Выбухающая дерматофибросаркома. Злокачественная фиброзная гистиоцитома.
Добавил пользователь Владимир З. Обновлено: 12.12.2025
Международная гистологическая классификация сарком мягких тканей (классификация Всемирной организации здравоохранения (далее - ВОЗ), 4-е издание, 2018 г.) [16]:
Вненадпочечниковая параганглиома, злокачественная Нехромаффинная параганглиома, злокачественная
Гломусная опухоль, злокачественная
Мезенхимальная опухоль, злокачественная
Саркома мягких тканей
Опухоль мягких тканей, злокачественная
Гигантоклеточная саркома (за исключением костей М-9250/3)
Десмопластическая мелко-кругло-клеточная опухоль
Солитарная фиброзная опухоль, злокачественная
Злокачественная фиброзная гистиоцитома
Пигментная дерматофибросаркома выбухающая
Липосаркома, дифференцированная Воспалительная липосаркома
Плеоморфная рабдомиосаркома, взрослый тип
Рабдомиосаркома смешанного типа
Смешанная эмбриональная рабдомиосаркома и альвеолярная рабдомиосаркома
Эмбриональная рабдомиосаркома, плеоморфная
Рабдомиосаркома с дифференцировкой ганглиев
Эндометриальная стромальная саркома,
Эндометриальная стромальная саркома высокой степени злокачественности
Эндометриальная стромальная саркома низкой степени злокачественности
Эндолимфатический стромальный миоз
Стромальная саркома, БДУ
Гастроинтестинальная стромальная саркома
Гастроинтестинальная стромальная опухоль, злокачественная ГИСО (GIST, GastroIntestinal Stromal Tumor), злокачественная
Смешанная опухоль, злокачественная,
Злокачественная рабдоидная опухоль
Светлоклеточная саркома почки
Смешанная мезенхимальная саркома
Листовидная (филлоидная) опухоль, злокачественная
Цистосаркома листовидная (филлоидная), злокачественная
Синовиома, БДУ Синовиома, злокачественная
Синовиальная саркома, веретеноклеточная
Синовиальная саркома, монофазная фиброзная
Синовиальная саркома, эпителиоидноклеточная
Синовиальная саркома, бифазная
Светлоклеточная саркома сухожилий и апоневрозов
Меланома, злокачественная, мягких тканей
Саркома из клеток Купфера
Эпителиоидная гемангиоэндотелиома, злокачественная
Внутрисосудистая бронхиально-альвеолярная опухоль
Множественная геморрагическая саркома
Злокачественная гигантоклеточная опухоль мягких тканей
Злокачественная теносиновиальная гигантоклеточная опухоль
Гигантоклеточная опухоль сухожильного влагалища, злокачественная
Периферическая нейроэктодермальная опухоль
Периферическая примитивная нейроэктодермальная опухоль, БДУ
ППНЭО (PPNET, Peripheral Primitive NeuroEctodermal Tumor)
Примитивная нейроэктодермальная опухоль, БДУ
ПНЭО (PNET, Primitive
NeuroEctodermal Tumor), БДУ Примитивная нейроэктодермальная опухоль центральной нервной системы, БДУ (C71
ЦНС-ПНЭО (CPNET, Central Primitive NeuroEctodermal Tumor) (C71
Супратенториальная ПНЭО (PNET, Primitive NeuroEctodermal tuomor
Злокачественная опухоль оболочек периферических нервов
ЗООПН (MPNST, Malignant Peripheral Nerve Sheath Tumor), БДУ
Эпителиоидная ЗООПН (MPNST) Меланотическая ЗООПН (MPNST) Меланотическая псаммоматозная ЗООПН (MPNST)
ЗООПН (MPNST) с железистой дифференцировкой
ЗООПН (MPNST) с мезенхимальной дифференцировкой
Злокачественная опухоль оболочек периферических нервов с рабдомиобластической дифференцировкой
Злокачественная шваннома с рабдомиобластической дифференцировкой ЗООПН (MPNST, Malignant Peripheral Nerve Sheath Tumor) с рабдомиобластической дифференцировкой
Выбухающая дерматофибросаркома. Злокачественная фиброзная гистиоцитома.
Выбухающая дерматофибросаркома. Злокачественная фиброзная гистиоцитома.
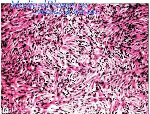
Выбухающая дерматофибросаркома самая частая злокачественная соединительнотканная опухоль кожи. По современным данным опухоль происходит из невральной соединительной ткани. Возникает чаше в зрелом возрасте у лиц обоего пола, редко у детей. Чаше на туловище (более 50%), реже на конечностях, голове, шее Подобно дерматофиброме вначале имеет вид бляшки на коже без четких границ, растет медленно. Позже выглядит в виде выбухающи.х узлов, рост которых бывает быстрым Растет в пределах дермы, позже проникает в подкожную клетчатку, может прорастать и подлежащую фасцию.
Микроскопически характеризуется наличием крупных фибробластоподобных клеток, отличается сегментированными ядрами и обилием митозов; встречаются немногочисленные гигантские клетки. Строма представлена преимущественно аргирофильными волокнами с небольшими тонкими прослойками коллагеновых волокон; часто образуются лимфоидные инфильтраты. Пучки клеток и волокон образуют «вихревые», «муаровые» лентообразные структуры. Возможно возникновение очагов миксочатоза, изъязвление кожи над опухолью Рецидивы возникают в 30% наблюдений, метастазы крайне редки и появляются при «неадекватной» терапии, обычно при рецидивах В последних по сравнению с первичной опухолью нарастает клеточный полиморфизм, увеличивается количество митзов.
Злокачественная фиброзная гистиоцитома впервые выделена как само стоятельная нозологическая форма в 1964 г. F. M. Enzinger S. W. Weiss (1978) под этим термином предложили объединить опухоли, определявшиеся как злокачественная фиброксантома и злокачественная гигантоклеточная опухоль мягких тканей. Состоит из двух типов клеток с признаками фибробластов и гистиоцитов. Нозологическая самостоятельность фиброзной гистиоцитомы до сих пор основывается на этих особенностях цитологической структуры. В настоящее время в литературе приводят все больше подтверждений, что она является самой частой мягкотканной саркомой, встречающейся у взрослых. Многие саркомы, которые раньше классифицировались как плеоморфные фибросаркомы, липосаркомы и рабдом носаркомы, теперь расцениваются как злокачественные фиброзные гистиоцитомы.
Опухоль встречается несколько чаще у мужчин, преимущественно в возрасте 40—70 лет, хотя может встречаться в любом возрасте, включая и детский.
Наиболее частой локализацией в мягких тканях является нижняя конечность, особенно бедро, реже — туловище, верхняя конечность, забрюшинное пространство и совсем редко — область головы и шеи. Почти в половине случаев опухоль располагается в глубоких отделах мягких тканей, чаще в мышцах, реже — в подкожной жировой клетчатке.
Продолжительность заболевания oт момента обнаружения может колебаться от 1 мес до 14 лет, чаще от 3 до 10 мес.
Макроскопически опухоль выглядит как плотный четко отграниченный узел или конгломерат из нескольких узлов, серовато-белого цвета на разрезе с наличием очагов некроза и кровоизлияний. Диаметр опухоли может достигать 20—30 см и более, но поверхностно расположенные узлы редко превышают 5 см в поперечнике. Больших размеров достигают глубокие поражения, особенно в крупных мышечных массивах или забрюшинном пространстве, где поперечник новообразования может составлять 10—15 см.

Микроскопическое строение злокачественной фиброзной гистиоцитомы характеризуется четким «диморфным» клеточным составом фибробластоподобными и гистиоцитоподобными элементами. Нередки и другие клеточные формы ксантомные, гигантские многоядериые клетки типа Тутона и типа остеокластов, воспалительные элементы, преимущественно лимфоплазмоцитарные. Характерны «муаровые» структуры, наряду с которыми могут встречаться поля фиброза, миксоматоз промежуточного вещества, скопления гигантских многоядерных клеток. Следует отметить, что количественное взаимоотношение клеточных элементов и структурные особенности опухоли значительно варьируют не только в разных опухолях, но и в разных участках одного и того же узла.
Преобладание в микроскопической картине тех или иных клеточных и структурных особенностей позволило F. M. Enzinger (1977) предложить следующие варианты строения типичный (фиброзный), миксоидиый, гигантоклеточный и воспалительный (ксантоматозный). К типичному варианту относят опухоли, в которых равномерно представлены оба клеточных типа, встречаются очаги фиброза, часты «муаровые» структуры. К миксоидному варианту откосят опухоли, в которых выражен миксоматоз промежуточного вещества, занимающий не менее половины площади среза узла. Опухоли, в которых на фоне типичных участков преобладают поля гигантских многоядерных клеток типа остеокластов, относят к гигантоклеточному варианту. Этот вариант является аналогом опухоли, рассматриваемой в классификации ВОЗ (Женева, 1969), как злокачественная гигантоклеточная опухоль мягких тканей. Опухоли в которых возникают скопления ксантомных клеток и выраженная воспалительная инфильтрация — чаще очаговая, реже диффузная, относят к воспалительному варианту. Типичный вариант опухоли является доминирующим и составляет около 2/3 всех наблюдений. Воспалительный вариант чаще встречается при забрюшинной локализации, а гигантоклеточный — преимущественно при глубоком расположении.
Число рецидивов по данным различных авторов колеблется от 44 до 68%, причем в половине случаев они бывают неоднократными, могут возникать спустя длительное время (до 8 лет) после иссечения первичной опухоли. Метастазы возникают в 40—45%, преимущественно в легкие (до 87%), в лимфатические узлы (30%). Показатель пятилетней выживаемости составляет около 60%.
Методом выбора лечения злокачественной фиброзной гистиоцитомы является широкая эксцизия опухоли или ампутация конечности (особенно после неоднократных рецидивов), дополняемые лучевой и химиотерапией.
Существует четкая зависимость показателей рецидивирования, метастазировання и пятилетней выживаемости от глубины расположения опухоли в толще мягких тканей поверхностно расположенные опухоли рецидивируют чаще (до 94.7%). реже метастазируют (до 21%), пятилетняя выживаемость достигает 94,6%. Глубокорасположенные — рецидивируют реже (до 67%), чаще метастазируют (до 54.5%), пятилетняя выживаемость не превышает 54,6% Крайне неблагоприятно «ведут» себя опухоли забрюшинной локализации— показатель пятилетней выживаемости составляет всего 14—16,7%. На прогноз влияет и размер опухоли При опухолях размером меньше 5 см показатель рецидивирования колеблется от 37,25%, показатель метастазирования от 33,3 до 44,4%, а показатель пятилетней выживаемости составляет 70%. При опухолях больше 10 см в поперечнике показатель рецидивирования колеблется от 39 до 68%, показатель метастазнрования от 57 до 85%, а показатель пятилетней выживаемости составляет только 26%. Никому из исследователей пока не удалось выявить статистически достоверной корреляционной связи между морфологическим вариантом злокачественной фиброзной гистиоцнтомы и ее течением. Можно только указать на более благоприятное течение миксо-идного варианта опухоли.
Следует отметить существование еще двух весьма своеобразных вариантов злокачественной опухоли из гистиоцитоподобных клеток мономорфной злокачественной гистиоцитомы и ангиоматоидного ее варианта.
Не отрицая возможности существования мономорфного или «чистого» варианта злокачественной гнстиоцитомы, которая является довольно редкой опухолью ее склонностью к быстрой генерализации, тем не менее представляется необходимым тщательное изучение подобных опухолей и сопоставление нх с гистноцитарной ретикулосаркомой и локальным проявлением злокачественного гистиоцитоза.
Определенным клинико-морфологическим своеобразием отличается ангиоматоидный вариант злокачественной фиброзной гистиоцитомы, выделенный F. M. Enzinger в 1979 г. Этот вариант встречается преимущественно у детей и в молодом возрасте (88% больных, по F. M. Enzinger, моложе 30 лет), часто локализуется на конечностях (бедро, локтевая область) и располагается в основном в поверхностных тканях. Макроскопически эта опухоль четко отграничена, многоузловая или многокамерная, с кровоизлияниями или полостями, выполненными геморрагическим содержимым, может достигать 10 см в поперечнике (в среднем, около 3 см). Микроскопически характеризуется центральными фокусами кровоизлияний или геморрагическими кистоподобными пространствами н геморрагическим содержимым, окруженными солидными скоплениями фибробласто- и гистиоцитоподобных клеток, часто содержащих различное количество гемосидерина и липидов. Бывает хорошо выраженная лимфоплазмоцитарная инфильтрация, носящая в основном перифокальный характер, что придает процессу сходство с метастазом в лимфоузел.
Ангиоматоидный вариант отличается сравнительно благоприятным течением Рецидивы наблюдаются в 63% случаев, обычно в 1-й год, а метастазы в 20%.
Этот вариант следует дифференцировать от различных доброкачественных и злокачественных сосудистых опухолей.
Информация на сайте подлежит консультации лечащим врачом и не заменяет очной консультации с ним.
См. подробнее в пользовательском соглашении.
Выбухающая дерматофибросаркома. Злокачественная фиброзная гистиоцитома.
Выбухающая дерматофибросаркома (син.: пигментированная выбухающая дерматофибросаркома, опухоль Беднара) считается самой частой злокачественной неэпителиальной опухолью кожи. Обычно возникает у 20—40-летних лиц обоего пола, реже у детей. Локализация повсеместная, но в половине случаев — кожа туловища, встречается в зоне рубцов. Макроскопически на ранних стадиях опухоль имеет вид медленно растущей, нечетко отграниченной бляшки на коже, затем она превращается в выбухаюшие узлы, рост которых может сильно ускоряться. У 20—50 % больных это новообразование склонно к рецидиву, в зависимости от объема опухоли (чем крупнее, тем чаще), изредка отмечается трансформация в фибросаркому но мстастазирование отмечается редко.
Под микроскопом опухоль отличается наличием полей, скоплений и пучков из крупных фибробластоподобных элементов, среди которых попадаются клетки с сегментированными ядрами и гигантские клетки. Пучки клеток и волокон могут образовывать «муаровые», лентообразные структуры или «завихрения». Встречаются фигуры митоза. В строме, богатой коллагеновыми и аргирофильными волокнами, обнаруживаются лимфоилные инфильтраты. Опухолевые клетки экспрессируют CD34 и мышечный актин. Изредка встречаются зоны миксоматоза и изъязвления. Иногда попадаются клетки, содержащие меланин. По периферии опухоль способна к инфильтрации в жировую клетчатку. Ее нужно дифференцировать от некоторых разновидностей фиброзной гистиоцитомы.

Выбухающая дерматофибросаркома
Плексиформная фиброзная гистиоцитома
Плексиформная фиброзная гистиоцитома — редкая опухоль поверхностных отделов подкожных тканей, имеющая бифазный характер дифференцировки. Она характерна для детей до 10 лет, реже для взрослых до 30 лет, преимущественно лиц женского пола. Одиночный плотный, медленно растущий и безболезненный узел диаметром 0,3—6,0 см обнаруживается, как правило, на верхней конечности, реже в других местах. У 30 % больных опухоль склонна к рецидиву, однако метастазирует крайне редко. Под микроскопом видно, что эпидермис и сосочковый слой дермы над опухолью не изменены. Новообразование состоит из двух основных компонентов: пучков из фиброцитов и фибробластов, а также скоплений гистиоцитарных элементов и гигантских клеток.
Обычно фиброзная строма окружает округлые, похожие на крупные гранулемы гистиоцитарные узелки с тем или иным количеством гигантских полинуклеаров. Последние, равно как и большинство клеток внутри узелков, позитивны по отношению к CD68. В стромальных прослойках реакция на CD68 отрицательна. По периферии опухоль способна к инфильтрации в жировую клетчатку. Ее следует дифференцировать от фиброзной гистиоцитомы.
Ангиоматоидная фиброзная гистиоцитома
Ангиоматоидная фиброзная гистиоцитома — редкое новообразование из гистиоцитоподобных клеток с обширными кровоизлияниями и выраженным хроническим воспалением. Макроскопически представляет собой медленно растущий красноватый или синюшный узелок диаметром 0,5—2,0 см, реже больше, содержащий полости с кровью или кровянистой массой, особенно характерен для детей и подростков. Под микроскопом определяются многочисленные мономорфные, тесно лежащие, вытянутые и/или овальные гистиоцитарные элементы с относительно светлыми и крупными ядрами. Примерно в половине случаев они экспрессируют CD68. Фигуры митоза редки. Полости, выстланные указанными клетками, заполнены гемолизированной кровью. Встречаются также расширенные сосуды, выстланные эндотелием.
Очень редко обнаруживаются скопления ксантомных клеток и отложения извести с гигантскими клетками инородных тел. По периферии узла выражено хроническое воспаление. Опухоль следует отличать от гемангиомы или лимфангиомы (внутри лимфатического узла) с воспалением и доброкачественной фиброзной гистиоцитомы кожи.
Методические рекомендации для студентов к практическим занятиям по патологической анатомии головы и шеи
Перечисленные типы доброкачественной дермальной фиброзной гистиоцитомы. как правило. дают положительную реакцию на фактор ХШа. У 30 % больных отмечается экспрессия опухолевыми клетками мышечного актина. Опухоль следует дифференцировать от выбухающей дерматофибросаркомы, плексиформной фиброзной гистиоцитом ы и нодулярного фасциита.
Доброкачественная подкожная и глубокая фиброзная гистиоцитома — две гистологически идентичные формы доброкачественной дермальной фиброзной гистиоцитомы, но отличающиеся от нее большей редкостью, более четкими границами узла, наличием в опухолевой ткани мелких очажков из пенистых клеток и мелких зон роста в виде завихрений. Обе формы отличаются от дермальной фиброзной гистиоцитомы склонностью к рецидиву в 15—30 % наблюдений.
Атипическая фиброксантома (сии.: псевдосаркома кожи, псевлосаркоматозная ретикулогистиоцитома, парадоксальная фибросаркома кожи, псевдосаркоматозная дерматофиброма) поражает, как правило, пожилых и старых мужчин. Обычно небольшой и плотный узел, локализующийся преимущественно на нижних конечностях, часто в зоне рубцов или облучения кожи, желтовато-коричневого или розовато-желтого цвета на разрезе, растет медленно, часто изъязвляется, у 7 % больных дает рецидивы и крайне редко метастазирует. Под микроскопом опухоль отличается большим разнообразием строения. Чрезвычайно полиморфные, иногда причудливые гистиоцитарные элементы чередуются с фибробластами, макрофагами, ксантомными клетками в различных соотношениях. Встречаются гигантские одно- и многоядерные клетки, фигуры митоза. Несмотря на изъязвление узла, в глубине его ткани практически не бывает некроза. При этом отмечается то более, то менее выраженная лимфоплазмоцитарная инфильтрация. Опухолевые клетки экспрессируют альфа-1 -антнтрипсин, альфа- 1-антихимотрипсин, ферритин, лизоиим, катепсин Б. Опухоль следует дифференцировать от фиброзной гистиоцитомы и злокачественной фиброзной гистиоцитомы.
Гигантоклеточная фибробластома (син. ювенильная дерматофибросаркома) — относительно редкое доброкачественное поражение кожи, как правило, выступающее над ее поверхностью и встречающееся чаще всего у детей до 10 лет, обычно у мальчиков, изредка у взрослых лиц. Макроскопически представляет собой четко отграниченный, плотноватый узел диаметром 0,8—8,0 см, растущий на туловище, нижних или верхних конечностях. Обладает инфильтрирующим ростом, но деструктивной инвазии и, тем более, метастазирования нет. Под микроскопом ткань узла представлена веретеновидными клетками, среди которых видны ветвящиеся синусоидальные щели. Последние выстланы либо крупными атипичными и гиперхромными фибробластами и миофибробластами, либо гигантскими клетками с эозинофильной цитоплазмой и эксцентрично лежащими сегментированными ядрами. Встречаются зоны фиброза, миксоматоза. Фигуры митоза редки. Встречаются «муаровые» структуры. Опухолевые клетки позитивны в отношении CD34 и актина. Опухоль следует дифференцировать от ангиосарком, фиброзной гистиоцитом ы, миксомы и миксоидной липосаркомы.
Выбухающая дерматофибросаркома (син.: пигментированная выбухающая дерматофибросаркома, опухоль Беднара) считается самой частой злокачественной неэпителиальной опухолью кожи. Обычно возникает у 20—40-летних лиц обоего пола, реже у детей. Локализация повсеместная, но в половине случаев — кожа туловища, встречается в зоне рубцов. Макроскопически на ранних стадиях опухоль имеет вид медленно растущей, нечетко отграниченной бляшки на коже, затем она превращается в выбухаюшие узлы, рост которых может сильно ускоряться. У 20—50 % больных это новообразование склонно к рецидиву, в зависимости от объема опухоли (чем крупнее, тем чаще), изредка отмечается трансформация в фибросаркому но мстастазирование отмечается редко.
Под микроскопом опухоль отличается наличием полей, скоплений и пучков из крупных фибробластоподобных элементов, среди которых попадаются клетки с сегментированными ядрами и гигантские клетки. Пучки клеток и волокон могут образовывать «муаровые», лентообразные структуры или «завихрения». Встречаются фигуры митоза. В строме, богатой коллагеновыми и аргирофильными волокнами, обнаруживаются лимфоилные инфильтраты. Опухолевые клетки экспрессируют CD34 и мышечный актин. Изредка встречаются зоны миксоматоза и изъязвления. Иногда попадаются клетки, содержащие меланин. По периферии опухоль способна к инфильтрации в жировую клетчатку. Ее нужно дифференцировать от некоторых разновидностей фиброзной гистиоцитомы.
Злокачественная фиброзная гистиоцитома — групповое обозначение как минимум шести гистологических вариантов опухоли. Это довольно часто встречающаяся мягкотканная саркома, поражающая лиц любого возраста и пола, чаше мужчин в возрасте 45—70 лет. Локализация: глубокие мягкие ткани и скелетная мускулатура проксимальных отделов конечностей, забрюшинного пространства, реже туловища, головы и шеи. Макроскопически представляет собой серовато-белый узел без капсулы диаметром до 5 см при поверхностной локализации и до 20—30 см при глубокой. Примерно у половины больных опухоль рецидивирует и у 40—45 % метастазирует в легкие и лимфатические узлы. Кожные формы метастазируют редко. Под микроскопом выделяют ряд разновидностей этой опухоли.
Полиморфная разновидность (син. типичная (фиброзная) злокачественная фиброзная гистицитома) составляет около 60 % наблюдений этой саркомы. Она содержит два равномерно представленных клеточных типа — фибробластои гистиоцитоподобный, а также «муаровые» структуры, зоны фиброза и, особенно, некроза. Веретеновидные клетки могут создавать «завихрения, среди них встречаются крупные округлые, вытянутые и полиморфные элементы, а также гигантские полинуклеары с причудливыми ядрами. Хроническое воспаление, как правило, дополняет картину. Опухолевые клетки экспрсссируют CD68 и фактор XIIIа.
Миксоидная разновидность (сиy. миксофибросаркома) отличается, помимо типичных участков, миксомитозом как минимум половины объема опухолевой ткани. Слизь воспринимает альциановый синий. Гигантоклеточная разновидность злокачественной фиброзной гистиоцитомы (син.. гигантоклеточная саркома, гигантоклеточная опухоль мягких тканей) дополнительно включает в себя многочисленные гигантские полинуклеары типа остеокластов и очажки остеоида, имеющиеся, правда, только при более высокой степени дифференцировки опухоли.
Воспалительная разновидность (син. ксантоматозная злокачественная фиброзная гистиоцитома) наряду с типичными структурами содержит скопления ксантомных клеток и воспалительную инфильтрацию. Для нее характерна локализация за брюшиной.
Аденоматоидная разновидность обладает более спокойным течением и встречается у детей после 10 лет и взрослых лиц до 30 лет. Узел может содержать мягкие, «геморрагические» массы. Под микроскопом отмечается сочетание трех компонентов: кнетозных полостей с геморрагическим содержимым, солидных комплексов овальных и вытянутых клеток типа гистиоцитов, воспалительных инфильтратов.
Мономорфная гистиоцитома — редчайшая и весьма злокачественная разновидность, в которой не удается определить фиброблаетический компонент и фиброз.
Опухоли из жировой ткани
Липома — групповое обозначение весьма распространенной опухоли, которая в коже может быть множественной, в других местах — костях, легких, молочных железах, мягких тканях с жировой клетчаткой —обычно одиночной. Появляется везде, где имеется жировая ткань, даже там, где ее мало. Возраст и пол больных не имеют значения. Макроскопически липома представляет собой мягкий желтый узел, как правило, дольчатого строения, в котором обычный жир разделен фиброзными прослойками и снаружи имеет иногда тонкую капсулу. Поверхностная (кожная) липома бывает множественной.
Липома глубокого типа, возникающая в средостении, забрюшинном пространстве, мьшшах, оболочках нервов и сухожилий, костях и др., обнаруживается не только у взрослых, но и у детей. Большинство липом абсолютно доброкачественные, однако, для их внутримышечных разновидностей характерны инфильтрирующий рост и рецидивы. Под микроскопом ткань опухоли представлена обычной жировой клетчаткой, в которой между унилокулярным и адипоцитами встречаются мультилокулярные клетки. Помимо положительной окраски на нейтральные липиды, липоциты дают положительную реакцию на S1OO-протеин. Наряду с «чистыми» липомами бывают и такие, которые, кроме жира, содержат различные мезенхимальные компоненты, развитые в той или иной степени, часто позитивные в отношении CD34 и др. Их типируют как мезенхимомы или фибролипомы, веретеноклепючиые липомы, ангиолипомы, ми&юлипомы, ангиомиолипомы хондро-и остеолипомы. Последние три разновидности нередко относят к гамартомам. Различают также плеоморфную липому (син. атипичная липома, плеоморфная веретеноклеточная липома, «ancient* lipoma) с разными по степени дифференцировки липоцитами, а также полями из веретено видных липобластов и фибробластоподобных элементов, среди которых встречаются гигантские клетки, участки миксоматоза и мелкие кисты. Эту доброкачественную опухоль, а также веретеноклеточную разновидность липомы следует дифференцировать от лилосаркомы.
Лилобластома — редкое новообразование, возникающее у детей первых трех лет жизни. Солитарная форма липобластомы обычно поражает подкожную клетчатку конечностей. Мягкий, желтый или беловатый узел не превышает в диаметре 5 см. Диффузная форма липобластомы нередко врастает в мышцы конечностей. Обе формы проявляются в том или ином разрастании клетчатки. Они доброкачественные, но последняя из них может рецидивировать.
Гибернома (син.: фетальная липома, коричневый жировик, липома из липобластов, псевдолипома, атипичная липома) — крайне редкая опухоль, поражающая лиц любого возраста, но чаще молодых. Локализация: шея, подмышечная впадина, межлопаточная область спины, бедро, ягодица, живот, средостение. Макроскопически представляет собой мягкий узел диаметром не более 5—6 см, который имеет дольчатое строение и буроватый цвет. Гибернома— доброкачественная, растет медленно, не рецидивирует. Под микроскопом дольки и ячейки опухоли, разделенные тонкими фиброзными прослойками, сформированы из округлых или полигональных мультилокулярных липоцитов с относительно небольшими ядрами, лежащими в центре, и многочисленными вакуолями жира и липофусцина в цитоплазме. Среди этих клеток встречаются обычные адипоциты. Гиберному следует отличать от липобластомы и липосаркомы.
Липосаркома
Низкодифференцированная липосаркома (син.: дедифференцированная липосаркома, недифференцированная липосаркома) — новообразование с бифазным характером дифференцировки, при котором один компонент представлен атипичной липоматозной опухолью (атипичной липомой), а другой — «клеточной» нелипогенной саркомой. Последний компонент как раз и является низкодифференцированным саркоматозным «ядром» опухоли. Болеют лица среднего и старшего возраста. Опухоль может стать результатом прогрессии предсуществовавшей атипичной липомы. Локализация: забрюшинная клетчатка, мягкие ткани в зоне семенного канатика, внутримышечная клетчатка. Подкожные поражения крайне редки. Макроскопически опухоль представлена плотноватым, пестрым, беловатым или желтоватым узлом или пакетом узлов, то четко отграниченных, то имеющих явные признаки инвазии. Опухоль нередко содержит зоны некроза и/или кровоизлияния. При медленном темпе прогрессии липосаркома может достигать внушительных размеров (диаметр 15—20 см и более) и долго не метастазировать. Отмечается ее склонность к раннему рецидивированию. Гематогенные метастазы обнаруживаются в легких, печени и костях. Под микроскопом видны очажки низкодифференцированной нелипогенной саркомы высокой степени злокачественности, располагающиеся непосредственно в ткани атипичной липомы. Эти очажки, напоминающие структуры злокачественной фиброзной гистицитомы, отличаются «гиперцеллюлярностью», клеточным полиморфизмом и многочисленными фигурами митоза (достаточно найти 5 фигур с объективом *10). Если в некоторых крупных опухолевых липоцитах удается обнаружить жир, то мелкие клетки, нередко формирующие скопления, содержат гликоген (предшественник жира в эмбриогенезе).
Выделяют разновидность с мелкоочаговым миксоматозом стромы, развитой капиллярной сетью, наличием муаровых структур, а также звездчатых и веретеновидных клеток. Низкодифференцированную липосаркому нужно отличать от атипичной липоматозной опухоли, злокачественной фиброзной гистиоцитомы и ангиомиолипомы.
Миксоидная липосаркома — опухоль, которую еще недавно относили к круглоклеточным липосаркомам. Поражает лиц среднего возраста, наиболее часто на пятом десятилетии жизни. Дети болеют крайне редко. Макроскопически представлена четко ограниченным, обычно дольчатым, желтоватым узлом слизистой консистенции, разной величины. Локализация: бедро, пах, ягодицы, реже другие места. Под микроскопом выделяют две разновидности миксоидной липосаркомы. Малоклеточная разновидность характеризуется наличием немногочисленных мелких, довольно мономорфных клеток со скудной цитоплазмой, лежащих в миксоидном матриксе с множеством капилляров и мелких перстневидных липобластов. Многоклеточная разновидность включает в себя очажки, в которых из-за гиперцеллюлярности не виден миксоидный метрике, а многочисленные округлые клетки со слабым полиморфизмом создают картину круглоклеточной саркомы. Миксоидной липосаркоме присущи транслокации t(12;l6)(ql3;pll), липобласты часто позитивны в отношении SlOO-протеина. Опухоль следует дифференцировать от других новообразований с миксоматозом (злокачественная фиброзная гистиоцитома, выбухающая дерматофибросаркома и др.).
Полиморфная липосаркома — самый редкий тип липосарком, поражающий в основном пожилых лиц. Предпочтительную локализацию выделить трудно, возможно, это бедро. Макроскопически узел имеет вид красноватого рыбьего мяса, нередко с миксоидной консистенцией. Размеры варьируют. Опухоль чрезвычайно злокачественная, инвазия и метастазы сопровождают ее быстрый рост. Период клинического наблюдения короток. Под микроскопом определяется гиперцеллюлярная опухолевая популяция с выраженным полиморфизмом клеток, обладающих вытянутыми, округлыми или причудливыми ядрами. Встречаются гигантские полинуклеары. Многие клетки содержат в цитоплазме вакуоли жира разного диаметра. Зрелые адипоциты отсутствуют. Полиморфную липосаркому следует отличать от злокачественной фиброзной гистиоцитомы.
Выбухающая дерматофибросаркома. Злокачественная фиброзная гистиоцитома.
Фиброгистиоцитарными опухолями называются опухоли фиброзной ткани с наличием макрофагов (гистиоцитов) в строме. Специфической особенностью фиброгистиоцитарных новообразований, кроме атипичной фиброксантомы, является инвазивный рост, поэтому границы узелка (узла) нечёткие, а при неправильном удалении доброкачественных опухолей данной группы нередки рецидивы (иссекать их необходимо в пределах здоровых тканей).
К доброкачественным фиброгистиоцитарным опухолям относятся
- доброкачественная фиброзная гистиоцитома
- ксантома
- ксантогранулёма
- ретикулогистиоцитома и некоторые другие;
К редко метастазирующим —
- выбухающая дерматофибросаркома Дарье—Феррана
- атипичная фиброксантома
- плексиформная фиброгистиоцитарная опухоль.
Злокачественные фиброгистиоцитарные новообразования обозначаются общим термином - злокачественная фиброзная гистиоцитомаю
- - -
Фиброзная гистиорцитома (ангиофиброматоз, фиброксантома, ангиофиброксантома, фиброзная ксантома, гистиоцитома, нейрофиброма с “муаровым” рисунком, ретикулогистиоцитома)- доброкачественное медленнорастущее новообразование мягких тканей, представленнное фибробластами, скоплением коллагеновых и ретикулиновых волокон и небольшим количеством гистиоцитов (тканевых макрофагов), в которых иногда обнаруживается накопление липидов, гемосидерина. В некоторых участках переплетения клеток и волокон образуют своеобразные завихрения (рисунок “муара”). Могут встречаться поля фиброза и гиалиноза.
- - -
* Новообразование имеет злокачественный аналог, описываемый как "злокачественная фиброзная гистиоцитома". Опухоль локализуется в различных органах, особенно в глубоких тканях конечностей и в забрюшинном пространстве. Внешне она представляет собой узел/узлы без чётких границ с некрозами и кровоизлияниями.
- - -
Эпидемиология: возраст пациентов от 30 до 50 лет, чаще страдают представительницы женского пола.
Локализация: дерма, в некоторых внутренних органах, в частности, в дыхательных путях. Опухоль может быть солитарной или множественной.
Опухоль округлой формы, без четких контуров.
Структура на разрезе вариабельна:
- при преобладании в новообразовании фибробластического компонента ткань плотная, серая
- липидная разновидность опухоли более мягкой консистенции, серо-желтая
- сидеротическая разновидность имеет цвет от желтовато-бурого до темно-бурого
Лечение - хирургическое.
Доброкачественная фиброзная гистиоцитома кожи называется дерматофибромой.
Локализация - в области нижних конечностей, плечи и боковая поверхность туловища.
Обычно это небольшие единичные узелки, 0,2 – 0,4 см, телесного цвета, но могут увеличиваться до размеров узла – до 0,5 – 1,0 см, редко больше, если не травмировать. Но в случае недостаточного иссечения разрастаются и до 2-3 см, приобретая темно-коричневый или синюшный цвет. В процессе жизнедеятельности элементы могут увеличиваться, менять цвет и покрываться гиперкератозом, орговеванием. Характерным признаком для дерматофибром является симптом «вдавления» опухоли вглубь кожи, когда элемент зажимается между большим и указательным пальцем. Т. Фитцпатрик назвал его - симптом «ряби». Этот симптом проявляется из-за того, что опухоль, располагаясь верхним полюсом на поверхности кожи, глубоко залегает в дерме.
В большинстве случаев лечения не требует. При частой травматизации или косметическом дефекте рекомендуется иссечение в пределах здоровых тканей.
Ксантома представляет собой узелок, реже пятно, жёлтого цвета (от лат. xanthos — жёлтый). Ксантомы нередко сочетаются с повышенным уровнем липидов в плазме крови. Иногда гиперлипидемия сопровождается появлением множественных небольших ксантом на коже (ксантомы как элементы сыпи); такие ксантомы называются эруптивными. Ксантомы образуются в коже и в ткани различных органов. Ксантомы на веках носят название ксантелазмы.
Ретикулогистиоцитома — доброкачественная дисплазия соединительной ткани, которая нередко сопутствует различным формам артрита, сочетается с аутоиммунными заболеваниями, туберкулезом, иногда является паранеопластическим процессом, отражая наличие в организме злокачественной опухоли внутренних органов.
Характеризуется бурыми узловатыми опухолевидными высыпаниями размером от жемчужины до перепелиного яйца, безболезненными, иногда немного зудящими, возвышающимися над уровнем здоровой кожи. Узлы имеют тенденцию к слиянию и группировке или распространяются по всей поверхности кожи, иногда самостоятельно инволютируют, оставляя атрофические изменения.
Диагностируют опухоль клинически с учётом результатов биопсии.
Специальная терапия обычно не требуется, иногда выполняют иссечение в пределах здоровой ткани.
Ксантогранулема - является редким доброкачественным новообразованием, выявляемым обычно у детей, которое подвергается обратному развитию с течением времени. Как правило, ЮКГ поражает радужку, веки, кожу, у некоторых пациентов развивается спонтанная гифема (кровоизлияние в переднюю камеру глаза)
Читайте также:
