Врожденная дисплазия тазобедренного сустава
Добавил пользователь Владимир З. Обновлено: 29.01.2026
На приеме у ортопеда в первый месяц жизни ребенка может выясниться неприятная деталь: у малыша - незрелость тазовых костей. Чаще всего при этом детский врач произносит слова «дисплазия тазобедренного сустава», которые мгновенно пугают всех без исключения молодых родителей. Но пугаться — это совсем не то, что нужно делать в этой ситуации. Нужно запастись терпением и строго выполнять рекомендации лечащего врача. Тем не менее все медики окажутся правы, когда скажут вам, что дисплазия суставов, которая осталась без внимания родителей и врачей на первом году жизни малыша, может уже к двум-трем годам сформировать у ребенка тяжелейшие воспалительные процессы, болезненный вывих бедра и в будущем - хромоту на всю жизнь.
Дисплазия тазобедренного сустава – это врожденное нарушение процесса образования сустава, которое может стать причиной вывиха или подвывиха головки бедра. При данном состоянии может наблюдаться либо недоразвитие сустава, либо его повышенная подвижность в комбинации с недостаточностью соединительной ткани. Предрасполагающими факторами являются неблагоприятная наследственность, гинекологические болезни матери и патология беременности. Дисплазия тазобедренного сустава в 10 раз чаще встречается у тех детей, родители которых имели признаки врождённого вывиха бедра и у родившихся при тазовом предлежании плода, чаще при первых родах. Часто дисплазия выявляется при медикаментозной коррекции беременности, при беременности, осложнённой токсикозом. Чаще поражается левый тазобедренный сустав (60 %), реже правый (20 %) или оба (20 %). Замечена связь заболеваемости с экологическим неблагополучием. При несвоевременном выявлении и отсутствии должного лечения дисплазия тазобедренного сустава может стать причиной нарушения функции нижней конечности и даже выхода на инвалидность. Поэтому данную патологию необходимо выявлять и устранять в раннем периоде жизни малыша.
Дисплазия тазобедренного сустава может проявляться в самых разных формах. Различают три основные формы дисплазий: дисплазию вертлужной впадины — ацетабулярную дисплазию; дисплазию проксимального отдела бедренной кости; ротационные дисплазии.
При своевременном обнаружении и правильном лечении прогноз условно благоприятный.
Статистика утверждает: до 25 % новорожденных ребятишек имеют ту или иную форму дисплазии тазобедренного сустава, иными словами - рождаются с подвывихами. В большинстве случаев под постоянным наблюдением ортопеда суставы самостоятельно «дорастают» и приходят в анатомическую норму. В остальных — им просто нужно немного помочь.
Предварительный диагноз может быть выставлен еще в роддоме. В этом случае нужно в течение 3-х недель обратиться к детскому ортопеду, который проведет необходимое обследование и составит схему лечения. Кроме того, для исключения данной патологии всех детей осматривают в возрасте 1- 4 месяцев. Особое внимание обращают на детей, которые входят в группу риска. К данной группе относят всех пациентов, в анамнезе у которых наблюдался токсикоз матери во время беременности, крупный плод, тазовое предлежание, а также тех, чьи родители тоже страдают дисплазией. При выявлении признаков патологии ребенка направляют на дополнительные исследования.
Для уточнения диагноза применяются такие методики, как рентгенография и ультрасонография. У детей раннего возраста значительная часть сустава образована хрящами, которые не отображаются на рентгенограммах, поэтому до достижения 2-3-месячного возраста этот метод не используется. Ультразвуковая диагностика является хорошей альтернативой рентгенологического исследования у детей первых месяцев жизни. Эта методика практически безопасна и достаточно информативна.
При дисплазии существенно изменяется форма, взаимоотношение и размеры структур тазобедренного сустава. Тазобедренный сустав новорождённого даже в норме является незрелой биомеханической структурой. При нарушении развития сустава избыточно эластичные связки и суставная капсула не способны удерживать головку бедренной кости в суставной впадине, она смещается вверх и латерально (кнаружи). При определённых движениях головка бедра может выйти за пределы вертлужной впадины. Такое состояние сустава называется «подвывих». При тяжёлой форме дисплазии тазобедренного сустава головка бедренной кости полностью выходит за пределы вертлужной впадины, такое состояние называется «вывих бедра». Дисплазия тазобедренного сустава может проявляться не только в виде нарушения вертлужной впадины (ацетабулярная дисплазия), но и в виде неправильного развития проксимального отдела бедренной кости.
Подозрение на дисплазию возникает при наличии укорочения бедра, асимметрии кожных складок, ограничении отведения бедра и симптоме соскальзывания Маркса-Ортолани. Асимметрия паховых, подколенных и ягодичных кожных складок обычно лучше выявляется у детей старше 2-3 месяцев. Во время осмотра обращают на разницу в уровне расположения, формы и глубины складок. Следует учитывать, что наличия или отсутствия данного признака недостаточно для постановки диагноза. При двухсторонней дисплазии складки могут быть симметричными. Кроме того, симптом отсутствует у половины детей с односторонней патологией. Асимметрия паховых складок у детей от рождения до 2 месяцев малоинформативна, поскольку иногда встречается даже у здоровых младенцев. Но самым важным признаком, свидетельствующим о врожденном вывихе бедра, является симптом «щелчка» или Маркса-Ортолани. Медленно отводят бедра равномерно в обе стороны. При нормальных отношениях в суставах оба бедра в положении крайнего отведения почти касаются наружными поверхностями плоскости стола. При вывихе головка бедра в момент отведения соскальзывает в вертлужную впадину, что сопровождается характерным толчком – момент, когда головка бедренной кости из положения вывиха вправляется в вертлужную впадину.
Еще один симптом, свидетельствующий о патологии сустава – ограничение движений. У здоровых новорожденных ножки отводятся до положения 80-90° и свободно укладываются на горизонтальную поверхность стола. При ограничении отведения до 50-60° есть основания заподозрить врожденную патологию. У здорового ребенка 7-8 месяцев каждая ножка отводится на 60-70°, у малыша с врожденным вывихом – на 40-50°.
Основной метод профилактики дисплазии тазобедренного сустава широкое пеленание. Как только в 1971 году национальная оздоровительная программа провела пропаганду широкого пеленания, уже спустя несколько лет только 0,2% ребятишек в возрасте после года страдали этим недугом. Ортопедические устройства, которые надежно фиксируют ножки младенца в согнутом и разведенном виде. К таким устройствам относятся всевозможные шины (своего рода распорки между ног), пластиковые корсеты и даже гипсовые фиксаторы. Самое популярное фиксирующее приспособление — это так называемые стремена Павлика. Причем Павлик здесь — это не мальчик, который первым испробовал на себе чудо-агрегат, а талантливый чешский врач-ортопед, придумавший фиксировать ножки малыша с помощью особой шлейки. Массаж и гимнастика. Конкретным упражнениям и приемам для ежедневного массажа и гимнастики вас обучит ваш лечащий ортопед, поскольку набор манипуляций строго зависит от того, как именно недо-сформирован сустав. Использование переносок, слингов, рюкзачков и автокресел. Но только тех моделей, которые позволяют малышу свободно держаться, широко расставив ноги в стороны. В странах Азии и Африки, где женщины издревле носят своих младенцев на себе, привязывая их себе на спину или на живот (то есть ребенок все время проводит в положении сидя, с широко расставленными ножками), такого явления как дисплазия тазобедренного сустава у детей вообще не существует.
Лечение должно начинаться в самые ранние сроки. Увы, но лечение дисплазии — дело не быстрое. Как правило, оно занимает несколько месяцев, иногда — год-полтора. Это и понятно: тазобедренный сустав не может принять правильное положение и обрасти надежными связками за пару дней. Но поверьте, ваши старания и терпение того стоит! Конечно, не слишком приятно ежедневно «стреножить» свою кроху ортопедическими стременами, а на ночь пеленать его с подушкой между ног или «заковывать» в пластиковый корсет. Но лучше немного погрустить, пока ему еще нет и года, чтобы потом увидеть, как лихо он отплясывает в свои 17-18 лет на выпускном балу. Чем наоборот: умиляться кривенькими ножками сейчас и бездействовать, а потом пожинать ужасные последствия своей беспечности. Не так ли?
Врожденная дисплазия тазобедренного сустава. Автор статьи: травматолог-ортопед, к.м.н Мозгунов Алексей Викторович.

Согласно поликлиническим нормам новорожденный ребенок должен быть обязательно осмотрен первый раз детским ортопедом на сроке 1-3 мес. Одна из целей визита к ортопеду – исключение или раннее выявление так называемой врожденной дисплазии тазобедренного сустава (ДТС). Суть проблемы заключается в следующем. Тазобедренный сустав состоит из суставной впадины таза и расположенной в ней головки бедренной кости. При дисплазии суставная впадина отстает в развитии и не удерживает полноценно головку бедра. Выделяют следующие степени ДТС: собственно дисплазия, подвывих и вывих бедра. В случае дисплазии положение головки бедренной кости в суставной впадине нестабильно, может иметь место так называемый «люфт». При подвывихе головка бедренной кости смещена, но еще сохраняется контакт ее с суставной впадиной. При вывихе головка бедра находится вне сустава. На практике чаще встречаются первые две степени ДТС.
- В чем опасность дисплазии? Нижние конечности ребенка формируются в срок до пяти лет. Однако первый год жизни – это период особо бурного, интенсивного развития. Если ребенок начинает ходить на диспластичных суставах, то возможность их правильного доразвития прекращается. «Коварство» дисплазии заключается в том, что родители ребенка до определенного времени не замечают каких-либо отклонений. Однако неполноценные суставы как «бомба замедленного действия» могут проявить себя в любом возрасте. Так, в возрасте пяти-семи лет у ряда детей ДТС может способствовать возникновению сосудистых нарушений в головке бедра - так называемой болезни Пертеса - с исходом в некроз, разрушением головки бедра, болями, хромотой и инвалидностью. В более старшем возрасте, при физических нагрузках, занятиях спортом, после службы в армии, у молодых мам после родов и пр., также может наступить декомпенсация в больном суставе. В этих случаях диагностируется диспластический коксартроз – хроническое заболевание тазобедренного сустава, причиной которого является нелеченое или неправильно леченое детское состояние. Считается, что причиной возникновения дисплазии является целый комплекс факторов. Значительную роль играет наследственность. Так, ДТС в 80% случаев встречается у девочек, а в 60% - с левой стороны. ДТС выявляется в 10 раз чаще у детей, родившихся при тазовом предлежании плода и при первых родах. Часто дисплазия выявляется при медикаментозной коррекции беременности и беременности, осложненной токсикозом. Замечена связь заболеваемости с экологическим неблагополучием, а также с традицией тугого пеленания выпрямленных ножек ребенка. Одним из признаков дисплазии считается асимметрия бедренных и ягодичных складок. Действительно, этот признак может встречаться при выраженной степени заболевания – подвывихе или вывихе. Однако часто асимметрия встречается и у здоровых детей как особенность взаимного расположения жировых складок. Другой клинический признак ДТС – «щелчок» в суставе. Причина его – «выскальзывание» головки бедра из суставной впадины при сведении бедер ребенка и вправление головки на место при разведении ножек. Однако ощущаемый симптом «щелчка» может и не иметь отношения к тазобедренному суставу или же возникать по другой причине, например, при выраженной мышечной гипотонии. Кроме того, на втором месяце жизни ребенка этот симптом, как правило, исчезает. В этом случае ведущим становится признак ограничения разведения бедер. Диспластичный сустав является источником беспокойства ребенка, особенно при наличии подвывиха, при этом рефлекторно, чтобы ограничить движения в суставе и устранить боль, усиливается тонус ягодичных мышц. Однако ограничение разведения бедер также не всегда связано с дисплазией, а например, имеется и при мышечном гипертонусе неврологического характера. Кроме того, в возрасте 5-6 мес разведение ножек в норме несколько уменьшается. На прием к ортопеду желательно идти с результатами так называемого скрининг-УЗИ, включающего обследование тазобедренных суставов. Сейчас в поликлиниках г. Казани эта процедура стала обязательной у детей первых 3 мес. Однако, к сожалению, не все родители выполняют ее, а где-то она все еще недоступна. Результаты УЗИ – своеобразный «совещательный голос» при клиническом осмотре. Но, как бы то ни было, клинические данные рассматриваются как более значимые. К сожалению, УЗИ тазобедрен ных суставов по ряду причин (субъективизм обследования, беспокойство ребенка и др.) не является абсолютно достоверным методом исследования. Объективным методом диагностики дисплазии является рентгенография тазобедренных суставов. Однако выполнять ее можно только с 3 мес., по мере достижения организма ребенка определенной «зрелости». Также в момент рентгенографии необходимо следить за правильностью укладки ребенка – положением таза и ножек. Грамотный ортопед перед назначением на рентген обязательно обратит на это внимание родителей. В тех случаях, когда ребенку 1-2 мес., но имеются четкие клинические признаки дисплазии, лечение назначают сразу, а рентгенографию откладывают до 3-4 мес. В сомнительных случаях в этом же возрасте назначается повторное УЗИ или же профилактическое лечение с повторным УЗИ или рентгенографией в 3 мес.
- Оценка рентгенограмм ни в коем случае не должна проводиться «на глазок», а только инструментально – при помощи транспортира и линейки. Снимок должен быть обязательно «расчерчен» с измерением специальных параметров. Именно по ним ставится диагноз или же принимается решение о прекращении лечения. Таким образом, видно, что клиническая диагностика ДТС не так проста, имеет много тонкостей и нюансов, а потому диагноз не должен ставиться самостоятельно, или «через Интернет», или врачами иных специальностей. Принципы лечения ДТС следующие. Во-первых, необходимо придать ножкам ребенка такое положение, чтобы головка бедра была правильно расположена в суставной впадине. Это достигается за счет использования особых ортопедических устройств. «Золотым стандартом» в детской ортопедии при лечении ДТС считаются так называемые стремяна Павлика – система из специальных кожаных ремешков, обеспечивающих сгибание и разведение ножек в тазобедренных суставах. В стремянах ребенок не может выпрямить ножки, а значит и вставать на них, но при этом они не мешают детям ползать и сидеть. Носить стремяна нужно постоянно, снимая лишь несколько раз в день для гигиены и гимнастики. Наложение стремян на каждого ребенка – процесс индивидуальный, осуществлять его должен ортопед . В ряде случае у детей до 3 мес. возможно использование так называемой подушки Фрейки – распорки между ног, похожей на «памперс». Однако после рентгенологического подтверждения диагноза следует сразу же перейти на стремяна Павлика. К сожалению нередки случаи поздней диагностики ДТС - во втором полугодии жизни, когда дети уже самостоятельно сидят, а некоторые – стоят в кроватке. Часто наложение стремян Павлика в этом возрасте не представляется возможным – дети просто «выскальзывают» из них, вытаскивают ножки, лечение стремянами превращается в мучение для родителей. В этом случае необходимо использовать так называемые отводящие шины по типу «ортопедических кроваток», лечебный эффект которых, к сожалению, значительно уступает стремянам Павлика. И наконец, при значительном подвывихе или вывихе бедра стремяна Павлика также оказываются неэффективными. В этом случае для вправления головки бедра в сустав используется специальное функциональное вправление при помощи гипсовых «сапожков» и шины-распорки. Второй принцип лечение - улучшение кровообращения в больном суставе. Достигается это массажом и элементами лечебной физкультуры тазобедренных суставов до нескольких раз в день, несложным приемам которых обучаются родители. Помимо этого необходимы также и курсы профессионального массажа. С 4 мес. становится возможным добавить физиотерапевтическое лечение в виде парафиновых аппликаций на тазобедренные суставы и электрофореза с сосудорасширяющими препаратами на поясничнокрестцовый отдел. При ДТС трехмесячный курс является стандартным ортопедическим сроком лечения. В конце его – контрольная рентгенография. При нормализации рентгенологических параметров лечение прекращают. Ребенок может учиться стоять и ходить. Профилактически возможно назначение массажа и физиотерапии. Однако иногда возникает необходимость продолжить лечение. Но даже в этом варианте при ранней диагностике и начале лечения (до 3 мес.) лечение оканчивается к возрасту, когда большинство детей начинают вставать на ножки (9 мес.). Следует помнить, что ДТС – серьезное заболевание, заканчивающееся полным выздоровлением при ранней диагностике и адекватном лечении. При этом роль родителей в процессе лечения не менее ответственна и важна, чем роль врача. Первый шаг к этому - ранний профилактический осмотр у специалиста. Задача ортопеда – установить правильный диагноз и назначить оптимальное лечение. Задача родителей – обеспечить выполнение этого лечения, создать необходимые условия и проконтролировать его. К сожалению, до сих пор нередки ситуации, когда родители выполняют лечебные рекомендации не полностью или же вообще отказываются от них.
Вы можете записаться на услугу или получить более подробную информацию, по телефону:
Дисплазия тазобедренного сустава
Дисплазия тазобедренного сустава— это не только деформация бедра, но и нарушения оссификации в детском возрасте. Таким образом данное заболевание относится к наиболее часто встречающимся патологиям костной системы новорожденных.
Сначала заболевание проходит безболезненно. Однако со временем боль усиливается, что может иметь серьёзные последствия: боль в паху, преждевременный износ (коксартроз), вывих головки бедра из суставной впадины. Запущенная стадия болезни может привести к ограниченной подвижности нижних конечностей.

При ходьбе, беге и прямой походке бедро подвергается большим нагрузкам. Костными фрагментами, покрытыми хрящевой поверхностью (синий), являются вертлужная впадина (Acetabulum) и головка бедренной кости (Caput femoris). Все движения в происходят поэтому без боли. Общая суставная капсула окружает эти элементы бедра и способствует его стабилизации.© Gelenk-Klinik
Что такое дисплазия тазобедренного сустава?
При дисплазии тазобедренного сустава наблюдаются повреждения суставной впадины (Acetabulum). Данный фрагмент бедра недостаточно покрывает сферическую головку бедренной кости, а бедренная кость в свою очередь непрочно закрепляется и не центрируется в суставе. При чрезмерных нагрузках существует вероятность вывиха.
В 60% случаев дисплазия появляется на левом бедре, а в 20% случаев данному заболеванию подвержен правый сустав. Согласно научным исследованиям, младенцы женского пола страдают данной патологией от 2 до 6 раз чаще, чем мальчики.
Симптомы дисплазии тазобедренного сустава
Симптомы дисплазии тазобедренного сустава у взрослых:
- боли в околопаховой области, зависящие от степени нагрузок
- боковая боль в бедре
- боли в ноге во время ходьбы и прямого положения тела
- нарушения походки (хромота, "шарканье") , в спине или в голеностопном суставе
Как дисплазия тазобедренного сустава может вызвать артроз?
Невовремя начатое лечение уже является причиной болей в паху и области бедра у подростков. Причиной этого является статическая перегрузка нестабильного, травмированного бедра всей массой тела. По этой же причине повреждается край вертлужной впадины и хрящевой слой.
В тяжёлых случаях пациенту требуется эндопротезирование уже в 40 лет.

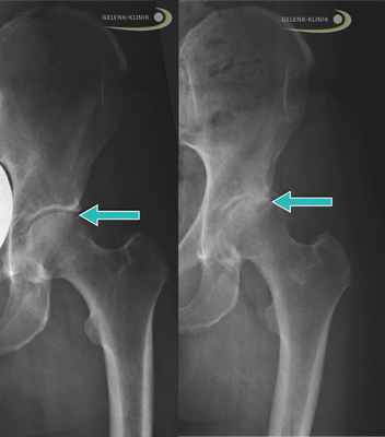
Слева: Рентген здорового бедра у взрослого. Стрелой отмечена суставная щель между крышей вертлужной впадины (Acetabulum) и головкой бедренной кости (Caput femoris). Справа: Рентген тазобедренного сустава, изменённого вследствие артроза, неравномерные высветления указывают на дегенеративные изменения. © Gelenk-Klinik
Долгие годы тазобедренный сустав компенсирует искривление так, что боль почти не чувствуется. Подвижность пострадавших может быть несколько ограничена, а завязывать шнурки с каждым годом становится все труднее. Несмотря на это может появиться и неспецифическая боль в лодыже или в колене, которая не имеет конкретной причины и часто не может быть вызвана чрезмерным давлением.

Слева: неправильное положение тазовых костей и следующее из этого сколиотическое положение позвоночника. Причиной может быть дисплазия. © Koterka Studio, Adobe Stock
Для специалистов Геленк Клиники дифференциальная диагностика различных сопутствующих заболеваний детской дисплазии является не простой задачей. Возможно, разная длина ног стала причиной неправильного положения тазовых костей, что негативно сказалось на статике всего тела.
Для того чтобы выровнять данную асимметрию, позвоночник принимает сколиотическое положение, что в свою очередь может привести к боли в спине, головным болям, а также неприятным ощущениям в области шеи и нижних конечностях. Кроме того, могут появиться болезненные ощущения в пятках и голеностопе.
Эндопротезирование при прогрессирующем артрозе

При поверхностном эндопротезировании McMinn эндопротез покрывает головку бедра, поражённую артрозом. Протез для замены поверхности сустава является более костесохраняющим и щадящим, чем тотальный эндопротез. © digitale-fotografien, Adobe Stock
На прогрессирующей стадии износа, спровоцированной артрозом и вслучае безуспешности консервативного лечения ортопеды Геленк Клиники в Германии обсуждают с пациентом необходимость эндопротезирования.
В зависимости от степени артроза пациенту предлагают частичное эндопротезирование, либо рассматривают вариант тотального эндопротезирования. Если вертлужная впадина не повреждена, но травмирована головка бедренной кости врачи прибегают к поверхностной замене. Вслучае деформации двух элементов имеет смысл операция по тотальному эндопротезированию.
Причины дисплазии тазобедренного сустава у взрослых и детей
На развитие дисплазии влияют генетические, механические и гормональные факторы. Также заболевание могут спровоцировать воздействия окружающей среды. Таким образом дисплазия бедра является мультифакториальным заболеванием.
Факторы риска врожденной дисплазии:
- нехватка места в матке
- ягодичное предлежание плода
- женский пол
- генетическая предрасположенность
- дополнительные неврологические либо мышечные заболевания, нарушения обмена веществ, хромосомные аномалии
У взрослых вывих бедра как тяжёлая форма дисплазии может быть вызван падением с большой высоты либо столкновением с движущимся впереди автомобилем. Из-за высокой энергии удара, может произойти частичный или полный вывих тазобедренного сустава.
Диагностика: как проходит обследование в Геленк Клинике?
Кроме УЗИ тазобедренного сустав по Графу, которое проводится для диагностики дисплазии у детей, в Геленк Клинике проводится ряд визуализационных обследований для взрослых и подростков.
Для подтверждения диагноза взрослых пациентов направляют на рентген таза. Для оценки результатов врачу необходимо ответить на следующие вопросы:
- Перекрывает ли вертлужная впадина головку бедра в нужном объёме?
- Каково положение головки бедренной кости?
Лечение дисплазии тазобедренного сустава
Боль в тазобедренном суставе у взрослых может возникнуть по разным причинам:
- деформация шейки бедра
- защемление сустава вследствие импинджмента бедра
- искривлённое положение вертлужной впадины
В лечении этого дефекта врач использует проверенные, коррекционные методики. Деформации вертлужной впадины и шейки бедра вызывают у пациентов сильную боль в паху, если при определённых движениях бедренная кость ударяется о крышу вертлужной впадины. Такую патологию в медицинских кругах называют бедренно-вертлужный импинджмент или синдром бедренно-вертлужного соударения. Цель лечения заключается в предотвращении износа тазобедренного сустава.
На начальной стадии артроза хирурги проводят тройную остеотомию таза по Тённису. При наличии других деформаций бедренной кости проводят комбинированное хирургическое лечение.
Как долго можно находиться на больничном после операции?

После операции физиотерапевты помогают пациенту ориентироваться в повседневной жизни. Они учатся обращаться с подлокотными костылями и подниматься по лестнице. © Gelenk-Klinik
Срок пребывания в Геленк Клиники большинства пациентов составляет от 10 до 12 дней.
Во время стационарного лечения физиотерапевты показывают какие упражнения для укрепления мышц разрешается выполнять уже на 2 день после операции. Через несколько дней упражнения с костылями и поднятие по лестнице подготавливает пациента к выписке.
В течение 6-ти недель после вмешательства не разрешается сгибать бедро более чем на 60 градусов. Таким образом в этот период запрещается сидеть. Начиная с 7 недели пациент может сгибать бедро на 90 градусов. Во время всех 12-ти недель после операции запрещены также какие-либо нагрузки на бедро. Лишь спустя 3-4 месяца можно возобновить офисную работу либо сидеть за компьютером.
Специалистом по лечению дисплазии тазобедренного сустава в Геленк Клинике является опытный хирург д-р Мартин Ринио. Доктор Ринио и весь коллектив Геленк Клиники ответят на все интересующие Вас вопросы и обеспечат Вам высококлассное лечение в Германии.
Врожденная дисплазия тазобедренного сустава
Врожденная дисплазия тазобедренного сустава — это врожденный порок, при котором кости тазобедренного сустава могут быть развиты неправильно.
При врожденной дисплазии тазобедренного сустава, которую раньше называли врожденным вывихом бедра, вертлюжная впадина и головка бедренной кости у новорожденного, которые обычно образуют тазобедренный сустав, разделяются, часто потому, что бедро имеет вертлюжную впадину, которая недостаточно глубока, чтобы удержать головку бедренной кости. Дисплазия тазобедренного сустава чаще встречается среди:
новорожденных, у которых присутствуют другие деформации (например, врожденные пороки стопы Косолапость и другие дефекты стопы Косолапость (эквиноварусная деформация стопы) — это врожденный порок, при котором стопа и лодыжка находятся в вывернутом положении. Обычная косолапость — это поворот вниз и внутрь задней. Прочитайте дополнительные сведенияноворожденных, у близких родственников которых присутствует дефект.
Всем новорожденным проводят профилактическое обследование для выявления врожденной дисплазии тазобедренного сустава. Врач может обнаружить дефект, двигая ноги новорожденного в тазобедренных суставах по определенной траектории. У новорожденных с подобными патологиями правая и левая нога или бедро часто внешне отличаются друг от друга. Новорожденным из группы высокого риска дисплазии тазобедренного сустава, особенно родившимся в тазовом предлежании, родившимся с другими деформациями, а также девочкам, у которых в семье есть родственники с врожденной дисплазией тазобедренного сустава, следует провести ультразвуковое исследование тазобедренных суставов в возрасте 6 недель.
Если при обследовании младенца врач обнаружил отклонение, также необходимо провести визуализирующее обследование. У младенцев в возрасте младше 4 месяцев диагноз врожденной дисплазии может подтвердить ультразвуковое исследование ультразвуковое исследование; Ультразвуковое исследование использует звуковые волны высокой частоты (ультразвуковые) для создания изображений внутренних органов и других тканей. Устройство, которое называется преобразователем. Прочитайте дополнительные сведенияРаннее лечение врожденной дисплазии тазобедренного сустава важно во избежание необходимости проведения хирургического вмешательства позже. Наилучшим лечением является раннее использование стремян Павлика. Стремена Павлика — это полужесткий корсет, который удерживает колени младенца разведенными и приведенными вверх по направлению к грудной клетке. Больше не рекомендуется использовать валик из трех пеленок или подгузники с подкладкой (ранее применявшееся лечение). Если дефект после 6-месячного возраста все еще присутствует, обычно требуется хирургическое вмешательство, чтобы зафиксировать тазобедренный сустав в нормальном положении.
ПРИМЕЧАНИЕ: Это — пользовательская версия ВРАЧИ: Нажмите здесь, чтобы перейти к профессиональной версии
Авторское право © 2022 Merck & Co., Inc., Rahway, NJ, США и ее аффилированные лица. Все права сохранены.
Дисплазия тазобедренного сустава и врожденный вывих бедра

Дисплазия тазобедренного сустава – самая частая врожденная ортопедическая патология и встречается на Украине в среднем у каждого 7 новорожденного. Врожденный вывих бедра встречается гораздо реже – примерно 1 случай на тысячу новорожденных.
Слово дисплазия в буквальном переводе означает незрелость, недорозвитие тазобедренного сустава. Дисплазия может быть «легкая» и «выраженная», отчего существенно отличается тактика лечения. Также отличается лечение дисплазии в зависимости от возраста пациента.
Какие причины дисплазии тазобедренного сустава?
Причин для возникновения дисплазии тазобедренного сустава очень много. Основные из них – наследственная предрасположенность, тазовое предлежание плода во время беременности, патология 1 триместра беременности, маловодие и многие другие. Иногда врожденно нормальный тазобедренный сустав может отставать в дальнейшем развитии и не соответствовать возрасту – тогда эта дисплазия уже не врожденная, а «приобретенная».
- ограничение разведения бедер (либо чрезмерное их разведение);
- щелчок (ощущение хруста) при разведении бедер;
- асимметрия бедренных складок.
Диагностика дисплазии тазобедренного сустава
Исторически до середины 80-х годов единственным объективным методом исследования было рентгеновское исследование, которое и сейчас не потеряло своего значения и незаменимо для диагностики состояния суставов детей старше года.
Для новорожденных и детей до 1 года золотым мировым стандартом диагностики является ультразвуковое исследование. В таких странах, как Австрия, Германия, Швейцария ультразвуковое исследование тазобедренных суставов проводится абсолютно всем детям еще в роддоме.
В Украине ультразвуковое исследование тазобедренных суставов новорожденных проводится уже более 20 лет, однако до сих пор еще остается много вопросов о том, насколько это достоверный метод диагностики. Ответ однозначен – метод абсолютно достоверный, а разночтения в диагнозе возникают не из-за недостатков метода, а из-за ошибок его исполнения, а точнее из-за непрофессионализма специалиста, который выполняет исследование. Ведь получаемое изображение сустава зависит от того, насколько правильно врач установил датчик. Не правильный всего на пару градусов наклон датчика приводит к неправильно сделанному изображению, и, соответственно, к неправильному диагнозу. Для избежания таких ошибок существует четко прописанная техника исследования и необходимые «опознавательные пункты», разработанные основоположником метода УЗИ диагностики тазобедренного сустава, профессором Р. Графом из Австрии.
В случае, когда УЗИ-снимок корректен, а только такой снимок и может анализироваться, – ультразвуковое исследование для детей в возрасте до года – более точный метод, чем рентген потому, что показывает хрящевые компоненты сустава, не видимые на рентгене, а у малышей тазобедренный сустав в большей степени хрящевой.
Мы располагаем самым большим опытом ультразвуковой диагностики дисплазии тазобедренных суставов в Украине.
В нашем Медицинском центре УЗ-диагностику проводит Вовченко Анна Яковлевна – ведущий специалист Украины в области УЗ-исследования суставов, ученица основоположника метода профессора Р. Графа. В 1993 году Анна Яковлевна прошла у него обучение в Австрии и с тех пор уже в Украине обучила более 200 врачей. Тема ее кандидатской диссертации, защищенной в 1996 году, тоже посвящена дисплазии - «Ранняя диагностика дисплазии тазобедренного сустава».
В нашем Медицинском центре проводится как диагностика, так и лечение дисплазии тазобедренных суставов. Опытные ортопеды консультируют и подбирают индивидуальный курс лечения, направленный на скорейшее выздоровление и профилактику нежелательных последствий дисплазии.
НАИБОЛЕЕ ЧАСТЫЕ ВОПРОСЫ РОДИТЕЛЕЙ
Что такое дисплазия тазобедренных суставов, в чем причина ее возникновения, не связана ли она с неправильным ведением родов или нанесенной ребенку в роддоме травмой?
- наследственное нарушение его формирования;
- тазовое предлежание, маловодие, повышенный тонус матки во время беременности;
- патология течения беременности;
- недоношенность;
- наследственная (семейная) расслабленность сумочно-связочного аппарата;
- патология нервной системы новорожденного (в основном гипертонус);
- рахит;
- дисбактериоз;
- неправильное вскармливание и тугое пеленание.
- симтом ограничения или асимметрии отведения бедер (либо разболтанность тазобедренных симптомов);
- симтом «щелчка» - при разведении бедер ребенка доктор ощущает характерное похрустывание в тазобедренном суставе;
- ассимметрия кожных складок (ягодичных, бедренных, подколенных). Этот симптом не обязательно свидетельствует о дисплазии, он может наблюдаться и у здоровых детей.
Может ли дисплазия пройти сама?
Результат нелеченной дисплазии прежде всего зависит от степени недоразвития сустава (насколько скошена крыша тазобедренного сустава, недоразвита головка бедра), а также от сопутствующих условий, тормозящих доразвитие (гипертонус, дисбактериоз, рахит и т.д.).
Если дисплазия тазобедренных суставов выражена минимально, а также отсутствуют любые отягощающие факторы в 50% она может ликвидироваться самопроизвольно. Подумайте! 50% - это каждый второй ребенок, ведь неизвестно, которым из них окажется ваш.
При выраженной дисплазии тазобедренных суставов, подвывихе и вывихе бедер спонтанная нормализация не происходит. При нелеченой дисплазии, если не произойдет ее осложнения и вследствие скошенности крыши тазобедренного сустава не произойдет подвывих или вывих бедра, ваш ребенок будет жаловаться на быструю утомляемость, боли в ногах в конце дня и после физической нагрузки, появится щадящая хромота.
При вывихе бедер, которым может осложниться нелеченная дисплазия тазобедренных суставов, кроме вышеперечисленных жалоб будет бросаться в глаза хромота ныряющего типа, так называемая «утиная походка».
Что будет, если дисплазию не лечить? Могут ли вылечить дисплазию массажист, бабка, экстрасенс…
Как долго лечить дисплазию?
Сроки лечения дисплазии индивидуальны и зависят от степени недоразвития суставов. При недоразвитии средней степени срок от начала лечения до полного излечения составляет около 3 месяцев.
Говорят (невропатолог, массажистка…), что стремена вредят лечению тонуса, как поступить?
Мнение о том, что стремена Павлика мешают лечению повышенного тонуса ошибочны, хотя даже если бы это было и так, наличие одного заболевания не исключает необходимость лечить другое. На время массажа у больных с дисплазией тазобедренных суставов (это не относится к больным с врожденным вывихом бедер) стремена можно снимать.
Не вредно ли рентгенологическое исследование при дисплазии тазобедренного сустава?
До настоящего времени не зафиксированы вредные последствия от однократного или двукратного рентгеновского исследования. Еще 20 лет назад не было другой альтернативы для объективной постановки диагноза дисплазии тазобедренного сустава. В настоящее время с появлением ультразвукового исследования рентгеновское исследование мало используется в развитых странах и применяется у детей старше 1 года, когда уже невозможно провести ультразвуковую диагностику.
Насколько достоверно УЗИ для диагностики дисплазии?
Ультразвуковое исследование тазобедренных суставов у детей в возрасте от 1 суток до 1 года в настоящее время является наиболее точным методом, его точность выше, чем у рентгеновского исследования. В Австрии, Швейцарии и Германии этот метод является обязательным и УЗ диагностика производится каждому новорожденному при выписке из роддома.
Какая диагностика и лечение дисплазии тазобедренного сустава в других странах?
Основным диагностическим методом, применяемым у детей младше года, является ультразвуковое исследование. Реже используется рентгеновское исследование.
За рубежом используются различной конструкции устройства, основанные на одном принципе лечения - обеспечить постоянное, устойчивое разведение ножек ребенка, при котором максимально быстро происходит доразвитие суставов. Различные виды ортопедических устройств представлены ниже.



Что, кроме ортопедического лечения, можно порекомендовать детям с дисплазией тазобедренных суставов для быстрейшего выздоровления?
Для быстрейшего доразвития тазобедренного сустава, кроме лечения в отводящем устройстве, крайне необходим специальный комплекс упражнений на разведение ножек, массаж ножек и ягодиц, ванны с морской солью, полноценное питание, гуляние на свежем воздухе 4-6 часов в день, солнечные ванны в летнее время, в зимнее время – общее облучение кварцем, витамин Д.
Бабушка говорит, что если не пеленать ребенка - ноги будут кривыми? Полезны ли для детей с дисплазией памперсы?
Мнение о том, что необходимо тугое пеленание ножек ребенка, не только ошибочно, но и вредно. Суставы лучше развиваются в положении ножек в разведении, поэтому использование памперсов полезно, особенно у детей с дисплазией тазобедренных суставов.
Можно ли носить ребенка в рюкзаке?
Существуют различные модели рюкзаков для ношения ребенка. Использование любой из них полезно для тазобедренных суставов, однако не все из этих моделей содержат жесткую спинку, необходимую детям, которые еще не сидят самостоятельно. Это ограничивает применение мягких рюкзаков, оно возможно только у старших детей. Модели с жесткой спинкой полезны для новорожденных и могут быть использованы, как только ребенок начинает самостоятельно держать голову.
Полезны ли ходунки и прыгунки ребенку с дисплазией?
Не рекомендуем применять ходунки и прыгунки для детей с дисплазией тазобедренных суставов, даже после ее полного излечения. Эти устройства стимулируют желание ребенка побыстрее начать ходить, тогда как наша задача, обеспечить максимальную разгрузку тазобедренных суставов и дать суставу больше времени, чтобы окрепнуть.
Что рекомендуется детям с дисплазией тазобедренных суставов после излечения в будущем?
После излечения дисплазии тазобедренных суставов (это не относится к больным с врожденным вывихом и подвывихом бедер) ребенок практически здоров, однако таким детям не рекомендуется профессионально заниматься спортом, кроме водных видов, а также крайне необходимо оставаться стройными, так как избыточный вес чрезвычайно вреден для суставов. Необходимо также помнить, что дисплазия тазобедренных суставов является наследственной, поэтому необходимо проверять братьев, сестер и следующее поколение.
Читайте также:
