Синдром гипоплазии левых отделов сердца
Добавил пользователь Евгений Кузнецов Обновлено: 27.01.2026
УДК: 616.12-089
Год издания: 2017
Хирургическое лечение комплекса гипоплазии левых отделов сердца у детей
Термин «синдром гипоплазии левых отделов сердца» является в некоторой степени собирательным и неспецифичным, так как он объединяет в себе различные анатомические варианты гипоплазии структур левой половины сердца. Тем не менее, чаще всего его употребляют в отношении атрезии либо стеноза аорты (Ао), а также атрезии либо стеноза митрального клапана (МК), сочетающихся с практически полным отсутствием полости левого желудочка (ЛЖ), неспособного поддерживать системную циркуляцию. С целью определения степени тяжести данной группы врожденных пороков сердца (ВПС) в 1993 г. J. Kirklin и В. Barratt-Boyes разработали соответствующую классификацию, а также описали совокупность абсолютных параметров, характеризующих синдром гипоплазии левых отделов сердца (СГЛОС): площадь митрального клапана менее 4,75 см 2 /м 2 , размер приточного отдела левого желудочка менее 25 мм, индексированный размер конечного диастолического объема левого желудочка менее 20 мл/м 2 , отношение между длинной осью и основанием полости ЛЖ к аналогичным параметрам полости правого желудочка (ПЖ) менее 0,8 и диаметр кольца аортального клапана менее 6 мм.
Немного позднее С. Tchervenkov с соавт. ввели термин «комплекс гипоплазии левого сердца». Для постановки данного диагноза у пациента должны быть выявлены следующие критерии: гипоплазия митрального клапана без стеноза, гипоплазия левого желудочка, сужение выводного отдела левого желудочка (ВОЛЖ), гипоплазия аортального клапана (АоК) без стеноза, гипоплазия дуги аорты и наличие антеградного потока крови через левые отделы сердца и восходящую аорту.
Принципиальное отличие между синдромом и комплексом гипоплазии левых отделов сердца заключается в тактике хирургического лечения. Так, например, пациенты с СГЛОС подвергаются трансплантации сердца либо этапной гемодинамической коррекции ВПС по одножелудочковому пути с исходом в операцию Фонтена. Наличие же комплекса гипоплазии левых отделов сердца предполагает возможность выполнения двухжелудочковой коррекции порока. При этом в последнем случае важное значение отводится оценке параметров левого желудочка и его способности обеспечивать системный кровоток. В итоге выбор тактики хирургического лечения каждого пациента основывается на тщательном анализе предоперационных данных эхокардиографии, ангиокардиографии, магнитно-резонансной томографии и пр. Для удобства оценки полученных результатов обычно используется шкала Z-score, которая представляет собой количество стандартных отклонений по рассматриваемому показателю от среднестатистического значения в данной возрастной группе.
С целью разработки дифференцированного алгоритма хирургического лечения комплекса гипоплазии левых отделов сердца нами проведен анализ результатов выполнения двухжелудочковой коррекции данного ВПС у соответствующей группы пациентов.
Объектом исследования явились 10 детей (4 мальчика и 6 девочек со средним сроком гестации 38,7±0,97 недели), проходивших стационарное лечение в РНПЦ детской хирургии в период с 2012 по 2015 гг. У двух из них комплекс ГЛОС сочетался с дефектом межжелудочковой перегородки (ДМЖП), у одного - с промежуточной формой атриовентрикулярной коммуникации. Возраст детей на момент госпитализации колебался от 4 до 76 сут (медиана 23,5 дня), а средний вес составил 3,3±0,32 кг. Учитывая наличие дуктусзависимой гемодинамики у всех пациентов из данной группы в предоперационном периоде поддерживалось функционирование открытого артериального протока путем внутривенного титрования PgE.
Оперативное лечение всех пациентов с комплексом ГЛОС осуществлялось с соблюдением нескольких основополагающих для данного заболевания принципов: коррекция патологии аорты, устранение интракардиальных шунтов для обеспечения адекватной преднагрузки левых отелов сердца и создание фенестрации на уровне предсердий с целью профилактики левожелудочковой недостаточности в послеоперационном периоде.
В ходе двухжелудочковой коррекции комплекса ГЛОС 5 детей были подвергнуты пластике дуги аорты, при этом одному из них потребовалось предварительное выполнение процедуры Рашкинда. Все операции в данной группе проводились в условиях искусственного кровообращения, длительность которого колебалась от 71 до 218 мин (медиана 102 мин). При этом среднее время ишемии миокарда составило 20,0±6,08 минуты, а уровень гипотермии - 27°,±1,73°С. Еще троим детям была выполнена одномоментная пластика коарктации аорты и ДМЖП. В отношении одного ребенка была избрана тактика двухэтапного хирургического лечения - билатеральное бандирование ветвей легочной артерии и атриосептэктомия с последующей пластикой коарктации аорты спустя 40 сут. Изолированная рентгеноэндоваскулярная баллонная дилатация коарктации аорты с целью коррекции комплекса ГЛОС также производилась одному ребенку.
Госпитальная и внегоспитальная летальность в данной группе пациентов отсутствовала, в то время как ранние послеоперационные осложнения наблюдались в 20,0% случаев (один случай острой почечной недостаточности, потребовавший перитонеального диализа, и один - гемодинамически значимой суправентрикулярной тахикардии). Длительность пребывания пациентов в отделении интенсивной терапии составила 11,8±5,40 сут, продолжительность ИВЛ - 4,7±2,86 сут. Кардиотоническая и вазопрессорная поддержка на протяжении нескольких первых дней во всех случаях осуществлялась с использованием адреналина (0,1±0,06 мкг/кг/мин) и милринона (0,4±0,22 мкг/кг/мин). Впоследствии все включенные в данное исследование дети были в удовлетворительном состоянии выписаны из клиники с рекомендацией регулярного амбулаторного наблюдения по месту жительства.

Таблица 1 — Морфологическая характеристика пациентов до и после выполнения двухжелудочковой коррекции комплекса ГЛОС
Исходя из опыта выполнения двухжелудочковой коррекции комплекса гипоплазии левых отделов сердца в настоящий момент не найдено исчерпывающих и достоверных критериев, которые смогли бы определить оптимальную тактику хирургического лечения для данной категории пациентов.
Область применения: кардиохирургия
Рекомендации по использованию: результаты исследования могут быть использованы при выборе тактики хирургического лечения гипоплазии левых отделов сердца у детей.
Предложения по сотрудничеству: совместные исследования по указанной тематике.
СГЛОС — Синдром гипоплазии левых отделов сердца
Еще совсем недавно этот порок был смертельным абсолютно во всех случаях. Ребенок погибал в течение первой недели жизни, и никакой хирургической помощи ему оказать было невозможно.
Сегодня дело обстоит иначе и, если все сделано вовремя и правильно, то есть хорошие шансы его спасти. Именно спасти, т.к. сразу после рождения время его жизни отсчитывает не месяцы и дни — а часы, и даже минуты.
Слово гипоплазия означает «уменьшение в размерах». При этом пороке левый желудочек, т.е. главный, основной — почти полностью не развился. Но мало этого. Вместе с ним не развился ни вход в него, т.е. митральный клапан, ни выход, т.е. участок восходящей аорты вместе с ее клапаном. Вместо аорты имеется небольшой сосудик диаметром 1-3 миллиметра, по которому кровь поступает в коронарные артерии, а участка восходящей аорты — нет.
Диагноз может быть установлен еще внутриутробно , и это — чрезвычайно важный момент, когда и родители, и врачи должны взвесить все имеющиеся возможности для оказания немедленной помощи. Важна тут не только подготовка к немедленным действиям, но и абсолютная решимость пройти с ребенком весь трудный поэтапный путь его дальнейшего лечения, который займет несколько первых лет его жизни.
Каждый из этих этапов для ребенка может оказаться последним, так как все они связаны с огромным риском. Но всегда, даже если это слабое утешение, надо помнить, что и вы, и врачи сделали все сегодня возможное, чтобы его спасти.
Этапы лечения
Первую операцию выполняют в первые дни жизни. Подходы к первому этапу хирургической коррекции могут быть различными и зависят от клиники, мастерства хирурга, готовность кардиохирургического стационара к выхаживанию и ведению этой экстремально сложной категории пациентов. Это может быть и операция с искусственным кровообращением, иногда — достаточно длительная, т.к. нужно сделать полную реконструкцию резко суженной восходящей аорты. Это достигается вшиванием эластичного биологического протеза такой формы, что в результате легочная артерия и аорта становятся единственным сосудом, отходящим от правого (единственного) желудочка. Чтобы обеспечить достаточное смешение крови, создают большой дефект межпредсердной перегородки, а кровоток в легкие направляют через артерио-легочный анастомоз. Как можно видеть из этого описания, это очень большая и сложная операция, которую можно делать исключительно в центрах, имеющих большой опыт операций на сердце у новорожденных детей.
Но даже в самых крупных и известных во всем мире учреждениях США смертность после этого этапа достигает 20-40 процентов.
Мы приводим эти цифры, чтобы подчеркнуть, что при синдроме гипоплазии левых отделов сердца хирургия — это единственный возможный, но далеко не безопасный путь. Но, поскольку мы говорим о спасении жизни, то даже сами попытки всегда оправданы.
В последние годы в нескольких клиниках мира внедрен метод, выживаемость после которого близка к 90% — так называемая гибридная операция стентирования открытого артериального протока и двустороннего раздельного суживания легочных артерий.
Если все прошло хорошо, то вторую операцию рекомендуют делать в 4-10 месяцев. При этом делается анастомоз между верхней полой веной и легочной артерией, или «половина» операции Фонтена. И, наконец, в возрасте полутора–двух лет ребенку делают третий этап — окончательную паллиацию по Фонтену, после которой круги кровообращения полностью разделены.
В клиниках, имеющих большой опыт подобных операций, второй и третий этапы значительно менее рискованны, чем первый — наиболее трудный. Ребенку предстоит жизнь с одним желудочком и все, сказанное выше о пороках, для которых операция Фонтена является заключительным этапом хирургического лечения, относится в полной мере и к этому пороку.
Еще 10-15 лет назад дети с синдромом гипоплазии левых отделов сердца не подлежали операции вообще. А ведь синдром — один из пяти наиболее часто встречающихся врожденных пороков сердца. Сегодня помощь этим детям возможна, хотя и не всегда. Но если вы и ваши кардиологи это знают, то надо действовать. И пусть «надежды маленький оркестрик под управлением любви» никогда не оставляет вас на этом трудном пути.
Синдром гипоплазии левых отделов сердца: трудности диагностики в пренатальном периоде
В статье обсуждены допускающиеся диагностические ошибки при синдроме гипоплазии левых отделов сердца с митральной атрезией и интактной межжелудочковой перегородкой. Нередко в пренатальном периоде в таких случаях ошибочно диагностируется «общий атриовентрикулярный канал». Обсуждены тонкости и возможности дифференциальной диагностики этих пороков в пренатальном периоде. Представлен ультразвуковой признак, который был назван нами «хоккейная клюшка с шайбой», характеризующий ретроградный поток крови в дуге аорты. Данный признак диагностируется при цветовом доплеровском картировании сагиттального среза дуги артериального протока и может служить маркером атрезии митрального/аортального клапана.
Ключевые слова
Об авторах
Нормурадова Нодира Мурадуллаевна – кандидат медицинских наук, доцент кафедры ультразвуковой диагностики
отсутствие конфликта интересов, о котором необходимо сообщить
Фазилов Акрам Акмалович
700097, Ташкент, Чиланзар, Ц 44-37
отсутствие конфликта интересов, о котором необходимо сообщить
Расулова Муниса Мирмислимовна
700097, Ташкент, Чиланзар, Ц 44-37
отсутствие конфликта интересов, о котором необходимо сообщить
Список литературы
1. Смирнов Н.Н., Стремоухова И.Т., Пахомов И.В. Гипопластический синдром левых отделов сердца в пренатальном периоде // Ультразвуковая диагностика в акушерстве, гинекологии и педиатрии. — 2001. — № 1. — С. 8–12. [Smirnov NN, Stremoukhova IT, Pakhomov IV. Gipoplasticheskii sindrom levykh otdelov serdtsa v prenatal’nom periode. Ul’trazvukovaya diagnostika v akusherstve, ginekologii i pediatrii. 2001;(1):8–12. (In Russ).]
2. Медведев М.В. Пренатальная эхография. Дифференциальный диагноз и прогноз. — 4-е изд., доп., перераб. — М.: Реал Тайм; 2016. — 640 с. [Medvedev MV. Prenatal’naya ekhografiya. Differentsial’nyi diagnoz i prognoz. 4th ed., add. and rev. Moscow: Real Taim; 2016. 640 p. (In Russ).]
3. Wojtowicz А, Raczka М, Kordon Z, et al. Hypoplastic left heart syndrome: from the prenatal to the postnatal period. Ginekologia Polska. 2021;92(4):289–299. doi: 10.5603/GP.a2020.0160
4. Комарова И.В., Иванова Е.Н. Пренатальная диагностика единого желудочка сердца: так ли все просто на практике? // Пренатальная диагностика. — 2011. — Т. 10. — № 3. — С. 230–235. [Komarova IV, Ivanova EN. Prenatal’naya diagnostika edinogo zheludochka serdtsa: tak li vse prosto na praktike? Prenatal diagnosis. 2011;10(3):230–235. (In Russ).]
5. Затикян Е.П. Эхокардиографическая оценка выраженности анатомических и гемодинамических изменений при синдроме гипоплазии левых отделов сердца: динамическое наблюдение от плода к новорожденному // Ультразвуковая и функциональная диагностика. — 2000. — № 3. — С. 29–35. [Zatikyan EP. Echocardiographical Rating of an Anatomical and Hemodynamical Changes in a Left Heart Hypoplasia Syndrome: from Fetus to Neonatal. Ultrasound and functional diagnostics. 2000;(3):29–35. (In Russ).]
6. Rasiah SV, Ewer AK, Miller P, et al. Antenatal perspective of hypoplastic left heart syndrome: 5 years on. Arch Dis Child Fetal Neonatal Ed. 2008;93(3):192–197. doi: 10.1136/adc.2006.112482
7. Pruetz JD, Carroll C, Trento LU, et al. Outcomes of critical congenital heart disease requiring emergent neonatal cardiac intervention. Prenat Diagn. 2014;34(12):1127–1132. doi: 10.1002/pd.4438
Синдром гипоплазии левых отделов сердца
ФГБУ "Уральский научно-исследовательский институт охраны материнства и младенчества" Минздрава России, Екатеринбург, Россия
ФГБУ «Уральский научно-исследовательский институт охраны материнства и младенчества» Минздрава России, Екатеринбург, Россия
ФГБУ «Уральский научно-исследовательский институт охраны материнства и младенчества» Минздрава России, Екатеринбург, Россия
ФГБУ «Уральский научно-исследовательский институт охраны материнства и младенчества» Минздрава России, Екатеринбург, Россия
Вариант внутриутробной коррекции осложнения гипопластического синдрома левых отделов сердца
Журнал: Российский вестник акушера-гинеколога. 2015;15(1): 56‑59
ФГБУ "Уральский научно-исследовательский институт охраны материнства и младенчества" Минздрава России, Екатеринбург, Россия
Цель исследования — изучение возможности применения современных методик внутриутробной хирургической коррекции тяжелых врожденных пороков сердца. Материал и методы. Приведено наблюдение пациентки 36 лет, повторнобеременной, страдающей сахарным диабетом, у которой в 20 нед беременности при ультразвуковом исследовании сердца плода поставлен диагноз: фиброэластоз эндокарда левого желудочка, дилатационная форма с уменьшенной систолической функцией, критический стеноз аортального клапана, недостаточность митрального клапана. В сроке 27—28 нед беременности сформировалась гипоплазия левых отделов сердца плода. Результаты. В 30 нед беременности под постоянным ультразвуковым контролем была проведена внутриутробная вальвулопластика овального окна. Родоразрешение в 34—35 нед беременности по акушерским показаниям. Родился живой мальчик массой тела 2090 г, длиной 43 см с оценкой по шкале Апгар 6—7 баллов. В течение 10 дней проводились наблюдение и лечение в детской клинике. В возрасте 11 дней при декомпенсации сердечно-сосудистой деятельности новорожденный погиб. Заключение. Создание дефекта в межпредсердной перегородке у плодов с тяжелыми пороками сердца, приводящими к гипоплазии левых отделов сердца, предотвращает ухудшение состояния таких новорожденных сразу после родов и дает возможность провести предоперационную подготовку к вальвулопластике аорты.
ФГБУ "Уральский научно-исследовательский институт охраны материнства и младенчества" Минздрава России, Екатеринбург, Россия
ФГБУ «Уральский научно-исследовательский институт охраны материнства и младенчества» Минздрава России, Екатеринбург, Россия
ФГБУ «Уральский научно-исследовательский институт охраны материнства и младенчества» Минздрава России, Екатеринбург, Россия
ФГБУ «Уральский научно-исследовательский институт охраны материнства и младенчества» Минздрава России, Екатеринбург, Россия
Гипоплазия левых отделов сердца (ГЛОС) является одним из наиболее тяжелых врожденных пороков сердца (ВПС) и причиной смерти детей, рожденных с пороком сердца, в 20—25% случаев. Распространенность порока составляет 7—9%, у мальчиков он встречается в 2 раза чаще, чем у девочек [1—4]. На 100 тыс. новорожденных обычно рождается 16 живых детей с ГЛОС. Характерным анатомическим признаком порока является увеличенный правый желудочек (ПЖ) с отходящей от него резко расширенной легочной артерией. Верхушка сердца образована П.Ж. Восходящая аорта представляет собой сосуд диаметром несколько миллиметров. Полость левого желудочка уменьшена в 5—7 раз (рис. 1).

Рис. 1. Гипоплазированный левый желудочек сердца плода в 21 нед беременности. Фиброэластоз эндокарда левого желудочка. Макропрепарат (собственное наблюдение).
В настоящее время существует недостаточно сведений о причинах развития ГЛОС. В большинстве случаев данный порок, как полагают, возникает вторично из-за сниженного потока крови в левом желудочке (ЛЖ) сердца плода, однако в некоторых случаях недостаточный рост ЛЖ может быть первичным дефектом [5]. Существуют убедительные доказательства генетической этиологии ГЛОС, при этом очень мало известно о самих генетических механизмах, лежащих в основе ГЛОС. У 19% родственников младенцев с ГЛОС имеются ВПС. Кроме того, есть несколько хромосомных нарушений, которые связаны с ГЛОС. Так, 10% всех младенцев с ГЛОС рождаются с терминальной делецией 11q (Jacobsen syndrome). Мутация в одном гене (сердечный транскрипционный фактор NKX2.5) была выявлена у пациентов именно с этим пороком [6—8].
Особенности гемодинамики при ГЛОС состоят в следующем: венозная кровь из ПЖ поступает в легкие. Оксигенированная кровь смешивается с венозной в правом предсердии (ПП), поступая туда через дефект межпредсердной перегородки (МЖП). При этом ПЖ функционирует как общий для большого и малого кругов кровообращения. Создаются высокое давление в малом круге кровообращения и недостаточное поступление крови в большой. Поскольку отсутствует антеградный аортальный кровоток, системное кровообращение зависит от наличия открытого артериального протока. Закрытие открытого артериального протока приводит к глубокой гипоксии и циркуляторному коллапсу. Коронарные артерии перфузируются ретроградным путем.
При естественном течении порока 80% новорожденных погибают в течение первой недели жизни. При специальном изучении патологоанатомического материала не нашли корреляций между величиной открытого овального окна и продолжительностью жизни. Прогноз любого варианта синдрома ГЛОС плохой — 97% больных умирают в течение первого года жизни. Непосредственной причиной смерти служат сердечная недостаточность, пневмония и гипоксическое состояние.
Хирургическое лечение ГЛОС является наиболее сложным разделом кардиохирургии ВПС. По международной шкале оценки степени риска хирургического лечения (RACHS) ВПС эти операции относятся к самой сложной — 6-й группе. Прогнозируемая летальность при них достигает 47%.
Многолетние и многочисленные попытки найти оптимальные способы паллиативного лечения или гемодинамической коррекции синдрома ГЛОС (G. Cayler и соавт., 1970; R. VanPraagh, 1971; D. Doty, 1977, 1980; H. Mohri, 1979) представляют сегодня лишь исторический интерес. Признанным и принятым методом лечения в настоящее время является этапный метод, разработанный W. Norwood — единственным в мире хирургом в течение двух десятилетий систематически и творчески разрабатывающим данную сложнейшую проблему. С 1989 по 1992 г. W. Norwood произвел операции 154 детям с синдромом ГЛОС. Первый этап (паллиативный) перенесли 104 ребенка, 78 больных выжили после второго (корригирующего) этапа, включая создание кавопульмонального анастомоза, 27 детей — после выполнения всех трех этапов.
Хотя частота выживания новорожденных с ГЛОС продолжает увеличиваться, результаты лечения некоторых пациентов этой группы остаются неудовлетворительными. Одним из самых неблагоприятных факторов риска перинатальной смерти является закрытое овальное окно. Новорожденные с пренатальным закрытием данной фетальной коммуникации при ГЛОС имеют, по существу, более высокий риск смерти, чем без него. У новорожденных с этим диагнозом имеются 2 основные проблемы: 1) глубокая гипоксемия после рождения из-за ограниченного оттока из легочных вен и 2) хроническая легочная венозная гипертензия в период внутриутробного развития, что приводит к увеличению периоперационной заболеваемости и смертности. Таким образом, даже если послеродовое хирургическое вмешательство с целью открытия МЖП будет произведено быстро и эффективно, повреждение легочных сосудов может способствовать в дальнейшем снижению эффективности натальной оперативной помощи.
У плодов с ГЛОС и неповрежденной МЖП проведение баллонной дилатации овального окна может улучшить легочный венозный отток. Если из левого предсердия будет налажен отток крови до рождения ребенка, перинатальная гипоксия и ацидоз и связанные с ними проблемы могут быть предотвращены. Если декомпрессия левого предсердия может быть достигнута в достаточной степени в ранние сроки беременности, то это будет являться профилактикой патологического ремоделирования легочных вен. Американские коллеги B. Doff, D. McElhinney, W. Tworetzky [9—13] отмечают в своих публикациях, что есть технические ограничения в создании большого межпредсердного дефекта во II триместре. Таким образом, учитывая эти исследования, после проведения серии опытов на животных, обсуждения этой темы на этическом комитете НИИ охраны материнства и младенчества, мы сосредоточились на проведении данной операции в начале III триместра.
Цель исследования — изучение возможности применения современных методик внутриутробной хирургической коррекции тяжелых ВПС.
Материал и методы
Представляем первый в России опыт дилатации закрытого овального окна у плода с ГЛОС в 30 нед беременности у пациентки П., 36 лет, которая наблюдалась в ФГБУ «Уральский научно-исследовательский институт охраны материнства и младенчества» в связи с развитием беременности на фоне сахарного диабета 1-го типа с 20 лет. Настоящая беременность у нее вторая. Первая завершилась прерыванием по медицинским показаниям: у плода был выявлен врожденный порок развития центральной нервной системы — вентрикуломегалия.
В 20 нед беременности данной пациентке было проведено экспертное ультразвуковое исследование и установлен диагноз: фиброэластоз эндокарда ЛЖ, дилатационная форма с уменьшенной систолической функцией, критический стеноз аортального клапана, недостаточность митрального клапана и ретроградный поток крови в восходящей аорте. От прерывания беременности пациентка отказалась.
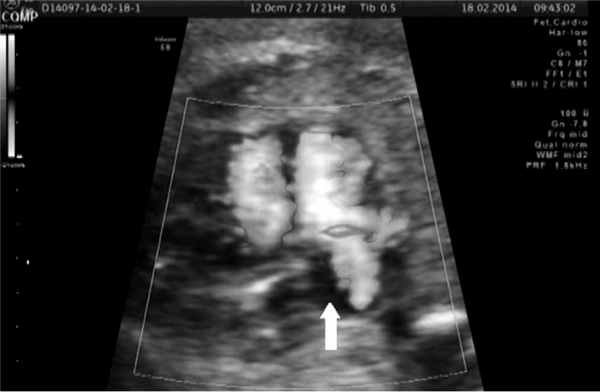
В сроке 27—28 нед беременности сформировалась ГЛОС с рестриктивным * овальным окном (рис. 2). После проведения перинатального консилиума пациентке была предложена вальвулопластика овального окна.

Рис. 2. Пациентка П., 27—28 нед беременности. ГЛОС с рестриктивным овальным окном.
Результаты и обсуждение
В 30 нед беременности нами совместно с сосудистым хирургом под постоянным ультразвуковым контролем проведена внутриутробная вальвулопластика овального окна. Через правое предсердие введен проводник в полость левого предсердия, а затем стандартный коронарный дилатационный баллонный катетер MINI TREK 2,0 × 12 мм (рис. 3).

Рис. 3. Баллонный катетер MINI TREK 2,0 × 12 мм.

Рис. 4. Эхокардиограмма пациентки П., 30 нед беременности. ГЛОС, открытое овальное окно после вальвулопластики.
Пациентка П. была родоразрешена по акушерским показаниям путем кесарева сечения в сроке 34—35 нед беременности. Новорожденный мальчик массой 2090 г, длина 43 см, дыхание самостоятельное, оценка по шкале Апгар 6—7 баллов. После консультации кардиохирурга непрерывно осуществлялось введение вазопростана с целью профилактики закрытия фетальных коммуникаций. В течение 10 дней ребенок наблюдался в детской клинике, готовился к переводу в детское кардиохирургическое отделение и в возрасте 11 дней жизни при декомпенсации сердечно-сосудистой деятельности новорожденный умер.
Патологоанатомическое исследование сердечно-сосудистой системы и крупных магистральных сосудов сердца
Выявлен морфологический комплекс ВПС — синдром ГЛОС:
— атрезия аортального клапана, гипоплазия митрального клапана;
— гипоплазия полости ЛЖ с компенсаторной гипертрофией (2-й степени) и расширением полости ПЖ;
— наличие фиброэластоза миокарда ЛЖ;
— наличие кальцинатов на створках митрального и трикуспидального клапанов.
Изменение гемоциркуляции при наличии ВПС обусловило ремодуляцию камер последнего. Присутствующие «функционирующие» фетальные коммуникации:
— аортальное отверстие боталлова протока диаметром 0,4 см (при декомпрессии — «активный» ток крови); норма «линейных» размеров для плода 8—10 мес гестации — 0,6 см;
— диаметр овального окна 0,6 см (норма «линейных» размеров диаметра овального окна — 0,5×0,8 (0,8×0,8) — 0,9×0,9 (1) см) (рис. 5).

Рис. 5. Препарат сердца новорожденного пациентки П. Сохраненное овальное окно.
Декомпенсация функций сердца произошла на 11-е сутки жизни.
Таким образом, создание дефекта в МЖП у данной группы пациентов действительно дает некоторое преимущество в плане предоперационной подготовки, так как новорожденные с дефектом ≥3 мм в МЖП имеют большее насыщение кислородом при рождении и реже нуждаются в срочной послеродовой декомпрессии левого предсердия. Хотя оценка послеродового выживания у пациентов с ГЛОС и проведенной внутриутробной коррекцией закрытого овального окна потребует большего числа наблюдений, потенциал для предотвращения послеродового ухудшения состояния таких новорожденных был нами продемонстрирован. У ребенка развилась декомпенсация состояния сердечно-сосудистой системы только на 11-й день жизни, а в первые часы жизни хирургическая паллиативная помощь (открытие овального окна) не потребовалась.
Недавние исследования наших американских коллег D. McElhinney и соавт. [14] дали обнадеживающие результаты: у 35—40% плодов с ГЛОС после вальвулопластики аортального клапана было сохранено бивентрикулярное кровообращение. В период с марта 2000 г. по октябрь 2008 г. 70 плодам они провели вальвулопластику аорты при критическом аортальном стенозе с развивающейся ГЛОС. Средний гестационный возраст на момент внутриутробного вмешательства был 23 нед. Процедура была технически успешной у 52 (74%) плодов. У 9 (13%) беременных произошли преждевременные роды. У 17 плодов была сохранена бивентрикулярная циркуляция крови в сердце.
Успешные операции вальвулопластики аорты останавливали изменения сердца у плодов с аортальным стенозом и развитие ГЛОС, способствовали бивентрикулярной системе кровообращения после рождения. Применение данной оперативной техники — это следующий этап внутриутробной помощи плодам с ГЛОС, внедряемый в ФГБУ «Уральский НИИ ОММ».
Необходимо подчеркнуть, что осуществление этих операций требует тщательной подготовки и слаженной работы всех служб, обеспечивающих диагностический, анестезиологический, хирургический и реанимационный этапы работы. Кроме того, большое значение имеет концентрация больных с такой патологией в одном центре, в котором по мере накопления опыта результаты лечения будут улучшаться.
Очень важен этап постнатальной кардиохирургической помощи данным новорожденным, так как хирургическое вмешательство на сердце новорожденного при ГЛОС требует высокой квалификации хирурга, а также оснащения кардиохирургического отделения современной аппаратурой, позволяющей проводить данные операции на этапе раннего неонатального периода, в том числе у недоношенных детей.
Выводы
Создание дефекта в межпредсердной перегородке у плодов с тяжелыми пороками сердца, приводящими к гипоплазии левых отделов сердца, предотвращает ухудшение состояния таких новорожденных сразу после родов и дает возможность провести предоперационную подготовку к вальвулопластике аорты.
Синдром гипоплазии левых отделов сердца

Синдром гипоплазии левых отделов сердца состоит из гипоплазии левого желудочка и восходящей аорты, недоразвития и гипоплазии аорты и митрального клапана (атрезия аорты часто присутствует), дефекта межпредсердной перегородки, а также открытого артериального протока. Если только нормальное закрытие открытого артериального протока не будет остановлено инфузией простагландина, последуют кардиогенный шок и смерть. Распространены громкий одиночный II тон сердца (S2) и неспецифический систолический шум. Диагноз ставят на основании результатов неотложной эхокардиографии. Окончательное лечение – многоэтапная хирургическая коррекция или трансплантация сердца.
Синдром гипоплазии левых отделов сердца (СГЛОС) составляет от 2% до 4% от врожденных аномалий сердца и является вторым из наиболее распространенных обструктивных поражений левых отделов сердца. Поскольку митральный клапан, левый желудочек и аортальный клапан являются гипопластичными (часто с атрезией аорты), оксигенированная кровь, поступающая в левое предсердие от легких, отводится через предсердный канал в правые отделы сердца, где она смешивается с десатурированным системным венозным возвратом (см. рисунок Гипоплазия левых отделов сердца [Hypoplastic left heart] Гипоплазия левых отделов сердца ). Эта относительно десатурированная кровь выходит из правого желудочка через легочную артерию в легкие и через открытый артериальный проток в большой круг кровообращения. Системный кровоток поддерживается только через анастомозы протоков со скидом крови справа налево, поэтому немедленное выживание зависит от проходимости артериального протока.
Гипоплазия левых отделов сердца
Левый желудочек, восходящая аорта и аортальный и митральный клапаны гипопластичные; дефект межпредсердной перегородки и большой открытый артериальный проток также присутствуют.
АО = аорта; IVC = нижняя полая вена; LA = левое предсердие, LV = левый желудочек; PA = легочная артерия; PV = легочные вены; RА = правое предсердие ; RV = правый желудочек; SVC = верхняя полая вена.
Клинические проявления
Симптомы гипоплазии левых отделов сердца появляются, когда артериальный проток начинает закрываться в течение первых 24–48 часов жизни. Впоследствии быстро развивается клиническая картина кардиогенного шока Кардиогенный и обструктивный шок Шок – это состояние гипоперфузии органов с вытекающей клеточной дисфункцией и смертью. Механизмы могут включать снижение объема циркулирующей крови, снижение сердечного выброса и вазодилатацию. Прочитайте дополнительные сведения (например, учащенное дыхание, одышка, слабый пульс, бледность, цианоз, гипотермия, метаболический ацидоз, вялость, олигурия или анурия). Когда системный кровоток скомпрометирован, коронарная и церебральная перфузия может быть снижена, что приводит к симптомам сердечной или мозговой ишемии. Перфузия почек, печени и брыжейки также неадекватна, поэтому олигурия или анурия встречаются часто. Если артериальный проток снова не открыть, смерть наступает быстро.
У пациента часто в анамнезе присутствует недостаточное питание, усиление работы мышц при дыхании, бледность или серый оттенок кожных покровов и вялость. Объективное обследование показывает очень активный прекордиум с заметным левым парастернальным сердечным толчком, ассоциируемым с очень плохой периферической перфузией, холодные конечности, синевато-серый цвет кожи и отсутствие или едва ощутимый пульс. Обнаружение выраженного парастернального толчка у пациента с критически низкой перфузией и почти отсутствующими периферическими пульсами является ключом к дифференцированию кардиогенного шока от тяжелой обструкции левых отделов сердца и несердечного шока (например, септического, метаболического, токсического). II тон сердца (S2) громкий и одиночный. Часто присутствует мягкий, неспецифический систолический шум, как и гепатомегалия. Тяжелый метаболический ацидоз является типичным, часто ухудшается на фоне применения дополнительного кислорода, что характерно для синдрома гипоплазии левых отделов сердца.
Диагностика
Рентгенография грудной клетки и ЭКГ
Синдром гипоплазии левых отделов сердца диагностируется на основе клинических данных, особенно у новорожденных с метаболическим ацидозом Метаболический ацидоз Метаболический ацидоз представляет собой первичное снижение уровня бикарбоната (HCO3 − ), обычно сопровождающееся компенсаторным понижением парциального давления углекислого газа (Pco2). Прочитайте дополнительные сведения , который усиливается после получения кислорода, так как кислород снижает легочное сосудистое сопротивление и, следовательно, увеличивает относительную долю выноса правого желудочка, которая течет в легкие, а не через открытый артериальный проток к телу. Диагноз подтверждают на основании результатов экстренной эхокардиографии.
Здравый смысл и предостережения
Метаболический ацидоз, который ухудшился на фоне применения дополнительного кислорода, является характерным для синдрома гипоплазии левых отделов сердца.
Для постановки диагноза катетеризация сердца требуется редко.
Рентгенограмма органов грудной клетки выявляет кардиомегалию и легочный венозный застой или отек легких. ЭКГ: выражена гипертрофия правого желудочка и снижение сократительной силы левого желудочка, однако это может быть в пределах нормы для новорожденного.
Лечение
Инфузии простагландина E1 (PGE1)
Многоэтапное хирургическое восстановление
Иногда трансплантация сердца
К счастью, большинство пациентов с синдромом гипоплазии левых отделов сердца в настоящее время диагностируются с помощью пренатального ультразвукового исследования или фетальной эхокардиографии, что позволяет начать введение простагландина E1 и других необходимых медикаментов сразу после рождения и до возникновения гипоперфузии органов.
Медицинское ведение пациента
Все педиатрические пациенты с синдромом гипоплазии левых отделов сердца подлежат немедленной стабилизации в неонатальном отделении интенсивной терапии или в детском кардиологическом отделении интенсивной терапии. Следует быстро обеспечить сосудистый доступ через пуповинный венозный катетер и/или периферическмй внутривенный в зависимости от того, что будет быстрее. Для предотвращения закрытия артериального протока либо для расширения суженного протока вводят простагландин E1 (начиная с 0,05 до 0,1 мкг/кг/минута внутривенно). Новорожденные, особенно те, которые находятся в критическом состоянии, как правило, требуют интубации и искусственной вентиляции легких. Метаболический ацидоз устраняют инфузией бикарбоната натрия. Тяжелобольным новорожденным с кардиогенным шоком могут потребоваться инотропные препараты (например, милринон), мочегонные средства для улучшения сердечной функции и контроля объема.
В редких случаях выраженного фиброза или преждевременного закрытия открытого овального окна, предотвратить неизбежную смерть может экстренное транскатетерное открытие или расширение овального окна.
Здравый смысл и предостережения
Следует поддерживать легочное сосудистое сопротивление относительно высоким, а системное сосудистое сопротивление низким, чтобы избежать повышения циркуляции в легких за счет системной перфузии.
Таким образом, избегать гипероксии, алкалоза и гипокапнии (которые вызывают легочную вазодилатацию) и свести к минимуму использование вазоконстрикторов.
Оперативное вмешательство
Для выживания в конечном итоге требуются поэтапные хирургические процедуры, которые позволяют правому желудочку функционировать как системный желудочек и создавая контролируемый источник легочного кровотока.
Этап 1, который проводят в течение первой недели жизни, является процедурой Норвуда. Основная легочная артерия делится, дистальная культя закрывается с помощью лоскута, а гипопластическая аорта и проксимальная легочная артерия объединяются в неоаорту. Артериальный проток перевязывают. Легочный кровоток восстанавливается путем введения правостороннего модифицированного шунта Блэлока-Тауссига-Томаса или создания кондуита правый желудочек-легочная артерия (модификация Сано). В конечном счете, соединение в межпредсердной перегородке увеличивается.
Альтернативные гибридные процедуры, часто результат совместных усилий кардиохирургов и интервенционных кардиологов, включают размещение стента в артериальном протоке (для поддержания системного кровотока) и процедуру суживания ветвей легочной артерии (чтобы ограничить легочной кровоток). В некоторых центрах гибридные процедуры предназначены для пациентов более высокого риска (например, недоношенных детей или новорожденных с низким весом, детей с мультисистемной органной дисфункцией).
Этап 2, проводимый в возрасте 3–6 месяцев, состоит из двунаправленной процедуры Гленна или геми-Фонтена. При этих процедурах верхняя полая вена соединяется с правой легочной артерией, что позволяет примерно половине всей венозной крови системы обходить правое предсердие и поступать для оксигенации непосредственно в легкие. В отличие от операции двунаправленного анастомоза Гленна, при операции геми-Фонтена верхняя полая вена не полностью отделяется от правого предсердия.
Третий этап, выполняемый в 18–36 месяцев, представляет собой модифицированную операцию Фонтен, при которой ток крови из нижней полой вены перенаправляется к кавопульмональному анастомозу (соединению верхней полой вены и легочной артерии). Изменение направления может быть выполнено через перегородку в правом предсердии или с помощью трансплантата экстракардиальной трубки.
Риск смертности у детей с синдромом гипоплазии левых отделов сердца наиболее высок в первый год жизни ( 1 Справочные материалы по лечению Синдром гипоплазии левых отделов сердца состоит из гипоплазии левого желудочка и восходящей аорты, недоразвития и гипоплазии аорты и митрального клапана (атрезия аорты часто присутствует), дефекта. Прочитайте дополнительные сведенияДля некоторых младенцев с синдромом гипоплазии левых отделов сердца, особенно с тяжелой дисфункцией трикуспидального клапана или желудочка, трансплантация сердца Трансплантация сердца Трансплантация сердца – это шанс для пациентов, имеющих любое из следующих состояний и имеющих высокий риск смерти, и серьезные симптомы, несмотря на оптимальное использование препаратов и медицинской. Прочитайте дополнительные сведения считается процедурой выбора; однако инфузия простагландина E1 должна быть продолжена вместе с тщательным управлением легочным и системным сосудистым сопротивлением до того момента, когда донорское сердце станет доступным. Поскольку наличие донорских сердец очень ограничено, около 20% младенцев умирают в ожидании трансплантации. Показатели 5-летней выживаемости после трансплантации и после многоступенчатого оперативного вмешательства аналогичны. После пересадки сердца обязателен прием иммунодепрессантов. Эти препараты делают пациентов более восприимчивыми к инфекции и вызывают патологические изменения в коронарных артериях пересаженного сердца у значительного процента пациентов в течение 5-летнего периода. Единственное известное лечение аллотрансплантат-ассоциированной ИБС – ретрансплантация.
Профилактика эндокардита Профилактика Инфекционный эндокардит (ИЭ) – инфекция эндокарда, обычно бактериальная (чаще стрептококковая или стафилококковая) либо грибковая. Он может проявляться лихорадкой, шумами в сердце, петехиями. Прочитайте дополнительные сведения рекомендуется по крайней мере, в течение 6 месяцев после каждого хирургического вмешательства или до тех пор, пока у пациента сохраняется цианоз или остаточный дефект, примыкающий к месту хирургического вмешательства или протезному материалу.
Справочные материалы по лечению
1. Siffel C, Riehle-Colarusso T, Oster ME, et al: Survival of children with hypoplastic left heart syndrome. Pediatrics 136(4): e864–e870, 2015.
Читайте также:
