить внимание, что не все пациенты с саркоидозом требуют лечения. При бессимптомном течении, при компенсированном состоянии пациента и при тщательном квалифицированном наблюдении можно оставить больного без лечения или назначить препараты с минимальными побочными эффектами. Например: витамин Е. Терапия показана при поражении жизненно важных органов (то есть, центральной нервной системы, сердечно-сосудистой системы или глаз) или при прогрессировании заболевания. Глюкокортикостероиды являются основой терапии. Однако, часты осложнения терапии и после прекращения данного вида лечения возможен рецидив.
В дальнейшем больного вести больного саркоидозом может терапевт, врач обшей практики, педиатр, пульмонолог, иммунолог или гематолог.
Саркоидоз - заболевание легких
Саркоидоз — более частое заболевание, чем принято думать. Заболеваемость саркоидозом в мире составляет от 11 до 640 на 100,000 населения. Болезнь развивается в любом возрасте, даже после 70 лет, однако пик заболеваемости приходится на 40 лет. Считалось, что женщины болеют саркоидозом чаще мужчин. Однако, по-видимому, это не так: просто у женщин более выражены симптомы заболевания, а значит, они чаще обращаются к врачам.
Причина саркоидоза не известна, поэтому до сих пор нет исчерпывающего определения заболевания. Основной находкой при нем являются саркоидозные гранулемы (эпителиоидноклеточная гранулема без казеозного некроза).
Жалобы
Более чем в 90% случаев поражены легкие или внутригрудные лимфоузлы, однако жалоб при этом нет, по крайней мере на ранней стадии заболевания. Даже при обширном поражении легких (по данным рентгенографии грудной клетки) может не быть ни одышки, ни кашля. Одышка и другие жалобы обычно появляются на поздней стадии заболевания.
Первым проявлением саркоидоза может стать поражение глаз. Иридоциклит, хориоидит, конъюнктивит и поражение слезных желез с ксерофтальмией (сухостью глаз) отмечаются в 25% случаев. Примерно у 20% больных первым проявлением саркоидоза бывает поражение кожи: бляшки от оранжево-розового до коричневого цвета. Приблизительно у 10% больных страдает нервная система. Саркоидоз можно заподозрить при нарушении функции гипофиза или гиперкальциемии (повышении уровня кальция крови). Кроме того, проявлениями саркоидоза бывают гепатоспленомегалия (увеличение печени и селезенки), поражение костей (чаще фаланг пальцев) и симметричное поражение суставов. Значимая патология сердца встречается редко, но в ряде случаев возникают нарушения ритма сердца, кардиомиопатия. У 10% больных, особенно с обширным поражением лимфоузлов, наблюдается лихорадка.
Стадии
Стадии саркоидоза определяют по данным обзорной рентгенографии грудной клетки.
Стадия I: двустороннее увеличение бронхолегочных лимфоузлов
Стадия II: двустороннее увеличение бронхолегочных лимфоузлов и диффузное поражение легочной паренхимы, сетчатая перестройка легочного рисунка, но иногда множественные очаговые или милиарные тени
Стадия III: поражение легочной паренхимы без увеличения бронхолегочных лимфоузлов
Вероятность спонтанной ремиссии (самостоятельного выздоровления) при стадиях I, II и III составляет 80, 50 и 30% соответственно.
Диагностика
У 90% больных заболевание ограничивается поражением внутригрудных лимфоузлов и легких и часто протекает бессимптомно. В таких случаях рентгенологические изменения могут быть случайной находкой, например при профилактическом осмотре или обследовании по поводу другого заболевания. Как уже сказано, первым проявлением саркоидоза может быть поражение других органов. В любом случае, прежде чем поставить диагноз, врач должен получить гистологическое подтверждение саркоидоза.
Лечение
Несмотря на то что глюкокортикоиды применяют уже более 45 лет, о целесообразности лечения ими саркоидоза легких до сих пор нет единого мнения. Практика показывает, что лечение глюкокортикоидами оправдано у всех больных со стадиями II и III, если в течение 6—12 месяцев не появились признаки спонтанной ремиссии или есть признаки ухудшения (по данным рентгенографии и исследования функции внешнего дыхания). Как правило, достаточно приема 40 мг преднизолона через день
Хотя некоторые специалисты рекомендуют начинать лечение только при появлении жалоб, исследования показали, что одышка появляется в необратимой фазе заболевания. Поэтому глюкокортикоиды лучше назначать до появления жалоб, чтобы предупредить развитие необратимых изменений.
Большинство специалистов придерживаются следующих показаний к назначению глюкокортикоидов: 1) увеит (начинают с местного лечения), 2) гиперкальциемия, 3) поражение миокарда (особенно кардиомиопатия), 4) неврологические нарушения. Если глюкокортикоиды по каким-либо причинам противопоказаны, рекомендуются следующие препараты: метотрексат, хлорохин, азатиоприн и оксифенбутазон.
Наблюдение
Наблюдение за больными саркоидозом обязательно включает регулярную рентгенографию грудной клетки и исследование функции внешнего дыхания (спирометрию). Частота обследования зависит от течения заболевания, а также предпочтений лечащего врача. Течение саркоидоза можно оценить по активности ангиотензин-превращающего фермента в крови. Частота рецидивов после лечения больных со стадиями II и III составляет около 25%. Поэтому по завершении курса лечения за больными нужно наблюдать в течение нескольких лет. Вероятность рецидива значительно снижается, если на протяжении более года состояние остается стабильным и отсутствуют признаки активности саркоидоза.
Саркоидоз. Причины, симптомы, признаки, диагностика и лечение
Саркоидоз относится к малоизученным патологиям. Заболевание протекает с образованием гранулем, которые могут локализоваться в любом внутреннем органе, лимфоузлах и на коже. Сакроидоз нельзя путать с саркомой, последний термин обозначает злокачественное поражение организма.
Причины саркоидоза
Основной причины развития саркоидоза у человека не установлено. Часть исследователей полагает, что это заболевание имеет полиэтиологический генез, то есть возникает под воздействием сразу нескольких провоцирующих факторов. Это аутоиммунные процессы, инфекционные агенты, плохие экологические условия, наследственная предрасположенность.
Саркоидоз может возникнуть в любом возрасте. Однако, риск поражения гранулемами организма выше у молодых людей в возрасте от 35 до 30 лет. У женщин второй пик заболевания приходится на 40-45 лет, что может быть связано с гормональным сбоем при климаксе.
Саркоидоз проявляется образованием специфических гранулем – мелких узелков, представляющих собой скопление нормальных, то есть неизмененных клеток организма. При прогрессировании патологии в гранулемах появляются и гигантские клетки с несколькими ядрами.
Саркоидоз в большинстве случаев поражает легкие, что в сочетании с образованием гранулем создает необходимость дифдиагностики с туберкулезом.
Симптоматика саркоидоза

Болезнь долго может протекать без определенных признаков. На начальной стадии саркоидоз нередко выявляется случайно при проведении профилактического ренгенообследования легких.
К общим неспецифическим признакам патологии относят:
- Слабость. Чаще всего бывает по утрам, иногда сопровождается болезненными ощущениями в мышцах и головными болями.
- Повышение температуры. Лихорадка в большинстве случаев сопровождает саркоидоз, протекающий с поражением лимфатических узлов и глаз.
- Уменьшение массы тела. Вес снижается не сразу, а через несколько месяцев после начала заболевания. Потеря веса происходит вследствие нарушения обменных процессов, что приводит к ухудшению усвоения питательных веществ.
- Увеличение лимфоузлов. Воспалению больше подвержены шейные и грудные группы лимфоузлов. При пальпации такие узлы плотные, безболезненные и подвижные.
Специфические симптомы саркоидоза зависят от локализации гранулем:
- При образовании гранулем в легких в 90 % случаев появляется отдышка, сухой или мокрый кашель, тяжесть в груди.
- Саркоидоз с поражением глаз приводит к распространению мелких гранулем на роговицу, сетчатку, склеры, внешние оболочки глаза. В результате беспокоит слезотечение, покраснение глаз, снижение зрения, иногда до полной слепоты.
- При поражении кожи узелки выглядят как приподнятые над телом округлые образования. Поверхность кожи в этих местах становится красноватой. Саркоидоз кожи может охватывать нижние конечности, ягодичную область лицо. Иногда появляется узловатая эритема – болезненные узлы красного цвета, которые со временем желтеют. Узловатая эритема нередко протекает с признаками артрита – отечностью и болями в локтевых, голеностопных суставах, лучезапястных суставах; Саркоидоз с вовлечением нервной системы может стать причиной паралича лицевого нерва. Заболевание проявляется головными болями, ухудшением памяти, слабостью мышц конечностей, в редких случаях судорожными припадками.
Выше описаны наиболее вероятные формы саркоидоза. Но зафиксированы также случаи поражения гранулемами сердца, селезенки, мочеполовых органов, ротовой полости, органов пищеварения.
Саркоидоз протекает волнообразно – периоды стихания симптомов сменяются очередным обострением. У части больных происходит самоизлечение. Осложнением заболевания может быть дыхательная недостаточность, тяжелые нарушения функция печени, почек. При поражении сердца возможен летальный исход.
Диагноз выставляется на основании рентгенологического исследования, анализов крови (выявляется воспалительная реакция), гистологического исследования биоматериала гранулем.
Принципы лечения
Диагностика саркоидоза проводится терапевтом. На ранней стадии болезни, при условии отсутствия явной симптоматики, лечение не проводится. Это связано с тем, что саркоидоз может пройти самостоятельно за 3-6 месяцев. Однако весь этот период состояние больного нужно контролировать.
При явных признаках заболевания основу лечения составляет гормональная терапия. Гормоны вначале назначают в высоких дозах, затем переходят на поддерживающие. Саркоидоз склонен к рецидивам, поэтому гормонотерапию могут неоднократно повторять.
Прогноз течения болезни в основном благоприятный. Но у некоторых больных возникают тяжелые нарушения функций жизненно важных систем, что приводит к инвалидности.
Саркоидоз

Саркоидоз (болезнь Бенье-Бека-Шаумана) – аутоиммунное заболевание различных органов и систем организма, которое характеризуется образованием в пораженных тканях воспаленных плотных узелков – гранулем. Эти новообразования сдавливают близлежащие ткани, вызывая в них дистрофические изменения, а порой и некроз. При долговременном течении болезни фиброзная соединительная ткань разрастается, замещая здоровую, функция пораженного органа необратимо утрачивается.
Чтобы не допустить осложнений, каждому из нас следует внимательно относиться к своему здоровью и при появлении подозрительных симптомов не затягивать, а обращаться за консультацией к врачу. Специалисты сети медицинских центров «СМ-Клиника» тщательно выяснят ваши жалобы, проведут объективное обследование, назначат необходимые методы исследования, а на основании полученных данных диагностируют саркоидоз и обсудят с вами вариант эффективной терапии. Не экспериментируйте на здоровье, обращайтесь за помощью к профессионалам!
О заболевании
Саркидоз – достаточно редкое заболевание, им страдает от 2-х до 7 человек на 100 тыс. населения России. Большинство заболевших составляют лица возрастом 20-40 лет, преимущественно женщины.
В 90% случаев патология поражает легкие и лимфатические узлы (чаще – внутригрудные). Немного реже страдают кожные покровы, глаза, селезенка, печень, костные структуры.
Нередко до определенного момента болезнь протекает бессимптомно, и выявить ее можно лишь при обследовании. Чтобы своевременно диагностировать саркоидоз, рекомендуется регулярно проходить профилактический осмотр и делать рентгенографию органов грудной клетки.
Классификация саркоидоза
В зависимости от локализации патологического процесса саркоидоз делят на:
- внутригрудной;
- внегрудной;
- генерализованный, поражающий сразу несколько органов.
В зависимости от изменений на рентгенограмме органов грудной клетки выделяют 3 стадии саркоидоза легких:
- I – увеличены внутригрудные лимфатические узлы;
- II – патологический процесс двусторонний, определяется инфильтрация ткани легких в сочетании с поражением внутригрудных лимфатических узлов;
- III – выраженный фиброз ткани легких; внутригрудные лимфатические узлы не увеличены; пневмофиброз постепенно разрастается, его очаги создают сливные конгломераты.
В зависимости от активности патологического процесса в течении саркоидоза выделяют 3 фазы:
- обострения, или активную;
- стабилизации;
- регрессии, или обратного развития, или затихания процесса.
Симптомы саркоидоза
Учитывая вялый характер течения саркоидоза, зачастую его можно выявить только при рентгенологическом обследовании, которое покажет гранулемы в легких и увеличение внутригрудных лимфатических узлов.
Первые симптомы болезни носят общий неспецифический характер:
- ощущение слабости, утомляемость;
- повышение температуры тела до субфебрильных значений;
- увеличение размеров периферических лимфоузлов;
- боли в суставах.
Перечисленные симптомы служат поводом для обращения к врачу с целью проведения полноценного обследования.
По мере развития патологического процесса возникают следующие признаки саркоидоза, зависящие от места его локализации:
- При саркоидозе легких пациент предъявляет жалобы на кашель, периодические неинтенсивные боли, тяжесть в груди, слабость, снижение аппетита и веса, лихорадку, ощущение увеличенных лимфатических узлов, одышку и чувство нехватки воздуха.
- Симптомы саркоидоза лимфатической системы те же, что и при локализации его в легких. Эти две формы патологии зачастую развиваются совместно. При поражении шейных, подключичных лимфоузлов определяются болезненные уплотнения в месте их расположения. При вовлечении в патологический процесс узлов брюшной полости пациент отмечает расстройства пищеварения, боли в животе.
- Ведущий симптом саркоидоза нервной системы – паралич Белла (одно- или двусторонний паралич лицевого нерва). Болезнь может затрагивать и другие нервные центры, нарушая функции ЦНС. При поражении головного мозга возможно развитие эпилептической активности – появление судорожных приступов.
- При саркоидозе кожи обнаруживаются как неспецифические, так и характерные симптомы патологии. К первым относят: сухость кожных покровов, их шелушение, рубцовые изменения на коже, нарушение ее пигментации, изъявления, слабость и выпадение волос. Специфические симптомы проявляются в виде небольших бляшек на коже красноватого оттенка преимущественно в верхней части тела, на лице и сгибе рук, проявлений ознобленной волчанки в виде покраснения кожи и ее огрубения (чаще на пальцах рук и коже ушей, носа и щек). Кроме перечисленных проявлений больной может страдать от узловатой эритемы – воспаления капилляров с гиперемией и огрубением кожи.
- Саркоидоз сердца встречается редко и протекает бессимптомно. Однако длительное его течение приводит к необратимым изменениям со стороны сердца, развитию сердечной недостаточности и аритмии. Протекает одновременно с поражением лимфатических узлов или легких. Косвенные признаки: одышка во время физической активности, болезненные ощущения в области сердца, отечность нижних конечностей, бледность кожных покровов.
- При саркоидозе глаз у пациентов поражаются веки, снижается зрение, возникают чувство инородного тела и неинтенсивные боли в глазах. При обследовании зачастую гранулемы обнаруживаются в задней части роговицы. Иногда болезнь затрагивает зрительный нерв – развивается вторичная глаукома.
- При редко встречающемся саркоидозе ЛОР-органов (ухо, нос, глотка, гортань) страдают функции верхних дыхательных путей с проявлениями ринита. Гранулемы образуются на слизистой или хрящах носовых пазух.
- При саркоидозе желудочно-кишечного тракта чаще возникают неярко выраженные симптомы со стороны желудка (гастрит), реже – кишечника (колит, дуоденит). Зачастую эта форма саркоидоза остается не выявленной из-за практически стертой симптоматики.
Причины саркоидоза
Причины развития саркоидоза до конца не изучены. Доказано, что болезнь не имеет инфекционной природы.
Группу риска составляют люди с наследственной предрасположенностью, но болезнь может не проявить себя в течение жизни при отсутствии провоцирующих ее внешних факторов.
- К провоцирующим саркоидоз факторам относят:
- интоксикации химическими реагентами у людей, чья профессия предполагает тесное взаимодействие с этими веществами;
- поражение организма патогенными микроорганизмами: микобактериями туберкулеза, хламидиями, вирусом Эпштейн-Барра и др.;
- длительное взаимодействие с аллергенами при нарушении иммунной защиты организма.
Получить консультацию
Если у Вас наблюдаются подобные симптомы, советуем записаться на прием к врачу. Своевременная консультация предупредит негативные последствия для вашего здоровья.
Узнать подробности о заболевании, цены на лечение и записаться на консультацию к специалисту Вы можете по телефону:
Саркоидоз легких

Саркоидоз легких (гранулематоз доброкачественного характера) — это заболевание, поражающее разные ткани организма. Но чаще все он проявляется в органах дыхания. При этой болезни в легких, а также в трахее, бронхах и лимфоузлах образуются гранулемы.
Опасность саркоидоза в том, что гранулемы постепенно растут, сливаются, затем рассасываются и оставляют после себя рубцовую ткань. Это сильно влияет на работу органов — в частности, легких — которые не могут полностью выполнять свои функции. При поверхностной вентиляции функция дыхания нарушается — а это, как известно, влечет за собой нагрузку на все внутренние органы, потому что кровь не может снабдить кислородом разные системы организма.
Заболевание не является заразным (в отличие от того же туберкулеза) и не представляет никакой опасности для окружающих.
Статистика и группы риска
Саркоидоз развивается у людей разного возраста, но чаще всего его выявляют в 20-40 лет. У женщин эта болезнь появляется чаще, причем больше всего страдают от нее жители африканских, азиатских, скандинавских стран, а также Ирландии, Германии и Пуэрто-Рико.
Симптомы
К симптомам саркоидоза относят следующее:
- Затрудненное дыхание. Особенно поначалу это заметно при физических нагрузках — даже вполне умеренных.
- Проблемы с аппетитом, резкая потеря веса.
- Слабость в мышцах, склонность к быстрой утомляемости.
- Сухой кашель, отхаркивание крови.
- Болезненные ощущения в груди.
- Покраснение кожи в результате сильного прилива крови.
Все эти симптомы саркоидоза должны сразу же насторожить пациента и заставить его обратиться к специалистам за помощью. Таким заболеванием занимаются пульмонологи, но если вы сомневаетесь в первых признаках болезни, то можете обратиться и к терапевту, который дальше направит вас к нужному врачу.
Причины

Происхождение болезни до конца не выяснено. Врачи до сих пор спорят, что может провоцировать это заболевание. Одна теория предполагает, что заболевание передается по наследству, другая говорит о том, что в основе лежит заражение инфекцией. Причем возбудителями могут быть грибки, простейшие и другие варианты патогенной флоры — единого мнения нет и здесь.
Вместо четких причин специалисты выделяют факторы, которые способствуют развитию недуга. Например, это воздействие разных раздражителей на ткани легких — тех же сильных химикатов на вредном производстве или обильной пыли. Способствуют развитию недуга и патологические процессы внутри тела, включая аутоиммунные заболевания.
Поскольку одну причину саркоидоза обнаружить пока не удается, профессионалы сходятся в том, что речь идет о группе факторов: биохимических, иммунных, генетических и других.
В группе риска находятся курильщики, поскольку их легкие и без того ослаблены.
Стадии
Выделяют три стадии саркоидоза. На первой наблюдается увеличение лимфатических узлов, поражение легких либо одностороннее, либо симметричное. Вторая стадия характеризуется распространением болезни по лимфатическим путям. Гранулемы еще маленькие, легочная ткань постепенно начинает заменяться тканью более высокой плотности.
На третьей стадии соединительная ткань разрастается в альвеолах, образуются рубцы. Высоки риски таких осложнений, как эмфизема, пневмосклероз. Часто гранулемы растут одновременно и в легких, и в других частях организма.
Диагностика

Для диагностики саркоидоза назначают:
- с несколькими показателями, среди которых титры гамма-глобулина. . и МРТ.
- Реакцию Квейма. Это исследование при котором больному вводят под кожу специальный антиген. Если на коже появляется красный бугорок, это подтверждает наличие в организме саркоидоза. Необязательно он будет локализован именно в легких — просто как факт болезни. (факультативно). В процессе исследования делается забор измененных тканей для анализа.
Такое комплексное исследование позволяет довольно точно провести диагностику саркоидоза и дифференцировать его среди других заболеваний.
Лечение

Это заболевание интересно тем, что пациент почти играет в лотерею. Дело в том, что около 30% случаев болезни проходят самостоятельно и без какого-либо дополнительного вмешательства. И можно было бы сказать, что не следует торопиться, можно подождать, пока все само не наладится. Но проблема в том, что такие же 30% пациентов сталкиваются с серьезными осложнениями саркоидоза — вплоть до летального исхода, если не начать вовремя оказывать помощь. Так что отказываться от лечения или тянуть с визитом к врачу в этом случае точно не стоит. Никто не знает, в какой процент больных он попадет, а затягивание времени может быть по-настоящему опасным.

Важно понимать, что при течении болезни без осложнений врачи часто оставляют время на наблюдение. Они анализируют состояние пациентов и понимают, что в каких-то случаях необходимо подождать и посмотреть, как будет развиваться болезнь. И только в ситуации, когда понятно, что организм сам не справится, назначается лечение.
При лечении саркоидоза используют стероидные гормоны, противовоспалительные препараты, иммунодепрессанты, антиоксиданты и витамины. Также пациенту назначают белковую диету (при приеме гормональных препаратов) и рекомендуют снизить количество соли. Важный момент для выздоровления — полный отказ от такой вредной привычки, как курение.
После наступления ремиссии пациент еще несколько лет стоит на учете и наблюдается у своего лечащего врача.
Если у вас уже стоит диагноз или вы подозреваете у себя саркоидоз легких, обращайтесь в клинику АО «Медицина» в Москве: наши пульмонологи и терапевты всегда рады помочь, проконсультировать, назначить дополнительные обследования и скорректировать либо разработать для вас план лечения.
Вопросы и ответы
Насколько опасен саркоидоз?
Такая болезнь в запущенном состоянии может привести к смерти пациента, но это довольно редкие случаи. Если придерживаться клинических рекомендаций при саркоидозе, серьезных последствий можно избежать.
Какова профилактика саркоидоза?
Поскольку точных причин этого заболевания до сих пор не установлено, специфической профилактики не существует.
Что можно есть при саркоидозе?
В процессе лечения саркоидоза пациентам могут назначать белковую диету и ограничение соли. Если врач не ограничивает питание в связи с приемом определенных медикаментов, можно питаться обычной едой с уклоном в здоровую пищу.
Читайте также:
