Травматические аневризмы. Клиника травматических аневризм
Добавил пользователь Евгений Кузнецов Обновлено: 07.01.2026
Аневризма брюшной аорты - это локальное или диффузное расширение диаметра брюшного отдела аорты более 3 см. Истончение стенки и развитие аневризмы аорты в основном носит приобретенный характер и обусловлено атеросклерозом в 95% случаев, на остальные причины (неспецифический аортоартериит, туберкулезное, сифилитическое, ревматическое поражение аорты) приходится всего 5%.
В последние годы увеличилось число травматических аневризм, особенно после ДТП. Среди врожденных причин образования аневризм брюшного отдела аорты выделяют фиброзно-мышечную дисплазию, синдром Марфана.
Аневризма брюшной аорты - заболевание, при неосложненном течении не беспокоящее больного.
Систематизация проявлений аневризмы аорты
В настоящее время нет единого подхода к систематизации проявлений аневризмы аорты брюшины. Наиболее часто медики и авторы медицинских работ используют методику А.Покровского и Р.Ермолюк, согласно которой аневризмы подразделяются:
- по этиологии – на приобретённые (невоспалительного либо воспалительного характера) и врождённые;
- по морфологии – на ложные (травматического происхождения), истинные и расслаивающие;
- по форме – на диффузионные и мешковидные;
- по течению клинического процесса – на заболевания с неосложнённым течением, осложнённые и расслаивающие;
- по типу и расположению – на проксимальном сегменте аорты брюшины, на инфраренальном отделе, а также с тотальным поражением всего отдела брюшной части аорты.
Согласно медицинской статистике, до 95% аневризм локализованы в инфраренальном отделе.
Причины развития аневризмы брюшной аорты
- атеросклероз, при котором появление на стенке аорты холестериновых бляшек постепенно снижает её прочность, что способствует выпячиванию на одном из участков;
- врождённая предрасположенность, передаваемая по мужской линии, подтверждённая многолетними наблюдениями: наличие аневризмы у отца говорит о 50%-й вероятности появления этого заболевания у сына;
- воспалительный процесс хронического вялотекущего характера, который протекает в самой стенке аорты либо в жировой ткани, которая окружает сосуд;
- травматическое повреждение стенки при травме или ранении живота, хирургической операции либо эндоваскулярном вмешательстве.
Атеросклеротические проявления становятся причиной в 85-90% случаев развития приобретённой аневризмы в брюшном отделе аорты. Признаками предрасположенности к развитию заболевания являются курение, артериальная гипертония и лёгочные заболевания в хронической форме.
Симптомы аневризмы аорты
Примерно в четверти случаев аневризма брюшной аорты развивается абсолютно бессимптомно и обнаруживается случайно, при УЗИ либо рентгеновском исследовании брюшной полости. Если же заболевание не обнаружено вовремя, высока вероятность внезапного разрыва аневризмы, что внешне сопровождается внезапной бледностью и потерей сознания. Жизнь больного при разрыве аневризмы зависит от того, насколько быстро он будет доставлен в больницу и попадёт на операционный стол.
Всё же бессимптомное течение заболевания встречается не слишком часто. Как правило, о развитии аневризмы брюшной аорты свидетельствуют:
- тупые, ноющие боли в эпигастрии (в верхней части живота) и мезогастрии (около пупка), нередко приобретающие характер приступов и даже иррадирующие в поясницу;
- ощущение пульсации, напоминающее биение сердца и ощущаемое в зоне эпигастрия либо мезогастрия.
Эти симптомы проявляются по отдельности либо в комплексе, в зависимости от типа аневризмы.
Чем же тогда опасна аневризма? – осложнениями:
Разрыв аневризмы: в определенных условиях и при достижении определенных размеров происходит разрыв стенки аневризмы, при этом кровь попадает из просвета сосуда в окружающие ткани. Около 50% пациентов умирает (летальность выше у женщин, чем у мужчин - 52,8% против 44,2%). После разрыва пациенты живут в среднем 11 часов.
Лечение аневризмы брюшной аорты – только экстренная операция
- Тромбоз аневризмы с эмболией в нижележащие отделы: фрагменты тромба из полости аневризмы попадают в сосуды ног и вызывают их ишемию за счет нарушения кровотока. Лечение – только экстренная операция.
- Сдавление близлежащих органов с нарушением их функции (почки, кишечник, позвоночник, нервные сплетения) и появлением болей в животе, спине и т.д. свидетельствует об увеличении размеров аневризмы.
Кто в большей опасности?
- Возраст - 50-79 лет
- Пол – мужской (в 3 раза чаще)
- Курение (увеличивает риск в 4-5 раз)
- Пациенты с неконтролируемой артериальной гипертензией (повышенное АД);
- Пациенты с избыточной массой тела;
- Пациенты с атеросклеротическим поражением сосудов, кровоснабжающих головной мозг;
- Пациенты с нарушением обмена холестерина крови (дислипидемия);
- Пациенты, у чьих родственников также была аневризма (риск увеличен в 2 раза).
Признаки неосложненной аневризмы (если они есть):
Боли, обычно локализующиеся в нижней половине живота и поясничной области;
Также больные могут жаловаться на ощущение пульсации в животе и наличие пульсирующего образования.
Признаки РАЗРЫВА аневризмы брюшной аорты:
- Появление болей в животе, либо изменение (усиление) ранее существовавших болей;
- Появление болей в пояснице, отдающие в пах, бедра, половые органы;
- Возможна клиника инфаркта миокарда;
- Гипотензия;
- Увеличение ранее существовавшего пульсирующего образования в брюшной полости;
- Анемия;
- Возможна кровавая рвота и т.д.
Более 70-ти процентам больных с осложненными аневризмами брюшной аорты при госпитализации установлен неправильный диагноз.
Аневризма брюшной аорты - основные методы диагностики:
Физикальное обследование – включает пальпацию живота, перкуссию, т.е. простукивание, прослушивание брюшины при помощи фонендоскопа, измерение пульса и АД.
Лабораторные анализы физиологических жидкостей – мочи и крови. Они помогают диагностировать и определить причину развития аневризмы.
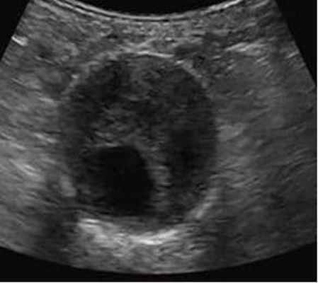
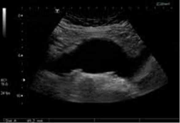
Ультразвуковое дуплексное исследование – "золотой стандарт" скринингового обследования пациентов (обнаружение и динамическое наблюдение);
КТ-ангиография - "золотой стандарт" предоперационного обследования и в тех случаях, когда информации при УЗДС недостаточно;
Рентгенография органов брюшной полости;
МРТ-ангиография с контрастным усилением;




Тактика лечения аневризмы брюшной аорты
- Если размеры аневризмы аорты менее 5,0 см в диаметре, пациент нуждается в коррекции факторов риска под динамическим наблюдением кардиолога, сердечно-сосудистого хирурга, регулярном выполнении контрольных исследований;
- Если размеры аневризмы аорты ≥ 5,0 см, то пациент нуждается в оперативном лечении для устранения риска разрыва аневризмы и возникновения других смертельно опасных осложнений.
- Если аневризма более 3,0 см и её размер увеличивается ≥ 6 мм за год, то пациент также нуждается в оперативном лечении.
Установленный диагноз аневризмы брюшного отдела аорты является показанием к операции (в любом возрасте).
Противопоказания к операции:
- острые расстройства коронарного,мозгового кровообращения с выраженным неврологическим дефицитом,
- недостаточность кровообращения IIБ-III стадии.
Важно!
- Перенесённый 3 месяца назад инфаркт миокарда - при стабильных показателях ЭКГ, а также перенесённый 6 недель назадинсульт- при отсутствии выраженного неврологического дефицита не являются противопоказанием к операции.
- Если имеется выраженная коронарная недостаточность, то проводят коронарографию и определяют состояние коронарного кровотока для решения вопроса о первоочерёдном выполнении коронарной реваскуляризации.
Протезирование брюшной аорты
Это стандартная открытая хирургическая операция. В нашем Центре эту операцию выполняют через мини-доступ - разрез на брюшной стенке длиной 5-7 см (в то время как в стандартном варианте разрез делается 15-20 см). После обработки операционного поля, подготовки сосудистого протеза необходимой длины на время, необходимое для операции, пережимается брюшная аорта выше и ниже аневризмы. Аневризма иссекается и вместо удаленного участка вшивается подготовленный сосудистый протез. После проверки герметичности швов и установки дренажей рана зашивается.
В Клинике высоких медицинских технологий им. Н. И. Пирогова СПбГУ при лечении аневризмы брюшной части аорты применяются сосудистые протезы, импрегнированные серебром, которые отличаются от обычных особой устойчивостью к инфекции. Операции продолжаются в среднем 3-4 часа, после чего пациент переводится в палату интенсивной терапии для наблюдения. При стандартном течении раннего послеоперационного периода на утро следующего дня пациент переводится в палату профильного отделения. Общий срок госпитализации таких пациентов около 7 дней.
Необходимо отметить, что существуют различные формы заболевания, усложняющие стандартное течение лечения, что в некоторых случаях может потребовать более длительной госпитализации.
Эндопротезирование аорты
Более современный метод лечения аневризмы брюшной аорты, относящийся к гибридной хирургии. Данный метод сочетает в себе открытые хирургические технологии с эндоваскулярными, он представляет собой замену аневризматически расширенного участка аорты изнутри с использованием специального протеза, изготовленного в большинстве случаев «под заказ» (этим объясняется его высокая стоимость). Сосудистый протез специальным образом уложен в системе доставки. Его расправляют прямо в полости аневризмы, под контролем рентген-установки. Таким образом, протез исключает воздействие системного артериального кровотока на слабые растянутые стенки аорты.
Этот метод позволяет добиться результатов, сравнимых с открытой хирургической техникой, только с меньшим количеством осложнений, уменьшением сроков госпитализации и реабилитации пациента в 2 раза! Ограничивают применение этого современного метода только некоторые анатомические параметры самой аорты и высокая стоимость эндопротеза.
Прогноз и профилактика
К сожалению, аневризма аорты брюшного отдела относится к наиболее коварным и непредсказуемым патологиям сосудов, при которых вероятность летального исхода превышает 50%. Важнейшее значение для позитивного исхода имеет профилактика и своевременное обнаружение аневризмы. Снизить риск развития аневризмы помогает отказ от никотиновой зависимости, а также наблюдение за артериальным давлением и своевременные меры по его нормализации.
Уменьшению числа диагностических ошибок способствует технический прогресс: современные методы исследований позволяют выявить патологию даже при отсутствии симптомов. Поэтому людям, находящимся в группе риска – курящим, гипертоникам, пожилым людям, а также тем, у кого высока вероятность появления патологии врождённого характера – следует чаще обращаться к врачу для диагностического обследования. Часто пациенты не подозревают о развитии аневризмы, пока не произойдёт её разрыв, но тогда врачебная помощь может и не быть своевременно оказана.
Обязательно обратитесь к кардиохирургу по поводу обследования на наличие аневризмы брюшной аорты. Своевременное обнаружение болезни может спасти вам жизнь и в любом случае сохранит здоровье и работоспособность.
Оформите заявку на сайте, мы свяжемся с вами в ближайшее время и ответим на все интересующие вопросы.
Диагностика и лечение аневризм артерий (Александров)
Аневризмы артерий – симптомы, причины, профилактика, диагностика и лечение в клинике "Парацельс", Александров
ВНИМАНИЕ: Вы можете самостоятельно КРУГЛОСУТОЧНО записаться к врачу в Мобильном приложении "Клиника ПАРАЦЕЛЬС"
Доступны онлайн-консультации врачей (более 18 специальностей).
Аневризмой называется патологическое выпячивание стенки сосуда, ее истончение. Симптомы разнятся в зависимости от того, где она расположена. Аневризма аорты (самой крупной артерии, отходящей от сердца) вызывает боли в груди, пульсацию, сдавление соседних органов и сосудов. Если этот процесс поражает один из сосудов мозга, появляются головные боли, головокружение, неврологические расстройства. Выявить патологию можно при помощи рентгенологических и ультразвуковых методов диагностики. Устранить ее можно только при помощи хирургического вмешательства.

Общие сведения об аневризмах артерий
Аневризма представляет собой локальное расширение сосуда с постепенным истончением его стенки. Процесс является необратимым, со временем под воздействием давления кровотока выпячивание только увеличивается и, однажды, может разорваться. Это приводит к внутреннему артериальному кровотечению. Без своевременной медицинской помощи разрыв аневризмы приводит к смерти.
Среди других возможных осложнений: тромбозы, тромбоэмболии (когда тромб отрывается и закупоривает другие сосуды), инфицирование аневризмы.
Классификация Аневризм
По строению выпячивания выделяют одно- и многокамерные аневризмы.
- мешотчатые ー локальное выпячивание;
- веретенообразные ー расширение целого участка артерии.
Особый тип ー расслаивающаяся аневризма. При этом кровь попадает между слоями стенки сосуда, постепенно раздвигая их.
Следует различать истинные и псевдоаневризмы. Последние представляют собой гематому около сосуда, стенка его при этом в порядке.
Детские аневризмы
Расширения сосудов бывают врожденными, проявляются уже в раннем возрасте. Часто об этом забывают, что затрудняет диагностику. Родителям следует знать о такой опасности и не пускать на самотек частые жалобы на боль в животе или голове.
Аневризма аорты
В зависимости от локализации выделяют такие виды:
- синуса Вальсальвы;
- восходящей части;
- дуги;
- нисходящей части;
- брюшного отдела.
Аневризмы сосудов головного мозга
В зависимости от локализации, выделяют аневризмы:
- внутренней сонной артерии;
- передней мозговой;
- средней мозговой;
- вертебробазилярной системы.
Факторы риска развития аневризм
К развитию аневризм предрасполагает потеря эластичности и прочности стенки сосуда. Слабость сосудистой стенки может быть обусловлена врожденными особенностями или воздействием внешних факторов. Основные причины развития болезни:
- ー образование холестериновых бляшек;
- воспаление стенки аорты (бывает при травматическом повреждении, сифилисе, грибковом поражении);
- аутоиммунные заболевания;
- врожденные патологии соединительной ткани (муковисцидоз, синдром Марфана);
- травматизация при выполнении диагностических и лечебных манипуляций (коронарография, операции на сердце).
Симптомы аневризм
Часто аневризмы не проявляют себя многие годы. Человек не подозревает, что у него внутри “бомба замедленного действия”, которая может разорваться в любой момент. Часто симптомы игнорируются, пока они не станут более выраженными. Основные проявления аневризмы аорты:
- боли в грудной клетке и животе разлитого характера без определенной локализации;
- давящая боль в области сердца, обусловленная сдавлением коронарных сосудов;
- приступы одышки и головокружения;
- синдром верхней полой вены (при ее сдавлении) включает синюшность, отечность лица, шеи, рук;
- признаки сдавления пищевода (нарушение глотания), трахеи и бронхов (затрудненное дыхание, частые пневмонии), поворотных гортанных нервов (осиплость голоса), блуждающего нерва (снижение частоты сердечных сокращений);
- тошнота, рвота, ощущение тяжести в желудке;
- пальпируемое пульсирующее образование в верхней части живота.
Аневризмы сосудов головного мозга протекают без типичных симптомов. Человека могут беспокоить только частые головные боли.
Диагностика аневризм
Заподозрить патологию можно в некоторых случаях при осмотре врача. Далее назначается ряд исследований, чтобы найти проблему и оценить ее масштабы:
- рентгенография органов грудной клетки; , допплерография грудной и брюшной аорты, нейросонография;
- компьютерная томография;
- ангиография ー рентгенологическое исследование с предварительным введением контрастного вещества в сосуд.
Прогноз и профилактика аневризм
При отсутствии лечения прогноз для больных с аневризмой аорты и сосудов головного мозга неблагоприятный, так как велик риск разрыва или тромботических осложнений. При своевременном выявлении и проведении операции прогнозы гораздо более оптимистичны.
Чтобы предотвратить осложнения рекомендовано проходить ежегодное плановое обследование у терапевта, кардиолога, невролога лицам из группы риска. Также важно вести здоровый образ жизни, ведь повышенный холестерин, курение, гиподинамия способствуют развитию этого заболевания.
Профилактика аневризм у ребенка
Чтобы своевременно диагностировать патологию и не допустить развития осложнений у детей, стоит внимательно отнестись к возможным предвестникам:
- частые жалобы на головные боли, боли в груди и животе;
- синюшность губ, носогубного треугольника, кончиков пальцев;
- тошнота, рвота, частые отрыжки, отказ от еды.
Регулярно показывайте ребенка врачу в течение первых лет жизни. Если есть отягощенный семейный анамнез (ранее кто-то из родственников имел аневризмы), ребенок родился недоношенным, с пороками сердца, другими врожденными патологиями рекомендуется проведение нейросонографии (УЗИ головного мозга), УЗИ сердца.
Диагностика и лечение аневризм артерий в Медицинском центре "Парацельс"
Когда нужно обратиться к врачу?
К кардиологу или сердечно-сосудистому хирургу следует обратиться, если:
- у лечащего терапевта есть подозрение на аневризму;
- при обследовании по другому поводу было обнаружено патологическое расширение артерии;
- имеются характерные симптомы.
Есть две тактики ведения пациентов: динамическое наблюдение (при небольших размерах, бессимптомном течении, минимальном риске осложнений), хирургическое лечение.
Наблюдение проводится под рентгенологическим контролем. Для снижения риска возможных осложнений проводится гипотензивная и антикоагулянтная терапия, снижение уровня холестерина.
Хирургическое лечение
Устранение патологии проводят путем иссечения измененной стенки и ушивания дефекта или установки стента ー протеза, который укрепит сосуд. Это можно сделать путем открытой операции или эндоваскулярно (при помощи введения инструмента через бедренную артерию).
Травматические аневризмы. Клиника травматических аневризм
Травматические аневризмы. Клиника травматических аневризм
Травматические аневризмы чаще возникают после огнестрельных (пулевые, осколочные) и колотых (ножевые) ранений, реже в результате тупой травмы. Они образуются из пульсирующей гематомы в результате организации ее стенок, начинающейся, по данным Ф. Ф. Сысоева, уже через 12—17 дней после травмы. Во время Великой Отечественной войны (1941—1945) пульсирующие гематомы и травматические аневризмы встречались в 7,3% ранений кровеносных сосудов. Для их развития необходим ряд условий: небольшая зона повреждения мягких тканей, извилистый и узкий раневой канал, прикрытие входного и выходного отверстий неповрежденной кожей и мягкими тканями. В этих случаях создается препятствие наружному кровотечению из поврежденного сосуда н возникает периартериальная пульсирующая гематома.
Клиника травматических аневризм характеризуется триадой классических признаков: припухлостью, пульсацией и сосудистым шумом. Кроме этих симптомов, наблюдается ослабление или полное отсутствие периферического пульса.
При артериальных аневризмах припухлость, как правило, плотноэластической консистенции, четко ограниченная, пульсирующая, округлой или овальной формы. При пальпации следует избегать грубых манипуляций ввиду опасности эмболии сгустками, находящимися в полости аневризматического мешка. Пульсация аневризмы синхронна с пульсом. Она обычно заметна на глаз или может быть определена при пальпации. В случае обызвествлении стенок мешка, заполнения его полости плотными сгустками, а также при нагноении с образованием воспалительного инфильтрата пульсация может не определяться. Сосудистый шум прерывистый, систолический, дующий; он отмечается над областью аневризмы. После пережатия приводящей артерии сосудистый шум, как и пульсация, исчезает, аневризматический мешок спадается.

При артериовенозных и комбинированных аневризмах, вследствие постоянного оттока артериальной крови в венозную систему, припухлость не бывает больших размеров. Она образуется за счет расширенной вены или промежуточного аиеврпзматического мешка. При артериовенозном свище она отсутствует. Пульсация н напряжение припухлости обычно выражены меньше, чем при артериальных аневризмах. Сосудистый шум, наиболее интенсивно прослушиваемый в области аневризмы, непрерывный, ритмично усиливающийся во время систолы, напоминает шум волчка. Он распространяется как к центру, так и к периферии, нередко на значительное расстояние от места сосудистого повреждения. При пальпации над артериовенозной аневризмой определяется характерное дрожание или журчание, называемое симптомом «кошачьего мурлыканья». Этот феномен встречается не всегда.
Для артериовенозных и комбинированных аневризм характерен симптом замедления пульса, заключающийся в его урежении на 8—15 ударов в минуту после пережатия приводящей артерии. Одновременно наблюдается повышение артериального давления на 5—10 мм рт. ст. Как показали исследования Н. А. Добровольской, выраженность симптома, получившего позднее ее имя, соответствует тяжести изменений сердца, которые развиваются под влиянием артериовенозной аневризмы. Клинически и экспериментально установлено, что гемодинамическне нарушения, возникающие в результате патологического сброса артериальной крови в венозную систему, значительно влияют на деятельность сердца. Вначале они приводят к гипертрофии миокарда, затем — к многенной дилатации, расширению полостей сердца и сердечной декомпенсации. Последняя может обусловить летальный исход. Быстрота и степень развивающейся сердечной декомпенсации зависят главным образом от объема артерио-венозного сброса крови, величины соустья, калибра поврежденных сосудов, а также срока, прошедшего с момента образования аневризмы, и се локализации (при аневризмах, расположенных ближе к сердцу, декомпенсация возникает раньше).
После ликвидации патологического сброса крови в венозную систему явления сердечной декомпенсации подвергаются обратному развитию. В случае операции в начальном периоде болезни они могут полностью исчезнуть, а в далеко зашедшей стадии образуются необратимые изменения мышцы сердца. В связи с развивающейся при артериовенозных и комбинированных аневризмах венозной гипертензией в районе поврежденных сосудов и днстальных отделах конечности нередко возникают застойно-трофические изменения. Они проявляются варикозноподобным расширением поверхностных вен, отеком конечности, образованием упорно не заживающих трофических язв. В ряде случаев эти изменения являются единственной причиной инвалидности больных. Нарушения пульса аналогичны изменениям при артериальных аневризмах. Степень их выраженности зависит от характера повреждения магистральной артерии. При отеке конечности обычное пальцевое исследование пульса может быть ошибочным; более достоверны данные осциллографии.
Артериовенозные и комбинированные аневризмы характеризуются своеобразной патоморфологической перестройкой стенок образующих сосудов, получившей название венизации артерий и «артериализации» вен. Они возникают обычно спустя 2—4 года после ранения как проявление местной сосудистой недостаточности. По экспериментальным данным (О. Б. Мнлонов), причинами, обусловливающими структурную перестройку стенок сосудов, являются гемодинамические нарушения, вызывающие изменения их функциональной нагрузки и состояния сосудистых капилляров. Особенно неблагоприятны изменения приводящей артерии (истончение стенок, дистрофия эластической ткани, внеклеточный склероз).
Информация на сайте подлежит консультации лечащим врачом и не заменяет очной консультации с ним.
См. подробнее в пользовательском соглашении.
Разрыв аорты (травматический)
Разрыв аорты может быть полным или неполным, и происходить в результате тупой или проникающей травмы грудной клетки. Признаки могут включать асимметрию сердечного ритма или артериального давления, снижение притока крови к нижним конечностям и прекордиальный систолический шум. Диагноз часто подозревают на основании механизма травмы и/или результатов рентгенографических исследований грудной клетки, подтвержденных КТ, УЗИ или аортографией. Лечение заключается в проведении открытого хирургического вмешательства или, чаще, установки стента.
Этиология травматического разрыва аорты
В случае тупой травмы, обычным механизмом является тяжелая травма, такая, как при резком торможении транспортного средства; у пациентов часто присутствуют множественные переломы ребер, переломы 1-го и/или 2-го ребер, или другие проявления тяжелой травмы грудной клетки.
При проникающей травме, рана обычно пересекает средостение (например, входное отверстие раны располагается между сосками или лопатками).
Патофизиология травматического разрыва аорты
Полный разрыв вызывает быструю смерть по причине обескровливания. Частичный разрыв обычно происходит в области артериальной связки (см. рисунок Большинство частичных разрывов аорты происходит вблизи артериальной связки Большинство частичных разрывов аорты происходит в области артериальной связки ) и сопровождается поддержанием постоянности кровотока, обычно по причине интактного адвентициального слоя аорты. Тем не менее, частичные разрывы могут также вызвать ограниченные медиастинальные гематомы.
Большинство частичных разрывов аорты происходит в области артериальной связки
Симптомы и признаки травматического разрыва аорты
Пациенты с травматическим разрывом аорты обычно ощущают боль в груди.
Признаки могут включать в себя дефицит пульса верхних конечностей, грубый систолический шум над прекордиальной областью или задним межлопаточным пространством, охриплость голоса, а также симптомы нарушения кровотока в нижних конечностях, в том числе снижение наполнения пульса или артериального давления в нижних конечностях по сравнению с верхними конечностями.
Диагностика травматического разрыва аорты
Исследования визуализации аорты
Травматический разрыв аорты следует подозревать у пациентов с наличием соответствующих механизмов протекания заболевания или результатов исследований. Для уточнения диагноза выполняют рентгенографию грудной клетки.
Заболевание следует подозревать в случае получения следующих результатов рентгенографии грудной клетки:
Расширение средостения (высокая чувствительность, за исключением пожилых пациентов)
Перелом 1-го или 2-го ребра
Облитерация дуги аорты
Отклонение трахеи или пищевода (и, следовательно, любого назогастрального зонда) вправо
Подавление функции левого главного бронха
Утолщение плевры или верхушки легкого
Гемоторакс, пневмоторакс или ушиб легкого
Однако некоторые симптомы при рентгенографических исследованиях грудной клетки могут проявляться не сразу. Кроме этого, такие исследования или их комбинация не являются достаточно чувствительными или специфическими; таким образом, многие специалисты рекомендуют проведение исследований визуализации аорты для всех пациентов с тяжелой травмой в результате торможения, даже при отсутствии вызывающих подозрение результатов при обследовании или рентгенографии грудной клетки.
Выбор вида исследования визуализации аорты варьирует в зависимости от возможностей медицинского учреждения. Исследования, которые дают достаточно точные результаты, включают следующее:
КТ-ангиография КТ ангиография КТ показывает очаговую область остеолиза (стрелки) с вовлечением правой вертлужной впадины, что согласуется с болезнью частиц. В КT рентгеновский источник и детектор рентгеновского излучения. Прочитайте дополнительные сведения Аортография Использование ангиографии Ангиографию, чтобы отличить ее от КТ-ангиографии (КTA) и магнитно-резонансной ангиографии (МРА), иногда называют обычной ангиографией. Ангиография представляет детальные изображения кровеносных. Прочитайте дополнительные сведения Чреспищеводная эхокардиография Техника ЭхоКГЕсли состояние пациентов не достаточно стабильно для проведения любого из доступных исследований визуализации, а также в случае шока с подозрением на травматический разрыв аорты, необходимо неотложное хирургическое вмешательство.
Лечение травматического повреждения аорты
Контроль артериального давления
Хирургическое вмешательство или стентирование
Показано введение плазмозаменителей, но следует начать терапию для контроля частоты сердечных сокращений (снижение частоты сердечных сокращений и артериального давления, обычно с применением бета-блокаторов) в случае, если исключены другие источники кровотечения. Целевые показатели сердечного ритма составляют ≤ 90 уд/минуту, и систолического артериального давления ≤ 120 мм рт.ст.; для таких пациентов не следует выполнять маневр Вальсальвы. Следует принять меры для того, чтобы избежать кашля и тошноты, если для пациентов требуется проведение эндотрахеальной интубации (например, предварительная терапия лидокаином 1 мг/кг внутривенно) или назагастрального зондирования (например, избегать любого сопротивления при введении зонда).
Раньше радикальным лечением было немедленное оперативное восстановление, но в настоящее время методом выбора является эндоваскулярное стентирование. Хирургическое вмешательство может быть отложено в случае оценки и лечения других потенциально угрожающих жизни повреждений.
Ключевые моменты
Частичный разрыв аорты следует рассматривать у пациентов с тяжелой травмой грудной клетки, вызванной торможением транспортного средства.
Чаще всего наблюдаются патологические результаты рентгенографического исследования, но они могут отсутствовать и часто бывают неспецифическими; наилучшие результаты дают исследования визуализации аорты, включающие в себя КТ-ангиографию, аортографию и чреспищеводную эхокардиографию.
Выполняют контроль частоты сердечных сокращений и артериального давления (обычно с применением бета-блокаторов) и размещение эндоваскулярного стента или проведение хирургического вмешательства.
Авторское право © 2022 Merck & Co., Inc., Rahway, NJ, США и ее аффилированные лица. Все права сохранены.
результаты ПЦР тестов

В период майских праздников в поликлиниках Кабанского района ежедневно работали прививочные кабинеты по вакцинации от COVID-19.
С начала вакцинации в район поступило 6290 доз вакцин, 700 из них доставили в ЦРБ 10 мая. По данным регистра вакцинированных, всего у нас привито 5304 человек, из них 2025человек - это жители района старше трудоспособного возраста и лица с хроническими заболеваниями.
На вакцинацию принимают по живой очереди, по предварительной записи по телефону, либо через личный кабинет госуслуг. Для прохождения вакцинации при себе необходимо иметь паспорт, медицинский полис, снилс. Перед проведением вакцинации обязательным является осмотр врачом терапевтом (фельдшером) заполнение анкеты и информированного согласия. После проведения вакцинации необходимо соблюдать меры предосторожности в части соблюдения санитарно -гигиенических правил (ношение маски, обработка рук), постараться максимально исключить риск заражения коронавирусной инфекцией, так как иммунитет формируется в течение 42 дней после проведения двухкратной вакцинации. Противопоказаниями к вакцинации являются: гиперчувствительность к какому-либо компоненту вакцины, тяжелые аллергические реакции, острые инфекционные и хронические заболевания, онкологические заболевания, также вакцинация запрещена для беременных и кормящих женщин и лиц младше 18 лет.
Не откладывайте вакцинацию, это единственный метод защиты от COVID-19 защитите себя и своих близких, общими усилиями мы создадим коллективный иммунитет!
Информацию о пунктах прохождения вакцинации в Кабанском районе вы можете получить по ниже указанным номерам телефонов регистратур:
Кабанск - 41236 Бабушкин - 70686
Селенгинск-74272 Выдрино- 93457
Каменск - 77385 Кудара - 79627
Администрация ГБУЗ «Кабанская ЦРБ» информирует:
В соответствии с утвержденной Программой модернизации первичного звена здравоохранения в Кабанскойм районе будут проведены следующие мероприятия по укреплению материально-технической базы:
1) Капитальный ремонт зданий поликлиники и стационара Каменской УБ на сумму более 40 млн. руб.
· Работы по ремонту поликлиники запланированы с 1 июня 2021 года сроком на 90 дней. Амбулаторно-поликлиническая медицинская помощь населению Каменского участка будет осуществляться на базе лечебного корпуса по адресу п. Каменск, ул. Подгорная, 33 («Сан. городок») и на базе детской консультации по адресу п. Каменск, ул. Школьная.
· Работы по капитальному ремонту здания стационара Каменской УБ начнутся ориентировочно с 1 июля, плановая длительность ремонта 90 дней. Стационарная помощь жителям Каменского участка на период ремонта будет осуществляться на базе Селенгинской РБ.
2) Строительство лифта в здании стационара Кабанской ЦРБ на сумму 6 млн. 557,0 тыс. руб.
3) Капитальный ремонт здания Выдринской участковой больницы на сумму 38 млн. 500,0 тыс. руб.
ВНИМАНИЕ! Ориентировочный срок начала работ 21 мая 2021 года. На время ремонта амбулаторно-поликлиническая помощь населению Выдринского участка будет осуществляться в приспособленном помещении здания по адресу ст. Выдринро, ул. Красногвардейская, 1 (здание бывшего Мостопоезда). Стационарная помощь-на базе Кабанской ЦРБ.
1) Капитальный ремонт здания стационара Кабанской ЦРБ с целью создания Первичного сосудистого отделения (ПСО) на сумму 24 млн. 146,0 тыс. руб.
2) Капитальный ремонт здания Бабушкинской ВА на сумму 80 млн. 538, 0 тыс. руб.
1) Строительство детской консультации и лаборатотрно-диагностического блока в Селенгинской районной больнице на сумму 161 млн 800 тыс. руб.
2) Капитальный ремонт главного корпуса Селенгинской РБ с целью размещения детского отделения на сумму 10 млн руб.
Читайте также:
