Злокачественные кортикостеромы. Андростерома
Добавил пользователь Владимир З. Обновлено: 27.01.2026
Первичные опухоли надпочечников относятся к одному из важных и трудных в диагностическом и лечебном плане разделов клинической онкологии. Эти заболевания объединяют группу различных вариантов опухолей, в число которых входят и гормональноактивные опухоли надпочечников. Общепринято классифицировать опухоли надпочечников на доброкачественные и злокачественные. Это имеет важное практическое значение относительно прогноза заболевания, так как хирургическое удаление доброкачественной опухоли ведет к полному выздоровлению, тогда как прогноз при злокачественных новообразованиях сомнителен. При этом морфологические признаки злокачественности опухолей надпочечников дискутируются до настоящего времени [13,17].
Литература
1. Авдеева Т.Ф., Казеев К.Н., Демидов В.Н., Артемова A.M. Возможности неинвазивных методов исследования в топической диагностике гормонально–активных опухолей надпочечников // Хирургия надпочечников. Материалы I Всесоюзного симпозиума.–Сн.–Петербург.–1992.–С.54–56.
2. Баронин А.А. Первичные и метастатические опухоли надпочечников (клиника, диагностика, лечение, морфологические и биологические факторы прогноза). // Дисс. . докт. мед. наук. Росс. АМН. РОНЦ им. Н.Н. Блохина М.; 2003
3. Бирюкова М.С. Эндокринные заболевания и синдромы. Вирилизм. –Знание. – М. – 2000. –с. 165.
4. Блинова Л.И. Лимфатическая и кровеносная система надпочечников человека в возрастном аспекте // Автореф. дисс. . канд. мед. наук. –Иваново.–1971.–С.24.
5. Бондарь Ю.С., Котова Л.Н., Кулагин СВ. и соавт. Феохромоцитома злокачественного течения с множественными тромбоэмболическими проявлениями // Пробл. эндокринол.–1988.–т.34,№5.–с.43–45.
6. Григорян СВ., Кучинский Т.А., Молчанов Г.В. Особенности клинического течения и диагностики гигантских опухолей коры надпочечников // Тер.архив.–1989.–№ 1.–е. 124–128
7. Зографски Ст. Эндокринная хирургия. София.–1977.–с.594.
8. Казанцева И.А., Калинин А.П., Полякова Г.А. и др. Клиническая морфология кортикальных опухолей гиперплазии надпочечников // Пособие для врачей.– М.–1998.–с.З–18
9. Калинин А.П., Давыдова И.В. Феохромоцитома и сердечно–сосудистая система // Тер.архив.–1982.–т.54.–№5.–с. 143–148.
10. Керцман В.П. Клиника и лечение гормонпродуцирующих опухолей коры надпочечника // Ереван–Айастан.–1977.–с.319
11. шаткин Н.А. О редких формах феохромоцитомы // Урология.– 196О. – №2. –с.42–46.
12. Петров Ю.Л., Стебакова Л.Н. СИФ–клетки и их отношение к APUD–системе (некоторые вопросы функциональной морфологии в норме и при экспериментальных гипертензиях) // APUD–система: онкорадиологические и общепатологические аспекты.–Обнинск.–1988.–с.18–19.
13. Пилькевич О.Я. Методические аспекты эндохирургических вмешательств при новообразованиях надпочечников // Автореф.дисс.канд.мед.наук. Сн.–Петербург.–2000.–с.23.
14. Полякова Г.А., Безуглова Т.В., Богатырев О.П. и соавт. К морфологической характеристике феохромоцитом. Мат. 4–го Российского симпозиума по хирургической эндокринологии «Хирургия эндокринных желез».–Уфа.–1995.–с. 107–111.
15. Фромен Л.А., Фелиг Ф., Бродус А.Е., Бакстер Дж.Д. Клиничесие проявления эндокринных заболеваний. Эндокринология и метаболизм. (Под ред. Фелига Ф., Бакстера Дж.Д., Бродуса А.Е., Фромена Л.А.) // М.–Медицина.–1985.–т.1.–с.11–34.
16. Chinnaiyan A.M., O’Rourke К., Yu G.L., Lyons R.H., Garg M., Duan D.R., Xing L., Gentz R., Ni J., Dixit V.M. Signal transduction by DR–3, a death domain–containing receptor related to TNFR–1 and CD95. Science.–1996.–Vol.274.–p.990–992.
17. Darmon A.J., Nicholson D.W., Bleackley R.C. Activation of the apoptotic protease CPP32 by cytotoxic T–cell–derived granzyme B. Nature.–1995.–Vol.377.–p.446–448.
18. Enari M., Talanian R.V., Wong W.W., Nagata S. Sequential activation of ICE–like and CPP32–like proteases during Fas–mediated apoptosis. Nature.– 1996. –V ol.380. – p.723–726.
19. Gajewski T.F., Thompson CD. Apoptosis meets signal transduction: elimination of BAD influence. Cell.–1996.–Vol.87.–p.589–592.
20. Grimelius L. The argirophil reaction in islet cells of adult human pancreas studied with a new silver procedure. Acta Soc.Med.Upsal.–1968.–Vol.73.–p.271–294.
21. Heller R.A., Song K., Onasch M.A., Fischer W.H., Chang D., Ringold G.M. Complementary DNA cloning of a receptor for tumor necrosis factor and demonstration of a shed form of the receptor. Proc. Natl. Acad. Sci. USA.–1990.–Vol.87.–p.6151–6155.
22. Kakeji Y., Machara Y., Orita H. et al. Argyrophilic mucleolar organizer region in endoscopically obtained biopsy tissue: A useful predictor of nodal metastasis and prognosis in»carcinoma of’the stomach //J.Am.College of Surgeons.–1996.–Vol. 182.–N6.–p.482–487.
23. Knudson СМ., Tung K.S., Tourtellotte W.G., Brown G.A., Korsmeyer S.J. Bax–deficient mice with lymphoid hyperplasia and male germ cell death. Science.–1995. –Vol.270.–p.96–99.
24. Masson C, Andre C, Arnoult J., Geratid G., Herman–dez–Verdun D. Nucleolur antigen specific for the dense fibrillar component of nucleoli. J.Cell.Sci. – 1990. – Vol.95. –p.371–381.
25. Medeiros L J., Weiss L.M. New developments in the pathologic diagnosis of adrenal cortical neoplasms // A review Am.J.Clin.Pathol.–1992.–Vol.97.–p.–73–83.
26. Nagata S. Apoptosis by Death Factor. Cell.–1997.–Vol.88.–p.355–365.
27. Ochs R.Z., Lischwe M.A., Spohn W.H., Busch H. Fibrillarin: a new protein of the nucleolus indentified by autoimmune sera//Biol. Ctll.–1985.–Vol.54.–p.123–134.
28. Patel Т., Gores G.J. Apoptosis and hepatobiliary diseases // Hepatol. – 1995. – Vol.21.–p.l725–1741.
29. Sirri R., Pession A., Trere D. et al. Proportionally constant quantitative transmission of nucleolin and protein В 23 in cycling cancer cells // J.Clin. Pathol. – 1995. – Vol.48.–p.264–368.
30. Tokano Y., Miyake S., Kayagaki N., Nozawa K., Morimoto S., Azuma M., Yagita H., Takasaki Y., Okumura K., Hashimoto H. Soluble Fas Molecule in the Serum of Patients with Systemic Lupus Erythematosus. J.Clin.Immunol.–1996.–Vol.l6.–p.261–265.
31. Zhang J., Cado D., Chen A., Kabra N., Winoto A. Fas–mediated apoptosis and activation–induced T–cell proliferation are defective in mice lacking FADD/Mortl. Nature.–1998.–Vol.392.–p.296–299.
Контент доступен под лицензией Creative Commons «Attribution» («Атрибуция») 4.0 Всемирная.
Андростерома
Андростерома – одна из редко встречающихся гормонально активных опухолей надпочечников, является вирилизирующей опухолью (опухоль, при которой происходит «омужествление» – появление у женщин и усиление у мужчин мужских признаков). Андростеромы в 2 раза чаще наблюдаются у женщин, чем у мужчин. Андростеромы нередко встречаются на первом году жизни.
Локализуется опухоль либо в одном из надпочечников, либо в зонах размещения добавочной надпочечниковой ткани - в яичниках или широкой маточной связке. Опухоль выделяет большое количество андрогенов, что и определяет клиническую картину. Андростеромы могут быть доброкачественными (аденомы) и злокачественными (карциномы), но отличить их можно только при помощи изучения данных гистологического исследования. Опухоли, диаметр которых превышает 5 см, чаще всего злокачественной природы, с метастазами в легкие, печень, лимфатические узлы забрюшинного пространства и другие органы. В детском возрасте вирилизирующие опухоли обычно злокачественные.
В основе клинических признаков заболевания лежит чрезмерная выработка андростеромой андрогенов - мужских половых гормонов. Поэтому симптоматика андростеромы характеризуется активным "омужествлением" - вирилизацией.
Степень вирилизации у больных с андростеромой может быть различна, что связано с индивидуальными особенностями гормональной активности опухоли и продолжительности течения опухолевого процесса.
У детей появляются преждевременное половое оволосение, нечистота и сальность кожи, угри, наращение мышечной ткани, гипертрихоз. У девочек вирилизируется и увеличивается клитор при нормальном входе во влагалище, не развиваются или гипоплазируются молочные железы, прекращается менструация, голос становится низким. У мальчиков увеличивается половой член при отсутствии изменений яичек, появляется эрекция. У мужчин клинические проявления вирилизации менее выражены, поэтому андростерома может стать случайной находкой. У детей обоего пола ускоряются рост и скелетное созревание. Иногда выявляется гипертензия.
Общее самочувствие больных на ранних стадиях заболевания не изменяется. Порой женщины отмечают прилив сил, увеличение работоспособности, повышение полового влечения. Однако, впоследствии больные становятся раздражительными, лабильными, а иногда впадают в тяжелое депрессивное состояние. Когда опухоль достигает внушительных размеров, сдавление близлежащих нервных окончаний может приводить к болям.
Диагноз "андростерома" ставят на основании клинических признаков, данных лабораторной и инструментальной диагностики с проведением тщательного дифференцирования заболевания с другими патологическими процессами, сопровождаемыми вирилизацией (например, опухоли яичка или яичника, печени).
В настоящее время широко используется УЗИ, КТ или МР-томография для выявления расположения опухоли надпочечника, наличия метастазов.
Лабораторное исследование крови и мочи у больных с андростеромой позволяет выявить многократное увеличение концентрации андрогенов и их метаболитов. Выполняют пробы с введением адренокортикотропного гормона и дексаметазона, с целью дифференциальной диагностики с врожденной двусторонней гиперплазией и дисфункцией надпочечников.
Лечение хирургическое — удаление опухоли вместе с пораженным надпочечником. В случае метастазов операция сочетается с лучевой и химиотерапией. В отличии от лечения кортикостеромы, дальнейшей заместительной гормональной терапии обычно не требуется, так как второй надпочечник не подвергается атрофии, и сохраняет свою функцию.
Если злокачественная андростерома диагностирована в поздние сроки, когда обнаруживаются отдаленные метастазы, лечение опухоли - симптоматическое (обезболивание, химиотерапия, лучевая терапия), а прогноз - неблагоприятный.
Прогноз при своевременной диагностике и хирургической коррекции доброкачественных андростером благоприятный.
Злокачественные кортикостеромы. Андростерома
Злокачественные кортикостеромы. Андростерома
Злокачественные кортикостеромы встречаются сравнительно редко. Они обычно бывают первичными, а иногда и метастатического происхождения. Описаны злокачественные опухоли почек, которые затем поражали преимущественно пучковую зону надпочечника. Известны и врожденные злокачественные опухоли этого слоя надпочечника. Не так уж редко в клинической практике встречаются злокачественные опухоли пучковой зоны коркового слоя надпочечников в детском возрасте.
Клиническое течение злокачественных вариантов кортикостером соответствует обычно течению тяжелых форм синдрома Иценко — Кушинга. Однако иногда встречаются явно злокачественные кортикостеромы, у которых гормональная активность очень низкая; в таких случаях признаки гиперкортицизма либо проявляются незначительно, либо вообще отсутствуют (Е. G. Kepler, F. Keating).
Злокачественные кортикостеромы растут, как правило, очень быстро и могут иногда достигать огромных размеров. При этом сравнительно рано возникают обширные и отдаленные метастазы в печень и легкие, реже — в почки, яичники и кости скелета.

Для этого вида злокачественных опухолей надпочечника характерен резко выраженный атипизм клеточного строения, преобладание сравнительно крупных светлых клеток с пенистой протоплазмой. Как правило, в центральных участках такой опухоли встречаются обширные некрозы. Опухолевые клетки часто ориентируются вокруг кровеносных сосудов (по типу перителиомы), а в их протоплазме обнаруживаются в большом количестве липоидные включения. Ядра большинства злокачественных клеток различной формы и размеров и паходятся в стадии пикнотических изменений.
В некоторых клетках ядер вообще нот, либо обнаруживают их остатки в виде свободно лежащих в протоплазме глыбок ядерного хроматина. Нередко можно встретить единичные, а ипогда целые группы опухолевых клеток, находящихся в состоянии митоза. Однако в большинстве случаев делятся злокачественные клетки кортикостеромы по амитотическому типу. Нередко среди опухолевых клеток, образующих своеобразные розетки, встречаются многоядерные гигантские. Описаны случаи (Е. G. Kepler, F. R. Keating, П. Массой) прорастания клеток злокачественной кортикостеромы в околонадпочечниковую зону и образования в нижней полой вено опухолевого тромба. Злокачественные опухоли коры надпочечников в сочетании с опухолью мозгового вещества, как отмечают Н. Фут, О. В. Николаев, Е. И. Тараканов обычно не встречаются в клинической практике.
Патоморфологические изменения во внутренних паренхиматозных органах при кортикостеромах бывают аналогичны тем, которые наблюдаются при синдроме Иценко — Кушинга. При указанном синдроме, как отмечают В. Б. Зайратянц и А. И. Бухман, в патологический процесс вторично вовлекаются органы дыхания, а в костно-суставном аппарате возникают различного характера деструктивпые изменения.
О. В. Николаев и Е. И. Тараканов выделили гормональноактивную опухоль с преимущественно вирильным синдромом (так называемую андростерому) и смешанное гормональноактивное новообразование типа кортикоандростеромы, при развитии которой обычно сочетаются обменные нарушения и признаки вирилизации.
Рак надпочечников
Рак надпочечников — это редкое злокачественное новообразование, формирующееся из железистой ткани гормонопродуцирующего органа. Заболевание отличается агрессивным течением.
Акции
Полное обследование на онкологические заболевания для мужчин и женщин.
Онкоконсилиум может потребоваться как при лечении в «СМ-Клиника», так и пациентам других медицинских учреждений с целью получения альтернативного мнения.
«СМ-Клиника» предоставляет своим пациентам предоперационное обследование со скидкой до 72%!
Консультация врача-хирурга по поводу операции бесплатно!
Содержание статьи:
Рак надпочечников, или адренокортикальный рак, – злокачественная опухоль, поражающая корковый или мозговой слой органа.
Надпочечники – парные эндокринные железы, расположенные на верхнем полюсе каждой почки. Гормоны, вырабатываемые корковым и мозговым веществом надпочечников, играют важную роль в регулировании обмена веществ, а также в адаптации организма к стрессовым факторам. Надпочечники являются жизненно важным органом, без них невозможно нормальное функционирование организма.
Рак надпочечников – редкая патология, встречается в среднем у 0,7-2 человек на 1 миллион. Среди всех опухолей надпочечников, как доброкачественных, так и злокачественных, рак диагностируется в 2-4% случаев. Наиболее часто он выявляется в возрасте от 40 до 50 лет, у женщин – в 2-3 раза чаще, чем у мужчин. Также злокачественные опухоли надпочечников встречаются у детей до 5 лет.
Новообразование отличается быстрым ростом, нередко выявляются опухоли значительного размера – у 80% пациентов к моменту обнаружения они достигают размера более 10 см. Поздняя диагностика связана с тем, что патология часто развивается бессимптомно, или ее симптомы схожи с признаками других заболеваний. Рак агрессивный, часто дает метастазы в легкие и печень. В среднем метастазы на момент диагностирования опухоли встречаются у 30-40% пациентов, при размере новообразования более 10 см – у 80% больных.
Причины и факторы риска заболевания
Точных причин рака надпочечников не установлено. Считается, что важную роль в его возникновении играет наследственный фактор, а также генетические нарушения, в частности, специфическая мутация TP53.
Спровоцировать развитие заболевания могут следующие факторы:
- вредные привычки – алкоголь, курение, наркотики;
- травмы поясничной области;
- частые стрессы, депрессия;
- другие наследственные патологии или эндокринные опухоли;
- контакт с физическими или химическими канцерогенами.
Симптомы рака надпочечников
Симптоматика заболевания зависит от того, из какого слоя надпочечников развивается опухоль (коркового или мозгового), является она гормонопродуцирующей или нет, какие гормоны вырабатывает.
Кортикостерома
Самой распространенной опухолью, возникающей из коры надпочечников, является кортикостерома, также называемая глюкостеромой. Ее злокачественные варианты – аденокарцинома и кортикобластома. Новообразование провоцирует выработку гормонов глюкокортикоидов. Вследствие этого у пациентов возникает синдром Иценко-Кушинга. Его симптомы:
- артериальная гипертензия, головная боль;
- слабость, быстрая мышечная утомляемость;
- ожирение по кушингоидному типу – «лунообразное» лицо, отложения жира на спине, животе, груди при относительно худых конечностях;
- раннее половое созревание у детей;
- раннее угасание половой функции у взрослых;
- половая дисфункция – признаки феминизации (увеличение молочных желез, гипоплазия яичек, снижение потенции) у мужчин и вирилизации (оволосение по мужскому типу, гипертрофия клитора, изменение тембра голоса) у женщин;
- растяжки (стрии) на коже живота, бедер.
Нередко при этом типе рака развивается остеопороз, приводящий к патологическим переломам. Также отмечаются дисфункции нервной системы: перевозбуждение, депрессия. Примерно у четверти больных наблюдаются пиелонефрит и мочекаменная болезнь.
Кортикоэстерома
Еще одна гормонопродуцирующая злокачественная опухоль – кортикоэстерома. Новообразование вырабатывает женские половые гормоны – эстрогены, способствует развитию эстроген-генитального синдрома. Чаще этот вид рака надпочечников возникает у молодых мужчин и вызывает признаки феминизации. К ним относятся:
- отсутствие роста волос на лице;
- гинекомастия – увеличение молочных желез;
- высокий тембр голоса;
- атрофия яичек и полового члена, снижение потенции;
- ожирение по женскому типу.
Если корткоэстерома развивается у девочек, она приводит к ускоренному половому развитию – быстрому росту, раннему увеличению половых органов и оволосению лобка, преждевременному началу менструаций, влагалищным кровотечениям.
В чистом виде кортикоэстеромы встречаются редко.
Андростерома
Злокачественные андростеромы продуцируют мужские половые гормоны – андрогены. Они характеризуются следующими симптомами:
- У детей:
- ускоренное физическое и половое развитие;
- огрубение тембра голоса;
- угревая сыпь на лице и туловище.
- оволосение по мужскому типу;
- изменение тембра голоса;
- гипотрофия матки и молочных желез;
- гипертрофия клитора;
- уменьшение подкожно-жирового слоя.
У мужчин симптомы андростеромы выражены незначительно, поэтому часто опухоль является случайной находкой.
Альдостерома
Чаще встречаются доброкачественные альдостеромы, но известны и случаи их озлокачествления. Вырабатываемый опухолью гормон альдостерон влияет на минерально-солевой обмен в организме. Его избыток вызывает:
- сердечно-сосудистые симптомы: гипертензию, одышку, аритмии, гипертрофию и последующую дистрофию миокарда;
- почечные симптомы: увеличение частоты мочеиспусканий и объема мочи, частые ночные мочеиспускания, жажду, появление щелочной реакции мочи;
- нервно-мышечные симптомы: мышечную слабость, судороги, нарушения чувствительности.
Неспецифическими симптомами рака надпочечников являются признаки, характерные для всех злокачественных опухолей, особенно ярко проявляющиеся на поздних стадиях заболевания. Это:
- симптомы интоксикации – слабость, вялость, утомляемость;
- анемия и другие изменения в анализах крови;
- кахексия (истощение);
- болевой синдром.
Обращаться к врачу следует при любых симптомах гормональных нарушений, а также признаках, не указывающих явно на какое-либо заболевание. К ним относятся слабость, частые головные боли, стойкое повышение артериального давления, жажда, нарушения мочеиспускания.
Классификация рака надпочечников
По локализации опухоли:
- Новообразования мозгового слоя:
- ганглионеврома;
- феохромоцитома.
- кортикостерома;
- кортикоэстерома;
- альдостерома;
- андростерома;
- смешанная форма.
- ; .
Рак может быть первичным – из ткани железы, и вторичным – развившимся вследствие метастазирования новообразований других органов.
Первичные опухоли делятся на:
- гормонально-неактивные – инциденталомы, или «клинически немые» новообразования;
- гормонально-активные.
Инциденталомы чаще являются доброкачественными опухолями.
Стадирование
Максимально точное выявление стадии опухоли влияет на тактику лечения и прогноз заболевания. Для стадирования рака надпочечников используют международную классификацию TNM, где T – размер первичной опухоли, N – вовлечение в процесс регионарных лимфоузлов, M – наличие отдаленных метастазов.
TNM
Признаки
Первичная опухоль менее 5 см, регионарные лимфоузлы не задействованы, нет отдаленных метастазов
Размер первичной опухоли более 5 см, нет распространения в лимфоузлы и отдаленные органы
Опухоль размером до 5 см и более, в процесс вовлечены регионарные лимфоузлы, возможна инвазия в соседние органы. Отдаленных метастазов нет
Обнаруживаются отдаленные метастазы при любом размере первичной опухоли
Диагностика рака надпочечников
В зависимости от имеющихся симптомов больные часто обращаются с жалобами к терапевту, эндокринологу, гинекологу. Врач проводит общий осмотр, собирает анамнез жизни и болезни, назначает общие анализы крови и мочи.
При обнаружении любой опухоли надпочечника диаметром более 1 см пациенту необходимо обследование эндокринной функции. В него входят анализы на различные виды гормонов. Обследование помогает оценить статус опухоли (гормонопродуцирующая или нет) и выяснить, какие именно гормоны она вырабатывает. Рекомендованы анализы на следующие гормоны:
- кортизол;
- андростендион;
- эстрадиол;
- тестостерон;
- АКТГ;
- ДГЭА-сульфат;
- 17-гидроксипрогестерон.
Гормональную активность опухоли также оценивают с помощью селективной надпочечниковой флебографии – проводится рентгеноконтрастная катетеризация надпочечниковых вен, во время которой забирается кровь и исследуется на уровень гормонов.
Для обнаружения первичной опухоли, оценки поражения лимфатических узлов, выявления метастазов назначают ультразвуковое исследование почек и надпочечников, других органов, КТ или МРТ с контрастом, рентгенографию органов грудной клетки, сцинтиграфию.
Биопсия опухоли при раке надпочечников не показана, так как очень часто приводит к появлению метастазов по ходу введения пункционной иглы.
Тактика лечения
Для лечения рака надпочечников применяют комплексный подход – оперативное удаление опухоли вместе с железой и ближайшими лимфатическими узлами и последующую химио-, лучевую терапию, введение радиоактивных изотопов. Оперативное лечение также показано при рецидивах заболевания, для хирургического удаления метастазов (доступных для вмешательства).
Иногда химиотерапию, воздействие радиоактивными изотопами применяют до операции с целью уменьшения размеров опухоли. Для снижения токсического воздействия может назначаться адъювантная химиотерапия, при которой действующее вещество накапливается в зоне патологического разрастания клеток.
В зависимости от гормонального статуса опухоли возможно применение гормонотерапии.
Врачи очень взвешенно подходят к принятию решения об операции, так как удаление опухоли надпочечников – сложная процедура с большим риском осложнений. При неоперабельных опухолях, выявлении рака на поздних стадиях, наличии отдаленных метастазов показано симптоматическое и паллиативное лечение.
После оперативного лечения, во время химио- или лучевой терапии, в восстановительный период и далее в течение всей жизни больные должны находиться под наблюдением эндокринолога и онколога.
Прогноз заболевания
Рак надпочечников, в особенности выявленный на поздних стадиях, с метастазированием, имеет неблагоприятный прогноз. Результат лечения также зависит от возраста пациента, наличия сопутствующих заболеваний, вида опухоли, реакции организма на химиотерапию. В среднем пятилетняя выживаемость пациентов с первой стадией рака составляет порядка 80%, со второй – 50%, с третьей – 20%, с четвертой – 10%.
Профилактика
Специфической профилактики заболевания не существует. Здоровый образ жизни, правильное питание, отсутствие вредных привычек рекомендованы для предупреждения разных патологий, не только злокачественных опухолей.
При выявлении любых настораживающих симптомов следует как можно скорее обращаться к врачу, чтобы не пропустить начало болезни. Людям с хроническими заболеваниями необходимо проходить периодические обследования, сдавать назначенные доктором анализы.
Для предупреждения рецидивов после лечения рака надпочечников и возникновения осложнений нужно вовремя проходить контрольные осмотры, соблюдать все врачебные рекомендации.
Информация в статье предоставлена в справочных целях и не заменяет консультации квалифицированного специалиста. Не занимайтесь самолечением! При первых признаках заболевания необходимо обратиться к врачу.
Злокачественные кортикостеромы. Андростерома
![]()
![]()
![]()
![]()
ОПУХОЛИ НАДПОЧЕЧНИКОВ – доброкачественные (кисты, аденомы) или злокачественные образования из клеток коркового или мозгового слоев надпочечников, имеющие разную морфологическую структуру, гормональную активность и клинические проявления.Опухоли надпочечника наблюдаются у 3-4% обследуемых пациентов в возрасте 40-60 лет, у женщин выявляются в 2 раза чаще, чем у мужчин. Гормональную активность проявляют только 10% опухолей. Среди всех выявленных опухолей надпочечников рак встречается в 2-4% случаев. К опухолям надпочечника, которые требуют хирургического вмешательства относятся: феохромоцитома, альдостерома, адренокортикальный рак, аденома надпочечника (гормонально активная и неактивная), большие миелолипомы и кисты надпочечников.
![ONd1r.jpg]()
Клинические проявления опухолей надпочечников различаются в зависимости о т морфологического строения опухоли, потенциала злокачественности, наличия или отсутствия гормональной активности.
Киста надпочечника определяется чаще в виде одиночного, одностороннего образования, почти всегда гормонально-неактивна, безболезненна и выявляется, как правило, случайно, при УЗИ или КТ органов брюшной полости. Формируется киста надпочечников в эмбриональном периоде и на протяжении многих лет человек не знает о ее существовании из-за отсутствия каких-либо специфических признаков.
Аденомы надпочечника — доброкачественные образования коры надпочечника с твердой капсулой и однородным содержимым. Аденомы надпочечника чаще гормонально неактивны, составляют 98% всех выявленных образований и не проявляют себя никакими симптомами. Гормонально-активные аденомы надпочечника встречаются в 2% случаев и проявляются разнообразными симптомами, которые зависят от вырабатываемого гормона.
При кортикостероме , кортизол-вырабатывающей аденоме коры надпо чечника, формируется «синдром Иценко-Кушинга», чаще встречается у женщин 20-40 лет. Основным симптомом является специфическое ожирение кушингоидного типа - жир откладывается на груди, животе, шее, формируется типичное округлое лицо. У большинства пациентов отмечается атрофия мышц ягодиц, ног, передней брюшной стенки («лягушачий живот»). Характерным симптомом является атрофия и истончение кожи, появление стрий – багрово-красных или фиолетовых полос растяжений на коже живота, внутренней поверхности бедер и плеч, на молочных железах. Характерно возникновение мелких кровоизлияний в подкожной клетчатке. Частым осложнением является остеопороз – ослабление костной ткани, связанное с потерей минеральных солей. Развитие остеопороза приводит к появлению тяжелых переломов, из которых наиболее опасными являются перелом шейки бедра и переломы позвоночника. Наблюдаются нарушения нервной системы – депрессия , заторможенность, психотических реакций. У 10-20% пациентов с кортикостеромой встречается стероидный сахарный диабет . У женщин при развитии синдрома Иценко-Кушинга встречается гирсутизм - избыточный рост волос на теле и аменорея - нарушение менструального цикла.
![ONd2r.jpg]()
При феохромоцитоме – опухоли, вырабатывающей адреналин или норадреналин, наблюдается артериальная гипертония с кризовым течением. Наиболее характерна классическая триада симптомов катехоламиновых кризов: внезапная сильная головная боль, повышенное потоотделение и сердцебиение.
При альдостероме – аденоме, вырабатывающей альдостерон, развивается первичный гиперальдостеронизм, «синдром Конна», повышение артериального давления в результате задержки в организме натрия и увеличения объема циркулирующей крови. Развиваются мышечная слабость, миоплегия, судороги, парестезии, связанные с повышенным выведением калия с мочой и снижением уровня калия в крови.
При андростероме - аденоме, вырабатывающей андростерон – мужской половой гормон, наблюдается развитие мужских половых признаков у женщин - выраженной мускулатуры, грубого голоса, появление роста волос на теле, лице, уменьшение размера молочных желез, нарушение менструального цикла. Проявления андростеромы у мужчин незаметны, что ведет к поздней диагностике этой опухоли.
Инсиденталома надпочечника (от incidental – случайный) - случайно обнаруженная опухоль надпочечника на УЗИ, КТ или МРТ брюшной полости, не проявляющая себя клинически. Инсиденталомы могут быть по своему строению аденомами надпочечника, феохромоцитомами, кистами, липомами, миелолипомами, гемангиомами, тератомами, нейрофибромами, раком надпочечника, саркомами, метастазами других опухолей в надпочечник. Поэтому при выявлении опухоли надпочечника необходимо тщательное обследование для уточнения диагноза в специализированном учреждении по эндокринной хирургии.
![ONd3r.jpg]()
Адренокортикальный рак - злокачественная опухоль надпочечника, характеризующаяся быстрым, агрессивным ростом с высокой склонностью к метастазированию в регионарнарные лимфатические узлы и отдаленные органы (легкие, кости). Выявляется у 1% пациентов с опухолями надпочечника. При раке надпочечников у 60% пациентов наблюдается автономная неконтролируемая выработка разных гормонов, что может проявляться синдромом Кушинга, вирилизацией, преждевременным половым созреванием, феминизацией, первичным гиперальдостеронизмом, катехоламиновыми кризами. Отмечаются также симптомы типичные для всех злокачественных опухолей – снижение аппетита, похудание, нарушение пищеварения, диспепсические явления, локализированная или разлитая боль, зависимо от миграции метастазов, депрессивные расстройства, анемический синдром. Разнообразие клинических проявлений рака надпочечника приводит к выявлению опухоли на поздних стадиях у 80% пациентов, когда опухоль имеет значительный размер - более 4 см.
Инструментальные методы исследования
Дополнительные методы исследования
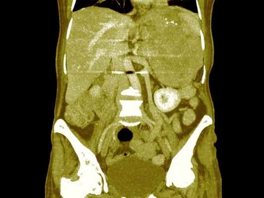
При подозрении на рак надпочечников для исключения метастазов опухоли проводятся компьютерная томография легких и брюшной полости, магнитно-резонансная томография головного мозга. Исследуется компьютерный фенотип опухоли. Цитоплазма клеток аденом и миелолипом надпочечника характеризуется высоким содержанием липидов в отличие от зрелых опухолей. Это свойство используется при денситометрии опухоли. Оценивается плотность жировых и нежировых структур в неконтрастную фазу. Нативная плотность образования менее 10 HU характерна для доброкачественных аденом, альдостером, липом, кист, гематом, абсцессов. Повышение плотности более 10 HU возможно при адренокортикальном раке, феохромоцитоме, метастазах, нейрогенных опухолях, лимфомах. При исследовании плотности на разных фазах выведения контрастного вещества аденомы быстро снижают показатели плотности, злокачественные опухоли имеют тенденцию к задержке контрастного вещества. Разделительная точка – вымывание 50% контраста за 10 минут.
Лабораторные методы исследования
При выявлении любой опухоли надпочечника диаметром 1 см и более необходимо проведение гормонального обследования, которое включает определение следующих показателей в крови и моче:
Кортизол в суточной моче - позволяет оценить базовую выработку кортизола надпочечниками. Важно помнить, что определение уровня кортизола в крови не позволяют четко определить гормональную функцию надпочечников в связи со значительными колебаниями в течение дня.
Малая дексаметазоновая проба - позволяет выявить у пациента даже слабо выраженные признаки синдрома Иценко-Кушинга. При проведении пробы в первый день пациенту утром берется кровь на уровень кортизола. В 24 часа этого же дня пациент принимает таблетку дексаметазона в дозировке 1 мг. Утром следующего дня пациенту берется анализ крови на кортизол. В норме уровень кортизола утром второго дня снижается более чем в 2 раза по сравнению с первым днем. При отсутствии подавления уровня кортизола крови можно сделать вывод о наличии автономной неконтролируемой выработки кортизола.
Дексаметазоновый подавляющий тест. Для проведения подавляющего теста пациент принимает 1 мг дексаметазона между 23 и 24 часами, после чего производится определение кортизола в крови, взятой между 8 и 9 часами утра. Можно с уверенностью говорить об отсутствии у пациента избыточной выработки кортизола опухолью надпочечника, если утренний уровень кортизола крови составил менее 50 нмоль/л.
АКТГ крови в утренние часы. Если уровень АКТГ находится на низких значениях – это позволяет исключить диагноз АКТГ-продуцирующей опухоли гипофиза и более уверенно склониться к диагнозу опухоли надпочечника, вырабатывающей кортизол.
Метанефрины в суточной моче - фракционированное определение метилированных производных катехоламинов при диагностике феохромоцитомы. Повышает специфичность диагностики неоднократные исследования метанефринов. Сейчас стала доступна сцинтиграфия с метайодбензилгуанидином - I 123 (MIBG - I 123 ) и определение неспецифического маркера нейроэндокринных опухолей - хромогранина А.
Альдостерон-рениновое соотношение - скрининг при синдроме артериальной гипертензии для диагностики первичного альдостеронизма. Чувствительность повышается исследованием альдостерона в динамике. Возможно использование верифицирующего функционального теста с натриевой нагрузкой. При гиперпластических формах с целью латерализации источника гиперпродукции альдостерона – сравнительный селективный забор венозной крови из надпочечниковых вен .
Основные методы лечения
Выбор лечения зависит от клинических, рентгенологических, гормональных харатеристик выявленной опухоли.
Гормонально неактивные опухоли менее 4см без косвенных признаков злокачественного роста не требуют оперативного вмешательства. Рекомендуется динамическое наблюдение , контроль УЗИ, МРТ, КТ и гормональных анализов через 6, 12 и 24 месяца (при подозрительных данных через 3 месяца).
При гормонально-активных опухолях надпочечников, новообразованиях более 3 см, не проявляющих функциональной активности проводится - адреналэктомия , удаление всего пораженного надпочечника, в некоторых случаях производится удаление части надпочечника с опухолью.
При опухоли надпочечника с признаками малигнизации проводится адреналэктомия с удалением регионарных лимфатических коллекторов.Читайте также:







