Шваннома вестибулярного нерва
Добавил пользователь Дмитрий К. Обновлено: 07.01.2026
Шванномы черепных нервов (включая невриномы слуховых нервов) это в преобладающей степени доброкачественные опухоли с медленным вытесняющим ростом. Так как у граничащих с ними структур достаточно времени, чтобы приспособиться к новообразованиям, жалобы на боли и дискомфорт могут возникать уже на очень поздней стадии. Даже пораженные нервы могут очень долгое время полностью или с минимальными сбоями выполнять свою функцию. Острые приступы боли возникают лишь в том случае, когда опухоль разрастается, занимает все больше места, давит на соседствующие нервные соединения и нарушает их кровоснабжение. Некоторые шванномы частично состоят из наполненых жидкостью придадков опухоли, эти придатки способны очень быстро разрастаться, что приводит к клиническим нарушениям. Шванномы могут возникать совместно с некоторыми наследственными заболеваниями, например нейрофиброматоз II типа. В зависимости от того, как протекает нейрофиброматоз, эти шванномы могут очень бысто расти и часто поражают многие черепно-мозговые нервы.
Описание
Определение "Невринома слухового нерва" сложилось исторически, хотя правильнее было бы ее назвать вестибулярная шваннома . Опухоль начинается в вестибулярной части преддверно-улиткового нерва (VIII пара черепно-мозговых нервов), который передает информацию с вестибулярных органов в головной мозг, а не с кохлеарной части, которая проводит слуховые импульсы. VIII пара черепно-мозговых нервов проходит вместе с лицевым нервом (VII пара черепно-мозговых нервов) от ствола головного мозга во внутренний слуховой проход (небольшой костный канал в области височной кости) к органам слуха и вестибулярного аппарата в районе височной кости. Чаще всего рост опухоли начинается во внутреннем слуховом проходе, с увеличением в размерах опухоль распространяется на соседние участки и в конечном итоге поражает область мосто-мозжечкового угла.
Типичные симптомы
Чаще всего описание симптомов начинается с момента потери слуха - с острым односторонним ухудшением слуха и часто с одновременно возникающим шумом в ухе (тиннитус). Во многих случаях после проведения иньекции, способстующей улучшению кровообращения в районе нарушения слуха, наблюдается непродолжительное улучшение. В дальнейшем вновь возникают симптомы потери слуха, с прогрессирующим ухудшением слуха. Самые распространенные жалобы это головокружение и проблемы с вестибулярным аппаратом, которые наблюдаются совместно с ухудшением слуха и тиннитусом. С помощью щадящего электро-физиологического метода измерения, который помогает сделать замер слухового сигнала от поступления его в орган слуха до восприятия головным мозгом, в случае таких симптомов имеется возможность еще на ранней стадии выявить вестибулярную шванному и назначить дополнительное обследование для выявления полной картины заболевания. Большие опухоли также могут оказывать давление на мозжечек и ствол головного мозга, что дополнительно приводит к нарушениям при ходьбе и движении. Опухоли больших размеров также оказывают негативное влияние на работу соседних черепно-мозговых нервов. Это может выражатся в чувстве онемения лица (V группа черепно-мозговых нервов), нарушениях подвижности лица (VII группа черепно-мозговых нервов), и нарушениях глотательного рефлекса (IX и X группа черепно-мозговых нервов). Самые большие опухоли препятствуют свободной циркуляции спинномозговой жидкости, это может привести к так называемой обтурирующей гидроцефалии. Возникающее в этом случае внутричерепное давление приводит к головным болям, тошноте и потере сознания.
Поэтому для того, чтобы избежать неприятных симптомов и тяжелых последствий, необходимо регулярно и своевременно проходить обследование. Невриномы, в большинстве своем, поддаются лечению и на сегодняшний день существуют различные методы терапии - в зависимости от степени тяжести и размера опухоли.
Шваннома вестибулярного нерва
Телефон регистратуры поликлиники:
Телефон регистратуры лучевой диагностики:
Гамма-нож
![]() |
Вестибулярная шваннома (невринома VIII нерва, акустическая невринома) представляет собой доброкачественное новообразование, возникающее из шванновских клеток вестибулярной порции VIII нерва.
Заболеваемость невриномами слухового нерва составляет примерно 1 случай на 100000 населения в год. Каждый год в Российской Федерации появляется 1500 новых случаев неврином слухового нерва. Среди первичных интракраниальных опухолей вестибулярные шванномы вестибулярные шванномы занимают 4-е место (после глиом, менингиом и аденом гипофиза), составляя до 6-10% всех верифицированных опухолей мозга и поражая преимущественно лиц работоспособного возраста (30-60 лет), на который приходится более 80% случаев. Вестибулярные шванномы составляют около 30% опухолей задней черепной ямки и до 90% новообразований мосто-мозжечкового угла. Несколько чаще встречаются у женщин, чем у мужчин, примерное соотношение 3:2.
Клиническая картина зависит от размеров опухоли. При небольших размерах симптоматики может не быть вовсе. По мере увеличения опухоли в размерах появляется симптоматика, зависящая от того, какие структуры сдавливает опухоль:
- Поражения нервов.
- Нарушение слуховой и вестибулярной функции.
- Расстройства функции вкуса на передней 2/3 языка и слюноотделения (XIII нерв).
- Расстройства функций каудальной группы нервов.
- Расстройства функции мимической мускулатуры.
- Глазодвигательные нарушения.
- Симптомы раздражении/компрессии ствола головного мозга.
- Различные виды нистагма.
- Пирамидная симптоматика.
- Мозжечковая симптоматика.
- Гипертензионно-дислокационный синдром.
Диагностика
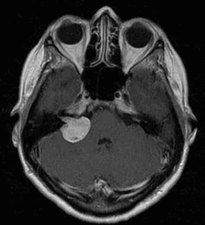
Наиболее информативным методом выявления вестибулярных шванном является МРТ головного мозга с контрастным усилением в режиме Т1 и Т2. Это исследование позволяет определить размеры опухоли, наличие перитуморозного отека, наличие признаков окклюзионной гидроцефалии, которая может быть следствием сдавления опухолью IV желудочка. Кроме этого МРТ позволяет провести дифференциальную диагностику с другими опухолями схожей локализации (чаще с менингиомой задней грани пирамиды височной кости). Еще одним стандартом диагностики является КТ в костном режиме. Независимо от снижения слуха стандартом является проведение аппаратной аудиографии.
Классификация KOOS
I стадия: опухоль находится в пределах внутреннего слухового прохода, диаметр экстраканальной части составляет 1-10 мм.
II стадия: опухоль вызывает расширение канала внутреннего слухового прохода, и выходит в мостомозжечковый угол, ее диаметр составляет, 11-20 мм.
III стадия: опухоль распространяется до ствола головного мозга без его компрессии, диаметр составляет 21 - 30 мм.
IV стадия: опухоль вызывает компрессию ствола головного мозга, ее диаметр более 30 мм.
Классификация M. Samii
Т1 – интрамеатальная опухоль.
Т2 – интра-экстрамеатальная опухоль.
Т3а – опухоль заполняет мостомозжечковую цистерну.
Т3b – опухоль распространяется до ствола головного мозга.
Т4а – опухоль вызывает компрессию ствола.
Т4b – опухоль грубо деформирует ствол мозга и IV желудочек.
Тактика лечения
В зависимости от размеров опухоли, клинической симптоматики, возраста больного, тяжести его состояния, наличия сопутствующей патологии возможны 3 варианта тактики лечения:
- динамическое наблюдение;
- хирургическое лечение;
- стереотаксическая радиохирургия.
Динамическое наблюдение
Учитывая, что вестибулярная шваннома является доброкачественной опухолью с невысокими темпами роста, при небольших ее размерах, отсутствии или минимальном неврологическом дефиците возможен выбор выжидательной тактики. Особенно такой подход оправдан у пожилых людей, или у пациентов с выраженной декомпенсированной соматической патологией. Однако, в большинстве случаев, учитывая риски, связанные с возможным ростом опухоли, более оправданным считается выбор активной тактики.
Хирургическое лечение
Наличие у пациента вестибулярной шванномы является показанием к хирургическому лечению. Большие и гигантские размеры опухоли (более 3,5 см.) являются абсолютным показанием к хирургическому лечению. При меньших размерах возможно проведение радиохирургического лечения.
Для удаления вестибулярных шванном в настоящее время используются три основных доступа: транслабиринтный, ретросигмовидный (наиболее часто используемый) и доступ через среднюю черепную ямку. Каждый из них обладает своими преимуществами и своими же недостатками. В последние годы в связи с развитием микрохирургической техники результаты хирургического лечения пациентов значительно улучшились. Летальность после удаления вестибулярных шванном колеблется в пределах (0-3%), рецидивы опухоли наблюдаются в 5-10%.
В настоящее время превалирующим фактором результативности хирургического лечения считается качество жизни пациента, поэтому интраоперационная тактика в большей степени должна быть нацелена на достижение именно этой цели. Такие послеоперационные осложнения как паралич лицевого нерва (до 25%), нарушения глотания, глазодвигательные нарушения, несут существенную угрозу инвалидизации, поэтому проведение таких операций диктуют высокие требования к профессиональной подготовке оперирующего нейрохирурга. Из послеоперационных осложнений также следует отметить ликворею у 2-20% пациентов, которая иногда может потребовать проведение повторной операции для закрытия ликворного свища; кровоизлияние в ложе операции (1-2%); отек мозжечка и ствола мозга; гемипарез; менингит (1,2%); раневую инфекцию (1,2%); парез VI черепного нерва (1-2%) и парезы других, ниже расположенных черепных нервов; подкожную гематому (3%).
Стереотаксическая радиохирургия
Целью радиохирургического метода является контроль роста опухоли. Стабилизация процесса и даже уменьшение размеров наблюдается в 85-94% случаев, что соответствует мировым данным. Другим критерием эффективности лучевой терапии является высокий (до 98%) показатель отсутствия операции после проведения облучения. Важным также является сохранение функции улиткового и других черепных нервов в случаях, когда это возможно, а также улучшение неврологического статуса пациента. Эффективность применения Гамма-ножа при лечении больных с вестибулярными шванномами создало реальную альтернативу хирургическому лечению при опухолях, размеры которых не превышают 3,5 см, при этом метод радиохирургии лишен недостатков хирургического метода лечения.
После облучения опухоли гамма-ножом возможно как уменьшение ее размеров, так и временное их увеличение. Третьим возможным вариантом развития событий может быть продолженный рост опухоли, однако, это происходит нечасто (от 0 до 7% в течение 10 лет).
Версия для слабовидящих Карта сайта
Невринома слухового нерва (вестибулярная шваннома)
Невринома слухового нерва — редкая доброкачественная опухоль. Она медленно растет из-за перепроизводства клеток оболочек нерва: шванновские клетки поэтому другое ее название — вестибулярная шваннома. Шванновские клетки обычно окружают нервные волокна и поддерживают их.
Опухоль небольших размеров раздражает слуховой нерв и вестибулярный нерв (воспринимающий изменения положения головы и тела в пространстве). При этом у больного человека может появиться шум в ухе, или нарушения координации походки. Когда опухоль достигает больших размеров она способна сдавить эти нервы в жестком костном канале внутреннего уха из-за чего слух снижается иногда до полной утраты. Сам больной долгое время этого может не замечать, так как опухоль растет годами и человек привыкает слышать другим ухом. Большая опухоль может давить на лицевой нерв, растягивая его и вызываю асимметрию лица. Потенциально опасна ситуация, когда опухоль больших размеров сдавливает ствол мозга. Это тот отдел мозга, где расположены жизненно важные структуры, которые контролируют дыхание и частоту сердечных сокращений. Эта ситуация угоржает жизни больного человека.
Существует 2 типа неврином слухового нерв:
1) Односторонние невриномы. Это наиболее распространенный тип. Эта опухоль может развиться в любом возрасте. Чаще всего это происходит в возрасте от 30 до 60 лет. В настоящий момент нет доказательств того, что травмы, пользование мобильным телефоном или другие факторы окружающей среды вызывают односторнние невриномы слухового нерва.
2) Двусторонние невриномы слухового нерва. При этом опухоль поражает нервы с двух сторон. Это заболевание передается по наследству и вызвано генетической проблемой, называемой нейрофиброматозом 2 типа.
- Потеря слуха на одно ухо, не слышны высокие звуки
- Звон в ухе на стороне опухоли
- Головокружение
- Проблемы с балансом или неустойчивость
- Онемение лица и покалывание с возможной, хотя и редкой, асимметрией мышц лица
- Симптомы невриномы слухового нерва могут выглядеть как другие состояния или проблемы со здоровьем. Всегда необходимо консультироваться с врачом для постановки диагноза.
Как диагностируется невринома слухового нерва (вестибулярная шваннома)?
Поскольку симптомы этих опухолей напоминают другие болезни уха, их может быть трудно диагностировать. Предварительные диагностические процедуры включают осмотр ушей и проверку слуха. Компьютерная томография (КТ) и магнитно-резонансная томография (МРТ) помогают определить местоположение и размер опухоли.
Проверка слуха (аудиометрия): проверка функции слуха, которая измеряет, насколько хорошо пациент слышит звуки и речь, обычно является первым тестом, выполняемым для диагностики невриномы.
Сканирование головы: если другие тесты показывают, что у пациента может быть вестибулярная шваннома, для подтверждения диагноза используется магнитно-резонансная томография (МРТ). МРТ использует магнитные поля и радиоволны, а не рентгеновские лучи для создания подробных изображений мозга. Томография показывает «срезы» мозга, которые можно объединить для создания трехмерного изображения опухоли. Часто пациенту вводят контрастный краситель. Опухоль впитывает больше красителя, чем нормальная ткань мозга, и будет четко видна на сканировании. МРТ обычно показывает опухоль во внутреннем слуховом проходе.
Лечение неврином слухового нерва (вестибулярных шванном)
Эти опухоли часто можно полностью удалить хирургическим путем. Однако многие из них настолько малы, что могут не нуждаться в немедленном лечении.
Лечение невриномы слухового нерва зависит от размера опухоли и возраста пациента, общего состояния здоровья и предпочтений самого больного и может включать хирургическое вмешательство, радиохирургию и иногда наблюдение.
Микрохирургическое удаление является основной методикой для всех опухолей среднего и большого размера, а также опухолей увеличивающихся при повторных сканированиях. Часто опухоль удалима полностью. Но иногда с целью сохранения сращенного с опухолевой капсулой лицевого нерва хирург оставляет фрагмент капсулы. Риски того, что опухоль вновь вырастет не превышают 5-10%
Операция проводится под наркозом (общей анестезией). Кожный разрез, выполняемый позади ушной раковины, не заметен, а трепанация не оставляет дефектов в костях черепа.
Каковы риски операции?
Каждый случай индивидуален, для некоторых людей риски будут низкими, а для других — более высокими. Хирурги подробно это обсуждают с каждым пациентом, прежде чем продолжить лечение. Ниже перечислены некоторые из возможных рисков.
1) Потеря слуха на стороне опухоли
2) Слабость лица из-за повреждения лицевого нерва. Лицевой нерв очень легко повредить, потому что он очень маленький и часто растягивается опухолью. Растяжение или нарушение лицевого нерва могут вызвать слабость мышц лица. В очень редких случаях, обычно когда опухоль большая и ее трудно удалить, может развиться необратимый паралич лицевого нерва. Существуют различные хирургические процедуры для восстановления некоторых движений, таких как закрытие глаз и улыбка.
3) Потеря чувствительности или онемение лица на стороне опухоли
4) Нарушения баланса
Другой вариант лечения — радиохирургия, при которой используется тщательно сфокусированное излучение для ограничения роста опухоли. Облучение как правило выполняется на аппаратах Гамма-нож или Кибер-нож. Эта методика применима не для всех случаев: важным ограничением служит большой размер опухоли .
Для некоторых медленно растущих неврином слухового нерва может быть приемлемым наблюдение с отсроченным принятием решения. Это распространенный вариант лечения для пожилых или ослабленных пациентов с легкими симптомами, когда риски хирургического лечения могут быть выше и в тех случаях когда опухоль может не расти в течение их жизни.
Что необходимо знать?
Это доброкачественные опухоли, которые влияют на слух и равновесие, когда сдавливают нервы во внутреннем ухе. Оба термина «невринома слухового нерва» и «вестибулярная шваннома» означают одно и то же. Это редкая опухоль, которая часто поражает людей среднего возраста. Невринома слухового нерва (вестибулярная шваннома) диагностируется с помощью тестов на слух и при сканировании головного мозга (магнитно-резонансная томография, компьютерная томография).
Лечение может включать наблюдение (наблюдение и ожидание), операцию или облучение.
Вестибулярная шваннома
(Акустическая неврома; акустическая невринома; опухоль VIII нерва)
, MD, Columbia University Medical Center and New York Presbyterian Hospital
Вестибулярные шванномы происходят из вестибулярной порции VIII пары черепных нервов и на ее долю приходится около 7% всех внутричерепных опухолей. Акустическая невринома происходит из вестибулярной порции 8 пары черепных нервов и по мере роста сдавливает 7 и 8 пары черепных нервов в области мостомозжечкового угла. По мере роста происходит сдавление мозжечка, спинного мозга, близлежащих черепных нервов (5, 9 и 12 пары).
Двусторонняя вестибулярная шваннома характерна для нейрофиброматоза Нейрофиброматоз Нейрофиброматоз - это группа заболеваний, которые имеют однотипные клинические проявления, но, как предполагают в настоящее время, вызваны различными генетическими причинами. Это заболевание. Прочитайте дополнительные сведенияСимптомы и признаки невриномы слухового нерва
Основным симптомом вестибулярной шванномы является медленно прогрессирующая односторонняя нейросенсорная тугоухость ПатофизиологияДиагностика невриномы слухового нерва
При асимметричной тугоухости МРТ с контрастированием гадолинием
Наиболее часто аудиограмма Обследование Во всем мире около полумиллиарда человек (почти 8% мирового населения) страдают от потери слуха ( 1). У более 10% жителей США отмечается тугоухость определенной степени, которая создает им проблемы. Прочитайте дополнительные сведенияДругие данные включают в себя наличие затухания акустического рефлекса при тимпанометрии. Тестирование ответа ствола мозга на слуховые раздражители позволяет выявить отсутствие сигнала и/или увеличение задержки 5-й волны. Хотя при стандартном обследовании по поводу асимметричной нейросенсорной тугоухости калорическую пробу обычно проводить не требуется, ее результаты показывают выраженную вестибулярную гипоактивность (парез канала) на пораженной стороне.
Лечение невриномы слухового нерва
В отобранных случаях хирургическое удаление или стереотаксическая лучевая терапия
Мелкие бессимптомные (т.е. обнаруженные случайно) и не растущие вестибулярные шванномы лечения не требуют; за такими опухолями можно проводить динамическое наблюдение с помощью МРТ и лечить в случае, если они начинают расти или вызывают симптомы. Выбор между стереотаксической лучевой терапией (например, гамма-нож или кибернож радиотерапия) и консервативной микрохирургией зависит от многих факторов, включая степень снижения слуха, размер опухоли, возраст и общее состояние больного. Стереотаксическую лучевую терапию применяют у более молодых пациентов, при небольших размерах опухоли либо при наличии противопоказаний к операционному вмешательству. Микрохирургия может проводиться через подход, сохраняющий слух (подход через среднюю черепную ямку или ретросигмоидальный подход) или, если слух полностью утерян, то используют транслабиринтный микрохирургический подход.
Основные положения
Обычно, вестибулярная шваннома односторонняя, однако при фиброматозе 2 типа может быть билатеральной.
Часто развивается односторонняя тугоухость, иногда с шумом в ушах и головокружением.
При больших размерах опухоли или тяжелом течении заболевания используют стереотаксическую радиохирургию или микрохирургию.
На серийных МРТ-снимках могут выявляться небольшие асимптоматические или нерастущие опухоли.
Авторское право © 2022 Merck & Co., Inc., Rahway, NJ, США и ее аффилированные лица. Все права сохранены.
Вестибулярная шваннома

Вестибулярная шваннома — это доброкачественная, медленно растущая опухоль головного мозга. Опухоль развивается из оболочки слухового нерва (VIII пара черепно-мозговых нервов), идущего от ствола мозга к вестибуло-слуховому аппарату. Этот нерв обеспечивает слух и поддержание равновесия. Невриномы слухового нерва растут довольно медленно.
Эта опухоль имеет и другие названия (акустическая невринома, акустическая шваннома, акустическая неврома, неврома слухового нерва), но все они означают одно – доброкачественную опухоль слухового нерва.
Чаще употребляется термин «невринома». Терминами «неврома» и «шваннома» обозначают медленно развивающиеся доброкачественные опухоли, которые присоединяются к любому нерву в теле.
Причина возникновения невриномы слухового нерва неизвестна. Очень часто невриномы сопровождают болезнь Реклингхаузена (нейрофиброматоз). Часто эти опухоли могут никак не проявляться до тех пор, пока размер опухолей существенно не увеличится. Когда опухоли затрагивают нервы — боль становится индикатором заболевания.
Факторы риска невриномы слухового нерва:
- возраст: от 30 до 60 лет (средний возраст — 50 лет);
- в анамнезе: нейрофиброматоз 2-го типа (только для двусторонних неврином, которые очень редки)
- пол: невринома слухового нерва чаще встречается у женщин.
Лечение
Для лечения злокачественных и доброкачественных новообразований головного мозга, расположенных в труднодоступных местах, в число которых входит также вестибулярная шваннома, используется радиохирургическая система КиберНож.
Как проводится радиохирургическая операция на системе КиберНож

Радиохирургическая система КиберНож (CyberKnife G4)
КиберНож облучает опухоль дистанционно, без контакта с кожей, без нарушения целостности тканей организма, при радиохирургическом лечении не требуется применение анестезии. Именно поэтому во всем мире радиохирургическое лечение акустической невриномы является предпочтительным в большинстве случаев. Наиболее современным методом радиохирургии является КиберНож.
Перед тем, как приступить к лечению вестибулярной шванномы на КиберНоже, с помощью средств инструментальной диагностики формируется пространственная модель взаимного расположения опухоли и здоровых тканей. В процессе лечения в указанном в трехмерной модели объеме с помощью множества тонких лучей ионизирующего излучения будет сформирована доза излучения, губительная для опухоли. За точность доставки отвечает высокоточный программно-аппаратный комплекс, который действует строго по заданному плану лечения. Это позволяет обеспечить максимальную защиту здоровых тканей и получить равномерное покрытие всей опухоли высокой дозой облучения.

Вестибулярная шваннома: лечение в Киеве на КиберНоже без операции
Лечение вестибулярной шванномы на КиберНоже, в отличие от традиционной хирургии, не требует введения пациента в состояние наркоза. Такое лечение проходит без крови и разрезов. При этом опухоль удаляется всего за несколько сеансов.
В тех случаях, когда применить КиберНож невозможно, поскольку существуют ограничения по объему опухоли, проводится нейрохирургическая операция.
Диагностика шванномы
При отсутствии достаточно чувствительных и точных методов диагностики невринома обычно диагностируется лишь при достижении ею существенных размеров. Рентгенологическое исследование не является информативным для диагностики шванном, поскольку шванномы на рентгеновском снимке не видны. Рентгеновское исследование указывает на то участвует ли костная ткань в образовании опухоли. Для диагностики также часто осуществляют магнитно-резонансную терапию головного мозга (МРТ), УЗИ и биопсию опухоли.
Первые симптомы вестибулярной шванномы
- постепенная потеря слуха на одно ухо наряду с нормальным слухом в другом ухе;
ослабление возможности распознавать звук, особенно при разговоре по телефону; Пациенты жалуются, что, разговаривая по телефону, они не могут разобрать значения слов собеседника - звон и свист в пострадавшем ухе
Симптомы растущей шванномы могут быть болезненным или полностью безболезненными. Некоторые пациенты чувствуют ощущения подобные небольшому электрическому шоку, когда область опухоли пальпируется.
Часто неврологические проблемы не возникают, если опухоль не разовьется около ключевого моторного или сенсорного нерва, как, к примеру, опухоль во внутреннем ухе.
Когда невринома слухового нерва постепенно увеличивается в размерах – симптоматика расширяется:
Читайте также:

