Случай успешного удаления «лишнего» зуба
Добавил пользователь Владимир З. Обновлено: 22.11.2025
Ретенция зуба — довольно распространенная патология, для которой характерно отсутствие прорезывания зубов при наличии их зачатков в кости челюсти. Ретинированный зуб, соответственно, — это непрорезавшийся зуб, зачаток которого находится в челюстной кости. Он может быть либо вовсе не виден во рту, либо едва заметен сквозь ткани десны [1]. При дистопии зуб прорезывается в полости рта, но занимает аномальное положение.
Операция удаления сверхкомплектных, ретинированных и дистопированных зубов является одной из самых распространенных манипуляций на детском хирургическом приеме. Этому способствует большая распространенность данной патологии. Вместе с тем травматичность подобных вмешательств, особенности детской психологии, низкая распространенность в нашей стране методов седации с сохраненным сознанием, а также недостаток опыта у врачей часто становятся причиной отказа хирургов от выполнения таких операций в условиях амбулаторного приема. При этом необоснованно расширяются показания к проведению их под общим обезболиванием в стационаре.
Цель статьи: выделить основные особенности проведения оперативных вмешательств по удалению сверхкомплектных, ретинированных и дистопированных зубов в условиях детского амбулаторного хирургического приема.
Среди основных принципов подготовки и проведения таких операций можно выделить следующие.
Диагностика аномального положения зубов основывается на клинических и рентгенологических данных
К клиническим признакам ретенции относится задержка прорезывания постоянного зуба или персистенция молочного зуба, а также пальпаторно и визуально определяемая небная или вестибулярная припухлость в области залегания ретинированных зубов.
Окончательный ответ при подозрении на ретенцию могут дать рентгенологические методы исследования [4]. Это, прежде всего, прицельные снимки. Одиночный снимок может дать врачу двухмерное представление о зубе. Врач может оценить положение зуба в вертикальной плоскости и в мезиодистальном направлении.
Более информативно изучение ортопантомограммы. Данный вид исследования дает информацию о положении ретинированного зуба в мезиодистальном направлении, однако не всегда можно точно выявить сложную анатомию его взаиморасположения с соседними зубами. Современный метод трехмерной дентальной компьютерной томографии позволяет точно определить расположение ретинированного зуба в трех взаимно перпендикулярных плоскостях и его соотношение с соседними анатомическими структурами, что помогает в планировании операции.
Хирургическое вмешательство лучше проводить утром, пока ребенок не устал.
Сотрудничество с родителями
Подросток старше 15 лет сам может подписать информированное согласие на операцию (до 15 лет — подписывают родители).
Родителям необходимо подробно и вместе с тем избегая устрашающих медицинских терминов, объяснить ход операции, рассказать о течении послеоперационного периода, негативных сторонах вмешательства (отек, боль) и возможных осложнениях, ответить на вопросы. При описании этих аспектов врач должен делать акцент на временном характере возникающих негативных явлений, низкой вероятности возникновения осложнений и наличии целого спектра возможностей по их преодолению.
Позитивный настрой и уверенность врача помогают преодолеть закономерные опасения родителей при планировании вмешательства. Родители должны знать, что наличие современных анальгетиков, физиотерапевтических методов лечения значительно уменьшает выраженность побочных явлений операции, а постоянный врачебный контроль дает возможность пережить их с минимальными неудобствами. По возможности проводить такую беседу необходимо в отсутствие ребенка.
При осмотре ребенка необходимо оценить психологические особенности личности
Врачу нужно помнить, что для детей могут быть характерны повышенная тревожность и лабильность вегетативной системы. В подростковом периоде особую важность приобретает внешний вид, мнение товарищей в группе.
В оценке психологического статуса также поможет разговор с родителями, в ходе которого необходимо оценить уровень реактивной тревожности, выяснить, насколько успешно ребенок справляется с психотравмирующими ситуациями и что может помочь перенести оперативное вмешательство максимально легко. Это могут быть подарки, сопровождение родственника или, наоборот, самостоятельное нахождение маленького пациента в кабинете, модификации поведения врача и т. д. Универсального рецепта здесь не существует, тактика врача должна быть максимально индивидуализирована с помощью родителей.
Иногда требуется психотерапевтическая или медикаментозная подготовка, премедикация
Можно назначить прием в течение недели до вмешательства таких современных препаратов, как селективные анксиолитики (афобазол, адаптол, детский тенотен, ноопепт). Эти препараты устраняют у ребенка чувство страха, повышенную тревожность, плаксивость, панические атаки. Они не вызывают привыкания, не имеют синдрома отмены, не влияют на моторные реакции и продаются без рецепта. Лучше, если эти, а также более серьезные препараты, например дневные транквилизаторы, назначит невролог.
Важно установить контакт с ребенком
Многие дети боятся незнакомых людей, помещений и ситуаций. Проведение каких-либо менее травматичных вмешательств, например удаление молочных зубов по поводу периодонтита или физиологической резорбции корней, поможет ребенку привыкнуть к врачу и легче перенести предстоящую операцию.
Особые требования предъявляются к скорости оперативного вмешательства
Понятно, что вне зависимости от поведения ребенка оно должно быть кратковременным.
Обычно детям требуется меньшее количество анестетика для достижения адекватного обезболивания, возможны некоторые особенности проведения анестезии (обязательная аппликация обезболивающих гелей, проведение мандибулярной анестезии вместо торусальной и др.) с учетом анатомо-физиологических особенностей челюстно-лицевой области и детского организма в целом. Безболезненность вмешательства — один из решающих факторов, обеспечивающих успех мероприятия в целом.
Корни постоянных зубов находятся в стадии формирования, а зачатки могут располагаться в глубине челюстной кости
Поэтому важно правильно определить время операции, когда корень уже достаточно сформирован, однако возможность достижения оптимального результата ортодонтического лечения с минимальными затратами еще сохраняется.
Тесное расположение ретинированных и сверхкомплектных зубов и корней соседних зубов может привести к их повреждению во время операции. Следствием этого может быть нарушение формирования корня, гибель ростковой зоны, некроз пульпы и развитие необратимых деформаций альвеолярного отростка с выраженным эстетическим недостатком (рис. 1, 2) .
Рис. 1. Последствия травмы корня зуба 1.1 при удалении сверхкомплектного зуба в возрасте 8 лет
Рис. 2. Деформация и патологическая резорбция корня зуба 1.1 на рентгенограмме
У детей лучше, чем у взрослых, выражены процессы регенерации
У них меньше вероятность развития осложнений, связанных с заживлением раны. Поэтому в большинстве случаев можно отказаться от назначения антибиотиков с профилактической целью в послеоперационном периоде. Также реже возникает необходимость в использовании остеопластических материалов, которые могут повлиять на рост альвеолярного отростка, привести к развитию анкилоза, затруднить перемещение зубов при последующем ортодонтическом лечении.
Одной из наиболее распространенных и вместе с тем травматичных операций на амбулаторном хирургическом приеме является удаление нижних зубов мудрости при их затрудненном прорезывании и недостатке места в зубном ряду. Удаление зачатков третьих моляров оптимально проводить в возрасте 15—16 лет, когда корень еще не сформирован, но подростку уже легче перенести эту манипуляцию в амбулаторных условиях.
Удаление зачатков третьих моляров оптимально проводить в возрасте 15—16 лет, когда корень еще не сформирован, но подростку уже легче перенести эту манипуляцию в амбулаторных условиях
Своевременно проведенное вмешательство позволяет избежать дальнейших проблем, предупреждает развитие воспалительных осложнений, помогает достичь оптимального и, самое главное, стабильного результата ортодонтического лечения при значительном дефиците места в зубном ряду. При планировании данной операции необходимо учитывать такие факторы, как глубина залегания зачатков, положение по оси (наклоны), отношение к соседнему зубу и нижнечелюстному каналу, количество и форма корней, стадия формирования корня, количество костной ткани, окружающей зуб, а также общее состояние здоровья [2, 3].
Операцию начинают с проводниковой анестезии. Для доступа к зоне вмешательства проводят универсальный разрез, проходящий по гребню альвеолярного отростка дистальнее второго моляра с последующим окаймлением его коронки внутрибороздковым путем и продолжающийся вниз под углом по наружной поверхности альвеолярного отростка до переходной складки. Затем отслаивают слизисто-надкостничный лоскут и обнажают альвеолярную кость в зоне вмешательства.
Манипуляции с язычной стороны должны быть минимальными и предельно деликатными. Не рекомендуется проводить отслаивание надкостницы в этой области для предупреждения развития осложнений в виде гематом и флегмон крыловидно-нижнечелюстного пространства. Острым бором (фрезой) с адекватным водяным охлаждением проводится удаление кортикальной кости. Оно должно быть минимальным для уменьшения травматичности вмешательства, но достаточным для извлечения зуба.
Облегчить вывихивание зачатка помогает его распиливание. Чаще всего отпиливанию подлежит медиальная часть коронки третьего моляра, находящаяся в поднутрении у шейки второго моляра, однако при другом наклоне зачатка схема распила может быть изменена. После осторожного и ненасильственного вывихивания зачатка зуба сглаживаются острые края кости, костный дефект промывают физиологическим раствором, лоскут мобилизуют и ушивают с оставлением резинового дренажа на сутки (рис. 3—14) .
Рис. 3. Недостаток места в зубном ряду, тесное положение зубов у пациентки 15 лет
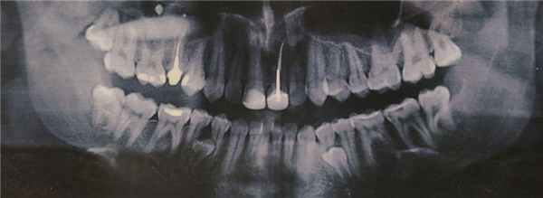
Моя история удаления 7 зубов включая 2 сверхкомплектных

Мои зубы в 16 лет. На фото видно уже почти почти сформировавшиеся сверхкомплектные четверки и уже кривые зубы снизу
В 16 лет я увидел панорамный снимок на фото выше и, уже успев натерпеться стоматологии и врачей, я загрустил (я только что сильно болел фронтитом и гайморитом в 15 лет, в 7 классе только перестав носить пластинку, я побежал, споткнулся и выбил передние зубы о бетонную плиту). Я спросил врача в Красноярске, который анализировал снимок, мол что же делать с лишними зубами (а тогда они еще не особо мешали и только слегка прощупывались)? Я получил довольно точный ответ в духе - нужно надрезать десну, отворачивать ее, сверлить кость и удалять зубы. Это меня впечатлило настолько, что я отложил решение этого вопроса аж до 29 лет. Да и не до этого как-то было.
В 29 лет у меня встал ребром другой вопрос. Я сломал зуб, у меня испортились зубы мудрости (2 из 4) и стало понятно, что этот вопрос комплексный и системный. Откладывать нельзя и половинчатые решения неприемлемы. Зубы мудрости удаляются парами. Испортились зубы с 2 сторон. Да и сверхкомплектные зубы стали немного беспокоить, а один из них аж показался и пошел вверх. А для комплексного решения вопроса … нужно удалить сразу 7 зубов: 4 зуба мудрости, 2 ретинированных сверхкомплектных зуба и один сломанный зуб. Понятно, что надо было подойти к этому вопросу основательно.
Я успешно прошел через этот процесс. И признаться был удивлен и шокирован, в первую очередь тому, что это далеко не так страшно как я думал. И самые неприятные сюрпризы ждали меня не там, где я ожидал. В этой статьей я постараюсь рассказать вам про свой опыт. Статья будет полезна тем, кто находится в похожей жизненной ситуации: мешают зубы мудрости, сломался зуб, есть "лишние" зубы или все вместе. Я в аналогичной ситуации банально боялся. Бояться не надо, надо бороться со страхом информацией.
В статье не будет никаких ссылок (и даже хорошей рекламы), только выжимка моего опыта, выводов и логических рассуждений со всеми плюсами и минусами. Если какие-то из моих выводов противоречат практике, научному консенсусу или вашему опыту - будет интересно обсудить.
Внимание, на некоторых фото есть моя кровь.
Про рынок стоматологии
Про зубы мудрости, ретинированные и сверхкомплектные зубы очень много мифов, ложной информации и маркетинга. Несмотря на то, что стоматология является почти идеальным рынком из учебника по микроэкономике, если вы начнете гуглить что-то, вы увидите, что доступная информация стремится к "бьюти-инфлюенсерам" по своему качеству, научному и фактологическому обоснованию.
Качественной публицистики от практикующих специалистов очень мало. Также не добавляет уверенности обилие мифов про ЧЛХ и тот факт, что стоматология будучи опять же идеальным рынком (цена одинаковая в рамках одного региона), привлекает много оппортунистически настроенных товарищей (цены относительно высокие, материалы импортные, но глобально - даже в Москве цены не такие высокие как в мире, я лично видел девушку летавшую из Австралии в Красноярск лечить зубы).
Всех интересует простой вопрос - как найти качественного специалиста на ответственную операцию в условиях информационного шума? Тем более, что тут нужен именно не просто стоматолог, а хирург-стоматолог. Какое-то время назад были живы сайты с отзывами на врачей, но на начало этого процесса они как-то меня не очень впечатлили.
Приведу свой выжимку информации и список "красных флагов" (я не специалист, если вы специалист - поправьте меня):
Если один и тот же человек в клинике и хирург, и терапевт, и ортопед (протезист) и занимается изготовлением постоянных коронок (не временных) и ортодонт (правит прикус) - это повод задуматься;
Самый простой "красный флаг" - спросите что происходит ПОСЛЕ операции. Нормальный ответ - вас пригласят на несколько бесплатных осмотров, где врач будет вас мониторить;
Другой простой "красный флаг" - спросите, что будет происходить, если что-то пойдет не так во время или после операции и как от этого изменится цена. Задайте банальный вопрос - а что будет, если в 3 часа ночи на следующий день вы проснетесь с невыносимой болью и какими-то очевидными проблемами или осложнениями. Типичный ответ плохих врачей - терпите, приходите через неделю, надо сделать повторную операцию;
Вынесем за скобки вопрос источника получения опыта (опыт в хирургии строится "на крови"), но хирург должен иметь большой опыт;
Тут могу ошибаться, но проведение подобных операций не требует полного наркоза, ЧЛХ, стационара, дополнительных внутривенных инъекций и веселящего газа кроме совсем жестких краевых случаев. Если вам продают обратное в типовом случае без веских причин - бегите;
Хороший хирург должен: описать побочные эффекты операции, описать текущее состояние и дать оценку вероятности что "все пойдет не так", дать вилку действий в обоих случаях, спланировать восстановление и прием медикаментов после операции;
Хороший хирург должен уметь объяснить почему он предлагает именно такое лечение. Если оно сложное, он должен обосновать необходимость каждой его составляющей. Сложно => лишние действия => осложнения;
Любая риторика на тему "вот наши материалы плохие, но вот есть дорогие и они точно классные" - как правило это развод и показатель типичной "карусели". Если вам предлагают выбор из опции А и Б, должны быть четкие и понятные вам критерии, а не FOMO или FUD;
Как правило, если людям небезразлично, они дадут сразу после операции вам лед (почему это важно читайте специалистов). Лед ничего не стоит;
Я читал анекдоты про людей советской закалки, кто прекрасно удаляет зубы и в гос. клиниках, но у меня честно говоря нет алгоритма как найти хорошего хирурга там (кроме просто тупо проверить на опыте в ближайшей районной клинике);
Банально сделайте "должную проверку" всех социальных сетей и методов связи с клиникой. Отвечают ли они, насколько быстро отвечают, чем наполнены их аккаунты, есть ли какие-то внятные публикации или публичная статистика их клиники;
Банальная проверка - есть ли прямые контакты на всякий случай в после-операционный период?;
Также вы можете сформировать свое мнение прочитав несколько таких источников, и задать все недостающие вопросы врачу. Как минимум по реакции вы очень много узнаете.
У меня например случился эксцесс - после удаления одного из зубов мудрости (нижнего) десна натянулась и проступил острый кусок кости. Организм на это сразу бурно отреагировал (ощущения как при гриппе) - кость торчит. В моем конкретном случае мне оперативно и бесплатно помогли (более того, я улетал в тот день) вне графика.
Как ни странно еще один хак - хороший врач старается строить свой персональный бренд (даже если он еще на этапе наемного сотрудника) или бренд своей компании. Если врач этим не занимается, это не значит, что он плохой. Не всем дано быть предпринимателями. Но если человек этим занимается, это дает на порядок больше информации, но и повышает требования к нему на порядок.
Картина на начало процесса и пара слов про зубы мудрости
Анимация состояния сверхкомплектных зубов. Я показал их положение курсором. Нужно немного включить воображение, зубы стояли не совсем вертикально и имели изгиб (см. фото дальше).
Картинка не архисложная, но и не простая:
2 сверхкомплектных зуба, один полностью сидит внутри, коронка одного показалась;
2 зуба мудрости сильно испортились (увидите на фото ниже) - но лечить их никто не хочет (дальше будет понятно почему);
1 зуб сломан ниже десны (его тоже надо удалить);
Из-за зубов мудрости резцы снизу скучились, и вообще все это удовольствие это прелюдия для исправления прикуса (но об этом как-то потом);
То есть удалить надо 7 зубов. У меня это было сделано в 5 заходов:
Зубы мудрости удаляются всегда парами (почему пусть специалисты подскажут, но вроде иначе один потом "вываливается" без опоры);
Если удалять зубы сразу с двух сторон, то качество жизни снижается - становится сложно есть;
Ретинированные зубы удаляют надрезая десну и сверля кость. В моем случае они были снизу c 2 сторон, а поэтому пришлось выносить их в отдельные процедуры;
Сломанный зуб удаляют как можно позже, чтобы кость не успела "рассосаться" перед протезированием (сразу перед протезированием, но об этом как-то потом);
Собственно само удаление зубов, неожиданности, мифы и заблуждения
Статья уже разрослась, поэтому перейду на совсем пунктирный режим повествования в формате - миф + опровержение vs. горькая правда.
Мифы
Удалять зубы мудрости страшно и опасно. Уровень риска и страха тут сильно раздут отсутствием адекватной информации;
Нужен наркоз, седация, стационар - в общем случае нет;
Зубы "рвут" плоскогубцами. Чем сильнее действие - тем сильнее травма. Рвут их только криворукие. По идее зубы аккуратно достают, выковыривают или высверливают;
Удалять зубы больно. В общем случае я вообще ничего не чувствовал кроме прикосновения даже при сверлении кости, но есть исключения. Но вот зубы мудрости на нижней челюсти это другой разговор;
Отек делающий ваше лицо в 2 раза больше это нормально. Это скорее исключение и показатель или объективных проблем, или кривых рук;
С лунками надо что-то делать, ковырять, сыпать, промывать. При прочих равных нет, все само зарастет, главное не трогать и чтобы лунки не засорялись едой;
Удаление зуба занимает много времени. Если не считать время на приветствия, обсуждения и анестезию, то верхние зубы мудрости мне удалили секунд за 15-20 (менее минуты), а нижние несмотря на сложности с анестезией - ну минут 10-15 от силы. Скорости удаления сверхкомплектных и скорости установки импланта я вообще удивился - я не успел испугаться и буквально через несколько минут все закончилось. Я ждал волшебного момента когда увижу огромный страшный "шуруп", но я его пропустил;
После операции долгое восстановление. Один раз (особенно с торчащей костью) мне пришлось попить обезболивающее, но в целом после 24 - 48 часов полная работоспособность. В течение 12 - 24 часов после операции небольшая слабость и сонливость;
Крови много. Если все нормально, ее не очень много. Еще в самом процессе ее отсасывают;
Их нужно удалять обязательно. Только если они нефункциональны, не помещаются, испортились, сломались или по какой-то другой объективной причине. Статистически, у большинства людей из развитых стран, с ними есть какие-то проблемы, отсюда такой миф;
Горькая правда
На нижней челюсти удалять зубы мудрости может быть дико больно. У меня был краевой кейс, где якобы было много мелких кривых корней (не все сохранились) и непонятно где проходят нервы. Анестезия заработала, но не с первого и не со второго укола. Ощущения при распиле немного испорченного зуба мудрости без полностью сработавшей анестезии - феерические;
Удалять зубы - относительно дорого. Во всех частных клиниках города всегда примерно одинаковая цена. И удаление стоит не 1000 рублей;
Особой статистики по удалению зубов не ведется. Насколько понимаю, это общая проблема особенно частной медицины, тут миллион проблем, останавливаться не будем;
Нефункциональность зубов мудрости это глобальный тренд. Слишком хорошо живем, едим мягкую пищу в детстве. У людей в Африке зубы сильно лучше несмотря на стоматологию, которая хуже;
За раз удалять все зубы мудрости не стоит;
Как правило лечат только функциональные зубы мудрости. Банально - если они сзади стоят не впритык и можно подлезть. У меня был смешанный случай - где-то было впритык, где-то нет. Часто многие терапевты вообще отказываются их лечить;
Удалять зубы мудрости проще в юношестве. По идее это надо успеть сделать, пока корни до конца не сформировались. Опять же - нужно четко понимать, что они будут лишними;
Какая-то боль все равно будет. К этому нужно быть морально готовым. Не во время, но после операции. Скорее всего придется пить обезбол. Но уровень боли преувеличен. Страх все раздувает. Но это не идет ни в какое сравнение с установкой глубоких пломб или лечением каналов без анестезии;
Из недостатков - я не сравнил процесс удаления зубов в частной и государственной клинике.
Фотки зубов
Вот почему зуб не захотели лечить. Это как бы поверхность между зубами с дыркой. Очень тяжело подлезть сзади. Ужасный запах. Все зубы, которые сохранились, чистенькие, кроме одного. Я немного передержал некоторые из них в белизне. Еще одна фотка зубов. "Интересные" корни, сделавшие анестезию проблемной. Еще одно фото с "интересными" корнями. Идеально извлеченный сверхкомплектный зуб крупным планом. Иллюстрация процесса разрезания зуба. Два сверхкомплектных зуба в центре. Дырка в зубе после чистки и вымачивания в белизне. Запах ушел.
Вывод
Не бойтесь задавать вопросы, искать, сомневаться. Активно ищите информацию, формируйте информированное мнение. Зубы удалять не страшно. Главное делать только минимально необходимые вмешательства.
Первоначально, я показал свою статью коллегам, и они отговаривали меня ее публиковать, т.к. совсем недавно я опубликовал "нетехническую" статью на Хабре (но что немаловажно - не желтую, не рекламную и не политическую), хоть опыт для нее я собирал 3-4 года. Мол будет совсем выглядеть непрофессионально.
Но потом я показал ее специалистам и они все-таки убедили меня ее запостить, аргументируя тем, что пациенты никогда не пишут такие статьи и тем, что ее содержание на 95% не является мракобесием, хотя ошибки есть.
Поэтому эта статья опубликована здесь в своем первозданном виде, без ссылок, без правок и со всеми фактическими ошибками. Будет лишний раз интересно их обсудить и обсудить опыт людей.
Также мне лично интересно, решал ли кто-то такой же объемный вопрос но через ОМС и какой там алгоритм действий и мир.
Безболезненное удаление зуба перед имплантацией — деликатно и не травматично
Нетравматичное удаление зуба и отсутствие болевых ощущений у пациента являются обязательными условиями успешного проведения последующей имплантации и протезирования.
Записаться на приём
Для многих людей имплантация зуба является самым надежным и оптимальным вариантом восстановления зубного ряда. Существует несколько разновидностей имплантации зубов, наиболее быстрым из которых считается одномоментная имплантация. Особенностью этой манипуляции является то, что удаление зуба и установка импланта происходит сразу друг за другом во время одного визита к стоматологу. Именно при проведении этого вида вмешательства огромное значение имеет безболезненное удаление зуба перед имплантацией, деликатно и не травматично. Несоблюдение техники удаления зуба перед одномоментной имплантацией может стать серьезным препятствием к выполнению этой процедуры.

Также минимальная травматизация при удалении зубов важна перед проведением других вариантов имплантации зуба, а также перед остеопластическими операциями. Современные стоматологические клиники предлагают своим пациентам быстрое и удаление зубов без боли с применением современного оборудования и обезболивающих препаратов. Нетравматичное удаление зуба и отсутствие болевых ощущений у пациента являются обязательными условиями успешного проведения последующей имплантации и протезирования.
В каких случаях показана одномоментная имплантация?
Основным показанием к проведению одномоментной имплантации зубов является потеря одного или нескольких зубов при соблюдении важного условия, а именно – сохранения нужного объема и прочности челюстной кости.

Выполнять одномоментную имплантацию с предварительным удалением зуба рекомендуют при:
- Травматизации, когда часть зуба повреждена и он не подлежит консервативному лечению. Как правило, при своевременном обращении к стоматологу после травмы костная ткань не успевает подвергнуться патологическим изменениям и выполнение одномоментной имплантации возможно при нетравматичном и безболезненном удалении травмированного зуба;
- Запущенных стадиях кариеса, при которых воспалительный и деструктивный процесс не задевает костную ткань. Если консервативные методы лечения кариеса не могут помочь пациенту (разрушена большая часть коронки зуба), то лучше всего аккуратно удалить зуб и выполнить одномоментную имплантацию;
- Необходимости в максимально сжатые сроки восстановить зубной ряд. Одномоментная имплантация считается операцией выбора для пациентов, чья профессиональная или социальная деятельность предполагает постоянный контакт с людьми, а значит требует соответствующего внешнего вида. Оперативность процедуры является основным преимуществом одномоментной имплантации среди других методов реставрации зубов;
Удаление зуба с последующей установкой импланта возможно только при соблюдении нескольких важных условий. Кроме отсутствия атрофических процессов в костной ткани необходима полная санация ротовой полости, отсутствие симптомов воспалительных заболеваний десен и других стоматологических патологий. Поэтому кроме деликатного и малотравматичного удаления зуба перед имплантацией также важно провести комплексную подготовку пациента к вмешательству, чтобы получить желаемый результат от имплантации и свести к минимуму возможные риски.
Когда не рекомендуется выполнять вмешательство?
Несмотря на то, что одномоментная имплантация считается наиболее удобным способом восстановления зубного ряда, к ее недостаткам можно отнести наличие большого количества противопоказаний:
- Атрофические процессы в костной ткани в зоне проведения вмешательства;
- Наличие у пациента остеопороза;
- Заболевания свертывающей системы крови;
- Эндокринные патологии (декомпенсированное течение сахарного диабета);
- Иммунодефицитные состояния;
- Воспалительные заболевания десен (относительное противопоказание, то есть проведение процедуры возможно после прохождения пациентом полного курса лечения);

При наличии хотя бы одного из вышеперечисленных противопоказаний установка импланта сразу после удаления зуба невозможна и подбирается другой вариант лечения. Также сам процесс удаления зуба в случаях, когда у пациента имеются эти патологии, требует особенного подхода и выполняется максимально щадящим образом.
Как проводится подготовка к удалению зуба и последующей имплантации?
Поскольку от того, насколько аккуратно стоматолог удаляет зуб зависит качество имплантации, то каждому пациенту в обязательном порядке проводят тщательную подготовку к этой манипуляции, которая включает в себя предварительное обследование и некоторые подготовительные манипуляции:
- Оценивается степень деструкции зуба, наличие или отсутствие аномалий строения в зоне проведения имплантации;
- Проводятся дополнительные инструментальные методы исследования: рентген, КТ. С их помощью доктор оценивает состояние костной ткани, а также корней зуба, в том числе их расположение касательно придаточных пазух носа;
- Подбирается инструментарий для удаления зуба и оптимальный метод обезболивания пациента;
- Назначается комплекс лечебных мероприятий при наличии сопутствующих стоматологических патологий;
- При необходимости выполняется профессиональная чистка зубов, что позволяет эффективно снизить риск возникновения инфекционных осложнений в реабилитационном периоде;
- За день до удаления зуба в многих случаях назначается антибиотикотерапия препаратом широкого спектра действия;

Перед удалением зуба также очень важно обеспечить правильный психологический настрой у пациента. Для этого доктор должен подробно объяснить больному, как будет проводится процедура, для чего выполняются те или иные манипуляции и какой результат следует ожидать после удаления зуба и установки импланта. Кроме этого, пациенту должны объяснить, какую именно анестезию будут использовать в ходе операции и как она действует.
Отдельное место в подготовке к удалению зуба занимает седация пациента. Для проведения мягкой седации доктор обязательно учитывает психоэмоциональные особенности пациента, степень его тревожности перед предстоящей манипуляцией. В современной стоматологии применяются безопасные и эффективные препараты для обеспечения седации, которые быстро устраняют такие нежелательные проявления, как сильный страх, психомоторное возбуждение и другие. Без правильной психологической подготовки больного и грамотно подобранной седации безболезненное удаление зубов перед имплантацией, деликатно и нетравматично провести очень сложно.
Как удалить зуб без боли?
Удаление зубов в современной стоматологической практике не проводится без выполнения качественной, надежной и безопасной для здоровья пациента анестезии. В преимущественном большинстве случаев при удалении зубов используется местная анестезия, то есть пациент остается в сознании, как при проведении обезболивания, так и при проведении дальнейших манипуляций. Для удаления зуба стоматологи чаще всего прибегают к инъекционному методу местной анестезии, когда анестетик вводится в необходимый участок тканей с помощью инъекции. Инъекционным методом можно провести инфильтрационную и проводниковую местную анестезию, при этом проводниковая анестезия больше подходит в тех случаях, когда удалению подлежат сразу несколько зубов.

Чтобы удалить зуб без лишней травматизации окружающих его тканей и без сильного стресса для пациента необходимо подобрать эффективный обезболивающий препарат. Наиболее распространенными являются лекарственные средства на основе новокаина, лидокаина, ультракаина и некоторых других анестетиков. Основными требованиями к препаратам для местной анестезии является быстрое наступление эффекта, надежность и высокий профиль безопасности.
Перед проведением анестезии обязательно выполняют специальную пробу на чувствительность к анестетику. Это необходимо в первую очередь для того, чтобы исключить развитие таких тяжелых аллергических осложнений, как отек Квинке и анафилактический шок. После того, как стоматолог убедился в безопасности использования лекарственного средства, приступают непосредственно к обезболиванию. Осуществляется несколько инъекций в десна, при этом пациент может отмечать незначительную болезненность и дискомфорт, которые достаточно быстро проходят. После того, как анестезия начинает действовать, приступают к аккуратному удалению зуба.
Что нужно для профилактики травматизации в процессе удаления зуба?
Правильный подбор инструментария для удаления зуба перед имплантацией является необходимым для того, чтобы свести к минимуму риск травматизации костных и окружающих зуб мягких тканей. Поскольку даже малейшее травмирование альвеолярного отростка кости делает невозможным проведение имплантации сразу же после удаления зуба, то стоматологи используют исключительно современное оборудование, позволяющее сделать процесс удаления зуба максимально точным и нетравматичным. К ним относят:
- Качественные щипцы. Подбор нужной формы и изгиба щипцов и аккуратное их использование позволяет без травм удалить зуб и корни зуба;
- Периотомы. Используются для атравматичного удаления зубов с деликатным отделением маргинальной десны;
- Люксаторы. Представляют собой усовершенствованный вариант классический элеваторов, существенно облегчают процесс удаления зуба и делают его малотравматичным;
- Ультразвуковые хирургические аппараты, например, пьезотом. Позволяет свести к минимуму травматизацию в процессе удаления зуба, облегчает течение реабилитационного периода у пациентов после установки импланта;
От качества инструментария зависит то, насколько удобно специалисту проводить операцию, что в свою очередь имеет огромное значение для профилактики травмирования костной ткани и получения хорошего результата от имплантации зубов.
Кроме выбора необходимых инструментов большое значение имеет опыт и квалификация специалиста.
Для хирурга средней руки остатки зубов перед операцией — помеха и с ними не церемонятся. Результат — выломанные кусками костные структуры челюсти, блуждающие остатки корней, неудаленные кисты, прорастающие в гайморову пазуху, перфорации, свищи, остеомиелит и многое другое. Не говоря уже о шокирующих постоперационных болях, догоняющих пациента после подобной карательной хирургии. Доверьте удаление челюстно-лицевому хирургу. Только у ЧЛХ теоретических и практических навыков достаточно для проведения экстракции зубов без осложнений.
Основные этапы вмешательства
Удаление зуба является рутинной процедурой для опытного стоматолога. После проведения комплекса подготовительных мероприятий и обезболивания врач приступает к непосредственному удалению зуба. В большинстве случае процедура удаления зуба состоит из отслойки десны при помощи специального инструмента, накладывания щипцов на зуб с последующим аккуратным его расшатыванием. После того, как зуб становится достаточно подвижным, его извлекают из лунки, которую после этого внимательно осматривают, чтобы не допустить наличие в ней костных фрагментов. Завершающим этапом является обработка лунки зуба, основной целью которой является предотвращение инфекционных осложнений.

Иногда перед имплантацией может понадобиться сложное удаление зуба. К этой процедуре прибегают в тех случаях, когда имеются аномалии строения зубного ряда или сильное искривление корней зуба. При сложном удалении стоматолог использует дополнительный инструментарий и вмешательство требует немного большего количества времени. Если удаление зуба прошло атравматично, то врач приступает к процедуре имплантации.
Стоимость удаления зубов
| Наименование услуги | Цена |
|---|---|
| Операция удаления зуба | 6500 руб. |
| Операция удаления зуба с предимплантационной подготовкой | 13500 руб. |
| Операция удаления зуба мудрости | 13500 руб. |
| Усложненное удаление зуба мудрости из нижней челюсти | 23000 руб. |
Почему важно соблюдать принцип малотравматичности?
Сведение к минимуму травматизации здоровых тканей, окружающих зуб, является приоритетной задачей при удалении зуба любой степени сложности. Однако если эта процедура проводится непосредственно перед имплантацией, то деликатное и малотравматичное удаление зуба необходимо не только для того, чтобы оградить пациента от неприятных ощущений, но и чтобы стоматолог смог надежно зафиксировать имплант в костной ткани.

Также очень важна подготовка пациента к процедуре, которая кроме всестороннего обследования может включать в себя мягкую седацию, чтобы устранить психоэмоциональный дискомфорт.
С уважением, Левин Д.В., главный врач

Главный врач Центра Приватной Стоматологии «Доктор Левин», кандидат медицинских наук, врач высшей категории
«Лишние зубы» или полиодонтия…

Полиодонтия – это аномальное количество зубов.
В медицине это заболевание часто называют гипердонтией, а «лишние» зубные элементы – сверхкомплектными зубами. До сих пор проводятся исследования, почему возникает такая патология. Большинство ученых связывает ее с нарушениями при закладке зубных зачатков.
Природой предусмотрено, чтобы за жизнь у человека вырастало не больше 20 молочных и 32 постоянных зубов, но случаются исключения, причем в наше время довольно часто. По статистике, в среднем аномалия зубов встречается у 2% населения планеты, чаще всего у мужчин.
Только в 2014 году было проведено две операции, в одной из которых удалили 80, а в другой – рекордные 232 зуба. До этого времени максимальная цифра составляла 37 зубов.
Самой распространенной гипердонтией (аномалией числа зубов) является аномалия верхних резцов. Реже встречаются сверхкомплектные зубы среди нижних резцов и в других частях челюсти. Они могут быть самых разнообразных форм и размеров. Обычно это небольшие зубы в форме конуса.
Лишние зубы приводят к деформации зубных рядов, поэтому сверхкомплектные элементы рекомендуют удалять. Еще одной причиной удаления являет то, что большинство пациентов с этой патологией шепелявят.
Формирование лишних зубов сегодня встречается достаточно часто. По статистике у 70% больных появляется всего один лишний резец, в 25% случаев – 2 свJерхкомплектных элемента, и только у 5% всех пациентов при обследовании находят 3 и больше зубов.
Причины возникновения полиодонтии
Медицина до сих пор не нашла точного ответа на вопрос, каковы причины сверхкомплектных зубов. Ученые выдвигают сразу несколько гипотез:
- Атавизм. Сверхкомплектные зубы объясняют тем, что зубная система стремится вернуться к изначальному количеству элементов, заложенных природой. Существуют доказательства, что у наших предков было по 6 резцов как на нижней, так и на верхней челюстях. Как следствие, многие медики считают атавизм причиной развития полиодонтии у человека.
- Расщепление зубного зачатка. Еще в эмбриональный период у ребенка нарушается активность зубной пластины, вследствие чего формируется гипердонтия. К нарушениям могут привести вирусы, плохая экология, наркотики, запрещенные в период беременности медикаменты, алкоголь и другие факторы. Эту гипотезу сегодня поддерживают все чаще, ведь в последнее время заболевание стремительно прогрессирует из-за вредных привычек и плохой экологии.
Причины гипердонтии продолжают исследоваться. Ученые не могут дать точное объяснение этой аномалии, но большая их часть склоняется ко второй гипотезе – расщепление зубного зачатка на стадии эмбриона.
Места появления сверхкомплектных зубов
Обычно сверхкомплектные зубы обнаруживаются еще на молочном прикусе, но не редко их находят гораздо позже, когда уже сформирован постоянный прикус.
Самое распространенное место, где появляется полиодонтия, – средние верхние резцы, а также моляры, премоляры и клыки. Намного реже эта проблема поражает нижнюю челюсть. Лишние зубы могут появиться на зубной дуге, а также в области верхнего неба или в преддверии полости рта.
Как выглядит полиодонтия
Также в медицинской практике известны случаи, когда полиодонтия была скрытой и обнаруживалась только при рентгенографии. Существует множество разных случаев аномального развития числа зубов, и если вы заметили симптомы, то обязательно необходимо обратиться в стоматологию.
Виды заболевания полиодонтии
Полиодонтия в ротовой полости проявляется по-разному. Изучая статистику, признаки и симптомы заболевания, стоматологи смогли квалифицировать виды этой аномалии.
В зависимости от происхождения заболевание делится на два вида:
- Ложная полиодонтия. Предусматривает молочный зуб, который не выпадает, в независимости от возраста человека. При этом он выполняет свои функции, не создает дискомфорт прикусу, прочно закреплен в челюсти пациента. Кроме этого, к ложному типу заболевания относят сросшиеся рядом зубы и другие аномалии.
- Истинная полиодонтия. Она может быть вызвана генетической предрасположенностью, а также терагенными факторами. При этом в челюсти человека начинают формироваться лишние коренные зубы.
Что касается размещения лишних зубов, то стоматологи выделяют такие виды заболевания:
- Типичная гипердонтия. Относится к тем пациентам, у которых лишние зубы появляются только в зубном ряде и за его пределы не выходят. Многие ученые уверенны, что это просто наследственность, ведь у наших предков зубная система была более развитой, чем у современных людей.
- Атипичная гипердонтия. Возникает намного реже и характерна появлением зубов за пределами зубного ряда.
В случае аномалий с молочными зубами, последние почти никакой угрозы не несут. Наоборот такой зуб может прослужить всю жизнь. А вот постоянные коренные, над которыми растут сверхкомплектные, стоит удалять, хотя бы потому, что это не эстетично.
Зачастую у больного растут лишние клыки или резцы, а то и несколько передних зубов сразу. Помимо испорченной улыбки, заболевание может вызвать серьезные осложнения, если вовремя не принять необходимые меры.
Симптомы заболевания у детей

Первые сверхкомплектные зубы у детей появляются еще до рождения или в первые полгода жизни. Основное неудобство, которое они доставляют — это трудности при вскармливании.
Полиодонтия молочных зубов у старших детей протекает с симптомами, похожими на прорезывание обычных зубов. При этом наблюдается:
- повышение температуры;
- отек десны в том месте, где должен прорезаться зуб;
- болевые ощущения;
- чрезмерное слюноотделение;
- отек слизистой носа;
- жидкий стул.
Особенно сильно проявляются симптомы, когда лишние зубы появляются в области верхнего неба.
Если гипердонтия дает о себе знать у двухлетнего малыша, это может стать помехой для формирования нормальной речи. В свою очередь, из-за травмирования языка и слизистой, в полости рта постоянно появляются какие-то воспаления.
При появлении сверхкомплектных зубов в очень заметных местах у детей школьного возраста, могут возникать насмешки в сторону больного, что чревато развитием психологических проблем и комплексов в будущем.
Симптомы гипердонтии у взрослых
Постоянные зубы полиодонтия поражает чаще, чем молочные. У взрослого человека обычно появляются дистопированные и ретинированные сверхкомплектные зубы.
Дистопированными называют зубы, которые появляются за пределами зубной дуги. Наиболее часто они прорезываются на лингвальной поверхности десен и в области неба. При такой форме заболевания для больного характерно:
- плохое произношение звуков;
- заметное нарушение прикуса;
- изменение обычного расположения зубов: искривление угла, под которым они растут, а также их поворот
- вокруг своей оси;
- частое травмирование слизистой оболочки рта и как следствие ее воспаление;
- нарушение жевательных процессов, вследствие чего появляются проблемы с пищеварением.
Кроме всего прочего, дистопированные зубы часто становятся причинами психологических проблем. Из-за не эстетической, а порой совсем непривлекательной улыбки, больной становится замкнутым и малообщительным. Психологические проблемы, в свою очередь, вызывают хронические заболевания эндокринной, пищеварительной и нервной системы.
Ретинированными сверхкомплектными зубами называют зубы, которые не прорезываются, а продолжают оставаться в костной ткани челюсти человека. Зачастую они почти не дают о себе знать до начала осложнений. Стоматологи диагностируют эту аномалию при обычном обследовании пациента.
Такая аномалия числа зубов сопровождается следующими симптомами:
- нормальные зубы начинают расшатываться (состояние считается патологическим);
- кость начинает выпирать (если ретинированный зуб находится слишком близко к краю челюсти);
- периодически появляются боли ноющего характера.
Одной из самых сложных считается ситуация, когда лишние зубы вырастают на месте ретинированных третьих моляров. Зубы мудрости не могут прорасти и начинают негативно влиять на корни остальных зубов, что в свою очередь может привести к серьезным осложнениям.
Последствия заболевания полиодонтии
Полиодонтия у человека часто может быть причиной ретенции. Это явление, при котором нормальные зубы не могут прорезаться из-за того, что им мешают сверхкомплектные. Первые могут остаться в челюсти или же занять аномальное положение.
Кроме того, если даже комплектный резец вырастет раньше сверхкомплектного, последний сможет его вытеснить. Это приведет к тому, что человек не сможет нормально пережевывать пищу. А если вырастет сразу несколько лишних резцов, они могут стать причиной потери постоянных зубов.
Болезнь полиодонтия может привести к таким патологиям:
- постоянные зубы смещаются, а их корни искривляются;
- формируется неправильный или нарушается правильный прикус;
- зубы прорезываются с задержкой или остаются в челюсти;
- деформируются зубные ряды;
- появляются щели, формируется глубокий или открытый прикус;
- часто травмируется слизистая оболочка;
- человек начинает шепелявить, произносить невнятно слова и фразы.
Диагностика
Рассмотреть во время рентгена сверхкомплектные зубы не так просто, как кажется. Они могут накладываться по контуру на постоянные и оставаться незаметными. В таких случаях больным рекомендуют сделать компьютерную томографию, которая показывает более точную картину заболевания.
Если же лишние зубные элементы уже прорезались, стоматолог с легкостью их обнаружит. На практике прорезавшиеся сверхкомплектные зубы находят сами пациенты и уже на первичном приеме у стоматолога жалуются на патологию.
Лечение полиодонтии
Если у человека обнаружена полиодонтия, то в большинстве случаев необходимо приступить к лечению, которое напрямую зависит от тяжести, вида и формы заболевания, а также от расположения сверхкомплектных зубов.
Пациенту могут предложить такие способы лечения:
- процедуры, облегчающие прорезывание зубов (актуально для детей);
- ортодонтическое лечение;
- удаление сверхкомплектных зубов.
Облегчение симптомов
Чаще всего у взрослых лишние зубы прорезываются без особых симптомов, но для детей это может стать проблемой, которая требует решения.
Сверхкомплектные зубы режутся с такими же симптомами, как и обычные, поэтому лечение для них применяют такое же.
- Чтобы понизить температуру, рекомендуется давать малышу Парацетамол или Ибупрофен. Если ребенок очень маленький, можно использовать эти препараты в форме суспензий или ректальных свечей. Кроме понижения температуры, эти лекарства отлично справляются с болями и воспалительными процессами.
- Для обезболивания десен используют местные анестетики – мази и гели (например, Калгель, Дентинокс, Солокосерил). Эти средства хорошо справляются с болезненными ощущениями и немного снимают воспаление.
- Взрослых и детей старше 2-х лет можно лечить народными средствами: прополисом, медом, отварами календулы, ромашки и мелиссы. Некоторые отвары помогают уменьшить боль и снять воспаление. Народные методы лечения стоит использовать только после консультации с лечащим врачом.
- Если молочные сверхкомплектные зубы прорезались частично, назначают стимуляцию прорезывания. Для этого применяют вибро- и электростимуляцию, а также специальный массаж.
Удаление аномальных зубов
Лечение гипердонтии не всегда подразумевает удаление лишних зубов. К обязательному удалению подлежат только:
- зубы в молочном прикусе, которые затрудняют рост постоянных зубов и плохо влияют на развитие челюстной системы;
- дистопированные и ретинированные зубы.
Сохранить зуб можно, если он:
- расположен в пределах зубной дуги и никак не влияет на прикус;
- не портит эстетический вид улыбки и имеет форму постоянного зуба;
- сформирован правильно, а находящийся рядом постоянный зуб разрушен.
Обычное удаление
Если стоматолог решил, что в конкретном случае полиодонтия лечится только удалением лишнего зуба, пациенту стоит рассчитывать на следующие процедуры:
Удаление ретинированных зубов
Чтобы операция прошла успешно и полиодонтия была вылечена без каких-либо осложнений, врач должен полностью обследовать пациента и спланировать свои дальнейшие действия.
- Для начала проводят рентгенографию и/или компьютерную томографию, чтобы определить точную топографию аномалии.
- Удаление производится под местным наркозом, но существуют случаи, когда к пациенту может применяться общая анестезия.
- Сначала отслаивается слизистая, затем вскрываются костные ткани и удаляется корневая, а также коронковая часть зуба.
- Если появляется необходимость, костные дефекты закрывают остеопластическим материалом, а слизистую оболочку ушивают.
После удаления зуба, больной продолжает лечение дома: принимает антибиотики (если назначил лечащий врач), полощет ротовую полость антисептическими растворами.
Пока рана после операции не зарастет, не рекомендуют принимать слишком горячую, твердую или пряную пищу. Зубы чистить тоже надо аккуратно, особенно на оперированной стороне.
Ортодонтическое лечение
Необходимость ортодонтического лечения после удаления сверхкомплектных зубов определяет врач. Зачастую как малыши, так и взрослые нормально переносят операцию и не требуют дальнейшего лечения, но бывают исключения. В тяжелых случаях требуется помощь ортодонта, чтобы:
челюсть могла правильно развиваться и нормально расти (если это ребенок);
в возрасте старше шести лет ребенок не столкнулся с проблемным прорезыванием коренных зубов;
скорректировать и выровнять зубной ряд.
На сегодняшний день коррекция прикуса и выравнивание зубного ряда весьма успешно производится при помощи специальных кап и брекетов.
Полиодонтия – достаточно распространенное заболевание, которое успешно лечится в большинстве случаев. Чем раньше было выявлено заболевание, тем меньше риск развития негативных последствий. При первых симптомах болезни следует немедленно обратиться к врачу.
Удаление зуба мудрости

Зубом мудрости называют восьмой зуб в ряду, который может прорезаться полностью, частично или не выйти вообще. Если «восьмерка» хорошо сформирована и занимает правильное положение в ряду, то будет полноценным жевательным зубом и даже может использоваться в дальнейшем как опора под мостовидный протез.
При аномалиях развития третьего моляра от «лишнего» зуба лучше избавиться. Если вас интересует быстрое и безболезненное удаление зуба мудрости в Казани, клиника «Миллидент» к вашим услугам.
Показания к удалению «восьмерки»

Многие даже не задумываются, есть ли у них эти самые моляры, пока один из зубов мудрости не заболит. Это самая частая причина обращения к стоматологу, но бывают и другие:
- зуб прорезался не по дуге: вовнутрь или в сторону щеки;
- вышел с наклоном в сторону рядом стоящей «семерки»;
- прорезался частично, а между ним и десной образовался «карман»;
- зуб не может прорезаться из-за нехватки места в челюстной дуге;
- зуб начал разрушаться без болевых ощущений.
Среди стоматологов есть мнение, что «восьмерки» априори проблемные зубы и от них лучше избавляться заранее. Такую точку зрения не стоит рассматривать как руководство к действию, но если зуб доставляет вам дискомфорт, это может стать причиной развития серьезных осложнений.
Что будет, если зуб мудрости не удалять
Взять, к примеру, вариант с нависающей над зубом десной, так называемый карман или капюшон. Гнойное воспаление называется перикоронитом, а избавиться от него можно двумя способами: иссечение десны, причем после каждого рецидива, или удаление зуба мудрости.
Или другой случай. «Восьмерка» с наклоном в сторону щеки поначалу не причиняет неприятных ощущений, но бугорок со сколом будет травмировать слизистую.
До третьего моляра и так сложно добраться, а если он вышел неправильно, о нормальной гигиене полости рта можно забыть. Образовавшийся зубной камень может пощадить сам зуб мудрости, но начать разрушать соседнюю «семерку». В итоге человек лишается двух жевательных зубов подряд.

Если восьмой зуб начал вас беспокоить, и вы интересуетесь,сколько стоит удаление зуба мудрости в Казани, обращайтесь. Мы предлагаем вполне разумную стоимость квалифицированных стоматологических услуг.
Как удаляют зуб мудрости
Разумеется, сначала мы делаем рентген. Для этого у нас имеется необходимое цифровое оборудование в каждом филиале сети клиник Миллидент. Врач должен видеть расположение корней, направление роста зуба и если он болит, то знать локализацию воспаления. В зависимости от клинической картины, удаление может быть простым или сложным. Неосложненное удаление зуба мудрости происходит следующим образом:

Врач вводит в десну пациента анестетик. К слову, мы используем только безопасные анестезирующие препараты, не вызывающие аллергию.

Спустя 5-10 минут врач удаляет зуб с помощью обычных стоматологических щипцов.

На лунку накладывается саморассасывающийся шов.
Операция занимает около 20 минут, проходит совершенно безболезненно. Как при удалении любого зуба, после ослабления действия наркоза пациент может почувствовать боль и принять обезболивающее.
Осложненное удаление зубы мудрости, это когда коронка частично разрушена или есть патологии развития корней.
В этом случае хирург сделает на десне небольшой разрез, облегчающий доступ к телу зуба. При значительных аномалиях развития может потребоваться высверливание зуба из челюстной кости. Операция длится от 30 минут и более. Затем врач обрабатывает ранку, накладывает шов и тампон, если есть кровотечение.
Сколько стоит удалить зуб мудрости в Казани? В клинике «Миллидент» это будет недорого и безболезненно. Через пару дней пациент забывает о существовании 8 зуба, не потратив при этом много времени, нервов и денег.
Читайте также:
