Асимметрия костного мозга вершины пирамиды височной кости - лучевая диагностика
Добавил пользователь Валентин П. Обновлено: 21.11.2025
Височная кость человеческого черепа представляет собой сложное костное парное образование. Эта костная структура имеет сложную форму и структуру. Височные кости являются несущими частями черепной коробки, к ним крепятся части слухового аппарата. Они защищают вестибулярный аппарат и внутреннее ухо. Кость служит опорой жевательного аппарата - она сочленена с подвижной частью челюсти. По своему строению она состоит из трех частей, каждая из которых выполняет свои функции и несколько отличается по структуре ткани от соседних. Изнутри к височной кости примыкают артерии и нервные волокна. Роль височной кости очень велика, поэтому ее повреждение неизменно ведет к поражению структур внутреннего уха, вестибулярного аппарата, нарушению слуха, равновесия, головным болям или головокружению.
Любое изменение структуры или формы височной кости влияет на кровеносную систему, питающую мозг, либо на органы слуха и зрения, либо непосредственно на мозг. Такую же опасность несут и воспаления ячеистых структур сосцевидного отростка кости (одной из составляющих частей), новообразования на внутренней части кости, изменения наружного слухового прохода.
Возможность получения большого количества срезов на высокопольном томографе экспертного класса в Медицинском центре «Гарантия» облегчает точную диагностику. Часто болевые ощущения в области височной кости вызываются совершенно разными причинами, которые при обычных методах диагностики очень трудно определить. Часто требуются повторные исследования. В таком случае КТ использовать не рекомендуется - использование рентгеновского излучения, даже столь малой интенсивности, в области мозга очень нежелательно.
МРТ височных костей: показания
МРТ височной кости имеет огромное диагностическое значение.
Исследование должно быть назначено в следующих случаях:
- Боли в области среднего уха.
- Нарушения зрения или слуха по неизвестной причине.
- Гнойные выделения из слухового прохода.
- Нарушения работы челюстного аппарата.
- Травмы в височной области.
- Необходимость подготовки к операции на черепе и последующий контроль результатов операции.
- Отиты и другие заболевания воспалительного характера в области височной кости.
- Абсцессы и инфекции головы.
- Опухоли и подозрение на опухоли.
- Дегенеративные явления органа слуха.
- Проблемы с координацией движения и сохранением равновесия.
- Нарушения работы жевательных мышц.
- Нарушения вкусовых ощущений.
МРТ височных костей - что показывает?
МРТ височных костей позволяет выявить такие заболевания, как острые и хронические отиты, воспаления внутреннего уха, опухоли доброкачественного и злокачественного характера, травмы и переломы височных костей, наличие инфекционного процесса в данной области, отосклероз и другие дегенеративные патологии.
МРТ височных костей: противопоказания
МРТ не следует проводить в следующих случаях:
- Во время беременности и лактации. Беременным МРТ может быть назначена только по строгим показаниям, если польза от диагностики значительно перевешивает возможный риск для плода. При грудном вскармливании можно сделать простое исследование МРТ, не назначается МРТ с контрастированием, или же, в случае острой необходимости, матери следует отказаться от кормления грудью как минимум на сутки после исследования.
- Наличие в организме пациента металлических конструкций или электронных имплантов, в том числе зубных протезов из металла, отличного от титана.
- Почечная недостаточность - является противопоказанием к проведению МРТ с контрастированием, поскольку в этом случае нормальное выведение контраста из организма нарушается, и может наступить интоксикация.
- Вес пациента более 130 кг.
- Аллергия или склонность к аллергическим реакциям (для введения контраста).
Подготовка к МРТ-Исследованию
Специальной подготовки к МРТ височной кости не требуется.
КАК ДЕЛАЮТ?
Пациент укладывается на кушетку, которая затем помещается в цилиндрический тоннель томографа так, чтобы голова пациента находилась внутри тоннеля. Обследование длится около 25 минут. Если проводится контрастирование, то это время увеличивается до 45 минут.
В течение всей процедуры пациент должен сохранять неподвижность, поскольку от этого зависит четкость снимков. При необходимости голову пациента также могут зафиксировать специальными мягкими валиками. В связи со сложностью исследования, результаты обследования с расшифровкой врача обычно выдаются на руки пациенту на следующий день, а по экстренным показаниям - в течение часа. В заключении врач подробно описывает обнаруженные патологии и дает рекомендации. С результатами пациент в дальнейшем может обратиться к своему лечащему врачу, который направил его на МРТ, либо к специалисту, рекомендованному врачом.
Изображения исследования МРТ записывают на компакт-диск и выдают пациенту.
На МРТ височной кости цена зависит от репутации клиники и используемого в ходе обследования оборудования.
ИСПОЛЬЗОВАНИЕ КОНТРАСТНОГО ВЕЩЕСТВА
В тех случаях, когда есть подозрение на наличие опухоли, или необходимо уточнить более четко границы патологии, может быть назначена МРТ с контрастированием. Контраст вводится внутривенно после проведения бесконтрастного сканирования строго по показаниям. Распространяясь с кровотоком и накапливаясь в пораженных тканях, контрастное вещество способствует лучшей визуализации проблемных участков, позволяет косвенно судить о злокачественности опухоли, ее структуре. Контрастное вещество представляет собой препарат на основе редкоземельного металла гадолиния, который не наносит вреда организму и полностью выводится в течение суток естественным путем.
Асимметрия костного мозга вершины пирамиды височной кости - лучевая диагностика
Московский научно-практический центр оториноларингологии Департамента здравоохранения Москвы
Московский научно-практический центр оториноларингологии ДЗ Москвы
Федеральный медико-биологический Центр им. А.И. Бурназяна ФМБА России, Москва, Россия, 123098
Хирургическое лечение холестеатомы пирамиды височной кости
Журнал: Вестник оториноларингологии. 2015;80(3): 57‑60
Кратко представлена эпидемиология, классификация, диагностика и современные тенденции хирургического лечения холестеатомы пирамиды височной кости. Описан клинический случай диагностики и хирургического лечения холестеатомы верхушки пирамиды височной кости.
Из всех заболеваний верхушки пирамиды височной кости холестеатома встречается в 3,4—9% случаев. Наиболее часто (в 60%) в этой зоне выявляется холестероловая гранулема. В то же время имеются случаи диагностики мукоцеле, арахноидальных кист, менингиомы, хордомы, ксантомы, кавернозной гемангиомы, аневризм внутренней сонной артерии, фиброзной дисплазии, хондросаркомы и метастатической карциномы. Может симулировать заболевание верхушки пирамиды и асимметричная пневматизация этой локализации [1—5].
Среди больных с холестеатомой височной кости у 2,9% встречается холестеатома пирамиды височной кости. Холестеатома этой локализации может быть первичной (врожденной), происходящей из остатков эмбриональной или аберрантной эпителиальной ткани, или вторичной вследствие инвазии холестеатомы из среднего уха или сосцевидного отростка. Вторичная холестеатома выявляется у 58%, а первичная — у 12% пациентов [2, 6]. В зависимости от локализации холестеатомы в пирамиде височной кости по классификации M. Sanna [7] выделяют пять ее видов: супралабиринтная, инфралабиринтная, массивная лабиринтная, инфралабиринтная с апикальным распространением и апикальная [7]. Наиболее часто встречается супралабиринтная (26,7—67%), массивная лабиринтная (20—38%) и инфралабиринтная (7—40%) холестеатомы [1, 6, 8].
При холестеатоме пирамиды височной кости часто наблюдается бессимптомное течение при значительном ее объеме. В зависимости от локализации ранними симптомами могут быть выраженное снижение слуха или глухота (у 9—69%), дисфункция лицевого нерва (у 29—53%), оторея (у 66,7%), периферическое головокружение (у 33,3%) или центральные неврологические осложнения вследствие эрозии рядом расположенных важных анатомических структур [1, 2, 6, 8, 9].
Применение в диагностике высокоинформативных методов исследования: мультиспиральной компьютерной томографии (МСКТ) и магнитно-резонансоной томографии (МРТ) с контрастным усилением, в том числе в non- EPY режиме, позволяет определить локализацию, распространение холестеатомы и на дооперационном этапе планировать хирургический подход.
В литературе имеются единичные обзоры, посвященные диагностике и хирургии холестеатомы пирамиды височной кости, освещающие значительное количество клинических случаев [1, 6, 8—11]. Основными задачами операции являются тотальное макроскопическое удаление холестеатомы, сохранение ствола лицевого нерва, предупреждение ликвореи и менингита и сохранение слуховой функции. Поэтому современный алгоритм выбора хирургического подхода строится на локализации холестеатомы, состоянии слуховой функции и лицевого нерва. Большинство авторов отдают предпочтение закрытым вариантам с облитерацией зоны операции и ушиванием наружного слухового прохода по Rambo, учитывая современные средства реабилитации слуха. Так, при супралабиринтной холестеатоме и нормальном слухе используют транстемпоральный супралабиринтный подход через среднюю черепную ямку, а при сенсоневральной тугоухости — выполняют субтотальную петрозэктомию транслабиринтным и транскохлеарным подходом. При инфралабиринтной холестеатоме и нормальном слухе применяют субтотальную петрозэктомию трансмастоидальным и ретролабиринтным подходами, а при сенсоневральной тугоухости — транслабиринтным и транскохлеарным подходами [6, 11, 12]. В то же время стремление сохранить слух после операции в ущерб радикальному удалению холестеатомы может привести к резидуальной патологии и необходимости повторного вмешательства. В тех случаях, когда холестеатома распространяется медиальнее капсулы лабиринта, сохранить слух невозможно, и на выбор хирургического подхода влияет состояние лицевого нерва. При этих локализациях холестеатомы при сохранной функции лицевого нерва применяют транслабиринтный и транскохлеарный или инфратемпоральный доступы, а при дисфункции лицевого нерва — транскохлеарный. Для лечения дисфункции лицевого нерва в зависимости от места компрессии выполняют декомпрессию ствола нерва, нейропластику или VII—XII анастомоз одновременно (или на втором этапе) [1, 6, 10]. Лучшие результаты операции отмечают при длительности дисфункции лицевого нерва менее 12 мес. В результате лечения глухота оперированного уха наблюдается у 18—83%, рецидив холестеатомы в разные сроки — у 2—19% и интракраниальные осложнения у 2—6% больных [6, 8].
В последние годы некоторые авторы выполняют модифицированную субтотальную петрозэктомию различными подходами, в зависимости от локализации холестеатомы, с тимпанооссикулопластикой для сохранения или улучшения функции слуха. По их данным, преимуществами открытой реконструкции являются функциональный результат, ранняя диагностика рецидива холестеатомы и менее сложная ревизионная хирургия в условиях необлитерированной полости. При этой методике после удаления холестеатомы пирамиды височной кости у 90% пациентов выполнялась тимпанопластика и у 52% — оссикулопластика. В результате операции слух улучшился у 38% пациентов, сохранился на прежнем уровне — у 29% и у 33% отмечено его ухудшение [8].
В нашей стране хирургией пирамиды височной кости занимаются преимущественно нейрохирурги. Однако и их возможности ограничены при распространенной холестеатоме пирамиды височной кости.
Представляем случай диагностики и хирургического лечения холестеатомы верхушки пирамиды височной кости.
Пациентка М., 32 года, обратилась в отделение нейрохирургии клиники ФГБУ ФМБЦ им. А.И. Бурназяна с жалобами на отсутствие слуха на правое ухо, периодические выделения из него, асимметрию лица.
Из анамнеза известно, что пациентка с детства страдает хроническим гнойным правосторонним средним отитом с периодическими обострениями в виде выделений из правого уха на фоне ОРВИ или попадания воды в ухо. Регулярно проводилась местная антибактериальная терапия с временным положительным эффектом. С 16-летнего возраста стала отмечать головокружения системного характера. В 2006 г. обратилась в клинику МОНИКИ, где выполнена КТ височных костей, по данным которой выявлено новообразование правой пирамиды височной кости. В той же клинике выполнена санирующая операция на правой височной кости с удалением задней стенки слухового прохода. В послеоперационном периоде головокружения купировались, но сохранялись выделения из этого уха. В 2009 г. стала отмечать подергивание мышц правой половины лица, эпизоды по типу гемифациального спазма до нескольких раз в день. В НИИ нейрохирургии им. Н.Н. Бурденко выполнена ретросигмовидным доступом операция на пирамиде височной кости с удалением холестеатомы правой пирамиды височной кости. После операции у пациентки полностью восстановилась функция лицевого нерва справа. Однако в 2012 г. у пациентки вновь развился парез лицевого нерва справа. Обратилась в отделение нейрохирургии клиники ФМБЦ им. А.И. Бурназяна для обследования и лечения.
При поступлении: общее состояние больной удовлетворительное. Температура тела нормальная. Кожные покровы обычной окраски. В легких дыхание везикулярное, без хрипов. АД — 120/80 мм рт.ст. Пульс 90 в 1 мин, ритмичный, удовлетворительных свойств.
При осмотре имеются спокойные, безболезненные послеоперационные рубцы в правой заушной и ретросигмовидной области. При отомикроскопии справа — наружный слуховой проход широкий, свободный, без отделяемого. Барабанная перепонка сохранена только в передних отделах. Слизистая оболочка в мезогипотимпануме утолщенная, полипозно-измененная. Полость в мастоидальном отделе небольшая, покрыта утолщенной слизистой оболочкой без эпидермиса. Слуховая труба проходима по Вальсальва. Слева наружный слуховой проход широкий, свободный. Барабанная перепонка серого цвета, опознавательные знаки дифференцируются.
В неврологическом статусе: сознание ясное. Контактная. Менингеальных знаков нет. Гипостезия в зоне иннервации V нерва справа (больше по 1—2 ветвям), корнеальный рефлекс снижен справа. Определяется грубый парез правого лицевого нерва справа (V степень по шкале House—Brackmann). Координаторные пробы выполняла удовлетворительно.
При тональной пороговой аудиометрии (ТПА) выявлена правосторонняя глухота. Слух слева в пределах возрастной нормы.
По данным электронейромиографии отмечались признаки умеренного поражения правого лицевого нерва по смешанному типу (аксональному и демиелинизирующему), проводимость по всем ветвям составляла 30—40% от нормы по типу неврита.

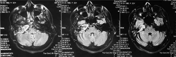
Рис. 1. КТ височных костей пациентки М. а — коронарная проекция: деструктивная полость в пирамиде височной кости, заполненная субстратом неоднородной плотности, капсула лабиринта значительно разрушена на уровне базального и апикального завитков улитки, латерального и верхнего полукружных каналов; б — аксиальная проекция: деструктивная полость с разрушением задней грани пирамиды, передневерхней и нижней поверхности.
По результатам МРТ головного мозга правая пирамида височной кости деформирована, увеличена в объеме, выполнена субстратом размером до 5,5—2,8—3 см, распространяющимся на область внутреннего слухового прохода, заднего полукружного канала, медиальные отделы барабанной полости, сосцевидный отросток. Описанный субстрат изо-гипоинтенсивен в режиме Т1, гиперинтенсивен — в Т2 и non-EPI DWI (рис. 2). Заключение: признаки рецидива холестеатомы с деструктивными изменениями структур внутреннего и среднего уха на фоне хронических воспалительных изменений.

Рис. 2. Магнитно-резонансная томография головного мозга пациентки М. Деформированная, увеличенная в объеме пирамида височной кости выполнена мягкотканым субстратом.
Учитывая анамнез заболевания, ранее выполненные операции, клинические проявления (глухота, явления периферического пареза лицевого нерва) и локализацию процесса по данным КТ височных костей и МРТ, свидетельствующие о массивной лабиринтной холестеатоме, пациентке была выполнена реоперация. Транслабиринтным подходом произведена субтотальная петрозэктомия (частичная лабиринтэктомия) с удалением холестеатомы и пластикой дефекта височной кости жиром. При ревизии определялась послеоперационная неэпидермизированная мастоидальная полость, которая была заполнена утолщенной слизистой оболочкой. В барабанной полости также определялась утолщенная полипозная слизистая оболочка. Барабанная перепонка сохранена только в передних отделах. Цепь слуховых косточек отсутствовала. За счет удаления перилабиринтных клеток, заднего верхнего и латерального полукружных каналов был открыт широкий доступ в сторону верхушки пирамиды, где выявлена большая холестеатома, распространявшаяся от верхушки сосцевидного отростка до верхушки пирамиды височной кости. Выявлено обнажение луковицы яремной вены, мозговых оболочек задней черепной ямки, нисходящей части канала лицевого нерва. Холестеатома удалена с образованием большой полости внутри пирамиды височной кости. При удалении холестеатомы из области внутреннего слухового прохода (который не дифференцировался) отмечалась ликворея. Эпидермальные оболочки оставлены на луковице яремной вены, у верхушки пирамиды височной кости, под улиткой. Произведена герметизация твердой мозговой оболочки двухкомпонентным фибриновым клеем. В область верхушки пирамиды височной кости уложена подкожно-жировая клетчатка, которая была взята с передней брюшной стенки. Выполнена пластика полости свободным миофасциальным лоскутом. В барабанную полость, под остатки барабанной перепонки, уложена аутофасция. Слуховой проход не ушивался для возможности контроля за созданной полостью.
По данным гистологического исследования удаленного образования от 29.07.14: в присланном материале бесструктурные холестеатомные массы и мелкий пласт многослойного плоского эпителия с рыхлой подэпителиальной стромой с кровоизлияниями.
При наблюдении в послеоперационном периоде отмечена длительная эпителизация послеоперационной полости и сохранение пареза правого лицевого нерва (V степень по шкале House—Brackmann). Неврологический статус — без отрицательной динамики.
Представленный случай свидетельствует о возможности успешного применения транслабиринтного подхода для удаления холестеатомы верхушки пирамиды височной совместно с нейрохирургами.
Кафедра оториноларингологии с клиникой Первого Санкт-Петербургского государственного медицинского университета им. акад. И.П. Павлова Минздрава России, Санкт-Петербург, Россия, 197022
Возможности конусно-лучевой компьютерной томографии височных костей у пациентов с отосклерозом
Журнал: Вестник оториноларингологии. 2016;81(4): 10‑13
Кафедра оториноларингологии с клиникой
Цель исследования - усовершенствование алгоритма анализа конусно-лучевых компьютерных томограмм (КЛКТ) височных костей для выявления хирургически значимых особенностей строения лабиринтной стенки барабанной полости. В период с 2012 по 2016 г. было выполнено более 400 томограмм височных костей на конусно-лучевом томографе. Исследование включало в себя несколько этапов: разработка оптимального позиционирования пациента для данного томографа, экспериментальный этап, ретроспективный анализ томограмм и сравнение височных костей в зависимости от типа строения (пневматический, смешанный, склеротический), сравнение КЛКТ с оперативными данными, усовершенствование алгоритма анализа КЛКТ височных костей. Для исследования были отобраны 16 пациентов (15 женщин в возрасте от 32 до 56 лет и 1 мужчина 58 лет) с клиническим диагнозом: отосклероз. Предложен алгоритм анализа КЛКТ височных костей, который включает в себя несколько этапов: качественный анализ томограмм; количественные параметры; дополнительные параметры, используемые при планировании вмешательства на лабиринтной стенке барабанной полости перед стапедопластикой. Данные, полученные при КЛКТ, были сопоставлены с операционными данными. Диагностическая чувствительность составила 100%, специфичность - 83%. Таким образом, конусно-лучевая томография может быть использована в диагностическом алгоритме перед планированием хирургических вмешательств на медиальной стенке барабанной полости и для оценки динамики течения заболеваний среднего уха.
Распространенность клинически проявляющегося отосклероза составляет 0,3-0,5%. Основным методом лечения является хирургический (различные варианты стапедопластики). Частота осложнений и неудовлетворительных результатов при стапедопластике, по данным различных авторов, варьирует от 1,6 до 20% [1]. Для снижения риска осложнений стапедопластики необходимо тщательное предоперационное обследование, в том числе с использованием компьютерной томографии (КТ) височных костей с целью оценки особенностей анатомического строения медиальной стенки барабанной полости [2, 3].
В отиатрической практике для визуализации височной кости широко используется метод мультиспиральной компьютерной томографии (МСКТ). Однако, по данным зарубежных авторов, одним из методов исследования структур уха является конусно-лучевая КТ (КЛКТ), которая демонстрирует сопоставимую с МСКТ точность отображения костных структур при значительно меньшей лучевой нагрузке, меньшей стоимости исследования 5.
Цель исследования - усовершенствование алгоритма анализа КЛКТ височных костей для выявления хирургически значимых особенностей строения лабиринтной стенки барабанной полости и определение диагностической чувствительности и специфичности этого метода исследования.
Материал и методы
В период с 2012 по 2016 г. на кафедре оториноларингологии с клиникой ПСПбГМУ им. акад. И.П. Павлова было выполнено более 400 томограмм височных костей на конусно-лучевом томографе Galileos Comfort («Sirona Dental Systems GmbH», Bensheim Germany), программное обеспечение Galaxis. Параметры томографической съемки: 85 kV, 4 mA, 28 mA/s, размер изотропного вокселя 0,15 мм, эффективная доза 70 мкЗв.
Исследование включало в себя несколько этапов:
- разработка оптимального позиционирования пациента для данного томографа;
- экспериментальный этап (сканирование препаратов височных костей, черепа для оценки точности проводимых измерений);
- ретроспективный анализ томограмм и сравнение височных костей в зависимости от типа строения (пневматический, смешанный, склеротический) с целью составления алгоритма анализа КЛКТ височных костей;
- сравнение КЛКТ с интраоперационными данными, на основании чего в алгоритм анализа вводились дополнительные параметры для оценки перед оперативным лечением среднего уха при воспалительной патологии и, отдельно, при планировании вмешательств на медиальной стенке барабанной полости.
Для исследования были отобраны 16 пациентов (15 женщин в возрасте от 32 до 56 лет и 1 мужчина 58 лет) с клиническим диагнозом «отосклероз». Обследование перед операцией включало в себя микроотоскопию, акуметрию, тональную пороговую аудиометрию, импедансбарометрию. Всем пациентам при проведении предоперационного обследования перед стапедопластикой выполнялась КЛКТ височных костей.
На томограммах оценивались следующие показатели (только на тех ушах, которые планировались для оперативного вмешательства):
- ширина (внутренняя и наружная) и форма ниши окна преддверия;
- наличие или отсутствие нависания канала лицевого нерва и промонториума;
- расстояние от подножной пластинки стремени до внутренней стенки преддверия;
- наличие или отсутствие оссификации окна улитки;
- ширина окна улитки.
Все пациенты были прооперированы: в 15 случаях выполнена первичная стапедопластика, в одном случае - повторная стапедопластика.
Результаты и обсуждение
В практику клиники внедрен вариант позиционирования, при котором голова пациента выставляется по орбитомеатальной линии. При данной укладке в аксиальной плоскости хорошо визуализируется наковальне-молоточковое сочленение, короткий отросток наковальни, aditus ad antrum.
Предложен алгоритм анализа КЛКТ височных костей, который включает в себя несколько этапов:
1. Качественный анализ томограмм, проводимый для каждого исследования височной кости:
b) тип пневматизации сосцевидного отростка;
c) пневматизация антрума и барабанной полости;
d) наличие/отсутствие костно-деструктивных изменений височной кости;
e) состояние слуховых косточек и их взаиморасположение;
f) высота стояния луковицы яремной вены;
g) целостность костных стенок лабиринта;
h) симметричность внутренних слуховых проходов.
2. Дополнительные количественные параметры, используемые при планировании оперативного вмешательства на среднем ухе:
a) глубина залегания антрума;
b) высота, глубина и длина антрума;
c) глубина залегания сигмовидного синуса;
d) расстояние от антрума до борозды сигмовидного синуса;
e) толщина костной стенки между горизонтальным полукружным каналом и aditus ad antrum;
f) толщина костной стенки между каналом лицевого нерва и aditus ad antrum;
g) толщина костной стенки между каналом лицевого нерва и горизонтальным полукружным каналом;
h) при сравнении глубины залегания антрума и сигмовидного синуса делался вывод о наличии латеропозиции синуса.
3. Дополнительные параметры, используемые при планировании вмешательства на лабиринтной стенке барабанной полости перед стапедопластикой:
a) наличие или отсутствие нависания канала лицевого нерва;
b) ширина и глубина ниши окна преддверия;
c) наличие или отсутствие оссификации ниши окна улитки.
При статистической обработке данных выявлены достоверные различия между клинически значимыми антропометрическими показателями в зависимости от типа пневматизации и наличия воспалительных изменений в височной кости.
Выявленные в ходе исследования особенности строения медиальной стенки барабанной полости (см. таблицу) были сопоставлены с интраоперационными находками.

Оценка анатомических структур медиальной стенки барабанной полости по данным конусно-лучевой компьютерной томографии
Толщина подножной пластинки стремени не измерялась в связи с техническими ограничениями данного томографа.
В одном случае в ходе операции возникло истечение перилимфы через окно преддверия, при анализе КЛКТ височных костей данного пациента выявлено наименьшее расстояние до внутренней стенки окна преддверия (2,35 мм).
При проведении операций особенности строения медиальной стенки были отмечены в 5 из 16 ушей. Истинно положительный результат при сравнении данных с КЛКТ отмечен в 5 случаях (совпадение данных КЛКТ с интраоперационными), ложноотрицательный - 0, истинно-отрицательный - в 9, ложноположительный - в 2.
Таким образом, диагностическая чувствительность КЛКТ височных костей составила 100%, специфичность - 81%.
Клинический случай № 1
Пациент Н., 58 лет, с диагнозом: отосклероз, вовлекающий овальное окно, необлитерирующий, состояние после тимпанотомии в январе 2015 г., перелом длинного отростка наковальни. Ранее пациенту была выполнена попытка стапедопластики на левом ухе, в ходе тимпанотомии произошел перелом длинного отростка наковальни, оперативное вмешательство было прекращено. При поступлении в ЛОР-клинику ПСПбГМУ были выполнены микроотоскопия (барабанная перепонка левого уха серая, рубцово изменена), акуметрия (шепотная и разговорная речь на левое ухо 0 м, опыт Вебера с латерализацией влево, опыт Ринне отрицательный с двух сторон), тональная пороговая аудиометрия (повышение порогов слуха по смешанному типу с преобладанием кондуктивного компонента, костно-воздушный разрыв до 80 дБ, повышение порогов слуха по кости в диапазоне от 20 до 30 дБ), КЛКТ височных костей (рис. 1).

Рис. 1. Больной Н., 58 лет. КЛКТ височных костей. MPR/рентгенологическое исследование. Во фронтальной и сагиттальной плоскостях отмечены контуры наковальни (перелом), в сагиттальной плоскости обозначен ход канала лицевого нерва.
Заключение по КЛКТ левой височной кости: пневматический тип строения сосцевидного отростка, пневматизация клеток не нарушена, антрум обычных размеров, пневматизирован. Барабанная полость пневматизирована, слуховые косточки четко визуализируются, нарушена целостность длинного отростка наковальни (определяется линия перелома). Ниша овального окна: уменьшен размер просвета, склерозирована, прямоугольной формы. Признаки рубцового процесса в области окна улитки. Структуры внутреннего уха - без особенностей.
Пациенту была выполнена стапедопластика на левом ухе. Интраоперационные находки: слуховые косточки окружены рубцовой тканью, четко определяется уровень перелома длинного отростка наковальни, который был фиксирован лишь рубцовой тканью, стремя с истонченными ножками полностью фиксировано к окружающим костным стенкам и подножной пластинке, ниша овального окна узкая и глубокая. После установки тефлонового протеза было получено улучшение слуха - разговорная речь 4 м (до операции 0 м).
Клинический случай № 2
Пациентка Ж., 45 лет, с диагнозом: отосклероз, облитерирующий, вовлекающий овальное окно. Поступила в июне 2015 г. в ЛОР-клинику ПСПбГМУ для планового оперативного лечения на правом ухе. Ранее в 2013 г. пациентке выполнялась стапедопластика на левом ухе с положительным эффектом. При поступлении была выполнена отомикроскопия (барабанная перепонка без патологических изменений), акуметрия (шепотная речь на правое ухо 2 м, разговорная речь 3 м, в опыте Вебера латерализация влево, опыт Ринне отрицательный справа, положительный слева), тональная пороговая аудиометрия (AD: снижение слуха по смешанному типу, костно-воздушный разрыв от 20 до 50 дБ, повышение порогов слуха от 20 до 40 дБ), КЛКТ височных костей.
Заключение по КЛКТ правой височной кости: пневматический тип строения сосцевидного отростка, пневматизация не нарушена, антрум обычных размеров. Барабанная перепонка истончена. Барабанная полость пневматизирована, слуховые косточки с явлениями декальцинации, подножная пластинка стремени утолщена, кальцифицирована, определяется нависание канала лицевого нерва над нишей овального окна, костная капсула его частично не прослеживается. Структуры внутреннего уха без особенностей (рис. 2).

Рис. 2. Больная Ж., 45 лет. КЛКТ височных костей. MPR/рентгенологическое исследование. В сагиттальной плоскости обозначен ход канала лицевого нерва, во фронтальной - расположение канала лицевого нерва над нишей преддверия.
Пациентке была выполнена стапедопластика на правом ухе. Интраоперационные находки: фиксация подножной пластинки стремени в нише овального окна, глубокая ниша овального окна, нависание канала лицевого нерва, рубцовая ткань вокруг ниши овального окна. После установки тефлонового протеза получена прибавка слуха: разговорная речь до 6 м, шепотная речь до 3 м.
Выводы
1. КЛКТ зарекомендовала себя как информативный метод диагностики патологии среднего уха и может использоваться перед планированием оперативных вмешательств, а также в качестве рентгенологического контроля в послеоперационном периоде и для оценки течения заболеваний среднего уха.
2. По данным КЛКТ, наиболее значимыми при проведении оперативных вмешательств на медиальной стенке барабанной полости являются следующие анатомо-топографические особенности височной кости - нависание канала лицевого нерва, ширина ниши окна преддверия и оссификация круглого окна улитки, оценка которых в ходе предоперационной подготовки больных позволяет увеличить число благоприятных исходов лечения.
Что покажет КТ височных костей, как делают, подготовка и противопоказания

Височная кость является важной анатомической структурой - она участвует в формировании черепной коробки, здесь расположен слуховой аппарат, проходят крупные нервы и артерии. Обычные методы диагностики, такие как рентгенография или УЗИ, зачастую не позволяют диагностировать патологические изменения в этой области. КТ височных костей − более точное исследование, которое дает возможность выявлять заболевания на ранней стадии.
Что покажет КТ височных костей
Во время КТ получают послойные снимки височной кости и окружающих тканей в трех плоскостях. Толщина среза составляет всего несколько миллиметров, что позволяет врачу-рентгенологу рассмотреть не только все анатомические образования, но и минимальные патологические изменения.
На полученных снимках хорошо видны следующие структуры:
пирамида височной кости;
ячейки и антрум сосцевидного отростка;
улитка, преддверие, передний и задний полукружный каналы;
слуховые косточки среднего уха;
стенки наружного слухового прохода;

Снимок (томограмма) височных костей в осевой проекции
С помощью КТ височных костей можно выявить любые заболевания воспалительного, травматического, опухолевого характера. Метод применяется для диагностики следующих патологий:
объемных образований, кист костной ткани и слухового аппарата;
воспалительных процессов (мастоидиты, отиты, остеомиелиты);
травматических повреждений (трещины, переломы);
дегенеративных изменений (отосклероз, дисплазия);
Большим преимуществом КТ перед другими диагностическими методами является возможность получения трехмерной модели височной кости. 3D-изображение необходимо перед хирургическим вмешательством, часто по поводу установки имплантата внутреннего уха, поскольку дает максимально четкое представление об особенностях анатомии у конкретного пациента.
Иногда во время КТ височной кости дополнительно вводят контрастирующее вещество на основе йода. Введенный фармпрепарат хорошо поглощает рентгеновские лучи и делает изображения более отчетливыми. Контрастирование необходимо для уточнения характера изменений в мягкотканных образованиях, прилегающих к височной кости. Также методика позволяет отчетливо визуализировать церебральные артерии и вены. Вместе с тем, данная процедура обходится немного дороже стандартного исследования: пациенту нужно будет доплатить за количество использованного контраста.
Показания к КТ височных костей
В большинстве случаев КТ височных костей назначают ЛОР-врачи, неврологи, нейрохирурги, реже специалисты другого профиля. Обычно основанием для проведения томографии являются выявленные на рентгенограмме или во время УЗИ патологические изменения. Именно КТ височных костей позволяет разрешить все сомнения и поставить точный диагноз.
Показаниями для компьютерной томографии височной кости служат:
нарушения работы слухового аппарата (прогрессирующее ухудшение слуха, звон или шум в ухе и пр.);
вестибулярные расстройства (головокружение, шаткость при ходьбе);
длительный болевой синдром в области уха, в половине головы, особенно сопровождающийся неврологической симптоматикой;
выделения из слухового прохода различного характера (гной, кровь, ликвор);
клинические данные, свидетельствующие об опухолевом процессе;
нарушение работы лицевого нерва с развитием слабости мимической мускулатуры;
травмы головы с подозрением на перелом основания черепа и височной кости.
Также рекомендуют КТ височных костей перед запланированным хирургическим вмешательством, для контроля за проводимой терапией.
Кому противопоказана КТ височной кости
Компьютерная томография височных костей не проводится женщинам в период беременности, поскольку рентгеновские лучи негативно влияют на развитие плода. В случае томографии с контрастированием противопоказаниями являются:
нарушение фильтрационных характеристик почек;
непереносимость препаратов на основе йода;
повышенная функция щитовидной железы.
Как проходит компьютерная томография височных костей
Записаться в диагностический центр «Магнит» можно по телефону, указанному на сайте. Сотрудник подберет для вас наиболее удобное время, разъяснит особенности процедуры, одновременно вы сможете уточнить точную стоимость обследования.
Идя на томографию, потребуется взять с собой направление, имеющиеся на руках медицинские документы. В случае запланированной КТ височных костей с контрастированием нужно заранее сдать анализ на креатинин. Он необходим для оценки функционального состояния почек.
В центре «Магнит» обследование проводят на современном мультиспиральном томографе Siemens. Аппарат установлен в отдельной комнате, где и будет проходить сканирование.

Внешний вид компьютерного томографа и положение пациента на столе аппарата перед началом исследования
Непосредственно перед исследованием специалист центра проинструктирует больного и предложить занять положение на спине на столе томографа.
Во время сканирования стол с пациентом будет плавно перемещаться по направлению к тоннелю аппарата. Таким образом, голова будет находиться на уровне источника излучения и датчиков. Каких-либо неприятных ощущений во время исследования не возникает, тем более что сама процедура длится всего 1-2 минуты.
Все это время персонал будет находиться в соседней комнате и наблюдать за ходом исследования. В тоннеле томографа есть переговорное устройство, по которому пациент всегда может связаться с медперсоналом.
КТ височной кости с введением контраста длится немного дольше: от 15 до 25 минут, так как исследование включает несколько этапов. Первоначально выполняют нативное сканирование, после которого внутривенно вводят йодсодержащий препарат (Ультравист). Контраст относительно редко вызывает побочные реакции, иногда наблюдаются небольшое головокружение или подташнивание. Эти неприятные явления самостоятельно проходят в течение нескольких минут. Завершающий этап - повторное сканирование с получением максимально контрастных изображений.
После получения снимков и их обработки компьютерной программой врачу потребуется некоторое время для анализа данных. Обычно на это уходит не более 1,5-2 часов .
Когда назначают КТ височных костей детям
Данный вид исследования рекомендуют детям только при наличии веских оснований. Это связано с тем, что организм ребенка более чувствителен к рентгеновскому излучению, чем у взрослого пациента. КТ височных костей назначают тогда, когда другие методы исследования (рентген, УЗИ, МРТ) не дают достаточно информации для постановки диагноза. Детям компьютерная томография височных костей чаще всего проводится в случае черепно-мозговой травмы с переломами костей черепа, одностороннего нарушения слуха, при подозрении на новообразование.
В центре «Магнит» мультиспиральную КТ делают детям начиная с пяти лет. Современное оборудование и программное обеспечение позволяют подобрать оптимальный режим сканирования и, таким образом, существенно снизить лучевую нагрузку на организм. Процедуру с контрастированием в нашем центре проводят детям, достигшим двенадцатилетнего возраста.

Положение ребенка на столе компьютерного томографа перед исследованием
Компьютерная томография височной кости не причиняет маленькому пациенту дискомфорта или боли. Поскольку сканирование длится считанные минуты, дети хорошо переносят диагностику. Однако при запланированной томографии родителям все же следует психологически подготовить ребенка: рассказать о процедуре и почему так важно ее пройти.
Преимущества КТ височных костей
Компьютерная томография является оптимальным вариантом для исследования костей, в том числе черепа. Костная ткань хорошо поглощает рентгеновские лучи, в результате получают четкие ее изображения. Данный метод незаменим в диагностике скрытых переломов и трещин, он хорошо выявляет деструктивные изменения.

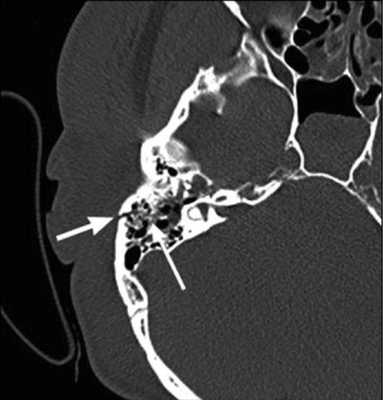
На КТ-снимке виден перелом пирамиды височной кости (указан стрелками)
Другими преимуществами мультиспиральной томографии являются:
высокая скорость сканирования;
относительно низкий уровень лучевой нагрузки;
неинвазивность и безболезненность;
доступность для выполнения пациентам с ферромагнитными имплантатами, электронными устройствами;
возможность получения трехмерной модели исследуемой зоны.
КТ височных костей имеет вполне доступную цену. В диагностическом центре «Магнит» ее можно пройти за 2450 рублей. Такая низкая, по сравнению с другими медучреждениями Санкт-Петербурга, цена объясняется проводимой в этом месяце специальной акцией.
КТ височных костей: когда назначают процедуру, что показывает компьютерная томография?

КТ височных костей является современным методом исследования. Она позволяет добиться четкой визуализации всех структур. Благодаря тому, что толщина послойных срезов составляет около 1 мм, можно детально изучить состояние наружного слухового прохода, пирамид височных костей, среднего и внутреннего уха и добиться выявления различных нарушений. Можно рассчитывать на визуализацию не только костных тканей, но и мягких, благодаря чему будут обнаружены всевозможные воспалительные процессы, новообразования, инфекционные процессы, а также травмы и их последствия.
Когда назначается обследование?
Компьютерная томография височной кости является необходимой в большом количестве случаев. Это исследование предоставит информацию для установления разных диагнозов, а именно:
- хронические или острые воспалительные болезни, к примеру отит, мастоидит;
- травмы;
- инфекционные заболевания;
- нарушения слуха и работы вестибулярного аппарата;
- новообразования и инородные тела в ухе;
- абсцессы и опухоли;
- врожденные аномалии развития уха;
- болезни сосудов в височной области;
- дегенеративные и некротические процессы;
- и многое другое.
КТ височных костей: что показывает?
Результатом работы врача-рентгенолога становятся четкие снимки, на которых видно строение всех структур уха и височных костей. КТ пирамиды височной кости позволяет изучить также прилегающие мягкие ткани, благодаря чему можно получить необходимые сведения и поставить правильный диагноз. Если идет речь о снимках, которые были получены с использованием контрастного вещества во время исследования, можно будет осмотреть также мозговые оболочки, височные мозговые доли, стенки глазниц и многое другое.
Подготовка к процедуре
Проведение процедуры подразумевает минимум подготовки. При выявлении патологий в области височных костей КТ производится, как правило, без контрастного вещества. В этом случае достаточно будет посетить диагностический центр и снять с себя все металлосодержащие элементы.
Если назначено использование контраста, нужно сдать специальные анализы. Это позволит исключить возможность аллергических реакций на препарат. Перед КТ в этом случае нельзя есть за 6 часов, это позволит минимизировать побочные эффекты от контраста.
Как проходит КТ височных костей?

Если вы не знаете, как проходит КТ височных костей, что показывает это исследование и к чему нужно быть готовым, стоит знать, что томография не вызывает никаких неприятных ощущений. Это исследование не требует оперативного вмешательства в организм. Все, что нужно будет сделать, - переодеться в медицинскую одежду, снять все украшения и отложить в сторону аксессуары и гаджеты. После этого пациент ложится на подвижный стол аппарата. Части тела, которые не будут исследоваться, накрывают специальным фартуком, позволяющим отразить лишнюю радиацию. Затем стол задвигается в кольцо томографа и начинается исследование, которое длится 5-20 минут, в зависимости от того, применялся ли контраст (с ним осмотр дольше).
Когда нужен контраст?
Контрастное вещество применяется достаточно редко, это обосновано тем, что показывает КТ височных костей более чем полную картину. Врачи, как правило, принимают решение о введении контраста перед компьютерной томографией в том случае, если есть подозрение на онкологию.
Контрастное вещество накапливается в области новообразований и других тканях, где проходят патологические процессы. Это вещество позволяет детально рассмотреть их структуру, а также оценить состояние сосудов, по которым будет проходить контраст, что дает дополнительные сведения о состоянии пациента.
Противопоказания для проведения КТ височных костей
На КТ видны патологии височных костей, процедура является безопасной и не доставляет неприятных ощущений, но все же есть ряд ограничений к ее назначению. Как правило, не назначается томография детям до 14-ти лет, поскольку воздействие рентгеновского излучения на растущий организм гораздо сильнее, чем на взрослого человека. В некоторых случаях лечащий врач принимает решение о назначении КТ даже детям младше 14-и лет, поскольку польза от процедуры будет выше возможных рисков.
Беременность является абсолютным противопоказанием, поскольку существует риск нарушений в развитии плода вследствие рентгеновского облучения. Кормящим матерям нельзя кормить ребенка грудью около 2-х суток с момента прохождения КТ. Невозможным обследование становится и в том случае, если пациент страдает от гиперкинезов (непроизвольных движений) головы. В этом случае получить четкие снимки невозможно, а исследование не принесет результатов.
Применение контраста имеет еще больше противопоказаний, к примеру, заболевания эндокринной системы, почечная недостаточность и тяжелые состояния пациента, к которым относятся шок или кома. В этих случаях возможно резкое ухудшение самочувствия, поскольку контраст дает большую нагрузку, и существует угроза жизни пациента.
Как часто можно делать КТ височных костей?
Не рекомендовано изучать анатомию пирамиды височной кости на КТ более одного раза в год. Если речь идет об экстренных ситуациях, назначаться процедура может до 3-х раз в год с интервалом не менее 4-х недель. Также необходимо будет оценивать лучевую нагрузку от других исследований, чтобы диагностика не привела к ухудшению самочувствия и заболеваниям.
Расшифровка КТ
Расшифровкой занимается врач-радиолог, который по итогам КТ будет составлять заключение. Это занимает до получаса, после чего результаты отдают пациенту на руки. В сложных случаях к процессу расшифровки могут привлекать других специалистов, к примеру, невропатолога.
Читайте также:
