Секреторная аденокарцинома эндометрия
Добавил пользователь Евгений Кузнецов Обновлено: 14.12.2025
Кафедра репродуктивной медицины и хирургии факультета дополнительного профессионального образования ГБОУ ВПО «Московский государственный медико-стоматологический университет им. А.И. Евдокимова» Минздрава России, Москва, Россия
ФГБУ "Клиническая больница"
кафедра патологической анатомии Московского государственного медико-стоматологического университета им. А.И. Евдокимова Минздрава России, Москва, Россия, 127473
ФГБУ "Клиническая больница"
ФГБУ "Поликлиника №5" Управления делами Президента РФ, Москва
Российская медицинская академия последипломного образования, Москва
Патология эндометрия в пожилом и старческом возрасте (скрининговое исследование)
Журнал: Архив патологии. 2013;75(6): 32‑38
Адамян Л.В., Мельникова Н.С., Зайратьянц О.В., Балицкий Е.В., Кортукова Р.А., Козлова О.В. Патология эндометрия в пожилом и старческом возрасте (скрининговое исследование). Архив патологии. 2013;75(6):32‑38.
Adamyan LV, Mel'nikova NS, Zairat’yants OV, Balitskiĭ EV, Kortukova RA, Kozlova OV. Endometrial pathology in elderly and senile age (a screening study). Arkhiv Patologii. 2013;75(6):32‑38. (In Russ.).
Кафедра репродуктивной медицины и хирургии факультета дополнительного профессионального образования ГБОУ ВПО «Московский государственный медико-стоматологический университет им. А.И. Евдокимова» Минздрава России, Москва, Россия
Изучены результаты ежегодного диспансерного обследования 288 женщин в возрасте 60-87 лет. Патология эндометрия при первичном и повторном обращении у 92,9% пациенток представлена железисто-фиброзными полипами, которые как рецидивировали, так и возникали de novo. У 7,1% женщин диагностированы аденокарциномы, развившиеся через 4-14 лет после удаления полипов. Очаговые нарушения дифференцировки эпителиального компонента полипов эндометрия при рецидиве или повторном развитии отмечены в 97,3% наблюдений. У 88% пациенток жалобы отсутствовали и рецидивы патологии эндометрия, в том числе одна из трех аденокарцином, диагностированы благодаря диспансерному обследованию. Ложноположительные диагнозы патологии эндометрия при ультразвуковом исследовании составили 5,2%. Золотым стандартом диагностики патологии эндометрия следует признать сочетание гистероскопии и морфологического исследования.
Кафедра репродуктивной медицины и хирургии факультета дополнительного профессионального образования ГБОУ ВПО «Московский государственный медико-стоматологический университет им. А.И. Евдокимова» Минздрава России, Москва, Россия
ФГБУ "Клиническая больница"
кафедра патологической анатомии Московского государственного медико-стоматологического университета им. А.И. Евдокимова Минздрава России, Москва, Россия, 127473
ФГБУ "Клиническая больница"
ФГБУ "Поликлиника №5" Управления делами Президента РФ, Москва
Российская медицинская академия последипломного образования, Москва
Согласно демографическим прогнозам, в результате старения населения к 2030 г. каждый пятый человек в мире будет старше 65 лет [1]. В связи с этим особую актуальность в акушерстве и гинекологии приобрели проблемы постменопаузального периода, в частности профилактика, диагностика и лечение патологических процессов эндометрия у пожилых пациенток. Женщин пожилого и старческого возраста относят к группе риска по возникновению различной внутриматочной патологии на фоне инволютивных изменений репродуктивной системы и широкого спектра соматических и психоэмоциональных заболеваний [2, 3]. По данным разных авторов, частота различных патологических процессов эндометрия в период постменопаузы зависит от ее длительности и в среднем составляет: полипы — 39,2—69,3%, атрофия — 16,7—47,4%, гиперплазия без атипии — 3,3—4,9%, гиперплазия с атипией — 0,5—5,2% и аденокарциномы — 0,5—14% [4, 5]. Особенности патологических процессов эндометрия у больных старших возрастных групп остаются недостаточно изученными. Их клинические проявления обычно слабо выражены, поэтому для профилактики и своевременной диагностики внутриматочной патологии необходимы ежегодные диспансерные обследования [5, 6].
Цель работы — клинико-морфологический анализ патологических процессов эндометрия у больных пожилого и старческого возраста по результатам скрининга, а также оценка эффективности ежегодной диспансеризации в плане профилактики и ранней диагностики заболеваний эндометрия.
Материал и методы
Нами проведено обследование 288 женщин в периоде стойкой постменопаузы. Возраст пациенток составил 60—87 лет (средний 67,6±5,6 года) и соответствовал пожилому и старческому возрастному периоду по классификации ВОЗ. Возраст наступления менопаузы варьировал от 38 до 56 лет (в среднем 44,9±6,8 года).
Все пациентки были прикреплены для ежегодного диспансерного обследования к медицинским учреждениям системы Управления делами Президента РФ (поликлиники №3—5 и при Центральной клинической больнице УДП РФ). В связи с подозрением на наличие патологии эндометрия, по данным ультрасонографии, они были направлены в 2008—2011 гг. в гинекологическое отделение ФГБУ «Клиническая больница» УДП РФ для проведения диагностических и лечебных мероприятий.
Был проведен ретроспективный анализ клинических данных, результатов ультрасонографии, гистероскопии и патогистологического исследования у пациенток с выявленными рецидивами и повторным развитием патологии эндометрия (РПЭ), прослежены отдаленные (от 1 года до 4 лет) результаты лечения.
Под РПЭ понимали не только рецидив конкретного заболевания (например, рецидив полипа эндометрия при его неполном удалении), но и повторное развитие или возникновение другой патологии эндометрия de novo у той же больной.
Результаты и обсуждение

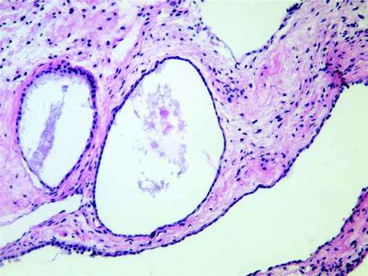
У 15 (5,2%) женщин, за 1—5 лет до последнего обследования леченных по поводу железисто-фиброзных полипов эндометрия (ЖФПЭ), при скрининговом ультразвуковом исследовании (УЗИ) в ходе ежегодной диспансеризации диагнозы РПЭ оказались ложноположительными. Толщина эндометрия, определенная ультрасонографически, варьировала от 7 до 15 мм (в норме менее 4 мм), в одном наблюдении отмечена неоднородность М-эхо. Гистероскопия и патогистологическое исследование соскоба из полости матки не подтвердили наличия рецидива. Гистероскопически был выявлен тонкий атрофичный эндометрий, в ряде случаев с петехиальными кровоизлияниями, в 4 (26,7%) наблюдениях в сочетании с синехиями полости матки. Морфологически диагностирована атрофическая слизистая оболочка тела матки, иногда с отеком и кровоизлияниями в строме, причем в 5 (33,3%) наблюдениях — ее кистозный вариант, при котором эндометрий нередко толще, что и было выявлено на УЗИ (рис. 1). Рисунок 1. Атрофическая слизистая оболочка тела матки, кистозный вариант. Окраска гематоксилином и эозином. ×200. Полагают, что кистозный вариант атрофической слизистой оболочки тела матки развивается в период пременопаузы у пациенток, с гиперпластическими процессами эндометрия в анамнезе [7]. Повторное УЗИ этих женщин через 1—4 года не обнаружило утолщения эндометрия у 14 (93,3%) пациенток, и только у одной (6,7%) его толщина вновь составила 12 мм (гистероскопически и гистологически выявлены атрофическая слизистая оболочка тела матки с отеком стромы и синехии в ее полости).
Обращает на себя внимание, что 4 (26,7%) пациентки с ложноположительным ультрасонографически выявленным РПЭ принимали тамоксифен (селективный модулятор рецепторов эстрогенов) при комбинированной терапии по поводу рака молочной железы. Известно, что у больных, особенно в менопаузе, он может приводить к развитию гиперпластических изменений, полипов и даже аденокарцином эндометрия. При терапии тамоксифеном рекомендуется периодически проводить УЗИ матки [7, 8]. У пациенток, принимавших тамоксифен, были диагностированы лишь кистозный вариант атрофии эндометрия и менее выраженная атрофия с отеком стромы, что при УЗИ создавало картину его утолщения.
РПЭ выявлены у 42 (14,6%) из 288 обследованных женщин. Возраст больных не отличался от такового у женщин без РПЭ и составил 60—84 года (средний 66,0±5,5 года). В анамнезе гормональную терапию (норколут, дюфастон) после удаления ЖФПЭ получали 4 (9,5%) пациентки.
В 39 (92,9%) наблюдениях патология эндометрия при первичном обращении, так же как и при ее рецидиве, была представлена ЖФПЭ. У 15 (35,7%) больных ЖФПЭ при первичном обращении были диагностированы в репродуктивном и пременопаузальном периодах, а у 27 (64,3%), как и РПЭ, — в период постменопаузы.
Рецидивы или повторное развитие ЖФПЭ были обнаружены в сроки от 1 года до 17 лет (в среднем 4,9±4,1 года) после их первого выявления, у одной больной было диагностировано повторное появление полипов эндометрия через каждые 2—3 года. Анализ лечения ЖФПЭ при первичном обращении выявил, что в 29 (74%) наблюдениях рецидивы развивались у тех больных, которым не производили гистероскопию, в связи с чем не было гарантировано их полное удаление. Это позволяет предположить, что по крайней мере в части наблюдений ЖФПЭ возникали не de novo, а являлись истинными рецидивами патологического процесса.
У 37 (94,9%) больных из 39 с рецидивами или повторным развитием ЖФПЭ жалобы отсутствовали и РПЭ были диагностированы благодаря ежегодному диспансерному УЗИ органов малого таза. Только 2 (5,1%) пациентки обратились в поликлинику с жалобами на кровяные выделения на фоне длительной постменопаузы.

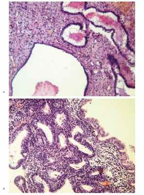
ЖФПЭ при РПЭ были солитарными у 34 (87,2%) пациенток и множественными (2—3) — у 5 (12,8%). Размер полипов колебался от 4 до 35 мм (в среднем 10,3±7,3 мм). Локализовались они преимущественно в области левого угла (33,3%), дна (25,9%) и правого угла (14,8%) матки, были как на ножке, так и на широком основании (рис. 2). Рисунок 2. Гистероскопия. Повторный рецидив полипа эндометрия (больная, 74 года, постменопауза 22 года). Полип размером около 10 мм в области левого угла матки. Слизистая оболочка полости матки атрофична. Сопоставление их локализации при первичном и повторном обнаружении в 10 наблюдениях, где имелись данные гистероскопии при первом обращении, показало, что у 4 пациенток она совпадает, что позволяет сделать вывод об истинном рецидиве ЖФПЭ только в 10% наблюдений. Гистологически полипы состояли из желез различной формы и величины, неравномерно распределенных в строме с умеренным или выраженным склерозом.

Очаги простой гиперплазии с метаплазией эпителия желез (эозинофильной, секреторной, мерцательно-клеточной) в ЖФПЭ были отмечены при первичном обращении у 29 (74,4%) пациенток, а при их рецидивах — у 38 (97,3%). У 1 больной при рецидиве полипа был обнаружен очаг сложной атипической гиперплазии (рис. 3, а, б). Рисунок 3. Очаги метаплазии и гиперплазии в железисто-фиброзных полипах при их рецидиве. а — секреторная трансформация эпителия и кистозное расширение просвета части желез; б — очаг сложной атипической гиперплазии. Окраска гематоксилином и эозином. ×200. Такие аденоматозные полипы рассматривают как предраковые поражения, и у женщин в постменопаузе они являются показанием к гистерэктомии [7]. Рост частоты нарушений дифференцировки эпителия желез в ЖФПЭ с возрастом больных и при РПЭ может свидетельствовать о повышении риска неопластической трансформации. Однако гиперпластических или метапластических изменений эндометрия у женщин с ЖФПЭ не выявлено (отмечена атрофия слизистой тела матки).

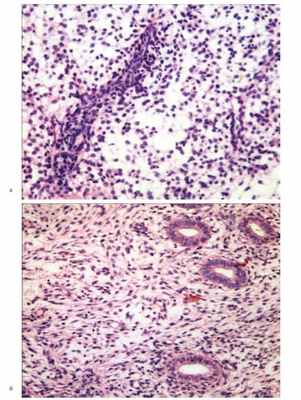
Представляет интерес обнаруженное у 4 (9,5%) больных сочетание ЖФПЭ и хронического эндометрита, причем у 3 при рецидивах или повторном развитии полипов. Диагноз хронического (неспецифического) эндометрита устанавливали, руководствуясь общепринятыми диагностическими критериями [7, 9, 10]. За пределами полипов в строме эндометрия определялись: преимущественно периваскулярная лимфоплазмоклеточная инфильтрация, в одном наблюдении — наличие в поверхностных отделах функционального слоя лимфоидных фолликулов со светлыми центрами и в двух — фибробластоподобная трансформация стромальных клеток с формированием фигур «водоворота» вокруг желез и сосудов — очаговый перигландулярный и периваскулярный склероз (рис. 4, а, б). Рисунок 4. Хронический эндометрит. а — преимущественно периваскулярная лимфоплазмоклеточная инфильтрация и отек стромы эндометрия; б — фибробластоподобная трансформация стромальных клеток с формированием фигур «водоворота» вокруг желез и сосудов. Окраска гематоксилином и эозином. ×160. Нельзя исключить взаимного негативного влияния этих патологических процессов эндометрия. Возможно, у больных в постменопаузе хроническое воспаление эндометрия в большей степени, чем нарушения эндокринного гомеостаза (в отличие от пациенток молодого возраста), может быть причиной образования ЖФПЭ или их рецидива. Однако длительное существование полипов, особенно крупных, и их рецидивы могут в свою очередь приводить к развитию реактивного хронического воспаления как самого полипа, так и окружающего эндометрия [7, 9, 10].
Одной пациентке с ЖФПЭ была произведена экстирпация матки в связи с тем, что удалить полип эндоскопически не представлялось возможным, 6 больным была выполнена электро- или химическая абляция эндометрия, остальным — выскабливание полости матки. Диспансерное наблюдение в течение 1—4 лет повторного РПЭ не выявило.
У 3 (7,1%) пациенток из 42 при РПЭ через 4—14 лет после удаления ЖФПЭ были обнаружены эндометриальные аденокарциномы. Возраст больных составил от 72 до 84 лет, длительность постменопаузы — 20—34 года. У 1 (33,3%) пациентки жалобы отсутствовали, аденокарцинома была диагностирована в ходе очередного ежегодного диспансерного обследования. У 2 (66,7%) больных новообразования эндометрия были выявлены при обращении в поликлинику в связи с маточными кровотечениями.
При гистероскопическом исследовании аденокарциномы эндометрия были представлены локальными разрастаниями в виде полипа или «цветной капусты» в области дна и передней стенки матки. Их локализация в одном наблюдении не совпала с ранее удаленным ЖФПЭ, а в двух других случаях гистероскопию при удалении полипов не производили, и их место расположения осталось не уточненным, поэтому вопрос о возможной малигнизации ЖФПЭ при рецидиве остался открытым.

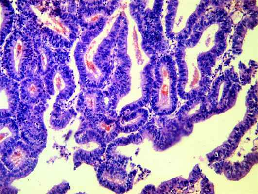
Гистологически опухоли были представлены умеренно- и высокодифференцированными эндометриальными аденокарциномами (рис. 5) Рисунок 5. Высокодифференцированная эндометриальная аденокарцинома. Окраска гематоксилином и эозином. ×100. с инвазией в пределах половины толщины миометрия (стадия IВ по классификации FIGO, 1998) [7, 9, 10].
Больным с аденокарциномами была успешно выполнена экстирпация матки. Последующее наблюдение в сроки от 1 года до 4 лет прогрессирования онкологического заболевания не выявило.
Следует отметить, что аденокарциномы были обнаружены у 1% от числа всех обследованных больных и у 7,1% пациенток с РПЭ, что соответственно в 100 и 700 раз превышает их частоту у женщин в общей популяции (около 0,01%). При этом нарушения дифференцировки эпителиального компонента ЖФПЭ отмечены при РПЭ в 38 (97,3%) случаях. Это позволяет отнести больных пожилого и старческого возраста с ЖФПЭ к группе риска развития аденокарциномы эндометрия. Известно, что 2/3 аденокарцином эндометрия выявляются у женщин в постменопаузе, причем пик заболеваемости приходится на возраст 55—69 лет [11].
Заключение
Патология эндометрия при первичном обращении и при рецидивах у 92,9% пациенток была представлена ЖФПЭ. В большинстве (74%) наблюдений рецидив или повторное развитие полипов эндометрия обнаружено у больных, которым при первичном обращении не проводили гистероскопию. У 10% пациенток при первичном и повторном обследовании сравнение результатов гистероскопии выявило совпадение локализации ЖФПЭ. По-видимому, они могут развиваться как de novo, так и рецидивировать. У 7,1% женщин диагностированы аденокарциномы, развившиеся через 4—14 лет после удаления полипов. Очаговые нарушения дифференцировки эпителиального компонента ЖФПЭ при рецидивах или повторном развитии отмечены в 97,3% наблюдений. Это позволяет отнести больных пожилого и старческого возраста с ЖФПЭ к группе риска развития аденокарциномы эндометрия. У 88% пациенток жалобы отсутствовали и РПЭ, в том числе одна из трех аденокарцином, было диагностировано только благодаря ежегодному диспансерному обследованию. Исследование подтвердило высокую эффективность ежегодной диспансеризации женщин пожилого и старческого возраста в плане профилактики и ранней диагностики заболеваний эндометрия. При этом важно учитывать возможность получения ложноположительных результатов при УЗИ (5,2% наблюдений). Золотым стандартом диагностики патологии эндометрия следует признать сочетание гистероскопии и морфологического исследования.
Аденокарцинома матки
Аденокарцинома матки – самая частая злокачественная опухоль эндометрия. На неё приходится 80% всех случаев онкологического заболевания. Основной метод лечения – хирургическая операция. После неё часто проводится облучение, химиотерапия, гормональная терапия. В клинике СОЮЗ проводятся не только открытые, но и малоинвазивные лапароскопические хирургические вмешательства для удаления злокачественной опухоли.
Причины аденокарциномы матки
Факторы риска аденокарциномы матки:
- высокий уровень эстрогенов;
- отсутствие родов в анамнезе;
- поздняя менопауза;
- прием тамоксифена;
- возраст после 55 лет.
Приблизительно 5% случаев заболевания связаны с наследственными синдромами. Большая их часть приходится на синдром Линча.
Симптомы аденокарциномы матки
Первые симптомы аденокарциномы матки:
- межменструальные кровотечения в репродуктивном возрасте;
- продолжение кровотечений в постменопаузе.
Кровотечения появляются у 90% женщин с аденокарциномой эндометрия. Но этот симптом обладает низкой специфичностью, так как аналогичные проявления возникают при многих других гинекологических патологиях. Интенсивность кровотечения имеет прямую корреляцию с риском онкологического заболевания. То есть, чем сильнее кровотечения, тем выше вероятность, что его причиной является злокачественная опухоль.
На поздних стадиях появляются другие симптомы:
- потеря веса;
- тазовые боли;
- слабость.
Стадии аденокарциномы матки
В большинстве случаев стадия аденокарцинома матки определяется только по результатам хирургического вмешательства, после интраоперационной ревизии и исследования удаленных тканей в лаборатории.
- Стадия 1 – Опухоль не выходит за пределы миометрия (мышечного слоя матки).
- Стадия 2 – Опухоль не выходит за пределы матки.
- Стадия 3 – Возможно поражение маточных труб, яичников, влагалища, околоматочной клетчатки, появление регионарных метастазов.
- Стадия 4 – Прорастание в мочевой пузырь, прямую кишку, отдаленные метастазы (включая располагающиеся в брюшной полости и паховые лимфоузлы).
Диагностика аденокарциномы матки
Для подтверждения диагноза требуется получение образцов тканей эндометрия. Для этого используется:
- аспирационная биопсия эндометрия;
- диагностическое выскабливание.
Для определения клинической стадии и планирования операции используются такие методы диагностики аденокарцинома матки:
- УЗИ органов брюшной полости и малого таза;
- МРТ малого таза с контрастом, если на УЗИ выявлены признаки поражения паренхиматозных органов;
- возможно также проведение КТ для лучшей визуализации лимфоузлов.
При подозрении на появление отдаленных метастазов аденокарциномы матки:
- рентген грудной клетки или КТ;
- ПЭТ или ПЭТ-КТ.
До операции обычно нельзя достоверно установить стадию онкологического процесса. Это связано с тем, что на момент хирургического вмешательства только 10% пораженных метастазами лимфоузлов увеличены в размерах.
Анализ крови на СА-125 не используется для ранней диагностики рака эндометрия. Но уровень этого онкомаркера определяют, чтобы оценить вероятность распространения опухоли за пределы половой системы.
Лечение аденокарциномы матки
При подтверждении аденокарциномы матки, лечение всегда хирургическое, независимо от стадии. Только при наличии абсолютных противопоказаний к операции проводят радикальную лучевую терапию. Иногда она позволяет добиться такого же результата, но вероятность успеха ниже.
Операция при аденокарциноме матки
Стандартная операция при аденокарциноме матки – удаление матки с придатками (яичниками и фаллопиевыми трубами). У женщин до 45 лет на 1 стадии заболевания возможно сохранение яичников (если нет генетических причин развития рака эндометрия).
Некоторым женщинам также требуется удаление тазовых лимфоузлов. Показаниями обычно является 2 стадия заболевания и выше. На 1 стадии лимфодиссекция выполняется при инвазии миометрия более чем наполовину или высокой степени злокачественности опухоли (G3).
После операции удаленный препарат и лимфоузлы исследуют для определения патоморфологической стадии онкологического заболевания. В лаборатории проверяют, какие лимфоузлы поражены метастазами, есть ли опухолевые эмболы, прорастание опухоли в миометрий, какая глубина инвазии, гистологический тип опухоли, степень её злокачественности, вовлечение соседних органов и т.д. Эта важнейшая информация позволяет врачу лучше спланировать дальнейшую терапевтическую тактику.
Даже на 4 стадии эффективное хирургическое лечение всё ещё возможно у некоторых женщин. Но кроме матки и придатков, лимфоузлов и окружающих матку тканей врачам также приходится полностью или частично удалять другие органы, вовлеченные в онкологический процесс.
Другие методы лечения аденокарциномы матки
После удаления матки аденокарцинома может рецидивировать без дополнительного лечения. Для снижения риска рецидива на 2 стадии и выше, а иногда и на 1 стадии, применяется лучевая терапия и химиотерапия. Лучевая терапия проводится не только дистанционная, но и внутриполостная (брахитерапия). У многих женщин дополнительно используется гормональная терапия.
Прогноз при аденокарциноме матки
Прогноз аденокарциномы матки зависит не только от стадии заболевания, но и от степени злокачественности опухоли (G1, G2 или G3). Обычно эта форма рака более благоприятная в плане прогноза, чем другие его варианты.
При обнаружении опухоли на стадии 1-2 большинство женщин могут быть вылечены с помощью операции. Даже на 3 стадии заболевания качественное лечение позволяет добиться пятилетней выживаемости пациентов на уровне 65-70%. Прогноз значительно хуже на 4 стадии аденокарциномы матки – пятилетняя выживаемость около 15%.
Куда обратиться при аденокарциноме матки
Для максимально щадящего и эффективного лечения аденокарциномы матки вы можете обратиться в клинику СОЮЗ. Наши преимущества:
- Точная диагностика обеспечивает раннее выявление рака и приблизительную оценку стадии заболевания ещё до операции.
- Раздельное диагностическое выскабливание матки проводится под контролем гистероскопии, что обеспечивает высокую безопасность этой процедуры.
- У молодых женщин на ранней стадии возможно лечение аденокарциномы эндометрия с помощью органосохраняющей операции.
- Точное определение группы риска рецидива рака – обеспечивает лучшее планирование лечения, часто позволяет избежать избыточного лечения после операции.
- Для удаления матки с придатками проводятся малоинвазивные лапароскопические хирургические вмешательства. После них пациенты восстанавливаются легче и быстрее.
- Адекватное удаление тазовых лимфоузлов у пациентов с начальной стадией аденокарциномы позволяет избежать послеоперационного облучения.
- Возможность выполнения даже самых сложных операций, включая экзентерацию малого таза для лечения 4 стадии рака без отдаленных метастазов.
Чтобы пройти лечение аденокарциномы матки в клинике СОЮЗ, запишитесь на прием к гинекологу или онкологу.
Рак тела матки

Рак тела матки способен к метастазированию и инвазивному (с разрушением ткани) росту в окружающие ткани. Большинство опухолей матки развивается в эндометрии – внутренней оболочке матки (до 95% опухолей матки). Гораздо реже рак тела матки происходит из мышечной оболочки или соединительной ткани, а также тканей, которые формируются во время беременности.
Рак эндометрия в зависимости от гистологического строения подразделяют на следующие типы:
· эндометриоидная аденокарцинома, варианты:
- эндометриоидная аденокарцинома с плоскоклеточной дифференцировкой;
- виллогландулярная (железисто-ворсинчатая) эндометриоидная аденокарцинома;
- секреторная эндометриоидная аденокарцинома;
- эндометриоидная аденокарцинома из цилиарных (реснитчатых) клеток
Карциносаркома (также ее называют злокачественной смешанной мезодермальной опухолью или злокачественной смешанной опухолью мюллеровых протоков )- особый вид рака эндометрия, он имеет признаки как эпителиальной злокачественной опухоли (карциномы), так и неэпителиальной (саркомы). Раньше считали, что этот рак тела матки относится к группе сарком матки, однако в настоящий момент бытует мнение, что карциносаркома является формой низкодифференцированного рака эндометрия. Карциносаркома составляет 4% всех злокачественных новообразований матки.
Саркомы матки развиваются в мышечном слое или окружающей соединительной ткани, этот рак тела матки составляет 2-5% всех злокачественных новообразований органа.
· Лейомиосаркома – наиболее часто встречающаяся саркома, возникает в миометрии (мышечной стенке матки).
· Эндометриальная стромальная саркома - редкий вид рака матки, который развивается из соединительной ткани эндометрия. Может быть высокозлокачественной (как правило, у женщин после менопаузы) и низкозлокачественной (чаще у молодых женщин).
Гестационные трофобластические опухоли развиваются их эмбриональных тканей, формирующих плаценту. Эти редкие новообразования развиваются у беременных или недавно родивших женщин, среди них выделяют пузырный занос и хориокарциному.
Рак тела матки может развиваться в связи с такими факторами, как гормонзаместительная терапия эстрогенами, ожирение, раннее начало менструаций (до 12 лет) и позднее наступление климакса (после 55 лет), приём тамоксифена, отсутствие родов, поликистоз яичников, гиперплазия эндометрия, лучевая терапия в прошлом, диабет, наличие эстроген-продуцирующих опрухолей яичников, синдром Линча.
К возможным факторам риска относятся рак тела матки у близких родственниц, некоторые наследственные синдромы, при которых выше вероятность любого вида рака (синдром Cowden, мутации гена p53), артериальная гипертензия, повышенное потребление богатой углеводами пищи, малоподвижный и сидячий образ жизни. Кроме того, у дочерей женщин, получавших во время беременности диэтилстилбестрол (распространенный способ лечения невынашивания беременности в 1940-70гг.) также повышен риск возникновения рака матки.
Использование внутриматочных спиралей риск возникновения рака матки достоверно не повышает.
Обычно пациентки обращают предъявляют жалобы на межменструальные кровотечения, частые и продолжительные кровотечения до, после и в период менопаузы, боль и кровянистые выделения при половом акте, необычные выделения, чувство боли или распирания в области таза.

На поздних стадиях могут присоединяться жалобы на боли в животе, тазу, спине, ногах, нарушение и примесь крови при мочеиспускании и дефекации, отёк живота (связанный с асцитом – накоплением жидкости в брюшной полости), потерю веса, слабость.
Лечение рака матки включает радикальную операцию: тотальную гистерэктомию и билатеральную сальпинго-оофорэктомию (удаление матки, обоих яичников и маточных труб) с исследованием регионарных лимфатических узлов и биопсией сальника.
Далее в зависимости от стадии, степени злокачественности опухоли , ее гистологического типа, возраста и состояния здоровья женщины используется лучевая терапия, а при некоторых видах опухолей и на поздних стадиях применяют химиотерапию и гормональную терапию.
Прогноз при раке матки зависит от множества факторов, в первую очередь от стадии и гистологического типа рака. Показатель пятилетней выживаемости варьирует от 80% при первой стадии до менее 25% при опухолях IV стадии.
Секреторная аденокарцинома эндометрия
При РТМ опухоль имеет в основном экзофитную форму анатомического роста, реже эндофитную и смешанную. Преимущественно опухолевый процесс локализуется в области дна матки (47,5 %), но может поражать перешеек (27,6 %) или всю полость матки (24,9 %).
Согласно морфологической классификации (ВОЗ, 2002) выделяют следующие эпителиальные опухоли тела матки.
1. Эндометриоидная аденокарцинома (с плоскоклеточной метаплазией, папиллярная, секреторная, с реснитчатыми клетками).
2. Муцинозный рак.
3. Папиллярный серозный рак.
4. Светлоклеточный рак.
5. Смешанная аденокарцинома.
6. Плоскоклеточный рак.
7. Переходноклеточный рак.
8. Мелкоклеточный рак.
9. Недифференцированный рак.
Степень дифференцировки
1. Высокодифференцированный рак (G1) — солидное строение имеют не более 5% опухоли (участки плоскоклеточного строения и округлые скопления опухолевых клеток, напоминающие морулу, не учитываются).
2. Умереннодифференцированный рак (G2) — солидное строение имеют 6—50% опухоли.
3. Низкодифференцированный рак (G3) — солидное строение имеют более 50% опухоли.
При аденокарциноме с плоскоклеточной метаплазией степень дифференцировки определяется по железистому компоненту. При выраженном ядерном атипизме, не соответствующем тканевому, снижают степень дифференцировки на один пункт.
Приведенная классификация применима для любых аденокарцином эндометрия и муцинозного рака. Степень дифференцировки папиллярного серозного и светлоклеточного рака определяется в основном ядерным атипизмом. Большинство авторов предлагают считать любую такую опухоль низкодифференцированной.
Эндометриоидная аденокарцинома
Наблюдается в 80 % случаев РТМ. В 15–25 % аденокарцинома эндометрия имеет участки плоскоклеточной метаплазии. Ранее считалось, что если участки плоскоклеточной метаплазии носят доброкачественный характер, то опухоль следует называть аденоакантомой, а если злокачественный — то железисто-плоскоклеточным раком. Позже было показано, что состояние плоскоклеточного компонента не влияет на прогноз, поэтому в настоящее время используют один термин "аденокарцинома с плоскоклеточной метаплазией".
Муцинозный рак
Выявляют у 5–9 % больных РТМ. В большинстве случаев опухоль высокодифференцированная и не отличаются по течению от эндометриоидной аденокарциномы.
Папиллярный серозный рак
Составляет 3–4 % наблюдений РТМ. Морфологически опухоль сходна с папиллярным серозным раком яичников и маточных труб. Характерны раннее лимфогенное метастазирование, глубокая инвазия миометрия и диссеминация по брюшине. Прогноз неблагоприятный.
Светлоклеточный (мезонефроидный) рак
Светлоклеточный РТМ также относится к редким гистологическим формам и составляет менее 5 % наблюдений РТМ. Чаще наблюдается у пожилых больных, отличается чрезвычайно агрессивным течением и неблагоприятным прогнозом.
Смешанная аденокарцинома
При этой гистологической форме РТМ большую часть опухоли составляет эндометриоидная аденокарцинома или муцинозный рак и не менее 10 % опухоли представлено папиллярным серозным или светлоклеточным раком.
Плоскоклеточный рак
Плоскоклеточный РТМ встречается крайне редко (в литературе описано не более 70 случаев) и имеет неблагоприятный прогноз.
Переходноклеточный рак
При этой форме РТМ не менее 90 % опухолевых клеток напоминают клетки уротелия.
Недифференцированный рак
Недифференцированный РТМ встречается редко (6 %), чаще у пациенток пожилого возраста. Прогноз неблагоприятный.
Синхронный рак эндометрия и яичников
Большие проблемы возникают у клиницистов и морфологов в решении вопросов дифференциальной диагностики первичного РТМ с метастазами в яичники и синхронного рака эндометрия и яичников. По данным литературы, синхронный рак эндометрия и яичников наблюдается в 1,4–3,8 % наблюдений злокачественных опухолей женских половых органов. Прогноз при синхронном раке эндометрия и яичников чаще благоприятный. С целью дифференциальной диагностики проводят иммуногистохимическое исследование и проточную цитометрию. Важное значение имеют данные макро- и микроскопическое исследование операционного материала.
Аденокарцинома матки
Аденокарцинома матки — онкологическое заболевание женских внутренних половых органов. Данная опухоль развивается из секреторного эпителия слизистой оболочки тела матки. Именно этот вид рака считается наиболее распространенным среди данной локализации.
Этиология
К основным факторам, которые способны вызвать развитие данной опухоли, относят:
- Повышенное содержание эстрогенов в крови (гиперэстрогения).
- Отсутствие родов.
- Прием некоторых лекарственных препаратов (например, тамоксифен).
- Ранняя менархе (первая менструация).
- Позднее наступление климактерического периода.
- Возраст более 55 лет.
В большинстве случаев аденокарцинома матки не связана с наследственной предрасположенностью, так как среди близких родственников пациенток не выявляется данный вид злокачественной опухоли. Генетический фактор становится причиной заболевания лишь в 5% случаев. Наиболее часто встречается синдром Линча — генетически обусловленное состояние, которое включает в себя опухолевое поражение толстой кишки, матки, яичников, поджелудочной железы и головного мозга.
Клиническая картина
Основными симптомами аденокарциномы матки является аномальное маточное кровотечение и нарушение менструального цикла. У пациенток репродуктивного возраста наблюдается увеличение объема теряемой крови, повышение длительности менструации, сокращение продолжительности или нерегулярные промежутки времени между менструальными кровотечениями. Для женщин климактерического периода характерны цикличные или нецикличные кровотечения из половых путей.
Также следует помнить, что аденокарцинома эндометрия матки, как и другие онкологические заболевания, может протекать бессимптомно, особенно на начальной стадии развития. Если опухоль достигает больших размеров, пациентка может испытывать боли внизу живота. Аденокарцинома матки может сдавливать или вызывать метастатические поражения соседних органов — прямой кишки и мочевого пузыря, за счет чего может возникать нарушение мочеиспускания и акта дефекации. Эти процессы могут сопровождаться болевым синдромом. При наличии метастазов в лимфатических узлах, наблюдается их увеличение. В некоторых случаях развивается односторонний отек нижней конечности из-за нарушения оттока лимфатической жидкости.

Классификация
Аденокарцинома матки делится на несколько видов, в зависимости от той или иной характеристики. Очень важно правильно классифицировать и определить тип опухоли, так как от этого зависит выбор лечения пациентки и прогноз заболевания.
В зависимости от направленности роста аденокарциномы матки различают экзофитную форму — разрастание опухоли в полость матки и эндофитную — характеризуется ростом вглубь просвета органа.
Исходя из строения тканей опухоли, выделяют несколько форм аденокарциномы матки:
- Эндометриоидная.
- Серозная.
- Смешанная.
- Муцинозная.
Также существует классификация, основанная на степени дифференцировки клеток, из которых состоит опухоль. По этому признаку выделяют три варианта аденокарциномы: G1 — высокодифференцированная, G2 — умереннодифференцированная, G3 — низкодифференцированная. Чем меньше зрелость клеток, образующих аденокарциному матки, тем выше степень ее агрессивности.
Стадии

Диагностика
Для уточнения стадии аденокарциномы матки и общего состояния пациентки может потребоваться проведение следующих диагностических мероприятий:
- Гинекологический осмотр пациентки.
- Раздельное диагностическое маточное выскабливание или аспирационная биопсия. Лабораторное исследование полученного материала позволяется подтвердить диагноз, определить гистологический тип и степень дифференцировки опухоли.
- Общий анализ крови, мочи, коагулограмма (АЧТВ, ПТВ, фибриноген, D-димеры), биохимический анализ крови (общий белок, глюкоза, билирубин, мочевина).
- Электрокардиография.
- Рентген грудной клетки.
- УЗИ органов малого таза, брюшной полости и забрюшинного пространства. Предоставляет врачу информацию о локализации, размере и форме опухоли.
- Определение концентрации СА-125 в крови.
- Кольпоскопия.
- Цистоскопия.
- Ректороманоскопия.
- Экскреторная урография.
- Рентгенологическое исследование костей.
- Консультации узких специалистов — терапевта, эндокринолога, уролога и других по показаниям.
Точный план обследования составляется индивидуально. При необходимости, объем исследований может быть уменьшен или увеличен. Дополнительно врач может назначить КТ, МРТ органов малого таза, ПЭТ-КТ, ЭХО—кардиографию, УЗДГ нижних вен и др.
Лечение
В лечении аденокарциномы матки используются несколько методов, выбор которых зависит от стадии и особенностей течения заболевания у конкретного пациента. При этом главную роль играет именно оперативное вмешательство. Однако провести его удается не всегда.
Если аденокарцинома выявлена на первой стадии, то назначается хирургическое вмешательство в объеме гистерэктомии с удалением придатков матки (маточных труб и яичников). В случае обнаружения метастазов в яичниках, рекомендуется удалять большой сальник. По показаниям также могут быть удалены тазовые и поясничные лимфатические узлы, так как в них могут находиться вторичные опухолевые очаги. Во время операции рекомендуется провести смыв брюшной полости. Данная процедура носит диагностический характер. Наличие или отсутствие клеток дает врачу возможность оценить распространенность опухолевого процесса. В послеоперационном периоде в случае необходимости может быть назначена химиотерапия — применение специальных цитостатических препаратов, которые блокируют деление клеток, нарушая, таким образом, развитие опухоли и метастазов. После проведенного лечения, за пациентом устанавливается регулярное наблюдение.
На второй стадии аденокарцинома эндометрия матки требует более радикального лечения. Во время хирургического вмешательства удаляется матка, придатки, тазовые и поясничные лимфатические узлы. В некоторых случаях также резецируется параметрий (клетчатка, окружающая орган). После проведения операции обязательно назначается лучевая терапия, иногда в комбинации с цитостатиками.

На третьей стадии аденокарциномы матки лечение начинается с лучевой терапии. Датчик могут вводить в половые органы (такое облучение называется внутриполостным или контактным) либо располагают на расстоянии от пациентки (дистанционное облучение). Продолжительность лучевой терапии зависит от размера опухоли и ее локализации. Затем проводится радикальная гистерэктомия, удаление тазовых и поясничных узлов, сальника. В послеоперационном периоде назначают лучевую терапию или химиотерапию. Наиболее результативной признана схема лечения, при которой данные консервативные методы последовательно чередуются друг с другом. Вначале пациентка получает лучевую терапию, затем переходит на цитостатическое лечение и снова возвращается к лучевой терапии.
На четвертой стадии аденокарциномы матки лечение носит паллиативный характер. Используется несколько видов хирургических вмешательств. Например, если опухоль проросла в мочевой пузырь и/или прямую кишку, но при этом отсутствуют метастазы в тазовой клетчатке и общее состояние пациентки относительно удовлетворительное, производится экзентерация (полное удаление) органов таза. В других случаях операции направлены на максимальное удаление опухолевой ткани. Это позволяет улучшить состояние пациентки и снизить степень выраженности симптомов. В послеоперационном периоде используются различные схемы лучевой и цитостатической терапии.
Медицинское наблюдение после лечения
После проведения лечения, пациентке необходимо регулярное медицинское наблюдение. В течение первых трех лет каждые три месяца необходимо проходить гинекологический осмотр и сдавать мазки на цитологию. В течение последующих двух лет данные исследования проводятся два раза в год. Затем пожизненно один раз в год. Также следует ежегодно проводить рентгенографию органов грудной клетки, чтобы исключить метастазирование в легкие.
Если в процессе диагностики аденокарциномы матки была обнаружена повышенная концентрация маркера CA-125, то после проведения операции необходимо контролировать его уровень при каждом посещении врача по описанному выше плану. Увеличение концентрации СА-125 может свидетельствовать о рецидиве заболевания. Если у женщины появляются жалобы, то следует выполнить ультразвуковое исследование или КТ малого таза и брюшной полости. Не реже одного раза в год следует проводить осмотр молочных желез.
Прогноз
Прогноз при аденокарциноме матки, в первую очередь, определяется ее стадией. Ранняя диагностика и своевременное лечение сопровождается более высокой выживаемостью пациентов и более редкими рецидивами. Более поздние стадии, соответственно, имеют менее благоприятный прогноз. К другим отрицательным прогностическим факторам относят:
- Аденокарцинома матки с низкодифференцированными (незрелыми) клетками.
- Малое число рецепторов к эстрогену и/или прогестерону на опухолевых клетках.
- Анеуплоидия опухоли. То есть изменение нормального числа хромосом в ее клетках.
- Опухолевое поражение более половины стенки матки.
- Метастазы в яичниках и лимфатических узлах.
- Выявление опухолевых клеток в смывах с брюшной полости.
- Большой размер опухоли.
- Распространение опухоли на шейку матки.
- Возраст пациентки более 60 лет.
Поскольку имеется тесная связь между стадией и прогнозом заболевания, женщинам необходимо проходить регулярные гинекологические осмотры и исследования. При первых признаках, сигнализирующих о нарушениях в работе половой системы, следует обратиться к доктору для проведения тщательного обследования. Данные мероприятия позволяют своевременно диагностировать аденокарциному матки и провести эффективное лечение.
Читайте также:
