Актуальность проблемы тазовых органов. Синдром хронической тазовой боли
Добавил пользователь Евгений Кузнецов Обновлено: 11.12.2025
Синдром хронической тазовой боли (СХТБ) является одним из психосоматических вариантов "боли-болезни", при котором зависимость формирования боли и болевого поведения обусловливается повреждением ноци- и антиноцицепторной системы (вариант "протопатической боли" в противовес "эпикритической" острой боли). Боль является настолько важным и значимым ощущением, что по мере филогенетического развития и усовершенствования видов из относительно простого чувства в ответ на повреждение она трансформировалась в сложнейшую многокомпонентную систему, включающую обменные, структурные, физиологические и психологические процессы. Хроническая патологическая боль считается самостоятельным заболеванием с первичным патологическим процессом в соматической сфере и вторичной дисфункцией периферической и центральной нервной систем только в том случае, если она продолжается не менее 3-6 мес [4].
Трагедия человека, испытывающего боль, заключается не только в том, что осознание болевого ощущения связано с чисто личностными оценками влияния боли на физическое состояние, но и с неизбежным осознанием ограничивающих социальных последствий повреждающего стимула, что по своей значимости для личности часто оказывается куда более важным, чем чисто "физическое" страдание [5].
Эмоциональным нарушениям придается все большее значение в современных представлениях о боли. Исследования последних лет показали, что особенности психической деятельности оказывают влияние на состояние репродуктивной системы, что оправдывает психосоматический подход к определенным аспектам гинекологической патологии [1,3,7].
Кроме того, при различных соматических заболеваниях с алгическим компонентом может также развиться синдром прогрессирующей вегетативной недостаточности, или психовегетативный синдром, роль которого в патогенезе развития СХТБ подтверждена Е.Н. Тимофеевой [6].
В этой связи представляется актуальным рассмотреть СХТБ не только в рамках клинических проявлений сопутствующей гинекологической патологии, но и с учетом эмоциональных реакций и личностных особенностей, влияющих на процесс болезни и лечения у женщин.
Цель настоящего исследования - изучение психосоматического статуса и сравнительная оценка эффективности препарата Грандаксин в комплексной терапии больных с СХТБ.
Материал и методы
В исследовании участвовали 100 женщин в возрасте от 18 до 45 лет, страдающих СХТБ. Обследование включало общепринятые клинические, лабораторные, инструментальные, ультразвуковые, рентгенологические и эндоскопические методы исследования. Для оценки психосоматического статуса использовали следующие тесты: шкалу самооценки Спилбергера в модификации Ю. Ханина для определения состояния реактивной и личностной тревожности; тест Бека для определения уровня депрессии; тест MMPI в модификации Л. Собчика для многофакторного исследования личности; шкалу Гамильтона для определения тяжести депрессии; шкалу Р. Мельзака для оценки интенсивности боли, визуально-аналоговую шкалу качества жизни (ВАШ). Критериями включения явились возраст старше 18 лет; установленный в результате обследования диагноз СХТБ с длительностью заболевания не менее 6 мес. Критерии исключения из исследования: признаки явных психических расстройств, суицидальные попытки, личностные расстройства или интрапсихический конфликт, наличие рентных установок в отношении хронических тазовых болей, фобий, панических, ипохондрических или истерических расстройств, выраженных тревожно-депрессивных состояний. Контрольная группа подбиралась по принципу "случай-контроль" и включала 100 женщин, идентичных по возрасту, наличию сопутствующей гинекологической патологии, но не страдающих хроническим болевым синдромом.
Результаты и их обсуждение
СХТБ встречается в наиболее активном репродуктивном возрасте (средний возраст больных 35,2 года) при длительности заболевания от 2,7 до 5,9 лет. Анализ семейного положения пациенток показал значительное преобладание разведенных и незамужних женщин в основной группе (70%) по сравнению с контрольной (33%), что подтверждает наличие у больных с СХТБ конфликтных отношений в семейной жизни, способствующих формированию психосоматических расстройств и астении. Детородная функция у больных с СХТБ существенно снижена как в отношении родов, так и в частоте абортов в сравнении с контрольной группой (в 1,5-3 раза). Частота аноргазмии в основной группе составила 40%, боль при половом сношении испытывали 50% больных, что свидетельствует о наличии у них функциональных нарушений, приводящих к выпадению психологического компонента оргазма.
У 94% женщин основной группы было выявлено по два и более экстрагенитальных заболевания в самых разнообразных сочетаниях. Наиболее часто диагностировались хронический холецистит, гастрит, колит, остеохондроз различных отделов позвоночника, геморрой, нейроциркулярная дистония. В контрольной группе частота выявления эктрагенитальной патологии составила 40%.
Идентичность выявления гинекологической патологии у больных основной и контрольной групп (эндометриоз, спаечная болезнь, варикозное расширение вен малого таза, хронические воспалительные неспецифические заболевания органов малого таза и др.) потребовала четкого разграничения боли как симптома основного заболевания органического происхождения и "боли-болезни" характеризующей СХТБ. Для проведения дифференциальной диагностики этих состояний использовали рекомендации Г.А. Савицкого и соавт. [5]. Особое внимание обращалось на наличие нервно-психических нарушений, а также на неполный и кратковременный эффект проводимой противовоспалительной и болеутоляющей терапии.
Установлено, что у всех 100 пациенток, страдающих СХТБ, диагностируются с разной частотой эмоциональные, вегетативные, диссомнические, эндокринно-обменные и алгические симптомы (табл. 1).
Таблица 1. Частота встречаемости вегетативных проявлений у больных с СХТБ
| Группа симптомов | Основная группа (п=100) | Контроь (n=100) | абс. | % | абс. | % |
| Эмоциональные | 100 | 100* | 30 | 30* |
| Вегетативные | 72 | 72* | 10 | 10 |
| Психовегетативный синдром | 72 | 72* | 10 | 10 |
| Эндокринно-обменные | 30 | 30* | 10 | 10 |
| Аллергические | 100 | 100* | 5 | 5 |
Примечание: * - разница статистически достоверна
Это дало основание поставить им диагноз психовегетативного синдрома. Аналогичные клинические симптомы в контрольной группе встретились с частотой 30% (разница статистически достоверна). Для оценки уровня реактивной и личностной тревожности нами было проведено тестирование женщин основной и контрольной групп по шкале Спилбергера-Ханина.
Средний уровень реактивной и личностной тревожности в основной группе существенно выше этих показателей в контрольной группе (табл. 2).
Таблица 2. Оценка (в баллах) психического статуса больных с СХБТ.
Выявлена также высокая положительная корреляция (R=0,65) между показателем личностной тревожности (ЛТ) и индексом боли. Это, по-видимому, связано с тем, что выраженность тревожного компонента в эмоциональном восприятии боли влияет на интенсивность, длительность и качество болевых ощущений. При анализе состояния депрессии с помощью теста Бека (см. табл. 2) установлено, что основным фактором, усугубляющим депрессивные нарушения, является болевой синдром, т.е. подтверждена достоверная зависимость между выраженностью депрессивных нарушений и степенью болевого синдрома (R=0,71).
При исследовании профиля личности у женщин с сильной болью было получено также повышение Т-баллов выше 70 по следующим шкалам: D - депрессии, Рр -психопатии, Ра-аффективной ригидности, Рт- психоастении, Sc - шизоидности (рис. 1).
Рис. 1. Профиль личности женщин, страдающих СХТБ с сильным болевым синдромом (до лечения)
Вышеперечисленные данные послужили основанием для включения в программу терапии больных с СХТБ селективного анк-сиолитика и эффективного вегетокорректора Грандаксина.
Показанием для включения Грандаксина в комплексную терапию 50 больным с СХТБ послужило наличие у них нейроциркуляторной дистонии, различных форм вегетативной дизрегуляции, неврозов и неврозоподобных состояний, симпатико-адреналовых кризов, хронического и острого стресса с неадекватной затянувшейся ответной реакцией. Пациентки с вышеперечисленными показаниями получали Грандаксин (50 мг тофизопама) по 1 таблетке 2 раза в день (до 16 ч) в течение 28 дней. В группе сравнения 50 больных с аналогичными симптомами получали только стандартную терапию.
Грандаксин представляет собой атипичное бензодиазепиновое производное; именно атипичность химического строения и определяет его клинико-фармакологические особенности и оригинальные, присущие только ему свойства: селективное анксиолитическое действие, выраженные вегетокорригирующие свойства, мягкое психостимулирующее и стрессопротекторное действие. Накоплен достаточный клинический опыт об эффективном применении Грандаксина при расстройствах психической адаптации, перманентных вегетативных нарушениях, неврозах, сердечно-сосудистых заболеваниях, климактерическом синдроме и т.д. [2].
На фоне лечения Грандаксином у всех больных уменьшилось количество жалоб, снизились частота и продолжительность симпатико-адреналовых кризов, произошло снижение личностной и реактивной тревожности по шкале Спилбергера-Ханина с 70 до 36 баллов, снижение уровня депрессии с 16 до 6 баллов; уменьшилась выраженность вегетативной дисфункции с 38 до 15 баллов (рис. 2); у 46 (92%) из 50 больных снизились индекс боли и ее восприятие по ВАШ (рис. 3).
Рис. 2. Динамика исследуемых показателей на фоне лечения Грандаксином
Рис. 3. Эффективность препарата Грандаксин в лечении СХТБ по данным ВАШ качества жизни
Выводы
1. С помощью проведенных методов исследования у всех больных с СХТБ диагностируется психовегетативный синдром различной степени выраженности.
2. Степень психоэмоциональных нарушений и тяжесть болевого синдрома тесно коррелируют друг с другом.
3. Комплексное патогенетическое лечение СХТБ должно обязательно включать препараты, купирующие психосоматическую составляющую синдрома.
4. Результаты настоящего исследования показали высокую эффективность Грандаксина влечении СХТБ. Препарат хорошо переносится, побочные эффекты не выявлены.
5. Терапевтические эффекты Грандаксина заключаются, с нашей точки зрения, в следующем:
Все изложенное выше подтверждает эффективность использования Грандаксина в комплексной терапии больных, страдающих СХТБ, обеспечивая повышение их работоспособности и улучшение качества жизни.
Литература
1. Вейн A.M., Густов А.В., Руднев В.Л. и др. Лечение нервных болезней, 2003;2;912.
2. Грандаксин. Многогранность применения в клинической практике. Материалы науч-практ. конф. Ст-Петербург, 1999;33.
3. Дюкова Г.М. Лечение нервных болезней 2002;2;29.
4. Подзолкова И.М, Глазкова О.Л. Симптом. Синдром. Диагноз. Дифференциальная диагностика в гинекологии. М: ГЭОТАРМсд 2003;448.
5. Савицкий ГА, Иванова Р.Ж., Щеглов И.Ю., Попов П.А. Хирургическое лечение синдрома тазовых болей в гинекологической клинике. Ст-Петербург 2000; 144.
6. Тимофеева Е.Н. Синдром хронических тазовых болей, диагностика и пути коррекции: Автореф. дис. канд.мед.наук. Самара 2001 ;24.
7. La Boudec G., Beytout M., Suzanne F., Jacquetln B. Trib Med 1985:13:5354.
Актуальность проблемы тазовых органов. Синдром хронической тазовой боли
предоставляем актуальную медицинскую информацию от ведущих специалистов, помогая врачам в ежедневной работе
В статье рассмотрена проблема синдрома хронической тазовой боли, освещены вопросы его этиологии и новые терапевтические цели
Для цитирования. Зайцев Л.В., Шаров М.П. Дисфункциональная тазовая боль: мультидоменная парадигма // РМЖ. 2016. No 7. С. 423-423.
Синдром хронической тазовой боли (СХТБ) - наличие постоянных или повторяющихся эпизодов боли в структурах таза. Она нередко ассоциирована с симптомами нижних мочевыводящих путей, сексуальной, кишечной, гинекологической дисфункцией или нарушением функции тазового дна при отсутствии инфекции и другой очевидной патологии (EAU, 2012, IASР, 2012). Хронический простатит (ХП)/СХТБ характеризуется наличием хронической боли в промежности, головке полового члена, мошонке и над лоном, которая нередко усиливается при мочеиспускании или эякуляции. Больные с синдромом болезненного мочевого пузыря/интерстициальным циститом (СБМП/ИЦ) испытывают мучительную тазовую боль, возрастающую при наполнении мочевого пузыря, а также отмечают императивные позывы к мочеиспусканию как в дневное, так и в ночное время. Эпидемиологические исследования свидетельствуют, что ХП/СХТБ встречается у 5-8% мужчин, а СБМП/ИЦ - примерно у 2% женщин и 1% мужчин. В настоящее время произошел фундаментальный поворот в нашем понимании подхода к изучению и лечению этих состояний. Они не рассматриваются больше как орган- центрические заболевания, а характеризуются наличием разнообразных клинических фенотипов, что позволяет разрабатывать более рациональную, ориентированную на пациента междисциплинарную, мультимодальную терапевтическую стратегию.
СБМП/ИЦ относится к наиболее частым причинам хронической тазовой боли (ХТБ) у женщин наряду с эндометриозом, синдромом раздраженного кишечника (СРК) и наличием спаек в полости малого таза. Две наиболее часто встречающиеся причины ХТБ у женщин - СБМП/ИЦ и эндометриоз могут сочетаться у одной пациентки в 38-80% случаев. Эти заболевания имеют нередко похожую клиническую картину, являясь «близнецами», что затрудняет их своевременную диагностику и лечение. По данным 3-х сравнительных исследований чувствительность УЗИ при эндометриозе составляет от 58 до 88,5%, МРТ - 56-91,5%. В одном исследовании при гистологическом подтверждении эндометриоза чувствительность лапароскопии составила 85,7% [1].
XП - первичный диагноз у половины мужчин с СБМП/ИЦ, далее следует доброкачественная гиперплазия простаты. Результаты исследования показали, что в США количество мужчин, страдающих ХП/СХТБ, составляет 1 986 972 человека, а СБМП/ИЦ - 2 107 727 человек. Совпадение заболеваний выявлено в 17% случаев. Клинически очень трудно диагностировать СБМП/ИЦ у мужчин, т. к. симптомы ХП/СХТБ и СБМП/ИЦ похожи. Ключевым различием является наличие патологических изменений в мочевом пузыре при СБМП/ИЦ. Больным с ХП/СХТБ в ряде случаев показана цистоскопия. По мнению некоторых специалистов, лучшая стратегия - предполагать СБМП/ИЦ у всех пациентов при отсутствии эффекта от лечения ХП/СХТБ [2].
В настоящее время предлагается использование в клинической практике системы для фенотипирования и определения оптимального индивидуального лечения пациентов с ХТБ (СБМП/ИЦ и ХП/СХТБ). «Гипотеза снежинки», предложенная в 2009 г. в отношении СБМП/ИЦ и XП/СХТБ, основывается на концепции, что нет двух одинаковых пациентов, как и похожих снежинок, хотя они все остаются снежинками, и снежная масса выглядит однородной. На основании этого Nickel, Shoskes и Irvine-Bird предложили пилотную систему UPOINT, состоящую из 6 доменов (координат): мочевые симптомы, психосоциальная дисфункция, органспецифический, инфекционный, неврологический/системный и мышечно-спастический. Каждый домен имеет клиническое определение, связан с определенным механизмом появления или распространения симптомов и ассоциирован с определенным видом лечения [3].
Пациенты с хроническими тазовыми болевыми синдромами в урологии имеют различные и нередко множественные причины боли. Во многих случаях необходима мультимодальная терапия. Система UPOINT разработана не для диагностики СБМП/ИЦ или ХП/СХТБ, но позволяет классифицировать пациентов с предположительным наличием этих синдромов на клинически значимые фенотипы, облегчающие проведение рациональной терапии.
В течение многих лет в изучении проблемы ХТБ внимание исследователей было направлено на периферические, органные механизмы: воспаление и инфекционные процессы. Экспериментальные и клинические исследования показали, что многие механизмы хронических болевых синдромов у этих больных находятся в центральной нервной системе (ЦНС). Периферические стимулы, например воспаление, могут инициировать развитие ХТБ, однако в дальнейшем она может сохраняться в результате модуляции ЦНС, независимо от первоначальной причины. Так же, как и боль, центральные механизмы находятся в связи с различными другими сенсорными, функциональными, поведенческими и психологическими феноменами. Большой интерес сегодня представляют данные различных методов нейровизуализации (функциональная МРТ, воксельная морфометрия, диффузионно-тензорная визуализация, магнитно-резонансная спектроскопия), которые выполняются с целью получить функционально-структурный коннектом человеческого мозга. «Каждый человеческий мозг содержит 100 миллиардов нейронов, между которыми протягивается 100 тысяч миль нервных отростков, число соединяющих их синаптических передач лежит между 100 триллионами и квадрильоном — и всё это человеческий коннектом» (Sebastian Seung). Необходимо более глубокое понимание механизмов инициации и поддержания ХТБ, а церебральные корреляции могут стать новыми многообещающими терапевтическими целями.
Список литературы Свернуть Развернуть
1. Tirlapur S.A., Daniels J.P., Khan K.S. et al. Chronic pelvic pain: how does noninvasive imaging compare with diagnostic laparoscopy?// Curr Opin Obstet Gynecol. 2015. Vol. 27 (6). P. 445-448.
2. Mishra N.N. Clinical presentation and treatment of bladder pain syndrome/interstitial cystitis (BPS/IC) in India // Transl Androl Urol. 2015. Vol. 4(5). Р. 512-523.
3. Nickel J.C., Shoskes D., Irvine-Bird K. Clinical phenotyping of women with interstitial cystitis/painful bladder syndrome: a key to classification and potentially improved management // J Urol. 2009. Vol. 182 (1). P.155-160.
Контент доступен под лицензией Creative Commons «Attribution» («Атрибуция») 4.0 Всемирная.
Несмотря на то что тазовая боль (ТБ) лишь относительно недавно стала выделяться в качестве отдельной медицинской проблемы, к настоящему времени опубликованы результаты многочисленных исследований, посвященных вопросам ТБ, проводятся специализированные конференции и конгрессы. Однако многодисциплинарный подход к проблеме ТБ часто игнорируется в практике врачей, хотя ряд наблюдений демонстрирует участие разных тазовых структур (внутренние органы, мышцы, связки, сочленения и др.) и психосоциального фактора в формировании, поддержании и хронификации ТБ, независимо от причины, ее вызвавшей. Кроме того, причину ТБ, особенно в хронических случаях, не всегда удается четко верифицировать [1, 2]. При этом нарушения биомеханики в любом звене локомоторной цепи автоматически вызывают постуральный дисбаланс с изменением двигательного стереотипа, провоцируя развитие болевых синдромов и в отдаленных от таза частях тела, конечностях, внутренних органах. Совершенно справедливо замечание отечественного невролога А.В. Болотова о том, что по количеству причин ТБ сопоставима с головной болью (ГБ). Учитывая еще и патогенетическую многофакторность, резистентность к лечению хронических форм этих патологий, можно сопоставить проблемы ГБ и ТБ также по актуальности [3].
Доступные информационные источники не дают полноценного топографически характеризуемого определения ТБ. В гинекологии ТБ определяют как «чувство дискомфорта в нижней части живота: ниже пупка, выше и медиальнее паховых связок, за лоном и в пояснично-крестцовой области» [4]; в урологии — как «боль в структурах таза, испытываемую мужчиной или женщиной» [5]. Оба определения недостаточно отображают возможные локализации болевых ощущений у пациентов с Т.Б. Ранее [6] было предложено новое описание ТБ, более полно представляющее топографию ее распространения: «боль (дискомфорт), локализованная в пределах от лонной области до гениталий вентрально, до крестца и ягодиц дорсально и до люмбо-сакрального перехода краниально, от крестцово-копчикового сочленения до промежности каудально, от гребня подвздошной кости до проксимальных отделов бедра латерально». В связи с тем, что ТБ часто связана с заболеваниями тазобедренного сустава, сюда отнесены болевые проявления патологии большого вертела бедра, связанного с суставом общей сумкой. Вряд ли следует относить к ТБ боли, локализованные «ниже пупка» до лона, «выше и медиальнее паховых связок» [4] (т.е. в подвздошных областях), так как они представляют собой абдоминальные боли. Да и локализация ТБ в «пояснично-крестцовой области» [4] также звучит неконкретно.
Следует отметить, что в литературе и интернет-источниках не удалось обнаружить топографической классификации ТБ. С учетом представленного выше определения ТБ можно предложить следующую топографическую классификацию: боль в лонной области (пубалгия); в глубине малого таза (пельвалгия); в крестце (сакралгия); в ягодичной области (глюталгия); в паховой области (ингвинодиния); в анокопчиковой области (кокцигодиния); в промежности (перинеальная боль); в гениталиях (гениталгия); в проксимальных отделах наружной поверхности бедра (трохантерная боль).
В некоторых случаях патологию сочленений таза целесообразно именовать дисфункцией [7]. Этот термин применим и к нарушениям в других сочленениях опорно-двигательного аппарата. Учитывая наличие суставных поверхностей и собственной капсулы, крестцово-подвздошное сочленение правильнее называть суставом.
Продолжая тему терминологии, следует упомянуть о «синдроме хронической ТБ». Его характеристика, с нашей точки зрения, наиболее удачно сформулирована в Руководстве по хронической Т.Б. Европейской ассоциации урологов (EAU): «Наличие постоянной или периодически повторяющейся эпизодической ТБ при отсутствии инфекции или другой очевидной патологии, которая может объяснить боль. Боль часто связана с негативными когнитивными, поведенческими, сексуальными или эмоциональными последствиями, а также с симптомами со стороны нижних отделов мочевыделительного тракта, сексуальной, кишечной или гинекологической дисфункцией» [5]. Вместе с тем имеющаяся на сегодняшний день классификация синдромов хронической ТБ требует определенной доработки.
С учетом анализа предложенного нами термина «ТБ напряжения» (ТБН) [1, 2] (на основании сходства патогенеза с ГБ напряжения — ГБН), в группе тазовых алгических симптомокомплексов можно выделить варианты, соответствующие рекомендованной ранее новой нозологической единице «хроническая ТБ напряжения» (ХТБН) [3, 8], уточненные критерии которой представлены ниже:
— наличие постоянной или периодически повторяющейся ТБ, длящейся в течение 3 мес и более;
— отсутствие доказанной в настоящий момент связи боли с персистирующей или перенесенной патологией органов и структур таза;
— высокая (ведущая) роль в патогенезе заболевания психосоциальных факторов и дистресса;
— исключение иррадиирующей в таз боли из другой области.
Следуя аналогии с ГБН, ХТБН можно подразделять на сочетающуюся либо не сочетающуюся с клинически значимым напряжением мышц тазового дна и промежности. В этом контексте уместно упомянуть и один из принципов мануальной терапии: «болит вверху — лечи внизу, болит внизу — лечи вверху», символически связывающий ГБ и Т.Б. Возможно, как в случае с ГБН, следует подразделять ТБН на хроническую и эпизодическую, исследования в этом направлении нами продолжаются.
Болевые паттерны ортопедической патологии таза
Недостаточное владение навыками ортопедического осмотра, высокая загруженность врачей при жестких временны́х рамках приема пациентов, недостаточное освещение проблемы в обучающих программах для специалистов способствуют распространению тенденции постановки диагноза на основании жалоб пациента. Это осложняет установление причин ТБ в целом и ортопедических патологий таза в частности, т. е. ведет к формированию диагностического тупика.
Результаты проведенных нами исследований позволяют выделить присущие ортопедической патологии таза болевые паттерны, знакомство с которыми может быть полезным при определении направления диагностического поиска. Всем пациентам было проведено неврологическое и ортопедическое обследование, рентгенологическое исследование костей и сочленений таза; при необходимости использовались другие методы исследований — УЗИ, МРТ, КТ, консультации профильных специалистов.

Целью первого исследования был суммарный нозологический анализ ТБ (оценка проводилась только по доминирующей локализации боли) в двух группах пациентов, направленных на консультацию к неврологу другими специалистами и терапевтами/врачами общей практики, хирургами и др. [9] (табл. 1). Таблица 1. Результаты нозологического анализа ТБ у обследованных пациентов
Резюмируя полученные данные, видно, что у 295 (51,2%) пациентов, направленных к неврологу с ТБ, ведущей причиной боли является ортопедическая патология. В это число не были включены случаи патологии пояснично-крестцового отдела позвоночника, традиционно в течение многих десятилетий курируемые в нашей стране врачами-неврологами. Полученный анализ демонстрирует проблемы как скрининговой диагностики, так и дальнейшей тактики ведения исследуемого контингента в амбулаторной службе. Естественно, что количество заболеваний, сопровождающихся болями указанных локализаций, значительно больше, чем в нашем исследовании.

Целью второго исследования была оценка особенностей клинической картины ортопедических патологий таза путем процентной ранжировки локализации (иррадиации) алгического паттерна. Были проанализированы результаты обследования 382 пациентов, обратившиеся к неврологу и мануальному терапевту с главной жалобой на боль в области таза и (или) нижних конечностях, связанной с патологией (дисфункцией) тазовых сочленений. Учитывались все локализации болей у каждого пациента. Критериями исключения из исследования являлись наличие других заболеваний, сопровождающихся болью указанных локализаций, и наличие комбинированной болевой дисфункции сочленений таза. Результаты исследования приведены в табл. 2. Таблица 2. Ранжировка локализации (иррадиации) боли у пациентов с ортопедическими патологиями таза
Следует остановиться на патологии (в настоящее время чаще употребляется термин «дисфункция») лонного сочленения. В литературе встречаются лишь единичные упоминания этого синдрома в рамках клинической картины заболеваний органов малого таза. Боль в лонной области, иррадиирующая в низ живота, промежность, пах, может составлять диагностические проблемы. Проведенное нами обследование 324 пациентов с болевыми формами хронического воспаления предстательной железы в 3 (0,9%) случаях выявило в качестве главной причины боли лонную дисфункцию, впервые показав возможную роль последней в качестве «маски» хронического простатита [10]. Не исключено, что в огромной популяции больных с хроническим воспалением предстательной железы и другой патологией органов малого таза, сопровождающихся болью, этот процент окажется значительно ниже, что не снижает значимости проблемы. Учитывая тот факт, что диагностика в мануальной медицине основана на тактильных и визуальных ощущениях врача в его индивидуальной интерпретации, следует иметь в виду определенный процент субъективизма в оценке получаемых данных.
Терапевтические аспекты ТБ при ортопедической патологии таза
В лечении боли при заболеваниях опорно-двигательного аппарата широко используются как лекарственные, так и нелекарственные методы. Из медикаментозных средств наиболее часто применяются нестероидные противовоспалительные препараты (НПВП). При выборе препаратов этой группы приходится сталкиваться с решением ряда вопросов [11]:
— подавляющее большинство пациентов находятся в условиях амбулаторного приема, что требует от врача быстрого принятия решения;
— назначение НПВП является приемлемым даже до установления точного диагноза;
— не всегда имеется возможность при первом осмотре полностью исключить коморбидную патологию;
— при выборе препарата необходимо учитывать его эффективность, переносимость, риск осложнений, возможность длительного назначения.

В зависимости от степени угнетения двух основных изоформ циклооксигеназы (ЦОГ), НПВП подразделяют на селективные и неселективные. Основные препараты, классифицированные по селективности, представлены в табл. 3 [12]. Таблица 3. Классификация НПВП по селективности в отношении различных форм ЦОГ
Селективность препаратов принято определять по степени ингибирования ЦОГ-2, которая продуцируется в области воспаления, и действие всех НПВП направлено именно на ее блокирование. ЦОГ-1 играет роль в устойчивости слизистой желудочно-кишечного тракта к повреждающему действию внешних агрессивных факторов. Поэтому при лечении патологии опорно-двигательного аппарата, особенно длительном, выбор НПВП обусловлен минимизацией блокирования ЦОГ-1. Высокоселективными НПВП является группа коксибов, длительное применение некоторых из них ассоциировано с риском сердечно-сосудистых осложнений [13]. Выделяют НПВП с умеренной селективностью — мелоксикам и нимесулид. Последний, ввиду возможной гепатотоксичности, разрешен к применению только короткими курсами.
Назначение НПВП следует проводить с учетом их эффективности и безопасности, коморбидных заболеваний, предшествующего опыта применения пациентом препаратов этой группы. Понятно, что парентеральное введение вызывает более быстрое наступление терапевтического эффекта, поэтому в случаях острой (обострения) боли целесообразно первые 3—5 сут вводить НПВП внутримышечно с последующим переходом на пероральный прием. Ректальные суппозитории с НПВП вследствие возможного местнораздражающего действия (особенно при наличии ректальной патологии) и определенного неудобства применения связаны со значительно меньшей приверженностью пациентов к лечению.
Следует отметить, что оригинальные препараты всегда проходят широкие клинические испытания и производятся строго согласно требованиям международного стандарта надлежащей производственной практики (GMP). Клинические испытания дженериков проводятся редко, следовательно качество вспомогательных веществ в дженерических формах может обусловливать большую частоту побочных эффектов [14].
Среди немедикаментозных методов лечения ортопедической патологии особое место занимает мануальная терапия. Основная ее цель — устранение нарушений биомеханики и рефлекторных изменений в покровных тканях опорно-двигательного аппарата, ликвидация патологических детерминантных систем и других нейродинамических изменений в нервной системе [15]. Так, одно из нарушений биомеханических свойств таза — функциональная блокада крестцово-подвздошного сочленения — может проявляться интенсивной болью, способно запустить механизм рефлекторных тонических реакций, формируя порочную болевую цепь. Эффективность и безопасность мануальной терапии, в том числе и при заболеваниях таза [1], с применением остеопатических техник в настоящее время не вызывают сомнений [1, 16]. Однако временны́е, энергетические и интеллектуальные затраты врача мануальной терапии в значительной степени ограничили применения этого метода лечения в медицинских организациях, работающих в системе обязательного медицинского страхования [17, 18].
Клинический случай

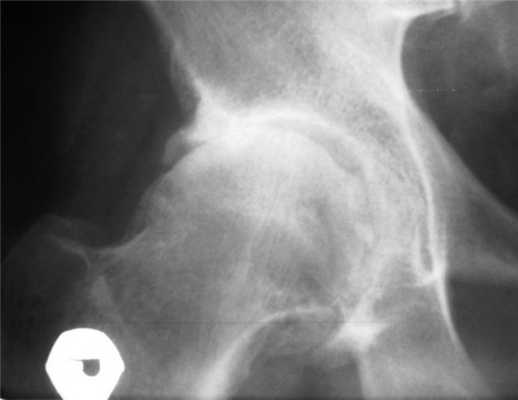
Пациент М., 56 лет, обратился к неврологу с жалобами на боли (до 8 баллов по визуальной аналоговой шкале боли — ВАШ) в правой паховой области, ягодице, передненаружной поверхности ноги до лодыжки, резко усиливающиеся при опоре на ногу. Считает себя больным в течение 2 лет, когда появилась боль в ягодице и наружной поверхности ноги, иногда — в паховой области. Рентгенологическое исследование поясничного отдела позвоночника выявило признаки остеохондроза. Неоднократно по поводу диагностированной неврологом люмбоишиалгии получал НПВП короткими курсами, витамины группы В, физиотерапию с временным положительным эффектом. В течение последних месяцев боль усилилась до интенсивной, преимущественно локализовавшись в паховой области. При осмотре неврологической патологии выявлено не было; другие хронические заболевания отсутствуют. Пальпация проекции щели правого тазобедренного сустава вызывает интенсивную боль. Ортопедический осмотр: резкое ограничение движений в правом тазобедренном суставе; положительные тесты на патологию сустава — Патрика, Дрэхмана, «захвата» Томаса, «наковальни»; движения в пояснице безболезненные. Рентгенологические признаки коксартроза 3—4-й стадии (см. рисунок). Рентгенограмма тазобедренного сустава пациента М. Последующая консультация ортопеда показала необходимость эндопротезирования сустава.
Пациенту был назначен пероральный прием оригинального препарата мелоксикама (мовалис) по 15 мг/сут совместно с омепразолом 20 мг с перспективой на длительный курс. Через 1 мес боль уменьшилась до 5 баллов по ВАШ. Рекомендован дальнейший прием мовалиса и ингибиторов протонной помпы в прежних дозировках до решения вопроса о протезировании.
Выбор препарата был обусловлен подтвержденными многочисленными исследованиями его возможности применения длительным курсом (официальная инструкция к мовалису не ограничивает сроки лечения), высокой безопасностью (в первую очередь по отношению к рискам желудочно-кишечных кровотечений [19], сердечно-сосудистых катастроф [13] и токсического воздействия на печень [20]). Кроме того, проведенное О.Г. Гутянским и Е.М. Ковальцовой [21] исследование показало большую эффективность мовалиса в виде значительно более полного и быстрого купирования вертеброгенных болевых синдромов по сравнению с его отечественными аналогами.
Назначение гастропротективной терапии в случае длительного назначения НПВП (даже с высоким уровнем безопасности) было обусловлено, пусть низким, но существующим потенциальным риском ульцерогенеза и желудочно-кишечных кровотечений [6].
Заключение
Основной жалобой пациента при ортопедической патологии таза является локальная боль, часто с иррадиацией, которая далеко не всегда имеет нейропатический характер. Например, боль наружной поверхности ноги может указывать на заболевание тазобедренного сустава (что наглядно демонстрирует клинический случай), задней поверхности — на заболевание крестцово-подвздошного сустава (также нередко встречается «неврологическая маска»). Учитывая, что ведение пациента с ТБ тесно связано проблемами диагностики, в том числе и дифференциальной [9], представляется целесообразным в совокупности с детальным ортопедическим осмотром рекомендовать использование приведенных выше болевых паттернов в качестве ориентиров направления диагностического поиска. Исключение заболеваний, сопровождающихся болевыми синдромами различной локализации, согласно предложенной топографической классификации ТБ, способно дополнить эти ориентиры.
При выборе медикаментозной терапии болевых проявлений патологии сочленений таза (как и других отделов опорно-двигательного аппарата) предпочтение отдается НПВП. Важным критерием при выборе препарата является возможность применения длительными курсами, что может быть обусловлено лишь высокой степенью безопасности, доказанной многочисленными исследованиями (мовалис) [13, 19—21].
С целью восстановления адекватного двигательного стереотипа и устранения рефлекторных мышечно-тонических нарушений пациентам с ортопедической патологией таза рекомендовано применение мануальной терапии «мягкими» остеопатическими техниками, способной в ряде случаев купировать боль самостоятельно без медикаментозной терапии. В ситуациях с далеко зашедшим дегенеративно-дистрофическим процессом сочленений (аналогично представленному клиническому наблюдению) локальный эффект от мануальной терапии представляется сомнительным, методы лечения должны быть адекватными стадии заболевания.
Включение в программу подготовки и усовершенствования врачей клинических дисциплин образовательных семинаров по алгоритмам тестирования мышечно-суставной системы — важный путь решения проблемы диагностики и тактики ведения пациентов данной группы [9].
1. Поликлиника №124, Москва;
2. кафедра нервных болезней лечебного факультета Московского государственного медико-стоматологического университета;
3. кафедра неврологии и нейрохирургии Российского государственного медицинского университета, Москва
Кафедра неврологии и нейрохирургии Российского государственного медицинского университета им. Н.И. Пирогова, Москва
Синдром хронической тазовой боли
Журнал: Журнал неврологии и психиатрии им. С.С. Корсакова. 2011;111(5): 71‑74
Извозчиков С.Б., Селицкий Г.В., Камчатнов П.Р. Синдром хронической тазовой боли. Журнал неврологии и психиатрии им. С.С. Корсакова. 2011;111(5):71‑74.
Izvozchikov SB, Selitskiĭ GV, Kamchatnov PR. A syndrome of chronic pelvic pain. Zhurnal Nevrologii i Psikhiatrii imeni S.S. Korsakova. 2011;111(5):71‑74. (In Russ.).
Синдром хронической тазовой боли (СХТБ) - достаточно распространенное, труднокурабельное состояние. В соответствии с определением Международного общества по континенции (International Continence Society, ICS) СХТБ подразумевает наличие постоянной или периодически повторяющейся эпизодической боли в области таза, связанной с симптомами дисфункции нижнего отдела мочевыделительного тракта, нарушениями половой функции, кишечной или гинекологической дисфункции, при отсутствии доказательств инфекционного заболевания или какой-либо другой очевидной патологии [19].
А.В. Болотов [1] отметил, что количество причин возникновения СХТБ сопоставимо с количеством причин головных болей. Этиологическая и патогенетическая многофакторность, резистентность к лечению делает хроническую тазовую боль крайне актуальной междисциплинарной проблемой [10]. Некоторым пациентам вследствие СХТБ выполняются диагностические оперативные вмешательства, при которых не всегда удается обнаружить хирургическую патологию. В последние годы активно разрабатывается теория [21] так называемого «функционального соматического синдрома» (одно из проявлений СХТБ), который может включать в себя синдром раздраженной толстой кишки, хроническую головную и атипичную лицевую боль, дорсалгию, некардиальные боли в грудной клетке, фибромиалгию, синдром хронической усталости.
СХТБ в отличие от хронических болей другой локализации характеризуется рядом отличий вследствие особенностей строения, функций и иннервации органов таза. Сами органы таза иннервируются аналогично мышцам тазового дна, которые выполняют функции поддержки, сокращения и расслабления. На уровне спинного мозга и ствола мозга нейроны выполняют обширные функции контроля и модуляции активности различных органов, расположенных в полости таза [22]. Избыточная ноцицептивная афферентация усиливает возбудимость сегментарных структур спинного мозга. В большей степени повышается уровень возбуждения в сегментарных звеньях рефлекторной дуги, участвующей в регуляции мышечного тонуса. Большинство мышц не приспособлено к функционированию в условиях длительного тонического напряжения. Это приводит к появлению большого количества недоокисленных продуктов метаболизма в мышечной ткани, способствующих развитию болевых ощущений [18]. Однажды возникшая боль может поддерживаться при помощи центральных нисходящих симпатических проводящих путей [22].
В возникновении миотонических и миодистрофических изменений мышц тазового дна (копчиковая и внутренняя запирательная мышцы, мышца, поднимающая анус) важная роль принадлежит патологической импульсации из пораженных органов таза [18]. Больных беспокоят боли в крестцово-копчиковой области, промежности, распространяющиеся на ягодичную область, заднюю или внутреннюю поверхности бедра. Неприятные ощущения и боль усиливаются в связи со статодинамическими воздействиями, охлаждением, обострениями заболеваний внутренних органов, при акте дефекации, в момент вертикализации, в предменструальном и менструальном периодах. В связи с особенностями локализации болевых ощущений больные нередко проходят длительное, многократное лечение у терапевтов, гинекологов, урологов, проктологов и т.д. по поводу якобы имеющихся у них заболеваний органов малого таза, и лишь безуспешность лечения наталкивает врача на мысль о возможном поражении мышечно-связочного аппарата таза [18]. Длительно существующий мышечно-тонический синдром может приводить к мышечной дисфункции с развитием миофасциального синдрома, появлению характерных для последнего триггерных точек и соответствующих отраженных болевых паттернов. Повышение тонуса мышц тазового дна и промежности вкупе с болью могут инициировать дизурические расстройства механического и рефлекторного генеза.
У больных с СХТБ часто выявляются тревожность, депрессия, сексуальные расстройства (снижение либидо, эректильная дисфункция). Чтобы оценить роль психологических факторов и повышения тонуса мышц тазового дна и промежности, а также их роль в патогенезе СХТБ, следует обратиться к филогенезу. Как известно, эмоции выражаются комплексом разнообразных двигательных реакций, которые у высших животных проявляются мимическими реакциями. У большинства животных активность хвоста несет большее сигнальное значение для других особей, чем состояние мимики. У человека при отрицательных эмоциях возможно повышение тонуса рудиментарных мышц копчика и тазового дна, что проявляется ощущением «стеснения» в области промежности. Рудиментами мышц, обеспечивающих движения хвоста у животных, являются крестцово-бугорная, крестцово-остистая, крестцово-подвздошная, крестцово-поясничная связки. Трансформировавшись в связочный аппарат крестца, они сохранили нейрофизиологическую регуляцию и контрактильные свойства, характерные для мышц. Предполагается, что патологическое напряжение крестцово-бугорной и крестцово-остистой связок может участвовать в формировании функциональных блокад крестцово-подвздошных сочленений, нередко болезненных, и синдрома скрученного таза [8].
Боль в позадилонном пространстве объясняется напряжением прямых мышц живота. Напряжение лонно-копчиковой мышцы сопровождается возникновением боли, проецирующейся на предстательную железу. Все виды повышенного тонуса мышц тазового дна или близлежащих мышечных образований могут служить пусковым механизмом тазовой боли и объясняют иррадиацию боли в прямую кишку, мочевой пузырь, головку пениса, влагалище [14].
В проведенных нами исследованиях [5, 7] было показано значительное преобладание патобиомеханических нарушений таза у больных с СХТБ по сравнению с лицами, не имеющими симптомов тазовой боли, а также отражена роль этих нарушений и постурального дисбаланса в патогенезе заболевания. Установлена роль повышенного мышечного тонуса в формировании и поддержании хронических болевых синдромов различной локализации путем формирования порочного круга «боль - мышечный спазм - пролонгирование боли - поддержание мышечного спазма и т.д.», или аналогично: «мышечный спазм - боль и т.д.» [18]. При длительно существующем СХТБ далеко не всегда удается выяснить, что первично: вследствие боли возникает мышечный спазм с функциональными блокадами крестцово-подвздошных сочленений, усугубляющих боль, или, наоборот, мышечный спазм и функциональные блокады крестцово-подвздошных суставов вызывают боль, усугубляющую мышечное напряжение [7]. Кроме того, длительно существующий гипертонус мышечно-связочного аппарата таза может также вызывать или усугублять имеющиеся функциональные блокады крестцово-подвздошных сочленений, которые нередко сопровождаются алгическими проявлениями и могут составлять дополнительное звено порочного круга. Любой из этих факторов способен запустить формирование порочного круга [11].
Имеются данные, что сочетание в той или иной степени психовегетативных, тазовых мышечно-тонических и патобиомеханических нарушений облигатно для невоспалительного СХТБ [7, 13], что подтверждает эффективность в этих случаях антидепрессантов, показанная в двух проведенных нами исследованиях. В одном из них 74 больных с СХТБ получали в виде монотерапии антидепрессанты из группы селективных ингибиторов обратного захвата серотонина или ингибиторов обратного захвата серотонина и норадреналина. Терапевтическим результатом явилось умеренное снижение болевого синдрома на фоне значительной редукции тревожно-депрессивных расстройств, а также существенный регресс сопутствующих сексуальных расстройств [10, 16]. Известно, что хроническая боль и депрессия имеют общие звенья патогенеза в виде недостаточности нисходящих антиноцицептивных норадренергических и особенно серотонинергических систем мозга, нарушения метаболизма субстанции Р и нейрокининов. Длительно существующий болевой синдром может стать причиной возникновения вторичных депрессивных расстройств, ухудшающих переносимость боли и усиливающих ее. На сегодняшний день антидепрессанты являются базовыми препаратами в терапии хронических болевых синдромов [3].
В ряде случаев СХТБ прослеживается аналогия с часто встречающимся в неврологической практике синдромом - головной болью напряжения, в патогенезе которой ведущую роль играет реакция на психосоциальный стресс в виде тревоги и депрессии при лидирующей роли последней [3]. При этом длительное позное перенапряжение перикраниальных, шейных и глазных мышц (так называемый «мышечный стресс») создает дополнительный афферентный болевой поток, участвующий в симптомообразовании.
Общность механизмов этих двух синдромов дала основание предложить термин «хроническая тазовая боль напряжения» [9], критериями которой являются:
1) наличие постоянной или периодически повторяющейся тазовой боли (заимствовано из определения СХТБ), длящейся в течение 6 и более месяцев;
2) ведущая роль в патогенезе заболевания дистресса и тревожно-депрессивных расстройств;
3) отсутствие структурных изменений органов малого таза;
4) исключение вертеброгенного генеза имеющейся клинической симптоматики.
Степень выраженности тазовых мышечно-тонических и патобиомеханических нарушений таза не является диагностическим критерием.
Рассматривая проблему СХТБ, нельзя не упомянуть о тазовых невропатиях, в частности невропатии полового (срамного) нерва, механизм развития которой связан с анатомическими особенностями его расположения. Нерв выходит из полости таза, огибая седалищную ость или прикрепляющуюся к нему крестцово-остистую связку. Компрессия нерва может развиться как из-за воздействия напряженной грушевидной мышцы, так и вследствие сдавления его между крестцово-остистой и крестцово-бугорной связками. Также нерв может быть компримирован в половом канале, который сформирован расщепленной фасцией внутренней запирательной мышцы. Главной проблемой эффективности терапии этой патологии является недооценка клинических признаков и как следствие крайне редкая выявляемость [2]. При пудендоневропатии характерны жалобы на односторонние боли в промежности, усиливающиеся при ходьбе, в положении сидя, при акте дефекации, половом акте, позывах на мочеиспускание. Также могут наблюдаться легкие сфинктерные расстройства. Жалобы больных могут симулировать заболевания нижних мочевыводящих путей, и без детального неврологического осмотра патология полового нерва длительное время может оставаться недиагностированной.

Лечение СХТБ - сложная проблема, поскольку попытки определить патофизиологические причины возникновения данного заболевания часто неудачны. В большинстве случаев как основной этиологический фактор рассматривают воспаление органов малого таза (хронический цистит, простатит), так как все симптомы, описываемые пациентами, указывают на наличие именно воспалительного процесса [20]. Принимая во внимание многофакторный характер патогенеза хронических тазовых болей, нами применяется комплексная лечебная программа, ключевые звенья которой представлены в таблице [7, 9].
При лечении хронических болевых синдромов, в частности тазовых, следует уделять особое внимание методам физической реабилитации. Для расслабления мышц тазового дна пациентам с СХТБ предлагается выполнять сокращение мышц промежности в течение 7-8 с с задержкой дыхания на выдохе и последующим их расслаблением в течение 7-8 с с задержкой дыхания на вдохе. Выполняются упражнения сериями по 10 повторений 5-6 раз в течение дня в положении сидя или лежа. Проведенное нами исследование продемонстрировало положительный эффект у 78,6% больных с СХТБ в виде не только уменьшения интенсивности болевого синдрома, но и редукции имеющихся расстройств мочеиспускания [15]. При гипертонусе грушевидных и ягодичных мышц (часто вследствие рефлекторной реакции на внутритазовые «проблемы») пациенты самостоятельно проводят упражнения постизометрической ауторелаксации перечисленных мышц, описанные в руководствах по лечебной физкультуре и мануальной терапии [4]. В настоящее время в лечении болевых синдромов различной локализации широко используется мануальная терапия с целью не только лечения рефлекторных изменений мышц и патологии суставов, но и коррекции патологического двигательного стереотипа [4]. Рекомендуется регулярное курсовое лечение, до 10-12 процедур на курс с частотой 1-2 раза в неделю. Кроме того, пациентам необходимо самостоятельно проводить упражнения на аутомобилизацию крестцово-подвздошных сочленений и ауторелаксацию связок таза, помогающие устранить имеющиеся и предотвращающие появление новых функциональных блокад крестцово-подвздошных сочленений. Особую сложность представляет терапия тазовых миофасциальных синдромов, что обусловлено ограниченными возможностями доступа к мышцам, расположенным в полости таза.
Наши наблюдения не показали достаточной эффективности миорелаксантов центрального действия в качестве монотерапии СХТБ, однако их включение в комплексную лечебную программу заметно усиливает эффект терапии [8]. Для купирования мышечно-тонических проявлений перспективно введение ботулинического токсина типа А в мышцы тазового дна у больных с СХТБ [14].
Опыт авторов выявил заметный положительный эффект метода гомеосиниатрии - введения гомеопатических препаратов в акупунктурные точки. Показания для назначения препаратов и выбор точек должны соответствовать общей картине заболевания [17]. В качестве базового мы применяли комплексный гомеопатический препарат траумель С, одним из основных показаний к назначению которого являются болевые синдромы различного генеза. Траумель С можно использовать в виде монотерапии, а также в комбинации с рядом «дренажных» препаратов (лимфомиозот, псоринохель), что усиливает эффективность метода. При введении препаратов мы используем методику В. Фразе [17]. В шприц с тонкой иглой набирается препарат, игла отклоняется в противоположную от среза сторону, примерно на 20° и вводится внутрикожно срезом вниз. Затем вводится 0,2 мл препарата с формированием «волдыря»; шприц с иглой разворачиваются на 90°, при этом игла сама направляется под кожу. С помощью легкого движения руки она продвигается глубже, и вводится еще 0,3-0,5 мл препарата. Основными используемыми точками акупунктуры являются: 3, 11, 12, 13, 14 меридиана почек, 31, 32, 33, 34, 35, 60 меридиана мочевого пузыря, 1, 2, 3, 4, 5, 6 переднего срединного и 1, 2, 3, 4 заднего срединных меридианов. Учитывая расположение точки 1 переднего срединного меридиана (в центре промежности), подкожное введение препарата в нее не проводится. Число процедур на курс лечения, как правило, достигает 10 - 1 раз в 5-7 дней. Проведенный нами в виде монотерапии курс гомеосиниатрии 34 пациентам с СХТБ позволил уменьшить среднегрупповую выраженность болевого синдрома в 2 раза [6].
Проблема СХТБ на сегодняшний день далека от разрешения. Необходимы более масштабные всесторонние исследования больных с данной патологией, основанные на достоверной доказательной базе. Для этого необходим мультидисциплинарный подход к ведению больных с СХТБ с обязательным привлечением к проблеме неврологов, мануальных терапевтов, психиатров и психотерапевтов, урологов, гинекологов, проктологов, а иногда и хирургов. Представляется целесообразным выделить «синдром хронической тазовой боли напряжения» в самостоятельную нозологическую единицу, которая может занять определенную нишу в структуре хронических тазовых болей, с целью упорядочения классификации синдромов хронической тазовой боли и как следствие - более дифференцированного подхода к терапии.
Читайте также:
- Количество узлов первично множественного рака. Одновременное и последовательное выявление множественных опухолей
- Распределение лекарств в организме в зависимости от пути введения
- Лечение парестезий к пластиковым протезам. Аллергии к протезам из пластика
- Диагностика тромбоэмболии легочной артерии. Неотложная помощь при тромбоэмболии легочной артерии.
- Роль световой и темновой адаптации. Цветовое зрение
