Синовиальный хондроматоз коленного сустава мрт

Синовиальным хондроматозом колена называется дисплазия, для которой характерно формирование во внутреннем слое суставной капсулы хрящевых тел. Ведущие симптомы патологии — боли в колене при движении и покое, отечность, хруст во время ходьбы и тугоподвижность. После диагностирования хондроматоза проводится хирургическое лечение. Обычно удаляются внутрисуставные тела, но в тяжелых случаях полностью или частично иссекается синовиальная оболочка.
Описание и особенности синовиального хондроматоза коленного сустава
Важно знать! Врачи в шоке: "Эффективное и доступное средство от боли в суставах существует. " Читать далее.

Хондромные тельца округлые, прочные, отличаются друг от друга размерами. Обычно их диаметр не превышает несколько миллиметров, но встречаются крупные 4-5-сантиметровые экземпляры. В коленном суставе может одновременно находиться до нескольких сотен свободно перемещающихся внутрисуставных тел. Метаплазия синовиальной оболочки становится причиной ее деструкции:
- утолщения суставной сумки;
- гиперплазии (увеличения количества) ворсинок;
- наличия хондроматозных участков.
Наблюдается лимфоидная и плазматическая инфильтрация, обычно спровоцированная развитием реактивного синовита. Такие образования доброкачественные, хорошо устраняются хирургическим путем. Но в медицинской литературе описаны случаи перерождения клеток, озлокачествления хондроматоза.
Классификация
Хондроматозы коленного сустава бывают врожденными и постнатальными. Последние представлены доброкачественными опухолевидными хондромами или озлокачествленными новообразованиями хондросаркомами. Врожденные хондроматозы колена — истинные дисплазии, которые протекают с формированием внутрисуставных тел костной или костно-хрящевой структуры.
Также хондроматозы классифицируются в зависимости от тяжести течения патологии:
- стабильные характеризуются образованием единичных хондромных телец (до 10) или множественных (не более 25). При таком заболевания не происходит дальнейшего формирования хрящевых структур или этот процесс резко тормозится;
- прогрессирующие сопровождаются непрерывным формированием в полости коленного сустава хондромных телец, количество которых может превышать несколько сотен.
Довольно редко у пациентов диагностируется остеоматоз — наличие в полости сустава малоподвижных костных тел неправильной формы. Вид хондроматоза обуславливает выраженность симптоматики, становится решающим фактором при выборе метода хирургического вмешательства.

Причины возникновения заболевания
Причины образования в колене внутрисуставных тел окончательно не установлены. Многие ортопеды и травматологи придерживаются версии, что врожденная патология спровоцирована нарушением деления клеток тканей сустава в период эмбрионального развития. А причиной приобретенной хрящевой метаплазии внутреннего слоя суставной сумки становятся внешние, пока не выясненные факторы. Они приводят к нарушению метаболизма, расстройству определенных биохимических процессов.
К развитию приобретенного хондроматоза предрасполагают предшествующие травмы, обычно переломы и сильные вывихи колена. Предпосылкой к формированию хондромных тел служит постоянное микротравмирование тканей в результате физических нагрузок. Отмечены случаи развития хондроматоза на фоне инфекционных патологий.

Симптоматика болезни
Присутствие в полости сустава свободно перемещающихся тел не может не сказаться на функционировании колена. Постоянно или эпизодически возникают боли, усиливающиеся во время ходьбы. При сгибании и (или) разгибании колена отчетливо слышится хруст, щелчки, треск. Движения в суставе ограничены по двум причинам:
- во-первых, из-за метаплазии синовиальной оболочки она утрачивает способность выделять синовиальную жидкость, необходимую для уменьшения трения между суставными концами костей;
- во-вторых, человек сам намеренно избегает делать движения, которые приводят к появлению дискомфортных ощущений.
Нередко хондромные тела ущемляются суставными поверхностями, провоцируя частичную или полную блокаду колена. Объем движений восстанавливается только после высвобождения хрящевых частиц в просвет суставной сумки.
Наличие в полости колена посторонних тел приводит к развитию синовита — воспалительного процесса в синовиальной оболочке, сопровождающегося скоплением жидкости (выпота). Заболевание клинически проявляется повышением местной температуры, отечностью, покраснением кожи.

Диагностика
Первичный диагноз редко выставляется на основании жалоб пациента и внешнего осмотра, так как симптомы хондроматоза колена схожи с клиническими проявлениями других патологий, например, подострого периода гонартроза. Для обнаружения заболевания проводится ряд инструментальных исследований, гистологический анализ суставной оболочки.

На полученных рентгенографических изображениях хондромные тела визуализируются в виде множественных шаровидных или овальных теней с четкими очертаниями. Но это исследование информативно только при наличии включений с обызвествленными участками.
Если внутрисуставные тела не содержат соли кальция, то для их обнаружения требуется проведение УЗИ, МРТ, компьютерной томографии. Эти исследования позволяют определить присутствие посторонних включений, их форму, размеры, количество.
Даже "запущенные" проблемы с суставами можно вылечить дома! Просто не забывайте раз в день мазать этим.
Артроскопия и биопсия синовиальной мембраны — самые информативные диагностические мероприятия. Они помогают оценить состояние суставных структур, степень деструкции синовиальной оболочки, обнаружить хондромные тела.
Лечебные мероприятия
Терапия хондроматоза начинается сразу после выставления диагноза, так как прогрессирование патологии может привести к развитию тяжелых осложнений. Если они уже обнаружены, то проводится их одновременное устранение. Лечение направлено на улучшение самочувствия пациента с помощью удаления внутрисуставных тел и восстановления нормального функционирования колена.
Лечение хондроматоза может быть только хирургическим. На этапе подготовки к операции пациентам назначаются препараты для снижения выраженности симптоматики. Купировать боль помогают нестероидные противовоспалительные средства в таблетках (Найз, Кеторол, Нурофен) или в виде гелей для локального нанесения (Фастум, Вольтарен, Артрозилен). Они также устраняют воспаление и отеки, характерные для синовита.

Перед хирургическим вмешательством показано ношение ортопедических приспособлений различной степени жесткости. Это могут быть эластичные наколенники или бандажи с металлическими, пластиковыми вставками. Ортопедические изделия ограничивают движения в суставе, препятствуют повреждению синовиальной оболочки хондромными телами.

При выборе метода хирургического вмешательства врач учитывает форму хондроматоза колена, количество находящихся в синовиальной оболочке хондромных телец, развившиеся осложнения и выраженность симптоматики. Если обнаружено небольшое число внутрисуставных телец, то применяются более щадящие оперативные методики, например, удаление только части суставной сумки с хрящевыми включениями. При прогрессирующем хондроматозе с интенсивными клиническими проявлениями врачи часто полностью иссекают синовиальную оболочку.
| Вид хирургического вмешательства при хондроматозе коленного сустава | Техника проведения операции |
| Артроскопия | Малоинвазивная операция, в ходе которой травматолог извлекает из полости колена хондромные тела, сформировавшиеся на фоне различных травм и патологий. Удаление может проводиться специальными щипцами, иглами или вымыванием через стержень артроскопа |
| Частичная синовэктомия | Оперативное вмешательство, заключающееся в частичном удалении синовиальной оболочки колена. Может выполняться открытым или артроскопическим способом. Методика позволяет избавиться от посторонних включений, предупредить деформацию пораженного сустава |
| Артротомия | Хирургическое вмешательство, при которой суставная капсула рассекается с целью обнажения (вскрытия) полости сочленения и удаления свободных костно-хрящевых фрагментов, резекции нежизнеспособных тканей |
| Тотальная синовэктомия | При проведении операции хирург-ортопед полностью удаляет синовиальную оболочку вместе с внутрисуставными телами |
Период реабилитации
После операции на сустав накладывается гипсовая лангетка для полного обездвиживания ноги. Длительность фиксации зависит от вида хирургического вмешательства. Ортопедические приспособления используются и после снятия лангетки. Вначале пациентам показано ношение полужестких ортезов, а затем эластичных бандажей для исключения резких движений. Проводятся сеансы физиотерапии для восстановления поврежденных тканей колена:
- УВЧ-терапия;
- магнитотерапия;
- лазеротерапия;
- ударно-волновая терапия;
- гальванические токи;
- аппликации с озокеритом и парафином.

Ускорить регенерацию суставных структур пациентам помогает классический, точечный, баночный массаж. В реабилитационном периоде применяется гирудотерапия, иглорефлексотерапия, электрофорез или ультрафонофорез с витаминами группы B и хондропротекторами.
Сразу после снятия гипсовой лангетки выписывается направление к врачу ЛФК. Он изучает результаты диагностики и проведенного лечения, оценивает физическую подготовку пациента. Затем врач составляет комплекс упражнений для постепенного восстановления всех функций сустава.
С помощью ежедневных занятий лечебной физкультурой и гимнастикой укрепляется мышечный каркас колена, улучшается кровообращение, ускоряются регенерационные процессы.
Осложнения хондроматоза без лечения
Если блокада колена происходит часто и продолжается подолгу, то это предрасполагает к тугоподвижности, формированию контрактур, а в особо тяжелых случаях — атрофическим изменениям мышц ног. Постоянное повреждение эпифизарных хрящей свободно перемещающимися внутрисуставными тельцами становится причиной развития деформирующего остеоартроза (гонартроза). Эта патология быстро прогрессирует и с трудом поддается консервативной терапии.
Если пациент не обращается за медицинской помощью на начальной стадии гонартроза, то спустя несколько лет возникает частичное или полное обездвиживание нижней конечности (анкилоз). Человек утрачивает способность самостоятельного передвижения или пользуется при ходьбе костылями. Восстановить объем движений помогает проведения артродеза, артропластики, замена разрушенного сустава эндопротезом.
Профилактика и прогноз
Прогноз на полное выздоровление благоприятный. Но при нерадикальном хирургическом вмешательстве возможны рецидивы. Чтобы минимизировать вероятность повторного формирования хондромных тел, следует избегать травмоопасных ситуаций и своевременно лечить инфекционные патологии. Необходимо регулярно проходить полные медицинские осмотры с обязательным рентгенологическим обследованием.
Как забыть о болях в суставах?
- Боли в суставах ограничивают Ваши движения и полноценную жизнь…
- Вас беспокоит дискомфорт, хруст и систематические боли…
- Возможно, Вы перепробовали кучу лекарств, кремов и мазей…
- Но судя по тому, что Вы читаете эти строки - не сильно они Вам помогли…
Но ортопед Валентин Дикуль утверждает, что действительно эффективное средство от боли в суставах существует! Читать далее >>>
Что такое хондроматоз коленного сустава? Патологический процесс, приводящий к перерождению отдельных участков синовиальной оболочки. Крупные суставы человеческого скелета претерпевают метапластические изменения – замещение одного типа тканей другим. В итоге в суставной полости формируются хондромные тела – новообразования из хрящевых или костных элементов.

Механизм зарождения и систематизация
Чаще патология диагностируется у мужского населения среднего и старшего возрастного периода. В некоторых случаях заболевание выявляется у малышей на первом году жизни. Врожденная форма болезненных отклонений предположительно связана с нарушением программы формирования фенотипа клеток в процессе развития плода.
Причинами приобретенных метапластических изменений служат:
-
часто повторяющиеся травмы; инфекционные заболевания; чрезмерные физические нагрузки.
Последствия приобретенной метаплазии – хондрома (доброкачественная опухоль). Редко образование подвергается озлокачествлению – хондросаркоме.
Патология систематизируется специалистами в зависимости от особенности течения:

-
стабильная форма – связана с присутствием небольшого количества хондромных тел, образование которых резко снижается, либо прекращается; прогрессирующая форма – беспрерывное формирование новых тел до максимального количества; редкая форма – образование хрящевых тел в синовиальных сумках и фиброзных футлярах, окружающих сухожилия длинных мышц.
Процесс сопровождается переходом мезенхимальных клеток в хрящевую ткань с последующей метаплазией в костную ткань.
Течение опухолевидной формы хондроматоза аналогично подострому артриту. Множественные тельца, накопленные в полости, сливаются в один конгломерат.
Сопутствующая симптоматика
Из-за медленного формирования хрящевых образований патология на начальном этапе носит маловыраженный характер. При образовании значительных узлов во время движения появляется характерный хрустящий звук и резкие болезненные ощущения. Коленный сустав увеличивается в объеме и деформируется. Если состояние сопровождается скоплением выпота, в области поражения наблюдается отечность мягких тканей и гиперемия кожного покрова.
Установление диагноза
При хондроматозе коленного сустава диагноз выставляется по результатам лабораторных и инструментальных исследований.
Рентгенография выявляет очертания обособленных слоистых теней. Рентгенографические признаки не определяются до момента кальцификации хрящевых элементов.
УЗИ, МРТ – процедуры позволяют дифференцировать хондроматоз от артрита и хондрокальциноза. Предоставляют дополнительную информацию о количестве и расположении хондромных тел, степени дегенеративных изменений, произошедших в суставе.

Биопсия синовиальной оболочки проводится для исключения опухолевых образований.
Лечебные мероприятия
Единственно верный способ лечения хондроматоза коленного сустава – оперативное вмешательство. Виды хирургических манипуляций напрямую связаны с формами заболевания. При стабильном течении патологии ограничиваются артроскопией.
Малоинвазивная операция имеет несколько вариантов удаления внутрисуставных тел:
-
вымывание через стержень артроскопа; извлечение щипцами после введения в сустав специального газа или жидкости; устранение с помощью иглы.
Постоперационный период
В ранний постоперационный период применяется: иммобилизация конечности, употребление противовоспалительных, антибактериальных, обезболивающих средств, хондропротекторов.
Важную роль в лечении после артроскопии играет профилактика излишнего формирования рубцовой ткани, приводящей к ограничению движений в суставе. С целью решения этой проблемы пациентам назначают курс инъекций пирогенала или стекловидного тела. Препараты препятствует синтезу коллагена фибробластами, стимулируют активность гиалуронидазы. За счет чего обеспечивают проницаемость тканевых волокон, содействуют восстановлению кровообращения. Препараты не вызывают привыкания, обладают регенерирующими способностями, тормозят развитие плотных рубцов, ускоряют рассасывание спаек.
Через 2 дня после операции показана лечебная гимнастика. После хирургических манипуляций важно добиться сгибания колена под прямым углом. В дополнение к ЛФК назначаются: ударно-волновая терапия, УВЧ, лечение лазером, магнитотерапия. На более поздних сроках – горячие парафиновые аппликации. Продолжительность пребывания в стационаре при благоприятном исходе – 6 – 10 дней.
Лечение в домашних условиях
После выписки со стационара на протяжении 6 – 8 недель необходимо эластичное бинтование конечности. Технике обучат специалисты, они же дадут рекомендации по подбору компрессионного трикотажа. Эластичный бинт и специальные чулки предотвратят риск развития тромбоза глубоких вен.
Рекомендуем прочесть и заменить черный чай на отвары Иван-чая .
Что такое хондроматоз и почему он развивается
- Чаще взрослые пациенты молодого возраста.
- Синовиальный хондроматоз или хондроматоз суставов – редкое заболевание синовиальной оболочки сустава, характеризуется частичным перерождением ткани оболочки сустава в хрящевую ткань.
- Может поражать пациентов в любом возрасте
- Этиология не установлена
- Первичное заболевание идиопатическое, вторичное заболевание возникает при повреждении сустава или артрите. Как правило, чаще всего суставом мишенью является коленный сустав (синовиальный хондроматоз коленного сустава).
При хондроматозе патогенетически развивается:
- Метаплазия синовиальной мембраны
- Узловая пролиферация хрящевой ткани, которая может оссифицироваться
- Узловые пролифераты располагаются на ножке с синовиальной мембраной, которая обеспечивает их кровоснабжение
Какой метод диагностики хондроматоза выбрать: МРТ, КТ, рентген, УЗИ
- рентгенологическое исследование в двух проекциях.
- Круглые, с четкой границей кальцинаты возле сустава
- Наиболее частая локализация: плечевой сустав, локтевой сустав и коленный сустав
- Часто множественные поражения
- Не визуализируются при рентгенологическом исследовании до того момента, пока хрящевые элементы не кальцифицируются
- Вследствие этого необходимо проведение УЗИ и МРТ.

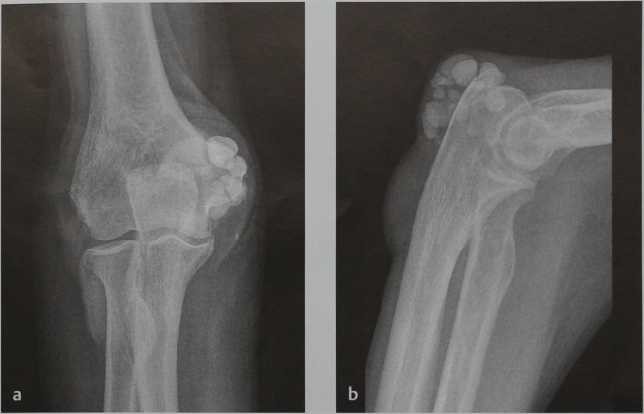
а, b Синовиальный хондроматоз локтевого сустава мужчины 30 лет: a) Прямая проекция; b) боковая проекция.
- Множественные, круглые гипоинтенсивные образования при МРТ в режиме с высокой интенсивностью сигнала (Т2-взвешенное изображение).


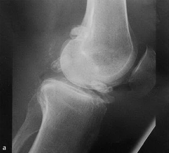
а-d Хондроматоз коленного сустава . Пациент 57 лет с рецидивирующим выпотом в коленном суставе: а, b) Рентгенологическое исследование в двух проекциях: множественные поражения в межмыщелковой и задней части коленного сустава.

с) Сагиттальная проекция в Т1 -взвешенной последовательности. Синовиальный хондроматоз с гипоинтенсивным сигналом;

d) Гипоинтенсивный синовиальный хондроматоз в межмыщелковой области
Клинические проявления
Типичные симптомы хондроматоза:
- Болевой синдром
- Ограничение подвижности
- Рецидивирующий выпот в области сустава.
Методы лечения хондроматоза
- -хирургическое удаление с помощью малоинвазивной методики артроскопии.
Течение и прогноз
- При отрыве пролифератов могут образовываться внутрисуставные свободные тела и возникать симптомы заклинивания (блока) либо ограничение подвижности в суставе
- Разрушение сустава встречается редко.
Что хотел бы знать лечащий врач
- Количество и расположение хондром
- Дегенеративные изменения суставов.
Какие заболевания имеют симптомы, схожие с хондроматозом
- Не требуется
- Типичное изображение.
Хондромное тело – свободно располагающееся или фиксированное к синовиальной оболочке хрящевое образование. Обычно оно имеет структуру гиалинового хряща. В центре появляются участки окостенения, а снаружи – компоненты волокнистого хряща. Хондромные тела вызывают боль и заклинивание сустава. Периодически возникают блокады, которые ограничивают подвижность конечности. Патология лечится только хирургическим способом.
Хондромное тело – свободно располагающееся или фиксированное к синовиальной оболочке хрящевое образование. Обычно оно имеет структуру гиалинового хряща. В центре появляются участки окостенения, а снаружи – компоненты волокнистого хряща. Хондромные тела вызывают боль и заклинивание сустава. Периодически возникают блокады, которые ограничивают подвижность конечности. Патология лечится только хирургическим способом.
- Недорого прием травматолога-ортопеда, к.м.н. от 4000 рублей
- Срочно Быстрая запись на прием в день обращения
- Близко 12 минут от метро Фонвизинская и Улица Милашенкова
- Удобно Индивидуальный прием по предварительной записи
Причины
Заболевание может развиваться как первичный хондроматоз синовиальной оболочки, либо развивается на фоне другой патологии. Первичный хондроматоз встречается редко. Это понятие подразумевает, что произошло хрящевое перерождение синовия без видимых причин. Гораздо чаще хондромные тела образуются на фоне существующей патологии:
- остеоартроза;
- травмы с отрывом хрящевых фрагментов;
- туберкулезного артрита;
- рассекающего остеохондрита.
Чаще всего образуется хондромное тело в коленном суставе, реже – в локтевом, изредка – в плечевом или тазобедренном.

Первичный синовиальный хондроматоз
Хондромные тела могут образоваться в результате первичного синовиального хондроматоза – доброкачественного заболевания неясного происхождения. Суть его заключается в том, что на синовиальной оболочке сустава постепенно происходят изменения, превращающие её фрагменты в хрящевую ткань. Это явление называют хрящевой метаплазией. Оно носит очаговый характер. То есть, перерождается не вся синовиальная оболочка – не ней лишь появляются локальные хрящевые отложения.
Чаще всего заболевание поражает один крупный сустав. Обычно это коленный сустав, реже тазобедренный или локтевой. Описаны единичные случаи поражения других суставов, включая плечевой.
Различают такие виды хондроматоза:
Врожденная форма. Очень редкая. Представляет собой, по сути, дисплазию сустава. Это результат нарушения эмбриогенеза (внутриутробного развития).
Стабильная форма. Образуется от 8 до 25 хондромных тел. Это происходит в течение короткого промежутка времени. Затем развитие патологии замедляется или прекращается. В дальнейшем количество и размеры хрящевых узелков остаются на одном уровне или заболевание прогрессирует очень медленно.
Прогрессирующая форма. Хондромные тела образуются постоянно. Их количество достигает десятков, а у некоторых пациентов – сотен. Возрастают их размеры. После удаления всех хрящевых фрагментов, они появляются снова. Поэтому единственный способ предотвратить рецидивы заключается в полном удалении синовиальной оболочки.
Редкие формы. К таковым относятся случаи патологии, когда хондромные тела образуются внутри суставных сумок и сухожильных влагалищ, либо представляют собой не хрящевые, а костные образования.
Опухолевидные формы. Отличается сращиванием множества хондромных тел вместе. Эти конгломераты непрерывно увеличиваются и достигают огромных размеров, со временем занимая всю суставную полость.
Озлокачествленная форма. В очень редких случаях происходит трансформация в злокачественную опухоль. В медицинской литературе описано несколько десятков случаев, когда на фоне первичного синовиального хондроматоза у человека развивалась хондросаркома – злокачественная опухоль из хрящевой ткани. Такая возможность делает необходимым гистологическое исследование удаленных из сустава хондромных тел. В этом случае признаки злокачественного процесса будут обнаружены своевременно, что облегчит лечение и сделает его менее травматичным для пациента.

Хондромное тело в коленном суставе – что это?
Это хрящ, который свободно перемещается внутри колена. Чаще всего он представляет собой оторвавшийся в результате травмы фрагмент хряща надколенника. Образование также называют суставной мышью.
Основные проблемы, которые возникают при наличии суставной мыши:
- раздражение синовиальной оболочки;
- рецидивирующие воспалительные процессы (синовиты);
- скопление жидкости внутри сустава;
- периодическое вклинивание хондромного тела между суставными поверхностями, которое вызывает блокаду сустава (человек не может разогнуть или согнуть ногу).
При пальпации врач может определить внутри хондромное тело, если оно имеет достаточно крупные размеры и удобное для прощупывания расположение. Иногда при движениях в колене или пальпации чувствуется хруст.
В случае блокады колена из-за вклинивания суставной мыши между суставными поверхностями, пациент ощущает сильную боль. Позже нарастает отек. Подвижность конечности нарушена. На момент обращения нога обычно находится в согнутом положении, пациент не может её разогнуть. Колено становится теплым, кожа над ним красная, размер сустава увеличен за счет припухлости мягких тканей и скопления внутри жидкости. У некоторых пациентов возрастает температура тела.

Диагностика
Хондромные тела можно увидеть на рентгене. Более эффективная неинвазивная диагностика проводится посредством МРТ. Самым точным методом считается артроскопия. Но он инвазивный – предполагает проникновение артроскопа внутрь сустава. Фактически, это хирургическая операция. Из диагностической она сразу же может стать лечебной. Обычно врач не ограничивается одним только осмотром суставной полости. Обнаруженные хондромные тела сразу же удаляются.
В ходе артроскопии врач обнаруживает:
- хрящевые наросты на синовиальной оболочке;
- свободно располагающиеся тела;
- патологически измененный синовий с признаками утолщения и воспаления.

Требуется ли лечение?
Лечение необходимо, так как у человека снижено качество жизни из-за развивающихся симптомов. Но даже случайное выявление внутри сустава хрящевых узелков при обследовании по поводу другого заболевания – это повод для оказания медицинской помощи.
Лечения требует как основное заболевание, которое привело к появлению хондромных тел внутри сустава, так и сам хондроматоз. Пациенту с этой патологией обязательно требуется хирургическая операция. Нет таких консервативных средств лечения, которые привели бы к растворению хондромных тел. Возможно лишь их физическое устранение.
Без операции болезнь иногда прогрессирует. Хондромное тело в полости сустава увеличивается. Через несколько лет оно может достигнуть таких размеров, что полностью блокирует подвижность конечности. Зачастую из коленного или другого крупного сустава врачам приходится извлекать свободно располагающиеся хрящевые тела диаметром в несколько сантиметров.
Находясь внутри суставной полости, хондромные тела могут прилегать к синовиальной оболочке или находятся отдельно от неё. Даже в случае обособленного расположения, эти образования получают питательные вещества. Их трофика обеспечивается синовиальной жидкостью. С этим связано постоянное разрастание хондромных тел. К тому же, они могут увеличиваться не только в размерах, но и в количестве. При длительном течении заболевания число этих хрящевых наростов может достигать нескольких десятков.
Со временем меняется структура хондромных тел. В них происходит процесс окостенения. Обычно он начинается с центральной части хрящевого узелка. Гистологическое исследование, выполненное после удаления образований, показывает, что внутри они более плотные, чем снаружи. В центре определяются клетки, которые обычно присутствуют в костной ткани. По краям обнаруживается множество незрелых клеток, что свидетельствует о продолжающемся росте.
Если суставная мышь представляет собой оторвавшийся во время травмы фрагмент хряща, болезнь может не прогрессировать. Образование не увеличивается в размерах, либо это происходит очень медленно. Но и в этом случае пациенту требуется помощь. В любой момент сустав может заклинить. Это чревато сильной болью и воспалением. Хотя такие блокады могут пройти самостоятельно, в будущем они повторяются. К тому же, свободно перемещающийся внутри сустава фрагмент хряща травмирует суставные поверхности. Это приводит к развитию артроза через несколько лет.

Операция
Операция направлена на:
- удаление хондромного тела;
- иссечение патологически измененной синовиальной оболочки;
- устранение сопутствующей патологии.
Открытые операции применяются редко. В современных клиниках используют артроскопию. Врач выполняет несколько небольших разрезов. Через них устанавливаются канюли (расширители). Благодаря им канал, соединяющий суставную полость и сустав, становится больше, и через него можно извлечь хондромные тела. Если они слишком крупные, проводится их разделение на мелкие фрагменты. Затем врач извлекает хрящевые наросты по частям.
Заболевание может рецидивировать, если не иссечена патологически измененная синовиальная оболочка. Врач проводит её осмотр. Участки утолщения и воспаления он удаляет. Иногда требуется иссечение всего синовия (радикальная синовэктомия).
Если причиной образования хондромного тела стала травма, то в зоне отделения участка гиалинового хряща появляется дефект. Он должен быть закрыт. Для устранения дефекта суставной поверхности часто используют мозаичную пластику. Врач берет участок ненагружаемого хряща из другого участка тела и закрывает им дефект.
В последние годы некоторые клиники используют матрикс-индуцированный хондрогенез: из небольшого количества хрящевых клеток в лаборатории выращивается множество хондроцитов, которым придают необходимую форму при помощи специального клея и переносят в зону дефекта.
Читайте также:


