Хондросаркома коленного сустава мрт
Коллеги, очень прошу высказать свое мнение по данному случаю
.jpg)
.jpg)
.jpg)
.jpg)
.jpg)
.jpg)
И еще вопрос: можно ли по МРТ в данном случае определить есть ли признаки злокачественного процесса?
Dicom на сервере 16.06.11_МРТ.rar
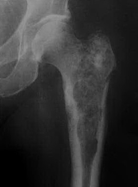
Перелом шейки. Определяется перестройка структуры эпифиза, метадиафиза кости, с появлением зон повышенной плотности, с нечеткими контурами. Расположены хаотично. Также определяются несколько участков разряжения костной структуры (лизис?). А это пациент какого пола? А другие кости не смотрели? Может МТС по смешанному типу.
- Login to post comments
Спасибо, Оля. патологический перелом есть. Пациент - мужчина, 40 лет, жалобы на боли в левом т/бедренном суставе в течении полугода. При скенировании - накопление только в левой бедренной кости. При исследовании по органам - без патологии. Собственно дифференцируем между хондросаркомой и энхондромой. Хотелось бы альтернативное мнение.
- Login to post comments
а может изименения в кости по типу инфаркта костного мозга
- Login to post comments
Но не в данном случае, поскольку здесь есть деструкция кости, узурация кортикала, обызвествления характерны для хрящевого матрикса и т.д. По биоптату были сомнения у морфологов, поэтому я спросила коллег, может ли помочь МРТ в диф. диагнозе
- Login to post comments
Я и забыл про эту публикацию! МРТ может и должно помочь, во всяком случае такое обширное снижение сигнала от костного мозга явно указывает на злокачественную природу поражения.
- Login to post comments
Марио, так Вы мне так и ответили в чате, чем очень помогли! Спасибо!
- Login to post comments
спасибо за отличную презентацию, кости это всегда тяжело
- Login to post comments
не-а, кости - это интересно!
- Login to post comments
Но, отвечая на Ваш вопрос, на МРТ можно с очень большой достоверностью сказать, есть ли признаки злокачественности. По тем изображениям сразу было понятно, что имеем дело со злокачественной опухолью, вероятно хондросаркомой с патологическим переломом головки.
Почему и какие это признаки? Основной при МРТ - признак инфильтрации костного мозга. Лучше всего его выявляют в Т1 последовательности (нижнее изображение) и выглядит, как снижение интенсивности сигнала от кости, т.е. костный мозг выглядит темным, приблизительно, как мышцы. Инфильтрация костного мозга также хорошо выявляется в последовательности STIR - это последовательность инверсии восстановления с подавлением сигнала от жира. На STIR патологически измененная кость дает повышенный сигнал (т.е. яркий), в то время, как остальные кости и жировая клетчтатка мягких тканей темные. В Вашем случае, это второе снизу изображение, но. как Вы видите, сигнал повышен неравномерно и не очень яркий. Это связано с наличием обызвестленного матрикса.
Есть еще один нюанс, по поводу STIR - сигнал повышается не только при инфильтрации, но любом отеке (неспецифическом, травме, инфекции), а также яркий сигнал в кости будет от структур с высоким содержанием воды - начиная от кист и заканчивая хрящевыми доброкачественными образованиями. Поэтому, основной последовательность, для выявления опухолевой инфильтрации кости всегда является Т1. Если на Т1 взвешенных изображениях, сигнал от костного мозга не снижен, а на STIR повышен, то вероятнее всего имеем дело с доброкачественным процессом.
Второй признак на МРТ - наличие патологического/мягкотканного компонента за пределами кости - в Вашем случае, мы его видим по внутренней и наружной поверхности кости, на уровне и ниже вертелов.
По КТ признаки конечно понятны - на первом месте, выявление очагов и участков деструкции, которые не видны при рентгенографии, а также реакции надкостницы. Но эти признаки, Вы знаете лучше, чем я :)
Что такое хондроматоз коленного сустава? Патологический процесс, приводящий к перерождению отдельных участков синовиальной оболочки. Крупные суставы человеческого скелета претерпевают метапластические изменения – замещение одного типа тканей другим. В итоге в суставной полости формируются хондромные тела – новообразования из хрящевых или костных элементов.

Механизм зарождения и систематизация
Чаще патология диагностируется у мужского населения среднего и старшего возрастного периода. В некоторых случаях заболевание выявляется у малышей на первом году жизни. Врожденная форма болезненных отклонений предположительно связана с нарушением программы формирования фенотипа клеток в процессе развития плода.
Причинами приобретенных метапластических изменений служат:
-
часто повторяющиеся травмы; инфекционные заболевания; чрезмерные физические нагрузки.
Последствия приобретенной метаплазии – хондрома (доброкачественная опухоль). Редко образование подвергается озлокачествлению – хондросаркоме.
Патология систематизируется специалистами в зависимости от особенности течения:

-
стабильная форма – связана с присутствием небольшого количества хондромных тел, образование которых резко снижается, либо прекращается; прогрессирующая форма – беспрерывное формирование новых тел до максимального количества; редкая форма – образование хрящевых тел в синовиальных сумках и фиброзных футлярах, окружающих сухожилия длинных мышц.
Процесс сопровождается переходом мезенхимальных клеток в хрящевую ткань с последующей метаплазией в костную ткань.
Течение опухолевидной формы хондроматоза аналогично подострому артриту. Множественные тельца, накопленные в полости, сливаются в один конгломерат.
Сопутствующая симптоматика
Из-за медленного формирования хрящевых образований патология на начальном этапе носит маловыраженный характер. При образовании значительных узлов во время движения появляется характерный хрустящий звук и резкие болезненные ощущения. Коленный сустав увеличивается в объеме и деформируется. Если состояние сопровождается скоплением выпота, в области поражения наблюдается отечность мягких тканей и гиперемия кожного покрова.
Установление диагноза
При хондроматозе коленного сустава диагноз выставляется по результатам лабораторных и инструментальных исследований.
Рентгенография выявляет очертания обособленных слоистых теней. Рентгенографические признаки не определяются до момента кальцификации хрящевых элементов.
УЗИ, МРТ – процедуры позволяют дифференцировать хондроматоз от артрита и хондрокальциноза. Предоставляют дополнительную информацию о количестве и расположении хондромных тел, степени дегенеративных изменений, произошедших в суставе.

Биопсия синовиальной оболочки проводится для исключения опухолевых образований.
Лечебные мероприятия
Единственно верный способ лечения хондроматоза коленного сустава – оперативное вмешательство. Виды хирургических манипуляций напрямую связаны с формами заболевания. При стабильном течении патологии ограничиваются артроскопией.
Малоинвазивная операция имеет несколько вариантов удаления внутрисуставных тел:
-
вымывание через стержень артроскопа; извлечение щипцами после введения в сустав специального газа или жидкости; устранение с помощью иглы.
Постоперационный период
В ранний постоперационный период применяется: иммобилизация конечности, употребление противовоспалительных, антибактериальных, обезболивающих средств, хондропротекторов.
Важную роль в лечении после артроскопии играет профилактика излишнего формирования рубцовой ткани, приводящей к ограничению движений в суставе. С целью решения этой проблемы пациентам назначают курс инъекций пирогенала или стекловидного тела. Препараты препятствует синтезу коллагена фибробластами, стимулируют активность гиалуронидазы. За счет чего обеспечивают проницаемость тканевых волокон, содействуют восстановлению кровообращения. Препараты не вызывают привыкания, обладают регенерирующими способностями, тормозят развитие плотных рубцов, ускоряют рассасывание спаек.
Через 2 дня после операции показана лечебная гимнастика. После хирургических манипуляций важно добиться сгибания колена под прямым углом. В дополнение к ЛФК назначаются: ударно-волновая терапия, УВЧ, лечение лазером, магнитотерапия. На более поздних сроках – горячие парафиновые аппликации. Продолжительность пребывания в стационаре при благоприятном исходе – 6 – 10 дней.
Лечение в домашних условиях
После выписки со стационара на протяжении 6 – 8 недель необходимо эластичное бинтование конечности. Технике обучат специалисты, они же дадут рекомендации по подбору компрессионного трикотажа. Эластичный бинт и специальные чулки предотвратят риск развития тромбоза глубоких вен.
Рекомендуем прочесть и заменить черный чай на отвары Иван-чая .
Что такое хондросаркома и почему она развивается
- Мужчины поражаются в два раза чаще, чем женщины.
- Вторая по частоте злокачественная раковая опухоль кости
- Хондросаркома – распространенная злокачественная опухоль, происходящая из хрящевой ткани.
- Пик частоты заболеваемости хондросаркомой приходится на 30-50 лет
- Возникает как первичное заболевание или вторичный процесс после лучевой терапии или при злокачественной трансформации первично доброкачественных опухолей кости (энхондроматоз, болезнь Олье, наследственные экзостозы).
- Может развиваться в любой кости (плоская, длинная трубчатая или короткая) - хондросаркома челюсти, хондросаркома плечевого сустава.
Какой метод диагностики хондросаркомы выбрать: МРТ, КТ, рентген, УЗИ
- рентгенологическое исследование (в двух проекциях).
- Обычно центральное расположение возле метафиза длинных трубчатых костей, так же как и в костях таза и ребрах
- Редко поднадкостничные, эксцентрические или внекостные (хондросаркома мягких тканей).
Признаки в зависимости от степени опухолевого поражения:
Низкая степень:
- рентгенопрозрачный участок с гладкими границами и расположенными в центре хондроидными кальцинатами в виде воздушной кукурузы
- Зазубреность (фестончатость) кортикального слоя (сходные с энхондромой).
Промежуточная или высокая степень:

Пациент 64 лет с прогрессирующим болевым синдромом в левом бедре.


- Гипоинтенсивное на Т1 -взвешенном изображении
- Гиперинтенсивное на Т2-взвешенном изображении и изображении с подавлением МР-сигнала от жировой ткани
- Дуги накопления контрастного вещества с дольчатой структурой хрящевого матрикса являются типичными для хондроидных опухолей.
Клинические проявления
Типичные проявления - внезапный приступ болей тупого характера.
Методы лечения и выживаемость при хондросаркоме
- Резекция
- Плохой ответ на лучевую терапию
- Эффективность адъювантной химиотерапии остается сомнительной
- Активные или агрессивные при рентгенологическом исследовании крупные хондроидные опухоли осевого скелета должны быть полностью удалены независимо от подтверждения злокачественности
- Периферические хондроидные опухоли (например, фаланг) имеют тенденцию к доброкачественному течению.
Течение и прогноз
- Медленно растущее поражение
- Гематогенное распространение в легкие встречается редко и возникает только при опухолях, расположенных в центре тела
- Частота 10-летней выживаемости зависит от гистологической стадии: I стадия - 40-80%, II стадия - 40-60%, III стадия -15-35%.
Что хотел бы знать лечащий врач
- Взаимосвязь с расположенными рядом структурами (сосуды, нервы)
- Коллапс сустава
- Скрытые метастазы.
Какие заболевания имеют симптомы, схожие с хондросаркомой
Энхондрома
- Дифференциальная диагностика с I стадией хондросаркомы не всегда возможна при рентгенологическом исследовании или даже гистологически
Метастазы
- Дифференциальная диагностика часто невозможна, особенно при отсутствии хондроидных кальцинатов
Лимфома
- Отсутствие хондроидных кальцинатов
Остеосаркома
Советы и ошибки
- Ошибочная интерпретация хондросаркомы низкой градации как энхондромы и наоборот, что приводит к избыточному или недостаточному лечению
- При наличии болевого синдрома всегда необходимо проведение гистологического исследования.

Хондросаркома – это злокачественная опухоль скелета, происходящая из хрящевой ткани. Может развиваться на неизмененных костях или образовываться в результате перерождения некоторых доброкачественных опухолей. Проявляется прогрессирующими болями и припухлостью в области поражения. В некоторых случаях отмечается местное повышение температуры, расширение сети подкожных вен над зоной опухоли и ограничение движений в близлежащем суставе. Возможно несколько вариантов течения – от относительно благоприятного, с медленным ростом и поздним метастазированием до неблагоприятного, с быстрым ростом и ранним появлением метастазов. Патология диагностируется по результатам рентгенографии, КТ, МРТ. Лечение хирургическое – резекция кости, ампутация или экзартикуляция.
МКБ-10

- Причины хондросаркомы
- Классификация
- Симптомы хондросаркомы
- Диагностика
- Лечение хондросаркомы
- Прогноз и профилактика
- Цены на лечение
Общие сведения
Хондросаркома – второе по распространенности злокачественное новообразование скелета. По различным данным составляет от 7 до 16% от общего количества злокачественных опухолей костей. Лечение хирургическое – радикальная операция, при которой производится удаление новообразования вместе с окружающими тканями. Примерно в 60% случаев болезнь выявляется у пациентов среднего и пожилого возраста (40-60 лет). Однако страдать этим заболеванием могут люди всех возрастов. Самое раннее появление опухоли отмечено в возрасте 6 лет, самое позднее – в возрасте 90 лет. У мужчин хондросаркома обнаруживается в 1,5-2 раза чаще, чем у женщин.

Причины хондросаркомы
Причины возникновения новообразования не выяснены. Неоплазия может развиваться первично или выявляться при озлокачествлении ряда диспластических процессов. Возможно поражение любых костных структур, однако чаще страдают кости таза, кости плечевого пояса, ребра, плечевые и бедренные кости.
Классификация
С учетом происхождения все хондросаркомы делятся на первичные и вторичные. Первичные, в свою очередь, подразделяются на центральные (растущие внутри кости) и периостальные или периферические (растущие по наружной поверхности кости). Среди вторичных хондросарком выделяют опухоли, возникшие в результате озлокачествления хондром, хондромиксоидных фибром, хондробластом, костно-хрящевых экзостозов или опухолей при хондроматозе костей (болезни Олье-Маффучи). Первичные хондросаркомы выявляются в 90% случаев, вторичные – 10% случаев.
В зависимости от особенностей строения различают типичные, светлоклеточные, анапластические и недифференцированные хондросаркомы. Кроме того, существует классификация степени злокачественности хондросарком с учетом особенностей опухоли, выявленных во время гистологического исследования:
- 1 степень злокачественности. Межклеточное вещество преимущественно состоит из хондроидной ткани, в которой расположены хондроциты с плотными мелкими ядрами. Многоядерных клеток мало, фигуры митоза отсутствуют.
- 2 степень злокачественности. Межклеточное вещество чаще миксоидное, клеток больше, чем при 1 степени злокачественности, отмечаются скопления клеток по периферии долек. Ядра увеличены, выявляются единичные фигуры митоза. Есть зоны разрушения (некроза).
- 3 степень злокачественности. Межклеточное вещество миксоидное. Клетки располагаются в межклеточном веществе группами или тяжами. Выявляется большое количество клеток неправильной или звездчатой формы. Много многоядерных клеток и клеток с увеличенными ядрами. Наблюдаются фигуры митоза. Есть обширные некротические очаги.
Чем выше степень злокачественности хондросаркомы, тем больше вероятность раннего образования метастазов и возникновения рецидива при хирургическом удалении опухоли.
Симптомы хондросаркомы
Клиническая картина зависит от вида и степени дифференцировки клеток опухоли. При высокодифференцированной хондросаркоме болезнь может развиваться в течение нескольких лет. Как правило, такое течение наблюдается у больных в возрасте 30 лет и старше. При изучении истории болезни выясняется, что пациента длительное время беспокоили сначала неприятные ощущения, а потом слабые, медленно прогрессирующие боли в области поражения. Болевой синдром мог усиливаться в ночное время, ослабевал под действием обезболивающих препаратов, но не исчезал после отдыха.
Опухоль может достигать значительных размеров, вызывать визуально видимую деформацию или определяться при пальпации. В ряде случаев также отмечается повышение температуры кожи и расширение подкожных вен над областью хондросаркомы, хотя эти симптомы выражены не так значительно, как при других злокачественных опухолях костей. Иногда выявляется ограничение движений в близлежащем суставе.
При низкодифференцированных формах хондросаркомы наблюдается более бурное течение. Как правило, до обращения пациента к врачам проходит не более 1-3 месяцев. Основной жалобой, как и в предыдущем случае, является боль в месте поражения, иногда усиливающаяся в ночное время и не исчезающая после отдыха. Однако при низкодифференцированных формах опухоли боли устойчивее к действию анальгетиков.
Болевой синдром отличается постоянством и быстро нарастает. Припухлость также увеличивается быстрее, чем при относительно благоприятном варианте течения. Повышение местной температуры, ограничение движений в расположенном рядом суставе и расширение подкожных вен встречается с той же частотой, что и при высокодифференцированных опухолях. Низкодифференцированные формы хондросаркомы чаще возникают в молодом и юношеском возрасте и отличаются более высокой частотой рецидивов.
При всех видах хондросарком большого размера, расположенных в области костей таза, может наблюдаться ряд характерных симптомов, обусловленных давлением опухоли на соседние органы и ткани. При сдавлении седалищного сплетения возникают боли, отдающие в ягодицу и по задней поверхности бедра. При сдавлении шейки мочевого пузыря возможны затруднения мочеиспускания. При сдавлении подвздошной вены может развиться односторонний отек нижней конечности на стороне поражения.
Отдаленные метастазы чаще возникают при низкодифференцированных формах хондросарком. Злокачественные клетки попадают в другие органы с током крови (гематогенным путем). Обычно поражаются регионарные лимфатические узлы, печень, легкие и головной мозг. Для периостальных хондросарком характерен особый вид метастазирования. Вокруг таких опухолей существует реактивная зона – область, отделяющая новообразование от окружающих тканей. Периферические хондросаркомы прорастают эту зону и образуют так называемые прыгающие метастазы (сателлитные узлы) – очаги злокачественных клеток, не имеющие непосредственной связи с основной опухолью. Такие очаги располагаются либо в самой реактивной зоне, либо поблизости от нее в толще здоровых тканей.
Диагностика
Диагностику заболевания осуществляют врачи-онкологи, к которым больных обычно направляют травматологи и ортопеды. Клинические симптомы при хондросаркоме неспецифичны, поэтому диагноз выставляется на основании дополнительных исследований. При центральных хондросаркомах на рентгеновских снимках обнаруживается очаг деструкции неправильной формы с нечеткими очертаниями, обычно расположенный в метадиафизе. Иногда опухоль выглядит крапчатой из-за мелких очажков обызвествления. Кость вокруг очага вздута.
При периферических хондросаркомах на рентгенограммах выявляется контрастное образование бугристой формы с нечеткими контурами, расположенное на наружной поверхности кости. В переходной зоне между нормальной костью и измененной опухолевой тканью отмечается неравномерное уплотнение. Кортикальный слой кости в этой зоне неровный. Как и при центральной хондросаркоме, может выявляться крапчатость из-за участков обызвествления.
Для уточнения диагноза выполняют трепанобиопсию кости. Забор материала производится из нескольких участков опухоли. В процессе гистологического исследования определяется степень злокачественности хондросаркомы. Как правило, перечисленных исследований достаточно для точной диагностики. В отдельных случаях могут понадобиться дополнительные методы: МРТ кости, компьютерная томография и остеосцинтиграфия. Для выявления метастазов в легких пациентам с хондросаркомой назначается рентгенография грудной клетки.
Лечение хондросаркомы
Пациенты госпитализируются в отделение онкологии. Большинство хондросарком устойчивы к химиотерапии и лучевой терапии, поэтому основным способом лечения при этом заболевании является хирургическая операция. При хондросаркомах 1 и 2 степени злокачественности выполняется удаление новообразования. Хондросаркому иссекают единым блоком вместе с тканями реактивной зоны и некоторым запасом окружающих здоровых тканей, чтобы в ране не осталось опухолевых клеток. В зависимости от размера и локализации опухоли проводится либо резекция части кости, либо ее удаление с последующим эндопротезированием.
При хондросаркомах 3 степени злокачественности может потребоваться радикальное хирургическое вмешательство – ампутация или экзартикуляция пораженной конечности. Если из-за общих противопоказаний или труднодоступности опухоли ее оперативное удаление невозможно, проводится химио- и лучевая терапия. Однако эти методы являются лишь паллиативными, направленными на замедление роста хондросаркомы, и не обеспечивают излечения.
Прогноз и профилактика
Прогноз при хондросаркомах всегда серьезный. Исход зависит от степени злокачественности неоплазии. При 1 степени пятилетняя выживаемость составляет 90%, при 2 степени – 45-60%, при 3 степени – около 30%. Профилактические мероприятия не разработаны.
Энхондрома – относительно доброкачественное новообразование внутрикостной локализации, образующееся из анормальной хрящевой ткани. Наиболее часто опухоль поражает кости кистей стоп и рук (до 80% случаев), несколько реже бедренную, плечевую или реберную кость. Были зафиксированы также единичные случаи нетипичного расположения, когда очаг развивался в яичниках, легких, большой и парной слюнной железе, молочных и слезных железах, гиподерме и клетчатке между мышцами.

Множественные очаги на кистях.
По данным разных авторов, в структуре всех костных и хрящевых новообразований на долю энхондром приходится от 5% до 10%, всех доброкачественных опухолей костей – от 12% до 24%. Авторы акцентируют, что истинный процент, вероятнее всего, гораздо больше, поскольку при небольших размерах болезнь часто протекает бессимптомно. Специалисты пока еще однозначно не могут утверждать, какие же факторы стимулируют развитие аномального хрящевика в коротких и длинных трубчатых костях человека. Но по одной из версий есть предположение, что в его зарождении могут быть причастны:
- ранее перенесенные местные травмы и воспалительные процессы;
- нарушения в генетическом аппарате;
- внутриутробные аномальные закладки и формирования костно-хрящевой ткани;
- нарушения процесса остеогенеза в первые годы жизни после рождения.

Образование на бедренной кости в районе коленного сустава.
Энхондрома преимущественно встречается у лиц молодого возраста – людей до 40 лет, нередко обнаруживается у детей подростковой группы (12-16 лет). Пик заболеваемости наблюдается на втором десятилетии жизни. Частота встречаемости у мужчин и женщин практически одинаковая. Зачастую опухоль выявляется как случайная находка в ходе рентгенографии, выполняемой совершенно по другому клиническому поводу. Несмотря на преобладание доброкачественных форм, на положительные прогнозы влияют своевременное обнаружение опухоли и качественно организованное лечение. Основной вид лечения после постановки диагноза – хирургический.
Характеристика новообразования
Энхондрома представляет собой интрамедуллярное хрящевое включение неправильной овальной формы, располагающееся по большей мере в метафизе и диафизе (теле) трубчатой кости. В эпифизе – самая нераспространенная зона расположения энхондромы.

Срез кости с патологией.
Очаг образован хондроцитами – клетками зрелого гиалинового хряща, но с утраченной структурой. То есть, в отличие от нормальной хрящевой ткани, клетки этого новообразования расположены беспорядочно, их параметры форм и размеров могут быть самыми разнообразными. Это – преимущественно одиночное новообразование, но при болезни Олье (дисхондроплазии) и синдроме Маффуччи присутствуют множественные очаги подобного поражения.
Опухоль отличается хорошим дифференцированием структур, четким контуром, медленным ростом. Ее размеры, как правило, варьируют в диапазоне 1-3 см. Поражение характеризуется полупрозрачной узловой структурой голубовато-серого цвета, нередко с внутренними очагами кальциноза и окостенения. Часто в месте локализации энхондрома осложняется патологическим переломом кости.

По характеру поведения энхондрома в преобладающем количестве случае неагрессивна, что говорит о преобладании доброкачественных ее форм. Однако она способна озлокачествляться, трансформируясь в хондросаркому. Озлакачествлению более подвержена опухоль с локализацией в эпифизе кости, чаще бедра. Утешает, что случаи перерождения энхондромы из доброкачественной формы в злокачественную единичны.
Симптомы энхондромы
Как правило, патогенез протекает бессимптомно или мало выражено. Симптоматика появляется обычно при значительном увеличении объемов энхондромы. По мере роста она начинает давить на соседние ткани, по этой причине возникают болезненные ощущения в районе сосредоточения очага и деформации. Итак, конкретизируем возможные жалобы пациента с подобной картиной заболевания:
- постоянный локальный болевой синдром легкой/средней интенсивности, свидетельствующий о раздражении нервных стволов, компрессии сосудов;
- умеренная боль в области поражения в ночное время суток (нарастающая и сильная боль – тревожный знак, который может указывать на злокачественные процессы);
- видимая деформация в виде утолщения и/или возвышения на ограниченном участке кости конечности;
- при близком расположении хрящевой неоплазии с суставом не исключены артралгии, синовиты, опорно-двигательные дисфункции суставного аппарата;
- спонтанные переломы костей.
Энхондромы способны не только деформировать кость, которую в буквальном смысле раздувают изнутри, но и к снижению плотности костной ткани. Наиболее встречаемое последствие – внезапное нарушение целостности кости, происходящее либо вовсе без причины, либо вследствие даже самой незначительной травмы. Такие переломы сопровождаются появлением резкой сильной боли в месте костного разлома, крепитацией, нестабильностью поврежденной кости, искривлением конечности.


Диагностика новообразования
В целях постановки диагноза достаточно провести рентгенографическое исследование кости. На рентгеновском изображении об опухолевом процессе будут свидетельствовать очаги просветления в костном массиве. Непосредственно в области светлого пятна нередко определяются точечные или кольцевидные участки затемнения, которые указывают на обызвествление в самой опухоли (выпадение солей кальция). Диагностика может быть проведена посредством обычного рентгена. Однако более точной методикой с целью обнаружения энхондром признана компьютерная томография.
Помимо рентгенологического или КТ обследования, обязательным является прохождение магниторезонансной томографии. МРТ необходима для глубинной оценки состояния мягких тканей, расположенных поблизости с атипичным образованием. Также отметим, что при подозрении на злокачественность аномального внутрикостного хряща пациенту будет произведена процедура биопсии с целью гистологического исследования взятого биоптата. Биопсию проводят из разных зон очага, поскольку на ранней ступени злокачественные ткани могут чередоваться с доброкачественными.
Лабораторные анализы для вынесения заключения о диагнозе не представляют клинической ценности. Но, как и при любой патологии, чтобы лечебный процесс организовать с наивысшей степенью безопасности для пациента, больному проводят стандартный комплекс лабораторных исследований.
Базовые принципы лечения
Из-за наличия риска перерождения энхондромы любой локализации в раковую опухоль она подлежит радикальному удалению на ранних этапах после постановки диагноза. В самых редких случаях, например, если невозможно использовать хирургию в отношении организма конкретного пациента ввиду серьезных проблем со здоровьем, ограничиваются консервативным наблюдением за новообразованием.
В качестве основного вида хирургического лечения выступает полноценная резекция (выскабливание) внутрикостной хрящевой опухоли, иногда в сочетании с трансплантационными и имплантационными технологиями. Достаточно крупные новообразования могут потребовать масштабной инвазии с большой потерей костной ткани, иногда требуется выполнять удаление сустава. При таких обстоятельствах костные и суставные потери замещаются специальными заменителями костной ткани, аутотрансплантатом, эндопротезом. Фрагмент аутокости (трансплантат, взятый у пациента), как правило, закрепляется специальной металлической системой фиксации.

Если произошел патологический перелом и определена энхондрома, изначально лечение направлено на сращение поврежденной кости. Только после успешной консолидации перелома пациенту назначают операцию по удалению неблагополучного образования.
Если говорить о технических особенностях оперативного вмешательства в целом при данной патологии, то оно принадлежит к ортопедической процедуре повышенной сложности. Трудоемкость процесса заключается в том, что манипуляции по извлечению новообразования предполагаются не на поверхности кости, а интрамедуллярно – изнутри. Порой, а это больше касается гиганстких (более 3 см), множественных и злокачественных энхондром, хирург вынужден сегментарно иссекать кость вместе с опухолью. В таком случае, конечно, объемы операции будут существенными, следовательно, и восстановление пациента будет протекать не так быстро и не так легко, как хотелось бы.
Техника операции по удалению энхондромы
Оперативное вмешательство выполняется согласно особенностям расположения аномального включения, опираясь на топографию и анатомию пораженного органа. Анестезиологическое пособие – общий наркоз эндотрахеального типа, также может быть применена эпидуральная анестезия. Операция относится к открытому виду хирургии. Оперирующий врач – хирург по специализации ортопедической онкологии.
Далее представляем к вашему ознакомлению описание основополагающих этапов операции по удалению энхордомы, наиболее часто применяемой операционной технологии.

Костный цемент которым замещают удаленную ткань.
Длительность хирургического сеанса зависит от размеров опухолевого разрастания и степени нанесения вреда соседствующим с ним костно-суставным отделам. Время процедуры составляет 2-4 часа. После оперативного вмешательства пациента переводят в палату интенсивной терапии, где медперсонал непрестанно следит за его самочувствием. При удовлетворительном состоянии прооперированного человека отвозят в стационарные покои. В дальнейшем предстоит качественная реабилитация.
Послеоперационное восстановление, прогнозы
Реабилитационный период подразумевает комплексное прохождение лечебных мероприятий для:
- профилактики последствий после операции (инфекций, тромбозов, отеков, пневмонии и пр.);
- стимуляции процессов регенерации кости и мягких тканей;
- восстановления подвижности прооперированной области.
В исключительных ситуациях под жестким отбором дополнительно может быть назначен курс радиотерапии. Обычно он рекомендуется больным, которых оперировали по поводу злокачественного новообразования или при подозрении недостаточно полной резекции атипичной ткани. Рецидивы повторного развития энхондромы происходят в редчайших случаях, в частности по описанным выше причинам. Согласно статистике, повторная активизация опухолевого процесса встречается у 5%-8% пациентов.

Операционный шов на кисти.
Вернемся к реабилитации. В условиях стационара пациент находится до момента снятия швов. Швы снимают на 10-14 сутки. По оформлению выписки дальнейшее наблюдение будет контролироваться врачами поликлиники (хирургом, ортопедом и др.) и онкодиспансера.
Пациенту в обязательном порядке прописывают курс специфического лечения, базирующийся на:
- антибиотикотерапии против развития инфекционного патогенеза;
- медикаментозной терапии для ускорения процессов костной репарации и регенерации;
- симптоматическом лечении обезболивающими и противовоспалительными препаратами;
- витаминотерапии;
- физиотерапии;
- лечебной физкультуре и массаже.
Реабилитация в среднем длится 2 месяца, однако некоторым может понадобиться больше времени для полного восстановления трудоспособности, вплоть до 6 месяцев. Заметное улучшение качества жизни обычно наблюдается уже спустя 1 месяц после операции.
При идеально проведенном вмешательстве с тотальным выскабливанием доброкачественного очага, рецидивы в будущем практически исключены, как правило, пациент полностью излечивается от данной патологии.
Читайте также:


