Стрессовые переломы
Добавил пользователь Евгений Кузнецов Обновлено: 03.11.2025
Стрессовые переломы представляют собой небольшие неполные переломы, которые часто вовлекают тела плюсневых костей. Они являются результатом постоянной весовой нагрузки.
Стрессовые переломы не обязательно возникают в результате изолированного повреждения (например, падения, удара), но скорее их причиной является повторяющаяся и чрезмерная нагрузка, которая превосходит способность поддерживающих мышц гасить напряжение. Стрессовым переломам подвержены проксимальный отдел бедренной кости, кости таза или нижних конечностей. Более 50% таких переломов возникает в нижнем отделе голени, особенно в телах плюсневых костей стопы.
Стрессовые переломы плюсневых костей (маршевые переломы) обычно возникают у:
Бегунов, которые резко меняют интенсивность или продолжительность тренировок или, и то, и другое вместе
Людей с плохой физической подготовкой, которые переносят грузы на большие расстояния (например, солдаты новобранцы)
Такие переломы наиболее часто возникают во 2-й плюсневой кости. Другие факторы риска включают следующее:
Полую стопу (стопу с высоким сводом)
Обувь с недостаточными амортизирующими качествами
Стрессовые переломы также могут быть признаком женской спортивной триады ( аменорея Другие методы обследования , нарушение питания Введение в расстройства пищевого поведения Расстройства пищевого поведения подразумевают стойкое нарушение питания или поведения, связанного с питанием, которое Нарушает потребление или всасывание пищи Значительно ухудшает физическое. Прочитайте дополнительные сведения и остеопороз Остеопороз Остеопороз – прогрессирующее метаболическое заболевание кости, при котором происходит снижение ее минерализации (массы костной ткани на единицу объема), сопровождающееся нарушением ее структуры. Прочитайте дополнительные сведенияСимптомы и признаки стрессовых переломов
Боль в стопе, которая возникает после длительной или интенсивной работы и затем быстро проходит после прекращения активности, является типичным начальным проявлением стрессового перелома плюсневых костей. При последующей физической нагрузке боль возникает раньше и может стать такой сильной, что не позволяет продолжать занятия и не проходит даже тогда, когда пациенты не опираются на ногу.
Пациенты с болями в паховой области должны быть обследованы на наличие у них стрессового перелома проксимального отдела бедренной кости. При подтверждении диагноза такие пациенты должны быть направлены к специалисту.
Диагностика усталостных переломов
Рентгенография или сканирование костей
Рекомендуется выполнение стандартных рентгенограмм, но они могут не показывать никаких изменений до тех пор, пока спустя 2–3 недель после травмы не образуется костная мозоль. Часто для ранней диагностики необходимо сканирование костей с внутривенным введением технеция дифосфоната. Женщины со стрессовыми переломами могут страдать остеопорозом, им следует выполнить двухэнергетическую рентгеновскую абсорбциометрию Диагностика Остеопороз – прогрессирующее метаболическое заболевание кости, при котором происходит снижение ее минерализации (массы костной ткани на единицу объема), сопровождающееся нарушением ее структуры. Прочитайте дополнительные сведенияЛечение стрессовых переломов
Ограничение опорности конечности
Лечение включает снижение нагрузки на больную ногу (при стрессовом переломе плюсневых костей) и ходьбу на костылях. Хотя иногда накладывают гипсовую повязку, предпочтительнее пользоваться сабо или другой выпускаемой промышленностью поддерживающей обувью, что позволит избежать атрофии мышц. В любом случае заживление может длиться от 6 до 12 недель.
Авторское право © 2022 Merck & Co., Inc., Rahway, NJ, США и ее аффилированные лица. Все права сохранены.
Усталостный перелом: симптомы, профилактика, лечение
Усталостный или стрессовый перелом – это та травма, которая вселяет страх в сердце каждого бегуна, потому что из-за неё можно надолго, а в запущенных случаях и навсегда оставить бег. Что это за травма, и как её лечить или же избежать? Всё, что необходимо о ней знать, расскажем в этом материале.
Что такое усталостный перелом
Допустим, вы много бегаете и плохо восстанавливаетесь. Со временем утомлённые мышцы будут уже не в состоянии поглощать ударную нагрузку и передадут её на кости. Повторяющаяся нагрузка вызывает микроповреждения кости, а если добавить сюда пренебрежение восстановлением, игнорирование симптомов травмы, то постепенно эти повреждения будут становиться всё заметнее и серьёзнее. То, что произойдёт дальше, и называется усталостным (стрессовым) переломом.

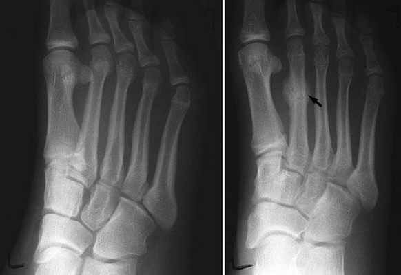
По данным хирургов-ортопедов, сильнее других костей стресс-перелому подвержены вторая и третья плюсневые косточки стопы. Область, где они располагаются, сильнее всего задействована в беге. Она отвечает за отталкивание.
Область распространения травмы
Стрессовые переломы могут охватить и пятку, и лодыжку, и среднюю часть стопы, и даже таз, крестец: в общем, все те области, которые подвергаются ударам, а мышцы вследствие усталости не могут их поглощать. Но у бегунов чаще всего страдают кости голени или стопы, ведь именно они самые рабочие для этого вида спорта. Речь идет о несущих костях – берцовой и плюсневых.
Стрессовые переломы голени и стопы успешно лечатся, а если перелом случился на очень крепких костях таза или бедра, это указывает на проблемы со здоровьем куда более серьёзные, чем резкое повышение нагрузки и недостаточное восстановление.
Симптомы и диагностика
Наиболее распространённые симптомы усталостного перелома:
- Боль во время бега, ходьбы и даже в покое. Если во время бега вы испытываете болезненные ощущения, вынуждающие во избежание боли приземляться на стопу иначе, чем обычно, обратитесь к врачу.
 - Острая боль при надавливании на область, где ощущается дискомфорт.
 - Отёк в поражённой области, но чаще всего отёк возникает в верхней части стопы. Так, например, у вас на повреждённой ноге может быть сильнее заметен контур вен в сравнении с другой стопой.
 
Для диагностики травмы есть также прыжковый тест: нужно несколько раз прыгнуть на ногу, которая болит, и если при приземлении ощущается боль, это может свидетельствовать о переломе.
Радостная новость: у кости есть определенный запас прочности. Это означает, что боль, намекающая на стресс-перелом, появляется задолго до него. Вовремя принятые меры позволят не выпасть из беговой программы на полтора-два месяца.
Что приводит к стрессовому перелому
Если говорить простыми словами, то к этой травме приводит недостаточное восстановление. Все ведь слышали о золотом правиле 10% прибавления тренировочных нагрузок? Всё это не просто так, так как и мышцы, и кости должны привыкнуть к нагрузке, чтобы суметь её переварить. И дело не только в километраже на ваших часах.
Скачайте тренировочные программы к марафону и полумарафону и начните подготовку уже сегодня!
Усталостные переломы, как правило, – это результат не только непривычно большого объёма, но и резко возросшей интенсивности, когда у тела не хватает времени для адаптации. В этом случае кость просто исчерпает все свои ресурсы для восстановления.
Зима – это тот период, когда наиболее велик риск развития стрессового перелома. Причина: нехватка витамина D. Поэтому помните, что вам, как активному человеку, нужен более высокий уровень витамина D, чем всем остальным.
Что ещё может подвергнуть бегуна риску? Низкий уровень кальция вкупе с высоким потреблением кофеина, вымывающим его из организма. Кроме того, исследования показывают, что в особой группе риска женщины с низким индексом массы тела и бегуны в возрасте, у которых с годами уменьшается плотность костей.
Влияние техники бега
Бег на пятку чаще приводит к возникновению стрессового перелома, свидетельствует мировая статистика. Такая постановка стопы даёт большую нагрузку на бедро, увеличивая вероятность травмы большеберцовой кости. Однако и бег с передней части стопы «не без греха». Для неподготовленных ног он несёт риск усталостного перелома костей стопы и лодыжки.
Также следует обратить внимание на поверхность. Предположим, вы всё время бегали по грунтовым тропинкам и вот зимой перешли в манеж, сохранив те же объёмы. Внезапная смена поверхности таит в себе опасность, в особенности учитывая, что дорожка в манеже предполагает виражи, а асфальт, к примеру, намного твёрже естественного грунта.

Влияние кроссовок
Обувь не по размеру, не вашей пронации или доставляющая общий дискомфорт вносит свою лепту в вероятность получения травмы. А если кроссовки и идеально подобраны под вас, но уже от старости утратили свою амортизирующую способность, это тоже будет негативно влиять на ноги. Большинство производителей устанавливают срок службы своих кроссовок на 800 км.
Профилактика
- Медленно увеличивайте нагрузку и постепенно вносите изменения в программу. Специалисты рекомендуют увеличивать объём не более чем на 10 процентов от недели к неделе.
 - Поработайте над каденсом в сторону увеличения: 80-90 шагов в минуту для одной ноги снижают риск травмы.
 - Не выполняйте слишком много скоростной и темповой работы. В лёгкие дни бегайте по-настоящему легко;
 - Включите в программу упражнения на укрепления слабых зон. Ключевые мышцы – икроножная и передняя большеберцовая.
 - При возможности обратитесь к специалисту, который оценит технику бега.
 - Варьируйте поверхность для бега.
 - Соблюдайте здоровую диету: в рационе должно быть достаточно кальция и витамина D. Принимайте витаминные и минеральные комплексы для здоровья костей.
 - Давайте себе восстановительные дни после тяжёлой сессии. Да, вы, возможно, чувствуете себя полным энергии, но костно-мышечная система восстанавливается гораздо дольше сердечно-сосудистой системы.
 
Лечение и реабилитация
Разумнее всего после первых болей записаться на приём к врачу-ортопеду. При невозможности сделать это сразу, помогайте себе сами: оставьте бег, прикладывайте лёд 3-4 раза в день по 10 минут, принимайте обезболивающие.
На приёме у доктора вам назначат обследование. Вероятно, это будет сканирование при помощи компьютерной томографии или магнито-резонансной томографии, поскольку рентген не может выявить перелом на ранней стадии.
При подтверждении травмы вам запретят активность, а на повреждённое место наложат гипс для поддержания кости на время её заживления. В этот период ваше главное лекарство – отдых. В течение 6-8 недель вы должны полностью отказаться от деятельности, приведшей к травме, и заменить её на тот вид активности, который не оказывает негативного действия на травму. К примеру, вы можете крутить велосипед или бегать на лыжах, лыжероллерах или кататься на роликах. Поговорите с врачом, он посоветует безопасную нагрузку.
Если бег возобновить до полного излечения, это может повлечь куда бОльший перелом, который сделает проблемы с костью хроническими. Не доводите вашу травму до хирургического вмешательства или, ещё хуже, до полного перелома кости. Только представьте, что лечение и реабилитация в таком случае займёт не меньше полугода.
Также нужно не забывать, что однажды случившийся стрессовый перелом является дополнительным риском для повторной травмы. Это намёк на то, чтобы впредь заботиться о своем организме.
Методы лечения
Стресс-переломы лечат не только полным отдыхом и гипсовой поддержкой кости. Вам могут назначить:
- лечебную гимнастику;
 - физиотерапию;
 - мануальную терапию;
 - иглорефлексотерапию;
 - массаж.
 
Как вернуться к бегу и тренировкам
Итак, спустя 8 недель отдыха от беговой ударной нагрузки ваши мышцы и кости восстановились. Как тренироваться? Разумеется, забудьте о прежних объёмах и не пытайтесь обновить все свои личные рекорды. Тренировки следует возобновлять постепенно и останавливать их, если чувствуете боль. Игнорирование этих простых рекомендаций повышает вероятность повторного перелома.
В период постепенного возвращения к тренировкам носите компрессионные гетры, бандаж или фиксирующий ботинок в зависимости от места травмы. Они снимут нагрузку с ослабленной области. Для своих кроссовок купите специальные вставки или ортопедические стельки для лучшего поглощения ударов.
Усталость: стрессовые переломы.
Работа скелета.
Травма у бегунов составляет около двух третей от всех случаев переломов. Научитесь распознавать ранние признаки этого болезненного чрезмерного повреждения, прежде чем он вызовет серьезные осложнения. Средний бегун совершает 5000 движений ногами в час по асфальту. Это делает бегунов первыми кандидатами на стресс - переломы, которые представляют собой крошечные трещины в костях, вызванных чрезмерным и повторяющимся воздействием.
Усталостные переломы наиболее распространены в плюсневой и большеберцовой кости в нижней части ног и стопы, но также могут быть в крестце, тазовой, бедренной костях и в других. Стресс-переломы происходят, когда группы мышц переутомлены и больше не могут поглощать удар, который переносится на кости. Из-за высокого воздействия, повторяющегося характера бега, бегуны, как правило, более подвержены к переломам, чем другие спортсмены. По мнению исследователей из Массачусетской Центральной Больницы 69 процентов всех случаев переломов относятся к любителям бега.
Вы в опасности?
Стрессовые переломы - это последнее звено в цепочке, которая включает в себя мышечную усталость, биомеханический дисбаланс и неправильное питание. Бегуны начинающие новую программу обучения или возобновляющие бег после долгого перерыва должны быть осторожны в увеличении пробега во избежание стрессовых переломов. Перетренированность является основной причиной стрессовых переломов и риском травмирования при затруднении биомеханического выравнивания. Бегуны часто имеют более развитые боковые мышцы, дисбаланс, который может привести к ненужным нагрузкам на другие группы мышц. Отдельная неустойчивость в беге и выравнивании тела может увеличить шанс возникновения усталостного перелома. Непрерывная работа на твердых поверхностях, таких как асфальт и бетон, увеличивает воздействие на кости и мышцы, изнашивает обувь, вынуждая тело поглощать больше ударов. Если бегун следует тем же маршрутом каждый день, повторяющиеся поверхностные углы могут вызвать неустойчивость в использовании мышц, ведя к усталости в этой одной группе мышц, и в следствии, приводя к стресс-перелому.
Вне тренировочных привычек другие факторы риска - диета и пол. Даже без злоупотребления, бегуны с недостатком кальция обладают слабыми костями и более восприимчивы к травме. Фактор кальция означает, что женщины более подвержены усталостным переломам, чем мужчины, особенно женщины, у которых наблюдается нечастая или отсутствующая менструация.
Профилактика.
Профилактикой предотвращения стрессовых переломов являются разумные тренировки, работа и уход за телом. Еженедельное увеличение пробега не должно превышать 10 процентов. Это не абсолютное правило, и будет зависеть от базы, выносливости и опыта. Бегуны должны также обращать внимание на свое тело и реагировать на боль. Рекомендуется завести дневник тренировок для записи пробега и анализа, который также может помочь в диагностике и лечении, если случилась травма. Регулярные силовые тренировки помогут обеспечить баланс и симметрию на мышечные группы, позволяя достичь большей стабильности для суставов и костей. Рекомендуется делать регулярный массаж, растяжку, заниматься йогой и укреплением. Для общего укрепления рекомендуется сосредоточиться на основные группы мышц, ягодичные мышцы и сгибатели бедра. В то время как общее укрепление может быть полезным, получение оценки мышечного баланса от спортивного терапевта или тренера помогут Вам выявить проблемные области и разработать программу укрепления уникальную для Вашего тела и привычек. Носите удобную обувь, даже когда не бегаете. Кроссовки поглощают удары, поэтому выберите подходящие Вам и держите их в хорошем состоянии. Протектор также важен, особенно для зимних пробежек. Меняйте свой маршрут и поверхности, уменьшая износ обуви. Чтобы поддерживать кости, употребляйте необходимое количество кальция, особенно если у Вас в нём недостаток.
Шаги к выздоровлению.
Стресс-перелом - это прогрессирующее повреждение, поэтому обращайте внимание на небольшие изменения в организме для предотвращения более серьезных травм. Это могут быть болезненные ощущения в конце долгого бега, нарастающий дискомфорт во время бега и, наконец, боль, даже в покое. Переломы также могут вызвать отек и точечные боли в месте травмы. Если боль сохраняется во время тренировок или простирается вне физической активности, проконсультируйтесь с врачом или спортивным терапевтом для диагноза и лечения. Диагностика для усталостных переломов производится посредством симптомов, истории и зачастую рентгеновским обследованием костей. Как правило, отдых позволяет трещинам заживать полностью, но в некоторых случаях требуется наложение гипса. Для любого стресс-перелома важен отдых, потому что маленькие переломы могут привести к вторичным осложнениям или хронической травме. Во время периода отдыха необходимо снизить нагрузки и заменить бег на велосипед, плавание или бег в воде. Полное восстановление может занять от шести до восьми недель отдыха от работы, поэтому профилактика наилучший подход.
Стрессовый перелом ног

В нашу жизнь уже давно и прочно вошло понятие «стресс», но оно чаще относится к эмоциональному состоянию человека. В медицине этот термин тоже нашел применение для классификации особого рода переломов — усталостных. Они возникают без видимых механических повреждений, развиваются постепенно. Костная ткань постоянно обновляется, но при постоянных нагрузках в некоторых местах могут возникнуть небольшие трещины. Такой перелом иногда заживает самостоятельно, но в некоторых случаях ведет к серьезным травмам, нуждающимся в хирургическом вмешательстве. Поэтому, чтобы исключить риск осложнений, рекомендуется обратиться в медицинское учреждение для диагностики.
Информацию из данного раздела нельзя использовать для самодиагностики и самолечения. В случае боли или иного обострения заболевания диагностические исследования должен назначать только лечащий врач. Для постановки диагноза и правильного назначения лечения следует обратиться к профильному специалисту.

Симптомы травмы
Признаки стрессового перелома начинают проявляться при физических нагрузках. В состоянии покоя они пропадают, но в дальнейшем возникают с большей силой. Стрессовые переломы ног легко заметить после долгой прогулки, бега, переноски тяжестей. При этом, конечности нагружаются, что вызывает быстрое нарастание боли. Признаками усталостного перелома считаются:
- волнообразное появление болевых синдромов;
 - появление отеков;
 - боль при пальпации области патологии;
 - в некоторых случаях — появление гематом.
 
Микротрещины кости вначале не дают ярко выраженных симптомов. Постоянные нагрузки постепенно увеличивают их размер, что приводит к усилению признаков патологии. В тяжелых случаях боль может достигать такой силы, что не позволяет наступить на ногу. Такие травматические проявления нельзя оставлять без внимания, так как кости ослабевают и резко возрастает риск получить серьезный перелом.
При появлении симптомов патологии необходимо обеспечить конечности покой, приложить лед для уменьшения боли и обратиться за медицинской помощью. Только специалист сможет определить тяжесть повреждений и выработать мероприятия, направленные на скорейшее выздоровление.

Причины стрессового перелома
Этот вид травмы никогда не появляется просто так. Спровоцировать усталостный перелом могут многие факторы, которые в большинстве своем связаны с частыми нагрузками. Такие ситуации часто возникают во время занятий спортом. В группу риска также попадают:
- люди старше 40 лет;
 - военные, участвующие в активной строевой подготовке;
 - все женщины;
 - больные остеопорозом;
 - лица, имеющие плоскостопие.
 
Вызвать стрессовый перелом может и резкая смена нагрузок, переход с одного покрытия на другое. Например, двигаясь по траве, человек переходит на асфальт. Чаще всего травмы такого рода возникают в голени и стопе, на их долю приходится около 60 % усталостных переломов. Это легко объяснить, если учесть высокие нагрузки, которые постоянно испытывают эти кости.
Люди, ведущие активный образ жизни, и спортсмены увеличивают риск получения травмы, стараясь улучшить свои результаты неоправданными попытками получить максимальные показатели любой ценой. Резкое изменение нагрузок или интенсивности тренировок чревато возникновением патологий в костях ног.
Какой врач лечит стресс-перелом?
Несмотря на то, что такой вид травмы может пройти самостоятельно за счет восстановления и обновления костей, не стоит подвергать себя риску возможных осложнений. При первых симптомах нужно обратиться к врачу следующей специальности:
Стрессовые переломы голени и стопы

Стрессовые переломы происходят в костях, претерпевающих механическую усталость. Они являются следствием чрезмерных повторяющихся субмаксимальных нагрузок, которые создают дисбаланс между костной ресорбцией и формированием. Переломы обычно возникают в месте наибольшей нагрузки; это называют «образованием трещин». Если эту микроскопическую трещину невозможно вылечить и подвергать ее дальнейшим нагрузкам, микроповреждение увеличится, и трещина увеличивается в размерах. Такое увеличение может быть причиной перелома кости на макроскопическом уровне.
Эпидемиология / этиология
По оценкам, 15-20 % травматического перенапряжения – стрессовые переломы. Эти типы переломов связаны с физической активностью, предполагающей непрерывные нагрузки (например, бег или марширование). Около 50 % стрессовых переломов приходятся на большеберцовую кость; однако, стрессовый перелом может случиться в любом месте. Стопа (особенно вторая плюсневая кость) – другое распространенное место стрессовых переломов. Сообщается, что для женщин риск получения стрессового перелома выше в 1,5 – 12 раз, по сравнению с мужчинами.
Совсем скоро состоится семинар Георгия Темичева «Диагностика и терапия проблем нижних конечностей. Анализ ходьбы и бега». Узнать подробнее…
Стрессовые переломы могут возникать из-за множества факторов, включая уровень активности, прочность костей, прием противовоспалительных препаратов, радиацию, пищевой статус, остеопороз, гормональный дисбаланс, депривацию сна и коллагеновые аномалии. Повторное возникновение стрессовых переломов зависит от химического состава кости, прилежащих мест прикрепления мышц, сосудистой сети, системных факторов и режима спортивной активности. Другие возможные факторы риска включают в себя возраст, пол, обувь и режим тренировок. Среди спортсменок высокий уровень склонности к спортивной «триаде» (аменорея, пищевые расстройства и остеопороз), но выносливые спортсмены мужчины с нехарактерно низким уровнем сексуальных гормонов также имеют риск получения стрессового перелома.
С биомеханической точки зрения, стрессовые переломы могут быть следствием утомления мышц, из-за которого кость получает избыточную нагрузку. К тому же положение элементов нижних конечностей предположительно влияет на риск получения стрессовых переломов. Более того, ранние исследования показывали, что малая толщина большеберцовой кости, высокая степень внешнего вращения бедра, варусное положение голеностопа и плюсны, гиперпронация голеностопа, полая стопа и разница в длине ног могут увеличить риск стрессовых переломов среди спортсменов (данные для некоторых факторов неоднозначны).
Клиническое проявление
Клиническое проявление может варьироваться среди пациентов, вследствие этого необходимо получить полную историю болезни для определения вероятности стрессового перелома. Человек может описывать ухудшение симптомов со временем при наличии активности и не сообщать об особом характере развития травмы. Первоначально боль может появляться во время активности, но затем становится постоянной. Важно учитывать, что пациент может не упомянуть основную для физиотерапевта информацию об увеличении или изменении активности. У пациента в области локализации боли может быть незначительный отек и покраснение, очаговая или точечная болезненная чувствительность (предусматривается прикосновение одним пальцем), разница в длине ног и усиление боли при опоре на ногу, провоцирующее анталгическую походку. Тест камертоном вдоль болевой области должен вызвать сильные болезненные ощущения в случае перелома. Легкоатлеты, спортсмены и военнослужащие как правило страдают от стрессовых переломов. Риск для пациентов увеличивается, если между тренировками или соревнованиями отсутствует достаточный отдых. Молодые спортсменки (в пределах этой выборки), более предрасположены к стрессовым переломам из-за триады вредных для костной массы факторов.
Дифференциальный диагноз
Различные диагнозы варьируются в зависимости от местонахождения боли. Другие возможные диагнозы включают инфекцию, опухоль, синдром сдавливания, артрит, компрессионное поражение нерва, медиальный тибиальный стресс-синдром, и другие травмы мягких тканей.
Компартмент-синдром развивается из-за давления внутри мышечных футляров (отсеков) голени, разделённых фасциальными слоями. Давление в футлярах может быть результатом возникновения повышенной потребности в кислороде и, как следствие, усиленного притока крови к напряженной мышце. У пациентов могут возникать судороги в икрах, мышечное напряжение, сильная боль, свисающая стопа и парестезия стопы. Острый приступ синдрома сдавливания является неотложным состоянием, и операционная фасциотомия является основным вариантом лечения.
Медиальный тибиальный стресс-синдром (МТСС) или синдром расколотой голени предполагает периостит на стыке середины и дистальной трети медиальной поверхности большеберцовой кости. Этот синдром может быть результатом тягового напряжения камбаловидной мышцы, длинного сгибателя пальцев или глубокой фасции голени. Остеосцинтиграфия используется для диагностики этого синдрома и в случае его наличия показывает повышенное накопление радиофармпрепарата в длинных сегментах кости по сравнению с очагами, проявляющимися при стрессовых переломах. Во время обследования пациенты с МТСС могут испытывать слабую болезненность вдоль внутренней поверхности большеберцовой кости.
Если после первичной оценки есть подозрения на стрессовый перелом, терапевту следует направлять пациента на диагностику для подтверждения или опровержения диагноза. Рентгеновские снимки обычно используются для диагностики стрессовых переломов, несмотря на плохую чувствительность. Стрессовые переломы обычно не проявляются на рентгенограмме в течение 2 – 6 недель после травмы; когда они становятся видимыми, появляются в виде полос просветления и могут иметь кортикальное уплотнение. Остеосцинтиграфия является наилучшей диагностической визуализацией стрессовых переломов (переломы заметны во 2-3 день после травмы).
Обследование
При оценке состояния совершеннолетнего пациента со стрессовым переломом нижней конечности, важна полная история болезни.
Основные данные по истории болезни человека со стрессовым переломом:
- Боль при нагрузке на ногу.
 - Недавнее увеличение активности (высокая интенсивность и/или высокая периодичность).
 - Постепенная манифестация заболевания.
 - Начинается с боли при напряжении, однако прогрессирует до боли в покое и по ночам.
 
Во время физического обследования специалист может выбрать соответствующий повреждению подход. Важный аспект обследования включает наблюдение за осанкой и биомеханикой, анализ походки, несоответствия длины ног, болезненности при пальпации и объем движений. У пациентов со стрессовыми переломами обычно наблюдаются болезненность при пальпации и отек в прилегающих мягких тканях. Согласно некоторым данным (Hatch и др., 2007), во время физического осмотра важно провести неврологическую проверку на чувствительность, состояние сосудов (наполнение капилляров и ЧСС нижних конечностей), осмотр кожи на предмет деформаций, отеков или синяков, и оценку объема движений для определения наличия разницы в интенсивности боли при движении.
Необходимо с особым вниманием отнестись к стрессовым переломам ладьевидной кости, одному из самых распространенных типов стрессовых переломов стопы. Фактором риска является особая конфигурация стопы (однако данный признак не всегда показателен). Повреждения появляются как у пациентов с плоскостопием и полой стопой, так и с нормально развитой стопой.
Лечение
Для стрессовых переломов голени и стопы существуют оперативные и неоперативные методы лечения. Оперативному вмешательству, используемому для лечения стрессовых переломов, способствуют несколько факторов. Один из факторов – местонахождение травмы (число кровеносных сосудов в определённой части тела влияет на заживление стрессовых переломов). По некоторым данным (Brockwell и др.), таранную кость, ладьевидную кость, медиальную лодыжку, сесамовидные кости большого пальца стопы и основание пятой плюсневой кости идентифицируют как зоны высокого риска, поэтому хирургическая операция рекомендуется к проведению в первую очередь. Для плюсны возможны консервативные методы лечения, поскольку она имеет хорошее кровоснабжение. Рекомендуется полное прекращение на 4-8 недель активности, вызвавшей стрессовый перелом. Возможность переноса веса на повреждённую конечность может быть установлена по степени боли пациента при концентрировании на ней нагрузки. С другой стороны, перелом медиальной лодыжки имеет высокую степень риска из-за вероятного прогрессирования до травматического перелома. Такие переломы могут быть вылечены открытой репозицией и операцией с внутрикостной фиксацией, быстрее приводящей к реабилитации, по сравнению с методом консервативной терапии (6 — 8 месяцев).
Профиль деятельности пациента является еще одним фактором, учитываемым в лечении стрессовых переломов. Иногда для высококвалифицированных спортсменов (входят в группу особого риска) операция считается оптимальным вариантом из-за уменьшенного временного промежутка до возвращения к нормальной активности. В систематическом обзоре (Torg и др., 2010) не нашли значительной разницы в результатах между оперативным и консервативным (отсутствие нагрузки на ногу, гипсование) методами лечения. Однако, другое исследование показывает разницу в среднем времени возвращения атлетов в спорт; при консервативной терапии реабилитация занимает 5,6 месяцев, а после оперативного вмешательства – 3,8 месяца. То же исследование свидетельствует о 86% успеха при лечении несмещенных стрессовых переломов гипсованием (отсутствие нагрузки на ногу в течение 6 — 8 недель). Также было отмечено (Torg и др., 2010), что консервативное лечение, исключающее некоторую степень нагрузки на ногу (нагрузка на ногу с отдыхом или ограничение активности) приводит к заживлению повреждений (первая линия лечения). Для хирургии также важно рассматривать тип стрессового перелома, если он смещенный, раздробленный или уже была предпринята неэффективная попытка консервативного лечения. Операция обычно заключается в открытом вправлении с внутрикостной фиксацией винтовыми зажимами и иногда включает костный имплантат.
Физическая терапия
Физиотерапевтический подход включает в себя информирование пациента и контроль изменения активности.
На начальной стадии терапии для заживления следует снизить патологическое напряжение на кость до нормального физиологического уровня. Это обычно представляет собой ослабление или отсутствие нагрузки на ногу в течение 1 — 2 месяцев, в зависимости от тяжести перелома. Водные упражнения, катание на велосипеде и тренировки верхней части тела позволят пораженной нижней конечности находится в покое, пока пациент поддерживает физическое здоровье. После исчезновения боли в пострадавшей области и с разрешения врача, следует возобновить нагрузку на кость, подвергающейся коррекции. При завершении периода отдыха следует предохранять кость для ее корректного заживления, но избегать мышечной атрофии и ухудшения физического состояния. Боль или дискомфорт являются направляющими факторами в определении подходящей активности и механической нагрузки; пациент может чередовать тренировки или выполнять иной тип физической активности для поддержания здоровья, сохраняя интенсивность ниже провоцирующей симптомы заболевания. Костыли или другие технические средства реабилитации могут быть предписаны для снижения нагрузки на ногу или для исправления хромоты. Следует оценить нижние конечности на правильность расположения их элементов, а также применить ортезы для минимизации биомеханических факторов риска. Период относительного отдыха и изменения активности чрезвычайно важен для заживления. Прогрессирующее укрепление мышц также может помочь пациенту благополучно вернуться к нормальной активности после заживления перелома и может быть ключевым фактором предупреждения рецидива.
Информирование пациента
Информирование поможет пациенту определить причину стрессового перелома и избежать его повторения. Бег – частая причина стрессового перелома; они обычно происходят при резкой смене тренировочного режима, например, увеличение беговой дистанции (уровень доказательности 2а). Продолжительность тренировок (круглогодичная) также связана с причинами переломов. Следовательно, для спортсменов важно оценить тренировочную программу и другие факторы (тип стопы и беговой поверхности). При исследовании повторных стрессовых переломов 60% пострадавших спортсменов были легкоатлетами; 40% из них имели полую стопу, по сравнению с 13% легкоатлетов без повреждений в контрольной группе. Поскольку на данный момент нет данных, которые связывали бы лечение синдрома полой стопы со снижением риска травмы, пациенту будет полезно просто знать тип его стопы и взаимосвязи повреждений с персональным контролем тренировок. Доказательства высокой степени достоверности, относящиеся к предупреждению травм в беге, имеются только для контролируемых в особых условиях тренировок с ограниченным общим километражом. Доказательства средней степени достоверности идентифицируют полую стопу как фактор риска, наименее достоверные доказательства идентифицируют как фактор риска разную длину ног. Биопротезирование способно уменьшить риск стрессового перелома, но исследования не показывают связь с конкретными анатомическими изменениями. Легкоатлеты могут также изменить длину шага и беговой темп для снижения риска стрессового перелома большеберцовой кости, уменьшая величину напряжения. Чем больше длина шага человека и выше скорость бега, тем больше величина напряжения на большеберцовую кость. Сокращение длины шага на 10% и сокращение скорости бега на 1 м/с, что приводит к увеличению числа шагов за милю, может помочь легкоатлетам уменьшить вероятность стрессового перелома большеберцовой кости. При информировании пациента следует сфокусироваться на ограничении излишней беговой дистанции и резких изменений в расписании тренировок. Установленная индивидуально программа тренировок рекомендована для помощи пациенту адаптироваться к нагрузкам при беге.
Заключение
Для предупреждения стрессовых переломов пациенту (не только легкоатлету) следует постепенно увеличивать частоту и интенсивность упражнений и избегать резкого увеличения тренировочных нагрузок, подавляющих костную способность восстанавливаться в ответ на нагрузку. Физиотерапевту следует оценить движения пациента внутри кинематической цепи для определения особых потребностей в изменении активности.
Клиническое заключение
Стрессовые переломы – результат избыточной нагрузки на кость при физической активности. Их появление возможно предупредить путем постепенного изменения упражнений и выполнения умеренных действий. Стрессовые переломы в общем случае лечатся отсутствием нагрузки на ногу и при относительном покое. Перспективные исследования смогут предоставить большую доказательность факторов, способных спровоцировать или предотвратить стрессовые переломы. Такие области исследования включают в себя минималистичную обувь, учет анатомии стопы и параметры тренировок.
Примечание о новых исследованиях
Последнее исследование было опубликовано относительно двух квалифицированных легкоатлетов, выбравших минималистичную обувь, что привело к развитию стрессового перелома плюсневой кости. Во время роста популярности минималистичной (или с имитацией босой стопы) обуви, это та тема, в которой необходимы дальнейшие исследования для определения потенциальных рисков и преимущества использования этого типа легкоатлетической обуви.
Читайте также:
