Воспалительные линейные бородавчатые эпидермальные невусы. Дермальный эпидермальный невус.
Добавил пользователь Евгений Кузнецов Обновлено: 22.11.2025
Воспалительный линейный веррукозный эпидермальный невус это редкое заболевание кожа который представлен как несколько дискретных красных папулы которые имеют тенденцию сливаться в линейные бляшки, следующие за Линии Блашко. Бляшки могут быть слегка бородавчатыми (псориоподобными) или чешуйчатыми (экзема). ILVEN вызывается соматическими мутации что приводит к генетическим мозаика. [1] [2] [3] Лекарства нет, но различные методы лечения могут облегчить симптомы.
Содержание
Классификация
ILVEN - это заболевание, которое обычно поражает только одну сторону тела (одностороннее). Обычно поражается левая сторона пациента. Состояние стойкое и формируется по характерным линиям. Обычно он появляется на конечностях в младенчестве или детстве. Альтман и Мехреган описали шесть характерных черт ILVEN: (1) ранний возраст начала, (2) преобладание у женщин (соотношение женщин и мужчин 4: 1), (3) частое поражение левой ноги, (4) зуд, или «зуд» (5) выраженная невосприимчивость к терапии и (6) характерный псориазоподобный и воспалительный гистологический вид. [4]
Генетика
Большинство случаев носят спорадический характер, но описан семейный случай, когда заболевание встречается у матери и ее дочери. [ нужна цитата ]
Также было предложено, чтобы активация аутосомно-доминантный летальная мутация, которая выживает благодаря мозаицизму, может быть причиной поражений. Мутировавшие клетки могут выжить благодаря близости нормальных клеток. Другая теория заключается в том, что ретроперемещаемый элементы могут быть причиной всех кожных заболеваний по линиям Блашко. У некоторых собак есть разновидность шерсти, основанная на аналогичном механизме. [5]
Классификация болезни во многом зависит от внешнего вида и расположения поражений (фенотип характеристики). Поскольку это редкое состояние, возможно, что более одного генотипа могут вызвать подобный фенотип. Были задействованы разные гены, но количество пациентов, изученных в каждом случае, очень мало. [ нужна цитата ] Есть некоторые свидетельства того, что интерлейкины 1 и 6, фактор некроза опухоли α и молекула межклеточной адгезии-1 активируются в ILVEN, подобно псориазу.
Гистопатология
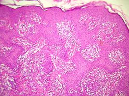
-Бляшки гистологически характеризуются гиперкератоз который представляет собой утолщение внешнего слоя кожи. Гиперкератоз часто связан с аномальным количеством кератин производство. Также характерен умеренный акантоз утолщение шиповидный слой с удлинением ретие хребты. [ нужна цитата ]
- Характерный гистологический признак - регулярное чередование слегка приподнятых паракератотический районы без зернистый слой (гипогранулез ) и слегка подавленный ортокератотический участки с выраженным зернистым слоем (гипергранулез ). Ортокератозный гиперкератоз характеризуется гиперкератозом безъядерных клеток. Паракератотический гиперкератоз характеризуется гиперкератозом с ядросодержащими клетками.
- Ортокератотическая область имеет узор плетения корзины.
- На дерме видны россыпи хронического воспалительного инфильтрата (Микроабсцесс Манро ) иногда имеет губчатый вид.
Это очень похоже на линейный псориаз, но с помощью иммуногистохимических анализов было отмечено, что заболевания являются отдельными сущностями. [6]
Иммуногистохимия
У пациентов с ILVEN с сопутствующим псориазом и без него количество Ki-67-положительных ядер, как правило, было ниже, чем обычно при псориазе. [6] Кроме того, количество кератин-10-положительных клеток и экспрессия HLA-DR были выше по сравнению с псориазом. В ILVEN без ассоциированного псориаза все субпопуляции Т-клеток и клетки, экспрессирующие NK-рецепторы, были снижены по сравнению с псориазом, за исключением клеток CD45RA +. В частности, плотность CD8 +, CD45RO + и CD2 +, CD94 и CD161 показала заметную разницу между ILVEN без псориаза и самим псориазом. Т-лимфоциты, влияющие на патогенез псориаза, заметно уменьшаются в ILVEN без псориаза по сравнению с псориазом.
Сообщенные методы лечения включают местные агенты, дермабразия, криотерапия, лазерная терапия и хирургическое удаление. Эти методы лечения имеют высокую частоту неудач из-за неполного купирования симптомов, рубцевания или рецидива. [ нужна цитата ] .
Несмотря на то, что ILVEN похож по внешнему виду, он не поддается лечению, влияющему на псориаз. С ILVEN может быть очень трудно жить, но его можно лечить. Самый эффективный метод - удаление очага поражения на всю толщину. [7] С помощью CO2-лазера можно восстановить поверхность кожи, придав ей ровный, гладкий и нормальный вид, но не удаляет поражение.
История
Состояние, позднее известное как ILVEN, впервые было описано Пол Герсон Унна в 1896 г. [8] ILVEN очень похож на псориаз. Однако только в 1971 году это расстройство было описано и четко определено как отдельная сущность Альтманом и Мехреганом в исследовании 25 пациентов. [4] Дюпре и Кристол описали гистопатологические критерии в 1977 году. [9]
Эпидемиология
ILVEN обычно появляется в младенчестве или раннем детстве. Состояние очень редко начинается в зрелом возрасте. ILVEN встречается преимущественно у женщин (соотношение женщин и мужчин 4: 1) без расового преобладания.
Воспалительные линейные бородавчатые эпидермальные невусы. Дермальный эпидермальный невус.
Воспалительные линейные бородавчатые эпидермальные невусы. Дермальный эпидермальный невус.
Воспалительные линейные бородавчатые эпидермальные невусы (син.: воспалительные эпидермальные невусы) характеризуются наличием линейных гиперкератотических элементов в сочетании с воспалительными изменениями. По гистологическим особенностями эта группа эпидермальных невусов (акантоз, папилломатоз, очаговый паракератоз, лимфоцитарно-гистиоцитарный инфильтрат в сосочковом слое дермы) сходна с псориазом, но без микроабсцессов Манро (W.J. Munro). Иногда очаговым спонгиозом и отеком дермы напоминает экзему.
Высыпания возникают в детстве и затем постепенно увеличиваются. Чаше поражаются женщины. Обычно элементы располагаются в области нижних конечностей.
Воспалительный линейный бородавчатый эпидермальный невус иногда ассоциируется с мышечными и неврологическими (гидроцефалия и др.) нарушениями.
Выделяют три варианта этого типа эпидермального невуса: дермальный и лихеноидный эпидермальные невусы, невоидный псориаз.

Дермальный эпидермальный невус
Дермальный эпидермальный невус (син.: воспалительный линейный бородавчатый эпидермальный невус; экзематозный эпидермальный невус) клинически проявляется зудящими линейными элементами, состоящими и псориазиформных папул, чаще располагающихся в области нижних конечностей, иногда на всем протяжении от ягодиц до стоп. Может быть двусторонним. Возникает в течение первых 5 лет жизни, обычно в первые 6 месяцев, редко — в старшем возрасте. Отличается резистентностью к обычным методам лечения, хотя иногда наблюдается спонтанная инволюция.
Дермальный эпидермальный невус характеризуется специфической гистологической картиной: столбиками гипергранулеза с ортокератическим гиперкератозом, чередующимися со столбиками гранулеза и параке-ратотического гиперкератоза, наличием лимфоцитарного инфильтрата в сосочковом слое дермы; иногда присутствие спонгиоза придает сходство с хронической псориазиформной экземой.
Дермальный эпидермальный невус следует дифференцировать с псориатическими высыпаниями, развившимися в результате изоморфной реакции, с линейными формами простого хронического лишая, блестящим лишаем, болезнью Дарье. Дифференциальная диагностика с псориазом сложна и на практике зачастую невозможна. Однако при псориазе зуд не столь выражен, сыпь регрессирует под влиянием антипсориатической терапии, в частности, ультрафиолетового излучения, при электрофорезе в полиакриловом геле выявляется фиброз рогового слоя. В то же время следует учитывать, что иногда эпидермальный невус может сочетаться с псориазом.
Блестящий лишай также отличается отсутствием зуда, быстрым развитием (обычно в течение первого года жизни) и более лихеноидной клинической и гистологической картиной.
Лихеноидный эпидермальный невус
Лихеноидный эпидермальный невус напоминает бородавчатый эпидермальный невус. однако гистологически, наряду с картиной бородавчатого эпидермального невуса, наблюдается характерный лимфоцитарный инфильтрат в виде ленты в области дермо-эпидермального соединения, а также тельца Civatte, дермальные меланофаги.
Невоидный псориаз
В настоящее время высказано предположение, что невоидный псориаз может иногда встречаться в «невоидной» форме, отражая мозаицизм в гене, ответственном за развитие псориаза. Кожные элементы при нем неотличимы от проявлений вульгарного псориаза, за исключением мест локализации. Так же как при дермальном эпидермальном невусе, и в отличие от псориаза, отсутствует эффект от ультрафиолетового облучения.
Информация на сайте подлежит консультации лечащим врачом и не заменяет очной консультации с ним.
См. подробнее в пользовательском соглашении.
Воспалительные линейные бородавчатые эпидермальные невусы. Дермальный эпидермальный невус.
Уфимцева М.А. 3 Спирин А.В. 3 Гагиев В.В. 2 Чернядьев С.А. 3 Бочкарёв Ю.М. 3 Шубина А.С. 1, 3 Ворожейкина И.Н. 2 Никулин И.П. 2 Савченко Н.В. 3 Хороводников И.В. 3
Эпидермальные невусы (ЭН) – кожные гамартомы, характеризующиеся множеством клинических форм, сходным гистологическим строением. Эпидермальные невусы в 80,0% случаев отмечаются в первый год жизни, носят спорадический характер, но могут проявляться в течение жизни. В таком случае необходимо проводить дифференциальную диагностику с унилатеральными дерматозами, такими как красный плоский лишай, псориаз, склеродермия, нейродермит, гемиатрофия Ромберга, витилиго, экзема, болезнь Шамберга, склероатрофический лихен, первичный амилоидоз кожи. Целью данного исследования стала демонстрация клинических случаев эпидермальных невусов, описание клинической, патоморфологической картины и трудностей диагностики в качестве иллюстрации междисциплинарной преемственности дерматовенерологов и патологоанатомов при установлении диагноза эпидермального невуса. Представлен клинический случай пациента восемнадцати лет с подтвержденным диагнозом линейного бородавчатого позднего эпидермального воспалительного невуса. Описаны клиническая, патоморфологическая картина и трудности диагностики в связи с путаницей термина «невус», используемого в литературе для обозначения как доброкачественных меланоцитарных опухолей, так и пороков развития кожи. При диагностике эпидермального невуса морфологи должны учитывать клинические данные, и прежде всего макроскопическую картину, не ограничиваясь только данными гистологии, которые не имеют признаков специфичности. Необходимо повышать междисциплинарную преемственность дерматовенерологов и патологоанатомов при установлении диагноза эпидермального невуса.
1. Елькин В.Д., Митрюковский Л.С., Лысов А.Ю. Практическая дерматоонкология: ил. справ. руководство по опухолям кожи, опухолеподобным заболеваниям и связанным с ними синдромами: справочное издание. М.: Практическая медицина. 2014. 480 с.
2. Молочков В.А., Молочков А.В., Хлебникова А.Н., Кунцевич Ж.С. Эпителиальные опухоли кожи. М.: Издательство БИНОМ. 2012. 224 с.
3. Wollina U., Tchernev G. ILVEN - complete remission after administration of topical corticosteroid (case review). Georgian Med News. 2017. no 263. P. 10-13.
4. Guerouaz N., Hassam B. Linear inflammatory verrucous epidermal nevus. Pan. Afr. Med. J. 2015. no 22. Р. 177. DOI: 10.11604/pamj.2015.22.177.7451.
6. Gianfaldoni S., Tchernev G., Gianfaldoni R., Wollina U., Lotti T. A Case of “Inflammatory Linear Verrucous Epidermal Nevus” (ILVEN) Treated with CO2 Laser Ablation. Open Access Maced. J. Med. Sci. 2017. no 5. P. 454-457.
7. Gon Airton dos Santos, Minelli Lorivaldo, Franzon Paula Guiomar Ubirajara. Case for diagnosis. An Bras Dermatol. 2010. no 85. Р. 729-731.
8. Ravi Prakash S.M., Gupta S., Kamarthi N., Goel S. Inflammatory linear verrucous epidermal nevus and regional odontodysplasia: A rare sorority. Indian J Dent. 2015. no 6. P. 203-206. DOI: 10.4103/0975-962X.160348.
9. Кемпф В., Ханчке М., Кутцнер Х., Бургдорф В. Дерматопатология: пер. с нем. М.: Мед. лит. 2015. 304 с.
10. Тлиш М.М., Сычева Н. ., Осмоловская П.С., Псавок Ф.А. Линейный эпидермальный веррукозный воспалительный невус (ILVEN) // Вестник дерматологии и венерологии. 2017. № 3. С. 53-57. DOI: 10.25208/0042-4609-2017-0-3-53-57.
Термин «эпидермальный невус» (ЭН) объединяет ряд кожных гамартом с общими клиническими и гистологическими признаками, это пороки развития, сформированные зрелыми или почти зрелыми компонентами эпидермиса, сальных желез, волосяных фолликулов, апокринных и эккринных потовых желез и их комбинациями [1; 2].
ЭН в 80,0% случаев отмечаются в первый год жизни, носят спорадический характер, крайне редко возникают у взрослых. В таких случаях необходимо проводить дифференциальную диагностику ЭН с унилатеральными дерматозами. Унилатеральные дерматозы – это приобретенные кожные заболевания, высыпания при которых имеют одностороннюю локализацию, при этом сохраняются классические клинические и гистологические признаки, характерные для данной патологии. Унилатеральное расположение высыпаний описано при красном плоском лишае, псориазе, склеродермии, нейродермите, гемиатрофии Ромберга, витилиго, экземе, болезни Шамберга, склероатрофическом лихене, первичном амилоидозе кожи [3; 4].
Описание клинического случая
Пациент М., 18 лет, студент военного института внутренних войск, направлен на консультацию для уточнения характера дерматоза.
Жалоб не предъявлял, впервые высыпания на коже груди появились 6 месяцев назад, постепенно количество элементов увеличивалось и распространилось на внутреннюю поверхность предплечья. Наследственность не отягощена. Дерматовенерологом был установлен диагноз линеарного бородавчатого эпидермального невуса грудной клетки слева, левой верхней конечности. Проведено гистологическое исследование элемента с внутренней поверхности предплечья. Получено следующее патоморфологическое заключение: «Фибропапиллома. В строме картина хронического продуктивного воспаления, эпидермис с явлениями акантоза. Структуры невуса при исследовании серийных срезов не определяются». Пациент направлен на консультацию на кафедру кожных и венерических болезней УГМУ с целью уточнения характера дерматоза и для дальнейшего определения категории годности к военной службе.
Status specialis: на коже передней грудной клетки слева по линиям Блашко с переходом на подмышечную область, внутреннюю поверхность предплечья имеются мягкие тесно прилегающие друг к другу папулы светло-коричневого цвета (рисунок 1а).
В связи с несоответствием патоморфологического заключения клиническим данным гистологические препараты были проконсультированы на кафедре патологической анатомии УГМУ (доцент А.В. Спирин). Результат пересмотра гистологических препаратов: «В биоптате фрагмент кожи, состоящий из множественных линейно сгруппированных папилломатозных образований неправильной формы, тесно прилежащих друг к другу (рисунок 1б), с акантозом (рисунок 3г), мелкими внутриэпидермальными роговыми кистами (рисунок 1в) и выраженным диффузным воспалительным инфильтратом в дерме (рисунок 1г). Клеточный состав инфильтрата представлен лимфоцитами, плазматическими клетками и макрофагами. Элементы меланоцитарного невуса («невусные клетки») отсутствуют.
Заключение: морфологическая картина не имеет черт специфичности, что не позволяет высказаться об ее нозологической принадлежности. Однако, с учетом макроскопической картины (рисунок 1а), можно говорить о линеарном (линейном) бородавчатом позднем эпидермальном воспалительном невусе (ILVEN)».


Рис. 1. Патоморфология ЭН у пациента М.: а) макроскопическая картина; б) папилломатоз. х 32; в) роговые кисты. х100; г) выраженный акантоз и продуктивное воспаление в дерме. х70 (б, в, г – окраска Г+Э)
Таким образом, одной из особенностей представленного наблюдения является неверная верификация характера патологического процесса при патоморфологическом исследовании биоптата кожи. Дело в том, что практические морфологи, как правило, имеют дело с диагностикой меланоцитарных невусов (МН), в связи с чем диагноз «невус» ассоциируется у них именно с МН. Поэтому в первом заключении имеется указание на отсутствие «структуры невуса» и устанавливается диагноз фибропапилломы. Говоря о терминологии, следует отметить, что существует путаница в смысловом понимании термина «невус» (Червонная Л.В., 2014), которым принято обозначать как МН, так и ЭН, хотя предшественником невусной клетки является меланоцит, а ЭН возникают из плюрипотентных герминативных клеток базального слоя эмбрионального эпидермиса. Несмотря на различие в гистогенезе этих образований, в литературе тем не менее существует устоявшаяся традиция называть пороки развития невусами. По мнению автора, в таких случаях термин «невус» целесообразно заключать в кавычки [5]. Следовательно, при формулировании заключения морфологи должны учитывать клинические данные, и прежде всего макроскопическую картину, не ограничиваясь только данными гистологии, которые, как указано во втором заключении, не имеют черт специфичности.
Линейный бородавчатый эпидермальный воспалительный невус (ILVEN) впервые описан Унной в 1896 году [6]. ILVEN диагностируется при клиническом и гистологическом исследовании. Классические клинические критерии диагностики, предложенные Альтманом и Мехреганом в 1971 году и позднее измененные Морагом и Метцкером в 1985 году, включают: ранний возраст начала заболевания, преобладание у женщин, частое поражение левой ноги, зуд, характерный псориазоподобный вид и выраженную рефрактерность к терапии [7].
По клинической картине ЭН бывают солитарными и множественными, носят линейный характер, располагаются чаще на сгибательной поверхности конечностей, образованы пигментированными бородавчатыми узелками, редко поражают слизистые оболочки. Выделяют одностороннюю (nevus unius lateralis) и диссеминированную (системный эпидермальный невус) разновидности, а также ряд клинических вариантов ЭН: папилломатозный мягкий эпидермальный невус, бородавчатый эпидермальный невус (рисунки 2, 3), акантолитический эпидермальный невус, гиперкератоз невиформный околососкового кружка и соска молочной железы, синдром эпидермального невуса 4. Существуют другие варианты ЭН, отличающиеся морфологический структурой, включают в себя невус сальных желёз (рисунок 4), комедональный невус, сирингоцистому, невус Беккера (рисунок 5) [8].


Рис. 2 а, б. Бородавчатый эпидермальный невус: унилатеральные, бляшковидные светло-коричневые пятнистые высыпания на коже туловища слева, веррукозные в подмышечной области, не пересекающие среднюю линию туловища (фото из архива А.С. Шубиной)


Рис. 3 а, б. Бородавчатый эпидермальный невус: пятнистые,
веррукозные высыпания на коже шеи слева, сгибательной поверхности левой конечности (фото из архива М.А. Уфимцевой)

Рис. 4. Невус сальных желёз: на передней поверхности грудной клетки веррукозные папулы жёлто-розового цвета (фото из архива А.С. Шубиной)

Рис. 5. Невус Беккера: в правой лопаточной области с переходом на плечо очаг гиперпигментации в виде пятна неправильной формы, с нечеткими границами
(фото из архива А.С. Шубиной)
При патоморфологической диагностике ЭН необходимо учитывать наличие следующих неспецифических гистологических признаков: гиперкератоз, акантоз и папилломатоз, а при диагностике воспалительного линейного бородавчатого ЭН – очаговый паракератоз и неспецифический мононуклеарный инфильтрат в сосочковом слое дермы.
При мономорфных папулезных высыпаниях в перечень дифференциальной диагностики, кроме того, необходимо включать унилатеральные формы псориаза, красного плоского лишая. Для псориаза характерны гиперпаракератоз, скопления нейтрофильных гранулоцитов в шиповатом слое (пустулы Когоя) и в области гиперкератотического ороговения (микроабсцессы Мунро), очаговая потеря зернистого слоя, побледнение эпидермиса и уплощение надсосочкового слоя с истончением эпидермиса над удлиненными сосочками дермы, однообразный акантоз с удлинением межсосочковых клиньев эпидермиса, эктатические капилляры в удлиненных сосочках дермы (папилломатоз). Поверхностный периваскулярный лимфоцитарный инфильтрат с примесью отдельных нейтрофильных гранулоцитов. Красный плоский лишай характеризуется следующими признаками: ограниченный гиперкератоз, V-образное утолщение зернистого слоя, акантоз с межсосочковыми клиньями эпидермиса в форме зубьев пилы, дерматит пограничной зоны с вакуольной дегенерацией дермо-эпидермального соединения и апоптотическими кератиноцитами в базальном слое (тела Givatte), субэпидермальный полосовидный преимущественно лимфоцитарный инфильтрат [5; 9].
Воспалительный линейный веррукозный эпидермальный невус вызван соматическими мутациями, которые приводят к генетическому мозаицизму, и, хотя его физиопатология до сих пор неясна, считается, что это может быть связано с увеличением продукции интерлейкинов-1 и 6, фактора некроза опухоли-альфа, и молекула межклеточной адгезии [7; 10].
В литературе описаны случаи сочетания ILVEN с другими дефектами развития, в особенности центральной нервной системы, зрительной и скелетной систем. S.M. Ravi Prakash et al. (2015) представляют клинический случай пациента с синдромом воспалительного линейного веррукозного эпидермального невуса, сопровождающегося региональной одонтодисплазией, которая представляет собой наследственные нарушения структуры зубов по типу phantom teeth [8]. Это подчеркивает важность тщательного обследования детей с ЭН с участием невролога, офтальмолога, ортопеда и стоматолога для планирования тактики ведения таких пациентов.
Таким образом, представленный клинический случай заслуживает внимания как редкий дерматоз и, кроме того, указывает на необходимость повышения междисциплинарной преемственности между дерматовенерологами и патологоанатомами при постановке диагноза ЭН.
Невус
Невус (пигментное пятно, пигментный невус, меланоцитарный невус) – доброкачественное новообразование, которое в большинстве случаев является врожденным пороком развития кожи.
На ограниченном участке образуется скопление особых клеток – невоцитов, которые содержат большое количество пигмента меланина.
Невоциты являются патологически измененными меланоцитами – клетками, которые в норме синтезируют меланин и придают окраску коже. Невоклеточный невус – синоним пигментного невуса. Родинка и невус – также идентичные понятия (сам термин происходит от латинского слова naevus – "родинка").
Лечением и профилактикой невусов занимается врач-дерматолог.
Виды невусов:

Меланоцитарные невусы отличаются большим разнообразием форм, цветов и размеров. До настоящего времени среди врачей нет однозначного мнения по поводу того, какие образования следует обозначать словом "невус".
Поэтому иногда невусами называют доброкачественные кожные опухоли, в которых не содержится пигмент меланин: Гемангиомы – сосудистые опухоли.
Особенно распространено понятие "клубничный невус" - гемангиома красного цвета, которая имеется у большинства новорожденных детей, и проходит в течение первого года жизни.
Также многие врачи оперируют таким понятием, как сосудистый невус.
Невусы сальных желез – в большинстве случаев расположены на голове, также не содержат меланина. Такое новообразование известно как сальный невус.
Иногда врожденными невусами у детей также называют тератомы (гамартомы), которые, по сути, являются врожденными опухолями, состоящими не только из кожи, но и из всех остальных тканей.
Анемичный невус – разновидность сосудистого невуса. Это участок кожи, на котором недоразвиты сосуды, поэтому он имеет более светлую окраску.
Настоящий меланоформный невус – это образование, которое происходит из измененных клеток-меланоцитов – невоцитов.
Различают следующие виды невусов:
Невоклеточный пограничный невус – простое пятно, которое не возвышается на коже, или слегка выступает над ее поверхностью. Пограничный невус имеет четкие контуры и коричневую окраску. Он может иметь различные размеры и располагаться на разных частях тела. При данном виде меланоформного невуса скопление клеток с пигментом находится между верхним (эпидермис) и средним (дерма) слоем коже – такое расположение обозначается как внутриэпидермальный невус.
Интрадермальный невус – наиболее распространенная разновидность меланоформного невуса. Он так называется, потому что скопление пигментных клеток находится в толще среднего слоя кожи – дерме.
Пигментный сложный невус кожи. Такой невус имеет вид родинки: он возвышается на кожей и может иметь различную окраску, от светло-коричневой до практически черной. Часто на нем растут жесткие волосы. Смешанный невус имеет гладкую поверхность, и может находиться на любой части тела.

Внутридермальный невус. Также выступает над поверхностью кожи, но, в отличие от сложного невуса, имеет неровную, бугристую поверхность. Практически всегда расположен на голове или на шее, очень редко – на туловище. В большинстве случаев внутриэпидермальный невус появляется в возрасте 10 – 30 лет.
Со временем он как бы отделяется от кожи, и располагается на тонкой ножке. Часто затем он превращается в папилломатозный невус (бородавчатый невус). В нем образуется большое количество неровностей, складок и щелей, в которых скапливаются отмершие клетки верхнего слоя. Здесь могут скапливаться болезнетворные организмы, которые затем приводят к инфекционным процессам.
Голубой невус имеет характерную окраску, так как он связан с отложениями меланина под кожей. Голубые невусы характерны в основном для азиатских национальностей. Они немного возвышаются над кожей, плотные на ощупь, их поверхность всегда гладкая, на ней никогда не растут волосы. Голубой невус имеет небольшую величину, чаще всего не более пяти миллиметров.
Базальный невус также имеет вид родинки, но чаще всего он обладает обычным телесным цветом. Это – беспигментный невус.
Невус сетона (невус сеттона, невус саттона, гало невус) – особая разновидность дермального невуса, когда вокруг пигментного пятна находится участок кожи, полностью лишенный пигмента. Происхождение таких невусов пока до конца не изучено. Они часто сочетаются с витилиго (потерей кожей пигментов), меланомами. Чаще всего в области гало невуса имеется небольшое воспаление в коже.
Невус Ота. Располагается на лице, с одной стороны, в виде "грязных" пятен.
Невус Ита напоминает невус Ота, но он находится под ключицей, на груди, в области лопатки и шеи. Обе этих разновидности встречаются в основном у представителей азиатских народов.
Папилломатозный невус (бородавчатый невус). Похожий на папиллому невус часто имеет большие размеры, находится на голове или сзади на шее, но может располагаться и в иных местах. Он имеет неровную поверхность, как бородавка. Часто на нем растут волосы.
Невус Беккера (волосяной эпидермальный невус) – чаще сего возникает у мальчиков и юношей 10 – 15 лет. Сначала на теле образуется несколько мелких пятен, которые имеют светло-коричневую или коричневую окраску, и находятся рядом. Затем они сливаются и образуют пятна с неровными контурами размерами до 20 см. После этого пятна приобретают неровную бородавчатую поверхность, покрываются волосами. Считается, что к росту невусов Беккера приводит выброс в кровь большого количества мужских половых гормонов – андрогенов.

Линейный невус – новообразование, которое появляется с рождения. Представляет собой множество мелких узелков, от светлого до практически черного цвета, которые расположены на коже в виде цепочки. Линейный невус может занимать всего пару сантиметров, а может и всю руку или ногу. Иногда на нем растут волосы.
Невус глаза – пигментный невус, который расположен на радужной оболочке. Он хорошо заметен в виде пятна, которое может иметь разные размеры и форму. Также невус глаза может находиться на сетчатке: в этом случае он выявляется только во время осмотра офтальмологом.
- мелкие невусы, имеющие размеры 0,5 - 1,5 см;
- средние неводермальные невусы - 1,5 - 10 см;
- крупные пигментные невусы имеют размеры более 10 см;
- если невус располагается на целой области тела, занимая ее практически целиком, то он называется гигантским.
Со временем внешний вид пигментных невусов может изменяться. Меняется и их общее количество на теле: Далеко не всегда можно обнаружить невусы на теле новорожденного. Только у 4 – 10% детей грудного возраста можно выявить родинки. Если невусы с рождения имеют большие размеры, то они наиболее опасны в плане озлокачествления (перехода в меланому).
В подростковом возрасте (10–15 лет) дермальные невусы можно встретить у 90% лиц.
В среднем у человека в возрасте 20-25 лет на теле можно насчитать до 40 родинок.
После 30 лет на коже остается только 15 – 20 невусов.
У человека, достигшего 80 – 85 лет практически невозможно обнаружить невусы на теле. Такую динамику связывают с изменением гормонального фона в течение жизни человека.
Причины возникновения:
Многие исследователи склоняются к мысли, что абсолютно все пигментные невусы, даже те, которые появляются с возрастом, являются врожденными пороками развития кожи.
Нарушения, которые приводят к образованию этой доброкачественной опухоли, возникают еще в эмбриональном состоянии организма. До настоящего времени пока не изучены все врожденные причины образования диспластических невусов.
В качестве основных факторов можно выделить:
Колебания уровня половых гормонов в организме беременной женщины:
- прогестинов и эстрогенов.
- Инфекции мочеполовой системы у беременных. Воздействие на организм беременной женщины неблагоприятных факторов: токсичных веществ, излучений.
- Генетические нарушения. Под действием всех этих факторов нарушается развитие меланобластов – клеток, из которых впоследствии образуются меланоциты. В итоге меланобласты скапливаются на определенных участках кожи и трансформируются в клетки-невоциты.
Невоциты отличаются от нормальных меланоцитов двумя особенностями:
- У них нет отростков, по которым пигмент мог бы распространяться в другие клетки кожи;
- Диспластические невусы хуже подчиняются общим регулирующим системам организма, но, в отличие от раковых клеток, утратили эту способность не полностью.
- Гормональные перестройки организма. Это очень ярко проявляется в подростковом возрасте, когда на теле появляется большая часть невусов.
- Действие на кожу ультрафиолетовых лучей. Частые солнечные ванны и солярии способствуют росту пигментных пятен.
- Беременность. Как уже отмечалось выше, это связано с колебанием уровня половых гормонов в организме женщины.
- Менопауза.
- Прием контрацептивов.
- Воспалительные и аллергические заболевания кожи (угри, дерматиты, различные сыпи).
Диагностика невусов:
Перед врачом, который осуществляет диагностику невуса, стоит ряд важных задач:
- установить разновидность невуса и определить возможности его лечения;
- вовремя распознать начало процесса озлокачествления пигментного пятна;
- определить показания к проведению дополнительных методов диагностики.
Обследование пациента начинается классически с беседы и осмотра. Во время расспроса врач устанавливает важные подробности: когда появился неводермальный невус.
Особенно важно, имеется ли он с рождения, или возник с возрастом; как образование вело себя в течение последнего времени:
- увеличивалось ли в размерах,
- изменяло ли цвет, контуры, общий внешний вид;
- проводилась ли ранее диагностика и лечение, каков был результат

Непосредственный контакт с пациентом очень важен. Ни один профессиональный специалист не возьмется ставить диагноз и лечить невус по фото. После расспроса пациента следует осмотр. Доктор должен оценить форму, размер, расположение невуса, наличие на нем волос и иные особенности. После этого уже может быть поставлен точный диагноз и намечены определенные лечебные мероприятия.
При необходимости врачом назначаются дополнительные методы диагностики. Чаще всего применяются мазки с поверхности невуса. Абсолютными показаниями к данному исследованию является мокнутие, кровоточивость, трещины на поверхности пигментного пятна. Во время мазка получают материал, который затем изучают при помощи микроскопа.
Лабораторная диагностика применяется для установления процесса перерождения невуса в меланому. При озлокачествлении пигментного пятна в крови пациента появляются особые вещества – онкомаркеры. Их обнаружение позволяет точно установить диагноз, так как только при меланоме в крови определяются две молекулы, имеющие название TA90 и SU100. При других злокачественных опухолях выявляются другие онкомаркеры.
Для проведения анализа на онкомаркеры необходимы четкие показания: врач должен иметь веские основания подозревать переход невуса в меланому. Кроме того, само удаление дермального невуса может стать диагностической процедурой.
После того, как пигментное пятно удалено, врач отправляет его на гистологическое исследование. Маткриал осматривают под микроскопом и, в случае обнаружения злокачественного перерождения, пациента снова просят явиться в клинику.
Лечение невуса:
В настоящее время существует несколько методов лечения пигментных невусов, как хирургическим путем, так и альтернативными способами.
Показания определяются только лечащим врачом с учетом двух факторов:
Особенности самого пигментного пятна: разновидность, размеры, риск перехода в меланому.
Наличие в больнице необходимого оборудования
Хирургический метод
Удаление пигментного невуса хирургическим путем (при помощи скальпеля) – наиболее распространенная методика, так как она не требует специального оборудования и отличается надежностью.
Криодеструкция
Криодеструкция – метод, предусматривающий лечение невуса при помощи заморозки. После обработки низкими температурами пигментное пятно отмирает и превращается в струп (корочку), под которой растет новая нормальная кожа.Лечение невуса низкой температурой может осуществляться только в том случае, если он имеет небольшие размеры, и расположен поверхностно, но не сильно выступая над кожей.
Электрокоагуляция
Это методика, которая противоположна криокоагуляции. Иссечение невуса осуществляется под действием высокой температуры.Процедура болезненная, поэтому требует применения местной анестезии, а у детей – только общего наркоза.
Лазерная терапия
Удаление невусов лазером – метод лечения, который широко распространен в современных косметологических салонах. Он отлично подходит для того, чтобы удалять небольшие родинки в области лица, шеи и на других частях тела. Лазерное излучение отличается тем, что оно способно проникать в кожу на большую глубину в пределах точно заданной площади. При этом не образуется шрамов, ожогов, рубцов и других осложнений. Процедура безболезненна.
Радиохирургические методы
В последние годы радиохирургия все активнее используется в мировой медицине. Суть этих методик состоит в том, что специальным прибором, - радионожом (сургитроном) генерируется пучок радиоактивного излучения, который концентрируется только в области патологического очага, не нанося вреда здоровым окружающим тканям. Таким образом могут быть удалены практически любые доброкачественные и злокачественные опухоли, в том числе и пигментные невусы.
Некоторые особые показания Если имеется подозрение на злокачественное перерождение невуса, то используется, как правило, только хирургическое иссечение.
При этом удаляются все окружающие ткани, для предотвращения дальнейшего роста опухоли. Некоторые разновидности невусов лечатся только хирургическим путем.
Большинство методов лечения невусов проводится в нашей клинике опытными врачами-дерматологами. Для получения консультации и записи на прием, звоните или записывайтесь через форму.
Эпидермальные невусы: виды, диагностика и лечение

Все приобретенные невусы (пигментированные кожные образования) делятся на внутридермальные, эпидермальные и смешанные. В первом случае меланоциты скапливаются в глубоких подкожных слоях. Во втором скопление происходит в верхнем слое кожи. В третьем случае меланоциты группируются между дермой и эпидермисом. В этой статье пойдет речь разновидностях эпидермальных невусов, диагностике этих образований и передовых методах терапевтического лечения.
Эпидермальные невусы – это пороки развития, сформированные зрелыми или почти зрелыми компонентами эпидермиса, сальных желез, волосяных фолликулов, апокринных и эккринных потовых желез и их комбинациями.
Такие невусы на теле в 80% случаев отмечаются в первый год жизни, имеют место у 1 из 1000 детей, формируются из плюрипотентных клеток базального слоя эмбрионального эпителия, с одинаковой частотой встречаются у представителей обоих полов, носят спорадический характер и у членов одной семьи встречаются редко.
В настоящее время предполагается, что одной из внегепомных причин появления эпидермальных невусов может быть ВПЧ-инфекция, вызывающая геномную нестабильность и образование мозаичных гибриональных клонов. Также причиной невусов на теле может быть сильное ультрафиолетовое, радиационное, рентгеновское излучение. Наконец, в качестве причины невусов рассматриваются
Эпидермальные невусы бывают солитарными и множественными, носят линейный характер, располагаются в первую очередь на сгибательной поверхности конечностей, образованы пигментированными бородавчатыми узелками, а на волосистой части головы бывают гладкими и лишенными волос. В ряде случаев эпидермальные невусы поражают слизистые оболочки (ротоглотки, половых органов и др.).
Посмотрите, как выглядят солитарные и множественные эпидермальные невусы на этих фото:




Односторонний и диссеминированный невусы
Выделяют одностороннюю (nevus unius lateralis) и диссеминированную (системный эпидермальный невус) разновидности, а также ряд клинических вариантов эпидермального невуса: папилломатозный мягкий эпидермальный невус; бородавчатый эпидермальный невус; акантолитический эпидермальный невус; воспалительный линейный бородавчатый эпидермальный невус; гиперкератоз невиформный околососкового кружка и соска молочной железы; синдром эпидермального невуса.
Гистологически эпидермальный невус характеризуется гииеркератозом, акантозом, папилломатозом; воспалительный линейный бородавчатый эпидермальный невус — очаговым паракератозом и неспецифическим мононуклеарным инфильтратом в сосочковом слое дермы.
Эта разновидность эпидермального невуса увеличивается с ростом ребенка, а затем не меняется на протяжении жизни и после полового созревания может быть фоном для развития базалиомы, болезни Боуэна, плоскоклеточного рака и ряда доброкачественных новообразований кожи.
Ниже описаны клинические виды эпидермальных невусов.
Папилломатозный и бородавчаты невусы кожи (с фото)


Папилломатозный мягкий эпидермальный невус встречается редко. Представлен мягкими тесно прилегающими друг к другу папулами серого цвета.
Дифференциальная диагностика папилломатозного невуса кожи проводится с папилломатозными разновидностями дермального меланоцитарного невуса и себорейного кератоза.


Бородавчатый эпидермальный невус (син.: бородавчатый невус, твердый эпидермальный невус) встречается часто, особенно у девочек, возможно развитие у членов одной семьи. Существует с рождения или раннего детства и лишь изредка появляется позже.
Проявляется плотными, тесно прилегающими друг к другу папулами коричневого или серо-коричневого цвета с четкими границами и бородавчатой (твердый эпидермальный невус) поверхностью.
Как видно на фото, бородавчатый невус может быть односторонним или множественным (поражающим почти всю поверхность спины, живота, конечностей):


Он имеет небольшой (1-4 см) диаметр и располагается линейно по линиям Блашко: на ногах в виде продольных, а на туловище — в виде поперечных полос, где он не пересекает средней линии туловища и вблизи последней принимает вертикальное направление; в латеральной части туловища он S-образный; при поражении лица в патологический процесс может вовлекаться слизистая оболочка рта.
Диагноз «Бородавчатый эпидермальный невус» ставится после дифференциального анализа с линейным и вихревидным невоидным гипермеланозом (спорадически развивающимся и представленным пигментированными пятнами в виде полос и /или завихрений, также идущих вдоль линий Блашко), линейным порокератозом, невусом сальных желез Ядассона.
В детстве размер невуса и количество образующих его элементов могут постепенно нарастать, но после пубертата их характер не меняется (не путать с бородавчатым невусом, в состав которого входят элементы сальных и апокриновых потовых желёз, рост которого в период пубертата возможен). Злокачественная трансформация (в базалиому, болезнь Боуэна, плоскоклеточный рак кожи) редка и сопровождается появлением на поверхности невуса узла или язвы.
Линеарный акантолитический невус
Линеарный акантолитический бородавчатый эпидермальный невус представлен тремя разновидностями.
Дарье-подобный эпидермальный невус (сии.: акантолитический дискератотический эпидермальный невус проявляется гиперкератотическими папулами, покрытыми коркой; возникает сравнительно поздно — в 50% случаев после 20 лет. Гистологически от болезни Дарье отличается наличием гиперкератоза и напилломатоза.


Разновидность Хейли-Хейли-подобный эпидермальный невус — проявляется чётко отграниченными линейными эритематозными бляшками с наличием пузырьков и эрозий; возникает в раннем возрасте, имеет волнообразное течение с рецидивами и спонтанной инволюцией. Гистологически напоминает хроническую доброкачественную семейную пузырчатку Хейли-Хейли.
Разновидность Naevus comiculatus клинически проявляется нитевидными папулами с роговым кратером и гигантскими камедонами. Гистологически более сходен с болезнью Хейли-Хейли, чем с болезнью Дарье.
На этих фото представлены виды линеарных невусов:


Линейный эпидермальный невус (с фото)
Воспалительный линейный бородавчатый эпидермальный невус (син.: воспалительный эпидермальный невус) как разновидность бородавчатого эпидермального невуса появляется в младенчестве или раннем детстве, чаще у девочек, и характеризуется хроническими зудящими и эритематозными бородавчатыми или псориазиформными бляшками, расположенными по линиям Блашко. Иногда сопровождается мышечными, неврологическими (гидроцефалия и др.) нарушениями, аномалиями скелета.
Выделяют три варианта воспалительного линейного эпидермального невуса.


Дермальный эпидермальный невус (син.: воспалительный линейный бородавчатый эпидермальный невус; экзематозный эпидермальный невус) клинически проявляется зудящими линейными элементами, состоящими из псориазиформных папул, чаще расположенных вдоль нижних конечностей, иногда на всём протяжении от ягодиц до стоп; он обычно односторонний (преимущественно левосторонний). Обычно возникает в течение первого полугодия жизни и редко в более старшем возрасте (как правило, в первые 5 лет жизни). Он отличается резистентностью к лечению, хотя иногда инволюцирует спонтанно.
Гистологическая картина характеризуется столбиками гиперанулёза и ортокератотического гиперкератоза, чередующимися со столбиками гранулёза и паракератотического гиперкератоза, наличием лимфоцитарного инфильтрата в сосочковом слое дермы.
Дифференциальная диагностика этого вида невуса проводится с псориазом, при котором зуд менее выражен, эффективна наружная антипсориатическая терапия, в том числе УФИ, а при электрофорезе в полиакриловом геле выявляется фиброз рогового слоя. При сочетании с псориазом дифференциальный диагноз очень сложен. Блестящий лишай также отличается отсутствием зуда, быстрым развитием (обычно в течение первого года жизни) и более лихеноидной клинической и гистологической картиной. Также следует дифференцировать с ихтиозиформным невусом при CHALD-синдроме, 2-й стадией недержания пигмента, неводным псориазом, лихеноидным эпидермальным невусом, линейной разновидностью красного плоского лишая, блестящего лишая, простого лишая Видаля, порокератоза, а также линейными бородавками.
Лихеноидный эпидермальный невус клинически напоминает бородавчатый эпидермальный невус, но при гистологическом исследовании в нем выявляют лентовидный лимфоцитарный инфильтрат в дермо-эпидермальной зоне, тельца Civatte, дермальные меланофаги.
Невоидный псориаз клинически сходен с обычным псориазом, но имеет нетипичную локализацию и не регрессирует под воздействием УФИ.
При гистологическом исследовании не обнаруживается микроабсцессов Мунро.
Как видно на фото, при наличии очагового спонгиоза и отёка дермы такой невус на теле напоминает экзему:


Дифференциальный диагноз невуса проводится с ихтиозиформным невусом при CHILD-синдроме, 2-й стадией недержания пигмента, лихеноидным эпидермальным невусом, линейными вариантами красного плоского лишая, болезни Дарье, блестящего лишая, простого лишая Видаля, порокератоза, линейными бородавками, невоидным псориазом.
Посмотрите, как выглядят разновидности линейных невусов на этих фото:


Гиперкератоз околососкового кружка
Гиперкератоз невиформный околососкового кружка и соска молочной железы (син.: кератоз новусоподобный околососковый Отто—Монкоорпса) — редкий вариант эпидермального невуса, возникающий у девочек в период полового созревания.
Клинически проявляется двусторонним диффузным интенсивным наслоением роговых масс темно-коричневого цвета, достигающих толщины 0,5-1 см и напоминающих базальтовые кубики. Субъективные ощущения отсутствуют.
Диагноз такого невуса основывается на клинической картине.
Течение без изменений на протяжении жизни, улучшаться или ухудшаться может лишь в период беременности.
Синдром эпидермального невуса
Синдром эпидермального невуса — группа аутосомно-доминантных заболеваний, вызванных летальной мутацией, сопровождающейся мозаицизмом и характеризующейся большими бляшками эпидермального невуса в сочетании с рядом системных дефектов, включая костные кисты, гипоплазию костей, сколиоз, позвоночные расщелины, кифоз, витамин D-резистентный рахит, умственную отсталость, эпилепсию, атрофию коры головного мозга, гидроцефалию, катаракту и т.д. Синдром эпидермального невуса встречается у 33% больных с эпидермальными невусами и может быть частью или вариантом CHILD-синдрома, синдромов Протея, Шиммельпеннинга, синдрома комедонового невуса, синдрома невуса Беккера.


Диагноз подобного невуса устанавливается клинически. При обследовании применяют КТ /МРТ, офтальмологическое исследование, электроэнцефалографию, рентгенографию скелета.
Дифференциальная диагностика невуса проводится с врожденной буллезной ихтиози-формной эритродермией, болезнью Каудена, энцефалокраниокутанным липоматозом, болезнью Дарье, нейрофиброматозом, пигментососудистым факоматозом, болезнью Прингля-Бурневилля.
Лечение невусов разных видов (с фото)

Выбор лечения эпидермального невуса зависит от его разновидности, размера и локализации, а также косметических последствий терапии.
Лечение первой линии.
При эпидермальном невусе небольшого размера терапия выбора — полная хирургическая эксцизия, после чего остается приемлемый в косметическом отношении рубец. Однако во избежание развития вблизи удаленного эпидермального невуса новых элементов операцию откладывают до полного формирования невуса.
После диагностики крупного эпидермального невусеа, удалить который невозможно, проводят поверхностное срезание или каутеризацию его поверхностной части, но при этом высок риск развития рецидива (в сроки до нескольких лет), а также формирования гипертрофических и келоидных рубцов.
После использующейся с этой же целью криодеструкции рубец тоньше, чем после эксцизии, но чаще пигментирован.
Лечение второй линии.
Удаление лучами углекислотного или пульсирующего неодимового ИАГ-лазера (при пигментированных эпидермальных невусах — рубинового лазера) эффективно и дает вполне приемлемый косметический эффект.
Лечение третьей линии.
Проводится неотигазоном (по 75 мг /сут в течение 6 мес.) и показано при распространенных, обезображивающих поражениях. Эффективно в косметическом отношении при диагнозе «невус» и наружное применение ретиноидов в комбинации с 5-фторурацилом.
Следует учитывать, что при воспалительном эпидермальном невусе с эпидермо-литическими, акантолитическими, диспластическими компонентами медикаментозное лечение, как правило, эффективнее хирургического.
При подтвержденном диагнозе «невус» терапией 1-й линии являются наружные глюкокортикоиды; 2-й линии — аппликации кальципотриола, ретиноидов, дитранола; 3-й линии — удаление невуса лучами пульсирующего неодимового ИАГ-лазера, углекислотного лазера или хирургическое удаление.
После диагностики невуса в форме невиформного гиперкератоза околососкового кружка и соска молочной железы эффективны наружные средства с ароматическими ретиноидами или салициловой кислотой или прием внутрь витамина А.
На этих фото показано лечение невусов самыми прогрессивными методами:
Читайте также:
- Синтетические прогестины при дисфункциональных маточных кровотечениях. Регуляция функции яичников
- Физические принципы допплер-эхокардиографии (допплер-ЭхоКГ)
- Генетическая гетерогенность: аллельная, локусная, гены-модификаторы
- Морфология кардиогенного шока. Микроциркуляция при кардиогенном шоке
- Физиологическая подвижность зубов. Патологическая подвижность зубов.
