Травматический пневмоторакс. Диагностика, тактика
Добавил пользователь Евгений Кузнецов Обновлено: 18.12.2025
Информацию из данного раздела нельзя использовать для самодиагностики и самолечения. В случае боли или иного обострения заболевания диагностические исследования должен назначать только лечащий врач. Для постановки диагноза и правильного назначения лечения следует обращаться к Вашему лечащему врачу.
Пневмоторакс: причины появления, при каких заболеваниях возникает, диагностика и способы лечения.
Определение
Пневмоторакс – это патологическое скопление воздуха в плевральной полости, приводящее к нарушению вентиляционной функции легких и газообмена при дыхании.
К общим признакам пневмоторакса относятся боль в грудной клетке на стороне пневмоторакса, затрудненное дыхание, одышка, сухой кашель, учащенное сердцебиение.
При закрытом пневмотораксе легкое обычно спадается незначительно. Общее состояние больных остается удовлетворительным, реже – средней степени тяжести. Дыхательная недостаточность развивается только при двустороннем закрытом пневмотораксе. Частота дыхания – не более 20-24 в минуту.
Более тяжелое состояние наблюдается при открытом пневмотораксе. Дыхание у больных частое и поверхностное – до 30-40 в минуту. Рана на грудной стенке «присасывает» воздух при вдохе, а в момент выдоха из нее выходит воздух с кровяной пеной.
Состояние пациентов с напряженным пневмотораксом тяжелое или крайне тяжелое. Частота дыхания доходит до 30–50 в минуту. Скопление воздуха в подкожной клетчатке может распространяться на лицо, шею, живот, половые органы.
В результате пневмоторакса существует риск развития плевритов, эмпиемы (скопления гноя в плевральной полости), острой дыхательной и сердечно-легочной недостаточности, эмфиземы.
Разновидности пневмоторакса
По причине возникновения:
- спонтанный (первичный и вторичный),
- травматический,
- ятрогенный.
- открытый,
- клапанный,
- закрытый.
- ограниченный,
- средний,
- большой,
- полный (тотальный).
- первичный,
- рецидивирующий (повторяющийся).
Воздух в плевральную полость может попасть через висцеральную или париетальную плевру в результате повреждения легкого или проникающего ранения грудной клетки.
Плевральная полость представляет собой щелевидное пространство между париетальным и висцеральным листками плевры. Наружный (париетальный) листок выстилает стенки грудной полости и наружные поверхности средостения, внутренний (висцеральный) покрывает легкое и его анатомические структуры (сосуды, бронхи и нервы).

Первичный пневмоторакс возникает внезапно, без очевидных причин у прежде здоровых людей.
Развитие первичного спонтанного пневмоторакса не связанно с травмой легкого, врачебными манипуляциями или хроническими заболеваниями легких.
Вторичный пневмоторакс возникает на фоне имеющихся прогрессирующих заболеваний:
- дыхательных путей (хронической обструктивной болезни легких, бронхиальной астмы, муковисцидоза);
- легких (эмфиземы легких, саркоидоза, идиопатического фиброзирующего альвеолита, и др.);
- системных заболеваний (ревматоидного артрита, анкилозирующего спондилита, системной склеродермии, и др.);
- острого респираторного дистресс-синдрома у больных на ИВЛ (искусственной вентиляции легких);
- инфекционных заболеваний легких (пневмоцистной пневмонии у больных СПИДом, паразитарных заболеваний, грибковых инфекций).
Если после повреждения легкого отверстие закрывается, то такой пневмоторакс называют закрытым, то есть плевральная полость не сообщается с внешней средой и количество воздуха в ней не меняется во время дыхания.
Напряженный, или клапанный пневмоторакс развивается в результате ранения бронха (трахеи) или обширного повреждения ткани легкого при отсутствии зияющей раны грудной стенки. На вдохе воздух нагнетается в плевральную полость через рану грудной стенки или бронха.
Поскольку воздух не может выйти наружу, он сдавливает легкое и средостение. Возникает тяжелая дыхательная и сердечно-сосудистая недостаточность.
При ограниченном пневмотораксе происходит спадение легкого менее чем на 1/3, при среднем – от 1/3 до 1/2 объема, при большом пневмотораксе легкое может занимать менее половины нормального объема или быть полностью спавшимся (при тотальном пневмотораксе).
Ятрогенный (от др.-греч. iatros – врач и genes – порождающий) пневмоторакс может развиться как осложнение лечебных или диагностических манипуляций.
Диагностика и обследования при пневмотораксе
Диагностика пневмоторакса основывается:
- на клинических проявлениях заболевания;
- на данных объективного обследования;
- на данных рентгенологического обследования, компьютерной томографии:
Рентгенологическое исследование структуры легких с целью диагностики различных патологий.
Исследование, позволяющее получить данные о состоянии органов грудной клетки и средостения.
- пневмоторакс первичный спонтанный, ген FLCN м.
Исследование мутаций гена FLCN. Тип наследования. Аутосомно-доминантный. Гены, ответственные за развитие заболевания. FLCN - ген фо.
- клинический анализ крови: общий анализ, лейкоформула, СОЭ (с микроскопией мазка крови при наличии патологических сдвигов);
Синонимы: Общий анализ крови, ОАК. Full blood count, FBC, Complete blood count (CBC) with differential white blood cell count (CBC with diff), Hemogram. Краткое описание исследования Клинический анализ крови: общий.
Синонимы: Общий белок сыворотки крови; Общий сывороточный белок. Total Protein; Serum Тotal Protein; Total Serum Protein; TProt; ТР. Краткая характеристика определяемого вещества Общий бе�.
Синонимы: Человеческий сывороточный альбумин; ЧСА; Альбумин плазмы; Human Serum Albumin; ALB. Краткая характеристика исследуемого вещества Альбумин Альбумин – эт.
Тест предназначен для скрининговой оценки состава и количественного соотношения фракций белка сыворотки крови методом электрофореза. Синонимы: Электрофорез �.
Синонимы: Анализ крови на креатинин; Сывороточный креатинин; Креатинин сыворотки, оценка СКФ. Сreat; Сre; Blood Creatinine; Serum Creatinine; Serum Creat. Краткая характеристика определя�.
Синонимы: Диамид угольной кислоты; Карбамид; Мочевина в крови; Азот мочевины. Urea nitrogen; Urea; Blood Urea Nitrogen (BUN); Urea; Plasma Urea. Краткая характеристика аналита Мочевина Моче�.
Синонимы: Анализ крови на скорость клубочковой фильтрации; СКФ; Скорость клубочковой фильтрации по креатинину. Estimated Glomerular filtration rate; eGFR; Test of renal function; CKD-EPI Creatinine Equat.
Билирубин прямой – водорастворимая конъюгированная форма билирубина, образуемая в печени и выводимая с желчью. Тест применяют для оценки функции печени, в дифф�.
Аланинаминотрансфераза − внутриклеточный фермент, участвующий в метаболизме аминокислот. Тест используют в диагностике поражений печени, сердечной и скелетн�.
Синонимы: Глутамино-щавелевоуксусная трансаминаза; Глутамат-оксалоацетат-трансаминаза сыворотки крови (СГОТ); L-аспартат 2-оксоглутарат аминотрансфераза; ГЩТ. As.
Материал для исследования Сыворотка или плазма крови. Если нет возможности центрифугировать пробу через 30 минут после взятия для отделения сыворотки/плазм.
Синонимы: Анализ крови на ГТТ; Пероральный глюкозотолерантный тест (ПГТТ); Тест на толерантность к глюкозе; Проба с 75 граммами глюкозы. Glucose Tolerance Test (GTT); Oral Glucose Tole.
Электрокардиография (ЭКГ) - повсеместно распространенный метод изучения работы сердца, в основе которого лежит графическое изображение электрических импульсов с�.
Все больные с пневмотораксом должны быть экстренно госпитализированы в торакальное или экстренное хирургическое отделение. После выписки из стационара больным, у которых пневмоторакс развился на фоне хронического заболевания, необходимо наблюдаться у пульмонолога , терапевта или врача общей практики .
Что делать при пневмотораксе
Поскольку лечение пневмоторакса проходит в стационаре, то рекомендации связаны с периодом амбулаторного восстановления пациента. После выписки из стационара необходимо избегать физических нагрузок в течение минимум 4 недель, возвращение к прежнему ритму жизни возможно только с разрешения врача и после полной нормализации функции дыхания. Наблюдение у пульмонолога должно стать привычным – это позволит снизить риск повторного пневмоторакса.
Лечение пневмоторакса
Главные цели терапии пневмоторакса – расправление легкого, прекращение поступления воздуха в плевральную полость и предотвращение рецидивов.
На сегодняшний день медицина предлагает несколько методов лечения. Выбор зависит от вида пневмоторакса и тяжести состояния пациента.
Консервативное лечение рекомендовано при малом ненапряженном первичном пневмотораксе без дыхательной недостаточности. Оно включает клинический и рентгенологический мониторинг, лечебно-охранительный режим, обезболивание, кислородную терапию и антибактериальную терапию (по показаниям).
Плевральная пункция показана пациентам моложе 50 лет при первом эпизоде спонтанного пневмоторакса объемом 15-30% без выраженного нарушения функции дыхания.
Дренирование плевральной полости выполняют при неэффективности плевральной пункции, при большом пневмотораксе, при вторичном пневмотораксе, у больных с дыхательной недостаточностью и у пациентов старше 50 лет.

Диагностическая торакоскопия (осмотр полости плевры с помощью торакоскопа через прокол стенки грудной клетки) выполняется для выявления причины пневмоторакса и определения дальнейшей тактики лечения. Последовательно исследуют плевральную полость на наличие экссудата, крови, спаек, осматривают легкое, диафрагму.
Химический плевродез – процедура, во время которой в плевральную полость вводят вещества, приводящие к асептическому воспалению и образованию сращений между висцеральным и париетальным листками плевры. Цель плевродеза – облитерация (заращение) плевральной полости.
При неэффективности консервативной терапии, когда легкое не расправляется и воздух поступает по дренажу более 3 суток, показано срочное хирургическое лечение.
Информацию из данного раздела нельзя использовать для самодиагностики и самолечения. В случае боли или иного обострения заболевания диагностические исследования должен назначать только лечащий врач. Для постановки диагноза и правильного назначения лечения следует обращаться к Вашему лечащему врачу.
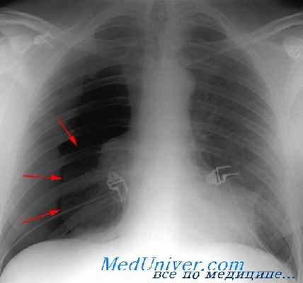
Травматический пневмоторакс. Диагностика, тактика
Травматический пневмоторакс. Диагностика, тактика
Пневмоторакс — одно из наиболее распространенных состояний при обширной травме, с распространенностью более 20% у пациентов, прибывающих живыми в травматологические центры. Пневмоторакс определяется как скопление воздуха в плевральной полости. Есть три подтипа пневмотораксов: простой, открытый и напряженный. Простой пневмоторакс — просто скопление воздуха, задержавшегося в плевральной полости. Наиболее распространенная причина пневмоторакса — выход воздуха из поврежденного легкого в плевральную полость.
Открытые пневмотораксы развиваются, когда раны грудной стенки позволяют воздуху входить в плевральную полость снаружи. Напряженный пневмоторакс развивается, когда воздух собирается в плевральной полости под давлением, превышающим атмосферное давление. Это давление затем передается на средостение, что может закончиться смещением сердца и крупных сосудов в противоположную от пневмоторакса сторону. Как при большинстве повреждений, патогенез пневмоторакса изменяется при тупых или проникающих механизмах.
Пневмотораксы после тупой травмы могут развиться вследствие нескольких механизмов:
1) внезапное увеличение внутригрудного давления может разорвать альвеолы, что приведет к утечке воздуха,
2) отломки ребер могут сместиться внутрь и разорвать легкое непосредственно,
3) повреждения от резкого торможения могут порвать легкое, вызывая утечку воздуха, и
4) тупые силы могут непосредственно раздавить и разрушить альвеолы. Напротив, этиология пневмотораксов после проникающей травмы почти всегда связана с прямым разрывом паренхимы легкого.
Окончательный диагноз пневмоторакса делается по рентгенограмме, хотя его можно часто заподозрить при физикальном исследовании. Обнаружение подкожной эмфиземы после тупой или проникающей травмы указывает на пневмоторакс. В то время как ослабленные дыхательные звуки — полезная находка, при их наличии, относительно сильный окружающий шум в большинстве травматологических смотровых и факт, что звуки дыхания часто хорошо передаются от другого легкого, лишают этот признак универсальности, а наш опыт показывает, что звуки дыхания могут присутствовать даже при наличии существенного пневмоторакса. Открытая рана на грудной стенке с очевидным выходом воздуха, безусловно, говорит об открытом пневмотораксе.

Как уже сказано, диагноз пневмоторакса обычно ставится по рентгенограмме в переднезадней проекции, выполненной на портативном аппарате. Хотя недавно было показано, что УЗИ имеет значение в диагностике гемопневмоторакса. Это особенно верно при тех передних пневмотораксах, которые плохо видны при рентгенограмме в переднезадней проекции в положении лежа на спине. Предполагалось, что исследование обеих половин грудной клетки должно быть частью прицельной сонографии живота при травме (FAST). Ультразвуковой диагноз пневмоторакса может быть поставлен при визуализации плевры между эхогенными реберными окнами и поиске характерных признаков пневмоторакса.
Часто оценка объема пневмоторакса используется для определения его клинического значения. Это выполняется определением расстояния от поджатого края легкого до грудной стенки в процентном отношении к общему размеру половины грудной клетки. Поскольку КТ живота стало более обычным для оценки пациентов в стабильном состоянии после тупой травмы, выяснилось, что у многих пациентов с тупой травмой есть значительные передние пневмотораксы, которые не видны при обзорной рентгенографии грудной клетки. Частота пропущенных при рентгенограмме в переднезадней проекции в положении лежа на спине пневмотораксов оценивалась в 20-35%.
Фактически, неспособность обзорной рентгенограммы дать действительно трехмерную картину грудной полости делает часто используемые «процентные» описания пневмотораксов очень неточными и малоценными. С клинической точки зрения эти недостатки обзорной рентгенографии служат объяснением причины значительной одышки при многих пневмотораксах, выглядящих достаточно безвредными на рентгенограмме. Это также помогает в понимании того, почему небольшой на вид объем плевральной жидкости на рентгенограмме может дать большое выделение жидкости через плевральную дренажную трубку. Таким образом, симптомы у отдельного пациента и физиологические данные будут намного более важны для обоснования безотлагательного лечения, чем определяемый при рентгенограмме объем пневмоторакса. Опытные врачи наблюдали пациентов с полным коллапсом легкого, у которых не было одышки, показатели газов крови в покое были нормальными.
Напротив, у других пациентов может быть тяжелая одышка и гипоксия при значительно меньшем спадении легкого.
Ретроспективно, вероятно, что у некоторых пациентов из последней группы при КТ груди можно было бы найти пневмоторакс большего объема.
Эта дилемма привела к дискуссии по поводу диагностики и лечения пневмоторакса, а именно, адекватность лечения пациентов, пневмоторакс у которых видим только при КТ груди и/или живота. Сообщается, что встречаемость этих скрытых пневмотораксов составляет 2-8% всех случаев тупой травмы. В то время как диагностика скрытого пневмоторакса расширяется, оптимальное лечение этих пациентов еще не определено. В ретроспективном исследовании размер скрытого пневмоторакса соотносился с установкой торакостомической трубки, а торакостомия трубкой предлагалась при всех пневмотораксах более 5x80 мм. Кроме того, эти авторы считают, что перелом двух или более ребер также предопределяет потребность в торакостомии трубкой.
Enderson et al. проспективно установили, что у 8 из 15 пациентов со скрытыми пневмотораксами на вентиляции с положительным давлением потребовалась торакостомия трубкой, и в трех случаях развился напряженный пневмоторакс. Авторы рекомендовали, чтобы при всех скрытых пневмотораксах у больных, требующих вентиляции с положительным давлением, выполнялась торакостомия трубкой. Напротив, в проспективном исследовании 44 подобных пациентов, Brasel et al. нашли, что ни размер, ни вентиляция с положительным давлением не коррелировали с развитием клинически значительного пневмоторакса, который потребовал бы торакостомии трубкой.
Таким образом, из доступной литературы следует, что приблизительно в 20% случаев скрытого пневмоторакса потребуется торакостомия трубкой, но такие пневмотораксы лечат в соответствии с конкретной ситуацией. Пациенты с множественными повреждениями, геморрагическим шоком или травмой головного мозга могут не перенести небольшого, но вполне вероятного увеличения пневмоторакса в размере. Точно так же в случаях необходимости ведения такими узкими специалистами как ортопеды и нейрохирурги наблюдение за развитием пневмоторакса будет не столь тщательным, как в травматологическом отделении интенсивной терапии. В этих обстоятельствах мы считаем, что соотношение выгода/риск смещается в сторону лечения с помощью плевральной дренажной трубки. При возможности тактики безопасного наблюдения дополнительная рентгенография должна выполняться через 6 и 24 часа после установки диагноза, чтобы гарантировать, что пневмоторакс не прогрессирует.
Редактор: Искандер Милевски. Дата обновления публикации: 18.3.2021
Пневмоторакс

Пневмотораксом называют обильное скопление газов или воздуха в плевральной полости (за грудиной), способное привести к нарушению естественной вентиляции легких и газообмена во время дыхания человека. В результате такого заболевания легкие сдавливаются, кислород не поступает, на фоне чего возникает гипоксия (кислородное голодание). Дальше происходит нарушение обмена веществ и дыхательная недостаточность.
Пневмоторакс легкого может быть закрытого или открытого типа. В первом случае происходит разгерметизация дыхательной системы из-за сквозных ранений. Тогда воздух и газы попадают в область плевры извне. Во втором случае герметичность грудной клетки не нарушена, но сама плевра имеет дефект.
Согласно другой классификации пневмоторакс легкого подразделяется по следующим видам:
- вторичный (выявляется в качестве осложнения патологии легочного или нелегочного характера);
- искусственный (иногда создается врачами для проведения определенных манипуляций, необходимых для лечения или диагностики пациента);
- спонтанный (возникающий неожиданно, без каких-либо предвестников или фоновых явных заболеваний).
Симптомы и признаки
Симптомы и признаки пневмоторакса также отличаются в зависимости от видов. Для открытого пневмоторакса характерны:
- сильная болезненность в области дефекта грудной клетки, которую больной старается закрыть руками или весом собственного тела;
- шумное всасывание воздушных масс в грудную полость;
- просачивающаяся сквозь рану вспененная кровь;
- нарушение симметрии грудной клетки.
При закрытом пневмотораксе симптомы наблюдаются следующие:
- приступообразный сильный кашель;
- колющая боль в груди со стороны пораженного легкого, отдающая в шею и руку;
- панические атаки;
- бульканье;
- одышка;
- признаки дыхательной недостаточности (синюшность кожных покровов, сухой кашель, слабость).
Как только спонтанный пневмоторакс переходит в новую стадию своего развития, пациента уже не так сильно мучает одышка. Боли продолжают появляться только при глубоком вдохе или перемещениях тела больного. Иногда возникает подкожное вздутие возле лица или шеи, при нажатии на которое раздается хруст. Дыхание становится сильно ослабленным, одно легкое пациента может полностью выключиться из работы.

Дальше при спонтанном пневмотораксе происходит:
- уменьшение объема легкого до 30-40%;
- сильное воспаление плевры;
- отек;
- отложение фибрина;
- спайки (они сильно затрудняют дальнейшее лечение).
Причины возникновения
Причинами пневмоторакса могут быть:
- огнестрельные и колотые ранения в область грудной клетки;
- травмы, механические повреждения ребер и легких закрытого типа;
- осложнение после пункции, катетера, блокады нерва.
Привести к болезни также могут разрывы кист и булл, прорвавшиеся абсцессы, туберкулез, злокачественные опухоли, разрыв пищевода.
Пневмоторакс поражает одну сторону, но иногда он развивается с двух сторон.
Осложнения
Осложнения на фоне пневмоторакса встречаются более чем у 50% пациентов. Ими могут быть:
- развитие острой дыхательной недостаточности;
- экссудативный плеврит;
- эмфизема подкожного типа;
- неспособность легкого полностью расправляться из-за шварта;
- гемопневмоторакс (на фоне попадания крови в плевральную область).
Когда следует обратиться к врачу
Лечением пневмоторакса занимается врач-пульмонолог. Чтобы получить своевременное лечение пневмоторакса, нельзя упускать время. Важна каждая минута. Если вы пострадали от ранения, получили травму с переломом ребер, испытываете сложности с дыханием и острую боли в области груди, то необходимо незамедлительно получить помощь специалиста.
Диагностика
При первых признаках пневмоторакса необходимо обратиться к врачу и пройти диагностику. Она основывается на осмотре и прослушивании легких стетоскопом. Обычно при этом дыхание внизу не прослеживается на слух. Сам пациент вынужден принимать неестественное положение тела, чтобы сжать грудную клетку в области раны и в какой-то степени уменьшить болевые ощущения.
Обязательно при пневмотораксе назначают рентген. По его результатам доктор определяет диагноз. Дополнительно может быть взята пункция из плевральной полости с газом или воздухом. Давление при этом в ней отсутствует.
Пройти диагностику и быстро получить результаты, чтобы сэкономить важное сейчас время, оперативно приступить к лечению можно в нашей клинике. Здесь есть все необходимое современное диагностическое оборудование, опытные доктора и лаборатория.
Лечение

При возникновении пневмоторакса нельзя обойтись без лечения. Его назначают пульмонологи и торакальные хирурги. Первая помощь при пневмотораксе открытого типа сводится к наложению повязки. Если болезнь клапанного типа, то нужно срочно сделать пункцию и удалить воздух. Дальше требуется операция пневмоторакса, при которой выполняют зашивание всасывающего клапана.
После оперативных действий пациента переводят в стационар. Дальнейшее лечение будет зависеть от причины, которая вызвала патологию. Обычно оно сводится к:
- удалению обломков ребер;
- операции на легких;
- откачиванию воздуха и восстановлению нормального давления в легких.
Чтобы ситуация не повторилась, врачи проводят плевродез. Это процедура, при которой создаются искусственные спайки в плевре с расправленным легким.
Домашние средства лечения
Если у пациента по результатам диагностического исследования отсутствует отрицательная динамика, то врач может назначить домашнее лечение. Оно включает в себя кислородную терапию и прием обезболивающих средств. Первые несколько дней необходимо провести в стационаре под наблюдением врачей. Если никаких осложнений не наблюдается, динамика положительная, то больного выписывают с продолжением лечения дома.
Врачом обычно назначаются препараты следующих типов:
- антигистаминные (для предупреждения аллергии);
- обезболивающие;
- антибиотики.
Больному прописывают покой и временное прекращение профессиональной деятельности. Не допускается быстрый возврат к прежнему ритму жизни. Это только увеличивает вероятность рецидива. Необходимо дождаться полного устранения боли и нормализации дыхательной функции. Находиться дома нужно будет не меньше месяца с момента выписки.
Первые несколько дней после оперативного лечения спать следует на кресле с откидной спинкой. Это снизит нагрузку на грудную клетку.
Прогноз заболевания
Последствия пневмоторакса будут зависеть от степени поражения легких, тяжести заболевания и скорости развития дыхательной недостаточности. Если напряженный пневмоторакс возник по причине серьезной травмы или ранения с большой областью поражения и большой кровопотерей, то прогноз при таких случаях неблагоприятный.
Нужно понимать, что гарантий полного излечения болезни нет. Риск рецидива составляет 30%. Если ситуация повторяется, то угроза следующего рецидива увеличивается до 60%. В таких случаях обойтись только дренажом с откачиванием жидкости и газа нельзя. Необходимо проведение малоинвазивной торакоскопической операции.
Профилактика
Чтобы не допустить развития спонтанного пневмоторакса, нужно следить за своим здоровьем и условиями жизни. К болезни могут привести на первый взгляд безобидные причины:
- переутомление;
- простуда;
- напряжение.
Поэтому нужно стараться защищать себя от переохлаждений, повышать естественные защитные функции организма, укреплять иммунную систему, основательно и вовремя лечить острые респираторные и вирусные заболевания.
Как записаться к пульмонологу?
Если у вас отмечаются симптомы пневмоторакса легких, то необходимо посетить пульмонолога. Доктор назначит диагностику, проведет осмотр и подберет лечение. Оказание помощи при пневмотораксе крайне важно, так как он может стать причиной гибели пациента.
Чтобы сохранить свое здоровье, получить максимальные шансы на быстрое выздоровление без последствий, посетите АО «Медицина» (клиника академика Ройтберга) в ЦАО Москвы. Мы находимся по адресу: 2-й Тверской-Ямской переулок, дом 10. Всего в 5 минутах ходьбы от м. Маяковская. Добраться до нас также можно от станций м. Белорусская, м. Новослободская, м. Тверская, м. Чеховская.
Пневмоторакс
Спонтанный пневмоторакс — одна из самых опасных и тяжелых травм. С ней сталкиваются 10%, и каждый десятый из тех, кто столкнулся со схлопыванием легких, умирает в течение первых суток после возникновения заболевания. Разбираемся, из-за возникает наличие воздуха в плевральной полости и что нужно сделать тем, кто столкнулся с этой травмой.

Содержание статьи
- Как возникает коллапс легкого?
- Основные виды пневмоторакса
- Основные симптомы и признаки
- Осложнения при пневмотораксе
- Диагностика заболевания
- Методы лечения пневмоторакса
- Профилактика коллапса легких
- Частые вопросы
- Заключение эксперта
Как возникает коллапс легкого?
Легкие — это парные органы, которые располагаются в грудной клетке. Между ними и ребрами, которые ограничивают грудную клетку, есть полость, которая называется плевральной. Эта полость выстлана плеврой — особой серозной оболочкой, которая защищает органы дыхания от внешних воздействий.
Плевральная полость герметична. В норме внутри нее нет воздуха, но есть отрицательное давление. Из-за этого легкие расправлены и могут нормально функционировать. Но иногда герметичность плевральной полости нарушается. Чаще всего это происходит при травмах, некоторых болезнях или операциях на грудной клетке.
Пневмоторакс — это нарушение целостности плевральной оболочки легких. В результате этого легкие деформируются и не могут выполнять свою функцию. Часто этот процесс протекает спонтанно без явных на то причин.
Когда же у этого явления нет явной причины, говорят о развитии спонтанного пневмоторакса. При нем нарушается целостность плевры, в нее попадает воздух. Из-за разгерметизации легкие сжимаются, происходит их деформация и нарушается их функция. Это проявляется в виде нарушения дыхания, боли в области грудной клетки. Такое состояние называется коллапс легкого.
Патологию следует отличать от нарушения целостности главного органа дыхания, когда легко лопнуло или пробито. Это также приводит к попаданию воздуха в плевральную полость. Такая патология обычно развивается из-за травм и болезней и не относится к спонтанному пневмотораксу, поэтому тактика лечения этой патологии должна быть другой.
На развитие коллапса легкого могут влиять некоторые вредные факторы. К ним обычно относятся:
- Последствия заболеваний легких, при которых в них образуются спайки.
- Сами заболевания легких, которые приводят к изменениям лёгочной ткани.
- Курение, в том числе электронных сигарет, из-за чего развиваются поражения легочной ткани.
- Чрезмерная физическая нагрузка, которая может спровоцировать надрыв плевры и травмы легкого.
- Генетическая предрасположенность, которая проявляется при таких заболеваниях, как синдром Марфана и некоторых других.
- Резкие перепады давлений, которые возникают при полетах на самолете, погружениях на большую глубину или игре на духовых инструментах.
Чаще всего пневмоторакс возникает у худых взрослых мужчин среднего возраста. Реже он развивается у женщин и детей. Это заболевание относится к рецидивирующим: после первого приступа рецидив случается в 25% случаев. Причем вероятность наступления повторного приступа увеличивается с каждым новым эпизодом болезни. Спонтанный пневмоторакс развивается как справа, так и слева.
Основные виды пневмоторакса
Пневмоторакс различают по причине его возникновения, стороне поражения, тяжести течения и некоторым другим признакам. Определить причины возникновения патологии необходимо для того, чтобы правильно провести лечебные и реанимационные мероприятия.
Пневмоторакс открытый развивается на фоне внешних травм грудной клетки и появления в ней отверстий. Если же дырка образуется в легком, то развивается закрытый вид коллапса легкого. В зависимости от поражения выделяют правосторонний, левосторонний или двусторонний пневмоторакс.
Заболевание может протекать как с осложнениями, так и без них, развиваться первично как самостоятельное заболевание или само быть последствием других болезней. Он может возникать впервые или быть рецидивным.
По тяжести течения и локализации повреждения выделяют:
Воздуха в полости немного, объем легкого снижен не более чем на ⅙ от нормального
Количество воздуха в полости увеличивается, легко схлопнуть на ⅓
Полость продолжает заполняться воздухом, легкое сжато на ½
Полость сильно заполнена воздухом, объем легкого уменьшен более чем на ½
Полость заполнена воздухом, легкие полностью сжимаются
По происхождению выделяют:
- пневмоторакс травматический;
- пневмоторакс искусственный;
- посттравматический пневмоторакс;
- клапанный пневмоторакс;
- ограниченный пневмоторакс;
- инфекционный пневмоторакс.
Эти виды различают по той причине, которая привела к его появлению. Травматическая и посттравматическая форма развивается из-за прямой травмы. К инфекционному относится, например, спонтанный пневмоторакс при туберкулезе или пневмонии. К клапанному — такой, который возникает из-за нарушения правильной циркуляции воздуха в легком.
Обратите внимание! Боль в области грудной клетки может признаком самых разных патологий, к которым относится и такие серьезные болезни, как инфаркт. Поэтому при появлении болевого синдрома стоит немедленно обратиться к врачу или вызвать скорую помощь
Основные симптомы и признаки
Основной признак пневмоторакса — это острая боль в области грудной клетки, которая может отдавать в область плеча. Интенсивность болевого синдрома индивидуальна и зависит от других факторов (состояние здоровья, подвижность нервной системы и т. д.). Некоторые просто отмечают дискомфорт и ощущение раздувания грудной клетки.
Чем больше воздуха скапливается в плевральной полости, тем более выражены симптомы поражения легкого. Помимо боли, появляются кашель, одышка, бледность кожных покровов, тахикардия, учащенное дыхание, беспричинное слезотечение, головокружение.
Это симптомы возникают из-за того, что происходит коллабирование легкого, оно не может выполнять свою функцию полностью и развивается кислородное голодание. От него страдают все органы, но в первую очередь головной мозг. Чем дольше длится такое состояние, тем серьезнее последствия.
Боль при пневмотораксе часто путают с другими заболеваниями, например, остеохондрозом, и начинают лечить «неправильную» болезнь. Неправильное лечение приводит к тому, что у больного развиваются осложнения, которые могут привести к полной потери легкого. Наши врачи на дистанционной консультации внимательно изучат вашу историю болезни и помогут исключить негативные диагнозы
Осложнения при пневмотораксе
Первыми от пневмоторакса страдают, конечно, легкие. Долгая их склеивание приводит к спайкам, развитию стойкого воспалительного процесса (хронических пневмоний, обструктивной болезни легких и так далее). При отсутствии лечения в легочной ткани могут развиваться абсцессы, что может грозить полным удалением легкого.
Если воздух выходит за переделы плевральной полости и попадает в другие органы, в них развивается эмфизема. Чаще всего это осложнение происходит в области кожных покровов, сердца и крупных сосудов. В последнем случае это приводит к их сжатию и может стать причиной летального исхода.
Также на фоне пневмоторакса часто развивается дыхательная недостаточность. Нехватка кислорода сказывается на всех органах — от головного мозга до мелких сосудов. Чем дольше органы не получают нормальное количество кислорода, тем серьезнее их поражение.
Помимо воздуха, в плевральной полости может скапливаться жидкость. Это приводит к развитию гидропневмоторакса, плеврита и замены здоровых тканей соединительной. Этот процесс не обратим и значительно ухудшает качество жизни человека. Кроме того, несвоевременное лечение приводит к постоянным рецидивам пневмоторакса.
Диагностика заболевания
Диагноз ставится на основании клинических симптомов, истории болезни и осмотра. Врач обязательно случае дыхание. При пневмотораксе оно происходит аускультативно, т. е. в нем отчетливо слышны хрипы и шумы в грудной клетке. При внешнем осмотре заметно расширение межреберного пространства и самой грудной клетки.
Для подтверждения и уточнения диагноза назначается рентгенограмма легких. По рентген-снимку оценивается степень коллабирования легкого (степень его схлопывания) и структуру изменений в них, а также некоторые причины, из-за которых воздух попал в грудную клетку.
Для более точной диагностики могут использоваться и другие методы — ультразвук и мультиспиральная компьютерная томография. Дополнительно для определения степени кислородного голодания рекомендуется постоянный мониторинг сатурации.
Пример из практики:
Мужчина обратился в скорую помощь с острой болью в области сердца. Также он жаловался на то, что не может глубоко вдохнуть. Первичный осмотр выявил у него бледность кожных покровов, учащенное дыхание и тахикардию.
Пациента направили на рентген для исключения травм, а также на УЗИ сердца для исключения инфаркта. На снимке обнаружили признаки схлопывания легких на фоне хронической обструктивной болезни.
Методы лечения пневмоторакса
Лечение пневмоторакса направлено на устранение воздуха из плевральной полости, восстановление функции легких и недопущения развития осложнений, а также недопущения рецидивов заболевания. В терапии коллапса легкого применяют консервативные и оперативные тактики.
Медикаментозное лечение назначают при незначительных стадиях повреждения легкого и отсутствия признаков дыхательной недостаточности. При этом назначают анальгетики для снижения болевого синдрома, а также профилактические дозы антибиотиков для предотвращения развития воспалений.
Для отведения лишнего воздуха из плевральной полости и восстановления функции легких назначают пункцию. Прокол проводят на между 2 и 3, а также 4 и 5 ребрами. Иглу вводят под местной анестезией, поэтому пациенты обычно спокойно переносят процедуру.
При тяжелом течении болезни, множественных осложнений и невозможности обойтись без хирургического вмешательства проводят операцию. В легкие ставят бронхоблокатор, который предотвращает схлопывание легкого. Также проводят полную или частичную ампутацию поврежденного органа.
Если пневмоторакс развился как осложнение другой болезни или к нему привели травмы, чрезмерная физическая нагрузка или другие состояния, следует провести коррекцию этих причин.
При подозрении на пневмоторакс не стоит заниматься самолечением и проводить пункцию самостоятельно. Без определенного опыта легко повредить легкое. Наши врачи дистанционно помогут вам определить причину болей и при необходимости вызовут скорую помощь.
Профилактика коллапса легких
Прогноз в лечении болезни, как правило, благоприятный. Если больной соблюдает все назначения врача и ведет здоровый образ жизни, наступает полное выздоровление, а повторные приступы проявляются редко.
Для предотвращения первичного пневмоторакса рекомендуют исключить провоцирующие его факторы:
- своевременно диагностировать и лечить легочные заболевания;
- полностью отказаться от курения;
- дозировать физическую нагрузку;
- стараться избегать травм грудной клетки;
- нормально питаться и избегать жестких диет;
- соблюдение правил при перелета и погружении в воду.
Помогает в профилактике пневмоторакса дыхательная гимнастика. Она развивает легкие и предотвращает их травматизацию. Также такие упражнения помогают избегать гипоксии при самом приступе.
Частые вопросы
При пневмотораксе нарушается целостность грудной клетки и в нее попадает воздух. Из-за этого легкие схлопывается, развивается дыхательная недостаточность и другие осложнения.
В лечении этого заболевания используют как консервативные, так и оперативные методы. Лечение назначает врач на основании клинической картины и тяжести течения заболевания.
Чаще всего от пневмоторакса страдают взрослые худощавые мужчины. С чем это связано доподлинно неизвестно. На втором месте — женщины. У детей пневмоторакс встречается редко.
Нет, лечение необходимо проводить под наблюдением врача в условиях стационара. При стремительном развитии дыхательной недостаточности больному может потребоваться кислород и срочная реанимация.
Такого понятия, как хронический пневмоторакс, не существует. В клинической практике говорят о рецидивирующей форме коллапса легкого. Она возникает как осложнение спонтанного пневмоторакса.
Заключение эксперта
Пневмоторакс — заболевание, которое может угрожать жизни пациента. При его возникновении нужно как можно скорее обратиться к врачу и восстановить функцию легких. После этого пациенту нужно частое диспансерное наблюдение, так как эта патология часто бывает рецидивирующей.
Пневмоторакс (травматический)

Травматический пневмоторакс – это скопление воздуха в плевральной полости, которое происходит по причине травмы и приводит к частичному или полному коллапсу легкого. Симптомы включают боль в груди от причинной травмы, и в некоторых случаях –одышку. Постановка диагноза осуществляется на основании результатов рентгенографии грудной клетки. Лечение обычно проводят с использованием зондовой торакостомией.
Спонтанный пневмоторакс Пневмоторакс Пневмоторакс – это скопление воздуха в плевральной полости, что приводит к частичному или полному коллапсу легкого. Пневмоторакс может развиваться спонтанно, в результате травм или медицинских. Прочитайте дополнительные сведения Пневмоторакс может быть вызван проникающей или тупой травмой; у многих пациентов также развивается гемоторакс Гемоторакс Гемоторакс – это накопление крови в плевральной полости. (См. также Обзор торакальной травмы (Overview of Thoracic Trauma)). Обычной причиной гемоторакса является разрыв легкого, межреберного. Прочитайте дополнительные сведения Простой односторонний пневмоторакс, даже массивный, хорошо переносится большинством пациентов, если они не имеют клинически значимого фонового заболевания легких. Тем не менее, напряженный пневмоторакс Пневмоторакс (напряженный) Напряженным пневмотораксом называют скопление воздуха в плевральной полости под давлением, сдавление легких и уменьшение венозного оттока по направлению к сердцу. (См. также Обзор торакальной. Прочитайте дополнительные сведенияСимптомы и признаки травматического пневмоторакса
У пациентов с травматическим пневмотораксом обычно наблюдается плевритная боль в грудной клетке, одышка, тахипноэ и тахикардия.
Шумы дыхания могут быть уменьшены, а при поврежденном гемотораксе характерны коробочные шумы при перкуссии — в основном при массивном пневмотораксе. Тем не менее, такие проявления присутствуют не всегда, и могут быть трудно идентифицируемыми в шумной обстановке реанимационных мероприятий. Подкожная эмфизема вызывает потрескивающие или похрустывающие звуки при пальпации; проявления могут быть локализованы на небольшой площади или на значительной части грудной клетки, и/или распространяться на область шеи; обширное распространение проявлений предполагает повреждение трахеобронхиального дерева.
Наличие воздуха в средостении может вызывать характерный хруст синхронно с сердцебиением (синдром Хаммена или «медиастинальный хруст»), но эти проявления не всегда присутствуют, а также в некоторых случаях могут быть вызваны повреждением пищевода.
Диагностика травматического пневмоторакса
Рентгенография грудной клетки
Обычно диагноз устанавливают с использованием рентгенографии. Ультрасонография (выполняется у постели больного во время начальной реанимации, расширенная целенаправленная оценка с помощью сонографии при травме (Extended Focused Assessment With Sonography in Trauma)[E-FAST]) и КТ более чувствительны при небольшем пневмотораксе, чем рентгенография грудной клетки.
Размер пневмоторакса, выраженный в процентах от объема гемиторакса, занятого воздухом, может быть оценен на основании результатов рентгенографического исследования Диагностика Пневмоторакс – это скопление воздуха в плевральной полости, что приводит к частичному или полному коллапсу легкого. Пневмоторакс может развиваться спонтанно, в результате травм или медицинских. Прочитайте дополнительные сведенияЛечение травматического пневмоторакса
Как правило, зондовая торакостомия
Лечение большинства случаев пневмоторакса происходит с использованием зонда для торакостомии (например, 28 френч), введенного в 5-й или 6-й межреберный промежуток спереди на уровне средней подмышечной линии.
Для пациентов с малым пневмотораксом с отсутствием респираторных симптомов может применяться обычное наблюдение с последовательным проведением рентгенографических исследований грудной клетки до тех пор, пока легкое не расширится повторно. Кроме этого, возможно размещение небольшого катетера типа пигтейл. Тем не менее, зондовая торакостомия должна проводиться для пациентов, которым следует применять общий наркоз, вентиляцию с положительным давлением и/или подачу воздуха, так как эти меры могут преобразовать малый, простой (неосложненный) пневмоторакс в напряженный пневмоторакс Пневмоторакс (напряженный) Напряженным пневмотораксом называют скопление воздуха в плевральной полости под давлением, сдавление легких и уменьшение венозного оттока по направлению к сердцу. (См. также Обзор торакальной. Прочитайте дополнительные сведенияЕсли масштабная утечка воздуха сохраняется после проведения зондовой торакостомии, следует подозревать повреждение трахеобронхиального дерева и назначить бронхоскопию или неотложную консультацию хирурга.
Ключевые моменты
Результаты физического обследования могут быть неубедительными или нормальными, особенно при малом пневмотораксе.
Хотя КТ и УЗИ являются более чувствительными методами исследований, проведение рентгенографии грудной клетки обычно считается достаточным для установления диагноза.
Зондовая торакостомия показана в случаях, если пневмоторакс вызывает респираторные симптомы или является средним или массивным, или в случаях, если необходима подача воздуха, вентиляция с положительным давлением или общая анестезия.
Авторское право © 2022 Merck & Co., Inc., Rahway, NJ, США и ее аффилированные лица. Все права сохранены.
Читайте также:
