Анапластическая астроцитома. Лечение и прогноз анапластической астрацитомы.
Добавил пользователь Евгений Кузнецов Обновлено: 11.12.2025
Астроцитома - одна из распространенных опухолей мозга. Внутренняя часть опухоли часто содержит кисты, которые могут вырастать до больших размеров, вызывать сдавливание мозгового вещества.
Доброкачественные астроцитомы, расположенные в доступном месте, дают более хороший прогноз на продолжительность жизни, чем астроцитомы высокой злокачественности или доброкачественные астроцитомы, расположенные в недоступном для хирурга месте и имеющие большой размер опухоли. Чем раньше обнаружена опухоль, тем благоприятней прогноз при ее лечении.
В Юсуповской больнице занимаются диагностикой и лечением и астроцитом. Больница оснащена инновационным диагностическим оборудованием, позволяющим получить все диагностические услуги.
Астроцитома головного мозга: что это такое
Астроцитома - это глиальная опухоль мозга, которая развивается из астроцитов, нейроглиальных клеток, похожих на звезды или пауков. Астроциты поддерживают структурную составляющую нервной системы мозга - нейроны. Астроциты влияют на перемещение веществ от стенки кровеносного сосуда до плазматической мембраны нейрона, участвуют в процессе роста нервных клеток, регулируют состав межклеточной жидкости и многое другое. Астроциты в белом веществе мозга называются фиброзными или волокнистыми. В сером веществе мозга преобладают протоплазматические астроциты. Астроциты выполняют функцию защиты нейронов мозга от химических веществ, травм, обеспечивают питание нейронов, участвуют в регулировании кровотока мозга.
Опухоли мозга нельзя называть раком, так как рак развиваются они не из эпителиальных клеток, а из клеток более сложных структур. Злокачественная опухоль мозга практически не дает метастазы за пределы головного мозга, но мозг может быть поражен метастазами опухолей, находящихся в других органах и тканях организма. Злокачественная опухоль мозга может ничем не отличаться от доброкачественной опухоли. Опухоль мозга не имеет четкой границы - поэтому ее полное удаление практически невозможно. Сложность лечения таких опухолей в том, что головной мозг имеет гематоэнцефалический барьер, через который не проходят многие противоопухолевые препараты, мозг имеет собственный иммунитет. Опухоль мозга может поражать весь мозг - сама опухоль может развиваться в одном отделе мозга, а её клетки могут находиться в разных местах мозга.

Поликлональные опухоли мозга - это опухоль в опухоли. К ним относятся первичные опухоли мозга. Сложность состоит в том, что лечить такое сочетание опухолей следует различными группами препаратов - одна из опухолей нечувствительна к препаратам для лечения другого типа опухоли. Большую роль в эффективности лечения опухоли мозга играет не определение гистологического типа новообразования, а локализация и размер опухоли.
Причины возникновения
Данных о причинах развития опухоли из клеток астроцитов в настоящее время нет. Существует мнение, что пусковым механизмом развития опухоли могут служить некоторые негативные факторы:
- радиоактивное облучение. Облучение нередко становится причиной развития злокачественной опухоли мозга у больных. Повышается риск развития астроцитомы у больных, перенесших радиотерапию;
- длительное воздействие токсических химических веществ. Работа на вредном производстве может стать причиной развития новообразования мозга.
- онкогенные вирусы;
- наследственная предрасположенность;
- травмы;
- возраст больного. Некоторые типы опухоли поражают в основном детей, другие чаще встречаются у молодых людей в возрасте от 20 до 30 лет, третий тип опухоли больше поражает пожилых людей.
При исследовании причин развития астроцитом были установлены два типа повреждаемых генов.
Симптомы развития астроцитомы
Симптомы развития опухоли зависят от ее расположения и размера. В зависимости от расположения она может нарушать координацию движения (опухоль в мозжечке), вызывать нарушение речи, зрения, памяти. Рост опухоли в левом полушарии может вызвать паралич правой стороны тела. Больного при опухоли мозга мучает головная боль, нарушается чувствительность, появляется слабость, скачки артериального давления, тахикардия. При поражении гипоталамуса или гипофиза развиваются эндокринные расстройства. Симптомы заболевания зависят от локализации опухоли в определенном отделе мозга, отвечающем за определенные функции.
Первичные
При локализации астроцитомы в лобной доле головного мозга у больных отмечается появление психопатологической симптоматики: ощущение эйфории, снижение критики к своему недугу, агрессивность, эмоциональное безразличие, психика может полностью разрушится. Если повреждается мозолистое тело или медиальная поверхность лобных долей у больных происходит нарушение памяти, мышления. При поражении зоны Брока в лобной доле доминантного полушария отмечается развитие моторных нарушений речи. У пациентов с опухолями в задних отделах появляются парезы и параличи в верхних и нижних конечностях.
В случае поражения височной доли у пациентов может наблюдаться появление галлюцинаций: слуховых, вкусовых, зрительных, которые через время сменяются генерализованными эпилептическими припадками. Нередко развитие слуховой агнозии - человек не узнает ранее известные звуки, голоса, мелодии. Астроцитома, располагающаяся в височной области, грозит дислокацией и вклинением в затылочное отверстие, в результате чего практически неизбежен летальный исход. При локализации опухоли в височной и лобной долях у больных часто возникают эпилептические припадки.
При поражении опухолью теменной доли головного мозга возникают чувствительные нарушения, астереогноз, апраксия в противоположной конечности (при апраксии у человека нарушаются целенаправленные действия). У больных отмечается развитие фокальных эпилептических припадков. Если повреждены нижние отделы левой теменной доли у правшей наблюдается нарушение речи, счета, письма.
Реже всего диагностируются астроцитомы в затылочной доле головного мозга. У пациентов с данными опухолями развиваются зрительные галлюцинации, фотопсии, гемианопсия (выпадение половины поля зрения каждого глаза).
Вторичные
Одним из основных признаков астроцитомы головного мозга является наличие приступообразной или ноющего характера диффузной боли в голове. У головной боли отсутствует четкая локализация, она обусловлена внутричерепной гипертензией. На ранних стадиях заболевания боль имеет приступообразный, ноющий характер, со временем она становится постоянной, что связано с прогрессированием опухоли.
У больных с астроцитомой головного мозга в результате сдавления ликворных путей, венозных сосудов повышается внутричерепное давление. Появляются головные боли, рвота, стойкая икота, снижаются когнитивные функции, острота зрения. Тяжелые случаи сопровождаются впадением человека в кому.
Диагностика: виды опухоли
Строение клеток злокачественного образования делит астроцитомы на две группы:
- фибриллярная, гемистоцитарная, протоплазматическая.
- пилоидная (пилоцитарная), субэпидемальная (гломерулярная), церебеллярная микроцистная.
Астроцитома имеет несколько степеней злокачественности:
- первая степень злокачественности - такой тип доброкачественной опухоли медленно растет, имеет небольшие размеры, ограничивается от здоровых участков мозга своеобразной капсулой, редко влияют на развитие неврологического дефицита. Представлена опухоль нормальными клетками астроцитами, которые развиваются в виде узелка. Представитель такой опухоли - астроцитома пилоидная, пилоцитарная. Поражает чаще детей и подростков;
- вторая степень злокачественности - новообразование растет медленно, клетки начинают отличаться от нормальных клеток мозга, чаще встречается у молодых людей в возрасте от 20 до 30 лет. Представитель этой степени злокачественности - фибриллярная (диффузная) астроцитома;
- третья степень злокачественности - анапластическая астроцитома. Быстро растет, клетки опухоли сильно отличаются от нормальных клеток мозга, опухоль обладает высоким уровнем злокачественности;
- четвертая степень - злокачественная глиобластома, клетки не похожи на нормальные клетки мозга. Поражает важные центры головного мозга, быстро разрастается, часто удалить такую опухоль невозможно. Поражает мозжечок, полушария мозга, область головного мозга, отвечающую за перераспределение информации от органов чувств - таламус.
С течением времени клетки опухолей первой и второй степени перерождаются и превращаются в клетки третьей и четвертой степени злокачественности. Перерождение опухоли из доброкачественного в злокачественное новообразование чаще происходит у взрослых. Доброкачественные опухоли мозга могут быть также опасны для жизни, как злокачественные новообразования. Все зависит от размера образования и места локализации опухоли.
Астроцитома пилоцитарная
Астроцитома доброкачественная - астроцитома пилоцитарная, или астроцитома пилоидная, опухоль первой степени злокачественности, растет очень медленно. В большинстве случаев астроцитому пилоцитарную обнаруживают у детей. Пилоцитарная астроцитома головного мозга чаще всего развивается в стволе мозга, мозжечке и зрительном нерве. Пилоидная астроцитома головного мозга не имеет признаков атипии клеток при гистологическом исследовании.
Астроцитома фибриллярная
Фибриллярная астроцитома головного мозга, или диффузная астроцитома головного мозга - вторая степень злокачественности. Астроцитома диффузная не имеет четких границ между пораженными и здоровыми тканями мозга, чаще всего локализуется в больших полушариях мозга.
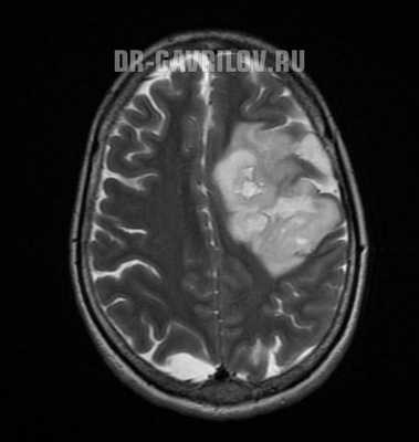
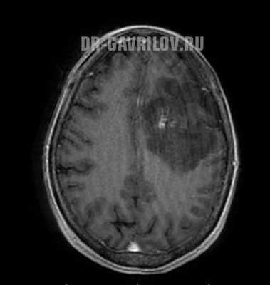
Анапластическая астроцитома головного мозга
Высокая степень злокачественности. Анапластическая астроцитома головного мозга - третья степень. Новообразование не имеет четких границ, очень быстро увеличивается, прорастает в мозговую ткань. Чаще всего поражает мужчин в возрасте от 40 до 70 лет.
Лечение астроцитомы
Тактика лечения опухолей головного мозга зависит от локализации опухоли, ее размера, типа опухоли. Благоприятный прогноз в лечении диффузной астроцитомы существует для молодых больных при условии полного удаления опухоли головного мозга. Анапластическая астроцитома лечится с применением комбинированного подхода - операции, проведения лучевой терапии, полихимиотерапии. Средняя продолжительность жизни составляет около трех лет после операции. Благоприятный прогноз для молодых людей, которые имели хорошее состояние здоровья перед операцией, при условии, что опухоль была удалена полностью.
Пилоцитарная (пилоидная) астроцитома развивается у детей, имеет ограниченный рост, характерную локализацию, особенности морфологии. Лечение опухоли имеет благоприятный прогноз из-за медленного роста и низкой злокачественности. Лечение проводится путем операции и полного удаления новообразования, что в некоторых случаях невозможно из-за расположения опухоли в гипоталамусе или стволе мозга. Некоторые типы пилоидных астрацитом (гипоталамических) имеют способность к метастазированию.
Астроцитома головного мозга: последствия после операции
Последствия после операции по поводу астроцитомы зависят от размера опухоли, ее локализации. Доброкачественные астроцитомы, расположенные в доступном месте, дают более хороший прогноз на продолжительность жизни, чем астроцитомы высокой злокачественности или доброкачественные астроцитомы, расположенные в недоступном для хирурга месте и имеющие большой размер опухоли. После удаления астроцитомы часто бывает рецидив опухоли, который происходит в течение двух лет после операции. Чем раньше обнаружена опухоль, тем благоприятней прогноз при ее лечении.
Лечение астроцитомы в Юсуповской больнице
В Юсуповской больнице пациенты могут пройти диагностику и лечение астроцитомы.
Больница оснащена инновационным диагностическим оборудованием, позволяющим получить все диагностические услуги. Записаться на консультацию врача-онколога вы можете по телефону или через форму записи на сайте. Врач-координатор ответит на все интересующие вас вопросы.
Прогноз
После хирургического удаления узловых форм астроцитомы может наступить длительная ремиссия (более чем десять лет). Для диффузных астроцитом характерно частое развитие рецидивов, даже после комбинированного лечения.
При глиобластоме средняя продолжительность жизни пациента составляет один год, при анапластической астроцитоме головного мозга - около пяти лет.
При других видах астроцитом средняя продолжительность жизни значительно дольше, после проведения адекватного лечения они возвращаются к полноценной жизни и привычной трудовой деятельности.
Список литературы
Профильные специалисты
Заместитель главного врача по медицинской части. Врач-терапевт, кардиолог, онколог.
Астроцитома - разновидность рака головного мозга из класса глиомы. Развивается из клеток астроцитов, относится к злокачественным образованиям. Зарождается болезнь в астроцитах, которые являются клетками центральной нервной системы, отвечают за защиту нейронов, поступление питательных веществ, восстановление тканей мозга. При развитии опухоли, все функции нарушаются, что негативно отображается на работе нервной системе. Астроцитома головного мозга способна поразить любого человека вне зависимости от возраста или пола, имеет выраженную симптоматику, а при ее обнаружении требует экстренного лечения. Успех от проведенной терапии зависит от того на каком этапе находиться болезнь, но даже если операция провелась вовремя, прогноз на полное выздоровление неутешительный.
Симптомы астроцитомы
Спусковым механизмом для развития опухоли могут выступать разные факторы, но точные причины болезни неизвестны. Клинические признаки болезни напрямую зависят от локализации образования, вида, а также ее давления на окружающие ткани.
Все симптомы астроцитомы делят на две категории: общие и местные. В первом случае клинические признаки проявляются из — за повышения внутричерепного давления, а местные, связанные с непосредственным воздействием опухоли на ткани головного мозга. На начальных стадиях рака, симптомы не столь выраженные, но по мере роста опухоли появляются следующие недомогания:
- головная боль разной интенсивности и характера;
- головокружение;
- судороги;
- тремор в руках и ногах;
- тошнота, рвота не связанная с приемом пищи;
- снижение памяти, внимания;
- психические расстройства, галлюцинации;
- нарушения речи;
- снижение чувствительности в конечностях;
- ухудшение зрения, слуха и обоняния;
- резкое снижение веса;
- частая смена настроения, повышенная раздражительность.
Все симптомы болезни могут проявляться с той или иной интенсивностью, но в любом случае при первых признаках нужно незамедлительно обращаться к врачу.
Главным и, пожалуй, первым признаком астроцитомы головного мозга считается головная боль. Вначале она может беспокоить периодами, чаще ночью или днем. Затем болевой синдром усиливается, характер боли сдавливающий, пульсирующий, может затрагивать часть или всю голову.
При доброкачественном течении опухоли и ее медленном росте, симптоматика развивается медленно, но при злокачественных образованиях, человек «угасает» за короткий период времени.
Важное значение в клинике болезни отыграет место расположения опухоли:
- Лобная доля - частые перепады настроения, шаткость походки и тремор, парез лицевых мышц, снижение обоняния.
- Височная доля - нарушение памяти, галлюцинации, заикание, проблемы с мышлением.
- Теменная доля - снижение чувствительности в ногах и руках, трудности с моторикой.
- Мозжечек - неустойчивость, психические расстройства;
- Затылочная доля - снижение остроты зрения, гормональные нарушения, галлюцинации.
Астроцитома головного мозга относится к опасным нейроэктодермальным опухолям, поэтому ее симптомы существенно отображаются на работе нервной системы и организма в целом. Изучив несколько видов рака головного мозга, можно с уверенностью сказать, что симптомы очень похожи между собой, поэтому чтобы определить тип рака, важно пройти комплексное обследование. Результаты помогут подтвердить или исключить страшный диагноз.
Диагностика
При подозрении на рак мозга нужно пройти ряд лабораторных и инструментальных исследований, которые помогут определить вид образования, локализацию и размер.
На первичном осмотре, врач собирает анамнез, проводит осмотр, назначает консультацию у врача офтальмолога, отоларинголога и других специалистов. Затем больной проходит несколько диагностических процедур:
- Магнитно-резонансная томография - способна провести визуализацию опухоли в любом отделе головного мозга, выявить размер и пределы образования. В 98% случаях МРТ позволяет поставить точный диагноз. При необходимости процедура может проводиться с контрастом, что еще больше увеличивает информативность исследования.
- Компьютерная томография - исследует отделы головного мозга в разных протекциях, четко определяет расположение опухолевидного процесса.
- Ангиография - оценивает состояние сосудов в структурах головного мозга, также отображает сосуды, которые питают опухоль.
- Биопсия - состоит из забора тканей образования для лабораторного исследования и определения природы образования.
При необходимости врач может назначить и другие методы обследования для получения полной клинической картины. Однако как показывает практика, данных исследований вполне достаточно для постановки правильного диагноза и определения тактики лечения.
Классификация
Как упоминалось выше, астроцитома головного мозга относится к глиомам, которые могут разрастаться до больших размеров, не имеют четких очертаний и тяжело поддаются лечению. Различают несколько видов данного образования, каждый из которых имеет свой тип и степень злокачественности:
Пилоидная астроцитома головного мозга - опухоль доброкачественного течения, которая не относится к категории опасных. Чаще встречается у детей, реже у взрослых. Лечение проводится хирургическим путем, когда образование достигает второй стадии.
Фибриллярная астроцитома - вторая степень злокачественного рака. Отличается быстрым ростом опухоли, размытыми границами. В группе риска находятся люди до 30 лет. На данном этапе единственным методом лечения может выступать удаление астроцитомы оперативным путем. Фибриллярная астроцитома головного мозга имеет стремительное течение, поэтому не нужно медлить с проведением операции.
Анапластическая астроцитома - третья степень рака. Именно на данном этапе присутствует выраженная симптоматика, которая заставляет обращаться к врачам. В группе риска находятся лица от 35 до 50 лет. Лечение проводится методом иссечения опухоли с последующим приемом химиотерапии и других лекарственных препаратов.
Глиобластома - запущенная и последняя стадия болезни с неблагоприятным прогнозом на лечение. На данном этапе операция не проводится, а для продления жизни больного назначается поддерживающая терапия.
Помимо основных стадий и видов опухоли, ее классифицируют по месту локализации:
- Субтенториальные - раковые клетки поражают мозжечок нижнюю часть мозга.
- Супратенториальны - локализация опухолей в верхних долях головного мозга.
Доброкачественные опухоли из астроцитов формируются только в 30% случаях. Остальное отводится злокачественным образованиям с неблагоприятным прогнозом.
По характеру росту различают 2 типа опухоли:
- - чаще имеет доброкачественное течение, может проявиться в любом отделе. Отличается медленным ростом, но всегда может перерасти в рак.
- Узловая - злокачественное образование без четких границ. Часто затрагивает соседние ткани, может разрастаться до больших размеров. Принадлежит к опухолям 2 степени и выше.
Независимо от типа новообразования, вида, лечение следует проводить незамедлительно, это повысит шансы на продление жизни больного.
Лечение астроцитомы головного мозга
Диагноз «астроцитома» является прямым показанием к проведению операции. Если болезнь диагностируется вначале своего развития, врач может некоторое время наблюдать за опухолью и когда она достигнет 2 стадии, проводить операцию по ее удалению. Современная онкология и нейрохирургия предоставляет несколько методов лечения астроцитомы, которые позволяют с максимальной точностью провести операцию, к минимуму свести возможные осложнения.
Нейрохирургическая клиника имени Бурденко в Москве предлагает ряд услуг по диагностике и лечению астроцитомы. В центре проводят сложные операции, используя для этого современное оборудование, также химиотерапевтические, радиохирургические методики. Врачи клиники, это профессионалы высокого уровня с многолетним стажем работы.
Если размер опухоли не превышает 3 сантиметра, ее может использоваться стереотаксическая радиохирургия. Операция проводится под контролем томографии, позволяет провести полную или частичную резекцию образования. Такая процедура не дает 100% шансов на выздоровление, но позволяет снизить внутричерепное давление, облегчить общее состояние больного.
В Институте нейрохирургии Бурденко, операция проводится под общим наркозом. Хирургическое лечение астроцитомы состоит из проведения эндоскопической трепанации черепа. Данная операция позволяет сохранить важные функции организма, при этом удалить опухоль через небольшой разрез. Длительность процедуры занимает от 2 до 6 часов. Лечение в клинике с использованием новейшего оборудования позволяет исключить возможные осложнения, снизит рецидивы.
Лечение рака головного мозга проводится в соответствии с мировыми медицинскими стандартами. После удаления астроцитомы пациент длительное время находиться в клинике, проходит реабилитацию, находится под постоянным врачебным наблюдением. Спустя несколько дней после операции, назначается контрольное МРТ, которое позволяет провести оценку работы мозга, исключить осложнения. Диагностику рекомендуется проходить больным практически каждые 6 месяцев, это позволит следить, нет ли новых очагов опухоли.
Программа реабилитации после операции разрабатывается врачом реабилитологом, нейрохирургом и диетологом. Состоит из лечебной физкультуры, диеты, массажа, логопедической коррекции и других методик, которые позволяют улучшить качество жизни. Период восстановления может длиться от 3 до 6 месяцев.
Последствия
После удаления астроцитомы, пациент должен систематически посещать врача, выполнять все его рекомендации, сдавать анализы, обследоваться. Важно понимать, что операции на головной мозг являются наиболее опасными, поскольку в процессе их проведения могут быть затронуты жизненно важные участки. К распространенным последствиям рака мозга в послеоперационный период относят:
- паралич конечностей;
- нарушение координации движений;
- полная или частичная потеря зрения;
- судороги;
- психические отклонения.
В части случаев пациенты теряют способность к чтению, письму, им сложно разговаривать, выполнять элементарные действия. Таким больным требуется постоянный уход, а также длительное время на восстановление.
Тяжесть возможных осложнений зависит от того в какой доле находилось образование. Важным считается и квалификация хирурга и возможности самой клиники.
Опасность астроцитомы заключается в ее злокачественности, стремительному росту, метастазированию в другие органы и системы. Даже если первичное образование доброкачественное, всегда есть риски его перерождения.
Прогноз для жизни
Астроцитома головного мозга даже при проведении операции имеет неблагоприятные прогнозы. Всегда есть риск рецидива и метастазов. При обнаружении рака на ранних стадиях, комплексная и длительная терапия поможет продлить жизнь на 10 лет. Лечение на более поздних стадиях не позволяет прожить человеку больше года.
Неутешительные прогнозы и при доброкачественных новообразованиях. Если опухоль не увеличивается в размерах, неврологическая симптоматика отсутствует, человек имеет возможность жить достаточно долго, но такую возможность имеют только 3% больных.
Защитится от астроцитомы головного мозга, как и от других онкологических заболеваний невозможно, поэтому чтобы снизить риск их развития нужно следить за своим здоровьем и образом жизни. Главным профилактическим мероприятием станет комплексное обследование не реже чем 1 раз в год.
Если все же обнаружили астроцитому, не нужно отчаиваться. Современные технологии позволяют на ранних этапах успешно проводить лечение и максимально продлевать жизнь.
Анапластическая астроцитома
Анапластическая астроцитома головного мозга - агрессивное новообразование, относящееся к глиомам головного мозга третьей степени злокачественности (g3). Онкологическое заболевание данного вида является довольно распространенным среди других новообразований головного мозга первичного характера (55-60% среди взрослых). Часто болезнь развивается у детей до 4 лет и взрослых между 35-75 годами. Лечение анапластической астроцитомы головного мозга всегда комплексное. Основной выбор - радикальное удаление неоплазии, подкрепленное химио- и радиотерапией. Оперативное лечение - это главный способ борьбы с раком головного мозга, однако, на поздних стадиях тотальное удаление астроцитом, как правило, невозможно из-за сильного распространения неоплазии. Астроцитомы характеризуются высокой вероятностью рецидивов. Прогноз жизни, несмотря на успехи современной хирургии, остается в общем неблагоприятным.
Общая характеристика астроцитом головного мозга
Астроцитомы головного мозга - это обширная группа первичных новообразований разной степени злокачественности (код МБК 10 - С71). Начало опухоли дают модифицирующиеся клетки нейроглии, называемые астроцитами. Их роль состоит в обеспечении работы и поддержании функциональной активности нейронов. Клинические проявления достаточно разнообразны. К общим признакам добавляются локальные, что зависит от того, в каком месте головного мозга образуется анапластическая астроцитома.
Заметка. Анапластическая астроцитома головного мозга чаще развиваются у мужчин, нежели у женщин.
Внутри новообразования возможно формирование медленно растущих кист. В определенных случаях их может быть много или они достигают значительных размеров, поэтому оказывается давление на определенные участки головного мозга, с появлением характерных признаков. Если анапластические астроцитомы достигают значительных размеров, то оперативное удаление существенно осложняется, потому что невозможно распознать четкие границы опухолевого образования.
Классификация астроцитом
Для того, чтобы понять, какое место отводится анапластической астроцитоме среди других глиальных новообразований схожего типа, обозначим принципы классификации астроцитом.
В зависимости от цитологических особенностей все астроцитомы разделяют на два типа:
- Обычные астроцитомы (фибриллярная, гемистроцитарная и протоплазматическая).
- Особые астроцитомы (субэпендимальная, пилоидная и микроцистная церебеллярная).
По общепризнанной и наиболее часто используемой классификации (предложенной ВОЗ), астроцитомы головного мозга классифицируют по степени злокачественности (причем у каждой степени имеется свое ранжирование по стадиям):
- Пилоцитарная или пилоидная астроцитома головного мозга. Новообразования данного типа имеют первую степень злокачественности (самую низкую). Для них характерен медленный рост, они не перерождаются в рак, считаются обычными доброкачественными опухолями, которые реагируют на предлагаемое лечение. Наиболее характерные клинические проявления: гидроцефалия и проблемы с координацией. , также считается неагрессивным обычным доброкачественным новообразованием, однако, опухоль этого вида имеет вторую степень злокачественности. Поддается оперативному лечению.
- Анапластическая астроцитома головного мозга - относится к третьей степени злокачественности. В данном случае уже наблюдаются канцерогенные процессы, которые тяжело поддаются оперативному удалению, поскольку опухоль распространяется на соседние ткани. Анапластическая астроцитома головного мозга чаще развивается у лиц старше тридцати лет. , глиосаркома - четвертая степень злокачественности. Этот вид рака самый опасный и агрессивный, поэтому хирургическое лечение существенно осложнено, прогноз жизни будет неблагоприятным. Глиобластомы в большинстве случаев диагностируют у людей старше 40 лет.
По гистологическому типу и особенностям роста патогенных клеток астроцитомы разделяют на:
- Неоплазии имеющие четкие контуры и хорошо обособленные от других мозговых структур. Они характеризуются узловым ростом, возможно формирование кист. Сюда относят пилоидную, субэпендимарную гигантоклеточною астроцитому и плеоморфную ксантоастроцитому. Опухоли являются доброкачественными, в редких случаях могут малигнизироваться.
- Новообразования с диффузным ростом, т. е. нет четких очертаний опухолевого очага. В этом случае патогенные ткани прорастают в соседние и быстро растут. Примерно 70% доброкачественных новообразований перерождается в рак. К таким опухолям относят анапластическую астроцитому головного мозга и глиобластому.
Обратите внимание. Анапластическая астроцитома (who grade III) и мультиформная глиобластома - это агрессивные формы рака. Они составляют около 50-60% из всех злокачественных новообразований в ЦНС.
Классификация анапластической астроцитомы головного мозга

Различают несколько стадий. При ранжировании учитываются величина опухоли, характер ее поведения, интенсивность роста, агрессивности и проявляющейся клинической картины. Стадийность важна для выбора терапевтической тактики и прогноза.
Астроцитома 1 степени
Новообразование небольших размеров. Рост ткани медленный, новообразование хорошо лечится. Прогноз жизни на данном этапе развития патогенеза является благоприятным.
Анапластическая астроцитома 2 степени злокачественности
Опухоль начинает расти, однако, ее развитие умеренное. Патологический очаг более 1,5 см, поэтому оказывается давление на другие ткани головного мозга, что приводит к появлению соответствующей клинической картины. Формируются признаки озлокачествления. Границы новообразования находятся на определенном удалении от здоровых близкорасположенных тканей.
Анапластическая астроцитома 3 степени
В данном случае опухоль является раком, с характерными негативными признаками, быстрым ростом и агрессивным поведением. Опухоль прорастает в соседние ткани, что существенно затрудняет оперативное лечение. Обязательно назначается химио- и радиотерапия. Анапластические астроцитомы 3 степени злокачественности, как правило, плохо реагируют на облучение.
Обратите внимание. Астроцитома 4 степени злокачественности называется глиобалстомой - опасный и крайне агрессивный вид рака головного мозга, плохо поддающийся лечению.
Причины развития анапластической астроцитомы
Основа развития злокачественных новообразований любого вида состоит в аномальной модификации генетического аппарата звездчатых клеток глии - астроцитов, которые поддерживают жизнедеятельность нейронов, обеспечивают метаболическую и выделительную функцию. Пока не совсем ясно что именно запускает ошибки в геноме, сбой в процессах исправления и малигнизацию соматических клеток. Однако названы факторы риска, которые увеличивают вероятность формирования анапластической астроцитомы головного мозга:
- рак головного мозга в семейном анамнезе;
- плохая экология;
- контактирование с ядами, вредными веществами и химическими токсинами;
- поражение онкогенными вирусами;
- воздействие ионизирующего облучения;
- вредные привычки.
Симптомы

К общим клиническим признакам при раке головного мозга относятся:
- головокружение и головная боль, обусловленная увеличением внутричерепного давления;
- потеря аппетита;
- проявления диспепсического характера (тошнота, рвота, слабость и др.), которые не обусловлены отравлением;
- нарушение работы мозга, ослабление памяти;
- проблемы со зрением;
- изменение привычного поведения и психоэмоциональных реакций: нервозность, плаксивость, агрессия, апатия и прочие;
- припадки эпилептического характера.
Важно. При появлении неблагоприятной симптоматики нужно срочно обратиться к врачу и пройти обследование. Чем раньше будет диагностирована анапластическая астроцитома головного мозга, тем легче ее лечение и лучше прогноз жизни.
Проблема заключается в том, что на ранних стадиях опухолевого процесса нет явных специфических признаков, что существенно осложняет обнаружение анапластических астроцитом. Симптоматика становится более явной лишь при прогрессировании канцерогенеза.
Локальные признаки обуславливаются местом образования анапластической астроцитомы головного мозга:
- поражение полушарий приводит к нарушению чувствительности и ослабеванию силы мускулатуры;
- рак височной доли вызывает нарушение в работе речевого аппарата, ухудшение обоняния, появляются проблемы с координацией и памятью;
- опухоль в затылочной зоне обуславливает зрительные патологии и галлюцинации;
- рак в лобной доле - изменяется психоэмоциональное поведение человека, появляются проблемы с настроением, паралич характерен для поздних стадий;
- рак в мозжечке - нарушается координация, ходьба, появляются проблемы с поддержанием тела в пространстве;
- анапластический рак в теменной доле - нарушается мелкая моторика, тактильные ощущения, писать становится трудно.
Для выявления и мониторинга состояния больного после лечения используются такие методы диагностики:
- компьютерная (КТ) и магнитно-резонансная томография (МРТ) с контрастом - золотой стандарт при обследовании головного мозга, получаются высокоточные послойные изображения;
- ангиограмма - рентгеновский метод с использованием красителей;
- биопсия - отбирается образец ткани и проводится его цитогистологический анализ, это наиболее достоверный способ определения анапластической астроцитомы и всех ее особенностей.
В диагностике пациента задействуются несколько профильных специалистов: онколог, нейрохирург, лор, окулист и другие врачи.
Лечение анапластической астроцитомы

Эффективность лечения анапластической астроцитомы зависит во многом от ее локации и степени патогенеза. Основной метод лечения - оперативное удаление опухоли (путем резекции или трепанации черепа). Обязательно назначается химиотерапия и облучение (радиотерапия).
Выбор оперативной методики удаления опухоли зависит от ее величины. При небольшом размере новообразования анапластического типа на ранних стадиях возможно использование менее инвазивного стереотаксического радиохирургического удаления патологического очага. Операция выполняется при помощи томографа. Однако данный вид лечения возможен лишь для доброкачественных опухолей.
Хирургическое лечение астроцитом путем трепанации черепа возможно только при узловых типах опухоли, и не выполняется при образованиях диффузного типа, потому что неоплазия проникает глубоко в соседние ткани. Поэтому выполняют субтотальное удаление опухоли с целью понижения давления внутри черепа и предотвращения гидроцефалии.
Лучевое лечение анапластической астроцитомы головного мозга. При неоперабельных опухолях радиотерапия является основным видом лечение рака, в других случаях она дополняет хирургическое лечение. Радиация останавливает митозы в клетках, часть из них погибает. Параллельно с этим назначают химиотерапию. Лечение цитостатическими препаратами до и после операции уменьшает вероятность развития рецидивов и продлевает сроки ремиссии.
Прогноз жизни
Прогноз жизни при диагностировании анапластической астроцитомы в общем неблагоприятный, что обусловлено высокой степенью злокачественности. Ранние доброкачественные стадии нередко усугубляются до рака агрессивных форм. После удаления анапластической астроцитомы есть высокая вероятность развития рецидивов. Наиболее благоприятный прогноз жизни на самых ранних стадиях при низкой степени злокачественности. Но даже и в этом случае длительность жизни, как правило, не более пяти лет. Наихудший прогноз для терминальной стадии - пациент не проживет дольше года.
Фибриллярная астроцитома
Фибриллярная астроцитома головного мозга - относится к доброкачественным новообразованиям головного мозга (мкб10 - C71). Для опухолей данного вида характерна низкая степень злокачественности, однако, остается вероятность малигнизации, т.е. клетки могут становиться канцерогенными (раковыми). Клинические проявления проявляются медленно, зависимо от стадийности заболевания. Они характеризуются как общие и специфические. Характер последних зависит от локализации опухолевого процесса. Назначаемая терапия всегда носит комплексный характер. Основным видом лечения является радикальное удаление опухоли, после чего пораженное место облучают (метод радиотерапии). Продолжительность (прогноз) жизни в первую очередь зависит от стадии болезни, на которой было проведено оперативное лечение, возраста больного, а также индивидуальных характеристик и общего состояния здоровья пациента.
Особенности

Фибриллярная астроцитома головного мозга формируется из особых клеток глии (астроцитов), которые выполняют защитные и метаболические функции, поддерживая физиологическую активность нейронов. Астроцитома может образовываться в тканях головного мозга или спинного мозга.
Фибриллярная астроцитома головного мозга относится к новообразованиям, которые обнаруживаются достаточно часто. Астроцитомы являются доброкачественными опухолями. Их относят ко второй степени злокачественности (данная степень указывает на низкую вероятность перерождения в рак). Новообразование, как правило, диффузного типа, при его формировании и развитии не образуются некрозы, не характерна пролиферация эндотелия сосудов. Митотическое деление атипичных клеток регистрируется крайне редко.
Клинические проявления
Фибриллярная астроцитома головного мозга характеризуется доброкачественностью и медленным ростом, поэтому признаки проявляются постепенно. Многое зависит от локации опухоли и стадии патологического процесса. Ранняя симптоматика для фибриллярной астроцитомы нехарактерна. Клинические признаки начинают проявляться по мере прогрессирования заболевания. Чаще всего пациенты ощущают следующие негативные симптомы:
- головокружение и головные боли;
- тошнота, рвота и другие диспепсические симптомы, не связанные с отравлением;
- утрата аппетита;
- снижение массы тела;
- расстройства психики эпилептического типа.
Обратите внимание. К локальным признакам фибриллярной астроцитомы головного мозга относят: зрительные патологии, нарушение координации, ухудшение слуха, проблемы с речью, памятью и прочие. В этом случае симптоматика зависит от места локации опухоли.
При выявлении неблагоприятной симптоматики нужно срочно обратиться к врачу для выяснения ее природы.
Причины фибриллярной астроцитомы головного мозга
Окончательно понять истинные причины, которые запускают патогенез, пока не удалось. Однако названы факторы, провоцирующие развитие фибриллярной астроцитомы головного мозга. К таким относятся:
- генетические предпосылки;
- неблагоприятная экология;
- радиация;
- контактирование с ядами, токсинами и химическими веществами;
- поражение онкогенными вирусами;
- травмы головы или шейного отдела позвоночника.
Основным методом выявления и обследования больных при подозрении на опухоли данного рода является томография (КТ или МРТ). Лучшие результаты получаются при изучении головного мозга с использованием контрастного вещества. Это позволяет визуализировать опухоль, выяснить все нюансы патогенеза, выбрать подходящую методику лечения, а также определить эффективность назначенной терапии. Также широко применяется ПЭТ-диагностика (позитронная эмиссионная томография) с метионином.
Заметка. Наиболее достоверно подтвердить диагноз, и выяснить особенности патогенеза позволяет биопсия (забор образца опухоли) с последующим цитогистологическим анализом отобранного образца. Чаще всего материал на анализ направляют уже после оперативного лечения.

Стадийность патогенеза определяют в зависимости от величины новообразования и характера течения болезни. Также учитываются и другие факторы.
Фибриллярная астроцитома 1 степени
Первый этап формировании неоплазии характеризуется самой низкой степенью злокачественности. На ранних сроках размер фибриллярной астроцитомы головного мозга не превышает 1,5 сантиметра в диаметре. На данной стадии опухоль растет медленно, риски малигнизации отсутствуют. Если удалить новообразование в начале патогенеза, то лечение будет успешным в более 90% случаев, а продолжительность (прогноз) жизни дольше десяти лет.
Фибриллярная астроцитома 2 степени
На 2-й стадии размер опухоли более 1,5 см, поэтому оказывается давление на соседние ткани и зоны мозга, что обуславливает соответствующую клиническую картину. Больные жалуются на неприятные ощущения в голове, головокружения и головные боли. В зависимости от локации фибриллярной астроцитомы головного мозга может ухудшиться слух или зрение, нарушается равновесие, появляется агрессия, нервозность, диспепсические и другие негативные проявления. Основное лечение на второй стадии - только оперативное удаление патологического очага, с последующим использованием радиотерапии. Если удается удалить всю опухоль, то прогноз благоприятный, а продолжительность жизни оценивается высоко - большая часть больных проживет 10 лет.
Фибриллярная астроцитома 3 степени злокачественности
Фибриллярная астроцитома 3 степени злокачественности - более опасный диагноз, нежели ранние стадии. На этом этапе характерно появление симптомов озлокачествления опухоли: активность и быстрый рост. Лечение предполагает оперативное удаление новообразования, однако, не всегда удается провести тотальное иссечение патогенных тканей, поэтому продолжительность (прогноз) жизни снижается. Многое будет зависть от различных факторов: сложности принятых мер, адекватности терапии, возраста и индивидуальных особенностей больного, поэтому прогноз в каждом случае различный.
Фибриллярная астроцитома 4 степени злокачественности
В данном случае характер поведения опухоли определяется как агрессивный. Лечение сопряжено с рядом трудностей, которые продиктованы величиной неоплазии и невозможностью проведения тотального удаления очагов (чаще выполняют субтотальную резекцию). В этом случае не всегда возможно провести оперативное лечение, поэтому основным способом борьбы с болезнью будет облучение.
Лечение фибриллярной астроцитомы головного мозга
Основным выбором лечения является оперативное удаление фибриллярной астроцитомы с последующим облучением при помощи радиотерапии. Многое зависит от стадии болезни и степени прорастания новообразования в соседние структуры. Наиболее успешно лечатся фибриллярные астроцитомы на ранних этапах патогенеза. Опухоль в начале развития небольшая, поэтому возможно тотальное удаление.
Прогноз может быть ухудшен, если полноценное лечение осложняется имеющимися у пациента другими хроническими заболеваниями. В иных случаях удаление всей патологической ткани невозможно из-за близости ее к жизненно важным структурам головного мозга.
При небольших новообразованиях для их удаления сегодня все больше применяют малоинвазивные методы оперативного лечения, при средних или значительных опухолях удаление неоплазии проводится только путем открытой операции на головном мозге (резекция или трепанация черепа).
Сколько живут с опухолью головного мозга
У детей, молодых людей, зрелых и пожилых, независимо от их образа жизни, онкологи выявляют рак головного мозга. Сколько живут с этим заболеванием. Прогноз зависит от гистологического типа опухоли и стадии патологического процесса.

Причины
Прогноз при анапластической астроцитоме головного мозга давать сложно. Выживаемость пациентов не превышает четырёх лет и не увеличивается даже после проведения операции. При стандартном лечении наиболее частой формой опухоли мозга - глиобластомы -выживаемость составляет 4%. Терапия с применением генетически модифицированного полиовируса позволила увеличить трёхлетнюю выживаемость больных этой формой рака до 21%.
Опухоль головного мозга является одним из самых серьезных диагнозов в современной медицине. Данная форма рака одинаково может поразить важный орган, как мужчин, так и женщин, вне зависимости от возраста, поэтому при малейших подозрениях и симптомах, которые могут указывать на это заболевание, следует обращаться к специалистам. Эксперты рекомендую обращать внимание на частые головные боли, проблемы со зрением и координацией, неоднократные потери сознания, изменения в поведении.
Нейрохирурги утверждают, что опухоль головного мозга отражается на психике, душевном состоянии и индивидуальности человека. Доброкачественные новообразования длительное время протекают бессимптомно. Злокачественная опухоль может стремительно развиваться, проявляться агрессивно и быстро привести к летальному исходу.
Причин опухоли головного мозга много:
- Стремительное деление мозговых клеток;
- Отягощённая наследственность;
- Облучение высокими дозами радиации (опухоли могут образовываться спустя 15-20 лет с момента облучения).
Учёные доказали связь черепно-мозговых травм с возможностью отдалённого формирования оболочечно-сосудистых опухолей. Частота новообразований головного мозга находится в прямой зависимости от возраста пациента. До семи лет опухоли головного мозга встречаются значительно чаще, чем в период от 7 и до 14 летнего возраста. После 14 лет частота новообразований мозга снова возрастает. Максимум случаев заболевания приходится на пятидесятилетний возраст. Затем риск образования опухолей мозга уменьшается.
Учёные установили взаимосвязь гистологического типа новообразования и возраста пациента:
- У детей и юношей чаще возникает медуллобластома и астроцитома мозжечка, краниофарингиома и эпендимома, спонгиобластома ствола мозга;
- От 20 и вплоть до 50 лет преимущественно встречаются менингиомы, глиомы больших полушарий, аденомы гипофиза;
- Начиная с 45 лет чаще встречаются глиомы больших полушарий, менингиомы, невриномы слухового нерва, метастатические поражения головного мозга;
- При достижении в структуре опухолей головного мозга преобладают глиобластомы, метастатические опухоли, невриномы.
Внутримозговые новообразования, а также их злокачественные формы в 2-2,3 раза чаще диагностируются у мужчин. Доброкачественные опухоли более характерны для женщин.
Первые симптомы
Большинство новообразований головного мозга длительное время протекает бессимптомно или имеющиеся признаки не позволяют заподозрить наличие объёмного образования в черепной коробке. Онкологи Юсуповской больницы рекомендуют обращаться за специализированной медицинской помощью при наличии следующих симптомов:
- Частых и продолжительных головных болей, нередко появляющихся в местах развития опухоли, сопровождающихся тошнотой и рвотой;
- Потери координации, слабости, неспособности удерживать равновесие;
- Проблем со зрением и повышенной светочувствительности;
- Появлением внезапных приступов, напоминающих эпилептические.
Родственникам следует организовать консультацию нейрохирурга при наличии у пациента странных изменений в привычном поведении, необоснованной агрессии. С походом к специалисту в случае проявления подобных симптомов лучше не затягивать. Если опухоль головного мозга диагностирована на ранней стадии развития, когда симптомы невыраженные, пациенты живут намного дольше. Когда выявлен рак головного мозга 4 степени, прогноз для жизни неутешительный.
Локализация новообразований зачастую обусловливается их биологической природой. В больших полушариях мозга нейрохирурги чаще находят злокачественные глиомы, а в стволе мозга и мозжечке - доброкачественные новообразования.
Классифицируют опухоли головного мозга по степени зрелости их клеток и гистологическому признаку:
- К зрелым опухолям относятся астроцитомы, эпендимомы, олигодендроглиомы;
- Недозрелые новообразования представлены астробластомы, ганглиобластомы, олигодендроглиобластомы;
- В группу совершенно незрелых новообразований входят медуллобластомы, спонгиобластомы, мультиформные опухоли.
Опухоли головного подразделяют на различные группы по гистогенезу (развитию тканей):
- Новообразования нейроэктодермального или глиального ряда (астроцитомы, невриномы, медуллобластомы, пинеобластомы);
- Оболочечно-сосудистые опухоли - развиваются из арахноидэндотелия мозговых оболочек и стенок сосудов (ангиомы, менингиомы, хордомы, фибросаркомы, остеомы);
- Опухоли хиазмально-селлярной локализации - гипофиза, произрастающие из передней доли аденогипофиза, и краниофарингиомы;
- Бидермальные новообразования, которые состоят из элементов-производных двух зародышевых листков;
- Гетеротопические опухоли (хондромы, дермоиды, эпидермоиды, липомы, пиратемы).
В 1% случаев опухолей головного мозга определяются системные новообразования - множественный менингиоматоз, множественный нейрофиброматоз и множественный ангиоретикуломатоз. Метастазы в головной мозг (прогноз неблагоприятный) находят у 5% пациентов, а новообразования, которые врастают в полость черепа (саркомы, гломусные опухоли) - в 1,8% случаев. На данный момент по гистологическим и гистохимическим признакам выделяют порядка 90 различных опухолей нервной системы. По локализации опухоли головного мозга на супратенториальные новообразования, расположенные в передней и средней черепных ямках и субтенториальные, локализованные в задней черепной ямке.
Продолжительность жизни больного опухолью головного мозга определяет степень доброкачественности новообразования и стадии рака головного мозга. При доброкачественных опухолях очень часто онкологи Юсуповской больницы добиваются полного излечения. Продолжительность жизни или срок от окончания терапии до возобновления продолженного роста, которое потребует оперативного лечения, превышает 5 лет. Если характер опухоли полу доброкачественный, можно говорить о продолжительность жизни или временном интервале до продолженного роста новообразования от 3 и до 5 лет.
В случае относительно злокачественного характера опухоли пациенты живут 2-3 года. При злокачественной опухоли средний период жизни от 4 месяцев и до года, хотя известны и исключения. Глиобластома является не только самой агрессивной, но и одной из самых распространённых опухолей мозга. Онкологи выявляют до 52% первичных новообразований в этом органе. Для борьбы с заболеванием применяют химиотерапию, лучевую терапию и хирургическое лечение. При этом пациенты редко живут дольше 15-20 месяцев после установки диагноза.
Особенно опасны «возвращающиеся» опухоли, которые возникают вновь по завершении лечения. В этом случае продолжительность жизни редко превышает год. Терапия с применением генетически модифицированного полиовируса позволила увеличить трехлетнюю выживаемость пациентов с глиобластомой.
Продолжительность жизни зависит и от начала лечения, возможности провести весь возможный комплекс терапевтических процедур. Если лечение начато на ранних стадиях с применением инновационных методик оперативных вмешательств, лучевой и химиотерапии, пятилетняя выживаемость составляет около 80%. В остальных случаях прогноз не превышает 20-30%.
Сколько живут после операции опухоли головного мозга? Оперативные вмешательства существенно улучшают прогноз выживаемости пациентов. Операции наиболее эффективные на начальных стадиях заболевания. При появлении первых симптомов болезни обращайтесь в Юсуповскую больницу.
Когда обращаться к врачу
Выделяются 2 группы симптомов опухоли головного мозга - общемозговые и очаговые. Из общемозговых симптомов у 90% пациентов встречается головная боль. Причиной её возникновения является раздражение опухолью рецепторов мозговых оболочек. По мере роста происходит растяжение стенок желудочков, в дальнейшем - сдавление опухолью ствола мозга и мозговых сосудов. Боль глубинная, распирающая и разрывающая голову пациента. В самом начале заболевания боль приступообразная. По мере прогрессирования новообразования она становится все более длительной, интенсивность нарастает. Боль усиливается ночью и при физической нагрузке - при дефекации, кашле, повороте или кивании головой.
Кроме распространённых головных болей, которые заметны на 3-4 стадиях заболевания и возникают как результат повышения внутричерепного давления, врачи выделяют местные головные боли. Они возникают по причине раздражения мозговой оболочки, внутримозговых и оболочечных сосудов, стенок крупных сосудов головного мозга, появление различных изменений в костях черепа. Местные боли сверлящие, пульсирующие или дёргающие. Местные головные боли при опухоли мозга неврологи выделяют из общего болевого фона механически путём пальпации черепа, лица. Пациентам предлагают напрячься, покашлять или подпрыгнуть. При таких действиях головная боль усиливается.
У 50% пациентов, страдающих опухолью головного мозга, возникает рвота. Она появляется быстро, не связана с приёмом или характером пищи, отрыжкой, тошнотой, болями в области живота. Зачастую рвота сопутствует приступу головной боли, начинаясь на его пике. Иногда рвота возникает утром при повороте головы. Её причина - раздражения рвотного центра при внутричерепной гипертензии. При опухолях продолговатого мозга, IV желудочка, червя мозжечка, полушария мозжечка, рвота является очаговым и ранним симптомом.
В триаду ведущих симптомов опухоли головного мозга входят застойные соски зрительных нервов. Их офтальмологи определяют у 75-81% заболевших опухолью головного мозга. Застойные соски двусторонние, чаще развиваются при субтенториальных опухолях, реже - при супратенториальных.
Головокружение обнаруживается у 50% пациентов с опухолью головного мозга. Оно развивается как по причине застойных явлений в лабиринте, так вследствие поражения вестибулярных стволовых центров, височной или же лобной доли больших полушарий мозга. Головокружение зачастую сопровождается тошнотой. Пациент может потерять равновесие.
У 60-90% пациентов с опухолью головного мозга врачи определяют психические расстройства. Могут иметь место нарушения сознания:
- Оглушённость;
- Кома;
- Аспонтанность;
- Эмоциональные нарушения;
- Расстройства памяти.
К общемозговым симптомам опухоли мозга относят эпилептические припадки. Они возникают при локализации патологического процесса в задней черепной ямке. Местные симптомы зависят от типа опухоли головного мозга. При опухолях лобной доли неврологи определяют следующие местные признаки заболевания:
- Местные односторонние головные боли;
- Эпилептические припадки;
- Психические расстройства (пациент плохо ориентируется в окружающей обстановке, совершает абсолютно немотивированные поступки, неадекватно весел, шутлив).
Ранним проявлением болезни может быть центральный парез лицевого нерва, хватательный рефлекс на противоположной новообразованию стороне. К более поздним симптомам относится первичная атрофия зрительного нерва на стороне опухоли, застойные явления в другом глазу, экзофтальм на стороне, где обнаружена опухоль, менингеальные признаки, лобная атаксия. Если выявлена опухоль лобной доли головного мозга, прогноз зависит от её гистологического строения и стадии заболевания.
Проявлением опухоли теменной доли головного мозга является нарушение чувствительности (сложных форм и глубокого мышечного чувства), схемы тела, астереогноз. При левосторонней локализации опухоли развивается апраксия (нарушение целенаправленных движений и действий при сохранности составляющих их элементарных движений), нарушение способности письма, чтения, счёта, явления амнестической афазии (у пациентов возникают трудности называния предметов). Двигательные расстройства бывают при подкорковой локализации опухоли.
Для опухолей височной области мозга характерны следующие признаки:
- обонятельные и вкусовые расстройства;
- зрительные и слуховые галлюцинации;
- общие эпилептические припадки;
- гемианопсия (двухсторонняя слепота в половине поля зрения) при очагах в задних отделах доли;
- расстройства со стороны тройничного и глазодвигательного нервов.
При левосторонней локализации опухоли у правшей развивается сенсорная афазия (пациент всё слышит, но не может понять содержания слов). Для этой локализации типично раннее появление общемозговых симптомов.
Опухоли мозжечка проявляются головными болями, сопровождающимися рвотой. Важнейшими очаговыми проявлениями являются расстройство координации, мышечная гипотония, нистагм (непроизвольные колебательные движения глаз высокой частоты). При росте опухоли из червя наблюдается двусторонняя симптоматика:
- Преимущественное нарушение статической координации;
- Повышение внутричерепного давления;
- Приступы сильной головной боли и рвота при изменениях положения головы;
- Нарушение дыхания и сердечно-сосудистой деятельности.
Прогноз в этом случае неблагоприятный. Выделяют четыре стадии рака головного мозга. Если опухоль ограничена, говорят о первой стадии болезни. Дальнейшие стадии устанавливаются в зависимости от площади поражения. Четвёртая стадия означает расширенный рак с метастазами. Прогноз крайне неблагоприятный.
Пациенты часто спрашивают: «Что делать, врачи сказали, что у меня опухоль мозга?» При наличии первых симптомов опухоли головного мозга звоните по телефону Юсуповской больницы. Неврологи проведут обследование с помощью современных методов нейровизуализации, установят диагноз, организуют консультацию нейрохирурга. Комплексное лечение улучшает прогноз при раке головного мозга.
Читайте также:
