Тонкокишечная непроходимость. Классификация тонкокишечной непроходимости.
Добавил пользователь Евгений Кузнецов Обновлено: 29.01.2026
Острая кишечная непроходимость - это опасное для жизни патологическое состояние, которое характеризуется нарушением прохождения содержимого желудочно-кишечного тракта по направлению от желудка к заднему проходу. Она не является самостоятельным заболеванием и бывает осложнением самых различных заболеваний. Однако возникнув, кишечная непроходимость развивается по единому сценарию и сопровождается типичными клиническими проявлениями. При отсутствии своевременного лечения прогноз при кишечной непроходимости крайне неблагоприятный.
Каковы причины?
Принято выделять динамическую кишечную непроходимость, когда нарушается двигательная функция кишечной стенки (т.е. нарушается перистальтика и продвижение содержимого по кишечнику останавливается) и механическую кишечную непроходимость (в этом случае происходит механическая закупорка кишечника на каком-либо уровне).
Механическая непроходимость встречается значительно чаще и может развиваться вследствие закупорки кишечника инородным телом, опухолью, каловыми массами, а также вследствие сдавления или ущемления кишечника извне при спаечном процессе в брюшной полости, завороте или образовании узлов. Динамическая кишечная непроходимость может развиться при разлитом перитоните любой этиологии, при длительно не купирующихся желчной или почечной колике, после оперативного вмешательства на органах брюшной полости, при отравлениях солями тяжелых металлов, а также травмах и опухолях головного и спинного мозга (когда нарушается иннервация кишечной стенки).
Большое значение имеет уровень, на котором произошла кишечная непроходимость. Чем выше возникает препятствие, тем тяжелее она протекает, тем более энергичных лечебных мероприятий она требует.
Симптомы
- сильные, схваткообразные или постоянные боли в животе, возникающие внезапно, вне зависимости от приема пищи, не имеющие конкретной локализации;
- вздутие живота;
- неукротимая рвота (чем выше уровень непроходимости, тем сильнее выражена рвота);
- задержка стула и газов (при высокой непроходимости сначала может быть стул за счет опорожнения кишечника ниже уровня препятствия).
Диагностика
Острую кишечную непроходимость врач скорой помощи может заподозрить уже при осмотре больного (осмотр включает расспрос, пальпацию, перкуссию и аускультацию живота, измерение артериального давления, аускультацию сердца и легких). Подозрение на непроходимость является абсолютным показанием для госпитализации пациента.
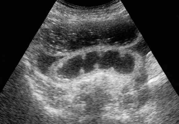
В приемном отделении больницы в первую очередь проводят обзорную рентгенограмму и УЗИ брюшной полости.
При обнаружении признаков кишечной непроходимости для уточнения локализации процесса выполняют рентгенографию с пероральным введением рентгеноконтрастного вещества. Также может быть проведена колоноскопия (эндоскопический метод исследования толстого кишечника) и другие дополнительные исследования.
Что можете сделать вы?
При малейшем подозрении на возникновение этого грозного состояния следует вызывать «скорую помощь».
Клиническая картина непроходимости кишечника разворачивается в течение нескольких часов. Сроки поступления таких пациентов в лечебные учреждения во многом определяют прогноз и исход заболевания.
Лечение
Терапевтическая тактика при кишечной непроходимости зависит от причины, ее вызвавшей, и варианта непроходимости.
В большинстве случаев бывает необходимосрочное хирургическое вмешательство.
Однако все виды динамической непроходимости подлежат консервативному лечению, которое включает обеспечение проходимости желудочно-кишечного тракта с помощью клизм, удаление содержимого кишечника назогастральным или назоинтестинальным зондом, коррекцию водно-электролитных нарушений, контроль гемодинамики, нормализацию перистальтики, детоксикационную и антибактериальную терапию.
Острая кишечная непроходимость
Острая кишечная непроходимость (ОКН) – это синдром, характеризующийся нарушением пассажа кишечного содержимого в направлении от желудка к прямой кишке. Кишечная непроходимость осложняет течение различных заболеваний. Острая кишечная непроходимость (ОКН) — синдромная категория, объединяющая осложненное течение различных по этиологии заболеваний и патологических процессов, которые формируют морфологический субстрат ОКН.
Предрасполагающие факторы острой кишечной непроходимости
1. Врожденные факторы:
Особенности анатомии (удлинение участков кишки (мегаколон, долихосигма)). Аномалии развития (незавершенный поворот кишки, аганглиоз (болезнь Гиршпрунга)).
2. Приобретенные факторы:
Спаечный процесс в брюшной полости. Новообразования кишечника и брюшной полости. Инородные тела кишечника. Гельминтозы. Желчно-каменная болезнь. Грыжи брюшной стенки. Несбалансированное нерегулярное питание.
ОКН составляет 3,8% от всех неотложных заболеваний брюшной полости. При возрасте старше 60 лет причиной ОКН в 53% является рак толстой кишки.
Классификация острой кишечной непроходимости:
А. По морфофункциональной природе:
1. Динамическая непроходимость: а) спастическая; б) паралитическая.
2. Механическая непроходимость: а) странгуляционная (заворот, узлообразование, ущемление; б) обтурационная (интраинтестинальная форма, экстраинтестинальная форма); в) смешанная (инвагинация, спаечная непроходимость).
В. По уровню препятствия:
1. Тонкокишечная непроходимость: а) Высокая. б) Низкая.
Причины динамической острой кишечной непроходимости:
1. Нейрогенные факторы:
А. Центральные механизмы: Черепно-мозговая травма. Ишемический инсульт. Уремия. Кетоацидоз. Истерический илеус. Динамическая непроходимость при психической травме. Спинномозговые травмы.
Б. Рефлекторные механизмы: Перитонит. Острый панкреатит. Брюшно-полостные травмы и операции. Травмы грудной клетки, крупных костей, сочетанные травмы. Плеврит. Острый инфаркт миокарда. Опухоли, травмы и ранения забрюшинного пространства. Нефролитиаз и почечная колика. Глистная инвазия. Грубая пища (паралитическая пищевая непроходимость), фитобезоары, каловые камни.
2. Гуморальные и метаболические факторы: Эндотоксикоз различного происхождения, в том числе, и при острых хирургических заболеваниях. Гипокалиемия, как следствие неукротимой рвоты разного генеза. Гипопротеинемия вследствие острого хирургического заболевания, раневых потерь, нефротического синдрома и т.д.
3. Экзогенная интоксикация: Отравление солями тяжелых металлов. Пищевые интоксикации. Кишечные инфекции (брюшной тиф).
Клиника.
· Боль в животе. Боли носят приступообразный, схваткообразный характер. У больных холодный пот, бледность кожных покровов (при странгуляции). Больные с ужасом ожидают следующих приступов. Боли могут стихать: например, был заворот, а затем кишка расправилась, что привело к исчезновению болей, но исчезновение болей очень коварный признак, так как при странгуляционной КН происходит некроз кишки, что ведет к гибели нервных окончаний, следовательно, пропадает боль.
· Рвота. Многократная, сначала содержимым желудка, потом содержимым 12 п.к. , затем появляется рвота с неприятным запахом. Язык при КН сухой.
· Вздутие живота, асимметрия живота
· Задержка стула и газов — это грозный симптом, говорящий о КН.
Могут быть слышны кишечные шумы, даже на расстоянии, видна усиленная перистальтика.
Диагностика
Общий анализ мочи, общий анализ крови, глюкоза крови, группа крови и резус принадлежность, ЭКГ, рентгенография органов брюшной полости в вертикальном положении, УЗИ брюшной полости.
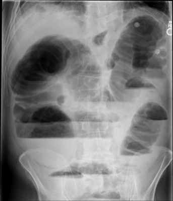
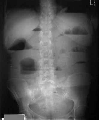
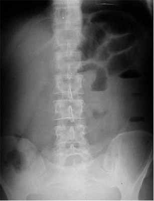
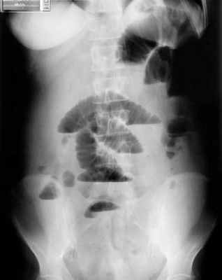
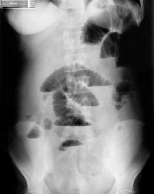
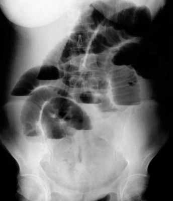
Рентгенологическое исследование является основным специальным методом диагностики ОКН. При этом выявляются следующие признаки:
- Чаша Клойбера – горизонтальный уровень жидкости с куполообразным просветлением над ним, что имеет вид перевернутой вверх дном чаши. При странгуляционной непроходимости могут проявляться уже через 1 час, а при обтурационной непроходимости — через 3-5 часов с момента заболевания. Количество чаш бывает различным, иногда они могут наслаиваться одна на другую в виде ступенчатой лестницы.
- Кишечные аркады. Получаются, когда тонкая кишка оказывается раздутой газами, при этом в нижних коленах аркад видны горизонтальные уровни жидкости.
- Симптом перистости (поперечная исчерченность в форме растянутой пружины) встречается при высокой кишечной непроходимости и связан с растяжением тощей кишки, имеющей высокие циркулярные складки слизистой. Контрастное исследование желудочно-кишечного тракта применяется при затруднениях в диагностике кишечной непроходимости. Больному дают выпить 50 мл бариевой взвеси и проводят динамическое исследование пассажа бария. Задержка его до 4-6 часов и более дает основание заподозрить нарушение двигательной функции кишечника.
Рентгенологическая диагностика острой кишечной непроходимости. Уже через 6 ч от начала заболевания имеются рентгенологические признаки кишечной непроходимости.


Лечение острой кишечной непроходимости.
Лечение ОКН может быть консервативным и оперативным и зависит от вида кишечной непроходимости.
Государственная клиническая больница №29 им. Н.Э.Баумана – это современная многопрофильная высокотехнологичная больница с уникальной полуторавековой историей и традицией, оказывающая высококачественную медицинскую помощь в круглосуточном режиме.
Тонкокишечная непроходимость. Классификация тонкокишечной непроходимости.
- длительное голодание с последующим обильным переполнением кишечника грубой пищей;
- операции на органах брюшной полости и малого таза;
- грыжи передней брюшной стенки.
Б. Объективный осмотр больного
Тяжесть состояния пациента обусловлена формой, уровнем и временем, прошедшим от дебюта ОКН.
Язык при выраженной клинической картине сухой, покрыт коричневым или желтым налетом.
В терминальных стадиях заболевания появляются трещины слизистой оболочки, афты, что указывает на тяжелую интоксикацию, обезвоживание и наличие перитонита.
2. Объективный осмотр живота [1, 4, 7, 8]. При подозрении на ОКН необходимо обследование всех возможных зон формирования грыж, для исключения их ущемления. Ущемление участка кишки без брыжейки в узких грыжевых воротах, как правило, не сопровождается выраженными болевыми ощущениями [2, 3].
а) Ad oculus. Вздутие живота - один из характерных признаков ОКН. Степень выраженности этого симптома бывает разной и, как правило, увеличивается по мере увеличения сроков заболевания. Равномерное увеличение живота обычно характерно для пареза кишечника и низких форм толстокишечной непроходимости. При высокой непроходимости живот увеличен в верхнем отделе, при завороте обычно заметно срединное выпячивание, при инвагинатах асимметрия чаще бывает в правой подвздошной области. В поздние сроки при возникновении недостаточности илеоцекального клапана (баугиниевой заслонки) живот становится симметрично вздутым. При заворотах сигмовидной кишки отмечается вздутие верхних отделов правой или левой половины живота, и тогда живот принимает характерный «перекошенный» вид.
Иногда во время болевой схватки контурируется раздутая кишечная петля с волнами перистальтики и урчанием. Особенно выраженным симптом «видимой перистальтики» бывает при подострых и хронических формах обтурационной непроходимости, при которой успевает развиться гипертрофия мышечного слоя приводящего отдела кишечника. При этом перистальтическую волну у худых больных с атоничной брюшной стенкой можно проследить до уровня обтурации.
При странгуляционной непроходимости иногда отмечается симптом Чугуева: больной лежит на спине с согнутыми в коленных суставах и подтянутыми к животу нижними конечностями, на животе видна глубокая поперечная полоса.
б) Поверхностная пальпация живота. Брюшная стенка при поверхностной пальпации обычно мягкая, безболезненная.
в) Глубокая пальпация. Иногда можно обнаружить наибольшую болезненность в месте расположения кишечных петель, подвергшихся странгуляции. У ряда больных удается прощупать фиксированную и растянутую в виде баллона петлю кишки (симптом Валя), при перкуссии над которой слышен тимпанический звук с металлическим оттенком (положительный симптом Кивуля). В поздние сроки заболевания при сильном растяжении кишечника определяется характерная ригидность брюшной стенки (положительный симптом Мондора), которая при пальпации напоминает консистенцию надутого мяча.
При инвагинации может наблюдаться симптом Бабука: если в промывных водах крови нет, живот пальпируют в течение 5 мин и после повторной сифонной клизмы вода может иметь цвет мясных помоев.
В случае илеоцекальной инвагинации в связи с перемещением инвагинированного отрезка кишечника правая подвздошная ямка при пальпации бывает пустой (симптом Шимона-Данса).
г) Перкуссия. Над растянутыми кишечными петлями определяют высокий тимпанит. Одновременно с этим над растянутыми кишечными петлями слышен «шум плеска» (симптом Склярова), что свидетельствует о скоплении в приводящей петле жидкости и газа.
д) Аускультация живота. Перистальтические шумы в первые часы заболевания усилены, нередко слышны на расстоянии. При аускультации можно определить усиленную перистальтику (урчание, переливание, бульканье, «шум падающей капли» - симптом Спасокукотского, «шум лопнувшего пузыря» - симптом Вильса). Бурная перистальтика более характерна для обтурации. При странгуляции усиление перистальтических шумов наблюдают в начале заболевания. В дальнейшем вследствие некроза кишки и перитонита перистальтические шумы ослабевают и исчезают (симптом «гробовой тишины»), при аускультации живота хорошо слышны дыхательные и сердечные шумы (положительный симптом Латейссена).
е) Per rectum. Иногда можно определить причину непроходимости (опухоль, каловый камень, инородное тело), а при инвагинации - кровь или кровянистое содержимое. Часто можно пропальпировать раздутую петлю тонкой кишки (симптом Гольда), нависание стенок кишки, служащих признаком скопления жидкости в малом тазу. При завороте и узлообразовании сигмовидной кишки ампула прямой кишки пустая, анус зияет (симптом Грекова, или симптом Обуховской больницы). Для этой патологии характерен также симптом Цеге-Мантейфеля: в прямую кишку удается ввести не более 300-500 мл жидкости.
В. Инструментальные исследования
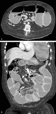
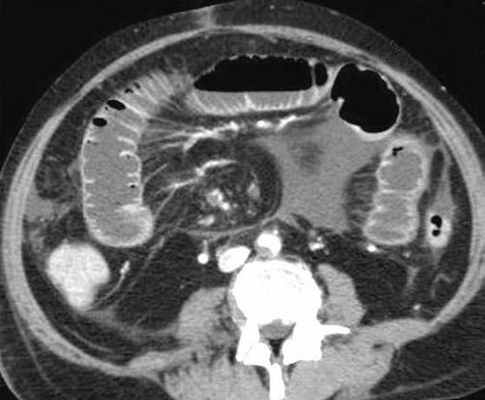
1. Рентгенологическое обследование является основным специальным методом диагностики ОКН. Обзорная рентгенография брюшной полости должна проводиться при малейшем подозрении на ОКН. При этом выявляется ряд признаков. В норме газ имеется в ободочной кишке. Появление газа в тонкой кишке указывает на непроходимость. Характер скопления газа в просвете кишечника различается при разных вариантах КН (рис. 1). Рисунок 1. Схема скопления газа в просвете кишечника при разных вариантах КН. а - высокая тонкокишечная непроходимость. Возможно наличие единичных горизонтальных уровней жидкости и газа. Наличие газа в толстой кишке не характерно Рисунок 1. Схема скопления газа в просвете кишечника при разных вариантах КН. б - низкая тонкокишечная непроходимость. Обычно видны множественные горизонтальные уровни жидкости и газа (чаши Клойберга). Наличие газа в толстой кишке не характерно Рисунок 1. Схема скопления газа в просвете кишечника при разных вариантах КН. в - странгуляционная кишечная непроходимость. Могут быть как единичные, так и множественные горизонтальные уровни жидкости и газа. Наличие газа в толстой кишке не характерно. Обычно по снимкам удается определить, петли какой кишки - тонкой, толстой или обеих - растянуты газом. При наличии газа в тонкой кишке хорошо видны спиралевидные складки слизистой оболочки (Керкринговы складки), занимающие весь поперечник кишки.
В тощей кишке они имеют вид круговой ребристости, напоминающей «скелет селедки» (симптом Кейcи), в подвздошной кишке - более редкие, прямые и толстые. При скоплении газа в толстой кишке видны гаустры, которые занимают лишь часть поперечника кишки [7, 9-12].
В более ранних стадиях КН рентгенологически может определяться скопление газа (без уровня жидкости) в петле кишки соответственно определяемому клинически симптому Валя (симптом Гинтце). На соответствие растянутой и напряженной петле кишки зоны скопления газа в виде арки указывает симптом Штирлина.
При механической тонкокишечной непроходимости в толстой кишке газа немного или нет. При толстокишечной непроходимости и сохранной функции илеоцекального клапана отмечают значительное вздутие толстой кишки, в тонкой кишке газ может отсутствовать. Недостаточность илеоцекального клапана приводит к растяжению как тонкой, так и толстой кишки.

На рентгенограммах, полученных в положении стоя или лежа на боку, обычно видны горизонтальные уровни жидкости и газа (рис. 2). Рисунок 2. Обзорная рентгенограмма брюшной полости. Видны чаши Клойбера, уровни жидкости. Заполненные газом кишечные петли имеют вид опрокинутых чаш (чаши Клойбера). Они появляются при странгуляции через 1-2 ч после начала заболевания, при обтурации - через 3-5 ч. По размерам чаш Клойбера, их форме и локализации можно судить об уровне непроходимости.
При тонкокишечной непроходимости чаши Клойбера небольших размеров, ширина горизонтального уровня жидкости больше, чем высота столба газа над ним. Обычно наблюдается большое количество горизонтальных уровней с изменением их расположения в течение времени и перемещением жидкости из одной петли в другую. Горизонтальные уровни жидкости ровные. На фоне газа хорошо видны складки слизистой оболочки (складки Керкринга), принимающие форму растянутой спирали.
При непроходимости тощей кишки горизонтальные уровни жидкости локализуются в левом подреберье и эпигастральной области. При непроходимости в терминальном отделе подвздошной кишки уровни жидкости расположены в области мезогастрия.
При тонкокишечной непроходимости, кроме чаш Клойбера, на рентгенограммах видны растянутые газом кишечные петли, принимающие форму «аркад» или «органных труб», похожих на перевернутые буквы J и U.
При толстокишечной непроходимости горизонтальные уровни жидкости расположены по периферии брюшной полости, в боковых отделах живота, и их меньше, чем при тонкокишечной непроходимости. Высота чаш Клойбера преобладает над шириной. На фоне газа видны полулунные складки слизистой оболочки («гаустры»). Уровни жидкости не имеют ровной поверхности («зеркала»), что обусловлено наличием в толстой кишке плотных кусочков кала, плавающих на поверхности жидкого кишечного содержимого.
При динамической паралитической непроходимости, в отличие от механической, горизонтальные уровни жидкости наблюдаются одновременно как в тонкой, так и в ободочной кишке. Перемещения кишечных уровней со временем из одного колена кишки в другое не наблюдается. При динамической спастической непроходимости по ходу тонкой кишки видны мелкие чаши Клойбера, расположенные цепочкой слева сверху вниз и вправо.

Отличить паралитическую непроходимость кишечника от механической тонкокишечной непроходимости с помощью обзорной рентгеноскопии бывает довольно сложно (см. таблицу). Рентгеноконтрастное исследование применяется с целью дифференциальной диагностики КН в сложных случаях [2, 7, 10, 13]. Вариант введения контраста зависит от предполагаемого уровня окклюзии кишечника. Так, бариевую взвесь внутрь дают при признаках высокой обтурационной непроходимости и с помощью клизм вводят при симптомах низкой непроходимости. При необходимости динамического исследования пассажа бария внутрь назначают рентгеноконтрастный препарат, при задержке которого более 6 ч в желудке и 12 ч в тонкой кишке диагностируется нарушение проходимости или двигательной активности кишечника. При механической непроходимости контрастная масса ниже препятствия не поступает.
Таким образом, показаниями к проведению рентгеноконтрастного исследования при ОКН служат:
- подтверждение или исключение КН;
- сомнительные случаи, при подозрении на кишечную непроходимость с целью дифференциальной диагностики и при комплексном лечении;
- спаечная ОКН у больных, неоднократно подвергшихся оперативным вмешательствам, при купировании последней;
- любая форма тонкокишечной непроходимости (за исключением странгуляционной), когда в результате активных консервативных мероприятий на ранних этапах процесса удается добиться видимого улучшения. В данном случае возникает необходимость объективного подтверждения правомерности консервативной тактики. Основанием для прекращения мониторинга рентгенологического исследования является фиксация поступления контраста в толстую кишку;
- диагностика ранней послеоперационной непроходимости у больных, перенесших резекцию желудка. Отсутствие пилорического жома обусловливает беспрепятственное поступление контраста в тонкую кишку. В этом случае выявление феномена стоп-контраста в отводящей петле служит показанием к ранней релапаротомии.
Условия проведения исследований с контрастным веществом при ОКН:
1) рентгеноконтрастное исследование для диагностики ОКН можно использовать лишь при полной убежденности (на основании клинических данных и результатов обзорной рентгенографии брюшной полости) в отсутствии странгуляционной формы непроходимости, составляющей угрозу быстрой утраты жизнеспособности ущемленной петли кишки;
2) динамическое наблюдение за продвижением контрастной массы необходимо сочетать с клиническим наблюдением, в ходе которого фиксируются изменения местных физикальных данных и общего состояния больного. В случае усугубления местных признаков непроходимости или появления признаков эндотоксикоза вопрос о неотложном оперативном вмешательстве должен обсуждаться независимо от рентгенологических данных, характеризующих продвижение контраста по кишечнику;
3) если принимается решение о динамическом наблюдении за больным с контролем за пассажем по кишечнику контрастной массы (проба Шварца), то такое наблюдение следует сочетать с проведением лечебных мероприятий, направленных на устранение динамического компонента непроходимости. Эти мероприятия заключаются, главным образом, в применении антихолинергических, антихолинэстеразных и ганглиоблокирующих средств, а также проводниковой (паранефральной, сакроспинальной) или перидуральной блокады [1-3, 7, 9-12].
2. Колоноскопия (диагностическая и лечебная) является самым информативным методом диагностики заболеваний толстой кишки. В большинстве случаев она позволяет осмотреть толстую кишку на всем протяжении. Во время проведения колоноскопии визуально оценивается состояние слизистой оболочки толстой кишки, что позволяет на ранних стадиях выявить доброкачественные и злокачественные опухоли толстой кишки. Колоноскопия предоставляет возможность не только локализовать патологический процесс, но и выполнить интубацию суженной части кишки, разрешив явления острой непроходимости. Это позволяет выполнить оперативное вмешательство, как правило, по поводу онкологического заболевания в более благоприятных условиях [2, 4, 7, 14].
3. Ирригоскопия проводится при подозрении на непроходимость ободочной кишки. Под рентгенологическим контролем постепенно заполняют рентгеноконтрастной взвесью толстую кишку и производят обзорные и прицельные снимки всех ее отделов в разных положениях больного. На рентгенограммах можно обнаружить сужения и дефекты наполнения, обусловленные наличием опухоли в кишке, сужение дистального отдела сигмовидной кишки в виде «клюва» при ее заворотах, дефекты наполнения в виде «полулуния», «двузубца», «трезубца» при илеоцекальной инвагинации.
На следующем этапе, после удаления из толстой кишки рентгеноконтрастной взвеси, исследуют рельеф слизистой оболочки кишки.
На заключительном этапе ирригоскопии, особенно при подозрении на опухоль толстой кишки, исследование проводят при дозированном заполнении кишки воздухом, используя аппарат Боброва (двойное контрастирование).
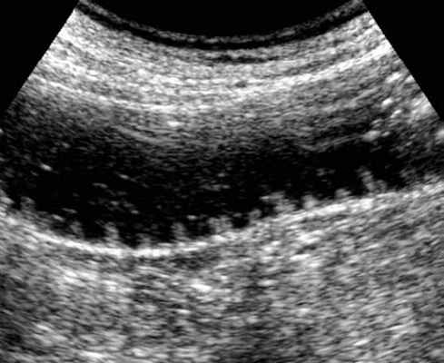
4. Ультразвуковое исследование (УЗИ) широко применяется для оценки разных болезней органов брюшной полости, однако исследований, посвященных диагностике КН, не много. Это может быть связано с тем, что наличие большого количества газа в ЖКТ мешает успешному исследованию кишечника, а также с тем, что спайки в кишке (наиболее распространенная причина кишечной непроходимости) не визуализируются с помощью УЗИ.
Предпосылкой возможного использования ультразвукового (УЗ) метода для диагностики ОКН является избыточное скопление жидкого содержимого в просвете кишки, что позволяет при УЗ-сканировании ее визуализировать.
Избыточное скопление жидкости в кишечнике обусловлено как нарушением эвакуации и всасывания кишечного содержимого, так и пропотеванием жидкости в просвет кишки при развитии ее микроциркуляторных нарушений. В связи с этим жидкое содержимое в просвете кишки, определяемое при УЗИ, называют «симптомом секвестрации жидко
Тонкокишечная непроходимость
В настоящее время до 15% оперативных вмешательств пациентам, поступившим с симптомами острого живота, выполняются по поводу тонкокишечной непроходимости. В Европе до 60% случаев возникают по причине спаечной болезни, 20% из-за различных грыж, и около 15% обструкций связаны с неопластическими процессами. В США 50-75% случаев связаны со спайкообразованием, на втором месте идёт болезнь Крона и воспалительные энтериты, и на последнем месте онкология.



Современные подходы диагностики включают в себя УЗИ брюшной полости или рентгенографию в положении стоя- как первая линия визуализации. В последнее время наблюдается повышенная тенденция использования УЗ-метода, который, как считают некоторые авторы, может заменить классическую рентгенографию. УЗИ позволяет корректно определить наличие тонкокишечной обструкции, при этом зачастую выявляет много рaзличной дополнительной диагностической информации, имеющей определяющее значение для лечебной тактики.
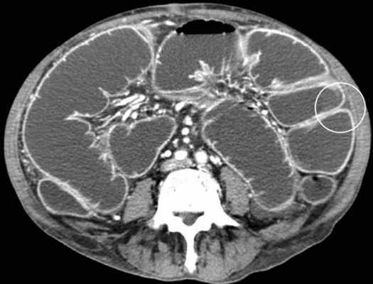
Основным методом окончательной, верифицированой диагностики непроходимости тонкой кишки на данный момент является СКТ/МДКТ с болюсным контрастным услением, являясь золотым стандартом визуализации.
По механизму возникновения острую тонкокишечную непроходимость подразделяют на:
- обтурация просвета
- сужения просвета
- компрессия извне
- блокада пассажа
- непроходимость толстой кишки
- странгулуация/заворот
- комплексный механизм.
Этииология и механизмы возникновения непроходимости тонкой кишки хорошо описаны в многих руководствах и монографиях, поэтому не буду дублировать эту широко доступную информацию.


Стеноз подвздошной кишки при болезни Крона
Рентгенография
B ранней стадии непроходимости на обзорных рентгенограммах в положении лёжа будут видны умеренно pаздутые петли тонкой кишки с небольшим содержанием воздуха. При съёмке в положении стоя или на левом боку определяются множественныe уровни газ-жидкость. Складки Керкринга на ранних стадиях видны, по мере прогрессирования обструкции петли растягиваются и складки смазываются. Иногда очень сложно отличить раздутые петли тонкой кишки от толстой.


Обзорная рентгенография живота в положении стоя

Обзорная рентгенография живота в положении лёжа
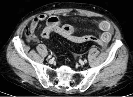
КТ визуализация при простой форме
Хирургическая классификация тонкокишечной непроходимости также является основой классификации, используемой в радиологии. Раличают три формы:
- простая/компенсированная форма
- декомпенсированная форма
- осложнённая форма.
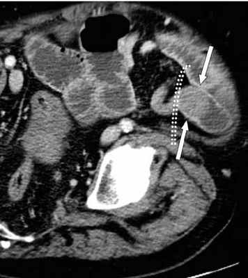
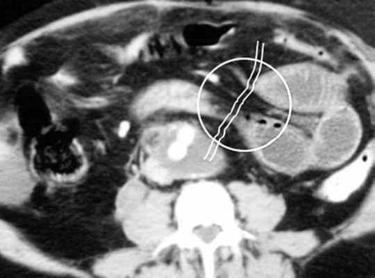
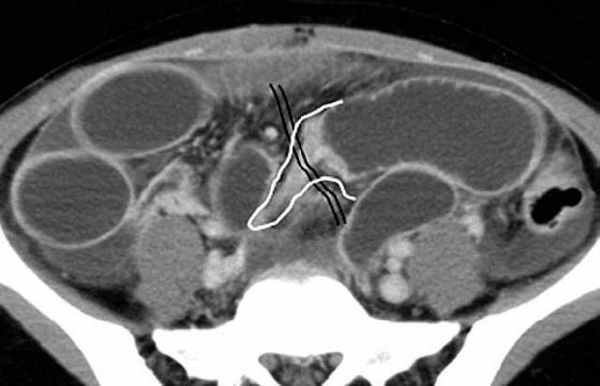
-Расширенные петли тонкой кишки проксимальнее транзиторной зоны (зоны обструкции).
-Под транзиторной зоной надо понимать зонy кишки с очевидной разностью в диаметре просвета между расширенным проксимальным сегментом и местом сужения/обструкции. Визуализация этой зоны зависит от причины и механизма обструкции, а также от проекции расположения петли (аксиально, фронтально и т.д.). К сожалению, обнаружение этой зоны не всегда представляется возможным. При спаечном механизме или воспалении многими хорошо описан признак "птичьего клюва". При обструкции в результате алиментарного болюса транзиторная зона будет выглядеть как гетерогенное образование в просвете кишки без признаков контрастного усиления.
-Спавшиеся петли кишечника дистальнее уровня обструкции.
-Смешанный характер стаза содержимого кишечника в расширенных петлях. Некоторыми авторами описан "фекалоидный" тип стаза, описанный в литературе как "каловое содержимое тонкой кишки", в английской литературе-“small-bowel faeces sign”. Патогенез данного признака включает в себя много факторов:
замедление пассажа содержимого, нарушения механизмов абсорбции и секреции в тонкой кишке, рефлюкс из толстой кишки из-за недостаточности илео-цекального клапана, постановка желудочного зонда. Необходимо помнить, что этот признак неспецифичен при тонкокишечной непроходимости, его также можно определить на УЗИ и обзорной рентгенограмме брюшной полости.
-Нормальные неутолщённые стенки кишечника с гомогенным одинаковым контрастным усилением.
-В тощей кишке рисунок ворсинок слизистой (valvulae conniventes) тонкий, и он одинаково выглядят на всём протяжении.
-Отсутствие патологических изменений толстой кишки, толстая кишка как правило спавшаяся или содержит небольшое количество калового содержимого, распределённого по всему просвету.
-Отсутствие воспалительных изменений в брыжейке и внутрибрюшинном жире.
-Нормальная васкуляризация сосудов брыжейки.
-Отсутствие свободной жидкости в брюшной полости.


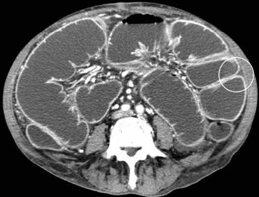
Различные КТ сканы при простой форме обструкции, cxематично изображены транзиторные зоны и спайки, которые как "хомут" или "удавка" как-бы душат петлю кишки.


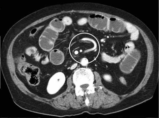
Значение реконструкций в разных проекциях для определения уровня обструкции.

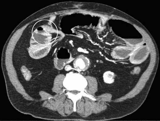
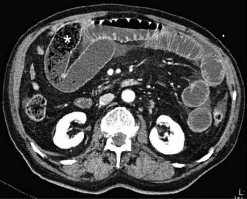
Обструкция просвета фитобезоаром.

Обструкция просвета фитобезоаром.
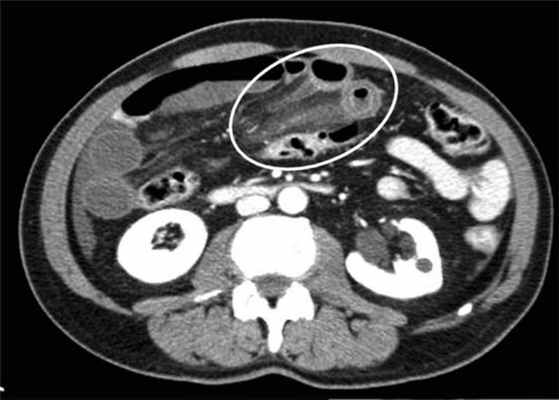
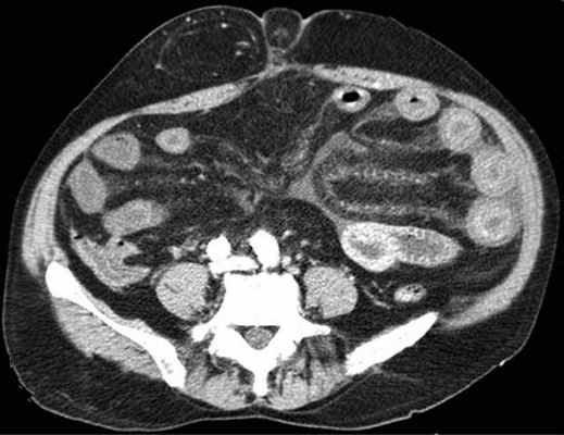
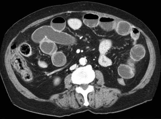
Декомпенсированная форма
Определяются все признаки, описанные при простой форме, дополнительно появляются патологические изменения в брюшной полости:
-расширенные петли тонкой кишки проксимальнее транзиторной зоны (зоны обструкции);
-спавшиеся петли кишечника дистальнее уровня обструкции;
-нормальные не утолщённые стенки кишечника с гомогенным одинаковым контрастным усилением;
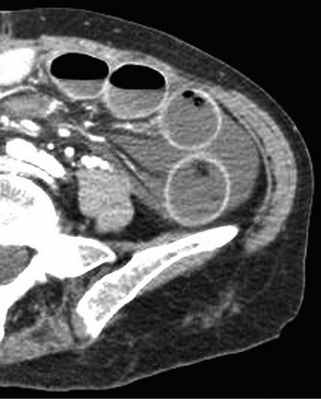
-свободная жидкость между расширенными петлями кишечника, зачастую в виде пикантной детали женского туалета-трусиков танга, поэтому в многих источниках описывается как признак "танга" (tanga sign);
-свободная жидкость в брыжеечных карманах;
-свободная жидкость в брюшной полости.


Примеры скопления жидкости между петлями кишечника (танга) и в карманах брыжейки при декомпенсированной форме.

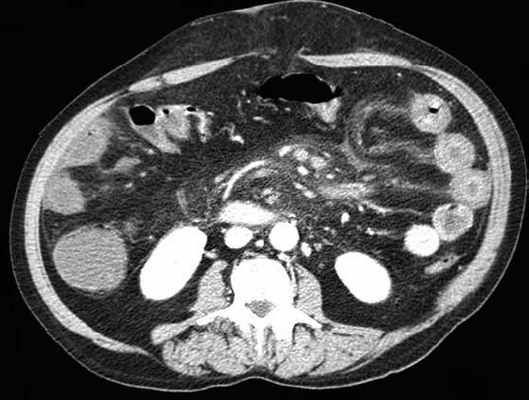
Осложнённая форма (чаще всего в результате странгуляции)
Для странгуляции тонкой кишки характерны утолщение стенок кишечника, васкулярные нарушения и выраженные патологические изменения в брыжейке и в брюшной полости. Диагностические находки включают в себя:
-расширенные петли тонкой кишки проксимальнее транзиторной зоны (зоны обструкции);
-спавшиеся петли кишечника дистальнее уровня обструкции;
-транзиторная зона;
-смешанный характер стаза содержимого кишечника в расширенных петлях с преобладанием жидкостного компонента;
-утолщение стенки кишки циркулярного типа. Важно помнить, такой тип утолщения стенок тонкой кишки при непроходимости как правило связан с сосудистыми нарушениями;
-нарушение нормального контрастного усиления стенок кишки. Изменения варьируют от гиперконтрастирования до полного отсуствия контрастного усиления. Различные варианты этих изменений между описанными выше крайностями могут наблюдаться одновременно в разных сегментах тонкой кишки. Полное отсутствие усиления означает артериальный рефлекторный спазм и свидетельствует в пользу тяжести поражения;
-петля с утолщенными стенками теряет свою эластичность и становится ригидной, вытянутой;
-пристеночный пневматоз тонкой кишки, в особо тяжелых случаях появляются интрамуральные пузырьки газа;
-появление патологических плотностей в брыжейке в виде распространяющихся матовых инфильтратов и тяжистости за счет кровоизлияний в жировые ткани;
-застойные изменения сосудов брыжейки. Сначала диаметр сосудов увеличивается, но со временем наступает рефлекторный артериальный спазм, брыжейка будет выглядеть с обеднённой васкуляризацией. Сосуды сужены или с полностью коллабированным просветом;
-газ в просвете верхней брыжеечной вены;
-газ в просвете портальной вены;
-при заворотах нарушается нормальная сосудистая анатомия брыжейки. Сосуды как бы закручиваются вокруг оси заворота и тянут за собой измененный брыжеечный жир- по типу раковины улитки или торнадо. Для большей наглядности представьте себе кусок расправленной ткани на столе, которую вы прижали пальцем и начали закручивать не отрывая ваш палец от стола. На КТ сканах часто можно увидеть характерный признак конусовидной спирали (whirl sign);
-свободная жидкость в карманах брыжейки и в брюшной полости. Иногда жидкость может быть повышенной плотности за счет геморрагического компонента.





примеры странгуляционной осложнённой непроходимости с характерными изменениями в брыжейке, внутрибрюшинном жире, утолщением стенок тонкой кишки и нарушением контрастного усиления.


Закручивание сосуда при завороте
УЗД признаки тонкокишечной непроходимости
Основные УЗ-признаки при непроходмости- это визуализация расширенных петель тонкой кишки, сниженная перистальтика, свободная жидкость между петлями (танга) и в брюшной полости. Также УЗИ иногда позволяет обнаружить причину обструкции, например, опухоль, утолщение стенок терминального сегмента подвздошной кишки при болезни Крона и т.д. УЗИ может решить диагностическую дилемму при неоднозначных рентгенологических признаках на обзорной рентгенограмме брюшной полости. Лимит метода заключается в низкой специфичности при оценки состояния брыжейки, а также зависимость качества диагностики от конституции пациента и опыта оператора.
Тема непроходимости кишечника в результате инвагинации не будет освещена в даннoм обзоре, она хорошо описана в многих отечественных и зарубежных публикациях. Думаю, что все коллеги занимающиеся данной проблемой знают, что определяющее значение в диагностике инвагинации пренадлежит УЗ-диагностике. На нашем сайте ранее было размещено показательное наблюдние:


примеры сонограмм с расширенными петлями тонкой кишки


УЗИ позволяет прекрасно лоцировать свободную жидкость в брюшной полости
Паралитический илеус
Паралитическая или адинамическая непроходимость означает нарушение пассажа по кишечнику без наличия механической обструкции просвета в результате снижения или полного отсутствия тонуса кишки и перистальтики. Может поражаться как тонкая, так и толстая кишка. Вовлечение в процесс желудка отражает серьезность ситуации. При паралитическом илеусе наблюдаются комплексные радиологические симптомы. Ограничимся перечислением основных моментов, которые всегда визуализируются при данной патологии:
-расширение просвета кишки;
-стаз кишечника с преобладанием жидкостного компонента и уровнями воздуха;
-снижение тонуса и перистальтики.
Очень важно динамическое наблюдение за перечисленными признаками, что отдает пальму первенства УЗИ как наиболее адекватному и безопасному методу визуализации при адинамической непроходимости.
Острая кишечная непроходимость

Кишечная непроходимость – это препятствие или затруднение перемещения пищевых масс по кишечной трубке.
Это происходит в результате закрытия её просвета каловым камнем, опухолью, глистами.
В народе, не совсем правильно, называется «заворот кишок».
Нарушение проходимости тех или иных отделов кишечника может быть обусловлено пост операционными спайками или как следствие травмы живота.
Нередко она может быть вызвана сдавлением в результате спазмов, нарушениями кровоснабжения и нервной регуляции.
Это очень серьёзное заболевание, которое начинает проявляться в первую очередь сильными схваткообразными болями, которые сопровождаются тошнотой, рвотой, задержкой стула и отхождения газов.
Диагностика кишечной непроходимости
Поскольку нарушение эвакуации пищи может быть вызвано целым рядом факторов, в диагностики необходимо учитывать данные, как непосредственного осмотра пациента врачом-хирургом, так и результаты инструментальных исследований:
- рентгенографиия
- ирригоскопия
- колоноскопии
- УЗИ и МРТ.
В некоторых случаях кишечной непроходимости возможна консервативная тактика, в остальных случаях проводится операционное лечение, где целью служит восстановление продвижения содержимого по кишечнику или его наружное отведение, удаление нежизнеспособного участка кишки.
Признаки кишечной непроходимости
Практически всегда кишечная непроходимость даёт о себе знать острой болью. Образно выражаясь «кишечным криком».
Вместе с болевого приступа появляются признаки шока: бледность кожи, холодный пот, гипотония, тахикардия.
Болевой синдром может продолжаться несколько часов, после чего наступает период мнимого благополучия, боль отступает.
Уменьшение болевых ощущений может притупить бдительность больного, но это коварный признак, свидетельствующий о гангрене стенок некрозе кишечника.
Больной начинает отмечать признаки интоксикации – тошноту, рвоту. Обильная рвота, но облегчение не наступает.
Появление в рвотных массах калового компонента с неприятным запахом, свидетельствует о расположении припятствия в нижних отделах тонкого кишечника.
Типично явление ассиметричное вздутие и живота и запор.
При несвоевременном обращении в медицинский центр, может наступить печальный исход – развитие перитонита, воспаления брюшины, что является смертельно опасным осложнением.
От первых, болевых признаков, до перитонита может пройти всего 48 часов. В связи с этим, попытки снятия боли анальгетиками и местными «отвлекающими» средствами недопустимо.
При развитии непроходимости показана немедленная госпитализация пациента.
Хирургическое лечение кишечной непроходимости
До приезда специалистов «Скорой помощи», абсолютно противопоказан приём обезболивающих и спазмолитиков, клизмы и промывания желудка.
Если перитонит (воспаление брюшины) ещё не начался, то в условиях стационара производят удаление желудочно-кишечного содержимого через зонд. При необходимости ставится сифонная клизмы. Назначается противоболевая терапия. Проводятся мероприятия по восстановлению водно-солевого баланса.
Одновременно осуществляется диагностика причин непроходимости.
При механической непроходимости однозначно показано хирургическое вмешательство, проводимое под наркозом. Производится резекция (удаление) пораженного участка кишечника, устранение механического препятствия, раскручивание заворота петель кишечника, рассечение спаек и прочие операционные действия, в зависимости от причин и места расположения непроходимости.
Если непроходимость вызвана опухолевым процессом, то операция направлена на удаление опухоли. При этом накладывается временная колоностома.
В послеоперационном периоде проводится возмещение кровопотери, дезинтоксикационная, антибактериальная терапия, коррекция белкового и электролитного баланса, стимуляция моторики кишечника.
При своевременном обращении к хирургам прогноз излечения благоприятный.
Постоперационный период и пребывание в стационаре в этом случае занимает в среднем десять суток.
При позднем обращении к врачам-хирургам, и как следствие развитии перитонита, хирургическое вмешательство более сложное и длительное.
Также, в этих случаях, более длителен период выздоровления на больничной койки, который может продлиться до трёх недель.
Профилактика нарушения проходимости включает своевременную диагностику опухоли и её удаление, предупреждение спаечной болезни, устранение глистной инвазии, рациональное питание, физическая активность, нормальный вес.
При первых признаках нарушения нормальной транспортной функции кишечника следует незамедлительно обратиться в медицинское учреждение.
Читайте также:
