Симптомы слуховой агнозии и его лечение
Добавил пользователь Валентин П. Обновлено: 27.01.2026
Агнозия – потеря возможности адекватного восприятия и обработки информации вследствие нарушения способности распознавать объекты. Агнозия развивается вследствие возникновения других заболеваний и не является болезнью, как таковой.
Такое нарушение могут вызывать хронические отравления организма или сбои в кровообращении головного мозга. При этом дефекты в слуховых и зрительных путях, внутреннем ухе, глазах и остальных составляющих системы получения информации отсутствуют.
При нарушениях проекционных отделов коры головного мозга наблюдается ухудшение способности слышать, нарушается зрение, возникает расстройство чувствительности болевых функций организма. При повреждении вторичных отделов происходит потеря способности воспринимать и обрабатывать информацию.
Причины возникновения
Основные причины возникновения агнозии:
- повреждение затылочных и теменных долей коры мозга, черепно-мозговые травмы;
- нарушение функциональности мозга;
- нарушение кровообращения, инсульт;
- возникновение злокачественной опухоли;
- воспаление головного мозга;
- болезнь Паркинсона и Альцгеймера.

Симптомы агнозии
- возникновение проблем в ориентировании на местности;
- невозможность воспринимать и различать положение объектов на карте;
- отрицание наличия расстройств, даже если проявления проблемы яркие (сильный дефект зрения, слабость в руках и ногах);
- безразличие пациента к полной или частичной слепоте (игнорирование любых возникающих дефектов);
- трудность в определении формы объектов или их текстуры;
- невозможность распознать источник и направление звука (возникновение проблем с звуковой информацией);
- трудности с распознаванием лиц людей (при этом сохраняется способность распознавать пол и возраст человека);
- трудности с визуализацией и распознаванием отдельных предметов, отсутствие полной картины;
- невозможность адекватно распознавать половину окружающего пространства (возникает угроза не заметить опасность в виде безобидного косяка двери или же проезжающей машины).
Виды и формы агнозии
Различают несколько видов агнозии, при этом некоторые из них имеют свои различающиеся формы.
Зрительный вид агнозии разделяется на следующие формы:
- предметная агнозия – невозможность узнавать обычные знакомые предметы (однако при упоминании их названия пациент может объяснить их назначение);
- прозопагнозия – невозможность узнавать знакомых людей по их внешнему виду (лицам);
- агнозия на цвета – невозможность распознавать цвета предметов, которые видит больной (при этом в памяти больного сохраняется то, какого цвета должен быть этот предмет, если больной видел его до возникновения агнозии);
- симультагнозия – невозможность абстрактного представления происходящего, умение различать лишь отдельные предметы и объекты;
- неглект – невозможность адекватно воспринимать половину окружающего пространства;
- агнозия на буквы – невозможность распознавать некоторые буквы как в тексе, так отдельно изображенные (при этом в памяти сохраняется то, как нужно писать эти буквы, если их озвучить).

Слуховой вид агнозии проявляется невозможностью распознавать и адекватно воспринимать звуковую информацию. Пациент не узнает голоса знакомых людей, не распознает щебетание птиц или уличный шум. Так же для пациента становится невозможной способность различать интонацию речи.
Пространственный вид агнозии проявляется невозможностью определения пациентом собственного местонахождения в пространстве.
Соматоагнозия проявляется невозможностью адекватно оценить и воспринять параметры тела.
Астереогноз – нарушение тактильного восприятия предметов, невозможность определить предмет на ощупь.
Анозогнозия – отрицание пациентов наличия у него любых расстройств или дефектов.
Анозодиафория – вид агнозии, при котором пациент пусть и осознает наличие патологий, но остается абсолютно равнодушным к ним.
Агнозия: диагностика патологии
Диагностика агнозии включает:
- сбор анамнеза (жалобы, длительность проявлений, наличие сопутствующих заболеваний, наличие травм, в особенности головного мозга);
- неврологический осмотр (оценка функциональности психики, проверка остроты зрения, проверка слуха, проверка возможности считать и читать);
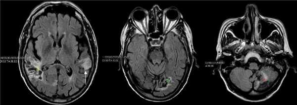
- проведение магнитно-резонансной и компьютерной томографии (детальное изучение мозга, его состояния и возможных отклонений);
- психологическая диагностика пациента.
Лечение агнозии
Суть лечения агнозии состоит в том, чтобы излечить заболевание, которое стало причиной ее возникновения.
При хронических нарушениях кровообращения в головном мозге пациента необходимо строго контролировать давление, так же нужно принимать антиагреганты и ноотропы, которые будут нормализировать кровоток, способствовать адекватному питанию мозга.
Если агнозия вызвана возникновением злокачественных новообразований, необходимо хирургическое вмешательство по их удалению. Применяются антихолинэстеразные препараты, способствующие улучшению нейропсихических функций.
Прогноз по излечению агнозии в части случаев положительный, поврежденные функции у пациентов восстанавливаются, однако встречаются случаи, когда больные агнозией вынуждены привыкать к жизни с имеющимися дефектами.
Профилактика
Избежать возникновения агнозии может помочь:
- отказ от вредных привычек (употребление спиртных напитков и курения);
- ежедневный сон длительностью не менее восьми часов;
- поддержание физического здоровья (частые прогулки на свежем воздухе, посещение спортзала или спортивных секций);
- полноценное сбалансированное питание;
- контроль артериального давления;
- своевременное обращение к врачу.
К какому врачу обращаться?
Изначально диагностика начинается у терапевта, который отправит на сдачу анализов и порекомендует консультацию невролога.
Для пациентов с явными дефектами необходима консультация непосредственно у дефектолога.
Агнозия
Агнозия — состояние, при котором нарушается зрительное, слуховое или тактильное восприятие окружающей действительности. При этом сама способность видеть и слышать не нарушена.
Это редкое состояние, при котором человек не способен оценить значение предметов, форму, физическое состояние, их функции. Чаще всего к этому приводит поражение коры и подкорковых областей мозга, которые отвечают за переработку получаемой информации.
Причины
Причины данного отклонения могут быть самые разные. От травм до хронических состояний, которые ведут к изменениям в целостности структур головного мозга, а именно тех его областей, которые ответственны за изменение поведения и восприятия.
Чаще всего к данной проблеме приводят повреждения теменной и затылочной областей коры, расстройство кровообращения, ведущее к слабоумию, болезни Альцгеймера и Паркинсона, энцефалит, провоцирующий отек и нарушения в работе нервной системы.

Симптомы агнозии
Страдающие недугом, не способны узнать предмет, определить текстуру, форму, назначение, не могут распознать звуки, некоторые не могут правильно воспринимать свое тело.
Виды агнозии
Проявления агнозии зависят от расположения патологического очага в мозге. Наиболее распространены тактильные, зрительные и слуховые агнозии.
Существует несколько видов агнозий:
Диагностика
При постановке диагноза обязательно правильно собрать все сведения, уточнить, когда появились первые симптомы, учитывать перенесенные заболевания, травмы, наличие онкологии. Клиническая картина должна быть полностью описана и проанализирована, возможно проведение специальных тестов на установление формы агнозии.
Невролог должен оценить психические функции, зрительные поля, чувствительность кожи, способность распознавать текст, счет.
Окулист и отоларинголог определяют степень нарушения остроты зрения и слуха.
Обязательна работа нейропсихолога с использованием специальных таблиц, анкет, тестов. Если потребуется, назначают наблюдения у психиатра, кардиолога.
В наш век компьютерной и магнитно-резонансной диагностики данные методики могут без труда определить наличие или отсутствие очага нарушения кровообращения, опухоли или черепно-мозговой травмы, локализацию, выраженность процесса, что позволяет эффективнее разработать методы лечения для каждого конкретного больного.
Лечение
Восстановление после агнозии может зависеть от типа, размера, характера повреждений, возраста больного, эффективности терапии. Если причина обратима, то восстановление чаще всего происходит в пределах первых 3 месяцев, но в целом длится до одного года.
Терапия сводится к лечению основного заболевания.
Если это опухоль, проводят операцию по ее удалению. Если это хроническое нарушение кровообращения, назначают комплексное лечение с использованием ноотропных препаратов, витаминов, антиагрегантов, также требуется контроль за артериальным давлением. Нейропсихические заболевания корректируются назначением антихолинэстеразных лекарственных средств.
Определенных методов воздействия и специальных методик для лечения агнозии сегодня не разработано. Считается, что в первую очередь необходимо избавиться от фактора, который способствовал нарушению восприятия, а уже после провести коррекцию, направленную на восстановление состояния.
В связи с этим, в рекомендациях тактики ведения таких больных включены логопедические занятия (показаны при слуховых нарушениях), работа с психологами, в том числе психотерапевтические сеансы, занятия с педагогами, а также вовлечение больных в трудовой процесс.
При серьезных нарушениях реабилитация может затянуться на год и более.
При своевременной диагностике агнозии, грамотном ее лечении с использованием, в том числе, коррекционных мероприятий со специалистами, можно добится абсолютного восстановления работы всех анализаторов.
Конечно, если пустить все на самотек или заняться самолечением, игнорировать первые сигналы нарушений и обратиться в больницу слишком поздно, прогноз может быть печальный вследствие необратимых нарушений.
Чтобы предупредить развитие данной аномалии очень важно беречь свое здоровье и прислушиваться к своему организму (отмечать возникновение дискомфорта, неприятных ощущений). Нужно полноценно питаться, быть физически активным, не злоупотреблять алкоголем, постараться избавиться от вредных привычек и регулярно проходить плановые осмотры у специалистов.
Агнозия — виды, симптомы, диагностика и лечение

Информацию из данного раздела нельзя использовать для самодиагностики и самолечения. В случае боли или иного обострения заболевания диагностические исследования должен назначать только лечащий врач. Для постановки диагноза и правильного назначения лечения следует обращаться к Вашему лечащему врачу.
Агнозия — это редкое заболевание, которое поражает нервную систему и может вызвать значительные проблемы в повседневной жизни. Она вызвана повреждением отдельных участков мозга и может возникнуть либо внезапно — например, в результате инсульта или несчастного случая — либо развиваться медленно (например, когда у человека опухоль головного мозга).
Частным случаем весьма распространенного вида агнозии является — прозопагнозия (лицевая агнозия) — слепота на лица. Это значит, что человек не способен распознавать лица своих знакомых, родственников, близких и даже свое собственное отражение в зеркале.

прозопагнозия
Причиной такого состояния, когда отсутствуют навыки распознавания лиц является нарушение функций мозга, иными словами, мозг физически не способен этого сделать.
Прозопагнозия или лицевая слепота, бывает двух видов: врожденная и приобретенная. Приобретенная почти всегда является следствием серьезной травмы мозга, которая отвечает за распознавание лиц. Первый тип прозопагнозии присутствует у человека с рождения, причина – отсутствие в мозге нужных нейронных связей.
Какие функции нарушает агнозия?
При агнозии пациенту будет трудно или невозможно распознать предметы, людей, звуки или запахи, даже если органы чувств работают нормально. Так, например, при расстройствах зрительного характера, пациент не в состоянии распознать объекты, на которые он смотрит. Причина такого расстройства: повреждение доли головного мозга, отвечающей за зрение.

Агнозия не вызвана потерей памяти, но она может быть вызвана слабоумием.
Виды агнозии
Существует 3 основных типа агнозии:
- зрительная агнозия — неспособность распознавать предметы или людей с помощью зрения;
- слуховая агнозия — неспособность распознавать звуки;
- тактильная агнозия — неспособность распознавать предметы на ощупь.
Для каждого из этих типов существуют различные подтипы. Например, некоторые люди с визуальной агнозией, как мы уже рассказали выше, испытывают трудности с распознаванием лиц, другие испытывают трудности с распознаванием цветов (цветовая агнозия), третьи испытывают трудности с распознаванием слов (агностическая Алексия), а остальные испытывают различные проблемы со зрением.Также возможна агнозия, которая влияет на способность распознавать запахи (известная как обонятельная агнозия) или вкус (известная как вкусовая агнозия).
Каковы симптомы агнозии?
Симптоматика агнозии зависит от ее типов. Например, если у человека зрительная агнозия, ему может быть трудно выбрать между ножом и вилкой или определить правильные предметы одежды. Могут быть отмечены проблемы с распознаванием знакомых лиц.
При слуховой агнозии человек теряет способность к распознаванию голоса и тембра людей, не способен определять знакомые мелодии или самый простой бытовой пример – понимать, что звонит телефон.
Тактильная агнозия лишает способности распознавать объекты, не используя свое зрение; человек с такой проблемой не сможет на ощупь отличить кусок металла от куска дерева, не посмотрев на них.
Как диагностируется агнозия?
Для диагностики агнозии, прежде всего, врач соберет анамнез:
- задаст вопросы о патологической симптоматике и общем самочувствии;
- проведет тест на идентификацию некоторых объектов с помощью зрения, осязания и обоняния;
- проверит или исключит другие возможные причины необычных симптомов (тесты слуха и зрение);
- проверит функции мозга и памяти.
Также, как правило, назначается лучевая диагностика головного мозга, КТ или МРТ.

Как лечится агнозия?
Можно ли лечить агнозию, будет зависеть от факторов, которые включают тип агнозии, ее причины и симптомы.
Поскольку, нет исключительных лекарственных препаратов, способных полностью победить агнозию,усилия врачей будут направлены на установление основной причины состояния, после чего будет рекомендована терапия и выбрана тактика лечения.
Одной из самых распространенных причин агнозии являются опухолевые процессы, которые определяются с помощью методов лучевой диагностики. И, если сканирование мозга показало, что опухоль растет и подавляет основные важные функции пациента, лечение будет хирургическим.

Жизнь с агнозией
Агнозия способна вызвать значительные проблемы в повседневной бытовой и социальной жизни, а также повлиять на отношение окружающих к человеку, страдающего этим заболеванием. Есть несколько универсальных советов, которые смогут помочь близкому человеку с этим сложным заболеванием:
Агнозия
Агнозия — расстройство восприятия информации, которое происходит при поражении корковых структур мозга. Органы чувств, отвечающие за зрительное, слуховое и тактильное восприятие, остаются сохранны. При этом человек не видит перед собой предметы, вместо музыки слышит назойливый шум, не понимает речь и может потеряться в знакомом ему месте. Агнозия может произойти после инсульта или черепно-мозговой травмы, при опухолях головного мозга, рассеянном склерозе, болезни Альцгеймера. Также агнозия может быть врождённым состоянием.
Виды агнозий
Зрительная агнозия — нарушение зрительного восприятия, распознавания предметов, цветов, лиц, пространств.
Акустическая агнозия — нарушение слухового восприятия, распознавания звуков и речи.
Сенсорная агнозия — нарушение осязательного восприятия.
Обонятельная агнозия — нарушение распознавания запахов.
Вкусовая агнозия — нарушение анализа вкусовых ощущений.
Зрительная агнозия
При зрительной агнозии видимый мир распадается на фрагменты, не связанные между собой. Человек не различает предметы в пространстве и на изображениях, может путать цвета и не узнавать знакомых ему людей. Единого объяснения природы зрительной агнозии, поэтому нет и единой классификации такого вида нарушения. Как правило специалисты выделяют предметную, лицевую, цветовую и символическую (буквенную) зрительную агнозию.
Цветовая агнозия
- невозможность различать оттенки одного цвета;
- невозможность ассоциировать цвет со словом или с предметом (например, лимон — жёлтый, мак — красный);
- невозможность различать смешанные тона (коричневый, пурпурный, фиолетовый, пастельный).
Одни люди с цветовой агнозией не могут различать базовые цвета, другие — могут распознать красный, синий, зелёный, белый цвета, при этом испытывают проблемы с цветоощущением.
Агнозия на лица
Человек не различает черты лица и знакомых ему людей. При тяжелых формах лицевой агнозии человек не может узнать себя в зеркале. В некоторых случаях человек может видеть нос, глаза, рот и уши, но не воспринимает их как части единого целого. Люди с агнозией на лица пытаются ориентироваться на другие признаки окружающих людей, чтобы отличать их друг от друга.
Предметная агнозия
Буквенная (символическая) агнозия — неспособность к письму, «приобретенная неграмотность». Речь и память сохранена, при этом человек не может различать буквы и цифры.
Оптико-пространственная агнозия
При таком виде агнозии человек не может ориентироваться в знакомых местах, в том числе, в собственной квартире, не может найти свой дом, идентифицировать здания или знакомые многим объекты в городском пространстве. При некоторых видах оптико-пространственных агнозий человек путает понятия “дальше-ближе”, “слева-справа”, “выше-ниже”. Кроме того, человек не ориентируется в сторонах света, не может пользоваться картами и системами навигации.
Одни люди с цветовой агнозией не могут различать базовые цвета, другие — могут распознать красный, синий, зелёный, белый цвета, при этом испытывают проблемы с цветоощущением.
Агнозия на лица
Человек не различает черты лица и знакомых ему людей. При тяжелых формах лицевой агнозии человек не может узнать себя в зеркале. В некоторых случаях человек может видеть нос, глаза, рот и уши, но не воспринимает их как части единого целого. Люди с агнозией на лица пытаются ориентироваться на другие признаки окружающих людей, чтобы отличать их друг от друга.
Предметная агнозия
Буквенная (символическая) агнозия — неспособность к письму, «приобретенная неграмотность». Речь и память сохранена, при этом человек не может различать буквы и цифры.
Оптико-пространственная агнозия
При таком виде агнозии человек не может ориентироваться в знакомых местах, в том числе, в собственной квартире, не может найти свой дом, идентифицировать здания или знакомые многим объекты в городском пространстве. При некоторых видах оптико-пространственных агнозий человек путает понятия “дальше-ближе”, “слева-справа”, “выше-ниже”. Кроме того, человек не ориентируется в сторонах света, не может пользоваться картами и системами навигации.
Агнозия
Агнозия – неспособность идентифицировать объект с помощью одного или более органов чувств. Диагноз устанавливается на основании клинических симптомов, часто с использованием нейропсихологического исследования и применением методов визуализации мозга (КТ, МРТ) для идентификации причины. Прогноз зависит от характера и степени поражения, а также возраста пациента. Специфического лечения не существует, однако логопедическое лечение и реабилитационная терапия помогают достичь компенсации состояния.
Агнозии встречаются редко.
Этиология агнозии
Агнозия возникает в результате повреждения (например, при инфаркте Ишемический инсульт Ишемический инсульт является внезапной неврологической недостаточностью, вызванной очаговой ишемией головного мозга с постоянным инфарктом мозга (например, положительные результаты при диффузионно-взвешенном. Прочитайте дополнительные сведения , абсцессе Абсцесс головного мозга Абсцесс головного мозга представляет собой локальное скопление гноя в веществе мозга. Клиническая картина может включать в себя головную боль, вялость, лихорадку и очаговую неврологическую симптоматику. Прочитайте дополнительные сведения ) или дегенерации областей мозга, связанных с восприятием, памятью и идентификацией (например, болезнь Альцгеймера Болезнь Альцгеймера Болезнь Альцгеймера вызывает прогрессирующую утрату когнитивных способностей и характеризуется накоплением бета-амилоида и образованием нейрофибриллярных клубочков в коре головного мозга и подкорковом. Прочитайте дополнительные сведения , деменция при болезни Паркинсона Деменция с тельцами Леви и деменция при болезни Паркинсона Деменция с тельцами Леви включает клинически диагностированную деменцию с тельцами Леви, а также деменцию, возникающую при болезни Паркинсона. Деменция с тельцами Леви характеризуется хроническим. Прочитайте дополнительные сведения ). Пораженная область, как правило, является унимодальной ассоциативной корой для пораженной чувствительности.
Типы агнозии
Некоторые варианты поражения мозга вызывают различные формы агнозии, которые могут быть связаны с любым видом чувствительности. Как правило, только один вид чувствительности поражен:
Слух (слуховая агнозия – неспособность идентифицировать объекты по воспринимаемому звуку, такому как звонок телефона)
Вкус (вкусовая агнозия)
Запах (обонятельная агнозия)
Касание (соматосенсорная агнозия)
Зрение (визуальная агнозия)
Например, пациенты с соматосенсорной агнозией испытывают трудности с определением знакомого объекта (например, ключ, английская булавка), который помещается в руку на стороне тела, противоположной повреждению. Однако, когда они смотрят на объект, то сразу узнают и могут идентифицировать его.
Другие формы агнозии включают очень специфические и сложные процессы в пределах одного вида чувствительности.
Прозопагнозия - невозможность узнавать известные лица, включая близких друзей или, в других случаях, выделять отдельные объекты среди класса объектов, несмотря на способность идентифицировать черты лица и объекты. Прозопагнозия часто присутствует при повреждении инферотемпоральной коры —часто при двусторонних небольших повреждениях, особенно в веретеновидной извилине.
Анозогнозия — это отсутствие понимания наличия дефицита или отсутствие понимания сути дефицита. Она часто сопровождает повреждение правой, недоминантной теменной доли (обычно вследствие острого инсульта или травмы). Пациенты с множественными нарушениями могут не знать об одном из них, но в полной мере осознают другие. Пациент с анозогнией отрицает свое заболевание, настаивая на том, что нет ничего ненормального, даже когда одна сторона тела полностью парализована. При демонстрации парализованной части тела пациент может отрицать, что она принадлежит ему.
Часто встречающийся феномен: пациенты игнорируют парализованную или нечувствительную часть тела («выпадение половины туловища») или пространство вокруг них («выпадение половины пространства»). Одностороннее пространственное игнорирование чаще всего связано с левой стороной тела.
Симултанагнозия - неспособность видеть больше одного объекта или компонента объекта одновременно; пациенты не могут воспринимать всю картину целиком. Например, на изображении кухонного стола с едой и различной посудой на нем, они говорят, что видят только один предмет, например, ложку. Симултанагнозия обычно возникает в результате билатерального повреждения теменно-затылочного соединения.
Синдром Балинта является триадой симультанной агнозии, атаксии зрительного нерва (нарушенное восприятие зрительных мишеней) и апраксии глаза (неспособность контролировать произвольные движения глаз, хотя глаза могут двигаться спонтанно во всех направлениях). Синдром Балинта представляет собой перцептивно-двигательную дисфункцию, которая двухсторонне поражает гетеромодальную кору дорсальной затылочно-теменной области.
Поражения затылочно-височной коры могут вызывать агнозию, связанную с нарушениями зрительного восприятия, включая:
Неспособность узнавать знакомые места (пространственная агнозия)
Зрительные нарушения (визуальная агнозия)
Правосторонние височные повреждения могут вызвать:
Неспособность интерпретировать звуки (слуховая агнозия)
Отсутствие восприятия музыки (амузия)
Диагностика агнозии
У постели, пациента просят идентифицировать обычные объекты, используя разные органы чувств (зрение, осязание или другие). Если есть подозрение на одностороннее пространственное игнорирование, то пациента просят идентифицировать парализованные части тела или объекты в соответствующих половинах пространства.
Более детальное неврологическое обследование Неврологический осмотр, введение Неврологический осмотр начинается с тщательного наблюдения за пациентом, поступающим в отделение диагностики, и продолжается в ппроцессе сбора анамнеза. Пациенту следует как можно меньше помогать. Прочитайте дополнительные сведения проводится для выявления основных нарушений отдельных чувств или способности общаться, что может помешать исследованию агнозий. К примеру, если нарушена тактильная чувствительность, то пациенты могут не ощущать объект даже при сохранении корковой функции. Также, афазия может затруднять выражение мыслей пациентом.
Выявить более тонкие формы агнозии позволяет нейропсихологическое тестирование. Нейропсихологическое тестирование является стандартизированным тестированием, которое предоставляет информацию о структурной и функциональной целостности мозга. Оно оценивает интеллект, способность к целенаправленной деятельности (например, планирование, абстрактное мышление, концептуализацию), внимание, память, язык, восприятие, сенсомоторные функции, мотивацию, настроение и эмоции, качество жизни и личность.
Визуализация мозга (например, КТ или МРТ с ангиографией или без нее) необходима для определения центральных поражений (например, инфаркта, кровоизлияния, объемного внутричерепного процесса), а также выявления атрофии коры, характерной для дегенеративных заболеваний.
Читайте также:
