Аппаратура для устранения дистального прикуса. Осложненные формы дистального прикуса
Добавил пользователь Евгений Кузнецов Обновлено: 01.11.2025
Дистальный прикус — это довольно распространенная челюстная патология, выраженная нарушением смыкания зубов: при дистальном прикусе верхний зубной ряд сильно выдвигается вперед по отношению к нижнему ряду, когда челюсти сомкнуты.
Внешне дистальный прикус проявляется выступающей вперед верхней челюстью, при этом подбородок выглядит скошенным и маленьким. Верхняя губа зачастую выступает, а нижняя, наоборот, западает. При дистальном прикусе верхние и нижние передние зубы не смыкаются. Отдельно дистальный прикус встречается достаточно редко — обычно он сочетается с другими аномалиями положения зубов, диастемами и тремами, глубоким, открытым или перекрестным прикусом, готическим небом и так далее.
Как дистальный прикус влияет на здоровье человека
В целом дистальный прикус может оказывать негативное влияние на самочувствие: возможно нарушение дыхания, могут появляться проблемы с пережевыванием пищи и даже нарушения речи. У пациентов с дистальным прикусом повышен риск развития кариеса, заболеваний пародонта (пародонтита, пародонтоза) жевательных зубов, испытывающих чрезмерную нагрузку и дисфункции височно-нижнечелюстного сустава. Наличие дистального прикуса может накладывать технические трудности на процесс протезирования и дентальной имплантации.
Причины возникновения дистального прикуса
Причины возникновения дистального прикуса могут быть разными, но большинство из них носит или врожденный характер, или имеющий отношение к развитию плода или младенца. Часто появлению дистального прикуса способствуют перенесенные болезни, например, рахит или воспалительные процессы и частые тяжелые простудные заболевания, перенесенные в детстве. Любая хроническая болезнь горла или носа, приводящая к ротовому дыханию, — аденоиды, хронический ринит, тонзилит — также может вызвать эту патологию.
Еще одна причина появления дистального прикуса — это вредные привычки у ребенка. Привычка сосать палец, прикусывать язык или щеку, грызть посторонние предметы — все это очень опасно в детском возрасте, так как челюстная система только формируется. Также причиной для возникновения дистального прикуса может стать преждевременное выпадение молочных зубов. В этом случае другие зубы перемещаются на их место, и развитие челюсти происходит неправильно.
Есть опасность возникновения патологии и при искусственном вскармливании. На втором месяце беременности у эмбриона формируется расположение челюстей по прогнатическому соотношению, то есть, с дистальным прикусом, однако впоследствии оно меняется на прогеническое, когда нижний зубной ряд располагается мезиально относительно верхнего. При рождении же у ребенка снова происходит изменение челюстного соотношения на прогнатическое. Это облегчает грудное вскармливание, ведь для новорожденного важна свобода перемещения челюсти при высасывании молока. Все это постепенно приводит к видоизменению положения челюстей, называемому ортогнатическим. А при искусственном вскармливании, особенно, если оно было проведено не совсем верно, процесс роста нижней челюсти затруднен. В результате чего ребенок приобретает патологию, связанную с выдвижением верхней челюсти вперед.
В случае, если дистальный прикус был у одного (или обоих) родителей ребенка, велика вероятность возникновения такой патологии и у него. При наличии условий для развития неправильного прикуса вероятность того, что у человека будет та же аномалия, что и у его родителей, составляет около 80 процентов.
Когда и как лечить дистальный прикус
Как и любая патология прикуса, дистальная лучше всего поддается лечению в детском и подростковом возрасте, поэтому важно вовремя заметить и диагностировать проблему и сразу же обратиться к специалисту.
У детей младшего возраста дистальный прикус исправляется с помощью вестибулярных пластинок и специальных формирователей прикуса. Эти устройства снимают с формирующихся зубов давление губ и щек и нормализуют процессы дыхания и глотания.
Для подростков больше подходят брекет-системы. Они позволяют
устранить прогнатию на зубоальвеолярном уровне: правильное смыкание становится результатом перемещения зубов внутри челюсти. В случае, если для перемещения нет свободного места, возможно удаление одного или нескольких зубов.
Если нарушено развитие нижней челюсти, или верхняя, наоборот, развилась слишком сильно, применяются несъемные аппараты Эйнсворта или Френкеля. Для ускорения роста нижней челюсти используется преортодонтический трейнер, небный расширитель или же съемный пластинчатый аппарат.
Во взрослом возрасте, когда формирование зубочелюстной системы закончилось, используется два подхода к коррекции патологии.
Во-первых, можно замаскировать имеющуюся прогнатию: с помощью брекет-систем или прозрачных капп меняется положение зубов в челюсти. Может потребоваться удаление нескольких коренных зубов, на освободившееся место которых передвинутся остальные. Таким образом, удается достичь визуально гармоничного профиля.
В более сложных случаях дистальный прикус исправляется с помощью хирургического вмешательства. Проводится ортогнатическая операция гениопластика, в ходе которой корректируется форма подбородка и исправляется диспропорция челюстей.
Однако даже после этого полученный результат необходимо постоянно поддерживать с помощью формирователей прикуса и специальных миогимнастических упражнений, которые подстраивают работу жевательных и мимических мышц под новый прикус.
Вы можете пройти бесплатную диагностику и получить бесплатную консультацию
Врач-ортодонт даст медицинское заключение: вам лучше подходят брекеты, виниры или элайнеры
Ортодонтическое лечение с ортогнатической хирургией
Чем опасны патологии прикуса?
При отклоняющихся от норм расположениях челюстей возникает риск неправильного распределения нагрузки на зубы, что приводит к преждевременному изнашиванию зубов, а также нарушению функции височно-нижнечелюстного сустава. Страдать может даже желудочно-кишечный тракт, так как пища не измельчается должным образом и ведет к более длительному перевариванию, а как результат, нарушению функций ЖКТ. Более того, из-за неправильного прикуса может меняться положение осанки, провоцируя болевые ощущения в спине, вплоть до изменения походки.
Показания к ортодонтическому лечению с ортогнатической операцией
К операции прибегают не во всех случаях неправильного прикуса, а только когда она имеет скелетную форму. То есть, аномалия не на уровне неправильного стоящих зубов, а на уровне неправильного размера и положения челюстей. Неправильное смыкание челюстей принимает несколько форм:
- Мезиальный прикус — нижняя челюсть выступает вперед по отношению к верхней. В скелетной форме обычно обусловлен либо недоразвитием верхней челюсти, либо макрогнатией (аномальным увеличением) нижней. Мезиальный прикус достаточно часто является показанием к ортогнатической операции.

Исправление мезиального прикуса

Исправление дистального прикуса
Виды ортогнатических операций:
По объему вмешательства:
- Одночелюстные операции
- Двучелюстные операции
По области вмешательства:
- Остеотомия — коррекция нижней или верхней челюсти по ширине и наклону
- Гениопластика — коррекция подбородка для создания более гармоничного профиля и формы лица.
- Остеотомия небного шва или SARPE - метод, используемый для расширения верхней челюсти. В рамках лечения происходит одномоментный разрыв небного шва и впоследствии его удержание.

Возрастные ограничения к проведению челюстно-лицевой операции
Хирургические вмешательства в челюстно-лицевой аппарат чаще всего проводятся во взрослом возрасте. Благодаря тому, что дети и подростки находятся на этапе интенсивного роста челюстей, есть возможность произвести эффективное ортодонтическое лечение на брекетах или элайнерах и остановить развитие скелетной патологии.
Этапы лечения с ортогнатической операцией:
Как правило, ортодонтическое лечение с хирургией обязательно проходит при участии ортодонта и челюстно-лицевого хирурга, так как для эффективного и стабильного результата недостаточно скорректировать положение и размер челюстей — нужно также поставить зубы в правильное положение с помощью брекетов, чтобы после операции обеспечить правильный прикус и ровные зубные ряды.
- Консультация ортодонта. Первый шаг при таком масштабном и сложном лечении — это найти врача, которому вы сможете доверять и с которым вам будет психологически комфортно. На консультации вы знакомитесь с врачом, заполняете подробную анкету.
- Ортодонтическая диагностика. Задача врача на этом этапе — оценить возможность исправления прикуса без хирургии по итогам диагностики и расчетов. Для расчетов обязательно нужен 3D-снимок — объемный снимок всей головы, который позволит оценить: положение зубов, корней, челюстей, объем костной ткани и тд. Дополнительно врач снимает слепки для того, чтобы изготовить модели, составить расчеты положения челюстей относительно друг друга и в черепе.
- Отправка данных челюстно-лицевому хирургу. После всех проведенных анализов и расчетов, врач-ортодонт обсуждает план лечения с пациентом, направляя его к челюстно-лицевому хирургу с уже имеющимися диагностическими моделями.
- Личная консультация челюстно-лицевого хирурга. На первой встрече врач знакомится с пациентом, а также представляет план дальнейшего хода лечения. Задача пациента на этом этапе - согласовать хирургическое вмешательство и ознакомиться с порядком подготовки к операции, а впоследствии и реабилитации после нее.
- Установка брекетов, чтобы выровнять зубы перед операцией. Согласовав лечение с хирургом, врач-ортодонт устанавливает брекеты пациенту, чтобы сформировать правильные зубные ряды для успешного хода операции. Срок предоперационного ортодонтического лечения определяется ортодонтом, в среднем составляет от полугода до года.
- Операция. Характер хирургического вмешательства зависит от клинической ситуации, однако все они проводятся с установленной брекет-системой.
- Реабилитация. В ходе реабилитации брекет-система выполняет функцию шинирования - для фиксации и правильного заживления костей челюсти.
- Детализация ортодонтического лечения. После реабилитации врач-ортодонт смыкает зубы пациента в правильное положение, детализирует положение зубов для формирования красивой улыбки.
- Снятие. Когда достигнуто правильное положение и смыкание зубов, ортодонт снимает брекеты и устанавливает ретейнеры. Мы также рекомендуем профессиональную гигиену полости рта, чтобы полностью снять остатки фиксирующего материала и тщательно заполировать зубы после брекетов.
Клиника «Конфиденция» имеет долгий опыт работы с внештатным челюстно-лицевым хирургом, в ходе совместного сотрудничества с которым было успешно завершено большое количество клинических случаев.

Изменение профиля после ортогнатической операции
Как проходит челюстно-лицевая операция: от подготовки до реабилитации
Челюстно-лицевой хирург разрабатывает собственный план лечения и проводит необходимые расчеты в сотрудничестве с направившим пациента ортодонтом. После того, как все данные для проведения операции известны, пациент возвращается к ортодонту для подготовки к операции — лечения на брекет-системе. После того как задача выравнивания зубов и выставления их в правильный наклон выполнена, наступает момент челюстно-лицевого хирургического вмешательства. Пациент проходит операцию, не снимая брекетов.
Челюстно-лицевая операция проводится под общим наркозом. Хирург обеспечивает оперативный внутриротовой доступ, который позволяет не оставлять шрамов на лице пациента.
- При нижней остеотомии надрезы кости делаются в области за жевательными зубами.
- При верхней — над верхними зубами под глазницами.
- При проведении гениопластики часть кости подбородка либо отсекается и ставится в правильное положение, либо наращивается дополнительно при недостатке.
После разреза и постановки в правильное положение части кости скрепляются между собой титановыми пластинами или винтами, до полного естественного сращивания костей.
После операции челюсти пациента должны быть шинированы на протяжении всего нахождения в стационаре (в среднем неделя). После выписки наступает этап домашней реабилитации, который длится около двух недель. На этот период любые жевательные движения должны быть исключены.
Исправление дистального прикуса брекетами
Дистальный прикус или, по-другому, дистальная окклюзия, несмотря на общность внешних признаков имеет множество причин. И в основном, эти причины скелетные (см. Дистальный прикус). Как минимум (и чаще всего), причиной дистальной окклюзии являются проблемы размера и позиции челюстей (см. Причины неправильного прикуса). Размерно обычно страдает верхняя челюсть, а позиционно - челюсть нижняя.
Тем не менее, на сегодняшний день самым популярным и распространённым методом лечения дистальной окклюзии является её лечение с применением брекет-системы. А точнее сказать только брекетами, без предварительной «скелетной» подготовки. По незамысловатой схеме «одень брекеты - поноси их - получи результат».
Виды брекетов, которые можно установить в нашей клинике:

Но позвольте… Брекеты - это аппарат для исправления зубов . Они не решают (просто не могут решать) никаких скелетных вопросов. В частности, никаких проблем с челюстями (проблем их размера и позиции). И уж тем более проблемы осанки, с которой всегда связана дистальная окклюзия (см. Прикус и осанка). Какие бы «крутые» брекеты не были и какие бы «резинки» (межчелюстные эластики) на них не надевали. Не их это уровень (см. Исправление прикуса брекетами).
Получается явное несоответствие уровня возникновения проблемы (дистальной окклюзии) и уровня её решения (устранения). Не от того ли такой гигантский процент неудач в лечении дистальной окклюзии «чисто на брекетах»? И не от того ли столько осложнений при исправлении дистальной окклюзии по схеме «всё одним аппаратом» (чаще брекетами)? И не от того ли, не от этой ли «несостыковки» по уровням, часто получается так: начали лечение дистальной окклюзии просто поставив брекеты… Потерпели неудачу, а точнее не получили запланированный результат (а его и невозможно было получить - уровни то не совпадают). И начались «метания»: « Ой не вышло… Давайте оставим так - большего получить невозможно ». Или: « Давайте зубы удалим …» И удаляют. Чаще верхние премоляры («четвёрки» или «пятёрки»). Или предлагают хирургическую операцию… « Сами ж видите, мы сделали всё возможное… Но даже брекеты (уж на что круты), но и они не помогли. Теперь только операция …»
И все эти «танцы с бубнами» только для того, чтобы «прикрыть» неудачу. Чтобы «скомпенсировать» неудачное лечение дистального прикуса «чисто на брекетах». Хирургия - она всё покроет…
Но эти перемены планов в процессе лечения всегда очень неприятны (мягко сказать) для пациентов. Ведь они планировали одно (ну как было обещано… «одеть - поносить»…). А получается совсем другое, совсем не так «весело», как планировалось… К тому же все «деструктивные» методы, будь то удаление зубов или операция, которые к тому же, как-то «вдруг, оказались необходимы» - это всё может далеко не безвредно отразиться на эстетике лица. Да и на здоровье вообще (см. Лечение с удалением)
В «Орто-Артель» обращались и продолжают обращаться за помощью десятки пациентов, кому пытались вылечить дистальную окклюзию только лишь при помощи брекет-системы. И чьё лечение ничем не закончилось или привело к осложнениям. Наши специалисты всегда, в каждом конкретном случае, проводили анализ ситуации. И всегда (в 100%) случаев была обнаружена та самая несостыковка уровней…
Дистальный прикус
Дистальный прикус считается самой частой ортодонтической проблемой и по разным данным составляет больше половины всех случаев нарушений расположения зубов. Другое название проблемы - прогнатический прикус. Проблема характеризуется неправильным положением зубов при смыкании: верхние сильнее чем нужно выступают над нижними. Аномалия может возникать как из-за усиленного роста верхней челюсти, так и из-за недостаточного развития нижней челюсти.
Виды неправильного прикуса на картинке:

Классификация дистальной окклюзии
В ортодонтии используется несколько классификаций глубокого дистального прикуса, которыми активно пользуются врачи. Глубокий дистальный прикус — это ошибочная «классификация» дистального прикуса, и в действительности «дистальный прикус» весь является глубоким относительно нормального (6). Правильное определение глубокого дистального прикуса — «Первый подкласс по Энглю», который характеризуется выступлением переднего ряда зубов вперед (а выступать этот ряд может по-разному). Но смеем вас заверить, что идеально ровное смыкание есть у крайне малого количества людей и вся проблема является сугубо психологической, и если вам не комфортно, тогда имеет смысл обратиться в клинику. Рекомендуем ознакомиться с презентацией на тему «Classification of malocclusion» (на английском языке).
Классификация именно ДИСТАЛЬНОГО ПРИКУСА (подклассов) по Энглю (1):
- 1. Первый подкласс. Резцы верхнего ряда выступают вперед, в ряде случаев немного вверх. Из-за этого формируется сагитальная щель при смыкании.
- 2. Второй подкласс. Резцы верхнего ряда смыкаются с резцами нижнего, так как растут немного назад. Для такой ситуации не характерно наличие сагитальной щели.


Виды клинических форм дистальной окклюзии по Хорошилкиной:
- 1. Скелетная или гнатическая форма. Аномалия развивается из-за неравномерного развития челюстей и их неправильного положения относительно друг друга.
- 2. Зубоальвеолярная форма. При этой форме неправильно развивается альвеолярный гребень или неправильно располагаются отдельные зубы рядов.
- 3. Смешанная форма. Сочетание предыдущих двух вариантов.
Способ коррекции дистального прикуса зависит от вида аномалии и возраста, в котором она была обнаружена.
Причины развития (5)
Причины дистальной окклюзии могут быть корректируемыми и некорректируемыми. В первом случае развитие аномалии можно предотвратить, если устранять факторы риска. Во втором случае повлиять на причины невозможно. В большинстве случаев прогнатический прикус развивается из-за сочетания разных факторов риска, к которым относятся:
- 1. Генетические изменения. Более чем в половине клинических случаев решающую роль в развитии аномалии играет генетическая предрасположенность. А воздействие других факторов риска лишь усугубляет ситуацию.
- 2. Нарушение внутриутробного развития плода. Любые проблемы со здоровьем матери, воздействие неблагоприятных внешних факторов могут привести к тому, что у новорожденного уже имеются аномалии развития, в частности проблемы с прикусом.
- 3. Неправильное грудное вскармливание, сосание пальца. Использование бутылочек со слишком широким отверстием или неполноценное прикладывание к груди приводит к тому, что нижняя челюсть недостаточно развивается. Усугубить ситуацию могут вредные привычки: сосание соски, пальцев или других предметов.
- 4. Кариозное поражение или несвоевременная потеря молочных зубов. Обе проблемы негативно сказываются на формировании правильного прикуса и развитии челюстей.
- 5. Детские болезни. Влиять на рост челюстей и расположение зубов могут также общие заболевания ребенка: проблемы с дыхательной системой, системные аутоиммунные болезни, рахит, дефицит полезных веществ.
Развитие дистального прикуса у детей в следствии сосания пальца:

Избежать формирования дистального прикуса не всегда удается, даже если стараться устранять все перечисленные факторы риска. При обнаружении проблемы необходима скорейшая ее коррекция.
Признаки прогнатического прикуса (2)
Нарушение прикуса характеризуется изменениями в смыкании зубов, но также могут присутствовать и дополнительные внешние признаки. Все проявления дистальной окклюзии можно разделить на 3 группы:
- 1. Внутриротовые: выступающие передние зубы, наличие расстояния между резцами верхнего и нижнего рядов при смыкании.
- 2. Функциональные: дискомфорт при глотании и жевании, нарушение дикции, затруднение носового дыхания. При этом взрослый человек, который страдает проблемой с детства, скорее всего адаптируется и не будет ощущать подобных неудобств.
- 3. Внешние: выступание носа и верхней губы, но западание нижней, уменьшение подбородка, в запущенных случаях рот постоянно приоткрыт. Дистальный прикус также может сказываться на осанке: появляется сутулость, тело наклонено вперед, живот выступает.

При обнаружении признаков дистальной окклюзии у ребенка или взрослого, следует обратиться к врачам ортодонтической студии Леонида Горбунова для проведения комплексной диагностики и лечения.
Диагностика дистального прикуса
Точно установить наличие дистальной окклюзии может только профессиональный ортодонт [3]. Сначала врач проводит осмотр ротовой полости и предварительно уже может судить о том, какая аномалия прикуса у пациента. Однако для подтверждения диагноза и составления дальнейшего плана лечения проводятся дополнительные исследования:
- 1. Компьютерная томография. Получение трехмерных изображений зубочелюстного аппарата позволяет определить: размеры челюстей, их соотношение, структуру кости, состояние ВНЧС и так далее.
- 2. Слепки. Взятие слепков зубных рядов позволяет определить особенности смыкания зубов. Исследование помогает составить план дальнейшего перемещения зубов для формирования правильного прикуса.
- 3. Фотопротокол. Делаются фото с открытым и закрытым ртом, в анфас и в профиль, с улыбкой и с разных ракурсов. Это позволяет отслеживать динамику коррекции прикуса.
Обращайтесь в нашу клинику, где диагностика выполняется на современном точном оборудовании с гарантией достоверных результатов.

Лечение дистальной окклюзии в детском возрасте проходит быстрее и проще. Для терапии используются различные приспособления для стимуляции роста нижней челюсти и/или торможения развития верхней челюсти. Ортодонты применяют:
- — заслоны для языка;
- — специальные трейнеры;
- — миогимнастику.
При необходимости может проводиться удаление зубов, шлифование клыков для лучшего смыкания.
Если проблему диагностировали в подростковом возрасте и старше, то лечение выполняется с помощью брекетов или съемных элайнеров. Дополнительно может использоваться суставная шина, если нарушена функция височно-нижнечелюстного сустава.
При отсутствии эффекта от консервативного лечения проводится челюстно-лицевая хирургия. Это сложно, дорого.
Схема исправления прикуса хирургическим путем

Сроки исправления дистального прикуса индивидуальны. Точная длительность коррекции зависит от выраженности аномалии, возраста пациента, дополнительных проблем с зубочелюстным аппаратом. У детей лечение занимает, как правило, на 6-8 месяцев меньше времени, чем у взрослого [4].
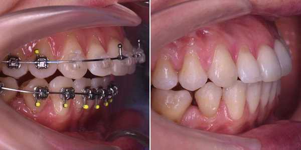
Пример фото дистального прикуса до и после лечения






Вывод
Неправильный прикус - это не только эстетическая, но и физиологическая проблема зубочелюстного аппарата. Игнорирование дистальной аномалии может ухудшать качество жизни и даже стать причиной некоторых болезней, в том числе, пищеварительного тракта из-за неправильного пережевывания пищи.
Люди с дистальным прикусом страдают от нарушений дикции. У них нарушается работа ВНЧС. Кроме того, стоматологическое лечение у таких пациентов тоже затрудняется, а зубы более подвержены кариозному поражению.
Поэтому при подозрении на дистальную окклюзию следует сразу же идти к врачу. Ребенка можно вести на прием сразу после появления молочных зубов, то есть примерно с 3 лет.

Дистальный прикус выявляется у каждого третьего ребенка или взрослого пациента, обратившегося за стоматологической помощью. Относится это зубочелюстное искривление к числу сложных аномалий. Оно требует обязательной коррекции, и сейчас мы расскажем, почему.
Что представляет собой дистальный прикус?
Синонимичным для этого вида зубочелюстного искривления названием является «прогнатия». Его особенностью является дисбаланс в развитии челюстей, при котором нижняя челюсть отстает от верхней. Зубы верхней челюсти при этом выступают над нижними, а подбородок недостаточно развит, кажется маленьким в сравнении с другими частями лица. Меняется общее выражение лица. Человек с прогнатией кажется удивленным или недовольным.

Часто употребляемый термин «глубокий дистальный прикус» кажется нам не совсем верным, так как глубокая окклюзия - это самостоятельное нарушение, которое может развиваться у пациента вследствие имеющейся у него прогнатии.
Степень тяжести дистального прикуса можно определить по смыканию шестого верхнего зуба со своим «соседом», расположенным в нижнем зубном ряду. При тяжелой стадии первый большой коренной зуб верхней челюсти соприкасается одновременно с большим и малым коренными зубами нижней челюсти. Если же зуб соприкасается преимущественно со своим антагонистом, то степень нарушения расценивается как легкая.
Причины формирования патологии
В основе развития зубочелюстного искривления лежит наследственная предрасположенность, на которую «наслаиваются» повреждающие факторы среды. Имеет значение и то, что воздействует на ребенка в период внутриутробного развития, и то, в каких условиях происходит формирование зубочелюстной системы в первые годы жизни. Наибольшее влияние при этом имеют следующие три фактора.
Особенности искусственного вскармливания
При использовании специальных ортодонтических сосок или же при кормлении грудью новорожденному приходится прилагать усилия для того, чтобы получить молоко. Необходимое для этого напряжение мышц лица стимулирует правильное и равномерное развитие челюстей. При кормлении из бутылочки с обычной соской ребенок практически не напрягается. Из-за этого зубо-челюстная система значительно отстает в развитии, что становится «фоном» для развития разнообразных аномалий.
Нарушение носового дыхания
Привычка дышать через рот приводит к удлинению и чрезмерному увеличению в размерах верхней челюсти, в то время как нижняя отстает от нее по пропорциям. По статистике, заболевания ЛОР-органов наблюдаются у каждого третьего ребенка с дистальным прикусом.
Нарушение процесса смены зубов
Здесь причиной развития прогнатии может стать несвоевременная потеря молочных зубов вследствие травмы или кариеса, неправильное прорезывание постоянных зубов, недоразвитие или отсутствие закладки постоянных зубов. К сожалению, многие взрослые недооценивают всю важность своевременной коррекции молочного и сменного прикуса. В итоге, там, где можно было обойтись временным протезом, приходится ставить дорогостоящие брекет-системы.
В группе риска развития прогнатии находятся дети, не имеющие клыков на нижней челюсти. У них наблюдается нарушение работы артикуляционного аппарата, замедляется рост нижней челюсти. Помочь в этой ситуации может имплантация.
К числу предрасполагающих факторов развития зубо-челюстной патологии можно отнести случаи нарушения осанки, рахит, привычку сосать большой палец, использование соски неправильной формы.
Способы исправления дистального прикуса
Подходы к коррекции развившегося нарушения определяются степенью тяжести патологии, возрастом пациента и некоторыми другими факторами. Проще всего устранить нарушение у детей и подростков, у которых формирование челюстей продолжается или закончилось совсем недавно. У взрослых лечение может проводиться в несколько этапов. Может понадобиться проведение хирургической операции.
Лечение прогнатии в молочном и сменном прикусе

У подростков придется использовать функционально-направляющую аппаратуру: искусственные коронки, которые фиксируются на нижних жевательных зубах и ортодонтические конструкции с шейной тягой. Эти приспособления выглядят достаточно громоздко, неудобны для пациента в повседневной жизни, поэтому используются нечасто.
Брекеты позволяют устранить прогнатию только на зубоальвеолярном уровне: правильное смыкание становится результатом перемещения зубов на челюсти. Если зубам недостаточно места в зубном ряду и наблюдается их скученность, то ортодонтическое лечение может быть дополнено удалением одного или нескольких зубов.
Лечение дистального прикуса у взрослых
После завершения формирования зубо-челюстной системы можно использовать два подхода к коррекции имеющихся нарушений:
Замаскировать имеющуюся прогнатию. С помощью брекет-систем и прозрачных кап меняется положение зубов на челюсти. Один или несколько больших и малых коренных зубов удаляется, чтобы оставшимся зубам было достаточно места в зубном ряду. В большинстве случаев такой маскировкой удается достичь правильного профиля.
Исправление дистального прикуса хирургическим путем. В тяжелых случаях попытки замаскировать дефект могут не увенчаться успехом. Получить удовлетворительный результат поможет ортогнатическая операция гениопластика, в ходе которой проводится коррекция формы подбородка.
Полученный во взрослом состоянии результат придется все время поддерживать с помощью формирователей прикуса и специальных миогимнастических упражнений, которые подстраивают работу жевательных и мимических мышц под новый прикус.
Сроки лечения
Длительность коррекции во многом определяется возрастом пациента. Однако сразу надо настраиваться на несколько месяцев ношения ортодонтических конструкций. У детей в период сменного прикуса носить специальные аппараты придется год-полтора. У взрослых для получения стойкого результата ношение брекет-системы может затянуться на несколько лет. Однако к любым аппаратам человек быстро привыкает и перестает их чувствовать. Да и отказываться от коррекции не стоит, так как прогнатия может привести к серьезным проблемам в обозримом будущем.
Последствия дистального прикуса
Любое нарушение пропорций лица удаляет внешность человека от идеала красоты и снижает его привлекательность. Недостаточное развитие нижней трети лица, невыразительный подбородок, торчащие вперед зубы - все это создает неблагоприятное впечатление о человеке. В дополнение к этому со временем развиваются другие проблемы:
затрудняется процесс пережевывания пищи, что негативно сказывается на функционировании всей пищеварительной системы;
неправильное распределение жевательной нагрузки уменьшает срок службы зубов, приводит к быстрому истиранию эмали, потере зубов вследствие воспалительных процессов в периодонте;
патологические изменения в височно-нижнечелюстных суставах приводят к появлению щелчков при жевании, становятся одной из причин частых головных болей;
при наличии у пациента аномалий прикуса затруднительным становится протезирование, уменьшается срок службы коронок и протезов.
Проблемы нарастают постепенно, и не всегда их наличие связывают с имеющейся прогнатией. Тем не менее, задуматься о своем здоровье лучше тогда, когда исправление дистального прикуса можно проводить в плановом порядке.
Читайте также:
- Советы мониторингу и пульс-оксиметрии у пациентов в хирургии
- Травма лица: причины, симптомы и лечение
- ЭхоКГ жидкости в полости перикарда и угрозы тампонады сердца
- Биопсия рака века. Показания и противопоказания
- Неврологическое обследование при синкопальных состояниях. Лабораторные исследования больных с синкопами.
