Синдром Стерджа-Вебера на МРТ
Добавил пользователь Евгений Кузнецов Обновлено: 06.01.2026
Синдром Штурге (Стерджа) - Вебера — спорадический факоматоз с возникновением ангиом мягкой мозговой оболочки и кожи лица. Данный синдром к широкому спектру возможных фенотипических проявлений включающих черепно- лицевой артериовенозный метамерный синдром.
Эпидемиология
Синдром Штурге (Стерджа) - Вебера редкое заболевание с оценочной встречаемостью 1 случай на 20000-50000 [12].
Клинические проявления
Диагноз как правило очевиден за счет наличия врожденной кожной ангиомы лица (син. винное пятно, лицевой пылающий невус). Данный признак присутствует почти всегда и как правило сочетается с вовлечением лицевой ветви тройничного нерва [4]; если данная зона не поражена, синдром Штурге-Вебера маловероятен [11]. Только в 5% случаев интракраниальные изменения не сочетаются с лицевым невусом [1, 2]. В большинстве случаев (72%) невус односторонний и ипсилатерален внутричерепным изменениям.
Наиболее частым клиническим проявлением в детском возрасте являются судороги, которые встречаются в 71-89% случаев [2] и часто не поддаются лечению [1]. Они как правило появляются на первых годах жизни и сочетаются с задержкой развиния и полушарными симптомами включающими гемиплегию / гемипарезы и гемианопсию.
Приблизительно у трети пациентов встречается поражение склер и хориоидеи, что может осложнится отслоением сетчатки или глаукомой [1].
Патология
В отличие от большинства факоматозов, синдром Штурге-Вебера является спорадическим без определенного наследственного маркёра, который возможно идентифицировать [5,11]. Асоциированный ген мутации был выявлен в нуклеотидном переходе GNAQ хромосомы 9q21 [13].
Лептоменингиальная гемангиома приводит к обкрадыванию в подлежащей коре и белом веществе головного мозга с формированием локальной ишемии. В 80% случаев поражение одностороннее.
Сочетанная патология
- коарктация аорты [10]
- параганглиомы [9]
Диагностика
Рентгенография
Использовалась исторически, способна выявить гириформные кальцинаты, однако в настоящее время не играет существенной роли в диагностике данного заболевания, поскольку изменения выявляются не раньше 2-7 лет [2].
Компьютерная томография
- выявление субкортикальных кальцифинаты в сочетании с атрофией паренхимы головного мозга
- признак трамвайных рельсов за счет кортикальных и субкортикальных кальцинатов [14, 15]
- увеличение сосудистого сплетения с ипсилатеральной стороны
- в тяжелых случаях - изменения по типу синдрома Дик-Давидофф-Массона
Магнитно-резонансная томография
- Т1: cигнал в поражённой области как правило не изменен, но выявляются признаки атрофии и уменьшения объема мозговой ткани
- Т1 с парамагнетиками:
- лептоменингиальное накопление контраста в поражённой области
- увеличение в размерах ипсилатерального сосудистого сплетения
- todo see what did authors had in mind [1]
- ускоренная миелинизация у новорожденных [1]
- в старшей возрастной группе выявляются кальцинаты
- патологический дренах в глубокие вены в виде выпадения потока
Селективная ангиография
В 82% случаев при ангиограции не визуализуруются поврехностные кортикальные вены в сочетании с аномально повышеым дренажем в глубокие вены мозга [2].
Течение и прогноз
Лечение сосредоточено на контроле и предотвращении судорог, в тяжелых случаях применялась хирургическая резекция. Офтальмологическое исследование является основой для идентификации и лечения поражения глаз [4].
История и этимология
Синдром Стерджа-Вебера был описан Стерджем в 1879 году, в 1912 году Вебером и Воландом были описаны внутримозговые кальцификаты. В 1922 году Димитри впервые идентифицировал рентгенографически внутримозговые кальцификаты [2, 3].
- William Allen Sturge: английский врач (1850-1919) [3]
- Frederick Parkes Weber: английский врач (1863-1962) [3]
- Vincente Dimitri: австрийский дерматолог (1885-1955) [3]
Дифференциальный диагноз
Синонимы
- энцефалотригеминальный ангиоматоз
- невоидная аменция
- болезнь Стерджа-Вебера / Штурге-Вебера
- синдром Стерджа-Вебера-Краббе / Штурге-Вебера-Краббе
Частично использован перевод А. Николаева публикации Frank Gaillard et all [17]
Синдром Штурге–Вебера
Синдром Штурге-Вебера является врожденным сосудистым заболеванием, характеризующимся наличием на лице невусов по типу "винных пятен", лептоменингеальной ангиомой и неврологическими расстройствами (например, судорогами, очаговым неврологическими дефицитом, умственной отсталостью). Диагноз стаавится на основе клинических данных Лечение является симптоматическим.
Синдром Штурге–Вебера – это нейрокутанный синдром, который развивается у 1 из 50 тыс. человек. Синдром Штурге-Вебера не наследуется. Это заболевание вызвано соматической мутацией (изменением ДНК, возникающим в областях-предшественниках пораженных участков после зачатия) гена GNAQ на хромосоме 9q21.
Синдром Стерджа-Вебера приводит к образованию капиллярных мальформаций под названием «капилярные гемангиомы» (иногда носят название «винный невус» или «винное пятно»), обычно на лбу и верхнем веке в районе 1-го и/или 2-го ответвления тройничного нерва. Подобное сосудистое поражение —лептоменингеальная ангиома — возникает у 90% пациентов, когда "портвейное пятно" затрагивает верхнее и нижнее веко с одной стороны, однако, если в процесс вовлекается только одно веко, то заболевание случается только в 10–20% случаев. Обычно невусы или лептоменингеальные ангиомы являются односторонними поражениями, но иногда у пациентов встречаются двусторонние винные невусы в районе первого ответвления тройничного нерва и двусторонние лептоменингиальные ангиомы.
Винный невус может развиваться без лептоменингеальной ангиомы и сопровождающих ее неврологических признаков; в таких случаях, глаза и веки могут быть или не быть поражены. Лептоменингеальная ангиома редко развивается без винного невуса и поражения глаз.
Неврологические осложнения синдрома Стерджа-Вебера включают судороги, очаговые неврологические дефициты (например, гемипарез) и умственную отсталость.
Синдром Стерджа-Вебера может также привести к развитию глаукомы и к сужению сосудов, что может увеличить риск развития инсульта Обзор инсульта (Overview of Stroke) Инсульт – это гетерогенная группа заболеваний, обусловленная внезапным очаговым прекращением мозгового кровотока, которое вызывает развитие неврологических нарушений. Инсульты могут быть ишемическими. Прочитайте дополнительные сведенияОчень часто вовлеченное полушарие постепенно атрофируется.
Симптомы и признаки синдрома Стерджа-Вебера
Винные невусы могут различаться по размеру и цвету от светло-розового до темно-фиолетового.
Судороги возникают примерно у 75–90% пациентов и обычно начинаются в возрасте 1 года. Судороги обычно фокальные, но могут стать генерализованными. Гемипарез на стороне, противоположной винному невусу, развивается у 25–50% пациентов. Иногда проявления гемипареза усугубляются, особенно у пациентов с трудно контролируемыми судорожными приступами.
Диагностика синдрома Стерджа-Вебера
МРТ головного мозга или КТ головы
Диагноз синдрома Стерджа-Вебера предполагают при наличии характерного винного невуса.
МРТ головного мозга с контрастом используется для обнаружения лептоменингеальных ангиом, но в раннем возрасте ангиомы могут еще не проявляться. Если нет возможности провести МРТ, можно проводить КТ головы; при этом исследовании визуализируются кальцификаты в коре под лептоменингиальными ангиомами. В старой литературе описан симптом "железнодорожных путей" (который развивается в зрелом возрасте), - параллельное криволинейное размещение кальцификатов, которое можно увидеть на рентгенограммах черепа.
Неврологическое обследование проводится с целью выявления неврологических осложнений, а офтальмологическое обследование проводится с целью выявления глазных осложнений.
Лечение синдрома Стерджа-Вебера
Лечение синдрома Стерджа-Вебера фокусируется на симптомах. Используются противосудорожные препараты Медикаментозное лечение приступов Ни один препарат не позволяет контролировать возникновение всех типов приступов. В некоторых случаях необходимо назначать несколько препаратов. (См. также Практические рекомендации по лечению. Прочитайте дополнительные сведения и лекарственные средства для лечения глаукомы Препараты, используемые для лечения глаукомы . Иногда при невозможности купирования судорожных приступов проводят гемисферэктомию.
Как правило, с момента установления диагноза назначают низкие дозы аспирина, чтобы предотвратить развитие инсульта или уменьшить прогрессирующую атрофию полушария путем предотвращения образования осадка в измененных капиллярах.
Селективный фототермолиз (сосудистый лазер) может сделать винный невус более светлым.
Авторское право © 2022 Merck & Co., Inc., Rahway, NJ, США и ее аффилированные лица. Все права сохранены.
Заботимся о вашем здоровье
Синдром Штурге-Вебера является спорадическим заболеванием с семейными единичными случаями. Другим названием является энцефалофациальным ангиоматозом. Основным проявлением заболевания является врождённый сосудистый невус на лице (капиллярная ангиодисплазия). Невусы, часто называемые «портвейными», являются обычно односторонними. При этом они могут быть двухсторонними, вовлекая верхнюю половину лица непосредственно вариабельно от лобной области до верхнечелюстной, ограничиваясь зачастую областями иннервации ветвей нерва тройничного.
![]()
Важным свойством капиллярных ангиодисплазий является потенциальная их ассоциация с внутриглазными внутричерепными сосудистыми аномалиями. Развитие глаукомы в ипсилатеральном глазу наблюдается у пятидесяти процентов пациентов. Глаукома может быть врожденной либо развиваться к двум годам жизни. Стоит отметить, что лептоменингеальный ангиоматоз является практически во всех случаях псилатеральным в отношении лицевого невуса. Протяженность внутричерепного ангиоматоза в данном случае коррелирует с размером пятен лица.
Пораженное полушарие подвержено постепенной атрофии, включая развитие кальцификации субкортикальной пластинки. Клинические проявления синдрома Штурге-Вебера в данном случае могут характеризоваться рядом эпилептических приступов (70-90 процентов пациентов), гемипарезом, умственной отсталостью, гемианопсией, нарушениями чувствительности по гемитипу. Фармакорезистентное течение эпилепсии требовать может тотальной либо частичной гемисферэктомии.
Глаукома либо лицевые "винные пятна", а также рентгенологические или клинические признаки лептоменигеальной ангиомы:
- Признаки лептоменингеальной ангиомы в случае МРТ либо КТ;
- Задержка психического развития;
- Дефицит полей зрения;
- Судороги;
- Гемиатрофия (тела либо головного мозга);
- Гемипарез.
Классическое проявление заболевания характеризуется триадой симптомов: увеличение внутриглазного давления (глаукома), судорожные припадки, сосудистые пятна на кожном покрове лица (ангиомы). Патология часто обладает семейным характером, наследуется непосредственно ауто-сомно-доминантно. При этом встречаются аутосомно-рецессивные формы.
В случае патоморфологического исследования больных, которые страдают энцефалотригеминальным ангиоматозом, выявляются разрастания кожных сосудов, сплетений сосудов глазного яблока, мягкой мозговой оболочки. Ангиомы реже располагаются в затылочной зоне больших полушарий, во внутренних органах, спинном мозге, мозжечке. Описывают отложение кальциевых солей в мозговых сосудах - петрификаты. Выраженность ангиом способна основательно варьировать.
Ангиомы на кожном покрове могут возникать при рождении, обладая видом «пылающего пятна». В восьмидесяти процентах случаев они расположены на лице в зоне иннервации ветвей нервов. Судорожные припадки возникают в период первых лет жизни. Они обычно носят очаговый характер. Данные припадки у большинства больных заканчиваются судорожными генерализованными припадками. Имеют место бессудорожные приступы в форме мгновенных отключений сознания, застываний, вздрагиваний. У некоторых больных наблюдаются приступы головной боли с обильной рвотой (приступы мигрени).
Увеличение внутриглазного давления наблюдается с рождения либо образуется в более поздний период. Вследствие прогрессирования глаукомы снижается зрение. Возможна полная потеря зрения. Болезнь может проявляться в виде слабоумия, сопровождающегося повторяющимися приступами. При этом слабоумие может сочетаться с выраженными изменениями непосредственно в эмоционально-волевой области: мстительность, эгоцентризм, аффективность, злопамятность. У больных происходит ухудшение внимание, памяти, способности усваивать новые сведения. Вследствие данных факторов основательно усложняется процесс воспитания, обучения. Подобные психические нарушения отмечаются также между приступами. Расстройства интеллекта, памяти, увеличиваются по мере увеличения судорог. Частота заболевания Штурге — Вебера среди умственно отсталых составляет 0,1 процентов. Диагноз энцефалотригеминального ангиоматоза является подтверждённым исследованием глазного дна, внутриглазного давления, записью биотоков мозга, рентгенографией черепа.
В период лечения болезни применяются психотропные, а также противосудорожные средства, препараты, которые уменьшают внутриглазное и внутричерепное давление. Используются нейрохирургические методы лечения, а также рентгенотерапия. Дети, имеющие моносимптомную форму энцефалотригеминального ангиоматоза, обладающие исключительно косметическим дефектом в форме пылающих пятен в области лица, проходят обучение в массовой школе. В данных случаях педагогу требуется научить прочих детей не замечать у больного ребёнка косметического дефекта. У больного ребёнка в ином случае могут появляться и развиваться различные психопатологические черты характера.
В случае обучения деток с энцефалотригеминальным ангиоматозом имеет место возникновение больших трудностей, которые обусловлены увеличением психопатологических изменений, а также слабоумия, из-за основного патологического процесса.
Синдром Стерджа — Вебера. Энцефалотригеминальный ангиоматоз
Я хотела бы начать с того, почему я выбрала для статьи эту тему. После окончания первого курса Медицинского факультета я лежала в родильном отделении и встретила там такую же молодую маму беременную вторым ребенком. Познакомившись, мы начали рассказывать о своих первых детях и выяснилось, что у ее первого ребеночка было: «какое-то красное пятно похожее на родимое пятно на пол лица» -со слов женщины.
Тогда я не знала, что предположить и как её успокоить. Но начала изучать и вот наконец я пришла к выводу, что девочка больна энцефалотригеминальным ангиоматозом.
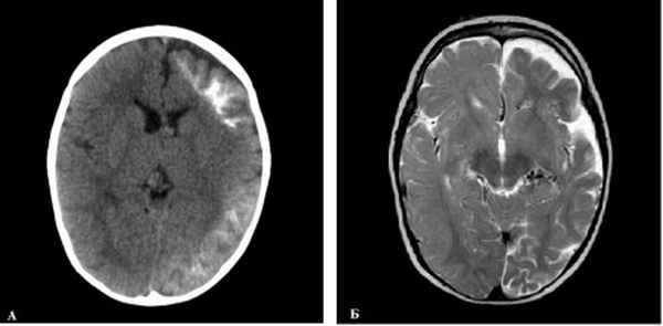
![http://neuro-online.ru/images/gsdmj.jpg]()
Рис. 1. Нейрорадиологическое исследование головного мозга 20-месячного ребенка с синдромом Стерджа -Вебера: А — КТ (без контрастирования): показана односторонняя кальцификация субкортикального белого вещества левого полушария; Б — МРТ, Т2-взвешеннное изображение: показана субатрофия левого полушария, связанная с локальными аномалиями развития артериальных и венозных сосудов, выявлена аномалия венозного дренажа в обоих полушариях, больше слева, извитые и расширенные вены хориоидеи слева, крупные вены на поверхности правой височной доли вдоль латеральной борозды до правого поперечного синуса. Поражение глаз при СШВ отмечается в 30–60 % случаев в виде ангиоматоза конъюнктивы, сосудистой оболочки глаза, глаукомы, что может привести к потере зрения
Энцефалотригеминальный ангиоматоз еще имеет такие названия как: невоидная аменция, болезнь Стерджа-Вебера, синдром Стерджа-Вебера-Краббе — спорадически возникающее заболевание, с возникновением ангиом мягкой мозговой оболочки и кожи лица, как правило в области глазной и верхнечелюстной ветвей тройничного нерва.
Эпидемиология данного заболевая такова, что даже опытные дерматологи и невропатологи, к которым обращаются единицы, додумавшиеся до того, что это не родимое пятно, тоже не ставят правильного диагноза. И я не считаю их в этом виновными, так как даже о генетике СВС известно очень мало. А также нет данных о частоте этого заболевания в целом среди населения. Но известно, что не наблюдается никаких расовых и половых предпочтений.
Этиологическое происхождение заболевания большинство исследователей связывают ее с вторичными новыми соматическими мутациями, исключая вероятность зародышевой линии мутации.
Естественно, диагностическим признаком в первую очередь можно назвать врожденный односторонний невус лица со специфическим оттенком цвета винного пятна, а, в различных случаях бывают припадки, умственная отсталость, гемипарез и нарушения зрения, проявляющиеся в основном в виде глаукомы.
Хотелось бы наиболее полно рассказать о кожных проявлениях, чтобы каждый кто прочтет или заинтересуется статьей навсегда запомнил о Синдроме Стерджа-Вебера, ведь данная болезнь тем интересна и опасна, что она кроется под видом обычного невуса, который в народе принимают за безобидное родимое пятно, упуская вероятность проявления тяжелого заболевания.
Невус встречается в зоне иннервации 1–2 ветвей тройничного нерва. Даже человек далекий от медицины знает или наслышан о тройничном нерве, так как заболеваний, связанных с ним очень много. Вторым важным признаком служит тот факт, что невус почти всегда переходящий, расположен по средней линии либо незначительно латеральнее средней линии. Иногда невус бывает двусторонним или с расширением к губам, шее или туловищу.
Если говорить о неврологических проявлениях, то для заболевания характерна локализация преимущественно в теменно-затылочной области и ипсилатерально невусу. Неврологические симптомы включают гемипарез, дефекты полей зрения, интеллектуальные нарушения и судороги. Судороги возникают у 80 % больных и не заметить их невозможно так как проявляются они в течение первого года жизни, когда младенец ведет более-менее спокойную и мышечно устойчивую жизнедеятельность.
Составной частью лептоминенгиального ангиоматоза являются тонкостенные вены в мягкой мозговой оболочке. Именно это приводит к тому, что мозговые оболочки утолщаются и имеют специфический темно-красный или даже фиолетовый цвет.
Так как статистка дает нам от 31 до 70 процентов проявления глаукомы при синдроме Стерджа — Вебера, я хочу отметить, что возникает она, как правило, в возрасте до двух лет. Глаукома односторонняя ипселатеральная самому невусу.
Проводя дополнительные методы исследования, стоит учитывать и общую симптоматику, так как при наличии судорожного синдрома понадобится дополнительное введение наркозных препаратов для точной диагностики. При проведении КТ таким больным мы можем заметить кальцификацию и значительное уменьшение объема вовлеченных в патологический процесс полушарий.
При КТ определяется диффузная атрофия коры полушария и симптом трамвайных рельсов. А вот МРТ является диагностическим методом выбора при этом выявляется патология, связанная с интенсивной потерей сигнала от кровотока, происходит это по той же причине венозного ангиоматоза.
В диагностике большую роль играет исследование ликвора, повышенное содержание белка в пользу подтверждения патологии. А также симптом трамвайных рельсов, выявляющийся при рентгенографии черепа.
В настоящее время целесообразно провести ангиографию. Если по ее результату будут отмечены пустые дуральные синусы и патологическая извитость вен, то эти признаки так же можно считать подтверждением диагноза.
К сожалению, Синдром Стерджа — Вебера не имеет эффективного лечения. Терапия направлена на купирование основных проявлений. Для лечения кожного поражения применяется лазерный фототермолиз, так как пациенты испытывают неудобства, связанные со своим внешним видом, и даже в детском возрасте изменения становятся причиной психологических травм и недостаточности самооценки. Некоторые исследователи считают, что 85 процентов больных становятся социопатами именно из-за кожного проявления болезни, а неврологические признаки больных не смущают.
Лечение глаукомы состоит в инстилляции глазных капель, снижающих секрецию внутриглазной жидкости: например, бримонидина, тимолола, дорзоламида, бринзоламид и пр. Однако подобная консервативная терапия зачастую оказывается малоэффективной. В таких случаях офтальмохирургами проводится хирургическое лечение глаукомы: трабекулотомия или трабекулэктомия.
Проводится антиконвульсантная терапия вальпроатами, карбамазепином, леветирацетамом, топираматом.
Эписиндром зачастую оказывается резистентным к проводимому противоэпилептическому лечению, что требует перехода с монотерапии на прием комбинации из двух препаратов. В качестве одного из способов лечения применяется рентген-облучение черепа над пораженной ангиоматозом областью. По показаниям нейрохирургами может быть рассмотрен вопрос о проведении оперативного лечения эпилепсии.
К сожалению, при выраженной клинике синдром Стерджа-Вебера имеет неблагоприятный прогноз. Некупируемый эпилептический синдром приводит к выраженной олигофрении. Возможна потеря зрения, интракраниальные сосудистые нарушения, влекущие за собой вероятность развития инсульта, поэтому крайне важно знать и уметь диагностировать такие редкие заболевания.
Основные термины (генерируются автоматически): тройничный нерв, левое полушарие, мягкая мозговая оболочка, потеря зрения, родимое пятно, синдром.
Синдром Стерджа-Вебера
Синдром Стерджа-Вебера — врожденный ангиоматоз, поражающий кожу, органы зрения и центральную нервную систему. Проявляется множественными врожденными ангиомами лицевой области, стойким эпилептическим синдромом, глаукомой, олигофренией, другими неврологическими и офтальмологическими симптомами. В ходе диагностики выполняется рентгенография черепа, КТ или МРТ церебральных структур, офтальмоскопия, измерение внутриглазного давления, гониоскопия, УЗИ глаза. Лечение включает противоэпилептическую терапию, консервативное и хирургическое лечение глаукомы, симптоматическую терапию. Прогноз во многих случаях неблагоприятный.
Общие сведения
Синдром Стерджа-Вебера — редко встречающееся врожденное ангиоматозное поражение церебральных оболочек, кожи и глаз. Распространенность находится на уровне 1 случай на 100 тыс. населения. Впервые пациента с таким синдромом описал в 1879 г. Стердж, затем в 1922 г. Вебер указал рентгенологические признаки, выявляемые при данном синдроме. В 1934 г. Краббе предположил, что у пациентов, наряду с ангиомами кожи, имеется ангиоматоз церебральных оболочек. В честь этих исследователей заболевание получило название синдром Стерджа-Вебера-Краббе. В связи с тем, что ангиомы лица локализуются в области иннервации кожи 1-ой и 2-ой ветвью тройничного нерва, в неврологии заболевание также известно под названием энцефалотригеминальный ангиоматоз. Наряду с нейрофиброматозом Реклингхаузена, синдромом Луи-Бар, туберозным склерозом, болезнью Гиппеля-Линдау и др., синдром Стерджа-Вебера входит в группу факоматозов — прогрессирующих нейрокожных заболеваний.
Причины синдрома Стерджа-Вебера
Синдром Стерджа-Вебера возникает в результате нарушений эмбрионального развития, приводящих к сбою дифференцировки экто- и мезодермальных листков. Большинство случаев составляет спорадическое появление синдрома, реже отмечается аутосомное (не сцепленное с полом) доминантное или рецессивное наследование с частичной пенетрантностью. Считается, что спорадические случаи обусловлены негативным воздействием на плод в эмбриональном периоде. Вредоносными факторами могут выступать экзо- и эндогенные интоксикации беременной, в том числе никотин, алкоголь, наркотики, различные медикаменты; внутриутробные инфекции; дисметаболические нарушения у будущей матери (например, некомпенсированный сахарный диабет или гипертиреоз).
Морфологическим субстратом заболевания является ангиоматоз — формирование и рост множественных сосудистых опухолей (ангиом), располагающихся на коже лица и в церебральных оболочках. Как правило, ангиоматоз оболочек затрагивает их конвекситальную часть, более часто наблюдается в затылочной и теменных зонах. Обычно ангиоматоз лица и ангиоматоз мозговых оболочек имеют гомолатеральное расположение, т. е. находятся на одной стороне. Однако нередко отмечается двусторонний характер поражения. В церебральных тканях, расположенных под ангиоматозно измененным участком оболочки развиваются дегенеративные процессы, происходит атрофия и избыточный рост глии, формируются кальцификаты.
Симптомы синдрома Стерджа-Вебера
Самым ярким признаком, характеризующим синдром Стерджа-Вебера, выступает ангиоматоз кожи лица. У всех пациентов сосудистое пятно является врожденным. Со временем оно может увеличиваться в размерах. Локализуется, как правило, в скуловой и подглазничной области. Бледнеет при надавливании. В начале имеет розовую окраску, затем приобретает ярко-красный или красно-вишневый оттенок. Внешний вид и распространенность ангиом различны, они могут представлять собой мелкие рассеянные очажки или сливаться в одно большое пятно, т. н. «пламенеющий невус». Ангиоматоз может охватывать полость носа, глотку, полость рта. В 70% случаев синдрома ангиоматоз является односторонним. В 40% изменения на лице сочетаются с ангиомами туловища и конечностей. Возможны и другие дерматологические симптомы: врожденные гемангиомы, локальные отеки мягких тканей, невусы, зоны гипо- и гиперпигментации. По некоторым данным в 5% случаев синдром Стерджа-Вебера протекает без характерного «пламенеющего невуса» на лице.
От 75% до 85% случаев энцефалотригеминального ангиоматоза протекают с судорожным синдромом, дебютирующим на первом году жизни. Характерны эпиприступы джексоновского типа, во время которых судороги охватывают конечности, контрлатеральные (противоположные) расположению ангиоматоза церебральных оболочек. Эпилепсия приводит к задержке психического развития, олигофрении, в отдельных случаях вплоть до идиотии. Может наблюдаться гидроцефалия, гемипарез и гемиатрофия контрлатеральных оболочечной ангиоме конечностей.
Со стороны органа зрения могут наблюдаться ангиомы сосудистой оболочки глаза, гетерохромия радужки, гемианопсия, колобомы. Примерно у трети больных диагностируется глаукома, которая вызывает помутнение роговицы, а в ряде случаев приводит к формированию гидрофтальма. В некоторых случаях синдром Стерджа-Вебера сочетается с дисплазией лицевого черепа, проявляющейся асимметрией лица; в других — с врожденным пороком сердца.
Патогномоничная триада проявлений синдрома («пламенеющий невус», нарушения зрения, неврологическая симптоматика) наблюдается лишь у пятой части больных. В остальных случаях сочетание симптомов значительно варьирует, в связи с чем на сегодняшний день выделено 10 клинических форм синдром Стерджа-Вебера. Нередки абортивные варианты синдрома, при которых клинические симптомы выражены лишь частично и в легкой степени.
Диагностика синдрома Стерджа-Вебера
Диагностировать синдром Стерджа-Вебера возможно по характерному сочетанию симптомов: наличию кожного лицевого ангиоматоза, эпиприступов и других неврологических проявлений, а также офтальмологической патологии (в первую очередь, глаукомы). Диагностический поиск проводится коллегиально неврологом, эпилептологом, офтальмологом и дерматологом.
При проведении рентгенографии черепа обнаруживаются зоны обызвествления коры, имеющие вид двойных контуров, как бы обводящих извилины в области церебрального поражения. КТ головного мозга визуализирует еще более обширные зоны кальцификации, чем показывает рентгенография. МРТ головного мозга выявляет участки дегенерации и атрофии церебрального вещества, истончения коры; позволяет исключить другие заболевания (внутримозговую опухоль, абсцесс головного мозга, церебральную кисту).
Электроэнцефалография дает возможность определить характер биоэлектрической активности мозга и диагностировать эпи-активность. Офтальмологическое обследование состоит из проверки остроты зрения, периметрии, измерения внутриглазного давления, офтальмоскопии и гониоскопии (при сохранности прозрачности роговицы), ультразвуковой биометрии глаза, АВ-сканирования.
Лечение и прогноз синдрома Стерджа-Вебера
В настоящее время синдром Стерджа-Вебера не имеет эффективного лечения. Терапия направлена на купирование основных проявлений. Проводится антиконвульсантная терапия вальпроатами, карбамазепином, леветирацетамом, топираматом.
Эписиндром зачастую оказывается резистентным к проводимому противоэпилептическому лечению, что требует перехода с монотерапии на прием комбинации из двух препаратов. В качестве одного из способов лечения применяется рентген-облучение черепа над пораженной ангиоматозом областью. По показаниям нейрохирургами может быть рассмотрен вопрос о проведении оперативного лечения эпилепсии.
Лечение глаукомы состоит в инстилляции глазных капель, снижающих секрецию внутриглазной жидкости: бримонидина, тимолола, дорзоламида, бринзоламид и пр. Однако подобная консервативная терапия зачастую оказывается малоэффективной. В таких случаях офтальмохирургами проводится хирургическое лечение глаукомы: трабекулотомия или трабекулэктомия.
К сожалению, при выраженной клинике синдром Стерджа-Вебера имеет неблагоприятный прогноз. Некупируемый эпилептический синдром приводит к выраженной олигофрении. Возможна потеря зрения, интракраниальные сосудистые нарушения, влекущие за собой вероятность развития инсульта.
Читайте также:


