Симптомы химического ожога пищевода и их лечение
Добавил пользователь Евгений Кузнецов Обновлено: 09.01.2026
Симптомы химического ожога пищевода и их лечение
а) Симптомы и клиника химического ожога пищевода. Ожог едкими веществами вызывает интенсивную боль в полости рта, глотке, за грудиной и в эпигастральной области, сопровождающуюся позывами на рвоту, рвотой, слюнотечением и иногда отеком надгортанника и затрудненным дыханием. У большинства больных обожженная поверхность покрывается белыми струпьями.
Развивается шок, состояние больного неуклонно ухудшается, снижается артериальное давление, учащается пульс, появлются бледность и цианоз, кожа покрывается холодным потом, наступает коллапс. Через 24-48 ч появляются признаки интоксикации, нарушения функции почек (гематурия), печени, развивается гемолиз, нарушение водно-электролитного баланса, и иногда появляются симптомы нарушения функции ЦНС.
Возникает опасность перфорации или развития медиастинита, плеврита, перитонита, трахеопищеводного свища. Больные быстро истощаются. У выживших больных в дальнейшем развивается протяженный стеноз пищевода и прогрессирующая дисфагия.

Эзофагоскопия при химическом ожоге пищевода
б) Причины и механизмы развития. Глубина поражения стенки пищевода при коагуляционном некрозе, вызванном ожогом сильными кислотами, и колликвацион-ном некрозе при ожоге щелочью, бывает разной. Рубцовый процесс в полости рта и в глотке может быть слабо выражен из-за быстрого прохождения едкого вещества в пищевод, но наблюдаются также случаи образования обширных рубцов, распространяющихся на пищевод и даже желудок и кишечник.
При ожогах щелочью поражение пищевода бывает более серьезным, чем желудка, что объясняется рефлекторным кардиоспазмом, в то время как при ожогах сильными кислотами поражение желудка оказывается более тяжелым.
Динамика ожоговой болезни пищевода включает следующие звенья:
1) первичный некроз слизистой оболочки полости рта, глотки, пищевода, желудка и кишечника;
2) общая интоксикация;
3) острый, подострый и хронический коррозивный эзофагит;
4) заживление пищевода с образованием рубцов и развитием стеноза;
5) поздние осложнения в виде поздних и рецидивирующих стенозов и злокачественной трансформации. Рубцовый стеноз развивается с 3-й недели.

Стриктура пищевода после химического ожога
в) Диагностика. Диагноз устанавливают на основании типичного анамнеза (случайное или преднамеренное (с целью суицида) употребление едкого вещества) и характерных местных признаков. Следует выяснить природу едкого вещества, выполнить рентгенографию грудной клетки и живота. Если по данным анамнеза и клинического обследования ожог не тяжелый, то выполняют контрастное рентгенологическое исследование пищевода, после чего осторожно исследуют пищевод и желудок эндоскопом и вводят желудочный зонд.
Противопоказаниями к эзофагоскопии и зондированию желудка являются шок и подозрение на перфорацию. Эзофагоскопию сразу при поступлении больного можно выполнить лишь в том случае, если протяженность и глубину ожога пищевода оценить невозможно.
г) Лечение химического ожога пищевода. Пострадавшему дают обильное питье (воду), анальгетики, седативные препараты и доставляют в отделение интенсивной терапии для борьбы с шоком, внутривенных инфузий, парентерального питания. Назначают антибиотики широкого спектра действия и при необходимости накладывают гастростому и трахеостому. Показана терапия высокими дозами глюкокортикоидов, вводимых внутривенно по крайней мере в течение 4 нед. Дозы этих препаратов корректируют в зависимости от результатов эндоскопического исследования (появление грануляций).
Первую эзофагоскопию с соблюдением необходимых предосторожностей выполняют через 6-8 дней. Если при рентгенологическом исследовании и эзофагоскопии выявляют стеноз пищевода, то с конца 2-й недели начинают дилатацию пищевода. В дальнейшем эзофагоскопию выполняют каждые 10 дней, пока дефекты слизистой оболочки не эпителизируют. После этого контрольную рентгенографию и эзофагоскопию выполняют через 1, 3, 6 и 12 мес.
Существует два метода бужирования пищевода:
• Позднее бужирование выполняют лишь в том случае, если несмотря на глюкокортикоидную терапию развивается рубцовый стеноз пищевода. Бужирование в этом случае начинают спустя несколько недель. Его можно выполнять под контролем эзофагоскопа, с помощью бужей с ниткой-на-правителем или по клинку; бужирование вслепую недопустимо.

Начинают с подбора бужа подходящего размера с помощью эзофагоскопии. Предварительно с помощью контрастной рентгеноскопии уточняют локализацию стеноза и исключают злокачественную опухоль и множественные стенозы.
Бужирование с ниткой-направителем освобождает от необходимости ежедневного выполнения эзофагоскопии и обеспечивает правильность введения бужа в дистальный отдел пищевода. Применяются фенестрированные бужи. Сначала больной проглатывает свинцовый шарик, прикрепленный к шелковой нитке длиной в несколько метров. Нитку ежедневно приспускают, пока шарик не окажется в желудке, а затем и в кишечнике.
Тогда его положение верифицируют с помощью рентгенографии, нитку фиксируют и по ней начинают вводить в пищевод через стенозированный участок фенестрированные бужи, постепенно увеличивая их размер. Бужирование может занять несколько недель. Когда необходимость в нем отпадает, нитку отрезают на уровне рта, и она вместе с шариком выходит естественным путем.
Цель бужирования состоит в том, чтобы добиться расширения просвета пищевода до размера 45F у взрослых (что соответствует диаметру 15 мм), 30-35F у детей в возрасте до 10 лет и 30-40F у подростков.
Нить можно удалить также через гастростому, а последнюю использовать для ретроградного бужирования от желудка ко рту.
Бужирование таит в себе риск перфорации пищевода. Проведение бужа через нить-направитель устраняет этот риск. Особенно велика опасность перфорации, когда в стенозированной части пищевода имеется участок некроза и образуется слепой карман. Перфорация чревата развитием медиастинита, плеврита или перитонита, что требует наружного дренирования.
Если бужирование пищевода оказывается неэффективным, следует устранить стеноз хирургическим путем, выполнив резекцию пораженного участка с восстановлением непрерывности пищевода сегментом желудка или кишки. В связи с повышенным риском повторного стеноза, а также злокачественной трансформации больных следует взять под медицинское наблюдение и регулярно выполнять контрольную рентгенографию и эндоскопию.
Редактор: Искандер Милевски. Дата обновления публикации: 18.3.2021
Отравление едкими химическими соединениями у взрослых
Патологическое состояние, обусловленное местным прижигающим, а также общим резорбтивным действием едких химических соединений на организм в результате однократного приема потенциально токсических доз.

Автоматизация клиники: быстро и недорого!
- Подключено 300 клиник из 4 стран
- 800 RUB / 4500 KZT / 27 BYN - 1 рабочее место в месяц

Автоматизация клиники: быстро и недорого!
- Подключено 300 клиник из 4 стран
- 1 место - 800 RUB / 4500 KZT / 27 BYN в месяц
Мне интересно! Свяжитесь со мной

13-15 октября, Алматы, "Атакент"
600 брендов, более 150 компаний-участников из 20 стран.
Новинки рынка стоматологии. Цены от производителей
Классификация
Диагностика
Диагностические критерии: отравления кислотами
При отравлении кислотами на месте соприкосновения с тканями кислоты вызывают прижигание. Всасывание кислот и продуктов тканевого распада обуславливает общетоксическое действие. Наиболее выражен резорбтивный эффект при отравлениях слабодиссоциирующими органическими кислотами, при отравлениях кислотами с высокой константой диссоциации преобладают симптомы местного поражения.
Прижигание и повреждение слизистой оболочки желудка и кишечника приводят к обильной потере жидкости и электролитов с рвотой и жидким стулом. Повреждение сосудистой стенки способствует выходу жидкой части крови в ткани, этим усиливая гиповолемию. Недиссоциированная уксусная кислота, попавшая в кровь, вызывает гемолиз эритроцитов, выход из них гемоглобина, который в присутствии уксусной кислоты расщепляется на гем и глобин. Мембраны эритроцитов «заклинивают» почечные канальцы, нарушают фильтрационную функцию, вызывая острую почечную недостаточность.
Различают токсикогенную фазу (патологические реакции в результате специфического действия прижигающего яда на организм), соматогенную (патологические реакции со стороны организма, возникающие преимущественно после удаления или разрушения прижигающего яда).
Клинические проявления: местные, обусловленные химическим ожогом в основном желудочно-кишечного тракта, а также химические ожоги дыхательных путей в результате прямого воздействия паров кислот или их попадания вместе с аспирированными рвотными массами. Химические ожоги характеризуются стадийностью течения.
Первая стадия - острое поражение различной глубины и обширности (первая неделя отравления), коагуляционный некроз 24-48 часов.
Вторая стадия - образование грануляционной ткани (первые две недели), в этой стадии наиболее вероятны перфорации ожоговой поверхности.
Третья стадия - образование рубца и стриктуры. Фиброзная ткань начинает формироваться спустя 2-4 недели.
Общие проявления: обусловленные резорбтивным действием прижигающего яда, его гемолитической способностью, способностью разрушать клеточные мембраны слизистой оболочки желудочно-кишечного тракта, дыхательных путей, а также клеточных мембран сосудистой стенки.
Осложнения: в токсикогенной фазе (1-2 сут.) - гипотензия, экзотоксический шок (выход жидкой части крови во внеклеточное пространство), ранние первичные желудочно-кишечные кровотечения (непосредственное повреждение сосудистой стенки, 1-ые часы отравления), ранние вторичные (1-2 сут., лизис тромбов), перфорация, отек гортани (выброс биологически активных веществ, усугубляющих местный химический отёк), отёк легких (поражение альвеолярно-каппилярной стенки, выброс биологически активных веществ, выход жидкой части крови).
Осложнения в соматогенной фазе (позднее 3-х суток): желудочно-кишечные кровотечения, трахеобронхиты и пневмонии, острая почечно-печеночная недостаточность (острый гемоглобинурийный нефроз), коагулопатии, рубцовые деформации пищевода и желудка, малигнизация рубцово-деформированных стенок пищевода, желудка.
Жалобы и анамнез: тошнота, рвота, жидкий стул, нередко с кровью, боли в горле, по ходу пищевода, эпигастрии, затрудненное дыхание, повышенное слюноотделение, общая слабость, жажда.
Физикальное обследование: психо-моторное возбуждение, экзофтальм, следы ожога на коже подбородка, шеи, гиперемия, отек слизистой ротовой полости, зева, гортани, гиперсаливация, выраженный рвотный рефлекс, бледность, сухость кожных покровов, осиплость голоса, затрудненное дыхание, аускультативно в лёгких ослабленное дыхание, сухие и влажные хрипы, при отеке легких, разнокалиберные хрипы, тахикардия, гипотензия, болезненность в эпигастрии при пальпации, увеличенная печень, положительный симптом Пастернацкого с обеих сторон, гипертермия, жидкий стул возможно с кровью, олигоанурия.
Лабораторные исследования: наличие гемолиза в крови и моче, лейкоцитоз, снижение эритроцитов, гемоглобина, повышение трансаминаз, продуктов азотистого обмена, билирубина, снижение уровня электролитов, признаки гипо- и гиперкоагуляции, наличие белка в моче, свежих и изменённых эритроцитов, повышение лейкоцитов.
Инструментальные исследования
ФГДС
1-10 день: катаральные, катарально-фибринозное воспаление, эрозивные, эрозивно-язвенные поражения ЖКТ, обширные кровоизлияния, кровотечения, язвенно-некротическое поражение.
11-12 день: развитие грануляционной ткани, со 2-4-го месяца с момента отравления - рубцовые деформации грудного отдела, нижней трети пищевода.
Показания для консультации специалистов: консультация хирурга при ранних, поздних кровотечениях, перфорации стенки желудка, пищевода, стриктурах пищевода. Консультация нефролога при острой почечной недостаточности.
Ожог пищевода
Ожог пищевода – повреждение тканей пищевода, возникшее в результате непосредственного воздействия на них агрессивных химических, термических или лучевых агентов. Первыми признаками ожога являются сильная жгущая боль во рту, за грудиной, в эпигастрии; гиперсаливация, рвота, отек губ. В дальнейшем преобладает клиника интоксикации, шока, непроходимости пищевода. В диагностике ведущее значение имеет анамнез заболевания; после выхода из острой фазы проводят эзофагогастроскопию, рентгенографию пищевода. Неотложная терапия заключается в нейтрализации химического агента, обезболивании, противошоковых и дезинтоксикационных мероприятиях. В стадии рубцевания проводят оперативное лечение.

Общие сведения
Ожог пищевода – тяжелое повреждение стенок пищевода, чаще связанное со случайным или специальным проглатыванием агрессивных жидкостей. Примерно 70% пациентов с ожоговыми повреждениями пищевода – дети. Прием едких щелочей и кислот детьми происходит преимущественно непреднамеренно – из-за привычки все пробовать, по ошибке, при неправильном хранении агрессивных химических растворов (в емкостях из-под напитков и пищевых продуктов).
У взрослых людей ожоги пищевода в 55% случаев происходят при случайном приеме кислот и щелочей вместо напитков либо лекарства (бытовая травма) и в 45% - с целью суицида. Подавляющее большинство ожогов пищевода обусловлены химическими веществами, радиационные и термические повреждения встречаются крайне редко. В прежние годы наиболее весомой причиной химического ожога был прием растворов каустической соды или марганцовки. На сегодняшний день 70% ожоговых повреждений пищевода вызываются уксусной эссенцией.

Причины ожога пищевода
Наиболее частая разновидность повреждений пищевода - химические ожоги. Ожог пищевода может вызываться концентрированной кислотой (уксусная, соляная, серная), щелочью (каустическая сода, едкий натр, гидроокись натрия), другими веществами (этил, фенол, йод, нашатырь, лизол, клей силикатный, ацетон, марганцовка, растворы электролитов, перекись водорода и др.). Причины приема агрессивных химических веществ могут быть самые разнообразные.
Подавляющее большинство пациентов с ожогами пищевода составляют дети от года до десяти лет. Повышенный травматизм детей этого возрастного диапазона объясняется их природной любознательностью и рассеянностью. Большое значение имеет и бытовая невнимательность родителей, когда едкие вещества хранятся в немаркированной таре или емкостях из-под напитков. Среди взрослых химическое повреждение пищевода примерно в половине случаев может быть обусловлено случайностью (прием суррогатов алкоголя, едких веществ в состоянии алкогольного опьянения или по невнимательности), остальные случаи обычно связаны с попыткой суицида. Прием агрессивных растворов с суицидальной целью более характерен для женщин. Термические и лучевые ожоги пищевода встречаются крайне редко.
Едкие вещества при попадании на слизистую оболочку ротовой полости, глотки, пищевода и желудка вызывают повреждение эпителия, а при прогрессировании процесса – более глубоких тканей. Обычно кислоты вызывают более выраженный ожог пищевода, а щелочи – желудка. Связано это с устойчивостью слизистой оболочки желудка к кислой среде. Для ожогов пищевода щелочами характерно более тяжелое течение и глубокие повреждения, такие ожоги часто сопровождаются разрывом пищевода, медиастинитом, гнойными осложнениями, желудочным кровотечением.
По глубине распространения патологического процесса выделяют ожог пищевода первой степени (затрагивает только эпителий), второй степени (поражает мышечный слой включительно) и третьей степени (патологические изменения охватывают окружающую пищевод клетчатку и соседние органы). Чем глубже распространяется ожог пищевода, тем больше токсических продуктов распада тканей попадает в кровь. Выраженная интоксикация может приводить к повреждению сердца, головного мозга, почек и печени. Сочетание болевого шока, интоксикации и полиорганной недостаточности при глубоких ожогах пищевода ведет к летальному исходу в первые двое-трое суток.
Симптомы ожога пищевода
При ожоге пищевода беспокоят как местные, так и общие симптомы. Агрессивный раствор, попадая на эпителий пищевода, вызывает значительное повреждение тканей и нервных окончаний, которых в пищеводе огромное количество. Из-за этого возникает сильная боль по ходу распространения ожога: в ротовой полости, горле, за грудиной и в эпигастрии (повреждающий агент попадает из пищевода в желудок, вызывая химический гастрит). Тяжелое повреждение тканей (коррозионный эзофагит) приводит к их отеку: сначала начинают отекать губы и язык, затем процесс распространяется на глотку и пищевод. Из-за отека гортани появляется одышка, а повреждение голосовых связок приводит к осиплости голоса. В пищеводе наибольшие патологические изменения формируются в местах физиологических сужений. Сначала это приводит к дисфагии (нарушению глотания), в последующем развивается рвота. В рвотных массах можно заметить сгустки крови и фрагменты слизистой оболочки пищеварительной трубки. Ожог пищевода 3-й степени может привести к тяжелым нарушениям дыхания, профузному кровотечению, формированию пищеводно-бронхиальных свищей.
Общие признаки ожога пищевода обусловлены всасыванием токсичных продуктов распада тканей, болевым синдромом. Глубокие ожоги сопровождаются массивным некрозом тканей и выраженной интоксикацией, болевым шоком. Продукты распада повреждают клетки сердца, мозга, почек и печени. Полиорганная недостаточность и интоксикация проявляются сильной слабостью, тошнотой, лихорадкой, нарушениями сознания и сердечной деятельности. Тяжесть общих проявлений зависит от того, какое именно химическое вещество было выпито, от его объема и концентрации.
Если состояние пациента стабилизируется, то через несколько дней после получения ожога пищевода отек уменьшается, начинается заживление тканей путем грануляции и рубцевания. В начале заболевания (острый период) из-за боли и отека пациенты отказываются от пищи и воды. Вместе с появлением грануляций начинается подострый период, в котором наступает так называемая «ложная ремиссия» - страх приема пищи постепенно уходит, глотать становится легче. Однако явления дисфагии снова возвращаются в связи с появлением рубцовых стриктур в хроническом периоде ожога пищевода. Согласно клиническим исследованиям в области гастроэнтерологии, рубцовые стриктуры той или иной степени формируются у всех пациентов с ожогом пищевода в течение двух месяцев от начала заболевания. Этот процесс сопровождается прогрессирующей дисфагией, гиперсаливацией, рвотой, алиментарной дистрофией. Если коррекция ожоговых рубцов не проведена в срок и должным образом, стойкие рубцы со стенозом или непроходимостью пищевода развиваются у 70% пациентов.
Диагностика ожога пищевода
Диагноз ожога пищевода обычно устанавливается еще до проведения дополнительных исследований, на основании анамнеза заболевания. Консультация гастроэнтеролога и хирурга нужны для выяснения механизма получения ожога; типа (кислота или щелочь), количества и концентрации химического агента. Учитывая тяжесть повреждения пищевода при ожоге, опасность перфорации его стенки, инвазивные методики диагностики в первые трое суток после получения травмы не применяются.
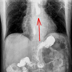
После стабилизации общего состояния возможно проведение рентгенографии пищевода. В острой фазе ожога на рентгенограмме отмечается утолщение складок слизистой оболочки, данные за гиперкинезию пищевода. Консультация врача-эндоскописта в остром периоде более информативна: во время эзофагогастроскопии визуализируется гиперемия и отек эпителия, изъязвления и эрозии пищевода, налеты. В подострой фазе рентгенография пищевода выявляет стриктуры, расширение пищевода над стенозированным участком, умеренный эзофагит. Эндоскопическое исследование в подостром периоде позволяет обнаружить некротический струп, определить границы поражения, визуализировать грануляции и формирующиеся рубцы. В хронической стадии процесса можно выявить разнообразные виды рубцовых изменений: клапанные, в виде колец, трубчатые и др. Изредка рубцы пищевода могут малигнизироваться.
Лечение ожога пищевода
Первая помощь при ожоге пищевода может оказываться на догоспитальном этапе либо в отделениях хирургии и реанимации. Сразу после получения ожога пищевода следует промыть полость рта большим количеством чистой воды комнатной температуры, выпить два стакана молока. Вызывать рвоту для удаления химического агента из желудка не рекомендуется, так как это может привести к разрыву пищевода.
После поступления в стационар производится постановка желудочного зонда, обильно орошенного маслом. Перед постановкой зонда осуществляется местная анестезия слизистой рта и глотки. Через зонд удаляется содержимое желудка и производится инактивация повреждающего вещества. При ожоге щелочью производят промывание желудка неконцентрированным раствором уксусной кислоты или маслом; кислоту нейтрализуют содовым раствором. Если точно неизвестно, чем вызван ожог, рекомендуется промыть желудок большим количеством воды, либо ввести через зонд молоко. Промывать желудок следует только в первые шесть часов после получения ожога, в дальнейшем эта процедура нецелесообразна.
Сразу после инактивации повреждающего агента вводится антибиотик для профилактики гнойных осложнений, осуществляется обезболивание и седация пациента, начинается дезинтоксикационная и противошоковая терапия. При ожоге пищевода первой степени кормить больного можно начинать уже на вторые-третьи сутки пребывания в стационаре. При ожоге второй степени кормление не начинают раньше седьмых-восьмых суток. В случае ожогов третьей степени вопрос энтерального питания решается в индивидуальном порядке.
На седьмые-десятые сутки от получения ожога начинают проводить бужирование пищевода. Процедура заключается в ежедневном введении в просвет пищевода бужей возрастающего диаметра, что способствует расширению просвета и уменьшению рубцевания. Если в остром периоде ожога терапевтические мероприятия были проведены в полном объеме, а в подострой фазе – правильно произведено бужирование пищевода, то удовлетворительные результаты восстановления проходимости пищевода достигаются в 90% случаев.
Если же в отдаленном периоде развиваются грубые рубцовые стриктуры, значительный стеноз пищевода, либо его полная непроходимость – проводится оперативное лечение (стентирование пищевода, эндоскопическое рассечение рубцовой стриктуры пищевода, эндоскопическое расширение стеноза пищевода, пластика пищевода).
Прогноз и профилактика ожога пищевода
Прогноз при ожоге пищевода обусловлен видом, количеством и концентрацией химического раствора; степенью тяжести ожога; уровнем рН жидкости (наиболее тяжелые повреждения развиваются при рН ниже 2 и выше 12); правильностью оказания первой и дальнейшей медицинской помощи; наличием и тяжестью осложнений. Наиболее неблагоприятный прогноз при ожогах пищевода третьей степени – смертность в этой группе достигает 60%. У остальных пациентов прогноз более благоприятен, при правильном оказании помощи нормальное функционирование пищевода сохраняется у 90% больных. Профилактика ожогов пищевода - это соблюдение правил хранения опасных и едких веществ: отдельно от напитков и пищи, в недоступном для детей месте, в специально промаркированной таре.
Эзофагит
Эзофагит - это поражение слизистой оболочки пищевода воспалительного характера. Проявлениями эзофагита могут служить жгучая боль за грудиной, нарушения глотания, изжога, повышенная саливация. Осложнением эзофагита могут явиться пептическая язва, стеноз, перфорация пищевода, болезнь Барретта. Диагностический минимум состоит из проведения эзофагоскопии, эндоскопической биопсии и рентгенографии пищевода. Лечение назначается с учетом этиологии эзофагита; включает диету, медикаментозную терапию, физиотерапию; при необходимости – хирургическое лечение сужения пищевода (бужирование, рассечение рубцовых стриктур и др.).
МКБ-10
Эзофагит – воспалительное заболевание стенки пищевода острого или хронического течения. При эзофагите воспалительный процесс развивается во внутренней, слизистой оболочке пищевода и при прогрессировании может поражать более глубокие слои. Среди заболеваний пищевода эзофагит является наиболее частым, в 30-40% случаев заболевание может протекать без выраженной симптоматики.
Эзофагиты могут быть следствием различного рода повреждений слизистой пищевода или развиться вследствие инфекционного поражения, гастрита, заброса желудочного сока (иногда с желчью) из желудка. Эзофагит вследствие рефлюкса (заброса) желудочного содержимого выделяется как отдельное заболевание – гастроэзофагеальная рефлюксная болезнь.
Причины эзофагита

Острый эзофагит развивается вследствие повреждающего фактора кратковременного действия:
- острые инфекционные процессы (грипп, грибковое поражение, дифтерия и др.);
- физическое повреждение (ожог, травмирование при введении зонда, повреждение инородными телами);
- химический ожог (повреждение едкими химическими веществами);
- аллергическая реакция на пищевые продукты (как правило, сочетается с другими признаками аллергии).
Наиболее тяжелыми бывают повреждения пищевода после ожогов. В патогенезе инфекционного эзофагита основным фактором развития воспаления считается снижение иммунных свойств организма.
Причины развития хронических эзофагитов также разнообразны:
- алиментарный эзофагит (употребление очень горячей, острой пищи, крепкого алкоголя);
- профессиональный эзофагит (работа, связанная с вдыханием паров едких химических веществ);
- застойный эзофагит (раздражение слизистой остатками скопившейся пищи при разного рода затруднениях эвакуационной функции пищевода);
- аллергический эзофагит (развивается в связи с пищевой аллергией);
- дисметаболический эзофагит (связан с нарушениями обмена – гиповитаминозами, недостаточностью микроэлементов и тканевой гипоксией, продолжительной интоксикацией организма и т. п.);
- идиопатический ульцерозный эзофагит (особая форма хронического воспаления пищевода неясной этиологии, морфологически подобная язвенным колитам и гранулематозу пищевода (неспецифический регионарный стенозирующий эзофагит).
В качестве отдельного заболевания выделяют пептический, или рефлюкс-эзофагит. Он развивается вследствие гастроэзофагеального рефлюкса (заброса желудочного содержимого в пищевод). Иногда сочетается с дуодено-гастральным рефлюксом. Рефлюкс из желудка в пищевод может возникать по следующим причинам: недостаточность кардии (нижнего пищеводного сфинктера); хиатальная грыжа (грыжа пищеводного отверстия диафрагмы); недостаточная длина пищевода.
Эзофагит по течению может быть острым, подострым и хроническим. По характеру воспалительного процесса и его выраженности в гастроэнтерологии различают катаральный, отечный, эрозивный, псевдомембранозный, геморрагический, эксфолиативный, некротический и флегмонозный эзофагиты.
Катаральный и отечный эзофагит (наиболее часто встречающиеся формы) ограничиваются гиперемией слизистой и ее отеком. При остром инфекционном процессе, а также химических и тепловых ожогах пищевода возможно развитие эрозий слизистой оболочки (эрозивный эзофагит). При тяжелом течении инфекции нередко происходит развитие некротической формы. Геморрагический эзофагит сопровождается кровоизлияниями в стенку пищевода. При псевдомембранозной форме фиброзный экссудат не сращен с подслизистой тканью в отличие от эксфолиативного эзофагита. Флегмона пищевода, как правило, развивается при повреждении стенки пищевода инородным телом.
По локализации и распространенности воспалительного процесса различают дистальный, проксимальный и тотальный эзофагит. Классификация эзофагита по степени поражения имеет различия для острого и хронического течения заболевания. Острые эзофагиты и ожоги пищевода делят на три степени:
- поверхностное поражение без эрозивных и язвенных дефектов;
- поражение всей толщи слизистой с язвенными дефектами и некрозом;
- поражение распространяется на подслизистые слои, образуются глубокие дефекты с возможностью перфорации стенки пищевода, кровотечения. После залечивания возможно образование рубцовых стриктур.
Хронический эзофагит по выраженности поражения стенки делят на 4 степени согласно классификации Савари и Миллера (классификация эндоскопических признаков хронического эзофагита):
- гиперемия без эрозивных дефектов в дистальных отделах;
- разрозненные мелкие эрозивные дефекты слизистой;
- эрозии слизистой сливаются друг с другом;
- язвенное поражение слизистой, стеноз.
Симптомы острого эзофагита
Выраженность симптоматики при остром эзофагите имеет прямую зависимость от выраженности воспалительного процесса в слизистой пищевода. При катаральной форме эзофагит может протекать без клинических симптомов, только иногда проявляясь повышенной чувствительностью пищевода к горячей или холодной пище. Тяжелые формы эзофагита проявляются выраженным болевым симптомом (острая, сильная, жгучая боль за грудиной, отдающая в шею и спину), расстройством глотания (дисфагия) из за сильной боли, изжогой, повышенным слюноотделением.
В крайне тяжелых случаях – кровавая рвота вплоть до шокового состояния. Тяжело протекающий эзофагит спустя неделю может смениться периодом мнимого благополучия (резкое стухание симптомов, возможно даже употребление твердой пищи), но без адекватного лечения спустя несколько недель (до 3-х месяцев) заживления тяжелых дефектов пищеводной стенки может привести к образованию грубых рубцов и стеноза, что приведет к прогрессированию дисфагии и регургитации пищи.
Симптомы хронического эзофагита
При рефлюкс-эзофагите основным клиническим проявлением является изжога (жжение в области эпигастрия и за грудиной). Как правило, изжога усиливается после приема жирной, острой пищи, кофе, газированных напитков. Переедание также способствует развитию симптоматики. Другими вероятными симптомами могут быть: отрыжка (воздухом, кислым, горьким с примесью желчи); ночью может проявляться регургитация. Нередки присоединения расстройств дыхания, ларингоспазм, бронхиальная астма, частые пневмонии. Симптомы нарушения дыхания проявляются, как правило, ночью, в горизонтальном положении тела.
Хронический эзофагит может протекать с болями за грудиной в районе мечевидного отростка, иррадиирующими в спину и шею. Для хронического эзофагита характерна умеренная выраженность болевого симптома.
У детей первого года жизни недостаточность сфинктера пищевода можно диагностировать по многократным умеренным срыгиваниям сразу после кормления в горизонтальном положении. При упорных срыгиваниях могут развиться симптомы гипотрофии.
Осложнения

Осложнениями эзофагитов могут стать следующие заболевания и состояния:
- пептическая язва пищевода (часто развивается при болезни Баррета), характеризуется образованием глубокого дефекта стенки пищевода, может вести к грубому рубцеванию и укорочению пищевода;
- сужение (стеноз) просвета пищевода (ведет к нарушению прохождения пищи в желудок, снижению массы тела);
- прободение стенки пищевода (перфорация) – осложнение, опасное для жизни, требует срочного хирургического вмешательства;
- гнойные осложнения эзофагита – абсцесс, флегмона (как правило, являются следствием повреждения пищевода инородным телом);
- болезнь Барретта (при продолжительном рефлюкс-эзофагите без адекватного лечения развивается перерождение эпителия пищевода – метаплазия). Пищевод Баррета – предраковое состояние.

Если острый эзофагит проявляется клинической симптоматикой, то диагностика этого заболевания, как правило, не составляет проблем – локализация болевого симптома весьма специфична и характерна. Опрос позволяет выявить вероятную причину развития эзофагита. Для подтверждения диагноза используется:
- Эзофагоскопия. Показывает изменения в слизистой, их выраженность. Проведение эндоскопического обследования пищевода проводят не ранее чем на шестой день после проявления выраженной клинической картины. Показания для эндоскопического обследования выявляются индивидуально. При необходимости берут эндоскопическую биопсию слизистой и исследуют гистологически.
- Манометрия. Нарушения моторной функции пищевода выявляются с помощью эзофагоманометрии.
- Рентген.Рентгенография пищевода позволяет выявить изменения контуров пищевода, изъязвления, отек стенки и скопление слизи.
Лечение эзофагита
Острый эзофагит
Эзофагит вследствие химического ожога требует срочного промывания желудка для удаления химического агента. Для лечения легких форм острых эзофагитов больным рекомендовано воздерживаться от приемов пищи 1-2 дня, медикаментозное лечение заключается в приеме антацидов и препаратов группы фамотидина. После начала питания исключают продукты, способные повредить слизистую (алкоголь, кофе, горячая, острая, грубая пища) и пища, активизирующая выработку желудочного сока (шоколад, жирные продукты). Всем больным эзофагитом рекомендован отказ от курения.
При тяжелом протекании болезни - бережное питание вплоть до отказа от энтерального питания, обволакивающие и гелевые антацидные препараты. При выраженной интоксикации проводится инфузионная терапия с помощью дезинтоксикационных растворов. Для подавления инфекционного процесса показана антибиотикотерапия.
При язвенном эзофагите с выраженным болевым симптомом прописано обезболивание и противопоказано промывание желудка. При безуспешности массированного лечения антибиотиками очагов гнойного воспаления (флегмона, абсцесс) – хирургическая санация. Также показанием к хирургическому лечению эзофагита является развитие тяжелой стриктуры пищевода, не поддающейся дилатации.
Хронический эзофагит
В терапии хронического эзофагита основное значение играет устранение фактора его возникновения. Важнейшей составляющей лечения является строгое соблюдение диеты и режима питания и образа жизни. Рекомендации по диете в период острых клинический проявлений: употребление умеренного количества мягкой протертой пищи комнатной температуры. Исключение из рациона продуктов, оказывающих раздражающее действие на слизистую – острые, жирные, жареные, газированные, алкоголесодержащие продукты. Также исключают пищу, содержащую большое количество клетчатки.
Больным эзофагитом необходимо отказаться от курения и приема лекарственных препаратов, влияющих на тонус сфинктера пищевода (седативные препараты, транквилизаторы, теофиллин, простагландины и т. п.). Также следует отказаться от приемов пищи не менее чем за полтора-два часа до сна, не принимать горизонтальное положение после еды, не проводить много времени наклонясь. Спать рекомендуется на приподнятом изголовье. Терапия хронического эзофагита:
- препараты, снижающие кислотность желудочного сока (антациды – оптимальным выбором являются гелевые антациды с анестетиками, ингибиторы протоновой помпы, блокаторы Н2-гистаминовых рецепторов);
- препараты, усиливающие тонус кардии (нижнего сфинктера пищевода и ускоряющие продвижение пищевого комка из желудка в двенадцатиперстную кишку (блокаторы дофа-рецепторов и холиномиметики).
- при рефлюкс-эзофагите хороший результат дает амплипульстерапия;
- снижение болевого синдрома достигается сеансами электрофореза ганглиоблокаторов;
- грязелечение и бальнеотерапия.
При тяжелом течении рефлюкс-эзофагита со стриктурами, язвами и стенозом физиотерапия противопоказана. Операции при стенозе пищевода заключаются в эндоскопическом рассечении стриктур, расширении или бужировании пищевода. По показаниям проводится резекция и пластика пищевода.
Прогноз и профилактика
При отсутствии осложнений (стеноз, перфорации, кровотечение, воспаление средостения и т. п.) прогноз благоприятен. Важным фактором в перспективе излечения эзофагита является строгое соблюдение режима питания, образа жизни и рекомендаций по диете.
Профилактика эзофагитов подразумевает избегание причин его развития – ожогов горячей пищей, химическими веществами, повреждений инородными телами и т. п. Профилактика хронического эзофагита – регулярное диспансерное обследование у гастроэнтеролога и при необходимости – лечение. Больным хроническим эзофагитом в качестве профилактики обострений показано санаторно-курортное лечение.
Химические ожоги
Химические ожоги – это повреждения кожи, подлежащих тканей, глаз, внутренних органов (желудка, пищевода), возникающие в результате контакта с едкими веществами. В зависимости от типа химического агента возможно образование колликвационного или коагуляционного некроза. На фоне всасывания некоторых агентов наблюдается токсическое поражение внутренних органов. Патология диагностируется на основании данных анамнеза, физикального обследования. При внутренних повреждениях показаны фарингоскопия, рентгеноскопия, эзофагогастроскопия. Лечение – антибиотики, перевязки, хирургические вмешательства, инфузионная терапия.



Химические ожоги встречаются реже термических. Как правило, наблюдаются на небольшом участке тела. С учетом глубины и площади поражения оцениваются так же, как термические, но отличаются от них по характеру разрушения тканей и длительности воздействия. Поражающее действие продолжается до тех пор, пока агент не будет нейтрализован, разбавлен либо инактивирован. Из-за возможных нарушений зрения, перфорации полых органов особую опасность представляют травмы глаз и ЖКТ.
Причины
Причиной развития становится контакт кожи или слизистых оболочек с едкими жидкостями, концентрированными щелочами, кислотами, окислителями, солями некоторых металлов, фосфором, рядом газов. Повреждение, в отличие от всех прочих видов ожогов, возникает не под влиянием внешней энергии, а вследствие физико-химических реакций, возникающих в месте травмы.
Разрушение тканей продолжается до того момента, пока агрессивное вещество не будет удалено, разбавлено или иным образом инактивировано, что обуславливает усугубление поражения с течением времени. Углублению ожога может способствовать оставление агента на коже или слизистой, не снятая одежда, пропитанная химикатом. Иногда причиной дополнительного поражения становится неправильно оказанная первая помощь, провоцирующая вторичные разрушительные химические реакции.
В клинической практике чаще встречаются химические ожоги кистей рук и глаз, развившиеся в результате производственных травм при нарушении техники безопасности, возникновении аварийной ситуации. Другие части тела поражаются гораздо реже. Травмы пищевода, желудка, полости рта у взрослых почти в половине случаев являются следствием попытки самоубийства. У детей, психически больных людей, пациентов, находящихся в состоянии алкогольного или наркотического опьянения, повреждение может стать результатом несчастного случая (ошибочного приема едкой жидкости, перепутанной с безопасным продуктом питания).
Патогенез
Тяжесть повреждения определяется пятью факторами: силой и количеством химического агента, способом и продолжительностью контакта, а также степенью проникновения агрессивного вещества. Сила агента зависит от его химических характеристик, количество – от концентрации, объема соединения. Чем дольше и сильнее агент контактирует с тканями, тем глубже поражение.
Механизм действия вещества связан со способом денатурации белка. Перманганат калия, гипохлорид натрия, хромовая кислота обладают выраженным окисляющим эффектом, нарушают работу энзимов и, как следствие, быстро вызывают гибель клеток. Такие коррозивы, как гидроксид натрия, дихроматы, белый фосфор, фенол мгновенно разрушают все клеточные структуры.
Под воздействием щавелевой, гидрохлорной, серной кислоты происходит массивная дегидратация, лизис клеток. При контакте с бензином, горчичным газом, метилбромидом наблюдается расслоение тканей, высвобождение тканевых аминов. Аммиак, уксусная, муравьиная, дубильная, серносалициловая, некоторые другие кислоты связывают белок или катионы путем образования солей.
С учетом характера поражающего агента выделяют следующие разновидности химических ожогов:
- Кислотой. Тяжелые повреждения выявляются при действии сильных кислот (pH менее 2). Соединения вызывают сворачивание (коагуляцию) белка, образуется сухой кожный струп, препятствующий проникновению агента вглубь тканей, поэтому травмы обычно неглубокие.
- Щелочью. Сильными щелочами, провоцирующими тяжелые ожоговые поражения, считаются вещества с pH более 11,5. Соединения разжижают участки некроза. Ткани ослабляются, что позволяет веществу проникать в подлежащие слои, вызывая глубокие поражения.
- Солями тяжелых металлов. Имеют меньшее значение по сравнению с предыдущими группами, поскольку травма, как правило, ограничивается поверхностными слоями кожи.
Разделение химических ожогов по глубине несколько различается в традиционной российской и международной классификациях. В соответствии с МКБ-10 выделяют следующие виды травм:
- 1 степень. Соответствует 1 степени в российской систематизации. Повреждается только эпидермис.
- 2 степень. Соответствует 2 и 3А степеням в отечественной классификации. Поражается эпидермис, верхний слой дермы.
- 3 степень. Соответствует 3Б и 4 степеням в классической систематизации. Характеризуется тотальным некрозом дермы, возможно – с подлежащими тканями (мышцами, связками, костями).
Симптомы
Химические ожоги кожи
Появляется резкая боль. Внешний вид зоны повреждения определяется типом химического агента, глубиной ожога. Под действием кислот образуется сухой твердый струп. Граница между пораженным участком и окружающей здоровой кожей хорошо просматривается, благодаря четко отграниченному краю корки, образующейся в области некроза. При ожогах щелочами формируется рыхлый, мягкий, беловатый струп, который без четкой границы переходит в окружающие ткани.

После взаимодействия с серной кислотой кожа вначале становится белой, затем приобретает коричневый либо серый оттенок. Разрушение азотной кислотой придает кожным покровам желто-коричневую либо светло-желто-зеленую окраску. Ожоги уксусной кислотой грязно-беловатые, соляной – желтые, карболовой – сначала белые, потом бурые. Под действием концентрированной перекиси водорода ткани становятся сероватыми.
Поскольку повреждение тканей продолжается какое-то время после травмы, достоверное определение степени ожога возможно только через 5-7 дней.
- Для 1 степени характерны гиперемия, отечность, умеренная болезненность.
- 2 степень проявляется образованием прозрачных пузырьков на отечных, покрасневших кожных покровах.
- Ожоги 3 степени сопровождаются образованием пузырей с кровянистым или мутным содержимым, область поражения становится нечувствительной, безболезненной.
- При 4 степени определяются участки некроза, распространяющиеся на различную глубину.
Среди химических ожогов преобладают повреждения 3-4 степени.
Дальнейшее течение болезни определяется глубиной поражения. Поверхностные ожоги заживают самостоятельно. После разрушения всего слоя дермы самостоятельное восстановление невозможно. Участки сухого (коагуляционного) некроза отторгаются, оставляя после себя рану, которая постепенно заполняется грануляциями. При влажном (колликвационном) некрозе отмечается тенденция к распространению нагноения на окружающие ткани, что приводит к утяжелению состояния больного, образованию обширных дефектов.
Большая площадь повреждения, активное всасывание химического агента чреваты общетоксическим воздействием на организм с развитием полиорганной недостаточности. Выявляются лихорадка, выраженная слабость, тошнота, нарушения сердечной деятельности, расстройства сознания. Чаще всего страдают печень и почки. При поражении печени возможны пожелтение кожи, потемнение мочи, обесцвечивание кала, боли в правом подреберье. Вовлечение почек проявляется уменьшением количества отделяемой мочи, отеками, запахом ацетона изо рта.
Ожоги верхних отделов ЖКТ
Чаще всего наблюдаются ожоги концентрированной уксусной кислотой. Несколько реже встречаются поражения другими кислотами (серной, соляной), щелочами (едким натром, каустической содой, гидроокисью натрия). В число прочих химических агентов входят марганцовка, ацетон, силикатный лей, лизол, нашатырь, йод, фенол, этил, перекись водорода, растворы электролитов.
В момент приема агрессивного агента возникает резкая боль во рту, распространяющаяся за грудину, в эпигастральную область. Отекают губы, язык, затем отек охватывает глотку, верхние отделы желудочно-кишечного тракта. Отмечается дисфагия, потом появляется рвота желудочным содержимым с примесью крови, участков слизистой. Глубокие ожоги осложняются профузными кровотечениями, расстройствами дыхания. Развивается интоксикация с признаками нарушения функций внутренних органов. Выраженность общих проявлений определяется видом, объемом, концентрацией принятого химического вещества.
Через несколько дней выраженность отека снижается, начинается формирование грануляций. Боли и явления дисфагии уменьшаются, пациенты перестают отказываться от еды. Через некоторое время грануляции трансформируются в рубцы, что вызывает уменьшение просвета пищевода, повторное развитие нарушений глотания. Стриктуры формируются на протяжении 2 месяцев после травмы, без лечения образуются у 70% больных.
Химические ожоги глаз
В 40% случаев травма возникает вследствие контакта со щелочами. Причиной чаще становятся едкий натр, гашеная известь, каустическая сода, аммиак. У 10% больных поражение глаз развивается из-за попадания соляной, серной, уксусной, других кислот. Половина случаев обусловлена воздействием бытовых аэрозолей, гербицидов, инсектицидов, красок для ресниц, строительных лаков, а также химических веществ, используемых в средствах для самообороны.

Как и при поражении кожи, ожоги щелочами опаснее контакта с кислотами. После повреждения щелочью возникает колликвационный некроз, который распространяется за пределы зоны воздействия агрессивного вещества. Установить тяжесть травмы достоверно можно только через 2-3 суток. При поражении кислотой наблюдается коагуляционный некроз с образованием струпа.
Если пациенту удалось быстро сомкнуть ресницы, возможно только поражение век. Непосредственное воздействие на ткани глаза становится причиной некроза конъюнктивы с образованием язвенного дефекта, формированием сращений между глазным яблоком и веком. Ожоги роговицы сопровождаются светобоязнью, блефароспазмом, слезотечением, иногда – помутнением роговицы, нейротрофическим кератитом. При вовлечении радужки развивается ирит.
Исходом нередко становится снижение зрения, которое может варьироваться от незначительного ухудшения до полной слепоты. Вторичное инфицирование характеризуется развитием панофтальмита, эндофтальмита. В отдаленные сроки после глубоких химических ожогов может выявляться вторичная глаукома. Тяжелые поражения приводят к разрушению тканей, требуют удаления глаза.
Диагноз выставляется на основании анамнестических данных, результатов внешнего осмотра. Для определения площади ожогов кожи используют стандартные методы (правило девяток, специальные таблицы, сетки с маркировкой). Для уточнения глубины оценивают цвет кожи, степень поражения эпидермиса, состояние дермы, наличие пузырей, струпов. Учитывают, что истинная тяжесть химического ожога становится очевидной лишь спустя несколько дней, особенно – при действии щелочей.
При травмах ЖКТ проводят осмотр полости рта, фарингоскопию, непрямую ларингоскопию. Из-за опасности перфорации стенки полых органов другие инвазивные методы в остром периоде не применяют, диагноз выставляют на основании анамнеза и клинических симптомов, решение о необходимости экстренных оперативных вмешательств принимают при появлении признаков нарушения целостности желудка или пищевода. В последующем производят эзофагогастроскопию, рентгеноскопию.
Ожоги глаз также диагностируются по данным анамнеза, жалоб, внешнего осмотра. Офтальмологические исследования при поступлении не показаны, рекомендовано немедленно начинать неотложную помощь. В последующем для уточнения тяжести травмы выполняют визометрию, офтальмоскопию, измерение ВГД, биомикроскопию, другие процедуры. Перечень методик определяется индивидуально с учетом имеющихся нарушений.
Лечение
Первая помощь
Первоочередной задачей является минимизация контакта тканей с агрессивным веществом. Оказание первой помощи должно начинаться как можно скорее, оптимально – прямо на месте. Загрязненную одежду необходимо снять. Порошкообразные агенты следует стряхнуть. В большинстве случаев для удаления химиката рекомендовано обильное промывание водой. Исключением является поражение негашеной содой – в этом случае вода вызывает бурную химическую реакцию, усугубляющую тяжесть травмы, поэтому соединение нужно удалять с помощью растительного масла.
При точно определенном повреждающем агенте возможно использование специальных средств. Так, при ожогах фтористоводородной кислотой применяют 10% раствор глюконата кальция, избегая нанесения слишком большого количества средства, чтобы не спровоцировать нежелательную тканевую реакцию. Обработка этиловым спиртом или полиэтиленгликолем позволяет повысить растворимость фенола, который после этого лучше смывается водой.

Удаление фосфора осуществляется с помощью небольшого количества 1% раствора сульфата меди. Обильное орошение может привести к всасыванию деактивирующего средства, обладающего гепатотоксическим действием. При ожогах белым фосфором, цементом промывания водой нужно проводить как можно дольше. В первом случае это помогает устранить опасность спонтанного самовозгорания фосфора, во втором – обеспечивает достаточную дезактивацию щелочи, содержащейся в цементе.
Если специфические нейтрализаторы отсутствуют, для промывания ожогов кислотой можно использовать слабый раствор питьевой соды, ожогов щелочью – слабый раствор лимонной кислоты. Необходимо тщательно следить за тем, чтобы на поврежденные ткани не попали слишком концентрированные деактиваторы, поскольку это может усугубить травму. Для уменьшения болевого синдрома применяют анальгетики. Обезвоживание предупреждают путем обильного питья. Пациента укутывают.
При ожогах глаз производят обильное струйное промывание водой или физраствором. Нанесение нейтрализующих составов не рекомендовано из-за риска возникновения непредсказуемых реакций с образованием агрессивных продуктов и их последующим разрушающим действием на нежную конъюнктиву. При химических ожогах ЖКТ нужно обильно промыть ротовую полость водой. Вызывать рвоту нельзя, так как это может спровоцировать разрыв пищевода.
Местное лечение
Ожоговую поверхность обрабатывают. С кожи удаляют химическое вещество и инородные тела, закрывают рану асептической повязкой, придают конечности возвышенное положение. Струпы сохраняют до их самостоятельного отхождения. Для стимуляции отторжения применяют протеолитические ферменты. После отхождения некроза наносят мази. Точечные глубокие ожоги (например, при попадании брызг кислоты или щелочи) могут закрываться самостоятельно. При значительной площади раневой поверхности после очищения раны требуется кожная пластика.
Больным с химическими ожогами пищевода при поступлении в стационар устанавливают желудочный зонд после местного обезболивания рта и глотки. Удаляют содержимое желудка, инактивируют химический агент. После приема щелочи осуществляют промывание маслом либо слабым раствором уксусной кислоты. После употребления кислоты применяют некрепкий раствор соды.
При невозможности определения агрессивного агента используют воду, молоко. В последующем назначают парентеральное питание, выполняют бужирование. Больным с перфорацией необходимо экстренное вмешательство с наложением гастростомы или эзофагостомы. В случае формирования стеноза показано стентирование, рассечение стриктуры, пластика пищевода.
При легких химических ожогах глаз применяют местные средства с антибиотиками. Для уменьшения дискомфорта выполняют циклоплегию. Для ускорения заживления рекомендованы глазные капли из плазмы, обогащенной эритроцитами. Пациентам с химическим иритом эффективна длительная циклоплегия. Кортикостероиды с осторожностью используют при тяжелых повреждениях, поскольку они могут вызвать перфорацию роговицы. Хирургическая тактика определяется характером поражения. Возможны витрэктомия, кератопластика, коррекция выворота или заворота века.
Общие мероприятия
Для устранения болей применяют анальгетики. Антибиотики подбирают с учетом чувствительности возбудителя. С профилактической целью антибактериальные препараты не назначают, поскольку это провоцирует развитие антибиотикоустойчивых штаммов. При обширных повреждениях проводят инфузионную терапию. Вводят питательные растворы, глюкозу, лекарства для восстановления кислотно-щелочного равновесия.
При всасывании щавелевой и фтороводородной кислоты может потребоваться коррекция гипокальциемии. При ожогах фосфором, некоторыми кислотами необходим контроль функций печени и почек, по показаниям – мероприятия по коррекции острой почечной или печеночной недостаточности. Пациентам с системными эффектами от воздействия лизола требуется гемодиализ.
Прогноз
Исход определяется локализацией, тяжестью, распространенностью повреждения, временем начала медицинских мероприятий, общим состоянием больного, другими факторами. При небольшой площади поражения кожи, отсутствии токсического влияния на внутренние органы прогноз благоприятный даже у больных с глубокими ожогами. При травмах пищевода 3 степени летальность достигает 60%, в остальных случаях смертельные исходы наблюдаются редко, проходимость органа восстанавливается у 90% больных. У пациентов с тяжелыми ожогами глаз в исходе формируются энтропион, бельмо, атрофия глазного яблока, отмечается выраженное снижение зрения.
Профилактика
Основной мерой по предупреждению повреждений кожи и глаз является соблюдение техники безопасности при работе с агрессивными химическими веществами в быту и на производстве. Профилактика травм пищевода заключается в соблюдении правил хранения едких веществ: использовании промаркированных емкостей, выделении отдельных шкафов или полок, расположенных в недоступных для детей местах.
4. Современные принципы диагностики, лечения химических ожогов пищевода и желудка/ Белькова Т.Ю.// Сибирский медицинский журнал – 2001- №5
Читайте также:
