Трансторакальная пункционная биопсия
Добавил пользователь Владимир З. Обновлено: 14.12.2025
Выраженная анемия, проблемы со свертываемостью крови, большое скоплении воздуха в легких, которое провоцирует сильные приступы боли, высокое давление в легочной артерии, гипоксия, приступ бронхиальной астмы, геморрагический диатез, тяжелая аритмия.
✚ Лучшие центры трансторакальной биопсии легкого в Москве представлены здесь - адреса и цены, рейтинг клиник, отзывы пациентов; запишитесь онлайн или по телефону со скидкой до 50%.
График работы центра:
Аспирин
Многопрофильная клиника женского и мужского здоровья. Проводят диагностику и лечение различных заболеваний по всем основным направлениям современной медицины, а так же в спектр услуг входит проведение профосмотров.
Биопсия трансторакальная биопсия легкого - отзывы
В клинике я проходила гастроскопию. Специалист хорошо ко мне отнесся, успокаивал меня. Клинику выбрала по срочности. Персонал хороший. Результаты по диагностике мне выдали,
Мария, 22 августа 2022
Доктор внимательный и участливый. Она немного позже меня приняла, потому что там был другой пациент, посмотрела результаты анализов, выслушала, успокоила, сняла кардиограмму и дала рекомендации. Я выбирала врача по рейтингу. Если потребуется, я обращусь к ней повторно.
Татьяна, 22 августа 2022
Выбирал специалиста по территориальному признаку. Мне понравилось как врач провел прием. Доктор всё грамотно, правильно сделала. Всё профессионально и качественно. Врач проконсультировала меня и провела манипуляцию. Мою проблему решили. Никаких вопросов нет. Если потребуется, я повторно обращусь к ней.
Андрей, 22 августа 2022
Мне очень понравился прием. Доктор все понятно мне объяснил и показался достаточно профессиональным и понимающим не только мою проблему, но и в целом. Врач дал мне рекомендации, предложил разные варианты. Специалиста выбрала супруга по отзывам. Безусловно обращусь повторно, если будет такая необходимость и буду его рекомендовать.
Александр, 22 августа 2022
Персонал замечательно общался с нами, очень понравилось. Клинику мы выбирали в интернете по отзывам. В помещении чисто и аккуратно. Результат был готов через 20 минут.
Анна, 22 августа 2022
Мне порекомендовали этого специалиста, сказали опыт работы более 30 лет. Вежливый врач. Доктор выслушал меня и проконсультировал. Ответил на все вопросы, дал рекомендации и посоветовал обратиться к другому врачу. При необходимости, к этому специалисту я повторно обратилась бы.
Марина, 22 августа 2022
Мне всё понравилось и к этому врачу я буду ходить дальше. Юлия Владимировна внимательный и профессиональный врач. Я еще прохожу обследования. Приём начался вовремя и прошёл быстро. Данного доктора я выбрала по удобному времени записи.
Елена, 22 августа 2022
Врач выслушал проблему, изучил старые записи, назначил УЗИ почек, снял кардиограмму и выписал лекарства. Я выбирала врача по времени и по расположению. Прием длился не меньше 20-30 минут. Времени мне было уделено достаточно. Я приду к нему на повторный приём.
Михаил, 22 августа 2022
Я осталась очень довольна! Вячеслав Владимирович квалифицированно и внимательно провел приём. У меня была травма глаза. Доктор провел полное обследование и назначил мне лечение. Данного специалиста я выбрала по отзывам и по рейтингу. Я уже его порекомендовала! Он профессионал!
Евдокия, 22 августа 2022
Доктор хорошо со мной общалась, спросила в чем моя проблема, хотела сделать мне определенное лечение, но это было дорого и я отказалась. У меня был фурункул и его надо было вскрыть, вскрытие стоит 5000 руб., плюс анестезия 1000 руб., естественно я отказалась, так как в поликлинике это сделают бесплатно. И тогда доктор сказала, что я могу дома попробовать пропить антибиотики. Специалиста выбрала по близости к дому.
Аноним, 22 августа 2022
Популярные вопросы:
Все диагностические центры Москвы:
- Честные мнения пользователей: 148 проверенных отзывов.
- Только опытные специалисты: средний рейтинг ДЦ — 9.3.
Виды Биопсии:
- Трепанобиопсия
- трепанобиопсия костного мозга
- трепанобиопсия кости
- трепанобиопсия молочной железы
- трепан биопсия груди
- трепанобиопсия подвздошной кости
- трепанобиопсия щитовидной железы
- трепанобиопсия лимфоузла
- трепан биопсия печени
- трепан биопсия предстательной железы
- аспирационная пункционная биопсия
- пункционная биопсия щитовидной железы
- пункционная биопсия узла щитовидной железы
- пункционная аспирационная биопсия щитовидной железы
- пункционная биопсия молочной железы
- пункционная биопсия печени
- пункционная биопсия почек
- пункционная биопсия легкого
- пункционная биопсия мягких тканей
- пункционная биопсия простаты
- пункционная биопсия яичка
- пункционная биопсия лимфоузла
- пункционная биопсия шейки матки
- пункционная биопсия кожи
- ворсин хориона
- пункционная биопсия слюнной железы
- пункционная биопсия поджелудочной железы
- пункционная биопсия мышц
- тонкоигольная биопсия щитовидной железы
- тонкоигольная аспирационная биопсия щитовидной железы
- тонкоигольная биопсия узлов щитовидной железы
- тонкоигольная пункционная биопсия щитовидной железы
- тонкоигольная биопсия молочной железы
- тонкоигольная аспирационная биопсия молочной железы
- тонкоигольная пункционная биопсия узлов щитовидной железы
- тонкоигольная биопсия лимфоузла
- тонкоигольная пункционная биопсия полового члена
- тонкоигольная аспирационная биопсия
- аспирационная биопсия эндометрия
- аспирационная биопсия молочной железы
- аспирационная биопсия щитовидной железы
- аспирационная биопсия матки
- аспирационная пайпель биопсия
- аспирационная биопсия яичка
- аспирационная биопсия костного мозга
- вакуумная аспирационная биопсия
- вакуумная биопсия молочной железы
- вакуумная аспирационная биопсия молочной железы
- вакуумная биопсия фиброаденомы
- вакуумная аспирационная биопсия фиброаденомы
- вакуумная биопсия матки
- вакуумная биопсия эндометрия
- вакуумная аспирационная биопсия эндометрия
- эксцизионная биопсия лимфоузла
- эксцизионная биопсия шейки матки
- эксцизионная биопсия молочной железы
- биопсия шейки матки радиоволновым методом
- вульвы радиоволновым методом
- трансторакальная биопсия легкого
- трансбронхиальная биопсия легкого
- стереотаксическая биопсия опухоли головного мозга
Полезные статьи о заболеваниях, современных методах лечения и диагностиках.
Нужен квалифицированный врач поближе к дому? Специализированный портал поможет
Медицинский справочник болезней от А до Я.
Узнайте, сколько стоят медицинские услуги в разных клиниках. Сравните цены и выберите подходящую.
Трансторакальная пункционная биопсия
Медицинский радиологический научный центр Минздравсоцразвития России, Обнинск
Медицинский радиологический научный центр Минздравсоцразвития России, Обнинск
Медицинский радиологический научный центр Минздравсоцразвития России, Обнинск
Медицинский радиологический научный центр Минздравсоцразвития России, Обнинск
Трансторакальная биопсия под контролем компьютерной томографии в диагностике объемных образований легких и средостения
Журнал: Хирургия. Журнал им. Н.И. Пирогова. 2012;(6): 24‑27
Рагулин Ю.А., Усачев В.С., Медведев В.Н., Дементьев А.В. Трансторакальная биопсия под контролем компьютерной томографии в диагностике объемных образований легких и средостения. Хирургия. Журнал им. Н.И. Пирогова. 2012;(6):24‑27.
Ragulin IuA, Usachev VS, Medvedev VN, Dement'ev AV. The CT-guided transthoracic biopsy of lung's and mediastinal tumors. Pirogov Russian Journal of Surgery = Khirurgiya. Zurnal im. N.I. Pirogova. 2012;(6):24‑27. (In Russ.).Медицинский радиологический научный центр Минздравсоцразвития России, Обнинск
Применение современных методов неинтервенционной диагностики не позволяет устанавливать диагноз при периферических образованиях в легких в значительном числе наблюдений. Использование различных методик трансторакальной биопсии дает возможность морфологической верификации процесса с высокой степенью информативности. С 2005 по 2010 г. 107 больным произведена трансторакальная пункционная биопсия под контролем компьютерной томографии. Авторами показано преимущество использования трепанационной (тканевой) биопсии по сравнению с тонкоигольной аспирационной биопсией (ТИАБ). Чувствительность трепанационной биопсии для верификации злокачественного процесса составила 93%, в то время как чувствительность ТИАБ - 75%. Тяжесть осложнений трепанационной биопсии была выше, чем при ТИАБ. Методы просты в применении и должны чаще использоваться в диагностике периферических образований легких.
Медицинский радиологический научный центр Минздравсоцразвития России, Обнинск
Медицинский радиологический научный центр Минздравсоцразвития России, Обнинск
Медицинский радиологический научный центр Минздравсоцразвития России, Обнинск
Медицинский радиологический научный центр Минздравсоцразвития России, Обнинск
Своевременная диагностика заболеваний органов грудной клетки обеспечивает наиболее благоприятные условия для их успешного лечения. В значительном числе наблюдений существует необходимость морфологической верификации при периферических образованиях в легких. Диагностика, основанная только на клинических данных, особенно на начальной стадии развития заболевания, весьма затруднительна и зачастую недостаточна [2, 12, 13]. Нередко бессимптомность течения и трудности инструментальных исследований не позволяют достоверно устанавливать диагноз и полноценно контролировать динамику заболевания. Оценка скиалогических особенностей объемных образований легких и средостения по данным рентгенографии или КТ имеет большое значение в дифференциальной диагностике. Очаги можно классифицировать по размерам, характеру контуров, структуре, плотности, состоянию окружающей легочной ткани. Для образований, имеющих анатомические или метаболические признаки злокачественности, необходима полноценная морфологическая верификация, являющаяся основой формирования онкологического диагноза [6, 7]. Рак легкого остается наиболее распространенным злокачественным новообразованием в мировой популяции, что в условиях онкологической настороженности обусловливает максимально возможное обследование больных с образованиями в легких. В настоящее время существует множество способов получения морфологического материала из опухолей органов грудной клетки, описанных в отечественной и зарубежной литературе [1, 5]. Задачи постановки окончательного диагноза решаются с помощью хирургических методов обследования: диагностической торакотомии, видеоторакоскопии, медиастиноскопии, трансбронхиальной и трансторакальной биопсии. При этом последняя, являясь наименее инвазивной, дает возможность получить материал для гистологического, цитологического, бактериологического и других исследований, позволяя завершить диагностический поиск и определить тактику лечения заболевания [4, 10]. Трансторакальная пункция может быть осуществлена с использованием различных методов визуализации: рентгенографии, УЗИ и КТ. Совершенствование рентгенологических методик и широкое ведение высокотехнологичной аппаратуры позволили сократить частоту использования рентгеноскопии для проведения трансторакальных пункций до минимума и большинство манипуляций проводить под контролем КТ, а применение различных биопсийных методик открыло новые возможности верификации диагноза на дооперационном этапе даже при малых размерах образований [9, 11, 14].
Цель настоящего исследования - оценка диагностических возможностей различных методов трансторакальной биопсии образований легких и средостения под контролем компьютерной томографии.
Материал и методы
С 2005 по 2010 г. 107 больным была произведена в отделении лучевого и хирургического лечения заболеваний торакальной области МРНЦ Минздравсоцразвития России трансторакальная пункционная биопсия под контролем компьютерной томографии. Возраст больных варьировал от 20 до 86 лет (в среднем 58,5 года). Каждый пациент был проинформирован об особенностях предстоящей процедуры и возможных осложнениях. Исследование проводилось под местной анестезией в горизонтальном положении больного на столе компьютерного томографа. Место прокола грудной стенки избиралось индивидуально в зависимости от расположения очага, пути прохождения иглы, удобства пункции и снижения риска потенциальных осложнений. Положение иглы контролировалось КТ в различные временные этапы выполнения процедуры. Важное место при биопсии объемных образований легких занимала равномерная глубина вдохов во время разметки и пункции образования.
![]()
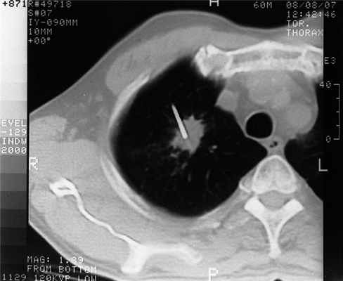
Тонкоигольную аспирационную биопсию (ТИАБ) выполняли иглами диаметром 20G по стандартной методике. Для трепанационной биопсии использовали иглы (диаметр 14G, длина 100 мм), представляющие собой троакар, внутри которого при проколе располагается мандрен, затем при локализации иглы в опухоли проводили стилет с расщепленным концом, позволяющий захватить кусочек ткани, достаточный для гистологического исследования (рис. 1). Рисунок 1. Игла для тканевой биопсии легкого. а - троакар иглы; б - мандрен; в - стилет с расщепленным концом (г) для захвата кусочка ткани. Также эта техника выполнения пункции дает возможность получать материал для цитологического исследования в виде отпечатков опухолевой ткани или смывов с иглы.
Результаты и обсуждение
Размер пунктируемых образований составил от 10×10 до 200×87 мм (в среднем 49,6×38,7 мм). Объемные образования органов грудной клетки субплеврально локализовались у 24 (22,4%) больных, в легочной паренхиме на расстоянии 1-3 см от грудной стенки - у 54 (50,5%), на расстоянии более 4 см - у 18 (16,8%) и в области средостения - у 11 (10,3%) больных.
![]()
При проведении трансторакальной биопсии легкого получить материал для дальнейшего исследования удалось у 103 пациентов. В 4 наблюдениях проведение пункции оказалось неудачным и морфологический материал не был получен по причине развившегося пневмоторакса (3 наблюдания), не позволившего локализовать иглу в опухоли, и в связи с плотной консистенцией опухоли и ее малым размером (1). Процедура пункции вместе с предварительной КТ-разметкой занимала от 15 до 35 мин. Как правило, для локализации иглы в опухоли было достаточно одного прокола грудной стенки (рис. 2), Рисунок 2. Компьютерная томограмма больного С. Конец иглы локализован в центре опухоли правого легкого. в редких наблюдениях эта процедура осуществлялась повторно.
Диагноз злокачественной опухоли легкого установлен у 80 больных из 107 и был подтвержден при проведении трансторакальной биопсии, последующего оперативного вмешательства или динамического наблюдения. Рассматривая результаты использования различных методов биопсии, следует отметить, что условия их выполнения были различными и к выбору подходили дифференцировано. ТИАБ чаще использовалась в сложных условиях: при малом размере опухоли, ее расположения вблизи крупных сосудов и при высоком риске грубого повреждения легочной ткани.
ТИАБ успешно выполнена 34 больным, в том числе злокачественная опухоль была у 24 больных, неопухолевый процесс - у 10. Из 24 больных со злокачественной опухолью у 18 удалось правильно распознать заболевание. В 6 наблюдениях получены ложноотрицательные заключения, чувствительность ТИАБ при верификации злокачественного процесса составила 75%. Из 10 больных с неопухолевыми образованиями у 7 удалось правильно верифицировать диагноз. Таким образом, точность ТИАБ составила 73,5%. Осложнения в виде пневмоторакса, не сопровождающиеся клиническими проявлениями, отмечены у 5 (14,7%) больных, при контрольном сканировании была выявлена тонкая полоса воздуха в плевральной полости. Интервенционных методов лечения и интенсивной медикаментозной терапии по поводу развившихся осложнений не проводилось.
![]()
Трепанационная биопсия была выполнена 69 больным (рис. 3). Рисунок 3. Компьютерная томограмма больной С. На срезе видны две части иглы: троакар у переднего полюса опухоли и проведенный через него стилет с расщепленным концом в центре опухоли. Окончательный диагноз в 57 наблюдениях был представлен злокачественными опухолями. В 53 из них по результатам морфологического исследования правильно верифицировано заболевание (в 83,9% - гистологически, в 76,8% - цитологически). Чувствительность трепанационной биопсии для верификации злокачественного процесса составила 93%. Из 13 больных с неопухолевыми образованиями легких у 12 правильно верифицирован диагноз. Таким образом, точность трепанационной биопсии составила 94,2%. Осложнения наблюдались у 10 (14,5%) больных: пневмоторакс - у 8, кровохарканье - у 2. Клинически значимые осложнения, потребовавшие вмешательства и медикаментозной коррекции, развились в 2 наблюдениях (дренирование плевральной полости, гемостатическая терапия). Отмечено, что при проведении трепанационной биопсии осложнения были более тяжелыми, это вполне соответствует данным литературы, свидетельствующим об увеличении частоты пневмотораксов при использовании игл большего диаметра [3, 8]. По полученному гистологическому материалу 5 больным раком легкого выполнено исследование опухоли на наличие мутации EGFR, что в значительной степени повлияло на тактику лечения.
![]()
При анализе зависимости информативности ТИАБ и трепанационной биопсии от размера образования никаких закономерностей не выявлено (табл. 1). Следует отметить, что основной причиной неудач при трепанационной биопсии стало получение большого количества некротизированной ткани, избыточное присутствие которой не позволяло установить морфологический диагноз. По-видимому, при размере очагов более 3 см вероятность деструктивных изменений в тканях весьма велика, тогда как при меньшем размере некротические изменения менее выражены и возможность получить жизнеспособную ткань выше. При этом значительный размер образования (более 6 см) позволяет получить несколько образцов ткани из различных частей (центра, периферии, «капсулы») и дает больше шансов на получение информативного материала и перспективу работы морфолога с различными тканевыми структурами.
![]()
Анализ зависимости информативности различных видов биопсии от глубины расположения образования продемонстрировал противоречивые результаты (табл. 2). Локализация очага около грудной стенки создавала наиболее благоприятные условия выполнения трепанационной биопсии, что обеспечило повышение чувствительности метода при приближении границ образования к париетальной плевре. В то же время при ТИАБ указанной зависимости не выявлено, что может быть объяснено недостаточным количеством наблюдений, а также большим процентом неопухолевых заболеваний в группе больных с образованиями, прилежащими к грудной стенке, верификация которых затруднена.
При последующем наблюдении за больными со злокачественными опухолями оценивалась возможность развития имплантационных метастазов в области прохождения биопсийной иглы. Ни у одного больного не было выявлено признаков имплантационного метастазирования.
Таким образом, трепанационная биопсия легкого и средостения с последующим цитологическим и гистологическим исследованием материала обладает более высокой диагностической ценностью при верификации объемных процессов в легких по сравнению с тонкоигольной аспирационной биопсией. Метод прост в использовании и не сопровождается тяжелыми осложнениями. Близкое расположение опухоли и ее большой размер способствуют повышению чувствительности трепанационной биопсии, позволяя получить достаточное количество тканевого материала и проводить качественное морфологическое исследование. Различные виды трансторакальной биопсии должны чаще использоваться в диагностике периферических образований органов грудной клетки для установления правильного диагноза и проведения своевременного лечения.
Трансторакальная биопсия легкого
Трансторакальная биопсия – относительно простой, быстрый и в то же время весьма информативный метод диагностики, который позволяет установить точный диагноз при патологиях легких и других органов грудной полости.
Суть метода в том, что под контролем компьютерной томографии или МСКТ – мультиспиральной компьютерной томографии – более современной и высокоточной диагностической методики, врач вводит в ткань легкого иглу и получает некоторое количество ткани из патологического образования. Затем образец отправляют в лабораторию для исследования под микроскопом.
![Трансторакальная биопсия легкого]()
В каких случаях показана трансторакальная пункционная биопсия под контролем КТ?
Эта процедура помогает установить природу новообразований, которые находятся в различных органах:
- легком;
- плевре – тонкой оболочке из соединительной ткани, которая покрывает снаружи легкие и выстилает изнутри стенки грудной полости;
- средостении – тканях, которые находятся между легкими; в этой области располагаются лимфатические узлы, крупные вены и артерии, пищевод, трахея, нервы, клетчатка.
В первую очередь трансторакальная пункционная биопсия применяется для того, чтобы отличать злокачественные опухоли от доброкачественных новообразований. Точность метода весьма высока: он позволяет установить правильный диагноз в 90% случаев.
В Юсуповской больнице для проведения данной процедуры применяются современные аппараты для КТ и МСКТ, пункцию и забор материала выполняют врачи-специалисты с большим клиническим опытом.
Как проводят трансторакальную биопсию легкого?
Процедура может быть проведена под местной анестезией, в состоянии седации («медикаментозного сна») или под общим наркозом. В последнем случае требуется подготовка пациента: накануне после полуночи и в день вмешательства нельзя есть и пить, незадолго перед наркозом проводят премедикацию – вводят препараты, которые помогают успокоиться, расслабиться.
Предварительно врач, который будет выполнять биопсию, беседует с пациентом, выясняет, нет ли у него аллергических реакций на лекарства, не принимает ли он аспирин, гепарин и другие препараты, влияющие на свертываемость крови.
Выполняют анализы крови: коагулограмму, подсчет количества тромбоцитов, оценку протромбинового времени.
Во время вмешательства пациента укладывают в аппарат для компьютерной томографии. Делают снимки, чтобы оценить положение и другие характеристики опухоли, в это время просят несколько раз задержать дыхание на 10–12 секунд. Затем под контролем КТ в грудную полость вводят специальную полую иглу и с помощью шприца через нее забирают образец ткани.
На протяжении всей процедуры у пациента регистрируют ЭКГ, контролируют артериальное давление, уровень кислорода в крови с помощью пульсоксиметра.
В течение 4 часов после биопсии пациент должен находиться в клинике под присмотром врачей. Затем можно уехать домой. В течение суток нельзя поднимать тяжести, заниматься спортом и физической работой.
Врачи в Юсуповской больнице имеют большой опыт в проведении трансторакальной биопсии легкого под контролем КТ и МСКТ, мы используем для этого наиболее современное оборудование от ведущих производителей. Наши специалисты проконсультируют вас по итогам исследования, установят точный диагноз и порекомендуют оптимальное лечение.
Трансторакальная пункционная биопсия в диагностике очаговых образований лёгких Текст научной статьи по специальности «Клиническая медицина»
Аннотация научной статьи по клинической медицине, автор научной работы — Дробязгин Евгений Александрович, Кудрявцев Александр Сергеевич, Чикинев Юрий Владимирович, Жеравин Александр Александрович, Благитко Евгений Михайлович
The transthoracic puncture biopsy was performed under surveillance of X-ray computed tomography in order to verify diagnoses in 80 patients with lung tumors. This procedure allowed verification of diagnosis and choice of treatment strategy in 95% of cases. The complications obtained as result of intervention didn't bring severe character and were arrested in term of two days.
Похожие темы научных работ по клинической медицине , автор научной работы — Дробязгин Евгений Александрович, Кудрявцев Александр Сергеевич, Чикинев Юрий Владимирович, Жеравин Александр Александрович, Благитко Евгений Михайлович
Применение трансторакальной биопсии для верификации диагноза у пациентов с образованиями в легких, плевре, грудной стенке
Когортное исследование эффективности низкодозной компьютерной томографии и трансторакальной трепан-биопсии в ранней диагностике рака лёгкого
Роль тонкоигольной пункции под контролем эндоскопической ультрасонографии в морфологической верификации рака легкого
TRANSTHORACIC PUNCTURE BIOPSY IN DIAGNOSTICS OF FOCAL LESIONS OF THE LUNG
The transthoracic puncture biopsy was performed under surveillance of X-ray computed tomography in order to verify diagnoses in 80 patients with lung tumors. This procedure allowed verification of diagnosis and choice of treatment strategy in 95% of cases. The complications obtained as result of intervention didn't bring severe character and were arrested in term of two days.
Текст научной работы на тему «Трансторакальная пункционная биопсия в диагностике очаговых образований лёгких»
ВОПРОСЫ ОБЩЕЙ И ЧАСТНОЙ ХИРУРГИИ
«Вестник хирургии» • 2016
© Коллектив авторов, 2016 УДК 616.24-006.6-076
Е. А. Дробязгин1, 2, А. С. Кудрявцев2, Ю. В. Чикинев1, А. А. Жеравин2, Е. М. Благитко1, С. Г. Штофин1, О. А. Шумков1
ТРАНСТОРАКАЛЬНАЯ ПУНКЦИОННАЯ БИОПСИЯ В ДИАГНОСТИКЕ ОЧАГОВЫХ ОБРАЗОВАНИЙ ЛЁГКИХ
1 Кафедра госпитальной и детской хирургии (зав. — проф. Е. А. Дробязгин), ГБОУ ВПО «Новосибирский государственный медицинский университет» МЗ РФ; 2 ФГБУ «Новосибирский научно-исследовательский институт патологии кровообращения им. акад. Е. Н. Мешалкина» МЗ РФ (ректор — проф. И. О. Маринкин)
Ключевые слова: рак легкого, трансторакальная биопсия, диагностика опухолей легкого
Введение. Своевременное выявление и лечение заболеваний является приоритетным направлением медицины, а дифференциальная диагностика значимо повышает качество медицинской помощи, позволяя улучшить ее ближайшие и отдаленные результаты [1, 17, 19, 22, 23].
Частота очаговых заболеваний легких составляет от 18 до 27% при всех патологических изменений в них [1, 2, 4, 19-21]. В случае периферического расположения очага в легочной ткани постановка правильного диагноза может вызывать некоторые трудности. Это связано с невозможностью получения субстрата для морфологической верификации при исследовании мокроты, промывных вод бронхов или проведении браш-биопсии. Чаще эти методики применяются последовательно, имеют свои возможности и в ряде случаев удлиняют время нахождения пациента в стационаре [2, 4, 7, 12, 16, 18, 23].
В настоящее время широкое развитие получают хирургические методики диагностики очаговых образований легких. К ним относятся трансторакальная биопсия, диагностическая торакоскопия или торакотомия. Эти методы позволяют получить количество материала, достаточное для верификации патологического процесса [3, 5, 6, 10, 15, 20, 21, 24].
Перкутанная трансторакальная биопсия, предложенная в 1912 г., является наименее инвазивным
методом диагностики патологических образований в легких, позволяет сократить сроки госпитализации пациентов на этапе диагностики. Полученный при выполнении процедуры материал может быть отправлен на патоморфологическое, цитологическое, бактериологическое и другие исследования, позволяющие установить точный диагноз [1, 5, 15, 17-20].
Несмотря на указанные выше преимущества, эта методика не используется достаточно широко. Причиной этого является высокий риск возникновения осложнений при наведении иглы и выполнения процедуры без применения рентгенологического контроля, который позволяет улучшить непосредственные результаты использования трансторакальной биопсии. Все чаще появляются публикации по использованию для наведения рентгеновской компьютерной томографии [7, 9, 11, 13, 14, 25, 26].
Цель исследования — оценка использования методики трансторакальной биопсии под контролем компьютерной томографии при опухолевых образованиях легкого для верификации диагноза.
Материал и методы. В период с 2012 г. по сентябрь 2015 г. в отделениях радиотерапии и онкологии НИИПК и на базе кафедры госпитальной и детской хирургии лечебного факультета Новосибирского государственного медицинского университета в отделении торакальной хирургии ГБУЗ НСО «ГНОКБ» трансторакальная пункционная биопсия с целью верификации диагноза при опухолях легких выполнена 80 пациентам. Из них: мужчин — 55, женщин — 25. Распределение пациентов по полу и возрасту представлено в табл. 1.
Сведения об авторах:
Распределение пациентов по полу и возрасту
Возраст, годы Мужчины Женщины Итого
31-40 3 3,75 1 1,25 4 5
41-50 19 23,75 10 12,5 29 36,25
51-60 12 15 6 7,5 18 22,5
61-70 10 12,5 5 6,25 15 27,5
71-80 9 11,25 4 5 13 24,25
Более 80 2 2,5 - - 2 4,5
Всего 55 25 80 100
Во всех случаях госпитализация была с целью верификации диагноза при наличии округлого образования в легочной ткани, прилежащего или близко расположенного к грудной стенке.
При поступлении в стационар, помимо сбора анамнеза, обязательным было проведение общеклинических исследований, спиральной компьютерной томографии органов грудной клетки. В большинстве наблюдений (у 54 пациентов) симптомов, указывающих на наличие патологии органов грудной клетки, не отмечено.
Распределение пациентов в зависимости от локализации цели для трансторакальной пункционной биопсии представлено в табл. 2.
Более чем у 50% пациентов (43) опухолевый узел располагался в нижней доле легкого, что делало вмешательство технически сложным из-за расположения пациента при выполнении КТ-сканирования.
Размеры опухолей в легочной ткани были от 9 до 61 мм. В табл. 3 представлено распределение пациентов в зависимости от размера опухоли по данным компьютерной томографии органов грудной клетки.
Распределение пациентов по локализации образований
Локализация опухолевого процесса n %
верхняя доля 16 20
средняя доля 4 5
нижняя доля 21 26,25
верхняя доля 17 21,25
нижняя доля 22 27,5
Размеры опухолевых новообразований в легких по данным компьютерной томографии органов грудной клетки
Размеры образования, мм n %
выполнении биопсии (пневмоторакс, гемопневмоторакс). Пациент оставался в стационаре под наблюдением с обязательным выполнением рентгенографии органов грудной клетки на следующие сутки. Полученный при биопсии материал отправляли на патоморфологическое исследование.
Пункционную биопсию опухолевых образований не выполняли в случаях: единственного легкого, нарушений системы гемостаза как риска внутриплеврального кровотечения в послеоперационном периоде, легочно-сердечной недостаточности II степени и более, митральных пороках сердца, сопровождающихся возникновением застойных явлений в легких и гипертензии в малом круге кровообращения.
Е. А. Дробязгин и др.
«Вестник хирургии» • 2016
Результаты и обсуждение. У всех пациентов при выполнении биопсии получено достаточное количество материала. Таким образом, можно констатировать, что результат пункционной биопсии был положительным в 100% наблюдений. В течение суток после вмешательства осложнения возникли у 6 пациентов. Структура осложнений представлена в табл. 4.
В большинстве случаев (4) осложнения возникли при размере опухолевого образования до 20 мм. Все возникшие осложнения были диагностированы и купированы. При наличии пневмоторакса дренирование плевральной полости потребовалось 3 пациентам. В 1 наблюдении из-за апикального пневмоторакса решено было ограничиться наблюдением в динамике. Сроки дренирования плевральной полости не превышали 2 сут. Уже в первые часы после дренирования легкое расправлялось, и прекращалась утечка воздуха по дренажам. Дренажи удалялись на 2-е сутки после дренирования.
В случае возникновения гемоторакса (рентгенологически — малый гемоторакс) последний купировался при пункции плевральной полости и вакуум-аспирации. При контрольной рентгеногра-
Осложнения после проведения трансторакальной биопсии
Наблюдение Вид осложнения п %
1 Пневмоторакс 4 5
2 Гемоторакс 1 1,25
3 Кровохарканье 1 1,25
Результаты цитологического исследования трансторакальных пункций
Результаты цитологического исследования п %
Плоскоклеточный рак легкого 17 21,25
Аденокарцинома легкого 41 51,25
Туберкулома легкого 4 5,0
Метастаз рака толстой кишки 4 5,0
Метастаз рака почки 2 2,5
Абсцесс легкого 2 2,5
Послевоспалительный 3 3,75
Верификации нет 4 5,0
фии органов грудной клетки рецидива гемоторакса не отмечено.
Кровохарканье было незначительным и купировано назначением гемостатической терапии.
Результаты патоморфологического исследования полученного материала представлены в табл. 5.
В 95% случаев диагноз был верифицирован, что позволило определить дальнейшую тактику лечения. Оперативное вмешательство выполнено 39 пациентам.
Полученные нами результаты указывают на высокую диагностическую ценность методики трансторакальной пункционной биопсии при очаговых образованиях в легком. Важным моментом является тщательная визуализация патологического очага с выбором направления введения иглы [26]. Именно этот момент обеспечивает применение мультиспиральной компьютерной томографии. Всем пациентам перед проведением процедуры выполняли диагностическую фибро-трахеобронхоскопию, но ни в одном из указанных случаев при исследовании промывных вод бронхов или мазков-отпечатков со слизистой оболочки бронхиального дерева морфологической верификации диагноза не удалось добиться, что совпадает с мнением других авторов [7, 12, 23].
Данная методика достаточно проста в выполнении и не требует использования дорогостоящего расходного материала, что может рекомендовать ее как метод выбора для верификации диагноза и определения дальнейшей тактики лечения у пациентов с очаговыми образованиями в легком при отлаженном взаимодействии торакальных хирургов и специалистов компьютерной томографии. Также бесспорными преимуществами является небольшая частота постманипуляционных осложнений (7,5%), большинство из которых возникли у пациентов с образованием в легком до 2 см в диаметре, что требует дальнейшего совершенствования методики.
Выводы. 1. Применение трансторакальной биопсии под контролем мультиспиральной компьютерной томографии позволило верифицировать диагноз и выбрать тактику лечения в 95% наблюдений.
2. Данная методика должна более широко применяться в общеклинических учреждениях из-за своей простоты, высокой диагностической ценности и небольшой длительности госпитализации пациентов и позволяет избежать диагностической торакоскопии или торакотомии.
3. Полученные в результате проведения вмешательства осложнения не носили тяжелого
характера и были купированы в сроки до 2 сут.
1. Давыдов М. И., Шолохов В. Н., Сенькин Ю. Г. Оценка метода игольной биопсии под контролем УЗИ при новообразованиях грудной полости и грудной клетки // Бюлл. ВСНЦ СО РАМН. 2005. № 3. С. 246.
2. Ищенко Б. И., Бисенков Л. Н., Тюрин И. Е. Лучевая диагностика для торакальных хирургов: Руководство для врачей. СПб.: Деан, 2001. 345 с.
3. Кудрявцев А. С., Аникеева О. Ю., Половников Е. С. и др. Лечение пациента с центральным раком левого легкого и врастанием опухоли в ствол левой легочной артерии // Патология кровообращения и кардиохирургия. 2015. № 3. С. 114-117.
4. Трахтенберг А. Х., Франк Г. А., Поддубный В. В. Крупноклеточный рак легкого // Росс. онкол. журн. 2006. № 1. С. 53-56.
5. Aktas A. R., Gozlek E., Yazkan R. et al. Transthoracic biopsy of lung masses: non technical factors affecting complication occurrence // Thorac. Cancer. 2015. Vol. 6. P. 151-158.
6. Birchard K. R. Transthoracic needle biopsy // Semin. Intervent. Radiol. 2011. № 28. P. 87-97.
7. Boskovic T., Stanic J., Pena-Karan S. et al. Pneumothorax after transthoracic needle biopsy of lung lesions under CT guidance // J. Thorac. Dis. 2014. Vol. 6. Suppl. 1. P. 99-107.
8. Bradman S., Ko J. P. Pulmonary nodule detection, characterization, and management with multidetector computed tomography // J. Thorac. Imaging. 2011. Vol. 26, № 2. P. 90-105.
9. Cardoso L. V., Souza Júnior A. S. Clinical application of CT and CT-guided percutaneous transthoracic needle biopsy in patients with indeterminate pulmonary nodules // J. Bras. Pneumol. 2014. Vol. 40, № 4. P. 380-388.
10. Chakrabarti B., Earis J. E., Pandey R. et al. Risk assessment of pneumothorax and pulmonary haemorrhage complicating percutaneous co-axial cutting needle lung biopsy // Respir. Med. 2009. Vol. 102, № 3. P. 449-455.
12. Chaye B., Bondelinger R. F. Imaging guided thoracic interventions // Eur. Respir. J. 2001. Vol. 17, № 3. P. 507-528.
13. Lal H., Neyaz Z., Nath A. et al. CT-guided percutaneous biopsy of intrathoracic lesions // Korean. J. Radiol. 2012. Vol. 13, № 2. P. 210-226.
14. Lee Y S., Lin G. Y., Han Y M. et al. Computed tomography-guided transthoracic needle aspiration biopsy of intrapulmonary lesions: utility of a liquid-based cytopreparatory technique II // Act. Cytol. 2008. Vol. 52, № 6. P. 665-670.
15. Liang W., Zhou X., Xu S. Transthoracic needle biopsy for pleural and peripheral lung lesions: ultrasonography vs CT scan guidance // Chest. 2014. Vol. 146, № 5. P. 171.
16. MacMahon H., Austin J. H. M., Gamsu G. Guidelines for management of small pulmonary nodules detected on CT scans. A statement from the Fleischer Society // Radiology. 2005. Vol. 237, № 2. P. 395-400.
17. Mandaric D., Stojiljkovic D., Miletic N. et al. Preoperative procedures in diagnosis of central and peripheral lung cancer // Acta Chir. Iugosl. 2006. Vol. 53, № 3. P. 35-39.
18. Okuma T., Matsuoka T., Yamamoto A. et al. Frequency and risk factors of various complications after computed tomography-guided radiofrequency ablation of lung tumors // Cardiovasc. Intervent. Radiol. 2008. Vol. 31, № 1. P. 122-130.
19. Reddy C., Chilla D., Boltax J. Lung cancer screening: a review of available data and current guidelines // Hosp. Pract. (Minneap.). 2011. Vol. 39, № 4. P. 107-112.
20. Schneider F., Smith M.A., Lane M. C. et al. Adequacy of core needle biopsy specimens and fine-needle aspirates for molecular testing of lung adenocarcinomas // Am. J. Clin. Pathol. 2014. Vol. 43, № 2. P. 193-200.
21. Siegel R., Ma J., Zou Z., Jemal A. Cancer Statistics, 2014 // CA: A Cancer Journal for Clinicians. 2014. Vol. 64, № 1. P. 9-29.
22. Solli P., Spaggiari L. Indications and development of video-assisted thoracic surgery in the treatment of lung cancer // Oncologist. 2007. Vol. 12, № 10. P. 1205-1214.
23. Travis W. D., Rekhtman N. Pathological diagnosis and classification of lung cancer in small biopsies and cytology: strategic management of tissue for molecular testing // Semin. Respir. Crit. Care Med. 2011. Vol. 32, № 2. P. 22-31.
24. Vural Q., Yildiz K., Qabuk D. et al. Transthoracic fine-needle aspiration cytology of non-invasive, low-grade urothelial carcinoma with lung metastasis: a case report with review of the literature // J. Cutol. 2015. Vol. 32, № 2. P. 132-135.
25. Wiren R. S., Schwartz L. M., Woloshin S. et al. Population-based risk for complications after transthoracic needle lung biopsy of a pulmonary nodule: an analysis of discharge records // Ann. Intern. Med. 2011. Vol. 155, № 4. P. 137-144.
26. Yang W., Sun W., Li Q. et al. Diagnostic accuracy of CT-guided transthoracic needle biopsy for solitary pulmonary nodules // PLos One. 2015. Vol. 10, № 6. P. 15-20.
Поступила в редакцию 15.04.2016 г.
E. A. Drobyazgin1, 2, A. S. Kudryavtsev2, Yu. V. Chikinev1, A. A.Zheravin2, E. M. Blagitkoi, S. G. Shtofini, O. A. Shumkovi
TRANSTHORACIC PUNCTURE BIOPSY IN DIAGNOSTICS OF FOCAL LESIONS OF THE LUNG
i Department of hospital and children surgery, Novosibirsk State Medical University; 2 E. N. Meshalkin Novosibirsk Research Institute of Pathology of Circulation
The transthoracic puncture biopsy was performed under surveillance of X-ray computed tomography in order to verify diagnoses in 80 patients with lung tumors. This procedure allowed verification of diagnosis and choice of treatment strategy in 95% of cases. The complications obtained as result of intervention didn't bring severe character and were arrested in term of two days.
Трансторакальная биопсия легкого
![ТрансторакальнаяБиопсияЛегкого]()
Трансторакальная биопсия как диагностический метод обладает бесспорными плюсами:
- Простота;
- Быстрота;
- Высокая информативность.
Используя его, врач может с точностью поставить диагноз при заболеваниях легких, а также иных органов полости груди.
Проводится процедура взятия биоптата с использованием КТ либо МСКТ. Подобный контроль повышает и без того высокую точность методики.
Сегодня врачи используют три вида трансторакального исследования:
- Аспирационный;
- Открытый;
- Видеоассистированный.
К первому виду прибегают, когда очаг заболевания локализуется рядом со стенкой грудной клетки. Показания к применению – солитарные опухоли и поражение легкого диссеминированного характера.
Проводя исследование открытое, делают разрез грудной стенки, что более травматично и может считаться полноценной хирургической манипуляцией. Плюсами становятся возможность забора биоптата из обширного участок легкого и то, что глубина локации патологического очага не имеет значения.
Видеоассистированный вариант используют с применением эндоскопа, который вводят в плевральную полость. Прибор оснащен видеокамерой и специальными инструментами. По сравнению с предыдущим вариантом, данный подход не требует значительных разрезов и, соответственно, он менее травматичен.
Выбор того или иного варианта зависит от ряда факторов, среди которых общее состояние исследуемого, вид повреждения легкого, глубина локации очага заболевания.
Показания
Исследование имеет целью постановки окончательного диагноза. Среди множества патологий легких наиболее серьезным является злокачественные опухоли. Поэтому использование метода очень важно для диагностики заболевания на ранних его стадиях, а также с точки зрения выбора тактики лечения и при отсутствии возможности использовать иные диагностические методы.
Противопоказания
Противопоказаниями к проведению исследования являются:
- Неконтролируемый кашель;
- Значительные заболевания сердечно-сосудистой группы;
- Декомпенсированная дыхательная недостаточность;
- Поражение легких метастазами;
- Невозможность пациента удерживать статическое положение в течение всей процедуры
- Завершающая стадия диффузного заболевания легких, некоторые иные.
![]()
Под контролем УЗИ
В ряде случаев исследование проводят посредством УЗИ-контроля. Это делается для того, чтобы понять характер новообразований, находящихся в органах, таких как легкие, плевра, средостение.
Проведение исследования помогает провести дифференциацию злокачественных и доброкачественных опухолей.
Высокая точность метода позволяет добиться установки правильный диагноз в более чем 90% случаев.
Подготовка и проведение
Перед проведением исследования врач должен объяснить пациенту, какие риски и осложнения могут иметь место.
Врачу необходимо знать полную картину состояния здоровья пациента – есть ли заболевания крови, протезы и имплантаты, аллергия и т.д.
Сам пациент должен подготовиться к процедуре заранее. Ему необходимо не принимать пищу за 6-8 часов до нее, отказаться от приема некоторых медицинских препаратов, например, Аспирина, снять линзы и украшения.
Если у пациента хронический кашель и мокрота с примесью крови, процедуру выполняют посредством бронхоскопа, который вводят либо через рот, либо через нос.
В качестве обезболивания используют анестезию местную, для открытого варианта и видео торакоскопии используют общий наркоз.
В случае саркоидоза исследование играет роль основной процедуры диагностики. Врач, имея на руках результаты гистологического анализа, способен оценить степень развития опухоли и назначить соответствующее лечение.
При подозрении на опухоль легкого врач назначает бронхоскопию и чрезкожный вариант биопсии пункционной. Используется контроль КТ.
Для взятия биоптата используют следующие виды игл:
- Аспирационная (диаметр 21G). Используя ее, изымают клеточный биоптат, необходимый для анализа цитологического.
- Трепанационная (диаметр 14G). Внутри иглы находится заглушка. При введении иглы в ткань опухли заглушку извлекают и в образовавшийся просвет вводят стилет. Им отщипывают биоптат, необходимый для исследования гистологического.
После извлечения иглы прокол закрывается повязкой. Кроме того, пациенту делают рентген грудной клетки, чтобы исключить пневмоторакс.
Открытый вариант исследования проводят под общим наркозом. Необходим разрез длиной до 8 сантиметров в 3-4 межреберье.
На область разреза накладывают шов либо скобы, а затем отсекают ткань легкого. После манипуляции устанавливают дренаж, место разреза закрывают швом и стерильной повязкой.
Вмешательство достаточно травматичное, однако есть возможность визуализации процесса, а также забора значительного фрагмента для исследования.
Важную роль в проведении исследования играет квалификация и опыт врача.
Возможные осложнения
Одно из возможных осложнений – пневмоторакс. Он представляет собой скопление газа либо воздуха в полости плевры. Возникает в большинстве случаев исследования пункционного. Симптом данного осложнения – болевой синдром в груди и затруднение дыхания.
Чаще осложнение проходит само, в случаях тяжелых скопление эвакуируют с помощью шприца.
Еще одно осложнение – кровохарканье. Проходит само через некоторое время.
Легочное кровотечение. Признак данного осложнения – кашель с мокротой, где наблюдается примесь крови. Как последствия могут выступать одышка, носовое и горловое кровотечение.
Чтобы убрать осложнение, необходима бронхоскопии либо повторная манипуляция с проведением гемостаза.
Читайте также:







