Возбудители эмпиемы плевры. Пункционный метод лечения эмпиемы плевры
Добавил пользователь Евгений Кузнецов Обновлено: 08.11.2025
Эмпиема плевры. Причина и диагностика эмпиемы плевры
Эмпиема плевры (гнойный плеврит) — это гнойное воспаление висцерального и париетального листков плевры со скоплением гнойного экссудата в плевральной полости. В зависимости от характера возбудителя эмпиема плевры может быть неспсцифической — стафилококковой, стрептококковой, смешанной и др. и специфической — туберкулезной. Различают первичную н вторичную эмпиемы плевры. Первичная эмпиема возникает в случае проникающего ранения грудной клетки. Вторичная эмпиема развивается в результате перехода гнойного процесса с легкого, грудной стенки, перикарда, средостения, поддиафрагмального пространства. При этом первичным заболеванием обычно являются: пневмония, абсцесс, каверна или нагноившаяся киста в лег ком, распадающаяся опухоль, остеомиелит ребер, перикардит, медиастинит. Реже эмпиема плевры возникает метастатическим путем (гематогенным и лимфогенным) при ангине, остром аппендиците, гематогенном остеомиелите, а также при сепсисе.
В клинической практике наиболее часто наблюдаются эмпиемы плевры при пневмонии (парапневмонические), после пневмонии (метапневмонические) и эмпиемы при абсцессах легкого в результате их прорыва в полость плевры или проникновения инфекции лимфогенным путем. Туберкулезная эмпиема является осложнением туберкулеза легких. Переход туберкулезного процесса на плевру возможен контактным, лимфогенным и гематогенным путем. При наличии субплевралыю расположенных каверн или казеозных очагов эмпиема может возникнуть при прорыве каверны или казеозного очага в плевральную полость. Эмпиема плевры является также одним из наиболее тяжелых осложнений различных внутригрудных операций, в первую очередь на легких и пищеводе.
По клиническому течению эмпиемы плевры принято подразделять на острые н хронические. Острые эмпиемы развиваются в течение 2—3 мес. При более длительном течении эмпиемы называют хроническими. В случаях острой эмпиемы плевральные листки гиперемированы, инфильтрированы, отечны, мезотелиальный покров исчезает. В полости плевры скапливается гнойный экссудат, на плевре появляются отложения фибрина. В местах соприкосновения париетальной и висцеральной плевры начинают развиваться спайки.

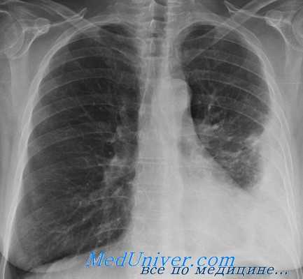
На рентгенограмме виден уровень - эмпиема плевры слева
При затянувшемся течении эмпиемы (более 2 мес) в плевре и в толще фибринозных наложений появляются волокна соединительной ткани. Наружные слон висцеральной плевры постепенно уплотняются, становится толще. Затем уплотняется и внутренний слой висцеральной плевры. Образуется панцирь, покрывающий легкое и препятствующий его расправлению. Этот панцирь бывает белесоватого цвети, иногда содержит включения извести. Со стороны полости плевры он обычно покрыт фибрином. Процесс фиброза имеет тенденцию далее распространяться в сторону легкого по междольковым перегородкам, но ходу сосудов и бронхов. Постепенно может развиться так называемый плеврогенный цирроз легкого, степень которого во многом зависит от распространенности, характера и длительности эмпиемы. Аналогичные изменения париетальной плевры вызывают ее утолщение, которое в 2—3 раза превышает утолщение висцеральной плевры. В межреберных мышцах происходят дистрофические и некробиотические изменения. При длительном течении эмпиемы межреберные промежутки суживаются, соответствующая половина грудной стенки постепенно западает.
Толщина плевры при хронической эмпиеме неодинакова в различных участках. Самая большая толщина (2—3 см) отмечается в области перехода висцеральной плевры в париетальную и в диафрагмальпых синусах. При туберкулезной эмпиеме поверхность плевральных листков в большинстве случаев покрыта казеозными массами. Сочетание анатомических изменений у больных с хронической эмпиемой плевры приводит к своеобразному синдрому в виде фиброзно-измененных, ригидных плевры, легкого, грудной стенки. Наиболее типичным осложнением эмпиемы плевры бывает прорыв гноя через грудную стенку или бронх с образованием плевро-торакального или плевро-бронхналыюго свища.
Клинические проявления острой эмпиемы плевры характеризуются болью в боку, одышкой, подъемом температуры до 38— 39°С. Обычно, как и при других острых нагноительных процессах, вечерняя температура выше утренней на 2—3°С. В крови лейкоцитоз достигает 20-109—30-109/л (20 000 -30 000 в 1 мкл), отмечается сдвиг лейкоцитарной формулы влево. СОЭ увеличивается до 40—60 мм/ч. При физикальном исследовании больного обнаруживают ограничение подвижности соответствующей половины грудной клетки во время дыхания, притупление перкуторного звука в зоне расположении экссудата. Дыхательные шумы бывают резко ослабленными или вообще не прослушиваются. Рентгенологически на стороне эмпиемы определяется интенсивное затемнение, средостение смешается в противоположную здоровую сторорону. При пункции плевральной полости получают гнойную жидкость, в которой при бактериологическом исследовании обнаруживают неспецифическую или специфическую микробную флору.
В случаях прорыва в плевральную полость абсцесса легкого или туберкулезной каверны состояние больного может резко ухудшиться. Усиливается кашель, увеличивается количество мокроты. При этом откашливается содержимое плевральной полости, в которой над жидкостью скапливается воздух. Перкуторный звук приобретает коробочный оттенок, дыхание остается ослабленным. Рентгенологически верхняя граница экссудата бывает горизонтальной независимо от положения тела больного, над уровнем жидкости определяется воздушная полость — типичная картина пневмоторакса. В зависимости от степени коллапса легкого различают ограниченный, субтотальный и тотальный пиопневмоторакс.
Эвакуация гноя из плевральной полости, как правило, улучшает состояние больных п приводит к расправлению легкого. Ликвидируются явления гнойной интоксикации, температура тела и картина крови нормализуются и может наступить полное выздоровление. Однако у ряда больных, главным образом в случаях поздно начатого н недостаточно активного лечения, острая эмпиема плевры переходит и хроническую. В ее поддержании большую роль играют бронхоплевральные снищи, которые препятствуют расправлению легкого и способствуют постоянному дополнительному инфицированию плевральной полости.
Информация на сайте подлежит консультации лечащим врачом и не заменяет очной консультации с ним.
См. подробнее в пользовательском соглашении.
Возбудители эмпиемы плевры. Пункционный метод лечения эмпиемы плевры
Наши бактериологические исследования, проведенные совместно с Я. У. Булгаковым и М. Г. Гимрановым показали, что эмпиема в плевральной полости после радикальных операций развивается чаще всего там, где бактериальная флора, выделенная из соответствующих бронхов, уже перед операцией была нечувствительна к основным видам антибиотиков — пенициллину, стрептомицину (в 76% случаев).
Исходя из этого, проводимая предоперационная рациональная санация бронхов, с учетом вида бактериальной флоры и ее чувствительности к антибиотикам значительно снизила число эмпием после радикальных операций на легких.
У поступивших в стационар больных с гнойными плевритами определяли характер микрофлоры. При туберкулезных эмпиемах специфические туберкулезные микобактерии обнаружили в 71% случаев. А при неспецифического характера эмпиемах плевры чаще всего и почти всегда в сочетании между ними выявляли нижеследующие виды инфекций: негемолитический стрептококк, стафилококк, пневмококк, кишечная палочка, синегнойная палочка и различного вида грибы.
Следует отметить, что характер микрофлоры придает определенный внешний вид экссудату. Так, чисто туберкулезного характера гной не имеет запаха, слегка желто-кремоватого цвета. При наличии стрептококка гной имеет грязно-сероватый цвет и жидкую консистенцию. При стафилококковой и пневмококковой инфекции гной более светлого вида, сливкообразной густой консистенции, при наличии кишечной палочки и гнилостной инфекции гной имеет геморрагический грязный цвет и зловонный запах. Наличие синегнойных палочек гнойному экссудату придает зеленоватый оттенок.

Производя пункцию грудной клетки, следует иметь в виду, что гной в плевральной полости имеет негомогенный характер. В верхней части гной имеет более жидкую консистенцию и легче извлекается при аспирации. В нижних же отделах плевральной полости гной мутнее и гуще, содержит большое количество нити и пленки фибрина и крошковидную массу. Вследствие этого плохо извлекается через иглу при аспирации.
После уточнения диагноза и общего состояния организма лечение больных с гнойным туберкулезным и неспецифическим плевритом наряду со специфической комбинированной терапией проводили по следующей схеме.
Под местной анестезией 0,25 проц. раствором новокаина на соответствующей стороне грудной клетки широкополой иглой через каждые 2—5 суток производилась пункция плевральной полости и закрытой системой удалялось максимальное количество гноя и воздуха. При этом каждый раз плевральная полость промывалась раствором трипсина, хемопсина, а также марганцево-кислого калия, риванола, фурациллина. Ферменты растворяют фибриновые наложения на плевре и разжижают мокроту, тем самым улучшается возможность эвакуации гнойной массы.
После удаления жидкости в плевральную полость вводили раствор пенициллина и стрептомицина по 2 миллиона единиц. В результате активных повторных аспирации гноя мы достигали, как правило, улучшения общего состояния больного, прекращения или заметного уменьшения накопления гнойного экссудата. При активном аспирациоином методе лечения и при относительно свежих эмпиемах в части случаев коллабированное легкое расправлялось, постепенно облитерировалась полость плевры и наступало выздоровление.
Удаление гноя из плевральной полости методом закрытой аспирации или путем наложения межреберного дренажа с целью уменьшения явлений интоксикации, улучшения общего состояния больного и санации плевральной полости, показано каждому больному с любой формой эмпиемы в разной фазе течения. Показания к хирургическому методу лечения обычно ставятся при отсутствии должного эффекта от применении аспирационного способа. Следует помнить, что при гнойно-воспалительных процессах очень рано изменяются париетальная и висцеральная плевра и поэтому добиться полного расправления легкого удается редко, а если и удается, то за счет некоторого смещения органов средостения, что нежелательно.
Плеврит
Плеврит – различные в этиологическом отношении воспалительные поражения серозной оболочки, окружающей легкие. Плеврит сопровождается болями в грудной клетке, одышкой, кашлем, слабостью, повышением температуры, аускультативными феноменами (шумом трения плевры, ослаблением дыхания). Диагностика плеврита осуществляется с помощью рентгенографии (-скопии) грудной клетки, УЗИ плевральной полости, плевральной пункции, диагностической торакоскопии. Лечение может включать консервативную терапию (антибиотики, НПВС, ЛФК, физиотерапию), проведение серии лечебных пункций или дренирования плевральной полости, хирургическую тактику (плевродез, плеврэктомию).
МКБ-10


Общие сведения
Плеврит – воспаление висцерального (легочного) и париетального (пристеночного) листков плевры. Плеврит может сопровождаться накоплением выпота в плевральной полости (экссудативный плеврит) или же протекать с образованием на поверхности воспаленных плевральных листков фибринозных наложений (фибринозный или сухой плеврит). Диагноз «плеврит» ставится 5-10% всех больных, находящихся на лечении в терапевтических стационарах. Плевриты могут отягощать течение различных заболеваний в пульмонологии, фтизиатрии, кардиологии, онкологии. Статистически чаще плеврит диагностируется у мужчин среднего и пожилого возраста.
Причины плеврита
Зачастую плеврит не является самостоятельной патологией, а сопровождает ряд заболеваний легких и других органов. По причинам возникновения плевриты делятся на инфекционные и неинфекционные (асептические).
Причинами плевритов инфекционной этиологии служат:
- бактериальные инфекции (стафилококк, пневмококк, грамотрицательная флора и др.);
- грибковые инфекции (кандидоз, бластомикоз, кокцидиоидоз);
- вирусные, паразитарные (амебиаз, эхинококкоз), микоплазменные инфекции;
- туберкулезная инфекция (выявляется у 20% пациентов с плевритом);
- сифилис, сыпной и брюшной тифы, бруцеллез, туляремия;
- хирургические вмешательства и травмы грудной клетки;
Плевриты неинфекционной этиологии вызывают:
- злокачественные опухоли плевры (мезотелиома плевры), метастазы в плевру при раке легкого, раке молочной железы, лимфомы, опухоли яичников и др. (у 25% пациентов с плевритом);
- диффузные поражения соединительной ткани (системная красная волчанка, ревматоидный артрит, склеродермия, ревматизм, системный васкулит и др.);
- ТЭЛА, инфаркт легкого, инфаркт миокарда;
- прочие причины (геморрагические диатезы, лейкозы, панкреатит и т. д.).
Патогенез
Механизм развития плевритов различной этиологии имеет свою специфику. Возбудители инфекционных плевритов непосредственно воздействуют на плевральную полость, проникая в нее различными путями. Контактный, лимфогенный или гематогенный пути проникновения возможны из субплеврально расположенных источников инфекции (при абсцессе, пневмонии, бронхоэктатической болезни, нагноившейся кисте, туберкулезе). Прямое попадание микроорганизмов в плевральную полость происходит при нарушении целостности грудной клетки (при ранениях, травмах, оперативных вмешательствах).
Плевриты могут развиваться в результате повышения проницаемости лимфатических и кровеносных сосудов при системных васкулитах, опухолевых процессах, остром панкреатите; нарушения оттока лимфы; снижения общей и местной реактивности организма.
Незначительное количество экссудата может обратно всасываться плеврой, оставляя на ее поверхности фибриновый слой. Так происходит формирование сухого (фибринозного) плеврита. Если образование и накопление выпота в плевральной полости превышает скорость и возможность его оттока, то развивается экссудативный плеврит.
Острая фаза плевритов характеризуется воспалительным отеком и клеточной инфильтрацией листков плевры, скоплением экссудата в плевральной полости. При рассасывании жидкой части экссудата на поверхности плевры могут образовываться шварты - фибринозные плевральные наложения, ведущие к частичному или полному плевросклерозу (облитерации плевральной полости).
Классификация
Наиболее часто в клинической практике используется классификация плевритов, предложенная в 1984 г. профессором СПбГМУ Н.В. Путовым.
По этиологии:
- инфекционные (по инфекционному возбудителю – пневмококковый, стафилококковый, туберкулезный и др. плевриты)
- неинфекционные (с обозначением заболевания, приводящего к развитию плеврита – рак легкого, ревматизм и т. д.)
- идиопатические (неясной этиологии)
По наличию и характеру экссудата:
- экссудативные (плевриты с серозным, серозно-фибринозным, гнойным, гнилостным, геморрагическим, холестериновым, эозинофильным, хилезным, смешанным выпотом)
- фибринозные (сухие)
По течению воспаления:
По локализации выпота:
- диффузные
- осумкованные или ограниченные (пристеночный, верхушечный, диафрагмальный, костодиафрагмальный, междолевой, парамедиастинальный).
Симптомы плевритов
Сухой плеврит
Как правило, являясь вторичным процессом, осложнением или синдромом других заболеваний, симптомы плеврита могу превалировать, маскируя основную патологию. Клиника сухого плеврита характеризуется колющими болями в грудной клетке, усиливающимися при кашле, дыхании и движении. Пациент вынужден принимать положение, лежа на больном боку, для ограничения подвижности грудной клетки. Дыхание поверхностное, щадящее, пораженная половина грудной клетки заметно отстает при дыхательных движениях. Характерным симптомом сухого плеврита является выслушиваемый при аускультации шум трения плевры, ослабленное дыхание в зоне фибринозных плевральных наложений. Температура тела иногда повышается до субфебрильных значений, течение плеврита может сопровождаться ознобами, ночным потом, слабостью.
Диафрагмальные сухие плевриты имеют специфическую клинику: боли в подреберье, грудной клетке и брюшной полости, метеоризм, икота, напряжение мышц брюшного пресса.
Развитие фибринозного плеврита зависит от основного заболевания. У ряда пациентов проявления сухого плеврита проходят спустя 2-3 недели, однако, возможны рецидивы. При туберкулезе течение плеврита длительное, нередко сопровождающееся выпотеванием экссудата в плевральную полость.
Экссудативный плеврит
Начало плевральной экссудации сопровождает тупая боль в пораженном боку, рефлекторно возникающий мучительный сухой кашель, отставание соответствующей половины грудной клетки в дыхании, шум трения плевры. По мере скапливания экссудата боль сменяется ощущением тяжести в боку, нарастающей одышкой, умеренным цианозом, сглаживанием межреберных промежутков. Для экссудативного плеврита характерна общая симптоматика: слабость, фебрильная температура тела (при эмпиеме плевры – с ознобами), потеря аппетита, потливость. При осумкованном парамедиастинальном плеврите наблюдается дисфагия, осиплость голоса, отеки лица и шеи. При серозном плеврите, вызванном бронхогенной формой рака, нередко наблюдается кровохарканье. Плевриты, вызванные системной красной волчанкой, часто сочетаются с перикардитами, поражениями почек и суставов. Метастатические плевриты характеризуются медленным накоплением экссудата и протекают малосимптомно.
Большое количество экссудата ведет к смещению средостения в противоположную сторону, нарушениям со стороны внешнего дыхания и сердечно-сосудистой системы (значительному уменьшению глубины дыхания, его учащению, развитию компенсаторной тахикардии, снижению АД).
Осложнения
Исход плеврита во многом зависит от его этиологии. В случаях упорного течения плеврита в дальнейшем не исключено развитие спаечного процесса в полости плевры, заращение междолевых щелей и плевральных полостей, образование массивных шварт, утолщение плевральных листков, развитие плевросклероза и дыхательной недостаточности, ограничение подвижности купола диафрагмы.
Диагностика
Наряду с клиническими проявлениями экссудативного плеврита при осмотре пациента выявляется асимметрия грудной клетки, выбухание межреберных промежутков на соответствующей половине грудной клетки, отставание пораженной стороны при дыхании. Перкуторный звук над экссудатом притуплен, бронхофония и голосовое дрожание ослаблены, дыхание слабое или не выслушивается. Верхняя граница выпота определяется перкуторно, при рентгенографии легких или при помощи УЗИ плевральной полости.

В крови определяются повышение СОЭ, нейтрофильный лейкоцитоз, увеличение значений серомукоидов, сиаловых кислот, фибрина. Для уточнения причины плеврита проводится торакоскопия с биопсией плевры.
Лечение плеврита
Лечебные мероприятия при плеврите направлены на устранение этиологического фактора и облегчение симптоматики. При плевритах, вызванных пневмонией, назначается антибиотикотерапия. Ревматические плевриты лечатся нестероидными противовоспалительными препаратами, глюкокортикостероидами. При туберкулезных плевритах лечение проводится фтизиатром и заключается в специфической терапии рифампицином, изониазидом и стрептомицином на протяжении нескольких месяцев.
С симптоматической целью показано назначение анальгетиков, мочегонных, сердечно-сосудистых средств, после рассасывания выпота - физиотерапии и лечебной физкультуры.
При экссудативном плеврите с большим количеством выпота прибегают к его эвакуации путем проведения плевральной пункции (торакоцентеза) или дренирования. Одномоментно рекомендуется эвакуировать не более 1-1,5 л экссудата во избежание сердечно-сосудистых осложнений (вследствие резкого расправления легкого и обратного смещения средостения). При гнойных плевритах проводится промывание плевральной полости антисептическими растворами. По показаниям внутриплеврально вводятся антибиотики, ферменты, гидрокортизон и т. д.
В лечении сухого плеврита помимо этиологического лечения пациентам показан покой. Для облегчения болевого синдрома назначаются горчичники, банки, согревающие компрессы и тугое бинтование грудной клетки. С целью подавления кашля назначают прием кодеина, этилморфина гидрохлорида. В лечении сухого плеврита эффективны противовоспалительные средства: ацетилсалициловая кислота, ибупрофен и др. После нормализации самочувствия и показателей крови пациенту с сухим плевритом назначают дыхательную гимнастику для профилактики сращений в полости плевры.
С целью лечения рецидивирующих экссудативных плевритов проводят плевродез (введение в плевральную полость талька или химиопрепаратов для склеивания листков плевры). Для лечения хронического гнойного плеврита прибегают к хирургическому вмешательству – плеврэктомии с декорткацией легкого. При развитии плеврита в результате неоперабельного поражения плевры или легкого злокачественной опухолью по показаниям проводят паллиативную плеврэктомию.
Прогноз и профилактика
Малое количество экссудата может рассасываться самостоятельно. Прекращение экссудации после устранения основного заболевания происходит в течение 2-4 недель. После эвакуации жидкости (в случае инфекционных плевритов, в т. ч. туберкулезной этиологии) возможно упорное течение с повторным скоплением выпота в полости плевры. Плевриты, вызванные онкологическими причинами, имеют прогрессирующее течение и неблагоприятный исход. Неблагоприятным течением отличается гнойный плеврит.
Пациенты, перенесшие плеврит, находятся на диспансерном наблюдении на протяжении 2-3 лет. Рекомендуется исключение профессиональных вредностей, витаминизированное и высококалорийное питание, исключение простудного фактора и переохлаждений.
В профилактике плевритов ведущая роль принадлежит предупреждению и лечению основных заболеваний, приводящих к их развитию: острой пневмонии, туберкулеза, ревматизма, а также повышению сопротивляемости организма по отношению к различным инфекциям.
3. Диагностическая тактика у больных с плевритом неясной этиологии: Автореферат диссертации/ Арутюнян А. В. – 2009.
4. Морфогенез и патологическая анатомия неопухолевых экссудативных плевритов Автореферат диссертации/ Фрисс С. А. – 2005.
Эмпиема плевры ( Гнойный плеврит , Пиоторакс )
Эмпиема плевры – это воспаление плевральных листков, сопровождающееся образованием гнойного экссудата в плевральной полости. Эмпиема плевры протекает с ознобами, стойко высокой или гектической температурой, обильной потливостью, тахикардией, одышкой, слабостью. Диагностику эмпиемы плевры проводят на основании рентгенологических данных, УЗИ плевральной полости, результатов торакоцентеза, лабораторного исследования экссудата, анализа периферической крови. Лечение острой эмпиемы плевры включает дренирование и санацию плевральной полости, массивную антибиотикотерапию, дезинтоксикационную терапию; при хронической эмпиеме может выполняться торакостомия, торакопластика, плеврэктомия с декортикацией легкого.
Термином «эмпиема» в медицине принято обозначать скопление гноя в естественных анатомических полостях. Так, гастроэнтерологам в практике приходится сталкиваться с эмпиемой желчного пузыря (гнойным холециститом), ревматологам – с эмпиемой суставов (гнойным артритом), отоларингологам – с эмпиемой придаточных пазух (гнойными синуситами), неврологам – с субдуральной и эпидуральной эмпиемой (скоплением гноя под или над твердой мозговой оболочкой). В практической пульмонологии под эмпиемой плевры (пиотораксом, гнойным плевритом) понимают разновидность экссудативного плеврита, протекающего со скоплением гнойного выпота между висцеральным и париетальным листками плевры.
Причины
Почти в 90% случаев эмпиемы плевры являются вторичными по своему происхождению и развиваются при непосредственном переходе гнойного процесса с легкого, средостения, перикарда, грудной стенки, поддиафрагмального пространства.
1. Чаще всего эмпиема плевры возникает при острых или хронических инфекционных легочных процессах:
- пневмонии,
- бронхоэктазах,
- абсцессе легкого,
- гангрене легкого,
- туберкулезе,
- нагноившейся кисте легкого,
- спонтанном пневмотораксе,
- экссудативном плеврите и др.
В ряде случаев эмпиемой плевры осложняется течение медиастинита, перикардита, остеомиелита ребер и позвоночника, поддиафрагмального абсцесса, абсцесса печени, острого панкреатита.
2. Метастатические эмпиемы плевры обусловлены распространением инфекции гематогенным или лимфогенным путем из отдаленных гнойных очагов (например, при остром аппендиците, ангине, сепсисе и др.).
3. Посттравматический гнойный плеврит, как правило, связан с травмами легкого, ранениями грудной клетки, разрывом пищевода.
4. Послеоперационная эмпиема плевры может возникать после резекции легких, пищевода, кардиохирургических и других операций на органах грудной полости.
В развитии эмпиемы плевры выделяют три стадии: серозную, фибринозно-гнойную и стадию фиброзной организации.
- Серозная стадия протекает с образованием в плевральной полости серозного выпота. Своевременно начатая антибактериальная терапия позволяет подавить экссудативные процессы и способствует спонтанной резорбции жидкости. В случае неадекватно подобранной противомикробной терапии в плевральном экссудате начинается рост и размножение гноеродной флоры, что приводит к переходу плеврита в следующую стадию.
- Фибринозно-гнойная стадия. В этой фазе эмпиемы плевры вследствие увеличения количества бактерий, детрита, полиморфно-ядерных лейкоцитов экссудат становится мутным, приобретая гнойный характер. На поверхности висцеральной и париетальной плевры образуется фибринозный налет, возникают рыхлые, а затем плотные спайки между листками плевры. Сращения образуют ограниченные внутриплевральные осумкования, содержащие скопление густого гноя.
- Стадия фиброзной организации. Происходит образование плотных плевральных шварт, которые, как панцирь, сковывают поджатое легкое. Со временем нефункционирующая легочная ткань подвергается фиброзным изменениям с развитием плеврогенного цирроза легкого.
В зависимости от этиопатогенетических механизмов различают эмпиему плевры:
- метапневмоническую и парапневмоническую (развившуюся в связи с пневмонией),
- послеоперационную
- посттравматическую.
По длительности течения эмпиема плевры может быть острой (до 1 мес.), подострой (до 3-х мес.) и хронической (свыше 3-х мес.). С учетом характера экссудата выделяют гнойную, гнилостную, специфическую, смешанную эмпиему плевры. Возбудителями различных форм эмпиемы плевры выступают неспецифические гноеродные микроорганизмы (стрептококки, стафилококки, пневмококки, анаэробы), специфическая флора (микобактерии туберкулеза, грибки), смешанная инфекция.
По критерию локализации и распространенности эмпиемы плевры бывают:
- односторонними и двусторонними;
- субтотальными, тотальными, отграниченными: апикальными (верхушечными), паракостальными (пристеночными), базальными (наддиафрагмальными), междолевыми, парамедиастинальными.
По объему гнойного экссудата:
- малая - при наличии 200-500 мл гнойного экссудата в плевральных синусах;
- средняя - при скоплении 500–1000 мл экссудата, границы которого доходят до угла лопатки (VII межреберье);
- большая - при количестве выпота более 1 литра.
Пиоторакс может быть закрытым (не сообщающимся с окружающей средой) и открытым (при наличии свищей – бронхоплеврального, плеврокожного, бронхоплевральнокожного, плевролегочного и др.). Открытые эмпиемы плевры классифицируются как пиопневмоторакс.
Симптомы эмпиемы плевры
Острый пиоторакс манифестирует с развития симптомокомплекса, включающего ознобы, стойко высокую (до 39°С и выше) или гектичекую температуру, обильное потоотделение, нарастающую одышку, тахикардию, цианоз губ, акроцианоз. Резко выражена эндогенная интоксикация: головные боли, прогрессирующая слабость, отсутствие аппетита, вялость, апатия.
Вследствие потери белков и электролитов развиваются волемические и водно-электролитные расстройства, сопровождающиеся уменьшением мышечной массы и похуданием. Лицо и пораженная половина грудной клетки приобретают пастозность, возникают периферические отеки. На фоне гипо- и диспротеинемии развиваются дистрофические изменения печени, миокарда, почек и функциональная полиорганная недостаточность. При эмпиеме плевры резко возрастает риск тромбозов и ТЭЛА, приводящих к гибели больных. В 15% случаев острая эмпиема плевры переходит в хроническую форму.
Распознавание пиоторакса требует проведения комплексного физикального, лабораторного и инструментального обследования. При осмотре пациента с эмпиемой плевры выявляется отставание пораженной стороны грудной клетки при дыхании, асимметричное увеличение грудной клетки, расширение, сглаживание или выбухание межреберий. Типичными внешними признаками больного с хронической эмпиемой плевры служат сколиоз с изгибом позвоночника в здоровую сторону, опущенное плечо и выступающая лопатка на стороне поражения.
Перкуторный звук на стороне гнойного плеврита притуплен; в случае тотальной эмпиемы плевры определяется абсолютная перкуторная тупость. При аускультации дыхание на стороне пиоторакса резко ослаблено или отсутствует. Дополняют физикальную картину данные инструментальной диагностики:
- Рентген. Полипозиционная рентгенография и рентгеноскопия легких при эмпиеме плевры обнаруживают интенсивное затенение. Для уточнения размеров, формы осумкованной эмпиемы плевры, наличия свищей выполняют плеврографию с введением водорастворимого контраста в плевральную полость. Для исключения деструктивных процессов в легких показано проведение КТ, МРТ легких.
- Сонография. В диагностике ограниченных эмпием плевры велика информативность УЗИ плевральной полости, которое позволяет обнаружить даже небольшое количество экссудата, определить место выполнения плевральной пункции.
- Оценка экссудата. Решающее диагностическое значение при эмпиеме плевры отводится пункции плевральной полости, с помощью которой подтверждается гнойный характер экссудата. Бактериологический и микроскопический анализ плеврального выпота позволяет уточнить этиологию эмпиемы плевры.
Лечение эмпиемы плевры
Санация плевральной полости
При гнойном плеврите любой этиологии придерживаются общих принципов лечения. Большое значение придается раннему и эффективному опорожнению плевральной полости от гнойного содержимого. Это достигается с помощью дренирования плевральной полости, вакуум-аспирации гноя, плеврального лаважа, введения антибиотиков и протеолитических ферментов, лечебных бронхоскопий. Эвакуация гнойного экссудата способствует уменьшению интоксикации, расправлению легкого, спаиванию листков плевры и ликвидации полости эмпиемы плевры.
Системная терапия
Одновременно с местным введением противомикробных средств назначается массивная системная антибиотикотерапия (цефалоспорины, аминогликозиды, карбапенемы, фторхинолоны). Проводится дезинтоксикационная, иммунокорригирующая терапия, витаминотерапия, переливание белковых препаратов (плазмы крови, альбумина, гидролизатов), растворов глюкозы, электролитов. С целью нормализации гомеостаза, снижения интоксикации и повышения иммунорезистентных возможностей организма выполняется УФО крови, плазмаферез, плазмоцитоферез, гемосорбция.
Физиореабилитация
В период рассасывания экссудата назначаются процедуры, предотвращающие образование плевральных сращений - дыхательная гимнастика, ЛФК, ультразвук, классический, перкуторный и вибрационный массаж грудной клетки.
Хирургическое лечение
При формировании хронической эмпиемы плевры показано хирургическое лечение. При этом может выполняться торакостомия (открытое дренирование), плеврэктомия с декортикацией легкого, интраплевральная торакопластика, закрытие бронхоплеврального свища, различные варианты резекции легкого.
Осложнениями эмпиемы плевры могут являться бронхоплевральные свищи, септикопиемия, вторичные бронхоэктазы, амилоидоз, полиорганная недостаточность. Прогноз при эмпиеме плевры всегда серьезный, летальность составляет 5-22%. Профилактика эмпиемы плевры заключается в своевременной антибиотикотерапии легочных и внелегочных инфекционных процессов, соблюдении тщательной асептики при хирургических вмешательствах на грудной полости, достижении быстрого расправления легкого в послеоперационном периоде, повышении общей резистентности организма.
Лечение посттравматической эмпиемы плевры - методы
Центральное место в комплексном лечении эмпиемы плевры занимает ранняя и полноценная санация всей плевральной полости, что бывает не так часто, или чаще — ограниченных гнойных полостей. При обнаружении очага гнойной инфекции под контролем УЗИ намечают точку наиболее безопасного и эффективного дренирования и устанавливают в этот очаг двухпросветную силиконовую трубку ТММК 8 мм, несущую 2-3 боковых отверстия, равных диаметру трубки.
В наших наблюдениях в остром периоде развития эмпиемы плевры всем пострадавшим выполняли дренирование плевральной полости с фракционным промыванием и аспирацией содержимого. Видеоторакоскопическая санация полости плевры произведена у 4 пациентов. Показанием к торакотомии, выполненной в трех наблюдениях в остром периоде нагноения, был большого объема свернувшийся гемоторакс спустя 3-4 нед. после ранения, однако на операции были установлены признаки нагноения гемоторакса, что потребовало выполнения плеврэктомии и декортикации легкого.
Показания к операции в срок от 30 до 90 сут установлены лишь у 4 пострадавших (3,8%): в одном наблюдении причиной хронизации гнойного процесса служило инородное тело в полости эмпиемы, в остальных трех — респираторно-плевральные свищи.
Из них у одного пациента со свищом левого главного бронха после пневмонэктомии по поводу огнестрельного ранения корня левого легкого поэтапно выполнена трансстернальная трансперикардиальная окклюзия главного бронха с последующей плеврэктомией и торакопластикой; у другого пострадавшего — торакотомия, плеврэктомия и атипичная резекция легкого; у третьего пациента с трахеоплевральным свищом после цервикоторакального ранения произведена чресшейная медиастинотомия, разобщение свища с использованием грудино-ключично-сосцевидной мышцы. При лечении эмпиемы плевры с бронхоплевральными свищами у 4 пациентов выполнена временная окклюзия бронхов III—IV порядка, а у 2 — торакоскопическая коагуляция свища в полости эмпиемы. Адекватное дренирование полости эмпиемы оказалось достаточным для выздоровления других 5 пациентов с бронхоплевральными свищами, однако продолжительность лечения при этом была в 1,5 раза выше, чем у пострадавших с неосложненной эмпиемой плевры.
Длительность дренирования в среднем составила 27+3,4 дня. Крайне редко, в случаях длительно существующих бронхоплевральных свищей и эмпиемы плевры, когда развивается цирроз доли легкого, и она становится неспособной к расправлению, полости, оставшиеся после плеврэктомии и декортикации, заполняют мышечной тканью на сосудистой ножке. В передних отделах плевральной полости используют большую грудную мышцу, в боковых и задних отделах — переднюю зубчатую мышцу, или широчайшую мышцу спины [Regnard J. F. et al.]|.
С учетом недостаточности фагоцитарного и В-клеточного звеньев иммунной системы, выявленной нами у пострадавших с гнойными осложнениями ранений груди [Абакумов М.М., Булава Г.В.], в комплексном лечении посттравматичекой эмпиемы плевры резко возрастает роль иммунной и детоксикационной терапии.

При наличии фебрильной температуры тела, лейкоцитоза с палочкоядерным сдвигом, высокой СОЭ, 2-3-кратпого повышения уровня циркулирующих иммунных комплексов (ЦИК) на фоне гиперактивации кислородного метаболизма нейтрофилов и существенного дефицита лимфоцитов, необходимо проведение последовательной комплексной инфузионной, трансфузионной и иммунотерапии после дренирования эмпиемы плевры в следующей последовательности:
1) реополиглюкин 400 мл внутривенно (для уменьшения агрегации форменных элементов крови);
2) гемодез 200 мл внутривенно для связывания и выведения токсических веществ;
3) сбалансированные солевые растворы в объеме 1-1,5 л для поддержания реологических свойств крови, увеличения диуреза;
4) свежезамороженную плазму и альбумин для поддержания онкотического давления и детоксикации.
При ареактивном течении эмпиемы наблюдается нормальная или субфебрильная температура, нормальное число лейкоцитов без иалочкоядерного сдвига, лимфопения с преимущественным дефицитом В-лимфоцитов, снижение количества фагоцитирующих нейтрофилов на фоне многократного повышения уровня циркулирующих иммунных компонентов. В таких случаях мы используем внутривенное введение лейкина на протяжении 3-5 дней (ежедневно или через день) в дозе 50-100 мг/кг массы тела.
Препарат растворяют в 400 мл изотонического раствора хлорида натрия и вводят внутривенно в течение 1,5-2 ч Для предупреждения возможной гипертермической реакции за 30 мин до вливания целесообразно подкожно ввести нестероидный противовоспалительный препарат (диклофенак, индометацин).
Летальность при эмпиеме плевры наблюдалась только в остром периоде воспаления (7-32-е сутки после травмы) и составила 13,3% (15 наблюдений из 105). Формирование остаточной сухой полости отмечено у 2 из 90 выживших пострадавших с эмпиемой плевры (2,2%), один пациент переведен в туберкулезный стационар в связи с выявленной активной формой легочного туберкулеза.
Редактор: Искандер Милевски. Дата обновления публикации: 18.3.2021
Читайте также:
