Аномалия Альдера - причины, клиника
Добавил пользователь Валентин П. Обновлено: 21.11.2025
В связи с доступностью исследования и высокой разрешающей способностью МРТ мы довольно часто встречаемся с заключением - аномалия Арнольда-Киари. Что же подразумевается под этим понятием? Аномалия Арнольда-Киари представляет собой опущение мозговых структур задней черепной ямки, чаще миндалин мозжечка в позвоночный канал до уровня первого, реже - второго шейных позвонков, что может приводить к нарушению оттока спинномозговой жидкости.
Чаще по данным МРТ чаще встречается опущение миндалин мозжечка до 5 мм, что у взрослых является нормой и не проявляется клиническими симптомами.
Как правило, аномалия Арнольда-Киари является врожденной патологией. Приобрести в течение жизни данную патологию можно после проведения частых спинно-мозговых пункций и после люмбоперитонеального шунтирования по поводу окклюзионной гидроцефалии.
Если же миндалины мозжечка опускаются более чем на 10мм, то после 20-40 лет могут появиться следующие жалобы и неспецифические симптомы - боли в шее и затылке, которые усиливаются при кашле и физическом напряжении, шум и звон в ушах и головокружение с неустойчивостью при ходьбе, усиливающиеся при поворотах головы, могут беспокоить при повороте головы преходящие двоение и слепота, возможны нарушения глотания, часты жалобы на слабость и снижение чувствительности в руках и ногах, жалобы, характерные для синдрома хронической усталости. На поздних стадиях заболевания может появиться непроизвольное мочеиспускание или затруднения.
Как видим жалобы и симптомы при данной патологии очень разнообразны и очень неспецифичны, поэтому обязательно выполнение МРТ головного мозга.
Для определения же степени функциональных нарушений и дальнейшего планирования лечения рекомендуем обращаться в клинику «Первая неврология», где высококвалифицированные неврологи проведут полный неврологический осмотр, нейроофтальмолог проведет офтальмоскопию, а врачи функциональной диагностики - ЦДК (цветное дуплексное сканирование) сосудов головы и шеи.
В клинике «Первая неврология» пациенты с вышеописанными симптомами смогут получить консервативное лечение, направленное на снижение внутричерепного давления, улучшения кровоснабжения и обменных процессов, снижение тонуса мышц и болевых ощущений.
- Медикаментозная терапия в условиях дневного стационара (сосудистые и ноотропные препараты, препараты нейротрофического и антиоксидантного действия)
- НЛОК (неинвазивное лазерное освечивание крови) . и микрополяризация головного мозга на аппарате «Магнон-ДКС» . на аппарате SALUS. и местная озонотерапия воротниковой зоны.
Записаться на прием в Самаре:
Перелом шейки бедра
Перелом шейки бедра - это распространённая тяжелая патология, которая возникает у людей с сопутствующим остеопорозом. Остеопороз-это снижение минеральной плотности кости. Чаще перелому шейки бедра подвержены…
Синдром запястного канала
Клиническое проявление синдрома запястного канала Данное нарушение происходит в срединном нерве. Причинами являются тендовагинит сухожилия сгибателя в кистях, острый суставной ревматизм, беременность…
Синдром позвоночной артерии
Основные сосудистые магистрали, несущие кровь к головному мозгу, проходят в шее - это две сонные и две позвоночные артерии. Снижение кровотока по позвоночным артериям будет приводить к развитию острой…
Глиомы
Что такое глиома? Глиома - нейроэпителиальная опухоль, разновидность опухолей центральной нервной системы, источником роста которых является глиальная ткань. В свою очередь глиальная ткань (глия)…
Слабость и онемение в руке и ноге
Появление общей мышечной слабости и онемения в теле, руке или ноге является очень серьезным синдромом, при появлении которого следует как можно быстрее обратиться за консультацией к неврологу. Связано…
Мультисистемная атрофия (МСА)
Мультисистемная атрофия (МСА) - это прогрессирующее нейродегенеративное расстройство (синуклеинопатия) с мультисистемными двигательными нарушениями и часто дисавтономией. Она чаще встречается у мужчин…
Ангидротическая эктодермальная дисплазия ( Синдром Weech , Синдром Криста-Сименса-Турена )
Ангидротическая эктодермальная дисплазия - это наследственное заболевание, проявляющееся генетическим нарушением развития производных эктодермы (кожи, желез внешней секреции, волос, зубов). Симптомами патологии являются аномалии развития или отсутствие зубов, сухая тонкая кожа, выраженная гипоплазия потовых и сальных желез, редкость волос или алопеция, иногда агенезия молочных желез. Диагностика производится врачом-генетиком на основании характерных внешних проявлений заболевания, а также генетических исследований и изучения наследственного анамнеза. Специфического лечения ангидротической эктодермальной дисплазии не существует.
МКБ-10
Общие сведения
Ангидротическая эктодермальная дисплазия (синдром Криста-Сименса-Турена, синдром Weech) является наследственным заболеванием, при котором происходит генетически обусловленное нарушение развития наружного зародышевого листка (эктодермы). В результате этого основные симптомы патологии затрагивают производные эктодермы - кожу, волосы, зубы, некоторые хрящи, потовые, сальные и молочные железы. Характерный для ангидротической эктодермальной дисплазии симптомомкомплекс независимо друг от друга описывали Дж. Турен в 1848 году, стоматолог Дж. Крист в 1913-м и дерматовенеролог Х. Сименс в 1929-м году.
Первоначально считалось, что наследование заболевания происходит исключительно по сцепленному с Х-хромосомой механизму, в настоящее время выявлены как аутосомно-рецессивные, так и аутосомно-доминантные формы дисплазии. Встречаемость заболевания - 1 случай на 5000-10000 тысяч новорожденных, с учетом того, что статистически чаще встречается сцепленное с полом наследование, половое распределение среди больных сильно смещено в сторону мужского пола.
Причины
Этиология ангидротической эктодермальной дисплазии заключается в наличии мутаций определенных генов. Различают формы синдрома Криста-Сименса-Турена с Х-сцепленным, аутосомно-доминантным и аутосомно-рецессивным наследованием:
- Х-сцепленный тип. Причиной наиболее распространенной формы заболевания является повреждение гена EDA, расположенного на Х-хромосоме. Он кодирует белок под названием эктодисплазин-а, нарушения в структуре которого и приводят к патологическому развитию производных эктодермы. В настоящий момент, как функции этого белка, так и патогенез нарушений при мутации гена EDA неизвестны. Симптомы выявляются не только у мужчин, но и у женщин-носительниц, в основном, в более легкой степени. У таких женщин наблюдается сухость кожи, более ранее развитие морщин, тонкие сухие волосы, деформации и патологии зубов. Также нередко возникают проблемы с грудным вскармливанием ребенка. Все это позволяет говорить о том, что некоторые мутации гена EDA обладают свойствами неполного доминирования.
- Аутомсомно-рецессивный тип. Кроме того, к характерному симптомокомплексу синдрома Криста-Сименса-Турена приводят мутации в гене EDAR, кодирующем один из рецепторов к фактору некроза опухоли. Данный ген расположен на 2-й хромосоме и наследуется по аутосомно-рецессивному типу. Как и в предыдущем случае, патогенез при этой форме заболевания не изучен.
- Аутосомно-доминантный тип. Редкая форма ангидротической эктодермальной дисплазии, передающаяся по аутосомно-доминантному механизму. Ее причиной служат мутации гена TDARADD, который кодирует белок рецептор к экзодисплазину-а и расположен на 1-й хромосоме. По всей видимости, патогенез нарушений в этом случае аналогичен таковому при распространенной сцепленной с полом форме синдрома.
Симптомы
Возникшая гипоплазия кожи и многих типов желез (потовых, слезных, молочных) ведет к каскаду разнообразных нарушений. Практически полное отсутствие потовых желез становится причиной легкого развития гипертермии, что особенно опасно в детском возрасте - именно из-за последствий перегрева в раннем детстве умирает почти треть больных ангидротической эктодермальной дисплазией. В результате пониженной активности слезных желез достаточно часто возникают конъюнктивиты, которые осложняются кератитом и катарактой.
Гипопластическая кожа довольно часто подвержена экземе, вторичным бактериальным и грибковым инфекциям. Нарушения развития эктодермы отражаются и на хрящевых и костных элементах - увеличивается размер лобной кости, на ней формируются заметные надбровные дуги. Переносица запавшая, крылья носа, как правило, недоразвиты, деформируются и ушные раковины.
Типичны аномалии зубов, которые приобретают коническую форму, часто бывают недоразвиты, возможно отсутствие одного или целой группы зубов; характерным признаком ангидротической эктодермальной дисплазии при этом является сохранение клыков. Из-за отсутствия или аномального положения зубов нередко развиваются дефекты речи.
Интеллектуальное развитие ребенка может отставать от возрастной нормы, но в ряде случаев умственные способности взрослого с данным синдромом не уступают таковым у здорового человека. Часто наблюдается отсутствие молочных желез и сосков (либо их аномальные форма и расположение). Иногда ангидротическая эктодермальная дисплазия осложняется врожденной глухотой.
Диагностика
Диагностика заболевания производится на основе обследования ребенка у генетика, ДНК-исследования и изучения наследственного анамнеза. При осмотре пациента на патологию указывают характерные сочетания признаков и объективный статус больного. Генетическое определение заболевания сводится к прямому секвенированию последовательности гена EDA с целью выявления мутаций; изучение других, более редких мутаций, ассоциированных с ангидротической эктодермальной дисплазией, в настоящий момент не производится.
При изучении наследственного анамнеза особое внимание уделяют объективному статусу матери - нередко у нее, как у носительницы мутантного гена, обнаруживаются стигмы дизэмбриогенеза. К ним относят сухость кожи, ослабленные тонкие волосы, гипоплазия молочных желез, из-за чего возникают проблемы с кормлением ребенка.
Генетическая диагностика носительства мутантной формы гена EDA сопряжена с определенными сложностями, так как метод прямого секвенирования в таком случае часто дает ложноотрицательные результаты. Поэтому для этой цели используются другие методики генетического анализа - например, мультиплексная лигазная реакция.
Лечение ангидротической эктодермальной дисплазии
Специфического лечения данной патологии не существует, терапия сводится к поддержке нормальной жизнедеятельности и профилактике осложнений. Для увлажнения кожи используют специальные фармацевтические или косметологические кремы, аномалии зубов исправляют при помощи протезирования. Из-за нарушения потоотделения крайне опасным становится перегрев, поэтому особую осторожность необходимо проявлять в летние жаркие месяцы. Больных ангидротической эктодермальной дисплазией в этот период желательно содержать в кондиционированном помещении, можно оборачивать влажной простыней для увлажнения, давать обильное питье. Также проводят лечение и профилактику вторичных бактериальных и грибковых инфекций кожи, иммуномодулирующую терапию. Для профилактики глазных нарушений необходимо регулярное использование увлажняющих капель.
Прогноз
Прогноз заболевания зависит от степени выраженности сопутствующих нарушений и своевременного выявления патологии. В большинстве случаев, если диагноз был установлен в раннем возрасте ребенка и были предприняты профилактические меры (борьба с перегревом, вторичными инфекциями), то прогноз в целом благоприятный. В плане интеллектуального развития прогноз чаще всего неоднозначный - с одинаковой вероятностью возможна как умственная отсталость (олигофрения), так и сохранение когнитивного развития.
1. Ангидротическая эктодермальная дисплазия/ Иванова И.Н., Сердюкова Е.А., Иконникова Т.И.// Российский журнал кожных и венерических болезней. - 2012.
2. Ангидротическая эктодермальная дисплазия у новорожденного ребенка (клиническое наблюдение)/ Ахмина Н.И. и др.// РМЖ. Мать и дитя. - 2020.
3. Синдром Криста—Сименса—Турена/ Васина Т.Н. и др.// Российский вестник перинатологии и педиатрии. - 2013.
Аномалия Арнольда-Киари: причины, синдром и симптомы, диагноз, лечение
Аномалию Арнольда-Киари относят к порокам кранио-вертебральной зоны. Формируется она в задней черепной ямке (ЗЧЯ), при недостаточном объеме которой происходит смещение задних отделов мозга и мозжечка в сторону большого затылочного отверстия, а также нарушается ток спинномозговой жидкости.
Задняя часть черепа образует так называемую заднюю черепную ямку, в которой расположены полушария и червь мозжечка, мост, продолговатый мозг, переходящий в спинной после прохождения сквозь большое затылочное отверстие. Большое затылочное отверстие ограничено костной основой черепа и не способно менять диаметр, любые смещения структур мозга чреваты несоответствием их размеров и диаметра отверстия, вклиниванием и ущемлением нервной ткани, последствия которого могут стать фатальными.

В продолговатом мозге сконцентрированы жизненно важные нервные центры, отвечающие за деятельность сердечно-сосудистой системы и дыхание, поэтому не только неврологический дефицит будет проявлением заболевания. В тяжелых случаях происходит угнетение витальных функций, и больной может умереть. Смещение гемисфер мозжечка влечет остановку циркуляции ликвора с гидроцефалией, которая еще больше усугубляет имеющиеся расстройства.
Аномалия Арнольда-Киари бывает врожденной, формирующейся у плода и сочетающейся с другими отклонениями в развитии, а клиника ее не всегда появляется сразу. В части случаев до манифестации патологии проходит значительный промежуток времени либо возникает ситуация, провоцирующая проявление бессимптомной до этого аномалии, у других пациентов и вовсе она может оказаться случайной находкой на МРТ. Нередко патология носит приобретенный характер и возникает под действием внешних причин, при этом мозг и череп при рождении имеют нормальное строение.
Причины и механизм развития порока задней черепной ямки (ЗЧЯ)
Единого мнения по поводу этиологии аномалии Киари нет. Ученые выдвигают различные теории, каждая из которых вполне обоснована и имеет право на существование.
Ранее аномалию считали исключительно врожденным пороком, однако наблюдения специалистов показали, что только малая часть пациентов имели дефекты во время внутриутробного развития, остальные же их приобрели уже в процессе жизни.
Причинами приобретенной патологии кранио-вертебрального перехода считают неравномерность скорости роста нервной ткани мозга и костной основы черепа, когда мозг увеличивается значительно быстрее, нежели костное вместилище, в котором он находится. Возникающее в конечном счете несоответствие объемов и служит основой болезни Арнольда-Киари.
Врожденная форма патологии сочетается с костной дисплазией, влекущей недоразвитие костей черепа, а также с нарушением формирования связочного аппарата, и любое внешнее воздействие, травма способны резко усугубить проявления патологии. Характерным считается сочетание порока черепной ямки с другими нарушениями утробного развития и врожденными синдромами.
Неврологами сформулировано два основных механизма формирования патологии:
- Уменьшение размеров ЗЧЯ при нормальных объемах отделов мозга (вероятно, вследствие нарушений во время внутриутробного периода).
- Увеличение объемов самого головного мозга при сохранении правильных параметров черепной ямки и большого затылочного отверстия, когда мозг оттесняет свои каудальные отделы в направлении затылочного отверстия.

Так как аномалия может быть врожденной, то среди причин указывают те, которые способны изменить нормальное течение беременности и внутриутробного развития:
- Злоупотребление медикаментами, прием алкоголя и курение при вынашивании плода, особенно — на ранних сроках, когда только формируются органы и системы зародыша;
- Вирусные поражения у беременных, среди которых особую опасность представляют инфекции с тератогенным эффектом — краснуха, цитомегаловирус и др.
Аномалия Арнольда-Киари возникает и по ряду приобретенных причин при изначально правильно развитых мозге и костях черепа. Привести к ее появлению уже после рождения способны:
- Родовые травмы, как спонтанные, так и при акушерских пособиях;
- Черепно-мозговые травмы и гидродинамический удар ликвора о стенки канала спинного мозга в случае нарушения ликвородинамики (так происходит у взрослых);
- Гидроцефалия.
Гидроцефалия может быть провоцирующим фактором, так как увеличение объема содержимого в черепе, пусть даже за счет жидкости, неминуемо влечет увеличение давления и смещение мозговых отделов в каудальном (заднем) направлении. С другой стороны, она является проявлением самой аномалии, когда опущение мозжечка вызывает блокаду ликворных путей и нарастание давления спинномозговой жидкости, циркулирующей по полостям мозга.
Типы и степени аномалии Арнольда-Киари
В зависимости от наличия тех или иных изменений со стороны мозга и костной основы черепа, принято выделять несколько разновидностей аномалии Арнольда-Киари:
- Аномалия Киари 1 типа, когда возникает перемещение книзу миндалин мозжечка, обычно выявляется у взрослых и подростков, нередко комбинируется с нарушением ликвородинамики и накоплением ликвора в центральном канале спинного мозга (гидромиелия). Возможно сдавливание мозгового ствола.
Аномалия Арнольда-Киари 1 типа - наиболее часто диагностируемая и имеющая довольно благоприятный прогноз
- Аномалия Арнольда-Киари 2 типа — манифестирует уже у новорожденных, так как происходит смещение значительно большего объема мозга, чем при 1 типе: миндалины мозжечка и его червь, продолговатый мозг с четвертым желудочком, возможно — образования среднего мозга. Обычно при 2 степени порока происходит нарушение тока ликвора с гидромиелией. Заболевание часто сочетается с наличием врожденной грыжи спинного мозга и аномалиями позвонков.
- 3 тип заболевания характеризуется выпячиванием мягкой мозговой оболочки с веществом мозга в затылочной области, куда попадают также мозжечок и продолговатый мозг.
аномалия Арнольда-Киари 3 типа на снимке
- Аномалия Арнольда-Киари 4 типа проявляется недоразвитием мозжечка, когда последний уменьшен, поэтому не опускается дистальнее к каналу в кости. Патология делает новорожденного нежизнеспособным и обычно заканчивается смертью.
Что касается степней тяжести, то:
Аномалию Арнольда-Киари 1 степени можно считать одним из наиболее легких вариантов патологии, так как пороков самого мозга при ней практически не возникает, а клиника может и вовсе отсутствовать, появляясь лишь при неблагоприятных условиях — травма, нейроинфекция и т. д.
Мальформации второй и третьей степени, в свою очередь, часто сочетаются с разнообразными пороками развития нервной ткани — гипоплазией некоторых участков мозга и подкорковых узлов, смещением серого вещества, кистами ликворных путей, недоразвитием извилин мозга.
Проявления синдрома Арнольда-Киари
Симптоматика синдрома Арнольда-Киари определяется его типом и характером смещения структур ЗЧЯ. Часто он протекает бессимптомно и обнаруживается случайно в ходе обследований мозга. У взрослых появление симптоматики может спровоцировать травма головы, у малышей некоторые формы заболевания заметны уже в первые часы и дни жизни.
Аномалия I типа диагностируется наиболее часто и может проявиться в подростковом либо взрослом возрасте следующими синдромами:
- Гипертензионным;
- Церебеллярным;
- Бульбарным;
- Сирингомиелическим;
- Явлениями поражения черепных нервов.

Гипертензионный синдром вызван увеличением внутричерепного давления вследствие блокады оттока ликвора сместившимися отделами мозга. Он проявляется:
- Головными болями в области затылка, особенно, при чихании, кашлевых толчках;
- Тошнотой и рвотой, после которой больной не ощущает облегчения;
- Напряжением мышц шеи.
Признаками вовлечения мозжечка (церебеллярный синдром) считают расстройства речи, двигательной функции, равновесия, нистагм. Пациенты жалуются на шаткость походки, неустойчивость положения тела в пространстве, затруднение мелкой моторики и четкости движений.
Поражение стволового отдела мозга представляется опасным ввиду расположения там ядер черепных нервов и жизненно важных нервных центров. Стволовая симптоматика состоит в:
- головокружении; двоении в глазах и снижении зрения;
- затруднении глотания;
- ухудшении слуха, шуме в ушах;
- обмороках, гипотонии, ночных апноэ.
Взрослые носители мальформации Арнольда-Киари указывают на нарастание головокружения и шума в ушах, а также пароксизмы потери сознания при поворачивании и наклонах головы. Вследствие сдавления стволов черепных нервов появляется атрофия половины языка и нарушение движения гортани с расстройством акта глотания, дыхания и голосообразования.
При образовании полостей и ликворных спинномозговых кист на фоне затрудненного тока спинномозговой жидкости у пациентов с I вариантом мальформации возникают признаки сирингомиелического синдрома — расстройство чувствительной сферы, онемение кожи, гипотрофия мышц, дисфункция тазовых органов, снижение и исчезновение брюшных рефлексов, периферические нейропатии и изменения со стороны суставов.
Расстройства чувствительности сопровождаются нарушением восприятия собственного тела, когда пациент, закрыв глаза, не может сказать, в каком положении находятся его руки или ноги. Снижается также чувствительность к боли и температуре.
По наблюдениям неврологов, диаметр и локализация кисты спинного мозга не обязательно отражаются на выраженности и распространенности нарушений чувствительной и двигательной сферы, гипотрофии мышц.
При синдроме второго и третьего типа течение патологии значительно тяжелее, симптоматика появляется у ребенка сразу же после родов. Характерны нарушения дыхания — стридор (шумное дыхание), приступы его остановки, а также двусторонний парез гортани, провоцирующий расстройства глотания, когда жидкая еда попадает в носовые ходы.
Второй тип аномалии у малышей первых месяцев жизни сопровождается нистагмом, усилением тонуса мышц в руках, синюшностью кожи, которые особенно заметны при кормлении грудничка. Двигательные нарушения вариабельны, проявления их меняются, возможна тетраплегия — паралич и верхних, и нижних конечностей.
Аномалия Арнольда-Киари третьего и четвертого вариантов протекает тяжело, это врожденная патология, которая не совместима с нормальной жизнедеятельностью, поэтому прогноз при таком диагнозе нельзя считать благоприятным.
Мальформация Арнольда-Киари может приводить к осложнениям, вызванным блокадой тока ликвора, поражением ядер черепных нервов, ущемлением стволовых структур. Самыми частыми считаются:
- Гипертензионно-гидроцефальный синдром — увеличение внутричерепного давления вследствие блокады путей ликворооттока, возможен как у детей, так и у взрослых;
- Расстройства дыхания, апноэ;
- Инфекционно-воспалительные процессы — бронхопневмонии, уроинфекции, которые связаны с лежачим положением пациента, нарушением актов глотания и дыхания, функции тазовых органов.
При тяжелом течении патологии может наступить кома, остановка сердца и дыхания, которые приводят к смерти в считанные минуты. Реанимационные мероприятия позволяют обеспечить витальные функции, но вернуть к жизни мозг и устранить необратимые последствия компрессии его отделов, к сожалению, практически невозможно.
Диагностика и лечение мальформации Арнольда-Киари
По особенностям симптоматики и на основании осмотра невролога диагноз мальформации Киари поставить невозможно. Энцефалография, исследования сосудов головы тоже не дадут никакой информации касательно причин неврологических нарушений, однако могут показать наличие повышенного давления в черепе. Рентгенография, КТ, МСКТ укажут на наличие дефектов костей черепа, которые характерны для этой патологии, но состояние мягкотканных структур, нервной ткани установить при этом нельзя.
Точная диагностика аномалии стала возможна благодаря использованию МРТ, посредством которой врач может определить и костные пороки, и варианты развития самого мозга, его сосудов, уровень расположения отделов относительно черепных костей, их размеры, объем задней черепной ямки и ширину большого затылочного отверстия. МРТ можно считать единственным точным и самым достоверным методом выявления патологии.
МРТ требует обездвиживания пациента, который должен какое-то время спокойно лежать на столе аппарата. У детей с этим могут возникнуть значительные трудности, поэтому исследование проводят в состоянии медикаментозного сна. Для поиска сочетанных пороков спинного мозга и позвоночника исследуют также эти отделы позвоночного столба.
Когда диагноз установлен, пациента направляют к нейрохирургу или неврологу для определения плана лечения, показаний к хирургической операции, ее вида.
Аномалия Арнольда-Киари, протекающая бессимптомно, не требует лечения. Более того, и сам носитель патологии может не догадываться о том, что в организме что-то не так. При появлении клинических признаков заболевания показано консервативное или оперативное лечение.
Если проявления ограничены головными болями, назначается медикаментозная терапия, включающая противовоспалительные средства (найз, ибупрофен, диклофенак), анальгетики (кеторол) и препараты, снимающие мышечный спазм (мидокалм).
При наличии неврологических расстройств, признаков сдавления отделов мозга, нервных стволов, в случае отсутствия эффекта от медикаментозного лечения в на протяжении 3 месяцев, больному необходима хирургическая коррекция.
Операция необходима для устранения сдавливания нервной ткани и нормализации циркуляции ликвора. Самой популярной операцией при заболевании Киари считается краниовертебральная декомпрессия, которая направлена на увеличение размеров ЗЧЯ.
При декомпрессии хирург удаляет участки затылочной кости, резецирует миндалины мозжечка, по необходимости производит иссечение задних отделов первых шейных позвонков. Для предупреждения пролабирования задних частей мозга в полученное отверстие на твердую мозговую оболочку накладываются специальные синтетические заплаты.

пример удаления частей затылочкой кости и шейных позвонков
Декомпрессия ЗЧЯ считается и травматичной, и рискованной. Статистика такова, что осложнения возникают как минимум у каждого десятого больного, в то время как без операции показатель смертности намного ниже. В связи с высоким риском оперативного лечения нейрохирурги прибегают к нему только в случае действительно серьезных показаний — клиники сдавления участков мозга.
Другим вариантом хирургического лечения считается шунтирование, которое обеспечивает отток ликвора из полости черепа в грудную или брюшную полость. Путем имплантации специальных трубок происходит переток спинномозговой жидкости и снижение внутричерепного давления.
При тяжелых формах патологии показана госпитализация, мероприятия по профилактике инфекционных осложнений и коррекции неврологических расстройств. Нарастание отека мозга вследствие вклинивания его отделов в затылочное отверстие требуют лечения в условиях реанимации, включающего борьбу с отеком (магнезия, фуросемид, диакарб), налаживание искусственной вентиляции легких при нарушении дыхания и т. д.
Продолжительность жизни и прогноз при аномалии Арнольда-Киари зависят от типа патологии. При I типе прогноз можно считать благоприятным, в ряде случаев клиника не возникает совсем либо провоцируется лишь сильными травмирующими факторами. При бессимптомном течении носители аномалии живут столько же, сколько и все остальные люди.
При аномалии второго и первого типа с клиническими проявлениями прогноз несколько хуже, так как проявляется неврологический дефицит, который сложно устранить даже при активном лечении, поэтому для таких пациентов большое значение имеет своевременно проведенная операция. Чем раньше больному будет оказана хирургическая помощь, тем менее выраженные неврологические изменения его ждут.
Мальформация третьего и четвертого типов — наиболее тяжелые формы патологии. Прогноз неблагоприятен, так как вовлекаются многие структуры мозга, часто имеют место сочетанные пороки других органов, тяжелые нарушения функции ствола мозга, не совместимые с жизнью.
Синдром Денди-Уокера: понятие, причины, формы, лечение, прогноз
Аномалии формирования центральной нервной системы — отнюдь не редкость. Эта патология занимает второе место по частоте после врожденных дефектов развития сердца и сосудов и в большинстве случаев представлена гидроцефалией самого разного происхождения. Помимо тяжелых нарушений, сопровождающих патологическое развития мозга, пороки ЦНС несут высокий риск смертельного исхода, а по данным статистики они лидируют по числу смертей в младенческом возрасте.
Синдром Денди-Уокера — одна из разновидностей нарушения формирования головного мозга еще во время внутриутробного развития. И хотя частота его относительно невелика (всего 1 случай на 25-30 тысяч младенцев), диагностируется порок едва ли не у каждого десятого малыша с врожденной гидроцефалией, которая и служит одним из основных проявлений патологии.
Синдром Денди-Уокера — это порок задней черепной ямки, при этом основные структурные изменения касаются мозжечка, ликвороотводящих путей, четвертого желудочка мозга. Аномалия диагностируется во время беременности посредством ультразвукового осмотра, после чего женщине может быть предложено прерывание беременности по медицинским показаниям.
Конечно, любые отклонения в развитии плода — это всегда большой стресс и переживания для родителей, однако в случае врожденного порока мозга надеяться на чудо не приходится — прогноз серьезный, а смертность высока. Малыши с сочетанными пороками мозга и других органов погибают в раннем возрасте как от мозговой дисфункции, так и от присоединившейся инфекции.
Аномалия Денди-Уокера часто сочетается с другими нарушениями и генетическими заболеваниями, зачастую несовместимыми с жизнью — микроцефалия (недоразвитие полушарий мозга), мозговые грыжи. У младенца может быть диагностирован генетически обусловленный поликистоз почек, недоразвитие зрительных нервов и глазных яблок со слепотой, аномалии сердечно-сосудистой системы.
Все эти неблагоприятные факторы, возможность сочетанной патологии многих органов делают синдром Денди-Уокера серьезнейшей проблемой в случае, если малышу дадут возможность родиться. Лечение патологии, как правило, симптоматическое, направленное на поддержание главных систем жизнеобеспечения и борьбу с инфекционными осложнениями. В редких случаях применяют хирургическую операцию, которая лишь облегчает явления гидроцефалии, но не ликвидирует ее полностью.
Почему возникает синдром Денди-Уокера?

Причины аномалий развития задней черепной ямки до сих пор не выяснены, однако выделен ряд факторов, способствующих подобным врожденным порокам:
- Инфицирование во время беременности цитомегаловирусом, перенесенная краснуха;
- Употребление алкоголя, курение, наркомания во время беременности;
- Экстрагенитальная патология, особенно — сахарный диабет у будущей мамы.
Под действием перечисленных причин или среди полного благополучия может возникнуть спонтанная мутация в генах, предрасполагающая к нарушению развития мозга. Особенно высок риск пороков при действии неблагоприятных факторов во время первого триместра гестации, когда и происходит закладка основных структур центральной нервной системы.
В части случаев синдром Денди-Уокера носит наследственно-обусловленный характер, то есть возникает из-за дефекта генов и может передаваться по наследству как рецессивный признак. Если первая беременность протекала с формированием этой патологии, то риск повторного порока в последующем возрастает до 25%.
Что происходит с мозгом при синдроме Денди-Уокера?
Анатомически классический вариант мальформации задней черепной ямки включает:
- Гидроцефальный синдром разной степени выраженности;
- Кистозную полость в задней части черепа с расширенным четвертым желудочком мозга;
- Отсутствие или недоразвитие червя мозжечка, недоразвитие его полушарий.
Червь мозжечка — это структура, расположенная между его половинами и несущая в себе проводящие нервные волокна. При аномалии Денди-Уокера он может быть представлен небольшой щелью или широким пространством между гемисферами органа. При неполном отсутствии червя щелевидное расширение образуется лишь в нижней его части. На фоне патологии этого отдела наблюдается недостаточное развитие и мозжечковых полушарий.
Именно дефект мозжечкового червя в виде расщелины считается характерным признаком аномалии Денди-Уокера, позволяющим отличать ее от недоразвития на фоне других пороков мозга.

Киста четвертого мозгового желудочка может самопроизвольно вскрыться в 3-ий желудочек или субарахноидальное пространство. В этом случае симптомы окклюзии ликворных путей несколько ослабнут. Выраженность гидроцефального синдрома вариабельна — от небольшого расширения желудочковой системы до высокой степени окклюзионной гидроцефалии с отсутствием возможности для циркуляции ликвора.
Многие специалисты отмечают, что у большинства малышей с синдромом Денди-Уокера при рождении гидроцефалии как таковой нет, а формируется она и прогрессивно нарастает в течение первых нескольких месяцев жизни, поэтому факт отсутствия гидроцефального синдрома сразу после родов при наличии диагностированной внутриутробно патологии не является поводом для пересмотра диагноза и необоснованных надежд, с этим связанных.
Более, чем в половине случаев синдрома Денди-Уокера у детей помимо описанных структурных аномалий обнаруживаются и другие дефекты мозга — недоразвитие или отсутствие мозолистого тела, мозговые кисты, недоразвитие или отсутствие извилин, смещения серого вещества относительно его правильной локализации, что еще больше усугубляет течение и без того тяжелой патологии.
По данным МРТ было выделено несколько разновидностей синдрома Денди-Уокера:
- Классический тип аномалии — задняя черепная ямка расширена, четвертый желудочек кистозно изменен, червь мозжечка частично или полностью недоразвит, полушария его гипоплазированы, а намет находится выше, чем в норме, желудочковая система не сообщается с подпаутинным пространством, часто наблюдаются мозговые кисты и отсутствие мозолистого тела, практически у всех пациентов есть гидроцефалия, возможно сдавление стволовых структур. Порок проявляется клинически уже с рождения и имеет неблагоприятный прогноз.
- Вариант Денди-Уокера — морфологические признаки выражены меньше, чем при классической форме, гипоплазирован нижний отдел червя мозжечка, желудочки сообщаются с кистой и ликворными пространствами, обеспечивая отток ликвора, поэтому гидроцефалия наблюдается редко. Задняя черепная ямка имеет нормальные размеры, стволовые структуры не сдавливаются.
- Киста кармана Блейка — расширение желудочковой системы с гидроцефальным синдромом, киста расположена под или за мозжечком, червь развит относительно хорошо. Четвертый желудочек расширен, но не сообщается с затылочной ликворной цистерной.
- Mega cisterna magna — вариант очагового расширения подпаутинного пространства в задней и нижней частях задней ямки черепа с увеличением объема затылочной цистерны, которая сообщается с четвертым желудочком и субарахноидальным пространством.
Проявления заболевания
Симптоматика синдрома Денди-Уокера разнообразна. Возможны как практически нормальное развитие ребенка после рождения, так и грубые неврологические изменения, влекущие тяжелую инвалидность и даже смерть. По некоторым данным, нормальное развитие интеллекта бывает в половине случаев изолированного порока, возможно даже случайное обнаружение синдрома при обследовании взрослых.

дети с синдромом Денди-Уокера
Внутриутробное течение патологии определяется степенью поражения мозга, нарастанием гидроцефалии, наличием других пороков развития. Прогноз значительно хуже при диагностике синдрома до рождения. При глубоких нарушениях в формировании мозга на первый план среди других проявлений выступает гидроцефальный синдром:
- Увеличение диаметра головы;
- Выбухание родничка.
Увеличение диаметра черепа происходит, главным образом, за счет затылочной области, в которой образуется киста, вызывающая истончение и растяжение костной основы. При выраженной гидроцефалии голова малыша активно растет на протяжении первых двух месяцев, параллельно происходит расхождение швов между костями спереди или в заднем отделе. Кроме того, характерны:
- Повышение нервной возбудимости (рефлексов);
- Глазодвигательные расстройства — нистагм, косоглазие;
- Приступы остановки дыхания;
- Парез лицевого нерва.
Симптомы мозжечковых нарушений у новорожденных выявить невозможно, и даже тяжелый дефект формирования мозжечковых структур далеко не всегда вызывает значимые признаки атаксии (двигательных расстройств), которая регистрируется всего у трети пациентов.
Значительно чаще, нежели двигательные нарушения, возникают расстройства психической деятельности, интеллекта, которые проявляются на фоне общей двигательной «неловкости». У 25% больных с гипоплазированным мозжечком имеются признаки аутизма, в связи с чем специалисты пытаются найти взаимосвязь между изменениями мозжечка и аутизмом у детей.
Дети с гидроцефалией в раннем возрасте беспокойны, плохо спят, характерен монотонный крик, усиление рефлексов, плавающие движения глаз и их закатывание, выраженность сосудов роговицы, заметная подкожная венозная сеть по мере роста размеров головки. Спонтанная двигательная активность новорожденных может быть ослаблена, возможны судороги и тетрапарез из-за гипертонуса мышц.
В более старшем возрасте становится заметным отставание в психическом и интеллектуальном развитии, дети не могут обучаться, быстро устают, плохо усваивают новую информацию, что делает процесс адаптации крайне затруднительным. В тяжелых случаях обучение невозможно совсем, в связи с чем ребенок нуждается в постоянной посторонней помощи, уходе и рассмотрении вопроса об инвалидности.
Моторное развитие заметно замедлено. При тяжелых формах аномалии дети не могут своевременно научиться переворачиваться, ползать, садиться и ходить, не удерживают взгляд на игрушках, быстро устают и часто плачут. Возможны нарушения питания с гипотрофией, общее снижение иммунитета, частые инфекционные заболевания.
Сочетание порока нервной системы с другими аномалиями развития органов предрасполагает к серьезным осложнениям, в числе которых не только мозговая дисфункция, слабоумие, судорожный синдром, но и сердечная недостаточность, склонность к пневмониям при пороках сердца, хроническая почечная недостаточность и уремия при врожденном поликистозе, что усугубляет явления отека мозга и может послужить причиной гибели пациента.
При тяжелой окклюзионной гидроцефалии смерть может наступить в раннем младенчестве от отека головного мозга, фатальных аритмий, остановки дыхания на фоне компрессии стволовых структур, тяжелой пневмонии и других инфекционных осложнений.
У взрослых возможно постепенное нарастание гидроцефалии с краниалгиями, снижением памяти и внимания, раздражительностью, склонностью к депрессии, утренней тошнотой и рвотой на высоте головной боли. В тяжелых случаях бывает судорожный синдром. Возможны проблемы с координацией и выполнением мелких движений, неуверенность при ходьбе, зрительные расстройства.
Диагностика и лечение
Диагностика синдрома Денди-Уокера основывается на результатах ультразвукового осмотра, при этом важно обнаружить аномалию еще во время эмбрионального развития. УЗИ становится информативным после 18 недели гестации, но в некоторых случаях заподозрить патологию можно и раньше — уже на 14-15 неделях эмбрионального развития.
Диагностическими критериями при аномалии задней черепной ямки считаются:
- Наличие крупной кистозной полости, включающей четвертый мозговой желудочек, в задней части черепа;
- Отсутствие или аномальное развитие червя мозжечка;
- Гипоплазия мозжечковых гемисфер, наличие широкой щели между ними;
- Расширение желудочковой системы (гидроцефалия).
Для постановки диагноза синдрома Денди-Уокера необходимы:
- УЗИ (нейросонография);
- МРТ для определения анатомических особенностей четвертого желудочка мозга;
- Консультация офтальмолога;
- Осмотр нейрохирурга;
- УЗИ сердца для исключения врожденных аномалий;
- Консультация генетика и определение кариотипа при возможных генетических мутациях.
Лечение патологии определяется симптоматикой и тяжестью проявлений. Если гидроцефалии нет, а внутричерепное давление в пределах нормы, то оправдано динамическое наблюдение невролога, педиатра или нейрохирурга, каких-либо медикаментов не требуется.

шунтирование для нивелирования гидроцефалии
При нарастании гидроцефалии и внутричерепного давления показаны шунтирующие хирургические операции для отвода ликвора из черепа в грудную или брюшную полость. Медикаментозное лечение включает применение диуретиков (диакарб, маннитол), ноотропных средств (пирацетам, пантогам), антиконвульсантов (депакин).
В случае гипертонуса показаны физиотерапевтические и водные процедуры, массаж, специальные упражнения. Важен тщательный уход и постоянное наблюдение за малышом, создание спокойной обстановки при беспокойном поведении и нарушениях сна.
При тяжелых формах течения патологии с отставанием в интеллектуальном развитии детям показана работа с дефектологами-педагогами, психологом по индивидуальной программе, исключающей избыток информации и умственное перенапряжение.
Прогноз при синдроме Денди-Уокера зависит от ряда причин: времени установления диагноза, наличия других пороков и хромосомных болезней, степени окклюзии ликворных путей. Смертность и заболеваемость после рождения выше в тех случаях, когда аномалия сочетается с другими дефектами и обнаружена до рождения малыша.
Гидроцефалия и внутричерепная гипертензия — ключевые моменты в определении прогноза, которые влияют и на развитие пациента, и на продолжительность и качество его жизни. В случае изолированного поражения мозга без признаков гидроцефалии прогноз благоприятный. Ребенок может развиваться по возрасту, а иногда аномалия и вовсе выявляется у взрослых при обследовании по поводу других причин.
В связи с тем, что причины порока так и не выяснены, проводить специфическую профилактику не представляется возможным. Конечно, нужно соблюдать здоровый образ жизни, особенно, женщинам, планирующим беременность или уже забеременевшим с исключением вредных привычек, неблагоприятных влияний внешней среды. Важно своевременно выявить и пролечить цитомегаловирусную инфекцию, герпес, а в случае краснухи, которой женщина заболела при беременности, врачи предложат аборт по медицинским показаниям из-за высокого риска сочетанных пороков.
Решать вопрос о сохранении беременности в том случае, если синдром возник случайно, у плода абсолютно здоровой женщины, придется будущей маме и ее семье. Решение всегда дается сложно, но следует знать, что аномалия нервной системы и нормальное развитие и рост ребенка — скорее, исключение из правил.
В абсолютном большинстве случаев детям и родителям приходится бороться с гидроцефалией, зачастую требуется не одна дорогостоящая и сложная операция, тогда как ее эффективность и прогноз все равно могут оставаться сомнительными.
Видео: примеры детей с синдромом Денди-Уокера
Аномалия Арнольда-Киари. Аномалия Кимерли (Киммерли, Kimmerle)

Наш патент на нехирургический метод лечения неврологических проявлений при аномалиях Арнольда-Киари и Кимерли.
Помощь и лечение при аномалиях Кимерли и Арнольда-Киари в клинике “Эхинацея”
Аномалии Арнольда-Киари и Кимерли - это врожденные анатомические особенности области сочленения головы с шеей. Несмотря на наличие аномалии, до определенного момента никаких неврологических симптомов обычно нет, т.е. аномалия пребывает в стадии КОМПЕНСАЦИИ. Многие люди всю жизнь спокойно живут с аномалиями Арнольда-Киари или Кимерли, даже не подозревая о них, пока не наступит ДЕКОМПЕНСАЦИЯ (появление неврологических симптомов). Если удается устранить причины декомпенсации - обычно удается и устранить неврологические симптомы без операции, вернуть нормальное самочувствие.
Причины появления неврологических расстройств (декомпенсации) при аномалиях Кимерли и Арнольда-Киари и их лечение. Обычно повышенное напряжение (спазм) мышц затылка и задней поверхности шеи приводит аномалию в анатомически невыгодное положение (давление на мозг и сосуды), что и служит причиной появления неврологических расстройств. Спазм мышц может появиться, например, из-за смещения шейных позвонков, остеохондроза, воспалительных болезней глотки и носа. Самочувствие обычно улучшается уже спустя 2-3 дня после прекращения спазма мышц шеи и затылка. Наш патентованный метод лечения основан на этом эффекте. Спазм мышц прекращается после введения в них лекарства, имеющего расслабляющий (миорелаксирующий) эффект. В легких случаях достаточно введения местных анестетиков (Лидокаин и др.), а в более тяжелых мы применяем препараты ботулотоксина (Диспорт, Ботокс и др.).
Обычно этого бывает достаточно для восстановления нормального самочувствия. В дальнейшем можно снимать избыточный тонус шейной мускулатуры с помощью релаксационных упражнений, лечебных воротников-фиксаторов, лечения положением. Если эти меры понадобятся - мы обучим Вас их самостоятельному применению. Иногда мы рекомендуем индивидуальный комплекс мер для предотвращения повторных декомпенсаций. Это может быть, например, ограничение на околопредельные повороты шеей и на глубокое запрокидывание головы.
Что такое аномалия Арнольда-Киари и чем она опасна
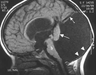
Спинной мозг человека выходит из полости черепа в позвоночный канал через отверстие в затылочной кости (большое затылочное отверстие). В полости черепа над этим отверстием располагается мозжечок - центральный орган координации движений и равновесия.
При аномалии Арнольда-Киари наблюдается врожденное увеличение диаметра большого затылочного отверстия. В увеличенное отверстие может выпасть и вклиниться нижний отдел мозжечка (миндалины мозжечка), что приводит к взаимному сдавлению мозжечка и спинного мозга. Отсюда и характерные симптомы.

Аномалия Арнольда-Киари на МРТ (магнитно-резонансных томограммах). Видно, что при аномалии Арнольда-Киари мозжечок смещен вниз и подобно пробке вклинен в позвоночный канал.
Диагноз аномалии Арнольда-Киари нетрудно установить с помощью МР-томографии головного мозга или МРТ шейного отдела позвоночника. При необходимости мы используем рентгеновскую компьютерную томографию с трехмерной реконструкцией затылочной кости и шейных позвонков.
При аномалии Арнольда-Киари мы, как правило, наблюдаем два-три или более из перечисленных симптомов:
- Головокружение и/или шаткость (может усиливаться при повороте головы);
- Шум (звон, гул, свист, шипение т.п.) в одном или обоих ушах (может усиливаться при повороте головы);
- Головная боль, связанная с повышением внутричерепного давления (сильнее утром) или с повышением тонуса мышц шеи (болевые точки под затылком);
- Нистагм (непроизвольное подергивание глазных яблок).
- Двоение в глазах или другие зрительные расстройства (могут появляться при повороте или запрокидывании головы);
- Дрожание рук, ног, расстройство координации движений;
- Снижение чувствительности части лица, части туловища, одной или нескольких конечностей;
- Слабость мускулатуры части лица, части туловища, одной или нескольких конечностей;
- Непроизвольное или затрудненное мочеиспускание;
- Потеря сознания (может провоцироваться поворотом головы).
- В тяжелых случаях возможно развитие состояний, угрожающих инфарктом головного и спинного мозга.
Во многих случаях при аномалии Арнольда-Киари возможно улучшение самочувствия нехирургическим путём, т.е., лечение неврологических проявлений этой аномалии. Вы можете обратиться к врачу-неврологу нашей клиники. Вверх, к разделу «Помощь и лечение при аномалиях Кимерли и Арнольда-Киари». В тяжелых и опасных случаях может потребоваться и хирургическое лечение, но мы сделаем все, что будет в наших силах, чтобы избежать операции.
Аномалия Кимерли (Киммерли, Kimmerle)
Задние отделы мозга питаются, главным образом, из системы позвоночных артерий, проходящих в полость черепа прямо через шейные позвонки. Позвоночные артерии (правая и левая) огибают первый шейный позвонок, затем проходят в полость черепа, где и включаются в общую систему мозгового кровообращения.
При аномалии Кимерли над дугой первого шейного позвонка имеются аномальные дополнительные костные дужки-полукольца, которые могут сдавливать позвоночные артерии. Нарушение притока крови к мозгу может выявлено при ультразвуковом исследовании сосудов.

Сочленение черепа с первым шейным позвонком (рентген) в норме и при аномалии Кимерли (Киммерли). Первый шейный позвонок огибает позвоночная артерия, на рисунках она изображена красным цветом. При аномалии Кимерли над артерией видна аномальная дужка-полукольцо - виновница ущемления артерии. Эту же дужку видно и на рентгеновском снимке.
Аномальные дужки-полукольца хорошо видны на обычных рентгеновских снимках, однако врачи рентгенологи не всегда распознают наличие упомянутых дужек, поэтому врачи нашей клиники читают снимки самостоятельно.
Ущемление артерий с нарушением мозгового кровообращения можно увидеть с помощью УЗИ сосудов головного мозга, при этом информативны пробы с различными поворотами и наклонами головы. При аномалии Кимерли при УЗИ можно увидеть, как в одном или нескольких положениях головы кровоток по пострадавшей артерии резко обедняется.
Обычно артерии сдавливаются между аномальной дужкой и чрезмерно напряженными (спазмированными) мышцами шеи. Сдавление позвоночных артерий приводит к дефициту кровоснабжения головного мозга, отсюда и неврологические симптомы. Восстановления нормального тонуса и подвижности мышц шеи обычно приводит к восстановлению нормального самочувствия при аномалии Кимерли. Вверх, к разделу «Помощь и лечение при аномалиях Кимерли и Арнольда-Киари».
При аномалии Кимерли мы, как правило, наблюдаем два-три или более из перечисленных симптомов:
- Головокружение и/или шаткость (может усиливаться при повороте головы);
- Шум (звон, гул, свист, шипение т.п.) в одном или обоих ушах (может усиливаться при повороте головы);
- Потемнение в глазах, “мушки” или “звездочки” перед глазами при напряжении или некомфортном положении мышц шеи, повороте головы;
- Утрата сознания (полная или частичная) глазами при напряжении или некомфортном положении мышц шеи, повороте головы;
- Внезапная слабость мышц и падение при сохраненном сознании.
- Головная боль;
- Нистагм (непроизвольное подергивание глазных яблок);
- Тремор рук, ног, расстройств координации движений;
- Снижение чувствительности части лица, части туловища, одной или нескольких конечностей;
- Слабость мускулатуры части лица, части туловища, одной или нескольких конечностей.
Краниовертебральные аномалии: разновидности
Краниовертебральные мальформации - это врожденные пороки строения области сочленения шейных позвонков с черепом (затылочной костью). Некоторые формы этих пороков вызывают довольно неприятные симптомы, от простого головокружения до инсультов головного и спинного мозга. Симптоматика может долгое время отсутствовать, а затем развиться внезапно, после травмы, гриппа или другой провокации, причем в любом возрасте.
Вот формы пороков, с которыми мы сталкиваемся наиболее часто:
- Аномалия Кимерли - дополнительная костная дужка первого шейного позвонка, может сдавливать позвоночные артерии, питающие головной мозг кровью;
- Аномалия Арнольда-Киари - выпадение части мозжечка в слишком широкое затылочное отверстие;
- Конкресценция шейных позвонков или синдром Клиппеля-Фейля (Клиппель-Фейля) - сращение двух-трех шейных позвонков между собой, часто приводит к сдавлению позвоночных артерий, перегрузке и повреждению выше- и нижележащих межпозвонковых дисков;
- Базиллярная импрессия - “ввернутость” краев затылочного отверстия внутрь полости черепа;
- Платибазия - врожденный дефект затылочной кости, приводит к смещению мозжечка;
- Ассимиляция атланта - приращение 1-го шейного позвонка к затылочной кости, может вызывать сдавление позвоночных артерий при поворотах головы;
- Проатлант - добавочный, часто нестабильный 1-й шейный позвонок, нередко смещается и ущемляет спинной мозг и позвоночные артерии.
В нашей клинике Вы можете получить необходимое нехирургическое лечение, уточнить диагноз, узнать что можно и что нельзя при краниовертебральных мальформациях вообще и конкретно в Вашем случае.
Подробнее о наиболее распространенных краниовертебральных мальформациях читайте ниже.
Общие рекомендации пациентам с краниовертебральными аномалиями
Аномалия Арнольда-Киари:
- Избегать ударов и резких движений головой и шеей, форсированных физических нагрузок, стоек на голове;
- Ограничить употребление соли, не употреблять воду и влажную пищу, позже, чем за 2-3 часа до сна;
- В случае ухудшения состояния (упорная головная боль, тошнота, рвота, нарушения речи, зрительные расстройства, нарушения координации, слабость одной или нескольких конечностей, расстройства чувствительности, нарушения мочеиспускания) - немедленное обращение к врачу;
- Осторожность при выполнении массажа и мануальной терапии;
- Периодический контрольный осмотр неврологом.
- Избегать околопредельных поворотов головой и шеей, ударов головой и шеей, форсированных физических нагрузок, стоек на голове;
- В случае ухудшения состояния (головокружение, упорная головная боль, тошнота, рвота, нарушения речи, зрительные расстройства, нарушения координации, слабость одной или нескольких конечностей, расстройства чувствительности, нарушения мочеиспускания) - немедленное обращение к врачу;
- Осторожность при выполнении массажа и мануальной терапии;
- Периодический контрольный осмотр неврологом.
С чего начать и к кому обратиться
Начать стоит с осмотра неврологом. Если ранее были выполнены какие-либо исследования, обязательно возьмите на консультацию их результаты, в т.ч. сами снимки. При необходимости мы выполним УЗИ сосудов головы и шеи или другие нужные в Вашей ситуации исследования.
Читайте также:
