Анатомия : Железы полости рта. Околоушная слюная железа. Поднижнечелюстная слюная железа. Подъязычная слюная железа
Добавил пользователь Евгений Кузнецов Обновлено: 01.02.2026

В статье авторы рассматривают нормальную и патологическую анатомию слюнных желёз. Разбирают сиалоадениты, сиалоз. Пытаются рассмотреть макроскопическую и микроскопическую картину при данных заболеваниях.
Ключевые слова: слюнные железы, сиалоаденит, сиалоз, патологическая анатомия, стоматологические заболевания,околоушная железа, подъязычная железа, поднижнечелюстная железа.
Слюнная железа является важной частью пищеварительной системы человека. Она выполняет экзокринную, эндокринную, фильтрационную и экскреторную функции. Выводные протоки желёз открываются в полость рта. Выделяют большие и малые, слюнные железы.
Большие слюнные железы располагаются за пределами полости рта, к ним относятся околоушные, подъязычные и поднижнечелюстные железы. Малые расположены в толще слизистой оболочки, представлены губными, щечными, небными, молярными и язычными железами.
Околоушная железа, glandula parotidea
Является самой большой железой. Расположена в занижнечелюстной ямке, выводной проток проходит по наружной поверхности жевательной мышцы, а открывается на слизистой оболочке преддверия рта в районе второго верхнего большого коренного зуба [2].
По своему строению — сложная альвеолярная, серозного типа, имеет дольчатое строение. Железа покрыта фасцией, замыкающей её в капсулу [4].
Поднижнечелюстная железа, glandula submandibularis
Располагается в поднижнечелюстном пространстве, выводной проток открывается на подъязычном сосочке, как и проток подъязычной железы. По строению является сложной альвеолярно-трубчатой железой смешанного характера, имеющей так же дольчатое строение. Поднижнечелюстная железа секретирует белково-слизистую слюну с преобладанием белкового компонента [4].
Подъязычная железа, glandula sublingualis
Лежит на челюстноподъязычной мышце, непосредственно под слизистой оболочкой дна полости рта, имеет тонкую соединительнотканную капсулу. Выводные протоки некоторых долек открываются самостоятельно в полость рта, а главный проток — рядом с протоком поднижнечелюстной железы [5].
По строению — сложная альвеолярно-трубчатая слюнная железа, вырабатывающая смешанную слюну с преобладанием слизистого секрета.
Болезни слюнных желёз могут быть как первичными (самостоятельными), так и вторичными — проявление или осложнение каких-либо системных болезней. Болезни могут быть обусловлены развитием инфекции, опухоли, травматическим повреждением, а также обструктивными, опухолеподобными или же аутоиммунными повреждениями.
Сиалоаденит
Воспаление слюнной железы называют сиалоаденитом. Чаще всего происходит поражение околоушной железы, реже — поднижнечелюстной, очень редко — подъязычной. Сиалоаденит может быть острым и хроническим, а по этиологии заболевания может быть вирусным, грибковым или же бактериальным. Возможны следующие пути проникновения инфекции: гематогенный, контактный, лимфогенный и интрадуктальный из полости рта организма.
Острый сиалоаденит
Может возникнуть вследствие воздействия местных и общих факторов. Местные факторы — какое-либо хирургическое вмешательство, сдавление выводных протоков опухолью, травматические поражения. Общие факторы -сахарный диабет, хронические заболевания ЖКТ, иммунодефициты, заболевания ССС [1].
Острый сиалоаденит по морфологии делится на гангренозный, серозный и диффузный гнойный. Слюнная железа при данном заболевании увеличивается. Гнойный сиалоаденит характеризуется выраженной нейтрофильной инфильтрацией с обилием гнойных телец. При серозном сиалоадените наблюдается отек, нейтрофильная инфильтрация, а также полнокровие.
К осложнениям острого сиалоаденита можно отнести возникновение абсцессов, сепсиса и флегмоны клетчатки шеи. Исход: выздоровление или же переход в хронический [3].
Хронический сиалоаденит
Чаще всего вторичный, т. е. как осложнение травматических повреждений, инфекционных заболеваний, пороков развития. По степени клинических проявлений выделяют активный и неактивный сиалоаденит. Хронический сиалоаденит нередко принимает рецидивирующий характер, поэтому выделяют две стадии: стадия ремиссии и стадия обострения.
Слюнные железы при этом увеличены, имеют гладкую поверхность и плотно-эластичную консистенцию. При обострении хронического сиалоаденита они приобретают тестоватую консистенцию
Выделяют две морфологические формы хронического сиалоаденита: интерстициальный, протоковый (сиалодохит Куссмауля).
Интерстициальный характеризуется очаговыми или диффузными лимфогистиоцитарные инфильтраты с макрофагами, а также разрастанием соединительной ткани с атрофией эпителия ациарных структур. Сохранившиеся участки слюнной железы при этом представляют собой гипертрофированные ацинусы с гиперплазированными клетками вставочных и исчерченных выводных протоков [3].
При протоковом сиалоадените между ацинусами и концевыми протоками имеются диффузные лимфогистиоцитарные инфильтраты с примесью полинуклеарных лейкоцитов. Протоки при этом расширены и выстланы многорядным кубическим эпителием. Клетки эпителиального слоя междольковых выводных протоков находятся в состоянии некробиоза.
Исход: при редких рецидивах возможен цирроз, а при частых образование крупных кист с элементами гнойного воспаления.
Полное выздоровление обычно не наступает. Меры профилактики направлены на предупреждение обострения патологических процессов и повышение резистентности организма.
Сиалоз
Характеризуется гипертрофией серозных ацинарных клеток, которые содержат мукоидное вещество, носит невоспалительный характер. В основе — дистрофические процессы, изменения. Отмечается увеличение желёз, чаще околоушных, безболезненная или малоболезненная припухлость, гипосаливация. Микроскопически: сужение мелких и крупных проток, а также обеднение рисунка паренхимы железы из-за гипертрофии, гиперплазии клеток. Выделяют три стадии: начальная стадия, характеризующаяся гиперсекрецией, клинически выраженная стадия, для которой характерно истощение секретообразования, дистрофические изменения в эпителии, и поздняя стадия липоматоза и фиброза [1]. Таким образом, исход — липоматоз слюнной железы.
Лечение направлено, главным образом, на устранение фактора, способствующего развитию сиалоза, дистрофических изменений в слюнных железах. В поздней стадии есть показания к применению хирургических методов лечения: паротидэктомия, экстрипация выводных протоков слюнных желёз.
Патология слюнных желёз встречается не так часто, но все же встречается, именно поэтому важно знать нормальную и патологическую анатомию слюнных желёз для профилактики, обнаружения и лечения патологических процессов, возникающих в ротовой полости.
- Афанасьев В. В., Абдусаламов М. Р. Атлас заболеваний и повреждений слюнных желёз. — М.: ВУНМЦ Росздрава, 2008. — 192 с.
- Гайворонский И. В., Ничипорук Г. И. Анатомия пищеварительной системы: учебное пособие.ЭЛБИ-СПб,2006.-64с..
- Завьялова М. В. Патологическая анатомия головы и шеи: учебное пособие / М. В. Завьялова, С. В. Вторушин, И. В. Степанов; ред. В. М. Перельмутер; рец.: В. А. Шкурупий, Е. Л. Казачков; СибГМУ (Томск). — Электрон. текстовые дан. — Томск: СибГМУ, 2013. — 167 с.
- Привес М. Г., Лысенко Н. К., Бушкович В. И. Анатомия человека. 9-е изд. М.: Медицина, 1985. — 672 с. Учебник для студентов медицинских институтов.
- Сапин, М. Р. Атлас анатомии человека для стоматологов: атлас / М. Р. Сапин, Д. Б. Никитюк, Л. М. Литвиненко. — Электрон. текстовые дан. — Москва: ГЭОТАР-Медиа, 2013. — 600 с.
Основные термины (генерируются автоматически): слюнная железа, железа, околоушная железа, патологическая анатомия, подъязычная железа, проток, выводной проток, дольчатое строение, поздняя стадия, полость рта.
Ключевые слова
слюнные железы, стоматологические заболевания, сиалоаденит, сиалоз, патологическая анатомия, околоушная железа, подъязычная железа, поднижнечелюстная железа
слюнные железы, сиалоаденит, сиалоз, патологическая анатомия, стоматологические заболевания, околоушная железа, подъязычная железа, поднижнечелюстная железа
Похожие статьи
Особенности метастазирования злокачественных эпителиальных.
Среди злокачественных опухолей слюнных желез преобладают новообразования эпителиального генеза, и они составляют 90-95 % от всех опухолей данной локализации. Чаще всего рак слюнных желез возникают в околоушных слюнных железах (90.
Синтопия и морфологические особенности поднижнечелюстной.
Строение слюнных желез является предметом постоянного внимания как теоретической, так
Синтопия и морфологические особенности поднижнечелюстной слюнной железы (ПНЧСЖ) в
Гистологическое строение общего зачатка ПНЧСЖ и подъязычной слюнной железы ПП 16,5.
Морфологические изменения в строении околоушной слюнной.
Рис. 1. Строение околоушной слюнной железы.
Общий выводной проток, образованный слиянием крупных междольковых выводных протоков, выслан многослойным
Основные термины (генерируются автоматически): околоушная слюнная железа, соединительная ткань.
Клинико-морфологическая характеристика бранхиогенных кист шеи
Патологическая анатомия. Стенка боковой кисты состоит из плотной волокнистой
Патологическая анатомия.Внутренний слой оболочки кисты выстлан разным эпителием
Рис. 2. Междольковая соединительная ткань околоушной слюнной железы. Микропрепарат.
Особенности морфогенеза поднижнечелюстной слюнной железы.
Поднижнечелюстная железа в этот возрастной период развития имеет строение, приближенное к дефинитивному, и
На своем пути (в средней трети всей длины) поднижнечелюстной выводной проток заходит медиальнее зачатка подъязычной слюнной железы и.
Вариантная анатомия поджелудочной железы взрослого.
Ключевые слова: поджелудочная железа, вариантная анатомия, головка, тело, хвост. Поджелудочная железа является одной из крупных желез организма, выделяющей свой. Возможности визуализации строения поджелудочной железы возросли с применением.
Информативность ультразвуковой диагностики и допплерографии.
При этом определяли структуру, размеры желез в длину, толщину, ширину, их объем. Дополнительно, для уточнения количественных параметров кровотока в крупных и мелких сосудах околоушных желез, применяли метод ультразвуковой допплерографии.
Изменения слизистой оболочки полости рта при некоторых.
Так, например, патологические изменения слизистой оболочки полости рта при сердечно-сосудистых заболеваниях обнаруживают у 45-70 % больных, а при повреждении желудочно-кишечного тракта — почти у каждого пациента. РСО-Алания не является исключение.
Своевременное выявление онкологических заболеваний.
Скаждым годом частота онкологических заболеваний в полости рта стремительно растет, и процент не
В случае если патологический процесс в полости рта найден, врач обязан
Вина поздней диагностики лежит равносильно между врачом-стоматологом и пациентом.
Теория и практический опыт в ультразвуковой диагностике патологии слюнных желез

Профессиональные диагностические инструменты. Оценка эластичности тканей, расширенные возможности 3D/4D/5D сканирования, классификатор BI-RADS, опции для экспертных кардиологических исследований.
В отечественной и зарубежной литературе встречается много работ, посвященных сиалогии (от греч. Sialon - слюна и logos - учение) - науке о заболеваниях и повреждениях слюнных желез, методах их диагностики и лечения. По данным разных авторов, на долю заболеваний слюнных желез приходится до 24% всей стоматологической патологии. В настоящее время в клинической практике наиболее часто встречаются дистрофические, воспалительные заболевания слюнных желез (сиалоаденозы, сиалоадениты), а также опухоли и врожденные пороки развития слюнных желез. Кроме того, патологические изменения слюнных желез часто сопутствуют другим заболеваниям (сахарный диабет, бронхоэктатическая болезнь, саркоидоз, цирроз печени, гипертриглицеридемия, лимфогранулематоз и др.).
Для диагностики заболеваний слюнных желез используются различные инструментальные методы [1]:
- рентгенография (при подозрении на образование камней в протоках слюнных желез, однако в 20% камни поднижнечелюстных слюнных желез и 80% околоушных слюнных желез нерентгеноконтрастны);
- сиалография (исследование протоков слюнных желез с рентгеноконтрастным веществом, редко оказывается полезно при дифференцировании опухолей от воспалительных процессов, однако она может помочь дифференцировать объемное образование слюнных желез от образований в соседних тканях. У больных с подозрением на аутоиммунное заболевание слюнных желез может обнаружиться характерная картина мешотчатого расширения протоковой системы. При острой инфекции слюнных желез сиалографию предпринимать не следует [2]);
- компьютерная томография вместе с сиалографией;
- ультразвуковой метод (является наиболее доступным, безопасным и информативным в процессе дифференциальной диагностики патологического состояния слюнных желез).
Анатомия слюнных желез [3]

Рис. 1. Лимфатические узлы в толще околоушной слюнной железы.
Малые слюнные железы - губные, щечные, язычные, небные, резцовые - располагаются в соответственных участках слизистой оболочки. Могут быть источником развития аденокарцином полости рта.
Патология слюнных желез
Пороки развития СЖ встречаются редко. Наиболее распространены аномалии размера желез (агенезия и аплазия, врожденная гиперплазия (рис. 2) и гипоплазия), их расположения (гетеротопия, добавочные СЖ), аномалии выводных протоков (атрезия, стеноз, эктазия, кистозная трансформация, дистопии протоков).

Рис. 2. Гиперплазия левой подъязычной слюнной железы.
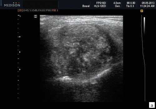
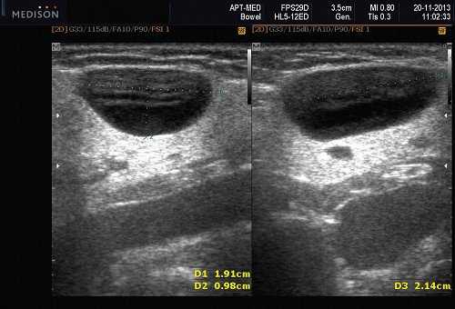
Сиаладениты - большая группа полиэтиологических воспалительных заболеваний СЖ (рис. 3). Первичные сиаладениты - сиаладениты, рассматриваемые в качестве самостоятельных заболеваний (например, эпидемический паротит). Вторичные сиаладениты - сиаладениты, являющиеся осложнениями или проявлениями других заболеваний (например, сиаладенит при гриппе). Эхографическая картина при разной этиологии малоспецифична. Этиология имеет клиническое значение в процессе определения тактики лечения.

Рис. 3. Сиаладенит правой поднижнечелюстной слюнной железы.
По этиологическому фактору сиаладениты классифицируют [4] на:
- сиаладениты, развивающиеся под влиянием факторов физической природы (травматический сиаладенит, лучевой сиаладенит (рис. 4) возникает при лучевой терапии злокачественных опухолей головы и шеи);
- сиаладениты, развивающиеся под действием химических факторов (токсические сиаладениты);
- инфекционные сиаладениты (пути проникновения ифекции в СЖ: стоматогенный (через протоки), контактный, гематогенный и лимфогенный);
- аллергические и аутоиммунные сиаладениты (рецидивирующий аллергический, болезнь и синдром Шегрена и др.);
- миоэпителиальный сиаладенит, вызванный патологическим процессом, ранее обозначавшийся как доброкачественное лимфоэпителиальное поражение. Термин доброкачественное лимфоэпителиальное поражение впервые применил J.T. Godwin в 1952 г., заменив понятие болезнь Микулича;
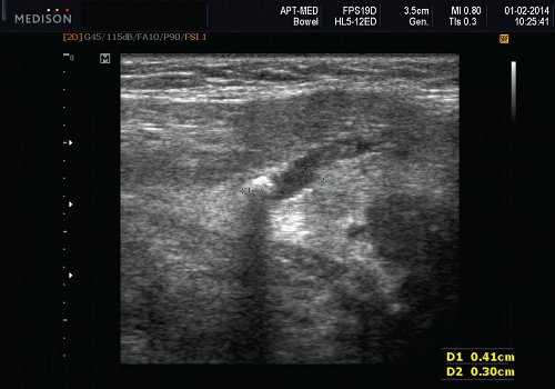
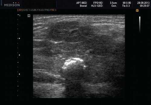
- обструктивные сиаладениты, развивающиеся при затруднении оттока слюны при обструкции выводного протока камнем (рис. 5-7) или сгустившимся секретом, а также вследствие рубцового стеноза протока. По распространенности процесса различают очаговый, диффузный сиаладениты и сиалодохит - воспаление выводного протока. Течение процесса может быть острым и хроническим;
- пневмосиаладенит, развивающийся при наличии в ткани СЖ воздуха при отсутствии бактериальной газообразующей инфекции. Воздух проникает в железу из полости рта при повышении там давления через проток. Пневмосиаладенит характерен для ряда профессий, прежде всего для стеклодувов и музыкантов, играющих на духовых инструментах.

Рис. 4. Постлучевой сиаладенит.

Рис. 5. Камень протока поднижнечелюстной слюнной железы.

Рис. 6. Камень в паренхиме поднижнечелюстной слюнной железы.

Рис. 7. Камень в протоке поднижнечелюстной слюнной железы.
Опухоли слюнных желез
Опухоли слюнных желез подразделяются на две группы: эпителиальные и неэпителиальные. Эпителиальные опухоли преобладают у взрослых (95%). У детей в СЖ эпителиальные и неэпителиальные опухоли встречаются одинаково часто. Помимо истинных опухолей в СЖ развиваются процессы, напоминающие опухоли (опухолеподобные поражения).
Среди эпителиальных опухолей СЖ различают доброкачественные новообразования, а также злокачественные - карциномы.
К доброкачественным эпителиальным новообразованиям СЖ относят папилломы протоков, аденомы и доброкачественную сиалобластому. Аденомы СЖ делят на две группы: полиморфные (самая частая аденома СЖ) и мономорфные (все остальные) аденомы. В группу мономорфных аденом были искусственно включены опухоли разного строения, происхождения и прогноза.
Плеоморфная (полиморфная) аденома (смешанная опухоль СЖ) - аденома СЖ, построенная из двух типов клеток: эпителия протоков и миоэпителиоцитов. Макроморфологическая картина. Опухоль обычно представляет собой эластичный или плотный узел дольчатой серовато-белой ткани, как правило, инкапсулированный частично. Типичной для плеоморфной аденомы является так называемая хондроидная строма, напоминающая гиалиновый хрящ. Варианты эхографического изображения плеоморфных аденом представлены на рисунке 8.



Рис. 8. Плеоморфная аденома СЖ.
Опухоль Уортина - аденолимфома, в которой образуются множественные кистозные полости, покрытые двухслойным эпителием. В просвет кист вдаются сосочки. В строме опухоли происходит выраженная пролиферация лимфоидной ткани. Эта опухоль почти исключительно развивается в околоушной железе.
Другие варианты доброкачественных опухолей встречаются реже. Это доброкачественная онкоцитома (оксифильная аденома), базально-клеточная аденома, канальцевая аденома, цистаденома доброкачественная сиалобластома.
Среди доброкачественных первичных неэпителиальных опухолей наиболее часто встречаются гемангиома, лимфангиома, нейрофиброма и липома.
Среди злокачественных неэпителиальных опухолей чаще обнаруживаются злокачественные лимфомы (они возникают, как правило, на фоне миоэпителиального сиалоаденита, болезни и синдрома Шегрена).
Опухолеподобные поражения слюнных желез

Рис. 9. Кисты слюнных желез.
- Кисты слюнных желез (мукоцеле). Различают два типа мукоцеле СЖ: ретенционный тип (ретенционная киста малой СЖ, формирующаяся при задержке слюны в выводном протоке) и тип внутритканевой секреции, когда при травме стенки протока слюна поступает непосредственно в волокнистую ткань, окружающую железу. Мукоцеле дна полости рта называются также ранулами.
- Кисты выводных протоков больших СЖ - выраженная дилатация выводного протока вследствие задержки в нем секрета. Блокада оттока слюны может быть вызвана различными причинами: опухолью, камнем, уплотнившейся слизью, поствоспалительным стенозом вплоть до рубцовой облитерации просвета.
- Сиалоаденоз (сиалоз) - неопухолевое и невоспалительное симметричное увеличение СЖ вследствие гиперплазии и гипертрофии секреторных клеток. Исходом сиалоза нередко является липоматоз СЖ. Процесс имеет хроническое рецидивирующее течение. Сиалоз встречается при ряде заболеваний и состояний: сахарный диабет, гипотиреоз, недостаточность питания, алкоголизм, цирроз печени, гормональные нарушения (гипоэстрогенемия), реакции на лекарственные препараты (чаще всего на антигипертензивные), неврологические нарушения.
Аденоматоидная гиперплазия малых СЖ приводит к их увеличению до 0,5-3,0 см в диаметре. Причинами аденоматоидной гиперплазии являются травма и длительное воздействие ионизирующей радиации.
Онкоцитоз - возрастные изменения секреторных клеток и эпителия протоков СЖ. СЖ при этом могут слегка увеличиваться, но обычно величина их не меняется.
Подводя итог, хочется отметить, что ультразвуковое исследование с применением допплерографии во многих наших наблюдениях помогало точно определить характер патологического процесса в СЖ. Однако этот метод диагностики не позволяет однозначно подтвердить или опровергнуть злокачественный характер образования слюнных желез.
Литература
- Доброкачественные и злокачественные опухоли мягких тканей и костей лица. А.Г. Шаргородский, Н.Ф. Руцкий. М.: ГОУ ВУНМЦ, 1999.
- Топографическая анатомия и оперативная хирургия. И.И. Каган, С.В. Чемезов. М.: ГЭОТАР-Медиа, 2011.
- Слюнные железы. Болезни и травмы. В.В. Афанасьев. М.: ГЭОТАР-Медиа, 2012.
- Воспалительные заболевания тканей челюстно-лицевой области и шеи. А.Г. Шаргородский. М.: ГОУ ВУНМЦ, 2001.
УЗИ сканер HS60
Аденома слюнной железы - симптомы и лечение
Что такое аденома слюнной железы? Причины возникновения, диагностику и методы лечения разберем в статье доктора Куфтарева Виталия Александровича, стоматолога со стажем в 10 лет.
Над статьей доктора Куфтарева Виталия Александровича работали литературный редактор Елизавета Цыганок , научный редактор Пётр Козлов и шеф-редактор Маргарита Тихонова

Определение болезни. Причины заболевания
Аденома слюнной железы (Salivary gland tumor) — это доброкачественная опухоль, которая развивается из эпителия выводных протоков больших и малых слюнных желёз.

Аденома постепенно увеличивается, и появляется безболезненная припухлость, из-за чего лицо становится асимметричным.
Исследователи склоняются к трём главным факторам риска появления аденомы слюнной железы:
- воздействие вредных веществ — радиация, работа на вредном производстве, например связанном с изготовлением резины и добычей асбеста, облучение при лечении рака головы и шеи [9][11] );
- влияние вирусов — вируса герпеса, Эпштейна — Барра;
- генетический фактор.
К факторам риска также косвенно относится воспаление слюнной железы, но явные причины аденомы медицине пока неизвестны.
Плеоморфная аденома слюнной железы
Опухоли слюнных желёз встречаются редко и в большинстве случаев они доброкачественные [9] . Чаще других доброкачественных опухолей развивается плеоморфная аденома (смешанная опухоль): в 70 - 80 % случаев, т. е. 2-3,5 случаях болезней слюнных желёз на 100 тыс. населения в год [6] [10] . Она может возникнуть в любом возрасте, но обычно развивается у людей от 20 до 49 лет. Мужчины и женщины болеют плеоморфной аденомой в соотношении 1,0:1,6 [1] [11] . Как правило, она развивается в околоушных, поднижнечелюстных и подъязычных железах. Часто поражает твёрдое и мягкое нёбо.
![Плеоморфная аденома [12]](https://probolezny.ru/media/bolezny/adenoma-slyunnoj-zhelezy/pleomorfnaya-adenoma-12_s.jpg)
При обнаружении схожих симптомов проконсультируйтесь у врача. Не занимайтесь самолечением - это опасно для вашего здоровья!
Симптомы аденомы слюнной железы
Часто протекает бессимптомно и медленно. Возникает в любых слюнных железах, но чаще поражает околоушные, чуть реже поднижнечелюстные и малые железы [2] .

В период быстрого роста опухоль за несколько месяцев увеличивается в 2-3 раза, из-за чего появляется припухлость, которая изменяет конфигурацию лица или шеи — это первый признак, на который обращают внимание. На ощупь она плотная и безболезненная, легко смещается.
Если опухоль достигает значительных размеров, слюнная железа не может работать как прежде, окружающие ткани отекают и воспаляются, из-за чего появляется боль. Когда проток слюнной железы полностью перекрывается, слюноотделение снижается, в связи с чем возникает сухость во рту.
Крупная аденома может сдавить кровеносные сосуды и нервы. В таком случае кожа начинает неметь и покалывать, иногда появляется чувство жжения или ползающих мурашек. Также возможен паралич некоторых мимических мышц. Если опухоль деформировала глотку, пациенту становится сложно глотать еду [2] [3] .
Патогенез аденомы слюнной железы
Под воздействием внешних и внутренних факторов риска клетки протоков слюнных желёз начинают быстрее расти и делиться. Как правило, они окружены от окружающих тканей капсулой, поэтому не поражают соседние здоровые клетки, как это происходит при развитии злокачественной опухоли. В результате скопления клеток образуется аденома.
Медленный рост может сменяться бурным развитием. Выросшая опухоль сдавливает окружающие ткани, нарушая тем самым их обмен веществ. Обычно имеет дольчатое строение [1] .
Классификация и стадии развития аденомы слюнной железы
Аденома слюнных желез делится на 12 видов:
- Плеоморфная аденома (или смешанная опухоль) — опухолевый узел круглой или овальной формы, который находится в капсуле и чётко отграничен от ткани слюнной железы. Толщина капсулы может меняться. На разрезе ткань белесоватая и блестящая, иногда с хрящевыми образованиями. Если рассмотреть опухоль под микроскопом, можно увидеть многообразие клеточных элементов, поэтому её назвали смешанной. Некоторые клетки могут оттесняться к капсуле, а на их месте образуются щели, заполненные жидкостью или коллагеновыми волокнами. Когда опухоль достигает больших размеров, обменный процесс в ткани может нарушиться, что приводит к кровоизлиянию и появлению очагов некроза. Изначально это доброкачественная разновидность аденомы, но она может стать злокачественной. Обычно это происходит через 15-20 лет от появления аденомы. После удаления возможен рецидив [1][2][7][8] .
- Аденолимфома (Уортина опухоль) — состоит из железистых структур и лимфатических клеток, оформленных клетками эпителия. Внешне опухоль бывает круглой и овальной формы с кистозными образованиями внутри (или просто пустотами). Такая аденома может содержать как много маленьких образований, похожих на ячейки, так и 3-4 крупные кисты, заполненные прозрачной или слизистой жидкостью. Кисты чередуются с плотными участками разного цвета (от белесовато-серого до бурого). Опухоль окружена очень тонкой эластичной оболочкой, шероховатой на ощупь. При прощупывании можно почувствовать, как содержимое опухоли движется под оболочкой. Иногда несколько опухолевых узлов объединяются под общей капсулой. Аденолимфома может быть инфарктной или инфицированной. Это случается, когда часть ткани внутри опухоли отмирает. Существует теория, что такая аденома зарождается в лимфатической ткани, которая постепенно врастает в ткань слюнной железы. Аденолимфома крайне редко рецидивирует и озлокачествляется, поэтому хирургическое лечение показывает хорошие результаты [1][2][4][7] .
- Онкоцитома — состоит из крупных эпителиальных клеток с большим количеством цитоплазмы. Встречается в основном у пожилых людей [1] . Имеет сферическую или овальную форму с гладкой поверхностью, но иногда бывает дольчатой или узловой. Размер варьируется от 1 до 5 см. Онкоцитома развивается под тонкой капсулой или без неё. Внутри есть мелкие кистозные включения с мутной жидкостью, но нет кровеносных сосудов. Опухоль проникает в окружающие ткани и органы, что сближает её со злокачественными образованиями. При этом её клетки устойчивы к рентгеновскому излучению, поэтому лучевая терапия в этом случае бесполезна. Однако грамотно проведённая операция с полным удалением опухолевой ткани поставит точку в лечении, так как онкоцитома редко рецидивирует [1][4][7] .
- Базальноклеточная аденома — делится на три типа: тубулярный, трабекулярный и мембранозный. Очень редкая опухоль, которая встречается в 1-3 % случаев аденом слюнных желёз. Чаще болеют люди старше 60 лет, при этом у женщин встречается в 2 раза чаще, чем у мужчин [1] . Опухоль поражает в основном крупные железы, особенно околоушную слюнную железу. На ощупь это твёрдый смещаемый узел. При разрезе имеет чёткую однородную структуру серого или коричневого цвета. Состоит из клеток, похожих на базальные клетки, из которых появляется весь эпителий кожи (его повреждение ведёт к появлению рубцов и шрамов). В отличие от здоровой ткани в этом случае из-за своего нетипичного расположения клетки образуют тяжи, трубки или тонкие мембраны. В одной опухоли могут сочетаться сразу несколько типов строения. В редких случаях аденома может стать злокачественной, при этом рецидивирует только мембранозный тип опухоли, но довольно часто (в 25 % случаев) [1] .
- Каналикулярная аденома — состоит из призматических эпителиальных клеток, которые соединяются между собой, образуя пучки, похожие на бусины. Встречается у пациентов старше 50 лет, женщины болеют в 2 раза чаще, чем мужчины. Как правило, поражает верхнюю губу или щёку [1] . Часто развивается в виде узла, чётко отграниченного от окружающих тканей (у мелких аденом она отсутствует). Рядом с крупной опухолью иногда можно увидеть мелкие узелки [1] .
- Сальная аденома — чрезвычайно редкая опухоль, составляет 0,1 % от случаев аденом слюнных желёз [1] . Состоит из гнёзд здоровых сальных клеток разных размеров. Представляет собой чётко отграниченную безболезненную опухоль до 3 см в диаметре. Эта аденома редко рецидивирует и становится злокачественной [1] .
- Лимфаденома — подразделяется на сальную и несальную опухоль, которая состоит из лимфоцитов и железистых клеток, ограниченных капсулой. Сальная лимфаденома похожа на сальную аденому, описанную выше, только к сальным клеткам добавляются лимфоидные фолликулы. В несальной лимфаденоме нет сальных клеток. Это плотная опухоль со множеством мелких полостей или одной большой полостью. Всего описано 10 случаев лимфоаденомы. Опухоль практически не озлокачествляется и не рецидивирует [1] .
- Протоковая папиллома — делится на инвертированную (преобразованную) протоковую и внутрипротоковую папиллому. Инвертированная папиллома — это плотное безболезненное образование, которое возникает в малых слюнных железах. Растёт не агрессивно. Состоит из большого количества эпителиальных клеток с протоком в центре, который может открываться на поверхность слизистой оболочки. Капсулы у такой опухоли нет. Внутрипротоковая папиллома обычно находится в крупных слюнных железах и представляет собой одну большую кисту, окружённую капсулой. В обоих случаях опухоль достаточно безобидна и после адекватного хирургического лечения обычно не рецидивирует [1] .
- Папиллярная сиалоаденома — экзотическая опухоль сосочкового или бородавчатого вида. Крепится на ножке или широком основании в виде полусферы. Состоит из множества железистых и эпителиальных клеток, расположенных в виде протоков. У сиалоаденомы нет капсулы, она может агрессивно расти, также часто рецидивирует (в 10-15 % случаев) [1] .
- Цистаденома — редкая доброкачественная опухоль. Представляет собой безболезненное и бесформенное образование. Состоит из одной крупной кисты или множества мелких кист, окружённых дольками слюнной железы и соединительной ткани. Характеризуется доброкачественным течением, медленным ростом и отсутствием рецидивов после удаления, однако описаны редкие случаи озлокачествления опухоли [1] .
- Миоэпителиома — состоит из миоэпителиальных клеток, т. е. клеток, похожих на мышечную ткань. Может состоять из разных клеточных структур, но в одной опухоли обычно находят один вид клеток, комбинации встречаются редко. Если долго не лечить опухоль, она может стать злокачественной. При удалении прогноз для миоэпителиомы благоприятный, рецидивы случаются редко [1] .
- Ацинозно-клеточная опухоль — это промежуточная опухоль между доброкачественной и злокачественной. Она активно прорастает в окружающие ткани, но не даёт метастазов. Её клинические проявления похожи на симптомы остальных аденом. Как правило, диагностировать ацинозно-клеточную опухоль получается только с помощью гистологического обследования. Врач оценивает её злокачественность и решает вопрос о необходимости лучевой терапии [2] .
Осложнения аденомы слюнной железы
Осложнения делятся на две группы:
- нарушения в органах, возникшие из-за опухоли;
- изменения внутри самой опухоли.
Нарушения в органах
Если аденома увеличивается, прорастает в железистую ткань слюнной железы и замещает её, снижается выделение слюны. Это приводит к появлению сухости во рту и нарушению процессов пищеварения, так как слюна — это важный компонент пищеварительной системы: она участвует в первичной обработке углеводов поступающей пищи.
При сдавливании кровеносного сосуда или нерва появляется сбой в передаче нервных импульсов и поступлении полезных веществ к мышцам лица, что приводит к нарушению их работы и болям. Также длительное сдавливание иногда становится причиной воспаления в сосудисто-нервном пучке, из-за чего могут развиться невралгии и невриты, которые сопровождаются сильной болью.
Изменения внутри опухоли
Доброкачественные опухоли в основном состоят из здоровых, но неправильно расположенных клеток организма. При длительном существовании опухоли может появиться нетипичная группа клеток с повреждённой ДНК. Чем больше таких клеток, тем выше риск, что опухоль станет злокачественной. Такой процесс перерождения аденомы называется малигнизацией.
При удалении крупной аденомы есть риск, что в организме останется небольшая часть клеток, из которых может вырасти новая опухоль, т. е. произойдёт рецидив.
Иногда в крупных опухолях появляются очаги погибших клеток — зоны некроза. Это происходит из-за нарушения обмена веществ внутри опухоли. Такой очаг может привести к серьёзному воспалению и осложнить лечение [1] .
Чем раньше опухоль найдут и прооперируют, тем ниже вероятность развития осложнений.
Диагностика аденомы слюнной железы
Первый признак аденомы — припухлость, но обычно она безболезненная, поэтому пациент попадает к врачу гораздо позже, чем нужно. На более поздней стадии к симптомам прибавляются сухость во рту и боли по ходу ветвей нерва.
![Припухлость при аденоме слюнной железы [13]](https://probolezny.ru/media/bolezny/adenoma-slyunnoj-zhelezy/pripuhlost-pri-adenome-slyunnoy-zhelezy-13_s.jpg)
При этом окончательный диагноз ставят только после удаления опухоли с помощью гистологического исследования, которое определяет тип аденомы по строению клеток.
Опрос и физикальный осмотр
Чтобы сформировать целостную картину, врач уточняет у пациента, когда появилась припухлость, как быстро она увеличивалась, какие изменения появились одновременно с ней, что предпринял пациент по поводу аденомы, есть ли хронические болезни и т. д.
После опроса проводится осмотр. Врач оценивает форму и размер образования, состояние слизистой оболочки над ним, анализирует целостность протоков крупных слюнных желёз и размер лимфатических узлов, проверяет, свободно ли открывается рот, есть ли признаки поражения нерва и сухость во рту.
При ощупывании врач определяет консистенцию образования, наличие болезненности, прилегание к окружающим тканям и подвижность опухоли.
Инструментальная диагностика
Далее используют дополнительные методы обследования:
- Цитологический метод — с помощью специальной иглы у пациента берут биологический материал и исследуют под микроскопом. У этого метода много недостатков: результаты зависят от условий взятия пункции и квалификации врача, проводящего исследование. Так как пункцию берут до операции, под обследование может попасть абсолютно любой участок опухоли, поэтому метод может дать неполную картину болезни. Часто проводят под контролем УЗИ.
- УЗИ — определяет точные размеры и положение опухоли, но иногда участки слюнных желёз перекрываются массивными костными образованиями, например ветвью нижней челюсти, и сигнал до них не доходит.
- Сиалография — очень информативный метод, при котором в проток слюнной железы вводят контрастное вещество, после чего делают рентгеновский снимок. Анализируя распространение контрастного вещества по слюнной железе, можно отличить опухоль от неопухолевой патологии, например слюннокаменной болезни, при которой тоже есть припухлость. Если контрастное вещество вытекает за пределы железы, это указывает на опухоль, так как нарушается структура оболочки железы или протока. Также по ряду признаков можно предположить, злокачественная опухоль или доброкачественная (если целостность железы не нарушена).
- КТ и МРТ — передают трёхмерное изображение слюнной железы и опухоли, что помогает точно определить её положение и размеры. Также с помощью МРТ можно узнать о строении опухоли, что сделает постановку диагноза более точной [1][2][3][4][5] .
![КТ аденомы слюнной железы [14]](https://probolezny.ru/media/bolezny/adenoma-slyunnoj-zhelezy/kt-adenomy-slyunnoy-zhelezy-14_s.jpg)
Лечение аденомы слюнной железы
Основным и единственным вариантом лечения аденомы слюнных желёз является операция. В большинстве случаев удаление опухоли сопровождается повреждением железы и нарушением её работы, поэтому железу тоже вырезают.
Если опухоль образовалась в малой слюнной железе, то её иссекают в пределах здоровых тканей. Иногда небольшую доброкачественную аденому удаляют в пределах её оболочки, но только если у опухоли есть капсула. Этот вариант операции является более щадящим, однако такой метод не используют при лечении плеоморфной аденомы. Это связано с тем, что такая опухоль может стать злокачественной. Также её капсула имеет неравномерную толщину и местами истончается, что затрудняет работу хирурга.
Послеоперационный период длится примерно неделю, дополнительные методы лечения аденомы (например, химио- или лучевая терапия) не требуются.
Хирургическое лечение слюнных желёз может оказаться довольно сложным, поскольку внутри и вокруг желёз находится несколько важных нервов, например лицевой нерв, который проходит через околоушную железу [9] . С этим связаны возможные послеоперационные осложнения, например парез лицевого нерва.
Прогноз. Профилактика
Прогноз благоприятный. При полном удалении железы вместе с опухолью рецидивы случаются крайне редко. В случае щадящего способа лечения есть вероятность повторного появления опухоли. В таком случае операцию проводят повторно и более радикально.
Профилактика аденомы слюнной железы
Как таковых мер профилактики не существует, однако стоит следовать общим рекомендациям:
Анатомия : Железы полости рта. Околоушная слюная железа. Поднижнечелюстная слюная железа. Подъязычная слюная железа

Полость рта. Слюнные железы. Секрет всех слюнных желез, смешанный в полости рта, образует слюну, или ротовую жидкость, содержащую, кроме чистого секрета слюнных желез, постоянную микрофлору, слущенные эпителиальные клетки, лейкоциты, эритроциты и другие компоненты.
У человека имеется три пары больших слюнных желез: околоушная, подъязычная и подчелюстная, а также большое количество мелких желез, рассеянных в слизистой оболочке рта, губ, щек. Мелкие железы постоянно выделяют секрет, увлажняющий слизистую и предохраняющий ее от высыхания, а крупные железы выделяют секрет периодически и принимают участие в пищеварении. Слюнные железы, наряду с секрецией слюны, обладают эндокринной функцией, выделяя гормоны и гормоноподобные вещества. К ним относятся: а) паротин, регулирующий фосфорно-кальциевый обмен в костях и тканях зуба; б) эритропоэтин; в) фактор роста и регенерации эпителия слизистой желудочно-кишечного тракта; г) инсулиноподобные факторы роста и другие.
В течение суток у взрослого человека образуется от 0,5 до 2,0 л слюны, pH которой составляет от 5,8 до 8,0. Смешанная слюна содержит 99,5% воды и, соответственно, 0,5-0,6% сухого вещества, включающего органические и неорганические компоненты. Неорганические компоненты включают ионы натрия, калия, кальция, магния, железа, фтора, а также фосфаты, хлориды, сульфаты, бикарбонаты. Органические вещества слюны чрезвычайно гетерогенны по химической природе и биологической активности. Это прежде всего ферменты. В слюне содержится около 50 различных ферментов, относящихся к гидролазам, оксиредуктазам, трансферазам, липазам, изомеразам. Оптимум действия ферментов слюны - слабощелочная реакция.
Типовые нарушения функции слюнных желез и связанное с ними изменение водно-электролитного баланса организма. К типовым нарушениям функции слюнных желез относятся гипосиалия и гиперсиалия.
Гиперсиалия характеризуется резким увеличением слюноотделения в среднем от 1,5 л до 3-4,5 л в зависимости от степени тяжести патологии. При нейропаралитической гиперсиалии суточный объем слюноотделения может достигать 10-12 л, что лежит в основе изотонической дегидратации.
Причины гиперсиалии весьма разнообразны, включают инициирующее воздействие следующих этиологических факторов:
1) раздражение верхнего и нижнего слюноотделительных центров (ядра лицевого и языкоглоточного нервов) при бульбарных параличах, ишемии, гипоксии, кровоизлияниях, опухолевых поражениях структур продолговатого мозга;
2) активация структур переднего гипоталамуса, включающего высшие вегетативные центры холинергических нервных влияний на различные органы и ткани, в том числе и на слюнные железы;
3) перерезка разветвлений лицевого нерва (барабанной струны) при неудачных оперативных вмешательствах, что приводит к развитию денервационного синдрома и нейропаралитической гиперсиалии;
4) рефлекторная стимуляция бульбарных центров слюноотделения при воспалительных деструктивных процессах в слизистой желудочно-кишечного тракта, при гельминтозах;
5) избыточное освобождение медиаторов альтерации, в частности ацетилхолина, гистамина, лейкотриенов; при стоматитах инфекционной или инфекционно-аллергической природы, прорезывании зубов у детей, адаптации к протезам;
6) системное и локальное действия в полости рта токсинов экзогенной или эндогенной природы, когда слюнные железы элиминируют из кровотока ксенобиотики или аутокины и экспрессируют их вместе с большим количеством слюны;
7) при язвенной болезни 12-перстной кишки в случаях усиления центрогенных холинергических влияний на секреторную активность желудочно-кишечного тракта;
8) действие лекарственных препаратов с выраженными свойствами холиномиметиков или симпатолитиков.
При гиперсиалии значительное количество слюны попадает в просвет желудочно-кишечного тракта, нарушая оптимум действия протеолитических ферментов желудка (пепсинов), возникает перераспределение объемов внутрисосудистой и внесосудистой жидкости.
Роль желудка в регуляции водно-электролитного баланса и пищеварения. Клетки желудочных желез ежесуточно секретируют 2-3 л желудочного сока, состоящего на 99,0-99,5% из воды и 0,5-1,0% плотного остатка. Последний представлен неорганическими соединениями (хлориды, сульфаты, фосфаты, бикарбонат натрия, ионы калия, кальция, магния) и органическими веществами (ферменты, мукоиды). В желудочном соке в небольшом количестве содержатся азотсодержащие вещества небелковой природы: мочевина, мочевая и молочная кислоты.
Различают базальную (голодную) и стимулированную пищеварительную секрецию. Натощак у взрослого человека выделяется около 10% того количества, которое выделяется при максимальной стимуляции.
В процессе желудочной секреции выделяют три фазы: 1) сложно-рефлекторную (цефалическую); 2) желудочную; 3) кишечную.
Важнейшими компонентами желудочного сока являются соляная кислота, пепсиногены и слизь. Секреция соляной кислоты - ярко выраженный цАМФ-зависимый процесс, активация которого связана с усилением гликоген- и гликолитической активации кислотообразующей функции париетальных клеток. При этом возникают процессы фосфорилирования-дефосфорилирования субстратов в митохондриальной окислительной цепочке, транспортирующей ионы водорода из матричного пространства. И наконец, важным структурным компонентом париетальных клеток является (Н-К)-АТФ-аза секреторной мембраны, перекачивающая протоны из клеток в просвет железы за счет энергии АТФ. Вода поступает в париетальные клетки путем осмоса.
В желудочном соке выделяют несколько видов пепсиногенов (A, В, С, D и другие), активируемых при участии соляной кислоты, а также имеются непротеолитические ферменты (липаза, лизоцим, муколизин, карбоксигидразы, уреазы).
Важнейшим протективным фактором желудка от воздействия соляной кислоты и пепсинов является слизеобразование. Желудочная слизь (или муцин) состоит из нерастворимой (видимой) и растворимой фракций. Видимая слизь - высокогидротированный гель, содержащий нейтральные мукополисахариды, сиеломуцины, гликопротеиды, протеогликаны, протеины. Растворенный муцин является продуктом секреции желудочных мукозных клеток и переваривания видимой слизи.
Желудочная слизь обладает большой буферной емкостью за счет наличия бикарбонатов и фосфатов. При взаимодействии муцина и бикарбоната формируется мукозно-бикарбонатный барьер, предохраняющий слизистую от аутолиза.
Роль тонкого и толстого кишечника в обеспечении пищеварения и водно-электролитного баланса. В течение суток у человека вырабатывается около 2,5 л кишечного сока, выделяемого различными железами и имеющего сложный состав.
В проксимальном участке 12-перстной кишки находятся бруннеровы железы, сходные по структуре с пилорическими. Сок бруннеровых желез - бесцветная жидкость слабощелочной реакции (рН 7-8), главным его компонентом является муцин, обладающий слабой протеолитической, амилолитической и липолитической активностью.
В слизистой оболочке 12-перстной и всей тонкой кишки заложены кишечные крипты, или либеркюновы железы, окружающие каждую ворсинку. Секреторной способностью обладают многие эпителиоциты крипт тонкой кишки. Однако важнейшие кишечные ферменты сосредоточены не в криптах, а на поверхности ворсинок, будучи трансмобилизованными из клеток или адсорбированными из просвета кишечника.
Бокаловидные клетки слизистой тонкого кишечника обеспечивают выделение слизи через разрывы апикальной плазматической мембраны, их секрет обладает протеолитической активностью.
Энтероциты с ацидофильными гранулами содержат гидролитические ферменты, а аргентофинные клетки обладают эндокринной функцией. Клеточная секреция включает два самостоятельных процесса - отделение жидкой и плотной частей сока. Плотная часть кишечного сока содержит отторгнутые эпителиальные клетки, а также основную массу кишечных ферментов и биологически активные вещества.
Жидкая часть включает в себя органические и неорганические вещества. Органические вещества - это слизь, белки, аминокислоты, мочевина и другие. В числе неорганических веществ кишечного сока имеются хлориды, бикарбонаты, фосфаты, соли натрия, калия, кальция. рН кишечного сока в норме составляет 7,2-7,6, а при усилении секреции достигает 8,6.
В тонком кишечнике осуществляется полостное и пристеночное пищеварение, завершается гидролиз пептидов при участии аминопептидазы щелочной каймы энтероцитов
Пристеночный гидролиз жиров обеспечивается кишечной моноглицеридлипазой, а нуклеиновых кислот - при участии нуклеаз, эстераз и щелочных фосфатаз. Углеводы гидролизуются глюкозидазами (мальтазой и трегалазой), галактизидазой (лактазой), глюкоамилазой. Высокая субстратная специфичность кишечных дисахаридаз при их дефиците обусловливает непереносимость соответствующих дисахаридов, развитие синдромов мальабсорбции и диареи.
Толстая кишка в функциональном отношении может быть представлена тремя отделами:
1) проксимальным (слепая, восходящая ободочная, проксимальная часть поперечно-ободочной);
2) дистальным (дистальная часть поперечно-ободочной, нисходящая ободочная, сигмовидная);
Основными функциями толстой кишки являются секреторная, всасывательная, резервирующая и экскреторная.
Из тонкой кишки химус через илеоцекальный канал порциями переходит в толстую кишку, что составляет до 4 л химуса.
Часть пищи, в том числе клетчатка и пектин, подвергается гидролизу в основном в проксимальной части толстой кишки за счет ферментов химуса и сока толстой кишки (катепсина, пептидазы, липазы, амилазы, нуклеазы, щелочной фосфатазы); рН кишечного сока составляет 8,5-9,0. В толстом кишечнике происходит всасывание жидкости и соли.
Натрий всасывается в плазму через эпителиальную клетку против градиента концентрации при участии активного энергозависимого транспорта. Часть натрия пассивно всасывается по осмотическому градиенту через межклеточное пространство.
Всасывание хлоридов происходит против химического градиента концентрации, но в соответствии с электрическим, усвоение хлоридов происходит в результате анионного обмена с бикарбонатами. Количество бикарбонатов в фекальных массах варьирует в широких пределах.
В толстом кишечнике происходит всасывание воды до 4-6 л в сутки. Это пассивный процесс, регулируемый осмотическим и гидростатическим давлением. У здорового человека всасывание воды и солей в 3-4 раза меньше максимально возможной. Всасывание указанных ингредиентов зависит от скорости продвижения пищевой массы в тонком и толстом кишечнике.
Внешнесекреторная функция поджелудочной железы. Поджелудочная железа натощак выделяет небольшое количество секрета, продукция которого резко возрастает при поступлении пищевого содержимого из желудка в 12-перстную кишку и достигает в среднем до 1,5-2,5 л в сутки.
Щелочная среда панкреатического сока (рН 7,5-8,8) обусловлена наличием в нем гидрокарбонатов, обеспечивающих ощелачивание желудочного содержимого.
Секреция сока поджелудочной железы происходит в три фазы: сложнорефлекторную, желудочную и гуморальную.
Основную массу белков панкреатического сока составляют ферменты (трипсин, химотрипсин, карбоксипептидаза, калликреин и другие), продуцируемые в основном в виде проферментов и активирующиеся в 12-перстной кишке.
Желчеобразование и желчевыделение. Секреция желчи у человека в сутки составляет до 1,0 л. Желчеобразование осуществляется непрерывно, но интенсивность его изменяется в зависимости от характера нервных и гуморальных влияний. Составными частями желчи являются вода, желчные кислоты, билирубин, холестерин, неорганические соли, жирные кислоты, фосфолипиды и другие компоненты. Для пузырной желчи характерна нейтральная или кислая среда (рН 6,0-7,0), а для печеночной - щелочная (рН 7,5-8,0).
С помощью желчи усиливается полостное пищеварение белков, углеводов, особенно нейтральных жиров и липидов, активируется всасывание кальция. Важная роль в регуляции водно-солевого гомеостаза отводится легким и коже: с выделенным воздухом теряется 300-400 мл воды в сутки, а с потом - 600-700 мл.
Наиболее выраженные нарушения водно-солевого обмена, связанные с патологией системы органов пищеварения, возникают в условиях гипо- или гиперсаливации, неукратимой рвоты, гиперсекреторных состояний желудка, кишечной непроходимости, диарейного синдрома. Многие из указанных форм патологии носят приобретенный характер, а в ряде случаев - врожденный или наследственный.

Поднижнечелюстная слюнная железа это сложная альвеолярно-трубчатая железа, по величине средняя из всех трёх желёз. По характеру секрета относится к смешанным, а именно белково-слизистым, с преобладанием белкового компонента. Объем ее секреции составляет 60-65% от общего объёма слюны. У взрослого каждая железа имеет массу 12-15 г. Она располагается в поднижнечелюстном треугольнике в фасциальном влагалище, образованном поверхностной пластинкой шейной фасции. Верхне-наружной поверхностью железа прилежит к поднижнечелюстной ямке на внутренней поверхности нижней челюсти, сзади - к заднему брюшку двубрюшной мышцы, спереди - к переднему брюшку двубрюшной мышцы. Внутренняя ее поверхность располагается на подъязычно-язычной мышце и частично на челюстно-подъязычной мышце, у заднего края которой она прилежит к подъязычной железе, будучи отделена от нее только фасцией. Нижний край железы прикрывает заднее брюшко двубрюшной мышцы и шилоподъязычную мышцу. Вверху задний край железы вплотную подходит к околоушной железе и отделен от нее фасциальной капсулой. Железа имеет неправильную овоидную форму, состоит из 10-12 долек. Имеет передний отросток, простирающийся кпереди, в щель между задним краем челюстно-подъязычной и подъязычно-язычной мышцей. Собственная фасция шеи образует фасциальный футляр для поднижнечелюстной слюнной железы. Выводной подчелюстной проток отходит от переднего отростка над челюстно-подъязычной мышцей. Далее он идет под слизистой оболочкой дна полости рта вдоль внутренней поверхности подъязычной железы и открывается на подъязычном сосочке за резцами, вместе с протоком подъязычной железы (М.Г. Привес с соавт., 2004, А.С. Оправин, С.А. Ульяновская, 2011).
Поднижнечелюстная железа это железа смешанной секреции. По сравнению с околоушной слюнной железой междольковые перегородки менее выражены (слабо выраженная дольчатость). Зато внутри долек лучше выражены прослойки рыхлой волокнистой соединительной ткани. Концевые отделы железы бывают двух типов: белковые и смешанные (белково-слизистые). Преобладают белковые концевые отделы (около 80% от всех концевых отделов). Смешанные концевые отделы крупнее белковых и состоят из сероцитов, мукоцитов и миоэпителиальных клеток лежащих на базальной мембране. В смешанных концевых отделах белковые клетки в виде полулуния, серпа или колпачка, получившие название в честь автора открывшего их - полулуния Джиануцци окружают слизистые клетки. Снаружи от полулуний располагаются миоэпителиальные клетки. Вставочные протоки подчелюстной железы мене разветвленные и более короткие по сравнению с околоушной железой. Исчерченные протоки очень хорошо развиты, они длинные и сильно ветвятся. В них часто встречаются сужения и баллонообразные расширения. Выстилающий их цилиндрический эпителий с хорошо выраженной базальной исчерченностью содержит желтый пигмент. Среди клеток при электронной микроскопии различают несколько типов: высокие темные, высокие светлые, мелкие треугольной формы и клетки, имеющие форму бокала. В базальной части высоких клеток на боковых поверхностях расположены многочисленные цитоплазматические выросты между соседними клетками. Гранулы содержат трипсиноподобные протеазы. Синтез секрета идет не циклически. Как установлено, эндокринные функции слюнных желез (выделение инсулиноподобного вещества и других) связаны с этими отделами.
Внутридольковые и междольковые выводные протоки подчелюстной железы, залегающие в соединительнотканных перегородках, выстланы сначала двухслойным, а затем многослойным эпителием. Главный выводной проток этой железы открывается рядом с протоком парной подъязычной железы на переднем крае уздечки языка. Иногда он бывает соединен с протоком большой подъязычной железы. Его устье выстлано многослойным плоским эпителием. В отличие от общего выводного протока околоушной слюнной железы, вартонов по мере приближения к устью формирует выпячивания (дивертикулы). Главный выводной проток подчелюстной железы разветвлен сильнее, чем проток околоушной. В его стенке могут встречаться гладкие миоциты (В.Л. Быков, 1996).
Слюнные железы играют важнейшую роль в обеспечении нормального состояния полости рта человека. Изучение морфологии поднижнечелюстных слюнных желез актуально и представляет практическую ценность. Выявление закономерностей развития больших слюнных желез может быть полезно как для фундаментальных наук, так и для клинической медицины для разработки мероприятий по предупреждению и лечению целого ряда заболеваний органов пищеварительной системы (А.С. Оправин с соавт., 2013).
Читайте также:
- Симптомы инородного тела гортани и его лечение
- ЕЕС-синдром: эктродактилия, эктодермальная дисплазия, расщепление губы-неба
- Растяжимость дыхательного аппарата. Релаксационное давление дыхательной системы
- Экология микроорганизмов. Экология микробов
- Типы кистозных гигром у плода. Диагностика кистозных гигром
