Зоны роста голеностопного сустава
- Все
- А
- Б
- В
- Г
- Д
- И
- К
- Л
- М
- Н
- О
- П
- Р
- С
- Т
- Ф
- Х
- Ц
- Э
Повреждения зон роста
Повреждения пластинок возникают у детей и подростков. Пластины является самой слабой областью растущего скелета, они слабее даже, чем соседние связки и сухожилия, которые соединяют кости с другими костями и мышцами. У ребенка в период роста при серьезных травмах суставов, наиболее вероятно,будет повреждение пластин роста, чем связок, отвечающих за стабильность сустава. Травмы, которые могут вызвать растяжение связок у взрослых, могут вызвать повреждение пластин роста у детей.

Повреждения пластин роста происходят при переломах. Они составляют 15 процентов всех детских переломов. Они встречаются в два раза чаще у мальчиков чем, у девочек, и наиболее часто встречаются у 14 - 16-летних мальчиков и 11 - 13-летних девочек. У девочек в более старшей возрастной группе реже встречаются переломы так, как опорно-двигательный аппарат у девочек созревает раньше, чем у мальчиков. В результате у девочек раньше завершается формирование костной ткани и пластинки роста сменяются плотной костной тканью. Примерно половина всех травм пластинок роста происходят в нижней части предплечья ( лучевой кости) или в локте. Эти травмы также часто встречаются в нижней части ноги (голени и малоберцовой кости). Они могут также возникать в верхней части ноги (бедре) или в лодыжке и стопе.
Причины
Хотя травмы пластинок роста, как правило, связаны с острой травмой ( падение или удар по конечности),повреждение может быть вызвано и хронической травмой, возникающей в результате избыточных частых нагрузок. Например, такие повреждения пластин роста могут возникнуть у спортсменов: гимнастов, легкоатлетов, игроков в бейсбол.
На основании определенных исследований травматизма у детей были получены данные, что повреждения пластин роста возникают в результате падений на детской площадке или со стульев. На такие виды спорта такие, как футбол, легкая атлетика и гимнастика, приходится одна треть всех травм. На другие виды физической активности такие, как езда на велосипеде, катание на санях, катание на лыжах и катание на роликовой доске, приходится одна пятая всех переломов пластин роста. Травмы при езде на автомобиле, мотоцикле, и связанных с ними транспортных происшествиях составляют лишь небольшой процент переломов пластин роста.
Eсли у ребенка после острой травмы или чрезмерной нагрузки возникает боль, которая не исчезает или проходит изменение физической активности или есть локальная болезненность,то в таком случае обязательно необходима консультация врача. Ребенок, ни в коем случае,не должен двигаться через боль. Дети, которые занимаются спортом, часто испытывают некоторый дискомфорт, так как им приходится выполнять новые движения. В некоторых случаях появление определенных неприятных ощущений вполне предсказуемо, но,тем не менее,любая жалоба ребенка заслуживает внимания так,как некоторые травмы при отсутствии адекватного лечения могут приводить к необратимым изменениям и нарушить надлежащий рост костей поврежденной конечности.
Хотя в большинстве случаев травмы пластин роста связаны с травмами во время игры или занятий спортом,тем не менее, возможны и другие причины повреждения зон роста (например, при инфекции костей ),которые могут изменить нормальный рост и развитие костной ткани.
Жестокое обращение с детьми может стать причиной травм костей, особенно у маленьких детей, у которых рост костных тканей только начинается.
Воздействие холода (например, обморожение) может также повредить пластинки роста у детей и в результате чего могут быть короткие пальцы в старшем возрасте или ранее развитие дегенеративного артрита.
Радиационное излучение, которое используется для лечения некоторых видов рака у детей, может привести к повреждению роста пластины. Более того, недавние исследования показали,что и химиотерапия, используемая для лечения онкологических заболеваний у детей, может негативно повлиять на рост костей. Аналогичное действие оказывает и длительное применение стероидов для при лечении ревматоидного артрита.
Наличие у детей определенных неврологических нарушений, которые приводят к сенсорному дефициту или мышечному дисбалансу, повышает риск переломов пластинок роста, особенно в области лодыжки и колена.
Подобные типы травм часто наблюдаются у детей, которые родились с нечувствительностью к боли.
Область зон роста является местом приложения многих наследственных заболеваний, которые влияют на опорно-двигательный аппарат. Наука постепенно изучает гены и мутации генов, участвующих в формировании скелета, роста и развития костной ткани. Со временем эти исследования помогут лечить различные отклонения в нормальном функционировании пластин роста.
Симптомы
- Невозможность продолжать игру из-за болей после острой травмы.
- Снижение способности играть в течение длительного времени из-за постоянной боли после перенесенной травмы.
- Визуально заметная деформация руки или ноги ребенка.
- Сильная боль и невозможность движений после травмы.
Диагностика
После выяснения обстоятельств травмы врач назначает рентгенографию для определения типа перелома и выработки плана лечения. Поскольку зоны роста не имеют такой плотности, как кости, то рентгенография их не визуализирует и они определяются как промежутки ( зазоры) между метафизом и эпифизом длинной трубчатой кости.В связи с плохой визуализацией на рентгенографии зон роста рекомендуется проводить рентгенографию парной конечности для сравнения изображений.
МРТ (магнитно-резонансная томография) позволяет достаточно четко визуализировать изменения в тканях и, поэтому, может быть назначена для диагностики повреждений пластин роста. В некоторых случаях, возможно использование другие диагностических методов, таких как компьютерная томография (КТ) или УЗИ исследование.
Классификация переломов пластин роста (Солтер и Харрис)

Переломы пластин роста делятся на 5 типов:
- Тип I
Эпифиз полностью отделен от конца кости или метафиза, через глубокий слой пластинки роста. Пластина роста остается прикрепленной к эпифизу. Врачу необходимо провести репозицию при наличии смещения. При этом типе перелома необходима иммобилизация с помощью гипса для полноценной консолидации. Как правило, вероятность полноценного восстановления кости при этом типе перелома очень высокая. - Тип II
Это наиболее распространенный тип перелома пластины роста. Эпифиз, вместе с пластиной роста отделяется от метафиза. Как и при типе I,при переломах типа II обычно необходимо проводить репозицию и жесткую фиксацию гипсом. - Тип III
Этот тип перелома происходит в редких случаях, как правило, в нижней части голени, в большеберцовой кости. Это происходит, когда перелом проходит полностью через эпифиз и отделяет часть эпифиза и пластинку роста от метафиза. При таких переломах нередко требуется хирургическое восстановление суставной поверхности. Прогноз при таких переломах хороший,если нет нарушения кровоснабжения отделенной части эпифиза и нет выраженных смещений отломков. - Тип IV
Этот перелом проходит через эпифиз, через всю пластинку роста и в метафиз.При этом типе перелома необходима хирургическая реконструкция геометрии костей и выравнивание пластинки роста. Если реконструкция не будет проведена качественно, то прогноз при таком тип перелома может быть не очень хорошим. Эта травма встречается,чаще всего,в конце плечевой кости рядом с локтем. - Тип V
Это редкий тип травмы,когда происходит дробление конца кости и пластина роста сжимается. Чаще всего,такой тип перелома встречается в колене или лодыжке.Прогноз неблагоприятный, так как преждевременное окостенение зоны роста почти неизбежно.
Новая классификация, называемая классификация Петерсона различает также перелом типа VI, при котором часть эпифиза, пластина роста, и метафиз отсутствуют. Это обычно происходит при открытых ранах или переломах (травмы при применение сельскохозяйственной техники,снегоходов, газонокосилки или при огнестрельных ранениях). При VI типе перелома обязательно требуется хирургическое вмешательство, и большинстве случаев бывают необходимы поздние реконструктивные или корректирующие операции. Рост костей почти всегда нарушен.
Лечение
Как правило, лечением травм (за исключением незначительных) занимается врач-травматолог. В некоторых случаях требуется детский ортопед-травматолог так,как травмы у детей нередко имеют свои особенности.
Лечение при переломах зависит от типа перелома.Лечение, которое должно быть начато как можно раньше после травмы и, как правило, представляет собой следующие действия:
- Иммобилизация. На поврежденную конечность накладывается гипс или шина и ограничивают любую деятельность ребенка,которая может оказать давление на травмированную область.
- Репозиция. При наличии смещения отломков необходима ручная репозиция или нередко хирургическая репозиция с фиксацией отломков. Фиксация необходима для нормальной консолидации костной ткани.После проведения репозиции накладывается гипсовая повязка с захватом зоны роста и сустава. Иммобилизация в гипсе необходима в течение от нескольких недель до нескольких месяцев до тех пор, пока не произойдет нормальная консолидация костной ткани.Необходимость в оперативном восстановлении целостности костных структур определяется размерами смещения, наличием опасности повреждения близлежащих сосудов и нервов и возрастом ребенка.
- ЛФК назначается только после завершения регенерации костной ткани. Долгосрочные наблюдения врача необходимы для оценки адекватного роста костной ткани так, как происходит травма зон роста. Поэтому, рекомендуется проведение рентгенографии конечностей с интервалами 3-6 месяцев, в течение 2 лет после перелома зон роста. Некоторые переломы требуют динамического наблюдения до завершения роста ребенка.
Прогноз
Почти в 85 процентов случаев переломов пластинок роста происходит полное заживление без каких-либо последствий.
Нарушение формирования костной ткани при травме пластинки роста возникают в следующих случаях:
- Тяжесть травмы. Если травма вызывает нарушение притока крови к эпифизу,то происходит нарушение роста костной ткани.Также при при смещении, разрушении или компрессии пластинки роста возможно замедление роста костной ткани.Наличие открытой травмы может повлечь за собой риск инфицирования и инфекция может разрушить пластину роста.
- Возраст ребенка. В младшем возрасте повреждение пластин роста может приводить к более серьезным нарушениям в развитии костной ткани так, как необходим большой прирост костей. И поэтому,при переломах в раннем детском возрасте требуется длительное наблюдение врача. В то же время более молодая костная ткань обладает большей регенераторной способностью.
- Локализация переломов зон роста.Например,зоны роста в колене более ответственны за экстенсивный рост костей, чем другие.
- Тип роста перелома пластин - Тип IV и V являются наиболее серьезными.
Лечение зависит от вышеперечисленных факторов, а также опирается на прогноз.
Наиболее частым осложнением перелома пластины роста является преждевременная остановка роста костей. Пораженная кость растет медленнее, чем это было бы без травмы, и в результате конечность может быть короче, чем неповрежденная конечность. Если же повреждена только часть пластинки роста, рост кости может быть в одну сторону и происходит искривление конечности. Травмы зоны роста в колене подвержены наибольшему риску осложнений. Так как нередко травма зоны роста в колене сопровождается повреждением нервов и сосудов, то поэтому травмы зон роста в колене чаще сопровождаются нарушением роста костей и искривлениями конечности.
В настоящее время в ведущих исследовательских клиниках проводятся исследования, изучающие возможности стимуляции регенерации тканей с использованием результатов генной инженерии, что позволит в будущем избежать остановки роста и деформации конечностей после перенесенных травм зон роста.
Травматизм в детском возрасте – дело привычное. В этот период жизни дети быстро растут и развиваются. Травмы, связанные с нарушением зон роста, могут привести к очень серьезным последствиям.
Причины и патогенез

Эпифизеолиз – заболевание, спровоцированное деструкцией ростовой пластинки эпифизарного хряща. Переломы и генетические факторы приводят к дисфункции физиологических зон роста. Недуг возникает в любой области тела, где растут кости. Во взрослом возрасте не встречается.
Данное патологическое состояние часто диагностируется как травматический эпифизеолиз наружной лодыжки. Связано это с активным образом жизни. Имеющие эктоморфный тип телосложения (худые люди с тонкими костями) чаще всего подвергаются переломам.
Генетические особенности также могут служить причиной болезни. При патологии головка кости имеет плохое кровообращение и становится хрупкой. Нарушенный нейрогормональный фон у подростков способствует прогрессированию остеоэпифизеолиза.
Факторы формирования

Большое влияние имеют гормональные сбои у детей. Нарушение функции БАВ (биологически активных веществ) провоцирует ненормальное развитие эпифизарных пластинок. Неоднократно встречается в школьном возрасте.
Очень часто формирование болезни начинается у мальчиков в возрасте от 13 до 14 и у девочек от 11 до 12 лет. Существуют случаи развития болезни у новорожденных.
- Эпифизеолиз головки бедренной кости.
Участок проксимального эпифиза головки становится переменным. Смещение происходит назад и вниз (аналогичная клиника с эпифизеолизом головки лучевой кости). Величина изменения смещения оказывает влияние на прогрессирование дисфункции тазобедренного сустава. - Эпифизеолиз большеберцовой кости .
Причиной возникновения является нанесение удара по согнутому коленному суставу. Как следствие — смещается костный эпифиз внутрь или наружу, что приводит к перелому бугорков межмыщелкового возвышения. - Эпифизеолиз лодыжки у детей.
Явление это достаточно редкое. Причина: фрактура или полученная прямая травма при неаккуратном приведении или отведении стопы. Переломы лодыжек сопровождаются гематомами мягких тканей, отеком в области голеностопа, деструкцией связочного аппарата. - Эпифизеолиз головок трубчатых костей.
Свойственно больным с нарушением функции эндокринной системы при недостаточном выделении гормона роста.
Классификация
Выделяют 5 основных видов переломов с поражением эпифизеолярной пластины:
- Линия перелома формирует разлом, который разделяет ростковую зону и физис кости, разделяя их. Характеризуется полным разрушением пластинки эпифизеолиза.
- Зона перелома проходит сквозь ростковую зону, задевая часть тела кости.
- Линия перелома частично прорезает зону роста. Случается откол части эпифиза.
- Перелом охватывает тело кости, ростковую зону вместе с эпифизом.
- Сдавливание кости сопровождается расплющиванием ростковой пластинки.

Процентный показатель частоты переломов пяти типов классификации:
- 6%;
- 75%;
- 8%;
- 10%;
- 1%.
Дополнительно выделяют 4 типа классификации.
Для них характерны разнообразные вариации поражений:
- Сбой функции периферической зоны, вследствие чего образуется костный мостик с дальнейшим возможным появлением угловой деформации конечности.
- Изоляция поврежденной зоны роста.
- Повреждение, провоцирующее нарушенный костный энхондральный рост. Это ведет к замене хрящевой ткани на костную.
- Дисфункция надкостницы с допустимым дефектным развитием ткани эндесмального окостенения.
Симптомы и методы диагностики

В результате полученной травмы у детей отмечается:
- Боль в участке травмы.
- Нагрузка на ось усиливает порог боли.
- Скованность движения, нарушение нормальной подвижности, хромота.
- Образование внутреннего кровоизлияния в травмированной области.
- После переломов отмечают появление отечности.
При развитии заболевания из-за патологических процессов:
Диагностика проводится врачом — ортопедом и хирургом. По прибытию в ЛПУ у больных собирают анамнез, где у детей отмечают резкое падение с высоты или травмы при ударе бедренной кости. Проводят общее клиническое исследование пациентов.
Основные методы диагностики при постановке правильного диагноза:
- Рентгенограмма. Используют передне-заднюю и боковую проекцию по Лауэнштейну. Особое значение имеют изменения структуры в области эпифизеолярной пластинки и патологические смещения эпифиза.
- Магнитно-резонансная томография.
- Радионуклидный метод используют для определения жизнедеятельности головки бедренной кости.
Способы лечения

При постановке больному одного из диагнозов дисфункции эпифизеолиза терапия будет зависеть от характера повреждения и стадии развития болезни.
Однако наиболее эффективным способом является хирургическое вмешательство.
Методы терапии при разных видах переломов зон роста:
- Почти в 100% случаев сводится к обездвиживанию конечности и наложению гипсовой повязки. В большинстве случаев проводится хирургическое вмешательство, при котором устанавливается интрамедуллярный штифт внутрь. С его помощью воссоздают прежнее состояние оси кости. Также применяют специальные шпицы, которые вводятся в шейку и головку бедра. После полного заживления все инструменты извлекаются наружу.
- Обездвиживание поврежденной конечности, редко амбулаторное лечение. Восстановление проходит достаточно быстро.
- Немедленное оперативное вмешательство. Некоторые части сустава следует зафиксировать специальным инструментом.
- Больным проводят манипуляции по устранению смещенной доли эпифиза и восстановлению целостности поврежденных частей при поддержке скелетного вытяжения. Затем с помощью спиц и трансплантата проводят сочленение головки и шейки бедра.
- Обездвиживание конечности и наложение гипсовой повязки.
Последствия и осложнения заболевания
Гормональные нарушения, механические повреждения и переломы становятся причиной остановки роста кости в длину. Последствием является неравномерность конечностей или асимметрия (одна конечность длиннее другой).
Несвоевременное устранение эпифизеолиза головки бедра приводит к прогрессу смещения и полной остановке роста поврежденной кости. Следствием запущенной болезни является некроз и хондролиз.
Статистика

Переломы в незрелом возрасте с деструкцией ростовой пластины занимают 30%. Из них приблизительно 10% сопровождается деформацией костей (наиболее часто – голеностопного сустава). А 20% случаев случаются во время отдыха. Причиной является чрезмерная физическая активность.
Юношеский эпифизеолиз. Группы особого риска
Все ведущие активный образ жизни. В юном возрасте данное заболевание встречается неоднократно. Спортсмены, которые любят занятия футболом, гандболом, художественной гимнастикой, баскетболом и хоккеем, находятся в зоне риска. Также сюда можно отнести активное времяпрепровождение: прогулки на велосипеде, конная езда, катание на коньках и роликах, санках, лыжах, сноуборде и скейте.
Показатель числа переломов в зоне роста у мальчиков превышен вполовину по сравнению с девочками.
Профилактика
Единственной и самой эффективной профилактикой эпифизеолиза является снижение количества травматизма.
Нужно следить за уровнем активности вашего ребенка. Питание должно быть полноценным, содержать продукты, богатые кальцием: творог, рыба, молоко, фасоль, кефир. Следует отказаться от неполезной еды: фастфуда, жирного и жаренного. Немаловажно минимизировать факторы риска заболеваний эндокринной системы.
Ни один из методов народной медицины не поможет вам в лечении этой болезни.
При первых признаках недуга немедленно обратитесь в ЛПУ. Обычно после постановления диагноза больной ребенок отправляется на операцию уже на следующий день. Ранняя диагностика увеличивает шанс успешного лечения.
Лучевые критерии анатомо-томографических соотношений
Критерием правильности анатомических соотношений является равномерная высота рентгеновской суставной щели (горизонтальная ее часть) и расположение на одном уровне латерального края эпифиза болыиеберцовой кости и латерального края блока таранной кости. В сагиттальной плоскости показателем правильности соотношений считается равномерная высота рентгеновской суставной щели и расположение на одном уровне центров сочленяющихся суставных поверхностей эпифиза большеберцовой кости и блока таранной. На рентгенограммах стопы после окончания ее формирования при оценке пространственного положения пяточной и таранной костей во фронтальной и сагиттальной плоскостях используется ряд показателей.
В сагиттальной плоскости положение таранной кости характеризует величина таранно-берцового угла, образующегося при пересечении продольных осей этих костей. Нормативное значение этого угла — 90°. Пространственное положение пяточной кости характеризует величина пяточно-подошвенного угла, образующегося при пересечении двух линий, одна из которых проводится касательно к нижней поверхности пяточной кости, а вторая соединяет нижнюю поверхность пяточного бугра и нижнюю поверхность головки I плюсневой кости. Нормативное значение этого угла 15—20°.
Во фронтальной плоскости показателем нормы пространственных положений названных костей является пересечение их продольных осей под углом 12—15° (пяточно-таранный угол). Величина продольного свода стопы характеризуется величиной угла, образующегося при пересечении линий, касательных к нижним поверхностям пяточной и I плюсневой костей на рентгенограмме, произведенной в боковой проекции. Показателем нормы считается значение этого угла в диапазоне от 125° до 135°. При анализе снимков стопы могут быть оценены форма, размеры, контуры и структура костей скелета стопы, также анатомические соотношения в суставах предплюсны, плюснефаланговых и межфаланговых суставах. Критерием правильности этих соотношений являются равномерная высота рентгеновских суставных щелей, адля суставовс неровной протяженностью суставных поверхностей (таранно-ладьевидный, плюснефаланговые и межфаланговые суставы) — расположение на одном уровне их центров, для плоских суставов — расположение на одном уровне краев суставных поверхностей.
Возраст 9 месяцев.Степень оссифицированности метаэпифизов костей голени и скелета стопы немногим отличается от той, которую они имели к концу внутриутробного развития. Хрящевое строение в течение этого возрастного периода сохраняют: эпифизы костей голени и частично их метафизы, значительная часть пяточной, таранной и кубовидной костей и полностью — ладьевидная, все клиновидные кости предплюсны и эпифизы плюсневых костей и фаланг пальцев. Критерием правильности анатомических соотношений в голеностопном суставе во фронтальной плоскости в связи с отсутствием изображения эпифиза большеберцовой кости и неравномерностью высоты рентгеновской суставной щели является параллельность линий, проведенных касательно к дистальной поверхности метафиза большеберцовой кости и к верхней поверхности блока таранной, а также расположение на одном уровне латеральных краев названных поверхностей. В сагиттальной плоскости показателем нормы анатомических соотношений в голеностопном суставе служит расположение на одной вертикальной прямой центров метафиза большеберцовой кости и блока таранной. При оценке пространственного положения таранной и пяточной костей во фронтальной и сагиттальной плоскостях используются нормативные величины берцово-таранного и пяточно-таранного углов, такие же, как у взрослых. Величина пяточно-подошвенного угла из-за неполной оссифицированности пяточного бугра и неос-сифицированности головки I плюсневой кости отличается от показателей нормы у взрослых и составляет 10—15°.

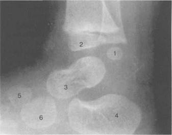
Рис. 19.136. Рентгенограмма голеностопного сустава (1 год).
1 — таранная кость; 2 — пяточная кость; 3 — больше-берцовая кость; 4 — малоберцовая кость.

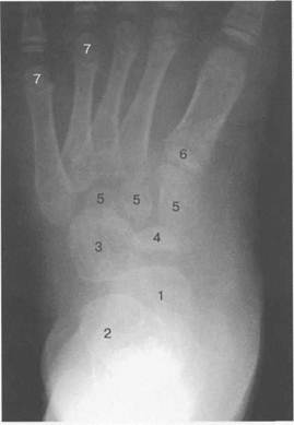
Рис. 19.137. Рентгенограмма стопы (1 год).
1 — таранная кость; 2 — пяточная кость; 3 — кубовидная кость; 4 — ядро ладьевидной кости; 5 — плюсневые кости.
Критерием правильности анатомических соотношений в подтаранном суставе в сагиттальной плоскости служит проекционное наложение на тело пяточной кости головки таранной не более чем на '/4 ее вертикального размера. Нормативная величина угла продольного свода стопы больше, чем у взрослых, и равняется 130— 137°. Невозможна оценка в этот возрастной период истинных размеров и контуров пяточной, кубовидной и таранной костей, состояние остальных костей предплюсны, эпифизов коротких трубчатых костей, анатомических соотношений в суставах переднего отдела предплюсны и состояния метаэпифизарных ростковых зон.
Возрасте 1 года до 3 лет(рис. 19.136, 19.137) соответствует срокам начала окостенения эпифизов коротких трубчатых костей стопы и костей переднего отдела предплюсны. Сроки появления центров оссификации названных анатомических образований не имеют такой точной определенности, какой отличается начало оссификации костей запястья, и могут быть названы только приблизительно. Первым, в возрасте примерно 1 года, появляется ядро окостенения дистального эпифиза болынеберцовой кости. Затем, с интервалом около 1 года, появляется центр оссификации латеральной клиновидной кости, и через небольшой промежуток времени, приблизительно в возрасте 2,5 лет, начинают оссифицироваться медиальная и промежуточная клиновидные кости, эпифизы плюсневых костей и фаланг пальцев, латеральная лодыжка. Порядок появления центров оссификации медиальной и промежуточной
клиновидных костей не имеет определенной закономерности. В большинстве случаев первой начинает окостеневать медиальная клиновидная кость, однако возможно и одновременное появление центров оссификации этих костей и более раннее начало окостенения промежуточной. Латеральная и промежуточная клиновидные кости имеют каждая только одно ядро окостенения, оссификация медиальной клиновидной кости может происходить из одного, двух и более центров. Окостенение ладьевидной кости начинается в возрасте 3—3,5 лет и происходит чаще из одного центра оссификации, хотя возможно наличие и множественных центров. Хрящевое строение к 3 годам сохраняют: около '/3 объема эпифиза болыиеберцовой кости, включая медиальную лодыжку; около '/2 объема латеральной лодыжки; краевые отделы таранной, пяточной (включая апофиз пяточного бугра) и кубовидной костей; большая часть костей переднего отдела предплюсны и эпифизов коротких трубчатых костей.
В возрасте от1 до 3 лет форма рентгеновской суставной щели в качестве показателя анатомических соотношений в голеностопном суставе во фронтальной плоскости использована быть не может, так как из-за возрастного своеобразия формы окостеневшей части эпифиза болыиеберцовой кости она и в норме имеет клиновидную форму.
Рентгенологические показатели анатомического строения стопы, доступные для анализа, варьируют в зависимости от оссифицированности костей переднего отдела предплюсны. До появления точки окостенения ладьевидной кости возможна оценка пространственного положения пяточной и таранной костей, величины продольного свода стопы. После появления точки окостенения ладьевидной кости становится возможной оценка анатомических соотношений в таранно-ладьевидном суставе во фронтальной и сагиттальной плоскостях и в предплюсне-плюсневом суставе (суставе Лисфранка) во фронтальной плоскости. Критерием их правильности в первом суставе является расположение на рентгенограммах в обеих проекциях центра оссификации (или ядра окостенения) ладьевидной кости на уровне центра ладьевидной поверхности головки таранной кости. Критерием правильности анатомических соотношений в ладьевидно-клиновидном суставе служит расположение на рентгенограмме в подошвенной проекции центра оссификации ладьевидной кости (или центра оссифицированной ее части) на уровне промежутка между костными частями медиальной и промежуточной клиновидных костей (рис. 19.138). Показателем соответствия локального костного возраста паспортному возрасту у детей 2 лет является наличие ядра окостенения латеральной клиновидной кости, у детей 3— 3,5 лет — наличие центра оссификации ладьевидной кости.
Возраст 5—6лет. Втечение данного возрастного периода происходит почти полное окостенение костей переднего отдела предплюсны, значительно увеличивается степень оссифицированности эпифизов
Рис. 19.138.Рентгенограмма голеностопного сустава (3 года).
1 — эпифиз малоберцовой кости; 2 — эпифиз большеберцовой кости; 3 — таранная кость; 4 — пяточная кость; 5 — ладьевидная кость; 6 — кубовидная кость.


Рис. 19.139. Рентгенограммы голеностопных суставов (6,5 лет).
голени и коротких трубчатых костей стопы, а также пяточной и таранной костей. На рентгенограмме стопы в подошвенной проекции размеры головки и шейки таранной кости, переднего отдела пяточной, кубовидной, латеральной и промежуточной клиновидных костей, так же как их форма, в общих чертах соответствуют анатомическим. Как ладьевидная, так и медиальная клиновидная кости имеют вид соответствующего костного образования. Вместе с тем контуры их местами крупноволнистые (особенно таранной поверхности ладьевидной кости), форма неправильная — ладьевидная кость, например, имеет клиновидную форму с меньшей высотой медиального отдела. Как уже упоминалось, окостенение этих костей нередко происходит из нескольких центров оссифи-кации. Окостенение ладьевидной кости, даже при наличии единственного центра оссификации, может протекать неравномерно. Комплекс рентгенологических показателей анатомического строения голеностопного сустава и стопы, доступных для анализа, тот же, что и у детей предыдущей возрастной группы (см. рис. 19.137; рис. 19.139, 19.140).

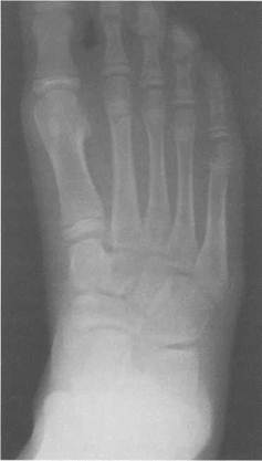
Рис. 19.140. Рентгенограмма стопы (6 лет).
1— таранная кость; 2 — пяточная кость; 3 — кубовидная кость; 4 — ладьевидная кость; 5 — клиновидные кости; 6 — эпифиз I плюсневой кости; 7 — эпифизы IV и V плюсневых костей.
Возраст с 9 до 14 летхарактеризуется окостенением апофизов трубчатых костей и костей предплюсны. К числу апофизов, окостеневающих в эти возрастные сроки за счет самостоятельных центров оссификации, относятся: медиальная лодыжка (ее верхушка), медиальный бугорок заднего отростка таранной кости, апофиз пяточного бугра, бугристости ладьевидной и V плюсневой костей. Начало оссификации названных анатомических образований не имеет строго определенных возрастных сроков, центры их осифика-ции могут появляться в возрастном диапазоне с 8 до 11 лет. Первыми, в возрасте 8—8,5 лет, появляются 2—

Рис. 19.142. Рентгенограмма костей стопы (13 лет).

Рис. 19.141. Рентгенограмма голеностопного сустава (10лет).
1 — апофиз и зона роста бугра пяточной кости; 2 — sinus tarsi.

Рис. 19.143. Рентгенограмма голеностопного сустава (13 лет).
3 точки окостенения верхушки медиальной лодыжки. Несколько позднее — примерно в 9 лет — выявляются ядро окостенения медиального бугорка заднего отростка таранной кости и одно-два ядра окостенения апофиза пяточного бугра. Самыми последними, в 10—11 лет, начинают окостеневать бугристости ладьевидной и V плюсневой костей. Верхушка латеральной лодыжки самостоятельного центра оссификации не имеет. К 14 годам хрящевое строение сохраняют только метаэпифизарные зоны костей голени и коротких трубчатых костей стопы и ростковые зоны апофизов. Отдельного центра оссификации верхушка латеральной лодыжки, являющаяся внесуставным образованием, не имеет, в связи с чем наличие в этом месте отдельного костного фрагмента, хотя бы и окруженного замыкающей пластинкой, является бесспорным признаком перелома. Боковые отделы метаэпифизарных ростковых зон большеберцовой и малоберцовой костей у детей 8—10 лет могут иметь клиновидную форму с основаниями клиньев, обращенными наружу. Степень расширения краевых отделов метаэпифизарных ростковых зон одинакова, края ее из-за несовпадения изображения передних и задних отделов могут быть двух- или даже многоконтурными. Рентгеновская суставная щель голеностопного сустава имеет такую же форму, как у взрослых, высота ее равномерна на всем протяжении.
К концу данного возрастного периода, т. е. у детей 13—14 лет, изображение голеностопного сустава отличается от такового у взрослых только наличием метаэпифизарных ростковых зон костей голени, которые приобретают равномерную высоту на всем протяжении. У задней поверхности пяточного бугра вначале прослеживается одно относительно массивное ядро окостенения его апофиза, имеющее, как правило, центральное положение. Позднее появляются еще два или три ядра окостенения различной формы и толщины. При любом количестве и размерах ядер окостенения апофиза пяточного бугра все они имеют четкие контуры и расположены на одинаковом расстоянии от дорсальной поверхности пяточного бугра. У детей 13—14 лет апофиз пяточного бугра выявляется на рентгенограмме на всем его протяжении. При сильно выраженной волнистости апофизарной зоны роста может выявляться несколько контуров задней поверхности пяточного бугра, частично пересекающих изображение апофиза и создающих ложное впечатление фрагментации последнего.
Изображение костей, составляющих стопу, на рентгенограмме в подошвенной проекции идентично таковому у взрослых, за исключением двух особенностей, заключающихся в наличии метаэпифизарных ростковых зон коротких трубчатых костей и наличии ядра окостенения бугристости V плюсневой кости (рис. 19.141-19.143).
15—17лет — это период синостозирования метаэпифизарных и апофизарных ростковых зон. Рентгеновское изображение голеностоп-

Рис. 19.144.Рентгенограмма голеностопного сустава (15 лет).
ного сустава и стопы отличается от наблюдаемого у лиц взрослого возраста только наличием вначале суженных ростковых зон, а затем — наличием полосок склероза на месте бывшего их расположения. Комплекс показателей анатомического строения данного отдела костно-сус-тавной системы соответствует взрослым (рис. 19.144).
В норме у взрослого человека рентгеновская ширина внутренней и наружной суставной щели голеностопного сустава составляет 3 мм, а суставные поверхности параллельны. Рентгеновская суставная щель на рентгенограмме голеностопного сустава с ротацией стопы выглядит как буква П, при этом ширина ее на всем протяжении одинаковая.
Нам важно ваше мнение! Был ли полезен опубликованный материал? Да | Нет
Читайте также:


