Анатомия правосформированного праворасположенного сердца. Клиника правосформированного праворасположенного сердца
Добавил пользователь Евгений Кузнецов Обновлено: 22.11.2025
Кардиология:
Классификация аномалий расположения сердца В.А. Бухарина и В.П. Подзолкова. Формирование - эмбриогенез сердца
В основу классификации В.А. Бухарина и В.П. Подзолкова положены основные принципы, разработанные Б. А. Константиновым и Г. И. Астраханцевой (1965). Однако большое число клинических наблюдений потребовало внесения в нее целого ряда дополнений и некоторой модификации.
Следовательно, в пригодной для клинического использования классификации и применяемой терминологии должны получить отражение следующие положения.
1. Место формирования и расположения правого предсердия по отношению к средней линии тела и левому предсердию. Только тогда сердце может быть определено как «правосформированное» пли «левосформированное». В тех наблюдениях, в которых отмечены сложные аномалии развития, возникающие на ранних стадиях эмбриогенеза, и в которых это не удается установить даже при тщательном анатомическом изучении, считаем целесообразным применять термин «неопределенносформированное» сердце.
2. Локализация верхушки сердца по отношению к средней линии тела определяет сторону преимущественного расположения сердца. В зависимости от этого может наблюдаться «леворасположенное», «праворасположенное» и «срединнорасположеннос» сердце.
3. Термины, характеризующие имеющийся врождепный порок сердца и магистральных сосудов.
4. Тип расположения органов брюшпой полости. Наряду с нормальным может наблюдаться обратное расположение органов брюшной полости, а также абдоминальная гетеротаксия. В последний термин вкладывается понятие о неправильном формировании и расположении брюшных органов, имеющих тенденцию к аномальной симметрии, которую отдельные авторы называют «partial situs inversus» и «partial situs solitus». При существовании аномалий развития селезенки указывается на их характер: «аспления», «полиспления» или «мпогодольчатая» селезенка.
В приводимой ниже классификации представлены основные типы аномального внутригрудного расположения сердца, встречающиеся в клинике (в скобках указан наиболее часто определяемый вариант расположения органов брюшпой полости).

Формирование - эмбриогенез сердца
Со времени опубликования первых случаев аномалий положения сердца и обратного расположения внутренних органов появилось множество гипотез, пытающихся объяснить причины и механизм этого явления. Большинство из них не обладает достаточной убедительностью, так как не подкреплено научно обоснованными данными, и может представлять интерес лишь в историческом аспекте.
Основным итогом ранних наблюдений и исследований явился вывод о том, что с эмбриологической и анатомической точек зрения праворасположенное сердце неоднородно и возникает в различное время раннего периода эмбриогенеза. Лишь сравнительно недавно Cruz и соавт. (1956, 1971), Shaher (1967) представили научно обоснованную теорию эмбриогенеза и подробно описали механизм образования аномалий расположения сердца в зависимости от варианта развития бульбовептрикулярной петли и трунко-конусной перегородки.
Образующаяся к концу 3-й недели внутриутробного развития первичная сердечная трубка имеет несколько чередующихся зон расширения: это первичное предсердие (П), первичный желудочек (Ж), сердечный бульбус (СБ) и артериальный бульбус (АБ). При нормальном развитии сердца и внутренних органов венозный синус соединяется с правосторонним предсердием, а легочные вены— с левосторонним предсердием.
Венозный и артериальный концы фиксированы перикардом и поэтому из-за удлинения сердечной трубки, которое происходит быстрее, чем увеличение полости перикарда, она изгибается в виде S-образпой петли. Петля состоит преимущественно из желудочка и сердечного бульбуса и поэтому ее называют бульбовентрикулярной петлей. Она имеет два колена: декстровентральное, состоящее из сердечного бульбуса, из которого образуются правый желудочек (ПЖ) и выводные тракты обоих желудочков, и синистродорсальное, состоящее из Ж, который затем превращается в левый желудочек (ЛЗК).
Декстрокардия
Декстрокардия — это аномалия внутриутробного развития, при которой большая часть сердца расположена с правой стороны грудной клетки. Изолированная форма патологии протекает бессимптомно и выявляется во время профосмотров. При сочетании декстрокардии с другими пороками отмечаются цианоз или бледность кожи, слабость, судороги. Диагностика включает физикальный осмотр, ЭКГ, эхокардиографию, рентгенографию грудной клетки. При необходимости проводят инвазивные исследования — ангиокардиографию, катетеризацию сердца. Лечение неосложненной декстрокардии не требуется. При наличии угрожающих жизни аномалий назначают их оперативную коррекцию с последующей реабилитацией больных.
МКБ-10


Общие сведения
Термин «декстрокардия» образован из двух слов: латинского «dexter» (правый) и греческого «kardia» (сердце). Относится к редким аномалиям: частота встречаемости в разных регионах колеблется от 1:8000 до 1:25000 новорожденных. В России распространенность декстрокардии составляет 3,3% от всех аномалий положения органа. Декстрокардию следует отличать от декстрапозиции сердца — приобретенного патологического состояния, которое возникает при смещении органа (вследствие левостороннего гидроторакса, опухоли, правостороннего ателектаза).

Причины декстрокардии
Развитие заболевания связывают с генетическим дефектом, проявляющимся на этапе внутриутробного формирования органов плода. У страдающих декстрокардией выявлены специфические мутации генов HAND, ZIC3Shh, ACVR2, Pitxz. Наибольшее признание получила теория аутосомно-рецессивного наследования порока: аномальное положение сердца носит семейный характер, повторяется через 1-2 поколения.
Помимо семейной предрасположенности, в процессе мутаций генетического материала доказано участие тератогенных факторов. Экзогенные тератогены подразделяются на 3 основных группы по характеру воздействия:
- физические (ионизирующее излучение);
- химические (алкоголь, лекарственные препараты);
- биологические (бактериальные и вирусные инфекции).
Эндогенные причины включают гинекологические и экстрагенитальные заболевания беременной, тяжелые токсикозы.
Патогенез
В основе декстрокардии лежит нарушение процессов эмбриогенеза на ранних стадиях внутриутробного развития. В норме на 1-2 месяце беременности формирующаяся сердечная трубка начинает изгибаться влево. При наличии типичных для декстрокардии мутаций происходит аномальное искривление этой трубки в правую сторону. При этом нарушается дальнейшее формирование эмбриона, может изменяться позиция других висцеральных органов, чаще всего печени и селезенки.
Классификация
С учетом особенностей закладки органа в эмбриональном периоде выделяют 3 варианта аномалии:
- правосформированное праворасположенное сердце (изолированная декстрокардия);
- левосформированное праворасположенное («зеркальная» форма);
- неопределенно сформированное праворасположенное.
Врачи-кардиологи при изучении вопроса аномалии положения сердца используют классификацию, которая учитывает локализацию других органов. Варианты декстрокардии:
- Простая инверсия сердца. Форма аномалии, при которой наблюдается зеркальное расположение сердца, однако анатомия других органов грудной и брюшной полостей не изменена. Встречается крайне редко.
- Частичная инверсия внутренних органов. При таком варианте декстрокардии аномально расположены сердце и ряд внутренних органов. Чаще вправо перемещены селезенка, печень.
- Тотальня инверсия внутренних органов. Декстрокардия, которая сопровождается обратным расположением всех органов грудной клетки и живота. Редкая аномалия, которая выявляется с частотой 1 случай на 15-20 тысяч населения.
Симптомы декстрокардии
Изолированная форма, которая не сочетается с другими сердечными аномалиями, не имеет клинических проявлений. Специфические жалобы обычно отсутствуют. Состояние обнаруживается в детском или взрослом возрасте при проведении профилактических осмотров, обращении за врачебной помощью по другой причине. Люди с декстрокардией чаще других страдают болезнями нижних дыхательных путей: трахеитами, бронхитами.
Клинические симптомы возникают при наличии других аномалий висцеральных органов или возникновении на фоне декстрокардии кардиальной патологии. Пациенты ощущают постоянную слабость и повышенную утомляемость, не проходящую после сна. Их периодически беспокоят приступы учащенного сердцебиения, головокружения. Кожные покровы становятся бледными, иногда возникает синеватый оттенок кожи вокруг рта, на пальцах рук.
Сочетание декстрокардии и врожденных сердечных пороков проявляется яркой клинической картиной уже в раннем детском возрасте. Для «белых» пороков характерна постоянная бледность кожи, при «синих» формах наблюдаются акроцианоз или тотальный цианоз. Появляются одышечно-цианотические приступы: ребенок становится беспокойным, кожа холодная, дыхание хриплое и прерывистое.
Осложнения
Неосложненная сердечными пороками декстрокардия не представляет серьезной опасности для жизни и здоровья. При присоединении синдрома Картагенера развивается прогрессирующая дыхательная недостаточность, формируются обширные гнойно-воспалительные очаги в легочной паренхиме. Сложности возникают при оказании неотложной реанимационной или хирургической помощи больным, поскольку зеркальная анатомия затрудняет постановку диагноза.
Если декстрокардия комбинируется с аномалиями формирования сердечных структур или магистральных сосудов, возможны серьезные осложнения. Гемодинамические нарушения при «синих» пороках быстро прогрессируют в течение первых месяцев жизни ребенка. Хроническая гипоксия чревата необратимым повреждением мозга, снижением интеллекта, инвалидностью. При отсутствии квалифицированной кардиохирургической помощи высок риск летального исхода.
Диагностика
Опытный терапевт-кардиолог может заподозрить декстрокардию уже на первичном приеме при физикальном исследовании. В ходе пальпации предсердечной области верхушечный толчок обнаруживается справа от грудины. Перкуторно врач отмечает смещение границ сердечной тупости вправо, при аускультации выслушиваются изменения сердечных тонов. При подозрении на декстрокардию назначают полное обследование, в которое включены следующие методы:
- ЭКГ. Электрокардиография является наиболее простым и информативным исследованием для подтверждения декстрокардии. На кардиограмме отмечаются отклонение электрической оси сердца вправо, отрицательные зубцы Р и Т, высокоамплитудные зубцы R в правых грудных отведениях.
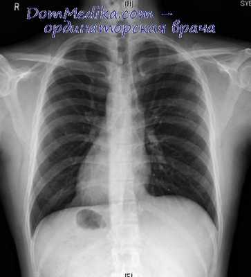
- Рентгенография ОГК. На рентгенограмме визуализируется смещение сердечной тени вправо, при комбинированных аномалиях изменяются контуры магистральных сосудов. Чтобы подтвердить транспозицию проводится рентгенография органов брюшной полости.
- УЗИ сердца и сосудов. Эхокардиография выполняется для оценки функциональной способности аномально расположенного сердца. На ЭхоКГ видна структура сердечной стенки, скорость кровотока, фракция выброса.
- Дополнительные исследования. В качестве подготовки к хирургической коррекции пороков развития показаны ангиокардиография или катетеризация сердечных полостей. Для выявления сопутствующих патологий зеркально расположенных внутренних органов рекомендуют КТ брюшной полости.

Лечение
Консервативная терапия
Аномальное расположение сердца без дополнительных заболеваний не сопровождается расстройствами гемодинамики и не требует лечения. При развитии сердечно-сосудистых заболеваний терапию проводят так же, как и для больных с отсутствием декстрокардии. При сочетании аномалии с синдромом Картагенера назначается симптоматическая терапия, предполагающая прием ингаляционных и топических назальных кортикостероидов, бета-адреномиметиков.
Хирургическое лечение
Оперативное вмешательство показано при сочетанных пороках развития сердца, транспозиции магистральных сосудов. Срок выполнения операции устанавливают с учетом вида порока и тяжести нарушений гемодинамики. Если угрожающие жизни состояния отсутствуют, хирургическую коррекцию откладывают до 3-6-летнего возраста ребенка. Когда декстрокардия сочетается с тяжелыми пороками (например, тетрадой Фалло), вмешательство проводят в максимально ранние сроки.
Реабилитация
В современной кардиологии применяют трехэтапную реабилитационную программу для пациентов, которые перенесли операцию по коррекции аномалий сердечно-сосудистой системы. Медицинский этап занимает первые дни-недели после хирургического вмешательства. Затем приступают к физической и психофизиологической реабилитации, которая включает массаж, ЛФК, физиотерапию. Заключительный этап — социально-трудовая реабилитация взрослых больных.
Прогноз и профилактика
Изолированные формы декстрокардии не влияют на качество жизни, не повышают риск развития других заболеваний. Прогноз благоприятный. Комбинированные пороки протекают более тяжело, но при проведении своевременного и комплексного лечения удается добиться полной медицинской и социальной реабилитации пациентов. Профилактические мероприятия направлены на устранение тератогенных факторов, медико-генетическое консультирование беременных.
3. Декстрокардия с транспозицией органов (situs inversus). Е. Г. Несукай, С. В. Федькив, Н. С. Поленова, А. А. Даниленко// Здоровье Казахстана. - 2016.
4. Организационное планирование третьего этапа реабилитации детей с врожденными пороками сердца различных возрастных групп. Л.А. Бокерия, Е.Б. Милиевская, С.М. Крупянко, М.Н. Неведрова. Менеджер здравоохранения. - 2015.
Левокардия (Q24.1)
Левосформированное леворасположенное сердце - данная аномалия известна в литературе как "левокардия с транспозицией брюшных органов", "левоверсия сердца", "синистроверсия сердца", "смешанная левокардия с инверсией предсердий".
Правосформированное леворасположенное сердце с обратным расположением органов брюшной полости - в литературе употребляются следующие термины: " "левокардия с транспозицией брюшных органов", "изолированная инверсия брюшных органов", "левокардия situs solitus".
Нарушения соответствия между расположением верхушки сердца, с одной стороны, и правым предсердием и печенью - с другой, явились основанием для отнесения леворасположенного сердца с обратным расположением органов брюшной полости или абдоминальной гетеротаксией Абдоминальная гетеротаксия - изменения внутренних органов брюшной полости, характеризующееся различными врождёнными аномалиями
в разряд аномалий расположения сердца.
Само по себе существование аномального расположения сердца не сопровождается расстройствами гемодинамики, и лишь наличие сопутствующего порока сердца приводит пациентов в кардиохирургическую клинику.

Автоматизация клиники: быстро и недорого!
- Подключено 300 клиник из 4 стран
- 800 RUB / 4500 KZT / 27 BYN - 1 рабочее место в месяц

Автоматизация клиники: быстро и недорого!
- Подключено 300 клиник из 4 стран
- 1 место - 800 RUB / 4500 KZT / 27 BYN в месяц
Мне интересно! Свяжитесь со мной
Классификация, содержащая данные о локализации основных отделов сердца:
1. Правосформированное праворасположенное сердце (с нормальным расположением органов брюшной полости).
2. Правосформированное серединнорасположенное сердце (с нормальным расположением органов брюшной полости).
3. Правосформированное леворасположенное сердце (с обратным расположением органов брюшной полости).
4. Левосформированное праворасположенное сердце (с обратным расположением органов брюшной полости).
5. Левосформированное леворасположенное сердце (с обратным расположением органов брюшной полости).
6. Неопределенносформированное лево- , право- или серединнорасположенное сердце (с абдоминальной гетеротаксией).
Этиология и патогенез
Левокардия возникает в результате внутренних дефектов развития сердечной петли или в результате смещения из-за наличия других аномалий диафрагмы, легких или грудной клетки.
Левосформированное леворасположенное сердце
Анатомия. При левосформированном леворасположенном сердце полые вены находятся медиальнее и кзади, чем в условиях левосформированного праворасположенного сердца, и соединяются с правым предсердием, которое расположено также справа.
Правое предсердие посредством трехстворчатого клапана сообщается с правым желудочком, который лежит кпереди от него. Выходной отдел правого желудочка направлен медиально, вверх, назад и дает начало легочной артерии.
Легочные вены соединяются с правосторонним левым предсердием, которое находится несколько кпереди, чем левостороннее правое предсердие. Через клапан левое предсердие сообщается с левым желудочком, лежащим спереди и слева от левого предсердия, справа и спереди от правого желудочка. Межжелудочковая перегородка ориентирована влево и кпереди. Выходной отдел левого желудочка лежит кзади от выходного отдела правого желудочка и от него отходит восходящая часть аорты, которая располагается слева и кзади от легочного ствола. Дуга и нисходящая часть аорты также локализуются справа. Верхушка сердца направлена влево, вперед и вниз.
При левосформированном леворасположенном сердце наблюдается обратное расположение внутренних органов. В данном случае чаще, чем при других типах положения сердца (см. раздел "Классификация"), отмечаются признаки висцеральной симметрии.
В основной массе случаев данная аномалия сочетается с тяжелыми цианотическими врожденными пороками сердца, наиболее частые:
- единственный желудочек сердца с инверсионной транспозицией магистральных сосудов и стенозом легочной артерии;
- корригированная транспозиция магистральных сосудов с ДМЖП ДМЖП - дефект межжелудочковой перегородки
и стенозом легочной артерии;
- корригированная транспозиция магистральных сосудов с открытым атриовентрикулярным каналом и стенозом легочной артерии;
- двухкамерное сердце.
Правосформированное леворасположенное сердце с обратным расположением органов брюшной полости
Анатомия. Расположение сердца, его камер и магистральных сосудов нормальное. Специфический компонент - наличие аномалий нижней полой вены.
В одних случаях она располагается слева от позвоночника, затем на уровне печени круто изменяет свой ход и, пересекая среднюю линию тела, направляется косо кверху до соединения с обычно расположенным правым предсердием.
В других случаях печеночный сегмент нижней полой вены отсутствует, причем отток венозной крови из нижней половины тела осуществляется по непарной или полунепарной вене, впадающей в верхнюю полую вену. Крайне редко нижняя полая вена находится справа.
Положение органов брюшной полости характеризуется зеркальной топографией, то есть печень располагается слева, а желудок Нередко можно отметить признаки абдоминальной гетеротаксии.
Приблизительно у 1/3 больных врожденные пороки сердца отсутствуют. У остальных 2/3 больных, как правило, встречаются тяжелые и множественные пороки (пентада Фалло, транспозиция магистральных сосудов, единственный желудочек сердца).
Эпидемиология
Правосформированное леворасположенное сердце с обратным расположением органов брюшной полости (левокардия, изолированная инверсия брюшных органов) - случаи с левосторонним расположением как сердца, так и печени - составляют 0,8% всех врожденных пороков сердца.
Факторы и группы риска
Факторы риска, влияющие на формирование врожденных пороков сердца у плода
Семейные факторы риска:
- наличие детей с врожденными пороками сердца (ВПС);
- наличие ВПС у отца или ближайших родственников;
- наследственные заболевания в семье.
Клиническая картина
Cимптомы, течение
1. Электрокардиография: выявляются отрицательные зубцы Р в I стандартном и aVL отведениях, которые свидетельствуют о левостороннем положении правого предсердия.
2. Рентгенологическое исследование. Постановка диагноза леворасположенного сердца с обратным расположением органов брюшной полости не представляет трудностей. При нормальном положении тени сердца, тень печени определяется под левым куполом диафрагмы, а газовый пузырь правым. Левый купол диафрагмы находится ниже, чем правый.
3. Катетеризация сердца и ангиокардиография позволяют установить левостороннее положение полых вен и правого предсердия. Правое предсердие на значительном протяжении прикрывается тенью контрастированного венозного (анатомически левого) желудочка, образующего верхушку сердца. Его выходной отдел ориентирован вверх, медиально и дает начало легочному стволу.
В фазу левограммы выявляется левое предсердие, которое образует правый латеральный контур сердца анатомически правый, желудочек, расположенный справа и ниже от венозного желудочка.
Из артериального желудочка восходящая часть аорты, которая занимает позицию справа от легочной артерии. Ее дуга располагается справа.
В боковой проекции выходной отдел венозного желудочка находится в одной плоскости или пересекается с соответствующим отделом артериального желудочка.
Ангиокардиографическое исследование обычно обнаруживает стеноз легочной артерии и другие врожденные пороки сердца, часто множественные, в связи с чем для их установления требуются повторные введения контрастного вещества в различные отделы сердца.
Хирургическая тактика и техника зависят варианта сопутствующего врожденного порока сердца. При планировании хирургического вмешательства в условиях искусственного кровообращения следует учитывать аномалии нижней полой вены.
Прогноз
Тяжесть сопутствующих врожденных пороков сердца приводит к тому, что 75% больных не доживают до одного года, 5-летняя выживаемость составляет только 6%.
Профилактика
Профилактика возникновения врожденных пороков сердца (ВПС) очень сложна и в большинстве случаев сводится к медико-генетическому консультированию и разъяснительной работе среди людей, относящихся к группе повышенного риска заболевания. К примеру, в случае, когда 3 человека, состоящие в прямом родстве, имеют ВПС, вероятность появления следующего случая составляет 65-100% и беременность не рекомендуется. Нежелателен брак между двумя людьми с ВПС. Помимо этого необходимо тщательное наблюдение и исследование женщин, имевших контакт с вирусом краснухи или имеющих сопутствующую патологию, которая может привести к развитию ВПС.
Профилактика неблагоприятного развития ВПС:
- своевременное выявление порока;
- обеспечение надлежащего ухода за ребенком с ВПС;
- определение оптимального метода коррекции порока (чаще всего, это хирургическая коррекция).
Обеспечение необходимого ухода является важной составляющей в лечении ВПС и профилактике неблагоприятного развития, так как около половины случаев смерти детей до 1-го года во многом обуславливаются недостаточно адекватным и грамотным уходом за больным ребенком.
Специальное лечение ВПС, (в том числе, кардиохирургическое) должно проводиться в наиболее оптимальные сроки, а не немедленно по выявлению порока, и не в самые ранние сроки. Исключение составляют только критические случаи угрозы жизни ребенка. Оптимальные сроки зависят от естественного развития соответствующего порока и от возможностей кардиохирургического отделения.
Профилактика осложнений ВПС определяется характером осложнений.
Грозным осложнением ВПС является инфекционный эндокардит Инфекционный эндокардит - это инфекционное полипозно-язвенное воспаление эндокарда, сопровождающееся образованием вегетаций на клапанах или подклапанных структурах, их деструкцией, нарушением функции и формированием недостаточности клапана
Подробно , который может осложнить любой вид порока и может появиться уже в дошкольном возрасте.
Рекомендуется ограничить назначение антибиотикопрофилактики инфекционного эндокардита группам пациентов с наибольшей вероятностью развития инфекционного эндокардита:
1. Пациенты после протезирования клапана сердца.
2. Инфекционный эндoкардит в анамнезе.
3. Пациенты со следующими врожденными пороками:
- "синие" пороки, без предшествующей хирургической коррекции или с остаточными дефектами, паллиативными шунтами или кондуитами;
- пороки после хирургической коррекции с применением искусственных материалов до 6 месяцев (до тех пор, пока не произошла эндотелизация);
- если после операции на сердце или чрескожной коррекции есть остаточный дефект в месте имплантации искусственного материала или устройства.
Дискордантное предсердно-желудочковое соединение (Q20.5)
точки зрения целесообразно следующее распределение больных с корригированной транспозицией магистральных сосудов (КТМС):
- КТМС при нормальном положении сердца;
- КТМС при правосформированном праворасположенном сердце;
- КТМС при левосформированном сердце;
- КТМС при леворасположенном сердце.
КТМС может наблюдаться при нормальном и аномальном положении сердца. Морфологически правый желудочек с трехстворчатым клапаном расположен слева, в нем циркулирует артериальная кровь и от него отходит аорта, которая занимает левостороннее положение. Морфологически левый желудочек с двустворчатым клапаном расположен справа, в него поступает венозная кровь, которая направляется в легочную артерию, расположенную справа от аорты.
При КТМС наблюдается аномальное развитие проводящей системы сердца. Атриовентрикулярный узел расположен у нижней части межпредсердной перегородки выше и слева от центрального фиброзного тела. Пучок Гиса удлинен, так как проходит из правого в левое предсердие, затем в задний отдел мембранозной части межжелудочковой перегородки.
КТМС в изолированном виде не приводит к расстройствам гемодинамики. Расстройства отмечаются при сопутствующих врожденных пороках сердца, характер которых и определяет условия гемодинамики.
При сопутствующем ДMЖП нарушения гемодинамики такие же, как при ДMЖП в нормальном сердце, а при сопутствующем сочетании ДMЖП со стенозом легочной артерии аналогичны тетраде Фалло Тетрада Фалло - врожденный порок сердца: сочетание стеноза устья легочного ствола, дефекта межжелудочковой перегородки, смещения аорты вправо и вторично развивающейся гипертрофии правых отделов сердца
Подробно .
При аномалии развития створок артериального клапана, которая ведет к его недостаточности, расстройства гемодинамики соответствуют недостаточности митрального клапана при нормальном расположении магистральных сосудов.
Порок встречается в 0,4-1,2% среди всех врожденных пороков сердца, чаще наблюдается у мальчиков, может наблюдаться в любом возрасте.
Клинические критерии диагностики
Корригированная транспозиция магистральных сосудов (КТМС) без сопутствующих пороков сердца обычно имеет благоприятное клиническое течение. У больных отсутствуют жалобы и их физическое развитие расценивается как нормальное.
Частая аускультативная находка - акцент II тона над основанием сердца, который обусловлен передней позицией аортального клапана.
Неспецифический негромкий систолический шум, выслушиваемый иногда во втором-третьем межреберье, обычно связан с повышенным ударным выбросом сердца редкого ритма в результате поперечной блокады.
Систолический шум, который определяется на верхушке или в четвертом межреберье у левого или правого края грудины в зависимости от типа формирования сердца, как правило, связан с той или иной степенью недостаточности артериального клапана.
При сочетании КТМС с врожденным пороком сердца клиническая картина определяется типом порока и степенью расстройств.
1. Электрокардиография. Характерные признаки корригированной транспозиции магистральных сосудов (КТМС) - неполная или полная атриовентрикулярная блокада, наблюдаемая у 70% больных.
У больных с изолированной КТМС и с сопутствующими дефектами перегородок на ЭКГ нередко отмечается отклонение электрической оси сердца влево.
Распознавание КТМС у больных с аномалиями положения сердца и при сочетающихся с КТМС врожденных пороках сердца (даже при нормальном положении сердца) при ЭКГ вызывает определенные трудности. Этот факт значительно уменьшает диагностическую информативность метода.
3. Рентгенологическое исследование: в связи с левосторонним расположением восходящей части аорты, верхний левый контур тени в прямой проекции не дифференцируется на первую и вторую дуги, а представлен сплошной слегка наклонной линией. Эта линия имеет прямой или слегка вогнутый характер у больных без сопутствующих пороков и у больных с дефектами перегородок и увеличенным легочным кровотоком. В связи с этим у больных с увеличенным легочным кровотоком наблюдается несоответствие между признаками усиления легочного рисунка и отсутствием выбухания второй дуги, т. е. в месте ожидаемой локализации легочного ствола. Как правило, это указывает на аномальное положение легочного ствола и позволяет заподозрить транспозицию магистральных сосудов.
О выраженном стенозе легочной артерии в комбинации с ДМЖП свидетельствует выпуклый характер сплошной линии на левом верхнем контуре сердца, представленный восходящей частью аорты, особенно в сочетании с обедненным легочным рисунком. Данная "выпуклость" связана со сбросом крови справа налево и вследствие этого с расширением восходящей части аорты.
4. Эхокардиография. Основные признаки аномалии:
- эхолокация расположенного спереди клапана и сзади (за межжелудочковой перегородкой) - трехстворчатого клапана;
- обнаружение контакта, свидетельствующего о транспозиции магистральных сосудов (в отличие контакта, наблюдаемого при нормальном их положении);
- левая позиция аорты по отношению к легочному стволу в правосформированном сердце ее в левосформированном сердце;
- наличие межжелудочковой перегородки, исключающей единственный желудочек сердца.
5. Катетеризация сердца: отмечается особое положение катетера в легочном стволе, обусловленное особым взаиморасположением приточного и выходного отделов венозного, анатомически левого желудочка.
У больных с изолированной КТМС наблюдаются нормальные величины давления, сопротивления, ударного и минутного объема, свидетельствующие о том, что расстройства гемодинамики отсутствуют.
У больных с сопутствующими пороками катетеризация сердца позволяет судить о степени гемодинамических расстройств и способствует их выявлению.
6. Ангиокардиография: проекции в контрастированном желудочке, нагнетающем кровь в малый круг кровообращения, отмечаются очертания, типичные для левого желудочка - выявляются гладкие внутренние контуры и хвостообразный выступ по направлению к верхушке сердца.
Наблюдать треугольную или хвостообразную конфигурацию сердца в условиях правосформированного и левосформированного сердца, как правило, не удается (в отличие от ангиокардиограмм при нормальном положении сердца и при левосформированном сердце).
Венозный желудочек имеет скорее овальную форму. Из венозного желудочка контрастируется легочный ствол, располагающийся В боковой проекции венозный желудочек расположен спереди, а выходной его отдел и легочный ствол направлены кзади.
Контрастирование полости артериального желудочка в переднезадней проекции выявляет его грушеподобную форму с грубой трабекулярностью внутренней поверхности, а также наличием выходного отдела и наджелудочкового гребня. То есть наблюдается присущая правому желудочку анатомия.
Из артериального желудочка контрастируется восходящая часть аорты, которая занимает крайне левое положение и образует левую дугу у больных с правосформированным сердцем и крайне правое положение, образуя правую дугу у больных сердцем.
В боковой проекции основная часть артериального желудочка расположена несколько кзади, но выходной отдел направлен кпереди и восходящая часть аорты занимает переднее положение. Оба магистральных сосуда идут параллельно, не перекрещиваясь. Легочный клапан находится ниже, чем аортальный.
Дифференциальный диагноз
- L-транспозиция магистральных сосудов;
- анатомически корригированная мальпозиция магистральных сосудов.
Наиболее частые операционные и послеоперационные осложнения, ведущие к острой сердечной недостаточности:
- повреждения коронарных артерий;
- неадекватное устранение стеноза легочной артерии;
- нарушения ритма сердца;
- нераспознанная и неустраненная недостаточность артериального клапана.
При изолированной корригированной транспозиции магистральных сосудов без клинических проявлений порока лечение не требуется.
При развитии недостаточности артериального (трикуспидального) клапана назначаются сердечные гликозиды и диуретики.
При КТМС в сочетании с другими врожденными пороками сердца проводится корригирующая терапия, которая направлена на предупреждение развития сердечной недостаточности, клапанной дисфункции, легочной гипертензии .
Тактика лечения аритмий при КТМС определяется после проведения дополнительных исследований (Холтеровское мониторирование ЭКГ, электрофизиологическое исследование, прекардиальное картирование).
При развитии полной атриовентрикулярной блокады проводится имплантация кардиостимулятора, в случаях пароксизмальной тахикардии - радиочастотная аблация.
Хирургическое лечение
Изолированная КТМС без сопутствующих дефектов сердца не нуждается в хирургической коррекции.
При развитии тяжелой недостаточности артериального (трикуспидального) клапана проводится его протезирование.
Сопутствующие пороки при КТМС устраняют хирургическим путем: закрытие дефекта межжелудочковой перегородки.
При изолированной корригированной транспозиции магистральных сосудов прогноз благоприятный. При сочетании с другими пороками прогноз определяется тяжестью сопутствующей аномалии.
Анатомия правосформированного праворасположенного сердца. Клиника правосформированного праворасположенного сердца
Дифференциация правосформированного сердца. Различия левосформированного и правосформированного сердца
Дифференциальный диагноз проводят с различными типами праворасположенного сердца.
1. Левосформированное праворасположенное сердце с обратным расположением органов брюшной полости. Основное отличие от рассматриваемой аномалии заключается в левостороннем расположении ПП. Путем пальпации и перкуссии органов брюшпой полости в отличие от правосформироваиного праворасположенного сердца определяются левосторонняя печеночная тупость и правосторонний желудочный тимпанит. На ЭКГ зубец РI отрицателен.
Данные рентгенологического исследования подтверждают результаты физикальпого обследования. Необходимо обратить внимание па строение трахсобронхиалыюго дерева: нормальная его топография будет указывать па наличие правосформироваиного сердца, зеркальная нормальной — на существование левосформированного сердца. Дуга аорты перекидывается через левый главный бронх у больных с правосформированным праворасположенным сердцем и через правый главный бронх у больных с левосформированным праворасположенным сердцем.
Катетеризация сердца и ангиокардиография — решающие дифференциально-диагностические методы, с помощью их, в отличие от правосформироваиного праворасположенного сердца, устанавливают левостороннее расположение полых вен и ПП.
Большие трудности возникают при различии с левосформированным праворасположенным сердцем и нормальным расположением органов брюшной полости или абдоминальной гетеротаксией. В этих случаях дифференциальная диагностика на основании клинических признаков и рентгенологических данцых невозможна, ЭКГ помогает, если регистрируется отрицательный зубец PI, однако часто наблюдающаяся в данных условиях миграция источника ритма уменьшает дифференциально-диагностические возможности метода.

Лишь катетеризация сердца и особенно ангиокардиография предоставляют объективные данные о левосторонней локализации полых вен и ПП.
2. Дифференциальный диагноз следует проводить с правосторонним положением сердца, которое обусловлено экстракарднальными факторами (декстропозиция сердца). В этих случаях сердце смещено вправо во фронтальной плоскости. Взаимоотношение сердечных камер обычное, верхушка сердца обращена влево, сохраняется нормальной и продольная ось сердца.
С точки зрения дифференциальной диагностики полезными могут оказаться анамнестические данные, в которых есть указания па перенесенные в течение жизни заболевания легких, плевры, диафрагмы, скелета грудной клетки и др. В отличие от правосформированного праворасположенного сердца декстропозиция сердца крайне редко сопровождается врожденными пороками сердца и может быть успешно распознана рентгенографически. Функциональные расстройства сердца, несмотря на его смещение, как правило, отсутствуют.
Труднее проводить дифференциальный диагноз с редкими случаями смещения сердца вправо, которое вызвано врожденными изменениями окружающих сердце органов, таких, как агенезия правого легкого, врожденная диафрагмальная грыжа и др., особенно когда они сочетаются с врожденными пороками сердца. В таких случаях, кроме рентгенологического исследования, необходимо произвести катетеризацию сердца и ангиокардиографию.
Читайте также:
