Алгоритм начала чреспищеводной эхокардиографии (ЧПЭ)
Добавил пользователь Евгений Кузнецов Обновлено: 21.11.2025
Другие названия - транспищеводная эхокардиография (ТПЭ).
Метод чреспищеводной эхокардиографии получил серьезное развитие в 90-х годах прошлого века. На сегодняшний день эта методика прочно завоевала одно из ведущих мест в кардиологических исследованиях. Без нее невозможно представить проведение операций на сердце. При этом немало пользы приносит чреспищеводная эхокардиография как в консультативной практике, так и при лечении неотложных кардиологических состояний. Используется преимущественно в условиях стационара, поскольку требует наличия высокотехнологичного оборудования и подготовленных специалистов.
ЧПЭхоКГ может проводиться под местной анестезией, однако, наибольшую информативность и комфорт пациента обеспечивает исследование во сне, т.е. в условиях общей анестезии.
Отличия ЧПЭхоКГ от стандартной ЭхоКГ
При стандартной ЭхоКГ ультразвуковой датчик прикладывается снаружи на передней поверхности грудной клетки. Ультразвуковой луч проходит через стенку грудной клетки (кожа, жир, мышцы, кости, ткани) и легкие, прежде чем достигает сердца. Этот метод также носит название - трансторакальная эхокардиография.
При чреспищеводной (или транспищеводной) эхокардиографии ультразвуковой датчик располагается в пищеводе (часть пищеварительного канала, соединяющая полость рта и желудок). Поскольку пищевод располагается непосредственно позади сердца, ультразвуковому лучу не требуется преодолевать препятствия в виде стенки грудной клетки и легких. Таким образом, при ЧПЭхоКГ удается получить более четкое изображение структур сердца и с большей точностью оценить функцию сердечной мышцы и клапанов.
Когда выполняется ЧПЭхоКГ?
Ваш доктор может назначить ЧПЭхоКГ в следующих случаях:
- Необходимость уточнения данных стандартной ЭхоКГ при затрудненной визуализации интересующих структур
- Подозрение на наличие различной патологии сердца при которой точность обычной ЭхоКГ ниже, например, приобретенные пороки сердца, инфекционный эндокардит, образования и тромбы в полостях сердца, врожденные пороки сердца, хроническая и острая патология аорты
- Подозрение на нарушение функции имплантированного протеза клапана сердца
- Выявление источника эмболии при инсульте, транзиторных ишемических атаках
- Выявление тромбов в полостях предсердий перед восстановлением синусового ритма у пациентов с затянувшимся приступом мерцательной аритмии
Как проводится чпэхокг (ТПЭ)?
Пациент укладывается на кушетку, при проведении общей анестезии устанавливается катетер в вену на руке для введения анестетика и препаратов в случае необходимости коррекции жизненно-важных показателей (давление, пульс). Полость глотки орашается местным анестетиком во всех случаях, в том числе и при использовании общей анестезии для снижения раздражения в глотке после пробуждения. К пациенту подключается монитор для слежения за работой системы кровообращения (давление и пульс) и дыхания (насыщение крови кислородом). Если используется общая анестезия, обеспечивается подача дополнительного кислорода для профилактики нарушений дыхания.
Пациент поворачивается на левый бок. В рот вставляется так называемый загубник, который просят плотно захватить зубами, он необходим для предотвращения травмирования пациента и повреждения датчика. При использовании только местной анестезии - в полость рта вводится гибкий эндоскоп, после чего пациента просят совершать глотательные движения и продвигают его в пищевод. В этот момент ощущается небольшой дискомфорт, не сопровождающийся болевыми ощущениями. При использовании общей анестезии - после введения анестетика для обеспечения комфорта и наступления его эффекта в полость рта также вводится гибкий эндоскоп, который затем сразу продвигается в пищевод. На конце эндоскопа располагается непосредственно ультразвуковой датчик, от которого передается изображение сердца на монитор. Датчик располагают прямо позади сердца и с помощью изменения ориентации ультразвукового луча исследуют структуры и функцию сердца под различным углом. Во время процедуры сохраняется самостоятельное дыхание пациента, ингалируется кислород, осуществляется слежение за жизненными показателями, при избыточном слюноотделении проводится аспирация слюны.
После процедуры следует воздержаться от приема пищи и воды в течение 2 часов, чтобы дать время для окончания действия местного анестетика и восстановления рефлексов глотки, которые защищают человека от попадания пищи или жидкости в дыхательные пути. Не рекомендуется употреблять горячую пищу и жидкость в день после исследования, т.к. на слизистой глотки и рта могут остаться небольшие дефекты, подверженные раздражению при контакте с горячим. После окончания действия местного анестетика могут оставаться неприятные ощущения в глотке, которые обычно не продолжаются дольше 24 часов. При использовании общей анестезии запрещается управлять автомобилем и опасными механизмами в течение не менее 12 часов.
Подготовка к проведению ЧПЭхоКГ
- Воздержитесь от приема пищи за 6-8 часов до процедуры. Прием чистой жидкости возможен не менее чем за 2 часа до процедуры
- Примите все обычные лекарства, если нет специальных инструкций от вашего доктора. Их можно запить несколькими глотками если до процедуры остается не менее 2 часов
- Если планируется общая анестезия и Вы приезжаете из дома, желательно заранее позаботиться о транспортировке обратно. Вам нельзя будет самостоятельно управлять автомобилем, однако, возможно самостоятельно воспользоваться общественным транспортом
- Постарайтесь полно ответить на вопросы доктора и обязательно сообщите о наличии у Вас аллергических реакций, проблем с глотанием твердой пищи, каких-либо других проблем со стороны полости рта, пищевода или желудка
- Съемные зубные протезы необходимо снять
Длительность процедуры ЧПЭхоКГ
Вам следует запланировать на пребывание в клинике примерно 2 часа, в случае применения общей анестезии - 3-4 часа. Собственно процедура длится 15-20 минут. Остальное время занимает подготовка и наблюдение.
Безопасность ЧПЭхоКГ
ЧПЭхоКГ представляет собой отработанную процедуру и вполне безопасна. Однако, при выполнении потребуется ввести датчик в пищевод и желудок, что в небольшом проценте случаев может быть сопряжено с такими явлениями как затруднение дыхания, замедление или учащение пульса, реакция на общий или местный анестетик, легкое повреждение слизистой с появлением кровянистых выделений. Такое грозное осложнение как перфорация пищевода встречается крайне редко (частота меньше 1 на 10000 исследований), большинство таких случаев описано для детской популяции.
Когда обратиться к доктору
- Поперхивание при употреблении твердой и жидкой пищи, воды или проглатывании слюны
- Интенсивное выделение крови изо рта или интенсивные боли в глотке
Результат исследования
После окончания исследования результат выдается в виде заключения, как правило, сразу, однако, в ряде случаев доктору может потребоваться время на пересмотр записи для более детального анализа. Возможно сохранение материалов исследования на электронный носитель.
Чреспищеводная эхокардиография
Чреспищеводная эхокардиография (ЧПЭхоКГ) - метод ультразвуковой диагностики сердца с использованием специального датчика, вводимого через пищевод.
Позволяет улучшить «ультразвуковое окно» и дает возможность значительно лучшей визуализации мелких структур сердца из чреспищеводного доступа.
Чреспищеводная эхокардиография применяется в клинической практике достаточно широко, она используется во всех случаях, когда разрешающая способность трансторакальной зхокардиографии не позволяет поставить точный диагноз, детально изучить анатомию различных внутрисердечных структур и оценить внутрисердечную гемодинамику.
Основные показания к проведению ЧПЭхоКГ:
диагностика внутрисердечных тромбозов (источника эмболий);
инфекционный эндокардит (чувствительность ЧПЭхоКГ в диагностике вегетаций приближается к 100% по мнению большинства исследователей);
диссекция (расслоение) аорты, аневризма аорты;
диагностика митральной регургитации и оценка клапанных протезов. См. подробнее ЧПЭхоКГ с функцией MVQ (mitral valve quatfification).
Противопоказаниями являются заболевания пищевода: злокачественные новообразования, дивертикул пищевода, фистулы, стриктуры, варикозное расширение вен пищевода, воспалительные заболевания пищевода, кровотечение из верхней части желудочно-кишечного тракта.
Осложнения
За четыре десятка лет существования ЧПЭхоКГ признана безопасным методом диагностики. Серьезные осложнения, связанные непосредственно с исследованием, встречаются менее чем в 3% случаев, летальные исходы фиксируются по данным разных авторов в 0,01 - 0,03%. Среди возможных осложнений в литературе в виде единичных случаев перечисляются травмы глотки или трахеи, кровотечение из вен пищевода, перфорация пищевода, транзиторная бактериемия, нестабильность гемодинамики, нарушения ритма.
Как подготовиться к ЧПЭхоКГ
Обязательным условием для проведения ЧПЭхоКГ является 6-часовое голодание перед исследованием. Следует отказаться от воды за 3 часа. Съемные зубные протезы (в случае их наличия) должны быть удалены.
Методика выполнения ЧПЭхоКГ
Для уменьшения рвотного рефлекса производят поверхностную анестезию глотки. После в пищевод вводится датчик, расположенный на гибком зонде (методика схожа с гастроскопией). Во время исследования пациент находится в положении на левом боку лицом к врачу, проводящему исследование. Правое колено пациента согнуто и располагается спереди от левой ноги, голова слегка наклонена вперед. Для защиты датчика от перекуса используют загубник. Датчик перед введением обрабатывают ультразвуковым гелем. Введение датчика в пищевод проводится врачом. Датчик располагается в средней части пищевода на уровне сердца. Отсутствие преград для ультразвука и малое расстояние до структур сердца позволяет в разы повысить разрешающую способность исследования и получить информацию, недоступную при трансторакальном исследовании. Исследование длится 5 - 15 минут, что зависит от объема требуемой информации.
Общее время нахождения датчика в пищеводе обычно не превышает 7-12 минут.
Чреспищеводная
эхокардиография
Чреспищеводная эхокардиография - расширенное ультразвуковое исследование сердца, которое проводится после стандартной эхокардиографии для более детального изучения строения органа.
В МЕДСИ это исследование проводится на современном оборудовании высококвалифицированными специалистами с многолетним опытом работы в функциональной диагностике и кардиологии. Процедура позволяет получить максимальный объем исчерпывающей диагностической информации о состоянии и патологических изменениях сердца.
Детальное описание
Для чего проводится чреспищеводная эхокардиография?
Во время процедуры датчик, испускающий ультразвук, располагается в пищеводе. Это гораздо ближе к структурам сердца, которые труднодоступны для оценки при обычной эхокардиографии с чрескожным датчиком. Только чреспищеводная ЭХО-КГ позволяет увидеть тромбы в ушках левого предсердия. При ее помощи можно получить гораздо больше информации об опухолях сердца и образованиях на клапанах, чем при стандартном УЗИ (ДЭХО-КГ). Исследование точнее определяет плотность прикрепления тромбов, что позволяет определить крайне важный прогностический показатель - риск их отрыва.
Также процедура дает сведения о:
- Толщине стенок сердца
- Объеме сердечных камер
- Состоянии сосочковых мышц
- Наличии хорд внутри желудочков
- Состоянии створок клапанов
- Диаметре и состоянии сосудов, отходящих от камер сердца
- Функциональных показателях движения крови внутри сердца и в сосудах
- Изменениях стенок сердца, клапанов и других органических структур сердца во время его сокращений
Показания и противопоказания
Процедура проводится только по рекомендации врача-кардиолога, если ему необходимо больше узнать о состоянии сердца, клапанов или крупных сосудов пациента.
Основные показания к лечению:
- Расслоение аорты
- Тромбы в полостях сердца
- Объемные образования стенок сердца
- Патология клапанов (клапанная регургитация, пороки)
- Инфекционный эндокардит
- Определение состояния сердца после протезирования клапанов
- Патология межпредсердной, межжелудочковой перегородки
- Аневризмы сердца (аорты, стенок, перегородок)
- Открытое овальное окно
- Шумы в сердце
- Перенесенный инфаркт миокарда
Процедура противопоказана при:
- Патологии пищевода, которая мешает правильному введению и расположению датчиков (пищеводные кровотечения, сужение пищевода, дивертикулы, образования стенок пищевода, эзофагит, варикозное расширение вен пищевода)
- Патологии свертываемости крови
- Общем тяжелом состоянии пациента
- Инфекционно-воспалительных заболеваниях
- Недавно перенесенных острых сердечно-сосудистых заболеваниях или высоком риске их появления
Описание процедуры
Перед исследованием нужно пройти подготовку:
- В течение 3 месяцев до процедуры сдать анализы крови на ВИЧ, вирусные гепатиты, сифилис
- В течение месяца до эхокардиографии пройти эзофагогастродуоденоскопию, чтобы убедиться в отсутствии заболеваний пищевода
- Перед процедурой 6-8 часов не принимать пищу
Исследование проводится в кабинете эхокардиографии. Пациенту проводят обезболивание глотки раствором лидокаина, который снижает чувствительность слизистой. В рот вставляют загубник, через него в пищевод проводят датчик и устанавливают его на уровне предсердий. Далее врач последовательно изучает и описывает структуры сердца. Изменения также регистрируются на видео и снимках.
Пациенту на протяжении процедуры рекомендуется оставаться неподвижным и дышать через нос. Во время ее проведения возможен небольшой дискомфорт за грудиной, но в большинстве случаев он достаточно быстро проходит.
Длительность исследования составляет от 10 до 20 минут.
Результат
По результатам исследования врач составляет заключение. Чреспищеводная эхокардиография проводится без анатомических помех (датчик располагается почти вплотную к сердцу), поэтому полученные данные максимально развернутые и точные.
Преимущества чреспищеводной эхокардиографии в МЕДСИ
- Все специалисты прошли специальное обучение проведению чреспищеводной эхокардиографии
- К выполнению процедуры допускаются только те врачи, которые имеют наиболее богатый опыт и регулярную практику эхокардиографии, то есть выполняют эту процедуру максимально профессионально, бережно и быстро
- Оборудование для исследования стерилизуется перед каждым использованием согласно стандартам, расходные материалы - одноразовые
Чтобы больше узнать о возможностях чреспищеводного исследования, уточнить цены или записаться на прием к кардиологу, звоните: .
Метод интраоперационной трёхмерной чреспищеводной эхокардиографии у пациентов с выраженной недостаточности митрального клапана
Трёхмерная чреспищеводная эхокардиография (3D-ЧП ЭхоКГ) по сравнению с двухмерной позволяет получить наиболее полное представление о морфометрии отдельных структур и сердца в целом. Методика интраоперационной 3D ЧП ЭхоКГ незаменима при выполнении реконструктивных вмешательств у пациентов с митральной недостаточностью (МН), которая занимает второе место в структуре пороков сердца. Согласно рекомендациям Европейского общества кардиологов (ESC) и Европейской ассоциации кардиоторакальных хирургов (EACTS) 2017 года, именно реконструктивные операции на митральном клапане у пациентов с недостаточностью приобретают приоритетное значение. Безусловными преимуществами пластических операций являются низкий риск развития тромбоэмболий и эндокардита, лучшая отдалённая выживаемость и свобода от приёма антикоагулянтов. Успех хирургического лечения с использованием реконструктивного подхода во многом зависит от уровня и качества выполненных диагностических исследований.
Трёхмерная интраоперационная чреспищеводная эхокардиография позволяет в режиме реального времени проводить построение модели клапана, которая максимально сопоставима с видом клапана, каким его видит хирург в операционном поле («surgical view»), и детально оценить его анатомию, геометрию и функцию. На основании полученных данных хирург имеет объективную возможность определить тактику операции, объём и вид реконструкции клапана. После выполненной реконструкции незамедлительно оценить результат операции.
Представляем клинический случай использования интраоперационной чреспищеводной эхокардиографии с 3D режимом для определения тактики и оценки результатов операции у пациентки с выраженной недостаточностью митрального клапана.
Пациентка, 56 лет, поступила в отделение реконструктивной хирургии клапанов сердца и коронарных артерий ФГБУ «НМИЦ ССХ им. А.Н. Бакулева» Минздрава России с жалобами на одышку при умеренной физической нагрузке, сердцебиение. Из анамнеза: страдает ревматизмом с 15 лет. По данным трансторакальной эхокардиографии (ЭхоКГ) выявлена выраженная митральная недостаточность, дилатация левых отделов сердца.
На основании проведённого обследования поставлен диагноз: Ревматизм, неактивная фаза. Митральный порок сердца: выраженная недостаточность. Относительная умеренная недостаточность трикуспидального клапана. Дилатация левых камер сердца. Умеренная лёгочная гипертензия. ХСН 2А. ФК 3 по NYHA.
Была выполнена операция: Многокомпонентная реконструкция митрального клапана с ушиванием расщепления передней митральной створки, с аннулопластикой на опорном кольце; пластика трикуспидального клапана по de Vega, в условиях ИК, гипотермии и ФХКП. (хирург — директор Института коронарной и сосудистой хирургии ФГБУ «НМИЦ ССХ им. А.Н. Бакулева» МЗ РФ, профессор И.И. Скопин).
Данные интаоперационной 3D ЧП ЭхоКГ: Митральный клапан: ФК 44 мм, створки уплотнены, расщепление передней створки от свободного края до фиброзного кольца в сегменте А 2, движение створок разнонаправленное. Градиент давления максимальный — 6,2 мм рт.ст., средний 2,1 мм рт.ст. Регургитация выраженная: vena contracta - 0,9 см, площадь потока регургитации — 11,4 см², в непрерывноволновом допплеровском режиме плотный поток регургитации, радиус PISA — 1,0 см. Регургитация — эксцентричная, по боковой стенке ЛП.

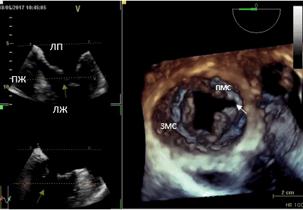
Рис. 1. Трёхмерная чреспищеводная эхокардиография. Среднепищеводный доступ. Трёхмерная реконструкция митрального клапана. (ЛП — левое предсердие, ЛЖ — левый желудочек, ПЖ— правый желудочек, ПМС — передняя митральная створка, ЗМС — задняя митральная створка). Расщепление передней митральной створки (белая стрелка).

Рис. 2. Чреспищеводная эхокардиография. Среднепищеводный доступ. Четырёхкамерная позиция. (ПП — правое предсердие). Площадь потока регургитации — 11,4 см².

Рис. 3. Чреспищеводная эхокардиография. Среднепищеводный доступ. Четырёхкамерная позиция. Vena contracta 0,9 см.
На основании дооперационной трансторакальной эхокардиографии планировалась имплантация опорного кольца и коррекция пролапса ПМС за счёт имплантации неохорд или транслокации хорд от задней митральной створки к передней. Данные интраоперационной трёхмерной ЧП ЭхоКГ позволили визуализировать расщепление передней створки митрального клапана и подтвердить дилатацию фиброзного кольца. Таким образом, тактика операции была изменена и выполнена пластика расщеплённой передней створки МК, имплантация опорного кольца Carpantier-Edwards №32, пластика трикуспидального клапана по de Vega.
После отключения искусственного кровообращения и стабилизации гемодинамики выполнено контрольное ЧП ЭхоКГ исследование. Показатели функционального состояния миокарда, клапанного аппарата были в норме.
В представленном клиническом случае больной с патологией митрального клапана - выраженной недостаточностью, в плановом порядке интраоперационно до основного этапа операции проведена чреспищеводная эхокардиография с построением в режиме реального времени трёхмерной модели клапана, позволившая детально оценить патологию и определить механизм формирования митральной недостаточности. С помощью трёхмерной реконструкции удалось диагностировать расщепление передней створки митрального клапана, определить точную локализацию патологии.
Полученные данные были подтверждены непосредственно в ходе операции при ревизии клапана и явились основанием выбора тактики хирургического вмешательства.
УЗИ сердца - Эхокардиография
Эхокардиография (ЭхоКГ) — один из наиболее информативных, безопасных, безболезненных и неинвазивных методов исследования структуры и функции сердца. Исследование основано на анализе отражения ультразвуковых волн от тканей сердца и крови. Метод является обязательным при обследовании пациента с сердечно-сосудистой патологией.
Отделение ультразвуковой диагностики НМИЦ ССХ им. А.Н. Бакулева выполняет весь спектр современных эхокардиографических исследований:
Комплексную трансторакальную эхокардиографию с использованием М- и В- допплеровских режимов, ЦДК, тканевой допплерографии
Трехмерную чреспищеводную эхокардиографию
Оценку деформации миокрада методом Speckle Tracking Echocardiography
Показания к эхокардиографии:
Подозрение на наличие врожденного или приобретенного порока сердца
Шум неясной этиологии
Изменения на ЭКГ ишемического характера
Перенесенный инфаркт миокарда
Регулярная физическая нагрузка
Нарушения ритма сердца
Оценка функции механических и биологических протезов клапанов сердца
Противопоказания:
Эхокардиографию сердца можно проводить любому пациенту, т.к. ультразвук не оказывает вредного воздействия на организм и не нарушает работу имплантированных устройств. Трансторакальная эхокардиография практически не имеет противопоказаний, кроме значимого повреждения кожи в исследуемой области.
Методика проведения трансторакальной эхокардиографии
Пациент снимает верхнюю одежду и ложится на кушетку на левый бок или на спину. На зону исследуемой области наносится водорастворимый, проводящий ультразвук, гель. С помощью датчика происходит сканирование. В процессе исследования возможно изменение положение тела для лучшей визуализации. После исследования гель с тела удаляется салфеткой. Заключение пациент получает сразу после исследования. Для некоторых видов исследования проводится одновременная регистрация ЭКГ.
Подготовка
Трансторакальная эхокардиография не требует специальной подготовки.
Оборудование:
Кабинеты эхокардиографии в НКО оборудованы современными аппаратами экспертного класса с необходимым пакетом программ исследования:
Читайте также:
