Лучевая анатомия тазобедренного сустава
Добавил пользователь Евгений Кузнецов Обновлено: 03.11.2025
В НМИЦ детской травматологии и ортопедии им. Г. И. Турнера разрабатывают и применяют современные методики лечения патологий тазобедренных суставов у детей. Специалисты занимаются самыми нестандартными и серьезными случаями, лечат детей не только со всех регионов страны, но и из зарубежных стран.
Хирургическое лечение проводится по федеральным квотам в рамках оказания специализированной и высокотехнологичной медицинской помощи, что является бесплатно для пациентов до 18 лет из любых регионов России.
Сотрудники единственного специализированного отделения патологии тазобедренного сустава НМИЦ ДТО им. Г.И. Турнера успешно применяют современные методики консервативного и хирургического лечения детей с дисплазией тазобедренных суставов различной степени тяжести.
- По данным международных исследований и статистике нашего Центра данной врожденной патологией страдает 5-10 детей на 1000 новорожденных.
 - Заболевание поражает девочек примерно в 7 раз чаще, чем мальчиков. Одностороннее поражение встречается 1,5-2 раза чаще двустороннего.
 - Данная патология является причиной каждого третьего случая коксартроза у взрослых людей.
 
Что такое дисплазия тазобедренного сустава?
Дисплазия тазобедренных суставов – тяжелая патология, характеризующаяся недоразвитием всех элементов тазобедренного сустава (костей, связок, капсулы сустава, мышц, сосудов, нервов).
Современное название этой патологии — Developmental dysplasia of the hip, т.е. дисплазия развития тазобедренного сустава, которая возникает в процессе пре- и постнатального онтогенеза и может включать в себя неонатальную нестабильность, изолированное недоразвитие вертлужной впадины, подвывих и вывих бедра – самую тяжелую степень дисплазии тазобедренных суставов, которая характеризуется полным разобщением контакта суставных поверхностей головки бедренной кости и вертлужной впадины.

Классификация и оценка состояния тазобедренного сустава
Состояние тазобедренных суставов оценивается на основании данных ультразвукового и рентгенологического исследования. УЗИ скрининг проводится по методике R.Graf (1984)
Основные преимущества УЗИ-скрининга:
- Максимально ранняя диагностика патологии тазобедренного сустава (“золотой стандарт” проведения – в родильном доме)
 - Сокращение сроков консервативного лечения.
 - Значительное снижение вероятности проведения хирургических вмешательств!
 - Отсутствие лучевой нагрузки
 
Существует несколько типов строения тазобедренного сустава, согласно критериям оценки R.Graf:
1а тип – зрелый тазобедренный сустав
1б тип – транзитроный – как правило, характерен для недоношенных детей и не требует ортопедического лечения
2а тип – незрелый тазобедренный сустав. У детей до 3х месяцев жизни подобный тип расценивается как функциональная незрелость и не требует ортопедического лечения, у детей старше 3х месяцев подобные изменения считаются патологической незрелостью и требуют лечения, а сам тип является 2б
2в – предподвывих бедра
3 – подвывих бедра
4 – вывих бедра
У детей старше 3х месяцев в дополнение к УЗИ-исследованию выполняется рентгенографическое исследование. До этого возраста лучевые методы исследования не являются информативными, поскольку отсутствует должная оссификация костных структур тазобедренного сустава и проведение их адекватной оценки крайне затруднено.
На сегодняшний день в мировой практике степень дисплазии тазобедренных суставов определяют по данным лучевого исследования согласно классификации, разработанной Международным институтом дисплазии тазобедренных суставов (International Hip Dysplasia Institute), которая основывается на соотношениях между головкой бедренной кости и вертлужной впадиной.
- Первая степень – тазобедренный сустав без патологии
 - Вторая степень (подвывих бедра) — головка бедренной кости смещена краниально, но находится ниже верхне-латерального края истинной вертлужной впадины
 - Третья степень (маргинальный вывих бедра) — головка бедренной кости смещена краниально и находится на уровне верхне-латерального края истинной вертлужной впадины
 - Четвертая степень (надацетабулярный вывих бедра) — головка бедренной кости располагается выше верхне-латерального края истинной вертлужной впадины
 
Основные факторы риска возникновения:
- Наследственность по врожденной патологии тазобедренного сустава
 - Ягодичное предлежание
 - Женский пол
 - Первые роды
 - Крупный плод (более 4 кг)
 - Вирусная или бактериальная инфекция в период с 10 по 15 неделю беременности
 - Хронические заболевания органов малого таза
 
Признаки и симптомы дисплазии тазобедренных суставов
Симптоматика тяжелых степеней дисплазии (подвывих и вывих) ярко выражена у малышей. Для исключения диагноза ребенок должен быть осмотрен детским ортопедом в целях профилактики. “Золотой” стандарт установления диагноза – родильный дом! На первом году жизни осмотр ортопедом проводится в 1, 3, 6 и 12 месяцев.
Основные специфические клинические признаки у ребенка 1-2 месяца жизни
Дополнительные (малоспецифические) клинические признаки
- Асимметричное расположение кожных складок на бедрах
 - Асимметричное расположение ягодичных складок
 - Избыточная ротация бедра
 - Наружная ротация стоп
 - Косое расположение половой щели у девочек.
 - Укорочение нижней конечности
 - Пальпация головки бедренной кости за задним краем впадины
 - Ограничение отведения ног, согнутых под прямым углом в тазобедренных и коленных суставах
 
Диагностика
Предварительный диагноз часто выставляют в период пребывания в роддоме. В такой ситуации важно в ближайшие три недели посетить детского ортопеда. Необходимые диагностические процедуры — рентгенография и ультрасонография.
Малышам до 2-3 месяцев рентгенограмма не актуальна, поскольку большая часть сустава образована хрящами, не отображающимися на снимке. Новорожденным следует провести ультразвуковую диагностику, которая отличается повышенной безопасностью и информативностью.
Асимметричность паховой, подколенной и ягодичной кожной складки легче заметить у малышей после двух-трех месячного возраста. Стоит провести тщательный осмотр. Врач обращает внимание на различие в уровне расположения, формы и глубины складок. Двусторонняя дисплазия тяжелой степени не подразумевает асимметричность складок.
В случаях наличия у новорожденного сочетания факторов риска без наличия клинической симптоматики на первом полугодии жизни проводится повторное 2-х кратное обследование (УЗИ, рентгенография ТБС).
Лучевая анатомия тазобедренного сустава
а) Определения: 
• Вращательная манжета тазобедренного сустава: термин, описывающий три ягодичные мышцы: 
о Могут развиваться тендинопатия и дегенеративные разрывы аналогично вращательной манжете плечевого сустава 
• Трехглавая мышца бедра: термин, описывающий внутреннюю запирательную и близнецовые мышцы, которые функционируют единым блоком
б) Общая анатомия:
1. Общие сведения: 
• Движения: 
о Наиболее стабильное сочленение тела 
о Наибольший, после плечевого сустава, объем движений 
о Сгибание при согнутом колене ограничивается животом 
о Сгибание при разогнутом колене ограничивается мышцами задней поверхности бедра 
о Отведение не ограничено 
о Приведение ограничено противоположной конечностью 
о Наружная ротация > внутренней 
о Внутренняя ротация - наиболее слабое движение 
о Наибольшая стабильность в положении разгибания 
• Баланс мышц/связок: 
о Передние связки мощнее внутренних ротаторов 
о Наружные ротаторы мощнее задних связок
2. Кровоснабжение: 
• Ветви медиальной и латеральной артерий, огибающих бедренную кость, глубокие ветви верхней и нижней ягодичных артерий, артерия связки головки бедренной кости (ветвь запирательной артерии)
3. Иннервация: 
• Ветви многочисленных нервов: к прямой мышце бедра, к квадратной мышце бедра, передние ветви запирательного нерва, добавочный запирательный нерв, верхний ягодичный нерв

Вид вертлужной впадины снаружи: подковообразный суставной хрящ, окружающий ямку вертлужной впадины. Ямка вертлужной впадины заполнена жировой тканью, которая носит название подушки. Губа расположена по краю вертлужной впадины и своими нижними краями сливается с поперечной связкой. Связка головки бедренной кости прикрепляется к поперечной связке.
4. Костные структуры: 
• Вертлужная впадина: 
о Сформирована лобковой, подвздошной и седалищной костями (тазовая кость) 
о Ориентирована кпереди, книзу и кнаружи 
о Задняя (подвздошно-седалищная колонна) передает вес туловища на нижнюю конечность 
о Передняя (подвздошно-лобковая) колонна ассоциируется с передним отделом таза 
о Более чем на 50% покрывает головку бедренной кости 
о Суставная поверхность называется полулунной поверхностью: 
- Покрыта подковообразным хрящом 
о Центральный отдел (ямка вертлужной впадины) не является сочленяющимся 
о Ямка вертлужной впадины: центральная медиальная зона тазобедренного сустава: 
- Вогнута центрально относительно полулунной поверхности 
- Покрыта синовиальной оболочкой: экстраартикулярно, за исключением заворота сустава у верхнего края ямки 
- Подушка: фиброзно-жировая ткань, выполняющая большую часть ямки вертлужной впадины 
- Связка головки бедренной кости частично прикрепляется к ямке, но в основном - к поперечной связке 
о Вырезка вертлужной впадины: костный просвет по нижнему краю 
о Передний и задний края: костные края вертлужной впадины 
о Медиальная стенка: четырехугольная пластинка подвздошной кости: 
- Вертлужная линия при рентгенографии 
о Фигура слезы: рентгенографическая конгломератная тень: 
- Латерально: стенка ямки вертлужной впадины 
- Медиально: передний и нижний отделы четырехугольной пластинки 
• Головка бедренной кости: 
о 2/3 сферы: 
- Центрирована на колоновидную шейку бедренной кости 
- В норме имеется сужение по окружности при переходе головки в шейку 
о Покрыта суставным хрящом, за исключением ямки головки: 
- Хрящ наиболее толстый сверху 
- Хрящ истончается в зоне головчато-шеечного перехода 
о Ямка головки бедренной кости: чашеобразное вдавление в верхне-внутреннем отделе головки бедренной кости: 
- Место прикрепления связки головки бедренной кости
5. Вертлужная губа: 
• Фиброзно-хрящевая: 
• Морфология: 
о Треугольная: 66-94%: 
- Снижение частоты встречаемости с увеличением возраст 
о Наиболее толстая в задневерхнем отделе 
о Наиболее широкая в передне-верхнем отделе 
о Варианты: круглая, скошенная, отсутствует 
о При отсутствии: отсутствие передней части губы и небольшие остаточные фрагменты верхней части: 
- В 10-14% случаев не вызывает симптоматики 
о Перекрывает суставной хрящ 
• Прикрепляется к краю вертлужной впадины: 
о Охватывает вертлужную впадину на 270°, отсутствует снизу: 
- Нижний край сустава пересекает поперечная связка 
о Формирует подковообразный валик, охватывающий передний, верхний и задний отделы вертлужной впадины 
• Снизу крепится к поперечной связке вертлужной впадины: 
о Губно-связочные борозды: соединение губы и связки 
• Губно-хрящевая щель: 
о Между суставным хрящом и губой 
о В передне-верхнем и задненижнем отделах 
о Вероятно является вариантом нормы 
• Кровоснабжение: ветви запирательной, верхней и нижней ягодичных артерий: 
о В основном поверхность капсулы 
о Суставная поверхность аваскулярная: 
- Ограниченная способность к регенерации 
• Функция: 
о Делит поверхностный и глубокий отделы сустава 
о Удерживает синовиальную жидкость в глубоком отделе сустава: 
- Синовиальная жидкость защищает и питает хрящ 
о Препятствует наружному смещению головки бедренной кости
6. Синовиальная капсула сустава: 
• Прикрепления: 
о Вертлужная впадина: 
- Спереди: основание вертлужной губы 
- Вверху: на несколько миллиметров выше вертлужной губы 
- Сзади: основание вертлужной губы или на несколько миллиметров медиальнее нее 
- Снизу: поперечная связка 
о Бедренная кость: 
- Спереди: межвертельная линия 
- Сзади: проксимальнее межвертельного гребня 
• Подвздошно-гребенчатая складка: синовиальная складка по медиальному краю шейки бедренной кости 
• Синовиальные складки также охватывают медиальную артерию, огибающую бедренную кость: 
о Ниже круговой зоны
Вид тазобедренного сустава спереди: продольно скрученные подвздошно-бедренная и лонно-бедренная связки. Также показаны места прикрепления к передней нижней подвздошной ости и лобковой части запирательного отверстия соответственно. Седалищно-бедренная связка расположена в основном вдоль заднего отдела сустава, однако огибает шейку бедренной кости сверху и прикрепляется к ее переднему отделу. Вид сзади: продольно скрученная седалищно-бедренная связка. Наружная запирательная сумка выпячивается из сустава по нижнему краю седалищно-бедренной связки.
7. Связки тазобедренного сустава: 
• Являются важными стабилизаторами бедра 
• Подвздошно-бедренная, лонно-бедренная, седалищно-бедренная и круговая зона формируют внешний слой капсулы за пределами синовиальной оболочки 
• Подвздошно-бедренная связка (связка Бигелоу): 
о Наиболее прочная связка тела 
о Препятствует переднему смещению и переразгибанию 
о Берет начало от нижней поверхности передней нижней подвздошной ости 
о Имеет форму перевернутой буквы V с широким прикреплением к бедренной кости: 
- Латеральная и медиальная порции прикрепляются к межвертельной линии 
• Лобково-бедренная связка: 
о Препятствует чрезмерному отведению 
о Имеет передне-нижнее продольное спиральное положение 
о Медиальное прикрепление-запирательный гребень лобковой кости 
о С латеральной стороны сливается с капсулой сустава 
• Седалищно-бедренная: имеет заднее продольное спиральное положение: 
о Наиболее слабая 
• Круговая зона: расположена глубоко, циркулярно: 
о Вокруг центральной части шейки бедренной кости 
о Обеспечивает центральное сужение тазобедренного сустава 
• Связка головки бедренной кости: 
о Прикрепления: ямка головки бедренной кости, поперечная связка и подушка ямки вертлужной впадины 
о Выстлана синовиальной оболочкой: внутри капсулы, вне сустава 
о Содержит артерию связки головки бедренной кости: 
- У взрослых участие в кровоснабжении головки бедренной кости незначительное 
о Узкая сверху, более широкая - снизу 
о Может способствовать стабилизации сустава 
о Натягивается при сгибании, приведении и наружной ротации 
о Может являться источником боли 
• Поперечная связка: 
о Перекидывается через вырезку вертлужной впадины у ее нижнего края: 
- Завершает углубление вертлужной впадины 
о По краям вырезки сливается с вертлужной губой: 
- В местах перехода имеются губно-связочные борозды
Места прикрепления мышц и связок к наружной поверхности тазовой кости. Обратите внимание на относительно небольшую область начала сухожилия длинной приводящей мышцы. Короткая приводящая мышца расположена непосредственно под длинной приводящей мышцей. Тонкая мышца начинается латеральнее короткой приводящей мышцы. Большая приводящая мышца имеет широкое начало и две головки. Волокна, берущие начало от тела лобковой кости, иногда называются малой приводящей мышцей и имеют горизонтальную направленность. Волокна, начинающиеся от седалищного бугра, направлены вертикально к среднему и дистальному отделам бедренной кости. Места прикрепления мышц и связок к внутренней поверхности таза.
8. Мышцы тазобедренного сустава: 
• Ягодичные мышцы: большая, средняя и малая: 
о Часто называются вращательной манжетой тазобедренного сустава 
о Большая ягодичная мышца: 
- Начало: задняя ягодичная линия подвздошной кости, задняя поверхность крестца и копчика, крестцово-бугорная связка 
- Прикрепление: подвздошно-большеберцовый тракт, ягодичная бугристость бедренной кости 
- Иннервация: нижний ягодичный нерв 
- Функция: разгибание, отведение и наружная ротация бедра 
о Средняя ягодичная мышца: 
- Начало: задняя поверхность подвздошной кости 
- Прикрепление: задневерхняя, латеральная поверхности большого вертела 
- Иннервация: верхний ягодичный нерв 
- Функция: отведение и внутренняя ротация бедра 
о Малая ягодичная мышца: 
- Начало: задняя поверхность подвздошной кости 
- Прикрепление: передняя поверхность большого вертела 
- Иннервация: верхний ягодичный нерв 
- Функция: отведение и внутренняя ротация бедра 
• Глубокие задние мышцы тазобедренного сустава: 
о Грушевидная мышца: 
- Начало: передняя поверхность крестца, крестцово-бугорная связка 
- Прикрепление: большой вертел 
- Иннервация: S1, S2 
- Функция: наружная ротация, слабое отведение бедра 
о Верхняя близнецовая мышца: 
- Начало: седалищная ость 
- Прикрепление: грушевидная ямка 
- Иннервация: нерв к внутренней запирательной мышце 
- Функция: наружная ротация, слабое отведение бедра 
о Нижняя близнецовая мышца: 
- Начало: седалищный бугор 
- Прикрепление: грушевидная ямка 
- Иннервация: нерв к квадратной мышце бедра 
- Функция: наружная ротация, слабое отведение бедра 
о Внутренняя запирательная мышца: 
- Начало: внутренняя поверхность запирательных отверстия и мембраны 
- Прикрепление: грушевидная ямка 
- Иннервация: L5, S1, S2 (НЕ запирательный нерв) 
- Функция: наружная ротация, слабое отведение бедра 
о Наружная запирательная мышца: 
- Начало: наружная поверхность запирательных отверстия и мембраны 
- Прикрепление: грушевидная ямка 
- Иннервация: запирательный нерв 
- Функция: наружная ротация бедра 
о Квадратная мышца бедра: 
- Начало: латеральная часть седалищного бугра 
- Прикрепление: квадратная линия, межвертельный гребень бедренной кости 
- Иннервация: L4, L5, S1 
- Функция: наружная ротация бедра
9. Сумки тазобедренного сустава: 
• Подвздошно-поясничная сумка: между мышцей и капсулой тазобедренного сустава 
о В 10-14% сообщается с тазобедренным суставом 
• Наружная запирательная сумка: выпячивание между круговой зоной и седалищно-бедренными связками 
• Сумка большого вертела: между латеральным краем вертела и большой ягодичной мышцей
в) Список литературы: 
1. Tan V et at: Contribution of acetabular labrum to articulating surface area and femoral head coverage in adult hip joints: an anatomic study in cadavera. Am J Orthop. 30(11):809-12, 2001 
2. Abe I et al: Acetabular labrum: abnormal findings at MR imaging in asymptomatic hips. Radiology. 216(2):576-81, 2000 
3. Cotten A et al: Acetabular labrum: MRI in asymptomatic volunteers. J Comput Assist Tomogr. 22(1): 1—7, 1998.
Лучевая анатомия тазобедренного сустава. Ультразвуковая анатомия
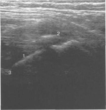
При сканировании из переднего доступа оценивают тазобедренный сустав и мягкие ткани паховой области, мышцы. Исследование сустава проходит продольным сканированием вдоль оси шейки бедра. Получают изображение переднего края крыши вертлужной впадины, вертлужной губы (хрящевого лимбуса, labrum acetabulare), которая дифференцируется как треугольная гиперэхогенная структура, а также передней поверхности головки бедренной кости, являющихся костными ориентирами. Отчетливо прослеживается тонкий суставной гипоэхогенный гиалиновый хрящ головки бедра (рис. 19.81). Собственно суставная капсула визуализируется вместе с волокнами преимущественно подвздошно-бедренной связки (рис. 19.82). Для определения отсутствия или наличия выпота в суставе измеряют расстояние между передней поверхностью шейки бедра и гиперэхогенной капсулой.

Рис. 19.81. УЗИ тазобедренных суставов взрослого.
1 — головка бедренной кости; 2 — шейка бедренной кости; 3 — капсула сустава и lig. iliofemorale; 4 — хрящевой (фиброзный) лимбус.

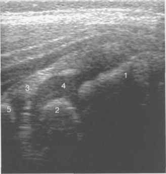
Рис. 19.82. УЗИ тазобедренного сустава по передней поверхности вдоль шейки бедра (8 лет).
1 — головка бедренной кости; 2 — шейка бедренной кости; 3 — капсула сустава и lig. iliofemorale; 4 — хрящевой (фиброзный) лимбус; 5 — зона роста.

Рис. 19.83. Область хрящевого большого вертела (11 мес).
1 — контур шейки бедра; 2 — хрящевая зона области большого вертела; 3 — контур диафиза бедра.

Рис. 19.84. Боковой доступ, сканирование продольно вдоль шейки бедра (7 лет).
1 — шейка бедренной кости; 2 — ядро апофиза большого вертела; 3 — край головки бедренной кости.

Рис. 19.85. Боковой доступ, продольное сканирование тазобедренного сустава (2 года).
1 — шейка бедренной кости; 2 — ядро оссификации головки бедренной кости; 3 — хрящевой лимбус; 4 — хрящевая часть головки бедренной кости; 5 — контур крыши вертлужной впадины.
В норме оно не должно превышать 4—6 мм. Из данного доступа сканирования визуализируют bursa iliopsoas, однако в норме подвздошно-поясничная сумка при УЗИ не видна.
При латеральном доступе осуществляют преимущественно продольное сканирование. Наиболее выступающий костный фрагмент — большой вертел (рис. 19.83—19.85). Сразу над ним кнаружи определяются вертельные сумки, которые обычно в норме не дифференцируются, а также латеральная часть lig. iliofemorale и суставная капсула. Размеры подкожной вертельной сумки около 4—6×2—4 см.
Медиальный доступ используют для исследования медиальной части тазобедренной области. Бедро сгибают в коленном суставе и отводят кнаружи. Исследуют группу приводящих мышц бедра и сухожильную часть подвздошно-поясничной мышцы. Костными ориентирами служат малый вертел и часть головки бедренной кости.
Сканирование задним доступом используется для оценки задних периартикулярных мышц. Исследуют ягодичные мышцы, седалищный бугор, седалищный нерв. Седалищно-ягодичная сумка расположена между бугром и большой ягодичной мышцей. В норме сумка не видна. Там же пытаются визуализировать седалищный нерв. При продольном сканировании волокна нерва окружены гиперэхогенной оболочкой, на поперечном срезе нерв имеет овальную форму, у детей идентификация нерва затрудняется.
Ультразвуковая анатомия тазобедренного сустава у новорожденных и детей первых месяцев жизни
В современной лучевой диагностике применяют два основных метода оценки зрелости и нормальных соотношений в тазобедренном суставе у детей преимущественно до 6 месяцев — рентгенографию и ультразвуковую визуализацию. В настоящее время методом выбора является УЗИ. Однако ряд важных цифровых показателей необходимо оценивать рентгенологическим методом (см. ниже основные цифровые показатели тазобедренного сустава). Существует не менее 5 различных методик УЗИ и большое количество их вариаций для оценки тазобедренного сустава новорожденного и младенца до 6 месяцев. Однако все они базируются на методике австрийского ортопеда профессора Reinharg Graf, который в 1980 г. предложил использовать В-режим для ультразвуковой визуализации сустава и разработал классификацию типов и подтипов развития тазобедренного сустава у новорожденных. В 1984 г. Theodore Harcke (США) использовал динамические пробы в реальном времени сканирования для оценки стабильности тазобедренного сустава младенца.

Рис. 19.86. УЗИ тазобедренных суставов (1 мес).
1 — контур шейки бедренной кости; 2 — хрящевая головка бедренной кости; 3 — хрящевой лимбус; 4 — крыша вертлужной впадины; 5 — наружный край крыши вертлужной впадины; 6 — седалищная кость; 7 — наружный край тела подвздошной кости; 8 — ядро оссификации головки бедра («точка»).

Рис. 19.87. Схема измерения угла ос при УЗИ тазобедренных суставов.
1 — край тела подвздошной кости; 2 — головка бедра; 3 — седалищная кость (Y-образный хрящ); 4 — контур крыши вертлужной впадины; 5 — угол а; 6 — угол р.
Стандартное исследование проводится при положении ребенка лежа на спине или на боку. Для определения стабильности головки бедра рекомендуется обследовать новорожденного
в положении лежа на боку с согнутыми под углом 90° бедром и голенью в коленном суставе. Для исследования тазобедренного сустава и окружающих мягких тканей используют датчик с частотой 7,5 МГц с линейной рабочей поверхностью. Обследовать детей в возрасте 6 мес и старше возможно с использованием линейного датчика с частотой 5 МГц.
Датчик устанавливают продольно в корональной плоскости на уровне вертлужной впадины (рис. 19.86). Костными ориентирами служат: линия подвздошной кости, переход подвздошной кости в вертлужную впадину, хрящевой лимбус, головка бедра с суставной капсулой, наружный край шейки бедра. Необходимо добиться одномоментной визуализации гиперэхогенного контура наружного края подвздошной кости, верхненаружного края крыши суставной впадины («ацетабулярного крючка»), изогнутого кнаружи хрящевого лимбуса (хрящевого края суставной губы) и края контура шейки бедра. Обязательным условием является строго параллельное расположение линии тела подвздошной кости к верхней линии экрана аппарата. В норме линия подвздошной кости будет горизонтальной прямой, при переходе в хрящевую часть вертлужной впадины она образует изгиб. На УЗ-изображении исследователь должен оценить (см. рис. 19.83, 19.84; рис. 19.87) следующие структуры:
- — наружный край крыши вертлужной впадины («ацетабулярный крючок»), который должен четко дифференцироваться;
 - — хрящевой лимбус, покрывающий хрящевую головку бедра снаружи. Он имеет вид удлиненного гиперэхогенного треугольника с основанием прилежащим к наружному краю крыши;
 - — контур крыши вертлужной впадины, которая имеет преимущественно вогнутую форму от гипоэ-хогенной области Y-образного хряща до наружного края крыши;
 - — хрящевую гипоэхогенную головку бедра (возможно наличие гиперэхогенного различных размеров центра оссификации ядра головки).
 

Рис. 19.88. УЗИ тазобедренных суставов в положении сгибания в аксиальной плоскости, получение «U» схемы.

Рис. 19.89. УЗИ тазобедренного сустава (2 года). Продольное сканирование передним доступом.
I — метафиз (шейка) бедра; 2 — головка бедренной кости; 3 — хряще вой лимбус; 4 — капсула тазобедренного сустава; 5 — контур крыши вертлужной впадины.
В этой проекции проводят измерение углов, в основе которой лежит методика Графа. Для определения углов проводят 3 основные линии (см. рис. 19.87).
Линия А — проводится вдоль наружного контура подвздошной кости через наружный край крыши вертлужной впадины.
Линия В — проводится через внутренний край от области Y-образного хряща крыши вертлужной впадины до ее наружного края.
Линия С — проводится через наружный край крыши впадины и край хрящевого лимбуса.
Таблица 19.7 Возрастные и половые показатели шеечно-диафизарного угла
Пересечение линий А и В образует угол а, пересечение линий А и С образует угол (3. Угол а указывает на степень развития крыши вертлужнои впадины и в норме не должен быть меньше 60°. Угол р указывает на расположение фиброзно-хрящевого лимбуса и степень покрытия хрящевым краем крыши головки бедра, нормальным считается его значение менее 55°. Однако доказана серьезная погрешность в показателях угла Ь, и в последние годы его измерение не производится. Угол а же практически является обратным ацетабулярному углу по данным рентгенографии тазобедренных суставов, который также указывает на степень развития крыши вертлужнои впадины (см. рис. 19.61).
Определение степени нормального расположения головки также возможно по степени «костного» покрытия, когда не менее ‘/2 (или более 58%) ее диаметра должно находиться в пределах крыши вертлужнои впадины, т. е. быть погружено в вертлужную впадину. При проведении пробы в динамике: отведение — приведение, сгибание — разгибание конечности, положение головки бедра не должно изменяться существенно.
При исследовании в поперечной плоскости ногу сгибают под углом примерно 90°. Датчик устанавливают в проекции вертлужнои впадины и головки бедра. Получают срез шейки и головки бедренной кости, а также седалищной кости. Гипоэхогенная головка бедренной кости при этом сканировании в норме оказывается полностью погруженной между метафизом спереди и подвздошной костью сзади, образующими латинскую букву U (см. рис. 19.88). Гипоэхогенная головка бедра при этом расположена как бы внутри.
Таблица 1 9.8 Возрастные и половые показатели ацетабулярного угла (индекса)
У новорожденного ацетабулярный индекс не должен превышать 30°.
В норме ядро оссификации головки в виде «точки», «штриха», «множественного штриха», «полулуния» можно дифференцировать уже с 2 месяцев. Нормальный срок появления ядра оссификации головки бедра по данным УЗИ — 2—8 мес (рис. 19.86, 19.89).
Анатомия тазобедренного сустава
Из-за того, что человек в результате эволюции встал на две ноги, тазобедренный сустав у него является основным опорным суставом и несет значительную нагрузку при ходьбе, беге, переносе тяжестей.
Тазовые кости участвуют в образовании трех сочленений: лобкового симфиза, парного крестцово-подвздошного сустава и парного тазобедренного сустава. Форму тазобедренного сустава можно представить в виде шара, расположенного в глубоком гнезде округлой формы. Лобковый симфиз и крестцово-подвздошный сустав малоподвижны, а в шаровидном (или, точнее, чашеобразном) тазобедренном суставе, обеспечивающем одновременно устойчивость тела и подвижность ноги, возможен большой объем движений.
Суставная впадина тазобедренного сустава образована тазовой костью и называется вертлужной (ацетабулярной) впадиной. По краю впадины располагается вертлужная губа — волокнисто-хрящевое образование. Она увеличивает глубину впадины на 30%, но главная ее функция состоит в равномерной смазке суставного хряща головки бедренной кости синовиальной жидкостью (суставной). Создавая присасывающий эффект, она укрепляет тазобедренный сустав.
Внутри вертлужной впадины находится головка бедренной кости, которая связана с телом бедренной кости при помощи шейки. Часто шейку бедренной кости называют "шейкой бедра", но это жаргонизм. Несколько ниже шейки бедра находятся костные возвышения, называемые большим и малым вертелами. К ним прикрепляются мощные мышцы.
Вокруг сустава есть суставная капсула, которая содержит связки, укрепляющие тазобедренный сустав. С одной стороны эти мощные связки прикрепляются одним концом к тазовой, а другим концом - к бедренной кости. Еще одна мощная связка (называемая связкой головки бедренной кости, часто ее еще называют круглой связкой) связывает головку бедренной кости с дном вертлужной впадины. Не исключено, что эта связка тоже добавляет прочности тазобедренному суставу, ограничивая наружное вращение бедра. Той же цели служит и капсула тазобедренного сустава, которая натягивается при наружном вращении и разгибании бедра.
Тазобедренный сустав прикрыт мышцами ягодичной области сзади и мышцами передней группы бедра спереди. Головка бедренной кости, расположенная в ацетабулярной впадине, покрыта суставным хрящом. Суставной хрящ в тазобедренном суставе в среднем достигает 4 мм в толщину, имеет очень гладкую поверхность белесоватого цвета и плотноэластическую консистенцию. Благодаря наличию суставного хряща значительно уменьшается трение между соприкасающимися суставными поверхностями.
- Прайс
 - Диагностика
 - Консультация специалистов
 - Лабораторные анализы
 - Операции
 - Процедуры
 - Чекапы
 - Интернет-поликлиника
 
- Услуги
 - Гинекология
 - Урология
 - Хирургия
 - Лабораторные анализы
 - Медицинский профосмотр
 - Эндокринология
 - Эндопротезирование суставов
 
- Специалисты
 - Врач лучевой диагностики
 - Гинеколог
 - Инфекционист
 - Невролог
 - Гастроэнтеролог
 - Кардиолог
 - Хирург
 
- ОМС
 - ДМС
 - Корпоративным клиентам
 - Система лояльности
 - Отзывы пациентов
 - Тесты самодиагностики
 - Вакансии
 - Справочная информация
 - Отчет об исполнении плана мероприятия, разработанного по результатам независимой оценки 2021 года
 - Записаться к врачу
 
По вопросам распространения кронавирусной инфекции и вопросам здравоохранения (записаться на прием к врачу, вызвать врача на дом)
* Цены и сроки готовности результатов анализов, указанные на сайте, носят информативный характер, являются актуальными на текущее время и могут быть изменены на дату оплаты. Ценовое предложение не является публичной офертой. Всю информацию необходимо уточнять у администратора.
 
© ООО «Европейский медицинский центр «УГМК-Здоровье» 2022 
Материалы сайта доступны по лицензии Creative Commons 
«Attribution-ShareAlike» 4.0 International если не указан иной источник
Мы используем файлы cookie, для наиболее эффективной работы сайта. Продолжая просматривать страницу, вы соглашаетесь с использованием cookie.
- cвяжитесь с нашим контакт-центром 8 (800) 234-10-03;
 - уточните, подтвердили ли вашу заявку
 
- менее 15 минут, то время приёма сокращается на время опоздания;
 - более 15 минут, то приём переносится на другой удобный вам день.
 
Нам важно связаться с вами как можно скорее, ведь для вашей безопасности мы разделяем потоки пациентов и не принимаем взрослых пациентов с признаками ОРВИ.
- имеются ли у вас признаки ОРВИ;
 - имеется ли у вас температура тела выше 37 градусов.
 
Если признаков ОРВИ у вас нет, запись будет подтверждена. Если же вы болеете, и температура выше 37 — вам необходимо вызвать врача на дом или обратиться за скорой медицинской помощью.
Ваша заявка принята! Your application is accepted Vaše objednávka je přijata! Votre demande a été acceptée Your application is accepted Your application is accepted Your application is accepted Ihre Anforderung wird angenommen! 귀하의 부탁을 수락되었습니다. Başvurunuz kabul edildi
Если Вы опоздали на приём менее, чем на 15 минут, то время приёма будет сокращено на время Вашего опоздания. If you are late for an appointment less than 15 minutes, the reception time will be reduced by the time you are late. V případězpoždění méně než 15 minut, doba prohlídky bude zkrácena o čas zpoždění. Si vous êtes en retard de moins de 15 minutes par rapport au rendez-vous fixé, votre temps de réception sera réduit tenant compte de votre retard. If you are late for an appointment less than 15 minutes, the reception time will be reduced by the time you are late. If you are late for an appointment less than 15 minutes, the reception time will be reduced by the time you are late. If you are late for an appointment less than 15 minutes, the reception time will be reduced by the time you are late. Wenn Sie zu einem Termin weniger als 15 Minuten zu spät kommen, wird die Empfangszeit für die Dauer Ihres Aufenthaltes verkürzt. 만약 15분 미만 늦으신다면 잔찰 시간은 지연 시간으로 줄일 겁니다. Randevunuza 15 dakika geçtiyseniz, geç kalma saatinizle resepsiyonun süresi kısalır.
Если Вы опоздали более, чем на 15 минут, Ваш приём будет отменён и перенесён на удобное для Вас время. If you are late more than 15 minutes, your appointment will be moved to a convenient time for you. V případě zpoždění vícenež 15 minut, prohlídka bude zrušena a přesunuta na zvolený termín. Si vous êtes en retard de plus de 15 minutes, votre rendez-vous sera annulé et rapporté à une date qui vous conviendrait. If you are late more than 15 minutes, your appointment will be moved to a convenient time for you. If you are late more than 15 minutes, your appointment will be moved to a convenient time for you. If you are late more than 15 minutes, your appointment will be moved to a convenient time for you. Wenn Sie zu einem Termin mehr als 15 Minuten zu spät kommen, wird ihr Termin storniert und zu einem für Sie günstigen Zeitpunkt übertragen. 만약 15분 이상 늦으신다면 진찰은 취소하고 편리한 시간으로 연기해 드리겠습니다. 15 dakikadan fazla gecikti iseniz, randevunuz sizin için uygun bir zamana taşınacaktır.
Вернуться на сайт Return to the site Vrátit se zpět RETOURNER AU SITE Return to the site Return to the site Return to the site Zurück zur Website 휍사으트로 돌아갑니다. Siteye geri dön
БОЛЬ В ТАЗОБЕДРЕННОМ СУСТАВЕ: СОВРЕМЕННЫЕ ПРЕДСТАВЛЕНИЯ О ВОЗМОЖНОСТЯХ И РОЛИ РАЗЛИЧНЫХ МЕТОДОВ ЛУЧЕВОЙ ДИАГНОСТИКИ В ОПРЕДЕЛЕНИИ ПРИЧИН БОЛЕВОГО СИНДРОМА
Диагностика истинных причин боли в области тазобедренного сустава нередко затруднена; рентгенография и компьютерная томография позволяют оценить степень изменений лишь костных структур сустава. Магнитно-резонансная томография позволяет оценить степень повреждения не только мягкотканных и костных структур сустава, но и окружающих тканей, нередко выступающих в роли морфологической причины болевого синдрома, особенно у лиц младше 35 лет. Ранняя и точная диагностика причин болевого синдрома обеспечивает своевременное и эффективное лечение, снижение количества осложнений и случаев инвалидизации пациентов.
Ключевые слова
Об авторе
Список литературы
1. Morelli V. Groin injuries and groin pain in athletes: part 1 / V Morelli, V Weaver // Prim Care.- 2005.- Vol. 32, № 1.- P 163-183.
2. Stoller D. W. Magnetic resonance imaging in orthopedics and sports medicine, 3d ed. // Chapter 3. The Hip / D. W Stoller, A. E. Li, D. M. Lichtman, G. A. Brody.- Philadelphia, 2007.- 1049 p.
3. Machotka Z. A systematic review of the literature on the effectiveness of exercise therapy for groin pain in athletes / Z. Machotka, S. Kumar, L. G. Perraton // Sports Medicine, Arthroscopy, Rehabilitation, Therapy & Technology.- 2009.- Vol. 1.- P 5.
4. Gaeta M. CT and MR imaging findings in athletes with early tibial stress injuries / M. Gaeta, F. Minutoli. E. Seribano et al. // Radiology.- 2005.- Vol. 235.- P 553-561.
5. Капанджи А. И. Нижняя конечность. Функциональная анатомия / А.И. Капанджи.- СПб.: Эксмо, 2009.- 352 с.
6. Тихилов Р. М. Деформирующий артроз тазобедренного сустава (клиника, диагностика и хирургическое лечение) / Р. М. Тихилов, B. М. Шаповалов.- СПб.: ВМедА им. С. М. Кирова, 1999.- 112 с.
7. Seidenberg P. H. The Hip and pelvis in sports medicine and primary care / P. H. Seidenberg, J. D. Bowen // Springer Science Business Media, LLC, 2010.- P. 9-36.
8. McSweeney S. E. Hip and groin pain in the professional athlete / S. E. McSweeney, A. Naraghi, D. Salonen, J. Theodoropoulos, L. M. White // Canadian Association of Radiologists Journal.- 2012.- Vol. 63, № 2.- P. 87-99.
9. Kim Young-Jo. Clinical application of delayed gadolinium enhanded mri of cartilage (dGEMRIC) / Young-Jo Kim, T. C. Mamisch // MAGNETOM Flash. - 2008.- Vol. 2.- P. 96-99.
10. Bittersohl B. T2* mapping and delayed gadolinium enhanced magnetic resonance imaging in cartilage (dGEMRIC) of glenohumeral cartilage in asymptomatic volunteers at 3 T / B. Bittersohl, F. R. Miese, C. Dekkers et al. // European Radiology.- 2013.- Vol. 25, № 5.- P 1367-1374.
11. Nguyen J. T. Stress-related injuries around the lesser trochanter in long-distance runners / J. T. Nguyen, J. S. Peterson, S. Biswal et al. // AJR.- 2008.- Vol. 190.- P 1616-1620.
12. Borthakur A. Sodium and T1ρ MRI for molecular and diagnostic imaging of articular cartilage / A. Borthakur, E. Mellon, S. Niyogi et al. // NMR Biomed.- 2006.- Vol. 19, № 7.- P 781-821.
13. Koval K. J. Handbook of fractures.- 3d ed. / K. J. Koval, J. D. Zuckerman // Lippincott: Williams & Wilkins, 2006.- 161 p.
14. Schulthess G. K. Musculoskeletal diseases: diagnostic and interventional technicues / G. K. von Schulthess, Ch. L. Zollikofer (eds.).- Springer-Verlag Italia, 2005.- 336 p.
15. Cetezal L. Anatomy, biomechanics, imaging, and management of ligamentum teres injuries / L. Cerezal, A Kassarjian, A. Canga et al. // RadioGraphics.- 2010.- Vol. 30.- P1637-1651.
16. Schaumkel J. V. Healing of the ruptured ligamentum teres after hip dislocation - an arthroscopic finding / J. V Schaumkel, R. N. Villar // Hip International: The Journal of Clinical and Experimental Research on Hip Pathology and Therapy - 2006.- Vol. 19, № 1.- P. 64-66.
17. Youm Yoon-Seok. Apoptosis in the osteonecrosis of the femoral head / Yoon-Seok Youm, Soo-Youn Lee, Soo-Ho Lee // Clinics in Orthopedic Surgery.- 2010.- Vol. 2.- P 250-255.
18. Helms C. A. Musculoskeletal system MRI.- 2d ed. / C. A. Helms, N. M. Major, M. W Aiderson et al.- Philadelphia, USA, 2009.- 456 p.
19. Pedowitz R. A. Magnetic resonance imaging in orthopedic sports medicine / R. A. Pedowitz, C. B. Chung, D. Resnick.- Springer Science+Business Media, LLC, 2008.- 439 p.
20. Glickstein M. F. Avascular necrosis versus other diseases of the hip: sensitivity of MR imaging / M. F. Glickstein, D. L. Burk Jr., M. L. Schiebler et al. // Radiology.- 1988.- Vol. 169, № 1.- P. 213-215.
21. Lecouvet F. E. MR imaging of the acetabular labrum: variations in 200 asymptomatic hips / F. E. Lecouvet, B. C. Vande Berg, J. Maighem et al. // AJR.- 1996.- Vol. 167.- P. 1025-1028.
22. Abe I. Acetabular Labrum: abnormal findings at mr imaging in asymptomatic hips / I. Abe, Y. Harada, K. Oinuma, et al. // Radiology.- 2000.- Vol. 216.- P. 576-581.
23. Petersilge C. A. Chronic adult hip pain: MR arthrography of the hip / C. A. Petersilge // RadioGraphics.- 2000.- Vol. 20.- P 43-52.
24. Czerny C. Lesions of the acetabular labrum: accuracy of mr imaging and mr arthrography in detection and staging / C. Czerny, S. Hofmann, C. Tschauneret al. // Radiology.- 1996.- Vol. 200, № 1.- P. 225-230.
25. Newman J. S. MRI of the Painful Hip in Athletes / J. S. Newman, A. H. Newberg // Clin Sports Med.- 2006.- Vol. 25, № 4.- P 613-633.
26. Studler U. MR arthrography of the hip: differentiation between an anterior sublabral recess as a normal variant and a labral tear / U. Studler, F. Kalberer, M. Leunig et al. // Radiology.- 2008.- Vol. 249, № 3.- P 947-954.
27. James S. L. MRI findings of femoroacetabular impingement / S. L. James, K. Ali, F. Malara et al. // AJR. - 2006.- Vol. 187.- P 1412-1419.
28. Tannast M. Femoroacetabular impingement: radiographic diagnosis - what the radiologist should know / M. Tannast, K. A. Siebenrock, S. E. Anderson // AJR.- 2007.- Vol. 188.- P 1540-1552.
29. Reynolds D. Retroversion of the acetabulum: a cause of hip pain / D. Reynolds, J. Lucas, K. Klaue // The Bone and Joint Journal.- 1999.- Vol. 81-B, № 2.- P. 281-288.
31. Byrd J. W. T. Piriformis Syndrome / J. W T. Byrd // Oper Tech Sports Med. - 2005.- Vol. 13.- P. 71-79.
32. Hopayian K. The clinical features of the piriformis syndrome: a systematic review / K. Hopayian, F. Song, R. Riera et al. // Eur. Spine J.- 2010.- Vol. 19, № 12.- P 2095-2109.
Читайте также:
