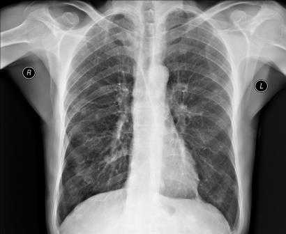
Анатомическая локализация при ортогональной рентгенографии органов грудной клетки
Добавил пользователь Евгений Кузнецов Обновлено: 14.12.2025
Рентгенография грудной клетки - это метод диагностики, позволяющий получить изображение органов грудной полости с помощью облучения рентгеновыми лучами. Различные ткани организма в зависимости от своей плотности по-разному пропускают рентгеновы лучи, а значит, по-разному отображаются на снимке (рентгенограмме).
Рентген грудной клетки дает возможность изучить костные структуры (ребра, грудину, позвоночник), легкие, плевру, бронхи и трахею, сердце и средостение, а также оценить состояние мягких тканей этой области.
Прежде всего, рентген грудной клетки используется для диагностики заболеваний легких.
Часто возникает вопрос, что лучше сделать рентген легких или флюорографию? Свои преимущества есть у каждого метода. Обычно флюорография используется для общей оценки состояния легких: есть ли признаки патологии или нет. Рентген легких позволяет получить более качественное изображение, а значит его диагностическая ценность выше. Зато флюорография дешевле.
Что показывает рентген грудной клетки?
Рентген грудной клетки способен выявить:
- присутствие в легких очагов воспаления, в том числе характерных для таких заболеваний как пневмония и туберкулёз;
- наличие опухолевых образований и отеков, которые могут быть следствием сердечной недостаточности;
- наличие патологических скоплений газов и жидкостей;
- скопление жидкости в околосердечной сумке, увеличение размера сердца, аорты и лимфатических узлов;
- инородные предметы в легких, пищеводе и дыхательных путях.
Какие заболевания помогает диагностировать рентген грудной клетки?

Рентген грудной клетки
Рентген грудной клетки назначается в целях диагностики и оценки состояния при таких заболеваниях, как:
- пневмония. В сложных случаях данные рентгена легких являются базовыми для постановки диагноза острой пневмонии;
- туберкулёз;
- воспалительные заболевания плевры (плеврит, эмпиема плевры);
- опухолевые заболевания легких, бронхов, трахеи;
- тромбоэмболия легочной артерии;
- профессиональные заболевания легких, вызванные длительным вдыханием пыли и других мелких частиц;
- пневмотракс (механический разрыв легочной ткани);
- паразитарные заболевания грудной клетки (эхинококкоз);
- заболевания грудного отдела позвоночника.
Показания к назначению рентгена легких (рентгена грудной клетки)
Показаниями к рентгену легких являются:
- длительный кашель;
- отхаркивание большого количества мокроты;
- кровь в мокроте;
- одышка;
- систематические боли в груди или боли в области спины;
- длительное повышение температуры тела.
Как делается рентген легких (рентген грудной клетки)
В большинстве случаев специальной подготовки к рентгену грудной клетки не требуется.
Необходимо будет раздеться до пояса, а также снять все металлические предметы и украшения. Рентгенография обычно делается в передней или задней проекции в положении стоя. В некоторых случаях рентген делается в боковой проекции, в том числе в положении лежа. В момент, когда делается снимок, нельзя двигаться. Надо быть готовым на некоторое время задержать дыхание.
Где сделать рентген грудной клетки в Москве?
Сделать рентген легких(обзорную рентгенографию грудной клетки) вы можете в рентгенологическом отделении любой из поликлиник «Семейного доктора».
Оставьте телефон -
и мы Вам перезвоним
Не занимайтесь самолечением. Обратитесь к нашим специалистам, которые правильно поставят диагноз и назначат лечение.
Что показывает рентген грудной клетки, когда может быть назначена процедура и как она проводится?
Рентгеном грудной клетки называют проекционное рентгенографическое обследование. Его цель - оценка патологии органов, находящихся в этой полости, и близкорасположенных анатомических структур. Данная разновидность рентгена является, пожалуй, одним из самых распространенных рентгенографических исследований. Рассмотрим подробнее этот тип аппаратной диагностики.
Рентген грудной клетки: общая характеристика метода
Органы и ткани человека по-разному реагируют на ионизирующее излучение: чем выше их плотность, тем светлее на снимке объект. Выполнение рентгенографии грудной клетки позволяет изучить мягкие ткани, кости этой части тела и анатомические структуры, находящиеся в исследуемой полости (легкие, плевру, средостение).
Стоит отметить, что на смену обычному (традиционному) рентген-исследованию пришла цифровая (компьютерная) рентгенография. Новые технологии позволяют получать более четкие снимки намного быстрее, что ускоряет процесс постановки диагноза. Изображение получают сразу в цифровом формате. Это исключает вероятность искажения снимка и появления на пленке царапин. Кроме того, по сравнению с обычным методом исследования, уменьшается лучевая нагрузка на пациента на 40%.
В зависимости от показаний пациенту может быть назначен обзорный или прицельный рентген грудного отдела. В первом случае получают изображения всех органов грудной клетки. На снимке обзорной рентгенографии хорошо видны дыхательные пути, лимфоузлы, сосуды, бронхи, трахея, легкие и сердце. Прицельная рентгенография направлена на исследование конкретного органа или его части и обеспечивает оптимальное изображение патологического очага для диагностики.
Многие задаются вопросом - чем отличается рентгенография от знакомой всем флюорографии? По сути, это одинаковые процедуры. Но рентгенография представляет собой современный, усовершенствованный метод диагностики грудной клетки высокой точности. Кроме того, это более щадящая процедура, чем флюорография, так как пациент получает меньшую лучевую нагрузку при ее проведении. Флюорография дает только общее представление о состоянии внутренних органов.
Стоит добавить, что КТ (компьютерная томография) также использует высокоточный механизм рентгеновского излучения (сканирования), но в рамках данной статьи мы описывать его не будем.
Что показывает рентген грудной клетки
Рентгенография призвана, в первую очередь, определить характер заболевания легких - пневмонию, профессиональные поражения, туберкулез, доброкачественные и злокачественные опухоли. Также данный метод эффективен при диагностике изменений лимфатических узлов и позвоночника. Рентгенография помогает определить порок сердца, болезнь перикарда и сердечной мышцы.
Когда назначают исследование
Прежде всего, сделать рентген грудной клетки стоит пациентам, у которых наблюдается следующая симптоматика:
- появление сильной одышки;
- боли в грудном отделе;
- затяжной кашель.
Также назначают рентгенографию при подозрении на перелом ребер или повреждение легких. В зависимости от причин, выписать пациенту направление на рентген может терапевт, травматолог, хирург или другой узкий специалист.
Вопрос, который интересует всех будущих мам: можно ли делать рентген при грудном вскармливании? Согласно результатам исследований, рентгеновские лучи никаким образом не влияют на состав молока и его качество, а также не мешают нормальной лактации. Следовательно, при необходимости такие исследования можно проводить. А вот во время беременности рентгенография строго запрещена, так как теоретически может вызвать аномалии развития плода.
Помните, что рентгеновское исследование в медицинском учреждении является полностью контролируемым и безопасным. Но существует ряд противопоказаний, при наличии которых пациенту данный вид диагностики не рекомендован.
- пациентам с сильными кровотечениями;
- людям в тяжелом состоянии;
- пациентам с открытым пневмотораксом.
Как делают рентген грудной клетки
Для прохождения рентгенографии грудной клетки не требуется особой подготовки. Нет необходимости придерживаться какой-либо диеты. Главное - убедиться, что у пациента нет абсолютных противопоказаний к прохождению процедуры.
«Классическое» оборудование, используемое для рентгена этой части тела, как правило, состоит из настенного ящика, в котором находится специальная пленка либо матрица для фиксации цифровых снимков, и рентгеновской трубки. Она расположена позади на расстоянии 1,5 м. Порой, рентгеновская трубка может подвешиваться над местом, где лежит пациент. А ниже, в ящике, выдвигаемом из-под стола, установлена рентгеновская пленка или фотопластинка.
Существуют и переносные (портативные) устройства, дающие возможность провести исследование больного непосредственно на больничной койке. В этом случае рентгеновская трубка соединяется с гибким манипулятором, который располагается выше тела пациента, тогда как фотопластинка либо держатель для рентген-пленки - позади тела человека.
Диагностическое исследование грудной клетки в стационаре всегда проводится в специально оборудованном и защищенном рентгеновском кабинете. Перед снимком необходимо раздеться до пояса и снять с себя все металлические вещи (часы, драгоценности и пр.). Пациент становится перед специальным щитком, в котором находится кассета с пленкой, и прижимается к нему грудной клеткой. Трубка аппарата, генерирующая рентгеновские лучи, находится примерно в двух метрах от пациента. По сигналу лаборанта необходимо вдохнуть полной грудью воздух и в таком положении замереть на несколько секунд.
Эта несложная процедура позволит сделать качественное изображение внутренних органов области грудной клетки в одной или нескольких проекциях. Следует знать, что данное исследование подразумевает, что:
- чаще всего снимки делают в двух стандартных положениях - прямом и боковом;
- время, которое понадобится на процедуру, составляет всего несколько секунд;
- никаких неприятных ощущений во время процедуры пациент не испытывает;
- расшифровка и описание результатов занимают от нескольких минут до нескольких дней.
Результаты диагностик и расшифровка рентген-снимков грудной клетки
После получения изображения рентгенолог делает заключение и краткое описание снимка для врача, направившего пациента на обследование. В записи указывается, как расположено сердце, его размер (увеличенный или нормальный), какова его паренхима. Кроме того описывается состояние и остальных внутренних органов грудной клетки - легких, бронхов, сосудов и лимфатических узлов. Если снимок показал наличие посторонних предметов, затемнений или новообразований, это также отражается в заключении рентгенолога.
Во время расшифровки полученного рентгеновского снимка, прежде всего, оценивается качество изображения, а значит, и насколько правильно осуществлена процедура. Если рентгенография была сделана в неверной проекции и снимок имеет неточности, то заключение на его основании сделать достаточно сложно. При рентгене легких, например, оценивается размер легких, их форма, структура тканей и легочных полей, состояние воздушности и расположение внутренних органов.
Если у пациента пневмония, на снимке будут видны ярко выраженные отклонения от нормы - интенсивные дополнительные ткани как на прямой, так и на боковой рентгенограмме. Присутствие на снимке особой прикорневой формы, напоминающей по виду крылья бабочки, говорит о венозном застое в области малого круга. На отечность легочной ткани будут указывать неравномерные хлопьевидные затемнения на изображении.
Сегодня в лечебных учреждениях чаще всего делают цифровую рентгенографию. Данный способ обследования позволяет получить более четкие снимки, что минимизирует возможность постановки неверного диагноза врачом. При проведении цифрового метода такого обследования результаты пациент может получить сразу же на электронном или бумажном носителе и сделать столько копий, сколько необходимо. При обычной рентгенографии получают всего один рентгеновский снимок на пленке, которую необходимо проявлять, на что уходит значительно больше времени.
Опасна ли процедура и можно ли делать рентген грудной клетки ребенку
На сегодняшний день рентген области грудной клетки остается самым простым, доступным и эффективным средством диагностики различных болезней у детей. Однако процедура проводится только после тщательной консультации лечащего педиатра и только по клиническим показаниям. Без необходимости данный способ анализа не назначают.
Обратите внимание!
Растущий детский организм в несколько раз более подвержен негативному воздействию радиации. Максимально допустимое значение для рентген-исследований детского организма не должно быть более 1 мЗв за год. Превышение этой нормы теоретически увеличивает риск возникновения разного рода онкологических заболеваний.
Большое значение имеют длительность проведения рентгенодиагностики и степень излучения. На устаревшем оборудовании, которое используют большинство государственных поликлиник, облучение в среднем составляет 0,3 мЗв или 30% от годовой дозы. Соприкосновение грудного отдела с рентгенологической трубкой длиться до 1 секунды. Современные же цифровые аппараты отличаются большей точностью и излучают всего 0,03 мЗв или 3% от годовой дозы, а сама процедура занимает до 0,02 секунд. При такой диагностике значительно сокращается время обследования - с 30-50 до 10-15 минут. Поэтому при обследовании детей преимущество отдают цифровой рентгенографии, особенно если необходимо сделать рентген грудной клетки несколько раз в год.
Это важно!
Родители должны понимать, что рентгенологическое обследование назначается для установления точного диагноза при тяжелых заболеваниях. Пренебрежение или боязнь этой процедуры может помешать своевременной диагностике и привести к серьезным последствиям вплоть до смертельного исхода.
Детям до 12 лет рентген грудного отдела делают в присутствии одного из взрослых членов семьи. Ребенка удобно укладывают, снимают все металлические предметы. При этом он должен лежать спокойно и не двигаться. Врач накрывает пациента специальным фартуком с наполнением из свинца, который служит как защитный экран. Рентгенограмма делается только на исследуемой области, остальные части тела не облучаются.
Своевременно сделанный рентген в юном возрасте помогает выявить, а значит, предотвратить осложнения, болезни и вовремя назначить лечение при целом ряде серьезных диагнозов. Чаще всего детям рентген назначают с целью диагностирования болезней опорно-двигательного аппарата, сердца, легких и бронхов. Рентген грудного отдела позвоночника дает возможность выявить на ранних стадиях опухоли различной этиологии, процессы воспалительного характера, в частности, патологии развития костной системы, последствия травм. Также рентгенологические исследования позволяют наблюдать за течением и динамикой развития врожденных патологий сердца, различных видов пневмоний, астмы, выявить туберкулез легких и костей.
И все же для детей, особенно первого года жизни, рентген используют только в случаях, если другой альтернативы не существует. Чаще всего младенцам рекомендуют проводить диагностику с помощью нелучевых методов исследования - эхокардиограммы, УЗИ, МРТ. Но далеко не всегда эти способы исследования доступны. Как правило, стоимость таких услуг на порядок выше, чем рентгенодиагностики, а оборудование и квалифицированные специалисты есть не во всех населенных пунктах.
Схема описания рентгенограмм и рентгеноскопии органов грудной полости.
1) ФИО и возраст пациента.
2) Общая оценка рентгенограммы
Методика.
— рентгеноскопия
— рентгенография (обзорная, прицельная рентгенограмма).
— суперэкспонированная рентгенограмма.
— томограмма.
— бронхограмма.
— компьютерная томограмма.
— ангиограмма.
Указание исследуемых органов (органы грудной полости).
Проекция исследования (прямая, боковая, косая, латеропозиция).
Качество снимка (контрастность, резкость, жесткость лучей, правильность укладки).
3) Изучение легких.
Определение формы грудной клетки (обычная, в виде колокола, бочкообразная).
Оценка объема легких (не изменен, легкое или его часть увеличена, уменьшена).
Установление состояние легочных полей (прозрачны, затемнение, просветление).
Анализ легочного рисунка (не изменен, усилен, ослаблен, деформирован).
Анализ корней легких (структурность, ширина, расположение, увеличение лимфатических узлов, диаметр сосудов).
Функциональное состояние при рентгеноскопии (дыхательные движения ребер, диафрагмы, изменение легочного рисунка при дыхании)
Выявление и описание патологических синдромов.
1) Теневая картина
Затемнение.
Просветление.
2) Локализация
По долям
По сегментам.
3) Размеры в сантиметрах (указывается не менее двух размеров).
4) Форма
Округлая.
Овальная.
Неправильная.
Треугольная.
5) Контуры
Ровные или неровные
Четкие или нечеткие
6) Интенсивность
Слабая
Средняя
Высокая
Известковой плотности
Металлической плотности
7) Структура тени.
Однородная
Неоднородная
8) Функциональные признаки при рентгеноскопии
9) Изменение формы круглой тени при дыхании - при жидкостных образованиях (кистах).
10) Пульсация тени при сосудистых образованиях (аневризмах, ангиомах) и др.
11) Соотношение патологических изменений с окружающими тканями:
Усиление легочного рисунка в окружающих тканях
Ободок просветления вокруг круглой тени за счет оттеснения соседних тканей
Оттеснение или раздвигание бронхов или сосудов и т.д.
Очаги отсева.
4) Изучение органов средостения
1) Расположение
Не смещено
Смещено (в сторону патологических изменений в легких или в противоположную сторону).
2) Размеры:
Не увеличены
Расширены за счет левого желудочка или других отделов сердца;
Расширено вправо или влево в верхнем, среднем или нижнем отделах.
3) Конфигурация
Не изменена
Если изменена, то это может быть за счет объемных образований сердца, сосудов, лимфатических узлов и др.
4) Контуры.
Ровные
Неровные
5) Функциональное состояние при рентгеноскопии
Ритм сердечных сокращений
Толчкообразное смещение средостения при выдохе в сторону ателектаза и т.д.
5) Изучение стенок грудной полости.
1) Состояние синусов плевры
Свободны
Содержат жидкость
Имеют плевро-диафрагмальные спайки.
2) Состояние мягких тканей
Не изменены
Увеличены
Имеется подкожная эмфизема
Инородные тела и др.
3) Состояние скелета грудной клетки и плечевого пояса
Расположение костей
Форма
Контуры
Структура
Наличие сросшихся или несрохшихся переломов.
4) Состояние диафрагмы
Расположение обычное
Смещение проксимально на одно межреберье и т.д.
Купола имеют ровные контуры или деформированы плевродиафрагмальными спайками.
Подвижность диафрагмы при рентгеноскопии.
ЗАКЛЮЧЕНИЕ
РЕКОМЕНДАЦИИ об использовании дополнительных методик.
ОПИСАНИЕ дополнительных методик и методов подтверждение или уточнение описанной прежде картины, описание вновь выявленных патологических признаков.
ОКОНЧАТЕЛЬНОЕ ЗАКЛЮЧЕНИЕ (например, пневмоторакс, паренхиматозная пневмония, центральный экзобронхиальный рак без метастазов, периферический рак, эхинококк в невскрывшейся фазе или др)
Анатомия легких: сегменты на рентгенограмме и КТ, ход бронхов.
Сегмент S1 (апикальный или верхушечный) правого лёгкого. Относится к верхней доле правого лёгкого. Топографически проецируется на грудную клетку по передней поверхности 2 ребра, через верхушку лёгкого до ости лопаточной кости.
Сегмент S2 (задний) правого лёгкого. Относится к верхней доле правого лёгкого. Топографически проецируется на грудную клетку по задней поверхности паравертебрально от верхнего края лопатки до её середины.
Сегмент S3 (передний) правого лёгкого. Относится к верхней доле правого лёгкого. Топографически проецируется на грудную клетку спереди от 2 до 4 рёбер.
Сегмент S4 (латеральный) правого лёгкого. Относится к средней доле правого лёгкого. Топографически проецируется на грудную клетку в передней подмышечной области между 4 и 6 рёбрами.
Сегмент S5 (медиальный) правого лёгкого. Относится к средней доле правого лёгкого. Топографически проецируется на грудную клетку жду 4 и 6 рёбрами ближе к грудине.
Сегмент S6 (верхний базальный) правого лёгкого. Относится к нижней доле правого лёгкого. Топографически проецируется на грудную клетку в паравертебральной области от середины лопатки до её нижнего угла.
Сегмент S7 правого лёгкого. Топографически локализуется с внутренней поверхности правого легкого, располагается ниже корня правого лёгкого. Проецируется на грудную клетку от 6 ребра до диафрагмы между грудинной и срединноключичной линиями.
Сегмент S8 (передний базальный) правого лёгкого. Относится к нижней доле правого лёгкого. Топографически отграничен спереди главной междолевой бороздой, снизу диафрагмой, сзади — задней подмышечной линией.
Сегмент S9 (латеральный базальный) правого лёгкого. Относится к нижней доле правого лёгкого. Топографически проецируется на грудную клетку между лопаточной и задней подмышечной линиями от середины лопаточной кости до диафрагмы.
Сегмент S10 (задний базальный) правого лёгкого. Относится к нижней доле правого лёгкого. Топографически проецируется на грудную клетку от нижнего угла лопатки до диафрагмы, по бокам отграничен околопозвоночной и лопаточной линиями.
Сегмент S1+2 (верхушечно-задний) левого лёгкого. Представляет комбинацию из С1 и С2 сегментов, что обусловлено наличием общего бронха. Относится к верхней доле левого лёгкого. Топографически проецируется на грудную клетку по передней поверхности от 2 ребра и вверх, через верхушку до середины лопаточной кости.
Сегмент S3 (передний) левого лёгкого. Относится к верхней доле левого лёгкого. Топографически проецируется на грудную клетку спереди от 2 до 4 ребра.
Сегмент S4 (верхний язычковый) левого лёгкого. Относится к верхней доле левого лёгкого. Топографически проецируется на грудную клетку по передней поверхности от 4 до 5 ребра.
Сегмент S5 (нижний язычковый) левого лёгкого. Относится к верхней доле левого лёгкого. Топографически проецируется на грудную клетку по передней поверхности от 5 ребра до диафрагмы.
Сегмент S6 (верхний базальный) левого лёгкого. Относится к нижней доле левого лёгкого. Топографически проецируется на грудную клетку в паравертебральной области от середины лопатки до её нижнего угла.
Сегмент S8 (передний базальный) левого лёгкого. Относится к нижней доле левого лёгкого. Топографически отграничен спереди главной междолевой бороздой, снизу диафрагмой, сзади — задней подмышечной линией.
Сегмент S9 (латеральный базальный) левого лёгкого. Относится к нижней доле левого лёгкого. Топографически проецируется на грудную клетку между лопаточной и задней подмышечной линиями от середины лопаточной кости до диафрагмы.
Сегмент S10 (задний базальный) левого лёгкого. Относится к нижней доле левого лёгкого. Топографически проецируется на грудную клетку от нижнего угла лопатки до диафрагмы, по бокам отграничен околопозвоночной и лопаточной линиями.
Представлена рентгенограмма правого лёгкого в боковой проекции с указанием топографии междолевых щелей.
Лёгкие располагаются в грудной клетке, занимая большую ее часть, и отделены друг от друга средостением. Размеры лёгких неодинаковые вследствие более высокого положения правого купола диафрагмы и положения сердца, смещенного влево.
В каждом лёгком различают доли, разделенные глубокими щелями. Правое лёгкое состоит из трёх долей, левое — из двух. На правую верхнюю долю приходится 20% лёгочной ткани, на среднюю — 8%, правую нижнюю — 25%, левую верхнюю — 23%, левую нижнюю — 24%.

Главные междолевые щели проецируются справа и слева одинаково — от уровня остистого отростка 3 грудного позвонка они направляются косо вниз и вперед и пересекают 6 ребро у места перехода его костной части в хрящевую.
Дополнительная междолевая щель правого лёгкого проецируется на грудную клетку по ходу 4 ребра от средней подмышечной линии до грудины.
На рисунке обозначены: Upper Lobe — верхняя доля, Middle Lobe — средняя доля, Lower Lobe — нижняя доля


Левый бронх
Left main bronchus — левый главный бронх
Left upper lobe bronchus — левый верхнедолевой бронх
Сегмент S1+2 (верхушечно-задний) левого лёгкого. Представляет комбинацию из С1 и С2 сегментов, что обусловлено наличием общего бронха. Относится к верхней доле левого лёгкого. Топографически проецируется на грудную клетку по передней поверхности от 2 ребра и вверх, через верхушку до середины лопаточной кости.
Сегмент S3 (передний) левого лёгкого. Относится к верхней доле левого лёгкого. Топографически проецируется на грудную клетку спереди от 2 до 4 ребра.
Сегмент S4 (верхний язычковый) левого лёгкого. Относится к верхней доле левого лёгкого. Топографически проецируется на грудную клетку по передней поверхности от 4 до 5 ребра.
Сегмент S5 (нижний язычковый) левого лёгкого. Относится к верхней доле левого лёгкого. Топографически проецируется на грудную клетку по передней поверхности от 5 ребра до диафрагмы.Left lower lobar bronchus — левый нижнедолевой бронх
Сегмент S6 (верхний базальный) левого лёгкого. Относится к нижней доле левого лёгкого. Топографически проецируется на грудную клетку в паравертебральной области от середины лопатки до её нижнего угла.
Сегмент S8 (передний базальный) левого лёгкого. Относится к нижней доле левого лёгкого. Топографически отграничен спереди главной междолевой бороздой, снизу диафрагмой, сзади — задней подмышечной линией.
Сегмент S9 (латеральный базальный) левого лёгкого. Относится к нижней доле левого лёгкого. Топографически проецируется на грудную клетку между лопаточной и задней подмышечной линиями от середины лопаточной кости до диафрагмы.
Сегмент S10 (задний базальный) левого лёгкого. Относится к нижней доле левого лёгкого. Топографически проецируется на грудную клетку от нижнего угла лопатки до диафрагмы, по бокам отграничен околопозвоночной и лопаточной линиями.
Правый бронх
Right main bronchus — правый главный бронх
Intermediate bronchus — средний бронхRight upper lobar bronchus — правый верхнедолевой бронх
Сегмент S1 (апикальный или верхушечный) правого лёгкого. Относится к верхней доле правого лёгкого. Топографически проецируется на грудную клетку по передней поверхности 2 ребра, через верхушку лёгкого до ости лопаточной кости.
Сегмент S2 (задний) правого лёгкого. Относится к верхней доле правого лёгкого. Топографически проецируется на грудную клетку по задней поверхности паравертебрально от верхнего края лопатки до её середины.
Сегмент S3 (передний) правого лёгкого. Относится к верхней доле правого лёгкого. Топографически проецируется на грудную клетку спереди от 2 до 4 рёбер.Right middl lobar bronchus — правый среднедолевой бронх
Сегмент S4 (латеральный) правого лёгкого. Относится к средней доле правого лёгкого. Топографически проецируется на грудную клетку в передней подмышечной области между 4 и 6 рёбрами.
Сегмент S5 (медиальный) правого лёгкого. Относится к средней доле правого лёгкого. Топографически проецируется на грудную клетку жду 4 и 6 рёбрами ближе к грудине.Right lower lobar bronchus — правый нижнедолевой бронх
Сегмент S6 (верхний базальный) правого лёгкого. Относится к нижней доле правого лёгкого. Топографически проецируется на грудную клетку в паравертебральной области от середины лопатки до её нижнего угла.
Сегмент S7 правого лёгкого. Топографически локализуется с внутренней поверхности правого легкого, располагается ниже корня правого лёгкого. Проецируется на грудную клетку от 6 ребра до диафрагмы между грудинной и срединноключичной линиями.
Сегмент S8 (передний базальный) правого лёгкого. Относится к нижней доле правого лёгкого. Топографически отграничен спереди главной междолевой бороздой, снизу диафрагмой, сзади — задней подмышечной линией.
Сегмент S9 (латеральный базальный) правого лёгкого. Относится к нижней доле правого лёгкого. Топографически проецируется на грудную клетку между лопаточной и задней подмышечной линиями от середины лопаточной кости до диафрагмы.
Сегмент S10 (задний базальный) правого лёгкого. Относится к нижней доле правого лёгкого. Топографически проецируется на грудную клетку от нижнего угла лопатки до диафрагмы, по бокам отграничен околопозвоночной и лопаточной линиями.
Расшифровка рентгена грудной клетки в Уфе

Рентгенография применяется для обследования органов грудной клетки, оценки состояния лёгких, бронхов, трахеи, лимфоузлов, костей, сердечно-сосудистой системы. Современное медицинское оборудование позволяет получить четкое изображение внутренних органов в нужной проекции, что значительно упрощает и ускоряет постановку точного диагноза. Рентгенография даёт возможность выявить различные патологии, новообразования, воспаления, механические повреждения и пр.
Порядок проведения рентгенографии грудной клетки
Предварительная подготовка пациента перед проведением обследования не требуется. Не допускается наличие на теле металлических предметов (нательные кресты, украшения и пр.).
Обследование проходит в отдельном кабинете, где расположено соответствующее оборудование. Необходимо следовать указаниям врача, занять требуемое положение перед сканирующим аппаратом, по команде задержать дыхание. Чаще всего перед задержкой требуется сделать неглубокий вдох. Пациент не должен сильно напрягаться при вдохе, так как это приводит к искаженному расположению органов грудной клетки на снимке.
Чаще всего врачу требуется рентгенограмма в прямой проекции, изображение в боковой проекции нужно значительно реже. При правильно проведённом обследовании четко заметны рёбра, сердце, органы дыхания, частично — кости плечевого пояса.
Длительность исследования — около 1 минуты. После получения снимка, врач делает расшифровку, и доводит до пациента результаты обследования, передает подробное заключение.
Доктора отделения


Результаты исследования органов грудной клетки и расшифровка рентгенограммы
После получения снимка, рентгенолог делает заключение и передаёт его лечащему врачу, который направил пациента для прохождения рентгенографии. Описание содержит информацию о расположении и размере сердца, органах дыхания, состоянии сосудистой и лимфатической системы. При наличии инородных предметов, затемнений, новообразований, это также отмечается в описании результатов исследования.
Рентгенография легких позволяет оценить их состояние размер, форму, структуру тканей, а также расположение прочих органов грудной клетки. Для получения наиболее полной информации о состоянии лёгких, врачу необходима рентгенограмма в 2 проекциях, где чётко просматривается лёгочная ткань, купола диафрагмы, тень сердца и органов средостения, кости позвоночника, плечевого пояса, грудины. Изображение различных органов и костей наложено друг на друга.
Для корректной расшифровки изображения необходимо четкое представление о том, как на рентгенограмме выглядят здоровые органы грудной клетки. К примеру, даже малозаметные затемнения, просветления, ассиметричный легочный рисунок может свидетельствовать о серьёзном заболевании. Регулярное проведение обследований позволяет выявить патологии на ранней стадии и незамедлительно приступить к лечению.
При расшифровке рентгенолог оценивает качество снимка. Неправильное проведение процедуры (некорректное расположение пациента, неверная проекция и пр.) не позволяет составить точное заключение, поэтому может потребоваться повторное обследование.
Причиной некорректного результата обследования могут стать:
- Дополнительные артефакты — тени различных металлических изделий, которые могут заслонять собой очаги патологий и нарушают целостное восприятие снимка врачом
- Полнота снимка — из-за неправильного расположения экрана могут быть некорректно отображены верхушки, поля, синусы диафрагмы
- Недостаточно четкое и контрастное изображение — проявляется при неправильном выборе режима рентген-аппарата. Современное оборудование позволяет выбирать дозу излучения для людей различной комплекции. К примеру, для пациентов со значительной массой тела, ожирением, требуется более сильное излучение для получения четкой рентгенограммы. При оцифровке изображения возможно изменение контрастности снимка
- Положение тела — при неправильном расположении пациента, несвоевременном выдохе, раскрытии лопаток, некорректной установке экрана или рентгенологической трубки рентгенограмма с большой вероятностью будет искажена
Протокол расшифровки рентгенограммы
Любой квалифицированный врач-терапевт распознает на рентгенограмме серьёзные патологические изменения и повреждения. Однако для составления подробного заключения и выявления заболеваний на ранней стадии необходим детальный анализ рентгенограммы. Для удобства рентгенологов разработан алгоритм, по которому составляется протокол расшифровки.
- Точное название обследования — указывается анатомическая область снимка, в какой проекции (боковая, прямая) он выполнен
- Оценка симметрии лёгочных полей
- Выявлены или нет патологические поля (очаговые, диффузные инфильтративные), просветления в ткани лёгких
- Описание лёгочного рисунка (если он нарушен, то это указывает на патологические изменения сосудов лёгких)
- Описание корней лёгких — нарушена или нет структура лимфоузлов, присутствуют или нет патологические изменения крупных бронхов
- Описание тени органов средостения — особенно важно при диагностике заболеваний сердца
- Описание дуги желудочков сердца, крупных сосудов
- Состояние диафрагмы и легочно-диафрагмальных узлов синусов — даётся оценка симметрии стояния диафрагмы, угол синуса, заполнен он или нет (присутствие выпота при плеврите)
Воспалительные процессы и туберкулёз
При анализе рентгенограммы следует чётко разделять заболевания, связанные с воспалением тканей, и туберкулёз лёгких. Туберкулома в большинстве случаев локализована на верхушках лёгочных путей, тень от неё округлая, чаще с просветлением в центре — очагом деструкции. Чётко заметны расширенные корни лёгких.
Воспаление лёгких (пневмония) чётко визуализируется на рентгенограмме. Выглядит как инфильтративная тень на фоне усиления рисунка лёгких, очаг пневмонии нередко окружен просветлениями — локальная компенсаторная эмфизема.
Стоимость услуг
Читайте также:
- Ветеринарная хирургия. История ветеринарной хирургии
- Энтерококки. Особенности энтерококков. Эпидемиология энтерококков. Клинические проявления поражений энтерококками. Выявление энтерококков. Диагностика энтерококков.
- Хирургическая анатомия наружного уха и наружного слухового канала
- Симптомы гипотиреоза у мужчин. Какие таблетки помогут?
- Тактика при коме. Госпитализация при коме.
