Аденома среднего уха - лучевая диагностика
Добавил пользователь Владимир З. Обновлено: 28.11.2025
Опухоль уха - это группа доброкачественных или злокачественных новообразований, которые формируются и локализуются в тканях наружного и среднего уха. Среди всех онкологических заболеваний, встречается всего в 1-2% случаев. Самой распространенной опухолью является рак ушной раковины, на втором месте находятся поражение наружного уха, меньше всего новообразованиям поддается среднее ухо. Опухоль уха имеет различную симптоматику, которая зависит от вида новообразования, места расположения и зоны распространенности. Основными симптомами считаются: снижения слуха, боль и шум в ухе, вестибулярные расстройства, гнойно-кровянистые выделения из слухового прохода, парез лицевого нерва.
Что провоцирует / Причины Опухоли уха:
Как правило, развитие опухолей наружного уха провоцируют патологические состояния кожи (травмы, рубцы, хронические дерматиты, ожоги, бородавки, кератоз, полипы носа и ушей, рубцы тканей уха). По распространенности больше раковых поражений, нежели меланом и сарком, базалиом (базально-клеточный рак). Ушная раковина, часто поддаются раковым поражениям, в наружном слуховом проходе редко, а именно его хрящевой части формирование опухолей происходит редко. При своем росте злокачественная опухоль захватывает соседние участки. Иногда метастазы прорастают в регионарные шейные лимфатические узлы. Злокачественные опухоли ушей - это результат злокачественной метаплазии или следствие перерождения доброкачественной опухоли уха.
Доброкачественная опухоль в ухе формируется под действием провоцирующих факторов избыточного роста и размножения клеток любого структурного элемента наружного или среднего уха (кожи, подкожной жировой клетчатки, хряща, кости, сосудистой стенки, оболочки нервного ствола).
К факторам, влияющим на рост новообразований в ухе, относятся: острое (резкое) или хроническое радиоактивное воздействие, травмы уха, избыточное облучение ультрафиолетовыми лучами, продолжительное воздействие солнечной радиации, воспалительные заболевания уха. Статистика указывает на то, что злокачественные опухоли являются последствиями предшествующих заболеваний. Для опухолей наружного уха - это хронический ларингит, наследственная предрасположенность к онкологическим заболеваниям, экзема, псориаз, предраковые заболевания, системная красная волчанка, которые наносят поражение ушной раковине; рубцовые изменения после перенесенного наружного отита. На появление опухолей в среднем ухе влияет хронический средний отит, хронический эпитимпанит, адгезивный средний отит. В исключительных случаях опухоль уха развивается из мезенхимальной ткани, которая остается у новорожденных в надбарабанном пространстве.
Злокачественные новообразования среднего уха встречаются реже, нежели опухоли наружного уха. При локализации опухолей в среднем ухе чаще встречается саркома и её разновидности - рабдомиосаркома, нейрогенная саркома, остеосаркома, хондросаркома, которые проявляются у детей в возрасте до 10 лет.
Злокачественные опухоли среднего уха развиваются после перенесенного хронического среднего отита, полипов и грануляций, постоянного гноетечения, после регулярных прижиганий и удалений грануляционной ткани.
Патогенез (что происходит?) во время Опухоли уха:
Опухоли уха разделяют на доброкачественные и злокачественные. Доброкачественные опухоли отличаются медленным ростом, у них редко появляются метастазы. По гистологическому характеру опухоли чаще всего представлены следующими видами:
- Папилломы - по распространенности это наиболее часто встречающаяся опухоль наружного уха. Она формируется только на ушной раковине и наружном слуховом проходе. По происхождению папилломы могут быть врожденными и приобретенными. Папилломы медленно растут и имеют небольшие размеры.
- Невусы - это родимые пятна, связанные с развитием пигментных клеток, а также вспомогательных оболочек нервов, которые располагаются в толще дермы. Невусы различаются по размеру, форме и цвету.
- Фибромы - опухоль, которые, как правило, локализуются на ушной мочке, в месте прокола для ношения серег или в отверстии наружного слухового прохода. Фибромы развиваются из клеток соединительной ткани
- Липомы - это доброкачественные новообразования, которые формируется из жировой ткани. Наиболее часто липома встречается в подкожной клетчатке. Заболевание имеет частые рецидивы.
- Хондромы - это редкое заболевание, которое локализуется в хрящевом отделе уха.
- Аденомы - это доброкачественные новообразования, которые развиваются из эпителия желез слизистой оболочки барабанной полости, имеют форму округлого узелка.
- Гемангиомы - это часто встречающиеся заболевания наружного уха. Гемангиомы локализуются в наружном, среднем и внутреннем ухе. Эти опухоли имеют медленный рост и сильное разрушающее действие на окружающие ткани, таким образом, они выходят далеко за пределы ушной раковины. Они могут вызвать обильные кровотечения. Гемангиомы растут в толщину ушной раковины и в сторону наружного слухового прохода, закрывая просвет.
- Остеомы - это доброкачественная опухоль, которая развивается из компактного слоя задней стенки костного отдела наружного слухового прохода. Остеомы проникают в толщу сосцевидного отростка. При данном заболевании возможны частые рецидивы.
- Меланомы - злокачественная опухоль, которая имеет быстроразвивающиеся метастазы. Меланома кожи формируется из клеток, которые содержат меланин.
- Саркомы - имеет интенсивный рост и быстрое распространение в среднее ухо.
- Рак ушной раковины - это наиболее распространенная злокачественная опухоль.
- Спиноцеллюлярная эпителиома - быстрорастущее новообразование. На ушной раковине имеет вид бородавчатого образования с широким основанием, которое кровоточит при наименьшем травмировании. Если эта опухоль расположена в слуховом проходе, то она имеет вид одиночного почкообразного выроста или эрозии, а также диффузного процесса, который захватывает весь слуховой проход.
- Базалиома уха - новообразование, которое медленно растет и имеет позднее метастазирование. Если данная опухоль локализуется на ушной раковине, то она выглядит, как язва или плоское, похожее на рубец образование. Если базалиома расположена у места крепления ушной раковины к черепу, тогда есть возможность проведения её частичной или полной ампутации.
Злокачественные опухоли бывают первичными (опухоль формируется в одном из отделов уха) и вторичными (опухоль прорастает в ухо из близкорасположенных органов либо появляется посредством проникновения метастазов). Метастазы злокачественных опухолей чаще всего поражают регионарные лимфатические узлы шеи и околошейной зоны, а также височную, скуловую и другие кости черепа, слюнные железы.
Симптомы Опухоли уха:
Рак ушной раковины имеет две формы: язвенную и экзофитную (опухолевую). Для язвенной формы характерно появление плоской язвы с инфильтрированным зубчатым плотным краем. После чего следует распад тканей, это выглядит, как экзема с отпадающими корочками, затем обнажается хрящ раковины и даже кость сосцевидного отростка. В случае базалиомы такой процесс может длиться годами.
При экзофитном (опухолевом росте) наблюдаются бородавчатые узелки на широком твердом инфильтрированном основании, иногда они напоминают бледные грануляции, в связи с чем их дифференцируют с наружными грануляционном отитом, а иногда, например, при хроническом гнойном среднем отите, расценивают как его последствия.
Злокачественные опухоли среднего уха растут очень быстро. Их первые симптомы схожи с классическими симптомами хронического среднего гнойного отита, к ним относятся тугоухость и постоянные гнойные выделения. Со временем данные признаки усугубляются другой симптоматикой: сильными болями, зудом и шумом в ушах, иррадирующими в шейную зону и голову, головокружением, кровянистыми выделениями с запахом, нейросенсорной тугоухостью, усилением роста грануляцией и быстрым рецидивом после удаления, парезом лицевого нерва, припухлостью регионарных шейных лимфатических узлов, увеличением и болезненностью шейных лимфоузлов, полипами, язвами в ушном проходе, пигментацией области уха (при меланоме), поражением нервов.
Раннее течение рака уха не отличается от клиники гнойного отита. Как только опухоль начинает прогрессировать, поражая барабанную полость, боль усиливается, появляется кровоточивость, парезами мышц лица, головокружением из-за поражения нервов. Смерть от рака уха может наступить от внутричерепных осложнений.
Диагностика Опухоли уха:
Диагноз ставится на основании проведенного отоскопического осмотра, анализа симптоматики, а также ряда исследований:
- Отоскопия - метод осмотра наружного слухового прохода и барабанной перепонки (а при ее прободении и барабанной полости) с помощью ушного зеркала и лобного рефлектора либо осветителя.
- Рентгенография - метод диагностики при помощи рентгеновских лучей, показывает использование патологии внутреннего строения непрозрачных тел.
- Компьютерная томография (КТ) - метод просвечивания рентгеновскими лучами. При КТ создаются изображения «срезов», которые показывают наличие или отсутствие патологий.
- Магнитно-резонансная томография - метод исследования, который позволяет увидеть подробную картину состояния органов слуха без внутреннего вмешательства.
- Аудиометрия - способ проведения диагностики слухового восприятия.
- Биопсия и гистологическое изучение тканей опухоли - определяет доброкачественный или злокачественный процесс новообразования. При биопсии проводиться забор определенного кусочка ткани пораженного участка или опухолевого образования с последующим его гистологическим изучением под микроскопом.
- Дифферинциальная диагностика представляет трудности только в начале болезни, когда рак трудноотличим от доброкачественных образований (атером, фибром, дермоидных кист, келоидных рубцов), а также нейрофибриом, лимфангиом, инфеюдгонных гранулем, телеангиэктазии, хронического отита, туберкулеза, остеомиелита височной кости и хемодектомы.
Лечение Опухоли уха:
Выбор методов лечения опухолей уха зависит от вида, стадии и формы и наличия метастазов новообразования. При ограниченных процессах применяют близкофокусную лучевую терапию, в некоторых случаях используют лазерное облучение и криодеструкцию. Лучевая терапия проводится перед операцией. После чего назначают химиотерапию. В случае обширных опухолей проводят резекцию пораженного участка.
Лечение опухолей среднего уха имеет благоприятные результаты. Для лечения новообразований среднего уха используют телегамматерапию, расширенные операции на височной кости и химиотерапию. Лечения рака уха часто бывает комбинированным, то есть состоящим из нескольких методов:
Хирургическое уудаление - это основной метод лечения опухолей уха. При хирургическом удалении выполняется: субтотальная резекция височной кости или расширенная мастоидэктомия. При таких операциях удаляется опухоль, хрящевые ткани, которые её окружают, и часть черепных костей. В случае наличия метостазов удаляются шейные лимфоузлы. При злокачественных опухолях дополнительно к операции применяют химиотерапию и лучевое воздействие.
Химиотерапия - проводится при опухолях поздних стадий. Больному назначаются противоопухолевые препараты - цитостатики.
Лучевая терапия - применяется при лечении саркомы, меланомы и других видов опухолей. Лучевая терапия комбинируется с другими методами лечения.
Криодеструкция опухоли - это метод замораживания тканей при помощи азота. При местном воздействии низких температур раковые клетки погибают. Чаще всего этот метод используется при меланомах уха.
Радиотерапия - это метод лечения ионизирующим излучением.
Прижигание - метод диатетермокоагуляции, применяется для воздействия на раковые клетки.
Выскабливание - этот метод применяется, когда опухоль имеет небольшие размеры. Но при данном методе существует высокая вероятность рецидива.
При проведении любых вмешательств цель докторов не только вылечить пациента, но и достичь эстетического эффекта, поэтому в операционный период, после удаления опухолей наружного уха, в случае необходимости больному проводят восстановительные пластические операции для улучшения внешнего вида пораженной зоны.
При своевременной диагностике и раннем лечении, больному прогнозируют благоприятные результаты излечения, на поздних стадия - рак практически неизлечим.
Профилактика Опухоли уха:
Профилактика опухолей уха заключается в ежегодном обследовании больного, находящегося в группе риска, с целью выявления рецидива или ранних стадий появления новых опухолей наружного и среднего уха. Профилактика рака - это излечение первичных заболеваний, которые провоцируют рост новообразований (рубцы при травме, экзема, папиллома, полипы носа, уха и другие). Все больные находятся на диспансерный учет, где за ними ведется постоянное наблюдение врачей.
Семьям, проживающим в промышленных зонах, где добывается никелевая руда, происходит нефтепереработка, следует сменить свое место жительства на экологически чистый регион, чтобы предостеречь онкозаболевания.
К каким докторам следует обращаться если у Вас Опухоль уха:
Вас что-то беспокоит? Вы хотите узнать более детальную информацию о Опухоли уха, ее причинах, симптомах, методах лечения и профилактики, ходе течения болезни и соблюдении диеты после нее? Или же Вам необходим осмотр? Вы можете записаться на прием к доктору .
Аденома среднего уха - лучевая диагностика
Кафедра ЛОР-болезней ГБОУ ВПО «Московский государственный медико-стоматологический университет им. А.И. Евдокимова» Минздрава России
Кафедра оториноларингологии, кафедра лучевой диагностики Московского государственного медико-стоматологического университета им. А.И. Евдокимова, Москва
Конусно-лучевая компьютерная томография в диагностике хронического гнойного среднего отита
Журнал: Вестник оториноларингологии. 2014;(1): 52‑54
Вишняков В.В., Лежнев Д.А., Саракуева А.Р. Конусно-лучевая компьютерная томография в диагностике хронического гнойного среднего отита. Вестник оториноларингологии. 2014;(1):52‑54.
Vishniakov VV, Lezhnev DA, Sarakueva AR. The use of cone beam computed tomography for diagnostics of chronic suppurative otitis media. Vestnik Oto-Rino-Laringologii. 2014;(1):52‑54. (In Russ.).
Методом конусно-лучевой компьютерной томографии исследованы височные кости 33 пациентов с хроническим гнойным средним отитом, у 18 из них процесс был односторонним, у 15 - двусторонним. Всего проанализировано 48 серий томограмм височных костей. Возраст больных - от 16 до 80 лет. В 7 случаях выявлен хронический гнойный средний отит с холестеатомой. Определена КЛКТ-симптоматика хронического гнойного среднего отита, изучены особенности визуализации при КЛКТ деструкции костной ткани с холестеатомой и без нее. Обоснована возможность использования конусно-лучевой компьютерной томографии в диагностике хронического гнойного среднего отита.
Хронический гнойный средний отит (ХГСО) - заболевание среднего уха, характеризующееся наличием стойкой перфорации барабанной перепонки, периодическими выделениями и шумом в ухе, снижением слуха [1, 2].
ХГСО - распространенная патология среднего уха, в структуре заболеваний уха на его долю приходится около 27,2%. Распространенность ХГСО в нашей стране составляет от 8,4 до 39,2 на 1000 населения [1, 3]. Среди пациентов с ЛОР-патологией, которым оказывается помощь в ЛОР-стационарах, 5,7-7% страдают ХГСО, а в сурдологических отделениях - около 40%. ХГСО с частыми обострениями является причиной отогенных осложнений, которые в настоящее время возникают у 3,2% больных, из них у 1,97% наблюдаются интракраниальные (менингит, абсцесс мозга и др.), у 1,35% - экстракраниальные (субпериостальный абсцесс, лабиринтит и др.) осложнения [3, 4]. Смертность от осложнений при ХГСО составляет 16,1%. Одной из причин развития деструкции в среднем ухе является холестеатома, которая выявляется у 24-63% больных ХГСО при любой локализации перфорации.
Диагностические мероприятия принято начинать с общего оториноларингологического обследования, включающего эндоскопический или отомикроскопический осмотр [4].
После выявления жалоб, сбора анамнеза, осмотра и пальпации околоушной области выполняется отоскопия. Этот метод позволяет определить состояние барабанной перепонки: цвет, прозрачность, утолщение, наличие выбухания или втянутость. Имеется возможность определить локализацию и размеры перфорации перепонки, количество и характер отделяемого, состояние стенок наружного слухового прохода [4]. Манипуляции лучше проводить под контролем увеличительной оптики или микроскопа [4, 5].
Е.И. Зеликович [6, 7] достоверно доказала, что важным этапом обследования пациентов с патологий среднего уха является рентгенологический. Одним из методов лучевого исследования, получившим достаточно широкое распространение в клинической радиологии в течение последних нескольких лет, является конусно-лучевая компьютерная томография (КЛКТ) [8, 10].
Принципиальное отличие КЛКТ от МСКТ заключается в форме пучка рентгеновского излучения. При конусно-лучевой томографии применяется не узкий пучок лучей, а конический луч, что позволяет в один оборот системы отсканировать необходимый анатомический объем. Кроме того, коническая форма луча в подобных аппаратах приводит к значительному снижению лучевой нагрузки на пациента, которая в среднем в 4-5 раз ниже, чем при МСКТ [9, 10].
Непосредственно во время процедуры формируется первичное трехмерное изображение высокого разрешения. Минимальный размер вокселя современных объемных томографов составляет 0,125 мм. Однако это значение может быть увеличено до 0,4 мм в зависимости от диагностических задач исследования. Большинство аппаратов имеют программы для измерения и оценки плотностей в единицах Хаунсфилда, что облегчает восприятие получаемой информации специалистами [7, 8].
К ограничениям дентальной объемной томографии можно отнести недостаточно хорошую визуализацию и дифференцировку мягких тканей, что затрудняет использование этой методики для диагностики заболеваний мягкотканных структур [8, 9].
Цель исследования - оценка возможностей конусно-лучевой компьютерной томографии височной кости в диагностике хронического гнойного среднего отита.
Материал и методы
Обследованы 33 пациента с клиническим диагнозом: хронический гнойный средний отит, у 18 из них процесс был односторонним, у 15 - двусторонним. Всего проанализировано 48 томограмм височных костей. Возраст больных - от 16 до 80 лет.

Конусно-лучевая компьютерная томография проводилась в положении сидя, голова больного была фиксирована в подголовнике. Во время сканирования система сканирования и детектор согласованно двигались вокруг головы обследуемого, совершая один оборот в 360°. Время сканирования составляло в среднем 20 с. Основные технические параметры КЛКТ представлены в таблице.
Результаты и обсуждение
Основными являлись жалобы пациентов на гнойные, слизисто-гнойные выделения из уха с запахом и без, дискомфорт в ухе, ощущения тяжести в ухе и снижение слуха. В двух случаях пациенты также жаловались на головокружение. По данным эндоскопии, перфорация барабанной перепонки в центральной натянутой ее части имелась у 12 (36%) пациентов, в краевой ненатянутой части - у 13 (42%) больных и субтотальная перфорация имелась в 8 (26%) случаях.
Всем больным проводили традиционное обследование, мазок отделяемого из уха на флору и чувствительность к антибиотикам, отоэндоскопию и аудиологическое исследование.
Изучение конусно-лучевых томограмм височных костей проводилось по разработанной схеме. Особое внимание уделялось степени пневматизации сосцевидного отростка, антрума и аттика, состояние барабанной полости, слуховых косточек, связочного аппарата, пневматизации костного устья слуховой трубы, наличию деструктивных изменений.
По результатам КЛКТ во всех 48 наблюдениях гнойный средний отит был подтвержден, в 7 случаях (14%) выявлен хронический гнойный средний отит с холестеатомой. У 8 (16%) пациентов имелся эпитимпанит, у 12 (25%) больных - мезотимпанит, в 6 (12%) наблюдениях присутствовал эпимезотимпанит.

Характерным КЛКТ-признаком, обнаруженным у всех больных, являлось нарушение пневматизации полостей среднего уха за счет наличия в них патологического субстрата, являющегося отображением утолщенной слизистой оболочки, грануляций и гноя. Данный признак проявлялся на томограммах повышением плотности в воздухоносных полостях до значений, характерных для жидкости и мягкотканных структур. Частота поражения была различной. Нарушение пневматизации адитуса, антрума и ячеек сосцевидного отростка было выявлено в 33 (69%) из 48 височных костей. В зависимости от степени выраженности изменений выделялось частичное и тотальное нарушение пневматизации. При частичном отсутствии пневматизации, выявленном в 8 (16%) височных костях, определялся как воздух, так и патологический субстрат с вогнутыми контурами. При тотальном нарушении пневматизации в 4 (8%) наблюдениях патологический субстрат полностью вытеснял воздух (рис. 1, а). Рисунок 1. Конусно-лучевая компьютерная томограмма височных костей в аксиальной плоскости. а — барабанная полость полностью заполнена мягкотканным и жидкостным содержимым (указано стрелкой)ыши барабанной полости (указан стрелкой).
Деструктивные изменения при ХГСО характеризовались изменениями слуховых косточек в виде частичного или полного отсутствия отдельных элементов цепи, понижением плотности косточек. Так, разрушение слуховых косточек в 25 (52%) случаях было частичным и в 8 (16%) случаях наблюдалось полное их разрушение. Эти проявления были весьма разнообразны по форме и распространенности.
Деструктивный процесс в стенках барабанной полости и антромастоидальной области встречался нечасто у больных хроническим гнойным средним отитом - в 6 (12%) височных костях из 48 (рис. 1, б). Рисунок 2. Конусно-лучевая компьютерная томограмма височных костей в аксиальной плоскости. б — участок деструкции крыши барабанной полости (указан стрелкой).
Сопутствующие нарушения пневматизации сосцевидного отростка за счет склеротических изменений выявлены в 40 (83%) наблюдениях. Степень выраженности склероза колебалась от умеренных проявлений до значительно выраженных, характеризующихся полным заполнением просвета ячеек костной тканью.
В 10 (21%) случаях было отмечено уменьшение в размерах антрума, обусловленное утолщением его стенок в результате склероза.
При обострении воспалительного процесса, сопровождавшегося гноетечением, патологический субстрат определялся во всех отделах барабанной полости - 10 (21%) височных костей.

Холестеатома среднего уха наиболее часто определялась при эпитимпаните с краевой перфорацией барабанной перепонки в ненатянутой части. Первоначальная локализация холестеатомы соответствовала пространству Пруссака или задним отделам аттика, соответственно изучение локализации патологического субстрата начиналось именно с этого отдела аттика (рис. 2). Рисунок 3. Конусно-лучевая компьютерная томограмма левой височной кости в аксиальной плоскости. Стрелкой обозначена холестеатома, занимающая барабанную полость.
Таким образом, при наличии клинических данных эпитимпанита и обнаружения при КЛКТ в пространстве Пруссака или в задних отделах аттика мягкотканного образования следует думать о холестеатоме небольших размеров.
Выводы
1. КЛКТ височных костей позволяет выявить все основные патоморфологические изменения, характерные для хронического гнойного среднего отита, такие как мягкотканные изменения в полостях среднего уха (утолщенная слизистая оболочка, грануляции), кариозные изменения слуховых косточек и стенок полостей среднего уха, склероз в сосцевидном отростке.
2. КЛКТ дает возможность визуализации холестеатом любой локализации (пространства Пруссака, фациального и тимпанального кармана, аттика и антральной области).
3. Результаты КЛКТ у больных с хроническим гнойным средним отитом позволяют определить дальнейшую тактику ведения больного.
Отделение оториноларингологии, отделение компьютерной томографии Научного центра здоровья детей РАМН, Москва
Отделение рентгеновской компьютерной томографии Научного центра здоровья детей РАМН, Москва
Трудности лучевой диагностики злокачественных опухолей среднего уха у детей
Цель работы - представить возможности КТ- и МРТ-диагностики злокачественных новообразований среднего уха у детей. Злокачественные новообразования среднего уха у детей представляют большие трудности в диагностике. Проанализированы субъективные и объективные причины, способствующие позднему установлению диагноза. Основное внимание уделено возможностям КТ и МРТ в диагностике злокачественных новообразований среднего уха у детей. Даны лучевые дифференциально-диагностические критерии злокачественных новообразований.
Злокачественные опухоли среднего уха у детей составляют около 20% среди всех злокачественных новообразований ЛОР-органов и представляют значительные трудности для ранней диагностики и соответственно лечения [1—3]. Рабдомиосаркома и лангергансоклеточный гистиоцитоз относятся к наиболее распространенным новообразованиям среднего уха у детей.
К сожалению, практически в 50% случаев диагноз опухоли устанавливается поздно. Это обусловлено нетипичной клинической картиной заболевания на ранних стадиях (боль и выделения из уха, снижение слуха), что симулирует затянувшийся или хронический средний отит. Опухолевый процесс часто распространяется из среднего уха в наружный слуховой проход, где клинически ошибочно расценивается как полип, и проводится полипотомия. Однако такой «полип» вскоре вновь рецидивирует. Повторный рост «полипов» или «грануляций» у ребенка должен заставить ЛОР-врача до проведения повторных хирургических вмешательств исключить новообразование среднего уха, что на практике встречается далеко не всегда.
На более поздних стадиях болезни характерно вовлечение в патологический процесс лицевого нерва с развитием его пареза, а также поражение других черепных нервов, развитие общемозговых, вестибулярных и мозжечковых расстройств. Появление подобной симптоматики также должно явиться основанием для детального обследования ребенка.
В современных условиях важная роль в диагностике новообразований уха принадлежит лучевым методикам. Расположение среднего уха в пирамиде височной кости предопределяет ведущую роль в диагностическом процессе компьютерной томографии (КТ), поскольку метод позволяет детально оценить в первую очередь состояние костных структур. Дополнительные возможности в оценке мягкотканных изменений открывает магнитно-резонансная томография (МРТ) [4—7].
К сожалению, лучевая диагностика опухолей среднего уха для рентгенолога, так же как и для клинициста, представляет значительные трудности, поскольку изменения, особенно на ранних стадиях болезни, не являются патогномоничными и требуют от специалиста проведения дифференциальной диагностики с другими заболеваниями уха.
Цель работы — продемонстрировать возможности КТ- и МРТ-диагностики злокачественных новообразований среднего уха у детей.

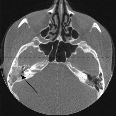
КТ-признаки злокачественной опухоли височной кости предопределяются происходящими в ней патоморфологическими изменениями. Так, наличие опухолевых масс в среднем ухе на КТ проявляется нарушением пневматизации полостей среднего уха (рис. 1). Рисунок 1. Лангергансоклеточный гистиоцитоз. Аксиальная проекция правой височной кости. Отсутствует пневматизация полостей среднего уха за счет наличия опухоли (1), вызывающей обширные деструктивные изменения в пирамиде. Цепь слуховых косточек сохранена (2). Степень выраженности данного КТ-симптома обусловлена размерами самой опухоли и ее точной локализацией в височной кости. Нарушение пневматизации полостей среднего уха не является специфичным для новообразований и постоянно встречается при других заболеваниях среднего уха, в первую очередь при остром и хроническом средних отитах.
Частым проявлением опухоли височной кости, как было сказано выше, является ее распространение в наружный слуховой проход, что находит свое отражение и на КТ. При небольших размерах полипозного новообразования на КТ в просвете наружного слухового прохода визуализируется образование, исходящее из барабанной полости или проникающее в слуховой проход через его разрушенную стенку (рис. 2). Рисунок 2. Лангергансоклеточный гистиоцитоз. Коронарная проекция правой височной кости. В наружном слуховом проходе определяется полипозное образование (1), на уровне которого верхняя стенка НСП деструктивно изменена. Нарушена пневматизация среднего уха (2). Большой «полип» проявляется на КТ полной обтурацией воздушного просвета слухового прохода мягкотканным образованием (рис. 3). Рисунок 3. Рабдомиосаркома. Аксиальная проекция левой височной кости. Отсутствует пневматизация костного устья слуховой трубы и барабанной полости (1). Просвет наружного слухового прохода обтурирован мягкотканным полипозным образованием (2). Деструкция задней стенки барабанной полости и наружного слухового прохода (3). При анализе данного КТ-признака следует учитывать, что истинные полипы, встречающиеся при хроническом гнойном среднем отите, в отличие от опухолей имеют излюбленную локализацию и чаще всего исходят из верхних отделов барабанной полости.
Рост злокачественного новообразования среднего уха сопровождается деструктивными изменениями прилежащих костных структур. КТ позволяет не только выявить участки костной деструкции в височной кости, но и точно оценить их локализацию, размеры, вовлечение в патологический процесс структур лабиринта, средней и задней черепных ямок, канала лицевого нерва [4—6]. Обнаружение на КТ костно-деструктивных изменений позволяет рентгенологу заподозрить опухолевый процесс, однако и здесь возникает необходимость проведения дифференциального диагноза между злокачественной опухолью, воспалительным заболеванием среднего уха и доброкачественным новообразованием. Следует отметить, что каждому из перечисленных заболеваний среднего уха свойственны свои особенности деструктивного процесса в височной кости, на чем и основывается дифференциальная диагностика между ними.

Главными отличительными признаками костной деструкции опухолевого генеза являются беспорядочность и широкая распространенность (рис. 4). Рисунок 4. Лангергансоклеточный гистиоцитоз. Аксиальная проекция правой височной кости. Распространенные беспорядочные деструктивные изменения остеолитического характера (1) в пирамиде и сосцевидном отростке. Мягкотканное образование (2) выполняет барабанную полость, обтурирует наружный слуховой проход. Участки костной деструкции могут быть выявлены на КТ в сосцевидном отростке, наружном слуховом проходе, в стенках барабанной полости и антрума, в капсуле лабиринта, в пирамиде височной кости и за ее пределами в костях основания и свода черепа [2, 4, 5]. Чем раньше обследуется ребенок с опухолью среднего уха, тем менее распространена деструкция в височной кости. Самые ранние стадии опухолевого процесса характеризуются ее отсутствием, что крайне затрудняет установление диагноза.
Другой отличительной особенностью деструкции при опухолях является литический характер, проявляющийся наличием в височной кости дефектов различной величины, значительным снижением плотности костной ткани в сочетании с неровностью и нечеткостью ее краев без явлений склероза (см. рис. 4).
Сохранность слуховых косточек на фоне деструктивных изменений — третья отличительная особенность костной деструкции при злокачественных опухолях [4, 5] (см. рис. 1).
Дифференциальный диагноз злокачественной опухоли височной кости по данным КТ проводится с холестеатомой, невриномой лицевого нерва, гломусной опухолью.

На практике у детей часто встречается вторичная холестеатома, которая развивается на фоне хронического гнойного среднего отита. Наибольшие трудности в плане дифференциальной диагностики злокачественной опухоли представляет агрессивная холестеатома у детей раннего возраста (2—5 лет). Главными отличительными ее КТ-признаками являются разрушение слуховых косточек, предсказуемый и смешанный характер деструкции, характеризующийся наличием в височной кости как участков лизиса, так и участков разрушения кости с четкими склерозированными краями [8] (рис. 5). Рисунок 5. Холестеатома аттико-антральной области. Аксиальная проекция левой височной кости. В аттико-антральной области определяется деструктивная полость (1), выполненная мягкотканным субстратом. Костные стенки полости неровные, но четкие склерозированные, слуховые косточки разрушены и не определяются.

Невринома лицевого нерва в отличие от злокачественной опухоли характеризуется на КТ наличием в височной кости мягкотканного образования, имеющего достаточно ровные четкие контуры. Образование располагается по ходу одной из частей канала лицевого нерва и вызывает разрушение его костных стенок [5, 6, 9]. Невринома мастоидальной части лицевого нерва вследствие близкого расположения к наружному слуховому проходу часто распространяется в его просвет в виде округлого образования, вызывающего разрушение задней стенки (рис. 6). Рисунок 6. Невринома лицевого нерва. Аксиальная проекция левой височной кости. По ходу мастоидальной части канала лицевого нерва определяется объемное образование (1), распространяющееся в наружный слуховой проход (2). Стенки мастоидальной части канала лицевого нерва и задняя стенка наружного слухового прохода разрушены (стрелка). При клиническом осмотре в наружном слуховом проходе определяется образование плотноэластической консистенции на широком основании.
КТ-симптоматика параганглиомы или гломусной опухоли височной кости, редко встречающейся у детей, включает нарушение пневматизации полостей среднего уха в сочетании с костной деструкцией (рис. 7, а). Рисунок 7. Гломусная опухоль. а — аксиальная проекция правой височной кости. В пирамиде височной кости определяется объемное образование, вызывающее разрушение стенок ямки луковицы яремной вены (1) и канала внутренней сонной артерии (2). Поскольку параганглиома исходит из яремного и, реже, каротидного гломуса, ее отличительным КТ-признаком является деструкция стенок ямки луковицы яремной вены и канала сонной артерии [5—7]. В отличие от злокачественных опухолей, параганглиома активно накапливает контрастный агент при внутривенном введении в артериальную фазу (рис. 7, б). Рисунок 7. Гломусная опухоль. б — коронарная проекция левой височной кости, внутривенное болюсное контрастирование, артериальная фаза. В барабанной полости определяется опухоль (1), активно накапливающая контрастный агент. Практически одинаковая интенсивность накопления контрастного вещества в ткани опухоли и во внутренней сонной артерии (2).

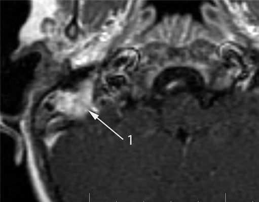
Недостатком КТ в диагностике опухолей среднего уха является низкая контрастность в изображении мягких тканей. В связи с этим существенную роль в диагностике опухолей среднего уха играет МРТ, которую используют для детальной оценки мягкотканных изменений. Эта методика позволяет выявить гетерогенный характер злокачественной опухоли, а также диагностировать распространение опухоли за пределы височной кости как экстра-, так и интракраниально. МР-характеристики злокачественных опухолей не являются специфичными: в Т1-изображении они имеют промежуточный сигнал, в Т2 — высокоинтенсивный сигнал, характерно значительное усиление сигнала после внутривенного введения контрастного агента [6, 7] (рис. 8). Рисунок 8. Лангергансоклеточный гистиоцитоз. МРТ в режиме Т1 после внутривенного контрастирования, коронарная проекция. В сосцевидном отростке определяется опухоль, активно накапливающая контрастный агент (1).
Сопоставление результатов КТ и МРТ позволяет установить наличие опухолевого процесса в височной кости. Однако окончательный диагноз устанавливается на основании результатов гистологического исследования материала, полученного при биопсии.
1. С целью своевременного выявления злокачественных опухолей среднего уха в алгоритм обследования детей с затянувшимся, рецидивирующим и хроническим средним отитом, особенно осложненным полипом наружного слухового прохода, вестибулярными нарушениями или неврологической симптоматикой, целесообразно включать КТ височной кости.
2. КТ-семиотика злокачественных новообразований височной кости включает: а) нарушение пневматизации полостей среднего уха, часто в сочетании с полипозным образованием наружного слухового прохода, б) беспорядочную и часто распространенную деструкцию костных структур литического характера.
3. Для детальной оценки мягкотканных изменений в височной кости и выявления интракраниального распространения опухоли методом выбора является МРТ.
Доброкачественная опухоль в ухе
В ухе под воздействием внешних и внутренних причин возникают доброкачественные и злокачественные опухоли. Их в Юсуповской больнице диагностируют с помощью современной аппаратуры ведущих мировых производителей. Отоларингологи проводят консервативное лечение с помощью лекарственных препаратов, которые обладают высокой эффективностью и оказывают минимальное побочное действие.
Кандидаты и доктора медицинских наук, врачи высшей категории принимают решение о необходимости и выборе метода оперативного вмешательства на заседании Экспертного Совета. Хирурги используют новейший инструментарий, проводят операции под контролем микроскопа и компьютерной техники. Медицинский персонал внимательно относится к пожеланиям пациентов.
Полип в ухе
К доброкачественным полипам уха относят полипы. Это новообразования, которые возникают в результате разрастания грануляционной ткани. Полип может располагаться в наружном слуховом проходе или среднем ухе. Новообразования, локализованные в ушах, способны распространяться и на другие отделы черепа.
Чаще всего полип является осложнением хронического воспалительного процесса в ухе. В месте хронического воспаления слизистой оболочки происходит постепенное разрастание тканей, замещение нормальной ткани на соединительную.» в наружный слуховой проход сквозь перфорационное отверстие барабанной перепонки.
Полип в ухе проявляется следующими симптомами:
- Гноетечением, иногда с примесью крови (остановка истечения гноя может обусловливаться закупоркой полипом слухового прохода);
- Зудом, шумом и болью в ухе;
- Ощущением сдавленности, присутствия инородного тела в ушной полости;
- Снижением или потерей слуха;
- Головными болями.
При отсутствии адекватного лечения полип, вызванный инфекцией в ухе, сам часто становится причиной хронического отита, поддерживает воспалительный процесс и препятствует проникновению лекарственных веществ к месту инфицирования. Разрастание полипа приводит к закупорке слухового прохода и глухоте. При определённых условиях возникает риск его перерождения в злокачественную опухоль.
При полипах незначительных размеров в ряде случаев отоларингологи проводят консервативную лечению кремами, содержащими глюкокортикоиды, антибактериальными каплями. При грибковой природе заболевания применяют противогрибковые препараты. Основным лечения полипа в ухе является оперативное вмешательство.
Полип отсекают амбулаторно специальной петлёй или посредством иного инструмента: кюретки, ушного конхотома. Радикальное оперативное вмешательство выполняется в стационаре. Операцию выполняют в случае локализации в полукружном канале свища. Альтернативным вариантом лечения является удаление полипов лазером.

Гломусная опухоль среднего уха
Тимпанальная параганглиома (гломусная опухоль среднего уха) развивается из гломусных телец, которые расположены на медиальной стенке или крыше барабанной полости, югулярная - на луковице яремной вены. Параганглиома относится к доброкачественным новообразованиям, но зрелые формы опухоли обладают инфильтрирующим и местнодеструктирующим ростом.
В связи с невозможностью тотального удаления, гломусная опухоль среднего уха может патологически распространяться на жизненно важные структуры организма (ствол мозга, внутреннюю сонную артерию).
Пациенты жалуются на «пульсирующий» шум в ухе. При объективном осмотре за барабанной перепонкой врач видит пульсирующую массу красного цвета. По мере роста новообразования возникают следующие симптомы:
- Нарушение слуха;
- Асимметрия лица;
- Дисфония (нарушение речи);
- Дисфагия (расстройство глотания).
При распространенном характере гломусной опухоли среднего уха обязательно проводят ангиографию. Исследование необходимо для того чтобы подтвердить сосудистый характер новообразования, определить его размеры, локализацию и источники кровоснабжения.
Это играет роль в возможности проведения эмболизации - малоинвазивной процедуры, которая является альтернативой оперативному вмешательству. Процедура направлена на предотвращение кровоснабжения повреждённого участка, что помогает уменьшить размеры новообразования и достичь хорошего эффекта при дальнейшем хирургическом удалении выявленной опухоли.
Лечение заключается в удалении гломусной опухоли среднего уха хирургическим путём. Тотальное хирургическое вмешательство выполняют при наличии гломусной опухоли, которая не распространяется за пределы среднего уха. При субтотальном (неполном) удалении новообразования, а также в зависимости от возраста пациента применяют лучевую терапию или стереотаксическую радиотерапию (гамма нож).
Доброкачественные новообразования уха
К доброкачественным опухолям среднего уха относится гемангиома и различные неврогенные новообразования. Гемангиомы среднего уха проявляются следующими симптомами:
- Понижением слуха;
- Заложенностью уха;
- Ощущением шума.
Нередко первым симптомом заболевания является медленно наступающий паралич мимической мускулатуры на стороне расположения гемангиомы. По поводу гемангиомы среднего уха отоларингологи обычно производят полостную операцию или широко удаляют сосцевидный отросток.
Хемодектома среднего уха развивается из гломусных телец, которые в норме располагаются на дне барабанной полости, на куполе луковицы внутренней яремной вены и в височной кости. Они по строению отличаются от гломусных телец, которые располагаются в других областях. В зависимости от гистологического строения и соотношения клеточных скоплений существует 3 вида гломусных опухолей: аденоподобная, альвеолярная и ангиомоподобная. По клиническому течению выделяют ограниченную и распространённую формы хемодектомы.
Диагностика хемодектомы проводится с помощью рентгенографии яремной ямки, пирамиды височной кости, аттико-антральной области, сосцевидного отростка. Рентгенологическое исследование включает рентгенографию височной кости в трёх основных проекциях и томографию в прямой и боковой проекциях.
Лечение хемодектом хирургическое. Небольшие новообразования, которые не разрушают барабанную перепонку, удаляют или подвергают воздействию сверхнизких температур. Опухоли, распространившиеся в наружный слуховой проход, сосцевидный отросток, антрум, также подлежат хирургическому лечению. Отоларингологи производят различные по объёму операции - от тимпанотомии до расширенных радикальных оперативных вмешательств на ухе. Иногда используют криовоздействие. При опухолях, которые разрушают пирамиду и распространяются в полость черепа, проводят дистанционное гамма-облучение, вызывающее часто остановку роста или уменьшение хемодектомы.
Остеома в ухе
Остеома в ухе (экзостоз, остеофит) развивается в основном из компактного слоя задней стенки костного отдела наружного слухового прохода. Гораздо реже новообразования встречаются на нижней и верхней стенках этого отдела. Эндофитные остеомы проникают в толщу сосцевидного отростка. Остеома - доброкачественная опухоль, которая разрастается довольно медленно.
Остеома имеет вид округлого образования, которое покрыто кожным слоем, очень плотное при пальпации зондом Воячека. Лечится хирургическим путём. Операцию выполняют после того, как новообразование разрастётся до средних размеров. В этом случае удалять опухоль технически максимально удобно. При маленьком размере новообразования существует риск не удалить полностью патологическую ткань. Если остеома большого размера, можно во время операции захватить значительную часть здоровой косной ткани. Это спровоцирует большой дефект костной ткани.
Липома и атерома за ухом
Участок кожи вокруг ушной раковины содержит огромное количество сальных желез. По этой причине за ухом часто образуются липомы и атеромы. Липомы, которые формируются за ухом, растут медленно и зачастую не являются злокачественными. Они представляют собой мягкоэластичное образование с ровной поверхностью, окружённое капсулой. Липома на фото имеет вид жировика.
Атерома - полостное образование, заполненное кожным жиром. Образуются вследствие закупорки сальных желез. Атеромы возникают по следующим причинам:
- Нарушения жирового или углеводного обмена;
- Генетической предрасположенности к повышенной жирности кожи;
- Нарушений гормонального фона и заболеваний эндокринной системы;
- Гипергидроза - недуга, связанного с повышенной потливостью;
- Несоблюдения правил личной гигиены.
Атерома - округлое, выступающее над поверхностью кожи образование, которое может достигать до 4,5 см в диаметре. При его инфицировании новообразования или возникновении воспалительных реакций возникают следующие симптомы:
- Болевые ощущения за ухом;
- Покраснение кожи;
- Жжение и зуд;
- Флуктуация - симптом, который свидетельствует о наличии жидкости в полостном образовании.
При надавливании на стенки атеромы или их повреждении содержащаяся внутри вязкая масса выходит на поверхность кожи. Она имеет белый цвет и неприятный запах. При нагноении атеромы содержимое имеет зелено-жёлтый оттенок. Липомы и атеромы за ухом удаляют оперативным путём. Применяют современные методы лечения -лазерное или радиоволновое удаление.
Аденома слюнной железы - это образование доброкачественное, которое появляется в железистых эпителиях слюнных желез. Слюнные железы бывают околоушные, подчелюстные, подъязычные. Наиболее распространено возникновение опухолей на околоушной железе. Если компоненты такой опухоли доброкачественные, то это аденома околоушной слюнной железы.
Аденома за ухом
В околоушной области часто развивается доброкачественная опухоль - аденома околоушной железы. Новообразование по структуре напоминает саму слюнную железу. Причиной развития доброкачественных опухолей слюнных желез является образование изменённого железистого эпителия.
Новообразование заключено в капсулу, имеет мягкоэластичную консистенцию, не спаяно с кожей и окружающими тканями. Кожа над аденомой за ухом не изменена. Лечится оперативным путём. Для того чтобы пройти обследование и лечение доброкачественных опухолей уха и околоушной области, звоните по телефону в контакт центр Юсуповской больницы.
Рак среднего уха
Рак среднего уха составляет до 7 % всех опухолей ушей. Он встречается с одинаковой частотой у мужчин и женщин в возрасте 40-70 лет.
Что провоцирует / Причины Рака среднего уха:
Предрасполагающие факторы к развитию рака среднего уха - термические ожоги, хроническая гнойная инфекция, ионизирующее облучение, инсоляция.
Патогенез (что происходит?) во время Рака среднего уха:
Обычно опухоль обладает значительной агрессивностью с тенденцией к распространению на соседнюю костную ткань и ее разрушению. Паралич лицевого нерва, свидетельствующий о разрушении костного канала лицевого нерва, является уже поздним симптомом рака среднего уха. Дальнейшее распространение опухоли идет в направлении твердой мозговой оболочки и внутренней сонной артерии с развитием карциноматоза мозговых оболочек и аррозивного кровотечения. Возможно и поражение перепончатого лабиринта в виде карциноматоза его лестниц (при инвазии рака во внутреннее ухо через окна преддверия и улитки). В редких случаях происходит наружное изъязвление опухоли. Метастазы в регионарные лимфатические узлы наблюдаются в поздней стадии заболевания у 20-40 % больных.
Раковые опухоли среднего уха могут быть как первичными, так и появляться в результате прорастания из соседних органов и тканей. Некоторые первичные симптомы заболевания и его кожные проявления могут существовать в течение многих лет.
Неблагоприятный прогноз определяет местное поведение опухоли, а не ее метастазирование. По своему гистологическому строению это, как правило, высокодифференцированный плоскоклеточный рак с ороговением, базалиома (8%), меланома и аденокарцинома (по 2%), рабдомиосаркома и веретеноклеточная саркома (по 1%).
Симптомы Рака среднего уха:
Рак уха возникает в ушной раковине (80%), наружном слуховом проходе (15%) и среднем ухе (5%).
Симптоматика злокачественных опухолей среднего уха определяется главным образом нарушением слуха виде ощущений заложенности и теми неврологическими симптомами, которые возникают в результате распространения новообразования на нервы, сосуды и ткани головного мозга. Рост опухоли в височной кости довольно рано приводит к ее секвестрации, а присоединение вторичной инфекции - к появлению зловонных гнойных выделений. Одновременно возникает боль в ухе и головная боль. При отоскопии в поздней стадии процесса определяется легко кровоточащая при дотрагивании зондом ткань опухоли, полипозные массы и большое количество гноя.
Клиническое течение рака среднего уха в начальных стадиях не отличается от течения хронического гнойного отита. По мере роста опухоли и инфильтрации костных стенок барабанной полости появляются выраженные иррадиирующие боли, отделяемое из уха становится кровянистым, усиливаются рост и кровоточивость грануляций, выступающих в слуховой проход, развивается паралич мимической мускулатуры. Могут наблюдаться головокружения. Метастазирование в регионарные лимфатические узлы (зачелюстные, впередиушные, шейные) наблюдается при распространенных процессах.
Течение рака среднего уха злокачественное. Метастазы редки. К ранним симптомам относятся быстро рецидивирующие и кровоточивые грануляции, похожие на те, которые сопутствуют хроническому гнойному мезоэпитимпаниту. При дальнейшем росте опухоли появляется упорная головная боль, паралич лицевого нерва, неврит тройничного нерва, глухота. Распад опухоли сопровождается ихорозными зловонными сукровичными выделениями. Смерть наступает от внутричерепных осложнений и кахексии.
Диагностика Рака среднего уха:
Диагноз рака среднего уха ставится на основании отоскопической картины (большое количество легко кровоточащих полиповидных образований), данных гистологического анализа удаленных кусочков ткани, результатов рентгенологического исследования (наличия обширной деструкции костной ткани).
Лечение Рака среднего уха:
Лечение рака среднего уха в ранней стадии комбинированное (хирургическое, лучевое), а в поздней - лучевое, химиотерапия. Терапия сарком предусматривает использование только лучевого метода.
Вначале проводится предоперационная лучевая терапия в дозе 50 Гр, а через 2-3 нед после ее завершения выполняется радикальная операция на ухе (расширенная мастоидэктомия) или субтотальная резекция височной кости, которая является наиболее радикальным хирургическим вмешательством. Шейная лимфаденэктомия осуществляется при наличии клинически определяемых метастазов одномоментно с удалением первичной опухоли.
Прогноз в ранней стадии заболевания, когда опухоль не вышла за пределы барабанной полости, относительно благоприятный. В позднем периоде, при вовлечении в процесс соседних органов, неблагоприятный.
Профилактика Рака среднего уха:
Лечебная профилактика состоит в ежегодных осмотрах всего населения с целью выявления опухолей верхних дыхательных путей и уха в ранних стадиях и предопухолевых заболеваний. К предраку относятся: рубцы на почве различного вида травм, хроническая экзема наружного слухового прохода, папиллома, гиперкератоз и лейкоплакия гортани, хронический ларингит (особенно гиперпластический), полипы носа и уха. Всех больных необходимо взять на диспансерный учет и подвергнуть соответствующему лечению. Во всех случаях затянувшейся охриплости, ощущения неловкости в горле, длительного затруднения носового дыхания, понижения слуха показаны эндоскопические исследования. Следует избегать длительного применения концентрированных растворов нитрата серебра в качестве лечебного средства, например при экземе наружного слухового прохода. Необходимо проводить борьбу с вредными привычками, как-то: злоупотребление курением и алкоголем, прием слишком горячей пищи, острых приправ.
Санитарная профилактика заключается в оздоровлении труда и быта, санитарном просвещении. Мероприятия направлены в основном на предохранение людей от воздействия продуктов, содержащих канцерогенные вещества: пыль от никелевых руд, продуктов переработки нефти, особенно бензпирен, который присутствует в дыме промышленных предприятий, выхлопных газов двигателей внутреннего сгорания, коптильном дыме, пыли от каменноугольных смол.
К каким докторам следует обращаться если у Вас Рак среднего уха:
Вас что-то беспокоит? Вы хотите узнать более детальную информацию о Рака среднего уха, ее причинах, симптомах, методах лечения и профилактики, ходе течения болезни и соблюдении диеты после нее? Или же Вам необходим осмотр? Вы можете записаться на прием к доктору .
Читайте также:
