Симптомы острого мастоидита, субпериостального абсцесса и их лечение
Добавил пользователь Morpheus Обновлено: 03.11.2025
Симптомы мастоидита и его лечение
Наиболее частым осложнением воспаления среднего уха является мастоидит, развивающийся в результате распространения инфекции из полости среднего уха на воздухоносные ячейки височной кости. В отличие от воспаления слизистой оболочки, которое всегда сопутствует среднему отиту, инфекция распространяется на кость и разрушает ее.
Инфекция богато пневматизированной кости может распространиться на пирамиду височной кости и реже - на губчатое вещество, вызывая остеомиелит.
а) Клиническая картина мастоидита. Мастоидит проявляется клинически в тех случаях, когда острый средний отит начинает идти на убыль.
Общие симптомы: ухудшение общего состояния, повышение температуры тела, лейкоцитоз и выраженное повышение СОЭ.
Местные симптомы: нарастающая боль в ухе, иррадиирующая в висок и затылок и сопровождающаяся учащением пульса; усиление гнойных выделений из уха (сливкообразный гной без запаха) или появление их вновь. Утрачивается слух.

Мастоидит у ребенка
в) Диагностика мастоидита: 
• Оторея. 
• Болезненность при надавливании на сосцевидный отросток. 
• Ретроаурикулярный отек, оттопыренное ухо.
Приведенная классическая триада симптомов в настоящее время встречается редко, так как появилась возможность лечения антибиотиками. Это особенно важно для критического периода, который до внедрения в клиническую практику антибиотиков соответствовал 3-й неделе заболевания.

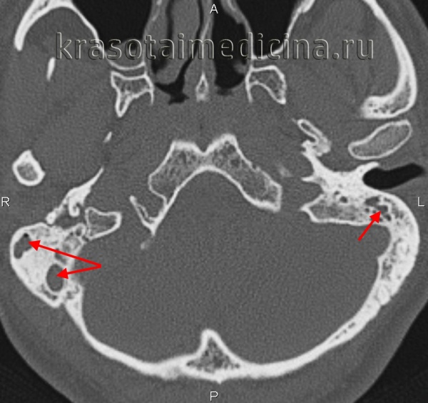
 Поднадкостничный абсцесс, 
осложнивший течение острого среднего отита. 
Симптомы мастоидита в настоящее время проявляются более отчетливо и характеризуются более постепенным появлением, чем раньше, в связи с чем это осложнение легко просматривают. Поэтому к приведенным ниже отоскопическим признакам следует отнестись особенно внимательно: 
• бледная, но утолщенная барабанная перепонка; 
• утолщение задневерхнего квадранта барабанной перепонки, который имеет четко очерченные границы воспаления; 
• утолщенная мутная барабанная перепонка; 
• образование сосочка на барабанной перепонке, на котором открывается крошечное устье свищевого отверстия; 
• пролабирование задней стенки наружного слухового прохода, которое сравнительно часто происходит у маленьких детей.
Локальные изменения в сосцевидном отростке и окружающих его тканях: 
• Поднадкостничный абсцесс: тестоватый отек кожи, вызванный распространением микробно-воспалительного процесса. Сосцевидный отросток гиперемирован, эластичен, отмечается флуктуация отека кожи над сосцевидным отростком. 
• Воспаление скуловой кости: отмечается отек скулового отростка, распространяющийся на щеку и веко в сильно пневматизированной кости. У детей эти изменения наблюдаются относительно редко. 
• Мастоидит Бецолъда: видимый и пальпируемый отек и болезненность в области бокового треугольника шеи в сочетании с кривошеей. Это осложнение возникает в результате распространения абсцесса с верхушки сосцевидного отростка вдоль фасциального пространства двубрюшной, грудино-ключично-сосцевидной, ременной мышц и длиннейшей мышцы головы. 
• К рентгенологическим признакам, выявляемым на снимках в проекции Шюллера и на КТ височной кости, относятся снижение рентгенопрозрачности из-за уменьшения содержания воздуха в дыхательной системе, матовое затемнение сосцевидных ячеек, нечеткое изображение тонкой структуры кости в результате декальцификации и разжижения костных септ между сосцевидными ячейками, деструкция кости с очагами разжижения и эрозии соседних структур.
в) Дифференциальный диагноз (псевдомастоидит). Фурункул наружного слухового прохода, паротит, шейный лимфаденит.

КТ при мастоидите с тромбозом сигмовидного синуса
г) Лечение мастоидита. P.S. Мастоидит, при котором воспалительный процесс уже не ограничивается слизистой оболочкой и распространяется на кость, следует лечить хирургическим путем.
Ошибочно полагать, что воспаление системы воздухоносных ячеек височной кости, когда она вовлечена в воспалительный процесс, можно вылечить антибиотиками. Слабое кровоснабжение слизистой оболочки и кости делает невозможным поддержание достаточной концентрации антибиотиков в тканях.
Слабо аэрируемые воздухоносные ячейки, выполненные гиперплазированной слизистой оболочкой и грануляциями, создают идеальную среду для размножения бактерий, особенно анаэробов.
Показания к мастоидэктомии. Оперативное вмешательство показано при подозрении на инфицирование кости независимо от стадии среднего отита, в частности, когда имеются: 
• симптомы отогенных интракраниальных осложнений; 
• признаки поднадкостничного абсцесса; 
• очаг расплавления воздухоносных ячеек сосцевидного отростка на КТ височной кости; 
• паралич лицевого нерва.
На стадии заживления, т.е. на 3-й неделе среднего отита, также могут возникнуть показания к операции. К ним относятся: 
• возобновление выделений из уха, боли и появление субфебрильной температуры; 
• ухудшение общего состояния и увеличение титра С-реактивного белка; 
• выделения из уха, длящиеся в течение 4-5 нед. и не поддающиеся лечению, при хорошей пневматизации височной кости, сниженном содержании воздуха на рентгенограммах и отсутствии серьезных общих симптомов.

 Принцип радикальной мастоидэктомии. 
Выявлена эбурнеация сосцевидного отростка: пещера (1), аттик (2), 
полость среднего уха (3) и небольшая воздухоносная полость в сосцевидном отростке (4) широко вскрыты. 
Канал лицевого нерва вскрыт до уровня второго коленца (барабанный сегмент) (5). 
Эти образования соединены в одну полость, открывающуюся в наружный слуховой проход. 
Если планируется выполнить тимпанопластику, радикальную операцию модифицируют: 
полость среднего уха отгораживают от сосцевидной полости и восстанавливают звукопроводящий аппарат. 
д) Течение и прогноз мастоидита. При среднем отите могут развиться две формы мастоидита с деструкцией кости даже на фоне лечения антибиотиками:
• Острый мастоидит: эта форма характеризуется гнойным расплавлением костных септ в системе воздухоносных ячеек и прорывом в ткани с образованием поднадкостничного или ретроаурикулярного абсцесса. Эта форма абсцесса характеризуется быстрым течением и выраженной клинической симптоматикой вплоть до симптомов паралича лицевого нерва.
• Хронический мастоидит: для этой формы абсцесса характерно отчасти продуктивное воспаление с облитерацией воздухоносных ячеек грануляционной тканью и отчасти длительный воспалительный процесс с деструкцией кости. Эта форма характеризуется постепенным течением и вначале скудной симптоматикой.
Прогноз при правильном лечении благоприятный, в противном случае существует опасность поздних отогенных осложнений.

 Принцип кортикальной мастоидэктомии. 
Заднюю стенку наружного слухового прохода (1) и стенку аттика (2) оставляют нетронутыми, 
в то время как систему воздухоносных ячеек сосцевидного отростка (3) удаляют ретроаурикулярным доступом. 
При данной операции анатомия наружного слухового прохода не нарушается. 
4 - сигмовидный синус; 5 - сосцевидная пещера; 6 - лицевой нерв (сосцевидный его сегмент). 
Редактор: Искандер Милевски. Дата обновления публикации: 18.3.2021
Мастоидит
Мастоидит — воспалительное поражение сосцевидного отростка височной кости инфекционного генеза. Чаще всего мастоидит осложняет течение острого среднего отита. Клинические проявления мастоидита включают подъем температуры тела, интоксикацию, боли и пульсацию в области сосцевидного отростка, отечность и гиперемию заушной области, боль в ухе и снижение слуха. Объективное обследование при мастоидите заключается в осмотре и пальпации заушной области, отоскопии, аудиометрии, рентгенографии и КТ черепа, бактериологическом посеве отделяемого из уха. Лечение мастоидита может быть медикаментозным и хирургическим. В его основе лежит антибиотикотерапия и санация гнойных очагов в барабанной полости и сосцевидном отростке.
МКБ-10



Общие сведения
Сосцевидный отросток представляет собой выступ височной кости черепа, расположенный позади ушной раковины. Внутренняя структура отростка сформирована сообщающимися ячейками, которые разделены между собой тонкими костными перегородками. У разных людей сосцевидный отросток может иметь различное строение. В одних случаях он представлен крупными заполненными воздухом ячейками (пневматическое строение), в других случаях ячейки мелкие и заполнены костным мозгом (диплоэтическое строение), в третьих — ячеек практически нет (склеротическое строение). От типа строения сосцевидного отростка зависит течение мастоидита. Наиболее склонны к появлению мастоидита лица с пневматическим строением сосцевидного отростка.
Внутренние стенки сосцевидного отростка отделяют его от задней и средней черепных ямок, а специальное отверстие сообщает его с барабанной полостью. Большинство случаев мастоидита возникает как следствие перехода инфекции из барабанной полости в сосцевидный отросток, что наблюдается при остром среднем отите, в отдельных случаях при хроническом гнойном среднем отите.

Причины мастоидита
В зависимости от причины возникновения в отоларингологии различают отогенный, гематогенный и травматический мастоидит.
- Отогенный. Наиболее часто возникает вторичный мастоидит, обусловленный распространением инфекции в сосцевидный отросток из барабанной полости среднего уха. Его возбудителями могут быть палочка инфлюэнцы, пневмококки, стрептококки, стафилококки и др. Переходу инфекции из полости среднего уха способствует нарушение ее дренирования при позднем прободении барабанной перепонки, несвоевременном проведении парацентеза, слишком малом отверстии в барабанной перепонке или его закрытии грануляционной тканью.
 - Гематогенный. В редких случаях наблюдается мастоидит, развившийся в следствие гематогенного проникновения инфекции при сепсисе, вторичном сифилисе, туберкулезе.
 - Травматический. Первичный мастоидит возникает при травматических повреждениях ячеек сосцевидного отростка вследствие удара, огнестрельного ранения, черепно-мозговой травмы. Благоприятной средой для развития патогенных микроорганизмов в таких случаях является кровь, излившаяся в ячейки отростка в результате травмы.
 
Появлению мастоидита способствует:
- повышенная вирулентность патогенных микроорганизмов
 - ослабленное состояние общего при хронических заболеваниях (сахарный диабет, туберкулез, бронхит, гепатит, пиелонефрит, ревматоидный артрит и пр.)
 - патология носоглотки (хронический ринит, фарингит, ларинготрахеит, синусит)
 - наличие изменений в структурах уха в связи с перенесенными ранее заболеваниями (травмы уха, аэроотит, наружный отит, адгезивный средний отит).
 
Патогенез
Начало мастоидита характеризуется воспалительными изменениями слизистого слоя ячеек сосцевидного отростка с развитием периостита и скоплением жидкости в полостях ячеек. Из-за выраженной экссудации эта стадия мастоидита получила название экссудативной. Воспалительная отечность слизистой приводит к закрытию отверстий, сообщающих ячейки между собой, а также отверстия, соединяющего сосцевидный отросток с барабанной полостью. В результате нарушения вентиляции в ячейках сосцевидного отростка, в них падает давление воздуха. По градиенту давлений в ячейки начинает поступать транссудат из расширенных кровеносных сосудов. Ячейки заполняются серозным, а затем серозно-гнойным экссудатом. Длительность первой стадии мастоидита у взрослых составляет 7-10 дней, у детей чаще 4-6 дней. В конечном итоге экссудативной стадии мастоидита каждая ячейка имеет вид эмпиемы — заполненной гноем полости.
Далее мастоидит переходит во вторую стадию — пролиферативно-альтеративную, в которой гнойное воспаление распространяется на костные стенки и перегородки сосцевидного отростка с развитием остеомиелита — гнойного расплавления кости. Одновременно с этим происходит образование грануляционной ткани. Постепенно перегородки между ячейками разрушаются и формируется одна большая полость, заполненная гноем и грануляциями. Так, в результате мастоидита возникает эмпиема сосцевидного отростка. Прорыв гноя через разрушенные стенки сосцевидного отростка приводит к распространению гнойного воспаления на соседние структуры и развитию осложнений мастоидита.
Классификация
Выделяют две клинические формы мастоидита: типичную и атипичную. Атипичная (латентная) форма отличается медленным и вялым течением без ярко выраженных характерных для мастоидита симптомов. Отдельно выделяют группу верхушечных мастоидитов, к которым относится мастоидит Бецольда, мастоидит Орлеанского и мастоидит Муре. По стадии воспалительного процесса мастоидит классифицируется как экссудативный и истинный (пролиферативно-альтеративный).

КТ височных костей. Тотальное снижение пневматизации ячеек сосцевидного отростка с обеих сторон. (фото Вишняков В.Н.)
Симптомы мастоидита
Мастоидит может появляться одновременно с возникновением гнойного среднего отита. Но чаще всего он развивается на 7-14 день от начала отита. У детей первого года жизни из-за особенности строения сосцевидного отростка мастоидит проявляется в форме отоантрита. У взрослых мастоидит манифестирует выраженным ухудшением общего состояния с подъемом температуры до фебрильных цифр, интоксикацией, головной болью, нарушением сна. Больные мастоидитом жалуются на шум и боль в ухе, ухудшение слуха, интенсивную боль за ухом, чувство пульсации в области сосцевидного отростка. Боль иррадиирует по ветвям тройничного нерва в височную и теменную область, орбиту, верхнюю челюсть. Реже при мастоидите наблюдается боль во всей половине головы.
Указанные симптомы при мастоидите обычно сопровождаются обильным гноетечением из наружного слухового прохода. Причем количество гноя заметно больше, чем объем барабанной полости, что свидетельствует о распространении гнойного процесса за пределы среднего уха. С другой стороны, гноетечение при мастоидите может не наблюдаться или быть незначительным. Это происходит при сохранении целостности барабанной перепонки, закрытии перфоративного отверстия в ней, нарушении оттока гноя из сосцевидного отростка в среднее ухо.
Объективно при мастоидите отмечается покраснение и отечность заушной области, сглаженность расположенной за ухом кожной складки, оттопыренность ушной раковины. При прорыве гноя в подкожную жировую клетчатку происходит формирование субпериостального абсцесса, сопровождающегося резкой болезненностью при прощупывании заушной области и симптомом флюктуации. Из области сосцевидного отростка гной, расслаивая мягкие ткани головы, может распространиться на затылочную, теменную, височную область. Происходящее в результате воспаления тромбирование сосудов, кровоснабжающих кортикальный слой кости сосцевидного отростка, приводит к некрозу надкостницы с прорывом гноя на поверхность кожи головы и формированием наружного свища.
Осложнения
Распространение гнойного воспаления в самом сосцевидном отростке происходит по наиболее пневматизированным ячейкам, что обуславливает разнообразие возникающих при мастоидите осложнений и их зависимость от строения сосцевидного отростка. Воспаление перисинуозной группы ячеек приводит к поражению сигмовидного синуса с развитием флебита и тромбофлебита. Гнойное разрушение перифациальных ячеек сопровождается невритом лицевого нерва, перилабиринтных — гнойным лабиринтитом. Верхушечные мастоидиты осложняются затеканием гноя в межфасциальные пространства шеи, в результате чего гноеродные микроорганизмы могут проникнуть в средостение и вызвать появление гнойного медиастинита.
Распространение процесса в полость черепа приводит к возникновению внутричерепных осложнений мастоидита (менингита, абсцесса головного мозга, энцефалита). Поражение пирамиды височной кости обуславливает развитие петрозита. Переход гнойного воспаления на скуловой отросток опасен дальнейшим заносом инфекции в глазное яблоко с возникновением эндофтальмита, панофтальмита и флегмоны глазницы. У детей, особенно младшего возраста, мастоидит может осложниться формированием заглоточного абсцесса. Кроме того, при мастоидите возможно гематогенное распространение инфекции с развитием сепсиса.
Диагностика
Как правило, диагностика мастоидита не представляет для отоларинголога никаких сложностей. Затруднения возникают в случае малосимптомной атипичной формы мастоидита. Диагностика мастоидита основывается на характерных жалобах пациента, анамнестических сведениях о перенесенной травме или воспалении среднего уха, данных осмотра и пальпации заушной области, результатах отоскопии, микроотоскопии, аудиометрии, бакпосева выделений из уха, компьютерной томографии и рентгенологического исследования.
- Отоскопия. При мастоидите выявляются типичные для среднего отита воспалительные изменения со стороны барабанной перепонки, при наличие в ней отверстия отмечается обильное гноетечение. Патогномоничным отоскопическим признаком мастоидита является нависание задне-верхней стенки слухового прохода.
 - Исследование слуховой функции. Аудиометрия и исследование слуха камертоном позволяют установить степень тугоухости у пациента с мастоидитом.
 - Рентгенография височной кости. В экссудативной стадии мастоидита обнаруживает завуалированные в результате воспаления ячейки и нечетко различимые перегородки между ними. Рентгенологическая картина пролиферативно-альтеративной стадии мастоидита характеризуется отсутствием ячеистой структуры сосцевидного отростка, вместо которой определяется одна или несколько больших полостей. Лучшая визуализация достигается при проведении КТ черепа в области височной кости.
 

Наличие осложнений мастоидита может потребовать дополнительной консультации невролога, нейрохирурга, стоматолога, офтальмолога, торакального хирурга, проведения МРТ и КТ головного мозга, офтальмоскопии и биомикроскопии глаза, рентгенографии органов грудной клетки.
Лечение мастоидита
Лечебная тактика при мастоидите зависит от его этиологии, стадии воспалительного процесса и наличия осложнений. Медикаментозная терапия мастоидита проводится антибиотиками широкого спектра действия (цефаклор, цефтибутен, цефиксим, цефуроксим, цефотаксим, цефтриаксон, амоксициллин, ципрофлоксацин и др.). Дополнительно применяют антигистаминные, противовоспалительные, детоксикационные, иммунокоррегирующие препараты. Проводят лечение осложнений.
При отогенной природе мастоидита показана санирующая операция на среднем ухе, по показаниям — общеполостная операция. Отсутствие в барабанной перепонке обеспечивающего адекватное дренирование отверстия является показанием к проведению парацентеза. Через отверстие барабанной перепонки производят промывания среднего уха лекарственными препаратами. Мастоидит в экссудативной стадии может быть излечен консервативным путем. Мастоидит пролиферативно-альтеративной стадии требует хирургического вскрытия сосцевидного отростка (мастоидотомии) для ликвидации гноя и послеоперационного дренирования.
Профилактика мастоидита
Предупреждение отогенного мастоидита сводится к своевременной диагностике воспалительного поражения среднего уха, адекватному лечению отитов, своевременному проведению парацентеза барабанной перепонки и санирующих операций. Корректная терапия заболеваний носоглотки и быстрая ликвидация инфекционных очагов также способствуют профилактике мастоидита. Кроме того, имеет значение повышение работоспособности иммунных механизмов организма, что достигается ведением здорового образа жизни, правильным питанием, при необходимости — иммунокоррегирующей терапией.
Субпериостальный абсцесс орбиты
Субпериостальный абсцесс орбиты – гнойное поражение стенки орбиты при воспалении околоносовых пазух. Заболевание характеризуется острым началом, повышением температуры до 39° С, отёком кожи вокруг орбиты, развитием хемоза конъюнктивы, появлением двоения, нарушением движений глазного яблока, резким снижением остроты зрения. Для диагностики применяют визометрию, биомикроскопию, тонометрию, периметрию, рентгенографию орбит и придаточных пазух носа, ультразвуковое исследование глаза и орбиты, КТ или МРТ орбит, придаточных пазух носа и головного мозга. Лечение консервативное (антибиотикотерапия, дезинтоксикационная терапия) и хирургическое (вскрытие, дренирование абсцесса).

Субпериостальный абсцесс орбиты — гнойное поражение орбиты, при котором происходит воспаление стенки глазницы с отслойкой периоста на фоне бактериальной инфекции в пазухах носа. Орбита является сложным анатомическим образованием, которое поддерживает жизнедеятельность и функцию глаза. Орбита имеет близкое соседство с околоносовыми пазухами и полостью черепа, поэтому субпериостальный абсцесс орбиты является грозным заболеванием в офтальмологии. Патология, как правило, протекает в тяжелой форме и имеет высокий риск развития слепоты. Поражение одностороннее. У мужчин встречается чаще, чем у женщин. Субпериостальный абсцесс орбиты может возникать в любом возрасте, частота развития не зависит от страны проживания.

Причины
Воспалительные заболевания глазницы в большинстве случаев имеют риносинусогенное происхождение. Это связано с анатомически близким расположением орбиты и околоносовых пазух. Верхняя стенка глазницы одновременно является нижней стенкой лобной пазухи, а нижняя стенка глазницы – верхней стенкой верхнечелюстной пазухи. Кроме того, вены глазного яблока лишены клапанов, что приводит к широкой взаимосвязи между сосудами лица, полости носа, крыловидной области и кавернозным синусом.
В патогенезе выделяют два варианта распространения инфекции и развития субпериостального абсцесса орбиты. При контактном пути наблюдаются последовательное вовлечение слизистой оболочки околоносовых пазух, соединительнотканной стромы и всех слоев кости, что приводит к образованию обширного очага поражения. Гематогенный путь характеризуется распространением инфекции через перфорантные вены, проходящие сквозь костные стенки орбиты, а также через ветви бассейна верхней глазничной вены.
К причинам развития субпериостального абсцесса орбиты относят воспалительные процессы в околоносовых пазухах, травмы лицевого скелета и наличие инородных тел в носовых синусах. Самыми частыми инфекционными агентами, вызывающими субпериостальный абсцесс орбиты, являются стрептококки, H. Influenzae, Moraxella catarrhalis. Кроме того, возбудителем субпериостального абсцесса орбиты могут быть грибы рода Aspergillus, бактероиды, синегнойная инфекция, гемофильная палочка.
Симптомы
Клинические проявления субпериостального абсцесса возникают остро. Характерны общие симптомы: повышение температуры тела до 39-40°С, выраженный интоксикационный синдром, может присутствовать ригидность затылочных мышц. Местные симптомы зависят от локализации процесса. При поражении фронтального синуса (лобной пазухи) процесс начинается с появления болезненности и припухлости кожи лба и верхнего века у внутреннего края глаза. Развивается отек конъюнктивы. Возникает парез глазодвигательных мышц, отмечается двоение. В дальнейшем нарастает отек века, кожа над ним становится напряженной, появляется флюктуация. Острота зрения резко снижается.
При поражении передних и средних клеток решетчатого лабиринта симптомы менее выражены. В области внутреннего края орбиты определяется болезненность, гиперемия конъюнктивы с переходом в дакриоцистит. При развитии субпериостального абсцесса орбиты в зоне верхнечелюстной пазухи наблюдается покраснение и болезненный отек нижнего века, хемоз нижнего отдела конъюнктивы. Поражение орбиты при воспалении в задних клетках решетчатого лабиринта и сфеноидального синуса проявляется сильной болезненностью в области глазницы с отеком кожи века. Происходит смещение глазного яблока кпереди и кверху с ограничением его подвижности книзу. Возникает паралич отводящего и глазодвигательного нервов. Острота зрения резко снижается. Из осложнений выделяют неврит зрительного нерва (вплоть до атрофии), амавроз (полную слепоту глаза), флегмону глазницы, менингит, энцефалит, тромбоз кавернозного синуса.
Для диагностики применяют стандартные методы: визометрию, биомикроскопию, тонометрию, периметрию. Для точного определения локализации субпериостального абсцесса орбиты дополнительно используют лучевые методики. Рентгенография орбит и придаточных пазух носа в прямой и боковой проекциях позволяет диагностировать куполообразную (экссудативную) отслойку надкостницы орбиты и увеличение денситометрической плотности клетчатки глазницы вокруг очага воспаления.
Ультразвуковое исследование глаза и орбиты выявляет изменение размера ретробульбарного пространства, хода экстраокулярных мышц. КТ или МРТ орбит, придаточных пазух носа и головного мозга помогает определить отслойку периоста в зоне поражения. Кроме того, при субпериостальном абсцессе орбиты требуется консультация отоларинголога, челюстно-лицевого хирурга и нейрохирурга. Проводится бактериальный посев гнойного отделяемого с определением чувствительности к антибактериальным препаратам.
Лечение
Лечение субпериостального абсцесса орбиты включает в себя консервативные и хирургические методики, подобранные с учетом особенностей первичного очага инфекции и тяжести процесса. Консервативная терапия включает в себя назначение антибактериальных препаратов широкого спектра действия. После определения возбудителя (получение результатов посева отделяемого) требуется коррекция лечения. Также проводится дезинтоксикационная терапия, для профилактики тромбоза показано введение антикоагулянтов и блокаторов протеолитических ферментов.
Назначаются препараты, восстанавливающие иммунную систему и поддерживающие деятельность различных органов и систем организма. Оперативное лечение заключается во вскрытии, промывании и дренировании субпериостального абсцесса орбиты. Хирургическую методику выбирают в зависимости от локализации абсцесса. Операция проводится в кратчайшие сроки после поступления пациента в стационар. При своевременном обращении прогноз благоприятный.
Профилактика
Профилактические мероприятия направлены на предотвращение развития субпериостального абсцесса. При возникновении воспалительных заболеваний полости носа и околоносовых пазух необходимо проведение своевременного детального обследования у оториноларинголога с назначением грамотной лекарственной терапии. Для снижения травматизма лицевого скелета следует соблюдать технику безопасности на производстве и в быту. При появлении симптомов субпериостального абсцесса орбиты нужно как можно быстрее обратиться к врачу для получения квалифицированной помощи.
Симптомы острого мастоидита, субпериостального абсцесса и их лечение
Острый мастоидит развивается в результате распространения инфекции из барабанной полости в сосцевидный отросток височной кости. Наиболее частым патогеном при остром мастоидите является Streptococcus pyogenes (из группы бета-гемолитических).
Другими возможными патогенами могут быть Streptococcus pneumoniae, Heamophilus influaenzae, P. aeruginosa и анаэробы.
Диагностика острого мастоидита и субпериостального абсцесса
а) Анамнез: 
- Начало заболевания 
- Предшествующая антибиотикотерапия 
- Улучшение симптоматики 
- Другие симптомы, свидетельствующие о распространении инфекции экстракраниально или вглубь височной кости 
— Головная боль 
— Лихорадка, ознобы 
— Боль за глазницей 
— Диплопия 
— Парезы и параличи черепных нервов 
— Светобоязнь 
— Сонливость, нарушение сознания
б) Осмотр: 
- Боль в заушной области 
- Выступание ушной раковины из-за болезненности при пальпации и отека 
- Выбухание барабанной перепонки, гиперемия, серозные или гнойные выделения из среднего уха 
- Тесты Вебера и Ринне, свидетельствующие о кондуктивной тугоухости 
- Ригидность затылочных мышц, симптомы Кернига, Брудзинского
в) Дополнительное обследование: 
- Клинический анализ крови 
- КТ височной кости для оценки распространенности процесса, выраженности остеита сосцевидного отростка, признаков формирования абсцесса (при подозрении на абсцесс следует использовать внутривенный контраст) 
- Аудиограмма 
- Посев выделений из среднего уха при выполнении парацентеза или миринготомии.
 
Лечение острого мастоидита и субпериостального абсцесса
• При отсутствии данных КТ о формировании абсцесса (слиянии) следует начинать с консервативной терапии 
• При неслипчивом мастоидите возможно проведение парацентеза с посевом выделений из среднего уха 
• До получения результатов чувствительности на антибиотики эмпирическое лечение следует начинать с цефалоспоринов второго поколения или антипсев-домонадных аминопенициллинов внутривенно 
• Последующая антибактериальная терапия определяется результатами посева 
• После разрешения симптомов пероральный прием антибиотиков продолжается в течение 10-14 дней 
• При отсутствии улучшения через 24-48 часов после антибиотикотерапии следует рассмотреть выполнение мастоидэктомии
• Показания к хирургическому лечению: 
- Слипчивый мастоидит по данным КТ 
- Отсутствие эффекта от внутривенной антибактериальной терапии через 24-48 часов, 
- Формирование крупного абсцесса (субпериостального, шейного, затылочного или височного) 
- Подозрение на интракраниальное распространение
• Хирургическое лечение: 
- Слипчивый мастоидит: простая мастоидэктомия до уровня пещеры сосцевидного отростка с последующим дренированием 
- Формирование абсцесса вне височной кости: вскрытие и дренирование 
- Если абсцесс не разрешается после вскрытия, дренирования и проведения внутривенной антибактериальной терапии, выполняется дополнительная мастоидкэтомия
Абсцесс мягких тканей
Абсцесс мягких тканей — это расположенная в мышцах или подкожной жировой клетчатке, отграниченная от окружающих тканей и заполненная гнойным содержимым полость. Характеризуется наличием отека, гиперемии, болезненности кожи и симптома флюктуации в зоне поражения. Сопровождается общесоматическими изменениями: головной болью, гипертермией, недомоганием, расстройством сна. Обследование включает осмотр, УЗИ, рентгенографию, диагностическую пункцию абсцесса и бактериологическое исследование его содержимого. После формирования абсцесса производится его вскрытие с последующим послеоперационным дренированием и промыванием растворами антисептиков.


Абсцесс мягких тканей отличается от других гнойно-воспалительных заболеваний наличием инфильтративной капсулы (пиогенной мембраны). Капсула ограничивает абсцесс от близлежащих анатомических структур и препятствует распространению гнойного процесса. Однако накопление значительного количества гнойного экссудата, увеличение абсцесса и истончение его капсулы могут привести к прорыву с выходом гнойного содержимого в окружающую клетчатку или межмышечные пространства и развитием разлитого гнойного воспаления — флегмоны.
Абсцесс мягких тканей обусловлен попаданием в ткани гноеродных микроорганизмов. Примерно в четверти случаев патология вызвана стафилококковой инфекцией. Возбудителями также могут являться стрептококки, кишечная палочка, протей, синегнойная палочка, клостридии и пр. патогенные микроорганизмы. Зачастую отмечается полимикробная этиология. При костном туберкулезе может наблюдаться «холодный» абсцесс, вызванный микобактериями. Основные причины заболевания:
- Травматические повреждения. Проникновение гноеродных микроорганизмов чаще происходит при нарушении целостности кожного покрова в результате ранений, травм, микротравм, ожогов, отморожений, открытых переломов.
 - Отдаленные очаги инфекции. Абсцесс мягких тканей может возникать при распространении микроорганизмов лимфогенным и гематогенным путем из имеющихся в организме гнойных очагов, например, фурункула, карбункула, пиодермии и пр.
 - Врачебные манипуляции. Инфицирование может произойти ятрогенным путем при проведении инъекции инфицированной иглой.
 - Разъедающие жидкости. В редких случаях наблюдается асептический абсцесс, возникающий в результате попадания в ткани вызывающих их некроз жидкостей (керосин, бензин и др.).
 
Факторы риска
По наблюдениям специалистов в сфере гнойной хирургии, благоприятствующим фоном является:
- наличие в организме очага хронической инфекции (синусит, хронический тонзиллит, фарингит);
 - длительно протекающее заболевание желудочно-кишечного тракта (гастроэнтерит, энтерит, колит);
 - расстройства периферического кровообращения (при атеросклерозе, варикозе, посттромбофлебитической болезни);
 - обменные нарушения (ожирение, гипотиреоз, авитаминоз).
 
Особенно значимую роль в развитии и прогрессировании гнойного процесса играет сахарный диабет с выраженной ангиопатией.

КТ живота и таза. Ограниченное гиподенсное скопление жидкости в толще левой подвздошно-поясничной мышцы (псоас-абсцесс).
Абсцесс мягких тканей характеризуется наличием местных и общесоматических симптомов. К местным признакам относится болезненность, припухлость и покраснение участка кожи, расположенного над абсцессом. Надавливание в пораженной области вызывает усиление боли. При поверхностном расположении местная симптоматика отчетливо выражена. Через несколько дней появляется симптом флюктуации, свидетельствующий о скоплении жидкого содержимого внутри воспалительного очага.
При глубоко расположенном абсцессе местные симптомы не так заметны, флюктуация отсутствует, на первый план выходят изменения в общем состоянии больного. Общесоматические признаки неспецифичны. Пациенты отмечают повышенную утомляемость, периодическую головную боль, разбитость, нарушение сна, подъем температуры тела, которая может достигать 39-40° С и сопровождаться ознобом.
Возможно распространение гнойного процесса с развитием сепсиса, представляющего угрозу для жизни больного. Другими осложнениями абсцесса являются:
- флегмоны мягких тканей, распространяющиеся по межмышечным и клетчаточным пространствам;
 - гнойное расплавление стенки близлежащего крупного сосуда с возникновением кровотечения;
 - вовлечение в процесс нервного ствола с формированием неврита;
 - распространение процесса на твердые структуры с развитием остеомиелита близлежащей кости.
 
В ходе консультации гнойный хирург обращает внимание на наличие в анамнезе указания на появление воспалительных симптомов после перенесенной травмы, ранения или инъекции. Для выявления фоновых заболеваний по показаниям привлекают терапевта и других специалистов. План обследования включает следующие диагностические процедуры:
- Объективный осмотр. Поверхностно расположенный абсцесс мягких тканей легко выявляется при осмотре пораженной области. Определяется локальная резкая болезненность, отек, гиперемия и гипертермия, в ряде случаев выявляется флюктуация.
 - Дополнительные исследования. Глубокие абсцессы требуют назначения УЗИ мягких тканей и диагностической пункции. Полученный материал подвергают бактериологическому исследованию для определения чувствительности гноеродной микрофлоры к антибиотикам. При подозрении на «холодный» абсцесс производят рентгенологическое обследование пораженной области и ПЦР-диагностику туберкулеза.
 

Лечение абсцесса мягких тканей
Основной метод лечения – оперативный. Тактика определяется локализацией, объемом и стадией гнойного процесса, наличием или отсутствием осложнений. При небольших поверхностных абсцессах возможно амбулаторное наблюдение. Госпитализация необходима при рецидивировании, наличии осложнений и тяжелых фоновых заболеваний, выявлении анаэробной инфекции, высоком риске распространения гнойного воспаления при расположении абсцесса на лице, вблизи крупных сосудов и нервов.
Консервативная терапия
В начальной стадии рекомендованы консервативные мероприятия: противовоспалительные средства и УВЧ. В последующем медикаментозную терапию применяют в дополнение к хирургическому лечению. Назначают антибиотики широкого спектра действия, после получения результатов бакисследования схему корректируют с учетом чувствительности возбудителя. При генерализации инфекции необходимо проведение массивной антибактериальной терапии, дезинтоксикационных, инфузионных и симптоматических лечебных мероприятий.
Хирургическое лечение
Сформировавшийся абсцесс мягких тканей подлежит обязательному оперативному лечению. Вскрытие и дренирование обычно проводится хирургом в амбулаторной операционной. В хирургии в настоящее время применяется открытое и закрытое оперативное лечение абсцесса. Закрытое вмешательство производится через небольшой разрез, включает кюретаж стенок и аспирацию содержимого абсцесса, использование двупросветной трубки для дренирования, активную аспирацию и промывание полости после операции.
Открытый способ лечения предусматривает опорожнение и промывание абсцесса антисептиком после его широкого рассечения, дренирование при помощи широких полосок, ежедневный послеоперационный туалет полости абсцесса и перевязки. Швы не накладывают. После санации очага и формирования грануляций применяют мазевые повязки. Рана заживает вторичным натяжением.
Прогноз и профилактика
При своевременном адекватном лечении прогноз благоприятный. Позднее обращение за медицинской помощью может стать причиной развития опасных осложнений. Предупреждение образования абсцесса заключается в соблюдении правил асептики и техники выполнения инъекций, применении только одноразовых шприцев и игл, своевременном лечении гнойных процессов различной локализации, повышении неспецифической резистентности организма, адекватной тщательной первичной обработке ран при травматических повреждениях.
Читайте также:
