Синдром тазового венозного полнокровия
Добавил пользователь Валентин П. Обновлено: 29.01.2026
Синдром тазового венозного застоя является продолжительной (хронической) болью в нижней части туловища (в области малого таза), вызванной накоплением крови в венах малого таза, которые расширены и становятся извитыми.
Синдром тазового венозного застоя зачастую является причиной хронической боли в области малого таза Боль в области малого таза Боль в области малого таза является дискомфортом, который возникает в самой нижней части туловища, в области ниже брюшной полости и между тазовыми костями. Это определение не включает боль. Прочитайте дополнительные сведения (боль продолжается на протяжении более 6 месяцев). Боль возникает из-за скопления крови в венах малого таза, которые расширяются и извиваются (так называемое варикозное расширение вен). В результате боль иногда бывает изнурительной. Эстроген может способствовать развитию таких вен.
Многие женщины детородного возраста страдают от варикозного расширения вен в области малого таза, но не у всех наблюдаются симптомы. Почему у некоторых женщин развиваются симптомы, неизвестно.
Большинство женщин с синдромом тазового венозного застоя находятся в возрасте от 20 до 45 лет и перенесли несколько беременностей.
Симптомы синдрома тазового венозного застоя
У женщин с синдромом тазового венозного застоя боль в области малого таза часто развивается во время или после беременности и имеет тенденцию к ухудшению с каждой беременностью.
Как правило, боль тупая, но она может быть и острой или пульсирующей. Она усиливается в конце дня (после пребывания в состоянии сидя или стоя в течение продолжительного времени) и проходит в положении лежа. Боль также усиливается во время или после полового акта. Часто сопровождается болью в пояснице, в ногах и патологическим вагинальным кровотечением.
Иногда у некоторых женщин наблюдаются прозрачные или водянистые выделения из влагалища.
Другие симптомы могут включать усталость, резкие перепады настроения, головные боли и вздутие живота.
Диагностика синдрома тазового венозного застоя
Ультразвуковое исследование или другое визуализационное исследование
Диагноз синдрома тазового венозного застоя предполагается, когда у женщины присутствуют боли в области малого таза, но обследование органов малого таза не выявило наличие воспаления или другой аномалии. Для постановки врачом диагноза синдрома тазового венозного застоя боль должна присутствовать в течение более 6 месяцев, а яичники должны быть болезненными при их обследовании.
Ультразвуковое исследование с целью выявления варикозного расширения вен органов малого таза может помочь подтвердить диагноз или синдром тазового венозного застоя. Тем не менее, для подтверждения диагноза может потребоваться другое визуализационное исследование. Эти исследования могут включать венографию (рентгеновское исследование вен, проводимое после введения рентгеноконтрастного вещества в вены паховой области), компьютерную томографию (КТ), магнитно-резонансную томографию (МРТ) или магнитно-резонансную венографию.
Если боль доставляет серьезный дискомфорт, но ее причина не идентифицирована, проводится лапароскопия. Во время этой процедуры делается небольшой надрез чуть ниже пупка и вводится зонд с камерой для непосредственной визуализации органов малого таза.
Лечение синдрома тазового венозного застоя
Как правило, прогестин медроксипрогестерон или нестероидные противовоспалительные препараты
При необходимости, процедура блокады кровотока к венам при варикозном расширении вен
Обычно в первую очередь для облегчения боли применяется медроксипрогестерон. Это прогестин (который являются синтетической формой женского полового гормона прогестерона ). Нестероидные противовоспалительные препараты (НПВП) или агонисты гонадотропин-рилизинг гормона (ГнРГ) (синтетические формы гормона, вырабатываемого организмом), такие как лейпролид и нафарелин, также могут облегчить боль.
Если эти препараты неэффективны, врачи могут попытаться блокировать приток крови к венам при варикозном расширении вен и таким образом предотвратить скопление крови. Доступны две процедуры:
Эмболизация вены: После применения анестетика, чтобы обезболить небольшой участок поверхности бедра, делается небольшой надрез. Затем тонкая гибкая трубка (катетер) вводится через разрез в вену и прикрепляется к венам при варикозном расширении вен. Для закупоривания вен через катетер вводятся крошечные спирали, губки или жидкость, напоминающую клей.
Склеротерапия — Точно так же вставляется катетер и через него вводится раствор в вены при варикозном расширении вен. Раствор блокирует вены.
Когда кровь больше не может течь к венам в малом тазу при варикозном расширении вен, боль обычно уменьшается.
ПРИМЕЧАНИЕ: Это — пользовательская версия ВРАЧИ: Нажмите здесь, чтобы перейти к профессиональной версии
Авторское право © 2022 Merck & Co., Inc., Rahway, NJ, США и ее аффилированные лица. Все права сохранены.
Синдром тазового венозного полнокровия

Данная проблема является достаточно распространенной, но не всегда хорошо диагностируется.
Истинные цифры распространенности синдрома тазовой конгестии в настоящее время не известны. В силу многообразия проявлений, о чем будет сказано ниже, этот синдром нередко маскируется разнообразными диагнозами: эндометриоз, воспалительные заболевания придатков (аднекситы), цистит (воспаление мочевого пузыря), заболевания кишечника и т.д. По некоторым данным, до 15% женщин в возрасте от 20 до 50 лет имеют данный синдром, хотя не все из них испытывают те или иные симптомы. Однако, не следует считать, что это исключительно женская патология. Так, значение тазовой конгестии нельзя недооценивать в развитии заболеваний мочеполового аппарата у мужчин, а также хронического геморроя.
И так, обо всем по порядку…
Данная проблема является достаточно распространенной, но не всегда хорошо диагностируется.
Истинные цифры распространенности синдрома тазовой конгестии в настоящее время не известны. В силу многообразия проявлений, о чем будет сказано ниже, этот синдром нередко маскируется разнообразными диагнозами: эндометриоз, воспалительные заболевания придатков (аднекситы), цистит (воспаление мочевого пузыря), заболевания кишечника и т.д. По некоторым данным, до 15% женщин в возрасте от 20 до 50 лет имеют данный синдром, хотя не все из них испытывают те или иные симптомы. Однако, не следует считать, что это исключительно женская патология. Так, значение тазовой конгестии нельзя недооценивать в развитии заболеваний мочеполового аппарата у мужчин, а также хронического геморроя.
И так, обо всем по порядку…
Слово «синдром», в медицине, означает сочетание определенного перечня (совокупность) симптомов (проявлений заболевания), объединенных общим механизмом возникновения и развития.
Краткий анатомический экскурс.
Несомненно, из курса школьной программы по биологии Вам известно, что «каркасом» нашего тела являются кости, служащие не только местом прикрепления мышц, но и «вместилищем» ряда органов человека. Так, применимо к обсуждаемой проблеме, полость таза сформирована за счет соединения четырех анатомических образований: двух тазовых костей, крестца и копчика (рис.1), а также связочного аппарата, мышц и т.д. В полости таза расположены: мочевой пузырь, прямая кишка, матка с придатками, яичники и влагалище у женщин, предстательная железа у мужчин и множество других анатомических образований, такие как сосуды, нервы и т.д.
Напомним, что в организме человека, сосудами, снабжающими все органы и ткани кровью, являются артерии и вены. По артериям от сердца к органам и тканям поступает обогащенная кислородом и питательными веществами (артериальная) кровь. Её движение по сосудам, в первую очередь, обусловлено работой сердца – своеобразного «насоса», перекачивающего за сутки громадное количество крови.
В свою очередь венозная кровь, поступающая от самых отдаленных участков организма к сердцу, несет бедную кислородом и питательными веществами кровь, содержащую в большом количестве продукты обмена веществ организма.
Движение венозной крови вверх по сосудам обеспечивается совместной работой мышц (например, конечностей), которые во время своего сокращения проталкивают венозную кровь по направлению к сердцу, и специфических структур вен – венозных клапанов (рис.2), которые не позволяют крови «подчиниться» силе тяжести и спуститься вниз.
Особенностью строения венозной системы в организме человека, является образование множества сплетений, в которых сосуды образуют многочисленные связи друг с другом как внутри сплетения, так и вне него.
Так, в полости таза сформировано большое количество сплетений, наиболее крупными из которых являются: пузырное, предстательное, прямокишечное, маточное, яичниковое, влагалищное.
Несколько освежив знания по строению человеческого тела, остановимся на причине развития синдрома тазовой конгестии.
Анатомической природой развития этого синдрома является слабость венозных клапанов и, вследствие этого, неполное перекрытие просвета вен при возврате крови к сердцу против силы притяжения.
Выше указанные обстоятельства обуславливают расширение тазовых вен, застой венозной крови в полости таза, и появление соответствующих жалоб.
Причины приводящие к венозному тазовому полнокровию? Прежде всего, необходимо отметить, что выделяют первичную (не связанную с другим заболеванием), и вторичную, являющуюся симптомом какого-либо заболевания тазовую конгестию.
Причины развития первичной тазовой конгестии до сих пор не вполне ясны. Однако считается, что её развитие генетически предопределено. Так, её повторяемость в поколении установлена в 50-70% случаев. Наследуются в первую очередь два фактора: способность венозной стенки к значительному растяжению и недостаточная оснащенность вен клапанами, с их врожденной анатомической неполноценностью, о чем уже говорилось выше.
Определенную роль в развитии тазовой конгестии имеют гормональные влияния, а повышение уровня эстрогенов в крови, которые в свою очередь способствуют расширению диаметра венозных сосудов малого таза.
Немаловажное значение имеют механические факторы. Существует теория, что на поздних стадиях беременности вены таза подвергаются почти 60-кратной перегрузке, делающей их впоследствии уязвимыми: постепенно после родов развивается нарушение работы клапанов и обратный ток крови по сосуду (рис. 3).
Говоря о вторичности тазового венозного полнокровия мы имеем в виду те или иные особенности строения тела и/или заболевания, нарушающие отток венозной крови из полости таза.
К особенностям строения тела можно отнести необычное положение матки, а именно её отклонение кзади (ретрофлексия).
Предшествующий тромбоз (закупорка тромбом) и/или воспаление стенки вены (флебит) полой и подвздошной вен, опухоли забрюшинного пространства, гинекологические заболевания, которые помимо сдавления вен приводят к нарушению гормонального фона, могут быть причинами тазового венозного полнокровия.
Какова же причина непосредственно болевых ощущений при синдроме тазовой конгестии? Наиболее вероятным представляется механизм, согласно которому прогрессирующее расширение вен и скопление в них крови приводит к высвобождению биологически активных веществ, обладающих свойствами провокаторов боли (альгогенов).
Также рассматривается вопрос о том, что венозный застой сам по себе вызывает передачу болевого импульса в головной мозг с периферии. Длительно сохраняющиеся явления застоя способствуют развитию определенных изменений в периферических нервных волокнах, что также усиливает патологические импульсы в центральную нервную систему, формируя тем самым болевой компонент.
Как проявляется синдром тазового венозного полнокровия?
Проявления данного синдрома достаточно многообразны, и представлены следующими жалобами:
хронические тазовые боли тупого, глубинного, тянущего, ноющего характера, усиливающиеся при позных нагрузках – после длительной ходьбы, при физических нагрузках и подъеме тяжестей, после длительного пребывания в положении сидя, Напротив, если лечь, приподнять тазовый конец, подложив под него подушку, поднять ноги - боли значительно уменьшаются или исчезают;
чувство тяжести внизу живота;
усиление болей во время и ОСОБЕННО после полового акта – этот признак является почти обязательным для синдрома тазовой конгестии. Это обстоятельство может приводить к боязни полового сношения (диспареунии);
может наблюдаться нарушение менструального цикла. Важно подчеркнуть, что характерным для данного синдрома признаком является уменьшение или полное исчезновение симптомов в менопаузе (прекращение менструации);
в ряде случаев может наблюдаться болезненность при мочеиспускании;
иногда чрезмерно обильные менструальные кровотечения;
очень часты депрессивные и тревожные расстройства.
Необходимо отметить, что в половине случаев тазовое венозное полнокровие сочетается с варикозным расширением вен промежности и ягодичной области.
При расширении вен наружных половых органов беспокоят чувство распирания, зуд, боли и жжение в области расширенных вен, может появиться отек наружных половых органов, болезненность при мочеиспускании.
При выраженном варикозе возможно развитие острого тромбоза и воспаления стенки вены, проявляющихся интенсивным болевым синдромом, отеком и покраснением кожных покровов. Пораженные вены уплотнены, температура тела нередко повышена до 37,5-38,0° С. Кровотечение из варикозных вен промежности не редкость, и может возникать само по себе, но чаще во время полового акта или родов.
Какие методы диагностики необходимы при тазовой конгестии? Основными методами диагностики являются:
- «Золотой стандарт» диагностики данного заболевания – тазовая рентгенконтрастная флебография – метод, с введением контрастных веществ в вены таза с последующей серией рентгеновских снимков, который позволяет получить детальную картину патологически измененных сосудов;
- УЗИ сосудов и органов малого таза:
- традиционное – исследование через переднюю брюшную стенку;
- трансвагинальное – исследование путем введения датчика аппарата во влагалище.
- Компьютерная томография;
- Магнитно-резонансная томография – дорогостоящий метод, как и компьютерная томография. Используется с целью исключения/подтверждения другой патологии органов малого таза.
- Лапароскопия – исследование органов брюшной полости, органов малого таза путем введения через пупочное кольцо эндоскопа (аппарата, позволяющего при помощи зрения оценить состояние органов). Наиболее обосновано его использование для одновременного проведения лечебных мероприятий в ряде ситуаций.
Главной рекомендацией по лечению данной патологии, как, в общем то и любого другого заболевания, является отказ от самолечения, и обращение к врачу.
Необходимо подчеркнуть, что тазовая конгестия – это хроническое заболевание, с разнообразным течением, и индивидуальными особенностями у каждого конкретного человека, поэтому и лечение её также является индивидуальным.
Существуют медикаментозные (при помощи лекарственных препаратов) и хирургические методы лечения.
При подозрении на тазовое венозное полнокровие лечение начинают с приема лекарственных препаратов, лечебной физкультуры, компрессионная терапия, и лишь при неэффективности такого лечения (не ранее чем через 4-6 месяцев) решают вопрос о хирургическом лечении.
Из лекарственных препаратов наиболее часто используются следующие группы:
- Флеботоники – препараты, улучшающие состояние стенки вены: Детралекс, в течение 2,5-3 месяцев; можно также (Гинкор форт, Эндотелон);
- Средства улучшающие микроциркуляцию – Пентоксифиллин;
- Обезболивающие препараты – при выраженном болевом синдроме используют нестероидные противовоспалительные средства: Ибупрофен, Ацетилсалициловая кислота, Нимесулид. Помимо обезболивающего действия данная группа препаратов улучшает текучесть крови, что также способствует улучшению состояния;
- Другие группы препаратов: антиоксиданты, препараты для системной энзимотерапии;
- Антидепрессанты и противотревожные препараты – при необходимости.
Лечебная гимнастика и компрессионное лечение, заключающееся в ношении специальных лечебных колготок высокой степени компрессии, направлены на улучшение венозного оттока из области таза.
В случае неэффективности медикаментозного лечения, лечебной гимнастики и компрессионного лечения показано хирургическое лечение, направленное, в основном, на «выключение» из кровообращения пораженных вен.
В заключении хочется подчеркнуть, что, не смотря на стремление дать в настоящей статье максимально полную информацию о таком заболевании как синдром тазового венозного полнокровия, не стоит прибегать к самодиагностике и самолечению, поскольку как показывает практика, это не только может нанести удар по Вашему здоровью, но и явиться причиной напрасной траты времени и материальных средств.
В случае если Вы обеспокоены состоянием своего здоровья или здоровья близких Вам людей, не откладывайте визит к врачу.
Синдром тазового венозного полнокровия
Кафедра факультетской хирургии №1 лечебного факультета РНИМУ им. Н.И. Пирогова, Москва, Россия
ФГБОУ ВО «Российский научно-исследовательский медицинский университет им. Н.И. Пирогова» Минздрава России, кафедра факультетской хирургии №1, Москва, Россия
Городская клиническая больница №1 им. Н.И. Пирогова, Москва, Россия
ФГБОУ ВО «РНИМУ им. Н.И. Пирогова» Минздрава России, 117997, Москва, Россия;
ГБУЗ Москвы «Городская клиническая больница №1 им. Н.И. Пирогова» Департамента здравоохранения Москвы, 117049, Москва, Россия
Кафедра факультетской хирургии Российского национального исследовательского медицинского университета им. Н.И. Пирогова;
Городская клиническая больница №1 им. Н.И. Пирогова
Кафедра факультетской хирургии, урологии лечебного факультета Российского национального исследовательского медицинского университета им. Н.И. Пирогова, Городская клиническая больница №1 им. Н.И. Пирогова, Москва, Россия
кафедра урологии и андрологии лечебного факультета Российского национального исследовательского медицинского университета им. Н.И. Пирогова, Москва, Россия
Возможности гибридных технологий в лечении синдрома тазового венозного полнокровия
Журнал: Флебология. 2018;12(3): 134‑141
Кафедра факультетской хирургии №1 лечебного факультета РНИМУ им. Н.И. Пирогова, Москва, Россия
Цель исследования — демонстрация возможностей эндоваскулярных и эндоскопических методик в лечении тазового венозного полнокровия, обусловленного синдромом Мея—Тернера в сочетании с синдромом правой гонадной вены. Материал и методы. Пациентка, 37 лет, с клиническими признаками тазового венозного полнокровия (ТВП). По результатам компьютерной томографии, оварикографии и тазовой флебографии подтвержден диагноз синдрома тазового венозного полнокровия (СТВП) и диагностированы синдромы Мея—Тернера и правой овариальной вены. Компрессия правого мочеточника гонадной веной сопровождалась явлениями правосторонней уретерообструкции. Результаты. Первым этапом лечения выполнено эндоваскулярное стентирование левых подвздошных вен, вторым — ретроперитонеальная эндоскопическая резекция правой гонадной вены, затем — эндоскопическое стентирование правого мочеточника. Комплекс проведенных лечебных мероприятий позволил восстановить проходимость левой общей подвздошной вены, купировать симптомы ТВП и правосторонней уретерообструкции. Проведен анализ медицинской литературы, посвященной проблеме лечения синдромов Мея—Тернера, тазового венозного полнокровия и правой овариальной вены. Заключение. СТВП может сочетаться со стенозом левой общей подвздошной вены и синдромом правой гонадной вены. Адекватная диагностика состояния тазовых вен, мочевыделительной системы и комбинированное поэтапное применение эндоваскулярных методик позволяют эффективно купировать признаки ТВП, нормализовать пассаж мочи по мочеточникам.
Кафедра факультетской хирургии №1 лечебного факультета РНИМУ им. Н.И. Пирогова, Москва, Россия
ФГБОУ ВО «Российский научно-исследовательский медицинский университет им. Н.И. Пирогова» Минздрава России, кафедра факультетской хирургии №1, Москва, Россия
Городская клиническая больница №1 им. Н.И. Пирогова, Москва, Россия
ФГБОУ ВО «РНИМУ им. Н.И. Пирогова» Минздрава России, 117997, Москва, Россия;
ГБУЗ Москвы «Городская клиническая больница №1 им. Н.И. Пирогова» Департамента здравоохранения Москвы, 117049, Москва, Россия
Кафедра факультетской хирургии Российского национального исследовательского медицинского университета им. Н.И. Пирогова;
Городская клиническая больница №1 им. Н.И. Пирогова
Кафедра факультетской хирургии, урологии лечебного факультета Российского национального исследовательского медицинского университета им. Н.И. Пирогова, Городская клиническая больница №1 им. Н.И. Пирогова, Москва, Россия
кафедра урологии и андрологии лечебного факультета Российского национального исследовательского медицинского университета им. Н.И. Пирогова, Москва, Россия
Синдром тазового венозного полнокровия (СТВП) — патологическое состояние, возникающее на фоне расширения внутритазовых вен, рефлюкса крови по ним и характеризующееся тазовыми, коитальными и посткоитальными болями, дисменореей, дизурическими расстройствами [1]. В подавляющем большинстве случаев причиной возникновения варикозного расширения вен таза и венозных тазовых болей служат повторные беременности и роды [2]. Другой причиной СТВП является синдром Мея—Тернера — сдавление левой общей подвздошной вены правой общей подвздошной артерией, сопровождающееся нарушением венозного оттока по левым подвздошным венам, расширением и рефлюксом крови по левой внутренней подвздошной вене и ее притокам, варикозной трансформацией гонадных вен [3—5]. Расширение яичниковых вен в редких случаях приводит к формированию синдрома правой либо левой гонадной вены — уретероовариальному конфликту [6]. Это состояние характеризуется нарушением нормального пассажа мочи по мочеточникам, развитием уретеро- и пиелоэктазии, сипмтомами персистирующей мочевой инфекции [7].
В медицинской литературе представлены редкие случаи комбинации синдромов Мея—Тернера и тазового венозного полнокровия, правостороннего либо левостороннего уретероовариального конфликта и СТВП [3, 8, 9]. Мы представляем случай сочетания синдромов Мея—Тернера, правой гонадной вены и тазового венозного полнокровия, успешно излеченный благодаря применению гибридных технологий, а именно ‒ сочетанию эндоваскулярных и эндоскопических лечебных методик.
Клинический случай
Пациентка М., 37 лет, ИБ № 1574, обратилась за медицинской помощью 01.11.17 в университетскую хирургическую клинику им. В.С. Савельева РНИМУ им. Н.И. Пирогова с жалобами на постоянные тупые боли в нижних отделах живота, правой мезогастральной области, боли после полового акта. Из анамнеза известно, что указанные выше симптомы впервые возникли после вторых родов в 2013 г. Неоднократно лечилась по поводу хронического пиелонефрита. Полного исчезновения болевого синдрома не отмечала. В ходе выполнения ультразвукового исследования (УЗИ) органов малого таза и почек в августе 2017 г. обнаружены варикозно-расширенные вены малого таза и расширение правой почечной лоханки. Обследована урологом, выполнена экскреторная урография, по результатам которой обнаружена правосторонняя пиелоэктазия, механических препятствий оттоку мочи по правому мочеточнику не обнаружено. Рекомендовано консервативное лечение.

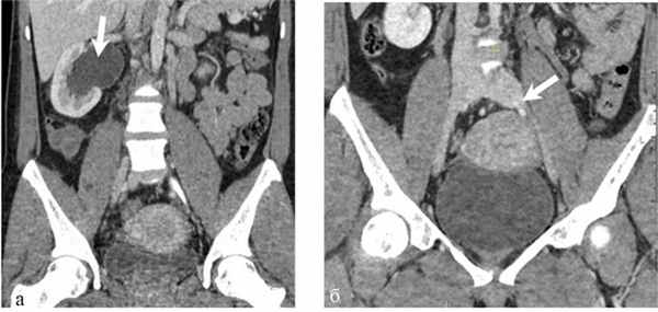
В клинике больная дообследована. В анализах крови и мочи значимых изменений не обнаружено. Помимо общеклинического обследования, выполнено трансабдоминальное и трансвагинальное ультразвуковое ангиосканирование (УЗАС), по результатам которого обнаружены расширение параметральных вен до 10 мм, маточных вен до 7 мм, правой гонадной вены до 8 мм, патологический рефлюкс крови по этим сосудам. Ультрасонографических признаков патологии подвздошных вен не выявлено. В ходе выполнения мультиспиральной компьютерной томографии (МСКТ) с контрастным усилением диагностированы правосторонняя пиелоэктазия до 50×28 мм, расширение мочеточника в средней и нижней трети до 15 мм, сужение просвета левых подвздошных вен, расширение правой гонадной вены (рис. 1). Рис. 1. Компьютерные томограммы пациентки М. а — расширение правой почечной лоханки; б — стеноз левой общей подвздошной вены (указано стрелками). Органической патологии органов малого таза, забрюшинного пространства не выявлено.
Для уточнения диагноза и определения тактики лечения выполнены ренофлебография, оварикография, тазовая флебография. По результатам флебографического исследования выявлены: сдавление правого мочеточника расширенной правой гонадной веной в верхней трети, расширение правого мочеточника в средней и нижней трети, стеноз левой наружной и общей подвздошной вен до 95% неопухолевого и нетромботического генеза, расширение левой внутренней подвздошной вены и ее притоков, депонирование контрастного вещества в варикозных венах малого таза (рис. 2). Рис. 2. Флебограммы пациентки М. а: 1 — правая гонадная вена; 2 — S-образный изгиб мочеточника в верхней трети; 3 — сдавление правого мочеточника правой гонадной веной; 4 — расширенный мочеточник в средней и нижней трети; б — стеноз общей подвздошной вены (указано стрелками). Случай расценен как синдром Мея—Тернера, тазовое венозное полнокровие, синдром правой гонадной вены. Учитывая выраженное сужение левых подвздошных вен, высокий риск развития венозных тромбоэмболических осложнений, первым этапом лечения решено выполнить эндоваскулярное стентирование левых подвздошных вен. Проведена имплантация стента Wallstent—Uni 14×60 мм. На контрольной флебографии определяется полная проходимость подвздошных вен (рис. 3). Рис. 3. Флебограмма пациентки М. Стент в левых общей и наружной подвздошных венах (указано стрелками). После стентирования проводили антикоагулянтную и дезагрегантную терапию (клексан 60 мг 2 раза в сутки под кожу живота, плавикс 75 мг/сут в течение 3 нед, затем клексан 40 мг/сут однократно). Постимплантационный период протекал без осложнений.

Через 1 мес вторым этапом лечения с целью коррекции СТВП и синдрома правой овариальной вены выполнена ретроперитонеальная эндоскопическая резекция правой гонадной вены. После формирования правостороннего забрюшинного доступа обнаружено, что правая гонадная вена расширена до 8 мм, пересекает правый мочеточник в его верхней трети, сразу над зоной расширения мочеточника. S-образного изгиба мочеточника не выявлено. Правая лоханка расширена, мочеточник в верхней трети диаметром 8 мм, в средней и нижней трети — расширен до 1,5 см. Выполнены мобилизация правой овариальной вены, уретеролизис. Вена клипирована в дистальном и проксимальном направлении, резецирована. Уретероовариальный конфликт ликвидирован (рис. 4). Рис. 4. Фото этапов операции. а — расширенная правая почечная лоханка; б — пересечение правых гонадной вены и мочеточника; в — клипирование правой гонадной вены в приустьевом отделе; г — клипирование правой гонадной вены в дистальном отделе; д — вид резецированной правой гонадной вены в приустьевом отделе; е — вид мочеточника после уретеролизиса (указано стрелками).

Учитывая выраженную диффузную кровоточивость тканей (пациентка получала низкомолекулярный гепарин в профилактической дозе), в забрюшинное пространство установлен силиконовый дренаж. Продолжительность операции составила 50 мин, кровопотеря — около 100 мл. Послеоперационный период без осложнений, дренаж удален на 1-е сутки после вмешательства. Через 2 дня после операции пациентка отметила значительное уменьшение болевого синдрома. При повторных ультразвуковых исследованиях и МСКТ на 3-й день послеоперационного периода сохранялись правосторонняя пиелоэктазия и расширение правого мочеточника, в связи с чем решено выполнить временное стентирование правого мочеточника (рис. 5). Рис. 5. Компьютерные томограммы пациентки М. после стентирования мочеточника. а: 1 — мочеточниковый стент в верхней трети; 2 — стент в правых подвздошных венах, проходимость его не нарушена; б — мочеточниковый стент в нижней трети (указано стрелками).
Через сутки после стентирования мочеточника пациентка выписана из стационара в удовлетворительном состоянии, болевой синдром купирован. Через месяц выполнено удаление уретрального стента. При контрольной МСКТ стент в подвздошной вене проходим, явления тазового венозного полнокровия, пиело- и уретероэктазии отсутствуют.
Варикозная трансформация внутритазовых вен наиболее часто сопровождается симптомами тазового венозного полнокровия [10, 11]. Многочисленными исследованиями [12—14] доказано, что хирургические вмешательства на гонадных венах служат оптимальным методом лечения СТВП. Вместе с тем всегда следует учитывать такой этиологический фактор СТВП, как синдром Мея—Тернера, адекватная коррекция которого обеспечивает успех лечебного процесса и безрецидивное течение послеоперационного периода [3, 8]. В настоящее время доказано, что эндоваскулярное стентирование — наиболее эффективный способ восстановления проходимости подвздошных вен при синдроме Мея—Тернера [15—17]. В случае сочетания СТВП и компрессии левой общей подвздошной вены предпочтительнее первым этапом выполнить эндоваскулярное стентирование, затем — вмешательство на гонадных венах [3]. Неустраненный стеноз левой наружной подвздошной вены может обусловливать сохранение тазовых болей, усугубление признаков ТВП, возникновение вульварного и промежностного варикоза [18].
Эндоваскулярная эмболизация гонадных вен — достаточно эффективный способ лечения СТВП [25—27]. Несмотря на это, некоторые авторы высказывают обоснованные сомнения относительно повсеместного применения данного метода лечения при ТВП [10, 28, 29]. В наибольшей степени это относится к пациентам с синдромом овариальных вен. Установка эмболизирующих спиралей в гонадные вены на фоне компрессии мочеточников чревата дальнейшим усугублением уретральной обструкции.
В представленном клиническом случае у пациентки выявлены три синдрома: Мея—Тернера, тазового венозного полнокровия и правой овариальной вены, что предопределило применение гибридной технологии лечения. Первый этап, включающий коррекцию нарушения венозного оттока по левым подвздошным венам, осуществлен с помощью эндоваскулярного стентирования. Ликвидация этиологического фактора развития СТВП позволила выполнить вторым этапом лечения патогенетически обоснованную операцию — резекцию правой гонадной вены, направленную на устранение патологического рефлюкса по правой гонадной вене, купирование симптомов ТВП. В случае сохранения стеноза подвздошных вен выполнение редукции кровотока по гонадным венам может привести к прогрессированию явлений ТВП, развитию венозных тромбоэмболических осложнений. Кроме того, эндоскопическая ретроперитонеальная резекция в данном случае позволила не только устранить рефлюкс крови по гонадной вене и участок сосуда в зоне перекреста с правым мочеточником, но и выполнить уретеролизис на значительном протяжении.
В конкретной ситуации этой операции оказалось недостаточно для купирования явлений уретерообструкции, в связи с чем проведено эндоскопическое стентирование правого мочеточника, окончательно разрешившее имеющееся нарушение пассажа мочи по правому мочеточнику. Безопасность и эффективность этой процедуры доказаны в практике лечения синдрома овариальных вен у беременных женщин [30]. Таким образом, резекция вены и стентирование мочеточника послужили взаимодополняющими вмешательствами, их сочетанное выполнение обеспечило положительный клинический эффект. Использование лишь временного стентирования мочеточника при неустраненной его компрессии правой гонадной веной в последующем могло привести к рецидиву правосторонней уретральной обструкции.
Заключение
В клинической практике СТВП может сочетаться со стенозом левых подвздошных вен и синдромом овариальных вен. Это диктует необходимость применения различных диагностических методов (УЗИ, УЗАС, МСКТ, флебографии) для получения необходимой информации, определения тактики лечения и последовательности выполнения хирургических вмешательств. Сочетанное применение эндоваскулярных и эндоскопических технологий позволяет эффективно проводить коррекцию нарушений венозного оттока на разных уровнях и устранять уретральный блок. Помимо этого, мини-инвазивные технологии сопровождаются кратковременным нахождением пациента в стационаре, быстрой реабилитацией, хорошими косметическими результатами.
Синдром тазового венозного полнокровия как причина хронической тазовой боли у женщин
Одной из причин развития синдрома хронической тазовой боли является нарушение тазового венозного кровообращения, которое может возникать из-за тазового венозного полнокровия и варикозного расширения вен вульвы. Синдром тазового венозного полнокровия характеризуется хроническим дискомфортом в области таза, который может усиливаться во время коитуса или принятия ортостатического положения и приводить к серьезным нарушениям функции органов малого таза. Варикозное расширение вен вульвы развивается в результате обструкции вен, повышения венозного давления и венозной недостаточности в малом тазу. Варикоз бывает изолированным или связанным с варикозным расширением вен нижних конечностей. Диагностика и лечение таких пациентов ограничены отсутствием окончательных клинических критериев для ранней постановки диагноза, что и стало целью написания настоящей статьи.
Ключевые слова
Об авторах
Северо-Западный государственный медицинский университет имени И.И. Мечникова Министерства здравоохранения Российской Федерации
Россия
Новикова Наталья Юрьевна - студент 4-го курса.
195067 Санкт-Петербург, Пискаревский проспект, д. 47.
Национальный медицинский исследовательский центр имени В.А. Алмазова Министерства здравоохранения Российской Федерации
Россия
Цибизова Валентина Ивановна – кандидат медицинских наук, врач акушер-гинеколог НИИ оперативной гинекологии Института перинатологии и педиатрии, врач отделения функциональной ультразвуковой диагностики.
197341 Санкт-Петербург, ул. Аккуратова, д. 2.
Пуздряк Петр Дмитриевич - врач, сердечно-сосудистый хирург первой категории отделения сосудистой хирургии СПб ГБУЗ «Городская многопрофильная больница № 2»; член Совета РОО «Врачи Санкт-Петербурга».
194354 Санкт-Петербург, Учебный переулок, д. 5.
Scopus Author ID: 57194489779.
Researcher ID: K-9787-2016.
Author ID: 972690.
Национальный медицинский исследовательский центр имени В.А. Алмазова Министерства здравоохранения Российской Федерации
Россия
Комличенко Эдуард Владимирович – доктор медицинских наук, заместитель директора Института перинатологии и педиатрии.
197341 Санкт-Петербург, ул. Аккуратова, д. 2.
Scopus Author ID: 56357908200.
Researcher ID: N-5315-2015.
Национальный медицинский исследовательский центр имени В.А. Алмазова Министерства здравоохранения Российской Федерации
Россия
Цнобиладзе Иа Гииевна - врач акушер-гинеколог.
197341 Санкт-Петербург, ул. Аккуратова, д. 2.
Национальный медицинский исследовательский центр имени В.А. Алмазова Министерства здравоохранения Российской Федерации
Россия
Малушко Антон Викторович - врач акушер-гинеколог.
197341 Санкт-Петербург, ул. Аккуратова, д. 2.
Северо-Западный государственный медицинский университет имени И.И. Мечникова Министерства здравоохранения Российской Федерации
Россия
Иванов Михаил Анатольевич – доктор медицинских наук, профессор кафедры общей хирургии.
195067 Санкт-Петербург, Пискаревский проспект, д. 47.
Author ID: 633714.
Северо-Западный государственный медицинский университет имени И.И. Мечникова Министерства здравоохранения Российской Федерации
Россия
Чижова Ксения Александровна - студент 5-го курса.
195067 Санкт-Петербург, Пискаревский проспект, д. 47.
Бондаренко Павел Борисович - врач, сердечно-сосудистый хирург отделения сосудистой хирургии.
194354 Санкт-Петербург, Учебный переулок, д. 5.
Косицына Инга Михайловна - врач-рентгенолог кабинета компьютерной томографии.
194354 Санкт-Петербург, Учебный переулок, д. 5.
Блинов Дмитрий Владиславович – кандидат медицинских наук, руководитель по медицинским и научным вопросам, Институт Превентивной и Социальной Медицины; врач-невролог, Клинический Госпиталь Лапино, ГК «Мать и Дитя».
127006 Москва, ул. Садовая-Триумфальная, д. 4–10; 143081 Московская область, Одинцовский район, Лапино, 1-ое Успенское шоссе, д. 111.
Scopus Author ID: 6701744871.
Researcher ID: E-8906-2017.
Список литературы
2. Зайцев А.В., Шаров М.Н., Кан Я.Д. и др. Хроническая тазовая боль. Современное мультимодальное представление о проблеме. Перспективы диагностики и лечения. Российский журнал боли. 2015;(2):3-8.
5. Фомина Е.Е., Ахметзянов Р.В., Тухбатуллин М.Г. Методология ультразвукового исследования при варикозной болезни вен таза. Практическая медицина. 2016;(9):53-8.
22. Lemasle P., Greiner M. Duplex ultrasound investigation in pelvic congestion syndrome: technique and results. Phlebolymphology. 2017;24(2):79-87.
26. Соколов А.А., Цветкова Н.В. Варикозное расширение овариальных вен - диагностика и лечение. SonoAce International (русская версия). 1999;(4):19-22.
Синдром тазового венозного полнокровия

Синдром тазовой конгестии или синдром тазового венозного полнокровия – это состояние, которое возникает в результате поражения овариальных вен и характеризуется венозным застоем в органах малого таза. Недостаточность вен тазового сплетения приводит к их расширению и хронической тазовой боли.
Эпидемиология
Это состояние чаще всего наблюдается у женщин детородного возраста или старше. Большинство женщин имели в анамнезе несколько беременностей. Также этот синдром может возникать у мужчин, что проявляется варикозно расширенными венами мошонки. Кроме того, это является причиной около 10-15% обращений к гинекологам, урологам или другим специалистам, связанным с болью в области таза.
Этиология
Женщины, родившие двух и более детей, более восприимчивы к возникновению СТВП. С каждой беременностью внутрисосудистый объем может увеличиваться до шестидесяти процентов. По мере того, как увеличивается внутрисосудистый объем, увеличивается венозное растяжение. Если яичниковая вена подвержена чрезмерному растяжению, может возникнуть клапанная недостаточность, что приведет к возникновению СТВП. Также было высказано предположение, что эстроген может играть роль в ослаблении венозных стенок, поэтому следует тщательно рассмотреть вопрос о назначении гормональных препаратов.
Другой причиной СТВП могут быть анатомические аномалии. Ретроаортальная почечная вена может привести к обструкции яичниковой вены и, следовательно, варикозному расширению вен малого таза. Почечная или яичниковая вены могут сдавливаться верхней брыжеечной артерией. Эта патология была описана в литературе как «синдром щелкунчика» или аорто-мезентериальный пинцет. Общая подвздошная вена может сдавливаться между общей подвздошной артерией и краем тазовой кости. Полученный компрессионный каскад может привести к варикозному расширению вен малого таза или даже к илеофеморальному тромбозу.
К возникновению СТВП могут привести осложнения вследствие хирургических операций. Наиболее частой причиной является нефрэктомия. Во время этой процедуры возможно повреждение овариальной вены.
Клиническая картина
Синдром тазовой конгестии может существовать бессимптомно и долгое время оставаться не диагностированным. Это состояние может сопровождаться постоянной или периодической болью внизу живота или тазовой болью, интенсивность которой может колебаться от тупой до острой боли. Продолжительность боли может длиться более 6 месяцев. Боль может локализоваться с одной или с двух сторон. Боль обычно усиливается к концу дня, а также при длительном стоянии или сидении. Кроме того, боль может быть связана с менструальным циклом.
Про хроническую тазовую боль можно почитать здесь.
Дополнительные симптомы, связанные с синдромом тазового венозного полнокровия (СТВП), представлены ниже:
- Болезненность при глубоком пальпации яичников.
- Диспареуния.
- Наличие варикозного расширения вен ягодиц и/или нижних конечностей.
- Головная боль.
- Желудочно-кишечные боли/дискомфорт.
- Дисфункция кишечника и мочевого пузыря.
- Усталость.
- Бессонница.
- Ощущение тяжести в нижней части живота или области промежности.
- Боль в пояснице усиливается при стоянии в вертикальном положении.
- Депрессия.
- Выделения из влагалища.
- Дисменорея.
- Отек вульвы.
- Пояснично-крестцовая нейропатия.
- Дискомфорт в прямой кишке.
С синдромом тазовой конгестии часто связаны разнообразные нарушения периферического кровотока.
Диагностика
СТВП часто пропускается из-за диагностики в положении на спине (уменьшение венозного полнокровия), обычно используемого для осмотра. Наличие СТВП может быть обнаружено с помощью лапароскопии, гистероскопии или другой визуализации (например, компьютерной томографии, магнитно-резонансной томографии, ультразвука). Золотым стандартом лечения СТВП на сегодняшний день является тазовая венография.
Ignacio и соавт. обнаружили два основных способа визуализации, используемых для получения дополнительной информации о венозном кровотоке и обнаружения наличия варикозного расширения вен в области таза, которые включают:
- УЗИ органов малого таза, которое обеспечивает более динамичное изображение кровотока;
- КТ, используемая для выявления варикозного расширения вен малого таза, является более чувствительной, чем ультразвуковая диагностика.
Ignacio и соавт. также разработали критерии для сонографической диагностики:
- Яичниковые вены > 4 мм в диаметре.
- Расширенные и извилистые вены малого таза.
Дифференциальная диагностика
Из-за особенностей клинической картины СТВП дифференциальная диагностика довольно обширна:
- Патология кишечника.
- Онкология.
- Эндометриоз.
- Фиброма матки.
- Фибромиалгия.
- Киста яичника.
- Воспалительные заболевание органов малого таза.
- Порфирия.
- Выпадение матки.
- Ортопедическая, неврологическая или урологическая патология.
- Лейомиома.
- Аденомиоз.
- Синдром щелкунчика.
- Синдром раздраженного кишечника.
- Дивертикулит/дивертикулез/дивертикул Меккеля.
- Интерстициальный цистит.
- Фасциит.
- Психосексуальные расстройства.
- Депрессия.
Лечение
Первой линией лечения СТВП являются анальгетики (включая нестероидные противовоспалительные препараты). Если ситуация не разрешается, имеет смысл обратиться к интервенционному радиологу. Наиболее успешным вариантом лечения СТВП является эмболизация пораженных сосудов. Эмболизация варикозных вен – это амбулаторная процедура, выполняемая интервенционными рентгенологами, которая может уменьшить или устранить симптомы, связанные с СТВП. Эта процедура выполняется только после тщательного сбора анамнеза, физического осмотра и изучения изображений, выполненных врачом. Процедура выполняется в положении сидя, под местной анестезией, посредством визуализации в реальном времени. Уменьшение симптомов можно ожидать через 2-4 недели после операции, что наблюдается у 75-80% женщин.
Друзья, совсем скоро состоится семинар Марины Осокиной «Женское здоровье: возможности восстановительного фитнеса и физической терапии». Узнать подробнее…
Ignacio и коллеги упомянули несколько методов лечения СТВП:
- Аналоги гормонов.
- Хирургическое перевязывание вен яичников.
- Гистерэктомия.
- Транскаттерная эмболизация.
- Психотерапия.
- Прогестины.
- Флеботоники.
- Агонисты гонадотропин-рилизинг гормона (ГнРГ) при заместительной гормональной терапии.
- Дигидроэрготамин.
- НПВП.
Физическая терапия
На сегодняшний день нет исследований, посвященных роли физиотерапии в лечении СТВП. Однако, дисфункция мышц тазового дна и СТВП часто сочетаются. Поэтому, человек может обратиться к физиотерапевту, специализирующемуся на тазовой дисфункции из-за хронической боли или недержания мочи. Специалист проведет тщательную оценку и разработает программу тренировок, основанную на нарушениях пациента. В этом смысле физиотерапия может быть полезна, поскольку улучшает работу тазовой мускулатуры.
Читайте также:
