Танатофорная дисплазия. Диагностика и прогноз танатоформной дисплазии
Добавил пользователь Евгений Кузнецов Обновлено: 23.01.2026
Танатофорная дисплазия - серьезное заболевание скелета , характеризующееся непропорционально маленькой грудной клеткой , чрезвычайно короткими конечностями и складками лишней кожи на руках и ногах.
СОДЕРЖАНИЕ
Симптомы и признаки
У младенцев с этим заболеванием непропорционально короткие руки и ноги с дополнительными складками кожи. Другие признаки заболевания включают узкую грудную клетку , маленькие ребра , недоразвитые легкие и увеличенную голову с большим лбом и выдающимися широко расставленными глазами. Танатофорная дисплазия - это летальная дисплазия скелета, разделенная на два подтипа. Тип I характеризуется крайней ризомелией , изогнутыми длинными костями, узкой грудной клеткой , относительно большой головой, нормальной длиной туловища и отсутствием черепа клеверного листа . Позвоночник имеет плоскостопие , череп с коротким основанием, часто большое затылочное отверстие уменьшено в размерах. Лоб выпуклый, могут присутствовать гипертелоризм и седловидный нос . Кисти и ступни в норме, но пальцы короткие. Тип II характеризуется короткими прямыми длинными костями и черепом из клеверного листа. Он имеет типичные длинные кости в форме телефонной ручки и H-образные позвонки.
Причины
Это может быть связано с миссенс-мутациями рецептора-3 фактора роста фибробластов . Передается по аутосомно-доминантному типу.
Диагностика
Классификация
Младенцы с танатофорной дисплазией 1 типа также имеют искривленные бедренные кости, уплощенные кости позвоночника (платиспондилию) и укороченные грудные ребра. Примечание. Пренатальные ультразвуковые изображения ребер иногда кажутся асимметричными, хотя на самом деле это не так. В некоторых случаях это приводило к ошибочному диагнозу несовершенного остеогениза (OI) типа II.
Необычная форма головы, называемая kleeblattschädel («череп клеверного листа»), наблюдается при танатофорной дисплазии 2 типа.
Прогноз
Термин «танатофор» по- гречески означает «несущий смерть». Дети с этим заболеванием обычно рождаются мертворожденными или умирают вскоре после рождения от дыхательной недостаточности. Небольшое количество дожило до детства, и очень немногие дожили до детства. Выжившие испытывают трудности с дыханием самостоятельно и нуждаются в респираторной поддержке, такой как интенсивный поток кислорода через канюлю или поддержку искусственной вентиляции легких через трахеостомию . Также могут быть признаки стеноза позвоночного канала и судорог. Самой старшей из известных выживших жертв TD по состоянию на 2013 год была 29-летняя женщина. Один мужчина дожил до 26 лет. Другой мужчина дожил до 20 лет. В 1998 году сообщалось, что 21-летний мужчина с этим заболеванием живет в Соединенных Штатах, а двое детей с TD в возрасте 10 и 12 лет, мальчик и девочка, были известны в Германии. Также был 6-летний мальчик, живущий с TD, и два годовалых мальчика. По состоянию на 2020 год 23-летний Кристофер Альварес - колумбиец, живущий в TD в Нью-Йорке.
Танатофорная дисплазия. Диагностика и прогноз танатоформной дисплазии
Танатофорная дисплазия является летальной формой хондродисплазии, которая характеризуется укорочением конечностей и подразделяется на два типа.
• Тип I характеризуется выраженной ризомелией, искривлением длинных трубчатых костей, узкой грудной клеткой, относительно большой головой, нормальной длиной туловища и отсутствием формы черепа в виде «трилистника». Отмечается уплощение позвонков, череп имеет короткое основание, и зачастую большое затылочное отверстие бывает уменьшено в диаметре. Кроме этого, обнаруживается выступающий лоб, могут присутствовать гипертелоризм и седловидный нос. Кисти и стопы сформированы без особенностей, за исключением укорочения пальцев кистей.
• Тип II характеризуется укороченными, но прямыми трубчатыми костями и формой черепа в виде «трилистника».
Синонимы. Танатофорный нанизм.
Распространенность. Заболевание встречается с частотой 0,69 на 10 000 родов, соотношение по половому признаку составляет 2 : 1.

Этиология. Возможно, аутосомно-доминантное наследование. Однако большинство случаев возникает в результате новых мутаций гена FGFR3.
Риск рецидива. Общий эмпирический риск оценивается в 2%.
Диагностика. Эхографический диагноз может устанавливаться на основании обнаружения нанизма, обусловленного короткими конечностями, гипоплазии грудной клетки, формы черепа в виде «трилистника», выступающего лба и поперечной («обезьяньей») складки ладони. Искривление бедренных костей, узкая грудная клетка, относительно большой размер головы, даже без вентрикуломегалии, и впечатление избыточности мягких тканей являются признаками, которые становятся более заметными по мере роста и развития плода, но могут еще отсутствовать во втором триместре беременности.
Измерение длины бедренной кости у плода с помощью эхографии, особенно с оценкой отношения ее длины к бипариетальному размеру, является надежным методом идентификации некоторых форм скелетных дисплазий, сопровождающихся укорочением конечностей, а также танатофорной дисплазий.
Патогенез. Характеризуется генерализованной патологией зон роста костей с персистированием мезенхимальноподобных тканей.
Сочетанные аномалии. Форма черепа в виде «трилистника» (обнаруживается только при типе II), подковообразная почка, гидронефроз, дефекты межпредсердной перегородки, аномалии развития трикуспидального клапана, неперфорированный анус, локтелучевой синостоз.
Дифференциальный диагноз. Хондроэктодермальная дисплазия (синдром Эллис-ван-Кревельда (Ellis-van-Creveld)), асфиксическая дисплазия грудной клетки, синдромы коротких ребр - полидактилии, а также гомозиготная ахондроплазия. Следует рассматривать все виды нанизма с короткими конечностями. При подозрении на наличие II типа необходимо исключить состояния, сопровождающиеся краниосиностозами и формой черепа в виде «трилистника» (синдрома Апера (Apert), Крузона (Crouzon), Пфайффера (Pfieiffer), Карпентара (Carpenter) и Kleeblattschadel).
Прогноз. Данное заболевание неизменно летально, и новорожденные умирают вскоре после рождения. Причиной гибели является дыхательная недостаточность вследствие гипоплазии легких.
а) Терминология:
1. Синонимы:
• Танатофорная дисплазия, летальная скелетная дисплазия, танатофорная карликовость, летальная остеохондродис-плазия
2. Определения:
• Летальная скелетная дисплазия, обусловленная активирующими мутациями гена, кодирующего рецептор фактора роста фибробластов 3 (FGFR3)
• В зависимости от морфологических особенностей выделяют два основных подтипа
• Танатофорный (греч.) - смертоносный
б) Лучевая диагностика:
1. Общие сведения:
• Критерии диагностики:
о Танатофорная дисплазия I типа: бедренная кость в форме телефонной трубки
о Танатофорная дисплазия II типа: череп в форме трилистника
о Микромелия с искривлением трубчатых костей
о Многоводие в III триместре, нередко выраженное
(Слева) 3D УЗИ плода во II триместре. Характерные ультразвуковые признаки танатофорной дисплазии I типа: выступающие лобные бугры, запавшая переносица и короткий вздернутый нос. Также определяется брахидактилия.
(Справа) УЗИ плода в 29 нед. Танатофорная дисплазия II типа. Значительно выступающие лобные бугры характерны для черепа в форме трилистника. Как и при танатофорной дисплазии I типа, определяются запавшая переносица и короткий вздернутый нос. (Слева) УЗИ плода в 21 нед. Несмотря на непропорционально крупные размеры, форма черепа при танатофорной дисплазии I типа ближе к нормальной Оссификация также в норме. На данном сроке уже отмечается умеренное многоводие. При танатофорной дисплазии к III триместру неизбежно развивается выраженное многоводие.
(Справа) УЗИ плода в 29 нед., поперечная плоскость. Танатофорная дисплазия II типа, череп в форме трилистника. Отмечается аномальная форма черепа с выступающими височно-теменными буграми. (Слева) УЗИ плода в III триместре с танатофорной дисплазией, сагиттальная плоскость. Определяются платиспондилия и выраженный грудопоясничный кифоз.. Данные изменения часто встречаются при танатофорной дисплазии и других тяжелых скелетных дисплазиях. Платиспондилия при танатофорной дисплазии I типа, как правило, более выражена, чем при танатофорной дисплазии II типа.
(Справа) УЗИ плода в III триместре с танатофорной дисплазией I типа, сагиттальная плоскость. Грудная клетка уменьшена по сравнению с более выпуклым животом.
2. УЗИ при танатоформной дисплазии у плода:
• Танатофорная дисплазия I типа:
о Тяжелое поражение трубчатых костей:
- Микромелия
- Все показатели длины значительно меньше 5-го процентиля для ТВ
- Выраженное искривление
- Бедренная кость в форме телефонной трубки
- Оссификация в норме
- Переломы отсутствуют
- Прогрессирующее укорочение конечностей
о Голова:
- Макроцефалия, сравнительно правильная форма черепа
- Запавшая переносица
- Короткий вздернутый нос
- Гипоплазия средней части лица
- Выступающие лобные бугры (наиболее заметны в III триместре)
о Грудная клетка:
- Уменьшена, сужена
- Короткие горизонтальные ребра
- Кардиоторакальный индекс изменен
о Позвоночник:
- Платиспондилия
- Выраженный поясничный кифоз
- Оссификация в норме
о Кисти рук:
- Значительное укорочение фаланг
- Пальцы установлены в виде трезубца о Другие признаки:
- Многоводие в III триместре, нередко выраженное
- Снижение подвижности суставов
• Танатофорная дисплазия II типа:
о Характерен череп в форме трилистника:
- При танатофорной дисплазии I типа определяется редко
о Бедренные кости более длинные и прямые, чем при танатофорной дисплазии I типа
о Платиспондилия менее выраженная, чем при танатофорной дисплазии I типа
о Остальные признаки аналогичны танатофорной дисплазии I типа
3. Рентгенография при танатоформной дисплазии у плода:
• Новорожденный/мертворожденный:
о Позвоночник:
- Замыкательные пластинки имеют выемки; во фронтальной плоскости позвонки Н-образные
- Платиспондилия при танатофорной дисплазии II типа менее тяжелая
- Выраженный поясничный кифоз
о Тазовая кость:
- Гипоплазия, медиальные остеофиты
- Добавочные ядра окостенения
- Короткие широкие лобковые и седалищные кости
- Большая седалищная вырезка уменьшена
о Трубчатые кости:
- Микромелия
- Трубчатые кости укорочены, широкие
- Выраженное искривление, особенно при танатофорной дисплазии I типа
- Метафизы неправильной формы, широкие
- Переломы отсутствуют
о Череп:
- Кости лицевого черепа уменьшены
- Череп увеличен
- Краниосиностоз различных швов
- Для танатофорной дисплазии II типа характерен череп в форме трилистника; при танатофорной дисплазии I типа - редко
4. Рекомендации по лучевой диагностике:
• Предпочтительный метод исследования:
о 2D и 3D/4D УЗИ во II триместре
о ТВУЗИ в I триместре
• Измеряют и оценивают строение всех трубчатых костей
• Внимательно исследуют череп и профиль лица
• Исследуют позвоночник плода
• 3D/4D УЗИ может предоставить дополнительные сведения:
о Пространственное взаиморасположение частей плода
о Исследование дизморфии лица
о Соотношение элементов, составляющих скелет конечности
о Информативно при консультировании родителей
(Слева) Мертворожденный с характерными признаками танатофорной дисплазии I типа. Череп увеличен, нормальной формы. Определяются выступающие лобные бугры, запавшая переносица короткий нос и низкорасположенные ушные раковины. Отчетливо определяется микромелия.
(Справа) УЗИ плода в 15 нед. с признаками танатофорной дисплазии, фронтальная плоскость. Макроцефалия, грудная клетка значительно уменьшена. В I триместре было выявлено утолщение воротникового пространства. Это неспецифический признак, характерный для многих скелетных дисплазий. (Слева) УЗИ того же плода с танатофорной дисплазией I типа, фронтальная плоскость, косой срез. Определяются прямые ребра без переломов. Оссификация лопатки позволяет дифференцировать танатофорную дисплазию I типа от кампомелической дисплазии.
(Справа) УЗИ бедренной кости плода во II триместре с танатофорной дисплазией I типа. Кость укорочена и имеет характерную форму телефонной трубки Клинические признаки танатофорной дисплазии I и II типа совпадают, однако при танатофорной дисплазии I типа бедренные кости поражены в большей степени. (Слева) Рентгенограмма плода с танатофорной дисплазией I типа. Бедренная кость в форме телефонной трубки Платиспондилия поясничного отдела, игольчатый вид крыла подвздошной кости.
(Справа) Мертворожденный с танатофорной дисплазией I типа. Определяются брахидактилия, кисть в виде трезубца, микромелия, короткие горизонтальные ребра и колоколообразная грудная клетка.
в) Дифференциальная диагностика танатоформной дисплазии у плода:
1. Ахондрогенез:
• Отсутствие оссификации позвоночника
• Оссификация черепа варьирует
2. Гомозиготная ахондроплазия:
• Заболевание у обоих родителей → риск гомозиготной ахондроплазии - 25%
• Летальный исход вследствие выраженной гипоплазии легких
• Может не определяться до 20 нед. и более
3. Кампомелическая дисплазия:
• Гипоплазия лопатки
• Большеберцовая кость изогнута в средней трети под острым углом
• Поражение нижних конечностей более выраженное
4. Несовершенный остеогенез:
• Кости изогнуты под острыми углами или имеют «скомканный» вид вследствие переломов
• Задержка оссификации, в особенности черепа
• Ребра в виде «рахитических четок» (костные мозоли вследствие многочисленных переломов)
5. Фиброхондрогенез:
• Нередко - череп в форме трилистника
• Гантелевидные трубчатые кости
• Гипоплазия и задние расщелины позвонков
6. Синдром Карпентера:
• Череп в форме трилистника
• Полисиндактилия
• Пороки сердца
• Пупочная грыжа, омфалоцеле
• Конечности прямые, незначительно укорочены
(Слева) 3D УЗИ плода в 29 нед. с танатофорной дисплазией II типа. Отчетливо определяется нарушение формы черепа. Череп в форме трилистника -характерный признак танатофорной дисплазии II типа. Также отмечается запавшая переносица.
(Справа) Тот же случай. Плод в 29 нед., сагиттальная плоскость. Значительно выступающие лобные бугры и запавшая переносица. Причина неправильных очертаний головы - череп в форме трилистника и сложный краниосиностоз. (Слева) 3D УЗИ плода в III триместре с танатофорной дисплазией. Определяется брахидактилия с характерной установкой пальцев в виде трезубца. Также отмечаются проптоз глазных яблок, связанный с малой глубиной глазниц, выступающие лобные бугры и запавшая переносица.
(Справа) Рентгенограмма мертворожденного с танатофорной дисплазией II типа, боковая проекция. Крайне тяжелый вариант черепа в форме трилистника. (Слева) Клиническая фотография мертворожденного с танатофорной дисплазией II типа. Определяются расщелина нёба запавшая переносица, проптоз глазных яблок и антимонголоидный разрез глаз Нос укорочен и вздернут, ноздри вывернуты кнаружи.
(Справа) Клиническая фотография мертворожденного с танатофорной дисплазией типа Сан-Диего. Искривление конечностей, определяемое во время УЗИ, было ошибочно связано с кампомелической дисплазией. Выявление типичной мутации FCFR3 у новорожденного позволило диагностировать танатофорную дисплазию.
г) Патологоанатомические особенности. Общие сведения:
• Этиология:
о FGFR3 входит в семейство генов, кодирующих тирозин-киназные рецепторы
о Тирозинкиназа участвует в клеточном росте и дифференцировке
о Не связана с гаплонедостаточностью
• Сопутствующие аномалии:
о Расщелина нёба
о Нейрональная гетеротопия
о Полимикрогирия
о Другие аномалии ЦНС на микроскопическом уровне
• Патология дифференцировки хондроцитов эпифизарных пластинок
д) Клинические особенности:
1. Клиническая картина:
• Самые частые субъективные и объективные симптомы:
о Как правило, диагностируют во время скринингового УЗИ
о Диагностируют с 12-14-й недели
о Симптомы в I триместре:
- Утолщение воротникового пространства
- Обратный диастолический кровоток в венозном протоке
• Другие субъективные и объективные симптомы:
о Увеличение матки вследствие многоводия затрудняет диагностику, из-за чего диагноз не всегда ставится вовремя
о Выраженное многоводие к концу II триместра развивается в 75% случаев
2. Демографические особенности:
• Эпидемиология:
о Самая частая летальная остеохондродистрофия:
- Впервые описана как самостоятельное заболевание Марото в 1967 г.
о 1:10 000-40 000 новорожденных в США
о Этническая или половая предрасположенность отсутствует
о Риск повышается с увеличением возраста отца:
- В 50% случаев возраст отца >35 лет
3. Естественное течение и прогноз:
• Новорожденный погибает в первые часы или дни жизни:
о Грудная клетка уменьшена: гипоплазия легких
о Другая возможная причина смерти — апноэ центрального происхождения
о Аномалии черепа или позвоночника, стеноз большого затылочного отверстия → ущемление ствола головного мозга
о Описаны единичные случаи детей, переживших младенчество:
- Зависимость от ИВЛ
- Задержка интеллектуального развития, судорожные приступы
4. Лечение танатоформной дисплазии у плода:
• Пре- или неонатальная терапия отсутствует
• Амниоцентез:
о Молекулярная диагностика мутации FGFR3 позволяет подтвердить диагноз
о Во время беременности или перед родами - амниоредукция для облегчения симптомов у матери и сохранения беременности
• Предлагают прерывание беременности
• Если беременность сохраняют и диагноз очевиден:
о Кардиомониторинг плода и КС не проводятся
о При развитии преждевременных родов сохраняющую терапию не проводят
о Психологическая поддержка членов семьи, перинатальный хоспис
• При неуточненном диагнозе проводят реанимационные мероприятия новорожденного до получения результатов всех анализов
• Для окончательной диагностики помимо аутопсии важны следующие исследования:
о Рентгенография
о Молекулярная диагностика мутаций FGFR3
о Биопсия костной и хрящевой ткани
о Описание необычных случаев можно найти в Международном реестре скелетных дисплазий (ISDR) медицинского центра Седарс-Синай
• Роды проводят в условиях стационара III уровня, имеющего опыт ведения наследственных фетопатологий и скелетных дисплазий
е) Особенности диагностики:
1. Важно знать:
• 3D УЗИ позволяет подробно исследовать фенотип, что особенно важно для консультирования родителей
2. Признаки, учитываемые при интерпретации результатов:
• Классические признаки: микромелия с нормальной оссификацией, искривление бедренных костей и череп в форме трилистника
Редактор: Искандер Милевски. Дата обновления публикации: 2.11.2021
Танатофорная дисплазия у плода. Причины и частота танатоформной дисплазии
P.L. Tavormina et al. обнаружили новую миссенс-мутацию гена FGFR3 у четырех пациентов со скелетными дисплазиями, не состоящих в родстве, которая по тяжести клинических проявлений приближалась к танатофорной дисплазии I типа. У трех из них начиная с раннего детства отмечалось появление областей выраженной гиперпигментации кожи, характерной для черного акантоза (acanthosis nigricans).
Все они страдали тяжелыми неврологическими нарушениями и начиная с периода позднего детства обходились без длительного применения средств для жизнеобеспечения. При мутации гена FGFR3 (А1949Т : Lys650Met) происходит замена нуклеотида, расположенного рядом с тем нуклеотидом, замена которого возникает при танатофорной дисплазии II типа (A1948G : Lys650Glu) и вызывает изменения в аминокислотной последовательности белка, когда лизин в позиции 650 заменяется двумя разными аминокислотами.
Авторы обозначили фенотип, вызываемый мутацией (A1948G : Lys650Met), как «тяжелая ахондроплазия, связанная с задержкой развития и черным акантозом», поскольку данное состояние имело значительные отличия от фенотипов при других известных мутациях FGFR3.
Это состояние сопровождается тяжелыми нарушениями энхондрального окостенения, которые в значительной степени аналогичны тем, которые наблюдаются при танатофорной дисплазии I типа. Кроме этого отмечаются редко встречающиеся деформации костей, такие как искривление бедренной кости с обратным расположением ее оси (то есть с формированием заднего апекса), искривления больше- и малоберцовых костей и искривление ключицы в виде «бараньего рога» (ram's horn).

В дополнение к скелетным аномалиям у выживших пациентов с данным заболеванием присутствуют прогрессирующий черный акантоз, аномалии центральной нервной системы, судороги и тяжелое отставание в развитии. Однако при этом состоянии не наблюдается форма черепа в виде «трилистника» (cloverleaf) или краниосиностозы.
Танатофорная дисплазия является наиболее часто встречающейся летальной скелетной дисплазией у плодов и новорожденных. Она характеризуется выраженной ризомелией конечностей в сочетании с нормальной длиной туловища, узкой грудной клеткой и большой головой с выступающим лбом.
Частота ее распространенности составляет от 0,24 до 0,69 на 10 000 родов. Существует два типа данной патологии: тип I - с типично искривленными бедренными костями в виде «телефонной трубки» (telephone receiver) без «черепа-трилистника»; и тип II - с выраженным «черепом-трилистником» и короткими, не искривленными длинными трубчатыми костями. Однако умеренно выраженные признаки «черепа-трилистника» были описаны и при I типе танатофорной дисплазии.
Каждый из этих типов вызывается различными мутациями гена FGFR3. Дифференциальный диагноз между этими типами дисплазии проводится на основании рентгенологических и гистологических данных. Относительно характера наследования этой патологии существуют противоречивые мнения. Все случаи танатофорной дисплазии I типа и большинство наблюдений при II типе возникают спорадически. Имеются описания только нескольких случаев семейной формы заболевания для танатофорной дисплазии II типа.
Информация на сайте подлежит консультации лечащим врачом и не заменяет очной консультации с ним.
См. подробнее в пользовательском соглашении.
Пренатальная ультразвуковая диагностика танатоформной дисплазии у плода. Описание случая

Идеальный инструмент для пренатальных исследований. Уникальное качество изображения и весь спектр диагностических программ для экспертной оценки здоровья женщины.
Введение
Танатоформная дисплазия - одна из наиболее часто встречающихся форм скелетных дисплазий, характеризующаяся резко выраженной микромелией, узкой грудной клеткой и выступающим лбом. Наряду с ахондроплазией и гипохондроплазией относится к родственным скелетным дисплазиям в группе ахондроплазий [1].
Согласно литературным данным, частота заболевания варьируется в пределах 0,4 - 0,69 на 10000 родов [1,2].В большинстве случаев танатоформная дисплазия - результат спорадической мутации, повторяется редко. Практически всегда заболевание заканчивается летально, но даже в случае выживания детей - отдаленный прогноз плохой, несмотря на интенсивность лечения [1].
Материалы и методы
Беременная П., направлена на ультразвуковое исследование плода на сроке 24 нед. беременности. Настоящая беременность - 2-я; 1-я закончилась медицинским абортом на сроке 9 нед. без осложнений. Соматический и наследственный анамнезы не отягощены. Эхографическое исследование плода проводилось с помощью ультразвукового сканера SA-4800HD "SonoRex" компании MEDISON, оснащенного трансабдоминальным датчиком 3,5 МГц.
Результаты
При ультразвуковом исследовании обнаружено: 1 живой плод в головном предлежании.
Данные фетометрии:
- (бипатериальный размер головы - от виска до виска) = 65 мм - 26 нед.,
- ОкГ (окружность головы) = 244 - 26 нед. + 3 дня.
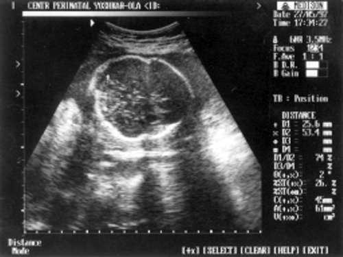
- МРМ (межполушарный размер мозжечка) = 25,6 мм - 23,5-24 нед. (рис. 1)
- ОкГрК (окружность грудной клетки) = 42 мм - 19,5 нед.
- ОЖ (окружность живота) = 182 мм - 22 нед. + 6 дн.
- ДБ (длина бедра) = 24 мм - 17 нед. (рис. 2)
- Плечевая кость = 16 мм - 14,5 нед. (рис. 3)
- Кости предплечья = 17,5 мм - 15,5 нед. (рис. 4)
- Малая берцовая кость = 22 мм - 18,5 нед.
- Большая берцовая кость = 24 мм - 18,5 нед.

Рис. 1. УЗИ плода - голова.

Рис. 2. УЗИ плода - бедро.

Рис. 3. УЗИ плода - плечевая кость.

Рис. 4. УЗИ плода - кости предплечья.
В ходе визуальной оценки лица в профиль отмечены выступающий лоб и седловидный нос. В аксиальной плоскости форма головки лишь отдаленно напоминала "трилистник" (рис. 5). Гипертелоризм: интраорбитальный размер = 17 мм - 26 нед., экстраорбитальный размер = 40 мм - 25 нед., диаметр глазниц = 12 мм - 24 нед. Обращала на себя внимание выраженная диспропорция размеров грудной клетки и живота (рис. 6). Длинные трубчатые кости укорочены (выраженная микромелия по типу ризомелии), не искривлены. Кисть: веерообразное расположение коротких пальцев (рис. 7). На основании эхографических данных у плода была заподозрена танатоформная дисплазия. Показатели допплерометрии находились в пределах нормативных значений для данного гестационного возраста. Количество околоплодных вод - умеренное.

Рис. 5. УЗИ плода - лицо в профиль.

Рис. 6. УЗИ плода - грудная клетка и живот.

Рис. 7. УЗИ плода - кисть.
После получения информации о возможном исходе супруги приняли решение о прерывании данной беременности. При патологоанатомическом исследовании в присутствии врача-генетика пренатальный диагноз был подтвержден.
Диагностические критерии танатоформной дисплазии достаточно подробно освещены в современной литературе 2. При проведении дифференциальной диагностики с другими скелетными дисплазиями трудность могут представлять те случаи, когда один или несколько признаков, характерных для данной патологии, отсутствуют на определенном этапе роста и развития плода.
Анализируя описанные в различных литературных источниках часто встречающиеся диагностические эхографические признаки танатоформной дисплазии 1, наиболее оптимальными из них при проведении дифференциальной диагностики во 2-3 триместрах беременности нам кажутся следующие: относительно большие размеры головки, в сагиттальной плоскости - выступающий лоб и запавшая переносица (седловидный нос), гипоплазия грудной клетки при нормальной длине туловища на фоне основного характерного признака - выраженной микромелии по типу ризомелии.
Литература
- Петриковский Б.М., Медведев М.В., Юдина Е.В. Врожденные пороки развития: пренатальная диагностика и тактика. М.: Реальное Время, 1999.- С. 145-158.
- Ромеро Р., Пилу Дж., Дженти Ф., Гидини А., Хоббинс Дж. С. Пренатальная диагностика врожденных пороков развития плода/Пер. с англ. - М. : Медицина, 1994. С. 310-387.
- Медведев М. В. , Юдина Е.В. Дифференциальная ультразвуковая диагностика в акушерстве. М. : РАВУЗДПГ, Видар, 1997.
- Козлова С.И. , Демикова Н.С. , Семанова Е., Блинникова О.Е. Наследственные синдромы и медико-генетическое консультирование. М. : Практика, 1996. С. 110-112.
- Веропотвелян Н.П. Ультразвуковая диагностика изолированных и множественных системных аномалий развития скелета плода // Клиническое руководство по ультразвуковой диагностике / Под ред. Митькова В.В., Медведева М.В.-Т.2.: Видар, 1996. С.227-255.
УЗИ сканер WS80
Читайте также:
- Отравление домоевой кислотой и его лечение
- Лимфогранулематоз Годжкина. Клиника и диагностика лимфогранулематоза Годжкина.
- Лечение актинического кератоза и болезни Боуэна. Рекомендации
- Симптомы гастрита - лечение, причины, осложнения
- Оздоровление труда в термических цехах машиностроительной промышленности
