Трансудат и эксудат. Гидроторакс и эксудативный плеврит
Добавил пользователь Владимир З. Обновлено: 27.01.2026
Статья посвящена дифференциальной диагностике плевральных выпотов. Дана поэтапная схема этиологической диагностикм выпота с учетом возможностей многопрофильной больницы. Приводится алгоритм действий врача при диагностике выпота, упоминаются все основные причины патологического скопления жидкости в плевральной полости.
The paper considers differential diagnosis of pleural exudates, presents a stepped scheme of etiological diagnosis of exudate in terms of the capacities of a multidisciplinary hospital, gives an algorythm of a physician's actions while diagnosing the exudate, lists all main causes of abnormal accumulation of fluid in the pleural cavity.
С.Л. Маланичев, Г.М. Шилкин.
Отделение пульманологии СПГМ и М, Москва
S.L. Malanichev, G.M. Shilkin
Departament of Pulmonology, SPHWM, Moscow
Н есмотря на богатый опыт, накопленный отечественной и зарубежной медициной по диагностике, тактике ведения и лечения экссудативных плевритов, они по-прежнему остаются проблемой в плане установления их этиологической принадлежности.
| Плевральный выпот - это скопление патологической жидкости в плевральной полости при воспалительных процессах в прилежащих органах или листках плевры или же при нарушении соотношения между коллоидно-осмотическим давлением плазмы крови и гидростатическим давлением в капиллярах. |
Симптоматика плеврального выпота разнообразна и во многом определяется патологическим процессом, вызвавшим его, и количеством жидкости в плевральной полости. Основными симптомами плеврального выпота являются сухой кашель, одышка и чувство тяжести на пораженной стороне. Плевральные или ноющие боли в грудной клетке говорят о воспалительном процессе в париетальной плевре, хотя получены убедительные данные о наличии "неспецифических ноцицепторов" в легких и других органах и их важной роли в возникновении висцеральной боли (А. Malliani, F. Lombardi, 1982; H. Blumberg и соавт., 1983). Небольшой плевральный выпот не оказывает значительного влияния на функцию легкого и может не давать клинической симптоматики.
Установление наличия плеврального выпота с помощью физикальных методов обследования, как правило, не вызывает затруднений. Укорочение легочного тона, ослабление голосового дрожания и дыхания на пораженной стороне с большой степенью вероятности свидетельствуют о наличии значимого количества жидкости в плевральной полости.
Следующим этапом является рентгенологическое исследование, позволяющее уточнить наличие, локализацию выпота и состояние органов средостения. Локализация выпота не имеет решающего значения, хотя правосторонняя локализация более характерна для застойных выпотов. При массивных выпотах важно обращать внимание на положение средостения. При опухоли или инфильтративном процессе в средостении оно будет зафиксировано. Смещение в сторону выпота указывает на то, что поражено легкое на стороне выпота и смещение происходит из-за его гиповентиляции или ателектаза.
Причины плеврального выпота
Менее частые
При массивном плевральном выпоте, как правило, выроятно метастатическое поражение плевры, что, однако, встречается и при застойных выпотах, реже при туберкулезных. Во всех случаях затемнения заднего реберно-диафрагмального синуса или нечеткости контура диафрагмы следует прдположить наличие выпота в плевральной полости.
Иногда по неизвестным причинам значительное количество жидкости скапливается над нижней долей легкого, не переходя в реберно-диафрагмальный синус. Такой тип скопления называется наддиафрагмальным, или базальным, плевральным выпотом.
Исследование плевральной жидкости
Рентгенологически определяется высокое стояние купола диафрагмы, а в случае левосторонней локализации нижняя граница легкого расположена дальше, чем обычно, от воздушного пузыря в желудке. Клинико-рентгенологически заподозрить базальный выпот важно, так как это является показанием для обследования больного в положении лежа.
Возможно атипическое расположение выпота в силу изменения эластической тяги пораженного участка легкого. Атипическое скопление жидкости свидетельствует о том, что помимо воспаления плевральных листков имеется заболевание паренхимы.
В результате спаечного процесса жидкость может осумковаться в любом месте между париетальной и висцеральной плеврой или в области междолевых щелей. Чаще всего это связано с острыми бактериальными инфекциями. Осумкованная жидкость в междолевых щелях обычно видна в боковых проекциях и напоминает двояковыпуклую линзу.
Иногда для дифференциации осумкованного плеврального выпота, ателектаза и инфильтрата легочной ткани можно использовать УЗИ, которое также может помочь в определении места торакоцентеза при осумкованных и небольших выпотах.
При наличии горизонтального уровня жидкости на рентгенограммах проводится дифференциальная диагностика между осумкованным пиопневмотораксом, гидропневмотораксом и периферическим абсцессом легкого. Горизонтальный уровень жидкости в плевральной полости свидетельствует о наличии воздуха.
Следующим, пожалуй самым важным, этапом диагностики является торакоцентез, который выполняется для дифференциации экссудативного и транссудативного выпота, исследования клеточного состава плевральной жидкости и оценки состояния легкого.
Диагностический торакоцентез показан больным, у которых толщина слоя жидкости на рентгенограммах в положении лежа на боку больше 10 мм или имеется осумкованный плевральный выпот, выявленный с помощью УЗИ (Р.У. Лайт , 1986).
В зависимости от цвета, прозрачности, относительной плотности, биохимического и цитологического состава выделяют два вида плевральных выпотов - экссудат и транссудат. Помимо этого в плевральной полости возможно скопление крови (гематоракс) и лимфы (хилоторакс).
Транссудат представляет собой прозрачную, желтоватого цвета жидкость с относительной плотностью 1,015, низким содержанием белка (менее 20 г/л) и отсутствием наклонности к свертыванию при длительном стоянии. Для транссудата характерна низкая, менее 1,6 ммоль/(л.г), активность лактатдегидрогеназы (ЛДГ), отношение ЛДГ выпота к ЛДГ сыворотки крови ниже 0,6, отношение белка выпота к белку сыворотки крови ниже 0,5 ( В.Г.Григорян и соавт., 1986).
Накопление транссудата в плевральной полости называется гидротораксом.
Большинство транссудатов и некоторые экссудаты прозрачны, соломенно-желтого цвета, невязкие и не имеют запаха.
Повышенная вязкость плевральной жидкости свидетельствует о повышенном содержании гиауроновой кислоты, что встречается у больных с мезотелиомой плевры.
Красноватая или коричневатая плевральная жидкость свидетельствует о наличии в ней крови, соответственно свежей или длительно находившейся там.
Мутный плевральный выпот, имеющий молочную окраску, свидетельствует о наличии хилоторакса. Иногда хилезный выпот может быть принят за эмпиему плевры. Центрифугирование жидкости из плевральной полости вносит ясность. Хилезный выпот остается мутным.
Хотя вид плевральных выпотов и не имеет решающего диагностического значения, тем не менее после разграничения их на экссудат и транссудат можно представить примерный спектр этиологической принадлежности.
I. Транссудативные плевральные выпоты
1) застойная сердечная недостаточность;
2) тромбоэмболия легочной артерии;
3) нефротический синдром (гломерулонефрит, липоидный нефроз, амилоидоз почек и др.);
4) цирроз печени;
5) микседема.
II. Экссудативные плевральные выпоты
Вследствие новообразований
1) первичная опухоль плевры (мезотелиома);
2) метастатические опухоли;
3) лейкозы.
Вследствие инфекционных заболеваний
1) туберкулез;
2) бактериальные инфекции;
3) грибковые инфекции;
4) паразитарные инфекции.
Вследствие заболеваний желудочно-кишечного тракта
1) ферментогенные (панкреатогенные);
2) внутрипеченочный или поддиафрагмальный абсцесс.
Вследствие диффузных заболеваний соединительной ткани
1) ревматизм;
2) ревматоидный артрит;
3) системная красная волчанка.
Вследствие других заболеваний и состояний
1) постинфарктный синдром Дресслера;
2) синдром Мейгса;
3) синдром "желтых ногтей" (врожденная гипоплазия лимфатической системы; характерны утолщенные и искривленные ногти желтого цвета, первичный лимфатический отек, реже экссудативный плеврит, бронхоэктазы),
4) лекарственная аллергия;
5) асбестоз;
6) уремия;
7) травмы грудной клетки;
8) гематоракс;
9) хилоторакс.
Следующий этап - исследование клеточного состава плевральной жидкости. Геморрагический экссудат содержит значительную примесь свежих и измененных эритроцитов, и трактовка его с диагностической точки зрения представляет наибольший интерес. По данным И.Б. Леви, А.А. Литвинова (1976), при геморрагических выпотах опухолевые процессы диагностируют у 71% больных, а при прогрессировании опухолевого процесса геморрагический выпот может встречаться у 78% больных.
Присутствие нейтрофилов в плевральной жидкости, клеток, включающихся в реакцию на острое воспаление, характерно для пневмонии, поддиафрагмального абсцесса. Если они составляет более 20% всего клеточного состава, то это является показательным для ранних стадий туберкулеза.
Присутствие 6 - 10% эозинофилов достаточно для диагностики эозинофильного выпота. Эозинофильный экссудат может встречаться при пневмониях, диффузных заболеваниях соединительной ткани, глистных инвазиях, грибковых заболеваниях, травмах (П.Г. Калмыков, Г.С. Первомайский, 1979; I.F.Beekman и соавт., 1974).
Наличие эозинофилов в парапневмоническом выпоте является хорошим прогностическим признаком. Такой выпот редко инфицируется. В большинстве случаев эозинофилия плевральной жидкости обусловлена присутствием воздуха или крови в плевральной жидкости (Р.У. Лайт , 1986).
Если в экссудативном плевральном выпоте более 50% лимфоцитов, это важный диагностический признак, позволяющий предположить наличие у больного туберкулеза или злокачественного заболевания.
Обнаружение клеток мезотелия в плевральной жидкости может иметь некоторое диагностическое значение. Присутствие мезотелиальных клеток для туберкулезных и парапневмонических выпотов нехарактерно.
Наибольшее число мезотелиальных клеток наблюдалось при инфаркте легкого, сердечный и почечной недостаточности (W. Matzel, 1970).
Макрофаги, базофилы и плазматические клетки, выявленные в плевральной жидкости, диагностического значения не имеют.
Использующиеся методики определения белков плевральной жидкости, таких как карциноэмбриональный антиген, орозомукоид, имеют диагностическое значение; однако использование их возможно далеко не в каждой лаборатории.
Биопсия плевры показана с целью диагностики злокачественного или туберкулезного плеврального выпота. Для получения патологического материала используют три вида биопсии плевры: торакоскопическую, операционную и пункционную. Гистологическое исследование биоптатов париетальной плевры позволяет верифицировать диагноз у 60-93% больных туберкулезным и 70% больных метастатическими плевритом (Н.С.Тюхин и соавт., 1984).
Торакоскопия применяется у тех больных, у которых в результате бронхоскопии, проведения анализа плевральной жидкости и биопсии плевры этиология плеврального выпота остается неясной.
Сканирование легких рекомендуется больным с плевральным выпотом, этиология которого не установлена после выполнения первоначальных диагностических исследований для исключения тромбоэмболии ветвей легочной артерии.
На основании опыта наших предшественников, данных литературы и собственной практики мы попытались коротко изложить основные моменты подхода к установлению этиологической принадлежности плеврального выпота.
Однако, несмотря на обилие методов, установление этиологической принадлежности плеврального выпота представляет определенную трудность и в известной степени зависит от опыта, интуиции практического врача и диагностических возможностей лечебного учреждения.
1. Болевой синдром. Под ред. В.А. Михайловича, Ю.Д. Игнатова. Л.: Медицина, 1990. 336 с.
2. Лайт Р.У. Болезни плевры. Пер. с англ. М. Медицина, 1986. 370 с.
3. Григорян В.Г., Кирюшина В.С., Шинкарева Т.И., Цимбаларь Г.Г. Значение некоторых биохимических показателей в клинике туберкулеза. Кишинев: Штинца, 1986. 141 с.
4. Леви И.Б., Литвинов А.А. Клиническая характеристика экссудативных плевритов различной этиологии. Пробл. туб. 1976 , с. 60-2.
5. Калмыков П.Г., Первомайский Т.С. Гельминтозы. Тропические болезни. Под ред. Е.П. Шуваловой. М.: Медицина, 1979. с. 419-33.
6. Beekman IF, Dosniak S., Canter HG. Eosinophilia and elevated g E concentration in a serous pleural effusion f ollowing trauma // Amer. Rev. resp. Dis. - 1974. - Vol. 110, № 4 - Р. 484-9.
7. Тюхтин Н.С., Берлова З.Д., Шведов Г.И. Диагностика и лечение больных туберкулезным экссудативным плевритом. Пробл. туб. - 1984. - №5 - с. 16.
8. Болезни органов дыхания: Руководство для врачей в 4 т. Под ред. Н.Р. Палеева. Т.2. Частная пульномология. С. 344-55.
Контент доступен под лицензией Creative Commons «Attribution» («Атрибуция») 4.0 Всемирная.
Гидроторакс
Информацию из данного раздела нельзя использовать для самодиагностики и самолечения. В случае боли или иного обострения заболевания диагностические исследования должен назначать только лечащий врач. Для постановки диагноза и правильного назначения лечения следует обращаться к Вашему лечащему врачу.
Гидроторакс: причины появления, при каких заболеваниях возникает, диагностика и способы лечения.
Определение
Гидротораксом называют патологическое состояние, характеризующееся скоплением избыточной жидкости в плевральной полости. Термин «гидроторакс» состоит из двух греческих корней: «hydor» – вода, «thorax» ‒ грудная клетка, что переводе буквально означает «грудная водянка».
Легкое человека покрыто двумя листками серозной оболочки – плеврой. Один из них плотно покрывает поверхность легких и их сосудов. Второй плотно прилежит к ребрам и органам, которые располагаются между легкими (сердцу, пищеводу, лимфоузлам и др.).
Основная задача плевры – участие в акте дыхания. В норме полость плевры содержит небольшое количество серозной жидкости, за счет которой листки легко скользят относительно друг друга, оберегая органы от излишнего трения и травмирования при дыхании. Если уровень жидкости между листками плевры превышает физиологическую норму, то говорят о наличии гидроторакса, что сопровождается характерной симптоматикой дыхательной недостаточности (одышкой, тяжестью в груди, цианозом носогубного треугольника).
Плевральный выпот вырабатывают капилляры межреберных артерий, а выводится лишняя жидкость лимфатической системой.
Накопление жидкости происходит только в случае увеличения ее поступления в полость плевры или блокирования ее обратного оттока.
При гидротораксе накапливающаяся жидкость имеет невоспалительный характер (транссудат) в отличие от экссудативного плеврита, при котором выпот имеет воспалительное происхождение (экссудат). Транссудат представляет собой прозрачную бесцветную или слегка желтоватую жидкость, имеет щелочную реакцию, уровень белка в нем не более 3%. Количество транссудата весьма вариабельно и может достигать нескольких литров.

Все неудобства и проблемы, которые вызывает гидроторакс, носят механический характер. Накапливаясь в плевральной полости, жидкость начинает давить на легкие и органы средостения. Большой объем жидкости в плевральной полости может спровоцировать тяжелое осложнение – острую дыхательную недостаточность, угрожающую жизни пациента. Кроме того, существует высокий риск смещения органов средостения, нарушения кровообращения и развития тяжелой сердечной патологии.
В отдельных случаях может происходить вторичное инфицирование с развитием гнойного воспалительного процесса в плевральной полости (эмпиемы плевры).
Разновидности гидроторакса
Классификация гидроторакса основывается на объеме и расположении жидкости:
- малый гидроторакс — жидкость находится в пределах реберно-диафрагмального синуса;
- средний гидроторакс — скопление жидкости наблюдается от угла до уровня середины лопатки;
- большой гидроторакс — уровень жидкости выше середины лопатки.
С учетом количества транссудата различают гидроторакс:
- осумкованный – ограничен спайками или другими тканями от большего участка плевральной щели, может находиться на любой поверхности плевры;
- частичный;
- тотальный.
Гидроторакс не является самостоятельным заболеванием, то есть развивается непременно на фоне другой болезни. Причиной его возникновения всегда оказывается хроническое или осложненное заболевание внутренних органов, а также побочный эффект от лечения. К основным причинам гидроторакса относят:
- нарушения проницаемости сосудистой стенки;
- расстройства лимфатического оттока;
- нарушения обмена электролитов;
- увеличения продукции альдостерона;
- повышения давления в системе сосудов малого круга кровообращения;
- физиологически низкого давления в плевральной полости.
Хроническая сердечная недостаточность, которая может быть связана с ишемической болезнью, пороками сердца, констриктивным перикардитом, миокардитами, хронической обструктивной болезнью легких.
Накопление транссудата в межплевральном пространстве происходит по причине венозного застоя в большом круге кровообращения.
Почечная недостаточность, которую сопровождает нефротический синдром. Является следствием болезней почек различного характера, которые предусматривают поражение почечных клубочков: гломерулонефритов, амилоидоза почек, коллагенозов, токсической нефропатии и др.
На фоне гипопротеинемии и гипоальбуминемии развиваются генерализованные отеки, гидроперикард, гидроторакс, асцит.
Алиментарная дистрофия, связанная с неполноценностью или недостаточностью питания (тяжелая форма белково-энергетической недостаточности). В этом случае выпот в плевральную полость напрямую связан с дефицитом витаминов В и С, снижением оттока лимфы.
Цирроз печени. Гидроторакс развивается у 5-10% больных в терминальной фазе цирроза печени, что указывает на наличие застойных явлений в системе крови. Он обусловлен гипоальбуминемией, портальной гипертензией, сопутствующим асцитом. Является следствием попадания асцитической жидкости из брюшной полости в плевральную через диафрагму.
Перитонеальный диализ. Эта процедура подразумевает ввод в брюшную полость большого объема жидкости, а потом ее удаление. Гидроторакс возникает вследствие перемещения диализирующего раствора из брюшной полости в плевральную. При этом в 90% случаев развивается правосторонний гидроторакс.
Опухоли. При онкологических заболеваниях часто наблюдается рецидивирующий гидроторакс, причиной которого может быть не только само злокачественное новообразование, но и его лечение с помощью лучевой или химиотерапии. Еще одна возможная причина – нарушение работы лимфатической системы из-за поражения лимфоузлов метастазами или прорастания раковой опухоли. Чаще всего скопление жидкости в легких происходит при раке легкого, молочной железы, яичника, желудка, тела и шейки матки, при меланомах, лимфомах, саркомах, лейкемии. При злокачественной опухоли плевры (мезотелиоме) повышается проницаемость сосудистой стенки капилляров. Жидкость из крови активно поступает в легкие, а ее откачка лимфатической системой, напротив, ухудшается. В результате возникает застой и скопление жидкости.
Микседема — недостаток гормонов щитовидной железы. Механизм образования транссудата при тяжелом гипотиреозе неизвестен. Предполагается, что это связано с застоем лимфы ввиду снижения выработки тиреоидных гормонов.
Тромбоэмболия легочной артерии. Выпот может иметь как характер транссудата, так и экссудата. Первый характерен для острого легочного сердца, второй – для инфаркта легкого.
Гидроторакс плода во время беременности. Причиной плеврального выпота у плода могут быть генетические проблемы; инфекции и пороки развития, особенно сердца или легких; ситуации, когда при резус-конфликте нарушается работа системы кровообращения. У новорожденных детей гидроторакс может возникнуть при обвитой пуповине или родовых травмах.
К каким врачам обращаться при гидротораксе
На наличие плеврального выпота указывают данные физикального осмотра и текущие жалобы пациента.

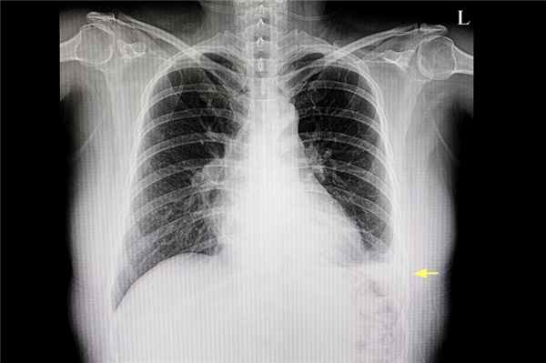
Рентгенологическое изображение легкого пациента, где виден плевральный выпот (желтая стрелка)
Первичный осмотр проводит врач-терапевт , врач общей практики или пульмонолог . Дальнейшее ведение больных осуществляется профильным специалистом: кардиологом , гепатологом, нефрологом, эндокринологом . В стационаре пациента наблюдает торакальный хирург.
Диагностика и обследования при гидротораксе
Симптомы гидроторакса становятся следствием сдавливания легких скопившейся жидкостью. Пациентов беспокоит чувство тяжести, давления в груди, сухой кашель, одышка. Если в плевральной полости накапливается большое количество транссудата, затрудняется отток крови из шейных вен. Тогда становится заметным их набухание. Наблюдается тотальная отечность тканей, скопление жидкости в брюшной полости, иногда – в перикарде. Характерными объективными признаками являются тахипноэ, асимметрия грудной клетки, ограничение подвижности пораженной стороны при дыхании, цианоз кожных покровов.
Врач выявляет наличие лишней жидкости в плевральной полости на начальных этапах осмотра. Специалист осматривает грудную клетку, проводит перкуссию (выстукивание) и аускультацию (выслушивание стетоскопом).
Для подтверждения гидроторакса применяется следующий диагностический алгоритм:
- Ультразвуковое исследование плевральных полостей позволяет выявить наличие даже минимального объема выпота в грудной полости, с высокой точностью определить его количество. Кроме того, ультразвук используется для постановки метки и контроля при проведении плевральной пункции.
Исследование плевральной полости для диагностики различные патологии легких, включая травматические повреждения плевры.
Плевральный выпот
Плевральный выпот – это скопление жидкости в плевральной полости, обусловленное различными причинами. Плевральный выпот делится на транссудат и экссудат. Для выявления причины плеврального выпота выполняется пункция плевральной полости с последующим исследованием полученной жидкости. Диагноз ставится на основани данных объективного обследования и рентгенографии органов грудной клетки. При наличии бессимптомного транссудата лечение не требуется. Если транссудат сопровождается клинической симптоматикой или имеется экссудат, проводятся пункция и дренирование плевральной полости, плеврэктомия или комбинация этих методов.
Этиология плеврального выпота
Плевральные выпоты обычно классифицируются как
Классификация выпотов основана на лабораторных характеристиках жидкости (см. таблицу Критерии выявления экссудативных плевральных выпотов [Criteria for Identifying Exudative Pleural Effusions] Критерии экссудативного плеврального выпота ). Независимо от того, является транссудат односторонним или двусторонним, его обычно можно лечить без проведения обширных обследований, в то время как причина его появления требует изучения. Есть множество причин (см. Таблицу Причины плеврального выпота [Causes of Pleural Effusion] Причины плеврального выпота* ).
Транссудат образуется при увеличении гидростатического давления и уменьшении онкотического давления плазмы. Наиболее частой причиной появления транссудата является сердечная недостаточность Сердечная недостаточность (СН) Сердечная недостаточность (СН) – синдром дисфункции желудочков сердца. Левожелудочковая недостаточность приводит к развитию одышки и быстрой утомляемости, правожелудочковая недостаточность –. Прочитайте дополнительные сведенияЭкссудат образуется при наличии местных процессов, приводящих к увеличению проницаемости капилляров, в результате в плевральную полость попадает плазма крови, белок, форменные элементы и другие компоненты. Наиболее частыми причинами появления экссудата являются: пневмония Обзор пневмонии (Overview of Pneumonia) Пневмония – это острое инфекционное воспаление легких. Первоначальный диагноз ставится на основании данных рентгенографии органов грудной клетки и клинических исследований. Причины, симптомы. Прочитайте дополнительные сведения , рак, тромбоэмболия легочной артерии Тромбоэмболия Легочной Артерии (ТЭЛА) Тромбоэмболия легочной артерии – это окклюзия легочных артерий тромбами любого происхождения, чаще всего образующихся в крупных венах ног или малого таза. Факторами риска тромбоэмболии легочной. Прочитайте дополнительные сведения .
Синдром жёлтых ногтей - это редкое расстройство, которое проявляется в хронических экссудативных плевральных выпотах, лимфедеме и дистрофических желтых ногтях - все эти симптомы считаются результатом нарушения лимфооттока.
Хилезный выпот (хилоторакс) – это выпот молочно-белого цвета с высоким содержанием триглицеридов, в результате травматических или опухолевых (как правило, лимфомы) повреждений грудного лимфатического протока. Хилоторакс также наблюдается при синдроме верхней полой вены.
Лимфоподобный (холестериновый или псевдохиллезный) выпот напоминает хилезный выпот, но имеет низкое содержание триглицеридов и высокое содержание холестерина. Считается, что лимфоподобный выпот появляется в результате высвобождения холестерина из лизированных эритроцитов и нейтрофилов при длительно существующем выпоте, когда отток жидкости из плевральной полости нарушается вследствие утолщения плевры.
Гемоторакс – это скопление крови в плевральной полости (гематокрит плеврального выпота составляет > 50% гематокрита периферической крови), обусловленное травмой, реже – коагулопатией или разрывом крупного сосуда - аорты или легочной артерии.
Эмпиема плевры – это скопление гноя в плевральной полости. Эмпиема плевры может быть осложнением пневмонии, торакотомии, абсцесса легкого, абсцесса печени, поддиафрагмального абсцесса, проникающей травмы (вторичная инфекция). Самопроизольное вскрытие эмпиемы приводит к проникновению гноя в мягкие ткани, инфицированию грудной стенки и наружному дренированию гнойного очага.
Панцирное легкое – это легкое, покрытое фиброзной капсулой, появление которой обусловлено эмпиемой плевры или опухолью. Поскольку легкое не расправляется, давление в плевральной полости снижается, что приводит к транссудации плазмы крови из капилляров париетальной плевры. По содержанию различных компонентов плевральный выпот при панцирном легком представляет собой нечто среднее между транссудатом и экссудатом, т.е. увеличение биохимических показателей не превышает 15% согласно критериям Лайта (см. таблицу Критерии экссудативного плеврального выпота [Criteria for Identifying Exudative Pleural Effusions] Критерии экссудативного плеврального выпота ).
Ятрогенный плевральный выпот может быть вызван миграцией или смещением пищевого зонда в трахею или перфорацией верхней полой вены центральным венозным катетером, что приводит к попаданию пищи или растворов, вводимых внутривеннно, в плевральную полость.
Плевральный выпот без видимой причины возникает при бессимптомной тромбоэмболии легочной Тромбоэмболия Легочной Артерии (ТЭЛА) Тромбоэмболия легочной артерии – это окклюзия легочных артерий тромбами любого происхождения, чаще всего образующихся в крупных венах ног или малого таза. Факторами риска тромбоэмболии легочной. Прочитайте дополнительные сведения или раке. В 15% случаев причину установить не удается даже после тщательного обследования. Во многих случаях появление плеврального выпота обусловлено вирусной инфекцией.
Симптомы и признаки плеврального выпота
В некоторых случаях плевральный выпот протекает бессимптомно и является случайной находкой при объективном обследовании или рентгенографии грудной клетки. К симптомам плеврального выпота относится одышка и/или плевритическая боль. Плевритическая боль, неопределенный дискомфорт или острая боль в грудной клетке, которая усиливается на вдохе, указывают на воспаление париетального листка плевры. Как правило, боль локализуется в зоне воспаления, но может наблюдаться иррадиация. Задняя и периферические части диафрагмальной плевры иннервируют 6 нижних межреберных нервов и их раздражение вызывает боль в нижних отделах грудной клетки или в брюшной полости. Раздражение центральной части диафрагмальной плевры, которую иннервируют диафрагмальные нервы, вызывает боль, иррадиирущую в шею и плечо.
При объективном обследовании наблюдается отсутствие голосового дрожания, притупление перкуторного звука и ослабленное дыхание на стороне выпота. Указанные симптомы могут быть вызваны утолщением плевры. При большом объеме выпота дыхание частое и поверхностное.
Классическим симптомом является шум трения плевры, хотя он встречается нечасто. Его выраженность варьирует от непостоянных звуков, напоминающих потрескивание, до интенсивного хруста на вдохе и выдохе. Шум трения рядом с сердцем (плевроперикардиальный шум) может варьироваться в зависимости от сердечного ритма и может быть спутан с шумом трения перикарда. Шум трения перикарда лучше всего прослушивается по левой границе грудины в 3-м и 4-м межреберном пространстве, имеет характерное пилящие звучание, синхронное с сердцебиением, и существенно не изменяется при дыхании. Чувствительность и специфичность объективного обследования для выявления выпота, вероятно, низкие.
Диагностика плеврального выпота
Рентгенография грудной клетки
Анализ плеврального выпота
В некоторых случаях КТ-ангиография или другие методы исследования
Плевральный выпот следует заподозрить при наличии плевритической боли, необъяснимой одышки и других симптомов. Диагностические исследования назначаются с целью подтверждения наличия плеврального выпота и определения его причины (см. рисунок Диагностика плеврального выпота Диагностика плеврального выпота ).
Наличие плеврального выпота
Для подтверждения наличия плеврального выпота, прежде всего, проводится рентгенография органов грудной клетки в положении стоя. При подозрении на плевральный выпот необходимо проанализировать снимок в боковой проекции. Затемнение в области заднего реберно-диафрагмального синуса свидетельствует о наличии 75 мл жидкости. При затемнении латерального реберно-диафрагмального синуса объем плеврального выпота составляет не менее 175 мл, но может достигать 500 мл. Большой плевральный выпот визуализируется как затемнение части легочного поля, может наблюдаться смещение средостения; если объем выпота > 4 л, может наблюдаться затемнение всего легочного поля и смещение средостения в противоположную сторону.
Ограниченный выпот формируется при наличии плевральных спаек или располагается в междолевых щелях. Если природа затемнения не ясна или не удается определить, является ли выпот ограниченным или свободным, необходимо выполнить рентгенографию органов грудной клетки в боковой проекции в положении лежа, КТ органов грудной клетки или ультразвуковое исследование. Данные исследования более чувствительны, чем рентгенография в положении стоя, и позволяют обнаружить жидкость объемом менее 10 мл. Ограниченный выпот, особенно в горизонтальной или косой междолевых щелях, может быть ошибочно принят за солидное образование (ложная опухоль). Форма и размеры выпота меняются при изменении положения пациента и количества жидкости.
КТ регулярно используется для оценки паренхимы легкого, закрытой выпотом, на предмет наличия инфильтратов или опухолей, для уточненя данных рентгенографии, для дифференциальной диагностики ограниченного выпота и солидных образований.
Причина плеврального выпота
Пункция плевральной полости Методика проведения торакоцентеза Торакоцентез представляет собой аспирацию плеврального экссудата с помощью пункционной иглы. Данная манипуляция может быть проведена с целью диагностики и/или лечения. Диагностический торакоцентез. Прочитайте дополнительные сведения проводится практически всем пациентам, у которых объем плеврального выпота по данным КТ, ультразвукового исследования или рентгенографии в боковой проекции в положении лежа составляет ≥ 10 мм, а также пациентам, у которых выпот выявлен впервые, или с выпотом неустановленной этиологии. В целом, при сердечной недостаточности с симметричным плевральным выпотом, отсутствии боли в груди или лихорадки пункция плевральной полости не нужна – таким пациентам показаны диуретики; пункция плевральной полости проводится только в том случае, если выпот сохраняется в течение ≥ 3 дней.
Если плевральный выпот носит хронический характер, его причина установлена и он имеет бессимптомное течение, пункция плевральной полости не проводится.
Здравый смысл и предостережения
Рентгенография органов грудной клетки после пункции плевральной проводится тольков при появлении симптомов, позволяющих заподозрить пневмоторакс (одышка или боль в груди), или в том случае, если в плевральную полость мог попасть воздух.
При возможности выполняют торакоцентез под ультрасонографическом контролем, что увеличивает выход жидкости и снижает риск осложнений, таких как пневмоторакс или прокол внутрибрюшинных органов.
Исследование плеврального выпота выполняется с целью установления его причины. Сначала проводится визуальная оценка, которая позволяет:
Дифференцировать геморрагический и хилезный (или лимфоподобный) выпот с другими видами выпота
Установить наличие гнойного выпота, свидетельствующего об эмпиеме плевры
Оценить вязкость выпота, поскольку выпот высокой вязкости характерен для некоторых мезотелиом
В дальнейшем необходимо определить общий белок, лактатдегидрогеназу (ЛДГ), клеточный состав с подсчетом количества клеток, провести окрашивание по Граму и выполнить посев на аэробные и анаэробные питательные среды. В определенных клинических ситуациях проводят другие тесты: измерение уровня глюкозы, цитологическое исследование, тест на маркеры туберкулеза ( аденозин дезаминаза или интерферон-гамма), измерение уровня амилазы, окрашивание и посев на микобактерии и грибы.
Анализ жидкости позволяет дифференцировать транссудат от экссудата; существует большое количество критериев, которые позволяют дифференцировать 2 вида выпота, но ни один из них не является универсальным. При использовании критериев Лайта (см. таблицу Критерии экссудативного плеврального выпота Критерии экссудативного плеврального выпота ) необходимо определить уровень ЛДГ и общего белка в сыворотке крови, а затем сравнить с показателями для плеврального выпота. Критерии Лайта позволяют почти всегда выявить экссудат, однако в 20% случаев ошибочно определяет транссудат как экссудат. При подозрении на транссудат (например, сердечная недостаточность или цирроз печени), в том случае когда увеличение биохимических показателей не превышает < 15% согласно критериям Лайта, используется разница содержания белка в сыворотке крови и плевральном выпоте. Если разница составляет > 3,1 г/дл (> 31 гр/л), следует думать о транссудате.
Также может быть полезной визуализация. Если анализ плеврального выпота не позволяет поставить диагноз, выполняется КТ-ангиография. Она используется для выявления эмболов в легочной артерии, инфильтратов легких или поражения средостения. При наличии эмболов пациенту назначается длительная антикоагулянтная терапия, при наличии паренхиматозного инфильтрата проводится бронхоскопия, при поражениях средостения – трансторакальная аспирационная биопсия или медиастиноскопия. Однако при выполнении КТ-ангиографии пациент должен задержать дыхание как минимум на 24 секунды; не все пациенты могут это сделать. Если КТ-ангиография также не позволяет установить диагноз, при наличии симптомов, указывающих на рак или туберкулез Торакоскопия и видеоассистированная торакоскопическая хирургия Торакоскопия – это процедура введения эндоскопа в плевральную полость с целью визуализации. Торакоскопия может использоваться с целью визуализации плевральной полости (плевроскопия) или для. Прочитайте дополнительные сведения (снижение массы тела, лихорадка и т.д.), проводится торакоскопия. Если не удается выполнить торакоскопию, проводится пункционная биопсия плевры. Если присутствуют плевральное утолщение или плевральные узелки, КТ или ультразвуковая биопсия будут полезными для диагностики.
При подозрении на туберкулезный плеврит определяют уровень аденозин дезаминазы в плевральном выпоте. Уровень > 40 ед/л (667 нкат/л) имеет чувствительность 95% и специфичность для диагностики туберкулезного плеврита.
Трансудат и эксудат. Гидроторакс и эксудативный плеврит
Трансудат и эксудат. Гидроторакс и эксудативный плеврит
Транссудат представляет собой прозрачную жидкость желтоватого цвета с относительной плотностью менее 1,015, низким содержанием белка (менее 20 г/л). Нормальная плевральная жидкость представляет собой транссудат. В большинстве случаев при цитологическом исследовании транссудат содержит незначительное количество клеточных элементов, среди которых преобладают полиморфно-ядерные лейкоциты, лимфоциты или другие мононуклеары. При длительном существовании транссудативного плеврального выпота в плевре определяется отечность тканей, в ряде случаев — локальные участки фиброза или необильная лимфоидная инфильтрация.
Накопление транссудата в плевральной полости носит название гидроторакса. Накопление плевральной жидкости происходит в тех случаях, когда гидростатическое давление в капиллярах париетальной или висцеральной плевры повышено или онкотическое давление сыворотки крови при гипопротеинемии снижено в такой степени, что количество образующейся плевральной жидкости превышает количество выводимой. В результате этого накопление плеврального выпота происходит до тех пор, пока объемы всасываемой и образующейся жидкости не выровняются.
Разнообразие воспалительных выпотов (экссудатов) определяется степенью распространенности воспалительных изменений и особенностями их этиологического фактора.
Экссудативный плевральный выпот возникает в результате поражения плевры. Наиболее часто он образуется при увеличении проницаемости плевры для белка и связан с воспалительной экссудацией в плевральную полость в результате повышения проницаемости кровеносных капилляров в ее листках. Это приводит к повышению в плевральной полости онкотического давления вследствие нарастания концентрации белка, в результате чего в плевральную полость поступает жидкость. Объем выпота увеличивается до тех пор, пока количество выводимого лимфатическими сосудами белка не выровняется с количеством поступающего.
Рассасывание экссудативного выпота происходит медленнее, чем транссудата, поскольку определяется скоростью выведения белка, а не поступлением жидкости через плевру.

В этих случаях внутриплевральное давление значительно понижается, как следствие увеличивается градиент гидростатического давления, что приводит к накоплению плевральной жидкости.
У многих больных образование плеврального выпота вызвано одновременным действием нескольких механизмов.
В зависимости от клеточного состава различают два основных вида экссудата — серозный и гнойный; и несколько их разновидностей: серозно-фибринозный, серозно-геморрагический, эозинофильный; серозно-гнойный, гнойно-геморрагический, гнилостный, хилезный. Характер экссудата отражает особенности и динамику патофизиологических и патоморфологических процессов в листках плевры. Обычно через 10—14 дней от начала экссудации состав плеврального выпота становится стабильным, приобретая черты, характерные для определенной этиологии выпота. Четких критериев для разграничения серозного и гнойного экссудата не существует.
В настоящее время серозный экссудат преобладает среди плевральных выпотов и наблюдается при плевритах и пневмониях различной этиологии, злокачественных опухолях легких, плевры, молочной железы, матки и яичников, реже — при заболеваниях сердца, панкреатите, заболеваниях соединительной ткани. Он состоит преимущественно из плазмы, беден форменными элементами крови и дает незначительный осадок. В начальном периоде воспаления в серозном экссудате преобладают нейтрофилы, которые через 10—14 дней сменяются лимфоцитами.
Информация на сайте подлежит консультации лечащим врачом и не заменяет очной консультации с ним.
См. подробнее в пользовательском соглашении.
Плеврит
Плеврит - воспаление париетального и висцерального плевральных листков.
Плевральная полость ограничена висцеральной плеврой, покрывающей легкое, и париетальной плеврой, покрывающей грудную стенку и диафрагму. В норме, в плевральной полости, содержится небольшое количество жидкости, которая смазывает париетальную и висцеральную плевру, помогая в осуществлении механики дыхания. Количество жидкости в плевральной полости не превышает 1мл. Скорость выработки плевральной жидкости составляет 0,01 мл/кг/ч. Отток плевральной жидкости происходит в несколько раз быстрее, чем ее продукция, поэтому всегда поддерживается ее оптимальный баланс. При патологии - избыток жидкости движется в зону низкого давления и может накапливаться в виде плеврального выпота.
Экссудативный плеврит (плевральный выпот) , характеризуется повышенным скоплением жидкости в плевральной полости. Причиной плеврального выпота может быть либо увеличение проникновения жидкости в плевральную полость или уменьшение ее выведения.
Есть несколько факторов, которые могут вызвать повышенное скопление плевральной жидкости:
- Повышение гидростатического давления (например, застойная сердечная недостаточность);
- Снижение онкотического давления крови;
- Увеличение пространства, доступного для скопления плевральной жидкости (коллапс легкого);
- Повышение проницаемости микроциркуляторного русла;
- Неадекватный отток плевральной жидкости через лимфатическую систему;
- Трансдиафрагмальное движение асцитической жидкости в плевральную полость (при циррозе печени);
- Повышенная выработка жидкости из-за злокачественного поражения плевры и опухолей легких.
Правосторонний гидроторакс (рентгенография органов грудной клетки
КЛАССИФИКАЦИЯ ПЛЕВРАЛЬНОГО ВЫПОТА
Транссудат формируется вследствие увеличения гидростатического или снижения осмотического давления. Жидкость пропотевает через непораженные плевральные мембраны.
Экссудат накапливается при поступлении жидкости и белка через повреждённый барьер с повышенной проницаемостью.
КЛИНИЧЕСКАЯ КАРТИНА
Основными симптомами у пациентов с плевральным выпотом являются: боль в грудной клетке, которая возникает вследствие воспаления париетальной плевры, затруднение дыхания, нарастание одышки при физических нагрузках и в покое, слабость, появление сухого кашля, возникающего из-за сдавления лёгкого. При постепенном увеличении объема жидкости в плевральной полости нарастает одышка, при этом боль в грудной клетке может уменьшатся.
ДИФФЕРЕНЦИАЛЬНАЯ ДИАГНОСТИКА
Причины возникновения плеврального выпота
| Транссудат | Экссудат |
| Застойная сердечная недостаточность Нефротический синдром Цирроз печени Заболевания перикарда Микседема | Туберкулез Вирусные инфекции Грибковые инфекции Ревматоидный артрит Паразитарные инфекции СКВ Синдром Мейгса Хилоторакс Гемоторакс Мезотелиома плевры Синдром Дресслера Метастатическое поражение плевры Актиномикоз |
В большинстве случаев плеврит является осложнением какого-либо основного заболевания, например, застойной сердечной недостаточности, нефротического синдрома, цирроза печени, саркоидоза, туберкулёза, вирусной, грибковой инфекций, ревматоидного артрита и многих других различных нозологий. Важнейшим аспектом дифференциальной диагностики является разделение плеврального выпота на экссудат или транссудат, при этом учитывается концентрация белка, ЛДГ и клеточных компонентов.
Общепринятыми в диагностике экссудативного плеврита считаются критерии Лайта:
1) Отношение белка в плевральном выпоте к белку в плазме крови >0,5.
2) Отношение ЛДГ в плевральном выпоте к ЛДГ плазмы крови >0,6. 3) ЛДГ в плевральном выпоте >2/3 от верхней границы нормы ЛДГ плазмы крови.
ИНСТРУМЕНТАЛЬНАЯ ДИАГНОСТИКА
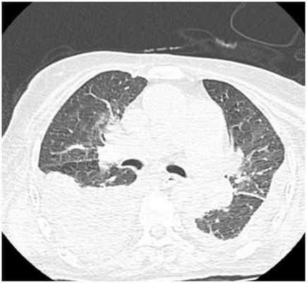
К инструментальным методам диагностики в первую очередь относится рентгенография органов грудкой клетки, однако данный метод может быть неинформативным при малых объемах плеврита (до 500 мл), поэтому к дополнительным методам инструментальных исследований относятся УЗИ плевральных полостей и КТ органов грудной клетки.
![]() | ![]() |
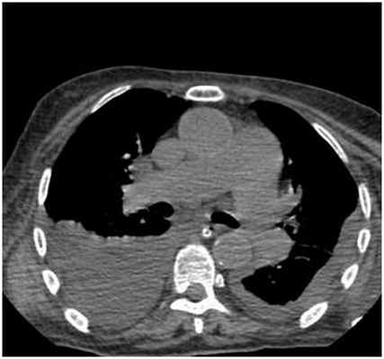
Двусторонний гидроторакс (компьютерная томография органов грудной клетки)
Основой диагностики плеврита является торакоцентез (плевральная пункция). Эта процедура может быть как диагностической, так и лечебной. При выполнении торакоцентеза плевральная жидкость отправляется на исследования (цитологическое, биохимическое, посев, цитоз и другие), которые помогают определить характер жидкости и установить причину ее накопления.
Если не удаётся установить диагноз, при необходимости, выполняется повторная плевральная пункция. Отдельного комментария требует плевральный выпот опухолевой природы, который возникает как на фоне первичного поражения плевры (мезотелиома плевры), так и при вторичном вовлечении плевры, на фоне злокачественных опухолей других локализаций. Метастатический плеврит является осложнением рака легкого, рака молочной железы, реже - рака яичников. Крайне-редко плевральный выпот может являться осложнением рака желудочно-кишечного тракта.
ЛЕЧЕНИЕ ПЛЕВРИТА

Торакоцентез После установления причины накопления жидкости в плевральной полости, необходимо приступить к лечению основного заболевания.
Проводится медикаментозная терапия, лечебно-диагностический торакоцентез. При необходимости выполняется дренирование плевральной полости. Также при рецидивирующем характере плеврального выпота и для уточнения диагноза выполняется видеоторакоскопическое оперативное вмешательство, при котором, с помощью специальной оптики, осуществляется осмотр плевры и поверхности лёгкого. Жидкость в плевральной полости подвергается дополнительному анализу и производится биопсия плевры, после чего полученный материал отправляется на гистологическое исследование, что помогает установить правильный диагноз. При опухолевых плевритах, имеющих, как правило, рецидивирующий характер, для предотвращения накопления плеврального выпота выполняется индукция плевродеза. Показанием для плевродеза является рецидивирующий и/или опухолевый плеврит, при отсутствии признаков фиксированного коллапса легкого.
На базе Центра интенсивной пульмонологии и торакальной хирургии СПбГБУЗ«ГМПБ№2» осуществляется оказание специализированной медицинской помощи пациентам с плевритами. Многолетний опыт работы, наличие в арсенале Центра современного оборудования и новейших технологий для диагностики и лечения этих состояний позволяет оказывать медицинскую помощь на уровне мировых экспертных центров.
Чтобы записаться на консультацию к врачу по поводу диагностики и лечения плеврита легких в нашем центре -

Выполнение лечебно-диагностического торакоцентеза справа

Видеоторакоскопическая плеврэктомия по поводу карциноматозного плеврита
Читайте также:


