Ахалазия пищевода и кардии (кардиоспазм): причины, симптомы и лечение
Добавил пользователь Евгений Кузнецов Обновлено: 01.01.2026
Ахалазия и кардиоспазм являются нервно-мышечными заболеваниями пищевода, характеризующимися функциональными нарушениями проходимости пищеводно-желудочного перехода, их доля составляет до 22% от всех заболеваний пищевода.
Несмотря на более чем трехсотлетнюю историю изучения ахалазии пищевода и кардиоспазма, единого мнения и унифицированной терминологии до сих пор не существует.
Было предложено более 20 различных названий этого заболевания, что в полной мере свидетельствует о недостаточной изученности причин этих болезней и отсутствии общепринятой единой классификации.
Развивающийся в исходе ахалазии и кардиоспазма гигантский пищевод (мегаэзофагус), становится показанием к экстирпации пищевода с одномоментной эзофагопластикой, на более ранних стадиях заболевания подходы к лечению могут быть разными.
Причины ахалазии пищевода и кардиоспазма до сих пор остаются не изученным, в тоже время известно, что в основе заболеваний лежат отсутствие или гибель интрамуральных нейронов в области тела пищевода и нижнего пищеводного сфинктера. В первую очередь страдают тормозные нейроны, содержащие ВИП и NO-синтазу.
Функция нижнего пищеводного сфинктера регулируется парасимпатической нервной системой, а раскрытие сфинктера в ответ на глоток возникает рефлекторно. Длинная рефлекторная дуга осуществляется через преганглионарные нейроны дорсальных двигательных ядер ствола мозга после раздражения рецепторной зоны буккофарингеальной области. Вторичные перистальтические волны возникают благодаря местному рефлексу, координация которого осуществляется на уровне сплетения Ауэрбаха.
При кардиоспазме дегенеративно-дистрофические изменения происходят в преганглионарных нейронах дорсальных ядер блуждающих нервов и в меньшей степени - постганглионарных нейронах ауэрбахова сплетения пищевода. В связи с нарушением центральной иннервации при кардиоспазме гладкая мускулатура нижнего пищеводного сфинктера становится более, чем обычно, чувствительной к своему физиологическому регулятору - эндогенному гастрину. При данном варианте течения заболевания наблюдается истинный спазм кардии. Градиент пищеводно-желудочного давления свыше 20 мм рт. ст. характерна усиленная непропульсивная моторика пищевода с выраженными сегментарными сокращениями пищевода, дисфагия при этом проявляется неожиданно, сопровождается спастической загрудинной болью и регургитацией во время или вскоре после еды. При диффузном спазме сокращения пищевода не перистальтические, низкоамплитудные, удлиненные, но часто прерываются. Внутрипросветное давление может достигать 400 мм рт. ст., что вызывает боль в грудной клетке.
При ахалазии кардии поражаются преимущественно постганглионарные двигательные нейроны ауэрбахова сплетения, в результате чего выпадает рефлекс раскрытия кардии на глоток, градиент давления, как правило, менее 20 мм рт. ст., отмечается ослабление моторики пищевода, дисфагия развивается постепенно, а регургитация возникает через несколько часов после еды в горизонтальном положении или при наклоне туловища вперед.
Ахалазия пищевода и кардии (кардиоспазм) - симптомы и лечение
Что такое ахалазия пищевода и кардии (кардиоспазм)? Причины возникновения, диагностику и методы лечения разберем в статье доктора Пузанова Сергея Юрьевича, хирурга со стажем в 32 года.
Над статьей доктора Пузанова Сергея Юрьевича работали литературный редактор Елизавета Цыганок , научный редактор Елена Максимова и шеф-редактор Маргарита Тихонова

Определение болезни. Причины заболевания
Ахалазия кардии (Esophageal achalasia) — э то болезнь, при которой плохо сокращается средний отдел пищевода, а его нижний сфинктер (кардия) не может рефлекторно расслабиться при глотании и открывается механически, под давлением скопившейся пищи [1] [2] . По-другому это заболевание называют ахалазией пищевода, спазмом пищевода или кардиоспазмом.

При нормальном состоянии во время глотания кардия (отверстие между пищеводом и желудком) рефлекторно открывается. Однако при ахалазии небольшой участок пищевода лишён нервных клеток, из-за чего пищевод в преддверии желудка стойко и постепенно сужается, а кардия не открывается. В этом случае пища и жидкость скапливаются в пищеводе, после чего клапан не выдерживает давления и еда попадает в желудок.
Распространённость ахалазии пищевода и кардии
Ахалазия кардии встречается редко. Распространённость болезни составляет 10 случаев на 100 тыс. населения, заболеваемость колеблется от 0,1 до 1 случая на 100 тыс. населения [3] . Однако в последние 16 лет в США увеличилось количество госпитализированных пациентов с ахалазией, не достигших 65 лет. Также выросло число людей, у которых ахалазия возникла после того, как они получили травму спинного мозга (обычно травму шейных и грудных отделов позвоночника).
Ахалазия кардии встречается одинаково часто среди мужчин и женщин. Возраст пациентов колеблется от 20 до 50 лет, среди детей, не достигших 16 лет, частота заболеваемости менее 2-5 % [3] .
Причины развития ахалазии пищевода и кардии
Считается , что ахалазия возникает в результате поражения мышечно - кишечного сплетения и волокон блуждающего нерва нижнего пищеводного сфинктера. Также в пищеводном межмышечном сплетении нет тормозных нейронов, содержащих вазоактивный интестинальный пептид (ВИП), который улучшает кровоснабжение нервных тканей. В тяжёлых случаях у пациента нет нейронов, передающих нервные импульсы с помощью ацетилхолина.

Причины развития болезни до конца не ясны, однако существует несколько теорий , включая аутоиммунный феномен , вирусную инфекцию и генетическую предрасположенность .
Большинство случаев , наблюдаемых в США , представляют собой самостоятельную болезнь, которая возникла без видимой причины. О днако вторичная ахалазия может развиться:
на фоне болезни Шагаса, вызванной одноклеточным паразитом Trypanosoma cruzi;
- проникновения в пищевод клеток карциномы желудка;
- эозинофильного гастроэнтерита; ;
- вирусных инфекций;
- нейродегенеративных болезней (например, болезни Паркинсона, болезни Гентингтона) [13] .
При обнаружении схожих симптомов проконсультируйтесь у врача. Не занимайтесь самолечением - это опасно для вашего здоровья!
Симптомы ахалазии пищевода и кардии
При ахалазии пищевода и кардии выделяют три основных симптома:
- дисфагию — нарушение глотания;
- регургитацию — движение жидкостей и газов в обратную сторону, так называемый заброс;
- боль за грудиной.
К другим немаловажным симптомам ахалазии кардии относят снижение веса, которое встречается примерно у 60 % пациентов, и икоту (8 %) [1] .
Дисфагия
Дисфагия возникает у пациентов с ахалазией в 90-98 % случаев в зависимости от твёрдости пищи [1] . Выделяют две формы дисфагии: острую и прогрессирующую.
Острая дисфагия возникает внезапно и, как правило, у молодых пациентов. Её появление связывают с психотравмирующей ситуацией, например депрессией, тревожным расстройством, последствием инсультов, бредом или шизофренией. В таком случае пациенты могут точно обозначить даты возникновения болезни и связать с событием, которое произошло в этот период. Иногда при острой дисфагии твёрдая пища проходит хорошо, а жидкая задерживается.
На развитие дисфагии также влияет быстрый приём пищи (перекус на ходу), непривычная обстановка во время еды , плохо пережёванная масса и употребление холодных продуктов .
Постепенно прогрессирующая дисфагия о бычно встречается у людей среднего и пожилого возраста, т. е. после 40 лет , и развивается в течение долгого времени. Пациент не может точно сказать дату начала болезни, и поэтому у него возникает ощущение, что он болеет всю жизнь [1] .
Регургитация
Регургитация встречается в 68-84 % случаев [1] . Различают активную и пассивную регургитацию.
Активная регургитация чаще возникает на ранних стадиях болезни, когда стенк и пищевода над сфинктером незначительно расширены. Пища забрасывается обратно в пищевод, после чего пациент срыгивает еду.
При пассивной регургитации пищевод расширяется сильнее. Часто пища забрасывается, когда человек лежит или наклоняется вперёд. В таком случае есть опасность, что еда попадёт в дыхательные пути [1] .
Загрудинные боли
Загрудинные боли возникают у 59 % пациентов и распространены среди молодых людей до 35 лет [1] . Если боль вызвана высо ким давлением в нижнем пищеводном сфинктере, она проявляется приступами. При плохом сокращении мышц пищевода пациенты жалуются на длительные распирающие загрудинные боли. Боль также может вызывать спазм мышц пищевода [1] .
Патогенез ахалазии пищевода и кардии
Пищевод не только транспортирует пищевой комок изо рта в желудок, он также предотвращает его обратный заброс. Это происходит благодаря скоординированным сокращениям глотки и пищевода в сочетании с расслаблением верхнего и нижнего пищеводных сфинктеров.
Парасимпатические пути возбуждения и торможения связаны с гладкой мускулатуой нижнего пищеводного сфинктера. Давление и расслабление сфинктера координируют нейромедиаторы. Такие медиаторы делятся на два типа:
- возбуждающие — субстанция Р и ацетилхолин;
- тормозные — ВИП и оксид азота.
У людей с ахалазией отсутствуют тормозные клетки, но возбуждающие нейроны остаются незатронутыми, что приводит к дисбалансу передачи тормозных и возбуждающих нервных импульсов. В результате сфинктер пищевода находится в постоянном напряжении [12] .
Постепенная нервная дегенерация напрямую ведёт к чрезмерным сокращениям нижнего пищеводного сфинктера, которые никак не регулируются. В итоге из-за постоянного спазма развивается непроходимость, сам пищевод расширяется и перестаёт сокращаться, а симптомы болезни ухудшаются.
Хотя причина возникновения этих изменений до сих пор остаётся неясной, важное место занимает генетическая предрасположенность. Мутация гена AAAS12q13 у детей ведёт к развитию тройного синдрома ААА, который включают в себя ахалазию, болезнь Аддисона и алакримию, при которой у больного снижается или исчезает выработка слёз. Генетический фактор развития болезни среди взрослых связан с геном IL23R. Такой вывод сделали на основе исследования больных мужчин до 40 лет в Испании [1] .
Классификация и стадии развития ахалазии пищевода и кардии
Для описания клинической картины течения болезни часто используют классификацию Б. В. Петровского. В ней выделяют 4 последовательные стадии:
- I стадия — кардия раскрывается и пищевод не расширен, но появляется нарушение координации и усиление его моторики. Возникают первые симптомы: дисфагия и регургитация.
- II стадия — кардия не открывается, пищевод расширен до 4 см. К первым симптомам присоединяется боль в грудной клетке.
- III стадия — пищевод расширяется до 6-8 см, сокращения слабые или отсутствуют, жидкость и пища плохо проходят в желудок. Пациент начинает терять вес.
- IV стадия — размер пищевода становится больше 8 см, из-за долгой задержки пищи и жидкости он удлиняется и приобретает S-образную форму. Стенки пищевода перестают сокращаться [2] . При прогрессировании болезни к симптомам присоединяются проявления застойного эзофагита : тошнота, отрыжка тухлым, повышенное слюноотделение и неприятный запах изо рта [1] .
Перечисленные симптомы не всегда напрямую связаны со стадией болезни. Определить её можно только с помощью ЭГДС.
Осложнения ахалазии пищевода и кардии
Среди основных осложнений выделяют:
- Перфорацию пищевода — повреждение стенок пищевода. Сама по себе болезнь встречается редко, но при ахалазии кардии риск развития возрастает. Это связано со скоплением пищи в пищеводе, которая постоянно воздействует на его стенки. Проявлениями этого осложнения являются многократная рвота, боль за грудиной, иногда повышается потоотделение, появляются одышка и симптомы общей интоксикации. — хроническая болезнь, при которой содержимое желудка и двеннадцатиперстной кишки забрасывается в пищевод. Пациенты жалуются на изжогу, отрыжку с кислым привкусом и боль за грудиной, которая распространяется на область между лопатками, нижнюю челюсть, шею и левую половину груди. Сразу после приёма пищи появляется жжение в груди, оно также возникает, когда пациент наклоняется или ложится.

- Вздутие живота — субъективное ощущение, которое связанно со скоплением газа или чувством давления и растяжения. Для него характерно увеличение и урчание живота, болезненные спазмы и схваткообразные приступы, внезапные отрыжки, тошнота, неконтролируемое выхождение газов с неприятным запахом, тяжесть, частое расстройство стула.
- Застойный эзофагит — воспаление слизистой оболочки пищевода. При застойном эзофагите пациент чувствует дискомфорт, жжение и боль за грудиной, у пациента появляется ощущение комка, застрявшего в горле, могут возникнуть изжога, тошнота, рвота и отрыжка с чувством горечи или кислоты. Долгое течение и отсутствие лечения может привести к формированию раковых клеток [4] .
Диагностика ахалазии пищевода и кардии
Перед назначением различных исследований врач уточняет особенности болезни: когда и в связи с чем она появилась, какие возникли симптомы, какие препараты использовались, насколько они были эффективны, есть ли сопутствующие патологии и т. д.
Лабораторная диагностика
Далее врач назначает:
- общий анализ крови — чтобы определить уровень гемоглобина, эритроцитов и лейкоцитов;
- коагулограмму — исследование, которое оценивает состояния системы свёртывания крови, анализы крови необходимы для исключения кровотечения;
- суточный анализ мочи — чтобы определить уровень сывороточного креатинина и альбумина;
- общий анализ мочи — при появлении кетонов врач может сделать вывод о длительности голодания, так как пациент не всегда может дать объективную оценку.
Инструментальная диагностика
При подозрении на ахалазию пищевода и кардии пациент проходит:
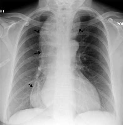
- Рентгенографию с контрастом — в качестве контраста используют бариевую взвесь. В ходе процедуры врач может увидеть расширение и S-образное искривление пищевода, газовый пузырь и момент открытия нижнего пищеводного сфинктера, он также оценивает скорость продвижения контрастной массы [1] .
- Эзофагогастродуоденоскопию (ЭГДС) — помогает исключить псевдоахалазии. С помощью этой процедуры можно точно определить степень расширения пищевода и увидеть, есть ли в нём пища.
- Манометрию — позволяет оценить работу пищевода, где главными критериями являются сокращение стенок и давление внутри пищевода. Результаты исследования анализируют с помощью Чикагской классификации нарушений моторики пищевода (2008) [5] . Чтобы получить достоверный результат, перед исследованием нужно сделать 10 глотков воды [14] .
Лечение ахалазии пищевода и кардии
Главная цель лечения — облегчить симптомы и уменьшить сопротивление оттоку пищи, которая скапливается в пищеводе из-за постоянно возбуждённого нижнего пищеводного сфинктера.
Консервативное лечение
Чтобы снизить давление в нижнем пищеводном сфинктере, пациенту с ахалазией пищевода и кардии назначают нитраты, блокаторы кальциевых каналов и ингибиторы фосфодиэстеразы-5. Блокаторы кальциевых каналов задерживают поступление кальция в клетки и блокируют сокращение гладкой мускулатуры. Противопоказаниями к применению являются гипотензия, отёк стопы, головная боль, быстрое привыкание к лекарству и неполное улучшение симптомов. Нитраты увеличивают концентрацию оксида азота в гладких мышцах, что приводит к их расслаблению.
Медикаментозное лечение характеризуется слабой эффективностью и обеспечивает лишь кратковременное облегчение симптомов. Как правило, его используют пациенты, которые ожидают или отказались от более радикальной терапии, например пневматического расширения (дилатации) сфинктера или хирургического вмешательства [4] [5] . Если пациент отказался от этих способов лечения, лекарства необходимо принимать постоянно. При этом они будут частично устранять симптомы, но полное излечение не наступит.
Эндоскопическую инъекцию ботулинического токсина используют при лечении ахалазии кардии или её рецидива после операции (миотомии). Ботулинический токсин — это мощный биологический нейротоксин, который блокирует высвобождение ацетилхолина на уровне нижнего пищеводного сфинктера. Такое лечение полезно для пациентов, которые не могут сделать операцию или дилатацию, или они используют этот метод в качестве перехода к более радикальной терапии. Однако эффективность инъекции со временем снижается:
- в течение месяца эффективность составляет 80 %;
- через 3 месяца — 70 %;
- через 6 месяцев — около 50 %;
- через год — 40 %.
Это приводит к тому, что иногда пациенту требуется повторная инъекция ботулотоксина.
Пневматическая дилатация пищевода с помощью эндоскопии — это наиболее экономически выгодный нехирургический метод лечения ахалазии. При пневматической дилатации давление воздуха постепенно расширяет пищевод и разрывает циркулярные волокна сфинктера. Этот метод помогает 50-93 % пациентов, но у 30 % симптомы появляются снова через 5 лет [7] . В некоторых случаях повторная дилатация обеспечивает длительную ремиссию.

Наиболее распространённые осложнения, связанные с процедурой, незначительны, но иногда возникают серьёзные осложнения, которые также следует лечить, например перфорация пищевода.
Пневматическая дилатация — первый вариант лечения после неэффективной операции. Если пневматическая дилатация также не приносит результата, перед повторной манипуляцией врач ищет причину с помощью инструментальных методов диагностики (рентген и ЭГДС) [9] .
Противопоказаниями для дилатации являются:
- общее тяжёлое состояние пациента (острый инфаркт , инсульт) ;
- пищеводно-респираторные свищи, так как манипуляция может привести к увеличению свищевого хода ;
- полное заращение или сужение просвета органа/анастомоза из-за сдавливания извне (например, злокачественной опухолью или рубцовым процессом на фоне лучевой терапии), при котором гибкий проводник не может пройти через суженый просвет пищевода ;
- портальная гипертензия и варикозное расширение вен пищевода.
Хирургическое лечение
Чтобы снизить давление на нижний сфинктер, врачи рекомендуют пройти лапароскопическую миотомию. В ходе процедуры хирург рассекает круговые мышечные волокна, которые проходят через сфинктер, в результате чего он расслабляется [10] .
Лапароскопическая миотомия по Геллеру (ЛМГ) является одним из вариантов оперативного лечения ахалазии. Её проводят с фундопликацией — антирефлюксной процедурой, при которой дно желудка оборачивают вокруг пищевода. Такую фундопликацию делают только частично, чтобы не вызвать послеоперационную дисфагию.
Уровень клинического успеха ЛМГ высок — от 76 до 100 % через 35 месяцев, при этом уровень смертности составляет 0,1 % [11] . Специфических противопоказаний у операции нет, кроме общих противопоказаний к любой операции. После процедуры пациенты восстанавливаются около 3 суток.

Пероральная эндоскопическая миотомия (ПОЭМ) — альтернатива ЛМГ с минимальным вмешательством внутрь организма. Её используют для лечения ахалазии в ограниченных очагах. С помощью эндоскопа врач рассекает циркулярные волокна нижнего сфинктера и расслабляет его. Однако в этом случае повышается риск развития гастроэзофагеального рефлюкса, поскольку операция не включает в себя антирефлюксную процедуру. Восстановление после операции длится около 2 дней.
Эзофагэктомию — операцию по удалению части пищевода — проводят в крайнем случае [1] [8] .
Прогноз. Профилактика
Сегодня нет такого метода лечения ахалазии кардии, который давал бы 100%-й результат выздоровления [1] . Поэтому важно соблюдать все рекомендации врача, направленные на предупреждение рецидива: следить за весом, отказаться от острой, кислой, сильно солёной, жареной и копчёной пищи, исключить газированные напитки, не есть твёрдую еду перед сном. Принимать пищу нужно в вертикальном положении или под углом в 45°.
Несмотря на эффективность лечения и устранение симптомов, всегда остаётся высокая вероятность рецидива, поэтому пациенту необходимо раз в год проходить осмотр у гастроэнтеролога [12] .
Спазм пищевода
Спазм пищевода - периодически возникающие дискоординированные конвульсивные сокращения мышечного слоя пищевода на фоне сохранной функции и тонуса нижнего эзофагеального сфинктера. Является одной из разновидностей дискинезии пищевода. Клинически проявляется болями за грудиной, нарушением глотания, изжогой и срыгиванием. Диагностика заболевания включает рентгенографию пищевода с контрастированием, эзофагеальную манометрию; для дифференциальной диагностики назначается ЭГДС, внутрипищеводная рН-метрия. Цели лечения - регулировка режима питания, профилактика перепадов внутрибрюшного давления, нормализация тонуса гладкой мускулатуры пищевода.

Общие сведения
Спазм пищевода - эпизодические функциональные расстройства эзофагеальной перистальтики, сопровождающиеся спазмированием стенок пищевода. Данная патология занимает первое место среди всех заболеваний пищевода. Является наиболее частой причиной дисфагии с загрудинными болями. Болеют чаще женщины в возрасте 30-70 лет, с возрастом уровень заболеваемости растет, а половые различия сглаживаются. Диффузный эзофагоспазм выявляется у 3% пациентов, которым проводят эндоскопическое исследование в связи с патологией пищеварительного тракта. Тем не менее, скудость клинической картины часто приводит к тому, что пациенты не обращаются за медицинской помощью. Кроме того, спазм пищевода нередко принимают за гастроэзофагеальную рефлюксную болезнь. Диагностикой и лечением заболевания занимаются врачи-эндоскописты, гастроэнтерологи, хирурги.

Причины
Точные причины возникновения спазма пищевода неизвестны. Первичный спазм пищевода является самостоятельным заболеванием, которое развивается на фоне психических (стрессы) и неврологических (поражение межмышечных нервных волокон пищевода) расстройств. Поражение нейронов может быть обусловлено воздействием токсинов, бактерий и вирусов как на сами нервные волокна в пищеводе, так и на головной мозг (менингоэнцефалит). Чаще всего спазм возникает в самых проксимальных и дистальных отделах пищевода, так как они имеют наиболее богатую иннервацию.
Некоторые исследователи в области гастроэнтерологии предполагают связь спазма пищевода с дефицитом окиси азота, которая нужна для передачи информации в нейросинапсах. Патогенез данного заболевания схож с ахалазией кардии; более того - при прогрессировании двигательных расстройств возможен переход диффузного спазма в ахалазию (эта патология характеризуется повышением тонуса нижнего эзофагеального сфинктера, которое сопровождается нарушением его расслабления). Связано это с тем, что длительно существующие функциональные спазмы, особенно не подвергающиеся коррекции, приводят к формированию органических изменений в тканях (дегенерация миоцитов и нервных узлов, фиброз тканей и др.).
Вторичный спазм пищевода развивается на фоне другой патологии (эзофагит, язва либо рак пищевода) из-за рефлекторных реакций слизистой оболочки, чувствительность которой повышается по вине патологического процесса. Также возможно внезапное развитие спазма пищевода у здорового человека при глотании слишком больших порций пищи, употреблении очень горячей, холодной либо сухой еды, крепких алкогольных напитков, при поспешном питании.
Спазмы пищевода разделяют на легкие, непостоянные, острые либо хронические, локальные (поражаются сфинктеры пищевода) и диффузные (задействуется вся мышечная оболочка).
Симптомы спазма пищевода
Клиническая картина спазма пищевода зависит от локализации и формы патологического процесса. Наиболее типичными признаками любой из форм заболевания являются загрудинные боли и нарушение глотания. Боль пациенты чаще всего связывают с глотанием пищи и слюны, хотя она может возникнуть и спонтанно. Стрессы приводят к усугублению боли. Возможна иррадиация болевых ощущений в лопатки, плечи, нижнюю челюсть, спину. Чаще всего приступ длится не более часа, хотя не исключается и более длительная его продолжительность. Обычно пациенты описывают свои ощущения как чувство давления за грудиной. На фоне приема спазмолитиков боль ослабевает или исчезает.
Дисфагия может развиться на фоне приема как твердой, так и жидкой пищи. Чаще всего она непостоянна и возникает одновременно с болью. Изжога беспокоит каждого пятого пациента, а срыгивание пищи отмечается только на фоне очень сильных спазмов или значительного скопления пищевых масс в пищеводе.
Спазмирование верхнего сужения пищевода (наиболее частая форма патологии) чаще всего возникает у пациентов, склонных к истерии, неврозам, перепадам настроения. Клинически проявляется давящей болью за грудиной, тошнотой, кашлем, покраснением лица, страхом и волнением. Спазм пищевода может возникать остро, либо его проявления нарастают постепенно, перемежаясь периодами ремиссии. Интермиттирующий характер патологии приводит к тому, что пациент становится беспокойным, питается нерегулярно, боится возврата симптомов, а это еще больше усугубляет патологические проявления спазма пищевода.
Хронический спазм в области верхнего сужения чаще всего развивается у пожилых пациентов с дефектами зубного ряда, нарушением жевания, склонных к проглатыванию больших непережеванных кусков пищи; особенно если в анамнезе имеются указания на острый спазм пищевода. В клинической картине преобладают неприятные ощущения за грудиной, затруднения при прохождении твердой пищи, необходимость запивать водой каждый глоток. Постоянная непроходимость пищевода приводит к формированию его компенсаторного расширения над спазмированным участком.
Спазм нижних отделов пищевода и кардии также может быть острым и хроническим. Острый спазм проявляется болями в эпигастрии и за грудиной, ощущением задержки пищевых масс над желудком; запивание пищи водой не приносит облегчения. Отдельно рассматривается несфинктерный спазм пищевода (синдром Баршоня-Тешендорфа), при котором одновременно поражается несколько отделов органа на всем протяжении. Пациенты предъявляют жалобы на эпизодические эпизоды дисфагии (от пары минут до нескольких недель), сопровождающиеся загрудинной болью, срыгиванием слизи. Патология часто возникает на фоне язвенной, желчнокаменной болезни; для нее характерно повышение аппетита.
Диагностика спазма пищевода
Постановка диагноза «спазм пищевода» требует исключения органических и механических причин патологии. К наиболее достоверным методам диагностики относят рентгенографию пищевода, эзофагеальную манометрию и эндоскопическое исследование.
Примерно у половины пациентов рентгенологическое исследование не выявляет признаков патологии. На эзофагоспазм указывают некоординированные спастические сокращения мышц пищевода, из-за чего орган приобретает вид штопора, четок, псевдодивертикулов. Контрастная эзофагография при спазме верхнего сужения пищевода демонстрирует задержку контраста на уровне перстневидного хряща. При хроническом спазме контраст скапливается в области супрастенотического расширения. Для синдрома Баршоня-Тешендорфа характерно выявление кольцевидных спазмированных участков на всем протяжении пищевода. От ахалазии кардии спазм пищевода отличается нормальным прохождением контраста через нижний пищеводный сфинктер.
ЭГДС при спазме пищевода имеет меньшее диагностическое значение, чаще применяется для дифференциального диагноза. Эзофагоскопия при спазме верхнего сужения затруднена, обычно ввести фиброскоп в просвет пищевода удается только после тщательной инфильтративной анестезии слизистой оболочки. При наличии хронического спазма слизистая оболочка гиперемирована, возможно выявление рубцовых стриктур и деформаций. При спазме нижнего отдела пищевода проведение фиброскопа в желудок затруднено из-за скопившихся пищевых масс, слизистая оболочка не изменена.
Результат эзофагеальной манометрии у части больных может не отличаться от нормы. У остальных пациентов могут обнаружиться спастические волнообразные сокращения мышц пищевода с повышением давления в нем более 30 мм.рт.ст., перемежающиеся с нормальной пищеводной перистальтикой. Для дифференциации с ГЭРБ может назначаться внутрипищеводная рН-метрия.
Лечение спазма пищевода
Терапия спазма пищевода включает медикаментозные и немедикаментозные методы. Рекомендуется соблюдение строгого режима питания, употребление большого количества жидкости. Следует исключить из рациона слишком холодные и горячие блюда, алкоголь, грубую клетчатку, газированные напитки. Для предупреждения повышения уровня давления в брюшной полости пациенту нужно избегать переедания, наклонов туловища, подъема тяжестей.
Медикаментозное лечение включает в себя введение спазмолитиков и препаратов, нормализующих эзофагеальную перистальтику. С этой целью назначают нитраты, антихолинергические средства, блокаторы кальциевых каналов. Большинству пациентов рекомендуют принимать седативные препараты для предупреждения спазма пищевода.
Прогноз и профилактика
Спазм пищевода обычно ухудшает качество жизни больного даже при отсутствии тяжелых осложнений. Прогноз зависит от многих факторов: формы, локализации и степени тяжести заболевания, возраста пациента, длительности симптомов до момента обращения за медицинской помощью. Профилактика спазма пищевода вторична, заключается в лечении фоновых заболеваний, ежегодном эндоскопическом обследовании. Для предупреждения рецидивов рекомендуют санаторно-курортное лечение.
Расширение пищевода
Расширение пищевода - цилиндрическое либо веретенообразное увеличение просвета пищевода (диффузное или местное) с нарушением эвакуации пищи в желудок. Клинически проявляется дисфагией, болями за грудиной, регургитацией пищи в ротовую полость, исхуданием, ночным кашлем. Для постановки диагноза проводят эзофагоскопию, рентгенографию пищевода, эзофагеальную манометрию; по показаниям УЗИ или МСКТ органов брюшной полости, сцинтиграфию пищевода. Лечение направлено на устранение причины заболевания, может потребоваться оперативное вмешательство (баллонная дилятация кардиального сфинктера, иссечение дивертикула пищевода, резекция пищевода при раке).

Расширение пищевода является достаточно редким состоянием, возникающим на фоне другой патологии. Наиболее значимой причиной диффузного расширения пищевода является ахалазия кардии. Гораздо реже к увеличению просвета пищевода приводят дивертикулы, воспалительный и спаечный процесс в средостении. У части пациентов не удается установить точную причину развития данной патологии. В основе формирования расширения пищевода лежит затруднение эвакуации пищевых масс в желудок из-за препятствия, расположенного обычно в нижних отделах пищевода или при входе в желудок (кардиоспазм, ахалазия кардии; рак пищевода; спайка, перекидывающаяся через пищевод и перетягивающая его). Постепенно скапливающиеся пищевые массы растягивают стенки пищевода, возникают нарушения его моторики, формируются органические изменения в тканях со стойкой деформацией пищевода.

Расширение пищевода формируется на фоне кардиоспазма, ахалазии кардии, рака пищевода; воспалительных процессов в средостении, приводящих к рубцеванию и формированию тракционных дивертикулов; спаек, перетягивающих просвет пищевода. Исходя из механизма возникновения расширения пищевода, выделяют следующие формы заболевания: диффузное расширение (цилиндрическое, веретенообразное, S-образная деформация с расширением пищевода) и местное (дивертикулы пищевода). Общим механизмом формирования диффузного расширения пищевода является наличие препятствия для прохождения пищи в желудок с постепенным растягиванием стенок пищевода скапливающимися пищевыми массами.
Чаще всего расширение пищевода диагностируется у пациентов, страдающих кардиоспазмом или ахалазией кардии. Два этих состояния являются этапами одного заболевания, при котором в начале формируется функциональное расстройство в виде преходящего спазма нижнего сфинктера пищевода, а в результате прогрессирования патологических процессов в дистальных отделах пищеводной трубки начинаются органические изменения с развитием постоянной ахалазии (отсутствие расслабления) кардии.
В патогенезе расширения пищевода при ахалазии кардии выделяют три механизма: нарушение вегетативной регуляции расслабления кардиального сфинктера, френоспазм и непосредственно ахалазия кардии. Вегетативные расстройства могут возникать на фоне тяжелых эмоциональных потрясений, приводя к изменениям тонуса, моторики пищевода, к сбою механизма открытия и закрытия кардии. Кроме того, нарушения вегетативной регуляции работы пищевода могут возникнуть на фоне другой патологии органов брюшной полости (мочекаменная и желчнокаменная болезнь, панкреатит, хронический гастрит, язвенная болезнь желудка и двенадцатиперстной кишки, опухоли печени и др.) по типу висцеро-висцеральных рефлексов.
Сложный механизм эвакуации пищи из пищевода в желудок включает в себя и сокращение мышечных волокон диафрагмы. Исследования в области гастроэнтерологии показали, что перистальтика пищевода начинается в его верхних отелах и оканчивается перед пищеводным отверстием диафрагмы. После этого срабатывает диафрагмальный затвор, проталкивающий пищевой комок в желудок. Спазм мышечных волокон диафрагмы (френоспазм) может приводить к перекрытию просвета пищевода и последующему его расширению.
Сочетание функционального кардиоспазма на фоне вегетативной дисфункции и френоспазма рано или поздно приводит к формированию органических рубцовых изменений в дистальных отделах пищевода и кардиальном сфинктере с развитием ахалазии кардии. Прохождение пищевых масс через нижний сфинктер пищевода значительно затрудняется, они скапливаются в просвете пищевода, растягивая его стенки. Мышечный тонус пищевода постепенно снижается, что сначала приводит к расширению его просвета, а в будущем формируется S-образная деформация из-за удлинения пищеводной трубки. На этом этапе заболевания образуется расширение верхних отделов пищевода, происходит регургитация пищи и жидкости в ротовую полость, особенно выраженная в вертикальном положении. Попадание пищевых масс в дыхательные пути при регургитации приводит к развитию бронхита, пневмонии. Застойные явления в пищеводе также оканчиваются воспалительным процессом (эзофагитом), появлением язвы пищевода.
Симптомы расширения пищевода
Клиника расширения пищевода развивается постепенно. В начале симптомы имеют преходящий характер, однако с течением времени на фоне органических изменений в пищеводе интенсивность симптомов нарастает, развиваются сопутствующие заболевания и осложнения, которые при отсутствии лечения могут приводить к смерти пациента.
На начальных этапах заболевания пациента беспокоят дисфагия и боль за грудиной. При наличии кардиоспазма первые проявления могут быть внезапными: на фоне испуга или сильного эмоционального потрясения возникает ощущение комка в горле, боль в области мечевидного отростка или за грудиной. Эти симптомы вскоре проходят, однако вновь возникают через некоторое время. Постепенно эпизоды дисфагии учащаются и уже не проходят самостоятельно. Для улучшения продвижения пищи в желудок пациент может прилагать определенные усилия: сдавливать нижние отделы грудной клетки, постоянно запивать пищу водой, заглатывать воздух и так далее. Боли за грудиной также усиливаются, иррадиируют в эпигастрий, лопатки, левую руку (могут напоминать боль при стенокардии). Формируется чувство страха перед приемом пищи.
Симптоматика непроходимости на фоне расширения пищевода нарастает. Больной часто жалуется на некупируемые приступы икоты, срыгивание съеденной пищей. Эпизодически возникает обильная рвота непереваренными пищевыми массами без примеси соляной кислоты и желчи, приносящая значительное облегчение, иногда рвота даже приводит к временному исчезновению симптомов.
Из-за того, что пищевод постоянно переполнен, расширение распространяется и на его верхние отделы, из-за чего ночью, в горизонтальном положении, жидкие пищевые массы вытекают и попадают на голосовые связки и в дыхательные пути. Появляется патогномоничный для расширения пищевода симптом - ночной кашель. Развивается бронхит, а затем и аспирационная пневмония, бронхоэктатическая болезнь. Вследствие того, что пища практически не попадает в желудок, а больные часто вынуждены вызывать у себя рвоту для облегчения состояния, развивается истощение, которое в сочетании с сопутствующими тяжелыми заболеваниями может даже приводить к смерти пациента.
Расширение пищевода следует дифференцировать с гастроэзофагеальным рефлюксом, опухолью средостения, бронхоэктатической болезнью, туберкулезом, ишемической болезнью сердца, неврогенной дисфагией, поражением пищевода при амилоидозе и склеродермии.
Диагностика
При появлении первых симптомов расширения пищевода следует обратиться к гастроэнтерологу. При осмотре и обследовании пациента выявляется расширение границ притупления над средостением, иногда пальпируется мягкоэластичное выпячивание на шее слева, содержащее пищевые массы и жидкость.
Наиболее информативными для диагностики расширения пищевода являются осмотр врача-эндоскописта с проведением эзофагоскопии и рентгенография пищевода. Эзофагоскопия возможна только после эвакуации жидких масс из его просвета - визуализируются явления эзофагита, изъязвления. С помощью этого исследования можно выявить причину расширения пищевода (ахалазия кардии, опухоль, рубцы и спаечные перетяжки, дивертикулы).
При рентгенографии с контрастированием просвет пищевода расширен, заполнен пищевыми массами. Контрастное вещество оседает длительно, в виде хлопьев снега. Эвакуация контраста из пищевода значительно замедлена (более нескольких часов). Эзофагеальная манометрия позволяет вывить нарушения моторики пищевода. Для дифференциальной диагностики проводится УЗИ и МСКТ органов брюшной полости, сцинтиграфия пищевода.
Лечение расширения пищевода
Основным направлением лечения при расширении пищевода является устранение причины этого состояния. Если расширение пищевода сформировалось на фоне ахалазии кардии, пациенту следует объяснить важность соблюдения режима дня и питания. Большое значение для восстановления нормальной вегетативной регуляции, устранения френоспазма имеет психологическое состояние больного, поэтому в задачу лечащего врача входит успокоить пациента и внушить ему веру в благополучный исход заболевания.
Назначается специальная диета и противовоспалительное лечение. Пища должна быть щадящей химически, механически и термически. Для исключения застоя перед сном следует освобождать пищевод от содержимого. Рекомендуется питье щелочных вод, отваров трав с целью промывания пищевода. Из медикаментозных средств проводят вагосимпатические блокады, назначают витамины группы В, спазмолитики.
При неэффективности консервативной терапии проводится балонная дилатация кардиального сфинктера, бужирование пищевода для восстановления его проходимости. Баллонная дилатация противопоказана на фоне эзофагита, трещин и язв в области стеноза, так как может приводить к разрыву пищевода. При значительных органических изменениях кардиального сфинктера может потребоваться операция кардиомиотомии. Ослабленным больным и при наличии противопоказаний к оперативному восстановлению проходимости пищевода может проводиться гастростомия до стабилизации состояния. При наличии дивертикулов осуществляется их иссечение. Если у пациента диагностирован рак пищевода на ранних стадиях, осуществляется резекция пищевода с последующей пластикой.
Прогноз
Прогноз при расширении пищевода благоприятный, однако эффективность лечения тем выше, чем раньше оно начато (на ранних стадиях заболевания эффективность оперативного вмешательства более 90%). Специфическая профилактика расширения пищевода не разработана. Следует своевременно выявлять и лечить заболевания, которые могут привести к этому состоянию.
Ахалазия кардии. Ахалазия кардиальной части пищевода (K22.0)

рис. Ахалазия кардии. Общее представление
Период протекания
Информации о периоде протекания нет.
Клиническая картина ахалазии кардии характеризуется медленным, но неуклонным прогрессированием всех основных симптомов заболевания

Автоматизация клиники: быстро и недорого!
- Подключено 300 клиник из 4 стран
- 800 RUB / 4500 KZT / 27 BYN - 1 рабочее место в месяц

Автоматизация клиники: быстро и недорого!
- Подключено 300 клиник из 4 стран
- 1 место - 800 RUB / 4500 KZT / 27 BYN в месяц
Мне интересно! Свяжитесь со мной
Классификация
Общепринятой классификации ахалазии кардии в настоящее время не существует.
Выделяют два типа заболевания.
Тип 1 (субкомпенсированный) - тонус стенок и форма пищевода сохранены.
Тип 2 (декомпенсированный) - тонус стенок потерян, пищевод искривлен и значительно расширен.
В зависимости от клинических проявлений и наличия осложнений, также применяют деление на несколько стадий заболевания.
1 Стадия (функциональная) - непостоянные нарушения прохождения пищи, вследствие кратковременных нарушений расслабления НПС . Расширения пищевода нет.
2 Стадия - стабильное повышение базального тонуса НПС , значительное нарушение его расслабления при глотании и умеренное расширение пищевода выше места постоянного функционального спазма НПС .

3 Стадия - наблюдаются рубцовые изменения дистальной части пищевода, что сопровождается ее резким органическим сужением (стенозом) и значительным (не менее чем в 2 раза) расширением вышележащих отделов.


Этиология и патогенез
Этиология ахалазии кардии до настоящего времени не известна.
Наблюдаются семейные случаи заболевания. Существует теория врожденного происхождения ахалазии кардии (Василенко В.Х., 1976). Предполагается возможность инфекционно-токсического поражения нервных сплетений пищевода и нарушения регуляции моторики пищевода со стороны ЦНС ЦНС - центральная нервная система
.
Традиционно считается, что имеются многочисленные факторы, способствующие развитию данной патологии: психогенные факторы, вирусные инфекции, гиповитаминозы и другие.
Однако, современные исследования с помощью ПЦР показали, что ахалазия не сопровождается ни одной из известных вирусных инфекций. Развитие ахалазии кардии в зрелом и пожилом возрасте позволяет усомниться также и во врожденном характере патологии. Не исключается роль ГЭР ГЭР - гастроэзофагеальный рефлюкс
Подробно в происхождении заболевания. Существуют некоторые факты, позволяющие обсуждать аутоиммунный генез данного заболевания (выявление антинейтрофильных антител, сочетание ахалазии с некоторыми антигенами HLA II класса).
Эпидемиология
Возраст: преимущественно от 20 до 60 лет
Признак распространенности: Редко
Соотношение полов(м/ж): 0.3
Ахалазия кардии может развиваться в любом возрасте, но наиболее часто встречается в возрасте от 20-25 до 50-60 лет.
Дети составляют 4-5% от общего количества пациентов.
Распространенность заболевания составляет 0,5 -2,0 на 100 000 населения.
Факторы и группы риска
Иногда ахалазия кардии развивается в рамках наследственных синдромов, например, синдрома трех "А" ( Ахалазия, Алакримия, невосприимчивость к АКТГ), синдрома Альпорта, других редких заболеваний.
Клиническая картина
Клинические критерии диагностики
Cимптомы, течение
Основные симптомы ахалазии кардии.
Дисфагия - ощущение затруднения прохождения пищи, "застревание" на уровне глотки или пищевода. Является наиболее ранним и постоянным симптомом ахалазии кардии (95-100% больных).
При данном заболевании дисфагия имеет некоторые важные особенности:
- отсутствуют симптомы, характерные для дисфагии, вызванной двигательными нарушениями на уровне глотки (попадание пищи в носоглотку или трахеобронхиальная, возникающая непосредственно во время глотания, осиплость голоса, хрипота и др.);
- дисфагия усиливается в результате нервного возбуждения, быстрого приема пищи, особенно плохо прожеванной;
- дисфагия уменьшается при применении различных приемов, найденных самими больными (ходьба, запивание пищи большим количеством воды, задержка дыхания, заглатывание воздуха, выполнение гимнастических упражнений).
Дисфагия при ахалазии кардии возникает при употреблении как твердой, так и жидкой пищи. Это позволяет отличить ее от механической дисфагии, обусловленной органическим сужением пищевода при раке и стриктуре пищевода Стриктура пищевода - сужение, уменьшение просвета пищевода различной природы.
, а также других заболеваний, при которых затруднение прохождения пищи возникает только при употреблении твердой пищи.
Существует альтернативная точка зрения, согласно которой дисфагия при ахалазии носит следующий характер: нарушается проглатывание только твердой пищи, а обратная закономерность (нарушения проглатывания только жидкой пищи) практически не встречается.
В большинстве случаев при ахалазии кардии проявления пищеводной дисфагии постепенно усиливаются, хотя этот процесс может растягиваться на достаточно длительный срок.
Регургитация (срыгивание) - это пассивное поступление в полость рта содержимого пищевода или желудка, которое представляет собой слизистую жидкость или не переваренную пищу, съеденную несколько часов назад. Симптом встречается у 60-90% больных. Регургитация обычно усиливается после приема достаточно большого количества пищи, а также при наклоне туловища вперед или ночью, когда больной принимает горизонтальное положение («синдром мокрой подушки»).
Боли в грудной клетке (боли в области нижней и средней третей грудины) присутствуют у около 60% больных. Они возникают при переполнении пищевода пищей и исчезают после срыгивания или прохождения пищи в желудок. Боли могут быть связаны со спазмом гладкой мускулатуры пищевода и тогда проявляются не только во время еды, но и после волнений, психо-эмоционального напряжения. Боль может локализоваться за грудиной, в межлопаточном простанстве и нередко иррадиирует Иррадиация - распространение болевых ощущений за пределы пораженного участка или органа.
в шею, нижнюю челюсть и т.п.
Как правило, боли такого типа купируются нитроглицерином, атропином, нифедипином, блокаторами медленных кальциевых каналов.
Похудание - типичный симптом, особенно на 3-4 стадии (при значительном расширении пищевода), часто характеризует тяжесть течения болезни. Потери массы тела могут достигать 10-20 кг и более. Чаще всего похудание связанно с сознательным сокращением больными приема пищи из-за боязни появления болей и дисфагии после еды.
Другие симптомы
При прогрессировании заболевания могут проявлятся симптомы так называемого застойного эзофагита: отрыжка тухлым, тошнота, повышение слюноотделения, неприятный запах изо рта (эти симптомы связаны с длительным застоем и разложением пищи в пищеводе).
Изредка у больных возникает изжога, вызванная процессами ферментативного расщепления пищи в самом пищеводе с образованием большого количества молочной кислоты.
У больных ахалазией икота возникает чаще чем у пациентов, страдающих дисфагией, обусловленной другими причинами.
У детей
Ахалазия кардии у детей проявляется наличием регургитации, дисфагии при проглатывании твердой и жидкой пищи, внезапной рвоты без тошноты перед ее появлением, при этом рвотные массы состоят из неизмененной пищи. Характерны жалобы на боли в области нижней и средней трети грудины. У детей наблюдаются икота и отрыжка воздухом, часто - похудание и полидефицитная анемия. Могут возникать срыгивание пищей во время сна и ночной кашель, нередки легочные осложнения: бронхиты и пневмонии. Возможно появление и таких осложнений, как эзофагит, сдавление возвратного нерва, сдавление правого бронха, сдавление блуждающего нерва.
Клинические симптомы ахалазии кардии у детей могут появляться в возрасте от 5 дней до 15 лет (Ашкрафт К.У., 1996).
Физикальное исследование
На начальных стадиях развития заболевания, как правило, не удается выявить существенные отклонения. Внешние признаки обнаруживаются в основном в более тяжелых и осложненных случаях - на 3-4 стадии заболевания. Потеря веса указывает на нарушение питания, понижение тургора Тургор - напряженность и эластичность ткани, изменяющиеся в зависимости от ее физиологического состояния.
кожи - на обезвоживание, а также наблюдаются признаки, свидетельствующие о развитии аспирационной пневмонии.
Анамнез
Подозрение на ахалазию возникает, когда больные жалуются на дисфагию, боли в за грудиной после приема пищи, частые приступы икоты, срыгивание, отрыжку и похудание.
Инструментальные исследования
4. Эндоскопическое исследование пищевода.
Эндоскопические признаки ахалазии кардии: расширенный просвет пищевода и наличие в нем пищевых масс; сужение кардиальнго отверстия пищевода и его минимальное открытие при нагнетании в пищевод воздуха; незначительное сопротивление при проведении кончика эндоскопа через отверстие кардии; отсутствие грыжи пищеводного отверстия диафрагмы и пищевода Барретта.
Визуальные материалы ( с) James Hailman, MD)

Лабораторная диагностика
Лабораторные исследования
Рекомендуются следующие исследования:
- общий анализ крови (с определением содержания ретикулоцитов);
- коагулограмма;
- уровень креатина сыворотки крови;
- уровень альбумина сыворотки крови;
- общий анализ мочи.
Дифференциальный диагноз
Дифференциальный диагноз проводят со следующими заболеваниями:
3. ИБС (Ишемическая болезнь сердца).
По клиническим характеристикам боли при ИБС аналогичны болям при ахалазии, однако для стенокардии не характерна дисфагия. Постановка диагноза может затрудняться тем фактом, что боли при ахалазии могут купироваться нитроглицерином.
Необходимо проводить ЭКГ и, при сомнениях в диагнозе, комплексное обследование, чтобы выявить ишемию миокарда.
4. Врожденные мембраны пищевода, стриктуры, в том числе обусловленные опухолями.
Характерна дисфагия, в первую очередь при приеме плотной пищи. В некоторых случаях бывают рвота и регургитация Регургитация - перемещение содержимого полого органа в направлении, противоположном физиологическому в результате сокращения его мышц.
задержавшимся пищеводным содержимым.
5. Неврогенная анорексия.
Возможной неврогенной дисфагии обычно сопутствует рвота желудочным содержимым и похудание.
Осложнения
Согласно некоторым исследованиям, ахалазия увеличивает риск развития опухолей (обычно ороговевающих, преимущественно в средней трети пищевода) в 16 раз в течение 24 лет.
Лечение
Режим
Ограничение физических (особенно на мышцы брюшного пресса) и психологических нагрузок.
Сон - не менее 8 часов в сутки.
Диета
Рекомендуется дробное питание (4-5 раз в сутки) и исключение из рациона острой, жареной, слишком горячей пищи и алкоголя.
В плане питания необходимо следовать следующим рекомендациям:
- После приема пищи и во время сна избегать строго горизонтального положения тела. Это связано стем, что пища может задерживаться в пищеводе до нескольких часов, а при расслаблении верхнего пищеводного сфинктера во время сна возникают предпосылки для аспирации.
- Тщательно пережевывать пищу.
- Пища не должна быть сильно горячей или холодной, рацион должен исключать продукты, которые могут усиливать дисфагию у конкретных людей.
- Объем порции пищи не должен быть чрезмерным.

Проведение кардиодилатации противопоказано в следующих ситуациях:
- некорригируемое нарушение свертываемости крови;
- сопутствующее варикозное расширение вен пищевода или стриктура пищевода;
- неэффективность трехкратного проведения процедуры;
- наличие в анамнезе перфорации пищевода после кардиодилатации;
- наличие сопутствующих заболеваний, которые существенно повышают риск хирургического лечения (риск перфорации пищевода при кардиодилатации).
Вероятность перфорации пищевода при пневмокардиодилатации составляет около 3%.
Лекарственная терапия
Наиболее эффективны блокаторы кальциевых и нитраты.
Применяемые препараты:
- Нитрендипин в дозе 10-30 мг за 30 минут до еды сублингвально;
- Изосорбида динитрат в дозе 5 мг за 30 минут до еды сублинвально или в дозе 10 мг внутрь.
Показания к лекарственной терапии:
- Необходимость облегчить симптоматику до проведения кардиодилатации или кардиомиотомии.
- Неэффективность (или малый эффект) от применения других методов лечения.
- Наличие сопутствующих заболеваний, исключающих возможность проведения кардиодилатации или кардиомиотомии.
Хирургическое лечение
1. Кардиомиотомия.
При ахалазии кардии 2-3 ст показана лапароскопическая эзофагокардиомиотомия с фундопликацией по Toupe. Пневмокардиодалатация - не эффективный метод лечения ахалазии кардии, который дает частые рецидивы и не предотвращает прогрессирования заболевания, приводит к рубцовым изменениям пищеводно- желудочного перехода и развитию рефлюкс эзофагита.
Противопоказания:
- Наличие сопутствующих заболеваний, увеличивающих риск хирургического лечения.
- Некорригируемое нарушение свертываемости крови.
- Наличие варикозно- расширенных вен пищевода.
2. Эзофагоэктомия.
Возможность рассматривается при неэффективности других методов лечения, а также при наличии операбельного рака пищевода, развившегося на фоне ахалазии кардии.
При современном лечении ахалазии кардии прогноз благоприятный, даже с учетом того, что принципиально заболевание не излечимо.
С помощью лечебных мероприятий обычно достигается симптоматическое улучшение состояния пациента, однако ему необходимо постоянное амбулаторное наблюдение и периодическое наблюдение в специализированном стационаре.
При пневмокардиодилатации или кардиомиотомии ремиссия сохраняется дольше, чем при применении ботулотоксина.
Эффективность хирургического лечения на ранних сроках наблюдения составляет около 90%; отдаленные результаты несколько хуже - около 66%.
У детей
Проведение операции показывает хорошие отдаленные результаты у 88% детей с ахалазией кардии (Ашкрафт К.У., 1996).
Госпитализация
Показания к госпитализации:
- Невозможность принимать пищу через рот.
- Развитие аспирационной пневмонии и необходимость внутривенного введения антибиотиков либо ИВЛ ИВЛ - искусственная вентиляция легких
.
Профилактика
Профилактики непосредственно ахалазии кардии не существует, а профилактические меры сводятся к предотвращению возникновения осложнений.
После установления диагноза необходимо проводить работу с больными, заключающуюся в следующем:
1. Предоставить больному информацию о предстоящих лечебных мероприятиях.
2. Сформировать у больного понимание, что исчезновение симптомов заболевания под влиянием проводимой терапии не означает полного излечения, поэтому необходимо все равно продолжать соблюдать врачебные рекомендации.
3. Следует предостеречь больного от применения препаратов, содержащих вещества, которые могут оказать повреждающее действие на слизистую оболочку пищевода (ацетилсалициловой кислоты, НПВН, аскорбиновой кислоты, сульфата железа, хлорида калия, алендроната, доксициклина, хинидина в виде таблеток с замедленным высвобождением).
Читайте также:
