Увеличение гипофиза
Добавил пользователь Евгений Кузнецов Обновлено: 29.01.2026
Наверняка Вы задаётесь вопросом: что же теперь делать?
Подобный диагноз всегда делит жизнь на «до» и «после». Все эмоциональные ресурсы пациента и его родных брошены на переживания и страх. Но именно в этот момент необходимо изменить вектор «за что» на вектор «что можно сделать».
Предлагаем Вашему вниманию краткий, но подробный обзор аденомы гипофиза
Филиалы и отделения, где лечат аденомы гипофиза
МНИОИ им. П.А. Герцена – филиал ФГБУ «НМИЦ радиологии» Минздрава России.
Отделение нейроонкологии
Заведующий – к.м.н. ЗАЙЦЕВ Антон Михайлович
Отдел лучевой терапии
Заведующий - д.м.н. ХМЕЛЕВСКИЙ Евгений Витальевич
Тел: 495 150 11 22
МРНЦ им. А.Ф. Цыба – филиал ФГБУ «НМИЦ радиологии» Минздрава России.
Отделение протонной и фотонной терапии
Заведующий – д.м.н. ГУЛИДОВ Игорь Александрович
Тел: 8 (484) 399 31 30
Аденома гипофиза
Ежегодно в России выявляют более 8 тысяч новых заболеваний опухолей мозговой оболочки, головного и спинного мозга и других частей центральной нервной системы. Почти такое же количество граждан умирает от данных локализаций.
Аденома гипофиза - группа опухолей, происходящих из передней доли гипофиза. Данная опухоль составляет до 10% от всех внутричерепных опухолей. Чаще всего они проявляются в возрасте 30–40 лет, одинаково часто у мужчин и женщин.
По размерам аденомы гипофиза выделяют: микроаденомы (менее 1 см в максимальном измерении); макроаденомы.
По гормональной функции: гормонально-неактивная аденома гипофиза; гормонально-активная аденома гипофиза (пролактинома — вырабатывает пролактин, кортикотропинома — вырабатывает адренокортикотропный гормон, соматотропинома — вырабатывает соматотропный гормон, тиротропинома — крайне редкая опухоль, выделяет тиреотропный гормон, гонадотропинома вырабатывает лютеинизирующий гормон и/или фолликулостимулирующий гормон).
Проявления аденомы гипофиза
Проявления аденомы гипофиза зависят от гормональной функции опухоли. При гормонально-активных аденомах основные проявления — специфические гормональные нарушения. При гормонально-неактивных аденомах больные чаще всего обращаются с жалобами на нарушения зрения (чаще всего сужение полей и снижение остроты зрения) и головные боли. Редкое проявление большой аденомы гипофиза — резкий приступ головной боли, резкое сужение полей и падение остроты зрения, при вовлечении в процесс особого отдела головного мозга — гипоталамуса — нарушения сознания.
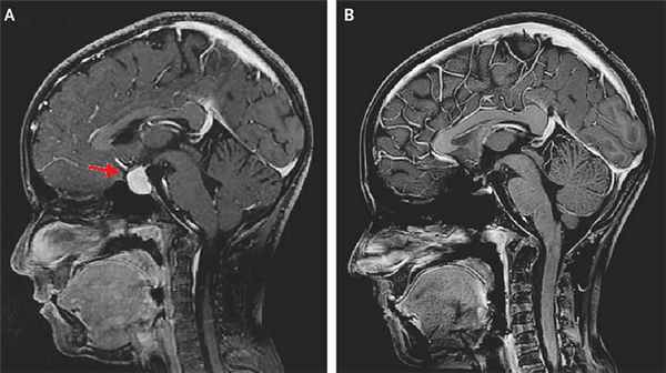
Диагностика аденомы гипофиза: тщательные гормональное и офтальмологическое обследования и нейровизуализация. Магнитно-резонансная томография — основной метод диагностики, позволяет выявить аденомы размерами менее 5 мм, однако, даже с учётом этого, примерно у 25–45% пациентов визуализировать аденому не удаётся. Компьютерную томографию применяют только в экстренных ситуациях при невозможности провести магнитно-резонансной томографии для исключения тяжёлых осложнений.
Согласно существующим протоколам лечения аденомы гипофиза методом первого выбора в случае несекретирующих аденом, а также соматотропином и кортикотропином является хирургическое удаление, а для пролактином – назначение агонистов допамина. Неэффективность хирургического лечения (частичная резекция опухоли или ее рецидив) является показанием к проведению лучевой терапии. В случае пролактином, методом второго выбора является хирургическое удаление, и лишь при его неэффективности – лучевая терапия. Однако существуют определенные ситуации, в которых первым этапом может быть отдано предпочтение лучевой терапии: например, инвазия аденом гипофиза небольшого размера в стенку кавернозного синуса, или непригодный для хирургического лечения соматический статус пациента, или отказ больного от операции и его выбор в пользу лучевой терапии.
Лечение и удаление аденомы гипофиза
При удалении аденомы гипофиза, уровень излечения варьирует от 21 до 92% (в среднем 67,1%) с 0,5% летальностью и низким уровнем послеоперационного дефицита (2,9%). Частота рецидивов составляет 11,5%. При сочетании хирургии с фракционной лучевой терапией улучшается контроль роста опухоли, но возрастает частота гипопитуитаризма (до 48,5%) В случае применения лучевой терапии эффективность лечения составляет примерно 80%. Гипопитуитаризм отмечается в 9,8%. Рецидивы – только в 0,2%. Летальность – 0%
Лучевая терапия является методом выбора в лечении небольших (до 3.5 см ) аденом гипофиза , особенно при их рецидивном росте или субтотальном удалении, с наименьшим риском развития гипофизарной недостаточности.
Филиалы и отделения, в которых лечат опухоли головного и спинного мозга, а также отделы центральной нервной системы
ФГБУ «НМИЦ радиологии» Минздрава России обладает всеми необходимыми технологиями лучевого, химиотерапевтического и хирургического лечения, включая расширенные и комбинированные операции. Все это позволяет выполнить необходимые этапы лечения в рамках одного Центра, что исключительно удобно для пациентов.
Аденома гипофиза

Аденома гипофиза – доброкачественное новообразование, которое развивается из клеток передней доли гипофиза. Во многих случаях существует бессимптомно в течение десятков лет и обнаруживается случайно, но у ряда людей сопровождается определенными проявлениями, существенно снижающими качество жизни.
Чтобы избежать осложнений этого заболевания, при появлении характерных для него симптомов следует обратиться к врачам эндокринологу, окулисту или невропатологу (в зависимости от проявлений) сети медицинских центров «СМ-Клиника». Врач проведет обследование, выставит верный диагноз и назначит наиболее эффективную в вашей ситуации схему лечения аденомы гипофиза.
О заболевании
Гипофиз представляет собой отдел головного мозга, один из главных органов эндокринной системы, железу, отвечающую за выработку гормонов роста, репродуктивной сферы и обмена веществ. Четыре из пяти опухолей гипофиза составляют аденомы. Они развиваются у людей обоих полов, чаще в возрасте от 30 до 40 лет, у детей – достаточно редки.
Порядка 20% аденом гипофиза у мужчин и женщин никак себя не проявляют и оказываются случайной диагностической находкой при обследовании в связи с иной патологией.
В зависимости от происхождения выделяют такие виды аденом гипофиза:
- первично-гипофизарные (патологически делящиеся клетки изначально локализуются в гипофизе);
- вторичные (возникают вследствие гиперфункции гипоталамуса или гипофункции периферических органов эндокринной системы).
Также опухоли различают по размеру:
- микроаденомы (менее 10 мм в диаметре);
- макроаденомы (более 10 мм в диаметре);
- гигантские макроаденомы (6 см и более).
По клинической симптоматике новообразования этой зоны мозга бывают двух типов – гормонально активные и неактивные. Первые возникают в случае поражения отделов железы, продуцирующих тот или иной гормон, во втором случае опухолевый процесс затрагивает клетки, не вырабатывающие гормоны, что, безусловно, отражается на клинической картине заболевания.
Классификация гормонально активных аденом гипофиза включает такие виды опухолей:
- продуцирующие пролактин – пролактиномы (35-45%);
- продуцирующие гормон роста – соматотропиномы;
- вырабатывающие АКТГ – кортикотропиномы;
- продуцирующие половые гормоны – гонадотропиномы;
- вырабатывающие гормоны щитовидной железы – тиреотропиномы (1-2%);
- смешанные (секретирующие одновременно несколько гормонов).
Симптомы
Признаки аденомы гипофиза можно объединить в две большие группы: офтальмо-неврологические и эндокринные. Первые возникают при сдавливании растущим новообразованием близлежащих отделов мозга и зависят от того, функция каких участков ЦНС страдает. Вторые же представляют собой симптомы гиперпродукции того или иного из указанных выше гормонов.
Так, офтальмо-неврологическими симптомами аденомы гипофиза могут стать:
- головные боли, особенно в лобной и/или височной областях, стойкие, не реагирующие на прием анальгетиков;
- тошнота, рвота;
- снижение остроты зрения;
- двоение в глазах;
- изменение полей зрения;
- глазодвигательные нарушения (ограничения объема движений глазных яблок);
- стойкая заложенность носа (при прорастании новообразования в ткани решетчатой или клиновидной пазух);
- при поражении гипоталамуса – нарушения сознания.
Проявления эндокринно-обменного синдрома напрямую зависят от клеточного строения гормонально-активной опухоли:
- при пролактиноме симптомами аденомы гипофиза у женщин становятся нарушения менструального цикла, бесплодия, галакторея, себорея, ожирение, нарушение либидо, у мужчин – увеличение в размерах грудных желез (гинекомастия), галакторея, эректильная дисфункция, снижение полового влечения;
- соматотропинома сопровождается увеличением роста – гигантизмом (у детей) и размеров отдельных частей тела – акромегалией (у взрослых); у пациентов повышается масса тела, возможно развитие сахарного диабета, патологии щитовидной железы, повышенной жирности кожи, гипергидроза, полиневропатии;
- при кортикотропиноме пациенты предъявляют жалобы на ожирение с отложением жира в виде фартука, растяжки на бедрах и животе, повышение артериального давления, частые переломы костей, участки атрофии, повышенную пигментацию кожи, склонность к гнойничновым и грибковой природы поражениям;
- тиреотропинома характеризуется симптоматикой гипотиреоза (общей слабостью, вялостью, отечностью, заторможенностью, пониженным настроением) или тиреотоксикоза (раздражительностью, потливостью, бессонницей, дрожанием в теле, ощущением сердцебиения);
- гонадотропинома продуцирует преимущественно неактивные биологически гормоны, поэтому ее основные проявления офтальмо-неврологического характера; иногда она сопровождается галактореей и признаками синдрома гиперстимуляции яичников.
Причины аденомы гипофиза
Точные причины образования аденом гипофиза ученым пока не ясны. Известно, что эта опухоль в большинстве случаев не носит наследственный характер, однако может являться проявлением ряда генетически обусловленных синдромов. Повышают риск ее развития такие факторы:
- травмы головы;
- инфекционные заболевания центральной нервной системы (энцефалиты, менингиты, лептоспироз и другие);
- прием оральных контрацептивов;
- патологическое течение беременности и родов;
- отравления ядами и токсинами;
- изменение выработки гормонов периферическими эндокринными железами.
Получить консультацию
Если у Вас наблюдаются подобные симптомы, советуем записаться на прием к врачу. Своевременная консультация предупредит негативные последствия для вашего здоровья.
Узнать подробности о заболевании, цены на лечение и записаться на консультацию к специалисту Вы можете по телефону:

Почему «СМ-Клиника»?
Диагностика аденомы гипофиза в «СМ-Клиника»
Неврологи центра «СМ-Клиника» помогут выявить аденому гипофиза и своевременно начать лечение. В арсенале наших врачей – все необходимые методики исследования и лабораторные анализы. Многолетний опыт докторов позволяет учесть особенности заболевания, верифицировать его вид согласно классификации и выставить пациенту точный диагноз.
Женщины и мужчины с симптомами аденомы гипофиза, как правило, первично обращаются к неврологу, офтальмологу или эндокринологу – это зависит от специфики клинической симптоматики. В идеале для уточнения и подтверждения диагноза такие пациенты нуждаются в осмотре каждого из этих специалистов.
Прежде всего, врач беседует с пациентом: выясняет жалобы, уточняет как давно и в каком порядке они возникли, как видоизменялись со временем, чем пациент пытался облегчить свое состояние и с каким результатом. Специалист интересуется сопутствующими болезнями человека и наследственностью – патологией, которой страдают его родственники. Затем он проводит объективное обследование – осматривает пациента, оценивая его телосложение, цвет и иные характеристики кожи, проводит пальпацию и перкуссию пораженной части тела (при необходимости).
На основании полученных данных врач в уме формирует некую возможную картину заболевания, предполагает, какие патологии могут иметь место у его пациента, и в зависимости от этого назначает программу обследования, позволяющую уточнить диагноз. Она может включать в себя:
- общий анализ крови;
- биохимический анализ крови (показатели белкового, углеводного, липидного обмена, определение количества гормонов – половых, тиреоидных, глюкокортикоидных);
- радиоиммунологическое исследование уровня гормонов гипофиза с помощью меченного радиоактивного изотопа;
- рентгенологическое обследование (основной способ диагностики аденомы гипофиза головного мозга) – рентгенография, МРТ, компьютерная томография, ангиография сосудов головного мозга – в зависимости от клинической ситуации;
- консультации профильных специалистов – эндокринолога, рентгенолога, офтальмолога.
Только комплексный, индивидуально ориентированный подход к диагностике дает возможность врачу выставить верный диагноз и назначить пациенту эффективное лечение.
Мнение эксперта
Как специалист, хочу отметить, что у мужчин аденома гипофиза часто дебютирует нарушениями половой функции – эректильной дисфункцией и снижением полового влечения. Эти симптомы обычно расцениваются как функциональные нарушения либо признаки инфекционно-воспалительных болезней половой системы. Мужчина теряет время, проходя не нужные ему обследования и получая терапию не по показаниям, а новообразование постепенно растет и диагностируется уже на стадии макроаденомы.
Чтобы избежать такой ситуации, мужчинам следует быть внимательными к своему здоровью и озвучивать врачу все имеющиеся у них нарушения, все симптомы нездоровья. Врачи же, в свою очередь, должны мыслить шире и проводить качественную дифференциальную диагностику возможных патологий, в случае сомнений – рекомендовать консультации профильных специалистов для исключения того или иного заболевания.
Аденома гипофиза
Аденома гипофиза – доброкачественная опухоль, которая характеризуется бесконтрольным ростом клеточных элементов гипофиза. По мере роста аденомы, происходит сдавление соседние структуры, что приводит к развитию зрительных нарушений, гидроцефалии.
Гипофиз – придаток мозга, который располагается в нижней части основания головного мозга в костном кармане. Отвечает за выработку гормонов: обмена веществ, роста, репродуктивную функцию.

Симптоматика аденомы гипофиза
Функционирующие аденомы гипофиза ответственны за симптомы в зависимости от того, какой гормон они продуцируют в избытке.
По мере роста аденома сдавливает нормально функционирующие участки гипофиза, тем самым снижая уровень определенных гормонов, а также близлежащие анатомические структуры, что определяет некоторую симптоматику.
Симптомы, связанные со сдавлением соседних анатомических структур
- головная боль
- потеря зрения, частичное выпадение полей зрения
Симптомы, связанные с изменением уровня гормонов
Большие новообразования могут приводить к дефициту гормонов. Признаки дефицита:
- тошнота, рвота
- ощущение слабости
- невозможность согреться
- сексуальная дисфункция
- изменение менструального цикла или его прекращение
- увеличение объёма мочи
- немотивированные потеря или набор веса
Функционирующие новообразования производят избыточное количество гормонов. Различные виды аденом приводят к развитию специфических симптомов, а иногда и комбинации, в зависимости от того, какой гормон продуцируется опухолью.
Адренокортикотропный гормон. Он стимулирует выработку кортизола. Симптоматика:
- накопление жировой ткани в области живота и шейного отдела позвоночника
- округление лица
- похудание рук и ног, мышечная слабость
- повышение артериального давления
- повышение уровня глюкозы в крови
- акне, стрии
- хрупкость костей
- беспокойство, раздражительность, депрессивные состояния
Гормон роста. Опухоль, продуцирующая соматотропин, является причиной развития акромегалии и может характеризоваться следующими симптомами:
- увеличение размеров рук и ног
- огрубевшие черты лица
- избыточное потоотделение
- высокое содержание глюкозы в крови
- сердечная патология
- суставные боли
- изменение прикуса
- усиленный рост волос по всему телу
Пролактин. Продуцирующие новообразования приводят к дисбалансу половых гормонов – снижение выработки эстрогена у женщин и тестостерона у мужчин. Для пролактиномы характерна следующая симптоматика:
- нерегулярность менструального цикла
- выделения из молочных желез
- эректильная дисфункция
- уменьшение выработки семенной жидкости
- гинекомастия (увеличение молочных желез у мужчин)
Тиреотропный гормон. В результате избыточной продукции новообразованием, увеличивается выработка щитовидной железой тироксина, что приводит к развитию следующих состояний:
- потеря веса
- учащение сердцебиения
- нервозность, раздражительность
- частое опорожнение кишечника
- чрезмерное потоотделение
Диагностика
Аденома гипофиза зачастую не диагностируется сразу, поскольку симптоматика роста новообразования напоминают симптомы других заболеваний.
Диагноз «Аденома гипофиза» ставится на основании жалоб пациента, клинической картины, описании характерных симптомов, а также на основании следующих проведенных исследований:
- КТ или МРТ сканы головного мозга позволят оценить локализацию и размеры опухоли
- общий анализ крови и мочи
- определение характера зрения

Лечение аденомы гипофиза
Способ лечения аденомы гипофиза зависит от типа опухоли, его размеров и степени давления, которое оказывается на соседние анатомические структуры. Определяющими факторами также являются возраст пациента и сопутствующие заболевания.
Алгоритм лечения определяется командой врачей – нейрохирургом, эндокринологом, онкологом-радиологом.
Хирургическое лечение
Существуют две основные хирургические техники (операции) для удаления аденомы гипофиза:
- Эндоскопический трансназальный транссфеноидальный доступ. В этом случае опухоль удаляется через нос и пазухи
- Транскраниальный (наружный доступ) используется при новообразованиях большего размера.
Лучевая терапия
Используются высокоэнергетические источники излучения для прицельного разрушения опухолей.
Лекарственная терапия
В одних случаях лекарственные препараты, назначаемые врачом, блокируют избыточную выработку гормонов, в других – подавляют рост опухоли.
При пролактин-продуцирующих опухолях назначают каберголин и бромокриптин, АКТГ-продуцирующих опухолях – кетоконазол, митотан, метирапон, пасиреотид, опухолях, продуцирующих гормон роста – аналоги соматостатина и ланреотид.
В некоторых случаях диагностированная аденома гипофиза не вызывает симптомов. Пациенту рекомендуется регулярное посещение врачей с целью контроля роста новообразования и контроля гормонального фона.
Аденома гипофиза

Гипофиз - это железа внутренней секреции, расположенная в турецком седле (образование в черепе человека). Несмотря на свои миниатюрные размеры, она контролирует многие функции в организме. Именно гипофиз вырабатывает гормоны, которые отвечают за работу всей эндокринной системы. От внешнего воздействия природа надежно защитила эту железу, но внутренние факторы все равно могут вызвать патологические изменения. Одной из подобных проблем является аденома гипофиза. Распознать ее можно по выпадению волос, бесплодию, изменению внешности, нарушениям в половой сфере и многим другим признакам.
Что такое аденома гипофиза?
Аденома гипофиза – доброкачественное округлое новообразование в головном мозге. Она локализуется в области турецкого седла, около основания костей черепа. Статистика ВОЗ утверждает, что аденома – это 80% всех опухолей гипофиза. Она встречается у 1 из 50 000 человек, однако ввиду отсутствия полноценной диагностики реальные цифры могут быть гораздо выше.
Аденома гипофиза – это микрообразование, которое долгое время может не сообщать о себе никакими явными симптомами. Оно медленно прогрессирует, выявить его на начальных стадиях возможно только при помощи подробного диагностического обследования. Возникнуть аденома может в любом возрасте, но чаще всего от нее страдают люди 30-60 лет. У детей формируется редко.
Из-за длительного отсутствия каких-либо симптомов аденома гипофиза может вызвать серьезные эндокринные проблемы: гиперпролактинемию, ожирение, синдром Кушинга. Из-за этой доброкачественной опухоли подавляется синтез гормонов в гипофизе, что нарушает всю эндокринную систему. Также увеличивающееся в размерах образование сдавливает прилегающие ткани головного мозга, вызывая мигрень, эпилептические приступы, снижение остроты зрения и многое другое.
Симптомы аденомы гипофиза
Чаще всего диагностировать аденому гипофиза удается по офтальмо-неврологическим признакам, которые возникают из-за возрастающего давления на внутричерепные структуры. Также она может быть гормонопродуцирующей – в таком случае развивается эндокринно-обменный синдром.
Офтальмо-неврологический синдром
Степень проявления офтальмо-неврологического синдрома при аденоме гипофиза зависит от объема опухоли, направления ее роста. Постепенно у человека появляется головная боль, уменьшаются поля зрения, нарушается двигательная активность глаз. Мигрень возникает из-за постоянного давления на турецкое седло. Она тупая, не сопровождается тошнотой, ее интенсивность не зависит от положения тела.
Головная боль при аденоме гипофиза обычно распространяется на виски и лобную часть. Она практически не купируется обезболивающими препаратами. Из-за интенсивного роста может произойти кровоизлияние в ткани, что приведет к значительному усилению головной боли.

Ограничение полей зрения происходит из-за сдавливания зрительных нервов, которые проходят непосредственно под гипофизом. Длительное подобное воздействие может привести к атрофии этих нервов и слепоте.
В результате такого воздействия развивается офтальмоплегия и диплопия, значительно снижается острота зрения. Если аденома разрастается вниз и затрагивает решетчатую или клиновидную пазуху, то пациент может жаловаться на заложенность носа. При увеличении опухоли преимущественно вверх повреждаются структуры гипоталамуса, что может стать причиной нарушений сознания.
Эндокринно-обменный синдром
Аденомы гипофиза могут быть гормонопродуцирующими. В таком случае у человека возникают эндокринные нарушения. Их проявления зависят от гормона, которого в организме становится в избытке. Из-за аденомы гипофиза в крови может возрастать уровень:
- Соматотропина. Это гормон роста, из-за которого возникают признаки гигантизма у детей, акромегалии – у взрослых. Постепенно меняется скелет, развиваются сахарный диабет, ожирение, диффузный либо узловой зоб. Нередко возникают проявления гирсутизма, гипергидроза, на коже разрастаются невусы и папилломы.
- Пролактина. Женщины сталкиваются с нарушением менструального цикла, бесплодием, у них повышена масса тела, имеются проблемы с угрями, себорея. У мужчин при повышенном пролактине развиваются офтальмо-неврологические симптомы, импотенция.
- АКТГ. При повышенном кортикотропине у пациентов диагностируется синдром Иценко-Кушинга. Распознать болезнь можно по ярко-красным стриям на теле, пигментации кожи. Аденома, вырабатывающая АКТГ, опасна – она имеет склонность к злокачественному перерождению с последующим метастазированием.
- ТТГ. Если аденома вырабатывает тиреотропин, развивается гипертиреоз. Пациент жалуется на учащенное сердцебиение, у него снижена масса тела, чрезмерная потливость.
- Гонадотропных гормонов. В основном возникают неспецифичные симптомы, такие как головная боль, галакторея.
Основные причины
Исследования до сих пор не дали результатов в изучении точных причин развития аденомы гипофиза. Врачи продолжают разрабатывать возможные механизмы развития. Считается, что способствовать возникновению данной патологии могут следующие факторы:
- последствия травм головы;
- перенесенные внутриутробные инфекции;
- инфекции головного мозга;
- частые беременности у матери;
- наследственная предрасположенность;
- прием гормональных лекарств;
- частые стрессы, истощение нервной системы.
Статистика Всемирной Организации Здравоохранения называет, что у женщин это образование встречается в 2.5 раза чаще. У детей аденомы диагностируются крайне редко.
Диагностика аденомы гипофиза
Обычно диагностикой аденомы гипофиза занимаются невролог, офтальмолог и эндокринолог. К первым двум специалистам пациенты обращаются при развитии офтальмо-неврологических симптомов, к последнему – при эндокринно-обменных. Для более точной постановки диагноза потребуется консультация всех этих врачей. Стандартно обследование при аденоме гипофиза включает:
- Рентген турецкого седла. Показывает контур, размер, форму гипофиза, признаки разрушения спинки турецкого седла; . Позволяет выявить микроскопическое новообразование в тканях, оценить его кровообращение; . Отражает более точную локализацию аденомы в головном мозге;
- Ангиографию. Назначается, если МРТ и КТ не показали аденому, но признаки ее присутствия есть. Исследование позволяет выявить новообразования самого маленького размера;
- Гормональный анализ крови. Определяются концентрации пролактина, соматотропина, кортизола, АКТГ, ТТГ;
- Офтальмологическое исследование. Необходимо проверить остроту зрения, состояние глазного дна, зрительного нерва;
- Биохимический анализ крови. Определяет общее состояние организма. Важно проверить уровень глюкозы – ее повышенное значение указывает на нарушение обменных процессов.
Используемые методы лечения
Стандартно лечение аденомы гипофиза заключается в лекарственной, лучевой и нейрохирургической терапиях. Оптимальный метод воздействия определяется по результатам диагностики: он зависит от состояния пациента, характеристик самой опухоли, наличия сопутствующих заболеваний.

Медикаментозная терапия
Лекарственная терапия назначается в 90% случаев. Препараты помогают избавиться от проявлений болезни и улучшить самочувствие пациента. Первоначально прописываются витаминные и общеукрепляющие комплексы. Далее необходимо определить разновидность опухоли:
- при пролактиномах назначаются агонисты дофамина либо эрголиновые препараты,
- при соматотропиномах – агонисты соматостатина,
- при кортикотропиноме – блокаторы стероидогенеза.
При необходимости проводится заместительная гормонотерапия. Если выбранная схема лечения долгое время не приносит результата, то подбирается более радикальный метод воздействия: лучевая терапия либо операция.
Лучевая терапия
При микроаденомах применяется протонная, гамма- и дистанционная терапия. Суть тактики во введении радиоактивного вещества непосредственно в патологическую область. Благодаря такому воздействию удается остановить рост опухоли, достичь регресса. Обычно лучевая терапия проводится при невозможности хирургического вмешательства и отказе пациента от операции. После такого воздействия аденома гипофиза постепенно уменьшается в размерах, может полностью разрушаться.
Хирургическое вмешательство
При большом размере опухоли и развитии сопутствующих осложнений (кровоизлияниях, образовании кист, нарушении зрения) показано ее удаление транскраниальным методом. Операция предполагает трепанацию черепа. В некоторых случаях возможно проведение вмешательства при помощи эндоскопических методик.
Выбор конкретной тактики лечения в основном зависит от разновидности опухоли. При пролактиноме лучевое воздействие практически бесполезно, когда при кортикотропиноме - показывает высокую эффективность. Если опухоль не вызывает никаких нарушений в организме и пациент не жалуется на ухудшение самочувствия, врачи выбирают выжидательную тактику.
Прогноз и профилактика
Аденома гипофиза – доброкачественное новообразование головного мозга. Однако по мере увеличения ее размеров она может принять злокачественное течение: начинает сдавливать близлежащие ткани головного мозга, его анатомические образования. Стандартно после хирургического вмешательства у пациента восстанавливается гормональный фон, он избавляется от симптомов болезни. При аденомах, диаметр которых более 2 сантиметров, присутствует вероятность рецидивов. Обычно они происходят в течение 5 лет после вмешательства.
Прогноз при аденоме гипофиза зависит от ее вида. При микрокортикотропиномах около 85% пациентов полностью восстанавливают эндокринные функции. При пролактиномах и соматотропиномах вероятность восстановления ниже – около 20%. Такие новообразования требуют постоянного приема корректирующих препаратов.
Первичной профилактики аденомы гипофиза не существует. Врачам до сих пор не удалось определить точного механизма развития патологии. Вторичная профилактика заключается в ранней диагностике болезни, регулярной сдаче крови на гормональное обследование, ведении здорового образа жизни. Необходимо сделать все возможное, чтобы не допустить травматизации головы. Если вы заподозрили у себя аденому гипофиза или же хотите вылечить уже имеющуюся болезнь, обращайтесь в медицинский центр Медскан. Опытные врачи смогут вам в этом помочь.

Аденома гипофиза – новообразование в головном мозге, которое протекает со множественными эндокринными нарушениями. Все это приводит к появлению негативной симптоматики. Чтобы не допустить опасных осложнений, необходимо своевременно посетить врача.
Обязательно запишитесь на прием к специалисту, если у вас ухудшилась острота зрения, увеличился вес при обычном питании, изменился вид кожных покровов, появилась головная боль, расстройство половых функций. Специалист отправит вас на расширенное диагностическое обследование, которое поможет поставить верный диагноз.
Гормонально-активные аденомы гипофиза

Эндокринологическое отделение
Аденома гипофиза — это доброкачественная опухоль передней доли гипофиза. Аденома гипофиза составляют до 10% всех внутричерепных опухолей. Чаще всего они проявляются в возрасте 30—40 лет, одинаково часто у мужчин и женщин.
Гормонально активные аденомы гипофиза классифицируют по разновидности производимого гормона.
- соматотропиномы (избыточное образование соматотропного гормона);
- пролактиномы (синтезируется много пролактина);
- кортикотропиномы (избыток адренокортикотропного гормона);
- тиреотропиномы (повышенная продукция тиреотропного гормона);
- гонадотропиномы (избыток гормонов, регулирующих деятельность половых желез).
Пролактинома — аденома гипофиза, секретирующая пролактин. У женщин она сопровождается нарушением менструального цикла, галактореей, аменореей и бесплодием. Эти симптомы могут возникать в комплексе или наблюдаться изолированно. Около 30% женщин с пролактиномой страдают себореей, акне, гипертрихозом, умеренно выраженным ожирением, аноргазмией. У мужчин на первый план обычно выходят офтальмо-неврологические симптомы, на фоне которых наблюдается галакторея, гинекомастия, импотенция и снижение либидо.
Кортикотропинома — аденома гипофиза, вырабатывающая АКТГ, выявляется практически в 100% случаев болезни Иценко-Кушинга. Проявляется опухоль классическими симптомами гиперкортицизма, усиленной пигментацией кожи в результате повышенной продукции наряду с АКТГ и меланоцитостимулирующего гормона. Возможны психические отклонения. Особенностью этого вида аденом гипофиза является склонность к злокачественной трансформации с последующим метастазированием. Раннее развитие серьезных эндокринных нарушений способствует выявлению опухоли до появления офтальмо-неврологических симптомов, связанных с ее увеличением.
Тиреотропинома — аденома гипофиза, секретирующая ТТГ. Если она носит первичный характер, то проявляется симптомами гипертиреоза. Если возникает вторично, то наблюдается гипотиреоз.
Гонадотропинома — аденома гипофиза, продуцирующая гонадотропные гормоны, имеет неспецифические симптомы и выявляется в основном по наличию типичной офтальмо-неврологической симптоматики. В ее клинической картине гипогонадизм может сочетаться с галактореей, вызванной гиперсекрецией пролактина окружающими аденому тканями гипофиза.
Причины:
- перенесенные черепно-мозговые травмы;
- инфекционные заболевания с поражением центральной нервной системы (энцефалиты,менингиты, абсцессы головного мозга, туберкулезное поражение головного мозга, бруцеллез,нейросифилис и так далее);
- действие вредных факторов на организм матери во время беременности (в том числе курение и употребление алкоголя);
- в последние годы прослеживается зависимость аденом гипофиза от длительного применения оральных контрацептивов.
Диагностика:
- Обследование при аденоме гипофиза: тщательные гормональное и офтальмологическое обследования и нейровизуализация.
- Магнитно-резонансная томография — основной метод диагностики, позволяет выявить аденомы размерами менее 5 мм, однако, даже с учётом этого, примерно у 25—45% пациентов визуализировать аденому не удаётся.
применяют только в ситуациях при невозможности провести магнитно-резонансной томографии для исключения тяжёлых осложнений. - Также неизбежно получить консультацию у таких специалистов, как: офтальмолог, гинеколог, терапевт, педиатр, уролог, сексопатолог и даже психиатр.
Почему пациенты обращаются именно в нашу клинику?
Всё в одном месте Можете получить консультация любого специалиста в одном месте, а значит экономите своё время.
Инновации Многие инновационные проекты без преувеличения можно причислить к технологиям будущего. Постоянно разрабатываются новейшие технологии диагностики и лечения, и прогресс не останавливается ни на минуту.
Современное оборудование Мы достигли высокого уровня развития, в том числе за счет хорошей технической оснащенности клиники. Без использования высоких технологий сейчас не обходится ни одна хирургическая операция.
Читайте также:
