Анатомия: Эпифиз (шишковидное тело). Строение эпифиза. Функция эпифиза. Сосуды (кровоснабжение) эпифиза
Добавил пользователь Владимир З. Обновлено: 22.01.2026
Эпифиз участвует в регуляции процессов, протекающих в организме ритмически или циклически, например овариально-менструального цикла. Ритмические колебания других периодических функций, интенсивность которых закономерно изменяется на протяжении суток, называются циркадными (от лат. circa diem - около дня). Циркадные ритмы явно связаны со сменой дня и ночи (светового и темнового периодов), и их зависимость от эпифиза свидетельствует о том, что гормонообразовательная деятельность последнего определяется его способностью различать смену световых раздражений, получаемых организмом.
Развитие. У зародыша человека эпифиз развивается как выпячивание крыши III желудочка промежуточного мозга на 5-6-й нед развития. В его состав включается субкомиссуральный орган, который развивается из эпендимы III желудочка мозга. У человека и млекопитающих он сильно реду-
цирован (0,2 г). В результате дивергентной дифференцировки нейральных стволовых клеток развиваются два клеточных дифферона - пинеалоцитар-ный и глиоцитарный. Максимального развития эпифиз достигает у детей до 7 лет.
Строение. Снаружи эпифиз окружен тонкой соединительнотканной капсулой, от которой отходят разветвляющиеся перегородки внутрь железы, образующие ее строму и разделяющие ее паренхиму на дольки (рис. 15.7), особенно в пожилом возрасте.
В паренхиме железы различаются секретообразующие пинеалоциты (endocrinocytus pinealis) и опорные глиальные клетки (астроциты). Пинеалоциты располагаются в центральной части долек. Они несколько крупнее опорных клеток, по форме многоугольные, имеют пузыревидные ядра с крупными ядрышками. От тела пинеалоцита отходят длинные отростки, ветвящиеся наподобие дендритов, которые переплетаются с отростками астроцитов. Отростки, булавовидно расширяясь, направляются к капиллярам и контактируют с ними. В цитоплазме этих булавовидных расширений содержатся осмиофильные гранулы, вакуоли и митохондрии.
Среди пинеалоцитов различают светлые пинеалоциты (endocrinocytus lucidus), характеризующиеся светлой гомогенной цитоплазмой, и темные пинеалоциты (endocrinocytus densus) меньшего размера с ацидофильными (а иногда базофильными) включениями в цитоплазме. Обе названные формы представляют собой клетки, находящиеся в различных функциональных состояниях, или клетки, подвергающиеся возрастным изменениям. В цитоплазме пинеалоцитов обнаруживаются многочисленные митохондрии, хорошо развитый комплекс Гольджи, лизосомы, пузырьки агранулярной эндо-плазматической сети, рибосомы и полисомы.
Астроциты преобладают на периферии долек. Их цитоплазма скудна, ядра уплотнены. Длинные отростки направляются к междольковым соединительнотканным перегородкам, образуя своего рода краевую кайму дольки.
Эпифиз вырабатывает антигипоталамические факторы (антигормоны), оказывающие действие на гипофиззависимые эндокринные органы. Действие это обратное (тормозящее, ингибирующее) тропным гормонам аденогипофиза. Большое значение имеет выработка пинеалоцитами анти-гонадотропина, который тормозит секрецию лютропина в аденогипофизе, т. е. играет роль гонадостатина. Антигонадотропин эпифиза и гонадолибе-рин гипоталамуса, действуя как гормоны-антагонисты, совместно осуществляют регуляцию гонадотропной функции гипофиза.
Число регуляторных пептидов, продуцируемых пинеалоцитами, приближается к 40. Из них наиболее важны аргинин-вазотоцин, тиролибе-рин, люлиберин, тиротропин и др. Образование олигопептидных гормонов совместно с нейроаминами (серотонин и мелатонин) демонстрирует принадлежность пинеалоцитов к APUD-серии клеток (см. ниже).
Кровоснабжается эпифиз ветвями средней и задней мозговых артерий.
Иннервируется эпифиз ЦНС и симпатической нервной системой.
Возрастные изменения. У человека эпифиз достигает максимального развития к 5-6 годам жизни, после чего, несмотря на продолжающееся функ-

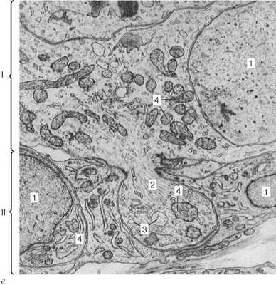
Рис. 15.7. Эпифиз:
а - общий вид эпифиза человека (схема); б - микрофотография паренхимы эпифиза ребенка 1 года 2 мес (по Л. И. Салийчук); в - микрофотография эпифиза человека 63 лет (по Л. И. Салийчук): 1 - соединительнотканная капсула; 2 - соединительнотканная перегородка; 3 - паренхима эпифиза; 4 - мозговой «песок»; 5 - кровеносные сосуды; 6 - глиоциты; 7 - темные пинеалоциты; 8 - светлые пинеалоциты

Рис. 15.7. Продолжение
г - эпифиз крысы. Электронная микрофотография, увеличение 12 000 (по Г. А. Косолапову): I - светлый секретирующий пинеалоцит; II - глиоцит; 1 - ядро; 2 - булавовидный отросток; 3 - вакуоли; 4 - митохондрии
ционирование, начинается его возрастная инволюция. Некоторое количество пинеалоцитов претерпевают атрофию, а строма разрастается, и в ней увеличивается отложение фосфатных и карбонатных солей в виде слоистых шариков, называемых мозговым песком (ацервулюс).
Анатомия: Эпифиз (шишковидное тело). Строение эпифиза. Функция эпифиза. Сосуды (кровоснабжение) эпифиза
В статье представлен обзор литературы по современным научным фактам о функциях эпифиза и роли мелатонина в регуляции психофизиологических функций человека при различных функциональных состояниях.

2. Newberg A.B., Iversen J. The neural basis of the complex task of meditation: and neurochemical considerations // Medical Hypotheses. - 2003. - 62 (2). - P. 282-291.
3. Lуpez-Muсoz F., Molina J.D. An historical view of the pineal gland and mental disorders // Journal of Clinical Neuroscience. - 18. - 2011. - P. 1028-1037.
4. Liu C., Fukuhara C., Wessel III JH, et al. Localization of Aanat mRNA in the rat retina by fluorescence in situ hybridization and laser capture microdissection // Cell Tissue Res. - 2004. - 315. - Р. 197-201.
5. Bubenik G.A. Gastrointestinal melatonin: localization,function, and clinical relevance // Dig Dis Sci 2002. - 47, 23. - Р. 36-48.
6. Slominski A., Pisarchik A., Semak I., et al. Serotoninergic and melatoninergic systems are fully expressed in human skin // Fed Am Soc Eur Biol J. - 2002. - 16. - Р.896-898.
7. Champier J, Claustrat B, Besancon R, et al. Evidence for tryptophan hydroxylase and hydroxy-indol-O-methyl-transferase mRNAs in human blood platelets // Life Sci. - 1997. - 60. - 2191-2197.
8. Cardinali D.P., Ladizesky M.G., Boggio V., et al. Melatonin effects on bone: experimental facts and clinical perspectives // J Pineal Res. - 2003. - 34. - Р. 81-87.
9. Stefulj J., Hortner M., Ghosh M., et al. Gene expression of thekey enzymes of melatonin synthesis in extrapineal tissues of the rat // J Pineal Res. - 2001. - 30. - Р.243-247.
10. Zimmermann R.C., McDougle C.J., Schumacher M., et al. Effects of acute tryptophan depletion on nocturnal melatonin secretion in humans // J Clin Endocrinol Metab. - 1993. - 76. - Р. 1160-1164.
11. Munoz-Hoyos A., Amoros-Rodriguez I., Molina-Carballo A., et al. Pineal response after pyridoxine test in children // J Neural Transm Gen Sect.-1996.-103.-Р. 833-842.
12. Luboshitzky R., Ophir U., Nave R., et al. The effect of pyridoxine administration on melatonin secretion in normal men // Neuroendocrinol Lett. - 2002. - 23. - Р. 213-217.
13. Skene D.J., Bojkowski C.J., Arendt J. Comparison of the effects of acute fluvoxamine and desipramine administration on melatonin and cortisol production in humans // Br J Clin Pharmacol. - 1994. - 37. - Р. 181-186.
14. Hattori A., Migitaka H., Iigo M., Itoh M., Yamamoto K., Ohtani-Kaneko R., Hara M., Suzuki T., Reiter R.J. Identification of melatonin in plants and its effectson plasma melatonin levels and binding to melatonin receptors in vertebrates // Biochemistry and Molecular Biology International. - 35. - 1995. - Р. 627-634.
15. Hattori A., Migitaka H., Iigo M., Itoh M., Yamamoto K., Ohtani-Kaneko R., Hara M., Suzuki T., Reiter R.J. Identification of melatonin in plants and its effectson plasma melatonin levels and binding to melatonin receptors in vertebrates // Biochemistry and Molecular Biology International. - 35. - 1995. - Р.627-634.
16. Dubbels R., Reiter R.J., Klenke E., Goebel A., Schnakenberg E., Ehlers C., Schiwara H.W., Schloot W. Melatonin in edible plants identified by radioimmunoassay and by high performance liquid chromatography-mass spectrometry // Journal of Pineal Research. - 18. - 1995. - Р. 28-31.
17. Dubbels R., Reiter R.J., Klenke E., Goebel A., Schnakenberg E., Ehlers C., Schiwara H.W., Schloot W. Melatonin in edible plants identified by radioimmunoassay and by high performance liquid chromatography-mass spectrometry // Journal of Pineal Research.-18.-1995.- Р. 28-31.
18. Murch S.J., Simmons, R.C., Saxena, P.X. Melatonin in fever few and other medical plants // Lancet. - 350. - 1997. - Р. 1598-1599.
19. Carmen M. Garcia-Parrilla, Emma Cantos, Ana M. Troncoso. Analysis of melatonin in foods. - Journal of Food Composition and Analysis.-22 (2009).- P. 177-183.
20. Germaine Escames, Guler , Beatriz Ban˜ o-Otaґlora, Marıґa J. Pozoю. Melatonin in humans: reciprocal benefits // Pineal Res. - 2012. - 52. - Р.1-11.
21. Hiroaki Mano and Yoshitaka Fukada. A Median Third Eye: Pineal Gland Retraces Evolution of Vertebrate Photoreceptive Organs // Photochemistry and Photobiology. - 2007. - 83. - Р. 11-18.
23. Tan D.X., Chen L.D., Poegeller B., et al. Melatonin: a potent, endogenous hydroxyl radical scavenger. // Endocr J. - 1993. - 1. - Р.57-60.
24. Guerrero J.M., Reiter R.J. Melatonin-immune system relationships. Curr Top Med Chem 2002;2:167-79.
25. Withyachumnarnkul B., Nonaka K.O., Santana C., et al. Interferon-gamma modulates melatonin production in rat pineal glands in organ culture // J Interferon Res. - 1990. - 10. - Р. 403-411.
26. Bartsch H, Bartsch C. Effect of melatonin on experimental tumors under different photoperiods and times of administration // J Neural Transm. - 1981. - 52. - Р.269-279.
27. Lissoni P., Chilelli M., Villa S., et al. Five years survival in metastatic non-small cell lung cancer patients treated with chemotherapy alone or chemotherapy and melatonin: arandomized trial // J Pineal Res. - 2003. - 35. - Р.12-15.
28. Molina-Carballo A., Munoz-Hoyos A., Reiter R.J., et al. Utility of high doses of melatonin as adjunctive anticonvulsant therapy in a child with severe myoclonic epilepsy: two years’experience // J Pineal Res. - 1997. - 23. - Р.97-105.
29. Claustrat B., Chazot G., Brun J., et al. A chronobiological study of melatonin and cortisol secretion in depressed subjects: plasma melatonin, a biochemical marker in majordepression // Biol Psychiatry. - 1984. - 19. - Р.1215-1228.
30. Lewy A.J., Wehr T.A., Gold P.W., et al. Plasma melatonin in manic-depressive illness. In: Usdin E, Kopin IJ, Barchas J, editors. Catecholamines: basic and clinical frontiers.-vol.II. Oxford: Pergamon. - 1978. - Р. 1173-1175.
31. Venkataramanujam Srinivasana, Seithikurippu R. Pandi-Perumal, D.Warren Spencec. Potential use of melatonergic drugs in analgesia: Mechanisms of action // Brain Research Bulletin. - 81. - 2010. - P. 362-371.
32. Casey Y-J UngMB BS and Anthony CB Molteno. An enigmatic eye: the histology of the tuatara pineal complex // Clinical and experimental ophnalmology. - 2004. - P. 614-618.
Долгое время считалось, что функции эпифиза весьма ограничены и заключаются в организации суточного, или циркадианного, биологического ритма у животных, включающего периодичность сна и колебания температуры тела [1]. Однако по мере накопления научных фактов о функциях эпифиза и секретируемого им гормона мелатонина, стало ясно о широком диапазоне его регуляторного влияния на большинство функций организма. Механизмы этого влияния до сих пор не определены, и их изучение представляет большой интерес для клиницистов, педагогов, специалистов по физической подготовке спортсменов, особенно учитывая широкую миграцию спортсменов в различные часовые пояса.
Цель данной работы состояла в обзоре современных данных научной литературы о влиянии эпифиза на психофизиологические функции организма. Результаты анализа таких исследований необходимы для разработки рекомендаций по режимам производственной деятельности в различных трудовых сменах и физических нагрузок при смене часовых поясов.
Особенности анатомического строения шишковидной железы с давних пор привлекали внимание ученых. Так, Рене Декарт (1596-1650) развил теорию об эпифизе как о хранилище души. Предположения Рене Декарта являлись гениальной догадкой до 1958 года в котором дерматологом Аароном Лернером был открыт мелатонин, секретируемый шишковидной железой. Впоследствии было обнаружено, что мелатонин образуется также в сетчатке глаза, кишечнике, коже, тромбоцитах, костном мозге 4. В настоящее время известно, что мелатонин синтезируется из серотонина, его синтез зависит от аминокислоты триптофана, и при триптофановой недостаточности уровень мелатонина в организме снижается [10]. Наличие в питании детей препубертатного возраста фолатов и витамина В6 стимулирует продукцию мелатонина [11, 12]. Флавоксамин (ингибитор серотонинового захвата) повышает амплитуду и продолжительность пика мелатонина в плазме [13].
Кроме того, мелатонин может поступать в организм в готовом виде с продуктами растительного происхождения (листья, фрукты, семена), в том числе - в таких лекарственных растениях, как зверобой продырявленный, пиретрум девичий 16.
В научной литературе появляется все больше фактов о воздействии мелатонина на психофизиологические функции организма. Так, показано [19], что наступление чувства сонливости после обильного обеда сопровождается повышением уровня экзогенного мелатонина в плазме крови. Авторы [20] связывают повышенное настроение при физической нагрузке с изменением серотонинового обмена.
Энзимы шишковидной железы могут синтезировать галлюциноген - 5-метокси-диметилтрипатмин (ДМТ), который связывают с необычными ощущениями и переживаниями искажения чувства времени и пространства [2]. Поэтому в восточных практиках эпифиз называют «третьим глазом», «органом интуиции» [21, 32]. Индийским исследователем Р. Сингхом [22] была разработана система упражнений, активизирующих функции эпифиза, которая включала в себя психофизические упражнения с использованием звуко-, арома-, цвето- и диетотерапии.
Мелатонин оказывает положительное воздействие и при эпилепсии, так как его введение сопровождается уменьшением частота приступов и оптимизацией формы кривой на ЭЭГ. В некоторых исследованиях введение высоких доз мелатонина совместно с фенобарбиталом приводило к стабилизации в случае обострения миоклонической эпилепсии, которая до этого безуспешно лечилась различными комбинациями антиконвульсантов [28].
Множество научных фактов свидетельствуют о взаимосвязи мелатонина с психической сферой. Показано, что при депрессии уровень мелатонина понижается [29]. У пациентов с биполярными расстройствами уровень мелатонина понижен в периоды депрессии, а в момент маниакального возбуждения, напротив, повышается [30]. Кроме того, у лиц суицидального риска ночной пик мелатонина в крови снижен [3].
У пациентов, страдающих инсомнией, уровень мелатонина понижен, а введение его устраняет бессоницу. Мелатонин напрямую связан с циркадными ритмами, такими, как сон-бодрствование, приём пищи - голод, покой-физическая активность. Можно сказать, что мелатонин - маркёр работы внутренних часов организма. Его сравнивают с дирижёром или синхронизатором физиологических процессов в организме [20].
Метаболически мелатонин связан с эссенциальной аминокислотой триптофан, нейротрансмиттером серотонин и индол-3-ацетокислота, которая является ауксином, то есть фактором роста растений. Мелатонин в качестве анестетика с успехом применяется для купирования болевых приступов при раке, головной боли и хирургических операциях [31].
Обзор литературы свидетельствует, что мелатонин может действовать как:
8) фактор роста растений;
Таким образом, данные литературы подтверждают мнение, что эпифиз запускает в организме механизмы психофизиологической адаптации к широкому спектру воздействий. Необходимы дальнейшие исследования по выяснению функций эпифиза и мелатонина при различных функциональных состояниях, в том числе при физических нагрузках.
МРТ в диагностике патологий шишковидной железы
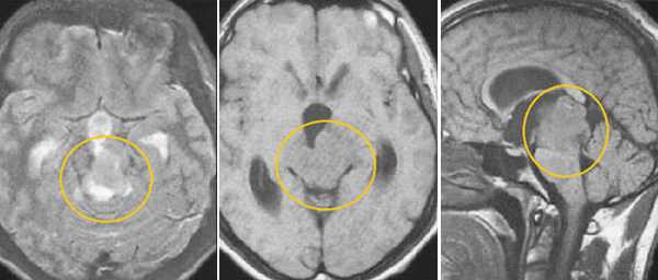
Эпифиз (пинеальная или шишковидная железа) - это железа, расположенная между передними бугорками четверохолмной пластинки, соединяющаяся посредством ножки с III желудочком.
Среди заболеваний шишковидной железы, выявляемых при МРТ исследовании, проявляющихся определенной клинической симптоматикой и безсимптомных, большую часть занимают опухоли пинеальной области.
Различают несколько видов новообразования, поражающих эпифиз:
1. Опухоли, исходящие из паренхимы шишковидной железы (пинеоцитомы, пинеобластомы)
Патологические процессы, возникающие в эпифизе, в большей части случаев проявляются преждевременным половым созреванием, что является указанием на эндокринную функцию этого органа.

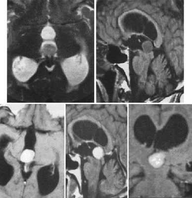
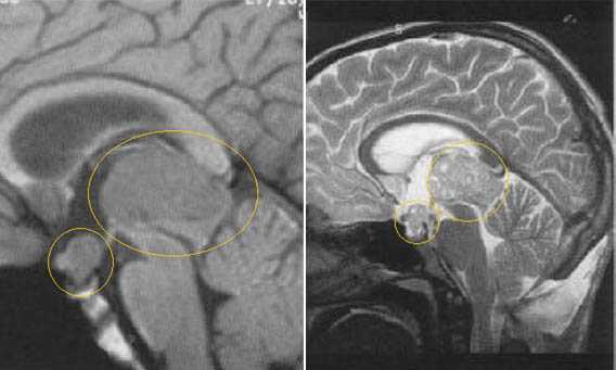
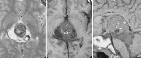
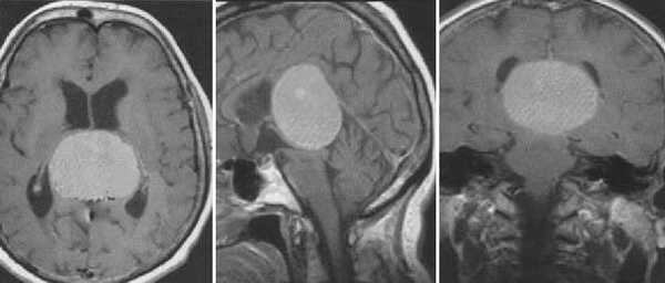
Пинеоцитома. На Т2 ВИ опухоль состоит из двух участков разной интенсивности МР-сигнала: высокой в передних отделах и низкой в задних. Четкость и линейность перехода свидетельствует о кистозном характере строения опухоли. Различия интенсивности МР-сигнала от жидкости в передних и задних отделах опухоли обусловлены эффектом «седиментации» белковых компонентов (вероятнее компонентов крови), опускающихся вниз при положении головы пациента на затылке.

Пинеоцитома. МРТ в режиме Т2 и Т1 выявляется солидного строения опухоль задних отделов III желудочка мозга. На фоне в/в контрастирования определяется выраженный и достаточно гомогенный характер контрастирования опухоли.

Пинеобластома. В режиме Т2 и Т1 выявляется опухоль задних отделов III желудочка мозга с развитием окклюзионной гидроцефалии. В строме опухоли небольшой участок подострого кровоизлияния. После в/в контрастирования опухоль интенсивно и достаточно гомогенно накапливает контрастирующее вещество.
2. Герминативноклеточные опухоли эпифиза (герминома, тератома, смешанные герминативноклеточные опухоли)
Данные образования развиваются из герминативных клеток, которые в процессе эмбриогенеза не достигли своего нормального местоположения в половых железах и по своей структуре и функции сходны с опухолями, исходящими из клеток семенников и яичников.
Герминативноклеточные опухоли прорастают в стенки III желудочка и гипоталамус, что определяет типичную триаду признаков: гипогонадизм, атрофия зрительных нервов и несахарный диабет.
Кроме того опухоль может сдавливать водопровод мозга, что приводит к развитию окклюзионной гидроцефалии, проявляющейся сильными головными болями, рвотой, нарушением сознания, отеком соска зрительного нерва.
Компрессия бугорков четверохолмной пластинки может вызывать синдром Парино (сочетанный паралич взора вверх), а давление на мозжечок или ствол мозга может проявляться нарушением походки.

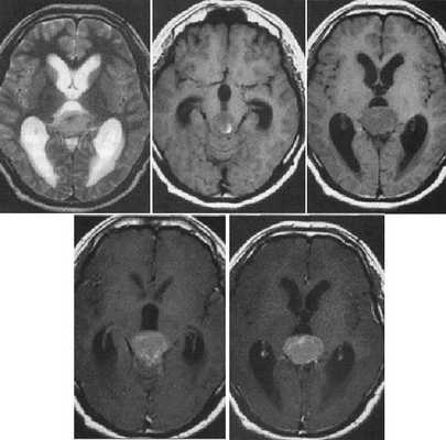
Герминома пинеальной области. На Т2 ВИ опухоль имеет слабо гиперинтенсивный сигнал по сравнению с тканью мозга, тогда как на Т1 опухоль практически изоинтенсивна с мозгом. Желудочковая система гидроцефально расширена. III желудочек деформирован. Четверохолмная пластинка оттеснена кзади.

Герминома пинеальной области. Опухоль имеет гетерогенное строение с множеством мелких и крупных кист. Вокруг опухоли определяется перифокальный отек.
Иногда на первый план в клинической картине выступают гипоталамические симптомы: гиперфагия, анорексия, нарушение терморегуляции.
Герминативноклеточный опухоли эпифиза могут метастазировать в другие области. В некоторых случаях герминомы распространяются в область турецкого седла, проявляясь симтоматикой опухолей гипофиза.

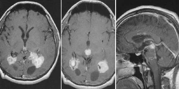
Герминома пинеальной области с метастазированием в хиазмально-селлярную область.

Герминома подкорковых образований слева. Мультикистозного строения опухоль с признаками окклюзии отверстия Монро слева.

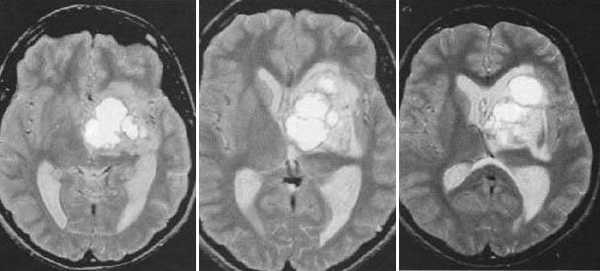
Злокачественная смешанная герминативноклеточная опухоль. В боковых желудочках и пинеальной области определяются множественные опухолевые узлы с выраженным перитуморальным отеком. Внутрижелудочковые образования с признаками кровоизлияний. При в/в контрастировании определяется выраженное контрастирование узлов. Дополнительно визуализируется метастазирование по эпендиме боковых и IV желудочков мозга.
3. Глиальные опухоли шишковидной железы (астроцитома, эпендимома, глиобластома и др.)
Данный тип опухолей исходит из глиальных клеток соседних мозговых структур, таких как таламус, средний мозг, четверохолмная пластинка, валик мозолистого тела, с последующим распространением в пинеальную область.


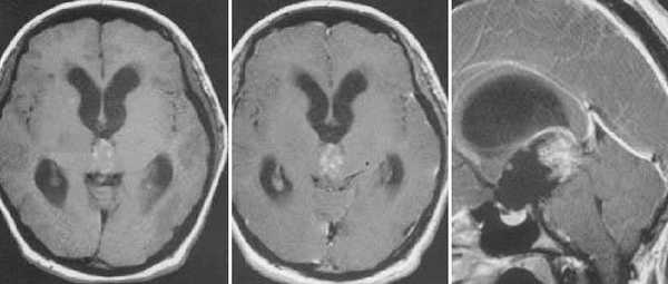
Пиллоидная астроцитома задних отделов III желудочка. Определяется небольших размеров образование с развитием окклюзионной гидроцефалии. Опухоль практически не отличается по сигналам от вещества головного мозга. После в/в контрастирование отмечается усиление МР-сигнала от образование, что позволяет уточнить расположение опухоли, степень компрессии четверохолмной пластинки и водопровода мозга.


Глиобластома зрительного бугра справа. До и после в/в контрастирования определяется объемное образование с некротическим центром и контрастируемой периферической инфильтративной частью. Деформированы задние отделы III желудочка, начальный проявления окклюзионной гидроцефалии.

Эпендимома задних отделов III желудочка. Определяется объемное образование в задних отделах шишковидной железы. Передние бугорки четверохолмия оттеснены вниз. Водопровод мозга сдавлен.
4. Смешанные опухоли и неопухолевые образования.

Дермоидная опухоль пинеальной области.

Липома пинеальной области.

Кавернома пинеальной области.

Менингиома пинеальной области.

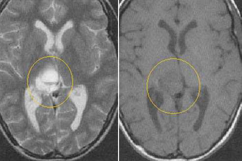
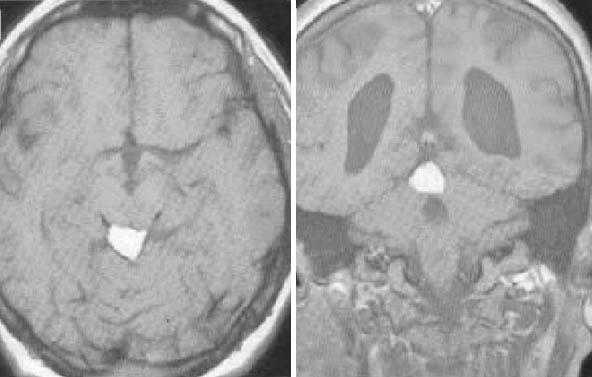
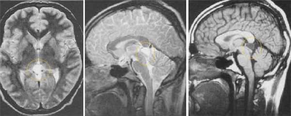
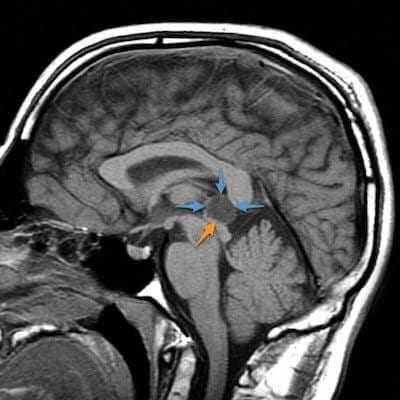
Киста эпифиза. Компрессия четверохолмной пластинки и частичное сдавление водопровода мозга.
В настоящее время МРТ является главным диагностическим методом, позволяющим дать достаточно полную характеристику патологического процесса, расположенного в пинеальной области.
Полипроекционность исследования - получение изображений в разных плоскостях и трехмерное изображение (3D) помогают определять расположение опухоли по отношению к III желудочку и окружающим тканям, преимущественное направление роста, взаимоотношение с венозными и другими тканевыми образованиями пинеальной области, степень инвазии прилежащего мозгового вещества.
Киста эпифиза

Одна из самых распространенных патологий шишковидной железы - киста. Полое внутри, это образование наполнено жидкостью, образующейся в одном из отделов органа, регулирующего жизнедеятельность нашего организма.
Подобная патология появляется редко. Диагноз «киста шишковидной железы» ставят всего 1,5% людей, страдающих от болезней мозга.
Что такое эпифиз
Эпифиз входит в структуру мозга и выполняет регулирующую функцию относительно эндокринной системы. Эта главная железа имеет небольшие размеры, серовато-красную окраску. Располагается глубоко между полушариями, в зоне межталамического сращения.
Из-за маленьких размеров и глубокого расположения, все функции гипофиза до сих пор не изучены.
Медикам удалось выяснить, что эпифиз регулирует циркадные ритмы (от него зависят фазы сна и бодрствования). Помимо этого, шишковидная железа синтезирует гормон мелатонин.
Сотрудники клиники восстановительной неврологии консультируют и лечат пациентов с различными патологиями шишковидной железы. В том числе и с кистой эпифиза.
Главные функции эпифиза
Среди главных функций эпифиза выделяются:
- Остановка синтеза гормона роста.
- Регулирование полового созревания.
- Затормаживание прогрессирования новообразований.

Киста эпифиза, как правило, является по своей природе доброкачественной и в злокачественную не перерождается.
Образования растут медленно и не влияют на работу органа. В редких случаях воздействуют на прилегающие участки мозга, негативно сказываясь на их работе. Типичный пример - давление кисты эпифиза на зрительные тракты, что проявляется сужением полей зрения.
Причины появления патологии
Появление кистозных образований провоцируют следующие факторы:
- Тромбоз выводящих путей, из-за чего страдает отток вырабатываемого эпифизом гормона мелатонина. Закрытые протоки вызывают скопление секрета и образование кисты.
- Гельминтоз, вызывающей появление паразитарных кистозных образований в разных органах. Эпифиз поражается эхинококком, проникающем в орган с кровью. Гельминт формирует капсулу, защищая себя от атак иммунитета. Кисту заполняют паразитарные продукты жизнедеятельности, приводя к росту ее размеров.
Поскольку эпифиз недостаточно изучен, другие причины появления кистозных образований еще не установлены.
Вероятно, это еще связано с тем, что кисты почти не проявляют себя. Люди могут прожить с ними всю жизнь и не подозревать о наличии такого образования.
Симптоматика болезни
Как правило, симптоматика кисты эпифиза долго отсутствует.

Есть пациенты, которые страдают от головных болей, возникающих, на первый взгляд, беспричинно. Данную патологию зачастую связывают со стрессом, усталостью и артериальным давлением.
Кисты шишковидной железы диагностируют, главным образом, случайно при проведении КТ или МРТ мозга.
Почти у всех пациентов с таким диагнозом, симптоматика отсутствовала или имели место признаки, отмечаемые при широком спектре болезней головного мозга.
- Беспричинно возникающие головные боли, которые невозможно связать с другими факторами.
- Ухудшение зрения (у многих пациентов двоится в глазах, нарушается четкость восприятия окружающих предметов), сужаются поля зрения.
- Нарушения равновесия без явной причины, головокружения.
- Рвотный рефлекс и тошнота, возникающие на фоне головных болей.
- Водянка мозга, она же гидроцефалия. Развивается вследствие давления кисты эпифиза на другие мозговые зоны.
Если размеры кистозного образования становятся критическими, оно способно заблокировать циркуляцию ликвора - мозговой жидкости. Это чревато отрицательными последствиями для здоровья.
При росте кисты усиливается очаговая симптоматика, повышается давление внутримозговой жидкости.
Признаки кисты эпифиза, возникшей из-за гельминтоза, будут слегка другими. Общую симптоматику дополняют нарушения психики: бред, депрессивное состояние, слабоумие. Могут иметь место припадки, характерные для эпилепсии.

Насколько опасна патология, и чего ожидать пациентам с таким диагнозом
Главная опасность кисты шишковидного тела заключается в риске развития одного из серьезных заболеваний мозга - водянки или гидроцефалии.
Пациентам с впервые установленным таким диагнозом и нормальным самочувствием, опасаться не следует. Рекомендуются мониторинговые обследования, позволяющие отслеживать динамику заболевания. Предлагается делать МРТ каждые шесть месяцев.
В осложненных ситуациях, новообразование провоцирует сдавление цереброспинальной субстанцией желудочковых долей мозга. Впрочем, типично, кисты растут медленно и никак не влияют на работу мозговых отделов.
Диагностика и лечение
При такой патологии важно правильно поставить диагноз, так как под маской кисты может протекать злокачественная опухоль гипофиза. Исключить ошибку помогает биопсия и лабораторный анализ, направленный на обнаружение злокачественных клеток. Как правило, пациенты в специфичной терапии не нуждаются.

К хирургическому вмешательству прибегают при высоком риске гидроцефалии, выраженной симптоматике, воздействии кисты на прилегающие мозговые участки с нарушением работы сердца и сосудов.
Операция чревата некоторыми рисками, поэтому к ней прибегают только в крайних случаях. Если проявления выражены слабо, пациентам прописывают медикаментозное лечение, при помощи которого купируют беспокоящие симптомы.
Была ли эта статья полезна?
Вы можете подписаться на нашу рассылку и узнать много интересного о лечение заболевания, научных достижений и инновационных решений:
Если у вас остались вопросы, задайте их врачам на нашем форуме!
Клиника восстановительной неврологии проводит консультации, диагностику, комплексное лечение с индивидуальным подходом для активации и стимуляции мозга.
123182 г. Москва, ул. Маршала Василевского, д. 13, корп. 3, под. 2
357501 г. Пятигорск, ул. Козлова, д. 8 ОФИС 1
Информация на сайте носит исключительно ознакомительный характер. Все материалы и цены, размещенные на сайте, не являются публичной офертой, определяемой положениями ст. 437 ГК РФ. Для получения точной информации обратитесь к сотрудникам клиники или посетите нашу клинику.
18+ Информация, представленная на сайте, не может быть использована для постановки диагноза, назначения лечения и не заменяет прием врача.
39)Эпифиз, его строение и функции.
По строению и функции эпифиз относится к железам внутренней секреции. Эндокринная роль шишковидного тела состоит в том, что его клетки выделяют вещества, тормозящие деятельность гипофиза до момента полового созревания, а также участвующие в тонкой регуляции почти всех видов обмена веществ. Эпифизарная недостаточность в детском возрасте влечет за собой быстрый рост скелета с преждевременным и преувеличенным развитием половых желез и преждевременным и преувеличенным развитием вторичных половых признаков. Эпифиз также является регулятором циркодианных ритмов, поскольку опосредованно связан со зрительной системой. Под влиянием солнечного света в дневное время в эпифизе вырабатывается серотонин, а в ночное время - мелатонин. Оба гормона сцеплены между собой, поскольку серотонин является предшественником мелатонина.
Эпифиз, или верхний мозговой придаток, или шишковидная железа (epiphisis cerebri , glandula pinealis),- эндокринный орган, расположенный между передними буграми четверохолмия над третьим мозговым желудочком. Эпифиз располагается в бороздке между верхними холмиками четверохолмия и прикреплен поводками к обоим зрительным буграм. Эпифиз округлой формы, масса его у взрослого человека не превышает 0,2 г. Эпифиз покрыт снаружи соединительнотканной капсулой, от которой внутрь железы отходят соединительнотканные трабекулы, разделяющие ее на дольки, состоящие из клеток двух типов: железистых пинеалоцитов и глиальных. Функция пинеалоцитов имеет четкий суточный ритм: ночью синтезируется мелатонин, днем - серотонин. Этот ритм связан с освещенностью, при этом свет вызывает угнетение синтеза мелатонина. Воздействие осуществляется при участии гипоталамуса. В настоящее время считают, что эпифиз регулирует функцию половых желез, в первую очередь половое созревание, а также выполняет роль "биологических часов", которые регулируют циркадианные ритмы.
2. Гормоны эпифиза
Эпифиз вырабатывает следующие гормоны: серотонин и мелатонин - они регулируют "биологические часы" организма. Гормоны являются производными аминокислоты триптофана. Вначале из триптофана синтезируется серотонин, а из последнего образуется мелатонин. Он является антагонистом меланоцитостимулирующего гормона гипофиза, продуцируется в ночное время, тормозит секрецию гонадолиберина, тиреоидных гормонов, гормонов надпочечников, гормона роста, настраивает организм на отдых. У мальчиков содержание мелатонина снижается при половом созревании. У женщин наибольший уровень мелатонина определяется в менструацию, наименьший - при овуляции. Продукция серотонина существенно преобладает в дневное время. При этом солнечный свет переключает эпифиз с образования мелатонина на синтез серотонина, что ведет к пробуждению и бодрствованию организма (серотонин является активатором многих биологических процессов).
Около 40 гормонов пептидной природы, из которых наиболее изучены:
· гормон, регулирующий обмен кальция;
· гормон аргинин-вазотоцин, регулирующий тонус артерий и угнетающий секрецию гипофизом фолликулостимулирующего гормона и лютеинизирующего гормона.
Показано, что гормоны эпифиза подавляют развитие злокачественных опухолей. Свет составляет функцию эпифиза, а темнота стимулирует его. Выявлен нейронный путь: сетчатка глаза - ретиногипоталамический тракт - спинной мозг - симпатические ганглии - эпифиз.
Кроме мелатонина ингибирующее влияние на половые функции обусловливается и другими гормонами эпифиза - другими гормонами эпифиза - аргинин-вазотоцином, антигонадотропином.
Адреногломерулотропин эпифиза стимулирует образование альдостерона в надпочечниках.
Пинеалоциты продуцируют несколько десятков регуляторных пептидов. Из них наиболее важны аргинин-вазотоцин, тиролиберин, люлиберин и даже тиротропин.
Образование олигопептидных гормонов совместно с нейроаминами (серотонин и мелатонин) демонстрирует принадлежность пинеалоцитов эпифиза к APUD-системе.
Гормоны эпифиза угнетают биоэлектрическую активность мозга и нервно-психическую деятельность, оказывая снотворный и успокаивающий эффект.
3. Функции эпифиза
Функции этой железы оставались непонятными многие-многие годы. Кое-кто расценивал железу как рудиментарный глаз, ранее предназначавшийся для того, чтобы человек мог оберегать себя сверху. Но структурным аналогом глаза такую железу - эпифиз можно признать лишь у миног, у пресмыкающихся, а не у нас. В мистической литературе периодически встречалось утверждение о контакте именно этой железы с таинственной нематериальной нитью, связывающей голову с парящим над каждым эфирным телом.
Из сочинения в сочинение перекочевывало описание этого органа, способного якобы восстанавливать образы и опыт прошлой жизни, регулировать поток мысли и баланс интеллекта, осуществлять телепатическое общение. Французский философ Р. Декарт (XVII век) считал, что железа выполняет посреднические функции между духами, то есть впечатлениями, поступающими от парных органов - глаз, ушей, рук. Здесь, в эпифизе, под влиянием "паров крови" формируются гнев, радость, страх, печаль. Фантазия великого француза наделила желёзку возможностью не только двигаться, но и направлять "животные духи" через поры мозга по нервам к мышцам. Это потом уже выяснили, что двигаться эпифиз не в состоянии.
Доказательством исключительности эпифиза ряд лет служило и то, что сердце тоже не имеет пары, а лежит "посреди". Да и существует старинных русских медицинских руководствах железа эта называлась "душевной". шишковидная железа, как Декарт ошибочно предполагал, только у человека.
В двадцатых годах прошлого века многие специалисты пришли к заключению, что и говорить-то об этой железе не следует, ибо какой-либо значимой функции у предполагаемого рудиментарным органа нет. Появлялись сомнения в том, что эпифиз массой в двести миллиграммов и величиной с горошину функционирует не только в эмбриогенезе, а и после рождения. Все это привело к тому, что на ряд десятилетий из поля зрения исследователей этот "третий глаз" выпал. Правда, были и объективные причины. Среди них сложность изучения, требовавшая новых методов, и топографическое неудобство - уж очень трудно извлечь этот орган. Теософы, в свою очередь, не сомневались, что эпифиз пока большинству не очень нужен, а вот в будущем окажется необходимым для передачи мыслей от одного человека к другому.
Эпифиз развивается в эмбриогенезе из свода (эпиталамуса) задней части (диэнцефалона) переднего мозга. У низших позвоночных, например у миног, могут развиваться две аналогичных структуры. Одна, располагающаяся с правой стороны мозга, носит название пинеальной, а вторая, слева, парапинеальной железы. Пинеальная железа присутствует у всех позвоночных, за исключением крокодилов и некоторых млекопитающих, например муравьедов и броненосцев. Парапинеальная железа в виде зрелой структуры имеется лишь у отдельных групп позвоночных, таких, как миноги, ящерицы и лягушки.
Там, где пинеальная и парапинеальная железы функционируют в качестве органа, воспринимающего свет, или «третьего глаза», они способны различать лишь разную степень освещенности, а не зрительные образы. В этом качестве они могут определять некоторые формы поведения, например вертикальную миграцию глубоководных рыб в зависимости от смены дня и ночи.
У земноводных пинеальная железа выполняет секреторную функцию: она вырабатывает гормон мелатонин, который осветляет кожу этих животных, уменьшая занимаемую пигментом площадь в меланофорах (пигментных клетках). Мелатонин обнаружен также у птиц и млекопитающих; считается, что у них он обычно оказывает тормозящий эффект, в частности снижает секрецию гормонов гипофиза. У птиц и млекопитающих эпифиз играет роль нейроэндокринного преобразователя, отвечающего на нервные импульсы выработкой гормонов. Так, попадающий в глаза свет стимулирует сетчатку, импульсы от которой по зрительным нервам поступают в симпатическую нервную систему и эпифиз; эти нервные сигналы вызывают угнетение активности эпифизарного фермента, необходимого для синтеза мелатонина; в результате продукция последнего прекращается. Наоборот, в темноте мелатонин снова начинает вырабатываться. Таким образом, циклы света и темноты, или дня и ночи, влияют на секрецию мелатонина. Возникающие ритмические изменения его уровня - высокий ночью и низкий в течение дня - определяют суточный, или циркадианный, биологический ритм у животных, включающий периодичность сна и колебания температуры тела. Кроме того, отвечая на изменения продолжительности ночи изменением количества секретируемого мелатонина, эпифиз, вероятно, влияет на сезонные реакции, такие как зимняя спячка, миграция, линька и размножение.
У человека с деятельностью эпифиза связывают такие явления, как нарушение суточного ритма организма в связи с перелетом через несколько часовых поясов, расстройства сна и, вероятно, «зимние депрессии».
Читайте также:
