Перелом сесамовидной кости стопы на рентгене

С подошвенной стороны плюснефалангового сустава первого пальца стопы в структуре сгибательного аппарата имеются две небольшие кости размерами меньше горошины. Несмотря на то, что косточки очень маленькие по размеру, они играют огромную роль во время ходьбы, бега, прыжков и другой нагрузки на стопу. Если сесамовидные косточки вовлекаются в какой-либо патологический процесс, то они становятся источником сильной боли, значительно ухудшая качество жизни пациента.
Анатомия
У основания первого пальца стопы расположен важный с функциональной точки зрения первый плюснефаланговый сустав. Две небольшие сесамовидные косточки расположены с подошвенной стороны этого сустава: одна расположена с внутренней стороны, другая – с наружной. Сесамовидные кости расположены внутри сухожилий сгибателей первого пальца. Эти структуры вместе образуют сгибательный аппарат первого пальца стопы. Поскольку на первый палец приходятся большие нагрузки, то эти нагрузки выполняются за счёт сгибательного аппарата. Сесамовидные кости увеличивают рычаги воздействия сухожилий сгибателей на фаланги первого пальца, а также снижают силу трения сухожилий о мягкие ткани в положении разгибания первого пальца.
Причины
Болевой синдром может развиваться по разным причинам. Одна из причин – это перегрузка связочного аппарата сесамовидных костей. Это состояние могут называть сесамоидитом. Перегрузка чаще всего развивается после чрезмерных занятий бегом или танцами.
Другая причина болей, связанных с сесамовидными костями, – это переломы. Переломы могут произойти при приземлении прямо на область первого плюсне-фалангового сустава стопы. Могут иметь место и так называемые стресс-переломы сесамовидных костей. Стресс-переломы возникают из-за постоянного воздействия больших нагрузок на аппарат сесамовидных костей. Это характерно для спортсменов, чаще всего страдают атлеты.
Ещё одна причина – это артроз сустава между головкой первой плюсневой кости и сесамовидными костями. Сесамовидные кости при движениях большого пальца стопы скользят кпереди и кзади по подошвенной поверхности головки первой плюсневой кости. Как и в других суставах организма, в этом суставе может развивается артроз. Артроз в данном суставе характерен для пациентов с высоким продольным сводом стопы. При высоком продольном своде стопы аппарат сесамовидных костей находится в большем натяжении и суставы сесамовидных костей подвержены большей нагрузке. В конечном итоге хрящ сесамовидных костей и головки первой плюсневой кости начинает разрушаться.
Редкой причиной является нарушение кровоснабжения аппарата сесамовидных костей, в результате чего нарушается структура кости. Это состояние называется асептическим некрозом сесамовидной кости. При этом дополнительно могут образовываться отложения кальция в мягких тканях вокруг первого плюсне-фалангового сустава.
Иногда боль со стороны подошвенной поверхности исходит от дополнительных мягкотканных образований под большим пальцем стопы. Например, подошвенный кератоз может вызывать боль со стороны подошвенной поверхности первого плюсне-фалангового сустава.
Симптомы
Пациенты с патологией сесамовидных костей обычно чувствуют ноющую боль со стороны подошвенной поверхности плюснефалангового сустава первого пальца стопы. При прикосновении с подошвенной стороны боль усиливается. Движения в суставе большого пальца часто ограничены. Пациенты замечают, что при ходьбе боль усиливается перед тем, когда стопа отталкивается для следующего шага. Время от времени первый плюсне-фаланговый сустав может заклинивать или щёлкать, что усиливает боль. После отдыха боль уходит или ослабевает. Некоторые пациенты отмечают онемение в области первого и второго пальцев стопы.
Диагноз
Врач задаст много вопросов о развитии заболевания. Вас спросят о жалобах в настоящее время и о проблемах со стопой в прошлом. Врач осмотрит стопы. Осмотр может быть немного болезненным, но необходимо определить болезненные точки, проверить движения пальцев. Пациента могут попросить пройтись по кабинету.
Обязательным является выполнение рентгеновского снимка (рентгенограммы). Выполняется несколько проекций. Одна из них - аксиальная, на которой четко видны сесамовидные косточки. Для этой проекции нужна специальная укладка и рентгеновский луч идёт под углом.
На рентгенограмме может выявиться, что сесамовидная кость состоит из двух или более отдельных костей, как будто это перелом, но границы между ними гладкие. Это нормально и может наблюдаться у каждого десятого. На рентгенограмме оценивается положение сесамовидных косточек, а также пространство (сочленение) между головкой плюсневой кости и сесамовидными костями. Суставное пространство в норме на рентгенограмме выглядит равномерным. Сужение и неравномерность говорит о патологии.
Если по обычной рентгенограмме трудно судить о наличии перелома сесамовидной кости, то может быть назначено сканирование. Это такое исследование, при котором внутривенно вводят специальное раствор – контрастное вещество. Контрастное вещество накапливается в костной ткани определённым образом. Сканируя скелет человека ренгеновскими лучами, выстраивают специальные изображения, на котором отражается накопленное рентгенконтрастное вещество. Если в костной ткани имеется патологический очаг, то рисунок накопления контрастного вещества будет выглядеть по-другому. Для каждого патологического процесса имеется свой уникальный образец накопления контрастного вещества. Таким образом перелом можно отличить от врожденного разделения сесамовидной кости.
Для получения наиболее полной картины о заболевании может понадобиться выполнение магнитно-резонансной томографии (МРТ). На МР- изображениях можно изучить взаимоотношения анатомических структур стопы, исключить другие патологические процессы, в том числе и инфекцию.
Лечение
Консервативное лечение
Как правило, лечение начинается с консервативных методов. Обычно в таком случае рекомендуют нестероидные противовоспалительные препараты (НПВП), такие как диклофенак, индометацин, ибупрофен. Эти средства обычно хорошо снимают боль и воспаление. Можно попробовать использовать специальные стельки, облегчающие нагрузку на первый плюсне-фаланговый сустав. Обязательно надо исключить использование обуви с высоким каблуком. Чем выше каблук, тем больше нагрузка на передний отдел стопы, а значит и на болезненный плюснефаланговый сустав. В некоторых случаях врач может предложить инъекцию стероидного средства в болезненную область. Обычно это помогает снять выраженный болевой синдром.
Если имеется переломом сесамовидной кости без разрыва разгибательного аппарата, то рекомендуется ношение гипсовой или пластиковой шины в течение примерно шести недель. После этого пациент должен носить обувь на жесткой подошве. Жесткая подошва удерживает палец в прямом положении, не позволяя участвовать в перекате стопы - таким образом снимается нагрузка со сгибательного аппарата. В некоторых случаях доктор может посоветовать лечение без использования шин, назначив ношение обуви на жесткой подошве. Если перелом сесамовидной косточки происходит с разрывом сгибательного аппарата, то для полного восстановления функции необходимо оперативное лечение.
Стресс-переломы и асептический некроз сесамовидной кости хуже поддаются консервативному лечению. Некоторые врачи рекомендуют гипсовую или пластиковую шину на срок до восьми недель с исключением какой-либо нагрузки на ногу. Если после назначения консервативного лечения в течение 8 - 12 недель лучше не становится, то скорее всего необходима операция.
Оперативное лечение
Удаление сесамовидной кости
Врач может предложить удаление части или всей сесамовидной кости. Когда сесамовидная кость удаляется частично, другая сесамовидная кости в состоянии обеспечить точку опоры для сгибателей. Однако если удалить обе кости, то сгибатели не смогут нормально функционировать и первый палец становится когтеобразным. Поэтому хирурги обычно избегают удаления обеих сесамовидных костей.
Когда сесамовидная кость сломана, операция делается с целью удаления нефункциональных отломков и восстановления целостности сгибательного аппарата. При стрессовых переломах у спортсменов, когда необходимо наиболее полное восстановление, операция может быть выполнена с применением костных трансплантатов. Для удаления сесамовидных костей разрез делается с внутренней стороны стопы. Иногда возникает необходимость выполнить данную операцию из разреза по подошвенной стороне стопы между головками первой и второй плюсневых костей.
Реабилитация
Реабилитация после консервативного лечения
При незначительно выраженном болевом синдроме врач может разрешить продолжить повседневные занятия сразу, но с условием использования обуви на жёсткой подошве. Если заболевание выражено умеренно, то потребуется использовать костыли и не нагружать ногу на срок от нескольких дней до двух – трёх недель. При выраженном болевом синдроме потребуется ходить на костылях без нагрузки на ногу в течение нескольких недель. Как правило, полного восстановления не следует ожидать ранее четырёх – шести недель.
Физиотерапия помогает уменьшить боль и отёк. Если нет противопоказаний, то назначают ультразвук, тепловые процедуры. Иногда с физиолечением сочетают использование противовоспалительных мазей и кремов.
Реабилитация после оперативного лечения
После хирургического лечения большинству пациентов рекомендуется использовать костыли и избегать нагрузки на ногу. Тем, кому выполнялось восстановление сгибательного аппарата первого пальца стопы или же костная пластика, рекомендуется иммобилизация гипсовой или пластиковой шиной. После этого рекомендуют ношение обуви на жёсткой подошве до полного восстановления. Результаты выполненной костной пластики сесамовидной кости можно оценить через 2 месяца, выполнив МРТ.
Обязательно выполняются упражнения лечебной физкультуры. В зависимости от выполненной операции упражнения начинают в разные сроки после операции, постепенно увеличивая нагрузку и сложность. Лечебная физкультура необходима для восстановления и поддержания тонуса мышц голени и стопы.
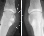
Молодой профессиональный футболист.
Жалобы на боли по внутренне-подошвенной поверхности 1-го плюсне-фалангового сустава слева.
Его впечатление - шип на бутсе как бы "мешает". приходится его даже спиливать.
![]()
![]()
У меня есть претензии к медиальной сесамовидной косточке слева - подозрение на асептический некроз. хотя, не исключаю, что ее фрагментация есть всего лишь анатомической особенностью.
Правая стопа отснята для сравнения.
![]()
![]()
Что скажете, коллеги?




![]()
стресс-перелом?нагрузка как никак постоянная при футболе
![]()
Такие косточки бывают, что состоят из двух. Но в данном случае слева диастаз между ними большой. Майкова-Строганова описывает и переломы таких костей. Хотя по-мне так там разрыв связок и от этого боль. Попробуйте сделать узи в сравнении с другой стороной. Если разрыв, то будет наличие жидкости.
![]()
А не остеофит тут причина?
![]()
![]()
А не остеофит тут причина?
Это край латеральной сесамовидной косточки
![]()
МРТ в помощь. Синовит, периартроз/рит и подобное.
![]()
"Предоставляя весь смысл и совершенство в распоряжение одного только Бога, вы избавляете себя от бездны хлопот." Джон Уитборн.
![]()
Мой взгляд падает на уплотнение костной структуры головки 1 плюсневой кости, вокруг разрежение структуры(ободком) - дистальнее сесамовидной кости на прямой пр, на косой этот участок уходит почти на контур головки.
![]()
МРТ в помощь. Синовит, периартроз/рит и подобное.
Такая мысль была. но толщина почти одинакова.
![]()
стресс-перелом?нагрузка как никак постоянная при футболе
![]()
. Попробуйте сделать узи в сравнении с другой стороной.
Зачем сразу МРТ? Из пушки - по воробьям?
![]()
Если есть возможность, то почему бы и нет?И совсем не по воробьям!
![]()
Коллеги, сесамовидные кости - тибиальная и фибулярная, а не медиальная и алтеральная, насколько я помню анатомию. В данном случае желателен рентген другой стопы для оценки бипартиты, а так - сесамоидит/стресс перелом.
![]()
Коллеги, сесамовидные кости - тибиальная и фибулярная, а не медиальная и алтеральная, насколько я помню анатомию. В данном случае желателен рентген другой стопы для оценки бипартиты, а так - сесамоидит/стресс перелом.
![]()
Да. спасибо, действительно, рентген второй стопы есть. Значит, скорее всего стресс-перелом.
МРТ в помощь. Синовит, периартроз/рит и подобное.
Такая мысль была. но толщина почти одинакова.
Виктор Григорьевич, напрасно Вы эту мысль перешли. Нужно догнать её! Даже в Ваших словах сейчас ключевое слово - "почти"!) Вальгус первого пальца больше на проблемной стопе. Пациент Ваш спортсмен - есть раздражающий фактор, боли провокатор, помимо обычной ходячей жизни.)
Если думать о стресс-переломе - советую сделать рентген-контроль через 3-4 недели - изменения будут, если в гипсе не будет, конечно, лежать месяц он.) Случай некроза сесамовидной косточки в практике был. Там была динамика - косточка расплавилась почти вся. Без перелома, правда. Была травма тогда.
Многие спортсмены и танцоры из-за чрезмерных нагрузок на ноги страдают от специфической патологии, поражающей пальцы стопы, причем чаще большой палец. Называется такая болезнь – сесамоидит 1 пальца стопы, патология проявляющаяся воспалением аппарата сесамовидных костей и проявляющаяся болью, отечностью и затрудненностью в движениях пальцев. Заболевание может встречаться не только у спортсменов, так как его провоцируют нагрузки на ноги во время работы, ходьбы, ношение неудобной обуви, врожденные патологии опорно-двигательного аппарата, особенно в костях стопы. Для диагностики болезни применяются несколько методов, в основе которых лежит рентген обследование, а также с помощью современных технологий изучается отпечаток пальцев, для чего применяется сканер отпечатков пальцев.

Чтобы понять особенности болезни, нужно разобрать анатомическое строение стопы в области пальцев. Сесамовидные кости представляют собой небольшие косточки, по размеру не превышающие горошины, входящие в структуру сгибательного аппарата в большом пальце стопы. Расположены они на подошвенной стороне в плюснефаланговом суставе и находятся внутри сухожилий, которые защищают их от травмирования и позволяют выполнять двигательную функцию. Хотя сесамовидные кости небольшого размера на них возложена большая роль, так как при их поражении человек не сможет так легко бегать, ходить, прыгать. Несмотря на то что в первое время симптомы воспаления сесамовидных костей и проявляются незначительно, не стоит недооценивать заболевание, так как опасны осложнения, возможные переломы, начавшаяся гангрена, что может привести даже к ампутации пальца стопы.
Причины
Причин, которые вызывают заболевание несколько, но на первом месте стоят чрезмерные нагрузки на ноги. Сесамоидит свойственен людям, занимающимся спортом, особенно часто болезнь поражает танцоров, бегунов, футболистов и связано это с перегрузкой в связочном аппарате, защищающим сесамовидные кости. У этой категории населения заболевание довольно быстро прогрессирует, так как спортсмены не обращают внимания на незначительную боль, которую испытывает нога, а боль – это первый признак патологии.

Вторая причины появления сесамоидита – это полученные травмы костного аппарата. Так сложилось, что именно большой палец чаще всего травмируется при ударе об твердый предмет, после падения тяжелого предмета на стопу или после падения с высоты на ноги. Перелом может быть как открытый, так и закрытый, тут свою роль играют последствия, так как параллельно может повреждаться связочный аппарат сесамовидных костей.
Нередко у взрослых пациентов патологию вызывают стресс-переломы, возникающие под действием чрезмерных нагрузок, протекающего остеопороза. Кстати, стресс-переломы свойственны чаще спортсменам. Кроме переломов, повредить связки может вывих таранной кости, плюснефаланговых суставов, когда поражается медиальная клиновидная кость и давит на передний отдел и после растяжения и разрывов связок.
Третья группа причин связана с протекающими заболеваниями костей и суставов в стопе. Нередко у детей регистрируется сесамоидит при болезни олье или дисхондроплазией, врожденной патологией, связанной с не перерождением эмбриональных хрящей в костные ткани. Из-за этой болезни замедляется рост костей, и уменьшаются их размеры. Из плюсов можно отметить, что болезнь олье возникает редко. Часто сесамоидит появляется под действием артроза в плюснефаланговом суставе, между головкой 1 плюсневой и сесамовидными костьми.

Реже болезнь возникает из-за нарушенного кровоснабжения в сесамовидных костях при асептическом некрозе, который могут спровоцировать травмы, нарушения обмена веществ, инфекции. В таком случае в области 1 плюснефалангового сустава откладывается кальций. Плоскостопие играет большую роль в появлении болезни, так как уплощение переднего отдела стопы проявляется тем, что возникает вальгусная деформация 1 пальца, при этом выпирает косточка, 1 палец отклоняется от своей оси. Приводят к плоскостопию, а как следствию сесамоидита, ношение неудобной обуви, чрезмерные нагрузки на ноги, причем чаще страдают женщины.
Симптомы
Главный признак болезни – это боль в области 1 пальца стопы, усиливающаяся при нагрузке, особенно во время движений пальцем, так как страдает функция сгибания и разгибания. Но это не означает, что как только развился патологический процесс, то сразу начнется сильная боль на стопе, заболеванию свойственно медленное прогрессирование. Симптомы боли усиливаются после истончения подкожно-жирового слоя, которым покрыта ступня, а происходит это под действием нагрузки.
Заболевание опасно тем, что если не лечить его своевременно, то воспаление ослабляет сухожилия, разрушает костную ткань и человек подвергается угрозе переломов сесамовидной кости. Причем такой перелом самостоятельно не сможет зажить, почему нередко применяется оперативное лечение.

Боль, а, следовательно, и само заболевание быстрее прогрессирует у женщин, которые носят неудобную обувь (узкую, на каблуке), у спортсменов, которые продолжают давать нагрузку на ноги и у пожилых людей, страдающих артрозом или остеопорозом. Большую роль в прогрессировании играет вальгусная деформация 1 пальца стопы.
Разберем, почему болят пальцы, и какие еще симптомы свойственны сесамоидиту. Боль возникает из-за давления на нервные окончания или из-за повреждения связочного аппарата, но, кроме боли, бывают такие признаки болезни:
- нарушение чувствительности 1 пальца – онемение;
- отечность в области первого пальца (гигантизм), что связано с переломом кости;
- крепитация сустава пальца;
- нарушение двигательной активности сустава.
Кстати, щелчки в пальце часто сопровождаются усилением боли, а нарастающий отек может означать наличие появившегося перелома. Нередко нелеченый перелом вызывает воспаление окружающих тканей, отчего может развиться очаг некроза и гангрена. А, как известно, гангрена – это опасное состояние, для лечения которого требуется ампутация пораженного участка. Если развилась гангрена, то проводится ампутация – вычленение начинается по линии плюсне-предплюсневых суставов.

Диагностика
Диагностика заболевания проводится в тех случаях, когда человек жалуется на боль в области 1 пальца стопы с ограниченностью в движениях. В первую очередь врач назначает рентгенодиагностику, чтобы дифференцировать заболевание с переломом, артрозом, остеопорозом. По возможности назначается МРТ исследование. В сочетании с осмотром, клиническими проявлениями и результатами МРТ или рентген выставляется диагноз и назначается лечение.
Бывают ситуации, когда диагностика затруднена, особенно когда возникает инфицирование тканей или преобладает сильный отек. В таких случаях может потребоваться проведение пункции из сустава. Это позволит исключить подагру, артрит, болезни со схожей симптоматикой. Еще один метод диагностики – это сканирование суставов методом ультразвука. Это недорогой и эффективный способ выявления ряда патологий суставов и мягких тканей, сосудов.
Лечение
У пациента при обращении за медицинской помощью возникает всегда вопрос, почему болят суставы, что указывает на необходимость избавить человека от боли. Так, разберем, какие методы лечения применяются при сесамоидите.

В начальной стадии болезни можно избавить пациента от боли с помощью консервативных методик. В первую очередь снижается нагрузка на стопы и 1-й палец. Если у человека артроз или вальгусная деформация большого пальца, то назначается корректор. Часто применяют корректор Вальгус про. Корректор надевается на палец, уменьшает на него нагрузку, предотвращает дальнейшее искривление пальца. Корректор можно приобрести как для ночного использования, так и для дневного.
Если болят кости стопы, то необходимо использовать ортопедические стельки, причем, если даже болит только один палец, нагрузку нужно снижать на всю стопу. При резкой боли и угрозе перелома необходимо оказать первую помощь, для чего на место поражения прикладывается холод, обеспечивается покой стопе и человека транспортируют в лечебное учреждение для проведения диагностики. В таких случаях может потребоваться иммобилизация пальца, так как корректор может не помощь – часть стопы гипсуется. Такое лечение необходимо чтобы не развилась гангрена и не потребовалась ампутация части стопы.
Для снятия боли и воспаления назначаются препараты из группы НПВС, среди которых представлен Диклофенак, Мовалис, Ибупрофен, Нимесулид. Допускается прием таблетированных форм, мазей, инъекций. При хроническом течении болезни может потребоваться блокада для уменьшения боли, для чего назначаются гормональные препараты – Кеналог, Дипроспан.

Нередко врачи склоняются к оперативному лечению, чтобы избавить пациента от мучений навсегда. В таких случаях проводится полное или частичное удаление кости, причем чтобы сохранить двигательную функцию пальца, рекомендовано удаление только одной кости, а не двух сразу. Операция назначается и при оскольчатых переломах, смещении кости.
Для восстановления после операции или при консервативном лечении назначается комплекс гимнастики, массажа, при необходимости физиотерапия, чтобы вернуть человеку былую активность.
Среди мер профилактики врачи советуют не переутомлять ноги, давать возможность им отдыхать, особенно спортсменам, танцовщикам. Женщинам рекомендовано носить удобную обувь не на высоком каблуке. Пожилым людям необходимо проходить профилактический курс лечения препаратами кальция, хондропротекторами. При болях в стопах нужно пройти обследование, чтобы исключить плоскостопие, артроз, болезни, которые приводят ко многим осложнениям.
Плюсневые кости относятся к категории небольших костей трубчатой формы человеческого скелета. Когда человек ходит, его стопы переносят сильные нагрузки, берут на себя большую часть веса. Каждый день на большую часть плюсневых костей приходится огромная доля физических нагрузок.
Все компоненты, формирующие стопу, имеют тесную взаимосвязь и зависят друг от друга. Именно поэтому перелом плюсневых костей стопы может повлечь за собой серьезные дефекты, деформировать остальные кости.
Анатомические особенности стоп – какую роль играют плюсневые кости?

Итак, при травмировании могут пострадать все остальные. Велика вероятность нарушения функциональности, изменения нормальной формы костей. Именно поэтому так важно вовремя выявить признаки перелома, записаться к травматологу.
Перелом плюсневых костей – категории

Переломом называют анатомические деформации, разрушение кости в результате внешних факторов, травм, механических повреждений, патологий. Повреждения могут быть травматическими, усталостными.
Выделяют следующие траектории перелома: косая, поперечная, т-образная, клиновидная.
Главной причиной таких переломов может стать сильный удар стопы, воздействие тяжелого предмета, вывих ноги при быстром беге. Различают травмы:
- Открытого типа;
- Закрытого типа;
- С наличием смещения отломков костей;
- Без смещений фрагментов костей.

Если при таком переломе отсутствует смещение, то компоненты разрушенных костей сохранять свое физиологически верное расположение без внешних вмешательств доктора. Если перелом открытого типа, то у пациента наблюдается кровоточащая рана, из которой могут выступать части костных структур.
- Сразу после удара/ушиба/падения/травмы ощущается сильная боль, которая пронизывает все тело, пульсируя именно в зоне повреждения;
- В секунду разрушения кости пациент может услышать, как хрустнуло в ноге;
- Иногда наблюдается уклон плюсневых костей в другую сторону;
- Пальцы (или один) становятся короче;
- Появляется сильная отечность (иногда данный симптом проявляется через сутки).

Опасность такой патологии состоит в том, что фрагменты и отломки крайне медленно срастаются. В результате пациент на долгое время ограничен в подвижности, некоторым приходится отказаться от привычного образа жизни, рабочего места и заняться полным восстановлением.
Доказанный факт: в некоторых случаях при подобных повреждениях костные компоненты могут и не срастись вовсе.
Врачебная ошибка играет весомую роль в лечебном процессе. Иногда доктор ставит неграмотный диагноз, пациент проходит неверно назначенное лечение, которое, конечно же, не дает абсолютно никаких результатов.
К примеру, многим назначают реабилитацию, необходимую при растяжении связок. В данном случае могут развиться опасные последствия, так как упущенное время играет во вред организму.
Такой тип перелома выражается в форме трещин, которые едва заметны при рентгенографическом исследовании.
Выделяют следующие причины возникновения таких трещин:
- Чрезмерные, слишком активные нагрузки на стопы;
- Предпочтение видов спорта, предусматривающих постоянный, быстрый бег;
- Патологии строения плюсневых костей, врожденные или приобретенные нарушения;
- Значительные деформации положения стоп;
- Слишком узкая обувь (особенно касается женщин, предпочитающих туфли на каблуках с узкими носами);
- Занятия балетом;
- Диагноз остеопороз.
![]()
Усталостный перелом не терпит отлагательств. Если не произвести своевременной терапии, могут развиться неблагоприятные реакции и патологии.
Чтобы успеть как можно раньше обратиться к доктору, следует знать об основных симптомах такого перелома:
- Нудящие боли по всей длине стопы после ходьбы, занятий спортом;
- Дискомфорт и боль проходит, когда больной принимает удобное положение, отдыхает. Однако, если вновь происходит физическое воздействие на стопу, боль возвращается, пульсируя и отдавая вверх;
- При осмотре методом пальпации пострадавший может точно показать локализацию болей;
- Если говорить о внешних проявлениях, то может просматриваться небольшая отечность. Однако, не появляются кровоподтеки.

Если вы заметили хотя бы один-два из перечисленных признаков, следует обратиться к медикам, пройти рентген. Помните, что только грамотная диагностика поможет установить достоверный диагноз.
Пятая плюсневая кость находится ближе всех со стороны наружного края стоп. Это говорит о том, что она наиболее уязвима и подвержена внешних механическим воздействиям. Повредить эту кость можно из-за простого подворачивания стопы.
Признаки такого повреждения выражаются в сильной отечности в зоне перелома, сильными болезненными ощущениями. Больной не может ходить и даже просто опереться на поврежденную ногу, может появиться сильная гематома.

Возможные осложнения
Если запустить ситуацию, то клиническая картина может существенно измениться. К сожалению, зачастую, больные списывают болевые ощущения, дискомфорт на простую усталость. Ошибочно полагая, что неприятные симптомы быстро исчезнуть, пациенты отказываются от походов к доктору, не принимают мер по восстановлению.
Игнорирование тревожных симптомов или неграмотное лечение могут стать причинами возникновения серьезных осложнений, таких, как:
- Изменение в структуре кости;
- Тотальное ограничение объемов двигательной активности стопы;
- В некоторых случаях диагностируется разрушение плюсневых костей непосредственно внутри суставов, где они и соединяются;
- Развитие артроза;
- Кости срастаются неверно;
- Болевой синдром приобретает хронический характер;
- Пострадавший не имеет возможности слишком долго ходить, стоять в одном положении, тем более бегать, — появляются боли, усталость, онемение;
- В запущенных ситуациях может потребоваться вмешательство хирурга.

Лечение
Терапия может включать следующие меры:
- Применение гипсовой повязки. Накладывают пациенту, если не диагностировано смещение костных компонентов. Гипс оказывает защитную функцию от внешних воздействий, формирует правильное анатомическое и физиологическое расположение разрушенных костей и их частиц, гарантирует полную неподвижность стоп во время процесса восстановления.
- Хирургические меры. При обнаружении смещения при переломе врач, как правило, назначает операцию. Проводят ряд оперативных мероприятий, которые обеспечивают надежную фиксацию стоп при помощи небольших имплантов, которые также помогают произвести сопоставление фрагментов.
- Каждый метод лечения требует применение костылей, что позволяет в значительной степени снизить уровень нагрузки на травмированную ногу.
- После ликвидации иммобилизации необходимо пройти восстановительный курс, который подразумевает массаж, физиотерапию, отдых, отсутствие физических нагрузок.
Современные методики остеосинтеза помогают заново сформировать физиологически верное положение стоп, удерживать его до тех пор, пока кости не срастутся и не вернется безболезненная подвижность. При операции пациенту устанавливают специальный медицинский стержень, который фиксирует внутреннюю часть поврежденной кости.
Внутрикостная операция назначается при:
- Поперечном, косом переломе с существенным смещением костей;
- Переломе плюсневых костей в разных областях стопы (одновременно).
Врачи не прибегают к методу остеосинтеза, если:
- Перелом имеет внутрисуставной характер;
- Диагностировался продольный перелом;
- Произошло повреждение в районе шейки или головки стопы.

Если перелом плюсневых костей не повлек за собой смещение, то:
- Пациенту могут прописать эластичное бинтование;
- Накладывают гипсовую лонгету;
- Используют гипсовые или пластиковые шины;
- Врач делает пластиковый сапожок, который позволяет ходить (на костылях).
При смещении больше, чем на 4,5 мм в обязательном порядке необходимо произвести репозицию.
Восстановительный период
При разрушении плюсневой кости врач накладывает гипс, который следует носить полтора месяца. Наступать на поврежденную ногу разрешено только после контрольного рентгена, который покажет сращение костных компонентов. В противном случае, пациент может навредить себе и потребуется начинать лечебные меры заново.

Восстановительный период должен сочетать в себе отдых и умеренные физические упражнения. Не следует сразу нагружать организм. Чтобы восстановить подвижность, следует сначала наступать только на область пятки, переходя на всю поверхность стопы через несколько дней.
В обязательном порядке назначают курс массажа и гимнастики. Лечебные упражнения позволяют быстрее восстановить двигательные функции, избежать осложнений. При появлении болей во время выполнения упражнений гимнастика отменяется. Иногда требуется приобретения специальной, ортопедической обуви.
Важно уделить внимание питанию. Для укрепления костей советуют включать в меню продукты, которые содержат много кальция, фосфора, витамина Д. Рекомендуется принимать витаминный комплекс, который насытит организм полезными компонентами.
Врачи советуют проводить и домашнюю зарядку, выполняя несложные упражнения:
- Сгибание и разгибание пальцев ног;
- Массирование стоп специальным валиком;
- Подниматься на носочки, сидя на стуле;
- Пытаться натягивать стопы на себя;
- Выполнять повороты стопой.
Читайте также:




