Варусное колено и наружное отклонение голени
Добавил пользователь Владимир З. Обновлено: 03.12.2025
Показания, подготовка к тотальному эндопротезированию коленного сустава в условиях варусной деформации
Показания:
а) Дегенеративные заболевания сустава, в т. ч. коленного, являются одной из ведущих причин нетрудоспособности населения Соединенных Штатов
б) Все больше таких пациентов нуждаются в тотальном замещении коленного сустава (ТКА) как единственном методе радикального избавления от болевого синдрома
в) ТКА показано пациентам с умеренным и выраженным остеоартритом коленного сустава, у которых оказалось неэффективным консервативное лечение
г) Существует определенные состояния и/или деформации коленного сустава, которые могут так или иначе усложнить хирургическое вмешательство. Такие состояния требуют наличия у хирурга определенных знаний и навыков, которые позволят добиться адекватной функции эндопротеза коленного сустава и увеличить срок его службы
д) Варусная деформация — это наиболее часто встречающаяся фиксированная угловая деформация коленного сустава, встречающаяся при его дегенеративном поражении
е) Варусная деформация обычно связана с дефицитом костной ткани внутреннего отдела коленного сустава и сопровождается контрактурой мягких тканей медиальной поверхности коленного сустава. Дефицит костной ткани внутреннего мыщелка может быть минимальным, но в то же время сопровождаться удлинением латеральных мягкотканных структур коленного сустава. Также при варусной деформации может формироваться сгибательная контрактура коленного сустава
ж) Тяжелой варусной деформацией обычно считается такая деформация, когда варусное отклонение механической оси превышает 20°. Такие тяжелые деформации требуют тщательного предоперационного планирования, задачей которого является устранение всех причин имеющейся деформации
з) При тотальном эндопротезировании варусного коленного сустава необходимо придерживаться логичного и поэтапного подхода.
Обследование и лучевая диагностика перед тотальным эндопротезированием коленного сустава в условиях варусной деформации
а) Перед операцией всем пациентам проводится исчерпывающее физикальное обследование:
• Походка
• Оценка степени варусной деформации
• Оценка объема коррекции за счет вальгусной нагрузки, если эта деформация не фиксирована
• Оценка объема движений
• Сила мышц
• Стабильность связок
• Нейрососудистый статус

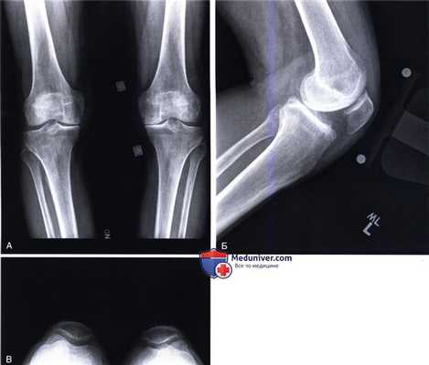
б) Рентгенологическое обследование включает рентгенограммы стоя в прямой проекции, в боковой и аксиальной проекциях (рис. 1):
• Рентгенограммы позволяют оценить выраженность дегенеративных изменений, ось коленного сустава, качество и дефицит костной ткани
в) Для более точного предоперационного планирования необходима рентгенография конечности целиком с захватом тазобедренного, коленного и голеностопного суставов (рис. 2)
• Механическая ось конечности определяется построением прямой линии, соединяющей центр головки бедренной кости через центр коленного сустава с центром голеностопного сустава
г) Стресс-рентгенография в прямой проекции позволяет оценить целостность коллатеральных связок и возможность пассивной коррекции варусной деформации
д) Полезным при предоперационном планировании будет предварительное определение размеров компонентов и глубины опилов с помощью шаблонов (рис. 3):
• Высота проксимального большеберцового опила
• Необходимость дополнительной аугментации медиального плато по выполнении опила
• Высота дистального опила бедра
• Возможные размеры имплантов.

Хирургическая анатомия: анатомия варусного колена
а) При варусной деформации коленного сустава медиальные структуры коленного сустава обычно укорачиваются
б) Поддерживающие/стабилизирующие мягкотканные структуры коленного сустава подразделяют на статические и динамические (рис. 4)
в) Статические стабилизаторы:
• Поверхностная медиальная коллатеральная связка (МКС)
• Глубокая МКС
• Задняя косая связка
• Капсула сустава
г) Динамические стабилизаторы:
• Полуперепончатая мышца
• Гусиная лапка
• Четырехглавая мышца

Положение пациента
а) Пациент укладывается в положение на спине на обычный операционный стол
б) Под все костные выступы конечностей подкладываются мягкие подушки
в) В верхней трети бедра оперируемой конечности накладывается турникет. Он должен располагаться максимально далеко от зоны хирургического доступа
г) Перед обработкой конечности необходимо еще раз выполнить обследование коленного сустава в условиях анестезии, чтобы лучше понять, насколько сустав стабилен и возможности пассивной коррекции варусной деформации

д) Различные приставки к операционному столу помогают придать ноге необходимое во время операции положение:
• Вертикальный боковой упор для бедра и упор для стопы позволяют придать конечности положение сгибания в коленном суставе 90° (рис. 5). Валик под ягодицей позволит устранить наружную ротацию конечности в тазобедренном суставе
• Существует также большое число вариантов различных ногодержателей фабричного производства, которые позволяют более прочно фиксировать конечность во время операции.
Редактор: Искандер Милевски. Дата публикации: 5.4.2020
Информация на сайте подлежит консультации лечащим врачом и не заменяет очной консультации с ним.
См. подробнее в пользовательском соглашении.
Аномалии развития коленного сустава
Аномалии развития коленного сустава - это патологии, обусловленные врожденным недоразвитием, отсутствием, нарушением строения, формы или расположения суставных структур. Обычно сочетаются с другими дефектами костно-мышечной системы. Могут проявляться искривлением конечности, изменением конфигурации и нарушением функций коленного сустава. Диагностируются по результатам осмотра и рентгенографического исследования. Лечение чаще хирургическое: рассечение или перемещение сухожилий, остеотомия, реконструктивные операции на костях. При нерезко выраженной патологии возможна консервативная терапия.
МКБ-10
Общие сведения
Нарушения развития коленного сустава – сравнительно редкая группа врожденных аномалий. По наблюдениям специалистов в области травматологии и ортопедии, обычно отмечается сочетание аномалии коленного сустава с недоразвитием костей и мышц других отделов конечности, однако могут встречаться и изолированные дефекты. Нередко выявляются аналогичные патологические изменения обеих нижних конечностей. Возможно недоразвитие костных структур, врожденные вывихи и подвывихи, контрактуры или, напротив, избыточная подвижность.
Причины
Основной причиной возникновения аномалий развития коленного сустава и других отделов костно-мышечной системы являются генетические нарушения и неблагоприятные внешние воздействия на организм матери во время беременности. В число таких воздействий входят:
- ионизирующее излучение;
- прием некоторых лекарственных средств;
- контакт с токсическими химическими веществами;
- инфекционные заболевания;
- болезни эндокринной систем;.
- нарушения иммунитета.
Характер дефекта зависит от вида генетической мутации либо от времени влияния негативных факторов на организм матери. Если мать подверглась воздействию в первый триместр беременности, наблюдается отсутствие каких-либо структур коленного сустава (пороки закладки), если в более поздние сроки – их неполное развитие
Симптомы аномалий развития
Отсутствие надколенника
Как изолированная аномалия развития диагностируется крайне редко. Обычно выявляется одновременно с недоразвитием бугристости большеберцовой кости, мыщелков бедра и четырехглавой мышцы. Нередко сочетается с врожденным вывихом бедра, дефектом или недоразвитием костей голени и бедра, косолапостью. При изолированной патологии функция конечности практически не нарушена, обнаруживается видимый дефект по передней поверхности сустава. Возможна слабость в ноге и преждевременная утомляемость при продолжительной ходьбе.
Дольчатый надколенник
Наблюдается у 1,5-2% лиц, которым выполнялось рентгенологическое исследование сустава. Обычно становится случайной находкой при обследовании по поводу травм или других заболеваний. В 90% случаев страдают мужчины. При такой аномалии развития надколенник состоит из нескольких фрагментов, а его размеры и наружные очертания остаются нормальными.
Врожденный вывих надколенника
В ряде случаев передается по наследству. Часто отмечается сочетание с другими аномалиями развития конечности. Мальчики страдают вдвое чаще девочек. Пациенты жалуются на быструю утомляемость и неустойчивость при ходьбе. При осмотре выявляется смещение надколенника (как правило, кнаружи) и выраженное напряжение четырехглавой мышцы. Движения в суставе ограничены.
Врожденный вывих голени
Очень редкая аномалия. Обычно выявляется одновременно с двух сторон. Девочки страдают втрое чаще мальчиков. Наблюдается деформация и атрофия мышц, при этом характер поражения зависит от вида смещения голени. При переднем вывихе мыщелки бедра выстоят сзади, при заднем – спереди. Определяется выраженная сгибательная контрактура и чрезмерная боковая подвижность голени. Сгибатели голени укорочены, а разгибатели смещены кпереди. Сустав согнут или переразогнут кпереди.
Дефект обычно сочетается с недоразвитием или отсутствием крестообразных связок, поэтому обнаруживается положительный симптом «выдвижного ящика». Возможно недоразвитие и нарушение прикрепления других мышц. Врожденный вывих голени иногда диагностируется совместно с аномалиями развития голеностопного сустава и отсутствием большеберцовой кости. Различают три стадии вывиха:
- 1 стадия – суставная площадка большеберцовой кости при движениях смещается вперед, ее верхний край «входит» между надколенником и бедренной костью.
- 2 стадия – при сгибании голени задний край суставной поверхности кости упирается в переднюю часть суставной поверхности бедренной кости.
- 3 стадия – при нагрузке большеберцовая кость перемещается не только вперед, но и вверх.
Вальгусная деформация сустава
Порок развития имеет наследственный характер и наблюдается у новорожденных достаточно часто по сравнению с другими дефектами коленного сустава. При осмотре выявляется видимое Х-образное искривление. Степень искривления определяют, измеряя расстояние между внутренними лодыжками в положении стоя (у младенцев – сведя выпрямленные ножки вместе).
Варусная деформация сустава
Варусная деформация также относится к числу достаточно распространенных аномалий развития, хотя встречается реже, чем вальгусное искривление. Как и в предыдущем случае, наблюдается наследственная предрасположенность. В ходе осмотра у больных с О-образной деформацией выявляется расстояние между коленными суставами при выпрямленных ногах и сведенных вместе стопах.
Сгибательная контрактура сустава
Достаточно редкая аномалия. Наблюдается сочетание контрактуры коленного сустава и своеобразной кожной складки в подколенной области. Пассивное и активное разгибание ограничено, степень нарушения опоры зависит от выраженности патологии. Возможно изменение расположения нервов по задней поверхности конечности.
Осложнения
Наиболее распространенным осложнением аномалий коленного сустава является остеоартроз. У пациентов с дольчатым надколенником отмечается склонность к травмам и последующему развитию гонартроза. Даже небольшая О-образная деформация или нелеченый врожденный вывих голени с возрастом могут стать причиной прогрессирующего деформирующего артроза с последующим формированием анкилозов и тяжелых контрактур. При врожденном вывихе надколенника со временем возникает прогрессирующее отклонение голени кнаружи, что также становится причиной артрозных изменений в суставе.
Диагностика
Порок развития обычно диагностируется неонатологом или детским ортопедом. Патологии, не сопровождающиеся формированием внешнего дефекта и нарушением функции конечности, могут обнаруживаться случайно при проведении обследования по поводу травматических повреждений или в связи с жалобами на симптомы, обусловленные вторичным артрозом. Основным диагностическим методом является рентгенография коленного сустава. Рентгенологическая картина определяется видом аномалии:
- Дольчатый надколенник. На снимках чаще выявляется двухдольчатая, реже – трехдольчатая коленная чашечка. Другие суставные структуры – без изменений.
- Вывих надколенника. Обнаруживается смещение и недоразвитие надколенника (уменьшение в размерах, неправильная форма), уплощение и недоразвитие наружных мыщелков голени и бедра.
- Вывих голени. Визуализируется вывих и недоразвитие большеберцовой кости, отклонение и ротация костей голени кнутри или кнаружи (в зависимости от степени недоразвития боковых поверхностей суставной площадки большеберцовой кости).
- Вальгусная деформация. Обычно обнаруживается нарушение процесса окостенения и скошенность наружного мыщелка бедра. При обследовании также назначают рентгенографию тазобедренного сустава, поскольку патология всегда сочетается с вальгусной деформацией шейки бедра.
- Варусная деформация. На рентгенограммах определяется недоразвитие внутреннего мыщелка бедра.
В ряде случаев дополнительно назначается КТ коленного сустава для более точной оценки степени недоразвития костных и мягкотканных структур конечности. При вывихе надколенника на МРТ коленного сустава определяется недоразвитие медиальной широкой мышцы бедра, в некоторых случаях эта мышца отсутствует. Пациентов со сгибательной контрактурой направляют на консультацию к неврологу.
Лечение аномалий развития коленного сустава
При изолированном отсутствии надколенника и дольчатом надколеннике специальные мероприятия не требуются. В остальных случаях тактика лечения определяется видом и выраженностью аномалии развития, преследует целью восстановление полноценной опорности конечности и нормальной биомеханики движений, предупреждение осложнений. Лечение может быть как консервативным, так и оперативным, проводится в отделениях детской, реже – взрослой ортопедии.
Консервативная терапия
При вывихе голени лечение начинается с первых дней жизни. У младенцев осуществляют вытяжение по длине с последующим закрытым вправлением вывиха. Если одномоментное вправление невозможно из-за чрезмерного напряжения четырехглавой мышцы и смещения сгибателей голени, накладывают лейкопластырное вытяжение и назначают миорелаксанты. При нерезко выраженной варусной и вальгусной деформации показано ношение ортопедической обуви, специальный комплекс ЛФК и массаж конечности.
Хирургическое лечение
Возраст проведения вмешательства, характер и объем манипуляций зависят от типа порока развития. В послеоперационном периоде осуществляются реабилитационные мероприятия.
- Оперативную коррекцию вывихов голени производят после достижения 2 лет. Объем реконструктивной операции может существенно варьироваться с учетом характера и степени недоразвития различных структур.
- Вывих надколенника чаще оперируют в старшем возрасте. Собственную связку данной кости перемещают на переднюю поверхность бедра и фиксируют по средней линии.
- При сгибательных контрактурах лечение только хирургическое, проводится в возрасте 5 лет и старше. В ходе операции рассекаются соединительнотканные тяжи в подколенной области, выполняется пластика и (при необходимости) транспозиция сухожилий.
Варусные и вальгусные аномалии обычно устраняют у детей старше 5 лет, однако операции показаны в любом возрасте, в том числе – у пожилых больных, поскольку позволяют предупредить прогрессирование артроза. При вальгусном искривлении производится остеотомия кости, «ответственной» за искривление (обычно бедренной). При варусной деформации осуществляется остеотомия большеберцовой кости, иногда в сочетании с косой остеотомией малоберцовой кости.
Прогноз и профилактика
При своевременном начале лечения и отсутствии грубых деформаций прогноз обычно благоприятный. Тяжелые пороки и нелеченые умеренно выраженные аномалии могут стать причиной инвалидизации больных в результате нарушений функций конечности или вторичных изменений в коленном суставе. Специфическая профилактика не разработана.
Искривление голеней
Искривление голеней характеризуется нарушением правильного контура ног в результате «О»- или «Х»-образной деформации костей либо эстетически неблагоприятного распределения мягких тканей голени. Искривление голеней является не только косметическим дефектом; наличие данной патологии может повлечь за собой неравномерное распределение нагрузки на бедренные и коленные суставы, что чревато развитием остеоартроза или гонартроза. Искривление голеней нередко приводит к развитию плоскостопия.
Более чем 20% женщин высказывают неудовлетворенность формой своей ног, проблема искривления голеней не меньше волнует и мужчин. Считается, что при наличии правильной формы ног, линия, опущенная от головки тазобедренного сустава, пройдет через середину надколенника, а затем между 1 и 2 пальцами. Отклонение ног относительно этой линии ведет к нарушению нормальной биомеханики конечностей. Идеальную форму голеней характеризует наличие 3-х внутренних веретенообразных контуров, ограниченных промежностью, коленными суставами и мягкими тканями верхней трети голени, а также лодыжками.
Классификация искривления голеней
Особенности кривизны голеней являются показаниями к проведению того или иного вида коррекции. Искривление голеней может быть истинным и ложным.
Истинная кривизна голеней является особенностью строения нижних конечностей, связанной с деформацией большеберцовой кости. Различают два варианта истинного искривления голеней: вальгусное («Х»-образное) и варусное («О»-образное).
Сомкнутые ноги при вальгусной кривизне напоминают букву «Х». Незначительное отклонение голеней наружу является нормой и составляет 5 -7 ° у мужчин и до 10° у женщин. У пациентов с вальгусным искривлением голеней наружный угол кривизны больше, при сомкнутых коленных суставах определяется значительное расхождение лодыжек.
При варусной кривизне голени образуют контур буквы «О». Внешне она проявляется дефектом внутреннего контура от сомкнутых лодыжек до промежности. Вариантом варусного искривления голеней служат рекурвированная голень с углом открытым кпереди и вершиной кривизны, направленной назад, и кифозированная голень с углом открытым кзади, а вершиной вперед.
Истинное искривление голеней значительно влияет на функцию ходьбы и состояние стоп. Варусное искривление голеней ведет к обратному подвороту стопы (вальгусному) и постепенному развитию вальгусной деформации стопы и вторичного плоскостопия. Вальгусное искривление голеней еще более способствует развитию плоскостопия.
Ложное искривление голеней вызвано особенностью распределения мягких тканей, которые создают впечатление кривизны ног при отсутствии костной деформации. Ложная кривизна проявляется несмыканием мягких тканей в области голеней. Такой дефект является только эстетическим и устраняется с помощью тренировок мышц голени, в тяжелых случаях – путем имплантации мягких протезов.
Причины искривления голеней
Искривление голеней может являться врожденной деформацией или формироваться в детском возрасте в результате тяжелых форм рахита, воспалительных заболеваний костей, нарушений обмена веществ. Развитию врожденной кривизны голеней способствует наследственный фон, недоношенность и гипоксия плода, болезни беременной. Заболевания, влияющие на минеральный и другие виды обмена веществ, могут усугублять имеющиеся врожденные деформации костной, хрящевой и мышечной тканей опорно-двигательного аппарата, увеличивая степень искривления голеней. Поэтому в раннем возрасте ребенку крайне необходим контроль детского ортопеда за развитием опорно-двигательного аппарата.
В подростковом возрасте искривление голеней может быть вызвано дефицитом кальция и витамина D в пище, недостаточным пребыванием на свежем воздухе и солнце, неадекватными нагрузками на стопы, приводящими к искривлению формы костей голени.
У взрослых пациентов наиболее частой причиной кривизны голеней служат травмы, патологические процессы в суставах большеберцовой или бедренной кости.
Коррекция искривления голеней
Исправление кривизны голеней или контуров икроножных мышц исключительно физическими упражнениями зачастую практически невозможно.
Контурная пластика голеней проводится пациентам с недоразвитием, деформациями или асимметрией мышц голеней. Нередко контурная пластика голеней выполняется культуристам для придания выраженного рельефа контурам голени.
С целью коррекции ложного искривления голеней успешно проводится имплантация протезов икроножных мышц. Современные силиконовые имплантаты голени обладают высокой степенью эластичности и устойчивости к повреждениям, однако после пластики голеней существуют ограничения в спортивных занятиях. Коррекция голеней с помощью силиконовых имплантатов дает великолепный эстетический результат - худые голени приобретают объем, а искривленные - правильный контур.
В случае невозможности исправления кривизны голеней с помощью контурной пластики или имплантации решается вопрос о выполнении ортопедической операции.
Оперативное лечение искривления голеней включает корригирующую остеотомию – рассечение кости и компрессионно - дистракционный остеосинтез по Илизарову, кроме того позволяющие увеличить рост и устранить диспропорцию конечностей. При наличии вальгусного искривления голени – проводится варизирующая остеотомия, при варусном искривлении – вальгизирующая остеотомия.
В ходе остеотомии производится клиновидная резекция участка кости, затем кость сопоставляется и закрепляется с помощью зажимов или винтов. При варусном или О-образном искривлении голени производится остеотомия, и выпиливается клин из большеберцовой кости; в случае вальгусной или Х-образной деформации голени - соответственно из бедренной кости. Остеотомия нередко дополняется проведением реконструктивной хондропластики с целью увеличения стабильности коленного сустава.
Выполнение остеотомии заканчивается наложением стабильно-функционального остеосинтеза по Илизарову. Пациент носит аппарат 4-8 месяцев, а иногда и дольше, в зависимости от степени искривления голени и необходимости удлинения конечности.
Реконструктивные операции на голени должны выполняться после завершения роста костной ткани и всего организма, то есть после 18 лет, когда происходит последний скачок роста. Это позволит провести однократную коррекцию искривления голеней с долговременным и стабильным результатом.
Врожденные аномалии нижних конечностей
Врожденные аномалии нижних конечностей – обруппа пороков развития, включающая в себя патологию области тазобедренного сустава, бедра, коленного сустава, голени, голеностопного сустава и стопы. Может наблюдаться полное отсутствие конечности или какого-то из ее отделов, недоразвитие целого сегмента или одной из костей, входящих в этот сегмент, недоразвитие мышц, сосудов и нервов, соединительнотканные перетяжки и т. д. Возможно сочетание нескольких врожденных аномалий. Диагноз выставляется на основании данных осмотра, результатов рентгенографии, КТ, МРТ и других исследований. Лечение обычно хирургическое. Прогноз зависит от тяжести патологии.
Пороки развития нижних конечностей представляют собой обширную группу аномалий, возникших во внутриутробном периоде и значительно различающихся по тяжести. В практике ортопедии и травматологии встречаются относительно часто и составляют 55% от общего количества врожденных аномалий опорно-двигательного аппарата. Грубые пороки диагностируются сразу после рождения. Мелкие аномалии в ряде случаев могут протекать бессимптомно или почти бессимптомно и становиться случайной находкой при обследовании по поводу других травм и заболеваний. Лечением врожденных аномалий нижних конечностей занимаются детские ортопеды и травматологи.
Аномалии развития могут возникать в результате мутаций, а также действия внешних и внутренних тератогенных факторов. Наиболее распространенными внешними факторами, оказывающими негативное влияние на формирование конечностей, являются инфекционные болезни, нарушения питания, прием ряда медикаментов и радиационные воздействия. К числу внутренних факторов, которые могут привести к нарушению формирования конечностей, относится пожилой возраст матери, патология матки, тяжелые соматические болезни, некоторые гинекологические заболевания и эндокринные нарушения.
Классификация
Пороки, которые возникают вследствие недостаточности формирования:
- Амелия – конечность полностью отсутствует. Возможен апус (отсутствуют обе нижние конечности) и монопус (отсутствует одна нижняя конечность).
- Фокомелия или тюленеобразная конечность. Отсутствуют средние и/или проксимальные части конечности вместе с соответствующими суставами. Может быть двухсторонней или односторонней. Иногда в процесс вовлекаются все конечности, как нижние, так и верхние. Полная фокомелия – голень и бедро отсутствуют, сформированная стопа прикрепляется к туловищу. Дистальная фокомелия – голень отсутствует, стопа прикрепляется к бедру. Проксимальная фокомелия – бедро отсутствует, голень со стопой прикрепляются к туловищу.
- Перомелия – разновидность фокомелии, при которой наблюдается отсутствие части конечности в сочетании с недоразвитием ее дистального отдела (стопы). Полная перомелия – нога отсутствует, в месте ее прикрепления располагается кожный выступ или рудиментарный палец. Неполная – бедро отсутствует или недоразвито, конечность также заканчивается кожным выступом или рудиментарным пальцем.
Кроме того, различают отсутствие (аплазию) малоберцовой или большеберцовой кости, отсутствие фаланг (афалангию), отсутствие пальцев (адактилию), наличие одного пальца на стопе (монодактилию), а также типичную и атипичную формы расщепления стопы из-за отсутствия или недоразвития ее средних отделов.
Пороки, которые возникают вследствие недостаточной дифференцировки:
Сиреномелия – слияние нижних конечностей. Может наблюдаться слияние только мягких тканей либо слияние как мягких тканей, так и некоторых трубчатых костей. Нередко сочетается с отсутствием или недоразвитием костей таза и конечностей. При сиреномелии возможно как отсутствие стоп, так и наличие одной или двух стоп (чаще рудиментарных). Обычно наблюдается одновременное недоразвитие прямой кишки, заднего прохода, мочевой системы, внутренних и наружных половых органов.
Кроме того, в группу пороков, обусловленных недостаточной дифференцировкой, включают синостозы (сращения костей), врожденный вывих бедра, врожденную косолапость, артрогрипоз и некоторые другие аномалии.
Пороки вследствие увеличения количества: увеличение количества нижних конечностей – полимелия, удвоение стопы – диплоподия.
Пороки вследствие недостаточного роста – гипоплазии различных костей нижних конечностей.
Пороки вследствие избыточного роста – гигантизм, возникающий при одностороннем увеличении развитой конечности.
Врожденные перетяжки – тканевые тяжи, возникающие в различных местах конечности и зачастую нарушающие ее функцию.
Виды аномалий
Недоразвитие бедренной кости
Составляет 1,2% от общего количества врожденных деформаций скелета. Часто сочетается с другими аномалиями, в том числе аплазией малоберцовой кости и отсутствием надколенника. Проявляются хромотой. Степень нарушения функции конечности зависит от величины укорочения и тяжести порока развития. При поражении диафиза смежные суставы, как правило, не изменены, их функция сохранена в полном объеме. При поражении дистальных отделов бедра обычно возникают контрактуры. Конечность ротирована, укорочена. Таз перекошен и опущен в сторону дефекта. Ягодичная складка сглажена или отсутствует. Мышцы ягодицы и бедра атрофированы, стопа в положении эквинуса. Рентгенография бедренной кости свидетельствует об укорочении и недоразвитии сегмента.
Лечение хирургическое, направленное на восстановление длины конечности. В раннем возрасте выполняют операции для стимуляции ростковых зон. Начиная с 4-5 лет, осуществляют остеотомию в сочетании с наложением дистракционного аппарата. Если укорочение настолько велико, что восстановление длины конечности не представляется возможным, необходима ампутация стопы, иногда – в сочетании с артродезом коленного сустава (для создания длинной функциональной культи). При незначительном укорочении возможно использование специальной обуви и различных ортопедических аппаратов.
Врожденный вывих бедра и дисплазия тазобедренного сустава
Врожденный вывих бедра наблюдается относительно редко, обычно обнаруживаются различные степени дисплазии. Патология, как правило, односторонняя. Девочки страдают в 7 раз чаще мальчиков. В 5% случаев выявляется прямая передача порока по наследству. Проявляется хромотой, ротацией и укорочением конечности. При двухсторонней аномалии возникает утиная походка. Рентгенография тазобедренного сустава свидетельствует об уменьшении и уплощении головки и ее стоянии выше вертлужной впадины. Лечение в раннем возрасте консервативное с использованием различных аппаратов, специальных трусиков и подушечек. При неустранимых вывихах по достижении 2-3 лет проводится операция.
Вальгусная и варусная деформация бедра
Развивается при нарушении оссификации шейки или внутриутробном повреждении хряща, одинаково часто наблюдается у девочек и мальчиков, в 30% выявляется с двух сторон. Вальгусная деформация, как правило, протекает бессимптомно. Варусное искривление сопровождается хромотой, ограничением движений и быстрой утомляемостью конечности. Клинические проявления напоминают врожденный вывих бедра. При рентгенографии определяется задержка окостенения головки, укорочение и истончение бедренной кости. Шеечно-диафизарный угол уменьшен. Лечение хирургическое, выполняется корригирующая остеотомия для увеличения шеечно-диафизарного угла.
Встречается достаточно редко. Имеется наследственная предрасположенность. Может сочетаться с другими пороками, мальчики страдают вдвое чаще девочек. Врожденный вывих надколенника проявляется быстрой утомляемостью конечности, неустойчивой походкой и частыми падениями. Возможна контрактура. Без лечения проблема с возрастом усугубляется, возникает деформирующий артроз, развивается вальгусное искривление конечности. Рентгенография коленного сустава свидетельствует о недоразвитии и смещении надколенника (чаще кнаружи) и недоразвитии наружного мыщелка. Лечение хирургическое – собственную связку надколенника перемещают и фиксируют в срединном положении.
Часто сочетается с другими аномалиями развития коленного сустава (недоразвитием суставных концов большеберцовой и бедренной кости), с вывихом бедра и голени, косолапостью и прочими пороками. Течение изолированной патологии обычно бессимптомное, при повышенных нагрузках возможна слабость и утомляемость конечности. При изолированной аномалии лечение не требуется.
Выявляется редко, обычно носит двухсторонний характер. Сопровождается контрактурой и деформацией колена. Тип деформации зависит от вида смещения костей голени. Мышцы бедра и голени недоразвиты, часто имеют аномальные точки прикрепления. Патология нередко сочетается с аномалиями развития голеностопного сустава, отсутствием или недоразвитием большеберцовой кости. Лечение в раннем возрасте консервативное (вытяжение с последующим вправлением). В возрасте 2 года и старше проводятся операции – открытое вправление вывиха, при необходимости в сочетании с коррекцией сопутствующей скелетной патологии.
Вальгусные и варусные деформации коленного сустава
Наблюдаются редко, могут передаваться по наследству. Обычно сочетаются с деформацией шейки бедра и плоскостопием. Становятся причиной раннего тяжелого гонартроза. В возрасте до 5-6 лет проводится коррекция с использованием консервативных методов, в последующем осуществляется оперативное вмешательство. В зависимости от тяжести патологии проводят изолированную остеотомию в области надмыщелков бедренной кости либо сочетают остеотомию бедра с желобковой, клиновидной или поперечной остеотомией большеберцовой кости.
Аплазия или недоразвитие большеберцовой кости
Сопровождается укорочением и искривлением конечности. Стопа супинирована, находится в положении эквинуса или подвывиха. Опора нарушена. Возможно сочетание с недоразвитием или отсутствием костей стопы, недоразвитием или вывихом надколенника, атрофией и нарушением развития мышц голени и бедра. Детям до 3 лет проводится консервативная терапия для восстановления нормального положения стопы. В последующем выполняется удлинение голени с использованием дистракционных аппаратов.
Ложный сустав большеберцовой кости
Может быть истинным или возникшим в месте расположения врожденной кисты. Выявляется патологическая подвижность, углообразное или дугообразное искривление в области ложного сустава, атрофия мышц, уплотнение и рубцовые изменения кожи, укорочение и утончение конечности. Рентгенография костей голени свидетельствует об остеопорозе. Лечение хирургическое с использованием костных трансплантатов или аппарата Илизарова.
3. К вопросу о классификации врожденных аномалий развития нижних конечностей, сопровождающихся укорочением/ Попков Д.А.// Гений ортопедии - 2004 - №1
Варусное колено и наружное отклонение голени
Варусная деформация коленного сустава (genu varum): атлас фотографий
Genu varum, называемая также «О-образной деформацией нижних конечностей», представляет собой нарушение нормальной оси конечности, при котором бедренно-большеберцовый угол не достигает нормальных 7-10° вальгусного отклонения. Это часто встречающаяся в детском возрасте деформация, которая в процессе развития постепенно исчезает самостоятельно.
Подростковый идиопатический вариант genu varum может иметь семейный характер или встречаться спорадически. В силу ряда причин может развиваться вторичная варусная деформация, такими причинами могут быть травма или любое другое заболевание (переломы мыщелков бедра и большеберцовой кости, спонтанный остеонекроз внутреннего мыщелка бедра). Нарушение роста эпифизарной пластинки при остеомиелите или дисхондроплазии, деформирующем остите и остеомаляции также могут приводить к развитию варусной деформации коленного сустава.
При этих состояниях наиболее частой жалобой является боль в области передне-внутренней части коленного сустава.
Тяжелая варусная деформация является причиной раннего развития остеоартроза коленного сустава, связанного с перегрузкой внутреннего отдела сустава.
Болезнь Блаунта (tibia vara epiphysarea) развивается вследствие нарушения оссификации внутреннего отдела проксимальной части зоны роста большеберцовой кости. Такая деформация носит прогрессирующий характер и приводит в варусному отклонению на уровне проксимального метафиза большеберцовой кости, обусловленному необратимыми нарушениями роста расположенной под медиальным отделом эпифиза физарной зоны.
Считается, что причиной болезни Блаунта является биомеханическая перегрузка проксимальной ростковой зоны большеберцовой кости, обусловленная статической варусной установкой коленного сустава и избыточными компрессирующими силами, действующими на внутреннюю часть проксимального метафиза большеберцовой кости и вызывающими нарушение процесса энхондрального костеобразования. Это заболевание встречается у детей в период роста в возрасте 2-10 лет.
Заболеваемость составляет примерно 7 случаев на 100000 детей, преимущественно болеют мальчики, более высокому риску подвержены дети, страдающие ожирением, и представители черной расы.
Внешний вид спереди (а) и сзади (б) при типичном подростковом идиопатическом genu varum. Рентгенограмма коленных суставов в прямой проекции пациента на предыдущем рисунке. Болезнь Блаунта. Аномальный характер роста внутренней зоны проксимального отдела диафиза, эпифиза и метафиза большеберцовой кости приводит к развитию прогрессирующей варусной деформации голени сразу ниже коленного сустава. Внешний вид спереди (а) и рентгенограмма (б) восьмилетней девочки с болензью Блаунта. Обратите внимание на закрытые зоны роста в медиальной части метафиза. Вторичная варусная деформация коленного сустава (а), обусловленная у этой девушки повреждением ростковой зоны, полученным в детстве. Изменение нормальной оси конечности хорошо видно на рентгенограмме (б), на МР-скане также хорошо прослеживается частичное закрытие медиальной части ростковой зоны (в).
Читайте также:
- Идиопатическая гиперсомния центрального происхождения. Парасомнии.
- Методы терапии атопического дерматита
- Обструкция протезированного клапана сердца. Регургитация через протезированный клапан сердца
- Пенициллинотерапия гнойного менингита. Субокципитальный метод введения антибиотика
- Патогенез инфаркта миокарда. Механизм развития инфаркта миокарда.
