Делают ли мрт кисты шеи
Боли в шее, её припухлость, асимметрия, изменения голоса – такие симптомы могут свидетельствовать о патологии органов и тканей, расположенных в области шеи. Одним из методов, который поможет установить причины таких проявлений, является МРТ.
- Владимир Владимирович, часто ли в ваш центр обращаются пациенты с вопросом о том, выполняется ли у вас МРТ шеи?
– Да, сравнительно часто. МРТ мягких тканей шеи довольно актуальное обследование. Но всё же не такое частое, как, например, исследование головного мозга или каких–то отделов позвоночника (в частности, шейного, грудного, поясничного).
- МРТ шеи и МРТ шейного отдела позвоночника – это одно и то же? Если нет, то в чём разница?
– Это немного разные вещи. МРТ шейного отдела позвоночника – узконаправленное обследование. При выполнении данной процедуры видны только позвоночник и спинной мозг. МРТ мягких тканей шеи – обследование более расширенное. При его проведении просматриваются и оцениваются мышцы, слюнные железы (подъязычная, нижнечелюстная, околоушная), щитовидная железа, пищевод, гортань, а также межфасциальные пространства. Просматривается также корень языка, грушевидные синусы, лимфоузлы, парафарингеальные (окологлоточные) области. Позвоночник и спинной мозг на МРТ шеи тоже видны, но не так детально, как на МРТ шейного отдела позвоночника.
Необходима МРТ шейного отдела позвоночника? На это исследование можно записаться здесь
ВНИМАНИЕ: услуга доступна не во всех городах
- Какие симптомы могут указывать на то, что в шее есть проблемы?
- припухлость в области шеи, которая видна невооружённым глазом, асимметрия;
- покраснение на шее;
- Какую патологию может обнаружить МРТ шеи? В диагностике каких заболеваний она может помочь врачу?
– Как и при любом МРТ-обследовании это могут быть доброкачественные и злокачественные новообразования (например, различные типы кист шеи), воспалительные изменения. Причём данные образования могут находиться как в мягких тканях и мышцах шеи, так и в железах, пищеводе.
Конкременты (камни) лучше видны на КТ, но если в слюнных железах есть камень, то, соответственно, на МРТ мы увидим последствия: расширение слюнных протоков и т.д. Абсцессы, признаки инфекции также будут визуализироваться.
Хотите больше узнать об МРТ слюнных желез? Читайте здесь
- Как делается МРТ шеи?
– Пациент ложится на стол томографа и ему выполняется сканирование в трёх проекциях. Специалист в это время управляет аппаратом из соседней комнаты и по необходимости связывается с пациентом посредством двусторонней связи. Данные передаются на монитор, и врач оценивает состояние органов по полученным изображениям. Результаты отражаются в заключении. При необходимости данные могут быть записаны на электронный носитель, который пациент забирает с собой.
- Сколько длится процедура?
– МРТ шеи без контрастирования занимает около 20 – 30 минут, с контрастированием – примерно час.
– Нужна ли специальная подготовка, чтобы сделать МРТ шеи?
- Имеются ли противопоказания к МРТ шеи?
– Они такие же, как и к обычной МРТ: наличие в организме пациента кардиостимулятора, ферромагнитного металла и ряд других.
Подробнее о противопоказаниях к МРТ можно узнать из нашей статьи
- Как часто можно проходить МРТ шеи?
– Как и все другие МРТ-обследования. Если это необходимо, то можно каждый день.
- В каких ситуациях требуется проведение МРТ шеи с контрастом? Есть ли ограничения для применения контрастного препарата?
– Если в процессе обследования, например, мы находим какое–либо образование, то определить его характер (доброкачественный или злокачественный) можно по характеру накопления контрастного вещества.
Ограничения стандартные для всех МРТ. Это почечная недостаточность, первый триместр беременности, лактация, индивидуальная непереносимость препарата.
Читайте материал по теме: Для чего нужен контраст при МРТ?
– В каких случаях может понадобиться КТ шеи? И чем она отличается от МРТ?
– В основе этих методов – разные физические феномены. МРТ – обследование на основе магнитного резонанса, помещение человека в магнитное поле. КТ действует на основе ионизирующего рентгеновского излучения. Но это методы взаимодополняющие. В идеале, если есть показания, надо делать и то, и другое.
Какая-то патология лучше видна на КТ. Допустим, сиалоаденит (камни в протоках слюнных желез, с последующим воспалением). Хорошо заметны такие органы, как гортань, её хрящи. Окружающие пространства лучше видны на МРТ.
Когда КТ незаменима? Подробнее о компьютерной томографии можно узнать здесь
- К какому доктору следует обратиться, чтобы получить направление на МРТ шеи?
– Для того, чтобы сделать МРТ шеи, направление не обязательно. Можно обратиться в наш центр и пройти МРТ с целью профилактики, если что–то беспокоит. В зависимости от выявленной патологии доктор, который делал МРТ, подскажет и обязательно отметит в заключении, к какому специалисту пациенту стоит обратиться. Но если пациент хочет пойти сначала именно к врачу-клиницисту, то это может быть невролог, оториноларинголог (ЛОР-врач), онколог.
Записаться на МРТ мягких тканей шеи можно здесь
ВНИМАНИЕ: услуга доступна не во всех городах
Беседовала Марина Воловик
Редакция рекомендует:
Тулинов Владимир Владимирович
Выпускник Рязанского государственного медицинского университета 2010 года
С 2010 по 2011 год проходил интернатуру по рентгенологии в Курском государственном медицинском университете.
Что такое бранхиогенная киста
- Диагноз обычно устанавливают в возрасте 20—40 лет.
- Бранхиогенная киста наиболее частая (90-95%) из всех бранхиогенных аномалий (кисты, свищи)
- У новорожденных обычно протекает бессимптомно
- Часто кисту впервые выявляют в подростковом возрасте или у взрослых
- Киста в боковом треугольнике шеи
- Формируется из второй (иногда третьей) жаберной дуги
- На 6-й неделе эмбрионального развития, вторая жаберная дуга опережает в росте третью и четвертую жаберные дуги и сообщается с четвертой жаберной щелью
- Персистирование сообщения приводит к образованию кист или свищей.
Симптомы бранхиогенной кисты
- Бранхиогенная киста мягкое, обычно бессимптомное образование в области угла нижней челюсти или латеральных отделов шеи
- Возможно присоединение инфекции
- Инфицирование проявляется болевым синдромом и припухлостью лимфатических узлов
- У новорожденных на поверхности кожи видны отверстия свищевых ходов
- Из них может выделяться слизь.
Признаки бранхиогенной (боковой) кисты шеи на снимках КТ и МРТ
- МРТ, КТ.
- Кистозное образование (10-25 HU) латеральнее нервно-сосудистого пучка (до 10 см в диаметре)
- Смещает поднижнечелюстную железу кпереди и медиально, грудино-ключично-сосцевидную мышцу - кзади и латерально
- Часто расположена рядом с углом нижней челюсти, иногда в окологлоточном пространстве или кпереди от нервно-сосудистого пучка
- Кровоизлияния в полость кисты и перегородки в ней встречаются редко
- Утолщение стенки и ее усиление после введения контраста наблюдается только в случае инфицирования кисты.
- Интенсивность сигнала на Т1 -взвешенном изображении зависит от содержания белка или крови (низкое содержание - гипоинтенсивный сигнал, высокое - гиперинтенсивный)
- Высокая интенсивность сигнала на Т2- взвешенном изображении
- Объемное образование с четкими границами, не инфильтрирует окружающие ткани
- Интенсивное усиление стенки после введения гадолиния наблюдается только при инфицировании кисты.
- Не накапливающая контраст гладкостенная киста, расположенная ме- диальнее нервно-сосудистого пучка, кпереди от грудино-ключичнососцевидной мышцы и позади поднижнечелюстной слюнной железы.
Что хотел бы знать лечащий врач
- Диагноз
- Дифференциальный диагноз
На что похожа жаберная киста
Увеличение лимфатических узлов (воспаление или опухолевое поражение)
- Усиление сигнала в центре узла после введения контраста (при отсутствии некроза)
-Как правило, увеличивается несколько лимфатических узлов, расположенных вдоль сосудов
Лимфогенная киста шеи
- Как правило, крупное образование с наличием перегородок
-Чаще всего встречается у детей младше 2 лет
Абсцесс
- Обычно вызывает воспалительную реакцию окружающих тканей
Гематома
- Отсутствие усиления стенки
-Интенсивность сигнала непостоянна
Киста тимуса
- Расположена на более низком уровне в пределах нервно-сосудистого пучка
-Кистозное образование, изображение иногда напоминает губку
Кистозная невринома
- Располагается латеральнее нервно-сосудистого пучка
Лечение
- Полное удаление кисты с иссечением всех свищевых ходов.
Врачи каких специальностей диагностируют и лечат брахиогенную кисту
- Педиатр (первичный осмотр ребенка)
- Хирург (удаление кисты)
Прогноз
- После полного удаления прогноз благоприятный
- В случае инфицирования кисты оперативное вмешательство откладывают до стихания воспалительного процесса.
Возможные осложнения и последствия
- Флегмоны шеи
- Бранхиогенный рак (редко)

Инфицированная бранхиогенная киста. КТ с контрастированием: киста на уровне правого угла нижней челюсти. Наблюдается утолщение и усиление стенки кисты, а также снижение плотности в центре образования. Грудино-ключично- сосцевидная мышца смещена кзади и лате рально, нервно-сосудистый пучок - медиально.

МРТ, Т2-взвешенное изображение без контрастирования: бранхиогенная киста в левой поднижнечелюстной области. Интенсивность сигнала в центре кисты значительно повышена, сигнал от стенки кисты имеет промежуточную интенсивность. Грудино-ключично-сосцевидная мышца смещена кзади и латерально, нервно- сосудистый пучок - медиально.
Киста является достаточно частой находкой на МРТ головного мозга. Ее появление может быть спровоцировано разными факторами. Например, киста головного мозга может быть следствием нарушенного ликворооттока (ликворные кисты) или врожденной патологией, как арахноидальная киста головного мозга у детей. Диагностировать кистозное образование в головном мозге можно с помощью любого томографа. Здесь модель и мощность аппарата не играют сильного влияния на качество диагностики. Оценку кистозного участка головного мозга по данным MP-томографии пациентам проводят для:
- первичного определения кисты;
- определения этиологии внутримозговой и оболочной кисты;
- оценки качественного состава содержимого кист и ликворопроводящих структур;
- назначения этиотропной терапии;
- своевременного проведения профилактики осложнений.
Симптомы кисты головного мозга
Киста головного мозга может проявляться симптоматически или долгое время существовать бессимптомно. Признаки кистозного образования достаточно серьезные - это головная боль, атаксия, то есть нарушение контроля движений, различные приступообразные состояния, в том числе эпилептические припадки. Каким образом киста головного мозга или оболочек заявит о себе, зависит от ее локации и размеров.
Зачастую в начале своего формирования киста головного мозга развивается бессимптомно, и у пациента заподозрить эту патологию без процедуры МРТ головного мозга невозможно. Когда киста достигает больших размеров и начинает давить на соседние мозговые структуры, появляются неврологические симптомы. Тогда больной приходит на прием к неврологу. Врач, собрав все жалобы, чтобы выявить истинные причины недомогания, направляет пациента сделать МРТ головного мозга.
У лиц более старшего возраста кисты очень часто являются случайной находкой на МРТ или КТ головы при поиске каких-либо других проблем со стороны головного мозга.
Цена на МРТ 3 Тесла
Признаки кисты на МРТ головного мозга
Основная задача МРТ головы при подозрении на кисту - выяснить, какова ее локализация, размеры, соответствует ли степень изменений и местоположения с теми неврологическими проявлениями, что имеются у пациента. Вторая задача томографии - дифференцировать кистозное образование от опухоли головного мозга, сосудов или оболочек. Здесь врач на МРТ снимках будет искать следующие признаки:
- шарообразное образование с круглыми четкими краями;
- признаки жидкости внутри капсулы кисты;
- отсутствие тканевой инвазии в соседние структуры головного мозга.
МРТ при арахноидальной кисте
Арахноидальная киста является чаще врожденной патологией и представляет собой ликворную кисту, которая образуется между мозгом и паутинной или арахноидальной оболочкой. При этом происходит небольшое аномальное развитие - дуплицируются и образуются две арахноидальные оболочки. Между оболочками имеется пространство, которое может заполниться спинномозговой жидкостью.
Иногда арахноидальная киста является последствием таких состояний, как менингит, или других воспалительных заболеваний со стороны головного мозга. Она также может сопутствовать некоторым наследственным заболеваниям.
В большинстве случаев врожденная арахноидальная киста образуется на этапе эмбрионального развития и представляет собой некоторую аномалию развития оболочек мозга и нервной системы. Стенками врожденной арахноидальной кисты является паутинная оболочка. У вторичной кисты стенкой может являться рубцовая ткань, та же самая арахноидальная оболочка или дополнительное наслоение коллагена.
Самые частые симптомы арахноидальной кисты - это головная боль и головокружение. Бывает, что человека впервые после 30 лет и старше начинает болеть или кружиться голова, ему при таких симптомах делается МРТ головного мозга и обнаруживается киста оболочек как случайный артефакт.
МРТ или УЗИ головного мозга при кисте
Ранее, когда в арсенале диагностических методов у врачей не было магнитно-резонансной томографии, диагностика кист головного мозга осуществлялась с помощью УЗ-энцефалографии. Такое исследование справлялось с выявлением кистозных образований у маленьких детей, но у взрослого пациента могло обнаружить только очень крупное новообразование.
Диагностика в любом районе Санкт-Петербурга
Лечение
Когда заключение МРТ показало наличие кисты головного мозга, начинать переживать по этому поводу не стоит. Прежде всего при таком диагнозе следует обратиться к неврологу, который по результатам томографии и неврологического осмотра примет правильное решение о необходимости лечения кистозного образования. Как правило, мелкие и даже кисты головного мозга среднего размера требуют только наблюдения. Для этого врач назначает пациенту на ежегодной основе делать МРТ головного мозга. Если арахноидальная киста проявляется в раннем детстве у ребенка, и есть неврологические симптомы, то доктор чаще всего все же рекомендует провести нейрохирургическое вмешательство и удалить это новообразование. У взрослых при обнаружении крупных размеров кист проводят дренирование, шунтирование кисты или другие эндоскопические нейрохирургические вмешательства, которые локализуют кисту, уменьшают ее размеры и тем самым не дают ей влиять на головной мозг.

- Нормальная лучевая анатомия головного мозга (КТ, МРТ, УЗИ) Текст.: Руководство для врачей / Т.Н. Трофимова, Ю.В. Назинкина, Н.И. Ананьева [и др.]; СПб., 2004.
- Зозуля Ю.А., Пельц Б.А. Травматические кисты головного мозга. // В кн: Руководство по нейротравматологии. М., Медгиз, 1978.
- Jack C.R. Magnetic resonance imaging. Neuroimaging and anatomy. // J. Neuroimaging-Clin-N-Am. - Minnesota, USA, 1995, №4
- Олесен Дж. Диагностика головной боли Текст. / Дж. Олесен// Неврологический журнал. 1996. - №3.
- Naidich T.P., McLone D.G., Radkwski M.A. Intracranial arnchnoid cyst. // Pediat. Neurosci. - 1996, vol. 12Von Wild K., Kulali A., Gulotta F.
- Arachnoid Cyst of the midle fossa: aplasia of temporal lobe. // Europ. Soc. Paediatr. Neurosurg. - Denmark, 1986
- П. Борисова И. А. Супратенториальные экстрааксиальные арахноидальные кисты головного мозга у лиц различноговозраста (диагностика, хирургическое лечение). Автореф. дис. . канд. мед. наук. М., 1990.
Последние статьи об МРТ

На сегодня в медицинских клиниках СПб МРТ головного мозга – это всеми признанный золотой стандарт в исследовании разных заболеваний структур головы. Показаниями для исследования мозга будут:

МРТ и КТ - это два томографических метода, которые позволяют визуализировать структуры головы, но каждый из этих видов сканирования лучше покажет те или иные ткани и органы. МРТ лучше, чем КТ, отображает органы, в которых много молекул воды.

Если у Вас возникает вопрос - МРТ или УЗИ головного мозга, что лучше, в этой статье мы проведем сравнительный анализ диагностической ценности этих двух видов аппаратных исследований. Что бы понять все преимущества и недостатки любого диагностического метода, в первую очередь, нужно разобраться в принципе его действия.
Под мягкими тканями шеи понимают пространство от подъязычной кости сверху до входа в грудную полость снизу. В традиционной топографической анатомии оно делится на хирургические треугольники, однако они неудобны для целей лучевой диагностики. В поперечном сечении принято выделять:
- висцеральное пространство – центральная часть, содержащая гортань и трахею, щитовидную железу, пишевод
- каротидное пространство – парное, расположено сбоку от висцерального и содержит внутреннюю сонную артерию, внутреннюю яремную вену и структуры нервной системы
- ретрофарингеальное пространство – маленькое продольное пространство позади висцерального, содержит жир
- заднее шейное пространство – парное, кзади и еще латеральнее каротидного пространства, содержит жир, лимфатические узлы и элементы нервной системы
- перивертебральное пространство – большое пространство вокруг позвоночника, в основном, состоящее из мышечной массы

Схема пространств в поперечном сечении.
Для каждой из перечисленных зон характерна своя патология.
В висцеральном пространстве из гортани могут расти ларингоцеле или опухоли (плоскоклеточный рак, хондросаркома); из пищевода – дивертикулы или плоскоклеточный рак; трахея может стенозироваться по разным причинам; щитовидная железа – зоб, коллоидные кисты, опухоли, тиреоидит (например, Хашимото); из паращитовидной железы может расти аденома и она подвергаться гиперплазии; из остатков эмбриональной ткани образовываться кисты и протоки; в лифатические узлы могут быть метастазы, а возвратный нерв подвергаться парезу.

Выделяют первичное и вторичное ларингоцеле. Первичное ларингоцеле не имеет провоцирующего фактора и расположено вдоль гортани как кистозная отшнуровка слизистой. В то же время, вторичное ларингоцеле может быть связано с обструкцией (перекрыванием) желудочка между ложной и истинной голосовыми связками опухолью и, таким образом, переполнения пространства сбоку от гортани.
В висцеральном пространстве в грушевидном синусе типично локализуются плоскоклеточные раки.

КТ. Плоскоклеточный рак
Плоскоклеточные раки происходят из слизистой и легко могут быть пропущены при КТ и МРТ. Обычно они выявляются при эндоскопическом исследовании. Подслизистые скорее могут быть обнаружены лучевыми методами – хондросаркома, параганглиома и шваннома. Все перечисленные опухоли очень редкие. Хондросаркрома может содержать кальцинаты. Парагинглиома хорошо васкуляризована (содержит много сосудов) и поэтому хорошо контрастируется. Шваннома (невринома) чаще солидная, но изредка бывает кистозная.
Зоб щитовидной железы имеет типичное расположение, обычно многоузловой. Отличается медленным ростом и отодвигает прилегающие мышцы.

КТ. Зоб щитовидной железы слева.
В висцеральном пространстве по средней линии или парамедиально в мышечной массе может быть выявлено кистозное образование – щитовидно-язычный проток. В норме он присутствует у зародыша и соединяет зачаток щитовидной железы с ротовой полостью. В конце внутриутробного периода исчезает, однако, в редких случаях остается в виде кисты. Располагается ниже или на уровне подъязычной кости.

МРТ. Щитовидно-подъязычный проток срединной локализации.

КТ. Щитовидно-подъязычный проток парамедиальной локализации.
Каротидное пространство простирается от основания черепа до дуги аорты. В пространстве проходят сонная артерия, яремная вена, блуждающий нерв (Х), симпатическое сплетение и лимфатические узлы. Соответственно содержимому, типичные патологии связаны с сосудами (аневризма, расслоение, тромбоз), нервами (невринома, из симпатического сплетения – параганглиома) и патологически измененными лимфатическими узлами.
Параганглиомы могут иметь несколько типичных локализаций (тимпаническая, вагусная, феохромоцитома и т.д.) в теле. На шее располагается каротидная параганглиома. Она представляет собой скопление хромафинных клеток в бифуркации общей сонной артерии, между наружной и внутренней. Некоторые из них активны, вырабатывают гормоны, повышающие артериальное давление. Часть опухолей имеет наследственное происхождение. Встречаются двухсторонние параганглиомы. Отличать от других опухолей помогает типичное место расположения, хорошее контрастирование при КТ и МРТ.

МРТ мягких тканей шеи. Т1-зависимая МРТ в аксиальной плоскости. Каротидная параганглиома справа.

МРТ мягких тканей шеи. Т2-зависимая МРТ в аксиальной плоскости. Невринома.
Невриномы также располагаются между крупными сосудами, отодвигая их. Опухоль округлая, с четким контуром, хорошо контрастируется и в отличие от параганглиомы не содержит сосудистых включений.
Тромбоз яремной вены является редким осложнением бактериальных инфекций. Последняя попадает из носоглотки, при заносе во время ЛОР операций или у наркоманов. Может сочетаться с септическими эмболами в легкие (синдром Лемьера).
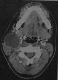
Частой находкой на шее являются бранхиогенные кисты. Они типично расположены в подчелюстной области, латерально. Содержат жидкость.

МРТ мягких тканей шеи. Т2-зависимая МРТ с подавлением сигнала от жира. Бранхиальная киста справа.
Ретрофарингеальное пространство заполнено тонкой прослойкой жировой ткани. В этом пространстве могут быть заглоточные абсцессы с характерной клиникой: температурой ознобом и нарушением глотания. Инфекция попадает при фарингитах, из соседних лимфатических узлов и, как исключение, при травме инородными телами ( рыбья кость и т.д.). Заглоточные абсцессы опасны отеком и обструкцией дыхательных путей. Поэтому они часто требуют неотложного хирургического вмешательства.

КТ. Ретрофарингеальные абсцессы.
В заднем шейном пространстве встречаются нейрогенные опухоли, лифомы, липомы, лимфангиомы ( кистозные гигромы). Такие образование наилучшим обоазом видны на корональных МРТ, особенно с подавлением жира. Раличить липому и лимфангиому позволяет подавление сигнала от жира.

МРТ мягких тканей шеи. Т2-зависимый корональный срез. Лимфангиома.
В перивертебральном пространстве шеи чаще наблюдаются доброкачественные фиброзные опухоли и, реже, мягкотканные саркомы.
При МРТ в СПб в наших клиниках мы рекомендуем делать исследование мягких тканей шеи с МРТ шейного отдела позвоночника. Немногие центры МРТ СПб имеют достаточный опыт диагностики патологий мягких тканей.
Срединная киста шеи относится к врожденным аномалиям и представляет собой патологическую полость, заполненную жидким или полужидким содержимым. Она располагается по передней поверхности шеи, растет обычно медленно и безболезненно, встречается чаще у детей и лиц молодого возраста. Способна к нагноению, в этом случае возникают боли, появляется затруднение глотания, формируются свищи. Лечение новообразования только хирургическое.
Причины возникновения срединной кисты шеи
Формирование срединных (щитоязычных, тиреоглоссальных) кист и свищей шеи самым непосредственным образом связано с нарушением эмбрионального развития щитовидной железы, подъязычной кости, языка. Патология является врожденной, способствуют ее возникновению при вынашивании плода многие факторы, среди которых:
- наследственная предрасположенность;
- стрессовые нагрузки;
- курение;
- злоупотребление алкоголем;
- производственные вредности;
- прием медикаментов, обладающих тератогенным действием.
Реализация негативного влияния осуществляется на ранних сроках беременности.
Механизм образования тиреоглоссальной кисты шеи
Полый зачаток щитовидной железы возникает в области будущего слепого отверстия языка на 2-ом месяце внутриутробного развития. По мере формирования языка он опускается на шею, оставаясь связанным со слепым язычным отверстием. Одновременно образуется подъязычная кость. Проток проходит рядом с ней или через нее.
В норме щитоязычный проток должен исчезнуть к тому времени, как железа достигнет шейной поверхности. Патологические полостные образования формируются в случае его незаращения. Это происходит, когда процесс опускания почему-либо останавливается, и проток не облитерируется на любом уровне миграции: от слепого отверстия в области корня языка до перешейка щитовидной железы. В результате образуется замкнутая полость, в которой скапливается секрет, а при ее вскрытии – свищ.
Врожденный свищ не является самостоятельным заболеванием, а всегда сочетается с боковым или срединным полостным шейным образованием. Различают полные и неполные виды свищей. Первые имеют два выходных отверстия: на коже передней поверхности шеи и слизистой ротовой полости, вторые – только одно. Если оно располагается на коже, то неполный свищ называется наружным, если в области слепого отверстия корня языка – внутренним.
Симптомы тиреоглоссальной кисты шеи
Щитоязычные полостные образования располагаются глубоко в толще мягких тканей шеи. Несмотря на наличие патологии у плода уже при рождении, срединную кисту шеи у ребенка обнаруживают, как правило, в более старшем возрасте. Это происходит потому, что выраженность подкожно-жировой клетчатки у грудных детей сильно затрудняет ее визуализацию, а клинические проявления отсутствуют.
Появление жалоб обусловлено развитием осложнений.
Увеличение кистозного образования в размерах, покраснение кожи над ним, появление болевых ощущений, локального отека, слабости, повышение температуры тела до субфебрильных цифр.
Вскрытие нагноившейся полости
Если гной прорывается в ротовую полость, то возникновение неприятного привкуса (иногда железа) во рту, появление тошноты, рвотных позывов; при излитии гнойного содержимого наружу – гиперемия, корки, раздражение кожных покровов.
Формирование свищевого хода
Расположение наружного отверстия свища, точечного или широкого, между щитовидным хрящом и подъязычной костью, внутреннего – по передней поверхности языка, на границе между его корнем и телом; покраснение, мацерация, рубцовые изменения кожи; при раскрытии свища выделение гноя, при стихании воспалительного процесса – скудного слизистого отделяемого.
Сдавление близлежащих органов при значительных размерах образования
Возникновение деформации шеи при локализации в области подъязычной кости, при расположении в области корня языка – затруднение процесса глотания, нарушение речи, в некоторых случаях – даже дыхания.
Срединная киста шеи у взрослых также сопровождается жалобами, если происходит ее нагноение. Этому способствует снижение общего иммунитета, часто спровоцированное:
- переохлаждением;
- инфекционным заболеванием;
- травмой;
- онкологическим процессом.
Клинические проявления аналогичны таковым у детей и подростков.
Диагностика срединных кистозных образований на шее
Постановка диагноза начинается с опроса и осмотра пациента. Тиреоглоссальная киста в большинстве случаев – это округлой формы образование с четкими границами, имеющее эластическую или плотноэластическую консистенцию, расположенное по средней линии шеи. Так как его размеры редко превышают 2-3 см, то оно не свисает, а определяется в толще тканей. Пальпация в отсутствие осложнений безболезненна.
Подвижность щитоязычной кисты ограничена и обусловлена связью с подъязычной костью. Смещение кистозного образования вверх вслед за подъязычной костью при глотании является дифференциально-диагностическим признаком его срединного характера. При локализации в корне языка обращают на себя внимание нарушение речи и затруднение глотания.
Более половины тиреоглоссальных кист нагнаивается. В этом случае на первый план выступают характерные клинические признаки инфицирования, и специалист при постановке диагноза ориентируется на них.
В качестве дополнительных инструментальных методов чаще всего используют:
- ультразвуковое исследование;
- магниторезонансную томографию;
- компьютерную томографию;
- цитологический анализ содержимого, полученного при пункции;
- цистографию (рентгенографическое исследование с введением контраста в полость);
- зондирование и фистулографию (рентгенография с контрастированием свищевого хода).
При УЗИ на мониторе и фото щитоязычная киста имеет вид округлого, анэхогенного или гипоэхогенного бессосудистого образования с четким и ровным контуром, с акустическим усилением позади. Возможно наличие в полости гиперэхогенных включений без акустической тени.
Дифференциальная диагностика щитоязычной кисты
При постановке диагноза следует отличать тиреоглоссальную кисту от опухолей шеи и полостных образований другой этиологии.
Патологическое образование шеи
Характерные отличительные признаки
Располагается более поверхностно, имеет более плотную консистенцию, не связана с подъязычной костью, поэтому не смещается при глотательных движениях.
Струма, или зоб языка
Порок эмбрионального развития, встречающийся редко, является добавочной или расположенной аномально щитовидной железой: опухолеподобное образование на широком основании в области корня языка, имеющее слизистый покров и густую сосудистую сеть.
Доброкачественное новообразование, результат нарушения процессов формирования лимфатической системы: ассиметричное кистозное образование с тонкими стенками и внутренними перегородками, не связанное с лимфатической системой, часто инфильтрирующее мягкие ткани, подкожную жировую клетчатку, кожу.
Аденопатия шейных лимфоузлов
Воспаленный лимфоузел, болезненный при пальпации, представляет собой образование с неровной поверхностью, плотной или плотноэластической консистенцией; кожа над ним натянута, часто гиперемирована, возможно повышение температуры.
Лечение тиреоглоссальной кисты
Лечебная тактика при выявлении щитоязычной кисты предполагает оперативное вмешательство, оно необходимо для предотвращения инфицирования, а также устранения небольшого возможного риска малигнизации (около 1%).
Не показана операция только в период обострения воспалительного процесса, во время которого проводят:
- пунктирование;
- удаление слизисто-гнойного содержимого;
- дренирование;
- промывание полости антисептическими растворами;
- перевязки.
Операцию проводят после полной ликвидации явлений воспалительного характера.
Внимание! Фотография шокирующего содержания.
Для просмотра нажмите на ссылку.
Оптимальным периодом для оперативного лечения детей является возраст 9-10 лет. Проведение планового вмешательства в более раннем возрасте считают нецелесообразным из-за технических сложностей, возникающих при резекции подъязычной кости, а она является основным условием радикальности хирургической операции.
Удаление кисты выполняется под эндотрахеальным наркозом. Разрез выполняется по кожной складке. Вместе с образованием резецируется часть подъязычной кости, что предотвращает развитие рецидива. После удаления головки подъязычной кости мышцы сводятся и сшиваются нитками, которые не рассасываются. Иногда требуется установка страховочного дренажа.
Введение в полость кисты или свища перед оперативным вмешательством 1-2% спиртового раствора бриллиантовой зелени четко окрашивает оболочку образования и облегчает обнаружение всех свищевых ответвлений.
Очень редко возможно кровотечение из раневой поверхности, ведущее к формированию гематомы. Тщательный гемостаз и постановка дренажа для контроля предотвращают развитие этого осложнения. Возможны повреждения щитовидной железы, хрящей гортани, нервов. Для их исключения требуется высокая квалификация хирурга и наличие опыта подобных операций.
Рецидивы обычно обусловлены неполным удалением патологически измененной ткани и неадекватной резекцией подъязычной кости.
Видео
Предлагаем к просмотру видеоролик по теме статьи.

Образование: Ростовский государственный медицинский университет, специальность "Лечебное дело".
Нашли ошибку в тексте? Выделите ее и нажмите Ctrl + Enter.
Читайте также:


