Стадии ларвального парагонимоза. Течение ларвального парагонимоза
Добавил пользователь Евгений Кузнецов Обновлено: 07.01.2026
Парагонимоз (paragonimoses) — гельминтоз из группы трематодозов, характеризующийся преимущественным поражением легких, подкожной клетчатки и скелетных мышц, реже — головного мозга.
Содержание
Этиология
Различают обычный (легочный) и ларвальный (личиночный) парагонимозы.
Возбудитель лёгочного парагонимоза — Paragonimus westermani (Paragonimus ringeri) — Лёгочный сосальщик. Тело Paragonimus westermani яйцевидной формы, красно-коричневого цвета, длиной 7,5-13 мм, шириной 4-8 мм, толщиной 3,5-5 мм. Поверхность тела покрыта шипиками. Брюшная присоска около середины тела. Яйца золотисто-коричневые, овальные, с крышечкой. Размеры яиц - 63 - 84 x 45 - 54 мкм. Яйца имеют золотисто-коричневый оттенок.
Возбудителями личиночного парагонимоза являются P. westermani ishunensis, P. miyazakii, P. hucitungensis, P. szechuanensis и др. Более 10 видов рода Paragonimus могут инфицировать людей.


Эпидемиология
Заболевание обусловленное паразитированием Paragonimus westermani встречается на Дальнем Востоке, Paragonimus skrjabini — в Китае, Paragonimus heterotremus — в Юго-Восточной Азии, Paragonimus philippinensis — на Филиппинах, Paragonimus mexicanus — в Центральной Америке и ряде стран Южной Америки, Paragonimus africanus — в Нигерии и Камеруне, Paragonimus uterobilateralis — в Нигерии и других странах Западной Африки. На территории США обитает Paragonimus kellicotti, однако поражение людей этим гельминтом встречается редко.
Заражение происходит при употреблении в пищу плохо обработанных речных раков и крабов.
Окончательные хозяева паразита — свиньи, собаки, кошки, крысы, ондатры, дикие плотоядные и человек; в организме окончательного хозяина половозрелые гельминты локализуются преимущественно в мелких бронхах, образуя фибриозные капсулы. С мочой и фекалиями яйца парагонима выделяются во внешнюю среду. При попадании в воду внутри яйца формируется личинка — мирацидий, который внедряется в промежуточного хозяина — пресноводного моллюска. Через 5 месяцев, после развития и бесполого размножения личинок в воду выходят церкарии, внедряющиеся в тело дополнительных хозяев — пресноводных раков и крабов, где формируется инвазионная для окончательных хозяев личинка — метацеркарий. В кишечнике окончательного хозяина метацеркарии освобождаются от оболочек и продвигаются в лёгкие, иногда в головной мозг и другие органы, где в интервале от 0,5 до 3 месяцев достигают половой зрелости.
Патогенез
Продолжительность инкубационного периода 2-3 недели, при массивной инвазии может сокращаться до нескольких дней.
В период миграции личинок специфические проявления отсутствуют. Возможны энтерит, гепатит, доброкачественный асептический перитонит, симптомы аллергии, включая миокардит и кожный зуд. Уже в ранней стадии парагонимоза появляются симптомы поражения лёгких в виде летучих инфильтратов, воспаления легких, экссудативного плеврита.
Выделяют абдоминальный и плевролёгочный парагонимоз. Абдоминальный парагонимоз обусловлен миграцией личинок из кишечника в брюшную полость. Отмечают симптомы энтерита, гепатита, иногда доброкачественного асептического перитонита. Плевролёгочный парагонимоз обусловлен паразитированием молодых гельминтов.
При остром плевролёгочном парагонимозе возникают лихорадка с температурой 39-40°С, боли в груди, одышка, кашель с гнойной мокротой, которая иногда содержит примесь крови. Через 2-3 месяца наступает хроническая стадия со сменой периодов обострений и облегчения, которая может длиться в течение 2-4 лет.
В основе патогенеза парагонимоза лежат воспаление и склероз ткани лёгких (иногда — других органов) под воздействием гельминтов. Сначала вокруг взрослых паразитов и их яиц развивается острая воспалительная реакция, при этом в инфильтрате преобладают эозинофилы. В дальнейшем вокруг очага формируется фиброзная капсула. Кисты, расположенные в легочной паренхиме, прорываются в бронхиолы. Их содержимое представлено кровью, яйцами гельминтов и воспалительным экссудатом. Если киста расположена субплеврально, может сформироваться эмпиема плевры, содержащая большое количество эозинофилов. Со временем в очагах поражения усиливаются склеротические процессы, а воспаление стихает. Некоторые очаги обызвествляются.
В хронической фазе развивается очаговый фиброз лёгких; рентгенологически выявляют очаги затемнения с просветлениями в центре. Возможны диффузный пневмосклероз, легочное сердце, легочное кровотечение, рак легких. Занос паразитов в мозг приводит к энцефалиту и менингоэнцефалиту, объемному процессу, напоминающему опухоль. При диссеминации яиц возможен полисерозит.
Наиболее тяжелым осложнением легочного парагонимоза является гематогенный занос яиц гельминтов в головной мозг с последующим развитием энцефалита, менингоэнцефалита, синдрома поражения головного мозга (церебральный парагонимоз). Осложнениями легочной формы являются пневмоторакс, легочное кровотечение, иногда нагноительный процесс с образованием абсцесса легкого или эмпиемы плевры. При своевременном лечении и отсутствии осложнений прогноз личиночного парагонимоза относительно благоприятный; легочный без лечения приводит к истощению и легочной недостаточности, при поражении мозга — прогноз неблагоприятный.
Легочные сосальщики помимо паренхимы лёгких нередко проникают в другие ткани — плевру, брюшную стенку, органы брюшной полости, головной мозг, вызывая там воспалительные изменения и склероз. Согласно исследованию, внелегочные очаги поражения отмечались у 30,7% госпитализированных больных парагонимозом, поражение головного мозга - у 8,4%. Особенно опасно поражение головного мозга.
Различают острое и хроническое поражение головного мозга. Для острого характерно внезапное развитие неврологической симптоматики, обычно на фоне легочной патологии. При хроническом нередки эпилептические припадки и стойкие неврологические нарушения; при рентгенографии черепа обнаруживают кальцификаты в виде "мыльных пузырей".
Сообщалось о частом развитии на фоне парагонимоза тяжелых бактериальных инфекций.
Поражение брюшной стенки и печени характерно для инвазии, вызванной Paragonimus skrjabini.
Клиническая картина парагонимоза
В период миграции личинок специфические проявления отсутствуют. Возможны энтерит, гепатит, доброкачественный асептический перитонит, симптомы аллергии, включая миокардит и кожный зуд. Уже в ранней стадии парагонимоза появляются симптомы поражения легких в виде летучих инфильтратов, воспаления легких, экссудативного плеврита. В дальнейшем процесс в легких прогрессирует, возникают боль в грудной клетке, кашель с большим количеством мокроты с примесью гноя, крови, лихорадка. В хронической фазе развивается очаговый фиброз легких; рентгенологически выявляют очаги затемнения с просветлениями в центре. Возможны диффузный пневмосклероз, легочное сердце, легочное кровотечение, рак легких. Занос паразитов в мозг приводит к энцефалиту и менингоэнцефалиту, объемному процессу, напоминающему опухоль. При диссеминации яиц возможен полисерозит.
Личиночный парагонимоз
При заражении личиночными формами парагонимусов (P. westermani ichunensis, P. miyazakii, P. huatungensis и др.) острая стадия болезни не отличается от обычного легочного парагонимоза. В хронической стадии болезнь также протекает с обострениями, сопровождающимися эозинофилией крови и ремиссиями. Рентгенологически обнаруживают мигрирующие пневмонические очаги, экссудативный плеврит на фоне усиления сосудистого рисунка. Выпот в полость плевры также может быть то право-, то левосторонним, возможен полисерозит. При длительном течении болезни могут развиться плевральные спайки с ограничением подвижности легкого и диафрагмы.
Осложнениями личиночного парагонимоза являются пневмоторакс, легочное кровотечение, иногда нагноительный процесс с образованием абсцесса легочного или эмпиемы плевры.
Заражение P. szechuanensis протекает с образованием плотных узлов в подкожной клетчатке (иногда нескольких, содержащих гельминтов и их яйца) шеи, грудной клетки, в области живота. Узлы плотные, разной величины, мало болезненные при пальпации. Кожа над узлами обычно не изменена. Инвазия сопровождается субфебрилитетом, умеренной эозинофилией крови, иногда кашлем, потерей аппетита. При поражении подкожной клетчатки грудной клетки описаны случаи гидропневмоторакса, гидроперикарда.
Диагностика
Симптомы: лихорадка, одышка, кашель с гнойной мокротой (иногда с примесью крови). Через 2-3 мес проявления переходят в хроническую стадию; отмечают периоды обострений и ремиссий. У некоторых больных развивается серозный экссудативный плеврит. При заносе гельминтов в головной мозг развиваются симптомы поражения ЦНС.
Диагноз легочного парагонимоза устанавливают на основании клинической картины, обнаружения яиц гельминта в мокроте, иногда и в фекалиях. Диагноз личиночного парогонимоза подтверждается серологическими реакциями со специфическим антигеном. При заражении P. szechuanensis диагноз устанавливают на основании результатов биопсии узла. В биоптате обнаруживают личинки паразита.
Дифференциальный диагноз личиночного парагонимоза с поражением лёгких проводят с туберкулёзом, дерматомиозитом, склеродермией, периартериитом узелковым, тропической легочной эозинофилией. В отличие от туберкулёза и системных болезней соединительной ткани для парагонимоза характерны стойкая эозинофилия и более доброкачественное течение болезни. Для тропической эозинофилии характерно наличие множественных, относительно стойких двусторонних инфильтратов в лёгких (формы без инфильтратов крайне редки), стойкая общая симптоматика — лихорадка, интоксикация без выраженных ремиссий.
Лечение
Диагноз легочного парагонимоза устанавливают на основании клинической картины, обнаружения яиц гельминта в мокроте, иногда и в фекалиях. Диагноз личиночного парогонимоза подтверждается серологическими реакциями со специфическим антигеном. При заражении P. szechuanensis диагноз устанавливают на основании результатов биопсии узла. В биоптате обнаруживают личинки паразита.
Лечение проводят празиквантелем (бильтрицидом) в дозе 60—70 мг/кг массы тела в сутки в три приема после еды с промежутком не менее 4 ч в течение 1—2 дней или в дозе 40 мг/кг по той же схеме в течение 4—5 дней.
Прогноз при своевременном лечении и отсутствии осложнений (пневмоторакс, кровотечения) относительно благоприятный; легочный парогонимоз без лечения приводит к легочной недостаточности, истощению. При поражении головного мозга прогноз серьёзный.
Стадии ларвального парагонимоза. Течение ларвального парагонимоза
Стадии ларвального парагонимоза. Течение ларвального парагонимоза
Острая фаза (стадия) ларвального парагонимоза обычно наблюдается в начале заболевания и характеризуется симптомами острого поражения органов брюшной полости и/или дыхательной системы. Иногда процесс начинается постепенно, симптомы выражены нерезко и типичная клиника появляется через 1-3 месяца от начала заболевания.
Продолжительность острой фазы ларвального парагонимоза колеблется от 1 до 6 месяцев, но изредка увеличивается до 1 года и более. Процесс может быть либо непрерывным, либо проявления инвазии то затухают, то усиливаются, что позволяет говорить о ее рецидивирующем течении.
Постепенно симптомы поражения органов дыхания и пищеварения стихают, исчезает токсико-аллергический синдром и процесс переходит в подострую стадию (фазу затухающего обострения), длящуюся до 2 лет. Если полного выздоровления не происходит и у больного длительно сохраняется нерезко выраженная симптоматика болезни, следует считать, что наступила хроническая фаза инвазии. Больные в этот период обычно трудоспособны.
Следует отметить, что для острой стадии болезни характерна связь между степенью выраженности эозинофилии и тяжестью патологического процесса. После стихания острых воспалительных изменений в легких и симптомов токсико-аллер-гического синдрома высокая эозино-филия может сохраняться длительное время, но она уже не отражает тяжести заболевания и его прогноза.

Описанная стадийность ларвального парагонимоза прослеживается в основном у тех пациентов, которые по тем или иным причинам не получали эффективной про-тивогельминтной терапии. В случаях же своевременной диагностики и адекватного этиотропного лечения процесс приобретает абортивный характер, не переходя в подострую и хроническую стадии. Однако и при отсутствии лечения у некоторых пациентов фазность патологического процесса отсутствует, и заболевание может с самого начала протекать в подострой или хронической форме.
Легкое течение ларвального парагонимоза характеризуется незначительной выраженностью абдоминального синдрома, проявляющегося в основном симптомами кишечной диспепсии. Легочный синдром обычно ограничивается редким кашлем и умеренными болями в грудной клетке. Токсико-аллергический синдром представлен легкой слабостью и потливостью, а также нестойким субфебрилитетом.
При физикальном обследовании органная патология не обнаруживается, а на рентгенограммах могут выявляться минимальные изменения типа усиления и деформации легочного рисунка. Иногда определяется выпот в плевральных полостях в небольшом объеме, запаянность синусов, и лишь при томографии легких могут обнаруживаться мягкие очаговые тени. В анализе крови на фоне нормального содержания лейкоцитов или небольшого лейкоцитоза (до 10,0x109/л) обнаруживается умеренная эозинофилия (до 20%). СОЭ не превышает 15 мм/час.
Информация на сайте подлежит консультации лечащим врачом и не заменяет очной консультации с ним.
См. подробнее в пользовательском соглашении.
Стадии ларвального парагонимоза. Течение ларвального парагонимоза
ГБОУ ВПО «Волгоградский государственный медицинский университет», Павших Борцов пл., 1, Волгоград, Российская федерация, 400131
Волгоградский государственный медицинский университет, Волгоград, Россия
Кафедры патологической анатомии, судебной медицины, биологии ФГБОУ ВО «Волгоградский государственный медицинский университет» Минздрава России, Волгоград, Россия
Кафедры патологической анатомии, судебной медицины, биологии ФГБОУ ВО «Волгоградский государственный медицинский университет» Минздрава России, Волгоград, Россия
ГБОУ ВПО «Воронежский государственный медицинский университет им. Н.Н. Бурденко», Воронеж, Россия
Легочный ларвальный парагонимоз, имитирующий рак легкого
Журнал: Архив патологии. 2018;80(2): 60‑63
ГБОУ ВПО «Волгоградский государственный медицинский университет», Павших Борцов пл., 1, Волгоград, Российская федерация, 400131
Ларвальный парагонимоз — паразитарное заболевание, вызываемое личинками легочного сосальщика. В отличие от классического варианта парагонимоз ларвальный протекает с большим количеством клинических проявлений, что усложняет диагностику ларвального парагонимоза, так как обилие клинических проявлений приводит к ложной диагностике других заболеваний. Еще одной отличительной чертой данной формы парагонимоза является склонность к генерализации и имитации клинической картины злокачественных новообразований. Приведен пример ларвальной формы парагонимоза с поражением легких, плевры, сердца, печени, правой почки, селезенки, желудка и малого сальника. Диагностические мероприятия не дали точного представления о природе заболевания, поэтому была выполнена диагностическая торакоскопия и взята биопсия из субплевральных диссеминатов с последующим срочным гистологическим заключением, указавшим на наличие железистого рака. Это обстоятельство стало причиной для атипической резекции пораженной доли, однако на 2-е сутки послеоперационного периода пациент умер в результате тромбоэмболии легочной артерии. Посмертно поставлен основной диагноз: хронический, легочный генерализованный парагонимоз (кистозная и пневмосклеротические фазы) с синдромом опухоли.
ГБОУ ВПО «Волгоградский государственный медицинский университет», Павших Борцов пл., 1, Волгоград, Российская федерация, 400131
Волгоградский государственный медицинский университет, Волгоград, Россия
Кафедры патологической анатомии, судебной медицины, биологии ФГБОУ ВО «Волгоградский государственный медицинский университет» Минздрава России, Волгоград, Россия
Кафедры патологической анатомии, судебной медицины, биологии ФГБОУ ВО «Волгоградский государственный медицинский университет» Минздрава России, Волгоград, Россия
ГБОУ ВПО «Воронежский государственный медицинский университет им. Н.Н. Бурденко», Воронеж, Россия
Парагонимоз — паразитарное заболевание человека из группы трематодозов, вызываемое чаще всего легочным сосальщиком Paragonimus Westermani (легочная двуустка). Взрослый легочный сосальщик — гельминт буро-красного цвета, тело яйцевидной формы, выпуклое со стороны спинки и сплюснутое на брюшной стороне, с развитой мускулатурой. Имеет хорошо видимые невооруженным глазом присоски и шипики, с помощью которых крепится в организме хозяина. Яйца золотисто-коричневого цвета, овальной формы, снабжены крышечкой [1].
Эндемичными регионами парагонимоза являются Азия, Африка и Южная Америка [2, 3]. В Российской Федерации данный вид парагонимоза характерен для территории Дальнего Востока (низовье реки Амура и южное побережье Охотского моря) [4].
Заражение человека происходит чаще всего при употреблении в пищу сырых или недостаточно проваренных, слабопросоленных крабов, раков или креветок. Известно 48 видов легочного сосальщика, из них 16 способны заражать человека и вызывать парагонимоз [4, 5]. Все сосальщики поражают человека, находясь в стадии метацеркариев. С помощью стилетов они пронизывают стенку начального отдела тонкой кишки и попадают в брюшную полость. Затем личинки мигрируют через диафрагму в плевральную полость, попутно инвазируя некоторые органы брюшной полости, в частности поджелудочную железу, печень, малый сальник, селезенку и желудок. После попадания в плевральную полость личинки некоторое время проводят на париетальной плевре, затем, проникая на висцеральную, внедряются в легочную ткань, где достигают зрелости. Однако, согласно проведенным исследованиям [6, 7], не все виды парагонимов в организме человека способны достигать половой зрелости. Именно в таком случае следует говорить о ларвальном (личиночный) парагонимозе. Это обусловлено тем, что отдельные виды легочного сосальщика, такие как P. westermani ichunensis, P. miyazakii, P. huatungensis, могут использовать человека и некоторые виды животных как резервуарных хозяев, и если у животных нет никакой реакции на инвазию, то у человека формируется редкая, труднодиагностируемая патология.
В легочной паренхиме вокруг паразитов развивается гранулематозное воспаление с последующей фиброзной инкапсуляцией с формированием кист и возможным проникновением гельминтов в просвет бронхиол. Диаметр кист может достигать 2 см, их количество варьирует в зависимости от тяжести инфекционного процесса [8].
Редкость данной патологии, а также нетипичная клиническая картина затрудняют дифференциальную диагностику и приводят к ложной диагностике других патологий. В литературе описаны случаи выявления легочной формы парагонимоза, имитирующих симптомы туберкулеза легких и плевры [9—12], рецидивирующего рака легких [13] или опухолевых метастазов в легких [4, 14], церебральной формы с начальной клиникой геморрагического инсульта и лихорадочным синдромом и судорогами [15], абдоминальной формы с поражением двуусткой поджелудочной железы (рассмотренные как кистозно-солидная опухоль) [16].
Для диагностики ларвального парагонимоза большое значение имеют общий анализ крови, который выявляет эозинофилию [1—5], положительные результаты иммуноферментного анализа и полимеразной цепной реакции [3, 4, 17], рентгенография и компьютерная томография (КТ) грудной клетки, при которых выявляются очаговые уплотнения, а также результаты позитронно-эмиссионной томографии [3, 14, 17].
В качестве диагностического примера в связи со сложностями клинической и патоморфологической диагностики из-за нетипичной клинической картины приводим случай заболевания парагонимозом больного, который находился на лечении в областном онкологическом диспансере в 2016 г.
Больной Б., 66 лет, поступил в онкологический диспансер с предварительным диагнозом: диссеминированное злокачественное новообразование легких, правосторонний рецидивирующий плеврит, дыхательная недостаточность (НД) II—III степени; ишемическая болезнь сердца; кардиосклероз (Н-I); хроническая обструктивная болезнь легких (ХОБЛ); стадия опухолевого процесса IV; клиническая группа II.
При поступлении больной жаловался на одышку при минимальной физической нагрузке, ощущение тяжести и тянущую боль в правой половине грудной клетки. Состояние больного средней степени тяжести. Отставаний грудной клетки в акте дыхания нет, дыхание ритмичное, перкуторный легочный звук тимпанический, притуплен в нижних отделах справа. Аускультативно: дыхание везикулярное, ослабленное, в нижних отделах слева не прослушивается. Общий анализ крови: Нb 122 г/л, эр. 4,28·10 12 /л, тр. 203·10 9 /л, л. 8,3·10 9 /л; СОЭ 41 мм/ч. Биохимический анализ крови: мочевина 9,1 ммоль/л, креатинин 132,3 мкмоль/л, общий билирубин 20 мкмоль/л, общий белок крови 62,8 г/л, АЛТ 183,4 ед/л. Для уточнения диагноза и определения тактики лечения проведена КТ грудной клетки, при которой обнаружены осумкованный плеврит левого легкого, правосторонний пневмоторакс с явлением компрессии нижней доли правого легкого, а также выраженный пневмосклероз. Сравнительный анализ с предыдущим результатом КТ подтвердил отсутствие динамики изменений в легких. На основании общего осмотра, лабораторных анализов и данных КТ грудной клетки выставлен основной диагноз: подозрение на рак легкого. Сопутствующие заболевания: специфический плеврит слева; ХОБЛ; пневмосклероз; ДН II—III степени; ишемическая болезнь сердца; кардиосклероз Н-I.
Назначена плановая операция в объеме диагностической торакоскопии справа и плевродеза. В ходе операции при осмотре плевральной полости: плевра покрыта фибрином, контактно кровоточит. Нижняя доля правого легкого в спавшемся состоянии, в дыхании практически не участвует, отмечаются множественные субплевральные диссеминаты. В проекции слияния верхней полой и непарной вены визуализируется лимфатический узел диаметром до 1 см. Произведено вскрытие плевры, взята биопсия лимфатического узла и при срочном гистологическом исследовании поставлен диагноз: лимфаденит. Принято решение выполнить атипичную резекцию нижней доли правого легкого. В ходе операции дополнительно установлен торакопорт в пятом межреберье, атипически удален участок нижней доли с отсевами, при срочном гистологическом исследовании биоптата обнаружены единичные железистые структуры, идентифицированные как железистый рак. Под аэростатическим контролем введено 10 г мелкодисперсного талька (плевродез). Плевральная полость дренирована в третьем и седьмом межреберье по Бюлау. Рана ушита послойно. На следующие сутки после операции пациент жаловался лишь на общую слабость и на боль в послеоперационной ране. По дренажам из плевральной полости отделялась светлая жидкость. Больной переведен из отделения реанимации в хирургическое отделение. В 5 ч утра на 2-е сутки после операции пациент внезапно потерял сознание. Для проведения реанимационных мероприятий он в срочном порядке был переведен в отделение реанимации, где была констатирована смерть.
При патолого-анатомическом исследовании в плевре, легочной паренхиме, миокарде, печени, селезенке, почке, стенке желудка и малом сальнике обнаружены множественные кисты различных размеров. Макроскопические признаки тромбоэмболии правой ветви легочной артерии с геморрагическим инфарктом в правой нижней доле. Резкое полнокровие головного мозга и внутренних органов. Изменения, характерные для ХОБЛ. Утолщение стенок бронхов разного калибра со слизистым содержимым, множественные очаги пониженной воздушности в паренхиме легких. Толщина стенки правого желудочка 1,3 см, левого 2 см. Масса сердца 600 г (легочное сердце).

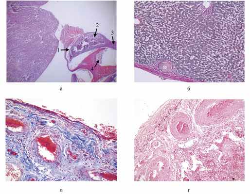
При гистологическом исследовании материала в головном мозге определяется выраженный периваскулярный и перицеллюлярный отек, в миокарде — выраженный интерстициальный отек с воспалительными инфильтратами, содержавшими лимфоциты, плазматические клетки, эозинофилы. Гипертрофированные мышечные волокна с множественными кистами и наличием в них личиночных форм паразита со сформировавшимися соединительнотканными капсулами. В области перикарда определяются прилегающие к нему фрагменты метацеркарии легочной двуустки со скоплениями эритроцитов (см. рисунок, Кистозно-пневмосклеротическая фаза генерализованного ларвального парагонимоза. а — погибшая метацеркария легочной двуустки у перикарда: 1 — кутикула личинки, 2 — тело личинки, 3 — хвост личинки, 4 — cкопление эритроцитов. ШИК-реакция, ×100; б — паразитарная киста в капсуле печени с выраженным фиброзом. Окраска по ван Гизону, ×200; в— соединительнотканные кисты легочной двуустки, располагающиеся под плеврой. Окраска по Маллори, ×400; г— соединительнотканные кисты легочной двуустки, располагающиеся под плеврой. Окраска орсеином, ×400. а). В печени (см. рисунок, б) непосредственно под капсулой и в паренхиме множественные паразитарные кисты с наличием погибших паразитов. В паренхиме правой почки паразитарные кисты, дистрофические изменения эпителия канальцев, очаговая лимфоидно-клеточная инфильтрация по периферии кист и в интерстиции. В ткани легкого (см. рисунок, в, г) множество паразитарных кист, часть из которых замещена фиброзной тканью. Межальвеолярные перегородки утолщены, с очаговой лимфоидно-плазмоцитарной инфильтрацией преимущественно вокруг кист. В селезенке умеренная гиперплазия белой пульпы, паразитарные кисты с наличием эритроцитов в центральной части. В желудке слизистая оболочка с диффузной воспалительной инфильтрацией и тенденцией к формированию эрозии, с участками фиброзирования и дискомплексации желез, обнаружены паразитарные кисты на серозной оболочке и в ней. В жировой ткани малого сальника множественные паразитарные кисты.
Данное наблюдение демонстрирует сложности диагностики кистозно-пневмосклеротической фазы генерализованного ларвального парагонимоза, протекавшего с опухолевым синдромом. Особенность наблюдения заключается в том, что у больного диссеминированный парагонимоз был с полиорганным поражением и образованием множественных фиброзирующихся кист в пораженных органах. Парагонимоз не диагностирован своевременно, специфическая терапия не проводилась, что способствовало прогрессированию воспалительного процесса в легких с вовлечением многих органов, развитием легочного сердца, тромбоэмболии легочной артерии, послужившей непосредственной причиной смерти. Расхождение диагнозов обусловлено редкой патологией с нетипичной клинической картиной (категория II).
Парагонимоз
(инвазия восточного легочного плоского червя; эндемическое кровохарканье)
, PhD, University of Virginia;
, MD, PhD, University of Virginia School of Medicine
Парагонимоз – инвазия легочного плоского червя Paragonimus westermani и похожих разновидностей. Люди заражаются при употреблении сырых, маринованных или термически не обработанных пресноводных ракообразных. Большинство инфекций протекает бессимптомно, но могут возникнуть легочные симптомы, включая хронический кашель, боль в груди, одышку и кровохарканье. Характерны аллергические реакции со стороны кожи и отклонения по центральной нервной системе из-за эктопических трематод, включая приступы, афазию, парез и визуальные нарушения зрения. Диагноз ставится по обнаружению яиц в слюне, кале или плевральной (перитонеальной) жидкости. Разработаны тест-системы для серологической диагностики. Празиквантел является препаратом выбора.
Сосальщики представляют собой паразитических плоских червей, которые заражают различные части тела (например, кровеносных сосудов, желудочно-кишечный тракт, легкие, печень), в зависимости от вида.
Несмотря на то, что существует > 30 видов Paragonimus, и согласно данным 10 из них могут инфицировать человека, P. westermani является наиболее частой причиной заболевания.
Наиболее значимые эндемичные области находятся в Азии, преимущественно в Корее, Японии, Тайване, на возвышенностях Китая и Филиппинах.
Эндемичные очаги с другими представителями видов Paragonimus spp существуют также в Западной Африке и в отдельных районах Южной и Центральной Америки. P. kellicotti вызывает инфекцию у человека в Северной Америке.
Патофизиология парагонимоза
Яйца, выделяемые через слюну или экскременты, развиваются 2–3 недель в пресной воде до мирацидий (первая личиночная стадия). Мирацидии поражают улиток; там они развиваются, размножаются и в конечном счете превращаются в церкарии (свободно плавающие личинки). Церкарии поражают пресноводных крабов или речных раков и в их организме превращаются в метацеркарии. Люди заражаются при употреблении в пищу сырых, засоленных или плохо приготовленных ракообразных. Метацеркарии выходят из цисты в желудочно-кишечном тракте человека, проникают через стенку кишечника и продвигаются в брюшную полость, затем через диафрагму в плевральную полость; они проникают в ткани легкого, инкапсулируются и развиваются в гермафродитных взрослых червей, которые откладывают яйца. Взрослые черви вырастают до 7,5-12 мм в длину и 4-6 мм в диаметре. Из легких яйца попадают в окружающую среду вместе с мокротой при ее откашливании и сплевывании или при заглатывании мокроты и выведении из организма с калом.
Во время миграции личинки парагонимусов могут попасть в головной мозг, печень, лимфоузлы, кожу и спинной мозг и там развиваться. Однако в этих случаях их жизненный цикл оказывается незавершенным, поскольку яйца не способны покинуть пределы человеческого организма. Взрослые трематоды могут существовать в течение от 20 до 25 лет.
Другие хозяева включают свиней, собак и множество подвидов кошачьих.
Симптомы и признаки парагонимоза
Большинство людей с парагонимозом являются бессимптомными; однако во время инвазии и миграции трематод могут развиваться диарея, боль в животе, лихорадка, кашель, крапивница, гепатоспленомегалия, легочные аномалии и эозинофилия.
В хронической фазе наиболее повреждены легкие, но могут быть вовлечены и другие органы. Проявления легочной инфекции развиваются медленно и включают хронический кашель, боль в груди, кровохарканье и одышку; клиническая картина напоминает туберкулез Туберкулез (ТБ) Туберкулез (ТБ) является хронической прогрессирующей микобактериальной инфекцией, часто имеющей латентный период после начального инфицирования. Чаще всего ТБ поражает легкие. Симптомы включают. Прочитайте дополнительные сведенияЦеребральные поражения проявляются, как правило, в течение года после начала легочного заболевания. Случаются приступы судорог, афазия, парез и нарушения зрения.
Аллергические поражения кожи похожи на поражения, вызываемые мигрирующей кожной личинкой Мигрирующая кожная личинка Мигрирующая кожная личинка является кожным проявлением инфицирования анкилостомой. Мигрирующая кожная личинка вызывают виды Ancylostoma, чаще всего кошачья или собачья анкилостома Ancylostoma. Прочитайте дополнительные сведения P. skrjabini и возникающих также при инвазиях, вызванных другими видами.
Диагностика парагонимоза
Микроскопическое исследование мокроты и анализ кала
Серологические тесты для выявления антител
Диагноз парагонимоз ставится по обнаружению характерных больших яиц с крышечкой в мокроте или кале. Иногда яйца можно обнаружить в плевральной или брюшной жидкости. Яйца бывает трудно выявить, потому что они образуются периодически и в небольшом количестве. Методы концентрации увеличивают чувствительность диагностики.
Серологические тесты для выявления антител полезны при легких инфекциях и при диагностике внелегочного парагонимоза.
При рентгенографическом исследовании можно получить дополнительную информацию, но она не всегда является диагностически ценной; рентген грудной клетки и КT могут показать диффузный инфильтрат, узелки, кольцевые теневые поражения, кавитации, линейные помутнения, абсцессы легкого, плевральный выпот и/или пневмоторакс.
Лечение парагонимоза
Предпочтительным лекарственным средством при парагомниозе является празиквантел, 25 мг/кг перорально три раза в день в течение 2 дней.
Триклабендазол является приемлемым методом лечения в тех регионах, где он доступен; доза составляет 10 мг/кг перорально однократно после приема пищи или для серьезных инфекций – 2 дозы с интервалом в 12 часов по 10 мг/кг после приема пищи.
Празиквантел также используется для лечения внелегочных поражений, при этом могут потребоваться многократные курсы.
При мозговых инфекциях, короткий курс кортикостероидов может быть назначен в сочетании с празиквантелом, чтобы уменьшить воспалительную реакцию, вызванную умирающими трематодами.
Оперативное лечение может потребоваться для удаления поражений кожи или, реже, кист головного мозга.
Лучшая профилактика – исключить из пищи употребление сырых или недоваренных пресноводных крабов и речных раков, пойманных в водоемах на эндемичной территории.
Авторское право © 2022 Merck & Co., Inc., Rahway, NJ, США и ее аффилированные лица. Все права сохранены.
Парагонимоз - Суханова Г.И. - Типичная и ларвальная формы, клиника, патологическая анатомия, диагностика, лечение
Описание: Одними из приоритетных в современной пульмонологии являются исследования, направленные на определение этиологии воспалительных заболеваний органов дыхания. Конечно, этиотропная терапия тесно связана и с воздействием на патогенетическую цепь болезни, и с коррекцией симптоматики, но именно этиология патологического процесса диктует стратегию и тактику лечения, что в конечном счете оказывает решающее влияние на прогноз. Следует заметить, что, несмотря на определенные успехи в этой области, причины многих бронхо-легочных заболеваний, как и их нозологическая принадлежность, до сих пор остаются предметом дискуссий.
Паразитарные инвазии легких - наименее изученный раздел пульмонологии, в котором вопросы о жизненном цикле паразита и о его взаимоотношении с организмом хозяина (в первую очередь - человека) долгое время оставались на уровне представлений первой половины XX века. Так, даже таксономия возбудителя здесь была окончательно уточнена только в начале 80-х годов.
Поражение человека легочной двуусткой в России считалось «экзотической патологией» и спорадически регистрировалось в основном на территории Приморского края, являющегося одним из самых северных ареалов обитания паразитов рода Paragoпlmus, широко распространенных в Центральной и Южной Америке, Африке, Юго-Восточной Азии и других регионах. В то же время здесь достаточно часто пациентами стационаров различного профиля (как соматических, так и фтизиатрических) становились люди с бронхо-легочной патологией неопределенной нозологической принадлежности, длительным течением и толерантностью к традиционным способам терапии. В связи с неясностью диагноза учет таких больных не велся, и только после создания во Владивостоке медицинского вуза, одной из клинических баз которого стала краевая больница, удалось выделить этот контингент пациентов в отдельную группу и начать полноценное комплексное исследование, направленное на определение этиологии, патогенеза, способов диагностики и дифференциальной диагностики неизвестного заболевания.
Результатом проведенной работы стало открытие особой формы паразитизма парагонимид у человека, получившей название «ларвальный парагонимоз», и вошедшей ныне как в отечественные, так и в зарубежные учебники медицинской паразитологии. Ларвальный (личиночный) парагонимоз характеризуется тем, что в процессе инвазии паразит не достигает половой зрелости и, оставаясь в стадии личинки, вызывает целый ряд патологических изменений по ходу своей миграции, что обуславливают сложный симптомокомплекс, часто с признаками полиорганных поражений.
В отличие от типичного парагонимоза, диагноз которого базируется на характерной рентгенологической картине, наличии в организме половозрелых трематод и выделении яиц паразита, ларвальная форма болезни трудна для распознавания. Актуальность же проблемы достаточно высока, ибо при специальных обследованиях населения Приморского края частота положительных серологических проб достигала 1% среди взрослого населения и 3% среди детей. По данным авторов монографии, частота диагностических ошибок здесь остается до сих пор достаточно высокой, а до 20% больных и после первичного обращения лечатся в туберкулезных диспансерах.
Представляется, что выделение ларвального парагонимоза человека из группы трематодозов по своему значению выходит за пределы проблемы инвазии отдельным видом легочного сосальщика. Остаются не до конца решенными вопросы о частоте субклинически протекающих форм заболевания, о связи ларвального парагонимоза с бронхиальной астмой, хроническим бронхитом и интерстициальными болезнями легких. Весьма вероятно также, что личиночные формы паразитарных болезней распространены во всем мире гораздо шире, чем это считалось до сих пор. Нельзя недооценивать и влияния на распространенность этого заболевания в нашей стране современных миграционных процессов, международного туризма и расширяющихся деловых связей между государствами, что ведет к «размытию границ» эндемичных регионов.
В подобных условиях отсутствие работы, обобщающей результаты этого приоритетного исследования, следует признать серьезным недостатком отечественной пульмонологии. Отдельные статьи в журналах и сборниках, конечно, не могут восполнить пробел, существующий в знаниях практических врачей и научных работнике. Появление комплексного труда, освещающего современное состояние патогенеза, клиники, патологической анатомии, диагностики и дифференциальной диагностики ларвального парагонимоза, несомненно, значительный шаг в этом направлении.
Книга «Парагонимоз» посвящена парагонимозу - заболеванию паразитарной этиологии, которое широко распространено во всем мире, в том числе на территории Дальнего Востока России. Кроме известной в медицинской паразитологии типичной формы болезни подробно рассматривается новая нозологическая единица - ларвальный (личиночный) парагонимоз, - приоритет в описании которой принадлежит авторам настоящего труда. Впервые систематизированы особенности клиники, патогенеза, патологической анатомии, диагностики и лечения ларвального парагонимоза. Научные исследования выполнены совместно с учеными Харбинского медицинского университета (КНР).
Книга «Парагонимоз» предназначена для терапевтов, патологоанатомов, рентгенологов, эпидемиологов, врачей других специальностей и научных работников, интересующихся вопросами паразитологии.
Читайте также:
