Техника операции при подростковом идиопатическом сколиозе
Добавил пользователь Евгений Кузнецов Обновлено: 11.12.2025
Идиопатический сколиоз - это заболевание опорно-двигательного аппарата, характеризующееся стойким патологическим искривлением позвоночника в трёх плоскостях.
Идиопатический сколиоз является самой распространенной формой деформации позвоночного столба у детей и диагностируется в 2-3% случаев в популяции. Однако течение заболевания у каждого ребёнка индивидуальное: у одних деформация имеет быстрый темп прогрессирования, у других величина деформации остаётся практически неизменной в процессе роста и развития. Наиболее часто идиопатическим сколиозом страдают девочки. В 10% случаев заболевание приводит к инвалидизации ребёнка.

Сергей Валентинович Виссарионов«На данный момент проблема лечения идиопатического сколиоза и приобретённых деформаций позвоночника в Российской Федерации до конца не решена. По статистическим данным Центра, около 1,5% населения Российской Федерации имеют деформации позвоночника различного рода. Около 1% из этого числа требуют хирургического вмешательства, что составляет 15-20 тыс. человек ежегодно. Детей, которые нуждаются в консервативном лечении, намного больше», - информирует директор ФГБУ «НМИЦ детской травматологии и ортопедии им. Г. И. Турнера» Минздрава России, доктор медицинских наук, профессор, член-корреспондент РАН, лауреат премии Правительства РФ Сергей Валентинович Виссарионов.
Причины возникновения идиопатического сколиоза
Идиопатический сколиоз возникает без объективных причин даже у занимающихся спортом детей. Заболевание может возникнуть у совершенно здорового ребёнка, без каких-либо патологических отклонений со стороны других систем и органов. Ни ношение сумки на одном плече, ни неправильная посадка за партой не могут вызвать сколиоз - всё это лишь является усугубляющими факторами прогрессирования уже возникшего заболевания.
Симптомы идиопатического сколиоза
При идиопатическом сколиозе происходит искривление позвоночника во всех трёх плоскостях. Позвоночник деформируется в прямой, боковой проекции и отмечается торсия позвонков вокруг своей оси. В искривлении задействованы, как правило, несколько находящихся рядом позвонков, которые и образуют основную дугу искривления. При тяжёлой форме сколиоза сзади и спереди могут образовываться выпуклости грудной клетки, которые называются рёберным горбом.
Признаки сколиоза:
- Плечи расположены на разном уровне.
- Разная высота расположения лопаток.
- Выступающие ребра с одной стороны.
- Асимметричная линия талии.

Начальная форма сколиоза обычно не оказывает воздействия на работу внутренних органов, но при тяжёлой форме заболевания возможны различные нарушения в работе сердечно-сосудистой и дыхательной систем. При тяжёлых формах деформации в грудном отделе позвоночника возможно развитие пневмосклероза и других нарушений. При лёгочной гипертензии может развиться недостаточность правого желудочка сердца. При сердечной недостаточности возникают отёки рук, шеи, головы, которые иногда захватывают и нижнюю часть тела. Помимо нарушений в лёгких, таких как застойный бронхит, возможно увеличение печени и гастрит.
Стадии развития и виды идиопатического сколиоза
Чаще всего заболевание выявляется в период интенсивного роста организма: от 5 до 7 лет и от 10 до 14 лет. Для идиопатического сколиоза характерно постоянное прогрессирование деформации позвоночника.
Чтобы оценить тяжесть заболевания сколиозом специалисты применяют деление на степени, которые зависят от угла искривления основной дуги деформации:
- 1-я степень — угол до 10°;
- 2-я степень - от 11° до 30°;
- 3-я степень - от 31° до 45°;
- 4-я степень - более 45°.
Прогнозирование хода болезни зависит от множества факторов - возраста начала заболевания, темпов роста ребенка, локализация первичной дуги искривления, сопутствующей патологии.
Виды сколиоза можно классифицировать по локализации:

Диагностика идиопатического сколиоза
Чтобы вовремя обнаружить сколиоз, желателен периодический осмотр у ортопеда раз в полгода, так как даже внимательные родители не всегда могут заметить начало заболевания, а упущенное время часто приводит к необратимым последствиям. Любая асимметрия в теле ребёнка должна насторожить. Процессы в детском организме происходят гораздо стремительнее, чем во взрослом возрасте - с точки зрения ортопедии что-то кардинально может измениться всего за несколько месяцев.
Лечение
В амбулаторном Центре консервативного лечения сколиоза НМИЦ детской травматологии и ортопедии им. Г. И. Турнера можно за 1 день пройти комплексное обследование и получить план лечения от ведущих специалистов. В комплексное обследование входит:
- первичная консультация ортопеда-травматолога;
- рентгенологическое исследование;
- консультация реабилитолога, который составляет индивидуальный план лечения;
- подбор индивидуальных упражнений инструктором ЛФК;
- подбор корсета ортезистом при необходимости.
В амбулаторном Центре консервативного лечения сколиоза используются как передовые зарубежные технологии, так и методики, разработанные на базе НМИЦ детской травматологии и ортопедии им. Г. И. Турнера:
- лечебная физкультура;
- методика активной, асимметричной коррекции SEAS;
- дыхательная коррекционная гимнастика по методике К. Шротт;
- дифференцированный асимметричный массаж;
- физиотерапевтическое лечение;
- ортезирование, основанное на методике Ж. Шено.

Дина Олеговна Рыбка«Эффективность лечения идиопатического сколиоза заключается в его ранней диагностике и комплексном подходе к каждому пациенту. Многолетний опыт работы врачей Санкт-Петербурга с данной патологией, наличие квалифицированной команды специалистов, высокотехнологических методов обследования и лечения позволяет выявлять патологию и оказывать помощь пациенту на любой стадии диагностики сколиоза», - утверждает руководитель амбулаторного Центра консервативного лечения сколиоза Дина Олеговна Рыбка.
Лечение сколиоза требует врачебного контроля каждые 3-6 месяцев: при необходимости нужно проводить рентгенографию позвоночника и корректировать программу реабилитации.
В амбулаторном Центре консервативного лечения сколиоза разработана система онлайн-мониторинга пациентов, состоящих на учёте, что очень удобно для жителей отдалённых от Санкт-Петербурга регионов Российской Федерации. Но такой формат лечения возможен лишь при условии, когда первичная консультация была очной и пациент прошёл обучение комплексным лечебным методикам у специалистов НМИЦ.
Радикальным и иногда единственным эффективным методом лечения тяжелых форм деформации является хирургическое вмешательство.
Операции по исправлению сколиотических деформаций на высшем уровне делают высококвалифицированные специалисты НМИЦ детской травматологии и ортопедии им. Г. И. Турнера в г. Пушкине. В Центре есть лаборатории и современное оборудование. Все способы коррекции идиопатического сколиоза позвоночника, разработанные специалистами Центра, защищены патентами на изобретения РФ. Операции проводятся с применением многоопорных транспедикулярных металлоконструкций, которые позволяют полностью осуществить коррекцию деформации, выполнить истинную деротацию тел позвонков на вершине искривления и сохранить достигнутый результат в послеоперационном периоде. Хирургические вмешательства проводятся с применением навигационного оборудования, которое позволяет увеличить точность установки транспедикулярных винтов в 1,3-1,7 раза и исключает развитие возможных осложнений.

Результаты хирургического лечения идиопатического сколиоза
Подростковый идиопатический сколиоз


Подростковый идиопатический сколиоз встречается в 2-4 % популяции детей в возрасте от 10 до 16 лет. Характеризуется боковым искривлением позвоночника более 10 градусов и ротацией позвонков. Идиопатический означает, что точные причины возникновения не ясны. Однако предполагается, что заболевание мультигенно детерминировано и проявляется фенотипически разнообразно. Особенно это заметно у семейных пар, где оба страдают сколиозом (риск развития сколиоза у их детей в 50 раз выше, чем в обычной популяции).
При наличии выраженного болевого синдрома сильного искривления в грудном отделе или наличия неврологической симптоматики необходимо исключить вторичные факторы, проявлением которых и явилась деформация. В таких случаях необходимо дообследование, в т. ч. МРТ. Существует ряд заболеваний, которые сопровождаются деформацией позвоночника:
- Синдром Марфана
- Синдром гомоцистинурии
- Синдром спинальной сирингомиелии
- Нейрофиброматоз
- ДЦП
- Синдром Фридриха
- Синдром Клиппель-Фейла
- Болезнь Вердниг- Хоффмана
При подростковом идиопатическом сколиозе только у 10 % детей деформация сильно прогрессирует и требует активного медицинского вмешательства. Факторами риска прогрессирования являются большое изначальное искривление нарушенное созревание костно-мышечного аппарата и женский пол. Степень прогрессирования определяется с помощью методики Коба основанной на измерении углов искривления на рентгеновских снимках.
Симптомы
Симптомы сколиоза включают в себя боль в спине, разную длину ног, нарушение походки и перекос таза. У пациентов также одно плечо может быть выше другого, выпирать лопатка, деформирована грудная клетка и визуальная картина искривления позвоночника. Иногда впервые обращают внимание на проблемы с позвоночником сами подростки или их родители (например, когда примеряют брюки и они сидят некорректно). Чем раньше начинается лечение, тем больше шансов приостановить прогрессирование деформации позвоночника. Деформация вызывает как психологические проблемы, так и нарушения физической активности. Кроме того, деформация вызывает физический и эстетический дискомфорт. Так, как при сколиозе происходит ротация позвонков, то происходит изменения (деформация) грудной клетки, что в свою очередь может привести к проблемам со стороны сердца и легких (например, укорочение дыхания). При прогрессировании сколиоза и вовлечении поясничного отдела могут появиться сильные стойкие боли.
Диагностика

Диагностика сколиоза включает в себя историю заболевания, осмотр и неврологический статус. История болезни может включать в себя вопросы о генеалогии родителей. Болел ли кто-то из семьи сколиозом? Если да, то проводилось ли какое-то лечение? Кроме того, имеет значение возраст пациента, начало пубертатного периода, чтобы определить, сколько лет осталось до завершения формирования скелета. Как правило, прогрессирование сколиоза менее 40-45 градусов останавливается после завершения формирования скелета. Если градус искривления более 40-45, то прогрессирование может продолжаться и после созревания. Осмотр и неврологический статус позволяет провести точку отсчета наблюдения за развитием заболевания. Типичное обследование выглядит следующим образом.
| Исследование | Описание |
|---|---|
| Физикальный осмотр | Лечащий врач осматривает на наличие ассиметрий туловища, таких как неровные плечи, таз. |
| Сердечно-сосудистая система | Проверяются функции сердца и легких |
| Теста Адама | Пациент наклоняется вперед с вытянутыми вперед руками. Врач смотрит на наличие выпирающей лопатки или искривление таза. |
| Длина ног | Измеряется длина ног (на наличие разницы). |
| Вертикальная линия | Вертикальную линию измеряют с помощью отвеса с 7 шейного позвонка, и она должна проходить между ягодицами. При сколиозе эта линия отклоняется. |
| Объем движений | Врач изучает способность пациента к сгибанию, разгибанию, наклонам и поворотам. |
| Пальпация | Врач на ощупь проверяет наличие отклонений. Чаще всего проблемы удается обнаружить со стороны ребер. |
| Неврологический статус | Проводя исследование неврологическое, врач получает информацию о рефлекторной функции, нарушений чувствительности, мышечной силе. |
Инструментальные методы
| Диагностический метод | Описание |
|---|---|
| Сколиометрия | Сколиометр определяют деформацию реберных дуг при наклоне пациента вперед. |
| Рентгенография | Рентгенографию выполняют в прямой и боковой проекциях. |
| Методика Кобба | Методика основана на анализе рентгенограмм, позволяющем измерить углы искривлений. |
| Метод Наш - Мо | Методика позволяет измерить ротацию позвонков. Ротация в позвоночном столбе измеряется с помощью деления позвоночника на сегменты. |
| МРТ | Позволяет визуализировать спинномозговые структуры и суставные поверхности, связочный аппарат и позвонки. |
| КТ | Компьютерная томография предпочтительна для детальной визуализации костных структур. |
Методы лечения
Консервативные методы лечения
Часть пациентов может лечиться консервативно, а другим требуется только хирургическое лечение. При отклонении менее 15-20 градусов достаточно проводить ЛФК, массаж, в корсетировании нет необходимости. При отклонении более 20 до 40 градусов возникает необходимость ношения корсета, для того чтобы избежать прогрессирования искривления. Подросткам не всегда комфортно длительно носить корсет, но учитывая, что во многих случаях это помогает избежать операцией, то ношение корсетов оправдано. Кроме того, рекомендованы щадящие физические нагрузки (индивидуально подобранные).
К сожалению не всегда физические нагрузки и корсетирование дают ожидаемый эффект, особенно когда искривление в шейно-грудном отделе или более 40 градусов.
Хирургические методы

Актуальны при отклонении более 40 градусов. При хирургических операциях используются различные металлические импланты, необходимые для стабилизации позвоночника.
Хирургическое лечение сколиоза
Жизнь для человека со значительным сколиозом может стать настоящей проблемой. Это могут быть как болевые проявления , так и психологический дискомфорт , связанный с внешним видом . Существует также риск, что искривление будет прогрессировать . Иногда люди могут подумать, что хирургическое лечение сколиоза является лучшим (и единственным) вариантом. Они не знают, что есть альтернатива хирургическому вмешательству.
Абсолютные показания к операции:

В большинстве случаев операция даже при тяжелом сколиозе - это элективная процедура, а не необходимость. Фактически, только 0,1% случаев сколиоза действительно требуют хирургического вмешательства.
В большинстве случаев операция рекомендуется врачом, потому что не использованы в полной мере консервативные методы лечения.
Перед рассмотрением операции пациенты и родители детей со сколиозом должны знать причины, по которым необходима операция (или не обязательна), и возможные осложнения, которые могут возникнуть в результате операции на позвоночнике.
Существуют конкретные ситуации, при которых операция, вероятно, является правильным выбором.
- Хроническая изнурительная боль. Пациентам, испытывающим очень сильные боли, которые препятствуют их повседневной деятельности, может потребоваться хирургическое вмешательство в качестве крайней меры для достижения контроля боли. Пациенты, у которых сколиоз сочетается с выраженной дегенерацией позвоночника, спинальным стенозом или латеральным листезом могут испытывать сильные изнурительные боли, связанные с возможным повреждение нервов или вследствие переломов, обусловленных остеопорозом. В этих случаях может потребоваться операция.
- Потеря контроля функции мочевого пузыря или кишечника из-за повреждения нервных корешков или спинного мозга. Эта симптоматика является показанием для экстренной операции.
- Слабость или атрофия руки или ноги из-за компрессионного повреждения нервов, связанного со сколиозом.
- Нарушения функции легких и сердца. У небольшой части людей, тяжелый сколиоз в верхней части спины приводит к деформации грудной клетки, что может повлиять на способность нормально дышать или нарушать функцию сердца. В случаях тяжелого нарушения функции сердца или легких может потребоваться операция .
- Постуральный коллапс. В случаях выраженного тяжелого сколиоза осанка может резко нарушиться. Это очень болезненное состояние с нарушением двигательных функций, которое требует обширной и инвазивной хирургии, как единственного средства снижения коллапса и улучшения осанки.
Если ни одна из этих пяти ситуаций не применима к пациенту, то, в таком случае, неинвазивные методы лечения могут стать отличным вариантом для уменьшения болей при сколиозе, уменьшения косметического дефекта и позволят избежать прогрессирования кривой.
Консервативные методы лечения могут быть эффективными как при идиопатическом, так и дегенеративной форме сколиоза.
Консервативное лечение сколиоза использует специально разработанные программы упражнений, корректирующие корсеты, реабилитационные процедуры, специальные изометрические упражнения, а также целевые протоколы растяжения.
Хирургия при дегенеративном и идиопатическом сколиозе:
В зависимости от возраста пациента и тяжести искривления, рекомендуются различные виды хирургического вмешательства. Цели каждой из этих операций - остановить прогрессирование и попытаться уменьшить угол искривления ,наряду с улучшением осанки пациента.
Наиболее распространенными из них являются операции с использованием стержней и слияния. При этом методе два или более позвонков сращиваются , чтобы создать единый жесткий сегмент позвоночника, который больше не способен двигаться. Стержни из различных стальных сплавов прикрепляются непосредственно к костям позвоночника для стабилизации области спондилодеза.
Очень маленьким детям со сколиозом часто рекомендуются операции, при которых предполагается регулярная замена стержней. При этой процедуре стержни прикреплены к позвоночнику ребенка, чтобы стабилизировать кривизну, пока они продолжают расти. Использование этой процедуры может означать 10 или более операций на позвоночнике в ранние годы ребенка до тех пор, пока не закончится формирование костной системы, а иногда проводится финальное слияние.
Существуют новые методики операций с использованием специальных стержней MAGECTM (MAGnetic Expansion Control). Эти стержни могут быть удлинены дистанционно, и поэтому требуется меньше операций.
Хирурги, которые предпочитают проводить слияние позвонков у девочек младше 10 лет или мальчиков младше 12 лет, рискуют свести к минимуму их способность к здоровому росту легких и это может привести к необычно короткому торсу.
Другие менее инвазивные операции, включают в себя связывание позвоночного тела (VBT), скрепление вертебрального тела (VBS) и ApiFix. Эти три операции включают прикрепление конструкций к позвоночнику, задача которых выпрямить искривления позвоночника пациента по мере их роста. Использование винтов или имплантов только на одной части позвоночника, позволяет организму использовать свою естественную способность выравнивать деформацию позвоночника с течением времени. Но эти малоинвазивные операции возможны только у определенной группы пациентов со сколиозом.
Детали хирургического лечения сколиоза
Пациенты должны знать, что при хирургическом лечении сколиоза возникают значительные риски. В общем, процесс спинального слияния следующий:
- Пациентам назначают анестезию для продолжительности операции от 4 до 6 часов.
- Для доступа к позвоночнику могут быть использованы различные подходы. Они могут включать задний , передний или боковой подход. Иногда используется комбинированный подход, некоторые используют торакотомию для доступа к позвоночнику через грудную клетку.
- Позвоночник перестраивается с использованием различных металлических инструментариев. Часто спинальные суставы также удаляются и заменяются костным трансплантатом . Пациенту могут получить костный материал из другой части тела -это называется аутотрансплантатом, или могут быть использованы донорские материалы или синтетический материал. Эти внешние источники не всегда приживаются, так как организм может отторгать эти материалы.
- Некоторым пациентам с очень большими искривлениями проводятся множественные хирургические операции. В этом случае, на первом этапе проводится релизинг позвоночника в области искривления с помощью разрезания мышц и связок , и пациент находится в гало-феморальной тяге в течение нескольких недель. В течение этого времени позвоночник может удлиняться, а затем во время второго этапа проводится слияние.
Восстановление и прогноз после хирургического лечения сколиоза
Такая комплексная операция требует значительного периода восстановления.
Время, проведенное в больнице в послеоперационном периоде, будет варьироваться, но большинство пациентов находятся на строгом постельном режиме в течение 3-4 дней.

В течение этого времени могут использоваться различные трубки для слива избыточной жидкости в грудной клетке, если проводится торакотомия, а катетеры и жидкости помогают поддерживать нормальные функции приема пищи и удаления продуктов жизнедеятельности. Многие пациенты испытывают боль после операции и нуждаются в эпидуральной анестезии, с дальнейшим переходом на пероральные анальгетики . Редко ,детям после операции может быть назначено жесткое корсетирование .
Пациенты не понимают, что требуется время, прежде чем они увидят ощутимые результаты операции. Хотя позвоночник может первоначально выглядеть более прямолинейным, требуется, не менее трех месяцев, прежде чем произойдет консолидация, и до 2 лет для полного слияния.
Консервативное лечение сколиоза, основанное на конкретных упражнениях, может дать значимые результаты всего за две недели и не включать в себя боль и риск хирургического вмешательства. Поэтому, хирургическое лечение сколиоза - это вынужденная мера.
Риски - как во время, так и после операции
Практически все хирургические процедуры несут определенный элемент риска, но, в частности, хирургия позвоночника может приводить к осложнениям, как во время, так и после операции, в том числе:
- Реакции на анестезию или послеоперационные обезболивающие
- Кровотечение, сгустки крови (тромбы) или инфекция
- Желчные камни или воспаление поджелудочной железы
- Парез кишечника
- Чрезмерная кровопотеря, требующая переливания крови
- Повреждение нервов, приводящее к мышечной слабости или параличу
- Проблемы с легкими до 1 недели после операции, с нормализацией функции дыхания в течение 1-2 месяцев после операции
Другие серьезные осложнения могут также развиваться месяцами или даже годами после операции, снова ставя под сомнение решение об оперативном лечении без абсолютных показаний к операции.
Долгосрочные проблемы включают:
- Псевдоартроз - болезненное состояние, при котором в месте слияния образуется ложный сустав. Это происходит, когда оперированный участок не заживает должным образом или не заживает вообще.
- Боль в спине. Пациенты, которым проведено слияние позвоночника, имеют ограниченную подвижность, что может вызвать перегрузку двигательных сегментов и в конечном итоге привести к дегенерации дисков.
- Сломанное или смещенное устройство. Металлический стержень или крючок , который удерживает позвоночник на месте, может перемещаться, стираться или ломаться. Это может привести к боли и другим осложнениям.
- Компенсационные искривления. Новые искривления или сколиоз могут развиваться в других областях позвоночника таким образом компенсируя слитые позвонки. Это чаще встречается у детей, перенесших операцию до достижения скелетной зрелости.
Итог: принятие решения о проведении операции для лечения сколиоза может привести ко второй, более инвазивной операции.
Техника операции при подростковом идиопатическом сколиозе
Проведен анализ оперативного лечения детей с идиопатическим сколиозом грудопоясничной локализации с использованием 3D-КТ навигации. В зависимости от величины основной дуги деформации, ее мобильности применены три тактических варианта хирургического вмешательства. Применение металлоконструкции с транспедикулярными опорными элементами позволило осуществить значительную коррекцию деформированного отдела позвоночника, равномерно распределить корригирующие усилия в ходе оперативного вмешательства и сохранить достигнутый результат в отдаленный период наблюдения.
1. Ветрилэ С.Т., Кулешов А.А., Кисель А.А. и др. Дорсальная хирургическая коррекция сколиоза инструментарием Cotrel - Dubousset без и с предварительной гало-пельвиктракцией // Хирургия позвоночника. - 2005. - № 4. - С. 32-40.
2. Ветрилэ С.Т., Кулешов А.А., Швец В.В. и др. Концепция оперативного лечения различных форм сколиоза с использованием современных технологий // Хирургия позвоночника. - 2009. - № 4. - С. 21-30.
3. Виссарионов С.В., Кокушин Д.Н., Дроздецкий А.П., Белянчиков С.М. Технология использования 3D-КТ навигации в хирургическом лечении детей с идиопатическим сколиозом //Хирургия позвоночника. - 2012. - № 1. - С. 41-48.
4. Виссарионов С.В., Кокушин Д.Н., Белянчиков С.М., Мурашко В.В., Надиров Н.Н. Хирургическая коррекция идиопатического сколиоза тип Lenke I у детей с применением 3D-КТ навигации // Международный журнал прикладных и фундаментальных исследований. - 2014. - № 11. - часть 3. - С. 445-447.
5. Виссарионов С.В., Кокушин Д.Н., Белянчиков С.М., Мурашко В.В., Надиров Н.Н. Хирургическое лечение деформаций позвоночника у детей с идиопатическим сколиозом транспедикулярными спинальными системами // Пособие для врачей. - СПб.: 2014. - 40 с.
6. Виссарионов С.В., Белянчиков С.М., Кокушин Д.Н., Мурашко В.В., Соболев А.В., Козырев А.С., Иванов М.Д., Сюндюков А.Р. Результаты коррекции деформации позвоночника транспедикулярными спинальными системами у детей с идиопатическим сколиозом // Хирургия позвоночника. - 2013. - № 3. - С. 30-37.
7. Михайловский М.В., Новиков В.В., Васюра А.С. и др. Хирургическое лечение идиопатических сколиозов грудной локализации // Хирургия позвоночника. - 2006. - № 1. - С. 25-32.
8. Amiot L.P., Lang K., Putzier M., et al. Comparative results between conventional and computer-assisted pedicle screw installation in the thoracic, lumbar, and sacral spine // Spine. - 2000. - Vol. 25. - P. 606-614.
9. Anuj Singla, MD, * James T. Bennett , MD, et al. Results of Selective Thoracic Versus Nonselective Fusion in Lenke Type 3 Curves // Spine. - 2014. - Vol. 39. - № 24. - P. 2034-2041.
10. Fuster S., Vega A., Barrios G., et al., Accyracy of pedicle screw insertion in the thoracolumbar spine using image-guided navigation // Neurocirugia. - 2010. - Vol. 21. - P. 306-311.
11. Hwang SW, Samdani AF, Marks M, Bastrom T, Garg H, Lonner B, Bennett JT, Pahys J, Shah S, Miyanji F, Shufflebarger H, Newton P, Betz R. Five-year clinical and radiographic outcomes using pedicle screw only constructs in the treatment of adolescent idiopathic scoliosis // Eur. Spine J. - 2013. - Vol. 22. - № 6. - P. 1292-1299.
12. Kim Y., Lenke L., Kim J., et al. Comparative analysis of pedicle screw versus hybrid instrumentation in posterior spinal fusion of adolescent idiopathic scoliosis // Spine. - 2006. - Vol. 31. - № 3. - P. 291-298.
13. Liljenqvist U, Lepsien U, Hackenberg L, et al. Comparative analysis of pedicle screw and hook instrumentation in posterior correction and fusion of idiopathic thoracic scoliosis // Eur. Spine J. - 2002. - Vol. 11. - P. 336-343.
14. Nottmeier E.W., Seemer W., Young P.M. Placement of thoracolumbar pedicle screws using three-dimensional image guidance: experience in a large patient cohort // J. Neurosurg. Spine. - 2009. - Vol. - 10. - P. 33-39.
15. Se-Il Suk, Sang-Min Lee, Ewy-Ryong Chung, Jin-Hyok Kim, Sung-Soo Kim. Selective Thoracic Fusion With Segmental Pedicle Screw Fixation in the Treatment of Thoracic Idiopathic Scoliosis. More than 5-Year Follow-Up // Spine. - 2005. - Vol. 30. - № 14. - P. 1602-1609.
16. Timothy R., Kuklo M.D., Lawrence G. Lenke, Michael F. O’Brien, Ronald A. Lehman, Jr, David W. Polly, Jr, Teresa M. Schroeder . Accuracy and Efficacy of Thoracic Pedicle Screws in Curves More Than 90 ° // Spine. - 2005. - Vol. 30. - № 2. - P. 222-226.
17. Tormenti M.J., Kostov D.B., Gardner PA, et al. Intraoperative computed tomography image-guided navigation for posterior thoracolumbar spinal instrumentation in spinal deformity surgery // Neurosurg. Focus. - 2010. - Vol. 28. - P. E11.
18. Zhou D., Xu N.W., Nong L.M., et al. Pedicle screw fixation of thoracic spinal fracture assisted by CT-based navigation system. // Zhonghua Yi Xue Za Zhi. 2010 Jun 15;90 (23): 1612-4. Chinese.
Основным методом лечения пациентов детского возраста с тяжелыми деформациями позвоночника является хирургический. Оперативное лечение позволяет добиться коррекции искривления позвоночника, улучшения баланса туловища, надежной стабилизации достигнутого результата при помощи многоопорной металлоконструкции и в итоге улучшения качества жизни пациента. [1, 4, 7]. При лечении детей с идиопатическим сколиозом в последнее время стали применять многоопорные спинальные системы с транспедикулярными опорными элементами [2, 5, 6, 9, 11, 13, 15, 16]. Использование данного типа металлоконструкций обеспечивает возможность воздействия на все три опорные колонны деформированного позвоночного столба и приближение к физиологическому фронтальному и сагиттальному профилям позвоночника в ходе операции. При этом спинальные системы с транспедикулярными опорными элементами обеспечивают стабильную и надежную фиксацию деформированного отдела позвоночника и сохранение достигнутой коррекции в отдаленный период наблюдения. Однако в ходе выполнения операции установка транспедикулярных винтов в тела позвонков на протяжении дуги деформации является технической сложной задачей и сопряжена с большим риском осложнений. Тяжесть установки транспедикулярных опорных элементов связана с анатомо-антропометрическими особенностями и пространственным расположением основанием дуги и тела позвонка на протяжении основной дуги искривления.
Применение навигационной системы при оперативном лечении детей с идиопатическим сколиозом дает возможность осуществить предоперационное планирование, правильную и корректную установки опорных элементов конструкции на всем протяжении сколиотической дуги, обеспечить точность проведения винтов в тела позвонков, что позволяет избежать осложнения в ходе хирургического вмешательства [8, 10, 12, 14, 17, 18]. Использование 3D-КТ навигации при оперативном лечении пациентов детского возраста с идиопатическим сколиозом грудопоясничной локализации позволяет достичь желаемого результата коррекции деформации позвоночника [3, 4].
Цель исследования. Провести анализ результатов хирургической коррекции деформации позвоночника у детей с идиопатическим сколиозом грудопоясничной локализации спинальными системами с транспедикулярными опорными элементами с использованием 3D-КТ навигации.
Материалы и методы исследования
Проведен анализ результатов хирургического лечения 27 пациентов (7 юношей, 20 девушек) в возрасте от 12 до 17 лет с идиопатическим сколиозом III-IV степени (по В.Д. Чаклину) грудопоясничной локализации (тип III по Lenke). У 19 (70 %) подростков грудопоясничная сколиотическая дуга имела правостороннюю направленность, у 8 (30 %) - левостороннюю. Величина основной грудопоясничной дуги искривления составила от 42 ° до 123 ° по Cobb. Пациентам осуществляли предоперационное обследование по общепринятой методике. Выполняли рентгенографию позвоночника в двух проекциях (прямой и боковой) стоя и лежа. Кроме этого дополнительно выполняли функциональные спондилограммы с наклоном вправо и влево для оценки мобильности грудопоясничного отдела позвоночника. Мобильной считали такую деформацию, при которой величина основной дуги деформации в условиях моделируемой нагрузки по рентгенограммам изменялась более чем на 30 % от начальной величины. С целью исключения интраканальной патологии и оценки состояния спинного мозга и его элементов осуществляли магнитно-резонансную томографию позвоночника. Определение анатомических особенностей костных структур деформированных позвонков проводили по компьютерной томографии. КТ-сканы осуществляли на протяжении от Th1 до S1 позвонка с толщиной среза 1 мм.
После этого данные КТ переносили при помощи носителя в систему навигации, оснащенной программным обеспечением SpineMap 3D. На основе трехмерной КТ-реконструкции в навигационной станции измеряли в плоскости относительно каждого позвонка внешний поперечный и продольный размер основания дуги, а также его пространственную ориентацию относительно тела позвонка. На основании полученных анатомо-антропометрических данных определяли возможность установки транспедикулярных винтов в тело каждого позвонка на протяжении основной дуги деформации. Критерием возможности корректной установки винта считали внешний поперечный и продольный диаметр корня дуги больше 4 мм. При поперечном размере основания дуги меньше 3,5 мм установку винта не осуществляли. Измерение ротации вершинного позвонка проводили по методике Dahlborn относительно сагиттальной плоскости до и после оперативного лечения по данным КТ. На основании данных рентгенологического и КТ методов пациентам осуществили предоперационное планирование в навигационной станции с определением зон и траектории установки опорных элементов через основание дуги в тело позвонка с учетом принципов сегментарной коррекции (дистракции и компрессии). В качестве опорных элементов металлоконструкции использовали только транспедикулярные винты. При этом в зависимости от величины основной дуги искривления и ее мобильности применяли три тактических варианта оперативного лечения:
Первый вариант - осуществляли коррекцию деформации позвоночника дорсальной спинальной системой на фоне гало-тибиального вытяжения в сочетании с задним локальным спондилодезом аутотрансплантатами вдоль металлоконструкции. Данный вариант коррекции применили у 12 пациентов с углом деформации от 42 ° до 85 ° по Cobb и мобильной сколиотической дугой. Угол ротации от 16 ° до 33 ° (средний угол ротации 24,5 °).
При втором варианте лечения у 8 пациентов с углом деформации от 85 ° до 100 ° по Cobb, угол ротации от 19 ° до 33 ° (средний угол ротации 26 °), операцию выполняли одномоментно из двух доступов. Первым этапом из переднебокового торакофренолюмботомического доступа осуществляли дискэктомию, резекцию головок ребер на протяжении вершины дуги искривления и межтеловой корпородез аутокостью. Вторым этапом из дорсального доступа выполняли коррекцию деформации позвоночника многоопорной транспедикулярной металлоконструкцией на фоне гало-тибиального вытяжения. Завершали вмешательство созданием заднего локального спондилодеза аутотрансплантатами вдоль спинальной системы.
Семи пациентам с углом деформации более 100 ° по Cobb, угол ротации от 24 ° до 50 ° (средний угол ротации 37 °) и ригидной грудопоясничной дугой применяли третий вариант хирургического лечения - многоэтапное вмешательство. Первым этапом проводили передний релиз в сочетании с межтеловым корпородезом аутокостью на вершине грудопоясничной дуги искривления из переднебокового доступа и накладывали гало-феморальное вытяжение. После этого проводили курс вытяжения в течение 14-16 дней с постепенным увеличением массы грузов до 40 % массы тела и корригирующими укладками. Затем на фоне продолжающегося гало-феморального вытяжения на операционном столе выполняли коррекцию сколиотической деформации позвоночника транспедикулярной металлоконструкцией из дорсального доступа в сочетании с задним локальным спондилодезом аутокостью.
Хирургическая технология коррекции деформации позвоночника у детей с идиопатическим сколиозом типа Lenke III с использованием металлоконструкции с транспедикулярными опорными элементами заключалась в следующем. Из дорсального доступа после осуществления подхода к костным структурам задней опорной колонны позвоночного столба на протяжении дуги искривления выполняли проведение транспедикулярных винтов с выпуклой и вогнутой стороны деформации под контролем 3D-КТ навигации. После этого осуществляли гало-тибиальное вытяжение и устанавливали первый стержень, изогнутый по физиологическим изгибам, в опорные элементы конструкции на выпуклой стороне искривления, осуществляя коррекцию кифотического компонента деформации путем прямого давления на вершину дуги и трансляции, а сколиотического - сегментарной контракции вдоль стержня. В результате выполненных манипуляций уменьшалась величина кифотического и сколиотического компонентов деформации. Затем второй стержень, изогнутый по физиологическим сагиттальным изгибам позвоночника, устанавливали с противоположной стороны искривления и осуществляли окончательную сегментарную коррекцию деформации путем выполнения дистракции вдоль стержня (рис. 1, А, Б, В, Г). Завершали вмешательство формированием заднего спондилодеза аутокостью вдоль спинального имплантата.

АБ

ВГ
Рис. 1. А - схема позвоночника при идиопатическом сколиозе грудопоясничной локализации; Б - схема расположения транспедикулярных винтов на протяжении дуги искривления, установки стержня по выпуклой стороне деформации и выполнение прямого давления на вершину искривления и сегментарной контракции вдоль стержня; В - схема состояния позвоночника после выполненных манипуляций; Г - схема установки стержня с противоположной стороны деформации и сегментарной дистракции вдоль него
Послеоперационный период лечения включал дыхательную гимнастику, массаж нижних и верхних конечностей, лечебную восстановительную физкультуру. Пациентов ставили на ноги на 3-4 сутки после операции и выписывали на амбулаторное лечение на 12-14 день. Все дети обследованы до оперативного лечения, непосредственно после хирургического вмешательства, затем через 6, 12, 18 месяцев после него и в последующем 1 раз в год.
Результаты исследования и их обсуждение
До операции у всех больных с идиопатическим сколиозом с грудопоясничной дугой искривления величина деформации составила от 42 ° до 123 ° (средняя величина деформации - 72 °). Величина угла ротации апикального позвонка составила от 16 ° до 50 ° (средний угол ротации 33 °). В ходе выполненных оперативных вмешательств у всех пациентов при клиническом осмотре был улучшен или полностью восстановлен фронтальный и сагиттальный баланс туловища.
Ретроспективный анализ показал, что наибольшая величина коррекции наблюдалась у пациентов, которым применяли I вариант оперативного лечения. После хирургического вмешательства остаточная деформация сколиотической дуги деформации составила от 0 ° до 17 ° (средняя величина остаточной деформации - 7 °), процент коррекции колебался от 74 % до 100 % (средний процент коррекции - 86,6 %). Остаточный угол ротации апикального позвонка составил от 10 ° до 27 ° (средний остаточный угол ротации 18,5 °). Средний процент деротации апикального позвонка составил 24,4 % (рис. 2 А, Б). Такие результаты лечения объясняются наличием сколиотической деформации, не превышающей 85 °, мобильной сколиотической дугой искривления и применением в качестве опорных элементов спинальной системы с транспедикулярными опорными элементами. Тотальная транспедикулярная фиксация, используемая при коррекции сколиотической деформации, позволила осуществить равномерное распределение нагрузки вдоль опорных элементов металлоконструкции и предотвратить в дальнейшем потерю коррекции достигнутого результата в послеоперационном периоде наблюдения.
У пациентов со II тактическим вариантом хирургического вмешательства остаточная деформация сколиотической дуги деформации в данной группе пациентов составила от 11 ° до 13 ° (средняя величина остаточной деформации - 12 °), процент коррекции колебался от 86 % до 88 % (средний процент коррекции - 87 %). Остаточный угол ротации апикального позвонка составил от 16 ° до 27 ° (средний остаточный угол ротации 21,5 °). Средний процент деротации апикального позвонка составил - 17,3 %. Коррекцию деформации у этих больных достигали за счет дискапофизэктомии, позволившей получить дополнительную мобильность основной дуги искривления, и применения металлоконструкции с транспедикулярными опорными элементами.
У пациентов с крайне тяжелыми сколиотическими деформациями позвоночника (III тактический вариант) после проведения этапного хирургического лечения остаточная деформация сколиотической дуги деформации составила от 12 ° до 40 ° (средняя величина остаточной деформации - 26 °), процент коррекции колебался от 67 % до 81 % (средний процент коррекции - 74 %). Остаточный угол ротации апикального позвонка составил от 16 ° до 43 ° (средний остаточный угол ротации 29,5 °). Средний процент деротации апикального позвонка составил 20 %.
У всех пациентов в зоне грудопоясничного перехода восстановлен сагиттальный профиль позвоночника - грудной кифоз, переходящий в поясничный лордоз. Протяженность инструментального спондилодеза у оперированных пациентов с идиопатическим сколиозом грудопоясничной локализации варьировала от 10 до 14 позвонков (в среднем - 11 позвонков).
Для оценки корректности положения транспедикулярных опорных элементов всем пациентам после хирургического лечения выполняли компьютерную томографию грудопоясничного отдела позвоночника. Во всех наблюдения отмечено корректное стояние опорных элементов металлоконструкции, без признаков перелома основания дуг позвонков и стеноза позвоночного канала.
В сроки наблюдения от 2 до 5 лет (в среднем 3 года 9 месяцев) после оперативного вмешательства была отмечена потеря коррекции сколиотической дуги только у 4 больных (2-4 °), что укладывается в погрешность измерения угла деформации по Coob по рентгеновским снимкам. Ни у одного пациента неврологических, гнойно-септических осложнений и дестабилизации металлоконструкции после проведенного хирургического лечения не отмечалось.

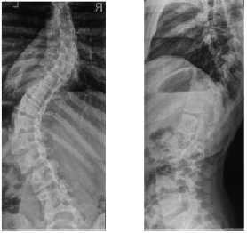
А

Б
Рис. 2. Рентгенограммы позвоночника пациентки К., 16 лет. Идиопатический левосторонний грудопоясничный сколиоз IV степени: А - до операции, угол деформации 70 ° по Cobb; Б - после операции, угол деформации 17 ° по Cobb
Заключение
Выбор тактики оперативного вмешательства при деформациях позвоночника у детей с идиопатическим сколиозом грудопоясничной локализации зависит от величины основной дуги деформации, ее мобильности и возраста пациента. У больных с подобными деформациями отмечено, что чем больше величина сколиотической дуги искривления, тем больше угол ротации апикального позвонка. Исправление деформации позвоночника у детей с идиопатическим сколиозом грудопоясничной локализации многоопорными спинальными системами с транспедикулярными опорными элементами, осуществляемой с помощью 3D-КТ навигации, позволяет добиться эффективной коррекции основной дуги, обеспечить достижение истинной деротации позвонков на ее вершине в ходе хирургического вмешательства и сохранить достигнутый результат в отдаленный период после операции.
Сколиоз. Виды сколиоза. Лечение сколиоза
Статья - Сколиоз. Виды сколиоза. Лечение сколиоза - расскажет Вам о причинах возникновения болезни, ее лечении, симптомах. Узнайте, как правильно диагностировать Сколиоз. Виды сколиоза. Лечение сколиоза | Центр Дикуля
- Сколиоз. Вопрос-ответ
Тематика: Вопрос-ответСколиоз
Тематика: Энциклопедия заболеваний

Сколиоз изначально греческое слово, означающее изогнутый или искривленный. Сегодня это слово используется для описания наиболее распространенных типов искривления позвоночника. Сколиоз это просто описательный термин, а не клинический диагноз, такой же, как головная боль.
При развитии сколиоза позвоночник наклоняется в сторону, и происходит ротация вокруг своей вертикальной оси. Эти изменения имеют как косметический, так и физиологические эффекты с долгосрочными последствиями, которые могут привести к значительным проблемам со здоровьем (при выраженных искривлениях).
Виды сколиоза. Существует много причин сколиоза, также как и причин головной боли. Задачей врача является определить, какой тип сколиоза у пациента.
Типы сколиозов
Идиопатический сколиоз
Слово идиопатический также имеет греческие корни и обозначает патологию в себе. Проще говоря, идиопатический означает состояние, не связанное ни с каким другим заболеванием или расстройством. К сожалению, термин идиопатический широко используется в медицинской литературе для обозначения заболевания, причины данного которого неизвестны.
Существуют три основных типа идиопатического сколиоза, которые классифицируются в зависимости от возраста начала заболевания.
Инфантильный сколиоз - искривление, которое начинает развиваться в возрасте до двух лет. В 9 случаях из 10 этот вид сколиоза исчезает спонтанно. Этот тип сколиоза очень редко встречается.
Ювенильный идиопатический сколиоз - искривление позвоночника развивается в возрасте от двух до десяти лет. Этот тип также является также достаточно редким.
Подростковый идиопатический сколиз - этот тип появляется в раннем подростковом возрасте и гораздо чаще у девочек, чем мальчиков. В то время как небольшое искривление встречается одинаково часто у девочек и мальчиков, то искривление, требующее лечения, встречается у девочек подростков в 8 раз чаще у девочек, чем у мальчиков.
Другие виды сколиоза
Функциональный сколиоз: При этом типе сколиоза, позвоночник нормальный, но искривление развивается из-за других проблем в организме. Это может быть связано с разницей в длине нижних конечностей или из-за мышечного спазма в спине (например, антальгический сколиоз).
Нервно-мышечный сколиоз: При этом виде сколиоза возникают проблемы при формировании позвоночника. Либо кости позвоночника не в состоянии сформировать полностью, либо они не в состоянии отделиться друг от друга во время внутриутробного развития. Этот тип сколиоза развивается у людей с наличием других генетически детерминированных заболеваний, в том числе врожденных аномалий, таких как мышечная дистрофия, детский церебральный паралич, или болезнь Марфана.
У пациентов с такими заболеваниями развивается вытянутое С - образное искривление позвоночника, а слабые мышцы не могут держать его прямо. Если искривление присутствует при рождении, оно называется врожденным. Этот тип сколиоза часто является гораздо более серьезным и нуждается в более активном лечении, чем другие формы сколиоза.
Дегенеративный сколиоз: в отличие от других форм сколиоза, которые встречается у детей и подростков, дегенеративные сколиоз встречается у пожилых людей. Это вызвано изменениями в позвоночнике из-за воспалительных изменений в суставах позвоночника (спондилеза). Ослабление связок и других мягких тканей позвоночника в сочетании с разрастаниями костной ткани (остеофитами) может привести к искривлению позвоночника. Позвоночник может быть искривлен за счет остеопороза, переломов позвонков, дегенерации дисков.
Онкологические заболевания, такие остеома или метастазы рака могут приводить к появлению болевого синдрома и компенсаторного искривления позвоночника в сторону противоположную очагу опухоли, вызывающую компрессию нервных корешков.
Факторы риска
Существует много мифов о причинах заболевания
- Это не постуральная проблема
- Сколиоз не возникает от мягкого матраца
- Ношение тяжелых сумок в школе не является причиной ни искривления, ни прогрессирования деформации
- Сколиоз не возникает вследствие длительного сидения за телевизором или употребления вредной пищи
- Сколиоз не является инфекционным заболеванием - невозможно заразиться от больных, имеющих сколиоз
Положительный семейный анамнез является определенным фактором риска для идиопатического сколиоза подростков. Поэтому, возможно более правильным было бы называть ИСП. генетическим, а не идиопатическим. Существует также мнение, что неопределенные "экологического" факторы играют определенную роль в возникновении сколиоза ИСП. Но общее мнение склоняется к тому, что все, же причины сколиоза многофакторные.
Поэтому, при диагностировании ИСП у подростка необходимо обследование его братьев и сестер с 11 летнего возраста.
Диагностика сколиоза
Внешние признаки сколиоза
При наличии визуальных признаков ассиметрии туловища необходимо обратиться к врачу.
Физическое обследование включает в себя, осмотр на наличие искривления позвоночника сбоку спереди и сзади. В первую очередь пациенту будет предложено раздеться до пояса, чтобы лучше видеть любые ассиметрии. Потом пациента попросят наклониться, стараясь коснуться ног пальцами рук. Врач также может оценить симметрию тела, чтобы убедиться, что бедра и плечи находятся на одной высоте. Также будет обращено внимание на любые изменения кожи, что позволит предположить наличие врожденного дефекта. Врач может проверить амплитуду движений, мышечную силу и рефлексы.
Чем длительней период дальнейшего формирования опорно-двигательного аппарата, тем выше шансы на прогрессирование деформации. В результате, врач может измерить вес и рост пациента для динамического сравнения. Другим ключом для определения начала роста организма у девочек, например, является наличие месячных и вторичных половых признаков.
Если врач считает, что есть сколиоз, то назначается рентгенография необходимая для измерения угла искривления (по Коббу). Рентгенографическое определение угла искривления помогает выбрать тактику лечения, а контрольные снимки через определенные промежутки времени увидеть динамику деформации. Для врача очень важно знать, сколько еще времени будет продолжаться рост костной системы. Рентгенография запястья или тазовых костей позволяет приблизительно определить этот промежуток времени.
Лечение сколиоза

Лечение сколиоза в зависимости от степени искривления и прогноза на дальнейшую деформацию. Некоторые типы сколиоза имеют больше шансов на прогрессирование так что тип сколиоза также помогает определить тактику лечения. Существуют три основные категории лечения: наблюдение, общеукрепляющее (консервативное) и хирургическое.
Функциональный сколиоз вызван аномалией в других частях тела. Этот тип сколиоза лечится с помощью устранения причины, например при разнице длины ног, возможно использование специальной ортопедической обуви или стелек. Прямого лечения позвоночник не требует так, как в таких случаях позвоночник здоровый. Нервно-мышечные сколиозы вызваны аномалиями развития костей позвоночника. Эти типы сколиоза имеют наибольшие шансы на прогрессирование деформации позвоночника. Наблюдение, корсетирование и ЛФК обычно не оказывают особого эффекта. Большинству пациентов с такими видами сколиоза, возможно, потребуется оперативное лечение для уменьшения искривления.
Риск прогрессирования идиопатического сколиоза
Лечение идиопатического сколиоза основано на возрасте, когда он начал развиваться.
Во многих случаях, детский идиопатический сколиоз излечивается самостоятельно, без какого-либо лечения. Рентгенография позвоночника с контрольными измерениями угла искривления в течение нескольких лет помогает определить динамику и наличие прогрессирования. В таком возрасте достаточно проведения гимнастик и в корсетировании нет необходимости.
Ювенильный идиопатический сколиоз имеет самый высокий риск развития выраженных деформаций из всех типов идиопатического сколиоза. Корсетирование возможно, пока угол искривления не большой. Цель корсетирования постараться предотвратить дальнейшее прогрессирование искривления. Так, как искривление у пациентов начинается в раннем детском возрасте, то вероятность того, что по мере роста деформация будет нарастать очень высокая, и поэтому нередко требуется активное лечение, подчас хирургическое.
Подростковый идиопатический сколиоз является наиболее распространенной формой сколиоза. Если искривление небольшое при первичном диагностировании, то подчас достаточно наблюдения и проведения контрольных рентгенографий с измерением угла искривлений. Если искривление остается менее 25 градусов, возможно, не потребуется активное лечение, только гимнастика. Иногда, особенно в периоды быстрого роста, требуется проведение рентгенографии несколько раз в год. Но чаще рентгенография назначается один раз в год, что позволяет определить динамику сколиоза. Если угол искривление находится между 25-40 градусами, и рост организма не завершен, то помимо ЛФК рекомендуется ношение корсета. Если же рост опорно-двигательного аппарата завершен, то ношение корсета не рекомендуется.
Если угол искривления превышает 40 градусов, то может быть рекомендовано оперативное лечение, которое при выполнении в подростковом возрасте дает хорошие отдаленные результаты.
Болевые проявления, как правило, не связаны с самим сколиозом, а обусловлены избыточной нагрузкой на межпозвонковые диски или мышечные спазмы вследствие нарушения нормального распределения векторов нагрузки на структуры позвоночника. При наличии болевых проявлений рекомендуется физиотерапия, массаж и после уменьшения болевых проявлений необходимо подключение ЛФК, которое позволяет с помощью развития мышечного корсета компенсировать нарушения биомеханики позвоночника. ЛФК позволяет приостановить дальнейшее прогрессирование сколиоза. Кроме того, существуют различные виды корсетов, которые применяются для лечения сколиоза. Некоторые корсеты необходимо носить в течение 24 часов снимая их только при посещении душа. Выбор корсета является прерогативой лечащего врача-ортопеда. Корсеты не могут уменьшить угол искривления, а позволяют только предотвратить дальнейшее искривление. Если искривление остается ниже 40 градусов к завершению формирования позвоночника, то риск увеличения искривления в будущем не очень высокий. Однако если искривление превышает 40 градусов, это, вероятно всего искривление будет прогрессировать на 1-2 градуса каждый год, в течение всей жизни человека. Если не заниматься активно лечением (ЛФК, массаж, физиопроцедуры) то, в конечном счете, деформация может привести к нарушению функции органов дыхания или сердца. Целью операции при сколиозе являются исправление и стабилизация искривления, уменьшение боли и восстановление оси позвоночника и внешнего проявления деформации.
Операция включает в себя исправление кривизны максимально возможно к вертикальной оси и выполнении спондилодеза, для удержания позвоночника в нормальном положении. Фиксация проводится с помощью специальных винтов, крючков и стержней. Кроме того возможно применение вкладышей костных трансплантатов для расширения позвонков и лучшей консолидации. Это предотвращает любые дальнейшие искривления в этой части позвоночника. В большинстве случаев, винты и стержни остаются в позвоночнике и не удаляются.
Хирургическое лечение сколиоза и метод операции зависит от каждого пациента
Как и при любой операции, есть риск оперативного лечения по поводу сколиоза. Суммарный риск зависит частично от возраста, степени искривления, причин искривления величины кривизны и объем необходимой корректировки. В большинстве случаев хирург будет использовать технику, называемую нейромониторинг во время операции. Это позволяет хирургу контролировать функции спинного мозга и нервов во время операции. Если они попадают в группу повышенного риска повреждений, хирург получает предупреждение и может корректировать операции для снижения этих рисков. Существует небольшой риск инфекции при любой операции. Этот риск снижается с помощью антибиотиков, но он все еще может произойти инфицирование в некоторых случаях. Другие потенциальные риски включают в себя повреждение нервов и кровеносных сосудов, кровотечения, продолжение прогрессии искривления после операции, перелом стержней или винтов, и необходимость в дополнительной операции.
Прогноз
Профилактические осмотры в школах позволяют во многих случаях вовремя выявить случаи сколиоза. Это позволяет назначить необходимо лечение и проводить динамическое наблюдение сколиоза, что подчас дает возможность избежать хирургического лечения в будущем. Большинство людей со сколиозом могут жить полноценно. Женщины со сколиозом в состоянии забеременеть и родить детей, без особого риска развития осложнений. Но в тоже время сколиоз может быть причиной болей в пояснице при беременности.
Новейшие достижения в области хирургии с использованием малоинвазивных техник и материалов позволяют рассчитывать, что оперативное лечение со временем станет менее травматично с более коротким периодом восстановления.
Читайте также:
