Диета при остеосклерозе позвоночника
Остеосклерозом называется такая патология, которая сопровождается образованием уплотнений кости, увеличением объема костных трабекул и компактных веществ. Развивается остеосклероз опорно-двигательной системы при воспалении в костях, опухолях, отравлениях, артрозах, генетических заболеваниях, а также в период реабилитации вследствие травмы скелета. Как правило, такой диагноз ставится после ряда обследований. Способ врачевания выбирается на основании исследований и картины заболевания.
Различается несколько типов остеосклероза:
- патологический;
- физиологический;
- врожденный;
- приобретенный.

Патологический недуг проявляется при наличии патологий в отделах позвоночника, физиологический – может появляться у подростков во время роста и развития костей. Принимая во внимание снимки рентгена, специалисты отмечают равномерную и пятнистую разновидность недуга. Пятнистый остеосклероз бывает мелко — и крупноочаговым, с одиночными или многочисленными фокусами. По месту расположения и объему повреждения различают системный, распространенный, локальный и финитный остеосклероз.
Ограниченный тип остеосклероза образуется в пограничной зоне между точкой воспаления и здоровыми тканями, имеет воспалительно-реактивный характер. Помимо того, этот вид болезни может возникнуть и без очага воспаления, что обусловливается нагрузками на опорно-двигательный аппарат.
Распространенный остеосклероз позвоночника может поражать одну либо несколько конечностей. Такое заболевание можно выявить при диагностике мелореостоза Лери, синдрома Педжета, а также при метастазах онкологических новообразований. Системный остеосклероз может возникнуть при множестве недугов. И выявляется в процессе их исследований и диагностики.
Одной из распространенных причин возникновения являются генетические патологии, такие как:
- врожденные патологии опорно-двигательной системы;
- отклонения гена коллагена;
- половая принадлежность (женщины чаще мужчин страдают от этого заболевания).

Кроме того, очень нередко встречается также приобретенный остеосклероз. Причинами его возникновения являются приобретенные недуги ОДС (опорно-двигательной системы), наличие лишнего веса, осложнения после хирургических операций на суставах, у женщин – недостаток эстрогенов при постменопаузе. Так, например, склероз замыкательных пластинок позвоночника и атеросклероз позвоночных артерий могут стать следствием или осложнением остеоартроза.
Также недуг способен возникнуть по разным внешнесредовым причинам, таким, как травмы скелета и суставов, нагрузки, суставные поражения и травмы, и проч.
Симптомы бывают самыми разными и напрямую могут зависеть от зоны, в которой локализуется недуг, и от его протекания. Очаги возникновения болезни чаще всего выявляются в суставах и костных тканях, а это проводит к тому, что проявляются определенные симптомы.
Если повреждены кости, то у них внутри возникают эностозы и участки, проявляющиеся как резорбция и деструкция. Кроме того, возможны периостальные изменения, секверстры и пустоты. Если поражены суставы, то на первых этапах симптомы никоим образом не проявляются, по этой причине заболевание сложно определить.
При остеосклерозе у человека отмечается синдром боли, который усиливается во время нагрузок на пораженный участок ОДС. При пятнистом остеосклерозе наблюдается увеличение температуры. Но при этом отсутствуют внешние проявления. При субхондральном остеосклерозе суставов у пациента возникает патология хрящей.

Субхондральный остеосклероз считается тяжелым повреждением суставов, которое может привести к ограничению движения пораженного сустава. Этот вид на первых стадиях диагностировать невозможно, потому что он не имеет никаких четко выраженных симптомов.
Субхондральный остеосклероз позвоночного столба, а именно некоторых тел позвонков, считается серьезнейшей аномалией, которую можно выявить только при использовании аппарата для МРТ. Эта патология сопровождается синдромом боли, который ограничивает подвижность человека, деформацией областей опорно-двигательной системы. Такие признаки могут проявляться и при иных заболевания, поэтому, прежде чем приступать к лечению, проводится диагностика и исследование.
Чаще всего первоначально заболевание протекает незаметно и обнаружить его удается лишь на последних стадиях во время рентгена либо после перелома. Единственное, на что могут жаловаться люди, – это ноющая боль в конечностях, повышенная утомляемость при нагрузках, но аналогичные симптомы можно наблюдать и в прочих заболеваниях опорно-двигательного аппарата.
Для того, чтобы точно диагностировать болезнь, лечащему врачу следует иметь полную картину заболевания, результаты всех анализов и снимки рентгена. В случае необходимости врач может назначить такие исследования, как КТ или МРТ. Также может потребоваться денситометрия костных тканей.

Очень часто развитие патологии может спровоцировать разрастание остеофитов позвоночного столба, врачевание которых нуждается в более серьезном подходе. Остеофитами называются разрастания отростков костей или наросты на них, которые вызывают приступы боли, ограничивают подвижность, защемляют нервы и провоцируют неврологические расстройства.
Схема лечения остеосклероза разрабатывается только после полного обследования и постановки диагноза. При консервативных методах излечения упор делается на удаление симптомов и восстановление баланса остеобластов и остеокластов.
Запущенные формы заболевания чаще всего нуждаются в хирургическом вмешательстве, таком, как:
Для лечения суставов наши читатели успешно используют СустаЛайф. Видя, такую популярность этого средства мы решили предложить его и вашему вниманию.
Подробнее здесь…
- трансплантация костного мозга;
- переливание крови (при анемии или нарушениях состава крови).
Если длительное время игнорировать заболевание и не начинать его лечение, то можно спровоцировать деформацию позвоночного столба, ограниченность движения, приступы острой боли, обездвиживание или паралич конечностей, нарушение функционирования нервной системы. Все это влечет за собой нарушение работы внутренних систем и органов.
При условии своевременного лечения недуга прогноз для нормальной жизни человека вполне благоприятный. Но если болезнь запустить и не начинать лечение, это может спровоцировать возникновение более серьезных заболеваний, таких, как скелетная деформация, поражения лицевого нерва, разные формы анемии, нарушение состава кровяной жидкости.
При возникновении анемии излечение проводится с использованием спленэктомии или трансплантации эритроцитной жидкости.

Без трансплантации костного мозга избавиться от остеосклероза невозможно, именно по этой причине предрасположенность к заболеванию требует применения профилактических мероприятий.
Профилактические меры включают в себя контроль над осанкой, сон на умеренно жестком матрасе, ведение активного образа жизни, правильное питание и отказ от вредных привычек.
Основным методом профилактики является ежедневная утренняя гимнастика. Небольшие физические нагрузки нормализуют кровоток, что благоприятно влияет на состояние костной ткани и суставов.
Что такое субхондральный остеосклероз: описание (определение, симптомы), причины, лечение
Субхондральный склероз является одним из основных признаков остеоартроза. Диагностировать и лечить данную патологию врач может только при изучении рентгеновских снимков разных суставов. Такое заболевание не является самостоятельным. Субхондральный склероз – это всего лишь симптом больших групп болезней, к коим относятся артроз и остеохондроз позвоночника.
Чаще всего болезнью поражаются тазобедренные, коленные суставы и некоторые сочленения на руках. В позвоночнике (чаще в поясничном и шейном отделе) происходят патологические изменения, что заставляет человека ходить неестественно прямо.
Внутренняя поверхность диартрозов покрыта хрящевой тканью. Это необходимо для создания суставам комфортных условий при их активности. Субхондральный склероз поверхностей означает подхрящевой остеосклероз.

Костная ткань при условии повреждения хряща, который покрывает суставные поверхности, начинает уплотняться и разрастаться. На ней можно наблюдать остеофиты (костные наросты). Эти образования могут находиться на краю и не мешать движению сустава.
Но остеофиты могут прорастать между двумя поверхностями диартроза и сужать суставную щель. В этом случае двигательная функция сустава нарушается и может возникнуть боль.
Если субхондральный склероз суставных поверхностей развивается в позвоночнике, возможно возникновение корешкового синдрома (боль по направлению ущемленного нерва). Этими процессами и обусловлено заболевание.
Если речь заходит об остеосклерозе позвоночника, в патологический процесс вовлекаются пластинки, называющиеся замыкательными. Они расположены между телом самого позвоночника и диском.
Субхондральный склероз чаще всего проявляется в старческом возрасте. Но, к сожалению, в последние годы появилась тенденция к тому, что заболевание помолодело. Теперь субхондральный склероз можно изредка наблюдать и у молодых пациентов.
Причины возникновения болезни делятся на две категории.
Эндогенные, то есть вызванные внутренними факторами:
- Эндокринные патологии в организме могут стать причиной истончения хрящевой ткани или изменений в ткани костной. Главный эндокринный фактор – сахарный диабет. Это заболевание влечет за собой нарушение кровообращения в нижних конечностях.
- Как уже было сказано выше, болеет в основном пожилые люди. Поэтому возраст пациента тоже имеет значение.
- Наследственная или генетическая предрасположенность приводит к высокому риску заболевания суставов. Если у женщины артрозом, коллагенозом или остеохондрозом болела мать, такая пациентка имеет большую вероятность развития патологического процесса в ее организме.
- К суставному воспалению приводят нарушения иммунной системы. Например, системная красная волчанка.
- Сосудистые патологии того или другого сустава приводят к изменениям костной ткани.
Экзогенные причины – вызванные внешними факторами:
- Микротравмы. Чаще всего эти нарушения наблюдаются при работе с пневматическим инструментом (отбойный молоток у горнорабочего или строителя). Кроме того танцоры и некоторые спортсмены ежедневно нагружают суставы одних и тех же групп, результат такой нагрузки – микротравмы.
- При внутрисуставных переломах нарушается питание костной ткани, что приводит к развитию патологических процессов.
- Избыточный вес – это огромная нагрузка на суставы, причем это воздействие непрерывное.
- Нарушение обмена веществ в организме, например, заболевание Вильсона – Коновалова, подагра.
- Врожденные дефекты развития суставов, например, врожденный вывих тазобедренного сустава.
- Дисплазия – болезнь, связанная с изменениями в суставном и связочном аппарате, что приводит к вывихам.
- Гиподинамия зачастую является причиной субхондрального склероза замыкательных пластинок. Межпозвоночный диск испытывает дефицит питания и, в результате отсутствия движений, подвергается перегрузке.
Остеосклероз не относится к самостоятельным заболеваниям. Остеосклероз всего лишь симптом других суставных болезней. Выделяют несколько его рентгенологических стадий, от которых и зависят основные признаки:

Начальная стадия характеризуется краевым разрастанием кости. Щель при рассмотрении рентгеновского снимка не уменьшена, но движения в районе пораженного сустава несколько ограничены.
Выраженное разрастание кости. Суставная щель сужена. На этой стадии возникают трудности в выполнении своей повседневной работы.
Полная деформация сустава. Его поверхность становится плоской, а разрастания проникают в суставную щель. Эти изменения приводят к полной потере движений в пораженном суставе.
Клиническая картина зависит от заболевания, симптомом которого является остеосклероз.
Лечение остеосклероза заключается в выявлении основного заболевания и ограничении факторов его вызвавших. Любое лечение намного эффективнее, если оно начато на ранних стадиях. К сожалению, чаще всего люди обращаются к врачу, когда болезнь уже уверенно заявила о себе.
Для лечения суставов наши читатели успешно используют СустаЛайф. Видя, такую популярность этого средства мы решили предложить его и вашему вниманию.
Подробнее здесь…
Важно! Если дело дошло до образования костных наростов, больной должен готовиться к хирургической операции. Вот почему при малейших подозрениях на суставную патологию необходимо немедленно обращаться за медицинской помощью.

Принимая во внимание многообразие причинных факторов, единого лечения субхондрального склероза не существует. Терапия заключается в уменьшении клинических проявлений и торможении развития основного заболевания.
Уменьшить боли можно при помощи нестероидных противовоспалительных препаратов (индометацин, диклофенак). Физиотерапия способствует снижению болевого синдрома и стимулирует кровообращение в суставах.
Лечить субхондральный склероз тазобедренного или коленного сустава и остеосклероз можно прибегнув к помощи лекарств, в состав которых входит глюкозамин и хондраитин.
Массаж и мануальное лечение играют важную роль в борьбе с признаками болезни. Физические нагрузки необходимы, но в разумных пределах. Питание должно быть сбалансированным и богатым витаминами и минералами.
Приветствуется санаторно-курортное лечение.
- Суставы не любят холод, поэтому рекомендуется по возможности не допускать их переохлаждения.
- Питание человека должно быть сбалансированным.
- Своевременное обращение за медицинской помощью ускорит диагностику и облегчит лечение.
Остеосклероз — что это такое и почему сложно различить его на ранних стадия? Это патология, при которой костная ткань уплотняется. Дело в том, что первоначально при данной болезни нет никаких ярко выраженных симптомов, и пациент не обращается со своей проблемой к врачу. А когда болезнь уже развилась до определенной стадии, ее лечение становится более сложным.
Об остеосклерозе
Определить ее наличие в самом начале может только внимательный врач, который делает рентген по поводу другой болезни. Однако это случается редко. Заподозрить остеосклероз (субхондральный, то есть на соединительной ткани) можно при остеоартрозе, потому что два этих заболевания часто идут в паре.
Также остеосклероз нередко сочетается со следующими болезнями:
- Мелореостоз;
- Остеопороз;
- Остеопойкилоз;
- Хронический идиопатический миелофибриоз.

Современные клиники все чаще предлагают генетические исследования, которые позволяют определить предрасположенность к той или иной болезни. Такие исследования дают высокую степень точности при оценке риска появления заболевания. При этом опасность остеосклероза нельзя недооценивать, поскольку он может привести к параличу и даже злокачественным опухолям, то есть раку.
Однако также бывает остеоcклероз не патологический, а физиологический, который появляется в процессе роста скелета у детей. В этом случае он обнаруживается в ростковых зонах, но потом, как правило, проходит сам. А вот патологический возникает уже во взрослом возрасте.
Вероятность развития остеосклероза относительно велика, потому что по частоте это второе заболевание костей после остеопороза. Диагностика и план лечения назначают травматолог и ортопед.
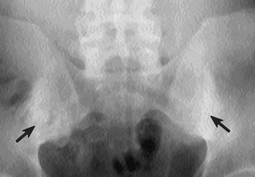
Остеосклероз на рентгене
- На рентгене при остеосклерозе видны тени от кости на фоне окружающих мягких тканей;
- Губчатое вещество внутри кости приобретает мелкопетлистую структуру (выглядит как множество мелких петель);
- Внутренний контур кости становится неровным;
- Костномозговой канал становится уже или даже исчезает полностью.

Очаги остеосклероза позвоночника, коленного, тазобедренного сустава имеют вид множества равномерно распределенных светлых пятен. Это пегий остеосклероз. При нем корковый слой не становится тоньше, а вот внутренний превращается в губчатый и рыхлый. Также есть ровный остеопороз. При нем остеосклеротические очаги выглядят прозрачными. В губчатом веществе визуально заметны трабекулы, то есть пластинки, перегородки.
Причины остеосклероза
Во многих случаях системный остеосклероз развивается из-за генетической предрасположенности к нему. Однако есть и другие причины — например, наличие инфекционной болезни. Часто он возникает при третичном сифилисе и костном туберкулезе.
Генетический фактор, а также нагрузка на определенный орган поможет определить, где именно разовьется остеосклероз:
- В позвоночнике;
- В тазобедренном суставе;
- В ребре;
- В плечевом суставе;
- В коленном суставе;
- В пяточной кости;
- В бедренной кости.

Повышенный риск развития остеосклероза появляется:
- При болезни Альберс-Шенберга, флюорозе, сатурнизме, опухолях груди, простаты и бронхов;
- При наличии других болезней суставов и костей;
- При низком изменении уровня гормонов в период климакса или просто при старении;
- При очень серьезной нагрузке на суставы;
- При травме суставов;
- При чрезмерном весе, ожирении;
- При отравлении тяжелыми металлами и химическими компонентами;
- При наличии воспаления в организме;
- При доброкачественных и злокачественных новообразованиях;
- При переломах определенной части тела;
- При некорректном питании (поглощении большого количества вредной пищи);
- При нарушениях метаболизма (обмена веществ);
- При дисфункции эндокринной системы;
- При мраморной болезни, остеопойкилии и мелореостозе.

Виды остеосклероза
Помимо деления остеосклероза по формам (патологический и физиологический, который появляется во время роста костей), его подразделяют также по другим основаниям.
По количеству и объему пораженных костей:
- Очаговый;
- Локальный;
- Распространенный;
- Системный.
Соответственно, очаговый остеосклероз затрагивает самый небольшой участок ткани, а системный — все тело. При локальном речь обычно идет о травме, наложенной на болезнь, в определенном участке тела, а при распространенном патология наступает в нескольких костях одновременно.
По причинам возникновения остеосклероз бывает:
- физиологическим (структуры кости перестают расти, и тогда повреждаются ростковые зоны; встречается обычно у детей и подростков);
- идиопатическим (из-за нарушения правильного процесса развития костей);
- посттравматическим (из-за вывихов, трещин, переломов);
- реактивным (как реакция на новообразование, например, опухоль, а также в случаях, когда питательные вещества не поступают в необходимом объеме в кость);
- токсическим (из-за отравления химией или тяжелыми металлами).
Определение причин остеосклероза помогает правильно назначить курс лечения. В зависимости от конкретной причины он будет различаться. К примеру, при токсическом отравлении необходимо будет провести детоксикацию организма, при травмах — заняться лечением травмы, и так далее.
Симптомы остеосклероза
Основная сложность лечения остеосклероза заключается в том, что его тяжело диагностировать. Кстати, остеосклероз может затрагивать не только кости, но и хрящи. Конечно, на рентгене можно увидеть деструкцию ткани, разрушительную работу болезни, но обычно рентген не делают без внешних симптомов. Уже на более поздних стадиях появляется боль.
При появлении боли, а также если Вы входите в группу риска, нужно сразу же обратиться к врачу, потому что она может свидетельствовать, что остеосклероз перешел уже в следующую стадию, которая грозит серьезными осложнениями — например, полной потерей способности двигаться.

Чем больше нагрузка на орган, в котором, возможно, возник остеосклероз, тем сильнее он болит. При нарушении в тазобедренном суставе будет констатироваться боль в крестце, подвздошной кости, обычно после того, как человек посидел на одном месте или долго ходил. Поэтому от него страдают офисные сотрудники, таксисты и дальнобойщики, менеджеры по продажам, которым приходится много ходить.
Пациент может прихрамывать. При этом виде остеосклероза есть риск перелома, поэтому нужно тщательно контролировать свои нагрузки, не допуская их превышения. Количество осложнений при неправильном лечении данной разновидности может быть велико.
Остеосклероз плечевого сустава не зависит от какой-либо конкретной профессии, потому что чрезмерную нагрузку испытывают плечи практически всех людей. Руки нужно отвести за спину, и, если появилась боль, этого достаточно для похода к врачу. Внешне деформация никак не проявляется.
Остеосклероз коленного сустава очень коварен, потому что при нем даже чувство боли возникает редко. Чаще всего он диагностируется, когда человек уже приходит с травмой, вызванной этой болезнью. Косвенным признаком может послужить чувство усталости, которое быстро возникает при ходьбе. Также может быть незначительная боль.
При остеосклерозе пяточной и таранной кости будет искривляться ступня и фаланги пальцев. Также нижние конечности испытывают боль и дискомфорт, причем даже при небольшой физической нагрузке. Возможно развитие плоскостопия.

Может встречаться даже остеосклероз корня зуба, но крайне редко. Обычно болезни оказываются подвержены те кости, которые испытывают наибольшую повседневную нагрузку.
Для диагностики остеосклероза позвоночника рентгена недостаточно, потребуется МРТ (магнитно-резонансная томография). Обычно боль при такой разновидности болезни ноющая. Может быть больно не только стоять, но и лежать. Искривление позвоночника обычно становится видимым.
Конечно, его наличие не обязательно свидетельствует об остеосклерозе — возможно, это другая болезнь. Какая точно, должен определить врач. Запускание этой разновидности остеосклероза способно привести к последствиям вплоть до рака. В более легких случаях могут быть грыжи, кифоз, остехондроз, которые тоже нельзя назвать легкими осложнениями.
Анализы
Помимо рентгена при подозрении на остеосклероз применяют компьютерную томографию и МРТ. Также может потребоваться ультразвук. Генетические исследования дороги, поэтому их проводят те, кто могут их себе позволить. Они хороши тем, что с высокой степенью точности позволяют установить, есть ли предрасположенность к остеосклерозу.
Также делают анализ на биохимический состав крови, мочи, и, в идеале, на онкомаркеры, потому что эта болезнь относительно часто приводит к возникновению онкологии.

Лечение остеосклероза
Лечение остеосклероза народными средствами невозможно; необходимо использование современной медицины. Основу составляют инъекции с глюкозамином и хондроитином, которые восстанавливают ткань кости и хряща. Нужно подготовиться, что курс лечения будет длительным — от четверти года до полугода.
Также из препаратов используются обезболивающие средства против воспаления (гормональные и негормональные). Нормализацию функции костной ткани ускоряет физиотерапия, в которую входит грязелечение, массаж, ультразвуковое воздействие, магнитотерапия и электроферез с подобранными врачом лекарственными средствами.
Лечебная физкультура служит дополняющей помощью телу при остеосклерозе. Нагрузку увеличивают постепенно, в процессе восстановления используют различного вида тренажеры. Восстановление ускоряет правильная диета с минимумом жирной, жареной пищи и рафинированного сахара.
Фиксаторы и бандажи предохраняют от получения травм, которые значительно усложнят течение болезни. Также бандаж необходим при наращивании физической нагрузки в процессе лечения. А здоровый полноценный сон помогает более быстрому изменению тканей в сторону нормы.
Операция при остеосклерозе
Операция при остеосклерозе требуется для пересадки костного мозга, который помогает восстановить нормальное функционирование кости. Процедура неприятная, но необходимая тем, кто хочет забыть о болезни.
Также операция показана, когда в кости возникли некротизированные участки из умерших клеток; в этом случае нужно их удалить. Ну и, наконец, когда сустав оказался полностью разрушенным, его могут даже удалить.
Прогноз при остеосклерозе
В большом проценте случаев возможно полное излечение остеосклероза, но если проблема затронула суставы и/или позвоночник, то ее можно лишь остановить и избавить пациента от боли, а также от дальнейших осложнений. Придерживаться определенного образа жизни придется постоянно. Для полного излечения нужна пересадка костного мозга. В ряде случаев используется спленэктомия или переливание массы эритроцитов (при развитии анемии по причине болезни).
Профилактика
Остеосклероз проще предупредить, чем лечить его. Поэтому тем, кто входит в группу риска (генетическая предрасположенность, большая нагрузка, проживание в плохой экологии, лишний вес) следует принять ряд мер, чтобы уберечь себя от болезни.
- Ограничить количество принимаемого алкоголя;
- Спать на жестко-мягком матрасе;
- Следить, чтобы осанка была правильной;
- Не перенагагружать суставы;
- Если есть лишний вес, избавиться от него;
- Заниматься физкультурой.
Физкультура хороша тем, что улучшает кровообращение, а хорошее кровообращение способствует нормальному функционированию тканей, снижает вероятность развития не только остеосклероза, но и других болезней суставов/костей.
Остеосклероз – это патологическое заболевание, при котором костная ткань уплотняется, теряя свою гибкость и эластичность, вызывая сложности в осуществлении нормального движения частей тела. Теряя свою упругость, кости достаточно часто имеют патологические переломы, при которых ткани довольно долго сращиваются, иногда образуя ложный сустав и трещины костей.
Причины остеосклероза заключаются в нарушении баланса остеокластов и остеобластов – основных производных костной ткани. Данный дисбаланс наиболее ярко выражен в период активного роста костей, у подростков. Остеосклероз может иметь приобретённую форму, когда на фоне травмы нарушаются обмены на клеточном уровне, в результате которых наблюдается качественное изменение состава костной ткани.
Врождённый остеосклероз формируется на стадии развития зародыша, когда закладываются первые клетки нервной и костной ткани. Может возникнуть остеосклероз при травмах, когда один и тот же участок подвергается постоянным нагрузкам.
Остеосклероз позвоночника наиболее часто проявляется на фоне развития вирусных заболеваний, способных поражать костную ткань и хрящи.
Субхондральный остеосклероз замыкательных пластинок – что это такое?

Субхондральный остеосклероз замыкательных пластинок не является полноценным заболеванием, его скорее можно назвать патологическим процессом, развивающимся на фоне других заболеваний.
Приобрести такой недуг можно как на фоне длительных вирусных заболеваний, поражающих опорно-двигательную систему, так и в результате постоянного травматизма одного и того же места, при котором костная ткань не способна к регенерации.
Симптомы остеосклероза в зависимости от локализации

Симптомы остеосклероза могут проявляться по-разному, в зависимости от того, какой именно участок тела повреждён. Диагностировать остеосклероз, опираясь на одну лишь симптоматику, не удастся даже самому опытному травматологу, поэтому постановка диагноза полностью зависит от рентген снимков или МРТ.
Симптомы остеосклероза, не учитывая область локализации, внешне никак не проявляют, но присутствует внутренняя боль, усиливающаяся при нагрузках.
Остеосклероз тазобедренного сустава проявляет себя постоянными болями, особенно в области крестца при длительном сидении или ходьбе. Поражая тазобедренный сустав, заболевание делает кость настолько плотной, что любые нагрузки, даже самые незначительные могут спровоцировать серьёзный перелом.
Верхние конечности, как наиболее активная часть опорно-двигательного аппарата, довольно часто поддаются развитию остеосклероза. Главный симптом, по которому можно предположить недуг – это болевые ощущения при вращении конечности в плечевом суставе, а также при отводе рук назад. При этом зрительно сустав никак не видоизменяется, опухоли либо отёчности не имеет.
Остеосклероз подвздошной кости не имеет достаточно ярко выраженную симптоматику, что значительно осложняет диагностику. Чаще всего пациенты, имеющие этот недуг, длительное время даже не подозревают о его присутствии, обращаясь за помощью к врачу, когда непосредственно возникла травма, полностью сковывающая движение.
Остеосклероз данной области вызывает незначительную боль при сидении, а также быструю утомляемость при ходьбе, но точный диагноз можно установить лишь в результате дополнительных исследований.
Выявить такой диагноз без МРТ не удастся, поскольку симптомы, проявляемые при заболевании схожи с симптомами многих других болезней позвоночника. Ноющая боль, при которой сложно стоять и лежать, не всегда говорит об остеосклерозе, поэтому слабая симптоматика является ложным вариантом диагностики.
Чем опасен остеосклероз позвоночника?

Позвоночный остов, защищающий костный мозг от негативного воздействия, поражённый остеосклерозом теряет свою естественную гибкость и эластичность, при которой межпозвоночные диски ущемляются позвонками.
Это побочное явление может провоцировать большинство заболеваний позвоночника, таких как межпозвоночные грыжи, остеохондроз, кифоз.
Поскольку слабая симптоматика не позволяет выявить недуг на ранних стадиях, чаще всего его проявление совпадает с уже приобретённой травмой. Остеосклероз позвоночника может привести к раку, который возникает на фоне дисбаланса клеток костной ткани, в результате которого возможны новообразования и уплотнения злокачественного типа.
Принципы питания при остеосклерозе

О том, как лечить субхондральный остеосклероз и другие его виды, проконсультирует врач, опираясь на рентген снимки, в результате которых можно выявить причину развития патологии. Но одним из важных факторов, способствующих лечению болезни – это питание при остеосклерозе.
Пациентам важно знать, что наряду с приёмом медикаментозных препаратов, также необходимо получать ежедневную дозу белков и аминокислот, поступающих в организм, извне, с пищей. Сбалансированное питание должно полностью соответствовать правилам правильного питания, не забывая про белки, как основной строительный материал.
Важно ежедневно употреблять в пищу молочные и мясные продукты, отказаться от жаренной и жирной пищи, полюбить овощные салаты и фрукты.
Последствия заболевания

Сложно предположить, какой результат будет, если недуг не будет вовремя распознан, ведь даже лечение остеосклероза коленного сустава может иметь серьёзные последствия, оставив человека без конечности.
Лечение субхондрального остеосклероза довольно таки длительное и затратное, не редко имеющее побочные результаты, устранять которые также придётся. К примеру, побочные действия остеосцинтиграфии натсолько серьёзны, что могут провоцировать опухоли, а также лишить человека двигательной активности.
Чтобы не доводить до таких крайностей, при первых болях и ломоте в костях необходимо обратиться в клинику за помощью. Консультация врача лишней не будет никогда!
Заключение, вывод
Слабая симптоматика остеосклероза ставит под угрозу здоровье опорно-двигательной системы, поэтому ранняя диагностика недуга поможет избежать серьёзных последствий.
Понравилась статья? Подпишитесь на канал, чтобы быть в курсе самых интересных материалов
Читайте также:


