Церебральный глиоматоз - причины, симптомы, диагностика и лечение
Добавил пользователь Владимир З. Обновлено: 11.12.2025
Церебральный глиоматоз — это диффузная инфильтрация головного мозга атипичными глиальными клетками, охватывающая более двух мозговых долей. Типичными клиническими симптомами являются спастические парезы, прогрессирующее когнитивное снижение, эпилептические приступы, цефалгия, мозжечковый синдром, дисфункция черепных нервов. Необходимые диагностические исследования включают МРТ мозга, электроэнцефалографию и церебральную биопсию. Лечение осуществляется путём комбинирования курсов химиотерапии и диффузного облучения мозга. Параллельно проводится симптоматическая терапия.
МКБ-10

Общие сведения
Термин «церебральный глиоматоз» впервые был введён в 1938 году. Согласно классификации ВОЗ 2007 года, глиоматоз головного мозга относится к астроцитарным нейроэпителиальным опухолям, новообразованиям с III степенью злокачественности. В новой классификации опухолей ЦНС (ВОЗ, 2016 год) церебральный глиоматоз рассматривается как вариант распространения диффузной глиомы.
Неоплазия относится к редким опухолям головного мозга. В литературе по неврологии данные о заболеваемости колеблются в пределах 0,6-8 случаев в год. Патологии подвержены все возрастные категории, наиболее часто заболевают люди в возрасте 40-60 лет. Мужчины страдают глиоматозом несколько чаще женщин, соотношение составляет 1,3:1.

Причины
Гистохимическое и генетическое изучение опухолей, попытки которого предпринимались с начала XXI века, позволили обнаружить генетические изменения опухолевых клеток по сравнению с нормальными глиоцитами. Наиболее известны генные мутации IDH1, IDH2, встречающиеся в 70% случаев. Мутации обуславливают изменение биохимических процессов внутри здоровой клетки и её трансформацию в опухолевую. Этиофакторы, провоцирующие мутации и запускающие онкогенез, точно не установлены. Возможен мультифакторный механизм возникновения онкологического процесса, включающий следующие составляющие:
- Онкогенные факторы. Предположительно мутагенную роль играют радиоактивное излучение, онкогенные вирусы (цитомегаловирус, полиомавирус, герпетическая инфекция), вредоносные химические вещества, содержащиеся в некоторых продуктах питания (консерванты, красители, эмульгаторы), загрязнённом воздухе. Указанные воздействия способны вызывать изменения в генетическом аппарате клеток, ведущие к трансформации последних в онкоклетки.
- Иммуносупрессия. Иммуносупрессивное состояние организма развивается на фоне терапии кортикостероидами, цитостатиками, длительного течения хронических заболеваний. Приводит к отсутствию активного срабатывания противоопухолевых механизмов, ответственных за ликвидацию претерпевших онкотрансформацию клеток. Результатом является беспрепятственное увеличение числа опухолевых клеток, прогрессивное развитие онкопроцесса.
- Генетическая восприимчивость. Генетически детерминированная склонность к различной онкопатологии ЦНС прослеживается при ряде наследственных заболеваний (нейрофиброматозе, болезни Гиппеля-Линдау, синдроме Ли-Фраумени). Механизмы реализации заложенной в геноме предрасположенности пока не определены.
Патогенез
Гены IDH1/2 кодируют ферменты, катализирующие реакции синтеза альфа-кетоглутарата (пентозы) и его карбоксилирования в изоцитрат. Мутации данных генов приводят к блокированию указанных биохимических реакций, переводу пентозы в онкометаболит 2-гидроксиглутарат. Внутриклеточные дисметаболические процессы обуславливают изменение параметров нормальных глиоцитов, приобретение ими свойственных онкоклеткам характеристик: клеточного атипизма, склонности к неконтролируемому делению. При наличии иных мутаций клеточного генома реализуются аналогичные патогенетические механизмы.
Церебральный глиоматоз отличается диффузным распространением онкоклеток по мозговым тканям без формирования опухолевых узлов. Поражение захватывает не менее двух долей, распространяется в оба полушария. Чаще всего (76%) инфильтрируется большой мозг, мозолистое тело. В половине случаев отмечается вовлечение моста, среднего мозга.
Глиоматоз тканей таламуса наблюдается в 43% случаев, подкорковых ганглиев — в 34%, мозжечка — в 29%. Поражение мозговой коры отмечается у 19% больных. Микроскопически очаги глиоматоза представлены атипичными глиальными клетками, преимущественно сходными с астроцитами. В ряде случаев преобладают онкоклетки, фенотипически идентичные олигодендроглиоцитам.
Классификация
Поскольку церебральный глиоматоз классифицирован ВОЗ как форма диффузной глиомы, актуальность приобретает его разделение по фенотипическим особенностям морфологии. Информация о типе клеток, составляющих зоны глиоматоза, имеет первостепенное прогностическое значение. В связи с этим выделяют три основных варианта:
- Астроцитарный. Глиоматозные зоны представлены атипичными астроцитами. Наиболее распространённый тип глиоматоза, имеет II-III степень злокачественности. Со временем способен трансформироваться в более злокачественный глиобластомный вариант.
- Олигодендроглиальный. Глиоматозные участки состоят из атипичных олигодендроглиоцитов. Степень злокачественности — II-III. В последующем возможно глиобластомное перерождение опухоли.
- Глиобластомный. Морфологически представлен низкодифференцированными атипичными клетками. Возникает первично или вследствие трансформации предыдущих вариантов. Наиболее агрессивный церебральный онкопроцесс, IV степень злокачественности.
Благодаря введению в медицинскую практику генетического тестирования опухолевых клеток возникло разделение глиом в соответствии с наличием IDH-мутации. При выявлении дефекта генов IDH1/IDH2 опухоль классифицируется как имеющая мутацию IDH. При отрицательном результате генетического анализа новообразование расценивается как IDH-дикого типа. В случаях недоступности IDH-тестирования опухоль относят к категории NOS.
Симптомы церебрального глиоматоза
Симптоматика крайне неспецифична, на начальных стадиях заболевания не отражает массивность поражения. Типичны пирамидные расстройства движений, деменция. Преобладание поражения одного полушария ведёт к развитию гемипареза контрлатеральных конечностей, билатеральный глиоматоз проявляется тетрапарезом различной выраженности. Мышечная слабость сопровождается повышением сухожильных рефлексов, спастическим гипертонусом, придающим конечностям полусогнутое положение.
Нарушения интеллектуальной сферы манифестируют снижением памяти, внимания, замедлением мышления. Неуклонно прогрессирующий характер когнитивной дисфункции приводит к развитию элементов амнезии, акалькулии, агнозии, апраксии с последующим переходом в глубокую органическую деменцию. Возможны психические расстройства: изменение поведения, агрессивность, психомоторное возбуждение, эйфория.
40% пациентов предъявляют жалобы на цефалгию, носящую диффузный характер. Симптомы внутричерепной гипертензии (тошнота без связи с едой, рвота на высоте цефалгии, ощущение давления на глазные яблоки) возникают у 34% больных. В 38% случаев наблюдаются эпилептические пароксизмы. С такой же частотой отмечается дисфункция различных черепно-мозговых нервов.
В 33% случаев церебральный глиоматоз протекает с мозжечковым синдромом. Признаки мозжечковой атаксии включают крупноразмашистый нистагм, неустойчивость ходьбы, сопровождающейся отклонениями тела в стороны, дискоординацию, гиперметрию движений, скандированную речь, макрографию. Сенсорные нарушения отмечаются в 18% случаев, представлены поверхностной и глубокой гипестезией, парестезиями.
Осложнения
Поражение черепных нервов бульбарной группы сопровождается нарушениями глотания. Попёрхивание может осложниться попаданием пищи/жидкости в дыхательную систему с развитием аспирационной пневмонии. Выраженные пирамидные, мозжечковые расстройства делают пациента постельным больным. Ограничение двигательной активности без соответствующего ухода чревато возникновением пролежней, застойной пневмонии. Спастический парез приводит к образованию контрактур суставов. Наиболее тяжёлые жизнеугрожающие осложнения возможны при поражении церебрального ствола, где расположены сосудистый и дыхательный центры.
Диагностика
Диагностические сложности связаны с неспецифичностью клинической картины. В неврологическом статусе определяется разнообразный неврологический дефицит, свидетельствующий о диффузном характере поражения мозговых тканей. До эпохи нейровизуализации церебральный глиоматоз диагностировался исключительно патологоанатомами. Современная прижизненная диагностика заболевания возможна только по результатам МРТ головного мозга и биопсии. Перечень обследований, назначаемых врачом-неврологом в ходе диагностики, включает:
- Электроэнцефалографию. ЭЭГ проводится на начальном диагностическом этапе. Регистрирует диффузные изменения биоэлектрической активности. Пароксизмальные эпилептогенные спайки наблюдаются в случае судорожного синдрома.
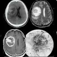
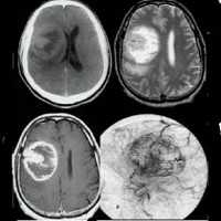
- Магнитно-резонансную томографию. В режиме Т1 опухоль изо- или гиподенсивна, что затрудняет оценку её распространённости. Золотым стандартом диагностики является МРТ в режиме Т2, который даёт гиперденсивную визуализацию глиоматозных зон. КТ головного мозга может не выявить опухолевый процесс, поскольку при данном исследовании глиоматоз оказывается изоденсивным по отношению к нормальным мозговым тканям.
- Стереотаксическую биопсию. Несмотря на неоднородность строения различных глиоматозных участков, большинство клиницистов склоняются к необходимости биопсии. Полученный церебральный материал подлежит гистологическому исследованию, что позволяет установить морфологическую принадлежность опухоли, оценить степень злокачественности.
- IDH-типирование. Новый диагностический метод, постепенно внедряемый в нейроонкологическую практику. Осуществляется по технологии генетической ПЦР-диагностики. Результаты типирования учитываются при выборе лечебной тактики, позволяют делать более точные прогностические предположения.
Дифференциальная диагностика
Церебральный глиоматоз необходимо дифференцировать от:
- множественных лимфом ЦНС;
- мультифокальной глиобластомы;
- энцефалита;
- прогрессирующей лейкоэнцефалопатии.
Для энцефалита характерен соответствующий эпидемиологический анамнез, для лейкоэнцефалопатии — развитие на фоне ВИЧ, выявление ДНК вируса JC при исследовании цереброспинальной жидкости. Отличить глиоматоз от многоочаговых поражений (лимфом, глиобластом) позволяет МРТ.
Лечение церебрального глиоматоза
Диффузный характер опухолевого процесса не позволяет произвести радикальное хирургическое лечение. Операция возможна при сочетании глиоматоза с единичным крупным очаговым поражением. В подобных случаях нейрохирургическое вмешательство направлено на удаление очага. Основными методами консервативной терапии являются:
- Радиологическое лечение. Производится серия сеансов лучевой терапии с тотальным церебральным облучением. Лучшие результаты даёт использование IMRT — облучения при помощи компьютеризированных рентгеновских ускорителей. Метод позволяет регулировать интенсивность воздействия в различных участках мозга: направлять излучение в крупные зоны глиоматоза, минимизировать дозу облучения критически важных церебральных структур.
- Химиотерапия. Комбинируется с радиотерапией. Осуществляется путём поэтапного курсового лечения цитостатиками: темозоломидом, кармустином, карбоплатином. Наиболее результативно применение нескольких препаратов с разным механизмом действия. Перерыв между курсами химиотерапии обусловлен выраженным побочным действием химиопрепаратов, необходимостью восстановления организма.
- Симптоматическое лечение. Направлено на купирование основных симптомов заболевания, побочных эффектов цитостатической и лучевой терапии. Применяются противорвотные, анальгезирующие, противоотёчные, психотропные, противоэпилептические фармпрепараты.
Непрерывно производятся попытки разработки новых эффективных способов лечения. Наиболее перспективными выглядят два направления - генетика и биохимия. Исследования в области генной инженерии направлены на поиск методов изменения генома опухолевой клетки, способных вызывать её апоптоз. Изучение биохимических особенностей онкоклеток подразумевает поиск кардинально новых способов фармакологического воздействия на опухолевый процесс.
Прогноз и профилактика
Церебральный глиоматоз — тяжёлое заболевание с летальным исходом. Длительность жизни пациентов после установления диагноза в среднем составляет 2-3 года, в отдельных случаях превышает 10 лет. Прогноз зависит от морфологического варианта, распространённости опухоли. Исследования показывают существенное увеличение продолжительности жизни больных, имеющих глиомы с мутациями IDH1/IDH2, в сравнении с пациентами, опухоли которых свободны от IDH-дефектов. Мерами предупреждения глиоматоза являются исключение онкогенных воздействий, корректное лечение склонных к персистенции вирусных инфекций, поддержание должного уровня иммунитета.
Глиома головного мозга
Глиома головного мозга — наиболее распространенная опухоль головного мозга, берущая свое начало из различных клеток глии. Клинические проявления глиомы зависят от ее расположения и могут включать головную боль, тошноту, вестибулярную атаксию, расстройство зрения, парезы и параличи, дизартрию, нарушения чувствительности, судорожные приступы и пр. Глиома головного мозга диагностируется по результатам МРТ головного мозга и морфологического исследования опухолевых тканей. Вспомогательное значение имеет проведение Эхо-ЭГ, ЭЭГ, ангиографии сосудов головного мозга, ЭЭГ, офтальмоскопии, исследования цереброспинальной жидкости, ПЭТ и сцинтиграфии. Общепринятыми способами лечения в отношении глиомы головного мозга являются хирургическое удаление, лучевая терапия, стереотаксическая радиохирургия и химиотерапия.

Глиома головного мозга встречается в 60% случаев опухолей головного мозга. Название «глиома» связано с тем, что опухоль развивается из глиальной ткани, окружающей нейроны головного мозга и обеспечивающей их нормальное функционирование. Глиома головного мозга представляет собой в основном первичную внутримозговую опухоль полушарий мозга. Она имеет вид розоватого, серовато-белого, реже темно-красного узла с нечеткими очертаниями. Глиома головного мозга может локализоваться в стенке желудочка мозга или в области хиазмы (глиома хиазмы). В более редких случаях глиома располагается в нервных стволах (например, глиома зрительного нерва). Прорастание глиомы головного мозга в мозговые оболочки или кости черепа наблюдается лишь в исключительных случаях.
Глиома головного мозга часто имеет округлую или веретенообразную форму, ее размер колеблется от 2-3 мм в диаметре до величины крупного яблока. В подавляющем большинстве случаев глиома головного мозга отличается медленным ростом и отсутствием метастазирования. Однако при этом она характеризуется настолько выраженным инфильтративным ростом, что границу опухоли и здоровых тканей не всегда удается найти даже при помощи микроскопа. Как правило, глиома головного мозга сопровождается дегенерацией окружающих ее нервных тканей, что зачастую приводит к несоответствию выраженности неврологического дефицита размерам опухоли.
В соответствии с классификацией ВОЗ выделяют 4 степени злокачественности глиом головного мозга.
- К I степени относится доброкачественная медленно растущая глиома (ювенильная астроцитома, плеоморфная ксантоастроцитома, гигантоклеточная астроцитома).
- Глиома II степени злокачественности считается «пограничной». Она отличаются медленным ростом и имеет только 1 признак злокачественности, в основном клеточную атипию. Однако такая глиома может трансформироваться в глиому III и IV степени злокачественности.
- При III степени злокачественности глиома головного мозга имеет 2 из трех признаков: фигуры митозов, ядерную атипию или микропролиферацию эндотелия.
- Глиома IV степени злокачественности отличается наличием области некроза (мультиформная глиобластома).
По месту расположения глиомы классифицируются на супратенториальные и субтенториальные, т. е. находящиеся выше и ниже намета мозжечка.
Симптомы глиомы головного мозга
Подобно другим объемным образованиям глиома головного мозга может иметь разнообразные клинические проявления, зависящие от ее расположения. Чаще всего у пациентов наблюдается общемозговая симптоматика: некупируемые обычными средствами головные боли, сопровождающиеся ощущением тяжести в глазных яблоках, тошнотой и рвотой, иногда судорожными приступами. Наибольшей выраженности эти проявления достигают, если глиома головного мозга прорастает в желудочки и ликворные пути. При этом она нарушает циркуляцию цереброспинальной жидкости и ее отток, приводя к развитию гидроцефалии с повышением внутричерепного давления.
Среди очаговых симптомов глиомы головного мозга могут наблюдаться нарушения зрения, вестибулярная атаксия (системное головокружение, шаткость при ходьбе), расстройство речи, понижение мышечной силы с развитием парезов и параличей, снижение глубоких и поверхностных видов чувствительности, психические отклонения (нарушения поведения, расстройство мышления и различных видов памяти).
Процесс диагностики начинается с опроса пациента по поводу его жалоб и последовательности их возникновения. Неврологический осмотр при глиоме головного мозга позволяет выявить существующие нарушения чувствительности и расстройства координации, оценить мышечную силу и тонус, проверить состояние рефлексов и т. п. Отдельное внимание уделяют анализу состояния мнестической и психической сферы пациента.
Провести оценку состояния нервно-мышечного аппарата неврологу помогают такие инструментальные методы исследования как электронейрография и электромиография. Для выявления гидроцефалии и смещения серединных мозговых структур может применяться эхоэнцефалография. Если глиома головного мозга сопровождается зрительными нарушениями, то показана консультация офтальмолога и комплексное офтальмологическое обследование, включающее визиометрию, периметрию, офтальмоскопию и исследование конвергенции. При наличии судорожного синдрома проводится ЭЭГ.
Наиболее приемлемым способом диагностики глиомы головного мозга на сегодняшний день является МРТ головного мозга. При невозможности ее проведения может применяться МСКТ или КТ головного мозга, контрастная ангиография мозговых сосудов, сцинтиграфия. ПЭТ головного мозга дает сведения о метаболических процессах, по которым можно судить о скорости роста и агрессивности опухоли. Кроме того, с диагностической целью возможно проведение люмбальной пункции. При глиоме головного мозга анализ полученной цереброспинальной жидкости выявляет наличие атипичных (опухолевых) клеток.
Вышеперечисленные неинвазивные методы исследования позволяют диагностировать опухоль, однако точный диагноз глиомы головного мозга с определением ее вида и степени злокачественности можно поставить только по результатам микроскопического исследования тканей опухолевого узла, полученных при проведении оперативного вмешательства или стереотаксической биопсии.
Лечение глиомы головного мозга
Полное удаление глиомы головного мозга представляет собой практически невыполнимую задачу для нейрохирурга и возможно только в случае ее доброкачественности (I степени злокачественности по классификации ВОЗ). Это связано со свойством глиомы головного мозга значительно инфильтрировать и прорастать окружающие ее ткани. Разработка и применение в ходе нейрохирургических операций новых технологий (микрохирургии, интраоперационного картирования головного мозга, МРТ-сканирования) немного улучшило ситуацию. Однако до сих пор хирургическое лечение глиомы в большинстве случаев по сути является операцией по резекции опухоли.
Противопоказаниями к осуществлению хирургического метода лечения является нестабильное состояние здоровья пациента, наличие других злокачественных новообразований, распространение глиомы головного мозга в оба полушария или ее неоперабельная локализация.
Глиома головного мозга относится к радио- и химиочувствительным опухолям. Поэтому химио- и радиотерапия активно применяются как в случае неоперабельности глиомы, так и в качестве пред- и постоперационной терапии. Предоперационная лучевая и химиотерапия может быть проведена только после подтверждения диагноза результатами биопсии. Наряду с традиционными методами радиотерапии возможно применение стереотаксической радиохирургии, позволяющей воздействовать на опухоль при минимальном облучении окружающих тканей. Следует отметить, что лучевая и химиотерапия не могут служить заменой хирургического лечения, поскольку в центральной части глиомы головного мозга зачастую располагается участок, плохо поддающийся воздействию облучения и химиопрепаратов.
Прогноз
Глиомы головного мозга имеют преимущественно неблагоприятный прогноз. Неполное удаление опухоли приводит к ее быстрому рецидивированию и лишь продлевает жизнь пациента. Если глиома головного мозга имеет высокую степень злокачественности, то в половине случаев больные погибают в течение 1 года и только четверть из них живет дольше 2 лет. Более благоприятный прогноз имеет глиома головного мозга I степени злокачественности. В случаях, когда удается произвести ее полное удаление с минимальным послеоперационным неврологическим дефицитом, более 80% прооперированных живут дольше 5 лет.
Глиома головного мозга: симптомы и лечение
Глиома головного мозга представляет собой наиболее часто встречающийся вид опухоли, растущий из глиальной ткани, которую составляют вспомогательные клетки нервной системы. На долю глиом приходится около 60% всех опухолей, локализованных в головном мозге. Название разновидностей глиом - астроцитом, эпендимом и других происходит от названия клеток, образующих опухоль.
Услуги по диагностике и лечению глиомы головного мозга предлагает ведущий многопрофильный медицинский центр Москвы - Юсуповская больница. Положительные результаты лечения достигаются благодаря высокому профессионализму врачей центра онкологии и передовым технологиям, которые применяются для борьбы с опухолями головного мозга.

- Астроцитомы - самый распространенный тип глиомы, локализованный в белом веществе головного мозга. В зависимости от типа астроцитарная глиома головного мозга может быть фибриллярной (протоплазматической, гемистоцитической), анапластической, глиобластомой (гигантоклеточной, глиосаркомой), пилоцитарной астроцитомой, плеоморфной ксантоастроцитомой и субэпендимарной гигантоклеточной астроцитомой.
- Эпендимомы - могут встречаться в 5-7% случаев опухолей головного мозга, характеризуются типичной локализацией в системе желудочков головного мозга.
- Олигодендроглиомы - составляют от 8 до 10% всех опухолей головного мозга, развиваются из олигодендроцитов.
- Глиома хиазмы - распространяется по зрительному нерву в полость орбиты, может прорасти в гипоталамус, поразить III желудочек головного мозга. Такая опухоль вызывает нарушение эндокринного баланса, обменные расстройства, снижение зрения, характеризуется внутричерепной гипертензией, в зависимости от локализации и размера новообразования.
- Смешанные глиомы - олигоастроцитомы, анапластические олигоастроцитомы.
- Невриномы - составляют от 8 до 10% опухолей.
- Опухоль сосудистого сплетения - редкий вид глиомы, встречающийся в 1-2% случаев.
- Нейроэпителиальная опухоль неясного генеза - в эту группу входит астробластома и полярная спонгиобластома.
- Диффузная глиома ствола головного мозга - опухоль с высокой степенью злокачественности, рак центральной нервной системы. Болеют люди любого возраста, однако опухоль редко встречается у подростков и детей. Прогноз выживаемости при таком типе опухоли плохой. Диффузная глиома развивается в области зоны головного мозга, в которой находятся все важные нервные соединения, обеспечивающие связь анализирующих нервных центров мозга и импульсов костно-мышечного аппарата конечностей. Опухоль очень быстро вызывает паралич.
- Нейрональная и смешанная нейронально-глиальная опухоль - встречается в крайне редких случаях (до 0,5%). К данной группе относят ганглиоцитому, ганглиоглиому, нейроцитому, нейробластому, нейроэпителиому).
- Глиоматоз головного мозга.
Степени
Существует классификация ВОЗ, согласно которой глиомы подразделяются на четыре степени:
- I степень - медленно растущая глиома доброкачественного характера, которая ассоциируется с долгим сроком продолжительности жизни;
- II степень - медленно растущая «пограничная» глиома мозга, которая имеет тенденцию к переходу в III и IV степень;
- III степень - глиома злокачественного характера;
- IV степень - быстрорастущая глиома головного мозга: продолжительность жизни пациентов с таким диагнозом значительно сокращается.
Симптомы
Симптоматика глиомы головного мозга зависит от локализации опухоли, её размеров, она состоит из общемозговых и очаговых симптомов.
Наиболее часто глиома головного мозга проявляется упорными и постоянными головными болями, при которых у больных возникает тошнота и рвота, после которой не наступает облегчение, а также судорожным синдромом.
Помимо этого, в зависимости от того, какой отдел мозга поражен глиомой, у больных нарушается речь, ослабевают мышцы, может наблюдаться появление парезов и параличей рук или ног, лица и других частей тела. Может нарушаться зрительная или осязательная функция, координация походки и движений.
Может измениться психика, часто отмечается развитие поведенческих расстройств. Кроме того, у больных с глиомами мозга нарушается память и мышление. Вследствие нарушения циркуляции ликвора развивается внутричерепная гипертензия и гидроцефалия.

Диагностика глиомы головного мозга основывается на результатах тщательного неврологического обследования и других специальных диагностических исследований.
В первую очередь врач центра онкологии Юсуповской больницы проводит оценку состояния рефлексов и кожной чувствительности, двигательной функции конечностей. При наличии жалоб больного на ухудшение зрительной функции ему назначается консультация врача-офтальмолога.
Нервно-мышечная система оценивается с помощью инструментальных методов диагностики - электромиографии и электронейрографии. Кроме того, проводится люмбальная пункция, позволяющая выявить атипичные клетки в цереброспинальной жидкости. Данное исследование применяют также для проведения вентрикулографии и пневмомиелографии.
Огромное значение в диагностике опухолей мозга имеют современные методы визуализации, обеспечивающие получение послойного изображения тканей головного мозга. К ним относят компьютерную томографию (КТ), магнитно-резонансную томографию (МРТ). Данные исследования считаются довольно безопасными и очень информативными, с их помощью определяется локализация, размер, форма и структура новообразования.
Для определения смещения срединных структур головного мозга проводится ультразвуковое исследование мозга (М-эхо).
Дополнительно может быть назначено проведение церебральной контрастной ангиографии (рентгеновского исследования сосудов мозга), электроэнцефалографии, сцинтиграфии и ПЭТ.
Лечение
Как любое злокачественное опухолевое образование, глиома головного мозга лечится тремя основными методами, которые используются в современной онкологии, - с помощью хирургического вмешательства, лучевой терапии (в том числе радиохирургии) и химиотерапии.
Золотым стандартом лечения глиомы головного мозга является хирургическое лечение. При условии операбельности опухоли проводится операция по удалению новообразования.
До операции и после неё проводится лучевая терапия. При неоперабельных опухолях (если глиома локализована в труднодоступном месте) данный метод применяется как отдельный. На сегодняшний день традиционную лучевую терапию заменила стереотаксическая - радиохирургия.
Химиотерапевтическое лечение глиомы может применяться как в дооперационный, так и в послеоперационный период.
Хирургическое лечение
Операция по удалению злокачественной глиомы является открытой, предполагающей трепанацию черепа, при которой вскрывается черепная коробка. Основная цель хирургического вмешательства - удалить максимальный объем опухоли, оставив нетронутыми здоровые ткани головного мозга, тем самым предотвращая неврологические нарушения. Определенная локализация глиом позволяет достичь эффекта хирургического лечения до 98%.
Ни одна операция по удалению опухоли не гарантирует стопроцентного результата, так как всегда имеется вероятность, что в тканях головного мозга остались раковые клетки. Однако хирургическое вмешательство обеспечивает устранение сдавления окружающих тканей головного мозга и симптоматики глиомы, а также восстановление циркуляции ликвора, если имеется внутричерепная гипертензия.
Эффективность хирургического лечения глиомы мозга во многом зависит от мастерства и опыта оперирующих специалистов. Лечение опухолей головного мозга в центре онкологии Юсуповской больницы проводится с применением высокоточных томографов и нейронавигаторов, благодаря чему вероятность развития рецидива заболевания сводится к минимуму.
Лучевая терапия
Проведение лучевой терапии может быть назначено перед хирургическим вмешательством для уменьшения размеров опухоли перед её иссечением, либо после операции для уничтожения всех оставшихся опухолевых клеток.
Кроме того, данный метод может использоваться как самостоятельный при локализации опухоли в труднодоступном месте, что препятствует её хирургическому удалению. В таком случае лучевая терапия не способствует полному уничтожению опухоли, однако может значительно приостановить её рост.
Традиционная лучевая терапия сопровождается рядом нежелательных эффектов: у больных возникает тошнота, снижается аппетит, повышается утомляемость. В месте лучевого воздействия высока вероятность выпадения волос и развития лучевого дерматита. Как правило, побочные действия лучевой терапии проявляются через 10-14 дней после облучения.
Кроме того, известны и поздние осложнения радиоактивного облучения - у пациентов нарушается память в разной степени, может развиться радиационный некроз (вокруг омертвевших тканей опухоли образуется рубцовая ткань).
Радиохирургия
Ввиду того, что хирургическое лечение опухолей головного мозга не является гарантом полного излечения, после операции может случится рецидив заболевания. Поэтому целесообразно применение дополнительных методов лечения - лучевой терапии и химиотерапии. Как правило, рецидивы локализуются на границах здоровой ткани с областью, где было удалено новообразование. В таких случаях рекомендуется использовать радиохирургию: кибер-нож, гамма-нож, новалис.
Радиохирургия является инновационной методикой лучевой терапии, суть которой заключается в облучении глиомы пучком радиации с различных углов, что обеспечивает попадание радиации на опухоль и минимальное облучение мягких тканей.
В ходе процедуры положение головы больного и локализация опухоли постоянно контролируется с помощью компьютерной или магнитно-резонансной томографии, благодаря чему пучок радиации направляется исключительно на злокачественное новообразование.
Данный метод отличается неинвазивностью, так как никаких разрезов для его выполнения не требуется. Благодаря этому отсутствует риск развития интраоперационных осложнений и побочных эффектов, связанных с традиционной лучевой терапией.
Помимо этого, радиохирургия является абсолютно безболезненным методом, не требующим применения анестезии и проведения подготовительных мероприятий, отсутствует и восстановительный период. Единственное ограничение к радиохирургии - размеры новообразования.
Важно понимать, что эффект от лучевой терапии наступает постепенно, в отличии от хирургического вмешательства. Однако радиохирургия зачастую является единственным альтернативным методом лечения неоперабельных глиом головного мозга.
Лечение глиомы в Юсуповской больнице
Врачи-онкологи Юсуповской больницы владеют колоссальным опытом и эффективными методиками лечения онкологических недугов. Для каждого пациента составляется индивидуальная программа лечения, основанная на результатах тщательного диагностического обследования. Центр онкологии Юсуповской больницы оснащен инновационным оборудованием для проведения качественной диагностики и лечения глиом и других опухолей головного мозга.
Запись на консультацию онколога проводится по телефону Юсуповской больницы или онлайн на сайте через форму обратной связи. Врач-координатор ответит на все ваши вопросы и расскажет о стоимости медицинских услуг и условиях госпитализации пациента.
Глиобластома
Глиобластома — это злокачественное глиальное новообразование мозга, развивающееся в основном в его белом веществе. Клинические признаки включают повышение интракраниального давления, судорожный синдром, вариабельную очаговую симптоматику в виде парезов, зрительных и когнитивных расстройств, нарушений речи. Диагностика осуществляется на основании данных неврологического осмотра, результатов нейровизуализации и гистологического исследования тканей образования. Проводится радикальное хирургическое удаление, химиотерапия, медикаментозное противосудорожное и противоотечное лечение.



Глиобластома представляет собой наиболее распространенную первичную злокачественную опухоль головного мозга, составляющую 16% всех первичных новообразований центральной нервной системы. Средний показатель заболеваемости колеблется в пределах 2,9-4,5 на 100 000 населения. Образование локализуется почти исключительно в белом веществе мозга, может появляться в стволе головного мозга, мозжечке и спинном мозге. Средний возраст заболевших первичной глиобластомой составляет 62-64 года, вторичные образования развиваются у более молодых пациентов. Известны случаи возникновения в любом возрасте, включая детский. Заболеваемость несколько выше у мужчин, чем у женщин, а также у представителей европеоидной расы по сравнению с другими этническими группами.

Причины глиобластомы
Точный механизм развития новообразования недостаточно понятен. Результаты ряда исследований свидетельствуют в пользу вирусной теории возникновения заболевания. Найдены генные мутации, приводящие к заболеванию. Триггерное воздействие электромагнитных полей, формальдегида, излучения сотовых телефонов не доказано. Среди основных этиологических факторов рассматриваются:
- Цитомегаловирусная инфекция. Цитомегаловирус был обнаружен в большом проценте клеток злокачественной глиомы, но отсутствовал в соседних нормальных мозговых тканях.
- Спонтанные генетические мутации. Изменения в гене IDH1, провоцируя оксидантный стресс, способствуют генетическим перестройкам и могут являться причиной развития глиальных образований. Для глиобластомы также характерны мутации генов TERT, ATRX.
- Ионизирующее излучение. Является одним из немногих известных факторов риска. Радиационно-индуцированная глиобластома наблюдается спустя годы после терапевтического облучения.
- Генетические заболевания. Повышенный риск развития глиобластомы наблюдается при нейрофиброматозе, туберозном склерозе, синдроме Ли-Фраумени, ретинобластоме.
Первоначально считалось, что глиобластома происходит исключительно из глиальных элементов. Однако по последним данным, она берет начало из нескольких типов клеток со свойствами, подобными нервным стволовым клеткам. Клеточные элементы находятся на различных стадиях дифференцировки: от стволовых до нейронов и глии. В 10% случаев новообразование развивается в результате трансформации менее злокачественной церебральной опухоли.
Макроскопически опухоль отличается пестрым внешним видом с зонами некроза и кровоизлияний. Гистологически определяются мелкие округлые веретенообразные, протоплазматические, гигантские клеточные виды. Типичны выраженная неоваскуляризация, наличие псевдополисадов, образованных некротическими массами, окруженными малигнизированными клетками.

Глиобластомы классифицируют как первичные (de novo), возникающие без известного предшественника, и вторичные, развивающиеся из опухоли низкой степени злокачественности. Гистологическая классификация выделяет 3 типа опухоли в зависимости от морфологии преобладающих клеток:
- Мультиформная — характеризуется вариабельностью составляющих ее клеточных элементов. Преобладают мелкие округлые, овальные или вытянутые клетки, единичные крупные.
- Гигантоклеточная — в клеточной массе преобладают многоядерные гигантские клетки.
- Глиосаркома — содержит саркоматозный компонент в виде окрашиваемых ретикулярных волокон. Ранее считалась отдельной нозологической единицей.
Симптомы глиобластомы
Клиника сильно варьирует в зависимости от размера и расположения опухоли, а также пораженных анатомических структур мозга. Пациенты часто обращаются с симптомами повышенного внутричерепного давления, включая головную боль, чувство давления на глаза, не связанную с приемом пищи тошноту.
Судороги являются ранним симптомом у 25% больных и могут возникать на более поздних стадиях заболевания в 50% случаев. При прорастании глиобластомы в ликворные пути возникает нарушение циркуляции церебро-спинальной жидкости, что приводит к гидроцефалии с усугублением симптомов интракраниальной гипертензии.
В дальнейшем типично сочетание общемозговой симптоматики с прогрессирующим очаговым неврологическим дефицитом, соответствующим локализации процесса. Возможны нарушение речи в виде дизартрии или афазии, расстройства зрительной функции с выпадением части зрительного поля, моно- и гемипарезы, когнитивные изменения. Наблюдается слабость, в ряде случаев — спутанность сознания.
Возникающий неврологический дефицит является стойким и инвалидизирующим больного. Прогрессирование пареза приводит к параличу пораженных конечностей, пациент нуждается в постороннем уходе. Жизненно опасным осложнением заболевания является выраженная гидроцефалия, которая без оказания медицинской помощи приводит к сдавлению и дислокации мозга. К осложнениям относится и рецидив новообразования. Поскольку глиобластома не имеет четких границ и является агрессивно растущей, полностью удалить ее в ходе нейрохирургического вмешательства крайне затруднительно.
Диагностика глиобластомы
При раннем первичном обращении к неврологу в неврологическом статусе определяются только признаки внутричерепной гипертензии. Далее выявляется очаговое выпадение нервных функций. Заподозрить новообразование позволяет быстро прогрессирующий характер симптомов (в течение 3-х месяцев), что становится очевидным при тщательном сборе анамнеза заболевания. Начальная диагностическая визуализация осуществляется следующими методами:
- Компьютерная томография. Выявляет изоденсное церебральное образование с гиподенсным участком центрального некроза, перифокальным отеком, геморрагическим компонентом. Характерен масс-эффект. КТ с контрастированием демонстрирует кольцевое неравномерное окрашивание. Микроскопическая инфильтрация обычно распространяется за пределы визуализируемого очага.
- Магнитно-резонансная томография. МРТ с контрастом гадолиния показывает образование неправильной формы с плотным кольцом усиления, некротизированным центром. Некроз считается отличительной чертой глиобластомы. Также могут визуализироваться окружающий образование вазогенный отек, кровоизлияния, кистозный компонент, искривление или смещение желудочков. Примерно в 13% случаев наблюдается многоочаговость поражения.
- МР-перфузия. Демонстрирует увеличение максимального относительного церебрального кровотока и проницаемости, что типично для новообразований высокой степени злокачественности.
- Позитронно-эмиссионная томография. Определяет характерный для высоко злокачественных образований гиперметаболизм глюкозы и активное накопление фтордезоксиглюкозы.
В клинической неврологии глиобластому дифференцируют с внутримозговой гематомой, абсцессом, лимфомой ЦНС, астроцитомой, артериовенозной мальформацией. Дифференциация проводится по результатам нейровизуализации. Отличительной особенностью глиобластомы является наличие некротизированного участка. Однако лимфома у пациентов со СПИД также имеет некротический компонент. В этом случае дифдиагностика осуществляется в ходе гистологического исследования биопсийного материала.

Лечение глиобластомы
Консервативная терапия
Текущий стандарт лечения пациентов с эпиприступами включает использование противоэпилептических препаратов, но рутинное применение противосудорожного лечения у пациентов без припадков не рекомендуется. Многим пациентам назначают кортикостероиды, чтобы контролировать вазогенный отек и облегчить сопутствующие симптомы.
Радикальным методом лечения является нейрохирургическое удаление. Обширная резекция опухоли часто затруднена из-за его расположения в функционально значимых церебральных зонах, отвечающих за речь, моторную функцию, чувствительность. Инвазивность глиобластомы обуславливает высокую частоту послеоперационных рецидивов. Однако применение флуоресцентной идентификации раковых клеток для дифференцировки патологических тканей от здоровых частей мозга позволяет добиться более обширной резекции с сохранением функции и качества жизни, отсрочить возникновение рецидива. В послеоперационном периоде рекомендована химиотерапия, в отдельных случаях сочетающаяся с радиотерапией.
Экспериментальное лечение
Исследователи установили, что гиобластома быстро растет и рецидивирует, поскольку она продуцирует микро-РНК-138. Разрабатывается теория, что нейтрализация этого молекулярного маркера позволит замедлить прогрессирование заболевания, а также повысит выживаемость пациентов.
В стадии клинических исследований находится иммунотерапия глиобластомы. Пассивная иммунотерапия заключается в стимуляции противоопухолевого иммунитета, активная — во введении вакцин, потенцирующих иммунный ответ на антигены опухоли. Рассматривается возможность использования онколитических вирусов, способных избирательно атаковать опухолевые клетки. Последняя технология лимитирована возникновением иммунного ответа на внедрение вируса.
Глиобластома относится к неуклонно прогрессирующим, рецидивирующим злокачественным опухолям мозга. Средняя выживаемость пациентов составляет 15 месяцев. Прогноз зависит от возраста больного, локализации образования, стадии процесса в момент его выявления. Вторичные новообразования имеют лучший прогноз, чем первичные. Проведение комплексного лечения, включающего радикальное хирургическое вмешательство и химиотерапию, позволяет достигнуть ремиссии заболевания и продлить жизнь пациентов. Профилактика глиобластомы сводится к предупреждению инфицирования вирусами, исключению воздействия мутагенных факторов.
1. Глиобластомы: современное состояние проблемы/ Яковленко Ю.Г.// Медицинский вестник Юга России. - 2019. - 10(4).
2. Исследование метаболических особенностей первичных глиобластом методом ОФЭКТ-КТ с Tc-МИБИ с оценкой их влияния на прогноз заболевания/ Золотова С.В., Хохлова Е.В., Беляшова А.С., Николаева А.А., Старовойтов Д.В. и др.// Вопросы нейрохирургии им. Н.Н. Бурденко. - 2019. - 83(2).
3. Current Challenges and Opportunities in Treating Glioblastoma/ Andrea Shergalis, Armand Bankhead III, Urarika Luesakul, Nongnuj Muangsin and Nouri Neamati// Pharmacological Reviews. - 2018. - 70 (3).
4. Glioblastoma: Overview of Disease and Treatment/ Davis M. E.// Clinical journal of oncology nursing, - 2016. - 20(5).
Церебральный глиоматоз - причины, симптомы, диагностика и лечение

Заболевания
Глиоматоз головного мозга ( Церебральный глиоматоз ) - редкая разновидность диффузной глиальной опухоли, широко инфильтрирующая головной мозг, вовлекающая две и более доли (нередко билатерально) и часто распространяющаяся инфратенториально. Сам термин введен в обиход в 1938 году и с тех пор в литературе описано около 200 случаев. Несмотря на активные исследования данного заболевания и научные поиски, до сих остаётся неясныям является ли глиоматоз формой диффузно-инфильтративной глиомы или же представляет собой самостоятельный патологический синдром.
Клинические проявления
Симптомы и проявления болезни у людей с глиоматозом головного мозга неспецифичны. Интересно также то, что несмотря на обширность вовлечения зон мозга в диффузно-инфильтративный процесс, проявления и признаки зачастую минимальны.
Пик заболеваемости обычно проявляется в 20-40 лет. Наиболее частыми клиническими проявлениями данного заболения являются кортикоспинальный дефицит (пирамидные расстройства) 53%, деменция 44%, гол. боль 39%, припадки 38%, краниальная нейропатия 37%, внутричерепная гипертензия 34%, изменения ментального статуса 20%, сенсорный дефицит или парестезии 18%.
Классификация
Известны мутации генов IDH1, IDH2, встречающиеся в 70% случаев. Мутации обуславливают изменение биохимических процессов внутри здоровой клетки и её трансформацию в опухолевую.
Глиоматоз головного мозга можно разделить на два типа:
- тип 1: нет дискретной массы, обычно это мутация IDH.
- тип 2: дискретная масса с диффузным поражением ЦНС, обычно это мутация IDH1.
Рентгенографические особенности
КТ может быть нормальной, так как поражения часто изодонны к нормальной паренхиме головного мозга. Относительное отсутствие массового эффекта и искажений по сравнению с масштабностью вовлеченности. Может быть плохо определенная асимметрия или тонкая гипоатенация вовлеченной паренхимы мозга.
МРТ: Масс-эффект и усиление часто минимальны, несмотря на то, что задействованы большие участки головного мозга. Наблюдается потеря дифференциации на серо-белого вещество.
Читайте также:
