Папилломатозный мягкий эпидермальный невус. Бородавчатый эпидермальный невус.
Добавил пользователь Владимир З. Обновлено: 08.01.2026
Невусы, или родинки, – это пигментные новообразования кожи. Могут быть врожденными и приобретенными. В первом случае невус является пороком эмбрионального развития, возникшего из-за нарушения миграции меланобластов (клетки − предшественники меланоцитов) из нейроэктодермальной трубки в кожу. Как правило, сразу после появления ребенка на свет врожденные родинки незаметны, они проявляются только на первых годах жизни. С течением времени на теле могут возникнуть новые невусы. Чаще всего причинами этому служат гормональная перестройка организма (например, во время полового созревания, беременности и др.) и чрезмерная инсоляция. Родинки могут иметь разную форму, размер и цвет – от небольших светлых пятен до крупных темно-коричневых горошин.
Опасны ли родинки
Родинки могут существовать на теле человека всю жизнь, не представляя серьезной угрозы здоровью. Но в некоторых случаях данные новообразования способны перерождаться в злокачественную опухоль – меланому. Это может произойти из-за избыточной инсоляции, травмирования родинки и др. причин. Лечение невуса в большинстве случаев сводится к его удалению. Данная процедура также может потребоваться в случае, если родинка является серьезным косметическим дефектом или когда она расположена на участках, подверженных частому травмированию, например одеждой.
Удаление невусов
Медицинский центр «Клиника практической медицины» предлагает услуги по удалению родинок в Москве и их проверке на онкологию. В своей работе мы используем один из самых эффективных и безопасных методов – радиоволновую терапию. Процедура осуществляется при помощи аппарата «Сургитрон». Радиоволны коагулируют сосуды, снижая риск кровотечения и образования опухоли, после такой операции на месте родинки не остается рубца. Это позволяет использовать «Сургитрон» для удаления новообразований даже на открытых участках кожи, например невусов на лице.
Виды невусов:
Фиброэпителиальный невус не склонен перерождаться в меланому и причиняет пациенту только эстетическое неудобство. Единственным возможным осложнением данных родинок является их воспаление из-за повреждения. Поэтому, если невус является серьезным косметическим дефектом или находится под угрозой частого травмирования (при соприкосновении с одеждой, расческой в волосистой части головы), врач может порекомендовать его удалить. В медицинском центре «Клиника практической медицины» данная процедура проводится при помощи радиоволнового метода. В своей работе мы используем американский аппарат «Сургитрон». Он позволяет задать максимально точные настройки длины волны, чтобы удалить только родинку, не затрагивая здоровую кожу. При этом в ходе процедуры сосуды коагулируются, что исключает вероятность кровотечения и возникновения отека.
Бородавчатый, или веррукозный, невус – это новообразование, состоящее из нескольких папилломатозных выростов. Причины его появления до конца не изучены, замечено только, что такие родинки могут передаваться по наследству и начинают проявляться в первые годы жизни ребенка. Как правило, с возрастом они увеличиваются. Внешне такая родинка напоминает бородавку, что стало предпосылкой ее названия. Отличить ее от другого новообразования чаще всего может только специалист, поэтому при обнаружении видоизменения кожи необходимо обращаться к дерматологу. Бородавчатый невус редко перерождается в меланому, однако такой риск все же существует, поскольку родинка постоянно увеличивается в размере и подвергается травмированию. Традиционное лечение невусов заключается в их удалении.
Под словосочетанием «сосудистый невус», использующимся в повседневной жизни, часто понимают гемангиому. Это доброкачественное сосудистое новообразование, возникающее во внутриутробном периоде вследствие нарушения развития кровеносных сосудов. Сходство с родинками ему придает внешний вид. Гемангиома часто возвышается над поверхностью кожи, имеет красный, багровый или синеватый оттенок. В некоторых случаях бывает плоской. В отличие от невусов гемангиома склонна к росту (расширяется вширь и вглубь), может кровоточить.
Диспластический невус (атипический меланоцитарный или невус Кларка) – приобретенное новообразование, которое часто является предшественником меланомы. Как правило, впервые возникает в период полового созревания, также может появляться на протяжении всей жизни человека. Чаще всего такие новообразования являются множественными, их диаметр превышает 5 мм. Пигментация невуса неравномерная, цвет может варьировать от розового до коричнево-черного. Границы пятна нечеткие и неправильные, в основании может наблюдаться гиперемия (наполненность кровью). Диспластические невусы чаще всего возникают на спине, грудной клетке, в волосистой части головы, нижних конечностях, ягодицах и половых органах. Зависимости их образования от пола и расы не выявлено, однако особое внимание необходимо уделять людям в пубертатном периоде, беременным и кормящим женщинам, пациентам, принимающим оральные контрацептивы или эстрогены в рамках заместительной гормональной терапии.
Эпидермальный невус – новообразование поверхностных слоев эпидермиса, внешне похожее на папилломы или бляшки с массивом мелких папул. Как правило, он возникает в детском возрасте, реже у взрослых. После появления невусы обычно персистируют (т. е. исчезают самостоятельно), их спонтанное развитие возникает очень редко. Малигнизация (озлокачествление) чаще наблюдается среди себорейных невусов, но при стечении обстоятельств опухоль может развиться из родинок любого типа. Помимо риска развития меланомы или другого кожного заболевания, родинки доставляют неудобство тем, что являются косметическим дефектом, особенно если они располагаются на открытых участках кожи. В данном случае невус может быть удален. Такую процедуру следует проводить в специализированной клинике. Самостоятельное удаление родинок запрещено, поскольку травматизация новообразования может оказаться очень опасной, вызвав негативные последствия вплоть до развития рака.
Внутридермальный невус – это новообразование, возникшее вследствие нарушения деления клеток меланоцитов, из-за чего они скапливаются глубоко в дермальном слое кожи, проявляясь на ее поверхности темным узелком. Чаще всего он является врожденным, но может возникать и прижизненно.
Интрадермальный невус – это доброкачественное новообразование кожи, возникающее вследствие нарушения развития меланоцитов. Является наиболее часто встречающейся разновидностью меланоцитарного невуса. Форма родинки полушаровидная, напоминающая бородавку или папулу, в среднем диаметр составляет около 1 см. Цвет невуса может быть как коричневатым, так и почти черным. Обычно локализуется на шее и голове, реже на туловище. Чаще возникает в период полового созревания. Интрадермальный невус кожи в редких случаях может перерождаться в меланому. Наиболее частыми причинами малигнизации становятся повреждения родинки, чрезмерная инсоляция. Кроме того, травмирование новообразования способно повлечь за собой воспаление. Поэтому, если невус часто подвергается механическому воздействию (задевается одеждой, расческой, часами и др.), врач может рекомендовать его удаление.
Меланоцитарный, или меланоформный, невус – это доброкачественное кожное новообразование, возникающее по причине нарушения развития эпидермальных и дермальных меланоцитов. Данные клетки синтезируют меланин – пигмент, способный защитить организм от избыточного ультрафиолета. Меланоформные невусы могут появиться под действием разных факторов. Врожденные родинки возникают в период внутриутробного развития из-за нарушения перемещения меланобластов из нейроэктодермальной трубки в меланоциты. Приобретенные невусы чаще образуются на фоне гормональных изменений и избыточной инсоляции.
Невус, или родинка, − это доброкачественное новообразование кожи, возникающее из-за нарушения работы меланоцитов. В норме эти клетки имеют отростки, через которые высвобождается пигмент. В случае их отсутствия меланин может начать скапливаться в коже, за счет чего возникает новообразование темного цвета. Если данный процесс происходит на границе эпидермиса и дермы, возникают пограничные невусы.
Пламенеющий невус — родимые пятна, образованные расширенными поверхностными и более глубокими капиллярами. Цвет таких участков варьируется от ярко-розового до фиолетового. К причинам образования невуса относят порок развития сосудов. Это состояние чаще всего является врожденным и крайне редко развивается в зрелом возрасте. Пламенеющий невус изначально выглядит как пятно розового цвета, не возвышающееся над поверхностью нормально пигментированной кожи. Оно увеличивается пропорционально росту ребенка и в зрелом возрасте может достичь больших размеров. Пламенеющий невус может располагаться на коже головы, лица и тела, иногда пигментация наблюдается на слизистых оболочках.
Голубой невус (невус Ядассона − Тиче) – пигментное новообразование кожи с характерной окраской. Может возникать в любом возрасте, но чаще появляется в период полового созревания. Невус располагается внутри кожи, имеет четко очерченные границы и округлую или веретенообразную форму.
Папилломатозный невус — доброкачественное образование, которое напоминает бородавку с неоднородной бугристой поверхностью. Невус мягкий и подвижный, при прикосновении безболезненный. Цвет пигментации варьируется от светло-коричневого до практически черного. Невус имеет неправильную форму, а его размеры меняются в течение всей жизни и могут иметь несколько сантиметров в диаметре.
Сложный пигментный невус — участок кожи с избыточной пигментацией, образованный скоплением меланоцитов. Отличительной характеристикой этой разновидности невуса является его образование в эпидермальном слое кожи с последующим прорастанием в дерму. Сложный невус представляет собой округлое безболезненное образование, отчетливо возвышающееся над поверхностью здоровой кожи и имеющее четкие границы.
Невус Беккера – это новообразование кожи с повышенной пигментацией и оволосением. Чаще возникает у мужчин в период полового созревания, в большинстве случаев поражает плечи, предплечья, спину, нижнюю часть груди, голени, расположение при этом чаще одностороннее вдоль линий Лангера (условные линии кожи в точках ее наивысшей растяжимости).
Невус Ота, также называемый глазно-кожным меланозом, представляет собой образование неправильной формы насыщенного темно-синего цвета. Примерно в равном количестве случаев невус Ота является врожденным состоянием и диагностируемым в первые три года жизни. Заболевание не проявляется в зрелом возрасте. У женщин оно встречается чаще, чем у мужчин.
Невус Сеттона (галоневус) — участок кожи с повышенной пигментацией, по границе которого расположен бледный ободок. Отличительной особенностью галоневуса является его стадийное развитие: на первом этапе появляется пятно, похожее на родинку, — выпуклое образование, отчетливо возвышающееся над поверхностью кожи, от светло- до темно-коричневого цвета, нередко с красным отливом.
Невус Шпица — доброкачественное образование куполовидной формы, которое отличается быстрым ростом и склонностью к кровоточивости при минимальной травматизации кожи. Невус представляет собой плотный узел или папулу с ровной и гладкой поверхностью. Пигментация кожи на этом участке ровная, цвет варьируется от темно-розового до золотисто-коричневого.
Папилломатозный мягкий эпидермальный невус. Бородавчатый эпидермальный невус.
Уфимцева М.А. 3 Спирин А.В. 3 Гагиев В.В. 2 Чернядьев С.А. 3 Бочкарёв Ю.М. 3 Шубина А.С. 1, 3 Ворожейкина И.Н. 2 Никулин И.П. 2 Савченко Н.В. 3 Хороводников И.В. 3
Эпидермальные невусы (ЭН) – кожные гамартомы, характеризующиеся множеством клинических форм, сходным гистологическим строением. Эпидермальные невусы в 80,0% случаев отмечаются в первый год жизни, носят спорадический характер, но могут проявляться в течение жизни. В таком случае необходимо проводить дифференциальную диагностику с унилатеральными дерматозами, такими как красный плоский лишай, псориаз, склеродермия, нейродермит, гемиатрофия Ромберга, витилиго, экзема, болезнь Шамберга, склероатрофический лихен, первичный амилоидоз кожи. Целью данного исследования стала демонстрация клинических случаев эпидермальных невусов, описание клинической, патоморфологической картины и трудностей диагностики в качестве иллюстрации междисциплинарной преемственности дерматовенерологов и патологоанатомов при установлении диагноза эпидермального невуса. Представлен клинический случай пациента восемнадцати лет с подтвержденным диагнозом линейного бородавчатого позднего эпидермального воспалительного невуса. Описаны клиническая, патоморфологическая картина и трудности диагностики в связи с путаницей термина «невус», используемого в литературе для обозначения как доброкачественных меланоцитарных опухолей, так и пороков развития кожи. При диагностике эпидермального невуса морфологи должны учитывать клинические данные, и прежде всего макроскопическую картину, не ограничиваясь только данными гистологии, которые не имеют признаков специфичности. Необходимо повышать междисциплинарную преемственность дерматовенерологов и патологоанатомов при установлении диагноза эпидермального невуса.
1. Елькин В.Д., Митрюковский Л.С., Лысов А.Ю. Практическая дерматоонкология: ил. справ. руководство по опухолям кожи, опухолеподобным заболеваниям и связанным с ними синдромами: справочное издание. М.: Практическая медицина. 2014. 480 с.
2. Молочков В.А., Молочков А.В., Хлебникова А.Н., Кунцевич Ж.С. Эпителиальные опухоли кожи. М.: Издательство БИНОМ. 2012. 224 с.
3. Wollina U., Tchernev G. ILVEN - complete remission after administration of topical corticosteroid (case review). Georgian Med News. 2017. no 263. P. 10-13.
4. Guerouaz N., Hassam B. Linear inflammatory verrucous epidermal nevus. Pan. Afr. Med. J. 2015. no 22. Р. 177. DOI: 10.11604/pamj.2015.22.177.7451.
6. Gianfaldoni S., Tchernev G., Gianfaldoni R., Wollina U., Lotti T. A Case of “Inflammatory Linear Verrucous Epidermal Nevus” (ILVEN) Treated with CO2 Laser Ablation. Open Access Maced. J. Med. Sci. 2017. no 5. P. 454-457.
7. Gon Airton dos Santos, Minelli Lorivaldo, Franzon Paula Guiomar Ubirajara. Case for diagnosis. An Bras Dermatol. 2010. no 85. Р. 729-731.
8. Ravi Prakash S.M., Gupta S., Kamarthi N., Goel S. Inflammatory linear verrucous epidermal nevus and regional odontodysplasia: A rare sorority. Indian J Dent. 2015. no 6. P. 203-206. DOI: 10.4103/0975-962X.160348.
9. Кемпф В., Ханчке М., Кутцнер Х., Бургдорф В. Дерматопатология: пер. с нем. М.: Мед. лит. 2015. 304 с.
10. Тлиш М.М., Сычева Н. ., Осмоловская П.С., Псавок Ф.А. Линейный эпидермальный веррукозный воспалительный невус (ILVEN) // Вестник дерматологии и венерологии. 2017. № 3. С. 53-57. DOI: 10.25208/0042-4609-2017-0-3-53-57.
Термин «эпидермальный невус» (ЭН) объединяет ряд кожных гамартом с общими клиническими и гистологическими признаками, это пороки развития, сформированные зрелыми или почти зрелыми компонентами эпидермиса, сальных желез, волосяных фолликулов, апокринных и эккринных потовых желез и их комбинациями [1; 2].
ЭН в 80,0% случаев отмечаются в первый год жизни, носят спорадический характер, крайне редко возникают у взрослых. В таких случаях необходимо проводить дифференциальную диагностику ЭН с унилатеральными дерматозами. Унилатеральные дерматозы – это приобретенные кожные заболевания, высыпания при которых имеют одностороннюю локализацию, при этом сохраняются классические клинические и гистологические признаки, характерные для данной патологии. Унилатеральное расположение высыпаний описано при красном плоском лишае, псориазе, склеродермии, нейродермите, гемиатрофии Ромберга, витилиго, экземе, болезни Шамберга, склероатрофическом лихене, первичном амилоидозе кожи [3; 4].
Описание клинического случая
Пациент М., 18 лет, студент военного института внутренних войск, направлен на консультацию для уточнения характера дерматоза.
Жалоб не предъявлял, впервые высыпания на коже груди появились 6 месяцев назад, постепенно количество элементов увеличивалось и распространилось на внутреннюю поверхность предплечья. Наследственность не отягощена. Дерматовенерологом был установлен диагноз линеарного бородавчатого эпидермального невуса грудной клетки слева, левой верхней конечности. Проведено гистологическое исследование элемента с внутренней поверхности предплечья. Получено следующее патоморфологическое заключение: «Фибропапиллома. В строме картина хронического продуктивного воспаления, эпидермис с явлениями акантоза. Структуры невуса при исследовании серийных срезов не определяются». Пациент направлен на консультацию на кафедру кожных и венерических болезней УГМУ с целью уточнения характера дерматоза и для дальнейшего определения категории годности к военной службе.
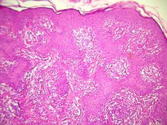
Status specialis: на коже передней грудной клетки слева по линиям Блашко с переходом на подмышечную область, внутреннюю поверхность предплечья имеются мягкие тесно прилегающие друг к другу папулы светло-коричневого цвета (рисунок 1а).
В связи с несоответствием патоморфологического заключения клиническим данным гистологические препараты были проконсультированы на кафедре патологической анатомии УГМУ (доцент А.В. Спирин). Результат пересмотра гистологических препаратов: «В биоптате фрагмент кожи, состоящий из множественных линейно сгруппированных папилломатозных образований неправильной формы, тесно прилежащих друг к другу (рисунок 1б), с акантозом (рисунок 3г), мелкими внутриэпидермальными роговыми кистами (рисунок 1в) и выраженным диффузным воспалительным инфильтратом в дерме (рисунок 1г). Клеточный состав инфильтрата представлен лимфоцитами, плазматическими клетками и макрофагами. Элементы меланоцитарного невуса («невусные клетки») отсутствуют.
Заключение: морфологическая картина не имеет черт специфичности, что не позволяет высказаться об ее нозологической принадлежности. Однако, с учетом макроскопической картины (рисунок 1а), можно говорить о линеарном (линейном) бородавчатом позднем эпидермальном воспалительном невусе (ILVEN)».


Рис. 1. Патоморфология ЭН у пациента М.: а) макроскопическая картина; б) папилломатоз. х 32; в) роговые кисты. х100; г) выраженный акантоз и продуктивное воспаление в дерме. х70 (б, в, г – окраска Г+Э)
Таким образом, одной из особенностей представленного наблюдения является неверная верификация характера патологического процесса при патоморфологическом исследовании биоптата кожи. Дело в том, что практические морфологи, как правило, имеют дело с диагностикой меланоцитарных невусов (МН), в связи с чем диагноз «невус» ассоциируется у них именно с МН. Поэтому в первом заключении имеется указание на отсутствие «структуры невуса» и устанавливается диагноз фибропапилломы. Говоря о терминологии, следует отметить, что существует путаница в смысловом понимании термина «невус» (Червонная Л.В., 2014), которым принято обозначать как МН, так и ЭН, хотя предшественником невусной клетки является меланоцит, а ЭН возникают из плюрипотентных герминативных клеток базального слоя эмбрионального эпидермиса. Несмотря на различие в гистогенезе этих образований, в литературе тем не менее существует устоявшаяся традиция называть пороки развития невусами. По мнению автора, в таких случаях термин «невус» целесообразно заключать в кавычки [5]. Следовательно, при формулировании заключения морфологи должны учитывать клинические данные, и прежде всего макроскопическую картину, не ограничиваясь только данными гистологии, которые, как указано во втором заключении, не имеют черт специфичности.
Линейный бородавчатый эпидермальный воспалительный невус (ILVEN) впервые описан Унной в 1896 году [6]. ILVEN диагностируется при клиническом и гистологическом исследовании. Классические клинические критерии диагностики, предложенные Альтманом и Мехреганом в 1971 году и позднее измененные Морагом и Метцкером в 1985 году, включают: ранний возраст начала заболевания, преобладание у женщин, частое поражение левой ноги, зуд, характерный псориазоподобный вид и выраженную рефрактерность к терапии [7].
По клинической картине ЭН бывают солитарными и множественными, носят линейный характер, располагаются чаще на сгибательной поверхности конечностей, образованы пигментированными бородавчатыми узелками, редко поражают слизистые оболочки. Выделяют одностороннюю (nevus unius lateralis) и диссеминированную (системный эпидермальный невус) разновидности, а также ряд клинических вариантов ЭН: папилломатозный мягкий эпидермальный невус, бородавчатый эпидермальный невус (рисунки 2, 3), акантолитический эпидермальный невус, гиперкератоз невиформный околососкового кружка и соска молочной железы, синдром эпидермального невуса 4. Существуют другие варианты ЭН, отличающиеся морфологический структурой, включают в себя невус сальных желёз (рисунок 4), комедональный невус, сирингоцистому, невус Беккера (рисунок 5) [8].


Рис. 2 а, б. Бородавчатый эпидермальный невус: унилатеральные, бляшковидные светло-коричневые пятнистые высыпания на коже туловища слева, веррукозные в подмышечной области, не пересекающие среднюю линию туловища (фото из архива А.С. Шубиной)


Рис. 3 а, б. Бородавчатый эпидермальный невус: пятнистые,
веррукозные высыпания на коже шеи слева, сгибательной поверхности левой конечности (фото из архива М.А. Уфимцевой)

Рис. 4. Невус сальных желёз: на передней поверхности грудной клетки веррукозные папулы жёлто-розового цвета (фото из архива А.С. Шубиной)

Рис. 5. Невус Беккера: в правой лопаточной области с переходом на плечо очаг гиперпигментации в виде пятна неправильной формы, с нечеткими границами
(фото из архива А.С. Шубиной)
При патоморфологической диагностике ЭН необходимо учитывать наличие следующих неспецифических гистологических признаков: гиперкератоз, акантоз и папилломатоз, а при диагностике воспалительного линейного бородавчатого ЭН – очаговый паракератоз и неспецифический мононуклеарный инфильтрат в сосочковом слое дермы.
При мономорфных папулезных высыпаниях в перечень дифференциальной диагностики, кроме того, необходимо включать унилатеральные формы псориаза, красного плоского лишая. Для псориаза характерны гиперпаракератоз, скопления нейтрофильных гранулоцитов в шиповатом слое (пустулы Когоя) и в области гиперкератотического ороговения (микроабсцессы Мунро), очаговая потеря зернистого слоя, побледнение эпидермиса и уплощение надсосочкового слоя с истончением эпидермиса над удлиненными сосочками дермы, однообразный акантоз с удлинением межсосочковых клиньев эпидермиса, эктатические капилляры в удлиненных сосочках дермы (папилломатоз). Поверхностный периваскулярный лимфоцитарный инфильтрат с примесью отдельных нейтрофильных гранулоцитов. Красный плоский лишай характеризуется следующими признаками: ограниченный гиперкератоз, V-образное утолщение зернистого слоя, акантоз с межсосочковыми клиньями эпидермиса в форме зубьев пилы, дерматит пограничной зоны с вакуольной дегенерацией дермо-эпидермального соединения и апоптотическими кератиноцитами в базальном слое (тела Givatte), субэпидермальный полосовидный преимущественно лимфоцитарный инфильтрат [5; 9].
Воспалительный линейный веррукозный эпидермальный невус вызван соматическими мутациями, которые приводят к генетическому мозаицизму, и, хотя его физиопатология до сих пор неясна, считается, что это может быть связано с увеличением продукции интерлейкинов-1 и 6, фактора некроза опухоли-альфа, и молекула межклеточной адгезии [7; 10].
В литературе описаны случаи сочетания ILVEN с другими дефектами развития, в особенности центральной нервной системы, зрительной и скелетной систем. S.M. Ravi Prakash et al. (2015) представляют клинический случай пациента с синдромом воспалительного линейного веррукозного эпидермального невуса, сопровождающегося региональной одонтодисплазией, которая представляет собой наследственные нарушения структуры зубов по типу phantom teeth [8]. Это подчеркивает важность тщательного обследования детей с ЭН с участием невролога, офтальмолога, ортопеда и стоматолога для планирования тактики ведения таких пациентов.
Таким образом, представленный клинический случай заслуживает внимания как редкий дерматоз и, кроме того, указывает на необходимость повышения междисциплинарной преемственности между дерматовенерологами и патологоанатомами при постановке диагноза ЭН.
Папилломатозный мягкий эпидермальный невус. Бородавчатый эпидермальный невус.
ГКБ №14 им. В.Г. Короленко Департамента здравоохранения Москвы
Городская клиническая больница №14 им. В.Г. Короленко Департамента здравоохранения Москвы
Городская клиническая больница №14 им. В.Г. Короленко Департамента здравоохранения Москвы
Городская клиническая больница №14 им. В.Г. Короленко Департамента здравоохранения Москвы
Систематизированный эпидермальный невус
ГКБ №14 им. В.Г. Короленко Департамента здравоохранения Москвы
Представлено клиническое наблюдение систематизированного эпидермального невуса (СЭН) у ребенка 13 лет. Уделено внимание дифференциальной диагностике, методам лечения и прогнозу СЭН.
ГКБ №14 им. В.Г. Короленко Департамента здравоохранения Москвы
Городская клиническая больница №14 им. В.Г. Короленко Департамента здравоохранения Москвы
Городская клиническая больница №14 им. В.Г. Короленко Департамента здравоохранения Москвы
Городская клиническая больница №14 им. В.Г. Короленко Департамента здравоохранения Москвы
Среди множества различных невоидных образований, как врожденных, так и приобретенных, пигментные и пигментированные невусы встречаются почти у всех людей [1]. В классификации невусов, основанной на наличии или отсутствии у них потенциальной возможности трансформации в меланому, все невусы разделены на 2 группы [1]: «меланоопасные» и «меланонеопасные». Папилломатозный и веррукозный эпидермальный невус отнесен во вторую группу.
Эпидермальные невусы — редкие доброкачественные врожденные образования, характеризующиеся ограниченным гиперкератозом и гипертрофией эпидермиса. Эти поражения обычно обнаруживаются при рождении или в раннем детстве, возникают у лиц мужского и женского пола одинаково часто и известны под разными названиями «веррукозный бородавчатый гиперкератотический невус», «невус односторонний и латеральный» [3, 4]. Эпидермальные невусы не являются доброкачественными опухолями, но представляют собой эмбриональные пороки развития кожи [3—5]. Эффлоресценции могут быть сильно или слабо пигментированными, иметь уни- или билатеральное расположение и часто локализоваться на конечностях, но могут располагаться на любых других участках кожи, а иногда на слизистых оболочках ротовой полости и конъюнктиве. Очертания и распространенность эпидермальных невусов чрезвычайно вариабельны. Они чаще являются множественными линейными высыпаниями, хотя могут встречаться и в виде единичных поражений.
Невус unius lateralis может быть представлен единичными линейными, в том числе в виде гирлянд или спиралевидных бородавчатых высыпаний с вовлечением множественных участков кожного покрова, в некоторых случаях захватывающих более половины площади тела, так называемый гигантский невус. При обширных поражениях туловища используют термин «систематизированный эпидермальный невус» (СЭН).
Несистематизированные эпидермальные невусы характеризуются единичными полосовидными бляшечными или сгруппированными папилломатозными разрастаниями, напоминающими цветную капусту, с нечеткими очертаниями и коричневым оттенком [2, 3, 6].
Малигнизация для СЭН нехарактерна. Терапия зависит от места, характера и распространенности поражений, а также возраста пациента. При наличии показаний к удалению невоидных веррукозных разрастаний хирургическое вмешательство целесообразно отложить до прекращения распространения процесса, так как ранняя эксцизия может привести к появлению новых высыпаний. Хотя методы лечения СЭН жидким азотом, дермабразией, электроиссечением или кюретажем могут вначале приносить результат, но в дальнейшем нередки рецидивы [2, 3, 7].
До последнего времени СЭН уделялось мало внимания. Однако существование синдрома эпидермального невуса указывает на важность дифференциальной диагностики СЭН с этим синдромом. Он еще известен под названием «синдром Соломона—Файерштайна—Мимса», который рассматривается как генетически детерминированный и включает, помимо поражения кожи (СЭН, зоны гипопигментации, пигментные пятна «кофе с молоком», ангиомы), другие ассоциированные нарушения, в частности, патологии костной системы (кифосколиоз, дефекты позвоночника, гемигипертрофии, короткие конечности), ЦНС (слабоумие, эпилепсию, неврогенную глухоту), сердечно-сосудистой системы (коарктацию и гипоплазию аорты, открытый артериальный проток, врожденный порок сердца) нарушения зрения (симблефарон, колобому) [1, 8].
В стационаре ДКВО ГКБ №14 им. В.Г. Короленко мы наблюдали 13-летнего пациента, который, со слов матери, заболел в возрасте 6 мес. Появившееся вначале на боковой поверхности шеи розовое пятно постепенно стало коричневым, а к возрасту
10 лет сыпь распространилась на туловище и конечности, субъективные ощущения отсутствовали.

При поступлении в отделение патологический процесс на коже носил распространенный невоспалительный характер (см. рисунок). Рисунок 1. Клинические проявления эпидермального систематизированного невуса (а—в). Множественные пятнистые и узелково-бляшечные и полосовидные очаги различных очертаний локализовались преимущественно на коже боковых поверхностей шеи, плеч, в меньшей степени — на туловище, верхних и нижних конечностях. На конечностях поражения были представлены полосовидными пятнистыми высыпаниями светло-коричневого цвета с гладкой поверхностью. Мягкие бородавчатые образования светло- и темно-коричневого цвета, на несколько миллиметров возвышались над поверхностью кожи, на ощупь отмечалась выраженная сухость кожи.
Лицо, голова, ладони, подошвы, наружные половые органы, слизистые оболочки были свободны от высыпаний.
Гематологические клинические и биохимические показатели без отклонений от нормы. Результаты общего анализа мочи в норме. Глистная инвазия при исследовании кала не выявлена. Данные инструментального обследования: ЭКГ — локальное нарушение внутрижелудочковой проводимости; УЗИ — признаков патологии брюшной полости не выявлено. Консультирован специалистами: неврологом (синдром соединительнотканной дисплазии), эндокринологом (диффузное увеличение щитовидной железы, эндемический зоб), отоларингологом (ЛОР-органы без видимой патологии).
При патоморфологическом исследовании, выполненном по месту жительства перед поступлением в больницу, выявлены гистологические особенности дерматоза: гиперкератоз, папилломатоз и акантоз. Невусные клетки отсутствовали. Отмечалось некоторое повышение содержания меланина в базальном слое.
Направительные диагнозы больного: кератоз фолликулярный серпигинозный Лютца и ксеродерма пигментная, пойкилодермическая стадия. На основании данных анамнеза и клинико-морфологического обследования нами установлен диагноз систематизированного эпидермального невуса.
Прогноз дерматоза. С момента возникновения высыпания и до последнего времени у пациента отмечается рост невуса и папилломатозно-веррукозных образований, чаще после пребывания на солнце, при этом беспокоят зуд и жжение. Поверхность невуса на конечностях гладкая, пигментация его крапчатая. На шее и прилежащих участках плеч за счет папилломатозных и бородавчатых разрастаний поверхность поражений неровная. На отдельных участках невуса отмечается рост волос.
Обычно эпидермальные невусы в различные периоды времени остаются спокойными [9]. В немалой степени это обусловлено отсутствием провоцирующих воздействий. У наблюдавшегося нами пациента спокойное течение сменялось прогрессированием невуса под влиянием инсоляции и механического раздражения одеждой.
Существует мнение, что с ростом ребенка в определенном возрасте невоидный процесс не проявляет тенденции к распространению, и с этого возраста активное лечение, в том числе хирургическое, лазерное сопровождается меньшим риском для развития рецидива. Существует вероятность образования келоидных рубцов при лечении, которое включает криотерапию, электроиссечение, неодимовый лазер, кюретаж, дермабразию, хирургическое вмешательство.
Преобладание в окраске СЭН коричневого цвета различных оттенков позволяет отнести эту нозологию к пигментным невусам, которые склонны к различным изменениям. Они могут частично или полностью регрессировать [4, 10], хотя это происходит реже, чем исчезновение сосудистых невусов.
Существует точка зрения, согласно которой наибольшую опасность злокачественного перерождения представляют сравнительно гладкие, плоские неверукозные невусы, без роста волос. Обязательным условием развития меланомы является наличие в структуре невуса первичных клеточных элементов кожи: меланоцитов и его предшественников меланобластов [1]. Однако риск озлокачествления обусловлен только клеточным компонентом, но и анатомической локализацией процесса. Применительно к коже перечисленное справедливо для пограничной зоны между эпидермисом и дермой, характеризующийся высокой меланоцитарной активностью.
При выписке больного даны рекомендации: диспансерное наблюдение у дерматолога по месту жительства, избегание чрезмерной инсоляции, обследование для исключения возможных ассоциированных пороков развития (нервной и костной систем).
Представленный клинический случай СЭН заслуживает внимания, прежде всего, с учетом риска злокачественного перерождения, возможного существования ассоциированной патологии различных систем, а также редкой частотой выявления данного дерматоза.
Папилломатозный мягкий эпидермальный невус. Бородавчатый эпидермальный невус.
Папилломатозный мягкий эпидермальный невус представлен небольшой бляшкой мягкой консистенции, серой или не отличающейся по цвету от окружающей кожи. Клинически сходен с папилломатозный ме-ланоцитарным невусом или папилломатозной разновидностью себорейного кератоза. Гистологически характеризуется акантозом, папилломатозом, ортогиперкератозом. Встречается редко.
Бородавчатый эпидермальный невус
Бородавчатый эпидермальный невус (син.: бородавчатый невус) существует с рождения или раннего детства, редко появляется позже. Встречается часто — у 0,1-0,5% взрослых.

Чаще встречается у девочек, возможны случаи развития у членов одной семьи. Со временем элементы невуса становится более пигментированными и бородавчатыми. В детстве размер и количество элементов может постепенно увеличиваться, в дальнейшем их характер обычно не меняется. В пубертатном периоде возможней рост только бородавчатого невуса, в состав которого входят элементы сальных и апокриновых потовых желез. Спонтанная инволюция отмечается редко. Появление узлов или язв на поверхности невуса обычно свидетельствует о развитии опухолей, в первую очередь, базалиомы, болезни Боуэна или плоскоклеточного рака. В то же время злокачественная трансформация бородавчатого невуса происходит реже, чем сального или апокринного. Бородавчатый эпидермальный невус может ассоциироваться с другими пороками развития — с меланоцитарным невусом, невусом сальных желез, заболеваниями центральной нервной системы, эпилепсией.
Невус может быть солитарным или множественным, беспорядочно разбросанным по всему кожному покрову. Чаще он располагается в области конечностей, реже — на лице и других отделах головы, обычно линейно по ходу нервов, крупных сосудов, эмбриональных линий смыкания кожи. Описаны также случаи его распространения почти на всю поверхность спины, живота, конечностей. Форма бородавчатого невуса нередко зависит от его локализации: на туловище он обычно имеет форму поперечных полос и никогда не пересекает средней линии туловища; невус, располагающийся вблизи средней линии туловища, принимает вертикальное направление; в латеральной части туловища он часто S-образный; на конечностях — имеет линейный и вертикальный характер. При поражении лица в процесс может вовлекаться слизистая оболочка рта.
Бородавчатый невус имеет различные размеры: обычно он небольшой (до 1 см в диаметре), но может достигать 3-4 см. Клинически проявляется плотными, четко отграниченными бородавчатыми разрастаниями грязно-серого или слегка буроватого цвета (твердый эпидермальный невус). Поверхность бородавчатого невуса во многом определяется его гистологическим типом и локализацией. Так, эпидермолитический тип невуса напоминает вульгарную бородавку с эритематозным основанием. Невусы на ладонях и подошвах также имеют бородавчатую поверхность, на сгибах конечностей — бархатистую и мацерированную. Элементы обычно бессимптомны. Лишь при локализации в околоногтевой области они могут вызывать рецидивирующую паронихию и расщепление ногтевой пластинки.
Гистологически бородавчатый невус проявляется ортогиперкератозом, папилломатозом, акантозом с удлинением эпидермальных отростков, состоящих из высокодифференциро-ванных шиповатых клеток с четко выраженным базальным слоем и неравномерной выраженностью зернистого слоя, иногда — паракератозом. В некоторых случаях на этом фоне определяются структуры придатков кожи — сальных, потовых желез, волосяных фолликулов и др.
Бородавчатый односторонний невус — односторонняя разновидность бородавчатого эпидермального невуса, образующая очаги причудливых форм, иногда зостериформные. Имеет гистологические признаки эпидермолити-ческого гиперкератоза, которые сходны с таковыми при буллезном типе врожденной ихтиозиформной эритродермии: в шиповатом слое отмечают зернистую дистрофию кератиноцитов с повреждением связей тонофиламенты-десмосомы и разрывом клеточных контактов, перинуклеарный отек, увеличение количества неправильной формы кератогиалиновых гранул. Кроме того, существуют «мягкие» формы или формы с порокератозом.
Линейный порокератоз — другая разновидность бородавчатого эпидермального невуса, которая проявляется округлыми серовато-коричневыми сухими бляшками, клинически и гистологически сходными с проявлениями парокератоза Мибелли, от последнего он отличается расположением бляшек вдоль линий Blaschco, а также тем, что носит спорадический, а не врожденный характер. Очаг представляет собой бляшку с атрофическим центром, окруженным приподнятым кератотичес-ким валиком с желобком, заполненным роговыми массами. Гистологически в области атрофического центра обнаруживается небольшой гиперкератоз, атрофия мальпигиева слоя и фиброз верхней части дермы. Роговой валик характеризуется значительным гиперкератозом и акантозом, в центре его расположен глубокий желобок, заполненный роговыми массами («роговая пластинка»). Зернистый слой в области роговой пластинки отсутствует, во всех других местах он хорошо выражен. В дерме под роговой пластинкой выявляется хроническая воспалительная инфильтрация.
Информация на сайте подлежит консультации лечащим врачом и не заменяет очной консультации с ним.
См. подробнее в пользовательском соглашении.
Невус
Невус (пигментное пятно, пигментный невус, меланоцитарный невус) – доброкачественное новообразование, которое в большинстве случаев является врожденным пороком развития кожи.
На ограниченном участке образуется скопление особых клеток – невоцитов, которые содержат большое количество пигмента меланина.
Невоциты являются патологически измененными меланоцитами – клетками, которые в норме синтезируют меланин и придают окраску коже. Невоклеточный невус – синоним пигментного невуса. Родинка и невус – также идентичные понятия (сам термин происходит от латинского слова naevus – "родинка").
Лечением и профилактикой невусов занимается врач-дерматолог.
Виды невусов:

Меланоцитарные невусы отличаются большим разнообразием форм, цветов и размеров. До настоящего времени среди врачей нет однозначного мнения по поводу того, какие образования следует обозначать словом "невус".
Поэтому иногда невусами называют доброкачественные кожные опухоли, в которых не содержится пигмент меланин: Гемангиомы – сосудистые опухоли.
Особенно распространено понятие "клубничный невус" - гемангиома красного цвета, которая имеется у большинства новорожденных детей, и проходит в течение первого года жизни.
Также многие врачи оперируют таким понятием, как сосудистый невус.
Невусы сальных желез – в большинстве случаев расположены на голове, также не содержат меланина. Такое новообразование известно как сальный невус.
Иногда врожденными невусами у детей также называют тератомы (гамартомы), которые, по сути, являются врожденными опухолями, состоящими не только из кожи, но и из всех остальных тканей.
Анемичный невус – разновидность сосудистого невуса. Это участок кожи, на котором недоразвиты сосуды, поэтому он имеет более светлую окраску.
Настоящий меланоформный невус – это образование, которое происходит из измененных клеток-меланоцитов – невоцитов.
Различают следующие виды невусов:
Невоклеточный пограничный невус – простое пятно, которое не возвышается на коже, или слегка выступает над ее поверхностью. Пограничный невус имеет четкие контуры и коричневую окраску. Он может иметь различные размеры и располагаться на разных частях тела. При данном виде меланоформного невуса скопление клеток с пигментом находится между верхним (эпидермис) и средним (дерма) слоем коже – такое расположение обозначается как внутриэпидермальный невус.
Интрадермальный невус – наиболее распространенная разновидность меланоформного невуса. Он так называется, потому что скопление пигментных клеток находится в толще среднего слоя кожи – дерме.
Пигментный сложный невус кожи. Такой невус имеет вид родинки: он возвышается на кожей и может иметь различную окраску, от светло-коричневой до практически черной. Часто на нем растут жесткие волосы. Смешанный невус имеет гладкую поверхность, и может находиться на любой части тела.

Внутридермальный невус. Также выступает над поверхностью кожи, но, в отличие от сложного невуса, имеет неровную, бугристую поверхность. Практически всегда расположен на голове или на шее, очень редко – на туловище. В большинстве случаев внутриэпидермальный невус появляется в возрасте 10 – 30 лет.
Со временем он как бы отделяется от кожи, и располагается на тонкой ножке. Часто затем он превращается в папилломатозный невус (бородавчатый невус). В нем образуется большое количество неровностей, складок и щелей, в которых скапливаются отмершие клетки верхнего слоя. Здесь могут скапливаться болезнетворные организмы, которые затем приводят к инфекционным процессам.
Голубой невус имеет характерную окраску, так как он связан с отложениями меланина под кожей. Голубые невусы характерны в основном для азиатских национальностей. Они немного возвышаются над кожей, плотные на ощупь, их поверхность всегда гладкая, на ней никогда не растут волосы. Голубой невус имеет небольшую величину, чаще всего не более пяти миллиметров.
Базальный невус также имеет вид родинки, но чаще всего он обладает обычным телесным цветом. Это – беспигментный невус.
Невус сетона (невус сеттона, невус саттона, гало невус) – особая разновидность дермального невуса, когда вокруг пигментного пятна находится участок кожи, полностью лишенный пигмента. Происхождение таких невусов пока до конца не изучено. Они часто сочетаются с витилиго (потерей кожей пигментов), меланомами. Чаще всего в области гало невуса имеется небольшое воспаление в коже.
Невус Ота. Располагается на лице, с одной стороны, в виде "грязных" пятен.
Невус Ита напоминает невус Ота, но он находится под ключицей, на груди, в области лопатки и шеи. Обе этих разновидности встречаются в основном у представителей азиатских народов.
Папилломатозный невус (бородавчатый невус). Похожий на папиллому невус часто имеет большие размеры, находится на голове или сзади на шее, но может располагаться и в иных местах. Он имеет неровную поверхность, как бородавка. Часто на нем растут волосы.
Невус Беккера (волосяной эпидермальный невус) – чаще сего возникает у мальчиков и юношей 10 – 15 лет. Сначала на теле образуется несколько мелких пятен, которые имеют светло-коричневую или коричневую окраску, и находятся рядом. Затем они сливаются и образуют пятна с неровными контурами размерами до 20 см. После этого пятна приобретают неровную бородавчатую поверхность, покрываются волосами. Считается, что к росту невусов Беккера приводит выброс в кровь большого количества мужских половых гормонов – андрогенов.

Линейный невус – новообразование, которое появляется с рождения. Представляет собой множество мелких узелков, от светлого до практически черного цвета, которые расположены на коже в виде цепочки. Линейный невус может занимать всего пару сантиметров, а может и всю руку или ногу. Иногда на нем растут волосы.
Невус глаза – пигментный невус, который расположен на радужной оболочке. Он хорошо заметен в виде пятна, которое может иметь разные размеры и форму. Также невус глаза может находиться на сетчатке: в этом случае он выявляется только во время осмотра офтальмологом.
- мелкие невусы, имеющие размеры 0,5 - 1,5 см;
- средние неводермальные невусы - 1,5 - 10 см;
- крупные пигментные невусы имеют размеры более 10 см;
- если невус располагается на целой области тела, занимая ее практически целиком, то он называется гигантским.
Со временем внешний вид пигментных невусов может изменяться. Меняется и их общее количество на теле: Далеко не всегда можно обнаружить невусы на теле новорожденного. Только у 4 – 10% детей грудного возраста можно выявить родинки. Если невусы с рождения имеют большие размеры, то они наиболее опасны в плане озлокачествления (перехода в меланому).
В подростковом возрасте (10–15 лет) дермальные невусы можно встретить у 90% лиц.
В среднем у человека в возрасте 20-25 лет на теле можно насчитать до 40 родинок.
После 30 лет на коже остается только 15 – 20 невусов.
У человека, достигшего 80 – 85 лет практически невозможно обнаружить невусы на теле. Такую динамику связывают с изменением гормонального фона в течение жизни человека.
Причины возникновения:
Многие исследователи склоняются к мысли, что абсолютно все пигментные невусы, даже те, которые появляются с возрастом, являются врожденными пороками развития кожи.
Нарушения, которые приводят к образованию этой доброкачественной опухоли, возникают еще в эмбриональном состоянии организма. До настоящего времени пока не изучены все врожденные причины образования диспластических невусов.
В качестве основных факторов можно выделить:
Колебания уровня половых гормонов в организме беременной женщины:
- прогестинов и эстрогенов.
- Инфекции мочеполовой системы у беременных. Воздействие на организм беременной женщины неблагоприятных факторов: токсичных веществ, излучений.
- Генетические нарушения. Под действием всех этих факторов нарушается развитие меланобластов – клеток, из которых впоследствии образуются меланоциты. В итоге меланобласты скапливаются на определенных участках кожи и трансформируются в клетки-невоциты.
Невоциты отличаются от нормальных меланоцитов двумя особенностями:
- У них нет отростков, по которым пигмент мог бы распространяться в другие клетки кожи;
- Диспластические невусы хуже подчиняются общим регулирующим системам организма, но, в отличие от раковых клеток, утратили эту способность не полностью.
- Гормональные перестройки организма. Это очень ярко проявляется в подростковом возрасте, когда на теле появляется большая часть невусов.
- Действие на кожу ультрафиолетовых лучей. Частые солнечные ванны и солярии способствуют росту пигментных пятен.
- Беременность. Как уже отмечалось выше, это связано с колебанием уровня половых гормонов в организме женщины.
- Менопауза.
- Прием контрацептивов.
- Воспалительные и аллергические заболевания кожи (угри, дерматиты, различные сыпи).
Диагностика невусов:
Перед врачом, который осуществляет диагностику невуса, стоит ряд важных задач:
- установить разновидность невуса и определить возможности его лечения;
- вовремя распознать начало процесса озлокачествления пигментного пятна;
- определить показания к проведению дополнительных методов диагностики.
Обследование пациента начинается классически с беседы и осмотра. Во время расспроса врач устанавливает важные подробности: когда появился неводермальный невус.
Особенно важно, имеется ли он с рождения, или возник с возрастом; как образование вело себя в течение последнего времени:
- увеличивалось ли в размерах,
- изменяло ли цвет, контуры, общий внешний вид;
- проводилась ли ранее диагностика и лечение, каков был результат

Непосредственный контакт с пациентом очень важен. Ни один профессиональный специалист не возьмется ставить диагноз и лечить невус по фото. После расспроса пациента следует осмотр. Доктор должен оценить форму, размер, расположение невуса, наличие на нем волос и иные особенности. После этого уже может быть поставлен точный диагноз и намечены определенные лечебные мероприятия.
При необходимости врачом назначаются дополнительные методы диагностики. Чаще всего применяются мазки с поверхности невуса. Абсолютными показаниями к данному исследованию является мокнутие, кровоточивость, трещины на поверхности пигментного пятна. Во время мазка получают материал, который затем изучают при помощи микроскопа.
Лабораторная диагностика применяется для установления процесса перерождения невуса в меланому. При озлокачествлении пигментного пятна в крови пациента появляются особые вещества – онкомаркеры. Их обнаружение позволяет точно установить диагноз, так как только при меланоме в крови определяются две молекулы, имеющие название TA90 и SU100. При других злокачественных опухолях выявляются другие онкомаркеры.
Для проведения анализа на онкомаркеры необходимы четкие показания: врач должен иметь веские основания подозревать переход невуса в меланому. Кроме того, само удаление дермального невуса может стать диагностической процедурой.
После того, как пигментное пятно удалено, врач отправляет его на гистологическое исследование. Маткриал осматривают под микроскопом и, в случае обнаружения злокачественного перерождения, пациента снова просят явиться в клинику.
Лечение невуса:
В настоящее время существует несколько методов лечения пигментных невусов, как хирургическим путем, так и альтернативными способами.
Показания определяются только лечащим врачом с учетом двух факторов:
Особенности самого пигментного пятна: разновидность, размеры, риск перехода в меланому.
Наличие в больнице необходимого оборудования
Хирургический метод
Удаление пигментного невуса хирургическим путем (при помощи скальпеля) – наиболее распространенная методика, так как она не требует специального оборудования и отличается надежностью.
Криодеструкция
Криодеструкция – метод, предусматривающий лечение невуса при помощи заморозки. После обработки низкими температурами пигментное пятно отмирает и превращается в струп (корочку), под которой растет новая нормальная кожа.Лечение невуса низкой температурой может осуществляться только в том случае, если он имеет небольшие размеры, и расположен поверхностно, но не сильно выступая над кожей.
Электрокоагуляция
Это методика, которая противоположна криокоагуляции. Иссечение невуса осуществляется под действием высокой температуры.Процедура болезненная, поэтому требует применения местной анестезии, а у детей – только общего наркоза.
Лазерная терапия
Удаление невусов лазером – метод лечения, который широко распространен в современных косметологических салонах. Он отлично подходит для того, чтобы удалять небольшие родинки в области лица, шеи и на других частях тела. Лазерное излучение отличается тем, что оно способно проникать в кожу на большую глубину в пределах точно заданной площади. При этом не образуется шрамов, ожогов, рубцов и других осложнений. Процедура безболезненна.
Радиохирургические методы
В последние годы радиохирургия все активнее используется в мировой медицине. Суть этих методик состоит в том, что специальным прибором, - радионожом (сургитроном) генерируется пучок радиоактивного излучения, который концентрируется только в области патологического очага, не нанося вреда здоровым окружающим тканям. Таким образом могут быть удалены практически любые доброкачественные и злокачественные опухоли, в том числе и пигментные невусы.
Некоторые особые показания Если имеется подозрение на злокачественное перерождение невуса, то используется, как правило, только хирургическое иссечение.
При этом удаляются все окружающие ткани, для предотвращения дальнейшего роста опухоли. Некоторые разновидности невусов лечатся только хирургическим путем.
Большинство методов лечения невусов проводится в нашей клинике опытными врачами-дерматологами. Для получения консультации и записи на прием, звоните или записывайтесь через форму.
Читайте также:
