Энтерококки. Особенности энтерококков. Эпидемиология энтерококков. Клинические проявления поражений энтерококками. Выявление энтерококков. Диагностика энтерококков.
Добавил пользователь Владимир З. Обновлено: 21.01.2026
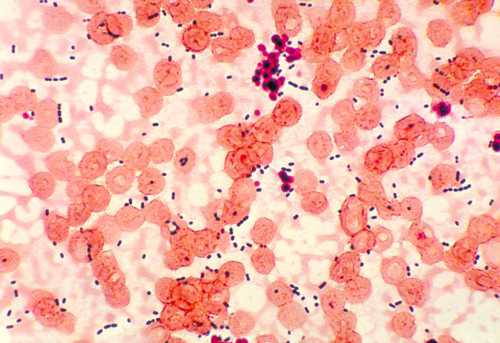
Энтерококки (лат. Enterococcus) — род повсеместно распространённых грамположительных бактерий.
Энтерококки в классификации бактерий
По принятой ранее классификации энтерококки относились к стрептококкам класса D и, например, Enterococcus faecalis и Enterococcus faecium назвались Streptococcus faecalis и Streptococcus faecium. По современной классификации род Enterococcus входит в семейство Enterococcaceae, порядок Lactobacillales, класс Bacilli, тип Firmicutes, царство Бактерии.
В род Enterococcus входят следующие виды энтерококков:
Enterococcus mundtii и другие.
Энтерококк — важнейший представитель микрофлоры человека
Энтерококки не образуют спор и капсул. Они имеют овальную форму и размер 0,6-2,0 на 0,6-2,5 мкм. Энтерококки являются факультативными анаэробами, способными использовать энергию брожения и, поэтому, жить и при больших, и при ничтожных количествах кислорода. Энтерококк растет при температуре от 10 до 45° С, но температура от 35 до 37° С для него наиболее оптимальна. Энтерококк осуществляет метаболизм бродильного типа, ферментируют разнообразные углеводы с образованием в основном молочной кислоты, но не газа, снижая кислотность среды до 4,2-4,6. Энтерококки высокорезистентены к различным факторам внешней среды и дезинфицирующим средствам, могут длительное время сохранять жизнеспособность на предметах домашнего обихода, выдерживают нагревание до 60° С в течение 30 минут.
Энтерококки, с одной стороны, являются возбудителями инфекций мочевыводящих путей, интраабдоминальных инфекций, инфекций органов малого таза, раневых инфекций, эндокардита, на их долю приходится существенное количество внутрибольничных инфекций (6 % от всех внутрибольничных инфекций мочевыводящих путей, 12 % — раневых инфекций и 9 % — внутрибольничных инфекций кровотока). С другой стороны, энтерококки входят в состав нормальной микрофлоры желудочно-кишечного тракта человека и многих позвоночных, играют важную роль в обеспечении колонизационной резистентности слизистой оболочки. Энтерококки колонизируют преимущественно тонкую кишку, но также в заметном количестве встречаются в толстой кишке, губчатой части мочеиспускательного канала, в половых органах и, иногда, в полости рта.
В клиническом материале 80-90 % от всех выделенных у человека энтерококков составляют Enterococcus faecalis . На втором месте Enterococcus faecium —5 -10 %, остальные энтрококки относятся к Enterococcus gilvus и Enterococcus pallens (Бондаренко В.М., Суворов А.Н. Симбиотические энтерококки и проблемы энтерококковой оппортунистической инфекции).
В количественном отношении в толстой кишке энтерококки составляют менее 1 % от общего числа бактерий, проигрывая, например, бифидобактериям примерно в 100 раз или более. У детей раннего возраста количество энтерококков на 1 г фекалий 106—107, у взрослых — 107—108, у пожилых — 106—107.
Энтерококки заселяет кишечник человека в первые дни жизни, причём это заселение происходит более активно у детей, находящихся на грудном вскармливании.
Энтерококки часто вызывают инфекции мочеполовых органов, особенно у пациентов, принимавших антибиотики и подвергавшихся инструментальным исследованиям. Наиболее патогенны для человека Enterococcus faecalis (фекальный энтерококк), Enterococcus faecium (энтерококк фэциум) и Enterococcus durans. К энтерококковой инфекции предрасполагают пожилой возраст, тяжелые заболевания, нарушения барьерной функции кожи и слизистых, подавление нормальной микрофлоры антибиотиками. Кроме того, за последние три десятилетия энтерококки приобрели резистентность практически ко всем известным классам антимикробных препаратов.
Энтерококки в микрофлоре влагалища
Энтерококки присутствуют в составе нормальной микрофлоры влагалища, при этом в норме их количество мало и составляет единицы процентов или даже десятые доли процента относительно других бактерий. Так как энтерококки в большом количестве содержатся в кишечнике, то повышенное их количество во влагалище может быть следствием несоблюдения гигиены или специфичностью применяемых сексуальных практик. Энтерококки, также как и некоторые другие бактерии, могут быть причиной вульвитов и вагинитов.
Инфекция мочевых путей и энтерококки
Бактериурия — наличие бактерий в моче может является признаком воспаления в мочевыводящих путях, мочевом пузыре, почках. При отсутствии каких-либо симптомов, истинная бактериурия (инфекция мочевых путей) диагностируется при наличии не менее 105 микробных тел в 1 мл свежевыпущенной мочи, иначе предполагается, что загрязнение мочи происходит при ее заборе. При наличии симптомов или при заборе мочи катетером диагностический порог может быть значительно уменьшен. Часто бактериурия не сопровождается какими-либо симптомами, тогда она называется бессимптомной или асимптоматическая бактериурией. В то же время, бактериурия нередко сочетается с симптомами цистита, пиелонефрита, простатита, уретрита. а также встречается у беременных. Бессимптомная бактериурия не всегда требует немедленного лечения.
Энтерококки являются одним из возбудителей воспалений мочевыводящих путей, на их долю приходится от 1 до 18 % (в зависимости от типа заболевания) всех выявленных при бактериурии микроорганизмов. Энтерококки являются причиной 7 % всех острых простатитов. Среди энтерококков — возбудителей воспалений мочевыводящих путей доминирующим видом является фекальный энтерококк (Enterococcus faecalis).
Что это за бактерия - энтерококк
Изначально в микробиологии энтерококки group Enterococcus faecalis рассматривали, как разновидность бактерий Streptococcus группы D. Но после проведения анализа по иммунотипированию протеинового комплекса и гибридизации нуклеиновых кислот они были выделены в отдельное семейство, не имеющее родства с представителями стрептококковой группы.
До 95% бактерий Enterococcus spp. обитают в тонком кишечнике. Остальные 5% входят в состав условно-патогенной микрофлоры половых органов, толстого кишечника и ротовой полости. При снижении резистентности организма они становятся возбудителями инфекций желудочно-кишечного тракта, мочеполовой системы, органов дыхания, протекающих вяло или хронически. Энтерококки часто вызывают раневые и внутрибольничные инфекции благодаря высокой устойчивости к большинству антибиотиков.
Положительное действие данных микроорганизмов заключается в способности защищать слизистые оболочки человека от негативного воздействия патогенных микробов. Они также ферментируют углеводы в молочную кислоту и понижают кислотность в желудке.
Разновидности
Самыми распространенными представителями семейства энтерококков являются Enterococcus faecalis, составляющие от 80 до 90% представленных бактерий. Остальные 5-10% приходятся на Enterococcus faecium, durans, gilvus и pallens.
Энтерококки фекалис и фэциум имеют овальную форму, обитают в ротовой полости и кишечнике человека, в незначительном количестве обнаруживаются на слизистых оболочках органов мочеполовой системы.
Свойства этих микроорганизмов:
- отсутствие способности образовывать капсулы и споры;
- незначительная подвижность;
- устойчивость к воздействию большинства антимикробных и дезинфицирующих препаратов, к нагреванию до 60°C;
- способность вызывать гемолиз (разрушение) эритроцитов.
Они также отличаются уникальной способностью заселять слизистые оболочки человека, которые уже колонизированы другими микроорганизмами.
При интенсивном размножении гемолизирующие энтерококки, помимо гнойно-воспалительных реакций, могут провоцировать пищевые отравления и дисбактериоз кишечника.
Таксономическая принадлежность
На сегодняшний момент энтерококки рассматриваются как отдельный род Enterococcus, включающий в себя примерно 20 видов. Для человека значимость имеют только энтерококк фекалис, фециум, дуранс и др. Их видовая идентификация базируется на различии биохимических и антигенных свойств.
Строение
Энтерококки представляют собой грамположительные микроорганизмы, соединенные парами или небольшими цепочками. Круглые или слегка вытянутые бактерии имеют диаметр от 0.6 до 2.5 мкм. Некоторые штаммы имеют жгутики и способны передвигаться.
Жизненный цикл
Представители Enterococcus spp. входят в состав нормальной микрофлоры кишечника человека и некоторых видов животных. Они относятся к факультативным анаэробам, способным жить как в бескислородной среде, так и в присутствии воздуха. Это позволяет им определенное время поддерживать свою жизнедеятельность при попадании во внешнюю среду. Оптимальным температурным режимом для роста и размножения является показатель от 35 до 37°C, хотя выживают Enterococcus в температурном диапазоне от 10 до 45°C.
Биохимические свойства
Большинство биохимических свойств, которые проявляют энтерококк фэциум и фекалис, отличаются непостоянством. Лишь несколько стабильных характеристик позволяют точно идентифицировать представителей данного семейства. К ним относятся:
- рост на питательных средах с добавлением 40% желчи;
- размножение в бульоне с 6.5% поваренной соли и сильнощелочной среде, где рН достигает 9,6;
- способность разжижать желатин, ферментировать глицерин и лактозу, свертывать молоко;
- отсутствие каталазной активности.
Сплошной рост на твердых питательных средах является видовой особенностью энтерококков, отличающей их от стрептококков, растущих единичными колониями.
Устойчивость
Enterococcus faecalis обладают низкой антибиотикочувствительностью. Они быстро размножаются на фоне гибели других микроорганизмов под воздействием антимикробных препаратов.
Высокая устойчивость к большинству антибиотиков (аминогликозиды, цефалоспорины) сильно затрудняет лечение энтерококковых инфекций. Малоизученной остается невосприимчивость бактерий к препаратам тетрациклинового ряда, макролидам и рифампицину.
Резистентность к Ванкомицину в зависимости от видов энтерококков составляет:
- для Е. faecium — 28%;
- для Е. faecalis — 98%;
- для Е. durans — 50%.
Данные цифры могут значительно варьироваться в зависимости от географического положения. Наиболее высокий показатель устойчивости регистрируется в США, так как Ванкомицин применяется в этой стране уже достаточно давно, и бактерии успели выработать к нему защитные механизмы.
На штаммы, устойчивые к данному препарату, эффективно воздействует Линезолид, Тигециклин, Рифаксимин и Рокситромицин.
Помимо антибиотиков, энтерококки проявляют резистентность ко многим дезинфицирующим средствам и неблагоприятным воздействиям внешней среды. Они способны выживать при температуре до 60°C на протяжении получаса.
Патогенность
Бактерии Enterococcus становятся наиболее частой причиной внутрибольничных и оппортунистических инфекций.
Основным фактором патогенности является их устойчивость к антибиотикам. Но большинство факторов не связано непосредственно с подавлением иммунных реакций организма хозяина или выработкой повреждающих агентов. Специалисты относят их к важным компонентам жизнеобеспечения бактерий. Например, способность противостоять действию желчных кислот дает им шанс выживать в двенадцатиперстной кишке, а выработка адгезинов обеспечивает возможность образовывать колонии в ЖКТ.
Заразность
Заражение энтерококком происходит в период снижения резистентности организма, прохождения длительного курса антибиотико- или химиотерапии, приводящего к гибели других представителей микрофлоры, во время инструментальных исследований. Инфицирование также возможно при:
- несоблюдении личной гигиены;
- несвоевременной смене тампонов и прокладок при менструации;
- использовании чужого нательного белья, полотенец, средств гигиены;
- отсутствии регулярного ухода за половыми органами;
- нарушениях целостности мягких тканей во время травм;
- контакте с загрязненными продуктами, предметами, руками и т. д.;
- употреблении неочищенной воды.
Энтерококк фекальный не передается половым путем через кровь или семенную жидкость. Заражение происходит при нарушении правил гигиены во время полового акта и оральном сексе.
Enterococcus faecalis (энтерококк фекальный)

Энтерококк фекальный или энтерококк фекалис (лат. Enterococcus faecalis) — вид энтерококков, входящий в состав нормальной микрофлоры пищеварительного тракта человека, а также некоторых млекопитающих.
Фекальные энтерококки — самые часто встречающиеся в организме человека и домашней птицы энтероккоки. Фекальные энтерококки также колонизируют кишечник крупного рогатого скота, свиней, собак, лошадей, овец и коз.
Фекальный энтерококк может являться возбудителем различных инфекций: мочевыводящих путей, интраабдоминальных, органов малого таза, раневых, эндокардита. Фекальные энтерококки, наряду с энтерококками вида фэциум являются наиболее патогенными видами среди энтерококков, они составляют 80-90% от всех выделенных в клиническом материале человека энтерококков. Фекальные энтерококки часто бывают причиной внутрибольничных инфекций (Бондаренко В.М., Суворов А.Н. Симбиотические энтерококки и проблемы энтерококковой оппортунистической инфекции).
Enterococcus faecalis участвуют в реакции трансплантат против хозяина (Карпеева Ю.С. и др.).
В то же время, фекальные энтерококки входят в состав нормальной микрофлоры желудочно-кишечного тракта человека и многих позвоночных, играют важную роль в обеспечении колонизационной резистентности слизистой оболочки. Основное место обитания фекального энтерококка в организме — тонкая кишка, но он также встречается в толстой кишке, губчатой части мочеиспускательного канала, в половых органах, и, иногда, в полости рта. Фекальные энтерококки присутствуют в кале 90 % взрослых людей. Количество фекальных энтерококков во внешней среде является значимым санитарным и эпидемиологическим показателем ее фекальной загрязненности.
Фекальные энтерококки в пищевой промышленности
- штамм Enterococcus faecalis B114 используется при приготовлении сыра "камамбер"
- штамм Enterococcus faecalis INIA 4 — сыры Taleggio, Manchego, Hispano
- штамм Enterococcus faecalis TAB 28 — творог
Инфекция мочевых путей и фекальные энтерококки
Бактериурия — наличие бактерий в моче может является признаком воспаления в мочевыводящих путях, мочевом пузыре, почках. При отсутствии каких-либо симптомов, истинная бактериурия (инфекция мочевых путей) диагностируется при наличии не менее 10 5 микробных тел в 1 мл свежевыпущенной мочи, иначе предполагается, что загрязнение мочи происходит при ее заборе. При наличии симптомов или при заборе мочи катетером диагностический порог может быть значительно уменьшен. Часто бактериурия не сопровождается какими-либо симптомами, тогда она называется бессимптомной или асимптоматическая бактериурией. В то же время, бактериурия нередко сочетается с симптомами цистита, пиелонефрита, простатита, уретрита, а также встречается у беременных. Бессимптомная бактериурия не всегда требует немедленного лечения.
Одним из возбудителей воспалений мочевыводящих путей (ВМП) является фекальный энтерококк, на долю которого приходится от 1 до 18 % (в зависимости от типа заболевания) всех выявленных при бактериурии патогенных микроорганизмов. Остальные виды энтерококков практически не встречаются среди возбудителей ВМП.
Активность антибиотиков в отношении Enterococcus faecalis
Антибактериальные средства (из имеющих описание в данном справочнике), активные в отношении Enterococcus faecalis: левофлоксацин, норфлоксацин, офлаксацин, рифаксимин, нифурател, доксициклин (не ко всем штаммам). Enterococcus faecalis умеренно чувствителен к ципрофлоксацину. 74 % штаммов Enterococcus faecalis не чувствительны к тетрациклину. Не активны в отношении Enterococcus faecalis линкомицин и клиндамицин. Чувствительные к ванкомицину и гентамицину штаммы Enterococcus faecalis чувствительны также к моксифлоксацину.
Для лечения острых неосложненных инфекций мочевыводящих путей, вызванных Enterococcus faecalis могут быть рекомендованы нитрофураны, цефалоспорины III поколения, гентамицин, фторхинолоны, последние — с оговоркой о неблагоприятных тенденциях к росту устойчивости. Следует отметить, что цефалоспорины лишены активности против энтерококков, а ранние фторхинолоны (ломефлоксацин, норфлоксацин, офлоксацин, пефлоксацин, ципрофлоксацин) обладают слабой активностью против Enterococcus faecalis.
Enterococcus faecalis в систематике бактерий
По современным представлениям вид Enterococcus faecalis относится к роду Enterococcus (энтерококки), который входит в семейство Enterococcaceae, порядок Lactobacillales, класс Bacilli, тип Firmicutes, Terrabacteria group, царство Бактерии.
По принятой ранее классификации энтерококки относились к стрептококкам серогруппы D и Enterococcus faecalis назвался Streptococcus faecalis. Традиционно он иногда называется фекальным стрептококком.
Энтерококки
Темой сегодняшнего разговора будут одни из наиболее распространенных микроорганизмов из семейства Enterobacteriaceae - энтерококки, которые являются грамположительными кокками и факультативными анаэробами.
Материалы предназначены исключительно для врачей и специалистов с высшим медицинским образованием. Статьи носят информационно-образовательный характер. Самолечение и самодиагностика крайне опасны для здоровья. Автор статей не дает медицинских консультаций: клинический фармаколог — это врач только и исключительно для врачей.
Автор: Трубачева Е.С., врач - клинический фармаколог

Микробиологические аспекты
Энтерококки входят в состав нормальной микрофлоры кишечника, обитают в основном в тонкой кишке и при этом, обнаруживаясь за пределами своей естественной среды обитания, являются возбудителями множества социально-значимых заболеваний. Наибольшее клиническое значение имеют E.faecalis и E.faecium.
Отличительным свойством энтерококков является их способность к образованию биопленок. О биопленках достаточно подробно мы рассуждали в статье, посвященной синегнойной палочке. И специфика течения многих заболеваний, вызванных энтерококками, объясняется именно пленкообразованием.
Клинические аспекты
Наиболее частым возбудителем внебольничных инфекций является E.faecalis - сюда относятся инфекции мочевыводящих путей и инфекционные эндокардиты у внутривенных наркозависимых пациентов.
E.faecium наиболее часто выявляется при нозокомиальных инфекциях - здесь преобладают так же инфекции мочевыводящих путей, но связанные с проведением инструментальных методов исследования, а также всевозможные виды бактеремий, связанных с медицинскими вмешательствами.
Когда мы можем думать о состояниях, вызванных энтерококками?
- Менингиты, как следствие черепно-мозговых травм, нейрохирургических вмешательств и при наличии антомических дефектов центральной нервной системы
- Перитониты любой этиологии
- Пельвиоперитониты (в составе микст-флоры)
- У пациентов с диабетической стопой
- У пациентов с инфекциями мочевыводящих путей, особенно в случаях их катетеризации
- Уросепсис
- У внутривенных наркозависимых - наравне с зеленящими стрептококками - энтерококки являются одними из наиболее частых возбудителей, а потому эмпирическая антибактериальная терапия должна перекрывать оба эти возбудителя
- Холангиты и инфекции билиарного тракта
- Катетер-ассоциированные инфекции (наряду с эпидермальными стафилококками)
Существуют следующие факторы риска инфицирования энтерококками:
- Длительные и неоднократные госпитализации
- Пациенты старшего возраста
- Пациенты с иммунодефицитами различной этиологии
- Лица, страдающие хроническими заболеваниями, такими как рак и диабет
- Пациенты с установленными мочевыми катетерами
- Пациенты на гемодиализе
- Пациенты с нейтропениями
- Наличие центральных венозных катетеров и дефекты ухода за оными
- Использование в стационарах антибиотиков широкого спектра действия (срабатывает принцип «свято место пусто не бывает», и энтерококки получают селективное преимущество на поле боя, где полегла остальная микрофлора)
- Недавно прооперированные пациенты или пациенты с открытыми ранами и язвами (высокий риск внутрибольничного инфицирования)
- Пациенты с установленными дренажами, а также интубированные пациенты (риск внутрибольничного инфицирования)
Как мы можем заметить, основную роль в развитии заболеваний, вызванных энтерококками, играет человеческий, точнее ятрогенный фактор. Энтерококки, как и вся остальная кишечная микрофлора, по воздуху летать не умеют, да и ножками не ходят, а потому главное в их нераспространении - чистота наших рук и соблюдение санитарно-противоэпидемических правил, написанных, как и большинство подобных документов (например, как ПДД), кровью, причем кровью пациентов.
Аспекты лечения
Их можно разделить на лекарственные и нелекарственные.
Аспекты медикаментозного лечения
Здесь автор отступит от правила и не отправит изучать вопрос по книжкам и таблицам, а попытается расписать антибактериальную терапию более подробно. Это связано и со спецификой самого возбудителя, и со спецификой контингента, имеющего заболевания, им вызванные.
Как уже упоминалось ранее, наряду с зеленящим стрептококком, а вообще намного чаще, энтерококк является основным возбудителем инфекционного эндокардита у лиц с внутривенной наркотической зависимостью. Проще говоря, если перед вами наркозависимый, и у него эндокардит трикуспидального клапана, то первое, о чем вы должны подумать, - это энтерококк, и эмпирическую терапию назначать с учетом этого знания. Конечно, могут быть варианты в виде того же зеленящего стрептококка или даже золотистого стафилококка, но эти возбудители более присущи пациентам с несанированной ротовой полостью и на митральном клапане (зеленящий) или после кардиохирургического вмешательства (золотистый стафилококк). Также на стафилококковый, а не энтерококковый характер поражения будет намекать снимок органов грудной клетки в прямой проекции, подозрительно напоминающий решето (один раз увидев стафилококковую метастатическую пневмонию ее уже ни с чем не перепутаешь).
Чем будем лечить?
Как ни странно это прозвучит в современных условиях, но препаратами выбора будут представители аминопенициллинового ряда - ампициллин (дешевле) или амоксициллин (в разы дороже) в обязательной комбинации с аминогликозидом -гентамицином (этот дешевле) или амикацином. Поэтому если вы работаете в стационаре скорой помощи и у вас попадаются пациенты данной категории - ампициллин для инъекций крайне рекомендуется иметь на полках аптеки в достаточных количествах. Это до сих пор дешево, сердито и очень эффективно в случаях терапии энтерококковых инфекций почти любой этиологии, и главное правильно рассчитать дозу, так как аминопенициллины относятся к так называемым время-зависимым препаратам (читаем первую и вторую часть здесь).
Повторимся еще раз - аминопенициллины в данном случае должны использоваться только в комбинации с аминогликозидами ввиду их синергетического действия в отношении энтерококков и ввиду вероятности микст-инфекции у подобной категории пациентов.
Вопрос по эмпирическому использованию ванкомицина остается дискуссионным - если в случае E.faecalis его можно назначать на уровне эмпирической терапии, когда у пациента имеется документированная аллергия на пенициллины (если конечно вам покрасили мазок по Граму или ваш стационар настолько крут, что имеет свой масс-спектрометр), то в случае E.faecium даже начинать не стоит — сразу зовите специально обученного человека, пусть он думает, что дальше делать.
Как уже было выше упомянуто, цефалоспорины назначать не стоит — энтерококки к ним природно устойчивы. А для того чтобы рука потянулась к карбопенемам, вам надо иметь доказанную мульти-резистентность возбудителя.
В случае развития резистентности к ампициллину используется его защищенная форма в виде ампициллина/сульбактама в комбинации с гентамицином. Дозировки рассчитываются по ампициллину.
Если совсем не повезло и лаборатория дала мультирезистентного фекального энтерококка, то используется комбинация ванкомицин (15 мг/кг/сут) в комбинации с гентамицином (8 мг/кг/сут) под жесточайшим контролем функции почек. Кроме того, в случае мультирезистентного возбудителя может быть использована комбинация имипенема с ампициллином, если, конечно, сможете обосновать ее для страховой компании - автор обосновывала, необходимый эффект получала, пациент не только выживал, но и выздоравливал. Только призывать к такого рода схемам, описанным, в основном, в американской литературе, автор ни в коем случае не будет, особенно в нынешние неспокойные времена. Сейчас наши основные документы по назначению любого вида терапии располагаются здесь.
В случае обнаружения резистентного E.faecium препаратом выбора становится линезолид и, не побоюсь этого слова, молитва, так как срок лечения не менее 8 недель, а кто нам столько препарата выдаст, да и прогноз при применении бактериостатика как-то не очень.
- Катетер-ассоциированные инфекции: помимо удаления катетера и обязательного исследования оного в микробиологической лаборатории, установки нового катетера в новом месте, также используется ампициллин в комбинации с гентамицином (в тех же дозировках, что описаны выше) либо ванкомицин (15 мг/кг/сут), если пациент демонстрирует аллергическую реакцию на оные, либо линезолид 600 мг каждые 12 часов, либо даптомицин 6 мг/кг/сут (если сможете его добыть).
- Инфекции мочевыводящих путей- здесь предпочтение стоит отдать пероральному амоксициллину в комбинации с клавулановой кислотой дважды в день. Вызвана сия рекомендации тем, что это чаще всего эта инфекция, присущая амбулаторному этапу, будет вызвана дикой и непуганой флорой, и заодно прикроетесь от вероятной кишечной палочки как второго возбудителя. Если ситуация развилась в стационаре - смотрим пункт первый и лечим по той же схеме.
- Отдельного упоминания требует лечение ванкомицин-резистентных энтерококков, так как видят их уже практически все доктора хирургического и реанимационного профиля. Арсенал наш в этом случае крайне беден - это, по сути, только линезолид да даптомицин. Линезодид является бактериостатиком, дающим высокие риски миелосупресии и тромбоцитопении через 2 недели от начала применения, которое должно составлять не менее 8 недель, но это, по сути, единственный шанс для пациента с энтероккоковым менингитом, устойчивым к ванкомицину, так как даптомицин, который надо найти, и как-то убедить его купить (стоит он просто безбожных денег), в мозговые оболочки не проникает в виду размера самой молекулы. Можно также упомянуть о тигециклине (100 мг нагрузочная и далее по 50 мг каждые 12 часов), но он тоже стоит как самолет. Поэтому самым лучшим вариантом лечения ванкомицин-устойчивых энтерококковых инфекций является их недопущение в принципе, то есть СанПин, СанПин и еще раз СанПин. А уж если такой пациент все-таки приключился, то необходима немедленная изоляция оного в отдельную палату, а еще лучше в изолятор, чтобы от него не переинфицировать всех вокруг, если вдруг кто-то про обработку рук забудет.
На этом краткий обзор энтерококковых инфекций закончим, и из кишечной микрофлоры у нас останется только королева внтурибольничных инфекций - ее величество Klebsiella, о которой мы поговорим в одной из следующих публикаций.
Enterococcus (энтерококки)

Энтерококки (лат. Enterococcus) — род повсеместно распространённых грамположительных бактерий.
Энтерококки — важнейшие представители микробиоты человека
В клиническом материале 80-90 % от всех выделенных у человека энтерококков составляют Enterococcus faecalis. На втором месте Enterococcus faecium — 5-10 %, остальные энтрококки относятся к Enterococcus gilvus и Enterococcus pallens (Бондаренко В.М., Суворов А.Н. Симбиотические энтерококки и проблемы энтерококковой оппортунистической инфекции).
В количественном отношении в толстой кишке энтерококки составляют менее 1 % от общего числа бактерий, проигрывая, например, бифидобактериям примерно в 100 раз или более. У детей раннего возраста количество энтерококков на 1 г фекалий 10 6- 10 7 , у взрослых — 10 7 -10 8 , у пожилых — 10 6 -10 7 .
Энтерококки часто вызывают инфекции мочеполовых органов, особенно у пациентов, принимавших антибиотики и подвергавшихся инструментальным исследованиям. Наиболее патогенны для человека Enterococcus faecalis (фекальный энтерококк), Enterococcus faecium (энтерококк фэциум) и Enterococcus durans. К энтерококковой инфекции предрасполагают пожилой возраст, тяжелые заболевания, нарушения барьерной функции кожи и слизистых, подавление нормальной микрофлоры антибиотиками.
Титры энтерококков уменьшаются при болезни Крона и повышаются при колоректальном раке, бронхиальной астме, ассоциированы с раком легкого, эндометритом. Enterococcus faecium, Enterococcus faecalis участвуют в реакции трансплантат против хозяина (Карпеева Ю.С. и др.).
Антибиотикорезистентность энтерококков

За последние три десятилетия энтерококки приобрели резистентность практически ко всем известным классам антимикробных препаратов. В целом, лечение антибиотиками повышает риск для отбора устойчивых к антибиотикам штаммов микробиоты желудочно-кишечного тракта (ЖКТ). В частности, эрадикационная терапия на основе антибиотиков в отношении Нelicobacter pylori может вызвать развитие антибиотикоустойчивых штаммов в микробиоте кишечника. Использование различных схем тройной терапии против Нelicobacter pylori, в том числе в сочетании с амоксициллином и метронидазолом или кларитромицином и метронидазолом привело к развитию резистентных стрептококков и стафилококков, а также к увеличению числа резистентных энтерококков, энтеробактерий и бактериоидов. Результаты когортного исследования показали, что тройная терапия, состоящая из омепразола, кларитромицина и метронидазола, способствует развитию устойчивости к макролидам в микробиоте хозяина и отбору устойчивых энтерококков, которые сохраняются в микробиоте человека в течение нескольких лет после окончания антибактериальной терапии (Старостин Б.Д.).
Важным с научной и практической точек зрения представляется вопрос распространения среди энтерококков устойчивости к ванкомицину. Ванкомицинрезистентные энтерококки (VRE) впервые были выделены в Великобритании и Франции в 1980-х гг. За последние 20 лет они признаны значимыми нозокомиальными патогенами. Для инфекций, обусловленных ванкомицинрезистентными энтерококками, характерны быстрое распространение и сравнительно высокие уровни заболеваемости и смертности среди инфицированных пациентов. Доля ванкомицинрезистентных среди всех выделяемых штаммов энтерококков наиболее высока в отделениях реанимации и интенсивной терапии. В США этот показатель составляет более 28,5%, в европейских странах — 2-3%. В России в последние годы данный показатель оценивается в 7-20%. Увеличение числа инфекций, обусловленных ванкомицинрезистентными энтерококками, в США объясняется широким использованием ванкомицина в медицине, тогда как в странах Европы — использованием гликопептидного антибиотика авопарцина в сельском хозяйстве (Светоч Э.А. и др.).
Энтерококковый гастрит
- микробиота желудка включает и другие микроорганизмы, помимо H. pylori.
- данные микроорганизмы могут вызывать различные заболевания желудка и осложнения у человека (атрофический гастрит, рак желудка и др.).
Энтерококки в составе лекарств, БАДов и пробиотиков

Энтерококки являются активным ингредиентом некоторых лекарственных средств-пробиотиков, предназначенных для лечения дисбактериоза и восстановления нормальной микрофлоры кишечника. В частности, в лекарственные препараты-пробиотики Бифиформ (фирма-изготовитель Ferrosan), Линекс (изготовитель Lek) и Bioflorin (изготовитель Cerbios-Pharma) включён специально подобранный, отличающийся высоким уровнем антибиотикорезистентности и непатогенности штамм Enterococcus faecium SF68, в геноме которого отсутствуют известные для патогенных клинических изолятов энтерококков гены вирулентности.
Беззародышевый водный субстрат продуктов обмена веществ Enterococcus faecium DSM 4086 входит в состав противодиарейного лекарства Хилак форте.
Для включения в пробиотики обычно используют штаммы энтерококков, исходно селекционированные для создания пищевых продуктов. Эти штаммы не приспособлены к длительному пребыванию в организме человека и за одну-две недели полностью выводятся из него.
СанПиН 2.3.2.2340-08, утвержденный Постановлением Главного государственного санитарного врача РФ 18 февраля 2008 г. № 13 разрешает к использованию в пищевой промышленности энтерококки Enterococcus durans и Enterococcus faecium.
Энтерококки при анализе кала на дисбактериоз

Количество энтерококков в кале исследуют при анализе на дисбактериоз. Норма: у детей до года — от 10 5 до 10 7 энтерококков (колониеобразующих единиц) на 1 г кала, от 10 5 до 10 8 энтерококков для пациентов от года до 60 лет и от 10 6 до 10 7 — для пациентов старше 60 лет. При этом абсолютное большинство среди других энтерококков составляют фекальные энтерококки.
Терапия при избыточном росте энтерококков
- детям до 6 месяцев — 10 мл
- детям от 6 месяцев до 1 года — 10-15 мл
- детям от 1 года до 3 лет — 15-20 мл
- пациентам старше 3 лет — 20-30 мл
- детям до 6 месяцев — 10 мл
- детям от 6 месяцев до 1 года — 20 мл
- детям от 1 года до 3 лет — 30 мл
- пациентам старше 3 лет — 40-60 мл
Антибактериальные средства (из имеющих описание в данном справочнике), активные в отношении энтерококков: рифаксимин, рокситромицин. Не активен — линкомицин.
Энтерококки в микрофлоре влагалища
Инфекция мочевых путей и энтерококки

Бактериурия — наличие бактерий в моче может является признаком воспаления в мочевыводящих путях, мочевом пузыре, почках. При отсутствии каких-либо симптомов, истинная бактериурия (инфекция мочевых путей) диагностируется при наличии не менее 10 5 микробных тел в 1 мл свежевыпущенной мочи, иначе предполагается, что загрязнение мочи происходит при ее заборе. При наличии симптомов или при заборе мочи катетером диагностический порог может быть значительно уменьшен. Часто бактериурия не сопровождается какими-либо симптомами, тогда она называется бессимптомной или асимптоматическая бактериурией. В то же время, бактериурия нередко сочетается с симптомами цистита, пиелонефрита, простатита, уретрита. а также встречается у беременных. Бессимптомная бактериурия не всегда требует немедленного лечения.
Энтерококки являются одним из возбудителей воспалений мочевыводящих путей, на их долю приходится от 1 до 18 % (в зависимости от типа заболевания) всех выявленных при бактериурии микроорганизмов. Энтерококки являются причиной 7 % всех острых простатитов. Среди энтерококков — возбудителей воспалений мочевыводящих путей доминирующим видом является фекальный энтерококк (Enterococcus faecalis).
Публикации и видео для профессионалов здравоохранения, затрагивающие роль энтерококков в заболеваниях ЖКТ

Материалы для пациентов
- «Советы врачей» в разделе сайта «Пациентам»
- «Популярная гастроэнтерология» в разделе «Литература»
- «Популярная гастроэнтерология» в разделе «Видео»
Энтерококки в классификации бактерий
По принятой ранее классификации энтерококки относились к стрептококкам класса D и, например, Enterococcus faecalis и Enterococcus faecium назвались Streptococcus faecalis и Streptococcus faecium. По современной классификации род Enterococcus входит в семейство Enterococcaceae, порядок Lactobacillales, класс Bacilli, тип Firmicutes, Terrabacteria group, царство Бактерии.
В род Enterococcus входят следующие виды энтерококков: Enterococcus alcedinis, Enterococcus aquimarinus, Enterococcus asini, Enterococcus avium, Enterococcus azikeevi, Enterococcus bulliens, Enterococcus caccae, Enterococcus camelliae, Enterococcus canintestini, Enterococcus canis, Enterococcus casseliflavus, Enterococcus cecorum, Enterococcus columbae, Enterococcus crotali, Enterococcus devriesei, Enterococcus diestrammenae, Enterococcus dispar, Enterococcus durans, Enterococcus eurekensis, Enterococcus faecalis, Enterococcus faecium, Enterococcus gallinarum, Enterococcus gilvus, Enterococcus haemoperoxidus, Enterococcus hawaiiensis, Enterococcus hermanniensis, Enterococcus hirae, Enterococcus inusitatus, Enterococcus italicus, Enterococcus lactis, Enterococcus lemanii, Enterococcus malodoratus, Enterococcus massiliensis, Enterococcus moraviensis, Enterococcus mundtii, Enterococcus olivae, Enterococcus pallens, Enterococcus pernyi, Enterococcus phoeniculicola, Enterococcus plantarum, Enterococcus pseudoavium, Enterococcus quebecensis, Enterococcus raffinosus, Enterococcus ratti, Enterococcus rattus, Enterococcus rivorum, Enterococcus rotai, Enterococcus saccharolyticus, Enterococcus saigonensis, Enterococcus silesiacus, Enterococcus sulfureus, Enterococcus termitis, Enterococcus thailandicus, Enterococcus ureasiticus, Enterococcus ureilyticus, Enterococcus viikkiensis, Enterococcus villorum, Enterococcus xiangfangensis, Enterococcus xinjiangensis.
Ранее входящий в род энтеркокков вид Enterococcus seriolicida в настоящее время реклассифицирован как Lactococcus garvieae.
Читайте также:
