Техника комбинированной кавернотомии. Нижнедолевая кавернотомия
Добавил пользователь Владимир З. Обновлено: 27.12.2025
Колоректальный рак в течение многих десятилетий остается актуальной проблемой онкологии. Это связано как с ростом заболеваемости раком ободочной и прямой кишки, увеличением числа распространенных форм опухоли, так и со сложностями лечения. Указанные тенденции отмечают и в России, и за рубежом [1, 2].
Основным методом лечения больных колоректальным раком неизменно остается хирургический, и именно в нем произошли революционные изменения, среди которых следует упомянуть расширенную лимфодиссекцию, тотальную мезоректумэктомию, нервосберегающие операции, выполнение низких передних резекций прямой кишки, лапароскопические оперативные вмешательства, хирургическое лечение метастатических и местно-распространенных форм колоректального рака [3—8].
Указанные изменения требуют оценки и осмысления результатов применения, что и определило актуальность нашего исследования.
Цель работы — изучить спектр и непосредственные результаты комбинированных оперативных вмешательств при местно-распространенном колоректальном раке.
Материал и методы
С 2009 г. в РНИОИ по поводу местно-распространенного колоректального рака выполнено 498 комбинированных оперативных вмешательств. Характеристика больных, включенных в исследование, представлена в табл. 1.

Таблица 1. Характеристика больных местно-распространенным колоректальным раком
Как видно из табл. 1, несколько чаще местно-распространенный колоректальный рак встречался у женщин (57,03%), большинство (65,06%) больных были в возрасте 60 лет и старше. Местно-распространенная колоректальная опухоль локализовалась преимущественно в прямой (38,96%) и сигмовидной (28,92%) кишке. У всех больных, включенных в исследование, опухоль прорастала соседние органы, при этом регионарные метастазы были выявлены у 39,96% больных. Гистологически преобладала умереннодифференцированная аденокарцинома (75,9% наблюдений). В соответствии с преимущественной локализацией опухоли в прямой и сигмовидной кишке преобладала инвазия опухоли в тонкую кишку (23,69%), женские гениталии (45,59%) и мочевой пузырь (14,86%).
Всем больным до лечения осуществлялось комплексное обследование, включающее клиническую и лабораторную диагностику, эндоскопические методы (ректороманоскопию, фиброколоноскопию, при необходимости цистоскопию), лучевые методы исследования (ультразвуковое исследование, рентгенодиагностику, компьютерную томографию, магнитно-резонансную томографию). Предоперационная подготовка включала ортоградную и ретроградную очистку толстой кишки, коррекцию нарушений функции органов и систем, профилактику тромбоэмболических осложнений, антибиотикопрофилактику.
Всем больным, включенным в исследование, выполнены комбинированные оперативные вмешательства (табл. 2).

Таблица 2. Объем хирургического вмешательства на толстой и прямой кишке при местно-распространенном колоректальном раке
Объем хирургического вмешательства на соседних органах в связи с инвазией колоректальной опухоли в большинстве наблюдений заключался в резекции тонкой кишки, надвлагалищной ампутации матки с придатками, резекции мочевого пузыря, пангистерэктомии (табл. 3).

Таблица 3. Объем хирургического вмешательства на соседних органах при инвазии колоректального рака
Отдельно хотелось бы остановиться на прорастающем мочевой пузырь местно-распространенном колоректальном раке, являющемся одной из сложных проблем современной онкологии в связи с высоким процентом инвалидизации. С целью улучшения результатов лечения таких пациентов нами расширены показания к сохранению основания мочевого пузыря с устьями мочеточников и уретрой с пластическим замещением дефекта мочевого пузыря изолированным тонкокишечным резервуаром.
Основанием для такого подхода явилось не только стремление к выполнению функционально-щадящих вмешательств, но и проведенное собственное морфологическое исследование, которое показало, что поражение стенки мочевого пузыря при прорастании колоректальной опухоли в большинстве наблюдений не выходит за пределы видимых границ опухоли. Это позволило нам выполнять субтотальную резекцию мочевого пузыря даже при расположении опухоли вблизи мочепузырного треугольника. Срочное гистологическое исследование линии резекции мочевого пузыря подтверждало отсутствие в ней опухолевых клеток.
Все это позволило нам прийти к заключению, что показания к цистэктомии при прорастании рака толстой кишки в мочевой пузырь зачастую расширяют, основываясь на показаниях к таковой при первичном раке мочевого пузыря, характеризующемся мультифокальным поражением слизистой [9]. При прорастании стенки мочевого пузыря раком толстой кишки иная морфология опухоли определяет другой характер поражения стенки мочевого пузыря.
Оперативное вмешательство в функционально-щадящем объеме было выполнено 7 пациентам. При этом вмешательство на толстой или прямой кишке было стандартным. Также производили субтотальную резекцию мочевого пузыря с сохранением основания мочевого пузыря и устьев мочеточников и уретры. После мобилизации и транспозиции петли тонкой кишки с помощью линейного сшивающего аппарата формировался резервуар, который анастомозировался с основанием мочевого пузыря двумя рядами швов (рис. 1). Тонкокишечный резервуар дренировали либо через уретру, либо в левой подвздошной области, там же отдельно выводились мочеточниковые катетеры.

Рис. 1. Интраоперационные фотографии. Этапы энтероцистопластики. а — сохраненное основание мочевого пузыря (1) с уретрой и закатетеризированными мочеточниками (2); б — наложен первый ряд на заднюю стенку анастомоза (1) основания мочевого пузыря (2) со сформированным тонкокишечным резервуаром (3); в — внешний вид сформированного тонкокишечного резервуара (1) с линией анастомоза (2).
Среди комбинированных оперативных вмешательств по поводу местно-распространенного колоректального рака 24 выполнены из лапароскопического доступа (табл. 4). Малоинвазивные вмешательства при местно-распространенном колоректальном раке стали выполняться в нашем учреждении только в последние 3 года, в настоящее время накапливается опыт и разрабатываются показания к подобным оперативным вмешательствам.

Таблица 4. Объем лапароскопического хирургического вмешательства на соседних органах при инвазии колоректального рака
Результаты и обсуждение
Послеоперационные осложнения развились у 178 (35,7%) больных (табл. 5). Частота несостоятельности колоректального анастомоза составила 8,4% (8 больных). Инфекционно-воспалительные осложнения выявлены у 126 (25,3%) больных.

Таблица 5. Послеоперационные осложнения при комбинированных оперативных вмешательствах по поводу колоректального рака Примечание. * — различия между группами достоверны (р<0,05).
Если рассматривать частоту послеоперационных осложнений в зависимости от доступа и объема оперативного вмешательства, то становится очевидно, что она бывает наименьшей при использовании лапароскопического доступа (12,5%). Помимо этого, нами подтверждены и известные преимущества лапароскопического доступа в хирургии колоректального рака: снижение интраоперационной кровопотери до 100—150 мл крови, менее выраженный болевой синдром в послеоперационном периоде (на 1 день сокращается период потребности в наркотических анальгетиках; в 3 раза снижается потребность в ненаркотических анальгетиках), уменьшение продолжительности пребывания больного в стационаре (на 3—5 сут), быстрая реабилитация больных (сокращение сроков восстановления физической активности на 3—4 сут) [6, 10].
Самая высокая частота послеоперационных осложнений наблюдалась в группе больных, которым выполнены обширные объемы комбинированных открытых оперативных вмешательств, включающих эвисцерацию органов малого таза, цистпростатвезикулэктомию, резекцию поджелудочной железы. Общее число больных с послеоперационными осложнениями при этом достигало 75% (у большинства больных наблюдалось несколько осложнений). Конечно, обширные оперативные вмешательства удлиняли послеоперационный период и ухудшали показатели реабилитации больных, однако при этом следует понимать, что у этих пациентов отсутствует альтернатива радикального лечения.
Улучшают течение послеоперационного периода функционально-щадящие вмешательства, в частности субтотальная резекция мочевого пузыря с сохранением основания мочевого пузыря и устьев мочеточников и уретры с пластическим замещением дефекта мочевого пузыря изолированным тонкокишечным резервуаром. При подобном вмешательстве послеоперационные осложнения развились у 1 (14,3%) больного (несостоятельность межкишечного анастомоза), после эвисцерации органов малого таза послеоперационные осложнения отмечены у 7 (63,6%) больных (несостоятельность резервуарно-уретрального анастомоза, длительная лимфорея, нагноение послеоперационной раны, несостоятельность межкишечного анастомоза, острая почечная недостаточность).
При функционально-щадящих вмешательствах на мочевом пузыре удалось достигнуть и хороших показателей удержания мочи. Так, уже через 3 мес после операции все больные удерживали мочу в дневное время суток, 70% больных — в ночное, а через 6 мес — и ночью, и днем. Эти данные свидетельствуют об улучшении показателей реабилитации больных при выполнении функционально-щадящих вмешательств.
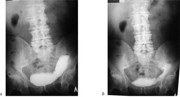
На рис. 2 представлены рентгенограммы больного Н., 63 лет, с наполненным тонкокишечным резервуаром и после его опорожнения через 2 мес после резекции сигмовидной кишки, субтотальной резекции мочевого пузыря с сохранением основания мочевого пузыря с устьями мочеточников и уретрой и тонкокишечной пластикой, свидетельствующие об адекватной функции сформированного тонкокишечного резервуара.

Рис. 2. Рентгенограммы вновь сформированного мочевого пузыря больного Н., 63 лет, через 2 мес после резекции сигмовидной кишки, субтотальной резекции мочевого пузыря с сохранением основания мочевого пузыря с устьями мочеточников и уретрой и тонкокишечной пластикой с наполненным резервуаром (а) и после опорожнения (б).
В заключение хотелось бы отметить, что спектр оперативных комбинированных вмешательств при местно-распространенном колоректальном раке, прорастающем в соседние органы, довольно широк и может включать значительный объем. Тем не менее уровень послеоперационных осложнений при этом приемлем. Что касается послеоперационной реабилитации пациентов, то более полноценной она оказалась после выполнения функционально-щадящих операций, в частности на мочевых путях, к чему и следует стремиться при лечении онкологических больных. С этой целью возможно применять и лапароскопический доступ (конечно, при технической возможности).
По нашему мнению, применение современных технологий при местно-распространенном колоректальном раке позволит улучшить непосредственные результаты лечения больных, позволит своевременно проводить адъювантную терапию, что должно отразиться на отдаленных результатах лечения.
Таким образом, при местно-распространенном колоректальном раке основными хирургическими вмешательствами на соседних органах являются резекция тонкой кишки (23,69%), надвлагалищная ампутация матки с придатками (16,47%), резекция мочевого пузыря (12,25%), пангистерэктомия (11,45%). При прорастании колоректального рака в мочевой пузырь, в отличие от его первичного рака, возможно выполнение функционально-щадящих операций (субтотальная резекция с сохранением основания мочевого пузыря с устьями мочеточников и уретрой и тонкокишечной пластикой) даже при расположении опухоли вблизи мочепузырного треугольника. При местно-распространенном колоректальном раке с инвазией в соседние органы возможно выполнение комбинированных лапароскопических вмешательств, дающих низкий показатель послеоперационных осложнений.
КАВЕРНА
КАВЕРНА (лат. caverna пещера, полость) — полость, возникающая в органе в результате частичного омертвения его ткани с последующим разжижением мертвых масс и их отторжением.


Рис. 2. Гистотопограмма легкого при хроническом неспецифическом воспалительном заболевании: 1 — абсцесс; 2 — бронхоэктазы; 3 — пневмосклероз.


Этиологически Каверна может быть связана с гнойными и гангренозными неспецифическими процессами — гнойная, гнилостная Каверна (рис. 1 и 2), туберкулезом — туберкулезная Каверна (рис. 3), сифилисом, пневмокониозами (силикоз, антракоз), реже с опухолевым ростом — раковая Каверна. Существуют также патологические образования — так наз. псевдокаверны — бронхогенные кисты, пузыри при эмфиземе легких, а также спонтанный пневмоторакс и эмпиема (рис. 4).
По локализации принято выделять Кавернау легочную, почечную, печеночную, костную и др. органов. Однако чаще всего под термином «каверна» подразумевают туберкулезную К. в легких. К числу заболеваний, которые относительно часто сопровождаются развитием К., относятся хронические неспецифические заболевания легких с исходом в так наз. неспецифическую легочную чахотку, грибковые заболевания — актиномикоз, гистоплазмоз, споротрихоз. Весьма редким считается развитие К. при сифилисе легких.


Рис. 6. Гистотопограмма легкого: стрелками указана гигантская каверна с тотальным поражением доли легкого.
Патогенетически неспецифические легочные К., как и при туберкулезе, связаны с некрозом или гнойным расплавлением пневмонического фокуса или бронхоэктаза. Основная масса их развивается в исходе казеозной пневмонии. Творожистые некротические массы разжижаются под действием протеолитических ферментов, лейкоцитов и макрофагов, а также протеиназ, содержащихся в воспалительном экссудате: формируется так наз. пневмониогенная К. При вовлечении в туберкулезный воспалительный процесс бронха или бронхоэктаза образуются так наз. бронхоэктатические или бронхогенные К. Различить эти два вида К. можно только на ранних стадиях развития. Туберкулезные К. развиваются чаще всего в верхних отделах легкого, могут быть одиночными или множественными (рис. 3). На формирование их оказывает влияние реактивность организма, тонус нервно-мышечного аппарата легких, величина некротического легочного очага, эластичная тяга легкого, состояние дренирующих бронхов и окружающей легочной ткани и др. К. может быть округлой, щелевидной, неправильной формы. Круглые тонкостенные К. (рис. 5) при симметричном расположении в верхних отделах легких называют также штампованными (очковыми).
По величине различают К. малые — диаметром до 2 см, чаще моносегментарные, средние и крупные — диаметром до 7 см, обычно полисегментарные, и гигантские — св. 7 см в диаметре, нередко занимающие долю или все легкое (рис. 6).
Клин, давность процесса и особенности морфол, структуры стенки лежат в основе различия К. острых и хронических. Острые К. представляют собой свежие очаги расплавления и полости в области казеозной пневмонии; они могут иметь тонкую фиброзную капсулу, граничащую с неизмененной легочной тканью, легко спадаются. К ним относят так наз. круглые К. при первичном туберкулезе, при инфильтрате и штампованные К. при хроническом гематогенном туберкулезе.
Нарушение дренажной функции бронха может сопровождаться развитием своего рода вентиляционного препятствия при выдохе и образованием так наз. раздутой К., увеличением содержимого в ней, повышением поступления в кровь бактериальных токсинов с нарастанием клин, симптомов интоксикации. Репаративные процессы в стенке К. сводятся к истончению и отторжению некротического слоя, склеиванию спавшихся гранулирующих стенок К. и разрастанию грануляционной ткани в полости К. Процесс завершается образованием рубца. При больших размерах К. чаще превращается в инкапсулированный творожистый очаг или в кистоподобную сообщающуюся с бронхом полость с фиброзной, частью эпителизированной стенкой. Возможно обызвествление содержимого закрытой К.
Морфол, особенности К. обычно не позволяют судить об этиологическом факторе, обусловившем их появление: при гистоплазмозе, напр., особенности проявления заболевания идентичны наблюдаемым при туберкулезе. Пути инволюции неспецифических К. те же, что и при туберкулезе.
Клинические проявления каверны определяются общим состоянием больного, формой, размерами и локализацией К. Открытые К. сопровождаются отделением значительного количества мокроты, содержащей туберкулезные микобактерии. Заживление К. происходит под влиянием этиотропной и патогенетической терапии. По специальным показаниям выполняется кавернотомия (см.), лобэктомия (см.), сегментэктомия (см.) и другие операции на органах. См. также Туберкулез органов дыхания.
Библиография: Многотомное руководство по патологической анатомии, под ред. А. И. Струкова, т. 9, с. 549, М., 1964; Пузик В. И., Уварова О. А. и Авербах М. М. Патоморфология современных форм легочного туберкулеза, М., 1973, библиогр.; Рабухин А. Е. Туберкулез органов дыхания у взрослых, М., 1976, библиогр.; Руководство по туберкулезу органов дыхания, под ред. С. М. Княжецкого, Л., 1972; Струков А. И. и Кодолов а И. М. Хронические неспецифическце заболевания легких, М., 1970; Струков А. И. и Соловьева И. П. Морфология туберкулеза в современных условиях, М., 1976; Чистович А. Н. Патологическая анатомия и патогенез туберкулеза, Л., 1973; Huebsсhmann P. Pathologische Anatomie der Tuberku-lose, B. 1928; Lehrbuch der speziellen Pathologie, brsg. v. L. H. Kettler, S. 223, Jena, 1970.
КАВЕРНОТОМИЯ
КАВЕРНОТОМИЯ (лат. caverna пещера, полость + греч, tome разрез, рассечение; син. спелеотомия) — операция вскрытия туберкулезной каверны в различных органах (легком, почке, предстательной железе). Чаще всего Кавернотомия применяется при туберкулезе легкого.
Показания и Противопоказания
Показания к Кавернотомии зависят от различных условий — длительности существования каверны, ее величины, формы, характера стенки, локализации, состояния больного и др.
К. может быть операцией самостоятельной, предварительной или дополнительной. В качестве самостоятельной она показана при больших (диам. 4—7 см) одиночных периферически расположенных кавернах без резко выраженных фиброзных изменений в окружающей легочной ткани и при заращенной межплевральной щели. Как предварительная операция К. проводится при больших и гигантских кавернах на фоне фиброза, когда для закрытия остаточной полости в легком и бронхиальных свищей необходима торакопластика с мышечной пластикой (см. Торакопластика). Как дополнительная операция К. показана больным с периферически расположенными одиночными кавернами после ранее перенесенной торакопластики или с вновь возникшими кавернами после резекции легкого при отсутствии значительного очагового обсеменения в окружности. Если каверны расположены близко друг от друга (второй и шестой сегменты легкого) и частичная резекция легкого по разным причинам не может быть выполнена, то в таких случаях К. служит методом выбора. К. возможна также у больных с двусторонними поражениями (операция производится в 2 этапа) и на единственном легком (после пульмонэктомии). После операции требуется длительное лечение; вероятны дополнительные вмешательства для закрытия остаточной полости и бронхиальных свищей. Таким образом, К. применяется в тех случаях, когда резекция легкого и торакопластика не показаны.
Противопоказаниями к К. в основном являются тяжелое общее состояние больного, центральное расположение каверны, множественные каверны, обильное очаговое поражение легкого.
Техника операции

Рис. 1. Схематическое изображение линии разреза при операции по поводу каверны верхней доли левого легкого.
К. производят под наркозом. При верхнедолевых кавернах больного укладывают на здоровый бок. Производят вертикальный подмышечный разрез, нижнюю часть к-рого загибают вперед по ходу ребра (рис. 1). Поднадкостнично резецируют верхние 4 ребра, пересекая их спереди у хрящей и сзади возможно ближе к позвоночнику. При нижнедолевых кавернах применяют заднебоковой доступ в положении больного на здоровом боку или на животе. Также резецируют 3—4 ребра от позвоночника до средней подмышечной линии над областью расположения каверны. После резекции ребер межреберные мышечные пучки отслаивают от париетальной плевры, освобождая поверхность легкого, где расположена каверна. Межреберные мышечные пучки сохраняют в качестве пластического материала.

Рис. 2. Схематическое изображение операции иссечения наружной стенки большой каверны: устья дренирующих бронхов, открывающиеся в каверну, указаны стрелками.
При заращенной плевральной полости К. делают одномоментно. Для определения места наиболее близкого прилегания стенки каверны к париетальной плевре Л. К. Богуш предложил ориентироваться по «симптому писка». Этот симптом возникает во время перкуссии легкого кончиком пальца в случаях, когда каверна содержит воздух и дренирующий ее бронх проходим. Производят пробную пункцию каверны: при попадании в нее иглы шприцем удается отсосать воздух или гной. Вскрывают каверну электроножом или термокаутером (см. Термокаустика), а затем широко иссекают наружную стенку, после чего сразу же видны дренирующие бронхи (рис. 2). Из каверны удаляют гнойное содержимое и детрит, смазывают ее стенки 80% р-ром трихлоруксусной к-ты. Операцию заканчивают введением в каверну тампонов, пропитанных р-рами антибиотиков.
У больных со свободной плевральной полостью одномоментное вскрытие каверны противопоказано из-за опасности коллапса легкого и возникновения эмпиемы плевры, поэтому К. у них производят в два этапа. Первый этап операции: после резекции ребер и отслоения межреберных мышечных пучков на париетальную плевру в области каверны накладывают металлическое кольцо диам. 2—3 см. Кольцо служит ориентиром при последующих рентгенологических исследованиях. Рану тампонируют марлей и не зашивают. Через 10— 15 дней, когда образуются плевральные сращения, каверну вскрывают. В некоторых случаях К. сочетают с перевязкой бронхов, кавернопластикой (чаще с ушиванием).
В послеоперационном периоде на фоне общей противотуберкулезной терапии проводится местное лечение каверны. Оно заключается в перевязках со сменой тампонов, обработке стенки каверны 3% р-ром перекиси водорода, р-рами протеолитических ферментов и антибиотиков. Устья бронхов, которые открываются на дне каверны, после появления грануляций прижигают 80% р-ром трихлоруксусной к-ты, 30% р-ром азотнокислого серебра.
Исходы и основные осложнения
После К. могут наблюдаться пневмоторакс, эмпиема плевры, вспышка туберкулезного процесса, воздушная эмболия. Частота их сравнительно невелика.
У 80% оперированных достигается абациллярность и ликвидация туберкулезной интоксикации. Для закрытия остаточной полости и свищей в дальнейшем применяют торакопластику, мышечную или кожно-мышечную пластику, перевязку бронха.
Послеоперационная летальность при К.— 2—5%. Полное клин, излечение наблюдается у 80—86% больных.
Библиография: Богуш Л. К. Кавернотомия у больных туберкулезом легких, М., 1955, библиогр.; Горовенко Г. Г. Хирургическое лечение каверн при туберкулезе легких путем их вскрытия, Киев, 1954, библиогр.; Кавернотомия и другие методы местного лечения легочного туберкулеза, пер. с англ., под ред. Н. Чузо, М., 1972, библиогр.; Стойко Н. Г. О кавернотомии, Пробл, туб., JM& 4, с. 3, 1946; Эннуло Ю. А. Кавернотомия в хирургии туберкулеза легких, Таллин, 1964, библиогр.
Техника комбинированной кавернотомии. Нижнедолевая кавернотомия
Сокращения:
ВЧП — верхнечелюстная пазуха
КТ — компьютерная томография
КЛКТ — конусно-лучевая КТ
ОНП — околоносовые пазухи
Введение
Кисты ВЧП составляют около 20% всех причин оперативных вмешательств на ВЧП [1, 2]. Важной задачей хирургического удаления кисты верхнечелюстной пазухи (ВЧП) является максимальное сохранение анатомической целостности и физиологических механизмов пазухи. На сегодняшний день ввиду осложнений при переднем доступе предпочтение отдается различным эндоскопическим методам. С учетом патофизиологии кист наиболее подходящим является формирование операционного окна в нижнем носовом ходе [3, 4]. Вне зависимости от доступа (инфратурбинальный, прелакримальный, через crista conhalis) формируется постоянная антростома, что ведет к развитию патологического воздухобмена и рециркуляции слизи [5]. При небольшом диаметре операционного окна костный дефект может закрываться самостоятельно, в других случаях необходимо выполнение пластики дефекта, что является непростой задачей и требует наличия пластического материала [6]. При недостаточном размере костного окна неизбежно страдает угол обзора полости пазухи, что, в свою очередь, ведет к возникновению «слепых» зон и грозит риском неполного удаления слизистой оболочки кисты [7]. Создание временной антростомы по типу «форточки» также не решает проблему ограниченной визуализации полости пазухи [8]. Возможным решением минимизации размеров антростомы в нижнем носовом ходе без ущерба для визуального контроля является применение комбинированного доступа.
Цель исследования — улучшение результатов эндоназального эндоскопического удаления кисты ВЧП.
Пациенты и методы
В исследование были включены 100 пациентов с ретенционными кистами ВЧП, которые в период с 2015 по 2018 г. находились на лечении в клинике оториноларингологии «КОРЛ» (Казань). Критериями включения в исследование были: односторонняя ретенционная киста ВЧП, требующая хирургического лечения, пневматический тип строения ВЧП. Критериями исключения являлись: наличие сочетанной патологии полости носа и околоносовых пазух (ОНП), двусторонних ретенционных кист ВЧП, сужение естественного соустья ВЧП, наличие в анамнезе хирургических вмешательств на структурах полости носа и ОНП, соматическая патология и физиологические состояния, при которых противопоказаны рентгенологическое исследование (компьютерная томография — КТ) и хирургическое вмешательство.
Всем пациентам перед хирургическим вмешательством проводилось эндоскопическое исследование полости носа, в ряде случаев с применением методики виртуальной эндоскопии, КТ-исследование, преимущественно конусно-лучевая КТ (КЛКТ), а также анкетирование по опроснику SNOT-22.
Диагноз ретенционной кисты устанавливали на основании клинической картины и данных рентгенологического исследования, особое внимание при определении локализации кисты уделялось изучению сагиттальных срезов компьютерных томограмм. Наиболее частой локализацией патологического процесса была задненижняя стенка.
В зависимости от применяемого хирургического доступа, пациенты были разделены на три группы:
— 1-я группа — 38 пациентов, которые были прооперированы с формированием постоянной антростомы в нижнем носовом ходе;
— 2-я группа — 17 пациентов, которые были прооперированы с формированием временной антростомы в нижнем носовом ходе;
— 3-я группа — 45 пациентов, которым удаление кисты проводилось по оригинальной методике комбинированным доступом.
Характеристика пациентов, включенных в исследование, приведена в табл. 1.
Таблица 1. Характеристика пациентов, включенных в исследование
Для цитирования: ХИРУРГИЧЕСКАЯ ТАКТИКА В УСЛОВИЯХ СОВРЕМЕННОГО ТЕЧЕНИЯ ТУБЕРКУЛЕЗА ЛЕГКИХ. РМЖ. 1998;17:11.
Хирургические методы используют в лечении больных туберкулезом органов дыхания более 100 лет. Разработаны методики оперативного лечения как ограниченных, так и распространенных форм туберкулеза, применяющиеся в сочетании с противотуберкулезной химиотерапией. До 1990 г. оперативное лечение преимущественно проводили при ограниченных поражениях легких. В настоящее время в связи с учащением случаев лекарственной полирезистентности микобактерий туберкулеза приоритет отдается хирургическому лечению распространенных прогрессирующих процессов в легких.
Surgical interventions are used in the treatment of patients with pulmonary tuberculosis over 100 years. Surgical techniques in combination with antituberculosis drug therapy both for restrictive and disseminated tuberculosis have been developed. Before 1990, surgery was made chiefly in restrictive pulmonary diseases. Due to the greater cases of Mycobacterium tuberculosis multiresistance, surgery for disseminated progressive processes in the lung is of high priority.
В.Н. Наумов — профессор, доктор мед.наук, руководитель отдела хирургии ЦНИИ туберкулеза РАМН
А.Я. Шайхаев — доктор мед. наук, ведущий научный сотрудник ЦНИИ туберкулеза РАМН
К.В. Токаев — доктор мед. наук, ведущий научный сотрудник ЦНИИ туберкулеза РАМН, Москва
V.N. Naumov — Prof., MD, Head, Department of Surgery, Central Research Institute of Tuberculosis, Russian Academy of Medical Sciences A.Ya.
A.Ya. Shaikhayev — MD, Leading Researcher, Central Research Institute of Tuberculosis, Russian Academy of Medical Sciences
K.V. Tokayev — MD, Leading Researcher, Central Research Institute of Tuberculosis, Russian Academy of Medical Sciences, Moscow
В России наблюдается рост показателей заболеваемости туберкулезом, в том числе с бактериовыделением, и смертности от него на 70% и более по сравнению с 1990 г. Особое значение имеет увеличение числа больных с тяжелыми остропрогрессирующими формами заболевания, первичной полирезистентностью микобактерий туберкулеза (МБТ) и вторичным иммунодефицитом, которые способствуют развитию эпидемии туберкулеза, а ее последствия, представленные в прогнозах для населения России и других стран мира, крайне неблагоприятны . Антибактериальная комбинированная полихимиотерапия при этих формах туберкулеза часто малоэффективна вследствие лекарственной резистентности МБТ, нарушений иммунитета и др. Поэтому особенно остро встает проблема повышения противоэпидемической роли фтизиохирургии, а также разработки методов спасения обреченных на неблагоприятный исход больных, как правило, молодого и среднего возраста.
Таблица 1. Виды оперативных вмешательств (в %) по поводу туберкулеза органов дыхания, проведенных в ЦНИИТ РАМН за период с 1975 по 1996 г.
Сроки выполнения
1975 - 1990 гг. (n=6416)
1992 - 1996 гг. (n=1008)
кавернопластика, торакопластика, ЛЭП)
Исторический путь развития хирургических методов лечения больных туберкулезом легких и плевры в мире и в России насчитывает более 100 лет. Хирургия туберкулеза легких стала важной проблемой во всем мире еще в доантибактериальный период. В нашей стране Н. Г. Стойко выполнял операции торакопластики, начиная с 1917 г. В 1936-1938 гг. Л.Л.Богуш в Нижнем Новгороде успешно проводил операции перевязки легочных вен, удаления доли пораженного туберкулезом легкого. К 60-м годам эпидемиологическая ситуация в Европе и Америке значительно улучшилась, и количество операций стало уменьшаться. В Советском Союзе в связи с сохраняющейся высокой распространенностью туберкулеза с 1961 г. была принята государственная программа по его хирургическому лечению. При областных противотуберкулезных диспансерах (ПТД) были открыты типовые хирургические отделения, подготовлены специалисты-фтизиохирурги.
Таблица 2. Эффективность хирургических вмешательств при туберкулезе органов дыхания, проведенных в 1992 - 1996 гг., в ЦНИИТ РАМН
Названия операций
Клинический эффект, %
Летальность, %
Количество операций по поводу торакального туберкулеза постоянно увеличивалось и к 1989 г. достигло 28 000 в год. Были разработаны методы хирургического лечения как ограниченных, так и распространенных туберкулезных поражений легких, исключая остро прогрессирующие формы, в том числе казеозную пневмонию.
Начиная с 90-х годов отмечено нарастание частоты развития остропрогрессирующих форм туберкулеза легких, включая казеозную пневмонию, плохо поддающихся противотуберкулезной терапии. Происшедшие изменения в клиническом течении туберкулеза легких потребовали коррекции хирургической тактики и разработки новых хирургических методов лечения, применимых при остропрогрессирующих формах туберкулеза.
Таблица 3. Пневмонэктомия при двустороннем туберкулезном поражении
В настоящее время фтизиохирургия должна ориентироваться в первую очередь на совершенствование методов хирургического лечения больных с заразными прогрессирующими формами туберкулеза, чтобы предотвратить рост резервуара инфекции и добиться снижения показателя смертности. Совершенствование методов химиотерапии, особенно внедрение новых программ противотуберкулезной терапии, новых мощных антибиотиков широкого спектра и иммуномодуляторов, совершенствование хирургической и анестезиологической техники, использование новых технических средств открывают новые возможности для расширения показаний к операциям у ранее бесперспективных больных, даже с двусторонними деструктивными процессами. Таким образом, сформировались условия для пересмотра хирургической тактики.
Табл. 1 показывает изменения в структуре хирургических операций у больных туберкулезом легких, проведенных в хирургическом отделе ЦНИИ туберкулеза РАМН за последние 20 лет.
Частичные, экономные и комбинированные резекции легких при ограниченных туберкулезных процессах ранее были основными во фтизиохирургической службе по стране и составляли более 80 % всех операций при туберкулезе. Показания к этим видам операций и техника их выполнения хорошо отработаны, прошли испытание временем и не претерпели существенных изменений. Общее сокращение числа частичных резекций с 27,4 до 13,9 % объясняется не столько поздней выявляемостью ограниченных форм туберкулеза (снижение роли профилактических осмотров, флюорографии), но и социально-экономическими причинами. Эффективность частичных резекций легких в нашей клинике остается на уровне 98,4 % (табл. 2) .
В арсенале фтизиохирургических вмешательств значительное место вновь приобретают нерезекционные методы лечения: варианты эндокавитарного, в том числе лазерного лечения, экстраплеврального пневмолиза (ЭПП), кавернотомия, кавернопластика, торакопластика, вскрытие полости эмпиемы, торакомиопластика, сроки выполнения которых необоснованно затягиваются на местах. Этот вид операций в нашей клинике составляет от 19,5 до 21,7 %. Основные показания к этим операциям остались прежними: большие (в том числе двусторонние) каверны на фоне обширной диссеминации как основной источник интоксикации при неэффективности полихимиотерапии и прогрессирующем течении заболевания, когда радикальные операции противопоказаны из-за распространенности процесса или ограниченности функциональных резервов пациента. В последние годы уменьшилось число пациентов, которым показана одномоментная кавернопластика. При этом наиболее часто использовались ЭПП, одно- и двухэтапные кавернотомии как самостоятельные (11 %) операции, которые не сопровождались серьезными осложнениями и у 85,7 % больных позволили прекратить бацилловыделение и стабилизировать распространенный туберкулезный процесс. Новый вариант открытого ЭПП весьма щадящий, выполняется с резекцией участков 2-3 ребер (в зоне над каверной), преимущественно из подмышечного доступа с последующим местным лечением каверны путем пункций с введением антибиотиков, использованием различных видов физического воздействия. Такие операции можно проводить в качестве предварительного эффективного лечения с целью стабилизации двустороннего туберкулезного процесса и подготовки к радикальному оперативному вмешательству на стороне основного поражения. Авторы использовали этот вид операций более чем у 40 больных, а за последние 5 лет - у 18 человек при поражении единственного легкого. Кроме того, ЭПП у 21 пациента сочетался с одномоментными этапными (в том числе комбинированными) вмешательствами на контрлатеральном легком. Разработанные в нашей клинике и используемые в настоящее время операции уникальны в мировой практике и могут сыграть еще большую роль в излечении распространенных прогрессирующих деструктивных форм туберкулеза.
Важным разделом современной фтизиохирургии является разработка методов предоперационной подготовки с целью стабилизации туберкулезного процесса, лечение сопутствующих заболеваний: интенсивное местное лечение (пункции, дренирование каверн, внутрилегочное и внутрикавитарное введение препаратов), коррекция легочно-сердечной недостаточности, компенсация сахарного диабета и др.. Прослеживается тенденция использования современных, иммунокорригирующих средств, методов экстракорпоральной детоксикации для эффективного и быстрого способа подготовки к обширным вмешательствам вплоть до плевропульмонэктомии у больных, которые ранее считались неоперабельными и некурабельными.
Классическая плеврэктомия, в том числе и с резекцией легкого, при эмпиеме плевры составила 1,2% против 2,3 % в 80-е годы.
Объясняется это не только уменьшением числа пациентов с постпневмотораксной эмпиемой плевры, но и возрастанием числа больных с хроническими экссудативными плевритами, в излечении которых роль хирургических методов часто незаслуженно принижается.
По данным ПТД, в последние годы увеличился поток больных с экссудативными плевритами среди вновь выявленных больных туберкулезом легких. Общая лечебная сеть отправляет их в ПТД, а последние практически не учитывают, что в случаях хронизации воспалительного процесса в плевре оперативное лечение (в сроки до года от начала заболевания) эффективно и позволяет полностью восстановить функцию дыхания. Поэтому фтизиохирургам следует ориентироваться на раннее (через 4 - 8 мес от момента начала заболевания) применение реконструктивных операций при хронических плевритах и начальных стадиях хронической эмпиемы плевры. Эффективность при этом достигает 98,1%. На операцию удаления легкого (пневмонэктомия, плевропневмонэктомия, доудаление остатков легкого) приходится сейчас 16,2 % вместо 13,4 % в прошлые годы. Послеоперационная летальность достигает 8,1 - 9,2%, эффективность - 86,3 %. Показания для пневмонэктомии при так называемом стабильном одностороннем распространенном деструктивном туберкулезе в настоящее время имеются значительно реже (не более 15%). Оказывается, удельный вес пневмонэктомий обусловлен ростом (до 55%) числа остропрогрессирующих форм фиброзно-кавернозного туберкулеза и его осложнений (пиопневмоторакса, легочных кровотечений), случаев полирезистентности МБТ, когда современная полихимиотерапия уже неэффективна и бесперспективна. При этом пневмонэктомия как одномоментная операция может быть выполнена только у 62,5 % пациентов. Эффективность операции удаления всего легкого при относительно стабильном варианте клинического течения составляет 92%, без летальных исходов. В остальных случаях пневмонэктомия является заключительным этапом комплексного хирургического лечения больных двусторонним осложненным прогрессирующим деструктивным туберкулезом легких (табл. 3) .
Эффективность этапной пневмонэктомии составляет 82,6 % при летальности 10-12,4 % случаев (см. табл. 2). Метод более эффективен, чем одномоментная пульмонэктомия у аналогичных групп больных.
Ключевым моментом новой хирургической тактики при развившихся осложнениях, таких как бронхиальные, торакальные свищи, остеомиелиты ребер, двусторонние осложненные процессы, является трансстернальная трансперикардиальная окклюзия главных бронхов и легочных сосудов на стороне основного поражения. При этом одновременно на стороне меньшего поражения (практически единственного легкого!) осуществляют такие вмешательства, как ЭПП с тампонадой, этапные кавернотомии, реже - частичные резекции. На стороне основного поражения одновременно производят вскрытие полости эмпиемы и каверны с открытой тампонадой. Для предотвращения тяжелой дыхательной недостаточности одномоментно производят трахеостомию с последующей длительной искусственной вентиляцией легких (иногда до 1 - 1,5 мес). Комплексное лечение после первого хирургического этапа, включающее использование полихимиотерапии, экстракорпоральных методов детоксикации, различных типов лазеров, УФО, парентерального питания, позволяет в большинстве случаев подготовить таких пациентов к заключительной операции - удалению легкого.
Таким образом, гармоничное применение всего арсенала фтизиохирургических вмешательств, которые могут выполняться у значительного числа нуждающихся, по нашему убеждению, позволяет значительно снизить резервуар инфекции, расширить возможности хирургического излечения наиболее тяжелой группы больных туберкулезом органов дыхания всех возрастов и определяет хирургическую тактику, соответствующую требованиям времени.
1. Богуш Л.К. Хирургическое лечение туберкулеза легких .- М., 1979.
2. Репин Ю.М. Хирургия отягощенных форм туберкулеза .- Л., 1984.
3. Перельман М.И., Стрельцов В.П., Наумов В.Н. / Органощадящие оперативные вмешательства во фтизиопульмонологии .- М., 1989 -. С.4-7.
Контент доступен под лицензией Creative Commons «Attribution» («Атрибуция») 4.0 Всемирная.
Пройдя регистрацию вы можете добавлять в избранное понравившиеся статьи, а также получите подборку статей по вашей специальности
Читайте также:
- Нервная система при нарушении обмена биотина
- Болезнь Боуэна на коже и слизистых оболочках
- Скраб для кишечника из овсянки. Полезные свойства овсяной каши
- Рентгенограмма, КТ, МРТ при артродезе голеностопного сустава
- Повышение чувствительности цветовой допплерографии. Цветовая допплерография на ранних сроках беременности
