Спонтанный пневмоторакс: причины, симптомы и лечение
Добавил пользователь Евгений Кузнецов Обновлено: 13.12.2025
Пневмоторакс — наличие воздуха в плевральной полости между грудной стенкой и легким, обусловленное раной грудной стенки или лёгкого с повреждением одной из веточек бронха. Обычно заболевание встречается в возрасте 20 - 40 лет.
Каковы причины пневмоторакса?
- закрытая травма грудной клетки: повреждение лёгкого отломками рёбер;
- открытая травма грудной клетки: проникающие ранения;
- ятрогенные повреждения (осложнение после лечебного или диагностического вмешательства): ранение лёгкого при попытке катетеризации подключичной вены, акупунктуре, блокаде межрёберного нерва, плевральной пункции;
- спонтанный пневмоторакс;
- неспецифический пневмоторакс: разрыв булл (очаговая буллезная эмфизема), кист, прорыв абсцесса лёгкого в плевральную полость (пиопневмоторакс), спонтанный разрыв пищевода;
- туберкулёзный пневмоторакс: разрыв каверны, прорывы казеозных очагов;
- искусственный пневмоторакс накладывают с лечебной целью при туберкулёзе лёгких, с диагностической — для торакоскопии, для дифференциальной диагностики образований грудной стенки.
Какие виды пневмоторакса выделяют?
По связи с окружающей средой различают:
Открытый пневмоторакс — наличие отверстия в грудной стенке, свободно сообщающегося с внешней средой, поэтому в плевральной полости создаётся давление, равное атмосферному. При этом лёгкое спадается, поскольку важнейшим условием для расправления лёгкого является отрицательное давление в плевральной полости. Спавшееся лёгкое выключается из дыхания, в нём не происходит газообмен, кровь не обогащается кислородом.
Клапанный («напряженный») пневмоторакс — прогрессирующее накопление воздуха в плевральной полости. Возникает в случае образования клапанной структуры, пропускающей воздух в одностороннем направлении, из лёгкого или из окружающей среды в плевральную полость, и препятствующее его выходу обратно. Воздух поступает в момент вдоха, а в момент выдоха, не находя себе выхода, остаётся в плевральной полости. Для клапанного пневмоторакса характерна триада: положительное внутриплевральное давление, приводящее к выключению лёгкого из дыхания, присоединению раздражения нервных окончаний плевры, приводящее к плевропульмональному шоку; стойкое смещение органов средостения, что нарушает их функцию, прежде всего сдавливая крупные сосуды; острая дыхательная недостаточность.
В зависимости от объема воздуха в плевральной полости и степени спадения легкого различают полный и частичный пневмоторакс.
Двусторонний полный пневмоторакс при неоказании помощи приводит к быстрому летальному исходу из-за критического нарушения дыхательной функции.
Симптомы пневмоторакса
Клиническая картина зависит от механизма возникновения заболевания, степени спадения легкого и причины, вызвавшей его.
Болезнь начинается остро после физического напряжения, приступа кашля или без видимых причин с резкой колющей боли в грудной клетке, отдающей в шею, верхнюю конечность, иногда в верхнюю половину живота, усиливающейся при дыхании, кашле или движениях грудной клетки, затруднения дыхания, сухого кашля. Больной дышит часто и поверхностно, имеется сильная одышка, ощущает «нехватку воздуха». Проявляется бледность или синюшность (цианоз) кожных покровов, в частности лица.
При открытом пневмотораксе больной лежит на стороне повреждения, плотно прижимая рану. При осмотре раны слышен шум присасывания воздуха. Из раны может выделяться пенистая кровь. Движения грудной клетки асимметричны.
Осложнения
Возникают часто (до 50% случаев). К ним относятся: внутриплевральные кровотечения вследствие надрыва легочной ткани, серозно-фибринозный пневмоплеврит с образованием "ригидного" легкого (образование шварт - тяжей из соединительной ткани , исключающих расправление легкого), эмпиема плевры (гнойный плеврит, пиоторакс). При клапанном ("напряженном") пневмотораксе может развиться подкожная эмфизема (скопление небольшого количества воздуха под кожей в подкожно-жировой клетчатке).
У 15 - 50% больных наблюдаются рецидивы пневмоторакса.
Что можете сделать Вы?
Первая помощь при пневмотораксе
При подозрении на пневмоторакс следует немедленно вызвать скорую помощь или обратиться к врачу, потому что это экстренная ситуация, особенно если имеет место клапанный пневмоторакс, которая при неоказании необходимой помощи, может привести к летальному исходу.
Если имеет место открытый пневмоторакс, его необходимо превратить в закрытый путём наложения не пропускающей воздух герметичной повязки («окклюзионная повязка») на открытую рану грудной клетки. Например, это можно сделать при помощи клеёнчатого материала или неповреждённой герметичной полиэтиленовой плёнки, вполне подойдет и толстая ватно-марлевая повязка.
Что можете сделать врач?
Ваш доктор сделает тщательный осмотр грудной клетки на предмет возможного ранения, после чего назначит все необходимые исследования, включающие, в первую очередь, рентгенографию органов грудной клетки.
Лечение пневмоторакса включает:
- немедленная госпитализация в хирургическое отделение;
- ликвидация пневмоторакса путём отсасывания воздуха из плевральной полости и восстановления в ней отрицательного давления.
Закрытый пневмоторакс протекает доброкачественно и постепенно рассасывается. Но иногда необходима плевральная пункция для удаления воздуха.
Клапанный пневмоторакс требует хирургического вмешательства.
Перед началом применения любого препарата посоветуйтесь со специалистом и ознакомьтесь с инструкцией по применению.
Первичный спонтанный пневмоторакс (ПСП)
Первичным спонтанным пневмотораксом (ПСП) называется пневмоторакс или коллапс легкого у человека, которому не был поставлен диагноз легочного заболевания. В данном информационном листке описывается ПСП, его симптомы и группы риска, представители которых наиболее подвержены этому состоянию. Здесь также рассказывается о диагностике ПСП, различных видах лечения и о том, как оценить риск повторного возникновения коллапса легкого.
Что такое первичный спонтанный пневмоторакс (ПСП)?
Пневмотораксом называется коллапс (сжатие) одного или обоих легких, вызванный попаданием воздуха в плевральную полость. Плевральная полость — это пространство между листками плевры (двумя слоями ткани, которая выстилает и окружает легкие). «Первичным» он является в связи с отсутствием установленного основного заболевания, а «спонтанным» — в силу отсутствия известной причины. Таким образом, первичный спонтанный пневмоторакс (ПСП) — это первый случай пневмоторакса, или коллапса легкого, у человека, не страдающего легочными заболеваниями.
У кого наиболее высок риск возникновения ПСП?
Чаще всего ПСП встречается среди молодых людей (в возрасте от 15 до 34 лет). Кроме того, согласно исследованиям, ПСП наиболее подвержены высокие худые люди. Курение табака и/или марихуаны серьезно повышает риск возникновения ПСП, а также увеличивает вероятность повторного коллапса легкого. Существует также отдельная форма ПСП (менструальный пневмоторакс), которая встречается у женщин детородного возраста. Симптомы этого состояния схожи с таковыми при обычном ПСП, но имеют тенденцию к цикличности, связанной с менструальным циклом. Считается, что это связано с миграцией частиц ткани, выстилающей матку, и вживлением их в плевру.
Каковы основные симптомы ПСП?
Чаще всего при возникновении ПСП люди испытывают внезапную боль в груди. Иногда боль усиливается при вдохе. В некоторых случаях, но не всегда, становится трудно дышать. В отдельных случаях может также возникать кашель, боль в плече или острая боль между лопатками. Как правило, эти симптомы продолжаются недолго и крайне редко усугубляются.
Что такое субплевральные пузыри и буллы?
При ПСП часто наблюдаются субплевральные пузыри и/или буллы. Субплевральные пузыри — это небольшие наполненные воздухом пузырьки, которые появляются на поверхности легкого. Буллы (единственное число — булла) — это воздушные карманы, формирующиеся внутри легочной ткани. Некоторые специалисты предполагают, что ПСП может быть вызвана разрывом субплевральных пузырей и булл, в результате чего воздух попадает в плевральную полость. В этой области проводятся дополнительные исследования.
Как диагностируют ПСП?
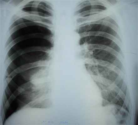
Как правило, диагноз ПСП ставят с помощью обычного рентгеновского снимка грудной клетки, хотя специалист может также определить наличие ПСП при прослушивании легких. В некоторых случаях может быть назначена компьютерная томография (КТ), если лечащему специалисту требуется более детальное изображение ваших легких.
Как лечат ПСП?
Существует целый ряд методов лечения ПСП, в зависимости от индивидуальных обстоятельств и места вашего проживания.
Наблюдение
В течение достаточно продолжительного времени можно без проблем жить с воздухом в плевральной полости. Поэтому вам может не потребоваться какого-либо существенного лечения после ПСП. При поступлении в больницу лечащий специалист обследует вас и, при необходимости, назначит кислородную терапию, чтобы облегчить вам дыхание, а также пропишет обезболивающие средства. После того как симптомы пройдут, вас могут на некоторое время оставить в больнице, чтобы врач мог проследить за поправкой вашего здоровья (наблюдение), или выписать домой и рекомендовать обратиться за помощью в случае возникновения других симптомов, например боли в груди и одышки. Ваш лечащий специалист будет наблюдать вас в течение нескольких ближайших дней и следить за состоянием здоровья ваших легких. Он может также назначить повторное рентгеновское обследование грудной клетки, чтобы убедиться в устранении или улучшении ПСП.
«Я просто сидела, когда вдруг стало больно в груди и трудно дышать. Мне сделали рентген груди, который показал, что в левом легком у меня ПСП. Мне дали кислородную маску на 2 минуты и болеутоляющее и держали в больнице 4 или 5 часов для обследования. С тех пор симптомы не повторялись».
Линда из Франции, перенесла ПСП в возрасте 24 лет.
Удаление воздуха из полости
Если ваш лечащий специалист считает высоким риск повторного коллапса легких или полагает, что ПСП затрудняет ваше дыхание, он, вероятно, предложит провести одну из процедур для удаления воздуха из плевральной полости.
Игольная аспирация
При игольной аспирации в грудную клетку под местной анестезией вводится тонкая трубка, и воздух из плевральной полости откачивается шприцем. Эта процедура может быть проведена амбулаторно (вам не надо оставаться в больнице на ночь); она занимает около 30 минут. После проведения игольной аспирации лечащий специалист сделает вам рентгеновский снимок грудной клетки, чтобы убедиться в успешности процедуры. Если воздух успешно удален, вы сможете пойти домой, а лечащий специалист назначит вам повторный визит в рамках амбулаторного наблюдения.
«Игольная аспирация оказалась не очень тяжелой процедурой. Единственное, было бы полезно быть готовой к ощущению, которое возникает при заполнении легких воздухом — я закашлялась и не могла остановиться. Это было неприятно, но через несколько минут прошло».
Мария, Великобритания, впервые испытала ПСП в двадцать с небольшим лет, перенесла множество случаев ПСП, пока ей не сделали открытую торакотомию.
Грудной дренаж
Предотвращение повторного коллапса легкого
Плевродез
Процедура плевродеза предназначена для соединения листков плевры с целью предотвращения повторного коллапса легкого. Это можно сделать химическим или механическим способом. При химическом плевродезе через грудной дренаж в плевральную полость вводится химический раздражитель (обычно тальк), который вызывает склеивание листков плевры друг с другом. Кроме того, существуют хирургические методы лечения: например, плевроэктомия или абразия плевры (механический плевродез). При процедуре плевроэктомии хирург удаляет пространство между легким и грудной стенкой, т.о. легкое приклеивается к грудной стенке, что предотвращает повторный коллапс легкого. При абразии плевры хирург осторожно трет плевру кусочком марли. Полученная таким образом шероховатость плевры, которая при заживлении будет «приклеивать» легкое к грудной стенке. Эта процедура проводится или при торакоскопии (через небольшое отверстие в грудной клетке с использованием миниатюрной камеры), или при открытой хирургической операции.
Видеоторакоскопическая операция
Видеоторакоскопическая операция (ВТСО) — относительно неинвазивная операция с использованием небольшого отверстия, которая проводится под общим наркозом. При этом делается небольшой надрез в грудной клетке, через который вводится тонкий, похожий на трубку инструмент с камерой на конце (торакоскоп). При этой процедуре сначала проводят удаление булл, а затем — плевродез. ВТСО обычно требует краткого пребывания в больнице, и, поскольку она проводится через небольшое отверстие, оставляет лишь небольшой шрам на коже.
Открытая торакотомия
В настоящее время открытая торакотомия как метод хирургического метода лечения ПСП используется значительно реже, чем ВТСО. При этом хирургическое вскрытие грудной клетки обычно производится в подмышечной области. Как и при ВТСО, при открытой торакотомии проводят удаление булл, а затем плевродез. У некоторых пациентов в долгосрочной перспективе после ВТСО или открытой торакотомии может наблюдаться постоянная или периодическая боль.
Лечение менструального пневмоторакса
Менструальный пневмоторакс требует лечения целой командой различных медицинских специалистов, в том числе экспертов по здоровью легких и по женскому репродуктивному здоровью. Лечение может включать в себя описанную выше операцию, гормональную терапию или сочетание этих методов.
«ПСП не изменил мою жизнь кардинальным образом: я продолжаю ездить на велосипеде, хотя, может быть, чуть медленнее и не по таким крутым горкам. Несмотря на то, что у меня больше не может быть настоящего коллапса легкого, бывает, что легкое пытается сжаться, и это довольно больно. Один-два раза в месяц у меня бывает легкая боль, и примерно раз в год — сильная, но грелки и горячий душ отлично помогают. Я избегаю совершать определенные движения и стараюсь не летать самолетом, потому что тогда симптомы обычно усиливаются.
Мария, Великобритания, впервые испытала ПСП в двадцать с небольшим лет, перенесла множество случаев ПСП, пока ей не сделали открытую торакотомию.
Пневмоторакс
Информацию из данного раздела нельзя использовать для самодиагностики и самолечения. В случае боли или иного обострения заболевания диагностические исследования должен назначать только лечащий врач. Для постановки диагноза и правильного назначения лечения следует обращаться к Вашему лечащему врачу.
Пневмоторакс: причины появления, при каких заболеваниях возникает, диагностика и способы лечения.
Определение
Пневмоторакс – это патологическое скопление воздуха в плевральной полости, приводящее к нарушению вентиляционной функции легких и газообмена при дыхании.
К общим признакам пневмоторакса относятся боль в грудной клетке на стороне пневмоторакса, затрудненное дыхание, одышка, сухой кашель, учащенное сердцебиение.
При закрытом пневмотораксе легкое обычно спадается незначительно. Общее состояние больных остается удовлетворительным, реже – средней степени тяжести. Дыхательная недостаточность развивается только при двустороннем закрытом пневмотораксе. Частота дыхания – не более 20-24 в минуту.
Более тяжелое состояние наблюдается при открытом пневмотораксе. Дыхание у больных частое и поверхностное – до 30-40 в минуту. Рана на грудной стенке «присасывает» воздух при вдохе, а в момент выдоха из нее выходит воздух с кровяной пеной.
Состояние пациентов с напряженным пневмотораксом тяжелое или крайне тяжелое. Частота дыхания доходит до 30–50 в минуту. Скопление воздуха в подкожной клетчатке может распространяться на лицо, шею, живот, половые органы.
В результате пневмоторакса существует риск развития плевритов, эмпиемы (скопления гноя в плевральной полости), острой дыхательной и сердечно-легочной недостаточности, эмфиземы.
Разновидности пневмоторакса
По причине возникновения:
- спонтанный (первичный и вторичный),
- травматический,
- ятрогенный.
- открытый,
- клапанный,
- закрытый.
- ограниченный,
- средний,
- большой,
- полный (тотальный).
- первичный,
- рецидивирующий (повторяющийся).
Воздух в плевральную полость может попасть через висцеральную или париетальную плевру в результате повреждения легкого или проникающего ранения грудной клетки.
Плевральная полость представляет собой щелевидное пространство между париетальным и висцеральным листками плевры. Наружный (париетальный) листок выстилает стенки грудной полости и наружные поверхности средостения, внутренний (висцеральный) покрывает легкое и его анатомические структуры (сосуды, бронхи и нервы).

Первичный пневмоторакс возникает внезапно, без очевидных причин у прежде здоровых людей.
Развитие первичного спонтанного пневмоторакса не связанно с травмой легкого, врачебными манипуляциями или хроническими заболеваниями легких.
Вторичный пневмоторакс возникает на фоне имеющихся прогрессирующих заболеваний:
- дыхательных путей (хронической обструктивной болезни легких, бронхиальной астмы, муковисцидоза);
- легких (эмфиземы легких, саркоидоза, идиопатического фиброзирующего альвеолита, и др.);
- системных заболеваний (ревматоидного артрита, анкилозирующего спондилита, системной склеродермии, и др.);
- острого респираторного дистресс-синдрома у больных на ИВЛ (искусственной вентиляции легких);
- инфекционных заболеваний легких (пневмоцистной пневмонии у больных СПИДом, паразитарных заболеваний, грибковых инфекций).
Если после повреждения легкого отверстие закрывается, то такой пневмоторакс называют закрытым, то есть плевральная полость не сообщается с внешней средой и количество воздуха в ней не меняется во время дыхания.
Напряженный, или клапанный пневмоторакс развивается в результате ранения бронха (трахеи) или обширного повреждения ткани легкого при отсутствии зияющей раны грудной стенки. На вдохе воздух нагнетается в плевральную полость через рану грудной стенки или бронха.
Поскольку воздух не может выйти наружу, он сдавливает легкое и средостение. Возникает тяжелая дыхательная и сердечно-сосудистая недостаточность.
При ограниченном пневмотораксе происходит спадение легкого менее чем на 1/3, при среднем – от 1/3 до 1/2 объема, при большом пневмотораксе легкое может занимать менее половины нормального объема или быть полностью спавшимся (при тотальном пневмотораксе).
Ятрогенный (от др.-греч. iatros – врач и genes – порождающий) пневмоторакс может развиться как осложнение лечебных или диагностических манипуляций.
Диагностика и обследования при пневмотораксе
Диагностика пневмоторакса основывается:
- на клинических проявлениях заболевания;
- на данных объективного обследования;
- на данных рентгенологического обследования, компьютерной томографии:
Рентгенологическое исследование структуры легких с целью диагностики различных патологий.
Исследование, позволяющее получить данные о состоянии органов грудной клетки и средостения.
- пневмоторакс первичный спонтанный, ген FLCN м.
Исследование мутаций гена FLCN. Тип наследования. Аутосомно-доминантный. Гены, ответственные за развитие заболевания. FLCN - ген фо.
- клинический анализ крови: общий анализ, лейкоформула, СОЭ (с микроскопией мазка крови при наличии патологических сдвигов);
Синонимы: Общий анализ крови, ОАК. Full blood count, FBC, Complete blood count (CBC) with differential white blood cell count (CBC with diff), Hemogram. Краткое описание исследования Клинический анализ крови: общий.
Синонимы: Общий белок сыворотки крови; Общий сывороточный белок. Total Protein; Serum Тotal Protein; Total Serum Protein; TProt; ТР. Краткая характеристика определяемого вещества Общий бе�.
Синонимы: Человеческий сывороточный альбумин; ЧСА; Альбумин плазмы; Human Serum Albumin; ALB. Краткая характеристика исследуемого вещества Альбумин Альбумин – эт.
Тест предназначен для скрининговой оценки состава и количественного соотношения фракций белка сыворотки крови методом электрофореза. Синонимы: Электрофорез �.
Синонимы: Анализ крови на креатинин; Сывороточный креатинин; Креатинин сыворотки, оценка СКФ. Сreat; Сre; Blood Creatinine; Serum Creatinine; Serum Creat. Краткая характеристика определя�.
Синонимы: Диамид угольной кислоты; Карбамид; Мочевина в крови; Азот мочевины. Urea nitrogen; Urea; Blood Urea Nitrogen (BUN); Urea; Plasma Urea. Краткая характеристика аналита Мочевина Моче�.
Синонимы: Анализ крови на скорость клубочковой фильтрации; СКФ; Скорость клубочковой фильтрации по креатинину. Estimated Glomerular filtration rate; eGFR; Test of renal function; CKD-EPI Creatinine Equat.
Билирубин прямой – водорастворимая конъюгированная форма билирубина, образуемая в печени и выводимая с желчью. Тест применяют для оценки функции печени, в дифф�.
Аланинаминотрансфераза − внутриклеточный фермент, участвующий в метаболизме аминокислот. Тест используют в диагностике поражений печени, сердечной и скелетн�.
Синонимы: Глутамино-щавелевоуксусная трансаминаза; Глутамат-оксалоацетат-трансаминаза сыворотки крови (СГОТ); L-аспартат 2-оксоглутарат аминотрансфераза; ГЩТ. As.
Материал для исследования Сыворотка или плазма крови. Если нет возможности центрифугировать пробу через 30 минут после взятия для отделения сыворотки/плазм.
Синонимы: Анализ крови на ГТТ; Пероральный глюкозотолерантный тест (ПГТТ); Тест на толерантность к глюкозе; Проба с 75 граммами глюкозы. Glucose Tolerance Test (GTT); Oral Glucose Tole.
Электрокардиография (ЭКГ) - повсеместно распространенный метод изучения работы сердца, в основе которого лежит графическое изображение электрических импульсов с�.
Все больные с пневмотораксом должны быть экстренно госпитализированы в торакальное или экстренное хирургическое отделение. После выписки из стационара больным, у которых пневмоторакс развился на фоне хронического заболевания, необходимо наблюдаться у пульмонолога , терапевта или врача общей практики .
Что делать при пневмотораксе
Поскольку лечение пневмоторакса проходит в стационаре, то рекомендации связаны с периодом амбулаторного восстановления пациента. После выписки из стационара необходимо избегать физических нагрузок в течение минимум 4 недель, возвращение к прежнему ритму жизни возможно только с разрешения врача и после полной нормализации функции дыхания. Наблюдение у пульмонолога должно стать привычным – это позволит снизить риск повторного пневмоторакса.
Лечение пневмоторакса
Главные цели терапии пневмоторакса – расправление легкого, прекращение поступления воздуха в плевральную полость и предотвращение рецидивов.
На сегодняшний день медицина предлагает несколько методов лечения. Выбор зависит от вида пневмоторакса и тяжести состояния пациента.
Консервативное лечение рекомендовано при малом ненапряженном первичном пневмотораксе без дыхательной недостаточности. Оно включает клинический и рентгенологический мониторинг, лечебно-охранительный режим, обезболивание, кислородную терапию и антибактериальную терапию (по показаниям).
Плевральная пункция показана пациентам моложе 50 лет при первом эпизоде спонтанного пневмоторакса объемом 15-30% без выраженного нарушения функции дыхания.
Дренирование плевральной полости выполняют при неэффективности плевральной пункции, при большом пневмотораксе, при вторичном пневмотораксе, у больных с дыхательной недостаточностью и у пациентов старше 50 лет.

Диагностическая торакоскопия (осмотр полости плевры с помощью торакоскопа через прокол стенки грудной клетки) выполняется для выявления причины пневмоторакса и определения дальнейшей тактики лечения. Последовательно исследуют плевральную полость на наличие экссудата, крови, спаек, осматривают легкое, диафрагму.
Химический плевродез – процедура, во время которой в плевральную полость вводят вещества, приводящие к асептическому воспалению и образованию сращений между висцеральным и париетальным листками плевры. Цель плевродеза – облитерация (заращение) плевральной полости.
При неэффективности консервативной терапии, когда легкое не расправляется и воздух поступает по дренажу более 3 суток, показано срочное хирургическое лечение.
Информацию из данного раздела нельзя использовать для самодиагностики и самолечения. В случае боли или иного обострения заболевания диагностические исследования должен назначать только лечащий врач. Для постановки диагноза и правильного назначения лечения следует обращаться к Вашему лечащему врачу.
Спонтанный пневмоторакс. Лечение, симптомы, причины, операция.
Спонтанный пневмоторакс – это проникновение воздуха в плевральную полость из окружающей среды вследствие нарушения целостности поверхности легкого. Принято различать первичный и вторичный (т.е. связанный с каким либо заболеванием легких) пневмоторакс.
Спонтанный пневмоторакс развивается, как правило, у мужчин молодого возраста, у женщин он встречается в 5 раз реже. Первый момент от развития пневмоторакса пациенты чаще жалуются на боль в грудной клетке на стороне пневмоторакса колющего или ноющего характера, ощущение затрудненного дыхания, кашель, как правило, сухой, снижение переносимости физической нагрузки. Через несколько дней часто появляется повышение температуры тела. Диагноз чаще не вызывает затруднений у опытного специалиста. При обзорной рентгенографии грудной клетки в двух проекциях в большинстве случаев удается установить диагноз.

Малый пневмоторакс не требует оперативного вмешательства, однако пациенты должны быть госпитализированы в стационар для наблюдения, обезболивания, проведения кислородотерапии. В течение нескольких дней воздух из плевральной полости при малом пневмотораксе рассасывается самостоятельно. При среднем и большом пневмотораксе необходимо дренирование плевральной полости. Данная процедура выполняется под местной анестезией в положении пациента «на здоровом боку». Через межреберный промежуток в плевральную полость устанавливается дренаж диаметром 6 мм. Во время дренирования плевральной полости возможно выполнение диагностической торакоскопии, т.е. осмотра плевральной полости и легкого, с целью выявления изменений приведших к пневмотораксу. В большинстве случаев при первичном пневмотораксе причиной образования дефекта в легком является разрыв воздушного пузырька на поверхности легкого (буллы).

Буллы могут встречаться и у здоровых людей и не обязательно приводят к развитию пневмоторакса. Причиной вторичного пневмоторакса является заболевание какое-либо легких, приводящее к разрушению легочной ткани. К таким заболеваниям относятся хроническая обструктивная болезнь легких, бронхиальная астма, лимфангиолейомиоматоз, диссеминированные процессы в легких, муковисцидоз и другие.
При расправлении легкого и прекращении поступления воздуха дренаж удаляют. При нерасправлении легкого или сохранении дефекта в легком необходимо оперативное вмешательство.
Риск рецидива первичного спонтанного пневмоторакса, как правило, составляет около 30% после первого эпизода. После второго около 60%, а после третьего около 80%. Поэтому в большинстве клиник рецидив пневмоторакса является показанием к оперативному вмешательству.
Оперативное вмешательство при спонтанном пневмотораксе выполняют под общей анестезией. Цель операции: герметизация дефекта в легком, краевая резекция легочной ткани, удаление плевры (оболочки, выстилающей внутреннюю поверхность грудной стенки) для создания сращений между легким и грудной стенкой с целью предотвращения повторных пневмотораксов. Оперативное вмешательство в 97-98% помогает предотвратить последующие рецидивы пневмоторакса.
Оперативное вмешательство выполняется при помощи эндоскопической техники из 3-4 маленьких разрезов размером 1-1,5см. Продолжительность операции 40-50 минут. Пациенты выписываются из стационара на 3-5 сутки после операции.

Диагностическая и лечебная тактика при спонтанном пневмотораксе, использующаяся в нашем Центре, соответствует «Протоколам оказания лечебно-диагностической помощи при острых заболеваниях грудной полости (спонтанный пневмоторакс)» утвержденным Ассоциацией хирургов Санкт-Петербурга в 2007 году.
Ч тобы записаться на консультацию к врачу по поводу диагностики и лечения спонтанного пневмоторакса в нашем центре -
Пневмоторакс

Пневмотораксом называют обильное скопление газов или воздуха в плевральной полости (за грудиной), способное привести к нарушению естественной вентиляции легких и газообмена во время дыхания человека. В результате такого заболевания легкие сдавливаются, кислород не поступает, на фоне чего возникает гипоксия (кислородное голодание). Дальше происходит нарушение обмена веществ и дыхательная недостаточность.
Пневмоторакс легкого может быть закрытого или открытого типа. В первом случае происходит разгерметизация дыхательной системы из-за сквозных ранений. Тогда воздух и газы попадают в область плевры извне. Во втором случае герметичность грудной клетки не нарушена, но сама плевра имеет дефект.
Согласно другой классификации пневмоторакс легкого подразделяется по следующим видам:
- вторичный (выявляется в качестве осложнения патологии легочного или нелегочного характера);
- искусственный (иногда создается врачами для проведения определенных манипуляций, необходимых для лечения или диагностики пациента);
- спонтанный (возникающий неожиданно, без каких-либо предвестников или фоновых явных заболеваний).
Симптомы и признаки
Симптомы и признаки пневмоторакса также отличаются в зависимости от видов. Для открытого пневмоторакса характерны:
- сильная болезненность в области дефекта грудной клетки, которую больной старается закрыть руками или весом собственного тела;
- шумное всасывание воздушных масс в грудную полость;
- просачивающаяся сквозь рану вспененная кровь;
- нарушение симметрии грудной клетки.
При закрытом пневмотораксе симптомы наблюдаются следующие:
- приступообразный сильный кашель;
- колющая боль в груди со стороны пораженного легкого, отдающая в шею и руку;
- панические атаки;
- бульканье;
- одышка;
- признаки дыхательной недостаточности (синюшность кожных покровов, сухой кашель, слабость).
Как только спонтанный пневмоторакс переходит в новую стадию своего развития, пациента уже не так сильно мучает одышка. Боли продолжают появляться только при глубоком вдохе или перемещениях тела больного. Иногда возникает подкожное вздутие возле лица или шеи, при нажатии на которое раздается хруст. Дыхание становится сильно ослабленным, одно легкое пациента может полностью выключиться из работы.

Дальше при спонтанном пневмотораксе происходит:
- уменьшение объема легкого до 30-40%;
- сильное воспаление плевры;
- отек;
- отложение фибрина;
- спайки (они сильно затрудняют дальнейшее лечение).
Причины возникновения
Причинами пневмоторакса могут быть:
- огнестрельные и колотые ранения в область грудной клетки;
- травмы, механические повреждения ребер и легких закрытого типа;
- осложнение после пункции, катетера, блокады нерва.
Привести к болезни также могут разрывы кист и булл, прорвавшиеся абсцессы, туберкулез, злокачественные опухоли, разрыв пищевода.
Пневмоторакс поражает одну сторону, но иногда он развивается с двух сторон.
Осложнения
Осложнения на фоне пневмоторакса встречаются более чем у 50% пациентов. Ими могут быть:
- развитие острой дыхательной недостаточности;
- экссудативный плеврит;
- эмфизема подкожного типа;
- неспособность легкого полностью расправляться из-за шварта;
- гемопневмоторакс (на фоне попадания крови в плевральную область).
Когда следует обратиться к врачу
Лечением пневмоторакса занимается врач-пульмонолог. Чтобы получить своевременное лечение пневмоторакса, нельзя упускать время. Важна каждая минута. Если вы пострадали от ранения, получили травму с переломом ребер, испытываете сложности с дыханием и острую боли в области груди, то необходимо незамедлительно получить помощь специалиста.
Диагностика
При первых признаках пневмоторакса необходимо обратиться к врачу и пройти диагностику. Она основывается на осмотре и прослушивании легких стетоскопом. Обычно при этом дыхание внизу не прослеживается на слух. Сам пациент вынужден принимать неестественное положение тела, чтобы сжать грудную клетку в области раны и в какой-то степени уменьшить болевые ощущения.
Обязательно при пневмотораксе назначают рентген. По его результатам доктор определяет диагноз. Дополнительно может быть взята пункция из плевральной полости с газом или воздухом. Давление при этом в ней отсутствует.
Пройти диагностику и быстро получить результаты, чтобы сэкономить важное сейчас время, оперативно приступить к лечению можно в нашей клинике. Здесь есть все необходимое современное диагностическое оборудование, опытные доктора и лаборатория.
Лечение

При возникновении пневмоторакса нельзя обойтись без лечения. Его назначают пульмонологи и торакальные хирурги. Первая помощь при пневмотораксе открытого типа сводится к наложению повязки. Если болезнь клапанного типа, то нужно срочно сделать пункцию и удалить воздух. Дальше требуется операция пневмоторакса, при которой выполняют зашивание всасывающего клапана.
После оперативных действий пациента переводят в стационар. Дальнейшее лечение будет зависеть от причины, которая вызвала патологию. Обычно оно сводится к:
- удалению обломков ребер;
- операции на легких;
- откачиванию воздуха и восстановлению нормального давления в легких.
Чтобы ситуация не повторилась, врачи проводят плевродез. Это процедура, при которой создаются искусственные спайки в плевре с расправленным легким.
Домашние средства лечения
Если у пациента по результатам диагностического исследования отсутствует отрицательная динамика, то врач может назначить домашнее лечение. Оно включает в себя кислородную терапию и прием обезболивающих средств. Первые несколько дней необходимо провести в стационаре под наблюдением врачей. Если никаких осложнений не наблюдается, динамика положительная, то больного выписывают с продолжением лечения дома.
Врачом обычно назначаются препараты следующих типов:
- антигистаминные (для предупреждения аллергии);
- обезболивающие;
- антибиотики.
Больному прописывают покой и временное прекращение профессиональной деятельности. Не допускается быстрый возврат к прежнему ритму жизни. Это только увеличивает вероятность рецидива. Необходимо дождаться полного устранения боли и нормализации дыхательной функции. Находиться дома нужно будет не меньше месяца с момента выписки.
Первые несколько дней после оперативного лечения спать следует на кресле с откидной спинкой. Это снизит нагрузку на грудную клетку.
Прогноз заболевания
Последствия пневмоторакса будут зависеть от степени поражения легких, тяжести заболевания и скорости развития дыхательной недостаточности. Если напряженный пневмоторакс возник по причине серьезной травмы или ранения с большой областью поражения и большой кровопотерей, то прогноз при таких случаях неблагоприятный.
Нужно понимать, что гарантий полного излечения болезни нет. Риск рецидива составляет 30%. Если ситуация повторяется, то угроза следующего рецидива увеличивается до 60%. В таких случаях обойтись только дренажом с откачиванием жидкости и газа нельзя. Необходимо проведение малоинвазивной торакоскопической операции.
Профилактика
Чтобы не допустить развития спонтанного пневмоторакса, нужно следить за своим здоровьем и условиями жизни. К болезни могут привести на первый взгляд безобидные причины:
- переутомление;
- простуда;
- напряжение.
Поэтому нужно стараться защищать себя от переохлаждений, повышать естественные защитные функции организма, укреплять иммунную систему, основательно и вовремя лечить острые респираторные и вирусные заболевания.
Как записаться к пульмонологу?
Если у вас отмечаются симптомы пневмоторакса легких, то необходимо посетить пульмонолога. Доктор назначит диагностику, проведет осмотр и подберет лечение. Оказание помощи при пневмотораксе крайне важно, так как он может стать причиной гибели пациента.
Чтобы сохранить свое здоровье, получить максимальные шансы на быстрое выздоровление без последствий, посетите АО «Медицина» (клиника академика Ройтберга) в ЦАО Москвы. Мы находимся по адресу: 2-й Тверской-Ямской переулок, дом 10. Всего в 5 минутах ходьбы от м. Маяковская. Добраться до нас также можно от станций м. Белорусская, м. Новослободская, м. Тверская, м. Чеховская.
Читайте также:
